We use cookies to enhance the usability of our website. If you continue, we'll assume that you are happy to receive all cookies. More information. Don't show this again.
CHGB
HPA
RESOURCES
  • TISSUE
  • BRAIN
  • SINGLE CELL
  • SUBCELLULAR
  • CANCER
  • BLOOD
  • CELL LINE
  • STRUCTURE & INTERACTION
ABOUT
  • INTRODUCTION
  • HISTORY
  • ORGANIZATION
  • PUBLICATIONS
  • ANTIBODY SUBMISSION
  • ANTIBODY AVAILABILITY
  • ACKNOWLEDGMENTS
  • CONTACT
NEWS
  • NEWS ARTICLES
  • PRESS ROOM
LEARN
  • DICTIONARY
  • PROTEIN CLASSES
  • PROTEIN EVIDENCE
  • METHODS
  • EDUCATIONAL VIDEOS
DATA
  • DOWNLOADABLE DATA
  • PUBLICATION DATA
  • RELEASE HISTORY
HELP
  • ANTIBODY VALIDATION
  • ASSAYS & ANNOTATION
  • DISCLAIMER
  • HELP & FAQ
  • PRIVACY STATEMENT
  • LICENCE & CITATION
Fields »
Search result

Field
Term
Gene name
Class
Subclass
Class
Keyword
Chromosome
External id
Tissue
Cell type
Expression
Antibody panel
Tissue
Main location
Patient ID
Annotation
Tissue
Category
Tau score
Cluster
Reliability
Brain region
Category
Tau score
Brain region
Category
Tau score
Brain region
Category
Tau score
Cluster
Reliability
Tissue
Cell type
Enrichment
Cell type
Category
Tau score
Cell type
Category
Tau score
Cell type
Category
Tau score
Cell lineage
Category
Tau score
Cluster
Cluster
Location
Searches
Location
Cell line
Class
Type
Phase
Reliability
Cancer
Prognosis
Cancer
Category
Cancer
Category
Tau score
Cluster
Variants
Interacting gene (ensg_id)
Type
Number of interactions
Pathway
Category
Score
Score
Score
Validation
Validation
Validation
Validation
Antibodies
Data type
Column


  • SUMMARY

  • TISSUE

  • BRAIN

  • SINGLE CELL

  • SUBCELL

  • CANCER

  • BLOOD

  • CELL LINE

  • STRUCT & INT

  • CHGB
TISSUE PRIMARY DATA HEART MUSCLE Show tissue menu
ADIPOSE TISSUE ADRENAL GLAND AMYGDALA APPENDIX BASAL GANGLIA BONE MARROW BREAST BRONCHUS CEREBELLUM CEREBRAL CORTEX CERVIX CHOROID PLEXUS COLON DUODENUM
ENDOMETRIUM EPIDIDYMIS ESOPHAGUS FALLOPIAN TUBE GALLBLADDER HEART MUSCLE HIPPOCAMPAL FORMATION HYPOTHALAMUS KIDNEY LIVER LUNG LYMPH NODE MIDBRAIN NASOPHARYNX
ORAL MUCOSA OVARY PANCREAS PARATHYROID GLAND PITUITARY GLAND PLACENTA PROSTATE RECTUM RETINA SALIVARY GLAND SEMINAL VESICLE SKELETAL MUSCLE SKIN SMALL INTESTINE
SMOOTH MUSCLE SOFT TISSUE SPINAL CORD SPLEEN STOMACH TESTIS THYMUS THYROID GLAND TONGUE TONSIL URINARY BLADDER VAGINA
ANTIBODIES
AND
VALIDATION
Dictionary
Heart muscle
Tissue proteome
Heart
HEART MUSCLE - Expression summary
Protein expression
Heart musclei

On the top, protein expression in current human tissue, based on all annotated cell types, is reported with the units not detected (n), low (l), medium (m) and high (h). Underneath, protein expression in each annotated cell type are reported using the same units.

Protein expression data is based on knowledge-based annotation. For genes where more than one antibody has been used, a collective score is set.

If knowledge-based annotation could not be performed for a gene, no data is displayed here. View antibody staining data further down this page.

h
m
l
n
Cardiomyocytes: Not detected
RNA expressioni

A summary of mRNA expression data available for current tissue based on several datasets. The mRNA expression levels in human tissues are based on RNA-seq data generated by the Human Protein Atlas (HPA), Genotype-Tissue Expression (GTEx) portal and CAGE data generated by the FANTOM5 consortium. Consensus normalized expression levels for human tissues was created by combining the data from HPA and GTEx datasets.

The mRNA expression levels in pig are based on RNA-seq data generated by the Human Protein Atlas (HPA), and for mouse, HPA data and in situ hybridization generated by the Allen brain atlas are reported.

Scroll down to view mRNA expression data in more detail.
Consensus:69.5 nTPM
HPA:27.5 nTPM
GTEx:69.5 nTPM
FANTOM5:106.7 Scaled Tags Per Million

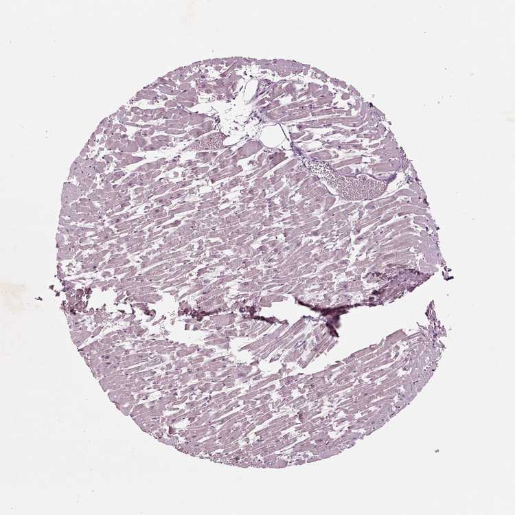
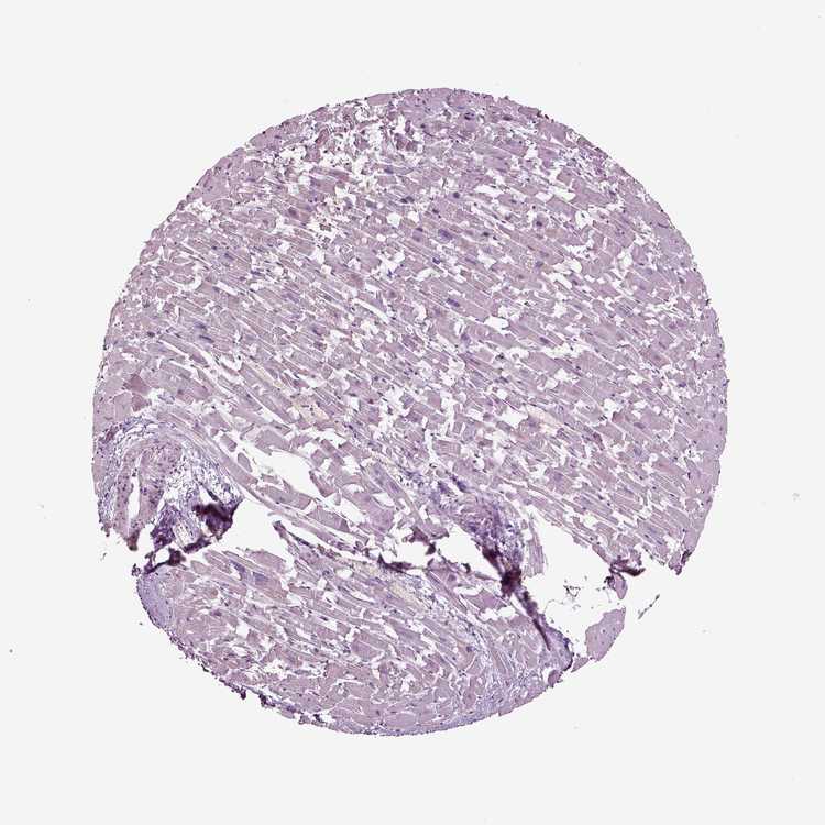
HEART MUSCLE - Antibody stainingi

Antibody staining in the annotated cell types in the current human tissue is reported as not detected, low, medium, or high, based on conventional immunohistochemistry profiling in selected tissues. This score is based on the combination of the staining intensity and fraction of stained cells.

Each image is clickable and will lead to virtual microscopy that enables deeper exploration of all samples and also displays staining intensity scores, fraction scores and subcellular localization as well as patient and tissue information for each sample.

Antibody HPA008759Antibody HPA012602Antibody CAB009403
Cardiomyocytes Not detectedNot detectedNot detected







HEART MUSCLE - HPA RNA-seqi

The RNA-seq details section shows detailed information about the individual samples used for the transcript profiling and results of the RNA-seq analysis.

Information about each individual sample is listed below, including gender, age, a tissue section image and estimated fractions of cell types. nTPM (normalized transcripts per million) values give a quantification of the gene abundance which is comparable between different genes and samples.
Average nTPMi

Max subtype nTPM is the value for the subtype with the largest average nTPM across the subtype samples.

27.5
overview
Female, age 48
Heart muscle sample 149
nTPM: 2.7
Cell types%
Myocytes:
15

Fibroblasts:
55

Endothelial cells:
25

Other cell types:
5

overview
Female, age 42
Heart muscle sample 150
nTPM: 0.5
Cell types%
Myocytes:
20

Fibroblasts:
45

Endothelial cells:
30

Other cell types:
5

overview
Male, age 53
Heart muscle sample 151
nTPM: 40.6
Cell types%
Myocytes:
20

Fibroblasts:
45

Endothelial cells:
30

Other cell types:
5

overview
Female, age 69
Heart muscle sample 152
nTPM: 66.2
Cell types%
Myocytes:
20

Fibroblasts:
45

Endothelial cells:
30

Other cell types:
5


HEART MUSCLE - GTEx RNA-seqi

RNA-Seq data generated by the Genotype-Tissue Expression (GTEx) project from human tissues is reported as mean nTPM. More information can be found on the GTEx portal.

Distribution across the dataset is visualized with box plots, shown as median and 25th and 75th percentiles. Points are displayed as outliers if they are above or below 1.5 times the interquartile range. nTPM values of the individual samples are presented next to the box plot.
Max subtype nTPMi

Max subtype nTPM is the value for the subtype with the largest average nTPM across the subtype samples.

69.5
GTEx sample id Sample description nTPM
Heart - Atrial Appendage
Average nTPM: 69.5
Samples: 429

Max nTPM: 778.1
Min nTPM: 0.9
Std nTPM: 72.1
Median nTPM: 52.4
GTEX-1339X-0326-SM-5K7Z8 40-49 years, male 778.1
GTEX-1R9K4-1026-SM-EXUT1 60-69 years, male 500.9
GTEX-XXEK-2026-SM-4BRVE 50-59 years, male 448.0
GTEX-11TT1-1426-SM-5EGIA 20-29 years, male 412.7
GTEX-1A32A-1326-SM-73KWW 50-59 years, female 350.7
GTEX-1117F-0726-SM-5GIEN 60-69 years, female 346.3
GTEX-13FHO-1226-SM-5L3EF 60-69 years, male 310.3
GTEX-14XAO-0926-SM-69LPZ 60-69 years, female 296.2
GTEX-13OVI-0326-SM-5K7X1 60-69 years, female 273.1
GTEX-1IKOE-0626-SM-A9G31 30-39 years, female 261.8
GTEX-13O1R-0926-SM-5L3DS 60-69 years, male 254.7
GTEX-1HBPM-1026-SM-ARL9D 60-69 years, female 245.7
GTEX-145LV-0226-SM-5S2QG 50-59 years, male 239.7
GTEX-1LSNM-0426-SM-E9TIZ 50-59 years, male 234.0
GTEX-U8XE-0926-SM-3DB8V 30-39 years, male 231.8
GTEX-Y3I4-0526-SM-4TT6X 50-59 years, male 204.1
GTEX-13OW7-1626-SM-5IJDH 50-59 years, male 201.3
GTEX-13NZB-0426-SM-5KM26 30-39 years, male 196.9
GTEX-Y114-0126-SM-4TT8K 50-59 years, female 189.1
GTEX-XPT6-0226-SM-4B65L 20-29 years, male 187.1
GTEX-16XZZ-1026-SM-7DHKS 60-69 years, male 185.2
GTEX-1LGRB-1026-SM-CNPQD 50-59 years, female 180.9
GTEX-14PHY-0326-SM-62LE3 60-69 years, female 178.9
GTEX-17JCI-0826-SM-7LT8W 60-69 years, female 177.0
GTEX-132AR-1926-SM-5EGK5 50-59 years, female 176.2
GTEX-1H1DG-0826-SM-9QEIW 70-79 years, male 173.6
GTEX-15EU6-1326-SM-6PANG 50-59 years, male 170.4
GTEX-ZPIC-0426-SM-DO91V 40-49 years, female 167.8
GTEX-XYKS-0226-SM-4BRW3 60-69 years, female 166.2
GTEX-1IL2U-1226-SM-CL53P 60-69 years, male 164.8
GTEX-ZAB4-0926-SM-5CVN4 40-49 years, male 163.2
GTEX-148VJ-1426-SM-5TDE3 70-79 years, male 160.8
GTEX-ZTPG-1326-SM-51MSQ 20-29 years, female 160.2
GTEX-X4EP-0326-SM-3P5Z6 60-69 years, female 159.0
GTEX-13JVG-1126-SM-5KM2M 60-69 years, male 158.5
GTEX-1K2DU-0226-SM-DIPF6 20-29 years, male 155.9
GTEX-13N11-0726-SM-5L3DP 50-59 years, female 154.9
GTEX-1GTWX-0926-SM-9MQKM 60-69 years, male 154.8
GTEX-1LGOU-0326-SM-D3LAM 20-29 years, female 144.7
GTEX-13D11-1526-SM-5J2NA 50-59 years, female 138.6
GTEX-17F9E-0726-SM-793A1 50-59 years, male 137.4
GTEX-XPVG-0726-SM-4B658 50-59 years, male 136.1
GTEX-ZZPU-1126-SM-5N9CW 50-59 years, female 135.9
GTEX-14PN4-0826-SM-69LON 50-59 years, male 133.6
GTEX-WHSE-0826-SM-4SOJU 20-29 years, male 131.5
GTEX-15UF7-1526-SM-6LPI7 40-49 years, male 131.0
GTEX-VJWN-1026-SM-4M1ZN 50-59 years, female 130.1
GTEX-ZYFD-2026-SM-5E459 50-59 years, male 130.1
GTEX-W5X1-0826-SM-3GILN 40-49 years, female 130.0
GTEX-1HSMO-1126-SM-CGQF2 60-69 years, male 129.3
GTEX-1JMQL-1026-SM-CMKGV 50-59 years, female 128.8
GTEX-15CHC-0326-SM-5ZZVP 60-69 years, female 128.0
GTEX-1GZ4I-0826-SM-9WG6O 50-59 years, male 127.0
GTEX-16XZY-0526-SM-7DHKY 70-79 years, male 126.1
GTEX-13YAN-1426-SM-7EPG8 60-69 years, male 124.1
GTEX-YB5K-0226-SM-5IFJE 40-49 years, female 123.0
GTEX-14BMV-1026-SM-5SI6B 50-59 years, male 122.2
GTEX-13W3W-0526-SM-5LU3X 60-69 years, female 120.6
GTEX-1R7EV-0426-SM-DTX7Z 40-49 years, male 119.8
GTEX-13FH7-0826-SM-5J2NW 50-59 years, female 118.4
GTEX-15SDE-1826-SM-7KUFN 50-59 years, female 117.1
GTEX-12WSK-0526-SM-5CVNA 40-49 years, female 114.4
GTEX-1211K-0226-SM-59HJY 60-69 years, female 114.3
GTEX-14PHX-0626-SM-5YY8Z 50-59 years, male 113.7
GTEX-XGQ4-0526-SM-4AT6C 50-59 years, male 113.3
GTEX-1QMI2-1026-SM-DTX7T 60-69 years, male 112.4
GTEX-V955-0826-SM-CYPR5 60-69 years, male 109.8
GTEX-16MT8-0826-SM-7KULO 60-69 years, female 109.1
GTEX-1HCUA-0626-SM-ACKVT 50-59 years, female 108.8
GTEX-1F75I-1326-SM-7PBZX 40-49 years, male 108.5
GTEX-Y5V5-0726-SM-4VBPY 60-69 years, female 108.2
GTEX-18D9U-1426-SM-718BO 40-49 years, male 107.5
GTEX-13NZ9-0126-SM-5K7XV 50-59 years, male 104.3
GTEX-1R9JW-0426-SM-E76QL 30-39 years, female 104.3
GTEX-12WSA-1126-SM-5EGKU 60-69 years, male 103.4
GTEX-1JK1U-0626-SM-CKZOJ 60-69 years, male 103.1
GTEX-1HCVE-0826-SM-CM2SF 50-59 years, male 102.8
GTEX-ZF2S-0826-SM-4WWBI 50-59 years, female 102.5
GTEX-1IDJH-1126-SM-COH3R 70-79 years, male 102.1
GTEX-WH7G-0326-SM-3NMBH 40-49 years, male 102.0
GTEX-ZYFG-0526-SM-5GZXX 60-69 years, female 101.0
GTEX-1RB15-0426-SM-E9U4Y 60-69 years, male 101.0
GTEX-13SLX-0926-SM-5S2NM 50-59 years, female 100.0
GTEX-ZF29-0426-SM-4WKFN 60-69 years, female 98.9
GTEX-XV7Q-0726-SM-4BRV6 40-49 years, female 97.9
GTEX-ZZPT-0926-SM-5GICZ 50-59 years, male 97.0
GTEX-1H1ZS-1026-SM-9WG6E 70-79 years, male 96.3
GTEX-13FTW-0826-SM-5K7XR 40-49 years, male 95.8
GTEX-132QS-0526-SM-5IJC7 60-69 years, male 94.2
GTEX-1OFPY-0926-SM-DTX8Q 60-69 years, male 94.0
GTEX-18D9B-1126-SM-7KFSH 60-69 years, male 92.9
GTEX-183WM-0926-SM-718AN 70-79 years, female 92.7
GTEX-11DXZ-0326-SM-5EGH1 50-59 years, male 92.2
GTEX-1A3MX-1226-SM-731B3 60-69 years, male 92.1
GTEX-14H4A-0426-SM-5ZZWO 40-49 years, female 91.2
GTEX-12WSD-1226-SM-5HL9Q 60-69 years, female 90.3
GTEX-15RJE-0726-SM-7KUEG 40-49 years, male 89.9
GTEX-14PJ4-0926-SM-5YY98 60-69 years, male 89.7
GTEX-1H2FU-0826-SM-9WYSU 60-69 years, female 89.4
GTEX-11P81-0526-SM-59873 30-39 years, female 89.3
GTEX-WFG8-0726-SM-3GILP 20-29 years, male 87.4
GTEX-1QPFJ-0926-SM-EVR3K 30-39 years, female 86.8
GTEX-13N1W-0926-SM-5MR36 70-79 years, male 86.5
GTEX-13NYB-0326-SM-5IJDP 40-49 years, male 86.1
GTEX-14C39-0726-SM-5RQIK 40-49 years, male 86.1
GTEX-14PJO-0826-SM-6ETZK 60-69 years, male 85.2
GTEX-1AX8Z-1126-SM-731CS 60-69 years, male 85.2
GTEX-ZPCL-0526-SM-DO91R 60-69 years, female 84.8
GTEX-1445S-1226-SM-5O9BF 60-69 years, male 83.9
GTEX-1477Z-1126-SM-5P9GK 60-69 years, male 83.6
GTEX-1GN2E-1426-SM-7RHHI 60-69 years, male 83.2
GTEX-1P4AB-0926-SM-E76PV 50-59 years, male 83.2
GTEX-131XG-0526-SM-5DUWF 50-59 years, female 82.8
GTEX-1E1VI-1426-SM-793CY 50-59 years, male 82.0
GTEX-11ZTT-0526-SM-5EQLA 60-69 years, female 81.5
GTEX-14E1K-0826-SM-5ZZW9 50-59 years, male 81.2
GTEX-1GMR3-0426-SM-7PC17 40-49 years, male 81.1
GTEX-1E2YA-0626-SM-7P8P4 50-59 years, male 81.0
GTEX-WFON-0226-SM-3GIKR 40-49 years, male 80.8
GTEX-1QCLZ-1126-SM-EWRNB 60-69 years, female 79.8
GTEX-1122O-0626-SM-5N9B9 60-69 years, female 79.5
GTEX-13PVR-0926-SM-5S2RB 60-69 years, female 79.5
GTEX-11UD2-0926-SM-5CVL6 50-59 years, male 78.8
GTEX-1GN1U-1426-SM-7P8TF 50-59 years, female 77.2
GTEX-13O3P-1426-SM-5L3DT 50-59 years, male 77.0
GTEX-15DCE-0826-SM-7KULW 20-29 years, male 77.0
GTEX-1192X-0726-SM-5987R 50-59 years, male 76.0
GTEX-XQ8I-0226-SM-4BOPM 50-59 years, male 75.6
GTEX-13QBU-0226-SM-5LU48 40-49 years, female 75.1
GTEX-WOFL-1226-SM-4OOST 60-69 years, male 75.1
GTEX-1KXAM-1426-SM-D3LAC 60-69 years, male 74.6
GTEX-1212Z-0726-SM-5EGI5 60-69 years, male 74.1
GTEX-146FR-0926-SM-5QGPE 60-69 years, female 73.5
GTEX-1J8Q3-1126-SM-ARU8N 60-69 years, male 72.6
GTEX-14PK6-0726-SM-6LLIX 70-79 years, female 71.7
GTEX-13PL7-0726-SM-5KM1S 60-69 years, female 71.4
GTEX-1B97J-0326-SM-7939H 50-59 years, female 71.4
GTEX-13OVG-0426-SM-5KM2T 60-69 years, male 70.2
GTEX-12696-1226-SM-5FQSM 60-69 years, male 70.0
GTEX-Y8E4-0426-SM-4V6GB 40-49 years, male 70.0
GTEX-17HGU-1126-SM-793BP 50-59 years, male 69.8
GTEX-15CHQ-1326-SM-6871Z 60-69 years, male 68.9
GTEX-ZYVF-1826-SM-5E44F 50-59 years, female 68.8
GTEX-1IDJD-0226-SM-CKZOA 30-39 years, male 68.8
GTEX-UTHO-1226-SM-3GAEE 60-69 years, male 68.7
GTEX-ZVT2-0926-SM-5GICE 50-59 years, female 68.4
GTEX-11GSP-1226-SM-5985M 60-69 years, female 68.2
GTEX-1KANC-0226-SM-E9TIW 50-59 years, female 67.3
GTEX-1NHNU-0626-SM-E6CP1 50-59 years, male 66.7
GTEX-1B996-1026-SM-793CF 60-69 years, male 66.5
GTEX-1J8Q2-1026-SM-ARU8I 60-69 years, male 66.5
GTEX-ZYFC-1026-SM-5GZX9 50-59 years, male 66.1
GTEX-1RLM8-0226-SM-E6CJY 50-59 years, male 66.1
GTEX-11DXX-0526-SM-5PNVR 60-69 years, female 65.9
GTEX-1HBPN-0926-SM-CGQEG 50-59 years, male 65.9
GTEX-1LG7Y-1426-SM-D4P31 50-59 years, male 65.7
GTEX-1GMR2-1326-SM-9KNUT 50-59 years, male 65.5
GTEX-1LB8K-0926-SM-D4P42 50-59 years, male 65.1
GTEX-1GL5R-0426-SM-9WPOP 50-59 years, male 64.8
GTEX-WHWD-0326-SM-3LK6L 50-59 years, male 64.5
GTEX-16YQH-0726-SM-7IGM1 30-39 years, male 64.1
GTEX-1JJEA-0926-SM-CYPSO 60-69 years, male 62.8
GTEX-WEY5-0226-SM-3GIKN 40-49 years, female 62.3
GTEX-1CB4I-1526-SM-7DHMY 50-59 years, male 62.2
GTEX-ZGAY-0226-SM-4WWAL 40-49 years, female 62.2
GTEX-1LH75-0526-SM-DIPG2 50-59 years, female 62.1
GTEX-13O61-0426-SM-5L3ET 60-69 years, male 61.6
GTEX-1ICG6-0726-SM-B2LY5 70-79 years, female 61.5
GTEX-117YX-0626-SM-5EGJI 50-59 years, male 61.4
GTEX-ZAK1-1126-SM-5PNXU 50-59 years, female 60.1
GTEX-17GQL-0626-SM-731CN 60-69 years, male 60.0
GTEX-17MF6-0926-SM-7LTAL 40-49 years, male 60.0
GTEX-11WQK-0226-SM-5EQLI 50-59 years, male 59.9
GTEX-13X6K-1726-SM-7IGLG 60-69 years, female 59.9
GTEX-1GF9V-1726-SM-9KNW4 60-69 years, male 59.6
GTEX-1HSGN-0926-SM-CNNQM 40-49 years, female 59.4
GTEX-ZTTD-0626-SM-4YCCY 50-59 years, male 59.3
GTEX-13U4I-0626-SM-5LU5L 40-49 years, female 59.2
GTEX-1IKOH-0926-SM-A9SLU 60-69 years, female 59.2
GTEX-ZDTT-0326-SM-4WKF9 60-69 years, male 59.0
GTEX-1GN73-2326-SM-9MQKV 60-69 years, male 58.6
GTEX-11LCK-0826-SM-5PNYD 30-39 years, male 58.1
GTEX-ZPU1-0726-SM-5HL6O 40-49 years, male 58.1
GTEX-131YS-0826-SM-5PNYV 60-69 years, female 57.4
GTEX-1192W-0226-SM-5EGGT 60-69 years, male 57.0
GTEX-12ZZX-0726-SM-5EGKA 40-49 years, female 56.9
GTEX-1J8QM-0326-SM-CL53D 60-69 years, female 56.7
GTEX-1399S-0826-SM-5KM23 30-39 years, female 56.6
GTEX-14JG1-0826-SM-5ZZWR 40-49 years, male 56.4
GTEX-18465-0726-SM-7LG4L 50-59 years, male 56.3
GTEX-YEC3-0426-SM-CYPS8 50-59 years, male 56.1
GTEX-UPK5-0226-SM-3GAEV 40-49 years, male 55.9
GTEX-1CAMQ-0726-SM-7P8SG 40-49 years, male 55.7
GTEX-1B8KE-0326-SM-73KTY 50-59 years, male 55.5
GTEX-131XF-0426-SM-5HL7U 60-69 years, male 55.4
GTEX-11EM3-0426-SM-5N9BZ 20-29 years, female 55.2
GTEX-13NYS-1926-SM-5IJCB 60-69 years, male 55.0
GTEX-WHPG-1026-SM-3NMBA 50-59 years, male 55.0
GTEX-1HSMQ-0426-SM-ADEIM 50-59 years, male 54.9
GTEX-13OW5-0926-SM-5L3GZ 60-69 years, male 54.5
GTEX-1IDJU-0626-SM-CKZOG 60-69 years, female 54.5
GTEX-12BJ1-0326-SM-5FQUB 60-69 years, male 54.3
GTEX-132Q8-1126-SM-5K7XS 60-69 years, male 54.3
GTEX-WFG7-0826-SM-3GIKU 20-29 years, male 54.1
GTEX-14ASI-0826-SM-5Q5EB 60-69 years, male 53.9
GTEX-1C64O-0926-SM-79OLN 60-69 years, male 53.9
GTEX-14E6C-0326-SM-5Q5EE 40-49 years, male 53.7
GTEX-14A6H-0326-SM-5NQAN 30-39 years, male 53.3
GTEX-111YS-0326-SM-5GZZ3 60-69 years, male 53.2
GTEX-18A66-1126-SM-731C5 60-69 years, male 52.7
GTEX-WY7C-1126-SM-3NB3A 50-59 years, male 52.7
GTEX-X3Y1-0226-SM-3P5Z5 40-49 years, male 52.7
GTEX-1EU9M-1926-SM-7RHH4 60-69 years, male 52.6
GTEX-1GMR8-1026-SM-9MQLA 50-59 years, female 52.5
GTEX-Y3IK-1026-SM-51MR7 50-59 years, female 52.4
GTEX-1I1GP-0626-SM-ARL7H 50-59 years, male 52.2
GTEX-13SLW-0826-SM-5QGP7 70-79 years, male 52.0
GTEX-1PPGY-0926-SM-DTXFF 60-69 years, male 52.0
GTEX-XOT4-1126-SM-4B66E 60-69 years, female 51.9
GTEX-1399R-1726-SM-5K7YJ 30-39 years, male 51.8
GTEX-17F96-0826-SM-7DHLU 70-79 years, male 51.8
GTEX-1J1OQ-2226-SM-A96SS 40-49 years, female 51.8
GTEX-ZVT3-0826-SM-5GIC8 60-69 years, female 51.7
GTEX-XBEC-1226-SM-4AT65 50-59 years, male 51.6
GTEX-ZYT6-0926-SM-5GIEM 30-39 years, male 51.5
GTEX-1IKK5-1726-SM-CM2RU 60-69 years, male 51.4
GTEX-14A5I-1026-SM-5Q5E3 50-59 years, female 51.3
GTEX-139TU-1926-SM-5J2OC 60-69 years, male 51.0
GTEX-14PII-1026-SM-5ZZVW 60-69 years, male 50.7
GTEX-XLM4-2026-SM-4AT4X 60-69 years, male 50.3
GTEX-1B932-1326-SM-79OM4 40-49 years, female 49.5
GTEX-13O21-0326-SM-5J1N9 50-59 years, male 49.2
GTEX-1H3NZ-1026-SM-A9SM5 60-69 years, male 49.2
GTEX-14PJ6-0626-SM-686Z6 60-69 years, female 48.8
GTEX-ZAB5-0126-SM-5CVMT 50-59 years, male 48.2
GTEX-ZDYS-0326-SM-5HL4W 50-59 years, male 47.2
GTEX-1GN1W-0226-SM-7P8QY 50-59 years, female 47.0
GTEX-12WSG-1226-SM-5EQ4C 50-59 years, female 46.4
GTEX-WL46-0726-SM-3LK5Z 50-59 years, male 45.9
GTEX-Z93S-0326-SM-5HL84 50-59 years, male 45.9
GTEX-139YR-0526-SM-5L3DG 50-59 years, male 45.5
GTEX-13PVQ-1326-SM-5LU4J 50-59 years, male 45.4
GTEX-ZDTS-1226-SM-4WKGL 60-69 years, male 45.4
GTEX-ZLFU-0326-SM-4WWBK 40-49 years, male 45.4
GTEX-1JN6P-0826-SM-ARL97 60-69 years, male 45.3
GTEX-13FHP-0826-SM-5K7V5 50-59 years, male 45.2
GTEX-11DXY-1026-SM-5987V 60-69 years, male 44.8
GTEX-1HBPH-0226-SM-9WYSM 40-49 years, female 44.6
GTEX-ZT9W-0526-SM-57WFG 50-59 years, male 44.3
GTEX-1B8SG-0726-SM-79ONS 50-59 years, male 44.2
GTEX-18A7A-1226-SM-7LTAJ 50-59 years, female 44.1
GTEX-WYBS-1226-SM-3NM9N 60-69 years, female 44.1
GTEX-146FH-1126-SM-5NQAT 50-59 years, female 43.9
GTEX-132NY-1426-SM-5J1MJ 60-69 years, male 43.3
GTEX-1AYCT-0526-SM-7RHHS 50-59 years, male 43.2
GTEX-1313W-1126-SM-5EQ5U 50-59 years, female 42.7
GTEX-1HCU7-1226-SM-B2LX8 50-59 years, male 42.5
GTEX-1MCC2-0226-SM-EVYD5 30-39 years, female 42.5
GTEX-X5EB-0626-SM-46MVQ 40-49 years, male 42.4
GTEX-ZV7C-0526-SM-9WPNK 50-59 years, male 41.7
GTEX-14C5O-1226-SM-664N3 60-69 years, male 41.6
GTEX-ZEX8-0326-SM-DO92C 50-59 years, male 41.3
GTEX-147JS-1326-SM-5SI6D 60-69 years, male 41.2
GTEX-VUSG-0726-SM-3GIK1 50-59 years, male 40.9
GTEX-13S86-0326-SM-5SI6K 40-49 years, male 40.6
GTEX-1399U-0726-SM-5KM1D 50-59 years, female 40.1
GTEX-1I1CD-1326-SM-A9SMM 60-69 years, female 40.1
GTEX-1BAJH-1026-SM-7EWEG 70-79 years, male 40.0
GTEX-12WSN-0226-SM-5DUXH 40-49 years, male 39.8
GTEX-145LS-1326-SM-5Q5EP 60-69 years, female 39.8
GTEX-12584-1026-SM-59HK3 40-49 years, male 39.7
GTEX-1I1HK-0626-SM-CNPQM 60-69 years, male 39.3
GTEX-1JMQK-0926-SM-ARL96 60-69 years, male 39.1
GTEX-13OW6-0926-SM-5L3GM 50-59 years, male 38.3
GTEX-1CB4E-0626-SM-7DHMW 60-69 years, male 38.3
GTEX-ZAJG-0926-SM-5Q5AB 50-59 years, female 38.3
GTEX-1C2JI-0626-SM-7DHM1 50-59 years, male 37.9
GTEX-YEC4-0226-SM-4W1YG 40-49 years, male 37.9
GTEX-1EMGI-1126-SM-9KNUF 60-69 years, male 37.7
GTEX-14PJM-0826-SM-6LLIW 50-59 years, female 37.6
GTEX-ZF3C-1126-SM-57WEG 50-59 years, female 37.5
GTEX-1HFI7-0526-SM-A9SMA 50-59 years, female 37.4
GTEX-11DYG-1026-SM-5A5JQ 60-69 years, male 36.9
GTEX-11EMC-0826-SM-59862 60-69 years, female 36.9
GTEX-16NPX-0826-SM-6M489 50-59 years, male 36.7
GTEX-14DAQ-1026-SM-793B1 60-69 years, female 36.6
GTEX-1A8FM-1026-SM-7PC26 50-59 years, female 35.7
GTEX-1AX9J-0926-SM-73KXA 60-69 years, male 35.4
GTEX-X261-0926-SM-3NMCY 50-59 years, male 35.2
GTEX-1J8EW-0626-SM-CM2TY 60-69 years, female 35.2
GTEX-1NSGN-1226-SM-E76OL 50-59 years, male 35.2
GTEX-13VXT-0726-SM-5SIAD 20-29 years, female 35.1
GTEX-ZDXO-0426-SM-4WKF6 60-69 years, male 34.4
GTEX-18A67-1026-SM-731CE 50-59 years, male 34.2
GTEX-1H11D-1026-SM-9QEIU 40-49 years, male 34.0
GTEX-WZTO-1226-SM-3NMAZ 40-49 years, male 33.8
GTEX-1A8G6-1826-SM-73KY8 60-69 years, male 33.7
GTEX-WI4N-0726-SM-3TW93 40-49 years, female 33.7
GTEX-14PN3-0726-SM-6EU14 60-69 years, female 33.6
GTEX-1F48J-1126-SM-9WYSY 50-59 years, female 33.6
GTEX-1I1GR-1026-SM-A9SLC 60-69 years, male 33.5
GTEX-11ONC-1026-SM-5GU64 60-69 years, male 33.3
GTEX-1HT8W-1326-SM-CGQEN 30-39 years, male 33.3
GTEX-15CHR-0326-SM-7DHN3 50-59 years, male 33.0
GTEX-144GL-1026-SM-5O99R 50-59 years, male 32.9
GTEX-15RIE-1326-SM-6PAMM 60-69 years, male 32.7
GTEX-1C6VQ-0826-SM-7PBZT 50-59 years, male 32.5
GTEX-1399T-0726-SM-5J1MH 60-69 years, male 32.3
GTEX-15SHV-0526-SM-7KUEN 60-69 years, male 32.2
GTEX-1GZ2Q-0926-SM-7RHHN 40-49 years, male 32.0
GTEX-1LVAN-1526-SM-CNPQN 50-59 years, female 32.0
GTEX-15SHU-0926-SM-6PAMK 40-49 years, female 31.9
GTEX-17F9Y-1226-SM-7EPGE 70-79 years, female 31.8
GTEX-1AX9K-0426-SM-73KUG 50-59 years, male 31.5
GTEX-1H3VY-1126-SM-A96TP 50-59 years, male 31.5
GTEX-11EQ8-1326-SM-5EGJQ 60-69 years, male 31.3
GTEX-12ZZY-1226-SM-5GCNK 60-69 years, male 31.3
GTEX-1B933-0826-SM-79OMW 50-59 years, female 31.3
GTEX-YFC4-0426-SM-4TT3J 40-49 years, female 31.1
GTEX-1CAMS-1126-SM-7MXUQ 40-49 years, female 30.9
GTEX-1QP29-1426-SM-DTX9Q 50-59 years, male 30.7
GTEX-14BIM-2726-SM-5Q5EG 60-69 years, female 30.2
GTEX-13O3O-1426-SM-5KM2S 60-69 years, female 29.7
GTEX-WRHU-1026-SM-4E3ID 50-59 years, female 29.6
GTEX-1L5NE-0526-SM-DIPG5 50-59 years, male 29.6
GTEX-111FC-0626-SM-5N9CU 60-69 years, male 29.2
GTEX-13O3Q-0326-SM-5L3FE 50-59 years, male 29.0
GTEX-1CB4J-0226-SM-7P8T4 60-69 years, male 28.9
GTEX-12WSC-1026-SM-5EQ5Y 50-59 years, male 28.7
GTEX-15ER7-0826-SM-6PALW 20-29 years, female 28.1
GTEX-14PJ2-1126-SM-69LOD 50-59 years, male 28.0
GTEX-17KNJ-0626-SM-7LT9L 50-59 years, male 28.0
GTEX-XQ3S-0526-SM-4BOQA 20-29 years, male 27.7
GTEX-131XE-0526-SM-5K7YT 50-59 years, male 27.5
GTEX-1CB4H-0626-SM-7IGN3 60-69 years, female 27.5
GTEX-WWYW-1126-SM-3NB2Q 50-59 years, female 27.4
GTEX-13X6J-1226-SM-79OMF 50-59 years, male 27.2
GTEX-YF7O-0526-SM-5P9IO 50-59 years, male 27.1
GTEX-13CF2-0226-SM-5L3DV 60-69 years, male 26.8
GTEX-11TUW-1126-SM-5EQKJ 60-69 years, male 26.4
GTEX-ZG7Y-1426-SM-4WWBM 50-59 years, male 26.3
GTEX-117YW-0426-SM-5GZZZ 50-59 years, male 25.9
GTEX-1H1CY-0426-SM-9KNVD 60-69 years, female 25.5
GTEX-X4XX-1126-SM-3NMBY 60-69 years, male 25.3
GTEX-ZE7O-0626-SM-57WCD 50-59 years, female 24.9
GTEX-1EH9U-0626-SM-7PC33 60-69 years, male 24.9
GTEX-1HR98-1026-SM-CKZOM 60-69 years, male 24.8
GTEX-1I1GQ-1226-SM-CL55J 50-59 years, male 24.6
GTEX-14C38-1326-SM-62LDK 50-59 years, male 24.5
GTEX-WK11-0626-SM-3NMAV 50-59 years, male 24.4
GTEX-1HC8U-0626-SM-B2LWB 40-49 years, female 24.3
GTEX-1JMLX-1826-SM-CNPOX 50-59 years, male 24.0
GTEX-1IDJF-0826-SM-ARU7N 20-29 years, male 23.9
GTEX-1IY9M-0626-SM-D4P2L 60-69 years, male 23.9
GTEX-117XS-0726-SM-5H131 60-69 years, male 23.8
GTEX-1F88F-0326-SM-9KNV3 60-69 years, female 23.8
GTEX-13JUV-0226-SM-5IJCC 40-49 years, female 23.7
GTEX-1JJ6O-2226-SM-AHZ3I 60-69 years, male 23.7
GTEX-1B8L1-0426-SM-7SB76 60-69 years, male 23.5
GTEX-1QEPI-1126-SM-E8VN7 60-69 years, female 23.2
GTEX-1I19N-0626-SM-A9SKY 70-79 years, male 23.1
GTEX-1LVAO-0626-SM-EWRNT 60-69 years, male 22.8
GTEX-12WSI-0426-SM-5EQ5J 50-59 years, male 22.5
GTEX-1IKJJ-0626-SM-CY8GF 60-69 years, male 22.4
GTEX-15SKB-0926-SM-7KUFC 60-69 years, male 21.8
GTEX-1EX96-2626-SM-9MQJV 50-59 years, male 21.7
GTEX-14E7W-1126-SM-5ZZVS 70-79 years, male 20.9
GTEX-11NV4-0826-SM-5BC4S 60-69 years, male 20.4
GTEX-1CB4G-0726-SM-79OOJ 60-69 years, male 20.0
GTEX-WQUQ-1326-SM-3MJFF 60-69 years, male 19.3
GTEX-1I1GV-1426-SM-B2LXN 60-69 years, male 19.2
GTEX-111VG-0326-SM-5GZX7 60-69 years, male 18.9
GTEX-13FXS-1026-SM-62LFQ 50-59 years, male 18.9
GTEX-12WSE-0926-SM-5S2VX 20-29 years, male 18.3
GTEX-1F75B-1126-SM-7RHGP 50-59 years, male 18.0
GTEX-1GMRU-1326-SM-9WYUI 50-59 years, male 17.5
GTEX-11ZUS-0326-SM-5EQ4W 30-39 years, male 16.7
GTEX-13NZA-0826-SM-5K7WS 60-69 years, male 16.6
GTEX-1B8SF-1326-SM-7IGQJ 60-69 years, male 16.5
GTEX-13RTJ-0526-SM-62LDP 60-69 years, male 15.3
GTEX-1EWIQ-1126-SM-7EPIK 70-79 years, female 15.2
GTEX-13PDP-1326-SM-5K7U9 60-69 years, male 14.6
GTEX-14BIL-0926-SM-7DHKN 50-59 years, male 14.5
GTEX-YJ8O-0826-SM-5CVM3 40-49 years, female 14.0
GTEX-13112-0526-SM-5EQ4S 50-59 years, male 13.8
GTEX-1C64N-0826-SM-7RHGQ 50-59 years, male 13.6
GTEX-147F4-1126-SM-5TDDE 50-59 years, male 13.5
GTEX-11O72-1026-SM-5986B 40-49 years, male 12.9
GTEX-V1D1-0626-SM-4JBHN 50-59 years, male 12.8
GTEX-18A6Q-1526-SM-731CO 60-69 years, male 12.7
GTEX-11NUK-0926-SM-5HL57 50-59 years, male 12.5
GTEX-X62O-0826-SM-46MW8 50-59 years, male 12.2
GTEX-1QP6S-1026-SM-DTXFW 40-49 years, male 12.1
GTEX-1HSKV-0726-SM-ACKWE 60-69 years, male 12.0
GTEX-X8HC-1026-SM-46MWH 50-59 years, female 11.4
GTEX-1JMOU-0326-SM-ARL8X 60-69 years, female 11.4
GTEX-1F75A-1026-SM-7PC3W 50-59 years, male 11.0
GTEX-1HFI6-0826-SM-9YFM2 40-49 years, male 11.0
GTEX-WYJK-1126-SM-3NM9Z 50-59 years, male 10.3
GTEX-1H3O1-0226-SM-9WYSW 60-69 years, male 10.2
GTEX-ZVZQ-0726-SM-51MR3 60-69 years, female 9.8
GTEX-YECK-1226-SM-4W21G 60-69 years, male 9.2
GTEX-1F6I4-0826-SM-7RHGK 60-69 years, male 9.2
GTEX-1AX9I-1026-SM-73KYF 60-69 years, male 9.1
GTEX-ZUA1-0726-SM-4YCD9 40-49 years, male 8.9
GTEX-15D1Q-0426-SM-6AJ9G 40-49 years, male 8.5
GTEX-11GS4-0426-SM-5N9CD 60-69 years, male 8.2
GTEX-16GPK-1226-SM-7LTAU 60-69 years, male 7.7
GTEX-1HUB1-0726-SM-CGQF4 60-69 years, male 6.8
GTEX-1M5QR-1626-SM-E9U5O 40-49 years, male 6.7
GTEX-1POEN-0726-SM-DTXDU 30-39 years, female 6.2
GTEX-13PL6-0826-SM-5IJBI 40-49 years, female 6.0
GTEX-14BIN-2126-SM-793AX 50-59 years, female 6.0
GTEX-1GF9U-0526-SM-7P8SK 40-49 years, female 5.9
GTEX-145MN-0726-SM-5NQBH 30-39 years, male 5.8
GTEX-1LSNL-0626-SM-DIPFJ 50-59 years, male 5.3
GTEX-13FTZ-0326-SM-5J1O1 60-69 years, male 5.1
GTEX-17EVP-0526-SM-7EPGY 40-49 years, male 4.8
GTEX-1KANB-1126-SM-DHXJT 50-59 years, male 4.8
GTEX-1MJK2-1626-SM-EVYCQ 50-59 years, male 3.8
GTEX-1MJIX-0426-SM-DTXEN 40-49 years, male 3.7
GTEX-1GN1V-1026-SM-CNPPS 60-69 years, male 3.4
GTEX-1IOXB-0726-SM-A9G32 50-59 years, male 3.4
GTEX-ZVT4-1326-SM-5NQ8E 50-59 years, female 3.3
GTEX-ZXG5-0626-SM-5NQ85 60-69 years, male 2.5
GTEX-1IL2V-1126-SM-CMKGH 70-79 years, male 2.0
GTEX-11ZVC-0526-SM-5N9G1 50-59 years, female 1.4
GTEX-1KD5A-0926-SM-D4P3U 50-59 years, male 1.3
GTEX-1C6WA-0826-SM-7PBXS 60-69 years, male 0.9
Show allShow less
Heart - Left Ventricle
Average nTPM: 4.7
Samples: 432

Max nTPM: 36.6
Min nTPM: 0.0
Std nTPM: 5.0
Median nTPM: 3.1
GTEX-1339X-0426-SM-5KLZY 40-49 years, male 36.6
GTEX-ZDYS-0226-SM-5HL4K 50-59 years, male 29.6
GTEX-UJMC-0526-SM-3GAE3 50-59 years, male 27.7
GTEX-ZQUD-1526-SM-7IGO2 30-39 years, male 27.3
GTEX-QESD-0526-SM-2I5G5 20-29 years, male 25.7
GTEX-1EN7A-0726-SM-7PBXT 40-49 years, male 25.7
GTEX-WHSE-0926-SM-3NMBS 20-29 years, male 25.4
GTEX-14E6C-0426-SM-5YYA8 40-49 years, male 23.5
GTEX-S32W-0626-SM-2XCBG 50-59 years, female 22.1
GTEX-15EOM-5007-SM-793DG 20-29 years, female 20.8
GTEX-XPVG-0826-SM-4B654 50-59 years, male 19.8
GTEX-14PJ4-1126-SM-5YY91 60-69 years, male 18.3
GTEX-XXEK-0926-SM-4BRWH 50-59 years, male 17.9
GTEX-1EMGI-1226-SM-793DD 60-69 years, male 17.8
GTEX-11TT1-1326-SM-5PNYM 20-29 years, male 16.5
GTEX-XGQ4-0326-SM-4GIEE 50-59 years, male 16.3
GTEX-NPJ8-0426-SM-2HMK6 40-49 years, male 15.9
GTEX-1EU9M-1826-SM-7DUGU 60-69 years, male 15.5
GTEX-15DYW-1126-SM-6LPK5 60-69 years, female 15.4
GTEX-RWSA-0626-SM-2XCBD 40-49 years, male 15.1
GTEX-1KANC-0426-SM-CXZK5 50-59 years, female 14.7
GTEX-15CHC-0426-SM-6LLHI 60-69 years, female 14.3
GTEX-P4QS-0326-SM-2I3EU 60-69 years, male 14.0
GTEX-1QPFJ-1026-SM-E6CR6 30-39 years, female 13.5
GTEX-SNMC-0126-SM-2XCFO 20-29 years, male 13.4
GTEX-1F75I-1126-SM-9WYUO 40-49 years, male 13.4
GTEX-11DXZ-0626-SM-5GU77 50-59 years, male 13.2
GTEX-13N11-0426-SM-5KM3O 50-59 years, female 12.8
GTEX-131XH-0226-SM-5LZVB 50-59 years, male 12.4
GTEX-V955-0726-SM-3GAFG 60-69 years, male 12.3
GTEX-1CB4J-0326-SM-7PBZO 60-69 years, male 12.3
GTEX-1KXAM-1326-SM-E9TJW 60-69 years, male 12.1
GTEX-1399R-1926-SM-5K7X8 30-39 years, male 11.9
GTEX-1LC47-1026-SM-D3LAH 60-69 years, male 11.5
GTEX-1S3DN-0726-SM-E9TIO 50-59 years, male 11.4
GTEX-12WSN-5001-SM-7DHMK 40-49 years, male 11.2
GTEX-PX3G-0326-SM-2I3EO 20-29 years, female 11.2
GTEX-1GMR3-0326-SM-7P8QT 40-49 years, male 11.1
GTEX-17HGU-1026-SM-79OKL 50-59 years, male 10.9
GTEX-XPT6-0126-SM-4B65S 20-29 years, male 10.7
GTEX-132QS-0426-SM-5KLZ6 60-69 years, male 10.4
GTEX-R55C-0326-SM-3GAF1 40-49 years, male 10.3
GTEX-WHPG-0826-SM-3NMBF 50-59 years, male 10.1
GTEX-1GL5R-0326-SM-9WYTJ 50-59 years, male 10.1
GTEX-1AX9J-1026-SM-72D6E 60-69 years, male 9.9
GTEX-ZVT2-1026-SM-5GU55 50-59 years, female 9.9
GTEX-1B97J-0726-SM-7RHG3 50-59 years, female 9.9
GTEX-111YS-0426-SM-5987O 60-69 years, male 9.8
GTEX-R53T-0926-SM-3GADH 50-59 years, female 9.8
GTEX-14PK6-0826-SM-5ZZVO 70-79 years, female 9.6
GTEX-1HBPH-0126-SM-CNNQ7 40-49 years, female 9.6
GTEX-POMQ-0326-SM-2I5FO 20-29 years, female 9.4
GTEX-1PWST-1026-SM-DTXF2 70-79 years, male 9.4
GTEX-1RB15-0326-SM-E6CQB 60-69 years, male 9.4
GTEX-O5YW-0326-SM-2I5EI 50-59 years, male 9.3
GTEX-U8XE-1126-SM-3DB8W 30-39 years, male 9.2
GTEX-14H4A-0626-SM-5ZZUT 40-49 years, female 9.1
GTEX-117YX-1126-SM-5H128 50-59 years, male 9.0
GTEX-P4PP-0326-SM-33HC4 30-39 years, female 9.0
GTEX-139YR-0826-SM-5LZXY 50-59 years, male 8.9
GTEX-1HSGN-1126-SM-CJI4G 40-49 years, female 8.8
GTEX-1MUQO-1226-SM-E9TJK 60-69 years, male 8.8
GTEX-18D9B-1226-SM-72D6V 60-69 years, male 8.7
GTEX-132AR-2026-SM-5IJG4 50-59 years, female 8.6
GTEX-14A6H-0226-SM-5Q5DX 30-39 years, male 8.6
GTEX-1N2EF-2826-SM-E6CQF 60-69 years, male 8.6
GTEX-13U4I-0826-SM-5SIBD 40-49 years, female 8.5
GTEX-QLQ7-0526-SM-2I5G3 60-69 years, male 8.5
GTEX-13FH7-0926-SM-5J2MR 50-59 years, female 8.4
GTEX-1RMOY-0626-SM-E9TIE 50-59 years, male 8.4
GTEX-11DXX-0326-SM-5PNWC 60-69 years, female 8.3
GTEX-1J8EW-0926-SM-A9G33 60-69 years, female 8.0
GTEX-1JK1U-0526-SM-CYPSQ 60-69 years, male 8.0
GTEX-1LGRB-1126-SM-CNPP2 50-59 years, female 8.0
GTEX-Y5V6-0826-SM-4VBRU 60-69 years, male 7.9
GTEX-11LCK-0926-SM-5A5KA 30-39 years, male 7.7
GTEX-1LGOU-0726-SM-E9TIY 20-29 years, female 7.4
GTEX-OIZF-0326-SM-3MJGY 60-69 years, male 7.4
GTEX-ZZPU-0926-SM-5GZYT 50-59 years, female 7.3
GTEX-1J8Q3-1226-SM-CKZPT 60-69 years, male 7.3
GTEX-1LSNM-0526-SM-DIPG6 50-59 years, male 7.2
GTEX-1211K-0626-SM-5FQUZ 60-69 years, female 7.1
GTEX-13NZB-0226-SM-5KM1T 30-39 years, male 7.1
GTEX-WFG8-0626-SM-3GILJ 20-29 years, male 7.1
GTEX-RU72-0326-SM-2TF5T 50-59 years, female 7.0
GTEX-1RQEC-0926-SM-EWROG 60-69 years, male 7.0
GTEX-13S86-0226-SM-5S2PJ 40-49 years, male 6.9
GTEX-14PHY-0226-SM-5ZZWM 60-69 years, female 6.9
GTEX-RWS6-0326-SM-2XCAP 60-69 years, female 6.8
GTEX-1269C-0826-SM-5N9EM 60-69 years, female 6.7
GTEX-13FTW-1026-SM-5L3E3 40-49 years, male 6.7
GTEX-13N1W-1026-SM-5IJC5 70-79 years, male 6.7
GTEX-14JG1-1026-SM-6ETZY 40-49 years, male 6.7
GTEX-1AX8Z-5007-SM-AHZ36 60-69 years, male 6.7
GTEX-1HFI7-0826-SM-A9G23 50-59 years, female 6.7
GTEX-15CHR-0226-SM-7PC2Z 50-59 years, male 6.6
GTEX-WFON-0326-SM-3GIKX 40-49 years, male 6.5
GTEX-Y3I4-0626-SM-4TT7A 50-59 years, male 6.5
GTEX-ZTPG-1226-SM-4YCDO 20-29 years, female 6.5
GTEX-13VXT-1126-SM-5LU3A 20-29 years, female 6.4
GTEX-14PJ6-0726-SM-69LOL 60-69 years, female 6.4
GTEX-16BQI-0926-SM-6M485 30-39 years, female 6.4
GTEX-REY6-1026-SM-2TF4Y 60-69 years, male 6.4
GTEX-XQ8I-0126-SM-4BOPL 50-59 years, male 6.4
GTEX-ZPU1-0626-SM-4YCDM 40-49 years, male 6.4
GTEX-1122O-0826-SM-5GICV 60-69 years, female 6.3
GTEX-11GSP-1326-SM-5A5KY 60-69 years, female 6.3
GTEX-13PVQ-1226-SM-5IJDC 50-59 years, male 6.3
GTEX-XBED-0526-SM-47JY3 60-69 years, male 6.3
GTEX-1IKOE-1026-SM-ARZMF 30-39 years, female 6.3
GTEX-12WSK-0626-SM-5LZUJ 40-49 years, female 6.2
GTEX-13QBU-0426-SM-5J2O4 40-49 years, female 6.2
GTEX-1JJ6O-2126-SM-CNNP6 60-69 years, male 6.2
GTEX-111FC-0826-SM-5GZWO 60-69 years, male 6.1
GTEX-1399S-1026-SM-5KLZ9 30-39 years, female 6.1
GTEX-16YQH-0926-SM-793BC 30-39 years, male 6.1
GTEX-12696-1126-SM-5FQTI 60-69 years, male 6.0
GTEX-QV44-0526-SM-2S1RE 50-59 years, male 6.0
GTEX-Y5V5-0626-SM-4VBPX 60-69 years, female 6.0
GTEX-ZF29-0226-SM-4WKHO 60-69 years, female 6.0
GTEX-17KNJ-0826-SM-793A4 50-59 years, male 5.9
GTEX-OHPL-0326-SM-33HC8 60-69 years, female 5.9
GTEX-12WSD-1126-SM-5EGJD 60-69 years, female 5.8
GTEX-14C38-1426-SM-5RQHZ 50-59 years, male 5.8
GTEX-ZVZP-0226-SM-5NQ73 50-59 years, male 5.8
GTEX-13PVR-1026-SM-5QGQW 60-69 years, female 5.7
GTEX-ZDXO-0726-SM-57WBT 60-69 years, male 5.7
GTEX-12BJ1-0226-SM-5LUA2 60-69 years, male 5.6
GTEX-OXRK-0826-SM-2HMK7 50-59 years, female 5.6
GTEX-SE5C-0626-SM-2XCDV 40-49 years, female 5.6
GTEX-16XZY-0426-SM-793BI 70-79 years, male 5.5
GTEX-X3Y1-0426-SM-3P5Z4 40-49 years, male 5.5
GTEX-QDVN-0326-SM-2I3FS 50-59 years, male 5.4
GTEX-Y3IK-0826-SM-51MT8 50-59 years, female 5.4
GTEX-1GZ4I-1026-SM-9KNV5 50-59 years, male 5.4
GTEX-1O9I2-1126-SM-DTXEA 50-59 years, male 5.4
GTEX-UPK5-0326-SM-CYPR4 40-49 years, male 5.4
GTEX-1QCLZ-0926-SM-E6CQZ 60-69 years, female 5.3
GTEX-13D11-1726-SM-5IFGQ 50-59 years, female 5.2
GTEX-14PHX-2126-SM-6EU2U 50-59 years, male 5.2
GTEX-QEL4-0926-SM-3GAD1 50-59 years, male 5.2
GTEX-QMRM-0526-SM-2I5GA 50-59 years, male 5.2
GTEX-1LH75-0426-SM-E9TJF 50-59 years, female 5.2
GTEX-1LVAN-1726-SM-CNNR1 50-59 years, female 5.2
GTEX-ZEX8-0426-SM-DO92Y 50-59 years, male 5.1
GTEX-13X6I-1426-SM-5SI9Z 60-69 years, male 5.0
GTEX-1KD5A-1026-SM-CY8I8 50-59 years, male 5.0
GTEX-1212Z-0626-SM-5FQTB 60-69 years, male 4.9
GTEX-132NY-1726-SM-5EGKK 60-69 years, male 4.9
GTEX-1OFPY-1026-SM-EXUSO 60-69 years, male 4.9
GTEX-146FH-1026-SM-5RQIF 50-59 years, female 4.8
GTEX-1B8SG-0826-SM-7EWF7 50-59 years, male 4.8
GTEX-1GF9U-0426-SM-7RHHA 40-49 years, female 4.8
GTEX-1JMPZ-1426-SM-CJI3C 30-39 years, male 4.8
GTEX-1OKEX-0726-SM-DPRYE 60-69 years, male 4.8
GTEX-1AYCT-0426-SM-73KVZ 50-59 years, male 4.7
GTEX-RUSQ-0526-SM-2TF72 50-59 years, male 4.7
GTEX-ZV7C-0326-SM-57WB1 50-59 years, male 4.7
GTEX-1HSMQ-0226-SM-C1YQL 50-59 years, male 4.7
GTEX-1M5QR-1026-SM-DHXK9 40-49 years, male 4.7
GTEX-1H1ZS-1126-SM-9MQLJ 70-79 years, male 4.6
GTEX-18D9U-1126-SM-72D5Y 40-49 years, male 4.5
GTEX-1A3MX-1326-SM-72D58 60-69 years, male 4.5
GTEX-OHPK-0326-SM-2HMJO 50-59 years, female 4.5
GTEX-P4PQ-0326-SM-2HMJ8 60-69 years, male 4.5
GTEX-18A67-1226-SM-7KFRS 50-59 years, male 4.4
GTEX-QEG5-0926-SM-2TC64 20-29 years, male 4.4
GTEX-WEY5-0426-SM-3GIKT 40-49 years, female 4.4
GTEX-XQ3S-0626-SM-4BOOB 20-29 years, male 4.4
GTEX-1CB4E-0526-SM-7MXTK 60-69 years, male 4.4
GTEX-1R9K4-1326-SM-DTX8G 60-69 years, male 4.4
GTEX-11I78-0826-SM-5A5K4 50-59 years, female 4.3
GTEX-1R9PO-0326-SM-DTXA1 60-69 years, female 4.3
GTEX-11DXY-0826-SM-5EGGR 60-69 years, male 4.2
GTEX-131XE-0626-SM-5HL98 50-59 years, male 4.2
GTEX-13X6H-0426-SM-5LU4E 50-59 years, female 4.2
GTEX-1IDJI-1026-SM-A96TE 50-59 years, female 4.2
GTEX-1R9JW-0526-SM-EWRNK 30-39 years, female 4.2
GTEX-131XF-5001-SM-7DHLY 60-69 years, male 4.1
GTEX-13O1R-1226-SM-5J1NU 60-69 years, male 4.1
GTEX-13O21-2326-SM-5MR3X 50-59 years, male 4.1
GTEX-13SLX-1026-SM-5ZZUQ 50-59 years, female 4.1
GTEX-U3ZH-0326-SM-3DB7A 30-39 years, male 4.1
GTEX-1CB4I-1626-SM-7RHGV 50-59 years, male 4.1
GTEX-13O61-0526-SM-5J2M1 60-69 years, male 4.0
GTEX-13OVL-0526-SM-5KLZQ 50-59 years, male 4.0
GTEX-14E1K-1026-SM-73KUR 50-59 years, male 4.0
GTEX-1B996-1126-SM-73KWN 60-69 years, male 4.0
GTEX-UJHI-0426-SM-3DB8Y 50-59 years, female 4.0
GTEX-17F9E-0926-SM-7IGMG 50-59 years, male 3.9
GTEX-O5YT-0326-SM-32PKA 20-29 years, male 3.9
GTEX-WRHU-1226-SM-4E3IJ 50-59 years, female 3.8
GTEX-WY7C-0526-SM-3NB3D 50-59 years, male 3.8
GTEX-ZDTS-1326-SM-6LLHE 60-69 years, male 3.7
GTEX-1F5PK-0326-SM-9KNUD 50-59 years, male 3.7
GTEX-11EMC-0726-SM-5EGJO 60-69 years, female 3.6
GTEX-11O72-1126-SM-5N9E2 40-49 years, male 3.6
GTEX-17HHY-1426-SM-7EWDQ 50-59 years, male 3.6
GTEX-OHPM-0326-SM-33HCA 50-59 years, male 3.6
GTEX-ZLFU-0226-SM-4WWFH 40-49 years, male 3.6
GTEX-1HC8U-0726-SM-ACKXL 40-49 years, female 3.6
GTEX-1POEN-0626-SM-EVR4B 30-39 years, female 3.6
GTEX-1R7EV-0326-SM-E76PA 40-49 years, male 3.6
GTEX-YEC3-0726-SM-CMKFH 50-59 years, male 3.6
GTEX-13CF3-0726-SM-5J2MY 60-69 years, female 3.5
GTEX-146FR-0626-SM-5RQJ1 60-69 years, female 3.5
GTEX-Q2AH-0526-SM-2I3ED 40-49 years, male 3.5
GTEX-WHWD-0426-SM-3LK83 50-59 years, male 3.5
GTEX-1AX9K-0526-SM-73KV1 50-59 years, male 3.4
GTEX-P44H-0726-SM-48TBT 40-49 years, male 3.4
GTEX-OXRL-0326-SM-2I3F2 50-59 years, male 3.3
GTEX-1GF9V-1626-SM-7PBXL 60-69 years, male 3.3
GTEX-1GMR2-1426-SM-7RHHK 50-59 years, male 3.3
GTEX-ZPCL-0426-SM-DNZZ4 60-69 years, female 3.3
GTEX-R55E-1026-SM-2TC5S 20-29 years, male 3.2
GTEX-ZAB5-0226-SM-5CVMH 50-59 years, male 3.2
GTEX-145MO-1126-SM-5NQBX 60-69 years, male 3.1
GTEX-WQUQ-1426-SM-3MJFD 60-69 years, male 3.1
GTEX-ZYFG-0426-SM-5E43M 60-69 years, female 3.1
GTEX-1IKK5-1526-SM-CKZPW 60-69 years, male 3.1
GTEX-15RJ7-0226-SM-7KUMN 40-49 years, male 3.0
GTEX-15DDE-1126-SM-6LLHN 50-59 years, female 2.9
GTEX-PLZ5-0626-SM-2I5F8 50-59 years, male 2.9
GTEX-QDVJ-0426-SM-2I5FW 50-59 years, male 2.9
GTEX-1HCUA-0526-SM-A9SMH 50-59 years, female 2.9
GTEX-1IDJF-0726-SM-CJI1U 20-29 years, male 2.9
GTEX-ZF2S-1026-SM-9QEGK 50-59 years, female 2.9
GTEX-1314G-0126-SM-5LZUL 30-39 years, male 2.8
GTEX-145MN-0626-SM-5QGRH 30-39 years, male 2.8
GTEX-OIZG-1126-SM-2HMIU 50-59 years, male 2.8
GTEX-P78B-0426-SM-2I5F5 40-49 years, female 2.8
GTEX-WL46-0926-SM-3LK7T 50-59 years, male 2.8
GTEX-ZAB4-1026-SM-5HL7T 40-49 years, male 2.8
GTEX-1I1GQ-1426-SM-B2LWY 50-59 years, male 2.8
GTEX-117YW-0326-SM-5N9CY 50-59 years, male 2.7
GTEX-13CF2-0426-SM-5KM1H 60-69 years, male 2.7
GTEX-13O3O-1526-SM-5KM1C 60-69 years, female 2.7
GTEX-WFG7-0726-SM-3GIKO 20-29 years, male 2.7
GTEX-1ICLY-1326-SM-CJI47 50-59 years, male 2.7
GTEX-S33H-0526-SM-COH1W 30-39 years, male 2.7
GTEX-11ZUS-0226-SM-5FQT8 30-39 years, male 2.6
GTEX-145LV-0326-SM-5Q5BW 50-59 years, male 2.6
GTEX-YEC4-0326-SM-4W216 40-49 years, male 2.6
GTEX-1J8QM-0426-SM-AHZ3X 60-69 years, female 2.6
GTEX-1MCC2-0326-SM-EV7AK 30-39 years, female 2.6
GTEX-1QP29-1526-SM-EXUSY 50-59 years, male 2.6
GTEX-13YAN-1326-SM-5Q5F1 60-69 years, male 2.5
GTEX-14C39-0926-SM-5TDDV 40-49 years, male 2.5
GTEX-1C2JI-0526-SM-7EWEQ 50-59 years, male 2.5
GTEX-1E1VI-1326-SM-7IGQD 50-59 years, male 2.5
GTEX-1GN73-2426-SM-7RHFQ 60-69 years, male 2.5
GTEX-11GS4-0526-SM-5A5KQ 60-69 years, male 2.4
GTEX-18465-0926-SM-731AY 50-59 years, male 2.4
GTEX-1C64O-0826-SM-79OKZ 60-69 years, male 2.4
GTEX-NFK9-0926-SM-2HMJU 40-49 years, male 2.4
GTEX-1F6I4-0726-SM-7PC2P 60-69 years, male 2.4
GTEX-OIZI-0926-SM-E6CHF 40-49 years, male 2.4
GTEX-12ZZY-1126-SM-5DUWQ 60-69 years, male 2.3
GTEX-13OW6-1126-SM-5L3HL 50-59 years, male 2.3
GTEX-14PN3-0526-SM-69LQF 60-69 years, female 2.3
GTEX-U4B1-0326-SM-3DB8K 40-49 years, male 2.3
GTEX-WH7G-0426-SM-3NMBJ 40-49 years, male 2.3
GTEX-1I1HK-0726-SM-B2LY4 60-69 years, male 2.3
GTEX-1IDJE-0326-SM-CM2TD 50-59 years, female 2.3
GTEX-1JMOU-0226-SM-CNNPD 60-69 years, female 2.3
GTEX-1R9K5-1326-SM-E6CPR 50-59 years, male 2.3
GTEX-12584-0926-SM-5FQTN 40-49 years, male 2.2
GTEX-13W3W-0426-SM-5SI9D 60-69 years, female 2.2
GTEX-14DAQ-1126-SM-664MT 60-69 years, female 2.2
GTEX-1B8KE-0126-SM-793AM 50-59 years, male 2.2
GTEX-OIZH-0326-SM-2HMKC 50-59 years, male 2.2
GTEX-QVJO-1926-SM-2S1QZ 60-69 years, female 2.2
GTEX-ZYFC-1126-SM-5E44W 50-59 years, male 2.2
GTEX-1J8Q2-1226-SM-A9G2W 60-69 years, male 2.2
GTEX-12WSC-1126-SM-5EQ4G 50-59 years, male 2.1
GTEX-12WSG-0526-SM-5FQTH 50-59 years, female 2.1
GTEX-1399U-0526-SM-5K7YM 50-59 years, female 2.1
GTEX-15SHW-1226-SM-6M46C 60-69 years, male 2.1
GTEX-SUCS-0326-SM-32PLL 70-79 years, male 2.1
GTEX-WZTO-1326-SM-3NM8X 40-49 years, male 2.1
GTEX-Y114-0226-SM-4TT8W 50-59 years, female 2.1
GTEX-YB5K-0126-SM-5IFJ2 40-49 years, female 2.1
GTEX-ZGAY-0326-SM-57WF5 40-49 years, female 2.1
GTEX-1I6K7-0626-SM-ARL7Q 40-49 years, male 2.1
GTEX-1CAMS-1326-SM-79OJR 40-49 years, female 2.0
GTEX-1H11D-1226-SM-9WPQ2 40-49 years, male 2.0
GTEX-1H23P-1226-SM-9QEJ2 60-69 years, male 2.0
GTEX-1QP2A-1126-SM-EVR3H 50-59 years, male 2.0
GTEX-11ZVC-0426-SM-5CVLD 50-59 years, female 1.9
GTEX-1313W-1426-SM-5KLZU 50-59 years, female 1.9
GTEX-OOBJ-0326-SM-33HBO 60-69 years, male 1.9
GTEX-Y8E4-0326-SM-4VBRR 40-49 years, male 1.9
GTEX-1JMQK-0626-SM-D4P2R 60-69 years, male 1.9
GTEX-17GQL-0526-SM-72D5N 60-69 years, male 1.8
GTEX-R55G-0526-SM-2TC5O 40-49 years, female 1.8
GTEX-RN64-0826-SM-2TC62 50-59 years, male 1.8
GTEX-ZDTT-0726-SM-4WKFK 60-69 years, male 1.8
GTEX-1L5NE-0426-SM-E9TIX 50-59 years, male 1.8
GTEX-13OVG-0526-SM-5K7YD 60-69 years, male 1.7
GTEX-1BAJH-1626-SM-73KUV 70-79 years, male 1.7
GTEX-1CB4G-0826-SM-7DUGF 60-69 years, male 1.7
GTEX-QEG4-0426-SM-33HC3 30-39 years, male 1.7
GTEX-WYJK-1026-SM-3NM8W 50-59 years, male 1.7
GTEX-15RJE-0626-SM-7KUKR 40-49 years, male 1.6
GTEX-1B8L1-0526-SM-79ONX 60-69 years, male 1.6
GTEX-1B932-1026-SM-793CL 40-49 years, female 1.6
GTEX-PWCY-0526-SM-5P9HG 20-29 years, female 1.6
GTEX-T6MN-0926-SM-32PLX 50-59 years, male 1.6
GTEX-13FLV-0926-SM-5L3DZ 50-59 years, male 1.5
GTEX-148VJ-1526-SM-5Q5DU 70-79 years, male 1.5
GTEX-1A3MW-1326-SM-7189P 60-69 years, female 1.5
GTEX-1AX9I-1126-SM-7EPHH 60-69 years, male 1.5
GTEX-PSDG-0926-SM-2I5FP 50-59 years, male 1.5
GTEX-R45C-0926-SM-3GAD4 60-69 years, female 1.5
GTEX-17F9Y-1326-SM-7MGW9 70-79 years, female 1.5
GTEX-1ICG6-0626-SM-ACKWS 70-79 years, female 1.5
GTEX-16MT8-0926-SM-6M487 60-69 years, female 1.4
GTEX-18A66-1226-SM-7LT8G 60-69 years, male 1.4
GTEX-XBEC-1326-SM-4AT69 50-59 years, male 1.4
GTEX-1F48J-1026-SM-7P8SO 50-59 years, female 1.4
GTEX-1PPGY-1126-SM-E76OU 60-69 years, male 1.4
GTEX-13FTZ-0226-SM-5K7X6 60-69 years, male 1.3
GTEX-SIU8-0826-SM-2XCDQ 50-59 years, male 1.3
GTEX-1GMRU-1526-SM-9WYT5 50-59 years, male 1.3
GTEX-1GN1W-0326-SM-9JGHF 50-59 years, female 1.3
GTEX-1HBPM-1226-SM-A9SM8 60-69 years, female 1.3
GTEX-1HCVE-1126-SM-9WPPG 50-59 years, male 1.3
GTEX-1JN6P-1126-SM-CKZON 60-69 years, male 1.3
GTEX-12ZZZ-1726-SM-59HK5 60-69 years, male 1.2
GTEX-1497J-1226-SM-5Q5BL 60-69 years, male 1.2
GTEX-14C5O-1326-SM-5S2UW 60-69 years, male 1.2
GTEX-15CHQ-1526-SM-69LPW 60-69 years, male 1.2
GTEX-16NPX-0926-SM-7KUEZ 50-59 years, male 1.2
GTEX-18A6Q-1626-SM-7KFTA 60-69 years, male 1.2
GTEX-RNOR-0826-SM-2TF5C 50-59 years, female 1.2
GTEX-T2IS-0426-SM-32QPE 20-29 years, female 1.2
GTEX-V1D1-0526-SM-4JBGW 50-59 years, male 1.2
GTEX-WWYW-1326-SM-3NB2S 50-59 years, female 1.2
GTEX-X15G-0426-SM-4PQZ6 50-59 years, female 1.2
GTEX-15RIE-1726-SM-7KUMU 60-69 years, male 1.2
GTEX-1F6IF-2526-SM-7P8TV 60-69 years, male 1.2
GTEX-1IDJU-0726-SM-CNPQ9 60-69 years, female 1.2
GTEX-1MJIX-0326-SM-EVR42 40-49 years, male 1.2
GTEX-11ONC-0126-SM-5PNW6 60-69 years, male 1.1
GTEX-13RTJ-0726-SM-5QGQN 60-69 years, male 1.1
GTEX-17JCI-1126-SM-7IGMM 60-69 years, female 1.1
GTEX-1JN1M-1026-SM-CNPOS 60-69 years, female 1.1
GTEX-13112-0426-SM-5PNVC 50-59 years, male 1.0
GTEX-N7MS-0826-SM-2HML4 60-69 years, male 1.0
GTEX-RTLS-0826-SM-2TF5Q 60-69 years, female 1.0
GTEX-ZG7Y-0926-SM-5EQ6O 50-59 years, male 1.0
GTEX-1HCU7-1326-SM-CNPPW 50-59 years, male 1.0
GTEX-1HT8W-1726-SM-CNNQB 30-39 years, male 1.0
GTEX-1IL2U-1326-SM-A9G2O 60-69 years, male 1.0
GTEX-1JMLX-1626-SM-ARZMV 50-59 years, male 1.0
GTEX-131XG-0626-SM-5GCMP 50-59 years, female 0.9
GTEX-13X6K-1826-SM-5O9CR 60-69 years, female 0.9
GTEX-U3ZN-1426-SM-3DB87 30-39 years, female 0.9
GTEX-WI4N-0626-SM-3TW8Z 40-49 years, female 0.9
GTEX-YF7O-0426-SM-5P9FS 50-59 years, male 0.9
GTEX-1I1GV-1326-SM-A96SE 60-69 years, male 0.9
GTEX-1IKJJ-0826-SM-A96SP 60-69 years, male 0.9
GTEX-1JJEA-0826-SM-CL53T 60-69 years, male 0.9
GTEX-11EM3-0626-SM-5H12Z 20-29 years, female 0.8
GTEX-13JVG-1326-SM-5N9F8 60-69 years, male 0.8
GTEX-148VI-0326-SM-5RQK7 60-69 years, female 0.8
GTEX-14BIN-2226-SM-5YYA1 50-59 years, female 0.8
GTEX-14E7W-1226-SM-5RQIU 70-79 years, male 0.8
GTEX-14XAO-1126-SM-6EU11 60-69 years, female 0.8
GTEX-17MF6-0726-SM-7LT8E 40-49 years, male 0.8
GTEX-P44G-0826-SM-2I5ES 30-39 years, male 0.8
GTEX-PVOW-0426-SM-5MR5R 40-49 years, male 0.8
GTEX-XV7Q-0826-SM-4BRV7 40-49 years, female 0.8
GTEX-1I1GP-0826-SM-A96SD 50-59 years, male 0.8
GTEX-WK11-0826-SM-EZ6LH 50-59 years, male 0.8
GTEX-11TUW-1026-SM-5GU7D 60-69 years, male 0.7
GTEX-12ZZW-1026-SM-5GCMM 50-59 years, male 0.7
GTEX-1399T-0426-SM-5PNVJ 60-69 years, male 0.7
GTEX-13O3P-1626-SM-5K7X3 50-59 years, male 0.7
GTEX-147JS-1526-SM-5ZZWF 60-69 years, male 0.7
GTEX-14PJM-1126-SM-6LLHK 50-59 years, female 0.7
GTEX-15SHU-1126-SM-7KUMB 40-49 years, female 0.7
GTEX-1C6VQ-1126-SM-7EWET 50-59 years, male 0.7
GTEX-N7MT-1326-SM-2I3FV 60-69 years, female 0.7
GTEX-O5YV-0326-SM-2I5H2 60-69 years, female 0.7
GTEX-X8HC-1626-SM-46MWE 50-59 years, female 0.7
GTEX-YFC4-0526-SM-5ZZVI 40-49 years, female 0.7
GTEX-1A8G6-1626-SM-7MGWO 60-69 years, male 0.7
GTEX-1EX96-2526-SM-7RHGW 50-59 years, male 0.7
GTEX-1HCU6-1026-SM-A9G25 60-69 years, female 0.7
GTEX-1IDJH-1026-SM-E9TKH 70-79 years, male 0.7
GTEX-147F4-1226-SM-5NQAY 50-59 years, male 0.6
GTEX-14BIL-1126-SM-79OMC 50-59 years, male 0.6
GTEX-14JIY-1126-SM-6EU28 60-69 years, male 0.6
GTEX-15ER7-1726-SM-6PAMX 20-29 years, female 0.6
GTEX-ZYT6-1726-SM-5E44P 30-39 years, male 0.6
GTEX-1GN1V-0826-SM-9KNU6 60-69 years, male 0.6
GTEX-1GN2E-1326-SM-9KNVG 60-69 years, male 0.6
GTEX-1HSMO-1226-SM-CL548 60-69 years, male 0.6
GTEX-OXRO-2026-SM-2YUMZ 60-69 years, female 0.5
GTEX-1GTWX-1026-SM-7P8QW 60-69 years, male 0.5
GTEX-1ICLZ-1026-SM-A9SLF 60-69 years, male 0.5
GTEX-1KD4Q-0726-SM-DIPGE 40-49 years, male 0.5
GTEX-1LB8K-1026-SM-DHXJJ 50-59 years, male 0.5
GTEX-13FHP-1026-SM-5K7Y2 50-59 years, male 0.4
GTEX-13OW5-1126-SM-5J1NR 60-69 years, male 0.4
GTEX-14E6D-0926-SM-5S2QV 50-59 years, male 0.4
GTEX-14PJ2-1026-SM-6EU1M 50-59 years, male 0.4
GTEX-1EH9U-0826-SM-7IGPT 60-69 years, male 0.4
GTEX-1EWIQ-1426-SM-7IGOS 70-79 years, female 0.4
GTEX-ZUA1-0826-SM-4YCDL 40-49 years, male 0.4
GTEX-ZYW4-0926-SM-59HJS 60-69 years, male 0.4
GTEX-1K9T9-1126-SM-D3L9E 50-59 years, female 0.4
GTEX-1LG7Y-1226-SM-CXZKD 50-59 years, male 0.4
GTEX-1O97I-0826-SM-E8VNE 60-69 years, male 0.4
GTEX-17HII-1326-SM-7IGOB 50-59 years, male 0.3
GTEX-ZF3C-1226-SM-4WWCB 50-59 years, female 0.3
GTEX-ZPIC-0826-SM-4WWFJ 40-49 years, female 0.3
GTEX-YJ8O-0926-SM-EAZ2Z 40-49 years, female 0.3
GTEX-ZAJG-0826-SM-5PNVA 50-59 years, female 0.2
GTEX-1EKGG-1126-SM-7MGXB 60-69 years, male 0.2
GTEX-1H1CY-0326-SM-9QEIZ 60-69 years, female 0.2
GTEX-1LVA9-0926-SM-EVR5G 50-59 years, male 0.2
GTEX-13NYB-0226-SM-5N9G4 40-49 years, male 0.1
GTEX-13OW8-2126-SM-5J1OS 60-69 years, male 0.1
GTEX-1NV8Z-1526-SM-DTX8X 60-69 years, male 0.1
GTEX-1RAZS-0826-SM-E76QP 50-59 years, male 0.1
GTEX-14A5I-1226-SM-5NQBW 50-59 years, female 0.0
GTEX-X261-1426-SM-4PQZ1 50-59 years, male 0.0
GTEX-1H3NZ-1126-SM-9WYT9 60-69 years, male 0.0
GTEX-1JJE9-1426-SM-ARL8P 70-79 years, male 0.0
GTEX-1PPH7-2026-SM-E9J3N 40-49 years, male 0.0
Show allShow less

HEART MUSCLE - FANTOM5 CAGEi

RNA expression in human tissues obtained through Cap Analysis of Gene Expression (CAGE) generated by the FANTOM5 project are reported as Scaled Tags Per Million.

Max subtype Scaled Tags Per Millioni

Max subtype Scaled Tags Per Million is the value for the subtype with the largest average Scaled Tags Per Million across the subtype samples.

106.7
FANTOM5 sample id Sample description Scaled Tags Per Million
Heart
Scaled Tags Per Million: 7.6
FF:10016-101C7 70,73,74 years, mixed 7.6
Left atrium
Scaled Tags Per Million: 106.7
FF:10079-102A7 40 years, male 106.7
Left ventricle
Scaled Tags Per Million: 6.3
FF:10078-102A6 73 years, female 6.3

Contact

  • NEWS ARTICLES
  • PRESS ROOM

The Project

  • INTRODUCTION
  • ORGANIZATION
  • PUBLICATIONS

The Human Protein Atlas

  • DOWNLOADABLE DATA
  • LICENCE & CITATION
  • HELP & FAQ
The Human Protein Atlas project is funded
by the Knut & Alice Wallenberg Foundation.


contact@proteinatlas.org