We use cookies to enhance the usability of our website. If you continue, we'll assume that you are happy to receive all cookies. More information. Don't show this again.
AKR1B1
HPA
RESOURCES
  • TISSUE
  • BRAIN
  • SINGLE CELL
  • SUBCELLULAR
  • CANCER
  • BLOOD
  • CELL LINE
  • STRUCTURE & INTERACTION
ABOUT
  • INTRODUCTION
  • HISTORY
  • ORGANIZATION
  • PUBLICATIONS
  • ANTIBODY SUBMISSION
  • ANTIBODY AVAILABILITY
  • ACKNOWLEDGMENTS
  • CONTACT
NEWS
  • NEWS ARTICLES
  • PRESS ROOM
LEARN
  • DICTIONARY
  • PROTEIN CLASSES
  • PROTEIN EVIDENCE
  • METHODS
  • EDUCATIONAL VIDEOS
DATA
  • DOWNLOADABLE DATA
  • PUBLICATION DATA
  • RELEASE HISTORY
HELP
  • ANTIBODY VALIDATION
  • ASSAYS & ANNOTATION
  • DISCLAIMER
  • HELP & FAQ
  • PRIVACY STATEMENT
  • LICENCE & CITATION
Fields »
Search result

Field
Term
Gene name
Class
Subclass
Class
Keyword
Chromosome
External id
Tissue
Cell type
Expression
Antibody panel
Tissue
Main location
Patient ID
Annotation
Tissue
Category
Tau score
Cluster
Reliability
Brain region
Category
Tau score
Brain region
Category
Tau score
Brain region
Category
Tau score
Cluster
Reliability
Tissue
Cell type
Enrichment
Cell type
Category
Tau score
Cell type
Category
Tau score
Cell type
Category
Tau score
Cell lineage
Category
Tau score
Cluster
Cluster
Location
Searches
Location
Cell line
Class
Type
Phase
Reliability
Cancer
Prognosis
Cancer
Category
Cancer
Category
Tau score
Cluster
Variants
Interacting gene (ensg_id)
Type
Number of interactions
Pathway
Category
Score
Score
Score
Validation
Validation
Validation
Validation
Antibodies
Data type
Column


  • SUMMARY

  • TISSUE

  • BRAIN

  • SINGLE CELL

  • SUBCELL

  • CANCER

  • BLOOD

  • CELL LINE

  • STRUCT & INT

  • AKR1B1
BRAIN CEREBELLUM Show tissue menu
AMYGDALA BASAL GANGLIA CEREBELLUM CEREBRAL CORTEX CHOROID PLEXUS HIPPOCAMPAL FORMATION HYPOTHALAMUS MEDULLA OBLONGATA
MIDBRAIN OLFACTORY BULB PITUITARY GLAND PONS RETINA SPINAL CORD THALAMUS WHITE MATTER
ANTIBODIES
AND
VALIDATION
Brain proteome
Cerebellum
CEREBELLUM - Expression summary
Protein expression
Cerebellumi

On the top, protein expression in current human tissue, based on all annotated cell types, is reported with the units not detected (n), low (l), medium (m) and high (h). Underneath, protein expression in each annotated cell type are reported using the same units.

Protein expression data is based on knowledge-based annotation. For genes where more than one antibody has been used, a collective score is set.

If knowledge-based annotation could not be performed for a gene, no data is displayed here. View antibody staining data further down this page.

h
m
l
n
Bergmann glia - cytoplasm/membrane: Not detected
Bergmann glia - nucleus: Not detected
GLUC cells - cytoplasm/membrane: Not detected
GLUC cells - nucleus: Not detected
Granular cells - cytoplasm/membrane: Not detected
Granular cells - nucleus: Not detected
Molecular layer - neuropil: Not detected
Molecular layer cells - cytoplasm/membrane: Not detected
Molecular layer cells - nucleus: Not detected
Processes in granular layer: Not detected
Processes in molecular layer: Not detected
Processes in white matter: Not detected
Purkinje cells - cytoplasm/membrane: Medium
Purkinje cells - dendrites: Medium
Purkinje cells - nucleus: Not detected
Synaptic glomeruli - capsule: Not detected
Synaptic glomeruli - core: Not detected
White matter cells - cytoplasm/membrane: Not detected
White matter cells - nucleus: Not detected
RNA expressioni

A summary of mRNA expression data available for current tissue based on several datasets. The mRNA expression levels in human tissues are based on RNA-seq data generated by the Human Protein Atlas (HPA), Genotype-Tissue Expression (GTEx) portal and CAGE data generated by the FANTOM5 consortium. Consensus normalized expression levels for human tissues was created by combining the data from HPA and GTEx datasets.

The mRNA expression levels in pig are based on RNA-seq data generated by the Human Protein Atlas (HPA), and for mouse, HPA data and in situ hybridization generated by the Allen brain atlas are reported.

Scroll down to view mRNA expression data in more detail.
Consensus:64.1 nTPM
HPA Brain:73.9 nTPM
GTEx:64.1 nTPM
FANTOM5:50.9 Scaled Tags Per Million
Pig:19.8 nTPM
Mouse:79.9 nTPM
Allen mouse:4.2 Expression energy

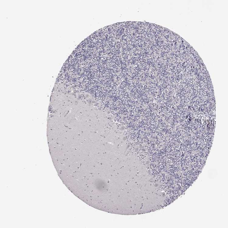
CEREBELLUM - Antibody stainingi

Antibody staining in the annotated cell types in the current human tissue is reported as not detected, low, medium, or high, based on conventional immunohistochemistry profiling in selected tissues. This score is based on the combination of the staining intensity and fraction of stained cells.

Each image is clickable and will lead to virtual microscopy that enables deeper exploration of all samples and also displays staining intensity scores, fraction scores and subcellular localization as well as patient and tissue information for each sample.

Antibody HPA026425Antibody HPA052751Antibody CAB027391Antibody CAB047353
Bergmann glia - cytoplasm/membrane Not detected---
Bergmann glia - nucleus Not detected---
GLUC cells - cytoplasm/membrane Not detected---
GLUC cells - nucleus Not detected---
Purkinje cells -Not detectedNot detectedNot detected
Purkinje cells - cytoplasm/membrane Medium---
Purkinje cells - dendrites Medium---
Purkinje cells - nucleus Not detected---
Cells in granular layer -Not detectedNot detectedNot detected
Cells in molecular layer -Not detectedNot detectedNot detected
Granular cells - cytoplasm/membrane Not detected---
Granular cells - nucleus Not detected---
Molecular layer - neuropil Not detected---
Molecular layer cells - cytoplasm/membrane Not detected---
Molecular layer cells - nucleus Not detected---
Processes in granular layer Not detected---
Processes in molecular layer Not detected---
Processes in white matter Not detected---
Synaptic glomeruli - capsule Not detected---
Synaptic glomeruli - core Not detected---
White matter cells - cytoplasm/membrane Not detected---
White matter cells - nucleus Not detected---









CEREBELLUM - HPA Brain RNA-seq
Max subtype nTPMi

Max subtype nTPM is the value for the subtype with the largest average nTPM across the subtype samples.

73.9
Sample id Sample description nTPM
Cerebellar cortex
nTPM: 40.1
2101 Male, age 74, right hemisphere 55.0
1768 Female, age 72, unknown 50.3
2006 Male, age 61, right hemisphere 44.7
2055 Female, age 91, right hemisphere 41.6
2003 Female, age 85, right hemisphere 38.9
1774 Male, age 80, left hemisphere 35.6
1788 Male, age 55, unknown 32.1
1769 Male, age 76, right hemisphere 22.9
Cerebellar nuclei
nTPM: 73.9
2783 Female, age 72, unknown 128.4
2177 Female, age 85, both hemispheres 82.2
2882 Male, age 76, left hemisphere 78.8
1879 Male, age 55, unknown 73.5
1966 Female, age 91, left hemisphere 66.9
2005 Male, age 80, left hemisphere 62.5
1871 Male, age 74, unknown 61.9
2175 Male, age 61, right hemisphere 60.1
2318 Male, age 74, left hemisphere 51.2
Flocculonodular lobe
nTPM: 33.0
1792 Male, age 74, unknown 37.8
2176 Female, age 91, right hemisphere 37.1
2004 Male, age 61, right hemisphere 36.4
1771 Male, age 80, left hemisphere 33.5
1835 Female, age 85, right hemisphere 33.4
1765 Male, age 55, unknown 30.4
1767 Male, age 76, left hemisphere 22.2
Vermis
nTPM: 36.0
1928 Female, age 72, unknown 50.1
1751 Male, age 74, right hemisphere 47.9
2834 Male, age 80, left hemisphere 43.7
1778 Female, age 91, left hemisphere 37.1
1825 Male, age 74, unknown 32.9
1988 Female, age 85, left hemisphere 31.2
1766 Male, age 55, unknown 30.7
1770 Male, age 76, left hemisphere 26.0
2460 Male, age 61, both hemispheres 24.8

CEREBELLUM - GTEx RNA-seqi

RNA-Seq data generated by the Genotype-Tissue Expression (GTEx) project from human tissues is reported as mean nTPM. More information can be found on the GTEx portal.

Distribution across the dataset is visualized with box plots, shown as median and 25th and 75th percentiles. Points are displayed as outliers if they are above or below 1.5 times the interquartile range. nTPM values of the individual samples are presented next to the box plot.
Max subtype nTPMi

Max subtype nTPM is the value for the subtype with the largest average nTPM across the subtype samples.

64.1
GTEx sample id Sample description nTPM
Brain - Cerebellar Hemisphere
Average nTPM: 64.1
Samples: 215

Max nTPM: 337.1
Min nTPM: 23.6
Std nTPM: 22.3
Median nTPM: 60.9
GTEX-1H1DG-0011-R11a-SM-C1YQK 70-79 years, male 337.1
GTEX-13FLV-0011-R11a-SM-5LZZ7 50-59 years, male 119.0
GTEX-13X6J-0011-R11a-SM-5P9HE 50-59 years, male 100.8
GTEX-16Z82-0011-R11a-SM-79OKJ 60-69 years, male 94.9
GTEX-NL4W-0011-R11A-SM-2I3DW 50-59 years, male 93.9
GTEX-1B933-0011-R11a-SM-7P8PM 50-59 years, female 93.6
GTEX-17EVP-0011-R11a-SM-7EWDL 40-49 years, male 93.5
GTEX-132Q8-0011-R11b-SM-5DUW9 60-69 years, male 92.2
GTEX-1F6I4-0011-R11b-SM-9OSWS 60-69 years, male 87.5
GTEX-1313W-0011-R11a-SM-5DUXN 50-59 years, female 86.3
GTEX-12WSD-0011-R11a-SM-9OSVC 60-69 years, female 85.5
GTEX-N7MS-0011-R11A-SM-2HMJS 60-69 years, male 82.6
GTEX-12WSI-0011-R11b-SM-5P9EZ 50-59 years, male 81.8
GTEX-13G51-0011-R11b-SM-5J2NE 60-69 years, male 81.2
GTEX-15CHQ-0011-R11b-SM-686ZZ 60-69 years, male 81.2
GTEX-1B8SG-0011-R11a-SM-7P8PF 50-59 years, male 81.0
GTEX-1JJEA-0011-R11a-SM-EXUTE 60-69 years, male 80.4
GTEX-WL46-0011-R11A-SM-3MJFT 50-59 years, male 79.2
GTEX-1CAV2-0011-R11a-SM-ARU8D 40-49 years, female 79.0
GTEX-1GMRU-0011-R11b-SM-C1YQ4 50-59 years, male 78.8
GTEX-17HII-0011-R11b-SM-7KFSX 50-59 years, male 78.6
GTEX-1JJ6O-0011-R11b-SM-EXUS2 60-69 years, male 78.6
GTEX-1EKGG-0011-R11a-SM-9QEHZ 60-69 years, male 78.1
GTEX-12WSC-0011-R11a-SM-5GU5J 50-59 years, male 77.8
GTEX-1R9K4-0011-R11a-SM-EZ6N9 60-69 years, male 77.4
GTEX-1GZHY-0011-R11a-SM-C1YRQ 50-59 years, female 76.9
GTEX-18A6Q-0011-R11a-SM-72D6H 60-69 years, male 76.5
GTEX-1CB4G-0011-R11a-SM-9OSWG 60-69 years, male 76.4
GTEX-YJ89-0011-R11a-SM-4SOKA 60-69 years, male 75.8
GTEX-1F75W-0011-R11b-SM-AHZ34 60-69 years, male 75.2
GTEX-1IGQW-0011-R11a-SM-C1YRV 60-69 years, male 75.1
GTEX-145MH-0011-R11a-SM-5P9HQ 50-59 years, male 75.0
GTEX-14ASI-0011-R11b-SM-6AJBJ 60-69 years, male 74.9
GTEX-1H1CY-0011-R11a-SM-C1YQR 60-69 years, female 74.9
GTEX-15DCD-0011-R11a-SM-D4P1R 70-79 years, female 74.4
GTEX-144GL-0011-R11b-SM-5P9F6 50-59 years, male 74.1
GTEX-1F7RK-0011-R11b-SM-9QEI2 20-29 years, female 73.7
GTEX-1GMR8-0011-R11b-SM-9OSX2 50-59 years, female 73.6
GTEX-13X6I-0011-R11a-SM-5P9HN 60-69 years, male 73.4
GTEX-1F52S-0011-R11a-SM-CJI23 60-69 years, female 72.9
GTEX-1HBPI-0011-R11b-SM-CE6SH 50-59 years, male 72.8
GTEX-11ZUS-0011-R11b-SM-5BC7B 30-39 years, male 72.3
GTEX-1C64N-0011-R11b-SM-7P8Q6 50-59 years, male 72.0
GTEX-11EI6-0011-R11a-SM-DO11V 60-69 years, male 71.6
GTEX-17JCI-0011-R11a-SM-7189Y 60-69 years, female 71.5
GTEX-1LKK1-0011-R11a-SM-EXOIG 50-59 years, female 71.4
GTEX-16YQH-0011-R11b-SM-7LT98 30-39 years, male 71.2
GTEX-1H4P4-0011-R11b-SM-CE6S8 50-59 years, male 70.6
GTEX-11ZTS-0011-R11a-SM-DO113 60-69 years, female 70.4
GTEX-139TT-0011-R11b-SM-5LZV1 60-69 years, male 69.8
GTEX-11DYG-0011-R11a-SM-DNZZP 60-69 years, male 69.8
GTEX-N7MT-0011-R11A-SM-2I3DZ 60-69 years, female 69.7
GTEX-1JMOU-0011-R11b-SM-EXUTA 60-69 years, female 69.7
GTEX-139UW-0011-R11a-SM-5IJGN 60-69 years, male 69.6
GTEX-1F75A-0011-R11a-SM-AHZ35 50-59 years, male 69.4
GTEX-1KD4Q-0011-R11b-SM-EXOIE 40-49 years, male 69.1
GTEX-1HGF4-0011-R11a-SM-C1YRR 60-69 years, male 69.0
GTEX-1I1GV-0011-R11a-SM-CJI3Z 60-69 years, male 69.0
GTEX-1IDJH-0011-R11b-SM-C1YRT 70-79 years, male 69.0
GTEX-1LG7Y-0011-R11a-SM-EXOIH 50-59 years, male 69.0
GTEX-1I1GQ-0011-R11b-SM-CKZPA 50-59 years, male 68.8
GTEX-131XW-0011-R11a-SM-5DUV9 50-59 years, female 68.4
GTEX-12ZZZ-0011-R11a-SM-5EGLC 60-69 years, male 68.3
GTEX-S7SE-0011-R11A-SM-2XCDD 50-59 years, male 67.9
GTEX-16GPK-0011-R11b-SM-7MKFF 60-69 years, male 67.8
GTEX-1H3VE-0011-R11b-SM-C1YRP 40-49 years, male 67.8
GTEX-OHPN-0011-R11A-SM-2I5FM 60-69 years, female 67.7
GTEX-12126-0011-R11a-SM-5BC6X 20-29 years, male 67.6
GTEX-16NPV-0011-R11a-SM-7IGMK 50-59 years, female 67.4
GTEX-T2IS-0011-R11A-SM-32QPC 20-29 years, female 66.9
GTEX-NL3H-0011-R11A-SM-2I3E6 60-69 years, male 66.8
GTEX-1GZ4I-0011-R11b-SM-9OSWR 50-59 years, male 66.7
GTEX-14E7W-0011-R11a-SM-5ZZVA 70-79 years, male 66.6
GTEX-13OW7-0011-R11a-SM-5O9DY 50-59 years, male 66.5
GTEX-WWYW-0011-R11A-SM-3NB38 50-59 years, female 66.5
GTEX-T5JC-0011-R11A-SM-32PMB 20-29 years, male 66.4
GTEX-14E6D-0011-R11b-SM-664NP 50-59 years, male 66.3
GTEX-ZF28-0011-R11a-SM-4WWEI 60-69 years, male 66.1
GTEX-13OVH-0011-R11b-SM-5KM4X 70-79 years, male 66.0
GTEX-1J8Q2-0011-R11a-SM-A9SKI 60-69 years, male 66.0
GTEX-1GF9W-0011-R11b-SM-9OSXG 60-69 years, male 65.8
GTEX-1B8L1-0011-R11b-SM-793DJ 60-69 years, male 65.6
GTEX-1I1HK-0011-R11a-SM-B2LVN 60-69 years, male 65.6
GTEX-11EMC-0011-R11b-SM-DNZZK 60-69 years, female 65.2
GTEX-13CZV-0011-R11b-SM-5N9FN 60-69 years, male 65.1
GTEX-13JUV-0011-R11a-SM-5LZYH 40-49 years, female 65.0
GTEX-14PN4-0011-R11a-SM-686ZW 50-59 years, male 64.8
GTEX-Z93S-0011-R11a-SM-4RGNN 50-59 years, male 64.8
GTEX-17EVQ-0011-R11a-SM-7LT9C 70-79 years, male 64.6
GTEX-WZTO-0011-R11A-SM-4E3K9 40-49 years, male 64.4
GTEX-1IY9M-0011-R11b-SM-A96TI 60-69 years, male 64.2
GTEX-13PLJ-0011-R11b-SM-5O9BS 60-69 years, female 64.0
GTEX-ZDXO-0011-R11a-SM-4WWD9 60-69 years, male 63.6
GTEX-1EMGI-0011-R11b-SM-9OSWX 60-69 years, male 63.6
GTEX-1HSKV-0011-R11b-SM-AHZ2E 60-69 years, male 63.6
GTEX-11DZ1-0011-R11b-SM-DO11W 50-59 years, male 63.5
GTEX-1I19N-0011-R11b-SM-ARU6Y 70-79 years, male 63.3
GTEX-16XZZ-0011-R11a-SM-7EPI3 60-69 years, male 63.2
GTEX-12WSM-0011-R11a-SM-5DUX8 60-69 years, male 62.8
GTEX-13O3O-0011-R11b-SM-5KM4G 60-69 years, female 62.5
GTEX-13RTJ-0011-R11a-SM-5O9CK 60-69 years, male 61.9
GTEX-1N2EE-0011-R11b-SM-EXOIJ 60-69 years, male 61.9
GTEX-12WSH-0011-R11a-SM-5LZVM 50-59 years, male 61.8
GTEX-1I1GS-0011-R11a-SM-C1YRU 60-69 years, male 61.7
GTEX-13QIC-0011-R11b-SM-5O9BU 60-69 years, female 61.1
GTEX-1E1VI-0011-R11a-SM-9OSWI 50-59 years, male 61.1
GTEX-131XH-0011-R11a-SM-5EGLN 50-59 years, male 60.9
GTEX-1GTWX-0011-R11b-SM-C1YQJ 60-69 years, male 60.9
GTEX-11DXY-0011-R11a-SM-DNZZN 60-69 years, male 60.8
GTEX-11PRG-0011-R11b-SM-DNZZY 50-59 years, male 60.8
GTEX-1I1GR-0011-R11a-SM-CM2T5 60-69 years, male 60.8
GTEX-13NYS-0011-R11b-SM-5MR4P 60-69 years, male 60.5
GTEX-X261-0011-R11A-SM-4E3JY 50-59 years, male 60.5
GTEX-ZUA1-0011-R11b-SM-51MTI 40-49 years, male 60.5
GTEX-ZE7O-0011-R11a-SM-57WBC 50-59 years, female 60.0
GTEX-17HG3-0011-R11b-SM-7KFT4 30-39 years, female 59.9
GTEX-11WQC-0011-R11b-SM-57WD6 60-69 years, male 59.8
GTEX-13N2G-0011-R11a-SM-5MR3F 60-69 years, male 59.8
GTEX-13OW6-0011-R11a-SM-5L3H2 50-59 years, male 59.8
GTEX-ZVZQ-0011-R11a-SM-51MS6 60-69 years, female 59.7
GTEX-13X6K-0011-R11a-SM-5P9F5 60-69 years, female 59.5
GTEX-1N2DW-0011-R11b-SM-EXOIL 50-59 years, male 59.5
GTEX-1AX9I-0011-R11b-SM-7DHN4 60-69 years, male 59.4
GTEX-1HFI6-0011-R11b-SM-A96RU 40-49 years, male 59.4
GTEX-11OF3-0011-R11a-SM-57WCR 60-69 years, male 59.3
GTEX-17F97-0011-R11b-SM-7KFRQ 50-59 years, male 59.2
GTEX-1IOXB-0011-R11a-SM-A9G1X 50-59 years, male 59.0
GTEX-1H3NZ-0011-R11b-SM-CE6SF 60-69 years, male 58.7
GTEX-1H3O1-0011-R11a-SM-A96RV 60-69 years, male 58.7
GTEX-1JMQJ-0011-R11a-SM-EXOJY 50-59 years, male 58.7
GTEX-18465-0011-R11a-SM-72D78 50-59 years, male 58.2
GTEX-13FXS-0011-R11a-SM-5L3DM 50-59 years, male 58.0
GTEX-P44G-0011-R11A-SM-2I3FD 30-39 years, male 57.9
GTEX-14BIM-0011-R11b-SM-5S2RN 60-69 years, female 57.8
GTEX-15ER7-0011-R11a-SM-6LPIL 20-29 years, female 57.8
GTEX-1399T-0011-R11a-SM-5J2O1 60-69 years, male 57.7
GTEX-13S7M-0011-R11b-SM-5P9HU 60-69 years, female 57.5
GTEX-13VXU-0011-R11b-SM-5O9DJ 50-59 years, male 57.5
GTEX-1BAJH-0011-R11b-SM-7IGLM 70-79 years, male 57.5
GTEX-NPJ7-0011-R11A-SM-2I3E8 60-69 years, female 57.3
GTEX-1F48J-0011-R11b-SM-9OSWV 50-59 years, female 57.3
GTEX-1ICLZ-0011-R11a-SM-CJI3N 60-69 years, male 57.3
GTEX-12WSF-0011-R11a-SM-5LZVT 70-79 years, male 57.2
GTEX-13SLX-0011-R11b-SM-5O9C8 50-59 years, female 57.1
GTEX-15EO6-0011-R11b-SM-6M47M 50-59 years, male 56.9
GTEX-11TTK-0011-R11b-SM-DO112 60-69 years, female 56.7
GTEX-1GN73-0011-R11b-SM-9OSX4 60-69 years, male 56.7
GTEX-1HCU6-0011-R11b-SM-AHZ2F 60-69 years, female 56.6
GTEX-ZE9C-0011-R11a-SM-4WKGG 60-69 years, male 56.4
GTEX-X4XX-0011-R11A-SM-46MWQ 60-69 years, male 56.3
GTEX-RU72-0011-R11A-SM-CM2U1 50-59 years, female 56.1
GTEX-11H98-0011-R11b-SM-5NQ6U 50-59 years, male 55.9
GTEX-13O3Q-0011-R11b-SM-5KM2W 50-59 years, male 55.9
GTEX-Q2AG-0011-R11A-SM-2HMKZ 40-49 years, female 55.9
GTEX-13FTY-0011-R11a-SM-5IJEA 40-49 years, female 55.7
GTEX-14ABY-0011-R11a-SM-5SI7C 50-59 years, male 55.7
GTEX-1M4P7-0011-R11b-SM-EXOIK 60-69 years, male 55.7
GTEX-1J8EW-0011-R11a-SM-AHZ37 60-69 years, female 55.6
GTEX-1B8SF-0011-R11a-SM-79OOP 60-69 years, male 55.4
GTEX-1LVAO-0011-R11b-SM-EXOI8 60-69 years, male 55.4
GTEX-1A3MX-0011-R11b-SM-7DUGP 60-69 years, male 55.3
GTEX-13NZA-0011-R11b-SM-5KM4W 60-69 years, male 54.8
GTEX-P44H-0011-R11A-SM-2XCER 40-49 years, male 54.6
GTEX-YFC4-0011-R11a-SM-4SOK6 40-49 years, female 54.6
GTEX-1IKOH-0011-R11a-SM-AHZ38 60-69 years, female 54.5
GTEX-1H1ZS-0011-R11a-SM-C1YQM 70-79 years, male 54.1
GTEX-145LU-0011-R11b-SM-5P9JX 50-59 years, male 53.9
GTEX-UTHO-0011-R11A-SM-3GIJE 60-69 years, male 53.9
GTEX-1IL2U-0011-R11a-SM-CE6SO 60-69 years, male 53.8
GTEX-1R9PO-0011-R11b-SM-EZ6NB 60-69 years, female 53.8
GTEX-13NYB-0011-R11a-SM-5KM3Q 40-49 years, male 53.7
GTEX-13CF2-0011-R11b-SM-5LZXO 60-69 years, male 53.5
GTEX-1IKK5-0011-R11a-SM-C1YRX 60-69 years, male 53.3
GTEX-13SLW-0011-R11a-SM-5SI8Q 70-79 years, male 53.2
GTEX-T6MN-0011-R11A-SM-32QOX 50-59 years, male 53.2
GTEX-13JVG-0011-R11a-SM-5KM53 60-69 years, male 53.1
GTEX-1IL2V-0011-R11a-SM-ARU6T 70-79 years, male 52.8
GTEX-15DYW-0011-R11a-SM-6LPIT 60-69 years, female 52.7
GTEX-1LSVX-0011-R11b-SM-EXOIA 60-69 years, male 52.7
GTEX-ZVT3-0011-R11b-SM-57WBI 60-69 years, female 52.3
GTEX-14DAQ-0011-R11a-SM-664NO 60-69 years, female 52.1
GTEX-183WM-0011-R11a-SM-718A5 70-79 years, female 52.1
GTEX-14C39-0011-R11b-SM-5YYAF 40-49 years, male 52.0
GTEX-NPJ8-0011-R11A-SM-2YUMS 40-49 years, male 52.0
GTEX-1HUB1-0011-R11b-SM-CE6SC 60-69 years, male 51.6
GTEX-WVLH-0011-R11A-SM-3MJFO 50-59 years, male 51.5
GTEX-RVPV-0011-R11A-SM-2TF6F 60-69 years, male 51.1
GTEX-12WSE-0011-R11b-SM-5P9JW 20-29 years, male 51.0
GTEX-18464-0011-R11a-SM-72D76 50-59 years, male 50.6
GTEX-Y8DK-0011-R11A-SM-4SOK2 60-69 years, male 50.6
GTEX-13FHP-0011-R11b-SM-5LZXP 50-59 years, male 50.5
GTEX-13OW8-0011-R11a-SM-5L3GT 60-69 years, male 50.4
GTEX-14C5O-0011-R11b-SM-6872H 60-69 years, male 50.4
GTEX-ZAB4-0011-R11a-SM-4SOKI 40-49 years, male 50.3
GTEX-1J1OQ-0011-R11a-SM-A96S3 40-49 years, female 49.7
GTEX-12ZZX-0011-R11a-SM-5DUVJ 40-49 years, female 49.2
GTEX-131YS-0011-R11b-SM-5EGLM 60-69 years, female 49.2
GTEX-14BIN-0011-R11a-SM-5SI79 50-59 years, female 49.1
GTEX-XMD1-0011-R11A-SM-4AT5J 60-69 years, male 49.1
GTEX-13OVL-0011-R11b-SM-5L3G7 50-59 years, male 48.9
GTEX-QMR6-0011-R11A-SM-32PKK 50-59 years, male 48.9
GTEX-R55E-0011-R11A-SM-2TC6I 20-29 years, male 48.4
GTEX-WHSE-0011-R11A-SM-3P5YY 20-29 years, male 48.2
GTEX-13FHO-0011-R11b-SM-5LZYQ 60-69 years, male 47.8
GTEX-13OW5-0011-R11b-SM-5L3GG 60-69 years, male 46.3
GTEX-13PVQ-0011-R11a-SM-5O9DU 50-59 years, male 45.6
GTEX-11GSP-0011-R11b-SM-5NQ7V 60-69 years, female 45.2
GTEX-15G19-0011-R11b-SM-6LPIH 60-69 years, male 44.6
GTEX-QDT8-0011-R11A-SM-32PKD 30-39 years, female 42.7
GTEX-TSE9-0011-R11A-SM-3DB7N 60-69 years, female 40.5
GTEX-X4EP-0011-R11B-SM-4QASK 60-69 years, female 38.9
GTEX-1HB9E-0011-R11b-SM-ARU79 50-59 years, male 38.4
GTEX-X585-0011-R11B-SM-46MUZ 50-59 years, male 38.0
GTEX-13OVJ-0011-R11a-SM-5P9H8 50-59 years, female 33.3
GTEX-145MI-0011-R11a-SM-5P9JZ 60-69 years, female 23.6
Show allShow less
Brain - Cerebellum
Average nTPM: 63.0
Samples: 241

Max nTPM: 85.4
Min nTPM: 32.9
Std nTPM: 7.4
Median nTPM: 63.1
GTEX-1F6I4-3026-SM-7P8SI 60-69 years, male 85.4
GTEX-1MJK2-3026-SM-EV7A5 50-59 years, male 83.6
GTEX-1F48J-2726-SM-7P8PW 50-59 years, female 81.1
GTEX-WL46-2826-SM-3LK81 50-59 years, male 79.8
GTEX-1F75W-3126-SM-7P8SJ 60-69 years, male 78.8
GTEX-T6MN-2526-SM-32PMN 50-59 years, male 78.5
GTEX-1NV8Z-3026-SM-DTX8Z 60-69 years, male 78.5
GTEX-R55E-2526-SM-2TC6H 20-29 years, male 75.5
GTEX-1RDX4-3226-SM-DPS14 50-59 years, female 75.2
GTEX-15DYW-3026-SM-7KFRM 60-69 years, female 75.0
GTEX-1KD4Q-3026-SM-EV7A7 40-49 years, male 74.9
GTEX-1R46S-3126-SM-DPRZ9 60-69 years, female 74.4
GTEX-1313W-3026-SM-5LZUZ 50-59 years, female 74.3
GTEX-12ZZZ-3126-SM-5LZU6 60-69 years, male 74.0
GTEX-13112-2926-SM-5DUWT 50-59 years, male 74.0
GTEX-13OW7-2926-SM-5MR3Z 50-59 years, male 73.7
GTEX-14E6D-2926-SM-664OP 50-59 years, male 73.5
GTEX-ZAK1-2926-SM-5HL9S 50-59 years, female 73.5
GTEX-XLM4-2926-SM-4AT59 60-69 years, male 73.3
GTEX-1B8L1-3226-SM-7P8OX 60-69 years, male 73.2
GTEX-1EX96-3126-SM-9JGGC 50-59 years, male 73.1
GTEX-1PIIG-2826-SM-DTX7O 30-39 years, male 73.0
GTEX-1E1VI-2926-SM-7IGLT 50-59 years, male 72.3
GTEX-1EH9U-3126-SM-7MXU5 60-69 years, male 72.3
GTEX-11ONC-3026-SM-5985W 60-69 years, male 72.2
GTEX-15ER7-3026-SM-6M47W 20-29 years, female 72.2
GTEX-T5JC-2326-SM-32PMR 20-29 years, male 72.2
GTEX-1RQEC-3026-SM-DPRXM 60-69 years, male 71.9
GTEX-11ZTS-3226-SM-5EGID 60-69 years, female 71.8
GTEX-12126-0926-SM-5FQTW 20-29 years, male 71.6
GTEX-WWYW-3026-SM-3NB36 50-59 years, female 71.6
GTEX-1GTWX-2926-SM-7MXV4 60-69 years, male 71.6
GTEX-S7SE-2526-SM-2XCDL 50-59 years, male 71.0
GTEX-1128S-2826-SM-5N9DI 60-69 years, female 70.7
GTEX-ZDXO-2926-SM-4WKFM 60-69 years, male 70.7
GTEX-1GF9W-2726-SM-9JGGW 60-69 years, male 70.4
GTEX-1I1CD-2926-SM-A96SJ 60-69 years, female 70.2
GTEX-17HII-2926-SM-79OMK 50-59 years, male 70.1
GTEX-1JMLX-3026-SM-EV79Q 50-59 years, male 69.9
GTEX-1H3O1-1826-SM-A96TO 60-69 years, male 69.8
GTEX-ZZPT-2926-SM-5EQ5S 50-59 years, male 69.6
GTEX-12WSM-2126-SM-5GCOC 60-69 years, male 69.2
GTEX-1H1CY-3026-SM-9OSW7 60-69 years, female 69.2
GTEX-145MG-3126-SM-5Q5D3 50-59 years, male 69.1
GTEX-17EVP-2926-SM-793BU 40-49 years, male 69.0
GTEX-RNOR-2226-SM-2TF5O 50-59 years, female 69.0
GTEX-WVLH-2926-SM-3MJG5 50-59 years, male 69.0
GTEX-1QP6S-3026-SM-EAZ4N 40-49 years, male 68.9
GTEX-NPJ7-2826-SM-2I3FU 60-69 years, female 68.8
GTEX-13OW5-3126-SM-5MR3Y 60-69 years, male 68.7
GTEX-1C6WA-3326-SM-7MKGN 60-69 years, male 68.7
GTEX-11ZUS-2826-SM-5EQKW 30-39 years, male 68.6
GTEX-1EKGG-3126-SM-9WPO5 60-69 years, male 68.6
GTEX-1JJE9-3026-SM-CNNPA 70-79 years, male 68.6
GTEX-14PJM-3026-SM-6LLHM 50-59 years, female 68.5
GTEX-T2IS-2926-SM-32QPO 20-29 years, female 68.5
GTEX-1E2YA-2926-SM-7MGWX 50-59 years, male 68.4
GTEX-12WSE-2926-SM-5RQJ9 20-29 years, male 68.2
GTEX-13G51-3126-SM-5IJG7 60-69 years, male 68.2
GTEX-13VXU-3026-SM-5LU3K 50-59 years, male 68.0
GTEX-YJ89-2926-SM-5P9IT 60-69 years, male 67.9
GTEX-1JMQJ-3126-SM-EV79G 50-59 years, male 67.9
GTEX-18465-2926-SM-7KFSE 50-59 years, male 67.8
GTEX-QVJO-1325-SM-2S1QX 60-69 years, female 67.7
GTEX-Y111-2826-SM-4TT3O 50-59 years, male 67.6
GTEX-1A8G7-3026-SM-73KTT 60-69 years, male 67.5
GTEX-1JMOU-2826-SM-EV79R 60-69 years, female 67.5
GTEX-11GSO-3026-SM-5Q5AL 60-69 years, male 67.3
GTEX-14A5I-2826-SM-5SIBF 50-59 years, female 67.3
GTEX-1IDJH-3126-SM-C1YQS 70-79 years, male 67.2
GTEX-1C64N-3126-SM-79OO3 50-59 years, male 67.1
GTEX-1GZHY-3026-SM-7MXVA 50-59 years, female 67.1
GTEX-1C6VR-3026-SM-7IGLW 60-69 years, male 66.9
GTEX-N7MS-2526-SM-2D7W3 60-69 years, male 66.6
GTEX-1HBPH-3026-SM-9WPNY 40-49 years, female 66.6
GTEX-1IKOH-2826-SM-CNNRC 60-69 years, female 66.6
GTEX-11DXY-3126-SM-5N9BT 60-69 years, male 66.5
GTEX-13CF2-3026-SM-5IFFX 60-69 years, male 66.5
GTEX-ZYFD-2926-SM-5GID9 50-59 years, male 66.2
GTEX-14DAQ-3026-SM-5S2QZ 60-69 years, female 66.1
GTEX-16Z82-2926-SM-6LPJJ 60-69 years, male 66.1
GTEX-13RTJ-3126-SM-5S2Q4 60-69 years, male 66.0
GTEX-13FHP-2926-SM-5IJG9 50-59 years, male 65.8
GTEX-13OVH-2926-SM-5IJFH 70-79 years, male 65.8
GTEX-1CB4G-2926-SM-7MKFQ 60-69 years, male 65.8
GTEX-1F75A-2926-SM-7MXVN 50-59 years, male 65.8
GTEX-1I1GV-3026-SM-CNNR9 60-69 years, male 65.7
GTEX-1HBPI-2726-SM-9WPPF 50-59 years, male 65.6
GTEX-145LU-2626-SM-5LU9Z 50-59 years, male 65.5
GTEX-14C39-3026-SM-5S2QE 40-49 years, male 65.5
GTEX-14JG1-2926-SM-686ZK 40-49 years, male 65.5
GTEX-1F6IF-3026-SM-7P8QN 60-69 years, male 65.4
GTEX-14E7W-2926-SM-5S2R8 70-79 years, male 65.3
GTEX-1EWIQ-3026-SM-7IGOJ 70-79 years, female 65.3
GTEX-Y8DK-0726-SM-4TT3S 60-69 years, male 65.3
GTEX-11TTK-2826-SM-5GU5K 60-69 years, female 65.1
GTEX-13QIC-3026-SM-5LU58 60-69 years, female 65.0
GTEX-145MF-2826-SM-7EPGU 50-59 years, male 65.0
GTEX-12WSD-3026-SM-5LZU7 60-69 years, female 64.9
GTEX-OHPN-2626-SM-2I5H1 60-69 years, female 64.9
GTEX-145MH-2926-SM-5Q5D2 50-59 years, male 64.7
GTEX-X261-3126-SM-4PQZC 50-59 years, male 64.7
GTEX-13O3O-3026-SM-5KM42 60-69 years, female 64.6
GTEX-1H1DG-2826-SM-9JGHB 70-79 years, male 64.5
GTEX-1HSKV-2926-SM-B2LWJ 60-69 years, male 64.5
GTEX-11EI6-2926-SM-5985U 60-69 years, male 64.4
GTEX-13N2G-3126-SM-5IJGL 60-69 years, male 64.3
GTEX-1BAJH-3126-SM-7MGXY 70-79 years, male 64.2
GTEX-1399T-3126-SM-5IJFS 60-69 years, male 64.1
GTEX-14BMV-2926-SM-5TDEE 50-59 years, male 64.0
GTEX-15EO6-2926-SM-6M48D 50-59 years, male 64.0
GTEX-1B996-2926-SM-7MXUH 60-69 years, male 63.9
GTEX-17HG3-2826-SM-7EPGO 30-39 years, female 63.7
GTEX-117XS-3126-SM-5GIDP 60-69 years, male 63.6
GTEX-QVUS-2926-SM-3GIJB 60-69 years, female 63.6
GTEX-ZAB4-2926-SM-57WCV 40-49 years, male 63.6
GTEX-Z93S-2826-SM-57WBL 50-59 years, male 63.5
GTEX-1F52S-3026-SM-7P8PV 60-69 years, female 63.5
GTEX-12WSC-2926-SM-5BC5Z 50-59 years, male 63.4
GTEX-13SLX-3226-SM-5YYA6 50-59 years, female 63.2
GTEX-13NYB-3226-SM-5J2ND 40-49 years, male 63.1
GTEX-1B933-3026-SM-731DB 50-59 years, female 63.1
GTEX-X4XX-2926-SM-3NMB1 60-69 years, male 63.1
GTEX-1JJEA-2926-SM-C1YSK 60-69 years, male 63.1
GTEX-12ZZY-2926-SM-5DUXO 60-69 years, male 62.7
GTEX-1GF9V-3026-SM-7P8R8 60-69 years, male 62.7
GTEX-131YS-3026-SM-5EGHY 60-69 years, female 62.5
GTEX-13S7M-3026-SM-5S2QQ 60-69 years, female 62.4
GTEX-1LSVX-2826-SM-EVR58 60-69 years, male 62.4
GTEX-11DXW-1026-SM-5H11K 40-49 years, male 62.3
GTEX-1GZ4I-2926-SM-9JGGO 50-59 years, male 62.3
GTEX-1EU9M-2926-SM-793DF 60-69 years, male 62.2
GTEX-PWO3-1026-SM-2I5F2 60-69 years, female 62.2
GTEX-14ABY-3026-SM-664NE 50-59 years, male 62.0
GTEX-1A8G6-3126-SM-731D8 60-69 years, male 61.8
GTEX-WHSE-2926-SM-3NMBG 20-29 years, male 61.6
GTEX-1A3MX-2926-SM-718B7 60-69 years, male 61.4
GTEX-1RNSC-3126-SM-EVR4V 60-69 years, male 61.4
GTEX-144GL-2926-SM-5O99F 50-59 years, male 61.3
GTEX-14ASI-2926-SM-5Q5DG 60-69 years, male 61.3
GTEX-13X6K-2826-SM-5O9DS 60-69 years, female 61.1
GTEX-UTHO-2926-SM-3P5Z9 60-69 years, male 61.1
GTEX-11EMC-3326-SM-5P9JH 60-69 years, female 61.0
GTEX-13FXS-3026-SM-5LZYO 50-59 years, male 61.0
GTEX-1JJ6O-3026-SM-C1YQH 60-69 years, male 61.0
GTEX-N7MT-1226-SM-DKPOK 60-69 years, female 61.0
GTEX-1B8SF-3026-SM-731DX 60-69 years, male 60.9
GTEX-ZUA1-2926-SM-59HL3 40-49 years, male 60.9
GTEX-1I1HK-2726-SM-AHZ2M 60-69 years, male 60.9
GTEX-1LG7Y-3126-SM-EV7AS 50-59 years, male 60.9
GTEX-18A6Q-2826-SM-7LTAO 60-69 years, male 60.7
GTEX-1H4P4-2726-SM-9JGGB 50-59 years, male 60.7
GTEX-147F4-3026-SM-5Q5BJ 50-59 years, male 60.6
GTEX-1EMGI-3126-SM-7MXUR 60-69 years, male 60.6
GTEX-ZVT3-2926-SM-5GU6M 60-69 years, female 60.5
GTEX-Q2AG-2826-SM-2HMJQ 40-49 years, female 60.4
GTEX-1KANB-3226-SM-D4P3G 50-59 years, male 60.3
GTEX-ZYY3-3026-SM-5GIEJ 60-69 years, female 59.9
GTEX-11ZVC-3026-SM-59HJM 50-59 years, female 59.8
GTEX-17F97-2926-SM-7DUEQ 50-59 years, male 59.8
GTEX-ZAJG-3026-SM-5HL92 50-59 years, female 59.8
GTEX-14PN4-3026-SM-664O4 50-59 years, male 59.6
GTEX-17JCI-3026-SM-7EWDR 60-69 years, female 59.5
GTEX-14JIY-2326-SM-6AJAJ 60-69 years, male 59.3
GTEX-1H3VE-2826-SM-9WPOL 40-49 years, male 59.3
GTEX-13OVL-3026-SM-5IJF1 50-59 years, male 59.2
GTEX-13OW8-2926-SM-5L3FV 60-69 years, male 58.9
GTEX-14PJO-2926-SM-686ZI 60-69 years, male 58.9
GTEX-1POEN-2726-SM-E9U6B 30-39 years, female 58.9
GTEX-1R9PO-2826-SM-E6CPV 60-69 years, female 58.8
GTEX-13X6I-2926-SM-5Q5C3 60-69 years, male 58.6
GTEX-145LS-3026-SM-5O99S 60-69 years, female 58.6
GTEX-XMD1-2826-SM-4AT5F 60-69 years, male 58.4
GTEX-11GSP-3126-SM-5A5LL 60-69 years, female 58.3
GTEX-14BIM-3126-SM-5Q5C7 60-69 years, female 58.3
GTEX-1IL2V-3026-SM-CYPSA 70-79 years, male 58.3
GTEX-131XH-2926-SM-5LZU4 50-59 years, male 58.1
GTEX-1JMPZ-2826-SM-C1YRA 30-39 years, male 57.9
GTEX-1JMQK-2926-SM-D4P2T 60-69 years, male 57.9
GTEX-147GR-3126-SM-5S2PM 60-69 years, male 57.8
GTEX-139TT-2626-SM-5LZUB 60-69 years, male 57.6
GTEX-1269C-3126-SM-5EGI6 60-69 years, female 57.5
GTEX-13JUV-3026-SM-5K7WX 40-49 years, female 57.5
GTEX-PVOW-2626-SM-32PL8 40-49 years, male 57.4
GTEX-1QEPI-3026-SM-EXOIW 60-69 years, female 57.2
GTEX-14BIN-3326-SM-5Q5E6 50-59 years, female 57.1
GTEX-1KWVE-2226-SM-CXZKN 30-39 years, male 57.1
GTEX-13OW6-2926-SM-5KM29 50-59 years, male 57.0
GTEX-183WM-2726-SM-7KFRF 70-79 years, female 57.0
GTEX-WZTO-2826-SM-3NM8P 40-49 years, male 56.9
GTEX-YFC4-3026-SM-5IFJK 40-49 years, female 56.9
GTEX-1GN73-3026-SM-7MXV8 60-69 years, male 56.9
GTEX-1192X-3226-SM-5987D 50-59 years, male 56.6
GTEX-13O3Q-3026-SM-5IJGD 50-59 years, male 56.6
GTEX-11NUK-3026-SM-5986K 50-59 years, male 56.5
GTEX-111FC-3326-SM-5GZYV 60-69 years, male 56.4
GTEX-11O72-2826-SM-5HL6W 40-49 years, male 56.3
GTEX-15SHU-3026-SM-6LPIB 40-49 years, female 56.3
GTEX-16YQH-2926-SM-6LPJE 30-39 years, male 56.3
GTEX-QDT8-3026-SM-32PKB 30-39 years, female 56.3
GTEX-1H1ZS-2926-SM-9WPP2 70-79 years, male 56.3
GTEX-14C5O-2926-SM-5RQI1 60-69 years, male 56.2
GTEX-1B8SG-1926-SM-73KUB 50-59 years, male 56.2
GTEX-1P4AB-3026-SM-EXOJS 50-59 years, male 56.0
GTEX-15G19-2826-SM-6M48K 60-69 years, male 55.7
GTEX-139TS-3126-SM-5LZWX 60-69 years, male 55.6
GTEX-14JFF-2826-SM-6871Q 60-69 years, male 55.6
GTEX-1J1OQ-3126-SM-D4P2O 40-49 years, female 55.6
GTEX-P44G-2526-SM-2I5EK 30-39 years, male 55.5
GTEX-11NV4-2226-SM-5BC4T 60-69 years, male 55.4
GTEX-11DZ1-2926-SM-5A5KI 50-59 years, male 55.3
GTEX-11DYG-2926-SM-5H132 60-69 years, male 55.2
GTEX-1HB9E-3126-SM-AHZ4M 50-59 years, male 55.2
GTEX-1HCVE-2926-SM-9WPPJ 50-59 years, male 55.2
GTEX-ZF28-2926-SM-4WKG1 60-69 years, male 55.1
GTEX-RU72-2926-SM-2TF66 50-59 years, female 55.0
GTEX-12WSH-3126-SM-5LZW8 50-59 years, male 53.8
GTEX-NPJ8-2626-SM-2D7W2 40-49 years, male 53.4
GTEX-QMR6-1326-SM-32PLB 50-59 years, male 53.1
GTEX-11PRG-2826-SM-5BC54 50-59 years, male 52.8
GTEX-X4EP-3026-SM-3P5YP 60-69 years, female 52.8
GTEX-1IY9M-3126-SM-AHZ3A 60-69 years, male 52.7
GTEX-1PWST-3026-SM-EAZ3H 70-79 years, male 52.5
GTEX-13JVG-3226-SM-5IJGJ 60-69 years, male 52.4
GTEX-17EVQ-2726-SM-7EWDT 70-79 years, male 52.3
GTEX-1GZ2Q-3026-SM-9JGG3 40-49 years, male 52.3
GTEX-1CB4H-3026-SM-79OLX 60-69 years, female 52.1
GTEX-16XZZ-2926-SM-6LPK4 60-69 years, male 52.0
GTEX-1HSMO-2926-SM-C1YR5 60-69 years, male 51.9
GTEX-13FHO-2926-SM-5L3ES 60-69 years, male 51.8
GTEX-17HHY-2926-SM-79OJW 50-59 years, male 51.7
GTEX-12ZZX-2826-SM-5BC6K 40-49 years, female 51.4
GTEX-13PVQ-2926-SM-5L3HJ 50-59 years, male 51.4
GTEX-TSE9-2926-SM-3DB77 60-69 years, female 49.5
GTEX-132Q8-2926-SM-5IFFP 60-69 years, male 49.1
GTEX-13X6J-2926-SM-7EPGP 50-59 years, male 49.1
GTEX-11OC5-0626-SM-5HL6M 60-69 years, male 48.6
GTEX-P44H-2426-SM-2XCEJ 40-49 years, male 45.8
GTEX-1JN1M-3126-SM-AHZ4E 60-69 years, female 44.8
GTEX-1H3NZ-2926-SM-9WPQ8 60-69 years, male 43.5
GTEX-13OVJ-2726-SM-5IJG6 50-59 years, female 32.9
Show allShow less

CEREBELLUM - FANTOM5 CAGEi

RNA expression in human tissues obtained through Cap Analysis of Gene Expression (CAGE) generated by the FANTOM5 project are reported as Scaled Tags Per Million.

Max subtype Scaled Tags Per Millioni

Max subtype Scaled Tags Per Million is the value for the subtype with the largest average Scaled Tags Per Million across the subtype samples.

50.9
FANTOM5 sample id Sample description Scaled Tags Per Million
Cerebellum
Scaled Tags Per Million: 50.9
FF:10083-102B2 22-68 years, mixed 62.4
FF:10166-103B4 76 years, female 39.5

CEREBELLUM - Pig RNA-seqi

RNA-seq data obtained from pig brain is reported as nTPM .

Normal distribution across the dataset is visualized with box plots, shown as median and 25th and 75th percentiles. Points are displayed as outliers if they are above or below 1.5 times the interquartile range. nTPM values of the individual samples are presented next to the box plot.
Max subtype nTPMi

Max subtype nTPM is the value for the subtype with the largest average nTPM across the subtype samples.

19.8
Pig sample Sample description nTPM
Cerebellum
nTPM: 19.8
Samples: 4

Max nTPM: 32.9
Min nTPM: 14.4
Sample A Female 32.9
Sample B Female 17.1
Sample C Male 14.4
Sample D Male 14.7

CEREBELLUM - Mouse RNA-seqi

RNA-seq data obtained from mouse brain is reported as nTPM .

Normal distribution across the dataset is visualized with box plots, shown as median and 25th and 75th percentiles. Points are displayed as outliers if they are above or below 1.5 times the interquartile range. nTPM values of the individual samples are presented next to the box plot.
Max subtype nTPMi

Max subtype nTPM is the value for the subtype with the largest average nTPM across the subtype samples.

79.9
Mouse sample Sample description nTPM
Cerebellum
nTPM: 79.9
Samples: 4

Max nTPM: 86.9
Min nTPM: 75.6
Sample A Male 75.6
Sample B Male 79.7
Sample C Female 77.4
Sample D Female 86.9

CEREBELLUM - Allen Mouse ISHi

In situ hybridization (ISH) data generated by the Allen brain atlas from mouse brain is reported as expression energy. For more details about a particular experiment, click on the corresponding Allen experiment ID.

Max subtype Expression energyi

Max subtype Expression energy is the value for the subtype with the largest average Expression energy across the subtype samples.

4.2
Allen experiment id Experiment description Expression energy
Cerebellum
Expression energy: 4.2
73834104 Antisense, RP_050725_02_F02, Mouse strain C57BL/6J (56 days, male) 4.2
70813922 Antisense, RP_050725_02_F02, Mouse strain C57BL/6J (56 days, male) 3.4

Contact

  • NEWS ARTICLES
  • PRESS ROOM

The Project

  • INTRODUCTION
  • ORGANIZATION
  • PUBLICATIONS

The Human Protein Atlas

  • DOWNLOADABLE DATA
  • LICENCE & CITATION
  • HELP & FAQ
The Human Protein Atlas project is funded
by the Knut & Alice Wallenberg Foundation.


contact@proteinatlas.org