We use cookies to enhance the usability of our website. If you continue, we'll assume that you are happy to receive all cookies. More information. Don't show this again.
BLVRB
HPA
RESOURCES
  • TISSUE
  • BRAIN
  • SINGLE CELL
  • SUBCELLULAR
  • CANCER
  • BLOOD
  • CELL LINE
  • STRUCTURE & INTERACTION
ABOUT
  • INTRODUCTION
  • HISTORY
  • ORGANIZATION
  • PUBLICATIONS
  • ANTIBODY SUBMISSION
  • ANTIBODY AVAILABILITY
  • ACKNOWLEDGMENTS
  • CONTACT
NEWS
  • NEWS ARTICLES
  • PRESS ROOM
LEARN
  • DICTIONARY
  • PROTEIN CLASSES
  • PROTEIN EVIDENCE
  • METHODS
  • EDUCATIONAL VIDEOS
DATA
  • DOWNLOADABLE DATA
  • PUBLICATION DATA
  • RELEASE HISTORY
HELP
  • ANTIBODY VALIDATION
  • ASSAYS & ANNOTATION
  • DISCLAIMER
  • HELP & FAQ
  • PRIVACY STATEMENT
  • LICENCE & CITATION
Fields »
Search result

Field
Term
Gene name
Class
Subclass
Class
Keyword
Chromosome
External id
Tissue
Cell type
Expression
Antibody panel
Tissue
Main location
Patient ID
Annotation
Tissue
Category
Tau score
Cluster
Reliability
Brain region
Category
Tau score
Brain region
Category
Tau score
Brain region
Category
Tau score
Cluster
Reliability
Tissue
Cell type
Enrichment
Cell type
Category
Tau score
Cell type
Category
Tau score
Cell type
Category
Tau score
Cell lineage
Category
Tau score
Cluster
Cluster
Location
Searches
Location
Cell line
Class
Type
Phase
Reliability
Cancer
Prognosis
Cancer
Category
Cancer
Category
Tau score
Cluster
Variants
Interacting gene (ensg_id)
Type
Number of interactions
Pathway
Category
Score
Score
Score
Validation
Validation
Validation
Validation
Antibodies
Data type
Column


  • SUMMARY

  • TISSUE

  • BRAIN

  • SINGLE CELL

  • SUBCELL

  • CANCER

  • BLOOD

  • CELL LINE

  • STRUCT & INT

  • BLVRB
TISSUE PRIMARY DATA STOMACH Show tissue menu
ADIPOSE TISSUE ADRENAL GLAND AMYGDALA APPENDIX BASAL GANGLIA BONE MARROW BREAST BRONCHUS CEREBELLUM CEREBRAL CORTEX CERVIX CHOROID PLEXUS COLON DUODENUM
ENDOMETRIUM EPIDIDYMIS ESOPHAGUS FALLOPIAN TUBE GALLBLADDER HEART MUSCLE HIPPOCAMPAL FORMATION HYPOTHALAMUS KIDNEY LIVER LUNG LYMPH NODE MIDBRAIN NASOPHARYNX
ORAL MUCOSA OVARY PANCREAS PARATHYROID GLAND PITUITARY GLAND PLACENTA PROSTATE RECTUM RETINA SALIVARY GLAND SEMINAL VESICLE SKELETAL MUSCLE SKIN SMALL INTESTINE
SMOOTH MUSCLE SOFT TISSUE SPINAL CORD SPLEEN STOMACH TESTIS THYMUS THYROID GLAND TONGUE TONSIL URINARY BLADDER VAGINA
ANTIBODIES
AND
VALIDATION
Dictionary
Tissue proteome
Stomach
STOMACH - Expression summary
Protein expression
Stomachi

On the top, protein expression in current human tissue, based on all annotated cell types, is reported with the units not detected (n), low (l), medium (m) and high (h). Underneath, protein expression in each annotated cell type are reported using the same units.

Protein expression data is based on knowledge-based annotation. For genes where more than one antibody has been used, a collective score is set.

If knowledge-based annotation could not be performed for a gene, no data is displayed here. View antibody staining data further down this page.

h
m
l
n
Glandular cells: High
RNA expressioni

A summary of mRNA expression data available for current tissue based on several datasets. The mRNA expression levels in human tissues are based on RNA-seq data generated by the Human Protein Atlas (HPA), Genotype-Tissue Expression (GTEx) portal and CAGE data generated by the FANTOM5 consortium. Consensus normalized expression levels for human tissues was created by combining the data from HPA and GTEx datasets.

The mRNA expression levels in pig are based on RNA-seq data generated by the Human Protein Atlas (HPA), and for mouse, HPA data and in situ hybridization generated by the Allen brain atlas are reported.

Scroll down to view mRNA expression data in more detail.
Consensus:134.5 nTPM
HPA:109.5 nTPM
GTEx:134.5 nTPM

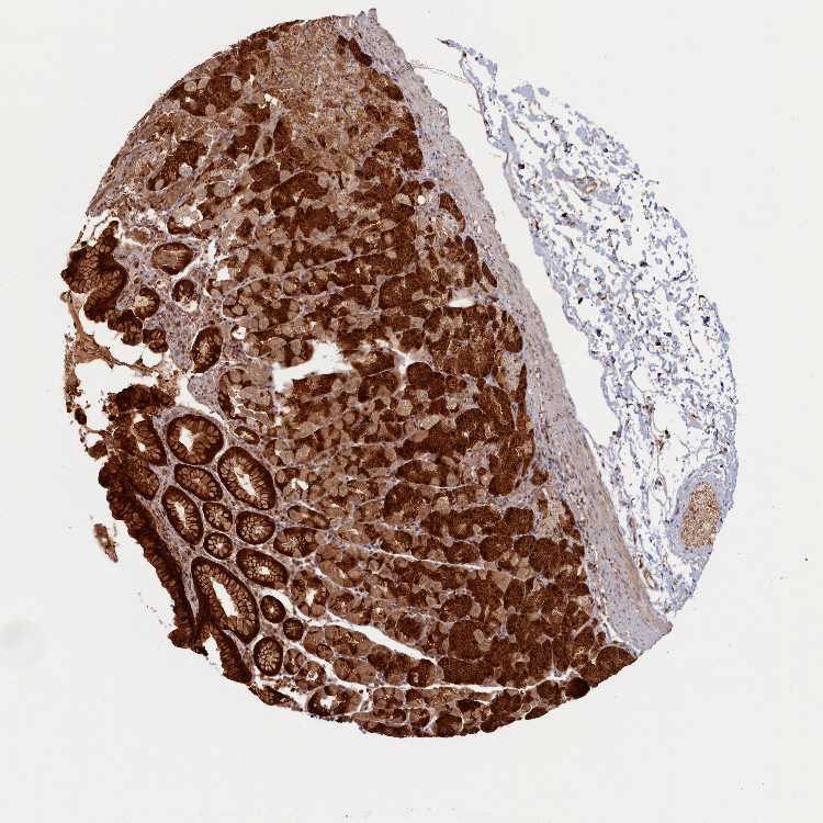
STOMACH 1 - Antibody stainingi

Antibody staining in the annotated cell types in the current human tissue is reported as not detected, low, medium, or high, based on conventional immunohistochemistry profiling in selected tissues. This score is based on the combination of the staining intensity and fraction of stained cells.

Each image is clickable and will lead to virtual microscopy that enables deeper exploration of all samples and also displays staining intensity scores, fraction scores and subcellular localization as well as patient and tissue information for each sample.

Antibody HPA041698Antibody HPA041937
Glandular cells HighHigh




STOMACH 2 - Antibody stainingi

Antibody staining in the annotated cell types in the current human tissue is reported as not detected, low, medium, or high, based on conventional immunohistochemistry profiling in selected tissues. This score is based on the combination of the staining intensity and fraction of stained cells.

Each image is clickable and will lead to virtual microscopy that enables deeper exploration of all samples and also displays staining intensity scores, fraction scores and subcellular localization as well as patient and tissue information for each sample.

Antibody HPA041698Antibody HPA041937
Glandular cells HighHigh





STOMACH - HPA RNA-seqi

The RNA-seq details section shows detailed information about the individual samples used for the transcript profiling and results of the RNA-seq analysis.

Information about each individual sample is listed below, including gender, age, a tissue section image and estimated fractions of cell types. nTPM (normalized transcripts per million) values give a quantification of the gene abundance which is comparable between different genes and samples.
Average nTPMi

Max subtype nTPM is the value for the subtype with the largest average nTPM across the subtype samples.

109.5
overview
Female, age 33
Stomach sample 61
nTPM: 81.2
Cell types%
Glandular cells:
60

Smooth muscle cells:
5

Other cell types:
35

N/A
Male, age 82
Stomach sample 240
nTPM: 103.9
Cell types%
Glandular cells:
65

Smooth muscle cells:
5

Other cell types:
30

overview
Male, age 71
Stomach sample 241
nTPM: 184.1
Cell types%
Glandular cells:
50

Smooth muscle cells:
5

Other cell types:
45

overview
Female, age 66
Stomach sample 369
nTPM: 68.8
Cell types%
Glandular cells:
50

Smooth muscle cells:
10

Other cell types:
40


STOMACH - GTEx RNA-seqi

RNA-Seq data generated by the Genotype-Tissue Expression (GTEx) project from human tissues is reported as mean nTPM. More information can be found on the GTEx portal.

Distribution across the dataset is visualized with box plots, shown as median and 25th and 75th percentiles. Points are displayed as outliers if they are above or below 1.5 times the interquartile range. nTPM values of the individual samples are presented next to the box plot.
Max subtype nTPMi

Max subtype nTPM is the value for the subtype with the largest average nTPM across the subtype samples.

134.5
GTEx sample id Sample description nTPM
Stomach
Average nTPM: 134.5
Samples: 359

Max nTPM: 340.3
Min nTPM: 51.7
Std nTPM: 54.1
Median nTPM: 126.8
GTEX-ZYY3-1726-SM-5EGH3 60-69 years, female 340.3
GTEX-131XG-1226-SM-5EGH9 50-59 years, female 327.4
GTEX-P4PP-1526-SM-3P61M 30-39 years, female 314.9
GTEX-1CAMR-0726-SM-7EPIE 20-29 years, male 313.3
GTEX-13FTW-1726-SM-5KM2B 40-49 years, male 310.5
GTEX-11DXX-1326-SM-5GIDZ 60-69 years, female 289.4
GTEX-QCQG-0526-SM-48U2A 50-59 years, female 285.9
GTEX-14PKV-1826-SM-69LO9 20-29 years, female 273.8
GTEX-13OW6-2526-SM-5IJEC 50-59 years, male 267.6
GTEX-WFG8-1326-SM-4LVN3 20-29 years, male 267.5
GTEX-13O21-0926-SM-5IFGT 50-59 years, male 261.2
GTEX-14PJ4-1626-SM-664OB 60-69 years, male 256.2
GTEX-13FTX-0726-SM-5N9BI 20-29 years, female 254.0
GTEX-1KANA-1126-SM-D3L9M 20-29 years, male 252.0
GTEX-ZVP2-1626-SM-5GU5D 50-59 years, male 251.8
GTEX-ZLWG-1526-SM-DO12F 50-59 years, female 249.2
GTEX-1F5PL-1426-SM-7MKFH 40-49 years, female 247.2
GTEX-T8EM-1226-SM-4DM5J 40-49 years, male 243.7
GTEX-14PHX-1026-SM-664OL 50-59 years, male 236.3
GTEX-15RIF-1126-SM-7KUG2 20-29 years, male 234.9
GTEX-1QPFJ-1526-SM-DPRXT 30-39 years, female 229.9
GTEX-111CU-0926-SM-5EGIK 50-59 years, male 225.4
GTEX-PWN1-1526-SM-48TDA 40-49 years, female 225.3
GTEX-18A67-2626-SM-718AD 50-59 years, male 222.8
GTEX-1MJIX-1126-SM-EV7AO 40-49 years, male 222.4
GTEX-11NUK-2426-SM-5BC4U 50-59 years, male 221.1
GTEX-1F75I-1826-SM-7MKGX 40-49 years, male 220.3
GTEX-QDVN-1226-SM-48TZ5 50-59 years, male 219.7
GTEX-Y3IK-1426-SM-4YCES 50-59 years, female 218.1
GTEX-1I6K7-1726-SM-B2LXQ 40-49 years, male 217.5
GTEX-15DZA-1126-SM-6LPK8 30-39 years, female 213.2
GTEX-POMQ-0826-SM-3P61H 20-29 years, female 211.7
GTEX-QDVJ-1426-SM-48U1Y 50-59 years, male 208.8
GTEX-12BJ1-1726-SM-5HL9B 60-69 years, male 207.6
GTEX-YB5E-1126-SM-664NU 40-49 years, male 204.9
GTEX-145MN-1326-SM-5NQ9S 30-39 years, male 204.5
GTEX-13CF3-1926-SM-5K7WF 60-69 years, female 204.3
GTEX-117YX-1026-SM-5H11V 50-59 years, male 203.4
GTEX-1B97J-1826-SM-7IGPP 50-59 years, female 202.5
GTEX-OHPK-1526-SM-3MJGM 50-59 years, female 201.4
GTEX-1LG7Z-1226-SM-DHXK4 30-39 years, male 200.5
GTEX-Q2AI-0826-SM-48TZO 40-49 years, male 200.1
GTEX-S341-0626-SM-4AD5T 40-49 years, female 199.6
GTEX-WHPG-0426-SM-4M1XW 50-59 years, male 196.4
GTEX-17F98-1526-SM-7EWD8 40-49 years, female 195.4
GTEX-ZVZP-1726-SM-5GZWY 50-59 years, male 194.8
GTEX-T5JW-0926-SM-4DM5K 20-29 years, female 193.6
GTEX-1LGRB-1726-SM-CNNRA 50-59 years, female 191.9
GTEX-T6MO-0726-SM-4DM58 40-49 years, female 191.6
GTEX-Q2AH-1126-SM-48TZM 40-49 years, male 191.0
GTEX-1HBPI-0726-SM-9WG7Z 50-59 years, male 191.0
GTEX-14JG6-1226-SM-664O6 30-39 years, female 190.0
GTEX-13D11-2126-SM-5IFH2 50-59 years, female 189.6
GTEX-1JKYN-1726-SM-AHZ48 30-39 years, male 189.1
GTEX-11GSP-2126-SM-5HL5E 60-69 years, female 187.9
GTEX-11NSD-1426-SM-5HL67 20-29 years, male 187.3
GTEX-1MCYP-1126-SM-E9J2P 20-29 years, female 186.3
GTEX-ZY6K-0726-SM-5A5L8 50-59 years, male 183.6
GTEX-1IDJU-1526-SM-CNNR3 60-69 years, female 183.4
GTEX-1MGNQ-1826-SM-DPRYI 40-49 years, male 183.4
GTEX-1399S-1626-SM-5P9GI 30-39 years, female 183.2
GTEX-1KXAM-0926-SM-CXZKA 60-69 years, male 183.1
GTEX-18A7A-2726-SM-7LG6U 50-59 years, female 182.6
GTEX-1RAZR-1526-SM-EAZ4U 40-49 years, male 182.2
GTEX-13PVQ-2126-SM-5L3FW 50-59 years, male 182.1
GTEX-WHSB-1226-SM-4M1XR 50-59 years, male 181.6
GTEX-1AYCT-1326-SM-7MKHB 50-59 years, male 180.9
GTEX-1ICG6-1826-SM-AHZ2O 70-79 years, female 179.6
GTEX-1JK1U-1326-SM-AHZ45 60-69 years, male 179.5
GTEX-XUZC-0726-SM-4BOPH 30-39 years, female 178.6
GTEX-1GMRU-2526-SM-9WG7T 50-59 years, male 177.9
GTEX-ZA64-0826-SM-5HL9U 20-29 years, male 177.0
GTEX-U4B1-1026-SM-4DXT1 40-49 years, male 176.8
GTEX-RWS6-0926-SM-47JXE 60-69 years, female 175.1
GTEX-QV31-0626-SM-447C5 30-39 years, male 174.9
GTEX-1MUQO-1926-SM-EAZ59 60-69 years, male 173.1
GTEX-1B97I-1226-SM-7MGWQ 40-49 years, male 171.7
GTEX-SNMC-0626-SM-4DM6H 20-29 years, male 170.7
GTEX-ZEX8-1626-SM-4WKG7 50-59 years, male 170.2
GTEX-YEC4-1426-SM-5IFHS 40-49 years, male 169.9
GTEX-WY7C-1726-SM-4ONCC 50-59 years, male 169.2
GTEX-1LGOU-1526-SM-D3LAJ 20-29 years, female 168.8
GTEX-Y8LW-0826-SM-4WWDO 50-59 years, female 167.7
GTEX-Y5LM-1326-SM-5RQIS 40-49 years, female 166.9
GTEX-13S7M-1826-SM-5RQK6 60-69 years, female 166.3
GTEX-ZLV1-0826-SM-DO11P 60-69 years, female 165.1
GTEX-ZVT3-2126-SM-59HL2 60-69 years, female 165.0
GTEX-YFCO-0826-SM-5LUAG 40-49 years, male 164.9
GTEX-WFON-1126-SM-4LVMA 40-49 years, male 164.5
GTEX-144GN-1226-SM-5O991 50-59 years, male 163.5
GTEX-18A66-2226-SM-7189E 60-69 years, male 162.9
GTEX-ZGAY-1626-SM-DNZZ3 40-49 years, female 162.7
GTEX-11TT1-0726-SM-5GU5A 20-29 years, male 162.5
GTEX-S95S-0826-SM-4B64N 60-69 years, male 162.4
GTEX-1399R-1126-SM-5IFIO 30-39 years, male 161.9
GTEX-14PJ3-1426-SM-664O8 50-59 years, male 161.7
GTEX-14PJ5-0826-SM-6AJAR 60-69 years, female 161.7
GTEX-11EM3-1026-SM-5A5KL 20-29 years, female 160.4
GTEX-1LSNM-1026-SM-DHXL2 50-59 years, male 159.1
GTEX-QLQ7-0826-SM-447B3 60-69 years, male 158.7
GTEX-VJYA-1026-SM-4KL21 60-69 years, male 158.5
GTEX-14BMU-1126-SM-5RQJ8 20-29 years, female 157.9
GTEX-ZAB4-1526-SM-5CVN7 40-49 years, male 157.8
GTEX-16AAH-1226-SM-79OO9 50-59 years, male 157.0
GTEX-1RQEC-2126-SM-DPS15 60-69 years, male 156.1
GTEX-1QP2A-2126-SM-DPRZ7 50-59 years, male 156.0
GTEX-WFG7-1326-SM-4LMK1 20-29 years, male 155.2
GTEX-TMMY-1626-SM-4DXTY 40-49 years, female 153.2
GTEX-WRHK-0626-SM-4MVOE 20-29 years, female 153.1
GTEX-ZLFU-1326-SM-DO11R 40-49 years, male 152.7
GTEX-14E6E-0926-SM-664N8 30-39 years, male 152.4
GTEX-ZYFG-1326-SM-5GICJ 60-69 years, female 152.3
GTEX-1J8JJ-1726-SM-C1YQG 60-69 years, female 152.0
GTEX-SUCS-0926-SM-4DM4Z 70-79 years, male 151.9
GTEX-145ME-1026-SM-5O9B4 40-49 years, female 151.8
GTEX-1AMFI-1226-SM-731CZ 50-59 years, female 150.4
GTEX-OHPM-1526-SM-EV796 50-59 years, male 150.2
GTEX-1C475-1026-SM-7MKFJ 40-49 years, female 150.1
GTEX-ZXES-1426-SM-5NQ8S 30-39 years, female 148.5
GTEX-ZZ64-0426-SM-5E43F 20-29 years, male 148.3
GTEX-1JMLX-2426-SM-CXZJQ 50-59 years, male 148.2
GTEX-XMK1-1526-SM-EYYVO 40-49 years, male 148.2
GTEX-XXEK-0826-SM-4BRWG 50-59 years, male 148.0
GTEX-WXYG-1626-SM-4ONCR 50-59 years, female 147.7
GTEX-ZV7C-1626-SM-5NQ7E 50-59 years, male 147.6
GTEX-13113-0726-SM-5LZUF 60-69 years, female 147.1
GTEX-PWCY-0926-SM-48TD7 20-29 years, female 146.9
GTEX-1F5PK-1826-SM-7RHHX 50-59 years, male 146.6
GTEX-Y9LG-1026-SM-5IFJN 30-39 years, male 146.3
GTEX-13RTK-0226-SM-5RQHR 20-29 years, male 144.3
GTEX-ZVT2-1626-SM-51MRC 50-59 years, female 144.2
GTEX-1H1E6-1626-SM-9OSWC 30-39 years, male 144.2
GTEX-15UF7-1226-SM-6M46G 40-49 years, male 143.9
GTEX-ZF29-1526-SM-4WKF7 60-69 years, female 143.8
GTEX-ZP4G-1226-SM-4WWCJ 20-29 years, female 143.8
GTEX-1JMPZ-1826-SM-CXZJT 30-39 years, male 143.5
GTEX-OOBJ-1526-SM-3NB1Q 60-69 years, male 142.6
GTEX-YJ8A-1526-SM-5P9FT 20-29 years, male 142.5
GTEX-1GF9U-1126-SM-AHZ4H 40-49 years, female 142.5
GTEX-15DCE-1626-SM-6LPJM 20-29 years, male 142.2
GTEX-132QS-1826-SM-5IFFN 60-69 years, male 141.8
GTEX-1AMEY-1226-SM-731DU 30-39 years, female 141.6
GTEX-1R7EU-1126-SM-EAZ4M 60-69 years, male 141.3
GTEX-18D9A-0626-SM-7KFTY 30-39 years, female 139.8
GTEX-17HII-2426-SM-7KFTT 50-59 years, male 139.6
GTEX-133LE-1326-SM-5IFGO 20-29 years, female 138.9
GTEX-QLQW-0726-SM-447AA 30-39 years, male 138.6
GTEX-PLZ5-1226-SM-EXOHA 50-59 years, male 138.6
GTEX-S3XE-1026-SM-4AD4O 50-59 years, male 137.6
GTEX-RM2N-0826-SM-48FD3 50-59 years, male 137.4
GTEX-1B8KZ-1226-SM-793CP 50-59 years, male 137.3
GTEX-1RMOY-1126-SM-EV79E 50-59 years, male 136.9
GTEX-XV7Q-1326-SM-4BRWM 40-49 years, female 136.2
GTEX-Y5V6-1326-SM-4VDTF 60-69 years, male 135.1
GTEX-1B8KE-1326-SM-73KVI 50-59 years, male 134.6
GTEX-12696-1726-SM-5EQLH 60-69 years, male 134.2
GTEX-1LBAC-1426-SM-CXZKT 20-29 years, male 133.5
GTEX-1HFI7-1526-SM-9WG7W 50-59 years, female 133.2
GTEX-RTLS-2626-SM-46MUJ 60-69 years, female 132.9
GTEX-XBED-1226-SM-4AT5V 60-69 years, male 132.8
GTEX-13U4I-2526-SM-5SI8Z 40-49 years, female 132.5
GTEX-17GQL-1226-SM-7KFTS 60-69 years, male 132.3
GTEX-17MF6-2126-SM-7KFS7 40-49 years, male 132.2
GTEX-ZDYS-1926-SM-5HL59 50-59 years, male 132.2
GTEX-13O61-1126-SM-5L3FI 60-69 years, male 132.1
GTEX-WEY5-1226-SM-4LMIQ 40-49 years, female 132.0
GTEX-17F9E-2226-SM-7IGNC 50-59 years, male 131.8
GTEX-1J8QM-1126-SM-C1YQB 60-69 years, female 131.7
GTEX-144GM-1726-SM-5O9AS 20-29 years, male 130.3
GTEX-O5YW-1526-SM-3MJGL 50-59 years, male 130.2
GTEX-1A3MV-1226-SM-718BW 30-39 years, male 130.0
GTEX-V955-1326-SM-4JBHR 60-69 years, male 128.8
GTEX-1HKZK-1526-SM-B2LWG 40-49 years, male 128.4
GTEX-13PVR-2126-SM-73KVR 60-69 years, female 128.2
GTEX-131XF-1226-SM-5HL8V 60-69 years, male 127.9
GTEX-P78B-1826-SM-3P5YX 40-49 years, female 127.6
GTEX-1NSGN-1926-SM-E9J36 50-59 years, male 127.3
GTEX-15G19-1526-SM-6LPKP 60-69 years, male 127.2
GTEX-ZPU1-1626-SM-4WWB2 40-49 years, male 126.9
GTEX-WYJK-2526-SM-4ONDF 50-59 years, male 126.8
GTEX-1RB15-1026-SM-E9U6V 60-69 years, male 126.8
GTEX-PX3G-1526-SM-48U11 20-29 years, female 126.6
GTEX-12WSJ-0926-SM-5P9JD 40-49 years, female 126.4
GTEX-U3ZN-2026-SM-4DXUC 30-39 years, female 126.4
GTEX-13OVK-0926-SM-7KUFX 40-49 years, male 126.1
GTEX-1122O-1926-SM-5EGIQ 60-69 years, female 126.0
GTEX-SNOS-0826-SM-4DM5N 40-49 years, male 126.0
GTEX-ZZPU-1426-SM-5GZZ6 50-59 years, female 125.9
GTEX-ZT9W-1526-SM-4YCDE 50-59 years, male 124.9
GTEX-X15G-1126-SM-4PQZG 50-59 years, female 124.7
GTEX-15G1A-1226-SM-7KUF3 30-39 years, male 124.6
GTEX-1QMI2-2126-SM-DPRXQ 60-69 years, male 124.5
GTEX-12WSG-2026-SM-5FQUU 50-59 years, female 124.4
GTEX-13QBU-1126-SM-5LU44 40-49 years, female 123.7
GTEX-139YR-1926-SM-5LZXM 50-59 years, male 122.3
GTEX-QV44-1226-SM-CJI1S 50-59 years, male 122.3
GTEX-W5WG-1726-SM-4LMI5 50-59 years, female 121.6
GTEX-QMRM-1126-SM-447BN 50-59 years, male 121.1
GTEX-1I4MK-0926-SM-A9SLD 50-59 years, female 121.0
GTEX-1H1DG-2126-SM-9WPPB 70-79 years, male 120.7
GTEX-14DAR-0926-SM-73KUQ 50-59 years, male 120.1
GTEX-Q734-1026-SM-48U16 40-49 years, female 120.0
GTEX-1GL5R-1926-SM-9WG7U 50-59 years, male 120.0
GTEX-13X6H-1626-SM-5Q5CT 50-59 years, female 119.0
GTEX-S4Q7-0726-SM-4AD5F 20-29 years, male 118.4
GTEX-1211K-1426-SM-5FQTF 60-69 years, female 117.3
GTEX-14PJ6-0826-SM-686Z9 60-69 years, female 117.3
GTEX-1I1GT-1726-SM-C1YS3 60-69 years, female 116.8
GTEX-15CHR-1326-SM-79OLT 50-59 years, male 116.6
GTEX-13FH7-1026-SM-5IJGF 50-59 years, female 115.5
GTEX-1QCLZ-1826-SM-DPRXP 60-69 years, female 115.4
GTEX-OIZF-1526-SM-2I5GR 60-69 years, male 115.3
GTEX-UJMC-1226-SM-4IHLI 50-59 years, male 114.8
GTEX-OXRL-1526-SM-E6CHQ 50-59 years, male 113.8
GTEX-S4UY-1626-SM-4AD55 40-49 years, female 112.6
GTEX-17HGU-2126-SM-7IGOV 50-59 years, male 112.0
GTEX-Y3I4-1626-SM-4TT7W 50-59 years, male 111.7
GTEX-15EU6-2526-SM-7KUGB 50-59 years, male 111.5
GTEX-18D9B-2226-SM-718BM 60-69 years, male 111.2
GTEX-1QP29-2326-SM-EXOJO 50-59 years, male 110.7
GTEX-1L5NE-1526-SM-DIPFW 50-59 years, male 110.2
GTEX-146FH-2126-SM-5SI9U 50-59 years, female 109.9
GTEX-ZQUD-0826-SM-57WDQ 30-39 years, male 109.3
GTEX-UPK5-2126-SM-4JBJK 40-49 years, male 108.9
GTEX-15RIE-1026-SM-6LPJQ 60-69 years, male 108.6
GTEX-1H23P-2726-SM-9JGHN 60-69 years, male 108.6
GTEX-14PHY-0926-SM-5ZZWL 60-69 years, female 108.5
GTEX-XQ8I-2026-SM-4BOOL 50-59 years, male 108.0
GTEX-1N2DV-0926-SM-E9TJT 40-49 years, male 107.4
GTEX-11WQK-2626-SM-5EQ4K 50-59 years, male 107.0
GTEX-1H3VY-2326-SM-9WG81 50-59 years, male 106.6
GTEX-117YW-2226-SM-5N9DB 50-59 years, male 105.3
GTEX-111YS-1126-SM-5GZYQ 60-69 years, male 104.7
GTEX-14ICL-0826-SM-5YY9W 30-39 years, male 104.4
GTEX-1QCLY-1126-SM-EAZ4J 30-39 years, male 104.0
GTEX-1HBPN-1626-SM-9WPNP 50-59 years, male 103.6
GTEX-146FR-2026-SM-5NQAI 60-69 years, female 103.4
GTEX-PW2O-1226-SM-48TCH 20-29 years, male 103.2
GTEX-V1D1-1726-SM-4JBHB 50-59 years, male 101.8
GTEX-OXRK-1626-SM-3NB17 50-59 years, female 101.6
GTEX-1CB4E-1326-SM-7DUGD 60-69 years, male 101.3
GTEX-Y8E4-1526-SM-4WWDI 40-49 years, male 101.2
GTEX-1S3DN-1526-SM-EVYCB 50-59 years, male 101.1
GTEX-1R9K5-1026-SM-EAZ4F 50-59 years, male 100.7
GTEX-11I78-1726-SM-5A5M3 50-59 years, female 100.2
GTEX-14E1K-1526-SM-664MN 50-59 years, male 99.9
GTEX-11EQ9-1226-SM-5987E 30-39 years, male 99.4
GTEX-1PPH8-1326-SM-DTXFO 20-29 years, male 99.0
GTEX-1K2DA-0826-SM-CGQGD 50-59 years, male 98.9
GTEX-1J8Q3-1926-SM-C1YSJ 60-69 years, male 97.1
GTEX-ZV6S-0926-SM-57WGB 40-49 years, female 96.9
GTEX-1LVAN-2426-SM-CNNPZ 50-59 years, female 96.9
GTEX-R55G-1126-SM-48FDG 40-49 years, female 96.6
GTEX-17EUY-1526-SM-793CA 20-29 years, male 96.5
GTEX-S4P3-0726-SM-4AD57 50-59 years, female 96.0
GTEX-13OVI-2426-SM-5KM4J 60-69 years, female 95.8
GTEX-QXCU-1926-SM-48FE4 50-59 years, male 95.4
GTEX-145LT-1426-SM-5O9B3 40-49 years, male 95.3
GTEX-1399U-1626-SM-5P9J3 50-59 years, female 95.1
GTEX-14B4R-0726-SM-5TDDR 30-39 years, male 94.8
GTEX-NFK9-1526-SM-3LK7B 40-49 years, male 94.6
GTEX-131XE-2226-SM-5PNYX 50-59 years, male 94.0
GTEX-11VI4-0326-SM-5EQ6L 40-49 years, female 93.4
GTEX-UJHI-1026-SM-4IHJP 50-59 years, female 93.2
GTEX-1J8EW-2226-SM-AHZ3T 60-69 years, female 93.1
GTEX-12WSD-2326-SM-59HKQ 60-69 years, female 93.0
GTEX-14DAQ-2826-SM-664MU 60-69 years, female 92.8
GTEX-1E1VI-2826-SM-7MGWU 50-59 years, male 92.8
GTEX-1HCU8-1326-SM-C1YQQ 60-69 years, female 92.8
GTEX-132AR-2426-SM-5IFFD 50-59 years, female 92.6
GTEX-R53T-1226-SM-48FCT 50-59 years, female 91.9
GTEX-1A8G6-1426-SM-731EZ 60-69 years, male 91.8
GTEX-1GN1W-2126-SM-9JGI7 50-59 years, female 91.6
GTEX-12WSK-1426-SM-5CVNN 40-49 years, female 91.4
GTEX-14PKU-1126-SM-69LOU 40-49 years, female 91.4
GTEX-P4PQ-1526-SM-3NMCK 60-69 years, male 91.4
GTEX-P4QT-1526-SM-3NMCT 50-59 years, female 90.9
GTEX-1I1HK-2026-SM-CNNRB 60-69 years, male 90.7
GTEX-1QP28-2126-SM-DTX8B 50-59 years, female 90.4
GTEX-17HHE-1026-SM-79ON6 50-59 years, male 90.2
GTEX-XBEW-1826-SM-4RTWX 40-49 years, male 89.4
GTEX-1339X-1426-SM-5K7YO 40-49 years, male 88.6
GTEX-1HSEH-1526-SM-B2LXG 60-69 years, male 88.2
GTEX-16NGA-1526-SM-72D56 40-49 years, female 88.1
GTEX-1JMQJ-1326-SM-D4P3B 50-59 years, male 86.9
GTEX-1H1DE-1226-SM-9JGHH 20-29 years, male 86.4
GTEX-13X6J-2126-SM-5TDCV 50-59 years, male 85.9
GTEX-1IDJD-2426-SM-C1YS6 30-39 years, male 85.9
GTEX-18QFQ-1226-SM-718AE 30-39 years, male 85.5
GTEX-WFJO-1126-SM-4LVLZ 30-39 years, male 85.2
GTEX-13N1W-2026-SM-5K7YU 70-79 years, male 85.0
GTEX-14BIL-1926-SM-73KYI 50-59 years, male 84.8
GTEX-ZPIC-2026-SM-57WG3 40-49 years, female 84.8
GTEX-11P82-0726-SM-5PNYL 20-29 years, male 84.7
GTEX-1GZ4H-1026-SM-9OSXL 50-59 years, female 84.4
GTEX-R55C-1026-SM-48FCM 40-49 years, male 83.6
GTEX-ZF2S-1426-SM-57WET 50-59 years, female 83.4
GTEX-1S831-1126-SM-EWROI 20-29 years, male 82.7
GTEX-WHWD-1426-SM-4OORU 50-59 years, male 82.0
GTEX-1A3MX-1926-SM-72D7F 60-69 years, male 81.3
GTEX-S7SF-0626-SM-4AD4V 20-29 years, female 80.9
GTEX-1GPI7-1326-SM-9KNVA 20-29 years, male 80.5
GTEX-WH7G-1526-SM-4LVMX 40-49 years, male 80.3
GTEX-1LVAM-1426-SM-E9TJ4 50-59 years, female 79.5
GTEX-1PIGE-1126-SM-EWRMV 20-29 years, male 79.1
GTEX-O5YV-1926-SM-EV797 60-69 years, female 79.0
GTEX-1QW4Y-0726-SM-DTX8E 30-39 years, male 78.8
GTEX-14BMV-2226-SM-5RQHX 50-59 years, male 78.3
GTEX-QDT8-2026-SM-EZ6LS 30-39 years, female 78.3
GTEX-S4Z8-1226-SM-4AD6W 60-69 years, male 77.8
GTEX-YEC3-1426-SM-D4P1S 50-59 years, male 77.8
GTEX-12C56-0526-SM-5FQST 20-29 years, male 77.5
GTEX-145MO-2226-SM-5Q5BN 60-69 years, male 77.3
GTEX-14PN3-1326-SM-6AJ9U 60-69 years, female 77.0
GTEX-XPVG-1526-SM-4B66C 50-59 years, male 76.4
GTEX-WZTO-2126-SM-4PQYW 40-49 years, male 75.7
GTEX-1IL2V-2026-SM-ARZMA 70-79 years, male 75.7
GTEX-WYVS-1326-SM-4ONCQ 40-49 years, female 75.5
GTEX-17JCI-2226-SM-7LTA1 60-69 years, female 75.3
GTEX-OIZH-1526-SM-3NB1J 50-59 years, male 75.3
GTEX-TKQ1-0526-SM-4DXTG 30-39 years, male 75.2
GTEX-1HSMQ-2426-SM-CE6RY 50-59 years, male 75.0
GTEX-15SHW-2126-SM-6M46Y 60-69 years, male 74.9
GTEX-1C64O-2226-SM-73KTV 60-69 years, male 74.6
GTEX-1QP67-1026-SM-EVR47 40-49 years, female 73.5
GTEX-ZYVF-2726-SM-5GID4 50-59 years, female 73.2
GTEX-XAJ8-0326-SM-47JYI 40-49 years, male 72.8
GTEX-1HCUA-1626-SM-A9SMG 50-59 years, female 72.4
GTEX-17KNJ-1526-SM-7LTA9 50-59 years, male 71.7
GTEX-1JMPY-0926-SM-ARL92 30-39 years, male 71.5
GTEX-1E2YA-2426-SM-7EPIG 50-59 years, male 71.0
GTEX-T5JC-1926-SM-4DM6Q 20-29 years, male 70.2
GTEX-PLZ6-0826-SM-3P61K 30-39 years, male 70.1
GTEX-1JN1M-2926-SM-CNNPJ 60-69 years, female 70.1
GTEX-1H3NZ-2226-SM-9WYUT 60-69 years, male 68.8
GTEX-TKQ2-0926-SM-4DXU5 50-59 years, male 67.1
GTEX-11P7K-1726-SM-5GU6F 30-39 years, male 67.0
GTEX-13111-1226-SM-5GCNC 50-59 years, male 66.6
GTEX-R55D-1526-SM-48FEJ 50-59 years, male 66.2
GTEX-13O3Q-2126-SM-5KM4C 50-59 years, male 65.1
GTEX-RU1J-0526-SM-46MUT 20-29 years, female 65.1
GTEX-139D8-2326-SM-5IFGE 30-39 years, female 65.0
GTEX-13QJ3-2726-SM-5SI6L 50-59 years, male 65.0
GTEX-1HR9M-2326-SM-CNPPZ 60-69 years, male 64.0
GTEX-1CB4H-2426-SM-7PBYR 60-69 years, female 63.9
GTEX-1AX9J-2626-SM-731EK 60-69 years, male 63.8
GTEX-1JN76-0926-SM-ARZNH 20-29 years, female 62.4
GTEX-1EH9U-2226-SM-7PBXX 60-69 years, male 62.1
GTEX-1H11D-2226-SM-9OSXN 40-49 years, male 61.7
GTEX-ZE7O-3026-SM-51MS4 50-59 years, female 61.1
GTEX-11EI6-2426-SM-5PNVS 60-69 years, male 60.5
GTEX-1KD5A-1426-SM-D4P3V 50-59 years, male 60.5
GTEX-Y114-1226-SM-4TT88 50-59 years, female 59.9
GTEX-RUSQ-1126-SM-EAZAU 50-59 years, male 59.7
GTEX-1B8L1-1526-SM-79OLK 60-69 years, male 58.2
GTEX-ZTX8-0426-SM-59HLG 20-29 years, male 55.1
GTEX-1IDJF-1426-SM-ACKWK 20-29 years, male 54.2
GTEX-1HT8W-2326-SM-A9SLA 30-39 years, male 52.9
GTEX-1S82Z-1726-SM-E6CHZ 30-39 years, female 51.7
Show allShow less

Contact

  • NEWS ARTICLES
  • PRESS ROOM

The Project

  • INTRODUCTION
  • ORGANIZATION
  • PUBLICATIONS

The Human Protein Atlas

  • DOWNLOADABLE DATA
  • LICENCE & CITATION
  • HELP & FAQ
The Human Protein Atlas project is funded
by the Knut & Alice Wallenberg Foundation.


contact@proteinatlas.org