We use cookies to enhance the usability of our website. If you continue, we'll assume that you are happy to receive all cookies. More information. Don't show this again.
IGBP1
HPA
RESOURCES
  • TISSUE
  • BRAIN
  • SINGLE CELL
  • SUBCELLULAR
  • CANCER
  • BLOOD
  • CELL LINE
  • STRUCTURE & INTERACTION
ABOUT
  • INTRODUCTION
  • HISTORY
  • ORGANIZATION
  • PUBLICATIONS
  • ANTIBODY SUBMISSION
  • ANTIBODY AVAILABILITY
  • ACKNOWLEDGMENTS
  • CONTACT
NEWS
  • NEWS ARTICLES
  • PRESS ROOM
LEARN
  • DICTIONARY
  • PROTEIN CLASSES
  • PROTEIN EVIDENCE
  • METHODS
  • EDUCATIONAL VIDEOS
DATA
  • DOWNLOADABLE DATA
  • PUBLICATION DATA
  • RELEASE HISTORY
HELP
  • ANTIBODY VALIDATION
  • ASSAYS & ANNOTATION
  • DISCLAIMER
  • HELP & FAQ
  • PRIVACY STATEMENT
  • LICENCE & CITATION
Fields »
Search result

Field
Term
Gene name
Class
Subclass
Class
Keyword
Chromosome
External id
Tissue
Cell type
Expression
Antibody panel
Tissue
Main location
Patient ID
Annotation
Tissue
Category
Tau score
Cluster
Reliability
Brain region
Category
Tau score
Brain region
Category
Tau score
Brain region
Category
Tau score
Cluster
Reliability
Tissue
Cell type
Enrichment
Cell type
Category
Tau score
Cell type
Category
Tau score
Cell type
Category
Tau score
Cell lineage
Category
Tau score
Cluster
Cluster
Location
Searches
Location
Cell line
Class
Type
Phase
Reliability
Cancer
Prognosis
Cancer
Category
Cancer
Category
Tau score
Cluster
Variants
Interacting gene (ensg_id)
Type
Number of interactions
Pathway
Category
Score
Score
Score
Validation
Validation
Validation
Validation
Antibodies
Data type
Column


  • SUMMARY

  • TISSUE

  • BRAIN

  • SINGLE CELL

  • SUBCELL

  • CANCER

  • BLOOD

  • CELL LINE

  • STRUCT & INT

  • IGBP1
TISSUE PRIMARY DATA ESOPHAGUS Show tissue menu
ADIPOSE TISSUE ADRENAL GLAND AMYGDALA APPENDIX BASAL GANGLIA BONE MARROW BREAST BRONCHUS CEREBELLUM CEREBRAL CORTEX CERVIX CHOROID PLEXUS COLON DUODENUM
ENDOMETRIUM EPIDIDYMIS ESOPHAGUS FALLOPIAN TUBE GALLBLADDER HEART MUSCLE HIPPOCAMPAL FORMATION HYPOTHALAMUS KIDNEY LIVER LUNG LYMPH NODE MIDBRAIN NASOPHARYNX
ORAL MUCOSA OVARY PANCREAS PARATHYROID GLAND PITUITARY GLAND PLACENTA PROSTATE RECTUM RETINA SALIVARY GLAND SEMINAL VESICLE SKELETAL MUSCLE SKIN SMALL INTESTINE
SMOOTH MUSCLE SOFT TISSUE SPINAL CORD SPLEEN STOMACH TESTIS THYMUS THYROID GLAND TONGUE TONSIL URINARY BLADDER VAGINA
ANTIBODIES
AND
VALIDATION
Dictionary
Esophagus
Tissue proteome
Esophagus
ESOPHAGUS - Expression summary
Protein expression
Esophagusi

On the top, protein expression in current human tissue, based on all annotated cell types, is reported with the units not detected (n), low (l), medium (m) and high (h). Underneath, protein expression in each annotated cell type are reported using the same units.

Protein expression data is based on knowledge-based annotation. For genes where more than one antibody has been used, a collective score is set.

If knowledge-based annotation could not be performed for a gene, no data is displayed here. View antibody staining data further down this page.

h
m
l
n
Squamous epithelial cells: Medium
RNA expressioni

A summary of mRNA expression data available for current tissue based on several datasets. The mRNA expression levels in human tissues are based on RNA-seq data generated by the Human Protein Atlas (HPA), Genotype-Tissue Expression (GTEx) portal and CAGE data generated by the FANTOM5 consortium. Consensus normalized expression levels for human tissues was created by combining the data from HPA and GTEx datasets.

The mRNA expression levels in pig are based on RNA-seq data generated by the Human Protein Atlas (HPA), and for mouse, HPA data and in situ hybridization generated by the Allen brain atlas are reported.

Scroll down to view mRNA expression data in more detail.
Consensus:45.3 nTPM
HPA:36.0 nTPM
GTEx:45.3 nTPM
FANTOM5:131.2 Scaled Tags Per Million

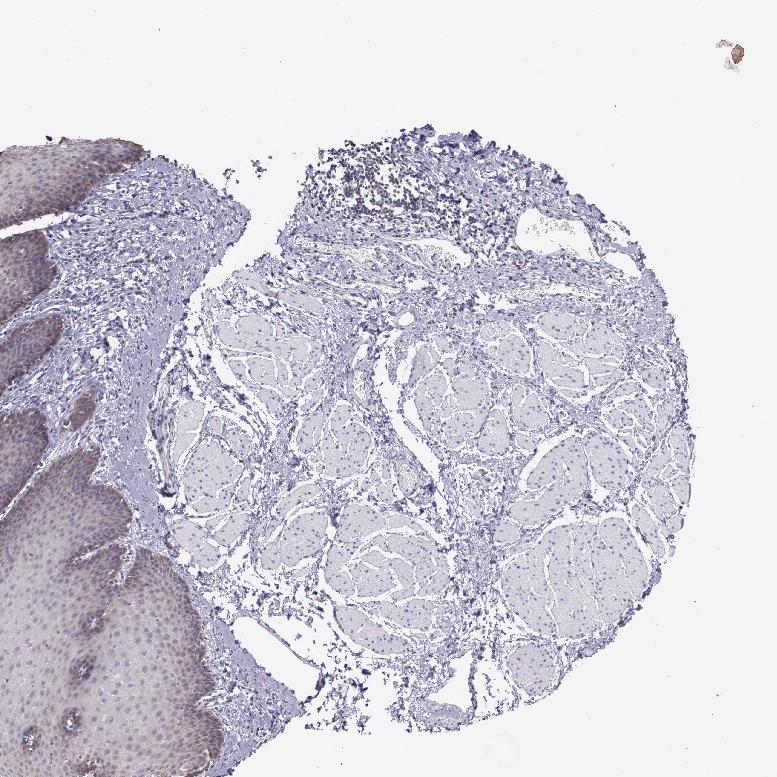
ESOPHAGUS - Antibody stainingi

Antibody staining in the annotated cell types in the current human tissue is reported as not detected, low, medium, or high, based on conventional immunohistochemistry profiling in selected tissues. This score is based on the combination of the staining intensity and fraction of stained cells.

Each image is clickable and will lead to virtual microscopy that enables deeper exploration of all samples and also displays staining intensity scores, fraction scores and subcellular localization as well as patient and tissue information for each sample.

Antibody HPA000634Antibody HPA001004Antibody CAB034139
Squamous epithelial cells MediumLowMedium





ESOPHAGUS - HPA RNA-seqi

The RNA-seq details section shows detailed information about the individual samples used for the transcript profiling and results of the RNA-seq analysis.

Information about each individual sample is listed below, including gender, age, a tissue section image and estimated fractions of cell types. nTPM (normalized transcripts per million) values give a quantification of the gene abundance which is comparable between different genes and samples.
Average nTPMi

Max subtype nTPM is the value for the subtype with the largest average nTPM across the subtype samples.

36.0
overview
Female, age 70
Esophagus sample 130
nTPM: 37.3
Cell types%
Squamous epithelial cells:
35

Smooth muscle cells:
15

Skeletal muscle cells:
5

Other cell types:
45

overview
Male, age 38
Esophagus sample 131
nTPM: 31.8
Cell types%
Squamous epithelial cells:
60

Smooth muscle cells:
20

Other cell types:
20

overview
Male, age 76
Esophagus sample 132
nTPM: 38.8
Cell types%
Squamous epithelial cells:
45

Smooth muscle cells:
15

Other cell types:
40


ESOPHAGUS - GTEx RNA-seqi

RNA-Seq data generated by the Genotype-Tissue Expression (GTEx) project from human tissues is reported as mean nTPM. More information can be found on the GTEx portal.

Distribution across the dataset is visualized with box plots, shown as median and 25th and 75th percentiles. Points are displayed as outliers if they are above or below 1.5 times the interquartile range. nTPM values of the individual samples are presented next to the box plot.
Max subtype nTPMi

Max subtype nTPM is the value for the subtype with the largest average nTPM across the subtype samples.

45.3
GTEx sample id Sample description nTPM
Esophagus - Mucosa
Average nTPM: 45.3
Samples: 555

Max nTPM: 100.9
Min nTPM: 21.6
Std nTPM: 10.7
Median nTPM: 45.2
GTEX-Q2AG-1326-SM-43V8K 40-49 years, female 100.9
GTEX-15RIF-0826-SM-6M47C 20-29 years, male 92.6
GTEX-14PJ5-0526-SM-664OE 60-69 years, female 92.1
GTEX-ZZPT-1426-SM-5N9C5 50-59 years, male 83.4
GTEX-1N2EE-2426-SM-EXOIO 60-69 years, male 77.1
GTEX-13NYB-0926-SM-5IFFA 40-49 years, male 77.0
GTEX-ZT9W-1326-SM-51MTB 50-59 years, male 76.5
GTEX-1KANB-1826-SM-DHXJU 50-59 years, male 73.8
GTEX-16A39-1026-SM-6LPJU 30-39 years, female 72.9
GTEX-X585-1226-SM-46MW7 50-59 years, male 72.7
GTEX-18D9B-2026-SM-7LT96 60-69 years, male 69.7
GTEX-18D9A-0526-SM-7KFSW 30-39 years, female 68.7
GTEX-18QFQ-1026-SM-7LG6B 30-39 years, male 67.7
GTEX-1HCU8-2226-SM-9WPOV 60-69 years, female 67.4
GTEX-Y3IK-1126-SM-51MSV 50-59 years, female 67.3
GTEX-1N2DV-2026-SM-EV7BL 40-49 years, male 67.3
GTEX-15EOM-5013-SM-7MKF9 20-29 years, female 67.0
GTEX-1399Q-1126-SM-5P9JA 40-49 years, male 66.2
GTEX-ZLV1-0526-SM-4WWD4 60-69 years, female 65.4
GTEX-13PVR-1826-SM-5Q5CC 60-69 years, female 65.2
GTEX-13OVI-2626-SM-5KM4T 60-69 years, female 64.8
GTEX-ZXES-1126-SM-5GZXN 30-39 years, female 64.1
GTEX-145ME-5004-SM-7MGXP 40-49 years, female 64.0
GTEX-11P7K-1326-SM-5BC5G 30-39 years, male 63.9
GTEX-14ICK-2026-SM-6AJB2 40-49 years, male 63.5
GTEX-183WM-1726-SM-7KFT5 70-79 years, female 63.5
GTEX-132Q8-1826-SM-5EGIY 60-69 years, male 62.6
GTEX-1KANA-0626-SM-D4P3I 20-29 years, male 62.4
GTEX-YEC4-1026-SM-9WG7N 40-49 years, male 62.3
GTEX-1LGRB-1626-SM-CNNR7 50-59 years, female 62.2
GTEX-18D9U-2126-SM-7LG4Y 40-49 years, male 62.0
GTEX-15UF6-2326-SM-6M465 70-79 years, female 61.7
GTEX-11DZ1-2026-SM-5A5KG 50-59 years, male 61.0
GTEX-131XE-1426-SM-5HL7V 50-59 years, male 60.9
GTEX-1HB9E-1526-SM-D3LA6 50-59 years, male 60.9
GTEX-1HBPI-0626-SM-9WPP4 50-59 years, male 60.8
GTEX-QV44-1126-SM-CL55C 50-59 years, male 60.8
GTEX-15UF7-0926-SM-6M46F 40-49 years, male 60.2
GTEX-14C5O-1626-SM-73KYH 60-69 years, male 59.9
GTEX-12WSN-5013-SM-7P8P9 40-49 years, male 59.8
GTEX-15EU6-1626-SM-6LPKF 50-59 years, male 59.7
GTEX-WFG8-1226-SM-4V6EI 20-29 years, male 59.7
GTEX-14H4A-1626-SM-5SI69 40-49 years, female 59.6
GTEX-1F5PK-1526-SM-7MKGV 50-59 years, male 59.6
GTEX-1NSGN-2026-SM-DPRYM 50-59 years, male 59.6
GTEX-S4Q7-0626-SM-4AD5M 20-29 years, male 59.5
GTEX-1R9PM-0926-SM-DPRYA 20-29 years, male 59.5
GTEX-1269C-1026-SM-5N9EY 60-69 years, female 59.4
GTEX-ZLWG-1326-SM-DNZYZ 50-59 years, female 59.2
GTEX-1F75I-1726-SM-7MKGW 40-49 years, male 59.1
GTEX-WRHK-0526-SM-4MVOF 20-29 years, female 59.1
GTEX-WH7G-0926-SM-4LVMJ 40-49 years, male 58.8
GTEX-13D11-1926-SM-5IFGB 50-59 years, female 58.7
GTEX-12WSK-1126-SM-5LZV8 40-49 years, female 58.6
GTEX-147F3-0826-SM-5NQA7 50-59 years, female 58.6
GTEX-Y5LM-1026-SM-4VDSQ 40-49 years, female 58.6
GTEX-1399S-1326-SM-5P9GH 30-39 years, female 58.1
GTEX-14AS3-0626-SM-5QGQD 40-49 years, female 58.1
GTEX-183FY-1526-SM-7IGOW 20-29 years, male 57.7
GTEX-QDVN-1026-SM-48TZA 50-59 years, male 57.7
GTEX-XQ8I-1526-SM-4BOOH 50-59 years, male 57.7
GTEX-1GMR2-1526-SM-7MXV6 50-59 years, male 57.7
GTEX-12BJ1-1626-SM-5HL8Y 60-69 years, male 57.5
GTEX-YB5K-0826-SM-5YYB7 40-49 years, female 57.5
GTEX-14DAR-0826-SM-73KYJ 50-59 years, male 57.4
GTEX-145MN-1026-SM-5NQ9G 30-39 years, male 57.3
GTEX-OXRK-1326-SM-3NB1A 50-59 years, female 57.2
GTEX-PLZ4-1626-SM-3P618 50-59 years, female 57.2
GTEX-13FHO-1726-SM-DPRZX 60-69 years, male 57.1
GTEX-SNOS-0626-SM-4DM5F 40-49 years, male 57.0
GTEX-XBED-1026-SM-48TCB 60-69 years, male 57.0
GTEX-15F5U-5010-SM-AHZ2D 40-49 years, male 56.9
GTEX-1QP67-0726-SM-DPRY1 40-49 years, female 56.9
GTEX-QCQG-0626-SM-48U21 50-59 years, female 56.8
GTEX-OIZF-0626-SM-7MKHG 60-69 years, male 56.7
GTEX-ZVP2-1326-SM-57WCE 50-59 years, male 56.6
GTEX-14E1K-1226-SM-5S2PD 50-59 years, male 56.3
GTEX-UPJH-1026-SM-EAZB2 50-59 years, male 56.3
GTEX-PLZ6-0526-SM-3P61C 30-39 years, male 56.2
GTEX-T6MO-0526-SM-4DM6R 40-49 years, female 56.2
GTEX-14PKV-1726-SM-6871U 20-29 years, female 56.1
GTEX-15SB6-0726-SM-6M48F 50-59 years, female 56.1
GTEX-NFK9-1126-SM-3LK78 40-49 years, male 56.0
GTEX-O5YV-1026-SM-3LK72 60-69 years, female 55.9
GTEX-TML8-1526-SM-4DXUX 40-49 years, female 55.6
GTEX-132AR-2226-SM-5J2NT 50-59 years, female 55.5
GTEX-12WSA-1426-SM-5EGJU 60-69 years, male 55.4
GTEX-1R9JW-1526-SM-DPRZK 30-39 years, female 55.4
GTEX-T2YK-1326-SM-4DM6S 50-59 years, male 55.3
GTEX-1GMR3-1526-SM-9JGGL 40-49 years, male 55.3
GTEX-NPJ8-1926-SM-3MJGB 40-49 years, male 55.1
GTEX-1QW4Y-0526-SM-EAZ3V 30-39 years, male 55.1
GTEX-OOBK-0625-SM-3LK5P 40-49 years, male 54.9
GTEX-13OVG-0626-SM-5IFEP 60-69 years, male 54.8
GTEX-T8EM-0526-SM-4DM64 40-49 years, male 54.7
GTEX-13RTK-0526-SM-5S2QF 20-29 years, male 54.6
GTEX-1K2DU-1726-SM-EV79S 20-29 years, male 54.5
GTEX-ZA64-0626-SM-5HL9O 20-29 years, male 54.4
GTEX-XBEW-1326-SM-4AT63 40-49 years, male 54.3
GTEX-Y8E4-1726-SM-5LU9G 40-49 years, male 54.1
GTEX-PLZ5-0926-SM-3TW8L 50-59 years, male 54.0
GTEX-Y8LW-0726-SM-5IFI1 50-59 years, female 54.0
GTEX-1NUQO-1126-SM-DTX98 20-29 years, female 54.0
GTEX-1JKYR-2126-SM-CNNPC 20-29 years, male 53.7
GTEX-1MJIX-0826-SM-DTXEO 40-49 years, male 53.6
GTEX-1122O-1726-SM-5GICM 60-69 years, female 53.5
GTEX-144GN-0626-SM-5O9B2 50-59 years, male 53.5
GTEX-1PIGE-0926-SM-E9U5Z 20-29 years, male 53.4
GTEX-13O61-0926-SM-5IFFE 60-69 years, male 53.3
GTEX-ZC5H-1326-SM-5HL7E 40-49 years, female 53.3
GTEX-YEC3-2526-SM-CXZIH 50-59 years, male 53.3
GTEX-11DXY-1426-SM-5N9CN 60-69 years, male 53.2
GTEX-15RJE-0926-SM-6LLHZ 40-49 years, male 53.2
GTEX-1L5NE-1426-SM-DHXKV 50-59 years, male 53.2
GTEX-Y5V6-1026-SM-4VBS2 60-69 years, male 52.9
GTEX-XLM4-2326-SM-4AT5E 60-69 years, male 52.9
GTEX-11P82-0526-SM-5986P 20-29 years, male 52.8
GTEX-145LT-1126-SM-5LUA1 40-49 years, male 52.8
GTEX-S7SF-0926-SM-4AD4M 20-29 years, female 52.8
GTEX-T5JC-1726-SM-4DM6U 20-29 years, male 52.8
GTEX-WYVS-0726-SM-4ONDO 40-49 years, female 52.8
GTEX-1K2DA-0626-SM-CGQGO 50-59 years, male 52.7
GTEX-1399U-1026-SM-5J1OC 50-59 years, female 52.4
GTEX-13FTW-1626-SM-5KM4N 40-49 years, male 52.3
GTEX-11P81-0826-SM-5P9GR 30-39 years, female 52.2
GTEX-15ETS-1926-SM-7KUN5 40-49 years, female 52.2
GTEX-Q2AI-0626-SM-48TZU 40-49 years, male 52.2
GTEX-Y114-0926-SM-4TT7J 50-59 years, female 52.2
GTEX-YB5E-0926-SM-4WWDQ 40-49 years, male 52.2
GTEX-1JMLX-2326-SM-CXZJP 50-59 years, male 52.2
GTEX-ZDTT-1326-SM-4WKFH 60-69 years, male 52.0
GTEX-ZYFG-1126-SM-5GICY 60-69 years, female 52.0
GTEX-1GF9U-0826-SM-7MXTZ 40-49 years, female 52.0
GTEX-1I1GU-1426-SM-B2LX3 40-49 years, male 52.0
GTEX-S95S-0426-SM-4B64I 60-69 years, male 51.9
GTEX-ZQUD-0426-SM-57WFR 30-39 years, male 51.9
GTEX-1HC8U-1526-SM-9WPO4 40-49 years, female 51.9
GTEX-139T6-0626-SM-5IFF9 50-59 years, male 51.8
GTEX-18A67-2426-SM-7LT95 50-59 years, male 51.7
GTEX-1QP9N-0926-SM-E9U5S 30-39 years, male 51.7
GTEX-1QCLZ-1626-SM-E9U5R 60-69 years, female 51.6
GTEX-11XUK-0826-SM-5GU6P 40-49 years, female 51.4
GTEX-1CB4I-1026-SM-7MKFZ 50-59 years, male 51.4
GTEX-VUSG-1226-SM-4KKZF 50-59 years, male 51.4
GTEX-WFG7-1126-SM-4LMK3 20-29 years, male 51.4
GTEX-1LVAN-2326-SM-CNNPY 50-59 years, female 51.4
GTEX-1MA7W-0426-SM-E9TJ5 20-29 years, female 51.2
GTEX-Y5V5-1626-SM-4VDSG 60-69 years, female 51.1
GTEX-1KAFJ-0626-SM-D3L8X 50-59 years, male 51.1
GTEX-1S83E-0826-SM-EV7B7 40-49 years, male 51.1
GTEX-13FTX-0526-SM-5IFGS 20-29 years, female 51.0
GTEX-QLQ7-0926-SM-447BC 60-69 years, male 50.9
GTEX-15RIE-0826-SM-6M47X 60-69 years, male 50.8
GTEX-1IKOE-1526-SM-C1YSD 30-39 years, female 50.8
GTEX-W5WG-1626-SM-4LMKG 50-59 years, female 50.7
GTEX-XV7Q-1126-SM-4BRVS 40-49 years, female 50.6
GTEX-1RAZA-1326-SM-DPS12 20-29 years, male 50.6
GTEX-QVUS-0626-SM-447CC 60-69 years, female 50.5
GTEX-1IDJF-1226-SM-C1YPX 20-29 years, male 50.5
GTEX-OIZH-0626-SM-3NB1L 50-59 years, male 50.4
GTEX-131XG-1026-SM-5GCMX 50-59 years, female 50.2
GTEX-13PL7-0226-SM-731DT 60-69 years, female 50.2
GTEX-SE5C-1226-SM-4BRWV 40-49 years, female 50.1
GTEX-ZTX8-0226-SM-5E44D 20-29 years, male 50.1
GTEX-WYJK-1926-SM-4ONDP 50-59 years, male 50.0
GTEX-SNMC-0526-SM-4DM69 20-29 years, male 49.9
GTEX-1H3NZ-1326-SM-9JGHI 60-69 years, male 49.9
GTEX-1IDJD-1626-SM-C1YRC 30-39 years, male 49.9
GTEX-1MCYP-1026-SM-DPRYB 20-29 years, female 49.9
GTEX-111CU-0726-SM-5GZYD 50-59 years, male 49.8
GTEX-16BQI-1526-SM-6LLIE 30-39 years, female 49.8
GTEX-16MT8-1326-SM-6M47R 60-69 years, female 49.8
GTEX-1GN1W-2226-SM-9JGI5 50-59 years, female 49.8
GTEX-P4PP-0626-SM-3NM9X 30-39 years, female 49.7
GTEX-ZG7Y-1126-SM-4WWEZ 50-59 years, male 49.7
GTEX-14PHY-0626-SM-664NN 60-69 years, female 49.6
GTEX-ZAB4-1126-SM-5HL86 40-49 years, male 49.6
GTEX-1LNCM-0626-SM-EV7AI 50-59 years, female 49.6
GTEX-QEL4-1426-SM-447AC 50-59 years, male 49.5
GTEX-TKQ1-0326-SM-4DXSM 30-39 years, male 49.4
GTEX-1LG7Z-0926-SM-CXKYK 30-39 years, male 49.4
GTEX-18A66-1426-SM-7KFRT 60-69 years, male 49.3
GTEX-U3ZM-0526-SM-4DXTB 40-49 years, male 49.3
GTEX-14C38-2126-SM-5RQJO 50-59 years, male 49.2
GTEX-13QBU-1026-SM-5LU3R 40-49 years, female 49.1
GTEX-P4QT-0626-SM-3NMCP 50-59 years, female 49.1
GTEX-S32W-0926-SM-4AD5X 50-59 years, female 49.1
GTEX-11DXZ-1226-SM-5H11L 50-59 years, male 49.0
GTEX-OIZG-1026-SM-3LK5X 50-59 years, male 49.0
GTEX-144GM-1426-SM-5LU31 20-29 years, male 48.9
GTEX-N7MT-0326-SM-48TDP 60-69 years, female 48.9
GTEX-P4PQ-0626-SM-3NMCU 60-69 years, male 48.8
GTEX-R55C-0826-SM-48FCL 40-49 years, male 48.8
GTEX-Y9LG-0626-SM-4WWDH 30-39 years, male 48.8
GTEX-ZTSS-0626-SM-59867 40-49 years, male 48.7
GTEX-1J1R8-0326-SM-AHZ3D 40-49 years, male 48.7
GTEX-13S86-0826-SM-5SI6J 40-49 years, male 48.6
GTEX-U4B1-0826-SM-4DXTW 40-49 years, male 48.6
GTEX-1MGNQ-1626-SM-EAZ4Z 40-49 years, male 48.6
GTEX-14JIY-0926-SM-6871D 60-69 years, male 48.5
GTEX-1HSGN-1626-SM-A96U2 40-49 years, female 48.5
GTEX-1LGOU-0526-SM-D3LAO 20-29 years, female 48.4
GTEX-1QPFJ-1226-SM-EAZ3M 30-39 years, female 48.4
GTEX-17F96-2526-SM-7DHL3 70-79 years, male 48.3
GTEX-1HKZK-1426-SM-A96U1 40-49 years, male 48.3
GTEX-17HGU-1426-SM-7938G 50-59 years, male 48.1
GTEX-R53T-1126-SM-48FD4 50-59 years, female 48.1
GTEX-16AAH-0726-SM-793A9 50-59 years, male 48.0
GTEX-1GMR8-1826-SM-9WYUE 50-59 years, female 48.0
GTEX-131XF-0826-SM-5GICG 60-69 years, male 47.9
GTEX-1C2JI-1126-SM-731FH 50-59 years, male 47.9
GTEX-1CB4E-1026-SM-793AB 60-69 years, male 47.9
GTEX-15DCD-1626-SM-6AJBH 70-79 years, female 47.8
GTEX-RWS6-0826-SM-47JXF 60-69 years, female 47.8
GTEX-XMK1-1326-SM-4B65Q 40-49 years, male 47.8
GTEX-14JG6-0926-SM-6871Y 30-39 years, female 47.7
GTEX-PWCY-0726-SM-48TCS 20-29 years, female 47.7
GTEX-XYKS-1526-SM-4BRUP 60-69 years, female 47.7
GTEX-1HCUA-1426-SM-9WPP7 50-59 years, female 47.5
GTEX-1JMPZ-2026-SM-C1YR8 30-39 years, male 47.5
GTEX-1R7EU-0826-SM-DPRZL 60-69 years, male 47.5
GTEX-ZF2S-1226-SM-4WWAX 50-59 years, female 47.4
GTEX-ZYY3-1526-SM-5SIA9 60-69 years, female 47.4
GTEX-1MCC2-1926-SM-DHXJR 30-39 years, female 47.4
GTEX-1A3MV-1326-SM-7LG6C 30-39 years, male 47.3
GTEX-TSE9-1226-SM-4DXTM 60-69 years, female 47.2
GTEX-12ZZW-1726-SM-5DUVD 50-59 years, male 47.1
GTEX-1GL5R-1526-SM-7MKHO 50-59 years, male 47.1
GTEX-1PPH8-1626-SM-E6CQP 20-29 years, male 47.1
GTEX-13X6H-1326-SM-5LU42 50-59 years, female 47.0
GTEX-R55G-1026-SM-48FDI 40-49 years, female 47.0
GTEX-1J8QM-1926-SM-AHZ3Z 60-69 years, female 47.0
GTEX-132QS-1426-SM-5P9GE 60-69 years, male 46.9
GTEX-ZTPG-1626-SM-5DUX2 20-29 years, female 46.9
GTEX-1QP28-1826-SM-EAZ4L 50-59 years, female 46.9
GTEX-11TT1-0526-SM-5P9JO 20-29 years, male 46.8
GTEX-V955-1126-SM-4JBH3 60-69 years, male 46.8
GTEX-WFON-0826-SM-4LVMI 40-49 years, male 46.8
GTEX-X3Y1-1326-SM-4PQZB 40-49 years, male 46.7
GTEX-14PJ3-0626-SM-6UGC5 50-59 years, male 46.6
GTEX-12WSL-1526-SM-5GCP8 50-59 years, male 46.5
GTEX-13U4I-1126-SM-5LU3S 40-49 years, female 46.5
GTEX-R45C-1226-SM-48FEE 60-69 years, female 46.5
GTEX-WHPG-1126-SM-4M1XT 50-59 years, male 46.5
GTEX-XMD2-1326-SM-4YCET 60-69 years, female 46.4
GTEX-17F97-1326-SM-7MGVO 50-59 years, male 46.4
GTEX-1I1GS-2126-SM-ARU7G 60-69 years, male 46.4
GTEX-139YR-1726-SM-5IFFK 50-59 years, male 46.3
GTEX-146FH-1726-SM-5QGQ2 50-59 years, female 46.3
GTEX-X15G-0826-SM-4PQZD 50-59 years, female 46.3
GTEX-ZVE2-1326-SM-5NQ94 50-59 years, male 46.3
GTEX-1OKEX-1326-SM-E9J2U 60-69 years, male 46.3
GTEX-ZLFU-1126-SM-DO11K 40-49 years, male 46.3
GTEX-1JKYN-1526-SM-CGQGA 30-39 years, male 46.2
GTEX-146FR-0426-SM-5SI97 60-69 years, female 46.1
GTEX-14PJM-1526-SM-664NY 50-59 years, female 46.1
GTEX-1AMFI-0226-SM-731D5 50-59 years, female 46.1
GTEX-PWN1-0626-SM-48TDT 40-49 years, female 46.1
GTEX-1B97J-1026-SM-7MXTE 50-59 years, female 46.1
GTEX-QLQW-0526-SM-4R1KS 30-39 years, male 46.0
GTEX-SUCS-0726-SM-4DM7J 70-79 years, male 46.0
GTEX-1RAZQ-1726-SM-EAZ4T 30-39 years, male 46.0
GTEX-1QP2A-1926-SM-EXOJ9 50-59 years, male 45.9
GTEX-1OJC3-0826-SM-DPRYU 20-29 years, male 45.8
GTEX-144GO-2726-SM-5O9A2 60-69 years, male 45.7
GTEX-RM2N-0726-SM-48FD5 50-59 years, male 45.7
GTEX-WOFM-0626-SM-4OOS3 20-29 years, male 45.7
GTEX-X4LF-0626-SM-4QASB 50-59 years, male 45.6
GTEX-11EQ9-0726-SM-5A5K2 30-39 years, male 45.5
GTEX-14E6E-0726-SM-5S2R3 30-39 years, male 45.5
GTEX-1R9K5-1526-SM-DPRZA 50-59 years, male 45.5
GTEX-Z9EW-0526-SM-5HL8S 40-49 years, male 45.4
GTEX-1RAZR-1226-SM-E6CRD 40-49 years, male 45.4
GTEX-16NGA-1426-SM-718AC 40-49 years, female 45.3
GTEX-PSDG-1326-SM-48TD2 50-59 years, male 45.3
GTEX-111YS-0926-SM-5EGGI 60-69 years, male 45.2
GTEX-178AV-0526-SM-6LPJH 40-49 years, male 45.2
GTEX-1CB4F-1526-SM-7MKFM 60-69 years, male 45.2
GTEX-1B8KZ-0726-SM-7938W 50-59 years, male 45.1
GTEX-S341-0526-SM-4AD5U 40-49 years, female 45.0
GTEX-11I78-1526-SM-5A5K7 50-59 years, female 44.8
GTEX-14ICL-0526-SM-5RQJ6 30-39 years, male 44.8
GTEX-V1D1-1026-SM-4JBHE 50-59 years, male 44.8
GTEX-1JMQJ-1226-SM-D3L97 50-59 years, male 44.7
GTEX-1LVA9-2126-SM-DLHBY 50-59 years, male 44.7
GTEX-169BO-0526-SM-793AK 50-59 years, male 44.6
GTEX-14PJN-0526-SM-68724 30-39 years, male 44.5
GTEX-WHSB-0426-SM-4M1XI 50-59 years, male 44.5
GTEX-1AX9J-1826-SM-731FM 60-69 years, male 44.4
GTEX-RTLS-1126-SM-46MUQ 60-69 years, female 44.4
GTEX-U3ZN-1726-SM-4DXUQ 30-39 years, female 44.4
GTEX-12C56-1226-SM-5FQSU 20-29 years, male 44.3
GTEX-13W3W-1626-SM-5LU35 60-69 years, female 44.3
GTEX-WXYG-1226-SM-4ONCJ 50-59 years, female 44.3
GTEX-145MO-1426-SM-DTX9W 60-69 years, male 44.3
GTEX-ZF29-1326-SM-DNZYV 60-69 years, female 44.2
GTEX-1AYD5-0926-SM-793AF 50-59 years, male 44.1
GTEX-XXEK-0326-SM-4BRVV 50-59 years, male 44.1
GTEX-11LCK-1726-SM-5S2OQ 30-39 years, male 44.0
GTEX-Q2AH-0826-SM-48TZN 40-49 years, male 44.0
GTEX-ZPCL-1426-SM-57WEC 60-69 years, female 44.0
GTEX-S3XE-0926-SM-4AD4S 50-59 years, male 43.9
GTEX-1JMPY-0826-SM-AHZ4A 30-39 years, male 43.8
GTEX-13O3Q-0826-SM-5IFGF 50-59 years, male 43.7
GTEX-1AMEY-0226-SM-7189Q 30-39 years, female 43.7
GTEX-1B97I-0926-SM-731DZ 40-49 years, male 43.7
GTEX-ZT9X-0526-SM-5GCOP 40-49 years, male 43.7
GTEX-U3ZH-1026-SM-4DXUZ 30-39 years, male 43.6
GTEX-ZYVF-2226-SM-5GIDD 50-59 years, female 43.6
GTEX-145LV-1326-SM-5S2QI 50-59 years, male 43.5
GTEX-15SHU-1426-SM-6LPIN 40-49 years, female 43.5
GTEX-ZZ64-0226-SM-5E44X 20-29 years, male 43.5
GTEX-S4P3-0426-SM-4AD56 50-59 years, female 43.4
GTEX-1399R-0826-SM-5IJEL 30-39 years, male 43.2
GTEX-14BIM-1326-SM-7EWD1 60-69 years, female 43.2
GTEX-WFJO-0826-SM-4LVM5 30-39 years, male 43.2
GTEX-15ER7-2126-SM-7939E 20-29 years, female 43.1
GTEX-ZF3C-1626-SM-4WWB4 50-59 years, female 43.0
GTEX-UJMC-0926-SM-4IHLK 50-59 years, male 42.9
GTEX-1N2DW-1426-SM-EV7AZ 50-59 years, male 42.9
GTEX-1AX9K-1126-SM-731DQ 50-59 years, male 42.8
GTEX-1C475-0926-SM-7MKFI 40-49 years, female 42.8
GTEX-1AX8Z-5016-SM-AHZ2B 60-69 years, male 42.8
GTEX-1HBPM-1426-SM-9WPPE 60-69 years, female 42.7
GTEX-13OVK-1126-SM-6PAMR 40-49 years, male 42.6
GTEX-13QJ3-1726-SM-5RQK9 50-59 years, male 42.6
GTEX-1I4MK-0426-SM-B2LWQ 50-59 years, female 42.6
GTEX-13CF3-1626-SM-5IFG9 60-69 years, female 42.5
GTEX-12ZZX-1326-SM-5DUWI 40-49 years, female 42.4
GTEX-13OVJ-1226-SM-5L3HA 50-59 years, female 42.4
GTEX-13YAN-1926-SM-7EPH9 60-69 years, male 42.4
GTEX-ZEX8-1426-SM-4WKHQ 50-59 years, male 42.4
GTEX-1HSMQ-2026-SM-B2LY1 50-59 years, male 42.4
GTEX-1JK1U-1726-SM-CNNPM 60-69 years, male 42.4
GTEX-Y3I4-1226-SM-4TT8N 50-59 years, male 42.2
GTEX-WQUQ-1626-SM-4OOSH 60-69 years, male 42.1
GTEX-18A7A-2326-SM-7KFRH 50-59 years, female 42.0
GTEX-1ICG6-1926-SM-ARU7L 70-79 years, female 42.0
GTEX-1QCLY-1526-SM-DPRXX 30-39 years, male 41.9
GTEX-11VI4-0526-SM-5EQ48 40-49 years, female 41.8
GTEX-OXRN-1726-SM-3NM9B 50-59 years, male 41.7
GTEX-P4QS-0626-SM-3NMD1 60-69 years, male 41.7
GTEX-YF7O-0926-SM-5IFIF 50-59 years, male 41.7
GTEX-1B996-1826-SM-7MGY6 60-69 years, male 41.7
GTEX-ZGAY-1126-SM-4WWBS 40-49 years, female 41.6
GTEX-1IDFM-1126-SM-A96SY 60-69 years, male 41.6
GTEX-1C64O-1826-SM-7DHM4 60-69 years, male 41.5
GTEX-1GPI7-1026-SM-7MGY2 20-29 years, male 41.5
GTEX-1IKK5-1326-SM-AHZ2X 60-69 years, male 41.5
GTEX-1M5QR-0726-SM-DHXK7 40-49 years, male 41.5
GTEX-144FL-2726-SM-5O98Z 50-59 years, male 41.4
GTEX-14B4R-0326-SM-5TDDP 30-39 years, male 41.4
GTEX-1RLM8-0726-SM-E6CRH 50-59 years, male 41.4
GTEX-15EO6-1026-SM-7KUG9 50-59 years, male 41.3
GTEX-ZE9C-1126-SM-4WWBD 60-69 years, male 41.3
GTEX-ZVT2-1326-SM-5E45H 50-59 years, female 41.3
GTEX-11EM3-0826-SM-5N9CC 20-29 years, female 41.2
GTEX-17KNJ-1326-SM-7KFTG 50-59 years, male 41.2
GTEX-1F5PL-1726-SM-9QEGL 40-49 years, female 41.0
GTEX-13FH7-0526-SM-5IJF8 50-59 years, female 40.9
GTEX-RU1J-0326-SM-46MUM 20-29 years, female 40.8
GTEX-XK95-1026-SM-4GIDV 40-49 years, male 40.8
GTEX-1H1DE-1026-SM-9JGH6 20-29 years, male 40.8
GTEX-1KXAM-0826-SM-CXZK9 60-69 years, male 40.8
GTEX-12WSG-5007-SM-7DUGZ 50-59 years, female 40.7
GTEX-133LE-0626-SM-5IFFJ 20-29 years, female 40.7
GTEX-1EX96-2226-SM-7MKGT 50-59 years, male 40.7
GTEX-OIZI-1426-SM-3NB1T 40-49 years, male 40.7
GTEX-11NSD-1126-SM-5N9BQ 20-29 years, male 40.6
GTEX-OHPN-1026-SM-E9TI8 60-69 years, female 40.6
GTEX-14PJ6-1026-SM-686ZB 60-69 years, female 40.5
GTEX-145MF-1426-SM-5O9B6 50-59 years, male 40.4
GTEX-17HII-1526-SM-9OSVD 50-59 years, male 40.4
GTEX-OXRL-0626-SM-3NM9C 50-59 years, male 40.3
GTEX-QDVJ-0726-SM-48U1W 50-59 years, male 40.3
GTEX-QEG5-1426-SM-447AS 20-29 years, male 40.1
GTEX-REY6-1326-SM-48FDO 60-69 years, male 40.1
GTEX-U8XE-1726-SM-4E3IF 30-39 years, male 40.1
GTEX-1B8KE-1826-SM-731FD 50-59 years, male 40.0
GTEX-VJYA-0726-SM-4KL1T 60-69 years, male 40.0
GTEX-1EMGI-1926-SM-7938Y 60-69 years, male 39.9
GTEX-11DXX-1126-SM-5GZZK 60-69 years, female 39.8
GTEX-146FQ-1026-SM-5LU8I 30-39 years, male 39.8
GTEX-16MTA-0826-SM-6LLIC 50-59 years, male 39.8
GTEX-17MFQ-0526-SM-7KFTX 20-29 years, male 39.5
GTEX-UJHI-0826-SM-4IHLM 50-59 years, female 39.5
GTEX-1CB4J-2426-SM-7MXVC 60-69 years, male 39.5
GTEX-17HHE-0926-SM-7938K 50-59 years, male 39.4
GTEX-ZDYS-0826-SM-4WWCR 50-59 years, male 39.4
GTEX-15DYW-1826-SM-6LPIY 60-69 years, female 39.3
GTEX-11EMC-2226-SM-5A5JW 60-69 years, female 39.2
GTEX-13X6K-2126-SM-5O9D4 60-69 years, female 39.2
GTEX-1J1OQ-2526-SM-AHZ3Q 40-49 years, female 39.2
GTEX-12WSD-1826-SM-5GCOA 60-69 years, female 39.1
GTEX-14PJ4-1526-SM-664OA 60-69 years, male 39.1
GTEX-1LBAC-1226-SM-DHXK1 20-29 years, male 39.1
GTEX-1211K-0926-SM-5FQTL 60-69 years, female 39.0
GTEX-ZY6K-0626-SM-59HJL 50-59 years, male 38.6
GTEX-ZYW4-1326-SM-5E45N 60-69 years, male 38.5
GTEX-1PFEY-0826-SM-E9U6A 30-39 years, male 38.5
GTEX-S33H-0826-SM-4AD5Y 30-39 years, male 38.4
GTEX-ZYT6-1126-SM-5GZYR 30-39 years, male 38.4
GTEX-13FLV-1126-SM-5J2NO 50-59 years, male 38.2
GTEX-17EUY-1426-SM-7938X 20-29 years, male 38.2
GTEX-17EVQ-1926-SM-7IGOF 70-79 years, male 38.2
GTEX-1EH9U-2426-SM-7EWFG 60-69 years, male 38.2
GTEX-13OW8-2326-SM-5L3I9 60-69 years, male 38.1
GTEX-1IDJH-2026-SM-CNNQX 70-79 years, male 38.0
GTEX-1LVAM-1126-SM-DHXKP 50-59 years, female 38.0
GTEX-14BMU-0926-SM-5S2QB 20-29 years, female 37.9
GTEX-14DAQ-1426-SM-5RQJD 60-69 years, female 37.7
GTEX-16Z82-1926-SM-6M47U 60-69 years, male 37.7
GTEX-139TU-1226-SM-5J2NL 60-69 years, male 37.6
GTEX-X62O-2226-SM-46MW3 50-59 years, male 37.6
GTEX-1GN73-1926-SM-9JGGS 60-69 years, male 37.6
GTEX-1HCVE-1226-SM-9WPPH 50-59 years, male 37.6
GTEX-1LG7Y-1726-SM-EV7AR 50-59 years, male 37.6
GTEX-13111-0826-SM-5LZV3 50-59 years, male 37.5
GTEX-X4XY-1726-SM-46MVO 60-69 years, male 37.5
GTEX-1H11D-2126-SM-9OSXM 40-49 years, male 37.5
GTEX-13SLX-1726-SM-5Q5E5 50-59 years, female 37.4
GTEX-13W46-1926-SM-5J2MF 50-59 years, male 37.4
GTEX-139UW-1126-SM-5IJEJ 60-69 years, male 37.3
GTEX-13O21-0626-SM-5IJDI 50-59 years, male 37.3
GTEX-UPK5-1226-SM-4IHL8 40-49 years, male 37.3
GTEX-15RJ7-0926-SM-6LPJO 40-49 years, male 37.2
GTEX-1LSVX-1226-SM-DHXJN 60-69 years, male 37.2
GTEX-WEY5-0926-SM-4LMI4 40-49 years, female 37.0
GTEX-YFC4-1226-SM-5LU9R 40-49 years, female 37.0
GTEX-XGQ4-1526-SM-4AT6H 50-59 years, male 36.8
GTEX-16NPX-1626-SM-6LLI5 50-59 years, male 36.7
GTEX-16XZY-0926-SM-7938M 70-79 years, male 36.6
GTEX-1CB4G-1326-SM-7MKFP 60-69 years, male 36.6
GTEX-XUZC-0426-SM-4BOPE 30-39 years, female 36.6
GTEX-ZAB5-0926-SM-5CVMV 50-59 years, male 36.6
GTEX-1PPGY-1726-SM-EVR3S 60-69 years, male 36.6
GTEX-17JCI-1226-SM-793D9 60-69 years, female 36.5
GTEX-R3RS-1326-SM-48FE7 40-49 years, female 36.5
GTEX-1F52S-1426-SM-7P8PU 60-69 years, female 36.5
GTEX-ZAJG-1326-SM-5S2NV 50-59 years, female 36.3
GTEX-1HFI6-1226-SM-A96SK 40-49 years, male 36.3
GTEX-1HGF4-0926-SM-9WPP8 60-69 years, male 36.2
GTEX-12KS4-0926-SM-5BC5S 30-39 years, male 36.1
GTEX-RU72-0726-SM-46MUW 50-59 years, female 36.1
GTEX-13NZB-1226-SM-5J2MW 30-39 years, male 36.0
GTEX-T5JW-1326-SM-4DM5G 20-29 years, female 36.0
GTEX-1S82Y-1226-SM-EV7BD 40-49 years, male 35.9
GTEX-17F98-1726-SM-7938O 40-49 years, female 35.8
GTEX-1H23P-1426-SM-9JGH5 60-69 years, male 35.8
GTEX-15DCE-1326-SM-6LPJL 20-29 years, male 35.7
GTEX-1K9T9-2026-SM-CXZK3 50-59 years, female 35.6
GTEX-12696-1326-SM-5FQTJ 60-69 years, male 35.5
GTEX-14PK6-1326-SM-686ZE 70-79 years, female 35.5
GTEX-QESD-0826-SM-47J4G 20-29 years, male 35.5
GTEX-13X6I-1026-SM-5LU4C 60-69 years, male 35.4
GTEX-P78B-1026-SM-3NMC4 40-49 years, female 35.4
GTEX-1HCU7-2126-SM-A96SG 50-59 years, male 35.4
GTEX-145LS-1826-SM-5LUAZ 60-69 years, female 35.3
GTEX-WHSE-1526-SM-4M1XH 20-29 years, male 35.3
GTEX-1497J-2726-SM-5SI9W 60-69 years, male 35.2
GTEX-1R9K4-1926-SM-DPRZW 60-69 years, male 35.1
GTEX-14A6H-1326-SM-5NQBC 30-39 years, male 35.0
GTEX-1QP29-2126-SM-E6CPZ 50-59 years, male 34.9
GTEX-1RDX4-2126-SM-EV7B3 50-59 years, female 34.9
GTEX-11GSP-1826-SM-5N9DQ 60-69 years, female 34.7
GTEX-1F88F-1126-SM-7MKHL 60-69 years, female 34.7
GTEX-1QEPI-1826-SM-EAZ3J 60-69 years, female 34.7
GTEX-QEG4-0726-SM-CNNRF 30-39 years, male 34.6
GTEX-1H1ZS-1526-SM-9OSXR 70-79 years, male 34.5
GTEX-RUSQ-0826-SM-47JWW 50-59 years, male 34.3
GTEX-ZV68-0926-SM-59HK7 50-59 years, female 34.3
GTEX-148VI-1026-SM-5TDDJ 60-69 years, female 34.2
GTEX-ZPU1-1426-SM-4WWFU 40-49 years, male 34.2
GTEX-11DYG-1326-SM-5N9DO 60-69 years, male 34.1
GTEX-1EN7A-1226-SM-7MGX9 40-49 years, male 34.0
GTEX-T2IS-0826-SM-4DM6L 20-29 years, female 33.7
GTEX-1CB4H-1526-SM-7MXU4 60-69 years, female 33.7
GTEX-18465-1126-SM-7LG6E 50-59 years, male 33.6
GTEX-1CAMQ-2726-SM-7MKGD 40-49 years, male 33.6
GTEX-1EKGG-1726-SM-7MXUP 60-69 years, male 33.6
GTEX-131YS-1426-SM-5IJF7 60-69 years, female 33.5
GTEX-1AX9I-1426-SM-7DHM8 60-69 years, male 33.5
GTEX-1I1GV-2226-SM-ARU7E 60-69 years, male 33.4
GTEX-11EI6-1526-SM-5P9GL 60-69 years, male 33.3
GTEX-YECK-1626-SM-5IFHQ 60-69 years, male 33.3
GTEX-ZUA1-1226-SM-5NQ6O 40-49 years, male 33.3
GTEX-1IY9M-1626-SM-AHZ39 60-69 years, male 33.3
GTEX-1GTWX-1326-SM-9JGHU 60-69 years, male 33.2
GTEX-TMMY-1126-SM-4DXSX 40-49 years, female 33.1
GTEX-11ZU8-1526-SM-5EGHX 60-69 years, male 32.9
GTEX-1A32A-1826-SM-72D5G 50-59 years, female 32.9
GTEX-POYW-1326-SM-48TCG 60-69 years, male 32.8
GTEX-X4EO-1226-SM-4QARR 60-69 years, female 32.8
GTEX-1JMQK-2026-SM-C1YQN 60-69 years, male 32.8
GTEX-1MA7X-0726-SM-EV7AB 60-69 years, male 32.8
GTEX-RNOR-1226-SM-48FDQ 50-59 years, female 32.7
GTEX-WVLH-1426-SM-4MVNX 50-59 years, male 32.4
GTEX-1LB8K-1326-SM-CXZKB 50-59 years, male 32.4
GTEX-1GN1U-1826-SM-9JGH2 50-59 years, female 32.2
GTEX-13JVG-2026-SM-5KM1N 60-69 years, male 32.1
GTEX-1E1VI-1526-SM-7IGQ2 50-59 years, male 32.0
GTEX-1212Z-2126-SM-5FQTM 60-69 years, male 31.8
GTEX-1I1GR-1326-SM-ARU7B 60-69 years, male 31.7
GTEX-XQ3S-1126-SM-4BOPK 20-29 years, male 31.6
GTEX-OXRP-0926-SM-48TC1 60-69 years, female 31.5
GTEX-13G51-0926-SM-5IFFU 60-69 years, male 31.4
GTEX-1J8EW-1326-SM-AHZ3S 60-69 years, female 31.4
GTEX-R55D-1126-SM-48FEB 50-59 years, male 31.2
GTEX-1H3VY-2026-SM-9JGHK 50-59 years, male 31.2
GTEX-1MCQQ-1026-SM-EV7AX 60-69 years, male 30.9
GTEX-1I1GQ-1726-SM-B2LWZ 50-59 years, male 30.7
GTEX-1B933-2026-SM-7EWFC 50-59 years, female 30.5
GTEX-1RAZS-2626-SM-EV79C 50-59 years, male 30.5
GTEX-14BIN-2726-SM-5RQIE 50-59 years, female 30.4
GTEX-1BAJH-2026-SM-7P8OZ 70-79 years, male 30.4
GTEX-1I1CD-1726-SM-A9G3P 60-69 years, female 30.4
GTEX-SJXC-1426-SM-EYYVB 60-69 years, male 30.3
GTEX-11ONC-1526-SM-5GU6S 60-69 years, male 30.2
GTEX-1EWIQ-1526-SM-79OO7 70-79 years, female 30.1
GTEX-1I6K7-1426-SM-B2LXP 40-49 years, male 30.1
GTEX-1LSNL-2226-SM-DHXKM 50-59 years, male 30.0
GTEX-1A8FM-1526-SM-7MXTA 50-59 years, female 29.9
GTEX-X4EP-1626-SM-4QAS6 60-69 years, female 29.8
GTEX-13FHP-1526-SM-5IJGE 50-59 years, male 29.6
GTEX-17F9E-1926-SM-7IGQF 50-59 years, male 29.5
GTEX-1EU9M-2326-SM-7MKGS 60-69 years, male 29.5
GTEX-N7MS-1225-SM-3LK5G 60-69 years, male 29.2
GTEX-11ZTS-2626-SM-5EGIC 60-69 years, female 29.1
GTEX-148VJ-1026-SM-5LU98 70-79 years, male 29.1
GTEX-WHWD-0926-SM-4OORY 50-59 years, male 29.0
GTEX-1F7RK-1526-SM-7P8T6 20-29 years, female 28.9
GTEX-Y111-1626-SM-57WCY 50-59 years, male 28.8
GTEX-1HBPH-1126-SM-A96TU 40-49 years, female 28.7
GTEX-117YW-1926-SM-5H121 50-59 years, male 28.6
GTEX-11NUK-1326-SM-5P9GN 50-59 years, male 28.5
GTEX-WK11-1026-SM-4OOS8 50-59 years, male 28.5
GTEX-ZYFC-1626-SM-5N9EU 50-59 years, male 28.5
GTEX-145LU-0926-SM-79OJL 50-59 years, male 28.1
GTEX-1HSKV-2426-SM-A8N8K 60-69 years, male 28.0
GTEX-R55E-1326-SM-48FCR 20-29 years, male 27.9
GTEX-RN64-1026-SM-48FDX 50-59 years, male 27.9
GTEX-11TUW-1326-SM-5EQKV 60-69 years, male 27.8
GTEX-YJ89-1526-SM-5P9IR 60-69 years, male 27.6
GTEX-PVOW-1626-SM-48TC9 40-49 years, male 27.4
GTEX-13O1R-1326-SM-5IJF5 60-69 years, male 26.8
GTEX-18A6Q-1226-SM-7KFS9 60-69 years, male 26.8
GTEX-12ZZY-1426-SM-5N9EI 60-69 years, male 26.5
GTEX-ZAK1-1526-SM-5S2OV 50-59 years, female 26.5
GTEX-13PVQ-1726-SM-5IFF3 50-59 years, male 26.1
GTEX-1HCU6-1326-SM-A96TZ 60-69 years, female 26.1
GTEX-RVPV-0526-SM-47JYL 60-69 years, male 25.9
GTEX-1I1GP-1026-SM-C1YRZ 50-59 years, male 25.6
GTEX-1KD4Q-1126-SM-CXZKK 40-49 years, male 23.3
GTEX-1H1DG-1226-SM-9JGH3 70-79 years, male 21.8
GTEX-1C6VQ-1826-SM-7EWEH 50-59 years, male 21.6
Show allShow less

ESOPHAGUS - FANTOM5 CAGEi

RNA expression in human tissues obtained through Cap Analysis of Gene Expression (CAGE) generated by the FANTOM5 project are reported as Scaled Tags Per Million.

Max subtype Scaled Tags Per Millioni

Max subtype Scaled Tags Per Million is the value for the subtype with the largest average Scaled Tags Per Million across the subtype samples.

131.2
FANTOM5 sample id Sample description Scaled Tags Per Million
Esophagus
Scaled Tags Per Million: 131.2
FF:10015-101C6 68,74,75 years, mixed 131.2

Contact

  • NEWS ARTICLES
  • PRESS ROOM

The Project

  • INTRODUCTION
  • ORGANIZATION
  • PUBLICATIONS

The Human Protein Atlas

  • DOWNLOADABLE DATA
  • LICENCE & CITATION
  • HELP & FAQ
The Human Protein Atlas project is funded
by the Knut & Alice Wallenberg Foundation.


contact@proteinatlas.org