We use cookies to enhance the usability of our website. If you continue, we'll assume that you are happy to receive all cookies. More information. Don't show this again.
BLVRB
HPA
RESOURCES
  • TISSUE
  • BRAIN
  • SINGLE CELL
  • SUBCELLULAR
  • CANCER
  • BLOOD
  • CELL LINE
  • STRUCTURE & INTERACTION
ABOUT
  • INTRODUCTION
  • HISTORY
  • ORGANIZATION
  • PUBLICATIONS
  • ANTIBODY SUBMISSION
  • ANTIBODY AVAILABILITY
  • ACKNOWLEDGMENTS
  • CONTACT
NEWS
  • NEWS ARTICLES
  • PRESS ROOM
LEARN
  • DICTIONARY
  • PROTEIN CLASSES
  • PROTEIN EVIDENCE
  • METHODS
  • EDUCATIONAL VIDEOS
DATA
  • DOWNLOADABLE DATA
  • PUBLICATION DATA
  • RELEASE HISTORY
HELP
  • ANTIBODY VALIDATION
  • ASSAYS & ANNOTATION
  • DISCLAIMER
  • HELP & FAQ
  • PRIVACY STATEMENT
  • LICENCE & CITATION
Fields »
Search result

Field
Term
Gene name
Class
Subclass
Class
Keyword
Chromosome
External id
Tissue
Cell type
Expression
Antibody panel
Tissue
Main location
Patient ID
Annotation
Tissue
Category
Tau score
Cluster
Reliability
Brain region
Category
Tau score
Brain region
Category
Tau score
Brain region
Category
Tau score
Cluster
Reliability
Tissue
Cell type
Enrichment
Cell type
Category
Tau score
Cell type
Category
Tau score
Cell type
Category
Tau score
Cell lineage
Category
Tau score
Cluster
Cluster
Location
Searches
Location
Cell line
Class
Type
Phase
Reliability
Cancer
Prognosis
Cancer
Category
Cancer
Category
Tau score
Cluster
Variants
Interacting gene (ensg_id)
Type
Number of interactions
Pathway
Category
Score
Score
Score
Validation
Validation
Validation
Validation
Antibodies
Data type
Column


  • SUMMARY

  • TISSUE

  • BRAIN

  • SINGLE CELL

  • SUBCELL

  • CANCER

  • BLOOD

  • CELL LINE

  • STRUCT & INT

  • BLVRB
TISSUE PRIMARY DATA SKIN Show tissue menu
ADIPOSE TISSUE ADRENAL GLAND AMYGDALA APPENDIX BASAL GANGLIA BONE MARROW BREAST BRONCHUS CEREBELLUM CEREBRAL CORTEX CERVIX CHOROID PLEXUS COLON DUODENUM
ENDOMETRIUM EPIDIDYMIS ESOPHAGUS FALLOPIAN TUBE GALLBLADDER HEART MUSCLE HIPPOCAMPAL FORMATION HYPOTHALAMUS KIDNEY LIVER LUNG LYMPH NODE MIDBRAIN NASOPHARYNX
ORAL MUCOSA OVARY PANCREAS PARATHYROID GLAND PITUITARY GLAND PLACENTA PROSTATE RECTUM RETINA SALIVARY GLAND SEMINAL VESICLE SKELETAL MUSCLE SKIN SMALL INTESTINE
SMOOTH MUSCLE SOFT TISSUE SPINAL CORD SPLEEN STOMACH TESTIS THYMUS THYROID GLAND TONGUE TONSIL URINARY BLADDER VAGINA
ANTIBODIES
AND
VALIDATION
Dictionary
Skin
Tissue proteome
Skin
SKIN - Expression summary
Protein expression
Skini

On the top, protein expression in current human tissue, based on all annotated cell types, is reported with the units not detected (n), low (l), medium (m) and high (h). Underneath, protein expression in each annotated cell type are reported using the same units.

Protein expression data is based on knowledge-based annotation. For genes where more than one antibody has been used, a collective score is set.

If knowledge-based annotation could not be performed for a gene, no data is displayed here. View antibody staining data further down this page.

h
m
l
n
Arrector pili muscle cells: Low
Cells in basal layer: Medium
Cells in corneal layer: Not detected
Cells in granular layer: Not detected
Cells in spinous layer: Medium
Eccrine glands: Medium
Endothelial cells: Medium
Extracellular matrix: Not detected
Fibrohistiocytic cells: Medium
Langerhans cells: Medium
Lymphocytes: High
Melanocytes: Medium
Sebaceous glands: Medium
Vascular mural cells: Not detected
RNA expressioni

A summary of mRNA expression data available for current tissue based on several datasets. The mRNA expression levels in human tissues are based on RNA-seq data generated by the Human Protein Atlas (HPA), Genotype-Tissue Expression (GTEx) portal and CAGE data generated by the FANTOM5 consortium. Consensus normalized expression levels for human tissues was created by combining the data from HPA and GTEx datasets.

The mRNA expression levels in pig are based on RNA-seq data generated by the Human Protein Atlas (HPA), and for mouse, HPA data and in situ hybridization generated by the Allen brain atlas are reported.

Scroll down to view mRNA expression data in more detail.
Consensus:81.3 nTPM
HPA:50.0 nTPM
GTEx:81.3 nTPM

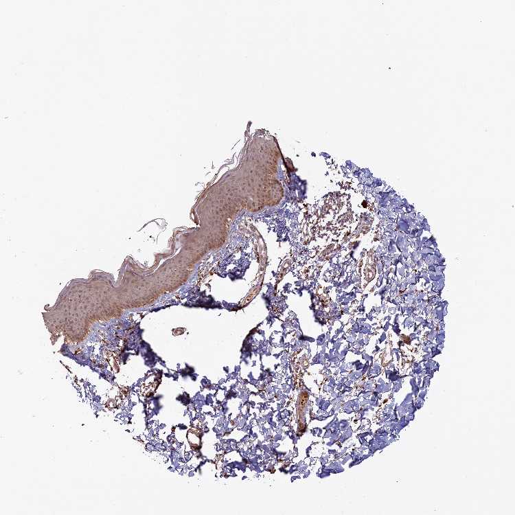
SKIN 1 - Antibody stainingi

Antibody staining in the annotated cell types in the current human tissue is reported as not detected, low, medium, or high, based on conventional immunohistochemistry profiling in selected tissues. This score is based on the combination of the staining intensity and fraction of stained cells.

Each image is clickable and will lead to virtual microscopy that enables deeper exploration of all samples and also displays staining intensity scores, fraction scores and subcellular localization as well as patient and tissue information for each sample.

Antibody HPA041698Antibody HPA041937
Langerhans Medium-
Arrector pili muscle cells -Low
Cells in basal layer -Medium
Cells in corneal layer -Not detected
Cells in granular layer -Not detected
Cells in spinous layer -Medium
Endothelial cells -Medium
Extracellular matrix -Not detected
Fibroblasts Medium-
Fibrohistiocytic cells -Medium
Keratinocytes Medium-
Langerhans cells -Medium
Lymphocytes -Medium
Melanocytes MediumMedium
Sebaceous glands -Medium
Vascular mural cells -Not detected

SKIN 2 - Antibody stainingi

Antibody staining in the annotated cell types in the current human tissue is reported as not detected, low, medium, or high, based on conventional immunohistochemistry profiling in selected tissues. This score is based on the combination of the staining intensity and fraction of stained cells.

Each image is clickable and will lead to virtual microscopy that enables deeper exploration of all samples and also displays staining intensity scores, fraction scores and subcellular localization as well as patient and tissue information for each sample.

Antibody HPA041698Antibody HPA041937
Cells in basal layer -Medium
Cells in corneal layer -Not detected
Cells in granular layer -Not detected
Cells in spinous layer -Medium
Eccrine glands -Medium
Endothelial cells -Medium
Epidermal cells Low-
Extracellular matrix -Not detected
Fibrohistiocytic cells -Medium
Langerhans cells -Medium
Lymphocytes -High
Melanocytes -Medium
Sebaceous glands -Medium
Vascular mural cells -Not detected
  
  



SKIN - HPA RNA-seqi

The RNA-seq details section shows detailed information about the individual samples used for the transcript profiling and results of the RNA-seq analysis.

Information about each individual sample is listed below, including gender, age, a tissue section image and estimated fractions of cell types. nTPM (normalized transcripts per million) values give a quantification of the gene abundance which is comparable between different genes and samples.
Average nTPMi

Max subtype nTPM is the value for the subtype with the largest average nTPM across the subtype samples.

50.0
overview
Female, age 34
Skin sample 225
nTPM: 51.1
Cell types%
Keratinocytes:
60

Other cell types:
40

overview
Female, age 30
Skin sample 226
nTPM: 30.7
Cell types%
Keratinocytes:
55

Other cell types:
45

N/A
Male, age 57
Skin sample 227
nTPM: 68.1

SKIN - GTEx RNA-seqi

RNA-Seq data generated by the Genotype-Tissue Expression (GTEx) project from human tissues is reported as mean nTPM. More information can be found on the GTEx portal.

Distribution across the dataset is visualized with box plots, shown as median and 25th and 75th percentiles. Points are displayed as outliers if they are above or below 1.5 times the interquartile range. nTPM values of the individual samples are presented next to the box plot.
Max subtype nTPMi

Max subtype nTPM is the value for the subtype with the largest average nTPM across the subtype samples.

81.3
GTEx sample id Sample description nTPM
Skin - Not Sun Exposed (Suprapubic)
Average nTPM: 81.3
Samples: 604

Max nTPM: 201.1
Min nTPM: 33.5
Std nTPM: 21.1
Median nTPM: 78.0
GTEX-WI4N-2726-SM-3LK7Y 40-49 years, female 201.1
GTEX-15UF6-1926-SM-7KUDV 70-79 years, female 185.1
GTEX-1PIGE-1826-SM-E8VOU 20-29 years, male 176.0
GTEX-1HSMP-0926-SM-A9SKX 70-79 years, male 175.2
GTEX-1H23P-0626-SM-9WG6T 60-69 years, male 156.8
GTEX-144FL-0626-SM-5LU43 50-59 years, male 147.8
GTEX-1S3DN-2126-SM-E9TIN 50-59 years, male 144.8
GTEX-11WQK-1026-SM-5EQLX 50-59 years, male 141.7
GTEX-X585-2426-SM-46MW2 50-59 years, male 137.3
GTEX-Y114-2126-SM-4TT8B 50-59 years, female 136.4
GTEX-XYKS-1426-SM-4BRUO 60-69 years, female 135.8
GTEX-Y5V6-2326-SM-4VDSA 60-69 years, male 135.4
GTEX-ZF3C-0626-SM-DO92O 50-59 years, female 135.3
GTEX-ZYW4-0626-SM-59HJR 60-69 years, male 134.9
GTEX-14C39-1726-SM-5RQIL 40-49 years, male 134.2
GTEX-X8HC-0626-SM-4E3HQ 50-59 years, female 133.2
GTEX-13IVO-0726-SM-5LZYV 70-79 years, male 130.5
GTEX-17F97-2626-SM-7IGM5 50-59 years, male 130.1
GTEX-14PJ3-1126-SM-5ZZVX 50-59 years, male 129.8
GTEX-1QCLY-0226-SM-EWRNH 30-39 years, male 129.0
GTEX-1H2FU-0926-SM-9WPPT 60-69 years, female 128.4
GTEX-ZE7O-2726-SM-51MT5 50-59 years, female 127.5
GTEX-11DXX-2126-SM-5PNYR 60-69 years, female 126.8
GTEX-YB5K-2026-SM-4VDT3 40-49 years, female 124.8
GTEX-1OJC3-1226-SM-DTXER 20-29 years, male 122.6
GTEX-14E6C-2426-SM-5S2NF 40-49 years, male 122.4
GTEX-ZYVF-0926-SM-5E44J 50-59 years, female 122.2
GTEX-1117F-2926-SM-5GZYI 60-69 years, female 121.0
GTEX-1ICLZ-0326-SM-ARL82 60-69 years, male 120.9
GTEX-1JMLX-0626-SM-ARL8T 50-59 years, male 120.8
GTEX-13YAN-0226-SM-5TDC6 60-69 years, male 119.8
GTEX-15RIE-1926-SM-7KUKJ 60-69 years, male 119.0
GTEX-1HC8U-1326-SM-9YFMJ 40-49 years, female 118.4
GTEX-1A3MW-0626-SM-731CB 60-69 years, female 118.0
GTEX-148VJ-0626-SM-5LUAW 70-79 years, male 117.2
GTEX-14PJO-2526-SM-6AJBQ 60-69 years, male 116.9
GTEX-ZTX8-1326-SM-4YCEL 20-29 years, male 116.9
GTEX-16MT9-0126-SM-7EPI8 60-69 years, female 116.6
GTEX-12696-0126-SM-5EQ4L 60-69 years, male 116.5
GTEX-139TS-2126-SM-5K7XC 60-69 years, male 116.1
GTEX-1IKOE-1426-SM-CE6T7 30-39 years, female 115.2
GTEX-XK95-0226-SM-4AT58 40-49 years, male 115.0
GTEX-1I19N-0126-SM-CYPSF 70-79 years, male 114.7
GTEX-ZT9X-1526-SM-5DUXD 40-49 years, male 113.7
GTEX-X3Y1-2026-SM-3P5YM 40-49 years, male 113.4
GTEX-ZC5H-1526-SM-5HL9Y 40-49 years, female 113.1
GTEX-139UW-0326-SM-5J1ML 60-69 years, male 113.0
GTEX-WFG7-2026-SM-5SI7P 20-29 years, male 113.0
GTEX-WHSE-0126-SM-3NMBT 20-29 years, male 112.9
GTEX-1E2YA-2126-SM-7MXUO 50-59 years, male 112.9
GTEX-11DZ1-2426-SM-5GZZX 50-59 years, male 112.7
GTEX-1N2DV-1526-SM-DTXEP 40-49 years, male 112.2
GTEX-1QP9N-1226-SM-E76QN 30-39 years, male 112.2
GTEX-11OF3-0126-SM-5PNYF 60-69 years, male 112.0
GTEX-1GMR3-0126-SM-A9SLW 40-49 years, male 111.6
GTEX-1QW4Y-1126-SM-DTXE3 30-39 years, male 111.1
GTEX-13FTX-1526-SM-5K7VJ 20-29 years, female 111.0
GTEX-11DYG-1526-SM-5A5JS 60-69 years, male 110.9
GTEX-12WSJ-1126-SM-5LZVJ 40-49 years, female 110.6
GTEX-11EM3-1226-SM-5N9DD 20-29 years, female 110.5
GTEX-1192X-2726-SM-5N9DN 50-59 years, male 110.1
GTEX-ZPIC-0526-SM-DO91W 40-49 years, female 109.4
GTEX-15SKB-2826-SM-6PAMH 60-69 years, male 108.3
GTEX-15RIG-0726-SM-7KUM7 40-49 years, male 107.8
GTEX-14E1K-2026-SM-7DUEI 50-59 years, male 107.6
GTEX-1H3VE-0726-SM-9YFL5 40-49 years, male 107.2
GTEX-13RTJ-0126-SM-5S2NN 60-69 years, male 106.9
GTEX-1H1ZS-2726-SM-9WG75 70-79 years, male 106.3
GTEX-1AYD5-2626-SM-7PBXY 50-59 years, male 105.9
GTEX-1JMQI-1726-SM-ARL93 50-59 years, male 105.9
GTEX-ZPU1-1126-SM-4YCF3 40-49 years, male 105.7
GTEX-1IE54-1126-SM-A9G2Z 40-49 years, female 105.5
GTEX-13JVG-0726-SM-5KM16 60-69 years, male 104.4
GTEX-1JMOU-1026-SM-CYPSS 60-69 years, female 104.2
GTEX-13OW5-2326-SM-5L3HO 60-69 years, male 103.3
GTEX-1HGF4-0126-SM-CNPPX 60-69 years, male 103.3
GTEX-1PBJJ-1026-SM-E76OS 30-39 years, male 103.3
GTEX-1JN76-0626-SM-CKZOQ 20-29 years, female 102.9
GTEX-15DDE-2926-SM-6LLJ3 50-59 years, female 102.8
GTEX-15RJE-2826-SM-7KUM9 40-49 years, male 102.8
GTEX-15SHW-0226-SM-7LTAT 60-69 years, male 102.8
GTEX-17KNJ-2126-SM-718AM 50-59 years, male 102.8
GTEX-147F4-0726-SM-5TDDD 50-59 years, male 101.9
GTEX-1I6K7-1926-SM-B2LXR 40-49 years, male 101.9
GTEX-1JMQK-1226-SM-D4P2S 60-69 years, male 101.9
GTEX-11P7K-1126-SM-5HL4L 30-39 years, male 101.6
GTEX-XOT4-0626-SM-4B66L 60-69 years, female 101.6
GTEX-1QAET-0326-SM-EVR3U 50-59 years, male 101.4
GTEX-15G19-2426-SM-7KUMR 60-69 years, male 101.3
GTEX-YEC4-1826-SM-4W1YP 40-49 years, male 101.3
GTEX-1J8Q2-2626-SM-ACKWQ 60-69 years, male 101.3
GTEX-Y3IK-1626-SM-4YCF5 50-59 years, female 100.8
GTEX-1PPH8-0126-SM-EWRN8 20-29 years, male 100.4
GTEX-1399R-1326-SM-5PNYS 30-39 years, male 100.2
GTEX-YECK-0326-SM-4W1YS 60-69 years, male 99.9
GTEX-ZTTD-2826-SM-4YCFA 50-59 years, male 99.8
GTEX-13SLX-2226-SM-62LEP 50-59 years, female 99.4
GTEX-1RLM8-2926-SM-E8VON 50-59 years, male 99.3
GTEX-13NYS-0626-SM-5L3F1 60-69 years, male 99.2
GTEX-1H11D-1826-SM-9QEHM 40-49 years, male 99.2
GTEX-11DXY-0126-SM-5H11Q 60-69 years, male 98.3
GTEX-13OVJ-0826-SM-5J1OK 50-59 years, female 98.3
GTEX-1H1DG-2426-SM-9QEHJ 70-79 years, male 98.2
GTEX-XBEW-1126-SM-4QARW 40-49 years, male 98.1
GTEX-131XH-0126-SM-5LZUY 50-59 years, male 98.0
GTEX-16YQH-2226-SM-7IGM2 30-39 years, male 98.0
GTEX-11P82-1426-SM-DTXFY 20-29 years, male 97.7
GTEX-1K2DU-1226-SM-CYPT4 20-29 years, male 97.4
GTEX-14LZ3-0126-SM-69LPM 60-69 years, female 96.8
GTEX-1IDJC-1526-SM-B2LW4 50-59 years, male 96.3
GTEX-X4EO-2926-SM-4E3JH 60-69 years, female 95.9
GTEX-1AX8Z-0726-SM-73KTS 60-69 years, male 95.6
GTEX-WXYG-2026-SM-4E3IY 50-59 years, female 95.5
GTEX-1CAMR-1326-SM-7PC1F 20-29 years, male 95.5
GTEX-1R9K4-2826-SM-DTX8F 60-69 years, male 95.3
GTEX-13113-1626-SM-5EQ4I 60-69 years, female 95.1
GTEX-13PL6-1126-SM-5L3IE 40-49 years, female 95.0
GTEX-ZDXO-3126-SM-5IJDF 60-69 years, male 95.0
GTEX-15CHQ-0326-SM-69LQD 60-69 years, male 94.7
GTEX-14PHY-1226-SM-5ZZWK 60-69 years, female 94.6
GTEX-1KAFJ-0126-SM-DIPEK 50-59 years, male 94.4
GTEX-12126-0826-SM-5FQTZ 20-29 years, male 94.3
GTEX-11ZU8-0126-SM-5EQ58 60-69 years, male 94.1
GTEX-14A5H-0826-SM-5QGPJ 60-69 years, male 94.1
GTEX-Y8LW-1526-SM-5IFHL 50-59 years, female 94.1
GTEX-11TT1-1826-SM-5EQLV 20-29 years, male 93.9
GTEX-1C6VQ-1226-SM-73KYD 50-59 years, male 93.8
GTEX-1GN1W-2426-SM-9KNUU 50-59 years, female 93.8
GTEX-11WQC-1826-SM-5GU59 60-69 years, male 93.3
GTEX-1S5ZU-2526-SM-E6CIF 20-29 years, female 93.3
GTEX-13NYB-0126-SM-5J1MD 40-49 years, male 93.2
GTEX-146FQ-2126-SM-5RQHU 30-39 years, male 92.9
GTEX-16MT8-2926-SM-7DUFO 60-69 years, female 92.7
GTEX-1F5PK-2226-SM-7SB6N 50-59 years, male 92.6
GTEX-12BJ1-0926-SM-5EQ62 60-69 years, male 92.5
GTEX-13OVG-1626-SM-5J1NF 60-69 years, male 92.5
GTEX-1CAMS-2226-SM-7PBXQ 40-49 years, female 92.4
GTEX-13OVK-1426-SM-6PAN7 40-49 years, male 92.3
GTEX-Y111-0626-SM-4SOIT 50-59 years, male 92.2
GTEX-Y5LM-0926-SM-6LLJG 40-49 years, female 92.1
GTEX-WEY5-2326-SM-3GIKK 40-49 years, female 92.0
GTEX-ZLWG-0826-SM-59888 50-59 years, female 92.0
GTEX-1LSVX-2526-SM-DIPEU 60-69 years, male 91.9
GTEX-18D9B-0926-SM-7LG4U 60-69 years, male 91.7
GTEX-XXEK-1626-SM-4BRUZ 50-59 years, male 91.7
GTEX-145MG-1526-SM-5Q5EM 50-59 years, male 91.6
GTEX-1F6I4-2326-SM-7RHGL 60-69 years, male 91.5
GTEX-145ME-1726-SM-5Q5EU 40-49 years, female 91.3
GTEX-1BAJH-2426-SM-7IGP8 70-79 years, male 91.1
GTEX-11PRG-0726-SM-5EGL1 50-59 years, male 90.9
GTEX-17F96-0126-SM-7EWDU 70-79 years, male 90.9
GTEX-1LVAO-2726-SM-E9TJ8 60-69 years, male 90.9
GTEX-X4EP-0626-SM-3P621 60-69 years, female 90.6
GTEX-YEC3-1326-SM-DO92X 50-59 years, male 90.6
GTEX-11NSD-0626-SM-5A5LU 20-29 years, male 90.4
GTEX-133LE-2326-SM-5K7W3 20-29 years, female 90.2
GTEX-ZZ64-1026-SM-5GZXG 20-29 years, male 90.1
GTEX-1RMOY-1326-SM-E9TIH 50-59 years, male 90.0
GTEX-139YR-1026-SM-5LZYN 50-59 years, male 89.9
GTEX-1211K-1526-SM-5FQU4 60-69 years, female 89.8
GTEX-145LS-0626-SM-7EPG7 60-69 years, female 89.8
GTEX-16XZZ-0726-SM-7KUF2 60-69 years, male 89.7
GTEX-13NYC-0126-SM-5L3F4 60-69 years, male 89.6
GTEX-144GO-2026-SM-5O99P 60-69 years, male 89.5
GTEX-1GN1U-0626-SM-9MQL9 50-59 years, female 89.5
GTEX-ZDTS-0826-SM-4WKHL 60-69 years, male 89.3
GTEX-13G51-1826-SM-5KLZH 60-69 years, male 89.1
GTEX-13112-0126-SM-5P9IU 50-59 years, male 89.0
GTEX-14ICL-1626-SM-5YYAO 30-39 years, male 88.8
GTEX-Y8E4-2026-SM-5IFJB 40-49 years, male 88.8
GTEX-145MI-0626-SM-5SI8S 60-69 years, female 88.6
GTEX-Y3I4-1726-SM-4TT89 50-59 years, male 88.5
GTEX-1J1OQ-0126-SM-D4P2N 40-49 years, female 88.5
GTEX-17EVP-2626-SM-7IGMA 40-49 years, male 88.4
GTEX-13PVR-0426-SM-5RQK2 60-69 years, female 88.3
GTEX-1HCU7-0726-SM-A9SL1 50-59 years, male 88.2
GTEX-17F9Y-0126-SM-79OKX 70-79 years, female 88.1
GTEX-111VG-1626-SM-5EGIO 60-69 years, male 88.0
GTEX-1IDJE-1426-SM-ADEIW 50-59 years, female 87.9
GTEX-1JN1M-2726-SM-CY8I4 60-69 years, female 87.9
GTEX-1K2DA-1026-SM-CGQGF 50-59 years, male 87.9
GTEX-1O9I2-0226-SM-EYYXD 50-59 years, male 87.9
GTEX-131XG-0326-SM-5L3DX 50-59 years, female 87.8
GTEX-145MN-1526-SM-5SI9T 30-39 years, male 87.8
GTEX-147GR-2426-SM-5ZZWQ 60-69 years, male 87.8
GTEX-14JFF-0626-SM-5ZZVT 60-69 years, male 87.8
GTEX-12WSF-1626-SM-7KUG5 70-79 years, male 87.7
GTEX-1IKJJ-2226-SM-CJI4C 60-69 years, male 87.7
GTEX-14XAO-1226-SM-6EU1C 60-69 years, female 87.3
GTEX-1HSMQ-2626-SM-A9SML 50-59 years, male 87.2
GTEX-11ZTT-2126-SM-5CVLO 60-69 years, female 87.1
GTEX-YFCO-1226-SM-5LUAT 40-49 years, male 87.0
GTEX-1LG7Y-2526-SM-EWRO7 50-59 years, male 86.9
GTEX-1LVAN-0626-SM-CNPOQ 50-59 years, female 86.9
GTEX-1RAZQ-1326-SM-E9TK6 30-39 years, male 86.5
GTEX-1CB4E-0926-SM-7EPHT 60-69 years, male 86.4
GTEX-13N11-2326-SM-5IJBF 50-59 years, female 86.3
GTEX-1KANC-1226-SM-CYPT7 50-59 years, female 86.2
GTEX-1NSGN-0726-SM-DTXEF 50-59 years, male 86.2
GTEX-UPJH-0226-SM-3GADV 50-59 years, male 86.1
GTEX-1GN1V-2826-SM-9JGIA 60-69 years, male 86.0
GTEX-1JJEA-1826-SM-ARU8P 60-69 years, male 86.0
GTEX-15RJ7-2126-SM-6PAMD 40-49 years, male 85.9
GTEX-Z93S-1626-SM-5CVMB 50-59 years, male 85.9
GTEX-13X6K-0626-SM-5LU5D 60-69 years, female 85.8
GTEX-15DYW-2726-SM-6EU2I 60-69 years, female 85.8
GTEX-ZAB4-2126-SM-5HL8U 40-49 years, male 85.8
GTEX-13QJC-0126-SM-5ZZWJ 60-69 years, female 85.3
GTEX-11EQ9-1626-SM-5PNY8 30-39 years, male 85.2
GTEX-13O3O-2326-SM-5IJD6 60-69 years, female 85.2
GTEX-13PDP-0726-SM-5L3HP 60-69 years, male 85.2
GTEX-14PII-0726-SM-6EU2B 60-69 years, male 85.1
GTEX-WHWD-1826-SM-3LK6I 50-59 years, male 84.9
GTEX-18A6Q-0626-SM-7KFRP 60-69 years, male 84.8
GTEX-13W3W-0726-SM-5IJDQ 60-69 years, female 84.7
GTEX-11P81-2226-SM-5PNYI 30-39 years, female 84.6
GTEX-12ZZX-2426-SM-5GCOE 40-49 years, female 84.5
GTEX-ZAK1-0626-SM-5HL8E 50-59 years, female 84.5
GTEX-11O72-0626-SM-5PNYE 40-49 years, male 84.2
GTEX-13O3Q-0126-SM-5KM34 50-59 years, male 84.1
GTEX-ZXG5-2126-SM-59HKD 60-69 years, male 84.1
GTEX-14PHX-2226-SM-6EU2P 50-59 years, male 84.0
GTEX-1A8G7-1326-SM-73KVM 60-69 years, male 83.9
GTEX-1H3O1-1326-SM-9MQLD 60-69 years, male 83.8
GTEX-11DXZ-2026-SM-5987S 50-59 years, male 83.7
GTEX-13D11-0926-SM-5J2NC 50-59 years, female 83.7
GTEX-14C38-0726-SM-5SI6M 50-59 years, male 83.7
GTEX-11LCK-2226-SM-5HL4Q 30-39 years, male 83.6
GTEX-1HCU6-2526-SM-ADEHL 60-69 years, female 83.6
GTEX-ZVP2-0326-SM-57WBP 50-59 years, male 83.5
GTEX-14753-0726-SM-5QGQO 60-69 years, male 83.4
GTEX-1IDFM-0326-SM-ARL7V 60-69 years, male 83.3
GTEX-1H1DE-1326-SM-9KNUG 20-29 years, male 83.1
GTEX-13PVQ-0626-SM-5LU47 50-59 years, male 83.0
GTEX-14PJ5-1526-SM-6LLIL 60-69 years, female 83.0
GTEX-1QP66-1226-SM-DTX7U 50-59 years, male 83.0
GTEX-ZP4G-1426-SM-4WWCL 20-29 years, female 82.9
GTEX-1ICG6-1226-SM-A9SLN 70-79 years, female 82.8
GTEX-12584-0726-SM-5FQTK 40-49 years, male 82.7
GTEX-13X6I-1826-SM-5SIAO 60-69 years, male 82.7
GTEX-1HBPN-0126-SM-CGQEF 50-59 years, male 82.7
GTEX-13NZ8-1226-SM-5KM4A 60-69 years, female 82.6
GTEX-15CHR-1126-SM-7EWF4 50-59 years, male 82.6
GTEX-ZVT4-2426-SM-5GIEI 50-59 years, female 82.6
GTEX-1LKK1-2626-SM-DKPQE 50-59 years, female 82.6
GTEX-13OVH-0526-SM-5L3E6 70-79 years, male 82.5
GTEX-XBED-1926-SM-47JYP 60-69 years, male 82.5
GTEX-1F52S-2926-SM-7MKGA 60-69 years, female 82.3
GTEX-1JN6P-2926-SM-CL54D 60-69 years, male 82.2
GTEX-1PPH7-1126-SM-DTX9A 40-49 years, male 82.2
GTEX-1MCC2-1826-SM-DIPEX 30-39 years, female 81.9
GTEX-13X6H-0926-SM-5SIB2 50-59 years, female 81.8
GTEX-1R46S-2426-SM-E76QA 60-69 years, female 81.6
GTEX-14BMU-1226-SM-5S2OR 20-29 years, female 81.5
GTEX-U8XE-0226-SM-4E3J3 30-39 years, male 81.4
GTEX-14LLW-2626-SM-62LDZ 70-79 years, female 81.3
GTEX-14PK6-0226-SM-62LF5 70-79 years, female 81.3
GTEX-1F48J-0726-SM-7RHGS 50-59 years, female 81.3
GTEX-12WSD-0626-SM-5GCMW 60-69 years, female 81.2
GTEX-132AR-0326-SM-5KM2C 50-59 years, female 81.2
GTEX-ZYY3-2926-SM-5GIEB 60-69 years, female 81.2
GTEX-ZYFG-1526-SM-5GZYM 60-69 years, female 81.0
GTEX-15EO6-2426-SM-6PALZ 50-59 years, male 80.6
GTEX-WY7C-2126-SM-3NB2R 50-59 years, male 80.5
GTEX-13FLV-0126-SM-5K7WT 50-59 years, male 80.4
GTEX-1399S-0126-SM-5IJCF 30-39 years, female 80.2
GTEX-1HFI6-0126-SM-CNPPI 40-49 years, male 80.2
GTEX-1IDJI-0126-SM-CMKHS 50-59 years, female 80.2
GTEX-145LT-0526-SM-5LUB2 40-49 years, male 80.1
GTEX-111CU-1126-SM-5EGIM 50-59 years, male 80.0
GTEX-11TUW-0626-SM-5LU9M 60-69 years, male 80.0
GTEX-14ABY-2026-SM-62LDL 50-59 years, male 80.0
GTEX-1PDJ9-1226-SM-EXUSX 20-29 years, male 80.0
GTEX-1B8KZ-0326-SM-73KY4 50-59 years, male 79.9
GTEX-1HT8W-0626-SM-A9G2H 30-39 years, male 79.9
GTEX-16AAH-0626-SM-793C9 50-59 years, male 79.7
GTEX-1PPGY-1626-SM-EVYBL 60-69 years, male 79.7
GTEX-14C5O-0326-SM-5ZZUX 60-69 years, male 79.3
GTEX-17HG3-2626-SM-7DUF2 30-39 years, female 79.3
GTEX-1GN73-0726-SM-7P8TJ 60-69 years, male 79.3
GTEX-11NUK-2726-SM-5A5MC 50-59 years, male 79.1
GTEX-15D1Q-2826-SM-6LLH7 40-49 years, male 79.0
GTEX-15G1A-1626-SM-7KUKN 30-39 years, male 79.0
GTEX-15EU6-2226-SM-6EU2L 50-59 years, male 78.9
GTEX-13OW7-0426-SM-5K7VK 50-59 years, male 78.8
GTEX-13N1W-2426-SM-5IJD1 70-79 years, male 78.7
GTEX-11UD2-2526-SM-5CVNU 50-59 years, male 78.6
GTEX-ZZPU-0826-SM-5GZX5 50-59 years, female 78.6
GTEX-1F6RS-2026-SM-7RHHC 60-69 years, female 78.6
GTEX-ZE9C-2526-SM-5IJDR 60-69 years, male 78.5
GTEX-13FHO-0426-SM-5L3F5 60-69 years, male 78.4
GTEX-WH7G-2026-SM-3NMBL 40-49 years, male 78.4
GTEX-1C64O-1326-SM-7MGWR 60-69 years, male 78.4
GTEX-1269C-0126-SM-5EQ5L 60-69 years, female 78.3
GTEX-18QFQ-1826-SM-72D52 30-39 years, male 78.3
GTEX-1B97I-0626-SM-73KUZ 40-49 years, male 78.3
GTEX-1CB4I-0126-SM-7RHGG 50-59 years, male 78.3
GTEX-1HB9E-0126-SM-CM2S5 50-59 years, male 78.3
GTEX-17F9E-2326-SM-79OKD 50-59 years, male 78.2
GTEX-1EX96-1026-SM-7MKG2 50-59 years, male 78.2
GTEX-12ZZY-0726-SM-5EQ66 60-69 years, male 78.1
GTEX-1IY9M-2826-SM-ARU8H 60-69 years, male 78.1
GTEX-1EH9U-2826-SM-7DUGT 60-69 years, male 78.0
GTEX-1IL2V-1926-SM-B2LW8 70-79 years, male 78.0
GTEX-1EKGG-0626-SM-7DUGJ 60-69 years, male 77.8
GTEX-ZF2S-1626-SM-57WES 50-59 years, female 77.7
GTEX-1C64N-2626-SM-7PC2N 50-59 years, male 77.7
GTEX-1H1CY-0126-SM-9YFLY 60-69 years, female 77.7
GTEX-XUW1-0926-SM-4BONX 50-59 years, female 77.6
GTEX-1I1GU-0926-SM-ACKVS 40-49 years, male 77.6
GTEX-1QPFJ-1926-SM-EVYBD 30-39 years, female 77.5
GTEX-111YS-1526-SM-5GZYW 60-69 years, male 77.4
GTEX-ZY6K-1426-SM-5GZX2 50-59 years, male 77.4
GTEX-1J8EW-2726-SM-CY8HR 60-69 years, female 77.4
GTEX-139D8-1126-SM-5LU8W 30-39 years, female 77.3
GTEX-13OW6-2726-SM-5J2OE 50-59 years, male 77.2
GTEX-ZAJG-1526-SM-5CVML 50-59 years, female 77.2
GTEX-1JJ6O-2726-SM-CNPOG 60-69 years, male 77.2
GTEX-12WSL-2026-SM-5GCML 50-59 years, male 77.1
GTEX-ZVE2-2826-SM-5GU51 50-59 years, male 77.0
GTEX-16MTA-0926-SM-6M47Z 50-59 years, male 76.9
GTEX-1GZ4I-2626-SM-9KNU3 50-59 years, male 76.9
GTEX-1KANA-1326-SM-DIPFA 20-29 years, male 76.9
GTEX-139TU-0726-SM-5L3EK 60-69 years, male 76.8
GTEX-1POEN-2326-SM-E9J2L 30-39 years, female 76.8
GTEX-1JMPY-0226-SM-CKZOK 30-39 years, male 76.7
GTEX-1313W-0626-SM-5EQ4H 50-59 years, female 76.5
GTEX-139TT-2126-SM-5LZWC 60-69 years, male 76.4
GTEX-1399Q-2326-SM-5KM2X 40-49 years, male 76.2
GTEX-1CAMQ-1326-SM-7P8RV 40-49 years, male 76.2
GTEX-WK11-2726-SM-3NMAQ 50-59 years, male 76.0
GTEX-1JMQJ-0826-SM-CNPP7 50-59 years, male 75.9
GTEX-12KS4-2126-SM-5FQUT 30-39 years, male 75.8
GTEX-13VXT-1926-SM-5K7UO 20-29 years, female 75.7
GTEX-XMD2-2126-SM-4YCF8 60-69 years, female 75.7
GTEX-1GPI7-1826-SM-9KNU1 20-29 years, male 75.7
GTEX-1I1GP-1326-SM-A9G28 50-59 years, male 75.7
GTEX-WHPG-2626-SM-3NMBR 50-59 years, male 75.6
GTEX-1HCUA-0826-SM-ADEHM 50-59 years, female 75.6
GTEX-1399U-1126-SM-5L3DB 50-59 years, female 75.5
GTEX-WYBS-0626-SM-3NMAS 60-69 years, female 75.5
GTEX-ZA64-1026-SM-5HL8R 20-29 years, male 75.5
GTEX-14E6E-0526-SM-793DN 30-39 years, male 75.3
GTEX-1LVA9-2626-SM-EVYD4 50-59 years, male 75.3
GTEX-1RAZR-2126-SM-E9U6T 40-49 years, male 75.3
GTEX-1HR98-2226-SM-ADEI2 60-69 years, male 75.2
GTEX-1LBAC-0826-SM-CY8IJ 20-29 years, male 75.1
GTEX-12ZZZ-0726-SM-5GCNZ 60-69 years, male 74.9
GTEX-1H1E6-0426-SM-9WYUS 30-39 years, male 74.8
GTEX-178AV-1726-SM-7KUL8 40-49 years, male 74.6
GTEX-WHSB-1326-SM-3LK6W 50-59 years, male 74.4
GTEX-1JMPZ-0726-SM-CY8HZ 30-39 years, male 74.4
GTEX-16NPX-0726-SM-7KULC 50-59 years, male 74.3
GTEX-1A32A-0626-SM-731AQ 50-59 years, female 74.2
GTEX-1HR9M-2226-SM-CNPPY 60-69 years, male 74.2
GTEX-1JJE9-2626-SM-ARZMT 70-79 years, male 74.2
GTEX-17HGU-2326-SM-7DUFE 50-59 years, male 74.1
GTEX-117YX-1926-SM-5GIEC 50-59 years, male 74.0
GTEX-ZDTT-0426-SM-4WKFL 60-69 years, male 74.0
GTEX-1LGOU-1326-SM-D3L8M 20-29 years, female 74.0
GTEX-1GMRU-2126-SM-7P8RA 50-59 years, male 73.9
GTEX-18A7A-0126-SM-731AH 50-59 years, female 73.8
GTEX-ZF29-0926-SM-4WKFZ 60-69 years, female 73.8
GTEX-14PJN-1826-SM-6AJ98 30-39 years, male 73.7
GTEX-1EMGI-2326-SM-7PBYA 60-69 years, male 73.7
GTEX-1R9PN-0426-SM-DTXDT 40-49 years, female 73.7
GTEX-13U4I-2226-SM-5LU5H 40-49 years, female 73.6
GTEX-ZVZP-1226-SM-5GID7 50-59 years, male 73.5
GTEX-1LGRB-0926-SM-COH3K 50-59 years, female 73.5
GTEX-13O61-1426-SM-5KM3D 60-69 years, male 73.3
GTEX-14BIN-1126-SM-5RQJZ 50-59 years, female 73.3
GTEX-11VI4-1126-SM-5EQMD 40-49 years, female 73.2
GTEX-W5X1-2526-SM-3GILC 40-49 years, female 73.1
GTEX-1F75A-0726-SM-7RHHD 50-59 years, male 73.1
GTEX-1A3MX-2626-SM-7PC24 60-69 years, male 73.0
GTEX-1JK1U-0226-SM-ARZMX 60-69 years, male 72.8
GTEX-1HBPI-2126-SM-ARL9K 50-59 years, male 72.7
GTEX-1GZ2Q-0126-SM-9WG6M 40-49 years, male 72.6
GTEX-14DAR-1226-SM-73KYV 50-59 years, male 72.5
GTEX-1CAV2-0126-SM-7IGN7 40-49 years, female 72.5
GTEX-1GTWX-2026-SM-9YFLM 60-69 years, male 72.5
GTEX-16NGA-0726-SM-731AO 40-49 years, female 72.4
GTEX-18A66-0626-SM-7LT8Z 60-69 years, male 72.4
GTEX-1GMR8-0626-SM-7RHI7 50-59 years, female 72.4
GTEX-139T8-0626-SM-5KLZX 60-69 years, male 72.3
GTEX-1I1GT-1026-SM-ARZLV 60-69 years, female 72.3
GTEX-XQ8I-0926-SM-4BOOF 50-59 years, male 72.2
GTEX-1N2EE-0626-SM-E76PW 60-69 years, male 72.2
GTEX-1QMI2-2526-SM-E8VNZ 60-69 years, male 72.2
GTEX-1I1GS-2626-SM-B2LY3 60-69 years, male 72.1
GTEX-XQ3S-1426-SM-4BOPR 20-29 years, male 72.0
GTEX-ZYT6-2326-SM-5GZY3 30-39 years, male 72.0
GTEX-147F3-1726-SM-5SIAW 50-59 years, female 71.9
GTEX-1H3NZ-2726-SM-9WYTQ 60-69 years, male 71.8
GTEX-1PIIG-2326-SM-DTXFR 30-39 years, male 71.8
GTEX-11ZUS-2626-SM-5FQUR 30-39 years, male 71.7
GTEX-144GL-0626-SM-5LU4D 50-59 years, male 71.7
GTEX-ZDYS-2426-SM-4WKGI 50-59 years, male 71.7
GTEX-ZU9S-1826-SM-5NQ9E 30-39 years, male 71.7
GTEX-11GSP-2326-SM-5HL63 60-69 years, female 71.6
GTEX-13OVL-0126-SM-5L3GJ 50-59 years, male 71.5
GTEX-17F98-1326-SM-7DUEP 40-49 years, female 71.5
GTEX-1OJC4-2726-SM-E76PJ 50-59 years, female 71.5
GTEX-13SLW-0626-SM-5Q5ER 70-79 years, male 71.4
GTEX-1477Z-0326-SM-7IGLA 60-69 years, male 71.4
GTEX-14AS3-1526-SM-5Q5ED 40-49 years, female 71.3
GTEX-1JMQL-2226-SM-CNPP4 50-59 years, female 71.3
GTEX-1RAZA-2226-SM-E9U4X 20-29 years, male 71.3
GTEX-1GF9V-0826-SM-9KNUV 60-69 years, male 71.1
GTEX-1MJK3-0726-SM-E6CJC 20-29 years, male 71.0
GTEX-1NV5F-0626-SM-DTXEG 60-69 years, female 71.0
GTEX-13FTY-2126-SM-5IFFB 40-49 years, female 70.9
GTEX-1C6VR-0126-SM-7RHGB 60-69 years, male 70.9
GTEX-1A3MV-1826-SM-731CD 30-39 years, male 70.8
GTEX-1J8JJ-0626-SM-ARZMQ 60-69 years, female 70.8
GTEX-18A67-1626-SM-7LT9T 50-59 years, male 70.7
GTEX-1EWIQ-0326-SM-7DHMQ 70-79 years, female 70.7
GTEX-1A8FM-0626-SM-7PC25 50-59 years, female 70.5
GTEX-11DXW-0826-SM-5H118 40-49 years, male 70.3
GTEX-1CB4H-1126-SM-7MKGL 60-69 years, female 70.2
GTEX-ZYFC-0426-SM-5GICQ 50-59 years, male 70.2
GTEX-1F75I-2226-SM-7SB8U 40-49 years, male 70.2
GTEX-1QP28-1126-SM-EVYC4 50-59 years, female 70.2
GTEX-13JUV-2026-SM-5K7UA 40-49 years, female 70.1
GTEX-ZPCL-1126-SM-4WWFE 60-69 years, female 70.1
GTEX-1HKZK-0726-SM-ACKW2 40-49 years, male 70.1
GTEX-13FTW-0326-SM-5K7UW 40-49 years, male 70.0
GTEX-1S82U-1026-SM-E6CJK 30-39 years, female 69.9
GTEX-16BQI-1326-SM-6M486 30-39 years, female 69.6
GTEX-1I4MK-0126-SM-CY8G6 50-59 years, female 69.5
GTEX-1KANB-2826-SM-CY8I6 50-59 years, male 69.5
GTEX-14A6H-2026-SM-5Q5DD 30-39 years, male 69.3
GTEX-1497J-0226-SM-5QGPU 60-69 years, male 69.2
GTEX-14JG1-1526-SM-5YY9X 40-49 years, male 69.2
GTEX-13N2G-0226-SM-5K7VF 60-69 years, male 69.1
GTEX-145MH-2826-SM-5RQJF 50-59 years, male 69.1
GTEX-1F75W-2726-SM-7SB8H 60-69 years, male 69.1
GTEX-1IDJF-2026-SM-CL53V 20-29 years, male 69.1
GTEX-111FC-2526-SM-5GZXU 60-69 years, male 68.9
GTEX-X5EB-1926-SM-4E3IW 40-49 years, male 68.9
GTEX-17MFQ-1526-SM-7KFRR 20-29 years, male 68.8
GTEX-1F75B-0726-SM-7PC3R 50-59 years, male 68.7
GTEX-1IDJD-2326-SM-ACKWX 30-39 years, male 68.6
GTEX-ZLFU-1826-SM-4WWBV 40-49 years, male 68.5
GTEX-1GMR2-0826-SM-7PC3V 50-59 years, male 68.5
GTEX-1C475-1326-SM-7SB73 40-49 years, female 68.4
GTEX-1F6IF-0926-SM-7SB7M 60-69 years, male 68.4
GTEX-VUSG-2326-SM-4KL1U 50-59 years, male 68.2
GTEX-1LSNL-2726-SM-E9TKJ 50-59 years, male 68.2
GTEX-131XW-0626-SM-5PNVD 50-59 years, female 68.0
GTEX-15CHC-1126-SM-6LLHQ 60-69 years, female 68.0
GTEX-1K9T9-1526-SM-DIPFR 50-59 years, female 68.0
GTEX-14PKV-1126-SM-6LLJ1 20-29 years, female 67.9
GTEX-18D9U-0126-SM-731BM 40-49 years, male 67.9
GTEX-1AX9I-2226-SM-73KUO 60-69 years, male 67.8
GTEX-1HUB1-1426-SM-CGQF5 60-69 years, male 67.8
GTEX-1CB4F-1026-SM-7DUH1 60-69 years, male 67.7
GTEX-14DAQ-0626-SM-793DS 60-69 years, female 67.6
GTEX-1EN7A-2426-SM-793DB 40-49 years, male 67.5
GTEX-1LSNM-0826-SM-DIPG8 50-59 years, male 67.5
GTEX-XBEC-0726-SM-4QARZ 50-59 years, male 67.3
GTEX-1I1CD-0626-SM-CE6SW 60-69 years, female 67.2
GTEX-1HFI7-2326-SM-CGQFS 50-59 years, female 66.9
GTEX-15ER7-0626-SM-6PANF 20-29 years, female 66.8
GTEX-1MCYP-0526-SM-E9U6Q 20-29 years, female 66.8
GTEX-183WM-0326-SM-72D5V 70-79 years, female 66.7
GTEX-1GF9W-1426-SM-7PBYM 60-69 years, male 66.7
GTEX-UPK5-0426-SM-3GAEK 40-49 years, male 66.6
GTEX-17HHE-1326-SM-7EWDZ 50-59 years, male 66.4
GTEX-13QBU-1226-SM-5LU4G 40-49 years, female 66.3
GTEX-12WSH-1526-SM-5BC5W 50-59 years, male 66.2
GTEX-13FH7-1126-SM-5K7UG 50-59 years, female 66.2
GTEX-ZGAY-1826-SM-DO91Q 40-49 years, female 66.1
GTEX-131XF-2626-SM-5EQ6K 60-69 years, male 66.0
GTEX-Y5V5-0126-SM-5S2NW 60-69 years, female 66.0
GTEX-1S831-1826-SM-EWROF 20-29 years, male 66.0
GTEX-18465-2826-SM-7LT9J 50-59 years, male 65.8
GTEX-XV7Q-1826-SM-4BRUV 40-49 years, female 65.7
GTEX-1LB8K-0726-SM-D5OV2 50-59 years, male 65.1
GTEX-1E1VI-0326-SM-793D1 50-59 years, male 64.9
GTEX-XPVG-2126-SM-4B667 50-59 years, male 64.8
GTEX-ZLV1-1526-SM-DO91J 60-69 years, female 64.8
GTEX-17HII-1426-SM-7EPGG 50-59 years, male 64.6
GTEX-1F88E-1626-SM-7SB8Z 60-69 years, female 64.4
GTEX-1IDJH-0126-SM-D3L92 70-79 years, male 64.4
GTEX-1B8SF-0126-SM-7DUG3 60-69 years, male 64.3
GTEX-1I6K6-1726-SM-CGQFD 30-39 years, male 64.2
GTEX-1QCLZ-2426-SM-EVYBW 60-69 years, female 64.2
GTEX-1B8KE-1126-SM-7EPHI 50-59 years, male 64.1
GTEX-15FZZ-0526-SM-7KUGD 30-39 years, female 64.0
GTEX-1B996-0426-SM-7EWF8 60-69 years, male 64.0
GTEX-1J8Q3-0526-SM-ARL8U 60-69 years, male 63.9
GTEX-1212Z-0126-SM-59HK4 60-69 years, male 63.7
GTEX-1H1DF-1126-SM-9WG7G 40-49 years, female 63.7
GTEX-ZVE1-0726-SM-51MRN 50-59 years, female 63.5
GTEX-1GN2E-0226-SM-9WG6K 60-69 years, male 63.3
GTEX-16Z82-2626-SM-7KULU 60-69 years, male 63.2
GTEX-1QEPI-2626-SM-DTXF4 60-69 years, female 63.2
GTEX-1QP29-1826-SM-DTX9S 50-59 years, male 63.1
GTEX-18D9A-1426-SM-7LT8M 30-39 years, female 63.0
GTEX-13NZ9-2626-SM-5L3FK 50-59 years, male 62.8
GTEX-1C6WA-2626-SM-7MKGM 60-69 years, male 62.7
GTEX-1122O-1026-SM-9WYSF 60-69 years, female 62.7
GTEX-13VXU-0626-SM-5L3F9 50-59 years, male 62.6
GTEX-1HSMO-0626-SM-ACKXC 60-69 years, male 62.6
GTEX-14B4R-1326-SM-5Q5EZ 30-39 years, male 62.5
GTEX-1IOXB-2726-SM-CM2RI 50-59 years, male 62.5
GTEX-18A7B-2726-SM-7LG56 70-79 years, male 62.3
GTEX-14JG6-1426-SM-9WG7C 30-39 years, female 62.2
GTEX-12C56-1526-SM-5FQUQ 20-29 years, male 62.1
GTEX-1A8G6-2726-SM-731AR 60-69 years, male 61.8
GTEX-Y9LG-1126-SM-4VBQ7 30-39 years, male 61.8
GTEX-1B933-2426-SM-7DHMD 50-59 years, female 61.7
GTEX-144GM-0526-SM-79OJO 20-29 years, male 61.3
GTEX-1F88F-0126-SM-9WYSZ 60-69 years, female 61.3
GTEX-1I1GV-0626-SM-ARL7M 60-69 years, male 61.2
GTEX-11EQ8-0926-SM-5H12V 60-69 years, male 61.1
GTEX-YF7O-1526-SM-5IFI6 50-59 years, male 61.1
GTEX-1JKYR-0626-SM-ARL8R 20-29 years, male 60.9
GTEX-17HHY-0426-SM-7DHLC 50-59 years, male 60.8
GTEX-1CB4J-1326-SM-7P8RX 60-69 years, male 60.8
GTEX-11GS4-0226-SM-5HL77 60-69 years, male 60.5
GTEX-131YS-2826-SM-5EQ47 60-69 years, female 60.4
GTEX-17EVQ-0126-SM-7IGLR 70-79 years, male 60.4
GTEX-1C2JI-1026-SM-73KY1 50-59 years, male 60.4
GTEX-1R9PM-1926-SM-EVR3O 20-29 years, male 60.3
GTEX-1IDJV-0126-SM-COH3Y 60-69 years, male 60.0
GTEX-1RAZS-2526-SM-E6CHT 50-59 years, male 60.0
GTEX-1R7EU-1626-SM-DTXG3 60-69 years, male 59.9
GTEX-1HCU8-2526-SM-CE6RX 60-69 years, female 59.8
GTEX-1HSKV-1226-SM-ADEI4 60-69 years, male 59.7
GTEX-1J8QM-2426-SM-A9SLS 60-69 years, female 59.6
GTEX-1KWVE-1026-SM-D3L9O 30-39 years, male 59.6
GTEX-14PJ4-0226-SM-5YY92 60-69 years, male 59.3
GTEX-1HBPM-0726-SM-9YFL7 60-69 years, female 59.3
GTEX-1KD5A-0126-SM-E9U54 50-59 years, male 59.3
GTEX-XAJ8-1426-SM-47JYM 40-49 years, male 59.2
GTEX-1GZ4H-0526-SM-9KNU9 50-59 years, female 59.2
GTEX-1LG7Z-1626-SM-CXKYR 30-39 years, male 59.2
GTEX-1S82P-2126-SM-E6CI5 60-69 years, female 59.2
GTEX-WFG8-2126-SM-3GIKQ 20-29 years, male 59.1
GTEX-1314G-1326-SM-5BC6E 30-39 years, male 59.0
GTEX-1I1HK-2326-SM-CKZOH 60-69 years, male 59.0
GTEX-17MF6-2626-SM-79OKQ 40-49 years, male 58.8
GTEX-1F5PL-0926-SM-7PC2W 40-49 years, female 58.8
GTEX-14BMV-2826-SM-5TDED 50-59 years, male 58.5
GTEX-1JKYN-0826-SM-ARU8S 30-39 years, male 58.4
GTEX-14PJ2-0626-SM-6LLII 50-59 years, male 58.3
GTEX-1IDJU-1726-SM-CMKHU 60-69 years, female 58.3
GTEX-VJYA-1526-SM-3GIJV 60-69 years, male 58.2
GTEX-14PJ6-2626-SM-6EU2T 60-69 years, female 58.1
GTEX-ZTSS-1426-SM-5985P 40-49 years, male 58.1
GTEX-YJ8O-2526-SM-5HL85 40-49 years, female 57.9
GTEX-1QP2A-1726-SM-E76QC 50-59 years, male 57.8
GTEX-147JS-0226-SM-5S2U9 60-69 years, male 57.6
GTEX-1KXAM-1626-SM-D3LAD 60-69 years, male 57.3
GTEX-1H4P4-2126-SM-9WYSL 50-59 years, male 57.2
GTEX-1GZHY-0626-SM-9KNVC 50-59 years, female 57.0
GTEX-145MO-2826-SM-5LU96 60-69 years, male 56.7
GTEX-13OW8-1026-SM-5J1NQ 60-69 years, male 56.4
GTEX-1GF9X-1326-SM-7PC2Y 40-49 years, female 56.4
GTEX-12WSA-0426-SM-5EQ5X 60-69 years, male 56.2
GTEX-1HCU9-0426-SM-9WYSD 20-29 years, male 56.2
GTEX-17JCI-2926-SM-7DUFF 60-69 years, female 56.1
GTEX-ZUA1-2626-SM-5NQ92 40-49 years, male 56.0
GTEX-1GL5R-1326-SM-7RHHF 50-59 years, male 56.0
GTEX-1GPI6-1926-SM-9KNV7 60-69 years, male 56.0
GTEX-ZT9W-1126-SM-57WDR 50-59 years, male 55.9
GTEX-11EI6-2826-SM-5H11D 60-69 years, male 55.6
GTEX-12WSK-2126-SM-5CVNC 40-49 years, female 55.5
GTEX-13X6J-0626-SM-5LU5F 50-59 years, male 55.5
GTEX-145MF-0926-SM-5Q5EA 50-59 years, male 55.4
GTEX-ZYFD-0626-SM-5E44E 50-59 years, male 54.8
GTEX-1M4P7-0726-SM-E6CJ3 60-69 years, male 54.1
GTEX-ZVTK-0226-SM-51MRG 20-29 years, male 53.8
GTEX-V1D1-2026-SM-3GAF4 50-59 years, male 53.6
GTEX-1HSGN-0826-SM-ACKW3 40-49 years, female 53.0
GTEX-WRHU-2826-SM-3MJG8 50-59 years, female 52.8
GTEX-WYVS-1626-SM-3NM9R 40-49 years, female 52.7
GTEX-1N5O9-0926-SM-E9J3C 60-69 years, male 52.7
GTEX-183FY-1026-SM-7939A 20-29 years, male 52.4
GTEX-1ICLY-0826-SM-CMKG1 50-59 years, male 52.1
GTEX-WFON-1926-SM-3LK7L 40-49 years, male 51.9
GTEX-ZWKS-0626-SM-5GIDV 30-39 years, male 51.9
GTEX-145LU-1926-SM-79OJN 50-59 years, male 51.6
GTEX-1EU9M-1426-SM-793AI 60-69 years, male 51.4
GTEX-1B8L1-2226-SM-7P8PT 60-69 years, male 50.1
GTEX-12WSM-1926-SM-5BC65 60-69 years, male 49.6
GTEX-14PKU-0126-SM-6LLHV 40-49 years, female 49.5
GTEX-1RB15-1326-SM-E76Q9 60-69 years, male 49.2
GTEX-1J1R8-2026-SM-CL53Y 40-49 years, male 49.0
GTEX-1AMFI-1326-SM-7939R 50-59 years, female 47.9
GTEX-1HCVE-2726-SM-CL54F 50-59 years, male 47.4
GTEX-1L5NE-1126-SM-D3L9P 50-59 years, male 47.2
GTEX-12WSC-2826-SM-5BC5Y 50-59 years, male 46.6
GTEX-16GPK-0626-SM-7KFSF 60-69 years, male 44.8
GTEX-WYJK-0526-SM-3NM8Z 50-59 years, male 43.5
GTEX-1LVAM-0726-SM-E6CIL 50-59 years, female 43.2
GTEX-1S83E-1326-SM-E6CJM 40-49 years, male 41.8
GTEX-ZVT2-0126-SM-5GIDQ 50-59 years, female 41.3
GTEX-1B932-2326-SM-79OL5 40-49 years, female 39.9
GTEX-1GF9U-2026-SM-7SB92 40-49 years, female 38.5
GTEX-1AX9J-1326-SM-731BJ 60-69 years, male 34.4
GTEX-1AMEY-0826-SM-72D65 30-39 years, female 33.5
Show allShow less
Skin - Sun Exposed (Lower leg)
Average nTPM: 77.2
Samples: 701

Max nTPM: 229.5
Min nTPM: 37.8
Std nTPM: 21.2
Median nTPM: 74.2
GTEX-14E6C-0126-SM-5RQIP 40-49 years, male 229.5
GTEX-SE5C-1626-SM-2XCE3 40-49 years, female 220.7
GTEX-131XE-2326-SM-5PNZ2 50-59 years, male 161.2
GTEX-RTLS-0126-SM-447CA 60-69 years, female 158.1
GTEX-15UF6-0826-SM-6PALJ 70-79 years, female 155.2
GTEX-1399U-2326-SM-5K7WY 50-59 years, female 151.2
GTEX-15SB6-1726-SM-6PAME 50-59 years, female 149.6
GTEX-POMQ-2226-SM-2I5FK 20-29 years, female 147.6
GTEX-SN8G-0126-SM-32PLI 50-59 years, female 137.6
GTEX-139TS-2826-SM-5J1OO 60-69 years, male 137.3
GTEX-WI4N-1026-SM-3LK7N 40-49 years, female 136.1
GTEX-1497J-2426-SM-7IGNX 60-69 years, male 135.1
GTEX-ZPIC-1726-SM-DHXIU 40-49 years, female 133.7
GTEX-139UW-2826-SM-5L3E7 60-69 years, male 132.4
GTEX-146FQ-0126-SM-5NQA9 30-39 years, male 131.8
GTEX-NPJ8-0126-SM-2YUNR 40-49 years, male 128.3
GTEX-XYKS-2126-SM-4E3IB 60-69 years, female 125.2
GTEX-183WM-0126-SM-7LTAB 70-79 years, female 124.4
GTEX-1CAV2-2226-SM-7P8P2 40-49 years, female 124.4
GTEX-11WQK-0526-SM-5EQLD 50-59 years, male 124.0
GTEX-S33H-1026-SM-EZ6L6 30-39 years, male 123.9
GTEX-T5JC-0426-SM-32PLO 20-29 years, male 123.8
GTEX-1IKK5-0626-SM-ARL8A 60-69 years, male 122.6
GTEX-15D1Q-0126-SM-7KUG6 40-49 years, male 122.5
GTEX-11TT1-2526-SM-5EGIB 20-29 years, male 121.9
GTEX-P4PP-0126-SM-3LK69 30-39 years, female 121.8
GTEX-X4EP-0126-SM-3P5YV 60-69 years, female 120.9
GTEX-1PFEY-1526-SM-E76PP 30-39 years, male 120.6
GTEX-X88G-0126-SM-47JZ3 30-39 years, male 120.0
GTEX-1QAET-0926-SM-E76QM 50-59 years, male 117.6
GTEX-1H3VE-0326-SM-9YFLH 40-49 years, male 117.4
GTEX-1S3DN-2226-SM-EVYCD 50-59 years, male 117.0
GTEX-145LT-1726-SM-5QGP3 40-49 years, male 116.8
GTEX-W5X1-3026-SM-EAZAX 40-49 years, female 116.4
GTEX-YJ8A-0426-SM-5IFID 20-29 years, male 114.6
GTEX-OIZH-0126-SM-2HMIS 50-59 years, male 114.5
GTEX-X8HC-0126-SM-4E3JW 50-59 years, female 114.5
GTEX-Y3IK-2426-SM-4WWDU 50-59 years, female 114.1
GTEX-Y5LM-1926-SM-5RQJH 40-49 years, female 113.1
GTEX-144FL-0126-SM-5TDC8 50-59 years, male 112.0
GTEX-U412-0426-SM-3DB9O 60-69 years, male 112.0
GTEX-ZF3C-0126-SM-DO92D 50-59 years, female 111.3
GTEX-13NZ8-0826-SM-5MR3I 60-69 years, female 111.2
GTEX-T2YK-0526-SM-32QPJ 50-59 years, male 111.2
GTEX-RVPV-0126-SM-EAZAW 60-69 years, male 111.2
GTEX-16XZZ-0126-SM-793DV 60-69 years, male 111.0
GTEX-O5YW-0126-SM-3LK6D 50-59 years, male 111.0
GTEX-O5YT-0126-SM-48TBW 20-29 years, male 110.6
GTEX-ZTX8-1426-SM-5DUVO 20-29 years, male 109.3
GTEX-13NYS-0126-SM-5MR3W 60-69 years, male 109.0
GTEX-1JMQI-2226-SM-CM2SD 50-59 years, male 108.8
GTEX-1A3MX-0126-SM-731BR 60-69 years, male 108.6
GTEX-11UD1-0126-SM-5PNYG 40-49 years, female 108.2
GTEX-12696-2426-SM-5EQ6H 60-69 years, male 107.9
GTEX-148VJ-0126-SM-5TDDN 70-79 years, male 107.8
GTEX-14753-0426-SM-5NQAM 60-69 years, male 107.7
GTEX-13YAN-0326-SM-5O9DF 60-69 years, male 107.4
GTEX-ZE7O-0126-SM-57WC1 50-59 years, female 107.3
GTEX-TMZS-0126-SM-3DB9Q 60-69 years, male 106.5
GTEX-Q734-1926-SM-2I5EV 40-49 years, female 106.2
GTEX-1HGF4-2426-SM-ACKXM 60-69 years, male 105.4
GTEX-ZTPG-0326-SM-5O9AX 20-29 years, female 104.8
GTEX-1H1DG-0126-SM-9WYU2 70-79 years, male 104.6
GTEX-1QP66-1726-SM-E8VO1 50-59 years, male 104.6
GTEX-13CF2-2526-SM-5LZYX 60-69 years, male 104.3
GTEX-1OJC3-0126-SM-E76QX 20-29 years, male 104.0
GTEX-14PN4-0126-SM-6EU2V 50-59 years, male 103.2
GTEX-15EOM-0126-SM-7KUGG 20-29 years, female 103.1
GTEX-1HSMO-0126-SM-CL547 60-69 years, male 102.5
GTEX-ZE9C-2726-SM-57WB5 60-69 years, male 102.2
GTEX-ZVZO-0126-SM-5A5L9 40-49 years, male 102.0
GTEX-1GZ2Q-0226-SM-7P8TL 40-49 years, male 102.0
GTEX-1ICG6-2526-SM-CGQFZ 70-79 years, female 102.0
GTEX-XQ8I-0426-SM-4BOPO 50-59 years, male 101.8
GTEX-1LC47-0326-SM-E9TJP 60-69 years, male 101.1
GTEX-S7PM-0126-SM-4AD6S 60-69 years, male 100.9
GTEX-UJHI-1526-SM-3DB99 50-59 years, female 100.7
GTEX-1QP67-1626-SM-EAZ3X 40-49 years, female 100.4
GTEX-1NV5F-0226-SM-E8VNY 60-69 years, female 99.5
GTEX-117XS-2726-SM-5N9BL 60-69 years, male 99.4
GTEX-11UD2-0226-SM-5EQKY 50-59 years, male 99.4
GTEX-13FTW-2626-SM-5K7WL 40-49 years, male 99.3
GTEX-14ICK-0226-SM-6EU25 40-49 years, male 98.7
GTEX-1ICLZ-0126-SM-CKZPO 60-69 years, male 98.7
GTEX-1211K-2026-SM-5EQ4Z 60-69 years, female 98.6
GTEX-1GN2E-0426-SM-9MQKX 60-69 years, male 98.5
GTEX-12126-0326-SM-5PNW3 20-29 years, male 98.4
GTEX-OXRO-0126-SM-2YUN4 60-69 years, female 98.3
GTEX-YJ89-0126-SM-4TT3X 60-69 years, male 98.2
GTEX-PSDG-0226-SM-DKPOZ 50-59 years, male 98.2
GTEX-15ETS-0126-SM-7KUMW 40-49 years, female 98.0
GTEX-145MO-0326-SM-5Q5B3 60-69 years, male 97.9
GTEX-1C6VQ-0126-SM-7P8RI 50-59 years, male 97.9
GTEX-14PJ3-1826-SM-62LEX 50-59 years, male 97.7
GTEX-14BMU-2226-SM-5TDE9 20-29 years, female 97.6
GTEX-11DXZ-2326-SM-5EGGV 50-59 years, male 97.4
GTEX-P4PQ-0126-SM-2S1NM 60-69 years, male 97.1
GTEX-13FXS-0226-SM-5IJCK 50-59 years, male 96.9
GTEX-1GMR3-1926-SM-9KNUZ 40-49 years, male 96.9
GTEX-1JMLX-0226-SM-CM2RO 50-59 years, male 96.9
GTEX-1K2DA-1826-SM-CGQGT 50-59 years, male 96.8
GTEX-1QP9N-1426-SM-DTXFL 30-39 years, male 96.8
GTEX-13111-1626-SM-5EGJY 50-59 years, male 96.7
GTEX-Y114-2426-SM-4TT8A 50-59 years, female 96.6
GTEX-WOFL-0126-SM-3MJG2 60-69 years, male 96.5
GTEX-1I1GV-0526-SM-A9G29 60-69 years, male 95.9
GTEX-1PDJ9-0326-SM-DTX95 20-29 years, male 95.9
GTEX-14LZ3-0226-SM-62LET 60-69 years, female 95.7
GTEX-15DDE-0126-SM-6LPKH 50-59 years, female 95.6
GTEX-13G51-2526-SM-5LZYK 60-69 years, male 95.4
GTEX-ZYFD-0126-SM-5GIDL 50-59 years, male 95.4
GTEX-14PHX-2326-SM-62LEM 50-59 years, male 95.2
GTEX-131XF-5016-SM-7MGWE 60-69 years, male 95.2
GTEX-13JUV-2726-SM-5LZZ8 40-49 years, female 95.1
GTEX-OXRL-0126-SM-2YUMP 50-59 years, male 95.0
GTEX-XUZC-1726-SM-4BRWS 30-39 years, female 95.0
GTEX-1H1CY-2826-SM-9MQM3 60-69 years, female 94.9
GTEX-OXRN-0126-SM-48TDM 50-59 years, male 94.8
GTEX-WVJS-0126-SM-4MVOT 50-59 years, male 94.7
GTEX-1R46S-0626-SM-E9J41 60-69 years, female 94.7
GTEX-1313W-0126-SM-5LZUN 50-59 years, female 94.5
GTEX-12WSJ-1826-SM-5GCNY 40-49 years, female 94.2
GTEX-Y5V6-2426-SM-4VDSB 60-69 years, male 94.2
GTEX-13PDP-0126-SM-5L3HD 60-69 years, male 94.1
GTEX-1JN1M-0326-SM-CYPT3 60-69 years, female 94.1
GTEX-1269C-2526-SM-5EGJ3 60-69 years, female 94.0
GTEX-1HBPM-0226-SM-ARL9F 60-69 years, female 93.8
GTEX-1JMQL-0226-SM-CNPP5 50-59 years, female 93.8
GTEX-1N2DW-0226-SM-E9TK2 50-59 years, male 93.8
GTEX-139D8-0226-SM-5KLZO 30-39 years, female 93.6
GTEX-13N11-2526-SM-5K7UE 50-59 years, female 93.6
GTEX-17F98-0626-SM-79OMX 40-49 years, female 93.6
GTEX-1HR98-0126-SM-B2LWI 60-69 years, male 93.6
GTEX-Y3I4-2126-SM-4TT7C 50-59 years, male 93.4
GTEX-13OVJ-0126-SM-5KM36 50-59 years, female 93.2
GTEX-U8XE-0326-SM-3DB8P 30-39 years, male 93.0
GTEX-17JCI-0126-SM-7LG5G 60-69 years, female 92.9
GTEX-18QFQ-0126-SM-731BE 30-39 years, male 92.9
GTEX-PX3G-0126-SM-2I3EN 20-29 years, female 92.6
GTEX-ZVTK-0426-SM-51MRS 20-29 years, male 92.1
GTEX-Y8DK-0126-SM-4TT3L 60-69 years, male 91.9
GTEX-16MT8-0426-SM-7KUEY 60-69 years, female 91.6
GTEX-PWCY-1826-SM-DHXIZ 20-29 years, female 91.5
GTEX-14PII-0226-SM-6EU1T 60-69 years, male 91.4
GTEX-1KD4Q-0226-SM-E9TJ9 40-49 years, male 91.4
GTEX-T6MN-0126-SM-32PLP 50-59 years, male 91.3
GTEX-Z93T-0126-SM-5HL5N 50-59 years, male 91.0
GTEX-PLZ6-1426-SM-DKPOT 30-39 years, male 91.0
GTEX-1H23P-0126-SM-ADEJ3 60-69 years, male 90.7
GTEX-13IVO-0126-SM-5J1NG 70-79 years, male 90.5
GTEX-PWO3-1526-SM-48TCM 60-69 years, female 90.5
GTEX-132NY-0326-SM-5IJBL 60-69 years, male 90.4
GTEX-15ER7-0326-SM-7KUEV 20-29 years, female 90.3
GTEX-XQ3S-1526-SM-4BOOC 20-29 years, male 90.2
GTEX-ZC5H-0226-SM-4WAY9 40-49 years, female 90.1
GTEX-X4XX-0126-SM-3NMC2 60-69 years, male 90.0
GTEX-WY7C-2326-SM-3NB2U 50-59 years, male 89.9
GTEX-1HFI6-0226-SM-ADEHZ 40-49 years, male 89.9
GTEX-18A6Q-0126-SM-731BZ 60-69 years, male 89.8
GTEX-1CAMS-0426-SM-7P8T2 40-49 years, female 89.7
GTEX-11DYG-0126-SM-59883 60-69 years, male 89.5
GTEX-ZAJG-0126-SM-5HL94 50-59 years, female 89.5
GTEX-14E6D-0126-SM-62LDV 50-59 years, male 89.4
GTEX-1CB4H-0226-SM-7PBXM 60-69 years, female 89.3
GTEX-1IDJH-0326-SM-A9SLQ 70-79 years, male 89.3
GTEX-11EM3-2426-SM-59861 20-29 years, female 89.0
GTEX-13OW5-0126-SM-DTXFS 60-69 years, male 89.0
GTEX-1MJK2-0426-SM-DTXE5 50-59 years, male 89.0
GTEX-11TUW-2726-SM-E9J4M 60-69 years, male 88.8
GTEX-133LE-1826-SM-5J1MV 20-29 years, female 88.6
GTEX-14XAO-2326-SM-6EU1B 60-69 years, female 88.6
GTEX-P4QT-0126-SM-2I3FL 50-59 years, female 88.6
GTEX-YB5E-2026-SM-5IFIS 40-49 years, male 88.4
GTEX-X4EO-0326-SM-3P5YO 60-69 years, female 88.2
GTEX-1PWST-0226-SM-E76QJ 70-79 years, male 88.2
GTEX-14A5I-0126-SM-5TDEA 50-59 years, female 88.1
GTEX-1RB15-2126-SM-E9TIM 60-69 years, male 88.1
GTEX-111FC-0126-SM-5N9DL 60-69 years, male 88.0
GTEX-1KANC-1526-SM-D3LAB 50-59 years, female 87.8
GTEX-13OVK-2026-SM-7KUEO 40-49 years, male 87.5
GTEX-15UKP-0426-SM-7KUFQ 20-29 years, male 87.2
GTEX-13OVH-0126-SM-5MR4B 70-79 years, male 87.1
GTEX-14PK6-1926-SM-6ETZU 70-79 years, female 87.0
GTEX-13O21-1426-SM-5K7XI 50-59 years, male 86.8
GTEX-11H98-0126-SM-5EGHG 50-59 years, male 86.5
GTEX-TKQ1-1026-SM-4GICL 30-39 years, male 86.5
GTEX-QVJO-1626-SM-2S1QW 60-69 years, female 86.4
GTEX-1F6I4-0126-SM-9MQL2 60-69 years, male 86.4
GTEX-13PVR-2326-SM-5QGR1 60-69 years, female 86.3
GTEX-13O3O-0126-SM-E9J49 60-69 years, female 86.2
GTEX-1B8SF-1426-SM-7DUGL 60-69 years, male 86.1
GTEX-1EMGI-0126-SM-9KNUE 60-69 years, male 86.1
GTEX-1J8EW-0126-SM-CJI4F 60-69 years, female 86.1
GTEX-11OF3-2626-SM-5GU7F 60-69 years, male 86.0
GTEX-ZQG8-1626-SM-DHXIT 60-69 years, female 85.7
GTEX-TML8-1926-SM-32QOS 40-49 years, female 85.6
GTEX-ZVT2-2526-SM-51MT1 50-59 years, female 85.6
GTEX-ZAB4-0226-SM-5N9F5 40-49 years, male 85.5
GTEX-ZDTS-0126-SM-4WAY5 60-69 years, male 85.5
GTEX-Q2AI-1326-SM-2S1PL 40-49 years, male 85.3
GTEX-13O3P-0126-SM-5KM4S 50-59 years, male 85.2
GTEX-14BIM-0226-SM-7IGLD 60-69 years, female 84.9
GTEX-1N2EF-0226-SM-EYYXB 60-69 years, male 84.9
GTEX-145MN-2226-SM-5SIAU 30-39 years, male 84.7
GTEX-14DAR-2026-SM-5S2O3 50-59 years, male 84.5
GTEX-1A32A-0126-SM-718B1 50-59 years, female 84.5
GTEX-QEG4-0226-SM-2S1PY 30-39 years, male 84.5
GTEX-1PIIG-0226-SM-EWRN6 30-39 years, male 84.5
GTEX-13U4I-0126-SM-5LU38 40-49 years, female 84.4
GTEX-1122O-2126-SM-5EGIR 60-69 years, female 84.2
GTEX-OXRK-0226-SM-3NB2G 50-59 years, female 84.1
GTEX-11ZVC-2526-SM-5FQTE 50-59 years, female 84.0
GTEX-13W46-0226-SM-5SIAG 50-59 years, male 84.0
GTEX-13OW6-0426-SM-5L3HM 50-59 years, male 83.7
GTEX-12ZZX-0126-SM-5EGK9 40-49 years, female 83.3
GTEX-YFC4-0126-SM-5CVLY 40-49 years, female 83.2
GTEX-OOBK-0126-SM-2YUND 40-49 years, male 83.1
GTEX-1BAJH-0526-SM-793CQ 70-79 years, male 82.9
GTEX-SIU8-0126-SM-2XCDT 50-59 years, male 82.8
GTEX-Y8E4-0626-SM-4WWDL 40-49 years, male 82.8
GTEX-1HB9E-0226-SM-E9U4R 50-59 years, male 82.8
GTEX-17GQL-2026-SM-718BA 60-69 years, male 82.7
GTEX-1AX8Z-0126-SM-7DHM6 60-69 years, male 82.5
GTEX-ZAK1-0126-SM-5IJD3 50-59 years, female 82.5
GTEX-1B933-0126-SM-7PC29 50-59 years, female 82.4
GTEX-1F6RS-0126-SM-9MQKZ 60-69 years, female 82.4
GTEX-1IDJF-0126-SM-CM2RS 20-29 years, male 82.4
GTEX-SUCS-1926-SM-32PM3 70-79 years, male 82.3
GTEX-ZGAY-0526-SM-4WWBB 40-49 years, female 82.2
GTEX-1HCU8-0626-SM-A9SM9 60-69 years, female 82.1
GTEX-1M5QR-1226-SM-EWROB 40-49 years, male 82.1
GTEX-X585-0226-SM-4QAS2 50-59 years, male 82.0
GTEX-XXEK-2226-SM-4BRUM 50-59 years, male 81.9
GTEX-1QP29-0626-SM-EWRMX 50-59 years, male 81.9
GTEX-144GN-2326-SM-5LU4F 50-59 years, male 81.6
GTEX-QDVN-2026-SM-3GAEP 50-59 years, male 81.4
GTEX-113JC-2326-SM-5EQ4E 50-59 years, female 81.3
GTEX-QDT8-0126-SM-48TZ1 30-39 years, female 81.3
GTEX-S95S-1226-SM-4GICG 60-69 years, male 81.3
GTEX-13FTX-1826-SM-5J1NX 20-29 years, female 81.2
GTEX-13FHP-0126-SM-5IJBG 50-59 years, male 81.1
GTEX-13NZB-2526-SM-5J1OM 30-39 years, male 81.1
GTEX-13OVI-1426-SM-5L3EY 60-69 years, female 81.0
GTEX-1AYD5-2426-SM-73KXR 50-59 years, male 80.9
GTEX-1PIGE-0126-SM-EVYBJ 20-29 years, male 80.9
GTEX-18A7A-0226-SM-718BH 50-59 years, female 80.7
GTEX-139T4-0226-SM-5HL5S 50-59 years, female 80.4
GTEX-1LGRB-2526-SM-CNPPQ 50-59 years, female 80.4
GTEX-15SHU-0126-SM-7KUEH 40-49 years, female 80.1
GTEX-17EVQ-0226-SM-7LG4P 70-79 years, male 80.0
GTEX-WYJK-0126-SM-3NMAB 50-59 years, male 80.0
GTEX-PLZ4-0126-SM-5SI8O 50-59 years, female 79.9
GTEX-11ZUS-0626-SM-59885 30-39 years, male 79.8
GTEX-1GF9W-0326-SM-9KNUN 60-69 years, male 79.8
GTEX-1192X-0226-SM-5H12D 50-59 years, male 79.7
GTEX-18D9A-1926-SM-7LG6P 30-39 years, female 79.6
GTEX-UPJH-0326-SM-3GADU 50-59 years, male 79.6
GTEX-R45C-0126-SM-EAZ2R 60-69 years, female 79.6
GTEX-1A3MW-0126-SM-73KXX 60-69 years, female 79.4
GTEX-17EVP-0326-SM-7DHLG 40-49 years, male 79.3
GTEX-OHPM-0126-SM-2YUN9 50-59 years, male 79.2
GTEX-1GZHY-0326-SM-9QEHI 50-59 years, female 79.1
GTEX-1R7EU-0226-SM-EVR4G 60-69 years, male 79.1
GTEX-VJWN-0126-SM-3GIK7 50-59 years, female 79.0
GTEX-ZVT4-0126-SM-DTXFN 50-59 years, female 79.0
GTEX-1JMQJ-0526-SM-CYPSU 50-59 years, male 78.9
GTEX-1EWIQ-0126-SM-7RHH2 70-79 years, female 78.8
GTEX-1J1OQ-0226-SM-CYPSH 40-49 years, female 78.7
GTEX-15DCD-0126-SM-7KUEK 70-79 years, female 78.6
GTEX-1LGOU-2026-SM-DIPFF 20-29 years, female 78.6
GTEX-13VXU-0126-SM-5SI9F 50-59 years, male 78.5
GTEX-QESD-1426-SM-2S1R9 20-29 years, male 78.5
GTEX-11P82-1626-SM-59879 20-29 years, male 78.4
GTEX-1J8QM-2126-SM-CYPSJ 60-69 years, female 78.4
GTEX-11DXW-0226-SM-5H122 40-49 years, male 78.2
GTEX-X261-0126-SM-3NMD6 50-59 years, male 78.2
GTEX-1KAFJ-2026-SM-CY8ID 50-59 years, male 78.2
GTEX-S7SE-0126-SM-2XCD5 50-59 years, male 78.1
GTEX-ZY6K-1826-SM-5GZXK 50-59 years, male 78.1
GTEX-1K2DU-2326-SM-E9TIV 20-29 years, male 78.1
GTEX-1KWVE-1426-SM-E9TJO 30-39 years, male 78.1
GTEX-11GS4-2726-SM-5A5LE 60-69 years, male 78.0
GTEX-11DXX-2426-SM-5GZZW 60-69 years, female 77.9
GTEX-RNOR-0126-SM-E9J4R 50-59 years, female 77.9
GTEX-1EX96-1626-SM-7PBXR 50-59 years, male 77.8
GTEX-12KS4-0326-SM-5EQ41 30-39 years, male 77.7
GTEX-13SLW-0126-SM-5SI6C 70-79 years, male 77.7
GTEX-R55G-2526-SM-2TC6D 40-49 years, female 77.7
GTEX-T2IS-0126-SM-4DM6O 20-29 years, female 77.7
GTEX-12WSD-0126-SM-59HKN 60-69 years, female 77.6
GTEX-131XW-0426-SM-5LZWP 50-59 years, female 77.6
GTEX-14JG1-0426-SM-6ETZZ 40-49 years, male 77.6
GTEX-1OFPY-2426-SM-DTXEJ 60-69 years, male 77.6
GTEX-13NYB-2526-SM-5K7Z6 40-49 years, male 77.5
GTEX-11TTK-0126-SM-5987B 60-69 years, female 77.4
GTEX-13OW7-0126-SM-5MR3B 50-59 years, male 77.4
GTEX-XV7Q-2526-SM-4BRV9 40-49 years, female 77.3
GTEX-ZDXO-3026-SM-5J1N5 60-69 years, male 77.3
GTEX-1LB8K-0226-SM-EWRNW 50-59 years, male 77.3
GTEX-1R9K4-0126-SM-DTX9X 60-69 years, male 77.3
GTEX-11P7K-2126-SM-5GU7G 30-39 years, male 77.2
GTEX-1I19N-0326-SM-ACKVX 70-79 years, male 77.0
GTEX-1NHNU-1026-SM-E9J2A 50-59 years, male 77.0
GTEX-1RDX4-0126-SM-E9J4P 50-59 years, female 76.8
GTEX-13VXT-0126-SM-5LU4I 20-29 years, female 76.6
GTEX-17HHY-0126-SM-7LG5D 50-59 years, male 76.6
GTEX-1R9PO-2126-SM-E9J4O 60-69 years, female 76.5
GTEX-1S5ZA-0126-SM-EVYCV 20-29 years, male 76.5
GTEX-13NZA-0226-SM-5K7Z7 60-69 years, male 76.4
GTEX-RU72-0926-SM-2TF6B 50-59 years, female 76.3
GTEX-XBED-2226-SM-47JYQ 60-69 years, male 76.3
GTEX-1GN1V-0126-SM-9WPOS 60-69 years, male 76.3
GTEX-ZF28-0126-SM-4WKGK 60-69 years, male 76.2
GTEX-13113-5016-SM-7EPIP 60-69 years, female 76.1
GTEX-WZTO-0126-SM-3NM95 40-49 years, male 76.1
GTEX-ZEX8-2426-SM-4WKG4 50-59 years, male 76.1
GTEX-1RLM8-2326-SM-EWRN4 50-59 years, male 76.1
GTEX-1JN6P-0126-SM-D3L98 60-69 years, male 75.9
GTEX-131YS-0126-SM-5KM1M 60-69 years, female 75.8
GTEX-X638-0126-SM-47JZ8 70-79 years, female 75.8
GTEX-17HG3-2226-SM-7938L 30-39 years, female 75.7
GTEX-18A66-0226-SM-718BD 60-69 years, male 75.7
GTEX-X5EB-2226-SM-46MW4 40-49 years, male 75.7
GTEX-ZVT3-0126-SM-5GU6I 60-69 years, female 75.7
GTEX-16GPK-0126-SM-7DHLE 60-69 years, male 75.6
GTEX-XBEW-0626-SM-4QASP 40-49 years, male 75.6
GTEX-XAJ8-0826-SM-47JY6 40-49 years, male 75.5
GTEX-1HBPH-0426-SM-B2LW5 40-49 years, female 75.5
GTEX-17KNJ-2326-SM-7DHLQ 50-59 years, male 75.4
GTEX-XUW1-0426-SM-4BOOT 50-59 years, female 75.4
GTEX-1C64O-0126-SM-7SB8P 60-69 years, male 75.3
GTEX-ZVZP-2426-SM-59HKJ 50-59 years, male 75.2
GTEX-1L5NE-2526-SM-E6CIE 50-59 years, male 75.0
GTEX-131XH-2226-SM-5DUXJ 50-59 years, male 74.8
GTEX-139T8-0126-SM-5K7XZ 60-69 years, male 74.7
GTEX-13RTK-1426-SM-5QGQJ 20-29 years, male 74.7
GTEX-14C5O-0126-SM-5SI6N 60-69 years, male 74.6
GTEX-1IOXB-0126-SM-ARL8G 50-59 years, male 74.6
GTEX-1PPH7-2326-SM-EVYB8 40-49 years, male 74.6
GTEX-12WSE-0526-SM-793B2 20-29 years, male 74.5
GTEX-147F4-0226-SM-5QGPW 50-59 years, male 74.4
GTEX-1MA7W-2026-SM-E9TJ6 20-29 years, female 74.4
GTEX-11NUK-0126-SM-5A5L3 50-59 years, male 74.3
GTEX-13X6J-0126-SM-5QGOU 50-59 years, male 74.3
GTEX-14BIL-0126-SM-5SI92 50-59 years, male 74.3
GTEX-1H11D-0226-SM-9WG6Z 40-49 years, male 74.3
GTEX-X62O-0126-SM-4E3JN 50-59 years, male 74.2
GTEX-ZU9S-0226-SM-5E441 30-39 years, male 74.2
GTEX-1H1E6-1726-SM-ACKVK 30-39 years, male 74.2
GTEX-1H2FU-0126-SM-9WYSI 60-69 years, female 74.2
GTEX-1QPFJ-0226-SM-E76PB 30-39 years, female 74.2
GTEX-14PJM-0226-SM-62LF1 50-59 years, female 74.1
GTEX-111VG-2426-SM-5GZXD 60-69 years, male 74.0
GTEX-X4XY-0226-SM-4E3IZ 60-69 years, male 74.0
GTEX-1GN1U-0126-SM-7PBZK 50-59 years, female 74.0
GTEX-1GN73-0226-SM-9WG67 60-69 years, male 74.0
GTEX-1GF9V-0326-SM-7RHI5 60-69 years, male 73.8
GTEX-17F97-0326-SM-7LG5B 50-59 years, male 73.7
GTEX-1AYCT-2426-SM-7IGQ3 50-59 years, male 73.6
GTEX-1CAMR-1926-SM-7EPI2 20-29 years, male 73.6
GTEX-18465-0126-SM-731BN 50-59 years, male 73.5
GTEX-XMD2-0126-SM-4YCDU 60-69 years, female 73.5
GTEX-ZV68-0126-SM-59HKS 50-59 years, female 73.5
GTEX-1314G-1526-SM-5EGK2 30-39 years, male 73.4
GTEX-1HCUA-2426-SM-ADEIS 50-59 years, female 73.2
GTEX-18D9U-0226-SM-718BP 40-49 years, male 73.0
GTEX-OIZG-0726-SM-33HBL 50-59 years, male 72.9
GTEX-1QMI2-0226-SM-EVYBX 60-69 years, male 72.9
GTEX-WRHK-1426-SM-3MJF9 20-29 years, female 72.8
GTEX-13O3Q-2426-SM-5IJBR 50-59 years, male 72.7
GTEX-1O97I-0326-SM-EYYX7 60-69 years, male 72.7
GTEX-OHPL-0126-SM-2HMJ7 60-69 years, female 72.6
GTEX-1H4P4-0726-SM-9YFLR 50-59 years, male 72.6
GTEX-1MGNQ-0126-SM-EVYCJ 40-49 years, male 72.6
GTEX-145MI-0526-SM-5O9A8 60-69 years, female 72.5
GTEX-1E2YA-0126-SM-9KNUC 50-59 years, male 72.5
GTEX-1LNCM-1126-SM-E9U5E 50-59 years, female 72.5
GTEX-YB5K-2126-SM-4WWDJ 40-49 years, female 72.4
GTEX-15RIG-0226-SM-7KFTL 40-49 years, male 72.3
GTEX-ZTSS-1926-SM-57WEW 40-49 years, male 72.3
GTEX-13FHO-0226-SM-5IFGY 60-69 years, male 72.2
GTEX-U3ZM-1526-SM-3DB9D 40-49 years, male 72.2
GTEX-Z93S-0126-SM-5HL7M 50-59 years, male 72.2
GTEX-1F5PL-0326-SM-7P8PQ 40-49 years, female 72.2
GTEX-1ICLY-0126-SM-D4P36 50-59 years, male 72.2
GTEX-12ZZY-0226-SM-5LZVE 60-69 years, male 72.1
GTEX-145LS-0126-SM-5QGP1 60-69 years, female 72.1
GTEX-WXYG-2326-SM-4E3I6 50-59 years, female 72.1
GTEX-1JN76-0126-SM-CNPPE 20-29 years, female 72.1
GTEX-13O1R-0126-SM-5L3EH 60-69 years, male 71.9
GTEX-T8EM-1026-SM-3DB7M 40-49 years, male 71.9
GTEX-OOBJ-0126-SM-E6CJW 60-69 years, male 71.9
GTEX-12584-0126-SM-5EGKQ 40-49 years, male 71.8
GTEX-1CB4I-0226-SM-79OLH 50-59 years, male 71.8
GTEX-1IE54-0126-SM-CMKHW 40-49 years, female 71.8
GTEX-117YX-2326-SM-5H12W 50-59 years, male 71.7
GTEX-T5JW-1626-SM-3GADZ 20-29 years, female 71.7
GTEX-1JMPY-1326-SM-ARL8Y 30-39 years, male 71.7
GTEX-117YW-2626-SM-5GZZH 50-59 years, male 71.6
GTEX-1R7EV-2426-SM-EVYBG 40-49 years, male 71.6
GTEX-1I6K6-0126-SM-A9SLE 30-39 years, male 71.5
GTEX-1IGQW-0126-SM-COH42 60-69 years, male 71.5
GTEX-1LH75-2426-SM-E9TJE 50-59 years, female 71.5
GTEX-ZDTT-2726-SM-4WKF8 60-69 years, male 71.3
GTEX-1M4P7-0226-SM-DIPEV 60-69 years, male 71.3
GTEX-145MF-0626-SM-5LUAI 50-59 years, male 71.1
GTEX-1IDFM-0126-SM-COH2V 60-69 years, male 71.1
GTEX-1QCLY-0326-SM-E8VOG 30-39 years, male 70.9
GTEX-13D11-2426-SM-5KM1V 50-59 years, female 70.8
GTEX-1AX9K-2326-SM-73KWU 50-59 years, male 70.7
GTEX-11OC5-0126-SM-5HL6A 60-69 years, male 70.6
GTEX-139TU-0126-SM-5K7WH 60-69 years, male 70.6
GTEX-1CB4E-2226-SM-793DC 60-69 years, male 70.6
GTEX-WFON-2126-SM-3LK7O 40-49 years, male 70.5
GTEX-1GMRU-0126-SM-9YFLV 50-59 years, male 70.5
GTEX-15CHC-2126-SM-6EU21 60-69 years, female 70.4
GTEX-13OVL-0226-SM-5L3E9 50-59 years, male 70.3
GTEX-1JMPZ-0226-SM-CNPP1 30-39 years, male 70.3
GTEX-1I1GS-0126-SM-B2LVW 60-69 years, male 70.2
GTEX-1J8JJ-0226-SM-CL53I 60-69 years, female 70.2
GTEX-13RTL-0126-SM-7LG5S 40-49 years, male 70.0
GTEX-W5WG-1826-SM-4KL2Y 50-59 years, female 70.0
GTEX-13FH7-2026-SM-E9J4I 50-59 years, female 69.8
GTEX-1HBPI-1526-SM-C1YQ1 50-59 years, male 69.8
GTEX-15SDE-2226-SM-7IGLO 50-59 years, female 69.7
GTEX-1QW4Y-1526-SM-EAZ3Z 30-39 years, male 69.7
GTEX-ZZ64-1726-SM-5GZYB 20-29 years, male 69.6
GTEX-1C64N-0126-SM-793D7 50-59 years, male 69.5
GTEX-11O72-0126-SM-59887 40-49 years, male 69.2
GTEX-11EMC-2926-SM-5EQ4F 60-69 years, female 69.1
GTEX-13W3W-2426-SM-5LU5B 60-69 years, female 69.1
GTEX-1B8KZ-2026-SM-7DHMB 50-59 years, male 69.1
GTEX-11GSO-2426-SM-5A5LY 60-69 years, male 68.7
GTEX-11GSP-2526-SM-5N9BP 60-69 years, female 68.7
GTEX-QV44-1926-SM-2S1RF 50-59 years, male 68.7
GTEX-1HSMP-0126-SM-E6CJS 70-79 years, male 68.7
GTEX-1HT8W-0126-SM-CNPPP 30-39 years, male 68.7
GTEX-15EU6-0426-SM-6PAN5 50-59 years, male 68.6
GTEX-ZAB5-1826-SM-5HL7C 50-59 years, male 68.6
GTEX-1KD5A-0226-SM-D5OV3 50-59 years, male 68.2
GTEX-1399R-2726-SM-5IJBA 30-39 years, male 68.1
GTEX-148VI-1626-SM-5SI6E 60-69 years, female 68.1
GTEX-1H3VY-0126-SM-ACKXD 50-59 years, male 68.1
GTEX-18A7B-0126-SM-7LG64 70-79 years, male 68.0
GTEX-Y5V5-2326-SM-4V6GA 60-69 years, female 68.0
GTEX-14JIY-0126-SM-6LLH6 60-69 years, male 67.9
GTEX-15G19-0126-SM-6PANQ 60-69 years, male 67.8
GTEX-Y111-0126-SM-4SOIV 50-59 years, male 67.8
GTEX-1H1DE-2126-SM-9WG6R 20-29 years, male 67.8
GTEX-U4B1-1826-SM-4DXSU 40-49 years, male 67.7
GTEX-1H3O1-0426-SM-9YFKY 60-69 years, male 67.7
GTEX-12ZZZ-0626-SM-5DUXI 60-69 years, male 67.4
GTEX-1F7RK-0126-SM-7PC2S 20-29 years, female 67.4
GTEX-13QJ3-0326-SM-5S2RA 50-59 years, male 67.2
GTEX-1JKYN-1326-SM-CGQG9 30-39 years, male 67.2
GTEX-1B8L1-2526-SM-9WYTF 60-69 years, male 67.1
GTEX-1HKZK-0326-SM-9WYUH 40-49 years, male 67.1
GTEX-13RTJ-2426-SM-5S2Q2 60-69 years, male 67.0
GTEX-1GMR8-0126-SM-9WYTM 50-59 years, female 66.8
GTEX-1IL2U-0226-SM-CE6T8 60-69 years, male 66.8
GTEX-1KXAM-2226-SM-CYPTC 60-69 years, male 66.8
GTEX-1OJC4-0126-SM-E9J2E 50-59 years, female 66.8
GTEX-17HGU-0226-SM-7DHKV 50-59 years, male 66.7
GTEX-WQUQ-0426-SM-3MJFU 60-69 years, male 66.7
GTEX-1GTWX-0126-SM-9YFLK 60-69 years, male 66.7
GTEX-1LBAC-0126-SM-DIPEZ 20-29 years, male 66.7
GTEX-15F5U-1526-SM-6PANO 40-49 years, male 66.6
GTEX-1C2JI-1826-SM-73KXC 50-59 years, male 66.6
GTEX-ZVE2-0226-SM-59HJB 50-59 years, male 66.6
GTEX-1LG7Y-0526-SM-DKPQC 50-59 years, male 66.6
GTEX-11ZTS-0126-SM-5EQ6M 60-69 years, female 66.5
GTEX-1KANA-0726-SM-D3L9I 20-29 years, male 66.5
GTEX-1GF9U-2126-SM-7SB7L 40-49 years, female 66.3
GTEX-11LCK-1026-SM-5A5KB 30-39 years, male 66.2
GTEX-14E6E-1826-SM-5S2R7 30-39 years, male 66.2
GTEX-1LVAN-0226-SM-COH3S 50-59 years, female 66.2
GTEX-XPVG-2626-SM-4B669 50-59 years, male 66.0
GTEX-11WQC-2526-SM-5CVLE 60-69 years, male 65.9
GTEX-12C56-1726-SM-5EQ61 20-29 years, male 65.9
GTEX-14A5H-0426-SM-5QGQF 60-69 years, male 65.8
GTEX-1F75B-0126-SM-9KNVL 50-59 years, male 65.8
GTEX-1A3MV-1926-SM-718BT 30-39 years, male 65.7
GTEX-ZYFG-2326-SM-5E44B 60-69 years, female 65.6
GTEX-1GPI7-0126-SM-9MQL8 20-29 years, male 65.6
GTEX-1C6VS-0526-SM-7DUEN 60-69 years, male 65.5
GTEX-18A67-0126-SM-7LG5P 50-59 years, male 65.2
GTEX-14LLW-0126-SM-6LLIO 70-79 years, female 65.1
GTEX-1HCU6-0126-SM-CL54K 60-69 years, female 65.0
GTEX-1JMQK-0226-SM-CL543 60-69 years, male 65.0
GTEX-15SHW-0326-SM-6PAML 60-69 years, male 64.9
GTEX-WH7G-2326-SM-3NMBC 40-49 years, male 64.9
GTEX-1I1CD-0126-SM-CM2TK 60-69 years, female 64.9
GTEX-1I1GP-2226-SM-CGQFK 50-59 years, male 64.9
GTEX-11XUK-2026-SM-5EQLF 40-49 years, female 64.8
GTEX-145LV-2126-SM-5LU8N 50-59 years, male 64.8
GTEX-183FY-0126-SM-7LT9P 20-29 years, male 64.8
GTEX-1CB4G-0226-SM-7PC3O 60-69 years, male 64.8
GTEX-14JG6-2226-SM-6EU2G 30-39 years, female 64.7
GTEX-1I4MK-2226-SM-ACKWD 50-59 years, female 64.7
GTEX-11EQ9-2426-SM-5HL5T 30-39 years, male 64.6
GTEX-T6MO-1626-SM-32QOM 40-49 years, female 64.6
GTEX-1HUB1-0426-SM-E9U4U 60-69 years, male 64.6
GTEX-1R9PM-2026-SM-E76OY 20-29 years, male 64.6
GTEX-1EKGG-0226-SM-9WYTH 60-69 years, male 64.5
GTEX-WFG8-2226-SM-3GIL9 20-29 years, male 64.4
GTEX-1HSMQ-1226-SM-CGQFX 50-59 years, male 64.4
GTEX-1399T-2826-SM-5KLYZ 60-69 years, male 64.2
GTEX-13X6I-0626-SM-5QGP9 60-69 years, male 64.2
GTEX-1AX9J-0226-SM-73KXM 60-69 years, male 64.0
GTEX-13112-2826-SM-5DUWH 50-59 years, male 63.8
GTEX-12WSK-2326-SM-5GCOH 40-49 years, female 63.7
GTEX-WYVS-2126-SM-3NMA3 40-49 years, female 63.7
GTEX-17MF6-0126-SM-7LG4F 40-49 years, male 63.6
GTEX-13X6H-2126-SM-7EWD5 50-59 years, female 63.5
GTEX-1F6IF-0726-SM-7P8TW 60-69 years, male 63.5
GTEX-1192W-2626-SM-5Q5AF 60-69 years, male 63.4
GTEX-OXRP-0126-SM-3NB32 60-69 years, female 63.2
GTEX-11DZ1-0126-SM-5985Q 50-59 years, male 63.1
GTEX-ZDYS-2026-SM-5HL5L 50-59 years, male 63.1
GTEX-1PBJI-0526-SM-E8VNK 20-29 years, female 63.1
GTEX-11DXY-2626-SM-5GIE7 60-69 years, male 63.0
GTEX-14BIN-0626-SM-793DP 50-59 years, female 63.0
GTEX-1LG7Z-1726-SM-D3LA4 30-39 years, male 63.0
GTEX-13SLX-0526-SM-5S2ON 50-59 years, female 62.7
GTEX-XUYS-0126-SM-47JWZ 50-59 years, male 62.6
GTEX-1JKYR-0126-SM-CNPOJ 20-29 years, male 62.6
GTEX-1POEN-0126-SM-EYYXJ 30-39 years, female 62.6
GTEX-16NPX-0226-SM-79OMT 50-59 years, male 62.4
GTEX-QLQW-1126-SM-2S1Q8 30-39 years, male 62.3
GTEX-1F48J-0126-SM-7P8TT 50-59 years, female 62.3
GTEX-1HSEH-0126-SM-ACKXN 60-69 years, male 62.3
GTEX-1GZ4H-1726-SM-7PBZJ 50-59 years, female 62.2
GTEX-1H3NZ-0126-SM-ACKX7 60-69 years, male 62.1
GTEX-1QP2A-0126-SM-E9J43 50-59 years, male 62.1
GTEX-1AX9I-0126-SM-7SB74 60-69 years, male 61.8
GTEX-14PJ6-2126-SM-6EU1V 60-69 years, female 61.7
GTEX-ZF29-2326-SM-DO92K 60-69 years, female 61.7
GTEX-11ZTT-2426-SM-5EQLS 60-69 years, female 61.6
GTEX-169BO-1326-SM-9MQK2 50-59 years, male 61.6
GTEX-1HSGN-0226-SM-CGQFV 40-49 years, female 61.5
GTEX-1QEPI-0126-SM-EWRMQ 60-69 years, female 61.5
GTEX-1RQEC-0426-SM-E6CHU 60-69 years, male 61.5
GTEX-1F88F-2726-SM-7PBZZ 60-69 years, female 61.4
GTEX-QDVJ-1726-SM-2I5FX 50-59 years, male 61.3
GTEX-1F75I-0326-SM-9YFLU 40-49 years, male 61.3
GTEX-ZV6S-2326-SM-4YCEY 40-49 years, female 61.2
GTEX-R3RS-0126-SM-3GIJL 40-49 years, female 61.0
GTEX-1CB4F-0426-SM-9KNV4 60-69 years, male 60.8
GTEX-1EU9M-0226-SM-7P8SP 60-69 years, male 60.8
GTEX-1HFI7-1826-SM-ACKXH 50-59 years, female 60.8
GTEX-ZXES-1826-SM-5E43S 30-39 years, female 60.7
GTEX-1IL2V-0126-SM-CM2TX 70-79 years, male 60.7
GTEX-147F3-0526-SM-5SI98 50-59 years, female 60.6
GTEX-16AAH-1726-SM-7939C 50-59 years, male 60.6
GTEX-1GPI6-0126-SM-9WG69 60-69 years, male 60.6
GTEX-13FTY-0526-SM-5L3EV 40-49 years, female 60.5
GTEX-13S7M-0126-SM-5SI6A 60-69 years, female 60.5
GTEX-13NYC-0326-SM-E9J4S 60-69 years, male 60.5
GTEX-1MUQO-0126-SM-EAZ58 60-69 years, male 60.5
GTEX-13N1W-0126-SM-5K7VT 70-79 years, male 60.4
GTEX-1IY9M-0126-SM-D3L8S 60-69 years, male 60.4
GTEX-ZYY3-0126-SM-5GZY5 60-69 years, female 60.3
GTEX-ZYFC-0226-SM-5NQ75 50-59 years, male 60.2
GTEX-1JK1U-2026-SM-CM2RZ 60-69 years, male 60.1
GTEX-13CF3-2426-SM-5IFGX 60-69 years, female 60.0
GTEX-1C6WA-0126-SM-7PC2B 60-69 years, male 60.0
GTEX-1GF9X-2026-SM-7PC3A 40-49 years, female 60.0
GTEX-1212Z-2526-SM-5EGKP 60-69 years, male 59.8
GTEX-1C6VR-2426-SM-79OLD 60-69 years, male 59.8
GTEX-1HSKV-0226-SM-A9SKJ 60-69 years, male 59.8
GTEX-1IKOH-0226-SM-COH4E 60-69 years, female 59.8
GTEX-1MCYP-1926-SM-E9J2R 20-29 years, female 59.8
GTEX-U8T8-0126-SM-3DB94 60-69 years, male 59.7
GTEX-11EI6-0126-SM-5985R 60-69 years, male 59.6
GTEX-1B97I-1626-SM-73KYO 40-49 years, male 59.6
GTEX-1S82Y-2026-SM-EVYCM 40-49 years, male 59.6
GTEX-SJXC-0126-SM-2XCFF 60-69 years, male 59.5
GTEX-11P81-2326-SM-59875 30-39 years, female 59.4
GTEX-147GR-0526-SM-5S2MY 60-69 years, male 59.4
GTEX-113IC-0126-SM-5HL6T 60-69 years, male 59.1
GTEX-VJYA-1126-SM-3GIJU 60-69 years, male 59.1
GTEX-14BMV-0126-SM-5S2PO 50-59 years, male 59.0
GTEX-1H1ZS-0426-SM-9WG6G 70-79 years, male 59.0
GTEX-11ZU8-2526-SM-5EQKI 60-69 years, male 58.9
GTEX-1S83E-0126-SM-EWRO4 40-49 years, male 58.9
GTEX-ZF2S-2326-SM-4WWCE 50-59 years, female 58.6
GTEX-14PN3-2426-SM-6LLHS 60-69 years, female 58.4
GTEX-1F75A-0126-SM-7RHGM 50-59 years, male 58.4
GTEX-11NSD-2226-SM-5986V 20-29 years, male 58.3
GTEX-13OW8-1326-SM-5J1OW 60-69 years, male 58.3
GTEX-16BQI-0226-SM-7KUEX 30-39 years, female 58.3
GTEX-146FR-1326-SM-E9J48 60-69 years, female 58.2
GTEX-1PPH8-0226-SM-E8VND 20-29 years, male 58.2
GTEX-131XG-2626-SM-5KM17 50-59 years, female 58.1
GTEX-16NGA-1726-SM-731B4 40-49 years, female 58.0
GTEX-14DAQ-0126-SM-5S2MQ 60-69 years, female 57.9
GTEX-1C4CL-0526-SM-73KVK 30-39 years, male 57.9
GTEX-145ME-1826-SM-5SI9G 40-49 years, female 57.8
GTEX-16YQH-0126-SM-7DUFJ 30-39 years, male 57.7
GTEX-YEC4-2126-SM-5IFJH 40-49 years, male 57.7
GTEX-1K9T9-0126-SM-EVYCF 50-59 years, female 57.7
GTEX-14ABY-0226-SM-5TDCQ 50-59 years, male 57.5
GTEX-1HBPN-0226-SM-9YFM1 50-59 years, male 57.5
GTEX-PLZ5-2026-SM-2S1O4 50-59 years, male 57.4
GTEX-QLQ7-1626-SM-2S1R8 60-69 years, male 57.3
GTEX-1I1GT-0626-SM-CGQER 60-69 years, female 57.1
GTEX-ZYW4-0126-SM-5E44A 60-69 years, male 57.0
GTEX-1HCVE-0126-SM-CGQEU 50-59 years, male 57.0
GTEX-ZYT6-0226-SM-5NQ6T 30-39 years, male 56.9
GTEX-144GL-0126-SM-5TDE2 50-59 years, male 56.7
GTEX-17EUY-0426-SM-793BD 20-29 years, male 56.7
GTEX-13OVG-1926-SM-5L3DK 60-69 years, male 56.6
GTEX-1J1R8-1726-SM-ARL8M 40-49 years, male 56.6
GTEX-NFK9-0226-SM-2HMKQ 40-49 years, male 56.5
GTEX-PVOW-0126-SM-2XCFA 40-49 years, male 56.5
GTEX-1HCU7-0226-SM-CL545 50-59 years, male 56.5
GTEX-1J8Q2-0526-SM-CM2RW 60-69 years, male 56.5
GTEX-RN64-0126-SM-2TC68 50-59 years, male 56.4
GTEX-1F52S-0126-SM-9MQJU 60-69 years, female 56.4
GTEX-Y8LW-1826-SM-5S2MV 50-59 years, female 56.3
GTEX-VUSG-2526-SM-4KL1V 50-59 years, male 56.1
GTEX-V1D1-2226-SM-3NMAX 50-59 years, male 56.0
GTEX-1HCU9-1526-SM-A9SL7 20-29 years, male 56.0
GTEX-1CAMQ-0226-SM-7IGPK 40-49 years, male 55.9
GTEX-S32W-2126-SM-2XCB1 50-59 years, female 55.9
GTEX-17MFQ-1726-SM-793C7 20-29 years, male 55.6
GTEX-1B996-0226-SM-7RHGO 60-69 years, male 55.6
GTEX-13N2G-2626-SM-5J1OT 60-69 years, male 55.3
GTEX-Z9EW-1626-SM-5CVMN 40-49 years, male 55.2
GTEX-1JJE9-0326-SM-CL53Z 70-79 years, male 55.2
GTEX-RM2N-1426-SM-2TF4H 50-59 years, male 55.1
GTEX-ZWKS-0126-SM-5SIAA 30-39 years, male 55.0
GTEX-15DYW-0126-SM-7KULE 60-69 years, female 54.9
GTEX-1GL5R-1826-SM-9KNUY 50-59 years, male 54.7
GTEX-1RAZQ-0726-SM-EAZ43 30-39 years, male 54.5
GTEX-1AMFI-2026-SM-731BH 50-59 years, female 54.4
GTEX-1N2DV-0226-SM-E6CJ6 40-49 years, male 54.2
GTEX-12WSC-0126-SM-5EQ4P 50-59 years, male 54.1
GTEX-U3ZH-2026-SM-3DB78 30-39 years, male 54.0
GTEX-ZUA1-0126-SM-5GU76 40-49 years, male 54.0
GTEX-1J8Q3-1626-SM-CMKGC 60-69 years, male 53.6
GTEX-17F96-1626-SM-7DUFL 70-79 years, male 53.5
GTEX-146FH-0126-SM-5QGPP 50-59 years, female 53.4
GTEX-18D9B-0526-SM-7LTAS 60-69 years, male 53.4
GTEX-1B8KE-2126-SM-73KYX 50-59 years, male 53.4
GTEX-Q2AG-0126-SM-33HBV 40-49 years, female 53.4
GTEX-1128S-2326-SM-5GZZY 60-69 years, female 53.3
GTEX-QCQG-1726-SM-3GIJ9 50-59 years, female 53.3
GTEX-PW2O-1526-SM-7RHHB 20-29 years, male 53.3
GTEX-ZQUD-1426-SM-57WER 30-39 years, male 53.2
GTEX-1JJEA-0326-SM-CNPOT 60-69 years, male 53.2
GTEX-139TT-0126-SM-5K7Y5 60-69 years, male 52.5
GTEX-17HII-0226-SM-7LG4E 50-59 years, male 52.3
GTEX-1KANB-0526-SM-E6CJH 50-59 years, male 51.9
GTEX-11VI4-1726-SM-5CVLH 40-49 years, female 51.8
GTEX-U3ZN-2326-SM-3DB7W 30-39 years, female 51.8
GTEX-SSA3-0126-SM-32QPU 60-69 years, male 51.7
GTEX-TMMY-0226-SM-33HBA 40-49 years, female 51.6
GTEX-1A8FM-0226-SM-7SB7Q 50-59 years, female 51.6
GTEX-1GN1W-0526-SM-9MQJQ 50-59 years, female 51.5
GTEX-16XZY-2126-SM-79OK1 70-79 years, male 51.4
GTEX-1B8SG-0126-SM-73KZ3 50-59 years, male 51.4
GTEX-14A6H-0126-SM-5QGPK 30-39 years, male 51.3
GTEX-RUSQ-1526-SM-2TF62 50-59 years, male 51.3
GTEX-1C475-1826-SM-73KWA 40-49 years, female 50.5
GTEX-RWS6-2026-SM-2XCB5 60-69 years, female 50.4
GTEX-12WSA-0226-SM-5BC5V 60-69 years, male 49.7
GTEX-TSE9-0126-SM-3DB83 60-69 years, female 49.6
GTEX-1IKJJ-0126-SM-CNPQB 60-69 years, male 49.5
GTEX-145LU-0126-SM-5TDCB 50-59 years, male 49.4
GTEX-12WSG-2826-SM-E9J4H 50-59 years, female 49.2
GTEX-R55E-0126-SM-2TC5Y 20-29 years, male 49.1
GTEX-ZXG5-0126-SM-5GIEU 60-69 years, male 49.1
GTEX-1IDJU-2626-SM-CM2RT 60-69 years, female 48.9
GTEX-1RAZA-0126-SM-E6CI3 20-29 years, male 48.8
GTEX-1I1GQ-0126-SM-COH3H 50-59 years, male 48.4
GTEX-12WSN-5019-SM-79OM6 40-49 years, male 47.9
GTEX-1I1GU-2226-SM-CGQFA 40-49 years, male 47.8
GTEX-1LSNM-1926-SM-E6CII 50-59 years, male 47.6
GTEX-OIZF-0126-SM-7SB8I 60-69 years, male 47.6
GTEX-1E1VI-0126-SM-7DHMZ 50-59 years, male 47.5
GTEX-1JMOU-1526-SM-CL54I 60-69 years, female 47.4
GTEX-1AMEY-1326-SM-73KYK 30-39 years, female 47.2
GTEX-14E7W-0126-SM-6LLJ9 70-79 years, male 47.1
GTEX-1F5PK-2426-SM-7RHHY 50-59 years, male 46.9
GTEX-ZZPT-0226-SM-5E43X 50-59 years, male 46.8
GTEX-1JJ6O-0126-SM-E6CI8 60-69 years, male 46.7
GTEX-1MCQQ-0826-SM-DLHC2 60-69 years, male 46.3
GTEX-RWSA-0126-SM-2XCBB 40-49 years, male 45.9
GTEX-1MA7X-2226-SM-E6CIY 60-69 years, male 45.5
GTEX-14PHW-0126-SM-6LLJI 60-69 years, female 45.3
GTEX-1I1GR-0126-SM-CL55F 60-69 years, male 45.2
GTEX-SNMC-1226-SM-2XCFP 20-29 years, male 42.9
GTEX-P44H-0226-SM-2XCEU 40-49 years, male 42.8
GTEX-Q2AH-1626-SM-3GAF8 40-49 years, male 42.6
GTEX-1S82Z-0826-SM-E6CHY 30-39 years, female 42.6
GTEX-17HHE-2026-SM-79OKF 50-59 years, male 41.4
GTEX-1EN7A-0126-SM-7SB81 40-49 years, male 40.9
GTEX-12WSL-2526-SM-5GCNJ 50-59 years, male 40.2
GTEX-1CB4J-0626-SM-7DHMP 60-69 years, male 38.0
GTEX-1I1HK-0126-SM-COH49 60-69 years, male 37.8
Show allShow less

Contact

  • NEWS ARTICLES
  • PRESS ROOM

The Project

  • INTRODUCTION
  • ORGANIZATION
  • PUBLICATIONS

The Human Protein Atlas

  • DOWNLOADABLE DATA
  • LICENCE & CITATION
  • HELP & FAQ
The Human Protein Atlas project is funded
by the Knut & Alice Wallenberg Foundation.


contact@proteinatlas.org