We use cookies to enhance the usability of our website. If you continue, we'll assume that you are happy to receive all cookies. More information. Don't show this again.
RPLP0
HPA
RESOURCES
  • TISSUE
  • BRAIN
  • SINGLE CELL
  • SUBCELLULAR
  • CANCER
  • BLOOD
  • CELL LINE
  • STRUCTURE & INTERACTION
ABOUT
  • INTRODUCTION
  • HISTORY
  • ORGANIZATION
  • PUBLICATIONS
  • ANTIBODY SUBMISSION
  • ANTIBODY AVAILABILITY
  • ACKNOWLEDGMENTS
  • CONTACT
NEWS
  • NEWS ARTICLES
  • PRESS ROOM
LEARN
  • DICTIONARY
  • PROTEIN CLASSES
  • PROTEIN EVIDENCE
  • METHODS
  • EDUCATIONAL VIDEOS
DATA
  • DOWNLOADABLE DATA
  • PUBLICATION DATA
  • RELEASE HISTORY
HELP
  • ANTIBODY VALIDATION
  • ASSAYS & ANNOTATION
  • DISCLAIMER
  • HELP & FAQ
  • PRIVACY STATEMENT
  • LICENCE & CITATION
Fields »
Search result

Field
Term
Gene name
Class
Subclass
Class
Keyword
Chromosome
External id
Tissue
Cell type
Expression
Antibody panel
Tissue
Main location
Patient ID
Annotation
Tissue
Category
Tau score
Cluster
Reliability
Brain region
Category
Tau score
Brain region
Category
Tau score
Brain region
Category
Tau score
Cluster
Reliability
Tissue
Cell type
Enrichment
Cell type
Category
Tau score
Cell type
Category
Tau score
Cell type
Category
Tau score
Cell lineage
Category
Tau score
Cluster
Cluster
Location
Searches
Location
Cell line
Class
Type
Phase
Reliability
Cancer
Prognosis
Cancer
Category
Cancer
Category
Tau score
Cluster
Variants
Interacting gene (ensg_id)
Type
Number of interactions
Pathway
Category
Score
Score
Score
Validation
Validation
Validation
Validation
Antibodies
Data type
Column


  • SUMMARY

  • TISSUE

  • BRAIN

  • SINGLE CELL

  • SUBCELL

  • CANCER

  • BLOOD

  • CELL LINE

  • STRUCT & INT

  • RPLP0
TISSUE PRIMARY DATA SALIVARY GLAND Show tissue menu
ADIPOSE TISSUE ADRENAL GLAND AMYGDALA APPENDIX BASAL GANGLIA BONE MARROW BREAST BRONCHUS CEREBELLUM CEREBRAL CORTEX CERVIX CHOROID PLEXUS COLON DUODENUM
ENDOMETRIUM EPIDIDYMIS ESOPHAGUS FALLOPIAN TUBE GALLBLADDER HEART MUSCLE HIPPOCAMPAL FORMATION HYPOTHALAMUS KIDNEY LIVER LUNG LYMPH NODE MIDBRAIN ORAL MUCOSA
OVARY PANCREAS PARATHYROID GLAND PITUITARY GLAND PLACENTA PROSTATE RECTUM RETINA SALIVARY GLAND SEMINAL VESICLE SKELETAL MUSCLE SKIN SMALL INTESTINE SMOOTH MUSCLE
SOFT TISSUE SPINAL CORD SPLEEN STOMACH TESTIS THYMUS THYROID GLAND TONGUE TONSIL URINARY BLADDER VAGINA
ANTIBODIES
AND
VALIDATION
Dictionary
Salivary gland
Tissue proteome
Salivary gland
SALIVARY GLAND - Expression summary
Protein expression
Salivary glandi

On the top, protein expression in current human tissue, based on all annotated cell types, is reported with the units not detected (n), low (l), medium (m) and high (h). Underneath, protein expression in each annotated cell type are reported using the same units.

Protein expression data is based on knowledge-based annotation. For genes where more than one antibody has been used, a collective score is set.

If knowledge-based annotation could not be performed for a gene, no data is displayed here. View antibody staining data further down this page.

h
m
l
n
Glandular cells: Medium
RNA expressioni

A summary of mRNA expression data available for current tissue based on several datasets. The mRNA expression levels in human tissues are based on RNA-seq data generated by the Human Protein Atlas (HPA), Genotype-Tissue Expression (GTEx) portal and CAGE data generated by the FANTOM5 consortium. Consensus normalized expression levels for human tissues was created by combining the data from HPA and GTEx datasets.

The mRNA expression levels in pig are based on RNA-seq data generated by the Human Protein Atlas (HPA), and for mouse, HPA data and in situ hybridization generated by the Allen brain atlas are reported.

Scroll down to view mRNA expression data in more detail.
Consensus:1738.9 nTPM
HPA:1738.9 nTPM
GTEx:1517.4 nTPM
FANTOM5:376.4 Scaled Tags Per Million

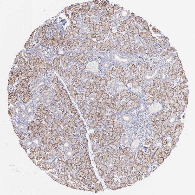
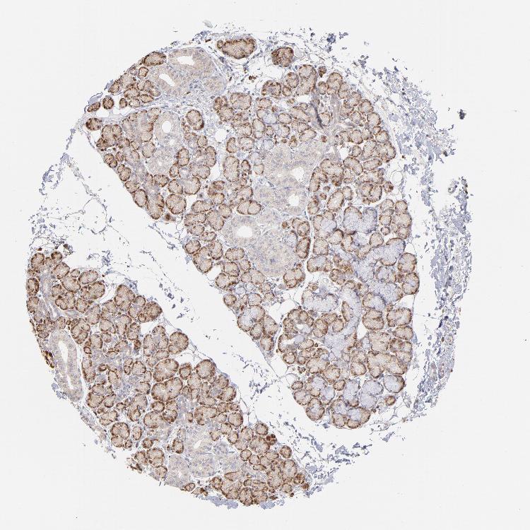
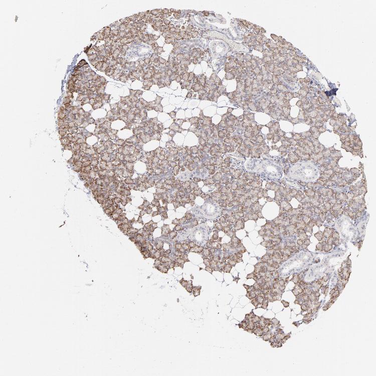
SALIVARY GLAND - Antibody stainingi

Antibody staining in the annotated cell types in the current human tissue is reported as not detected, low, medium, or high, based on conventional immunohistochemistry profiling in selected tissues. This score is based on the combination of the staining intensity and fraction of stained cells.

Each image is clickable and will lead to virtual microscopy that enables deeper exploration of all samples and also displays staining intensity scores, fraction scores and subcellular localization as well as patient and tissue information for each sample.

Antibody HPA003512Antibody HPA073501
Glandular cells MediumMedium





SALIVARY GLAND - HPA RNA-seqi

The RNA-seq details section shows detailed information about the individual samples used for the transcript profiling and results of the RNA-seq analysis.

Information about each individual sample is listed below, including gender, age, a tissue section image and estimated fractions of cell types. nTPM (normalized transcripts per million) values give a quantification of the gene abundance which is comparable between different genes and samples.
Average nTPMi

Max subtype nTPM is the value for the subtype with the largest average nTPM across the subtype samples.

1738.9
overview
Female, age 68
Salivary gland sample 216
nTPM: 1902
Cell types%
Glandular cells:
45

Ductal cells:
25

Adipocytes:
5

Other cell types:
25

overview
Male, age 60
Salivary gland sample 217
nTPM: 1460.3
Cell types%
Glandular cells:
55

Ductal cells:
20

Adipocytes:
5

Endothelial cells:
5

Other cell types:
15

overview
Female, age 21
Salivary gland sample 218
nTPM: 1854.4
Cell types%
Glandular cells:
55

Ductal cells:
15

Adipocytes:
5

Endothelial cells:
5

Other cell types:
20


SALIVARY GLAND - GTEx RNA-seqi

RNA-Seq data generated by the Genotype-Tissue Expression (GTEx) project from human tissues is reported as mean nTPM. More information can be found on the GTEx portal.

Distribution across the dataset is visualized with box plots, shown as median and 25th and 75th percentiles. Points are displayed as outliers if they are above or below 1.5 times the interquartile range. nTPM values of the individual samples are presented next to the box plot.
Max subtype nTPMi

Max subtype nTPM is the value for the subtype with the largest average nTPM across the subtype samples.

1517.4
GTEx sample id Sample description nTPM
Minor Salivary Gland
Average nTPM: 1517.4
Samples: 162

Max nTPM: 3954.8
Min nTPM: 873.0
Std nTPM: 455.4
Median nTPM: 1415.3
GTEX-Y5LM-1826-SM-4VDT9 40-49 years, female 3954.8
GTEX-ZLFU-2226-SM-EXUS7 40-49 years, male 3175.2
GTEX-1R9PM-1726-SM-E8VOA 20-29 years, male 2984.3
GTEX-ZF29-2126-SM-DNZYX 60-69 years, female 2952.3
GTEX-ZLWG-2026-SM-DO11F 50-59 years, female 2937.9
GTEX-ZT9W-2126-SM-51MSF 50-59 years, male 2830.2
GTEX-12BJ1-2226-SM-5BC6G 60-69 years, male 2642.3
GTEX-ZQG8-2126-SM-4YCF1 60-69 years, female 2633.5
GTEX-1HCU7-0126-SM-C1YR3 50-59 years, male 2515.7
GTEX-13QBU-2126-SM-5KLZN 40-49 years, female 2281.2
GTEX-11EMC-2526-SM-5PNVU 60-69 years, female 2251.7
GTEX-11ZTS-3026-SM-5EQM7 60-69 years, female 2241.7
GTEX-1R9K4-0526-SM-E76P1 60-69 years, male 2123.8
GTEX-18D9U-2226-SM-7KFTN 40-49 years, male 1968.4
GTEX-ZP4G-1926-SM-57WDZ 20-29 years, female 1962.8
GTEX-15EU6-2626-SM-7KUN4 50-59 years, male 1957.8
GTEX-1339X-2326-SM-5HL5B 40-49 years, male 1941.8
GTEX-1CB4I-2526-SM-7MKG1 50-59 years, male 1939.8
GTEX-1192X-2926-SM-5N9BA 50-59 years, male 1936.3
GTEX-ZPU1-2326-SM-57WEP 40-49 years, male 1918.0
GTEX-ZA64-1726-SM-5CVMF 20-29 years, male 1912.8
GTEX-1NSGN-0626-SM-E9J35 50-59 years, male 1867.2
GTEX-XMK1-2626-SM-4B65R 40-49 years, male 1860.0
GTEX-15RJE-2726-SM-6LPJ1 40-49 years, male 1844.8
GTEX-14E1K-2626-SM-664OJ 50-59 years, male 1840.8
GTEX-13OVI-2326-SM-5KM47 60-69 years, female 1800.6
GTEX-18QFQ-0626-SM-718AW 30-39 years, male 1783.3
GTEX-11P81-2026-SM-5P9GT 30-39 years, female 1767.4
GTEX-1OJC3-1026-SM-E6CQK 20-29 years, male 1757.5
GTEX-1JN1M-2426-SM-ARU93 60-69 years, female 1752.0
GTEX-WH7G-2126-SM-4M1XU 40-49 years, male 1742.1
GTEX-Y5V6-2226-SM-4VDTC 60-69 years, male 1729.7
GTEX-11P82-0926-SM-5986X 20-29 years, male 1719.6
GTEX-131XH-2626-SM-5GCNP 50-59 years, male 1706.2
GTEX-XGQ4-2626-SM-4AT6B 50-59 years, male 1697.9
GTEX-11WQK-2926-SM-5EQKT 50-59 years, male 1676.1
GTEX-18A7B-2826-SM-7KFTK 70-79 years, male 1667.1
GTEX-12WSN-2226-SM-5DUXT 40-49 years, male 1662.7
GTEX-1RNSC-2926-SM-EV79L 60-69 years, male 1659.1
GTEX-1POEN-2226-SM-DPRXV 30-39 years, female 1653.2
GTEX-1GPI7-0326-SM-7MKH6 20-29 years, male 1633.8
GTEX-1117F-3026-SM-5GZYU 60-69 years, female 1630.7
GTEX-ZE7O-2926-SM-51MSG 50-59 years, female 1625.4
GTEX-1C64O-0626-SM-7DHL1 60-69 years, male 1619.3
GTEX-XV7Q-2426-SM-4BRV8 40-49 years, female 1618.8
GTEX-ZQUD-2126-SM-51MSY 30-39 years, male 1607.8
GTEX-1S83E-0626-SM-E9TKC 40-49 years, male 1594.9
GTEX-1I4MK-1326-SM-B2LWT 50-59 years, female 1587.5
GTEX-WFJO-2026-SM-4LVM3 30-39 years, male 1587.1
GTEX-1MGNQ-1926-SM-DTX8L 40-49 years, male 1581.5
GTEX-1GMR2-2026-SM-7MKHK 50-59 years, male 1579.8
GTEX-Y3I4-1926-SM-4TT8L 50-59 years, male 1572.2
GTEX-WY7C-1426-SM-4OND1 50-59 years, male 1567.8
GTEX-1LSNL-2626-SM-EV7AT 50-59 years, male 1567.3
GTEX-17KNJ-2726-SM-7KFRE 50-59 years, male 1565.8
GTEX-1PIEJ-0626-SM-DTX99 20-29 years, female 1555.9
GTEX-13113-1526-SM-5EGHV 60-69 years, female 1555.2
GTEX-1QCLZ-2526-SM-EXUST 60-69 years, female 1549.7
GTEX-YF7O-2226-SM-5CVN8 50-59 years, male 1548.5
GTEX-X261-2426-SM-4PQZU 50-59 years, male 1544.7
GTEX-1QP9N-2026-SM-DPRZT 30-39 years, male 1540.2
GTEX-13OVL-2926-SM-5IFG3 50-59 years, male 1530.1
GTEX-1I6K7-0926-SM-A96SV 40-49 years, male 1529.7
GTEX-1AMEY-1126-SM-72D79 30-39 years, female 1525.7
GTEX-1R9PO-2626-SM-E6CPU 60-69 years, female 1514.0
GTEX-15SHV-2226-SM-6M464 60-69 years, male 1508.2
GTEX-12WSL-2126-SM-5GCNG 50-59 years, male 1506.4
GTEX-1A3MV-1726-SM-72D68 30-39 years, male 1492.9
GTEX-1C6VR-0726-SM-7P8OV 60-69 years, male 1488.7
GTEX-13111-2326-SM-5LZUQ 50-59 years, male 1485.2
GTEX-1KD4Q-2526-SM-CXZKL 40-49 years, male 1484.1
GTEX-1LVA9-2526-SM-EVR5H 50-59 years, male 1482.9
GTEX-14PN4-2526-SM-686ZG 50-59 years, male 1479.9
GTEX-14B4R-1426-SM-5Q5CG 30-39 years, male 1479.4
GTEX-ZAB5-2326-SM-5IJFR 50-59 years, male 1463.9
GTEX-1EH9U-2926-SM-7DHLX 60-69 years, male 1460.5
GTEX-1GTWX-2526-SM-9JGHG 60-69 years, male 1447.7
GTEX-WOFM-2126-SM-4OOSR 20-29 years, male 1423.8
GTEX-1KD5A-2226-SM-EV79U 50-59 years, male 1423.6
GTEX-13JVG-2926-SM-5J2N9 60-69 years, male 1421.0
GTEX-1AX8Z-0626-SM-731EH 60-69 years, male 1415.6
GTEX-1C4CL-2026-SM-731EB 30-39 years, male 1415.0
GTEX-18A67-0626-SM-7KFSL 50-59 years, male 1414.2
GTEX-X3Y1-1926-SM-4PQZO 40-49 years, male 1413.8
GTEX-1314G-2026-SM-5LZUM 30-39 years, male 1408.7
GTEX-1KANC-1326-SM-CYPT8 50-59 years, female 1407.1
GTEX-17MFQ-1626-SM-7938Z 20-29 years, male 1398.5
GTEX-WHSB-2326-SM-4M1XK 50-59 years, male 1389.7
GTEX-11NV4-1926-SM-5N9D4 60-69 years, male 1385.3
GTEX-1445S-2926-SM-5O993 60-69 years, male 1376.9
GTEX-13QJC-2326-SM-5Q5CD 60-69 years, female 1370.9
GTEX-1LC47-2426-SM-DHXKK 60-69 years, male 1364.9
GTEX-12WSM-1826-SM-5BC64 60-69 years, male 1364.7
GTEX-1IOXB-2826-SM-AHZ32 50-59 years, male 1361.0
GTEX-1JKYR-0726-SM-AHZ3K 20-29 years, male 1359.5
GTEX-11EQ9-2026-SM-5P9JI 30-39 years, male 1356.9
GTEX-1AYD5-2726-SM-7MXVG 50-59 years, male 1353.4
GTEX-Y111-2626-SM-4TT24 50-59 years, male 1344.3
GTEX-13OVK-1826-SM-6PALE 40-49 years, male 1343.5
GTEX-14PJN-1726-SM-69LO7 30-39 years, male 1337.0
GTEX-1IDJD-2526-SM-C1YSA 30-39 years, male 1334.6
GTEX-1MCC2-2226-SM-EV7AJ 30-39 years, female 1329.6
GTEX-1MCQQ-2226-SM-DLHC4 60-69 years, male 1323.4
GTEX-13VXT-1726-SM-5IFF5 20-29 years, female 1321.0
GTEX-1PPH8-1526-SM-E6CQO 20-29 years, male 1320.9
GTEX-1R9K5-0626-SM-DPRZB 50-59 years, male 1320.2
GTEX-146FR-1226-SM-5SIA7 60-69 years, female 1312.3
GTEX-14PJ3-1526-SM-664O9 50-59 years, male 1302.3
GTEX-131XF-2826-SM-5EGKH 60-69 years, male 1302.0
GTEX-YB5K-1726-SM-5IFIZ 40-49 years, female 1299.9
GTEX-11TUW-2426-SM-5EQKB 60-69 years, male 1297.9
GTEX-1IY9M-2926-SM-A96TH 60-69 years, male 1293.9
GTEX-1J1R8-1826-SM-AHZ3B 40-49 years, male 1282.1
GTEX-1AX9K-2126-SM-72D7K 50-59 years, male 1282.0
GTEX-1B97J-2126-SM-79OL6 50-59 years, female 1272.3
GTEX-1LVAO-2626-SM-EVR4S 60-69 years, male 1271.0
GTEX-1JN6P-2526-SM-CNNPX 60-69 years, male 1267.3
GTEX-1IDJC-1626-SM-AHZ2R 50-59 years, male 1262.3
GTEX-1J8QM-1826-SM-A96TA 60-69 years, female 1261.2
GTEX-1I6K6-0626-SM-ARU7J 30-39 years, male 1259.2
GTEX-ZG7Y-2426-SM-DO11H 50-59 years, male 1248.6
GTEX-145ME-1626-SM-5RQI3 40-49 years, female 1247.2
GTEX-X15G-2126-SM-4PQZR 50-59 years, female 1244.0
GTEX-1HR9M-2526-SM-A9G3J 60-69 years, male 1243.5
GTEX-ZC5H-2726-SM-5KLZW 40-49 years, female 1242.8
GTEX-1HFI7-2426-SM-B2LXV 50-59 years, female 1238.3
GTEX-1H4P4-2026-SM-9WPNV 50-59 years, male 1231.5
GTEX-13NYB-2426-SM-5IFF4 40-49 years, male 1230.6
GTEX-1RAZA-0626-SM-EAZ4H 20-29 years, male 1217.1
GTEX-ZXG5-2826-SM-5NQ8T 60-69 years, male 1195.1
GTEX-1I1HK-2526-SM-A96SM 60-69 years, male 1183.3
GTEX-111FC-2926-SM-5GZY7 60-69 years, male 1180.0
GTEX-1GN1V-2926-SM-9JGI3 60-69 years, male 1170.8
GTEX-X5EB-1726-SM-4E3J7 40-49 years, male 1167.5
GTEX-1GN1W-2526-SM-9JGHX 50-59 years, female 1162.3
GTEX-1LKK1-2926-SM-EVR4Z 50-59 years, female 1157.2
GTEX-178AV-1426-SM-6LLID 40-49 years, male 1151.0
GTEX-1GF9X-0226-SM-7P8SM 40-49 years, female 1140.6
GTEX-1B8KZ-1726-SM-73KV7 50-59 years, male 1135.2
GTEX-13CF2-2426-SM-5LZYL 60-69 years, male 1135.0
GTEX-1HSEH-1826-SM-A96SA 60-69 years, male 1130.9
GTEX-13G51-2426-SM-5LZY8 60-69 years, male 1130.7
GTEX-1S82P-0726-SM-EVR4O 60-69 years, female 1130.4
GTEX-1QEPI-0626-SM-E76QE 60-69 years, female 1124.7
GTEX-15CHC-1226-SM-686ZH 60-69 years, female 1121.9
GTEX-13O21-1926-SM-5MR39 50-59 years, male 1103.5
GTEX-WYVS-2026-SM-4RGNS 40-49 years, female 1100.5
GTEX-14JIY-3026-SM-6EU1R 60-69 years, male 1097.2
GTEX-1HSGN-0626-SM-A9G2E 40-49 years, female 1073.1
GTEX-1QMI2-0426-SM-EWRND 60-69 years, male 1072.9
GTEX-1B8SF-1826-SM-731DJ 60-69 years, male 1071.7
GTEX-1C64N-2926-SM-79OLM 50-59 years, male 1044.9
GTEX-1LBAC-0626-SM-D3L9T 20-29 years, male 1025.6
GTEX-1J8EW-2826-SM-A96T9 60-69 years, female 998.6
GTEX-1HSMQ-0926-SM-A96SI 50-59 years, male 978.0
GTEX-1B932-0626-SM-731EM 40-49 years, female 973.2
GTEX-11ZTT-2226-SM-5CVLP 60-69 years, female 971.8
GTEX-1GZ2Q-2526-SM-9KNVW 40-49 years, male 968.2
GTEX-1P4AB-2926-SM-EXOJR 50-59 years, male 940.4
GTEX-1IE54-0826-SM-AHZ2Z 40-49 years, female 934.8
GTEX-1OJC4-3126-SM-EXOJK 50-59 years, female 907.8
GTEX-1H1CY-2326-SM-9OSXW 60-69 years, female 873.0
Show allShow less

SALIVARY GLAND - FANTOM5 CAGEi

RNA expression in human tissues obtained through Cap Analysis of Gene Expression (CAGE) generated by the FANTOM5 project are reported as Scaled Tags Per Million.

Max subtype Scaled Tags Per Millioni

Max subtype Scaled Tags Per Million is the value for the subtype with the largest average Scaled Tags Per Million across the subtype samples.

376.4
FANTOM5 sample id Sample description Scaled Tags Per Million
Parotid gland
Scaled Tags Per Million: 376.4
FF:10199-103F1 23 years, male 376.4
Salivary gland
Scaled Tags Per Million: 313.3
FF:10093-102C3 16-60 years, mixed 313.3
Submaxillary gland
Scaled Tags Per Million: 191.5
FF:10202-103F4 24 years, male 191.5

Contact

  • NEWS ARTICLES
  • PRESS ROOM

The Project

  • INTRODUCTION
  • ORGANIZATION
  • PUBLICATIONS

The Human Protein Atlas

  • DOWNLOADABLE DATA
  • LICENCE & CITATION
  • HELP & FAQ
The Human Protein Atlas project is funded
by the Knut & Alice Wallenberg Foundation.


contact@proteinatlas.org