We use cookies to enhance the usability of our website. If you continue, we'll assume that you are happy to receive all cookies. More information. Don't show this again.
HMOX1
HPA
RESOURCES
  • TISSUE
  • BRAIN
  • SINGLE CELL
  • SUBCELLULAR
  • CANCER
  • BLOOD
  • CELL LINE
  • STRUCTURE & INTERACTION
ABOUT
  • INTRODUCTION
  • HISTORY
  • ORGANIZATION
  • PUBLICATIONS
  • ANTIBODY SUBMISSION
  • ANTIBODY AVAILABILITY
  • ACKNOWLEDGMENTS
  • CONTACT
NEWS
  • NEWS ARTICLES
  • PRESS ROOM
LEARN
  • DICTIONARY
  • PROTEIN CLASSES
  • PROTEIN EVIDENCE
  • METHODS
  • EDUCATIONAL VIDEOS
DATA
  • DOWNLOADABLE DATA
  • PUBLICATION DATA
  • RELEASE HISTORY
HELP
  • ANTIBODY VALIDATION
  • ASSAYS & ANNOTATION
  • DISCLAIMER
  • HELP & FAQ
  • PRIVACY STATEMENT
  • LICENCE & CITATION
Fields »
Search result

Field
Term
Gene name
Class
Subclass
Class
Keyword
Chromosome
External id
Tissue
Cell type
Expression
Antibody panel
Tissue
Main location
Patient ID
Annotation
Tissue
Category
Tau score
Cluster
Reliability
Brain region
Category
Tau score
Brain region
Category
Tau score
Brain region
Category
Tau score
Cluster
Reliability
Tissue
Cell type
Enrichment
Cell type
Category
Tau score
Cell type
Category
Tau score
Cell type
Category
Tau score
Cell lineage
Category
Tau score
Cluster
Cluster
Location
Searches
Location
Cell line
Class
Type
Phase
Reliability
Cancer
Prognosis
Cancer
Category
Cancer
Category
Tau score
Cluster
Variants
Interacting gene (ensg_id)
Type
Number of interactions
Pathway
Category
Score
Score
Score
Validation
Validation
Validation
Validation
Antibodies
Data type
Column


  • SUMMARY

  • TISSUE

  • BRAIN

  • SINGLE CELL

  • SUBCELL

  • CANCER

  • BLOOD

  • CELL LINE

  • STRUCT & INT

  • HMOX1
TISSUE PRIMARY DATA STOMACH Show tissue menu
ADIPOSE TISSUE ADRENAL GLAND AMYGDALA APPENDIX BASAL GANGLIA BONE MARROW BREAST BRONCHUS CEREBELLUM CEREBRAL CORTEX CERVIX CHOROID PLEXUS COLON DUODENUM
ENDOMETRIUM EPIDIDYMIS ESOPHAGUS FALLOPIAN TUBE GALLBLADDER HEART MUSCLE HIPPOCAMPAL FORMATION HYPOTHALAMUS KIDNEY LIVER LUNG LYMPH NODE MIDBRAIN NASOPHARYNX
ORAL MUCOSA OVARY PANCREAS PARATHYROID GLAND PITUITARY GLAND PLACENTA PROSTATE RECTUM RETINA SALIVARY GLAND SEMINAL VESICLE SKELETAL MUSCLE SKIN SMALL INTESTINE
SMOOTH MUSCLE SOFT TISSUE SPINAL CORD SPLEEN STOMACH TESTIS THYMUS THYROID GLAND TONGUE TONSIL URINARY BLADDER VAGINA
ANTIBODIES
AND
VALIDATION
Dictionary
Tissue proteome
Stomach
STOMACH - Expression summary
Protein expression
Stomachi

On the top, protein expression in current human tissue, based on all annotated cell types, is reported with the units not detected (n), low (l), medium (m) and high (h). Underneath, protein expression in each annotated cell type are reported using the same units.

Protein expression data is based on knowledge-based annotation. For genes where more than one antibody has been used, a collective score is set.

If knowledge-based annotation could not be performed for a gene, no data is displayed here. View antibody staining data further down this page.

h
m
l
n
Glandular cells: Not detected
RNA expressioni

A summary of mRNA expression data available for current tissue based on several datasets. The mRNA expression levels in human tissues are based on RNA-seq data generated by the Human Protein Atlas (HPA), Genotype-Tissue Expression (GTEx) portal and CAGE data generated by the FANTOM5 consortium. Consensus normalized expression levels for human tissues was created by combining the data from HPA and GTEx datasets.

The mRNA expression levels in pig are based on RNA-seq data generated by the Human Protein Atlas (HPA), and for mouse, HPA data and in situ hybridization generated by the Allen brain atlas are reported.

Scroll down to view mRNA expression data in more detail.
Consensus:19.3 nTPM
HPA:10.3 nTPM
GTEx:19.3 nTPM

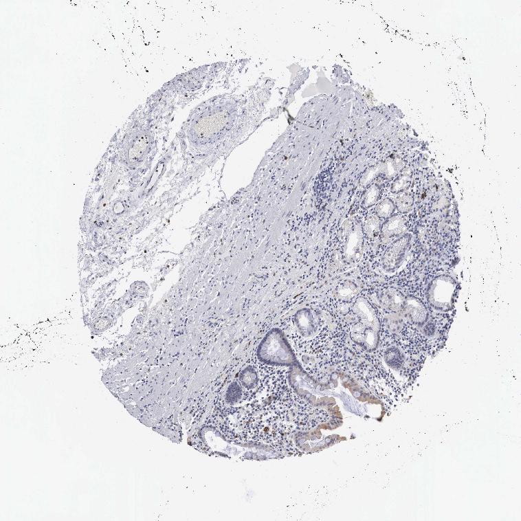
STOMACH 1 - Antibody stainingi

Antibody staining in the annotated cell types in the current human tissue is reported as not detected, low, medium, or high, based on conventional immunohistochemistry profiling in selected tissues. This score is based on the combination of the staining intensity and fraction of stained cells.

Each image is clickable and will lead to virtual microscopy that enables deeper exploration of all samples and also displays staining intensity scores, fraction scores and subcellular localization as well as patient and tissue information for each sample.

Antibody HPA000635Antibody CAB017444
Glandular cells LowNot detected




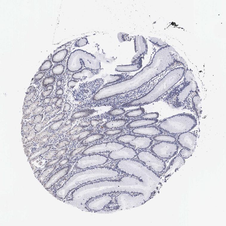
STOMACH 2 - Antibody stainingi

Antibody staining in the annotated cell types in the current human tissue is reported as not detected, low, medium, or high, based on conventional immunohistochemistry profiling in selected tissues. This score is based on the combination of the staining intensity and fraction of stained cells.

Each image is clickable and will lead to virtual microscopy that enables deeper exploration of all samples and also displays staining intensity scores, fraction scores and subcellular localization as well as patient and tissue information for each sample.

Antibody HPA000635Antibody CAB017444
Glandular cells Not detectedNot detected





STOMACH - HPA RNA-seqi

The RNA-seq details section shows detailed information about the individual samples used for the transcript profiling and results of the RNA-seq analysis.

Information about each individual sample is listed below, including gender, age, a tissue section image and estimated fractions of cell types. nTPM (normalized transcripts per million) values give a quantification of the gene abundance which is comparable between different genes and samples.
Average nTPMi

Max subtype nTPM is the value for the subtype with the largest average nTPM across the subtype samples.

10.3
overview
Female, age 33
Stomach sample 61
nTPM: 8.4
Cell types%
Glandular cells:
60

Smooth muscle cells:
5

Other cell types:
35

N/A
Male, age 82
Stomach sample 240
nTPM: 6.8
Cell types%
Glandular cells:
65

Smooth muscle cells:
5

Other cell types:
30

overview
Male, age 71
Stomach sample 241
nTPM: 21.5
Cell types%
Glandular cells:
50

Smooth muscle cells:
5

Other cell types:
45

overview
Female, age 66
Stomach sample 369
nTPM: 4.4
Cell types%
Glandular cells:
50

Smooth muscle cells:
10

Other cell types:
40


STOMACH - GTEx RNA-seqi

RNA-Seq data generated by the Genotype-Tissue Expression (GTEx) project from human tissues is reported as mean nTPM. More information can be found on the GTEx portal.

Distribution across the dataset is visualized with box plots, shown as median and 25th and 75th percentiles. Points are displayed as outliers if they are above or below 1.5 times the interquartile range. nTPM values of the individual samples are presented next to the box plot.
Max subtype nTPMi

Max subtype nTPM is the value for the subtype with the largest average nTPM across the subtype samples.

19.3
GTEx sample id Sample description nTPM
Stomach
Average nTPM: 19.3
Samples: 359

Max nTPM: 637.4
Min nTPM: 1.2
Std nTPM: 48.6
Median nTPM: 6.9
GTEX-1L5NE-1526-SM-DIPFW 50-59 years, male 637.4
GTEX-17EUY-1526-SM-793CA 20-29 years, male 400.0
GTEX-12WSJ-0926-SM-5P9JD 40-49 years, female 272.2
GTEX-15SHW-2126-SM-6M46Y 60-69 years, male 252.1
GTEX-1JMPY-0926-SM-ARL92 30-39 years, male 169.3
GTEX-1HCUA-1626-SM-A9SMG 50-59 years, female 166.1
GTEX-S4P3-0726-SM-4AD57 50-59 years, female 142.9
GTEX-ZYVF-2726-SM-5GID4 50-59 years, female 142.0
GTEX-R55D-1526-SM-48FEJ 50-59 years, male 129.3
GTEX-11EQ9-1226-SM-5987E 30-39 years, male 120.2
GTEX-R55G-1126-SM-48FDG 40-49 years, female 117.0
GTEX-13FTW-1726-SM-5KM2B 40-49 years, male 97.7
GTEX-Y3I4-1626-SM-4TT7W 50-59 years, male 96.4
GTEX-SNOS-0826-SM-4DM5N 40-49 years, male 96.1
GTEX-1HSEH-1526-SM-B2LXG 60-69 years, male 93.3
GTEX-R55C-1026-SM-48FCM 40-49 years, male 74.9
GTEX-1MCYP-1126-SM-E9J2P 20-29 years, female 70.2
GTEX-1JMPZ-1826-SM-CXZJT 30-39 years, male 65.0
GTEX-Y5LM-1326-SM-5RQIS 40-49 years, female 63.6
GTEX-1QPFJ-1526-SM-DPRXT 30-39 years, female 61.1
GTEX-12BJ1-1726-SM-5HL9B 60-69 years, male 58.2
GTEX-13111-1226-SM-5GCNC 50-59 years, male 54.0
GTEX-ZY6K-0726-SM-5A5L8 50-59 years, male 52.5
GTEX-Q2AI-0826-SM-48TZO 40-49 years, male 52.2
GTEX-11GSP-2126-SM-5HL5E 60-69 years, female 50.6
GTEX-ZZ64-0426-SM-5E43F 20-29 years, male 47.3
GTEX-17F98-1526-SM-7EWD8 40-49 years, female 46.4
GTEX-1F75I-1826-SM-7MKGX 40-49 years, male 46.3
GTEX-P4QT-1526-SM-3NMCT 50-59 years, female 46.0
GTEX-ZVZP-1726-SM-5GZWY 50-59 years, male 43.6
GTEX-11WQK-2626-SM-5EQ4K 50-59 years, male 42.6
GTEX-1JKYN-1726-SM-AHZ48 30-39 years, male 40.4
GTEX-11P82-0726-SM-5PNYL 20-29 years, male 38.1
GTEX-WFJO-1126-SM-4LVLZ 30-39 years, male 37.4
GTEX-QV31-0626-SM-447C5 30-39 years, male 36.7
GTEX-T8EM-1226-SM-4DM5J 40-49 years, male 35.4
GTEX-WHPG-0426-SM-4M1XW 50-59 years, male 35.0
GTEX-1S831-1126-SM-EWROI 20-29 years, male 34.9
GTEX-15G1A-1226-SM-7KUF3 30-39 years, male 34.8
GTEX-11NSD-1426-SM-5HL67 20-29 years, male 34.0
GTEX-1KANA-1126-SM-D3L9M 20-29 years, male 33.8
GTEX-1I4MK-0926-SM-A9SLD 50-59 years, female 33.6
GTEX-15G19-1526-SM-6LPKP 60-69 years, male 32.9
GTEX-14B4R-0726-SM-5TDDR 30-39 years, male 30.2
GTEX-Y114-1226-SM-4TT88 50-59 years, female 28.0
GTEX-PLZ5-1226-SM-EXOHA 50-59 years, male 27.7
GTEX-1F5PK-1826-SM-7RHHX 50-59 years, male 27.6
GTEX-1JN1M-2926-SM-CNNPJ 60-69 years, female 27.5
GTEX-UPK5-2126-SM-4JBJK 40-49 years, male 27.4
GTEX-18A67-2626-SM-718AD 50-59 years, male 27.3
GTEX-WY7C-1726-SM-4ONCC 50-59 years, male 26.8
GTEX-SNMC-0626-SM-4DM6H 20-29 years, male 25.8
GTEX-1HCU8-1326-SM-C1YQQ 60-69 years, female 25.8
GTEX-12C56-0526-SM-5FQST 20-29 years, male 25.5
GTEX-13O61-1126-SM-5L3FI 60-69 years, male 24.9
GTEX-1PIGE-1126-SM-EWRMV 20-29 years, male 24.9
GTEX-1R7EU-1126-SM-EAZ4M 60-69 years, male 24.5
GTEX-1AX9J-2626-SM-731EK 60-69 years, male 24.3
GTEX-1CAMR-0726-SM-7EPIE 20-29 years, male 24.1
GTEX-1PPH8-1326-SM-DTXFO 20-29 years, male 23.2
GTEX-QDT8-2026-SM-EZ6LS 30-39 years, female 23.0
GTEX-1HBPI-0726-SM-9WG7Z 50-59 years, male 22.5
GTEX-13X6H-1626-SM-5Q5CT 50-59 years, female 22.4
GTEX-13X6J-2126-SM-5TDCV 50-59 years, male 22.3
GTEX-14PJ4-1626-SM-664OB 60-69 years, male 22.3
GTEX-11TT1-0726-SM-5GU5A 20-29 years, male 22.2
GTEX-1F5PL-1426-SM-7MKFH 40-49 years, female 22.0
GTEX-13PVQ-2126-SM-5L3FW 50-59 years, male 21.8
GTEX-15EU6-2526-SM-7KUGB 50-59 years, male 21.6
GTEX-13OVI-2426-SM-5KM4J 60-69 years, female 21.5
GTEX-UJHI-1026-SM-4IHJP 50-59 years, female 21.5
GTEX-SUCS-0926-SM-4DM4Z 70-79 years, male 20.9
GTEX-ZZPU-1426-SM-5GZZ6 50-59 years, female 20.8
GTEX-XPVG-1526-SM-4B66C 50-59 years, male 20.5
GTEX-S3XE-1026-SM-4AD4O 50-59 years, male 20.1
GTEX-14E6E-0926-SM-664N8 30-39 years, male 19.8
GTEX-ZV6S-0926-SM-57WGB 40-49 years, female 19.8
GTEX-WHSB-1226-SM-4M1XR 50-59 years, male 18.5
GTEX-1A8G6-1426-SM-731EZ 60-69 years, male 18.3
GTEX-1C475-1026-SM-7MKFJ 40-49 years, female 17.8
GTEX-XV7Q-1326-SM-4BRWM 40-49 years, female 17.8
GTEX-1MJIX-1126-SM-EV7AO 40-49 years, male 17.5
GTEX-YEC3-1426-SM-D4P1S 50-59 years, male 17.3
GTEX-1QCLY-1126-SM-EAZ4J 30-39 years, male 16.7
GTEX-132AR-2426-SM-5IFFD 50-59 years, female 16.0
GTEX-1NSGN-1926-SM-E9J36 50-59 years, male 15.9
GTEX-1QMI2-2126-SM-DPRXQ 60-69 years, male 15.9
GTEX-XBEW-1826-SM-4RTWX 40-49 years, male 15.6
GTEX-OHPK-1526-SM-3MJGM 50-59 years, female 15.4
GTEX-XXEK-0826-SM-4BRWG 50-59 years, male 15.3
GTEX-P4PQ-1526-SM-3NMCK 60-69 years, male 14.9
GTEX-OIZH-1526-SM-3NB1J 50-59 years, male 14.7
GTEX-WFG8-1326-SM-4LVN3 20-29 years, male 14.3
GTEX-1QP29-2326-SM-EXOJO 50-59 years, male 14.2
GTEX-14PHY-0926-SM-5ZZWL 60-69 years, female 14.0
GTEX-1339X-1426-SM-5K7YO 40-49 years, male 13.7
GTEX-11VI4-0326-SM-5EQ6L 40-49 years, female 13.6
GTEX-11DXX-1326-SM-5GIDZ 60-69 years, female 13.5
GTEX-1211K-1426-SM-5FQTF 60-69 years, female 13.4
GTEX-146FH-2126-SM-5SI9U 50-59 years, female 13.4
GTEX-QCQG-0526-SM-48U2A 50-59 years, female 13.1
GTEX-QDVN-1226-SM-48TZ5 50-59 years, male 12.9
GTEX-PLZ6-0826-SM-3P61K 30-39 years, male 12.7
GTEX-1LGRB-1726-SM-CNNRA 50-59 years, female 12.7
GTEX-U4B1-1026-SM-4DXT1 40-49 years, male 12.4
GTEX-ZYY3-1726-SM-5EGH3 60-69 years, female 12.4
GTEX-131XG-1226-SM-5EGH9 50-59 years, female 12.3
GTEX-144GN-1226-SM-5O991 50-59 years, male 11.8
GTEX-1B97J-1826-SM-7IGPP 50-59 years, female 11.8
GTEX-YEC4-1426-SM-5IFHS 40-49 years, male 11.8
GTEX-1HSMQ-2426-SM-CE6RY 50-59 years, male 11.8
GTEX-15RIF-1126-SM-7KUG2 20-29 years, male 11.6
GTEX-1IDJU-1526-SM-CNNR3 60-69 years, female 11.4
GTEX-Y8E4-1526-SM-4WWDI 40-49 years, male 11.3
GTEX-S7SF-0626-SM-4AD4V 20-29 years, female 11.2
GTEX-1C64O-2226-SM-73KTV 60-69 years, male 11.0
GTEX-WH7G-1526-SM-4LVMX 40-49 years, male 10.9
GTEX-Q734-1026-SM-48U16 40-49 years, female 10.8
GTEX-145LT-1426-SM-5O9B3 40-49 years, male 10.6
GTEX-XAJ8-0326-SM-47JYI 40-49 years, male 10.6
GTEX-1QP67-1026-SM-EVR47 40-49 years, female 10.5
GTEX-13RTK-0226-SM-5RQHR 20-29 years, male 10.4
GTEX-111CU-0926-SM-5EGIK 50-59 years, male 10.3
GTEX-14PJ5-0826-SM-6AJAR 60-69 years, female 10.2
GTEX-1A3MV-1226-SM-718BW 30-39 years, male 10.2
GTEX-WFG7-1326-SM-4LMK1 20-29 years, male 10.1
GTEX-16AAH-1226-SM-79OO9 50-59 years, male 10.0
GTEX-Y9LG-1026-SM-5IFJN 30-39 years, male 10.0
GTEX-ZPIC-2026-SM-57WG3 40-49 years, female 10.0
GTEX-11P7K-1726-SM-5GU6F 30-39 years, male 9.9
GTEX-ZXES-1426-SM-5NQ8S 30-39 years, female 9.8
GTEX-13U4I-2526-SM-5SI8Z 40-49 years, female 9.7
GTEX-14PHX-1026-SM-664OL 50-59 years, male 9.6
GTEX-146FR-2026-SM-5NQAI 60-69 years, female 9.4
GTEX-S4Z8-1226-SM-4AD6W 60-69 years, male 9.3
GTEX-131XE-2226-SM-5PNYX 50-59 years, male 9.2
GTEX-13OW6-2526-SM-5IJEC 50-59 years, male 9.2
GTEX-13D11-2126-SM-5IFH2 50-59 years, female 9.1
GTEX-1N2DV-0926-SM-E9TJT 40-49 years, male 9.1
GTEX-ZVP2-1626-SM-5GU5D 50-59 years, male 9.0
GTEX-1GN1W-2126-SM-9JGI7 50-59 years, female 8.9
GTEX-1HR9M-2326-SM-CNPPZ 60-69 years, male 8.8
GTEX-17MF6-2126-SM-7KFS7 40-49 years, male 8.7
GTEX-1LBAC-1426-SM-CXZKT 20-29 years, male 8.7
GTEX-YFCO-0826-SM-5LUAG 40-49 years, male 8.6
GTEX-13QBU-1126-SM-5LU44 40-49 years, female 8.5
GTEX-TKQ2-0926-SM-4DXU5 50-59 years, male 8.5
GTEX-O5YW-1526-SM-3MJGL 50-59 years, male 8.3
GTEX-RUSQ-1126-SM-EAZAU 50-59 years, male 8.3
GTEX-1JMLX-2426-SM-CXZJQ 50-59 years, male 8.2
GTEX-145MN-1326-SM-5NQ9S 30-39 years, male 8.1
GTEX-WEY5-1226-SM-4LMIQ 40-49 years, female 8.1
GTEX-18D9B-2226-SM-718BM 60-69 years, male 7.9
GTEX-PW2O-1226-SM-48TCH 20-29 years, male 7.9
GTEX-Q2AH-1126-SM-48TZM 40-49 years, male 7.9
GTEX-1I1GT-1726-SM-C1YS3 60-69 years, female 7.9
GTEX-1JN76-0926-SM-ARZNH 20-29 years, female 7.9
GTEX-1RMOY-1126-SM-EV79E 50-59 years, male 7.9
GTEX-117YW-2226-SM-5N9DB 50-59 years, male 7.8
GTEX-ZF2S-1426-SM-57WET 50-59 years, female 7.8
GTEX-1GPI7-1326-SM-9KNVA 20-29 years, male 7.8
GTEX-111YS-1126-SM-5GZYQ 60-69 years, male 7.7
GTEX-POMQ-0826-SM-3P61H 20-29 years, female 7.7
GTEX-PWN1-1526-SM-48TDA 40-49 years, female 7.7
GTEX-1QCLZ-1826-SM-DPRXP 60-69 years, female 7.6
GTEX-1H23P-2726-SM-9JGHN 60-69 years, male 7.5
GTEX-1I6K7-1726-SM-B2LXQ 40-49 years, male 7.5
GTEX-1QP2A-2126-SM-DPRZ7 50-59 years, male 7.5
GTEX-17GQL-1226-SM-7KFTS 60-69 years, male 7.4
GTEX-17KNJ-1526-SM-7LTA9 50-59 years, male 7.3
GTEX-WXYG-1626-SM-4ONCR 50-59 years, female 7.2
GTEX-XBED-1226-SM-4AT5V 60-69 years, male 7.2
GTEX-1JMQJ-1326-SM-D4P3B 50-59 years, male 7.2
GTEX-1K2DA-0826-SM-CGQGD 50-59 years, male 7.2
GTEX-1S82Z-1726-SM-E6CHZ 30-39 years, female 7.1
GTEX-14PKU-1126-SM-69LOU 40-49 years, female 7.0
GTEX-1ICG6-1826-SM-AHZ2O 70-79 years, female 7.0
GTEX-117YX-1026-SM-5H11V 50-59 years, male 6.9
GTEX-TKQ1-0526-SM-4DXTG 30-39 years, male 6.9
GTEX-YJ8A-1526-SM-5P9FT 20-29 years, male 6.9
GTEX-1HBPN-1626-SM-9WPNP 50-59 years, male 6.9
GTEX-139D8-2326-SM-5IFGE 30-39 years, female 6.8
GTEX-14PJ3-1426-SM-664O8 50-59 years, male 6.8
GTEX-16NGA-1526-SM-72D56 40-49 years, female 6.8
GTEX-YB5E-1126-SM-664NU 40-49 years, male 6.8
GTEX-1H1DE-1226-SM-9JGHH 20-29 years, male 6.8
GTEX-1LSNM-1026-SM-DHXL2 50-59 years, male 6.8
GTEX-1MUQO-1926-SM-EAZ59 60-69 years, male 6.8
GTEX-131XF-1226-SM-5HL8V 60-69 years, male 6.7
GTEX-144GM-1726-SM-5O9AS 20-29 years, male 6.7
GTEX-14DAR-0926-SM-73KUQ 50-59 years, male 6.7
GTEX-S341-0626-SM-4AD5T 40-49 years, female 6.7
GTEX-WRHK-0626-SM-4MVOE 20-29 years, female 6.7
GTEX-1QP28-2126-SM-DTX8B 50-59 years, female 6.7
GTEX-1CB4E-1326-SM-7DUGD 60-69 years, male 6.6
GTEX-P78B-1826-SM-3P5YX 40-49 years, female 6.6
GTEX-1HFI7-1526-SM-9WG7W 50-59 years, female 6.6
GTEX-ZLWG-1526-SM-DO12F 50-59 years, female 6.6
GTEX-14ICL-0826-SM-5YY9W 30-39 years, male 6.5
GTEX-133LE-1326-SM-5IFGO 20-29 years, female 6.4
GTEX-QDVJ-1426-SM-48U1Y 50-59 years, male 6.4
GTEX-OHPM-1526-SM-EV796 50-59 years, male 6.4
GTEX-OXRK-1626-SM-3NB17 50-59 years, female 6.3
GTEX-14BIL-1926-SM-73KYI 50-59 years, male 6.2
GTEX-14BMU-1126-SM-5RQJ8 20-29 years, female 6.2
GTEX-11I78-1726-SM-5A5M3 50-59 years, female 6.0
GTEX-OOBJ-1526-SM-3NB1Q 60-69 years, male 6.0
GTEX-QMRM-1126-SM-447BN 50-59 years, male 6.0
GTEX-V955-1326-SM-4JBHR 60-69 years, male 6.0
GTEX-1LVAM-1426-SM-E9TJ4 50-59 years, female 6.0
GTEX-13S7M-1826-SM-5RQK6 60-69 years, female 5.9
GTEX-U3ZN-2026-SM-4DXUC 30-39 years, female 5.9
GTEX-ZVT3-2126-SM-59HL2 60-69 years, female 5.9
GTEX-1IDJD-2426-SM-C1YS6 30-39 years, male 5.9
GTEX-1S3DN-1526-SM-EVYCB 50-59 years, male 5.9
GTEX-O5YV-1926-SM-EV797 60-69 years, female 5.9
GTEX-13FH7-1026-SM-5IJGF 50-59 years, female 5.8
GTEX-18D9A-0626-SM-7KFTY 30-39 years, female 5.8
GTEX-1AMEY-1226-SM-731DU 30-39 years, female 5.8
GTEX-WHWD-1426-SM-4OORU 50-59 years, male 5.8
GTEX-1KXAM-0926-SM-CXZKA 60-69 years, male 5.8
GTEX-QLQW-0726-SM-447AA 30-39 years, male 5.7
GTEX-139YR-1926-SM-5LZXM 50-59 years, male 5.6
GTEX-145MO-2226-SM-5Q5BN 60-69 years, male 5.6
GTEX-R53T-1226-SM-48FCT 50-59 years, female 5.6
GTEX-1H11D-2226-SM-9OSXN 40-49 years, male 5.6
GTEX-1H1E6-1626-SM-9OSWC 30-39 years, male 5.6
GTEX-12WSK-1426-SM-5CVNN 40-49 years, female 5.5
GTEX-NFK9-1526-SM-3LK7B 40-49 years, male 5.5
GTEX-1IDJF-1426-SM-ACKWK 20-29 years, male 5.5
GTEX-RM2N-0826-SM-48FD3 50-59 years, male 5.4
GTEX-ZTX8-0426-SM-59HLG 20-29 years, male 5.4
GTEX-14E1K-1526-SM-664MN 50-59 years, male 5.3
GTEX-ZEX8-1626-SM-4WKG7 50-59 years, male 5.3
GTEX-1RQEC-2126-SM-DPS15 60-69 years, male 5.3
GTEX-13PVR-2126-SM-73KVR 60-69 years, female 5.1
GTEX-1JK1U-1326-SM-AHZ45 60-69 years, male 5.1
GTEX-P4PP-1526-SM-3P61M 30-39 years, female 5.0
GTEX-RU1J-0526-SM-46MUT 20-29 years, female 5.0
GTEX-ZQUD-0826-SM-57WDQ 30-39 years, male 5.0
GTEX-1GF9U-1126-SM-AHZ4H 40-49 years, female 5.0
GTEX-1399S-1626-SM-5P9GI 30-39 years, female 4.9
GTEX-1EH9U-2226-SM-7PBXX 60-69 years, male 4.9
GTEX-1LG7Z-1226-SM-DHXK4 30-39 years, male 4.9
GTEX-14JG6-1226-SM-664O6 30-39 years, female 4.8
GTEX-1B8KZ-1226-SM-793CP 50-59 years, male 4.8
GTEX-ZA64-0826-SM-5HL9U 20-29 years, male 4.8
GTEX-18A66-2226-SM-7189E 60-69 years, male 4.7
GTEX-15DZA-1126-SM-6LPK8 30-39 years, female 4.6
GTEX-17F9E-2226-SM-7IGNC 50-59 years, male 4.6
GTEX-18A7A-2726-SM-7LG6U 50-59 years, female 4.6
GTEX-1A3MX-1926-SM-72D7F 60-69 years, male 4.6
GTEX-V1D1-1726-SM-4JBHB 50-59 years, male 4.6
GTEX-1H1DG-2126-SM-9WPPB 70-79 years, male 4.6
GTEX-1MGNQ-1826-SM-DPRYI 40-49 years, male 4.6
GTEX-QV44-1226-SM-CJI1S 50-59 years, male 4.6
GTEX-1399R-1126-SM-5IFIO 30-39 years, male 4.5
GTEX-15RIE-1026-SM-6LPJQ 60-69 years, male 4.5
GTEX-RTLS-2626-SM-46MUJ 60-69 years, female 4.5
GTEX-Y3IK-1426-SM-4YCES 50-59 years, female 4.5
GTEX-ZPU1-1626-SM-4WWB2 40-49 years, male 4.5
GTEX-11EM3-1026-SM-5A5KL 20-29 years, female 4.4
GTEX-13N1W-2026-SM-5K7YU 70-79 years, male 4.4
GTEX-WYJK-2526-SM-4ONDF 50-59 years, male 4.4
GTEX-ZV7C-1626-SM-5NQ7E 50-59 years, male 4.4
GTEX-OIZF-1526-SM-2I5GR 60-69 years, male 4.4
GTEX-ZGAY-1626-SM-DNZZ3 40-49 years, female 4.4
GTEX-1122O-1926-SM-5EGIQ 60-69 years, female 4.3
GTEX-11NUK-2426-SM-5BC4U 50-59 years, male 4.3
GTEX-13CF3-1926-SM-5K7WF 60-69 years, female 4.3
GTEX-S95S-0826-SM-4B64N 60-69 years, male 4.3
GTEX-1LGOU-1526-SM-D3LAJ 20-29 years, female 4.3
GTEX-T6MO-0726-SM-4DM58 40-49 years, female 4.2
GTEX-1CB4H-2426-SM-7PBYR 60-69 years, female 4.2
GTEX-1GMRU-2526-SM-9WG7T 50-59 years, male 4.2
GTEX-1399U-1626-SM-5P9J3 50-59 years, female 4.1
GTEX-15DCE-1626-SM-6LPJM 20-29 years, male 4.1
GTEX-1KD5A-1426-SM-D4P3V 50-59 years, male 4.1
GTEX-XMK1-1526-SM-EYYVO 40-49 years, male 4.1
GTEX-1QW4Y-0726-SM-DTX8E 30-39 years, male 4.0
GTEX-ZLV1-0826-SM-DO11P 60-69 years, female 4.0
GTEX-QXCU-1926-SM-48FE4 50-59 years, male 3.9
GTEX-1GL5R-1926-SM-9WG7U 50-59 years, male 3.9
GTEX-14PJ6-0826-SM-686Z9 60-69 years, female 3.8
GTEX-1AYCT-1326-SM-7MKHB 50-59 years, male 3.8
GTEX-PX3G-1526-SM-48U11 20-29 years, female 3.8
GTEX-1J8JJ-1726-SM-C1YQG 60-69 years, female 3.8
GTEX-11EI6-2426-SM-5PNVS 60-69 years, male 3.7
GTEX-13O3Q-2126-SM-5KM4C 50-59 years, male 3.7
GTEX-13QJ3-2726-SM-5SI6L 50-59 years, male 3.7
GTEX-14PN3-1326-SM-6AJ9U 60-69 years, female 3.7
GTEX-1J8EW-2226-SM-AHZ3T 60-69 years, female 3.7
GTEX-1J8Q3-1926-SM-C1YSJ 60-69 years, male 3.7
GTEX-1RAZR-1526-SM-EAZ4U 40-49 years, male 3.7
GTEX-132QS-1826-SM-5IFFN 60-69 years, male 3.6
GTEX-17HHE-1026-SM-79ON6 50-59 years, male 3.6
GTEX-S4Q7-0726-SM-4AD5F 20-29 years, male 3.6
GTEX-S4UY-1626-SM-4AD55 40-49 years, female 3.6
GTEX-VJYA-1026-SM-4KL21 60-69 years, male 3.6
GTEX-ZE7O-3026-SM-51MS4 50-59 years, female 3.6
GTEX-ZF29-1526-SM-4WKF7 60-69 years, female 3.6
GTEX-12WSD-2326-SM-59HKQ 60-69 years, female 3.5
GTEX-17HGU-2126-SM-7IGOV 50-59 years, male 3.5
GTEX-1LVAN-2426-SM-CNNPZ 50-59 years, female 3.5
GTEX-13113-0726-SM-5LZUF 60-69 years, female 3.4
GTEX-14DAQ-2826-SM-664MU 60-69 years, female 3.4
GTEX-1E1VI-2826-SM-7MGWU 50-59 years, male 3.4
GTEX-1H3VY-2326-SM-9WG81 50-59 years, male 3.4
GTEX-1IL2V-2026-SM-ARZMA 70-79 years, male 3.4
GTEX-ZLFU-1326-SM-DO11R 40-49 years, male 3.4
GTEX-1AMFI-1226-SM-731CZ 50-59 years, female 3.3
GTEX-17JCI-2226-SM-7LTA1 60-69 years, female 3.2
GTEX-RWS6-0926-SM-47JXE 60-69 years, female 3.2
GTEX-1HKZK-1526-SM-B2LWG 40-49 years, male 3.2
GTEX-1B8L1-1526-SM-79OLK 60-69 years, male 3.1
GTEX-1E2YA-2426-SM-7EPIG 50-59 years, male 3.1
GTEX-WYVS-1326-SM-4ONCQ 40-49 years, female 3.1
GTEX-ZYFG-1326-SM-5GICJ 60-69 years, female 3.1
GTEX-1H3NZ-2226-SM-9WYUT 60-69 years, male 3.1
GTEX-1I1HK-2026-SM-CNNRB 60-69 years, male 3.1
GTEX-W5WG-1726-SM-4LMI5 50-59 years, female 3.0
GTEX-Y5V6-1326-SM-4VDTF 60-69 years, male 3.0
GTEX-ZVT2-1626-SM-51MRC 50-59 years, female 3.0
GTEX-1HT8W-2326-SM-A9SLA 30-39 years, male 3.0
GTEX-15UF7-1226-SM-6M46G 40-49 years, male 2.9
GTEX-T5JW-0926-SM-4DM5K 20-29 years, female 2.9
GTEX-1R9K5-1026-SM-EAZ4F 50-59 years, male 2.9
GTEX-WZTO-2126-SM-4PQYW 40-49 years, male 2.8
GTEX-PWCY-0926-SM-48TD7 20-29 years, female 2.7
GTEX-T5JC-1926-SM-4DM6Q 20-29 years, male 2.7
GTEX-ZP4G-1226-SM-4WWCJ 20-29 years, female 2.7
GTEX-OXRL-1526-SM-E6CHQ 50-59 years, male 2.7
GTEX-12WSG-2026-SM-5FQUU 50-59 years, female 2.6
GTEX-13OVK-0926-SM-7KUFX 40-49 years, male 2.6
GTEX-WFON-1126-SM-4LVMA 40-49 years, male 2.6
GTEX-X15G-1126-SM-4PQZG 50-59 years, female 2.6
GTEX-TMMY-1626-SM-4DXTY 40-49 years, female 2.5
GTEX-XQ8I-2026-SM-4BOOL 50-59 years, male 2.5
GTEX-14PKV-1826-SM-69LO9 20-29 years, female 2.4
GTEX-QLQ7-0826-SM-447B3 60-69 years, male 2.4
GTEX-1J8QM-1126-SM-C1YQB 60-69 years, female 2.4
GTEX-13O21-0926-SM-5IFGT 50-59 years, male 2.2
GTEX-15CHR-1326-SM-79OLT 50-59 years, male 2.2
GTEX-17HII-2426-SM-7KFTT 50-59 years, male 2.1
GTEX-UJMC-1226-SM-4IHLI 50-59 years, male 2.1
GTEX-14BMV-2226-SM-5RQHX 50-59 years, male 2.0
GTEX-ZT9W-1526-SM-4YCDE 50-59 years, male 2.0
GTEX-1B8KE-1326-SM-73KVI 50-59 years, male 1.9
GTEX-XUZC-0726-SM-4BOPH 30-39 years, female 1.9
GTEX-Y8LW-0826-SM-4WWDO 50-59 years, female 1.9
GTEX-ZAB4-1526-SM-5CVN7 40-49 years, male 1.9
GTEX-18QFQ-1226-SM-718AE 30-39 years, male 1.8
GTEX-1RB15-1026-SM-E9U6V 60-69 years, male 1.8
GTEX-13FTX-0726-SM-5N9BI 20-29 years, female 1.6
GTEX-1GZ4H-1026-SM-9OSXL 50-59 years, female 1.6
GTEX-12696-1726-SM-5EQLH 60-69 years, male 1.5
GTEX-145ME-1026-SM-5O9B4 40-49 years, female 1.4
GTEX-1B97I-1226-SM-7MGWQ 40-49 years, male 1.4
GTEX-ZDYS-1926-SM-5HL59 50-59 years, male 1.2
Show allShow less

Contact

  • NEWS ARTICLES
  • PRESS ROOM

The Project

  • INTRODUCTION
  • ORGANIZATION
  • PUBLICATIONS

The Human Protein Atlas

  • DOWNLOADABLE DATA
  • LICENCE & CITATION
  • HELP & FAQ
The Human Protein Atlas project is funded
by the Knut & Alice Wallenberg Foundation.


contact@proteinatlas.org