We use cookies to enhance the usability of our website. If you continue, we'll assume that you are happy to receive all cookies. More information. Don't show this again.
HMOX1
HPA
RESOURCES
  • TISSUE
  • BRAIN
  • SINGLE CELL
  • SUBCELLULAR
  • CANCER
  • BLOOD
  • CELL LINE
  • STRUCTURE & INTERACTION
ABOUT
  • INTRODUCTION
  • HISTORY
  • ORGANIZATION
  • PUBLICATIONS
  • ANTIBODY SUBMISSION
  • ANTIBODY AVAILABILITY
  • ACKNOWLEDGMENTS
  • CONTACT
NEWS
  • NEWS ARTICLES
  • PRESS ROOM
LEARN
  • DICTIONARY
  • PROTEIN CLASSES
  • PROTEIN EVIDENCE
  • METHODS
  • EDUCATIONAL VIDEOS
DATA
  • DOWNLOADABLE DATA
  • PUBLICATION DATA
  • RELEASE HISTORY
HELP
  • ANTIBODY VALIDATION
  • ASSAYS & ANNOTATION
  • DISCLAIMER
  • HELP & FAQ
  • PRIVACY STATEMENT
  • LICENCE & CITATION
Fields »
Search result

Field
Term
Gene name
Class
Subclass
Class
Keyword
Chromosome
External id
Tissue
Cell type
Expression
Antibody panel
Tissue
Main location
Patient ID
Annotation
Tissue
Category
Tau score
Cluster
Reliability
Brain region
Category
Tau score
Brain region
Category
Tau score
Brain region
Category
Tau score
Cluster
Reliability
Tissue
Cell type
Enrichment
Cell type
Category
Tau score
Cell type
Category
Tau score
Cell type
Category
Tau score
Cell lineage
Category
Tau score
Cluster
Cluster
Location
Searches
Location
Cell line
Class
Type
Phase
Reliability
Cancer
Prognosis
Cancer
Category
Cancer
Category
Tau score
Cluster
Variants
Interacting gene (ensg_id)
Type
Number of interactions
Pathway
Category
Score
Score
Score
Validation
Validation
Validation
Validation
Antibodies
Data type
Column


  • SUMMARY

  • TISSUE

  • BRAIN

  • SINGLE CELL

  • SUBCELL

  • CANCER

  • BLOOD

  • CELL LINE

  • STRUCT & INT

  • HMOX1
TISSUE PRIMARY DATA ESOPHAGUS Show tissue menu
ADIPOSE TISSUE ADRENAL GLAND AMYGDALA APPENDIX BASAL GANGLIA BONE MARROW BREAST BRONCHUS CEREBELLUM CEREBRAL CORTEX CERVIX CHOROID PLEXUS COLON DUODENUM
ENDOMETRIUM EPIDIDYMIS ESOPHAGUS FALLOPIAN TUBE GALLBLADDER HEART MUSCLE HIPPOCAMPAL FORMATION HYPOTHALAMUS KIDNEY LIVER LUNG LYMPH NODE MIDBRAIN NASOPHARYNX
ORAL MUCOSA OVARY PANCREAS PARATHYROID GLAND PITUITARY GLAND PLACENTA PROSTATE RECTUM RETINA SALIVARY GLAND SEMINAL VESICLE SKELETAL MUSCLE SKIN SMALL INTESTINE
SMOOTH MUSCLE SOFT TISSUE SPINAL CORD SPLEEN STOMACH TESTIS THYMUS THYROID GLAND TONGUE TONSIL URINARY BLADDER VAGINA
ANTIBODIES
AND
VALIDATION
Dictionary
Esophagus
Tissue proteome
Esophagus
ESOPHAGUS - Expression summary
Protein expression
Esophagusi

On the top, protein expression in current human tissue, based on all annotated cell types, is reported with the units not detected (n), low (l), medium (m) and high (h). Underneath, protein expression in each annotated cell type are reported using the same units.

Protein expression data is based on knowledge-based annotation. For genes where more than one antibody has been used, a collective score is set.

If knowledge-based annotation could not be performed for a gene, no data is displayed here. View antibody staining data further down this page.

h
m
l
n
Squamous epithelial cells: Not detected
RNA expressioni

A summary of mRNA expression data available for current tissue based on several datasets. The mRNA expression levels in human tissues are based on RNA-seq data generated by the Human Protein Atlas (HPA), Genotype-Tissue Expression (GTEx) portal and CAGE data generated by the FANTOM5 consortium. Consensus normalized expression levels for human tissues was created by combining the data from HPA and GTEx datasets.

The mRNA expression levels in pig are based on RNA-seq data generated by the Human Protein Atlas (HPA), and for mouse, HPA data and in situ hybridization generated by the Allen brain atlas are reported.

Scroll down to view mRNA expression data in more detail.
Consensus:46.8 nTPM
HPA:46.8 nTPM
GTEx:38.3 nTPM
FANTOM5:66.5 Scaled Tags Per Million

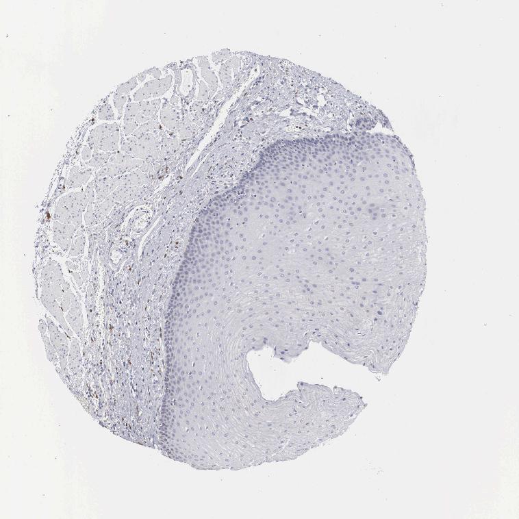
ESOPHAGUS - Antibody stainingi

Antibody staining in the annotated cell types in the current human tissue is reported as not detected, low, medium, or high, based on conventional immunohistochemistry profiling in selected tissues. This score is based on the combination of the staining intensity and fraction of stained cells.

Each image is clickable and will lead to virtual microscopy that enables deeper exploration of all samples and also displays staining intensity scores, fraction scores and subcellular localization as well as patient and tissue information for each sample.

Antibody HPA000635Antibody CAB017444
Squamous epithelial cells Not detectedNot detected





ESOPHAGUS - HPA RNA-seqi

The RNA-seq details section shows detailed information about the individual samples used for the transcript profiling and results of the RNA-seq analysis.

Information about each individual sample is listed below, including gender, age, a tissue section image and estimated fractions of cell types. nTPM (normalized transcripts per million) values give a quantification of the gene abundance which is comparable between different genes and samples.
Average nTPMi

Max subtype nTPM is the value for the subtype with the largest average nTPM across the subtype samples.

46.8
overview
Female, age 70
Esophagus sample 130
nTPM: 35.2
Cell types%
Squamous epithelial cells:
35

Smooth muscle cells:
15

Skeletal muscle cells:
5

Other cell types:
45

overview
Male, age 38
Esophagus sample 131
nTPM: 38.4
Cell types%
Squamous epithelial cells:
60

Smooth muscle cells:
20

Other cell types:
20

overview
Male, age 76
Esophagus sample 132
nTPM: 66.8
Cell types%
Squamous epithelial cells:
45

Smooth muscle cells:
15

Other cell types:
40


ESOPHAGUS - GTEx RNA-seqi

RNA-Seq data generated by the Genotype-Tissue Expression (GTEx) project from human tissues is reported as mean nTPM. More information can be found on the GTEx portal.

Distribution across the dataset is visualized with box plots, shown as median and 25th and 75th percentiles. Points are displayed as outliers if they are above or below 1.5 times the interquartile range. nTPM values of the individual samples are presented next to the box plot.
Max subtype nTPMi

Max subtype nTPM is the value for the subtype with the largest average nTPM across the subtype samples.

38.3
GTEx sample id Sample description nTPM
Esophagus - Mucosa
Average nTPM: 38.3
Samples: 555

Max nTPM: 263.0
Min nTPM: 1.5
Std nTPM: 34.0
Median nTPM: 30.9
GTEX-17JCI-1226-SM-793D9 60-69 years, female 263.0
GTEX-1NSGN-2026-SM-DPRYM 50-59 years, male 212.5
GTEX-11P7K-1326-SM-5BC5G 30-39 years, male 196.6
GTEX-OXRN-1726-SM-3NM9B 50-59 years, male 196.6
GTEX-WVLH-1426-SM-4MVNX 50-59 years, male 183.0
GTEX-POYW-1326-SM-48TCG 60-69 years, male 177.1
GTEX-VUSG-1226-SM-4KKZF 50-59 years, male 165.3
GTEX-OIZG-1026-SM-3LK5X 50-59 years, male 156.6
GTEX-14DAR-0826-SM-73KYJ 50-59 years, male 155.7
GTEX-145LU-0926-SM-79OJL 50-59 years, male 144.1
GTEX-X4XY-1726-SM-46MVO 60-69 years, male 139.9
GTEX-131XE-1426-SM-5HL7V 50-59 years, male 134.9
GTEX-14JIY-0926-SM-6871D 60-69 years, male 132.4
GTEX-1HFI6-1226-SM-A96SK 40-49 years, male 132.4
GTEX-XBEW-1326-SM-4AT63 40-49 years, male 132.0
GTEX-12BJ1-1626-SM-5HL8Y 60-69 years, male 130.8
GTEX-RU1J-0326-SM-46MUM 20-29 years, female 126.5
GTEX-1I1GR-1326-SM-ARU7B 60-69 years, male 124.0
GTEX-1399S-1326-SM-5P9GH 30-39 years, female 121.1
GTEX-1KANA-0626-SM-D4P3I 20-29 years, male 119.8
GTEX-18D9A-0526-SM-7KFSW 30-39 years, female 117.0
GTEX-1EKGG-1726-SM-7MXUP 60-69 years, male 112.5
GTEX-1CB4G-1326-SM-7MKFP 60-69 years, male 110.4
GTEX-15RIF-0826-SM-6M47C 20-29 years, male 110.3
GTEX-1RDX4-2126-SM-EV7B3 50-59 years, female 105.1
GTEX-1HSKV-2426-SM-A8N8K 60-69 years, male 104.4
GTEX-1QCLY-1526-SM-DPRXX 30-39 years, male 103.8
GTEX-1IKOE-1526-SM-C1YSD 30-39 years, female 102.9
GTEX-14E1K-1226-SM-5S2PD 50-59 years, male 101.5
GTEX-11TUW-1326-SM-5EQKV 60-69 years, male 100.9
GTEX-ZLWG-1326-SM-DNZYZ 50-59 years, female 98.1
GTEX-TML8-1526-SM-4DXUX 40-49 years, female 96.7
GTEX-1269C-1026-SM-5N9EY 60-69 years, female 95.9
GTEX-14H4A-1626-SM-5SI69 40-49 years, female 95.7
GTEX-11GSP-1826-SM-5N9DQ 60-69 years, female 95.5
GTEX-1H23P-1426-SM-9JGH5 60-69 years, male 94.8
GTEX-15DYW-1826-SM-6LPIY 60-69 years, female 92.4
GTEX-WHPG-1126-SM-4M1XT 50-59 years, male 91.5
GTEX-11DXZ-1226-SM-5H11L 50-59 years, male 90.8
GTEX-Y5LM-1026-SM-4VDSQ 40-49 years, female 88.0
GTEX-WYVS-0726-SM-4ONDO 40-49 years, female 85.5
GTEX-14PJ4-1526-SM-664OA 60-69 years, male 85.4
GTEX-P4QT-0626-SM-3NMCP 50-59 years, female 85.3
GTEX-13FHP-1526-SM-5IJGE 50-59 years, male 83.9
GTEX-117YW-1926-SM-5H121 50-59 years, male 83.5
GTEX-1PPGY-1726-SM-EVR3S 60-69 years, male 81.7
GTEX-YEC4-1026-SM-9WG7N 40-49 years, male 79.9
GTEX-14PKV-1726-SM-6871U 20-29 years, female 78.9
GTEX-PWN1-0626-SM-48TDT 40-49 years, female 78.6
GTEX-T8EM-0526-SM-4DM64 40-49 years, male 77.2
GTEX-13SLX-1726-SM-5Q5E5 50-59 years, female 76.8
GTEX-11P82-0526-SM-5986P 20-29 years, male 76.7
GTEX-ZG7Y-1126-SM-4WWEZ 50-59 years, male 76.0
GTEX-1CAMQ-2726-SM-7MKGD 40-49 years, male 75.5
GTEX-ZVP2-1326-SM-57WCE 50-59 years, male 74.7
GTEX-18A6Q-1226-SM-7KFS9 60-69 years, male 74.2
GTEX-1MA7X-0726-SM-EV7AB 60-69 years, male 73.9
GTEX-ZTSS-0626-SM-59867 40-49 years, male 73.8
GTEX-17HII-1526-SM-9OSVD 50-59 years, male 73.3
GTEX-1HBPH-1126-SM-A96TU 40-49 years, female 73.0
GTEX-S95S-0426-SM-4B64I 60-69 years, male 72.9
GTEX-1EWIQ-1526-SM-79OO7 70-79 years, female 72.4
GTEX-14PJ6-1026-SM-686ZB 60-69 years, female 72.0
GTEX-14A6H-1326-SM-5NQBC 30-39 years, male 71.8
GTEX-ZVT2-1326-SM-5E45H 50-59 years, female 71.3
GTEX-QV44-1126-SM-CL55C 50-59 years, male 71.0
GTEX-1C64O-1826-SM-7DHM4 60-69 years, male 70.7
GTEX-ZC5H-1326-SM-5HL7E 40-49 years, female 70.5
GTEX-12ZZY-1426-SM-5N9EI 60-69 years, male 69.7
GTEX-15RIE-0826-SM-6M47X 60-69 years, male 69.6
GTEX-14PJ5-0526-SM-664OE 60-69 years, female 69.4
GTEX-Q2AH-0826-SM-48TZN 40-49 years, male 69.2
GTEX-QVUS-0626-SM-447CC 60-69 years, female 68.9
GTEX-1I1GQ-1726-SM-B2LWZ 50-59 years, male 68.4
GTEX-ZY6K-0626-SM-59HJL 50-59 years, male 67.7
GTEX-111CU-0726-SM-5GZYD 50-59 years, male 67.6
GTEX-R55E-1326-SM-48FCR 20-29 years, male 67.6
GTEX-WHWD-0926-SM-4OORY 50-59 years, male 67.4
GTEX-1HBPI-0626-SM-9WPP4 50-59 years, male 67.4
GTEX-1F88F-1126-SM-7MKHL 60-69 years, female 66.6
GTEX-S3XE-0926-SM-4AD4S 50-59 years, male 66.4
GTEX-ZYT6-1126-SM-5GZYR 30-39 years, male 66.2
GTEX-1A32A-1826-SM-72D5G 50-59 years, female 65.4
GTEX-PWCY-0726-SM-48TCS 20-29 years, female 65.3
GTEX-1CB4E-1026-SM-793AB 60-69 years, male 64.9
GTEX-S341-0526-SM-4AD5U 40-49 years, female 64.5
GTEX-14PJ3-0626-SM-6UGC5 50-59 years, male 63.7
GTEX-1RAZS-2626-SM-EV79C 50-59 years, male 63.6
GTEX-1JMQJ-1226-SM-D3L97 50-59 years, male 63.4
GTEX-1J8EW-1326-SM-AHZ3S 60-69 years, female 63.0
GTEX-U8XE-1726-SM-4E3IF 30-39 years, male 62.9
GTEX-1122O-1726-SM-5GICM 60-69 years, female 62.7
GTEX-ZLV1-0526-SM-4WWD4 60-69 years, female 62.7
GTEX-1KXAM-0826-SM-CXZK9 60-69 years, male 62.7
GTEX-17F96-2526-SM-7DHL3 70-79 years, male 62.6
GTEX-Q2AI-0626-SM-48TZU 40-49 years, male 62.2
GTEX-11EM3-0826-SM-5N9CC 20-29 years, female 62.1
GTEX-RM2N-0726-SM-48FD5 50-59 years, male 62.0
GTEX-VJYA-0726-SM-4KL1T 60-69 years, male 61.2
GTEX-O5YV-1026-SM-3LK72 60-69 years, female 60.8
GTEX-11TT1-0526-SM-5P9JO 20-29 years, male 60.6
GTEX-S4Q7-0626-SM-4AD5M 20-29 years, male 60.2
GTEX-1R7EU-0826-SM-DPRZL 60-69 years, male 60.2
GTEX-1IDJH-2026-SM-CNNQX 70-79 years, male 60.1
GTEX-13FTX-0526-SM-5IFGS 20-29 years, female 59.9
GTEX-1R9K4-1926-SM-DPRZW 60-69 years, male 59.7
GTEX-14PJM-1526-SM-664NY 50-59 years, female 59.6
GTEX-1399Q-1126-SM-5P9JA 40-49 years, male 59.5
GTEX-17EVQ-1926-SM-7IGOF 70-79 years, male 59.5
GTEX-P4PQ-0626-SM-3NMCU 60-69 years, male 59.2
GTEX-ZAK1-1526-SM-5S2OV 50-59 years, female 59.2
GTEX-1MGNQ-1626-SM-EAZ4Z 40-49 years, male 58.8
GTEX-1J8QM-1926-SM-AHZ3Z 60-69 years, female 58.7
GTEX-1QP2A-1926-SM-EXOJ9 50-59 years, male 58.6
GTEX-ZYFG-1126-SM-5GICY 60-69 years, female 57.9
GTEX-13OVK-1126-SM-6PAMR 40-49 years, male 57.7
GTEX-1KAFJ-0626-SM-D3L8X 50-59 years, male 57.5
GTEX-11DXY-1426-SM-5N9CN 60-69 years, male 57.3
GTEX-1GMR3-1526-SM-9JGGL 40-49 years, male 56.5
GTEX-17F98-1726-SM-7938O 40-49 years, female 56.3
GTEX-XBED-1026-SM-48TCB 60-69 years, male 56.3
GTEX-X4LF-0626-SM-4QASB 50-59 years, male 55.7
GTEX-YF7O-0926-SM-5IFIF 50-59 years, male 55.7
GTEX-15DCE-1326-SM-6LPJL 20-29 years, male 55.0
GTEX-R55G-1026-SM-48FDI 40-49 years, female 54.8
GTEX-SE5C-1226-SM-4BRWV 40-49 years, female 54.4
GTEX-1MCC2-1926-SM-DHXJR 30-39 years, female 54.0
GTEX-XQ8I-1526-SM-4BOOH 50-59 years, male 53.8
GTEX-UPK5-1226-SM-4IHL8 40-49 years, male 53.7
GTEX-1EH9U-2426-SM-7EWFG 60-69 years, male 53.3
GTEX-11ONC-1526-SM-5GU6S 60-69 years, male 53.0
GTEX-ZT9W-1326-SM-51MTB 50-59 years, male 53.0
GTEX-1I1GU-1426-SM-B2LX3 40-49 years, male 53.0
GTEX-13PVR-1826-SM-5Q5CC 60-69 years, female 52.8
GTEX-13QJ3-1726-SM-5RQK9 50-59 years, male 52.8
GTEX-NFK9-1126-SM-3LK78 40-49 years, male 52.8
GTEX-1K2DA-0626-SM-CGQGO 50-59 years, male 52.8
GTEX-12C56-1226-SM-5FQSU 20-29 years, male 52.6
GTEX-16Z82-1926-SM-6M47U 60-69 years, male 52.4
GTEX-13RTK-0526-SM-5S2QF 20-29 years, male 52.2
GTEX-14AS3-0626-SM-5QGQD 40-49 years, female 52.0
GTEX-13PL7-0226-SM-731DT 60-69 years, female 51.8
GTEX-ZE9C-1126-SM-4WWBD 60-69 years, male 51.8
GTEX-XXEK-0326-SM-4BRVV 50-59 years, male 51.5
GTEX-131YS-1426-SM-5IJF7 60-69 years, female 51.2
GTEX-14BMU-0926-SM-5S2QB 20-29 years, female 51.0
GTEX-15UF7-0926-SM-6M46F 40-49 years, male 51.0
GTEX-1211K-0926-SM-5FQTL 60-69 years, female 50.7
GTEX-1GMR2-1526-SM-7MXV6 50-59 years, male 50.2
GTEX-1AX9I-1426-SM-7DHM8 60-69 years, male 50.1
GTEX-OIZH-0626-SM-3NB1L 50-59 years, male 49.7
GTEX-ZF29-1326-SM-DNZYV 60-69 years, female 49.7
GTEX-1399R-0826-SM-5IJEL 30-39 years, male 49.6
GTEX-13NYB-0926-SM-5IFFA 40-49 years, male 49.5
GTEX-U3ZM-0526-SM-4DXTB 40-49 years, male 49.4
GTEX-14ICK-2026-SM-6AJB2 40-49 years, male 49.3
GTEX-11EQ9-0726-SM-5A5K2 30-39 years, male 49.2
GTEX-146FH-1726-SM-5QGQ2 50-59 years, female 48.8
GTEX-17MFQ-0526-SM-7KFTX 20-29 years, male 48.8
GTEX-RN64-1026-SM-48FDX 50-59 years, male 48.8
GTEX-V1D1-1026-SM-4JBHE 50-59 years, male 48.6
GTEX-Y114-0926-SM-4TT7J 50-59 years, female 48.4
GTEX-16MTA-0826-SM-6LLIC 50-59 years, male 48.3
GTEX-139YR-1726-SM-5IFFK 50-59 years, male 48.1
GTEX-1B996-1826-SM-7MGY6 60-69 years, male 48.0
GTEX-1QEPI-1826-SM-EAZ3J 60-69 years, female 47.7
GTEX-ZDTT-1326-SM-4WKFH 60-69 years, male 47.6
GTEX-X4EP-1626-SM-4QAS6 60-69 years, female 47.5
GTEX-13X6K-2126-SM-5O9D4 60-69 years, female 47.1
GTEX-RVPV-0526-SM-47JYL 60-69 years, male 47.0
GTEX-W5WG-1626-SM-4LMKG 50-59 years, female 47.0
GTEX-1R9PM-0926-SM-DPRYA 20-29 years, male 46.7
GTEX-1C6VQ-1826-SM-7EWEH 50-59 years, male 46.6
GTEX-1CB4H-1526-SM-7MXU4 60-69 years, female 46.3
GTEX-18A67-2426-SM-7LT95 50-59 years, male 46.0
GTEX-ZZ64-0226-SM-5E44X 20-29 years, male 45.7
GTEX-1HBPM-1426-SM-9WPPE 60-69 years, female 45.3
GTEX-14DAQ-1426-SM-5RQJD 60-69 years, female 45.0
GTEX-11NUK-1326-SM-5P9GN 50-59 years, male 44.9
GTEX-1AYD5-0926-SM-793AF 50-59 years, male 44.8
GTEX-1AMFI-0226-SM-731D5 50-59 years, female 44.6
GTEX-18QFQ-1026-SM-7LG6B 30-39 years, male 44.2
GTEX-14PHY-0626-SM-664NN 60-69 years, female 44.1
GTEX-17HGU-1426-SM-7938G 50-59 years, male 44.0
GTEX-1HB9E-1526-SM-D3LA6 50-59 years, male 43.5
GTEX-YB5K-0826-SM-5YYB7 40-49 years, female 42.5
GTEX-13X6I-1026-SM-5LU4C 60-69 years, male 42.3
GTEX-1ICG6-1926-SM-ARU7L 70-79 years, female 42.3
GTEX-WEY5-0926-SM-4LMI4 40-49 years, female 42.1
GTEX-T6MO-0526-SM-4DM6R 40-49 years, female 42.0
GTEX-1LG7Y-1726-SM-EV7AR 50-59 years, male 42.0
GTEX-1LB8K-1326-SM-CXZKB 50-59 years, male 41.6
GTEX-132AR-2226-SM-5J2NT 50-59 years, female 41.4
GTEX-17KNJ-1326-SM-7KFTG 50-59 years, male 41.3
GTEX-15ER7-2126-SM-7939E 20-29 years, female 41.2
GTEX-S4P3-0426-SM-4AD56 50-59 years, female 41.1
GTEX-XMK1-1326-SM-4B65Q 40-49 years, male 41.1
GTEX-1MCYP-1026-SM-DPRYB 20-29 years, female 41.0
GTEX-QEG4-0726-SM-CNNRF 30-39 years, male 41.0
GTEX-QDVJ-0726-SM-48U1W 50-59 years, male 40.8
GTEX-1B8KE-1826-SM-731FD 50-59 years, male 40.6
GTEX-SNMC-0526-SM-4DM69 20-29 years, male 40.6
GTEX-11LCK-1726-SM-5S2OQ 30-39 years, male 40.4
GTEX-1IY9M-1626-SM-AHZ39 60-69 years, male 40.3
GTEX-XYKS-1526-SM-4BRUP 60-69 years, female 40.2
GTEX-UJHI-0826-SM-4IHLM 50-59 years, female 40.1
GTEX-WHSE-1526-SM-4M1XH 20-29 years, male 40.1
GTEX-OXRP-0926-SM-48TC1 60-69 years, female 40.0
GTEX-13OVI-2626-SM-5KM4T 60-69 years, female 39.9
GTEX-Y3IK-1126-SM-51MSV 50-59 years, female 39.7
GTEX-YB5E-0926-SM-4WWDQ 40-49 years, male 39.6
GTEX-13OW8-2326-SM-5L3I9 60-69 years, male 39.5
GTEX-1H11D-2126-SM-9OSXM 40-49 years, male 39.3
GTEX-1GN1W-2226-SM-9JGI5 50-59 years, female 39.1
GTEX-13OVG-0626-SM-5IFEP 60-69 years, male 38.8
GTEX-131XG-1026-SM-5GCMX 50-59 years, female 38.3
GTEX-14C5O-1626-SM-73KYH 60-69 years, male 38.1
GTEX-15RJ7-0926-SM-6LPJO 40-49 years, male 37.9
GTEX-18A66-1426-SM-7KFRT 60-69 years, male 37.8
GTEX-RWS6-0826-SM-47JXF 60-69 years, female 37.8
GTEX-11NSD-1126-SM-5N9BQ 20-29 years, male 37.5
GTEX-ZF2S-1226-SM-4WWAX 50-59 years, female 37.5
GTEX-1PPH8-1626-SM-E6CQP 20-29 years, male 37.5
GTEX-1B933-2026-SM-7EWFC 50-59 years, female 37.2
GTEX-1H3VY-2026-SM-9JGHK 50-59 years, male 37.1
GTEX-13FH7-0526-SM-5IJF8 50-59 years, female 37.0
GTEX-183FY-1526-SM-7IGOW 20-29 years, male 36.9
GTEX-13NZB-1226-SM-5J2MW 30-39 years, male 36.8
GTEX-1L5NE-1426-SM-DHXKV 50-59 years, male 36.8
GTEX-144GM-1426-SM-5LU31 20-29 years, male 36.7
GTEX-T5JW-1326-SM-4DM5G 20-29 years, female 36.7
GTEX-ZTPG-1626-SM-5DUX2 20-29 years, female 36.7
GTEX-XQ3S-1126-SM-4BOPK 20-29 years, male 36.6
GTEX-YFC4-1226-SM-5LU9R 40-49 years, female 36.4
GTEX-1LVAN-2326-SM-CNNPY 50-59 years, female 36.2
GTEX-15EOM-5013-SM-7MKF9 20-29 years, female 36.1
GTEX-1HKZK-1426-SM-A96U1 40-49 years, male 36.1
GTEX-13O3Q-0826-SM-5IFGF 50-59 years, male 35.9
GTEX-U3ZN-1726-SM-4DXUQ 30-39 years, female 35.7
GTEX-17HHE-0926-SM-7938K 50-59 years, male 35.5
GTEX-1JK1U-1726-SM-CNNPM 60-69 years, male 35.5
GTEX-13FTW-1626-SM-5KM4N 40-49 years, male 35.4
GTEX-ZQUD-0426-SM-57WFR 30-39 years, male 35.4
GTEX-ZUA1-1226-SM-5NQ6O 40-49 years, male 35.2
GTEX-1JMPY-0826-SM-AHZ4A 30-39 years, male 35.0
GTEX-T2IS-0826-SM-4DM6L 20-29 years, female 34.8
GTEX-1MA7W-0426-SM-E9TJ5 20-29 years, female 34.8
GTEX-1LG7Z-0926-SM-CXKYK 30-39 years, male 34.3
GTEX-1RAZA-1326-SM-DPS12 20-29 years, male 34.0
GTEX-16NPX-1626-SM-6LLI5 50-59 years, male 33.7
GTEX-1C475-0926-SM-7MKFI 40-49 years, female 33.7
GTEX-WRHK-0526-SM-4MVOF 20-29 years, female 33.7
GTEX-13G51-0926-SM-5IFFU 60-69 years, male 33.3
GTEX-ZA64-0626-SM-5HL9O 20-29 years, male 33.3
GTEX-X4EO-1226-SM-4QARR 60-69 years, female 32.6
GTEX-18D9B-2026-SM-7LT96 60-69 years, male 32.5
GTEX-1AX9J-1826-SM-731FM 60-69 years, male 32.5
GTEX-15SHU-1426-SM-6LPIN 40-49 years, female 32.4
GTEX-1C2JI-1126-SM-731FH 50-59 years, male 32.1
GTEX-PLZ6-0526-SM-3P61C 30-39 years, male 32.1
GTEX-TKQ1-0326-SM-4DXSM 30-39 years, male 32.1
GTEX-ZGAY-1126-SM-4WWBS 40-49 years, female 32.0
GTEX-1GPI7-1026-SM-7MGY2 20-29 years, male 31.8
GTEX-WHSB-0426-SM-4M1XI 50-59 years, male 31.7
GTEX-ZLFU-1126-SM-DO11K 40-49 years, male 31.7
GTEX-14PK6-1326-SM-686ZE 70-79 years, female 31.6
GTEX-WFON-0826-SM-4LVMI 40-49 years, male 31.5
GTEX-11VI4-0526-SM-5EQ48 40-49 years, female 31.4
GTEX-P4PP-0626-SM-3NM9X 30-39 years, female 31.4
GTEX-QCQG-0626-SM-48U21 50-59 years, female 31.4
GTEX-1N2EE-2426-SM-EXOIO 60-69 years, male 31.4
GTEX-12WSD-1826-SM-5GCOA 60-69 years, female 31.3
GTEX-1R9JW-1526-SM-DPRZK 30-39 years, female 31.3
GTEX-1B8KZ-0726-SM-7938W 50-59 years, male 31.2
GTEX-133LE-0626-SM-5IFFJ 20-29 years, female 31.1
GTEX-WFG8-1226-SM-4V6EI 20-29 years, male 31.1
GTEX-Y9LG-0626-SM-4WWDH 30-39 years, male 31.0
GTEX-1A3MV-1326-SM-7LG6C 30-39 years, male 30.9
GTEX-Y5V5-1626-SM-4VDSG 60-69 years, female 30.5
GTEX-11DXX-1126-SM-5GZZK 60-69 years, female 30.4
GTEX-1QPFJ-1226-SM-EAZ3M 30-39 years, female 30.3
GTEX-16XZY-0926-SM-7938M 70-79 years, male 30.1
GTEX-1PIGE-0926-SM-E9U5Z 20-29 years, male 30.1
GTEX-PVOW-1626-SM-48TC9 40-49 years, male 30.0
GTEX-1S82Y-1226-SM-EV7BD 40-49 years, male 29.8
GTEX-ZPCL-1426-SM-57WEC 60-69 years, female 29.7
GTEX-WOFM-0626-SM-4OOS3 20-29 years, male 29.3
GTEX-1KANB-1826-SM-DHXJU 50-59 years, male 29.2
GTEX-QLQ7-0926-SM-447BC 60-69 years, male 29.1
GTEX-XGQ4-1526-SM-4AT6H 50-59 years, male 29.0
GTEX-111YS-0926-SM-5EGGI 60-69 years, male 28.9
GTEX-RUSQ-0826-SM-47JWW 50-59 years, male 28.9
GTEX-1H1DG-1226-SM-9JGH3 70-79 years, male 28.8
GTEX-132QS-1426-SM-5P9GE 60-69 years, male 28.6
GTEX-T5JC-1726-SM-4DM6U 20-29 years, male 28.5
GTEX-14C38-2126-SM-5RQJO 50-59 years, male 28.1
GTEX-OOBK-0625-SM-3LK5P 40-49 years, male 28.0
GTEX-QEG5-1426-SM-447AS 20-29 years, male 28.0
GTEX-1HCUA-1426-SM-9WPP7 50-59 years, female 27.9
GTEX-1I6K7-1426-SM-B2LXP 40-49 years, male 27.9
GTEX-1EX96-2226-SM-7MKGT 50-59 years, male 27.8
GTEX-1F75I-1726-SM-7MKGW 40-49 years, male 27.7
GTEX-1HCVE-1226-SM-9WPPH 50-59 years, male 27.6
GTEX-145LV-1326-SM-5S2QI 50-59 years, male 27.5
GTEX-13CF3-1626-SM-5IFG9 60-69 years, female 27.3
GTEX-Z9EW-0526-SM-5HL8S 40-49 years, male 27.2
GTEX-R55C-0826-SM-48FCL 40-49 years, male 26.7
GTEX-WQUQ-1626-SM-4OOSH 60-69 years, male 26.7
GTEX-T2YK-1326-SM-4DM6S 50-59 years, male 26.6
GTEX-ZXES-1126-SM-5GZXN 30-39 years, female 26.6
GTEX-1I1GP-1026-SM-C1YRZ 50-59 years, male 26.0
GTEX-1HCU8-2226-SM-9WPOV 60-69 years, female 25.9
GTEX-WXYG-1226-SM-4ONCJ 50-59 years, female 25.8
GTEX-1JMLX-2326-SM-CXZJP 50-59 years, male 25.7
GTEX-REY6-1326-SM-48FDO 60-69 years, male 25.4
GTEX-145ME-5004-SM-7MGXP 40-49 years, female 25.3
GTEX-13YAN-1926-SM-7EPH9 60-69 years, male 25.0
GTEX-XV7Q-1126-SM-4BRVS 40-49 years, female 25.0
GTEX-14B4R-0326-SM-5TDDP 30-39 years, male 24.8
GTEX-QDVN-1026-SM-48TZA 50-59 years, male 24.8
GTEX-18A7A-2326-SM-7KFRH 50-59 years, female 24.6
GTEX-1GN73-1926-SM-9JGGS 60-69 years, male 24.6
GTEX-14JG6-0926-SM-6871Y 30-39 years, female 24.5
GTEX-1K2DU-1726-SM-EV79S 20-29 years, male 24.4
GTEX-SNOS-0626-SM-4DM5F 40-49 years, male 24.3
GTEX-13111-0826-SM-5LZV3 50-59 years, male 24.2
GTEX-15RJE-0926-SM-6LLHZ 40-49 years, male 24.1
GTEX-1LVAM-1126-SM-DHXKP 50-59 years, female 23.9
GTEX-16A39-1026-SM-6LPJU 30-39 years, female 23.8
GTEX-Q2AG-1326-SM-43V8K 40-49 years, female 23.7
GTEX-1N2DV-2026-SM-EV7BL 40-49 years, male 23.5
GTEX-12WSA-1426-SM-5EGJU 60-69 years, male 23.3
GTEX-Y3I4-1226-SM-4TT8N 50-59 years, male 23.2
GTEX-13O1R-1326-SM-5IJF5 60-69 years, male 23.0
GTEX-13O61-0926-SM-5IFFE 60-69 years, male 23.0
GTEX-15EU6-1626-SM-6LPKF 50-59 years, male 23.0
GTEX-X3Y1-1326-SM-4PQZB 40-49 years, male 22.8
GTEX-R55D-1126-SM-48FEB 50-59 years, male 22.7
GTEX-QESD-0826-SM-47J4G 20-29 years, male 22.4
GTEX-14BIN-2726-SM-5RQIE 50-59 years, female 22.3
GTEX-R53T-1126-SM-48FD4 50-59 years, female 22.3
GTEX-1H1ZS-1526-SM-9OSXR 70-79 years, male 22.2
GTEX-QLQW-0526-SM-4R1KS 30-39 years, male 22.0
GTEX-15ETS-1926-SM-7KUN5 40-49 years, female 21.9
GTEX-17EUY-1426-SM-7938X 20-29 years, male 21.7
GTEX-Y8E4-1726-SM-5LU9G 40-49 years, male 21.4
GTEX-12WSN-5013-SM-7P8P9 40-49 years, male 21.4
GTEX-OXRL-0626-SM-3NM9C 50-59 years, male 21.3
GTEX-U4B1-0826-SM-4DXTW 40-49 years, male 21.3
GTEX-R3RS-1326-SM-48FE7 40-49 years, female 21.2
GTEX-1JKYR-2126-SM-CNNPC 20-29 years, male 21.1
GTEX-13X6H-1326-SM-5LU42 50-59 years, female 21.0
GTEX-11I78-1526-SM-5A5K7 50-59 years, female 20.8
GTEX-ZPU1-1426-SM-4WWFU 40-49 years, male 20.8
GTEX-X15G-0826-SM-4PQZD 50-59 years, female 20.7
GTEX-1N2DW-1426-SM-EV7AZ 50-59 years, male 20.6
GTEX-1LSNL-2226-SM-DHXKM 50-59 years, male 20.2
GTEX-13D11-1926-SM-5IFGB 50-59 years, female 20.0
GTEX-1IDJD-1626-SM-C1YRC 30-39 years, male 19.9
GTEX-OXRK-1326-SM-3NB1A 50-59 years, female 19.8
GTEX-ZAB4-1126-SM-5HL86 40-49 years, male 19.6
GTEX-139T6-0626-SM-5IFF9 50-59 years, male 19.2
GTEX-1AMEY-0226-SM-7189Q 30-39 years, female 19.0
GTEX-SUCS-0726-SM-4DM7J 70-79 years, male 18.9
GTEX-12ZZX-1326-SM-5DUWI 40-49 years, female 18.7
GTEX-146FR-0426-SM-5SI97 60-69 years, female 18.7
GTEX-ZAB5-0926-SM-5CVMV 50-59 years, male 18.7
GTEX-1LBAC-1226-SM-DHXK1 20-29 years, male 18.7
GTEX-1LGOU-0526-SM-D3LAO 20-29 years, female 18.6
GTEX-16BQI-1526-SM-6LLIE 30-39 years, female 18.4
GTEX-1OJC3-0826-SM-DPRYU 20-29 years, male 18.4
GTEX-1OKEX-1326-SM-E9J2U 60-69 years, male 18.1
GTEX-1S83E-0826-SM-EV7B7 40-49 years, male 18.0
GTEX-14PJN-0526-SM-68724 30-39 years, male 17.9
GTEX-1IKK5-1326-SM-AHZ2X 60-69 years, male 17.9
GTEX-131XF-0826-SM-5GICG 60-69 years, male 17.8
GTEX-XMD2-1326-SM-4YCET 60-69 years, female 17.8
GTEX-13FHO-1726-SM-DPRZX 60-69 years, male 17.8
GTEX-1HCU7-2126-SM-A96SG 50-59 years, male 17.7
GTEX-1HSMQ-2026-SM-B2LY1 50-59 years, male 17.3
GTEX-1I1GS-2126-SM-ARU7G 60-69 years, male 17.3
GTEX-1JKYN-1526-SM-CGQGA 30-39 years, male 17.2
GTEX-N7MT-0326-SM-48TDP 60-69 years, female 16.9
GTEX-13FLV-1126-SM-5J2NO 50-59 years, male 16.8
GTEX-145LT-1126-SM-5LUA1 40-49 years, male 16.8
GTEX-148VJ-1026-SM-5LU98 70-79 years, male 16.7
GTEX-14E6E-0726-SM-5S2R3 30-39 years, male 16.7
GTEX-YJ89-1526-SM-5P9IR 60-69 years, male 16.7
GTEX-S33H-0826-SM-4AD5Y 30-39 years, male 16.3
GTEX-WYJK-1926-SM-4ONDP 50-59 years, male 16.3
GTEX-X62O-2226-SM-46MW3 50-59 years, male 16.3
GTEX-1MJIX-0826-SM-DTXEO 40-49 years, male 16.3
GTEX-PLZ4-1626-SM-3P618 50-59 years, female 15.9
GTEX-YEC3-2526-SM-CXZIH 50-59 years, male 15.9
GTEX-ZEX8-1426-SM-4WKHQ 50-59 years, male 15.7
GTEX-17F9E-1926-SM-7IGQF 50-59 years, male 15.6
GTEX-1J1OQ-2526-SM-AHZ3Q 40-49 years, female 15.6
GTEX-1AX8Z-5016-SM-AHZ2B 60-69 years, male 15.5
GTEX-1RAZR-1226-SM-E6CRD 40-49 years, male 15.5
GTEX-1497J-2726-SM-5SI9W 60-69 years, male 15.4
GTEX-15EO6-1026-SM-7KUG9 50-59 years, male 15.4
GTEX-TSE9-1226-SM-4DXTM 60-69 years, female 15.3
GTEX-145MO-1426-SM-DTX9W 60-69 years, male 15.2
GTEX-169BO-0526-SM-793AK 50-59 years, male 15.1
GTEX-11XUK-0826-SM-5GU6P 40-49 years, female 15.0
GTEX-XK95-1026-SM-4GIDV 40-49 years, male 15.0
GTEX-XUZC-0426-SM-4BOPE 30-39 years, female 15.0
GTEX-1GF9U-0826-SM-7MXTZ 40-49 years, female 15.0
GTEX-1I1CD-1726-SM-A9G3P 60-69 years, female 14.8
GTEX-13QBU-1026-SM-5LU3R 40-49 years, female 14.6
GTEX-1GL5R-1526-SM-7MKHO 50-59 years, male 14.6
GTEX-ZT9X-0526-SM-5GCOP 40-49 years, male 14.6
GTEX-1LGRB-1626-SM-CNNR7 50-59 years, female 14.6
GTEX-UPJH-1026-SM-EAZB2 50-59 years, male 14.6
GTEX-13O21-0626-SM-5IJDI 50-59 years, male 14.5
GTEX-1CB4J-2426-SM-7MXVC 60-69 years, male 14.5
GTEX-16NGA-1426-SM-718AC 40-49 years, female 14.4
GTEX-1QP28-1826-SM-EAZ4L 50-59 years, female 14.4
GTEX-13S86-0826-SM-5SI6J 40-49 years, male 14.3
GTEX-UJMC-0926-SM-4IHLK 50-59 years, male 14.2
GTEX-1I1GV-2226-SM-ARU7E 60-69 years, male 14.2
GTEX-1B97J-1026-SM-7MXTE 50-59 years, female 14.1
GTEX-1F5PL-1726-SM-9QEGL 40-49 years, female 14.1
GTEX-147F3-0826-SM-5NQA7 50-59 years, female 14.0
GTEX-V955-1126-SM-4JBH3 60-69 years, male 13.9
GTEX-X585-1226-SM-46MW7 50-59 years, male 13.9
GTEX-1IDFM-1126-SM-A96SY 60-69 years, male 13.9
GTEX-WFG7-1126-SM-4LMK3 20-29 years, male 13.8
GTEX-1R9K5-1526-SM-DPRZA 50-59 years, male 13.5
GTEX-1M5QR-0726-SM-DHXK7 40-49 years, male 13.3
GTEX-11P81-0826-SM-5P9GR 30-39 years, female 13.1
GTEX-1B97I-0926-SM-731DZ 40-49 years, male 13.1
GTEX-1H1DE-1026-SM-9JGH6 20-29 years, male 13.1
GTEX-145MN-1026-SM-5NQ9G 30-39 years, male 12.7
GTEX-16AAH-0726-SM-793A9 50-59 years, male 12.5
GTEX-WFJO-0826-SM-4LVM5 30-39 years, male 12.3
GTEX-1QW4Y-0526-SM-EAZ3V 30-39 years, male 12.3
GTEX-12WSL-1526-SM-5GCP8 50-59 years, male 12.2
GTEX-ZYVF-2226-SM-5GIDD 50-59 years, female 11.6
GTEX-1J1R8-0326-SM-AHZ3D 40-49 years, male 11.6
GTEX-RNOR-1226-SM-48FDQ 50-59 years, female 11.5
GTEX-S7SF-0926-SM-4AD4M 20-29 years, female 11.5
GTEX-1HSGN-1626-SM-A96U2 40-49 years, female 11.5
GTEX-PLZ5-0926-SM-3TW8L 50-59 years, male 11.3
GTEX-1F52S-1426-SM-7P8PU 60-69 years, female 11.2
GTEX-16MT8-1326-SM-6M47R 60-69 years, female 11.0
GTEX-13W46-1926-SM-5J2MF 50-59 years, male 10.9
GTEX-RTLS-1126-SM-46MUQ 60-69 years, female 10.9
GTEX-ZTX8-0226-SM-5E44D 20-29 years, male 10.9
GTEX-1HC8U-1526-SM-9WPO4 40-49 years, female 10.7
GTEX-1QP29-2126-SM-E6CPZ 50-59 years, male 10.7
GTEX-11EMC-2226-SM-5A5JW 60-69 years, female 10.5
GTEX-1I4MK-0426-SM-B2LWQ 50-59 years, female 10.5
GTEX-1JMQK-2026-SM-C1YQN 60-69 years, male 10.5
GTEX-1PFEY-0826-SM-E9U6A 30-39 years, male 10.5
GTEX-1QP9N-0926-SM-E9U5S 30-39 years, male 10.5
GTEX-144GN-0626-SM-5O9B2 50-59 years, male 10.4
GTEX-P4QS-0626-SM-3NMD1 60-69 years, male 10.4
GTEX-12696-1326-SM-5FQTJ 60-69 years, male 10.2
GTEX-1F5PK-1526-SM-7MKGV 50-59 years, male 10.2
GTEX-R45C-1226-SM-48FEE 60-69 years, female 10.2
GTEX-OIZF-0626-SM-7MKHG 60-69 years, male 10.2
GTEX-148VI-1026-SM-5TDDJ 60-69 years, female 10.0
GTEX-QEL4-1426-SM-447AC 50-59 years, male 9.9
GTEX-WH7G-0926-SM-4LVMJ 40-49 years, male 9.9
GTEX-1QCLZ-1626-SM-E9U5R 60-69 years, female 9.8
GTEX-1IDJF-1226-SM-C1YPX 20-29 years, male 9.7
GTEX-1EU9M-2326-SM-7MKGS 60-69 years, male 9.5
GTEX-12WSG-5007-SM-7DUGZ 50-59 years, female 9.2
GTEX-13JVG-2026-SM-5KM1N 60-69 years, male 9.2
GTEX-11ZTS-2626-SM-5EGIC 60-69 years, female 9.0
GTEX-11ZU8-1526-SM-5EGHX 60-69 years, male 9.0
GTEX-1QP67-0726-SM-DPRY1 40-49 years, female 8.8
GTEX-Y5V6-1026-SM-4VBS2 60-69 years, male 8.7
GTEX-1GMR8-1826-SM-9WYUE 50-59 years, female 8.6
GTEX-14ICL-0526-SM-5RQJ6 30-39 years, male 8.4
GTEX-18D9U-2126-SM-7LG4Y 40-49 years, male 8.4
GTEX-1RAZQ-1726-SM-EAZ4T 30-39 years, male 8.4
GTEX-17F97-1326-SM-7MGVO 50-59 years, male 8.3
GTEX-S32W-0926-SM-4AD5X 50-59 years, female 8.2
GTEX-ZF3C-1626-SM-4WWB4 50-59 years, female 7.8
GTEX-1GTWX-1326-SM-9JGHU 60-69 years, male 7.7
GTEX-145LS-1826-SM-5LUAZ 60-69 years, female 7.6
GTEX-1399U-1026-SM-5J1OC 50-59 years, female 7.5
GTEX-ZDYS-0826-SM-4WWCR 50-59 years, male 7.5
GTEX-ZVE2-1326-SM-5NQ94 50-59 years, male 7.5
GTEX-1HCU6-1326-SM-A96TZ 60-69 years, female 7.5
GTEX-12WSK-1126-SM-5LZV8 40-49 years, female 7.3
GTEX-13W3W-1626-SM-5LU35 60-69 years, female 7.2
GTEX-1AX9K-1126-SM-731DQ 50-59 years, male 7.2
GTEX-OIZI-1426-SM-3NB1T 40-49 years, male 7.2
GTEX-146FQ-1026-SM-5LU8I 30-39 years, male 7.1
GTEX-PSDG-1326-SM-48TD2 50-59 years, male 7.1
GTEX-1CB4I-1026-SM-7MKFZ 50-59 years, male 7.0
GTEX-1LVA9-2126-SM-DLHBY 50-59 years, male 6.9
GTEX-1RLM8-0726-SM-E6CRH 50-59 years, male 6.8
GTEX-15UF6-2326-SM-6M465 70-79 years, female 6.4
GTEX-TMMY-1126-SM-4DXSX 40-49 years, female 6.4
GTEX-1K9T9-2026-SM-CXZK3 50-59 years, female 6.3
GTEX-14BIM-1326-SM-7EWD1 60-69 years, female 6.2
GTEX-178AV-0526-SM-6LPJH 40-49 years, male 6.2
GTEX-1EMGI-1926-SM-7938Y 60-69 years, male 6.2
GTEX-1A8FM-1526-SM-7MXTA 50-59 years, female 6.2
GTEX-139TU-1226-SM-5J2NL 60-69 years, male 6.1
GTEX-ZYY3-1526-SM-5SIA9 60-69 years, female 6.1
GTEX-RU72-0726-SM-46MUW 50-59 years, female 6.0
GTEX-N7MS-1225-SM-3LK5G 60-69 years, male 5.9
GTEX-WK11-1026-SM-4OOS8 50-59 years, male 5.9
GTEX-15SB6-0726-SM-6M48F 50-59 years, female 5.8
GTEX-144GO-2726-SM-5O9A2 60-69 years, male 5.7
GTEX-ZZPT-1426-SM-5N9C5 50-59 years, male 5.7
GTEX-1212Z-2126-SM-5FQTM 60-69 years, male 5.5
GTEX-1E1VI-1526-SM-7IGQ2 50-59 years, male 5.4
GTEX-12ZZW-1726-SM-5DUVD 50-59 years, male 5.3
GTEX-YECK-1626-SM-5IFHQ 60-69 years, male 5.3
GTEX-145MF-1426-SM-5O9B6 50-59 years, male 5.2
GTEX-U3ZH-1026-SM-4DXUZ 30-39 years, male 5.2
GTEX-OHPN-1026-SM-E9TI8 60-69 years, female 5.2
GTEX-11EI6-1526-SM-5P9GL 60-69 years, male 5.1
GTEX-15DCD-1626-SM-6AJBH 70-79 years, female 5.1
GTEX-XLM4-2326-SM-4AT5E 60-69 years, male 5.1
GTEX-ZYW4-1326-SM-5E45N 60-69 years, male 4.9
GTEX-15F5U-5010-SM-AHZ2D 40-49 years, male 4.9
GTEX-13U4I-1126-SM-5LU3S 40-49 years, female 4.7
GTEX-ZAJG-1326-SM-5S2NV 50-59 years, female 4.7
GTEX-11DYG-1326-SM-5N9DO 60-69 years, male 4.5
GTEX-144FL-2726-SM-5O98Z 50-59 years, male 4.5
GTEX-1CB4F-1526-SM-7MKFM 60-69 years, male 4.5
GTEX-13OVJ-1226-SM-5L3HA 50-59 years, female 4.4
GTEX-Y8LW-0726-SM-5IFI1 50-59 years, female 4.4
GTEX-ZV68-0926-SM-59HK7 50-59 years, female 4.4
GTEX-ZYFC-1626-SM-5N9EU 50-59 years, male 4.3
GTEX-139UW-1126-SM-5IJEJ 60-69 years, male 4.2
GTEX-1H3NZ-1326-SM-9JGHI 60-69 years, male 4.2
GTEX-Y111-1626-SM-57WCY 50-59 years, male 4.1
GTEX-12KS4-0926-SM-5BC5S 30-39 years, male 3.9
GTEX-132Q8-1826-SM-5EGIY 60-69 years, male 3.9
GTEX-183WM-1726-SM-7KFT5 70-79 years, female 3.8
GTEX-1F7RK-1526-SM-7P8T6 20-29 years, female 3.8
GTEX-1MCQQ-1026-SM-EV7AX 60-69 years, male 3.8
GTEX-1HGF4-0926-SM-9WPP8 60-69 years, male 3.7
GTEX-P78B-1026-SM-3NMC4 40-49 years, female 3.6
GTEX-1GN1U-1826-SM-9JGH2 50-59 years, female 3.6
GTEX-NPJ8-1926-SM-3MJGB 40-49 years, male 3.5
GTEX-1EN7A-1226-SM-7MGX9 40-49 years, male 3.5
GTEX-1BAJH-2026-SM-7P8OZ 70-79 years, male 3.3
GTEX-SJXC-1426-SM-EYYVB 60-69 years, male 3.3
GTEX-18465-1126-SM-7LG6E 50-59 years, male 3.1
GTEX-1LNCM-0626-SM-EV7AI 50-59 years, female 3.0
GTEX-1NUQO-1126-SM-DTX98 20-29 years, female 2.9
GTEX-11DZ1-2026-SM-5A5KG 50-59 years, male 2.8
GTEX-13PVQ-1726-SM-5IFF3 50-59 years, male 2.5
GTEX-1JMPZ-2026-SM-C1YR8 30-39 years, male 2.4
GTEX-1LSVX-1226-SM-DHXJN 60-69 years, male 2.1
GTEX-1KD4Q-1126-SM-CXZKK 40-49 years, male 1.5
Show allShow less

ESOPHAGUS - FANTOM5 CAGEi

RNA expression in human tissues obtained through Cap Analysis of Gene Expression (CAGE) generated by the FANTOM5 project are reported as Scaled Tags Per Million.

Max subtype Scaled Tags Per Millioni

Max subtype Scaled Tags Per Million is the value for the subtype with the largest average Scaled Tags Per Million across the subtype samples.

66.5
FANTOM5 sample id Sample description Scaled Tags Per Million
Esophagus
Scaled Tags Per Million: 66.5
FF:10015-101C6 68,74,75 years, mixed 66.5

Contact

  • NEWS ARTICLES
  • PRESS ROOM

The Project

  • INTRODUCTION
  • ORGANIZATION
  • PUBLICATIONS

The Human Protein Atlas

  • DOWNLOADABLE DATA
  • LICENCE & CITATION
  • HELP & FAQ
The Human Protein Atlas project is funded
by the Knut & Alice Wallenberg Foundation.


contact@proteinatlas.org