We use cookies to enhance the usability of our website. If you continue, we'll assume that you are happy to receive all cookies. More information. Don't show this again.
TXN2
HPA
RESOURCES
  • TISSUE
  • BRAIN
  • SINGLE CELL
  • SUBCELLULAR
  • CANCER
  • BLOOD
  • CELL LINE
  • STRUCTURE & INTERACTION
ABOUT
  • INTRODUCTION
  • HISTORY
  • ORGANIZATION
  • PUBLICATIONS
  • ANTIBODY SUBMISSION
  • ANTIBODY AVAILABILITY
  • ACKNOWLEDGMENTS
  • CONTACT
NEWS
  • NEWS ARTICLES
  • PRESS ROOM
LEARN
  • DICTIONARY
  • PROTEIN CLASSES
  • PROTEIN EVIDENCE
  • METHODS
  • EDUCATIONAL VIDEOS
DATA
  • DOWNLOADABLE DATA
  • PUBLICATION DATA
  • RELEASE HISTORY
HELP
  • ANTIBODY VALIDATION
  • ASSAYS & ANNOTATION
  • DISCLAIMER
  • HELP & FAQ
  • PRIVACY STATEMENT
  • LICENCE & CITATION
Fields »
Search result

Field
Term
Gene name
Class
Subclass
Class
Keyword
Chromosome
External id
Tissue
Cell type
Expression
Antibody panel
Tissue
Main location
Patient ID
Annotation
Tissue
Category
Tau score
Cluster
Reliability
Brain region
Category
Tau score
Brain region
Category
Tau score
Brain region
Category
Tau score
Cluster
Reliability
Tissue
Cell type
Enrichment
Cell type
Category
Tau score
Cell type
Category
Tau score
Cell type
Category
Tau score
Cell lineage
Category
Tau score
Cluster
Cluster
Location
Searches
Location
Cell line
Class
Type
Phase
Reliability
Cancer
Prognosis
Cancer
Category
Cancer
Category
Tau score
Cluster
Variants
Interacting gene (ensg_id)
Type
Number of interactions
Pathway
Category
Score
Score
Score
Validation
Validation
Validation
Validation
Antibodies
Data type
Column


  • SUMMARY

  • TISSUE

  • BRAIN

  • SINGLE CELL

  • SUBCELL

  • CANCER

  • BLOOD

  • CELL LINE

  • STRUCT & INT

  • TXN2
TISSUE PRIMARY DATA ADRENAL GLAND Show tissue menu
ADIPOSE TISSUE ADRENAL GLAND AMYGDALA APPENDIX BASAL GANGLIA BONE MARROW BREAST BRONCHUS CEREBELLUM CEREBRAL CORTEX CERVIX CHOROID PLEXUS COLON DUODENUM
ENDOMETRIUM EPIDIDYMIS ESOPHAGUS FALLOPIAN TUBE GALLBLADDER HEART MUSCLE HIPPOCAMPAL FORMATION HYPOTHALAMUS KIDNEY LIVER LUNG LYMPH NODE MIDBRAIN NASOPHARYNX
ORAL MUCOSA OVARY PANCREAS PARATHYROID GLAND PITUITARY GLAND PLACENTA PROSTATE RECTUM RETINA SALIVARY GLAND SEMINAL VESICLE SKELETAL MUSCLE SKIN SMALL INTESTINE
SMOOTH MUSCLE SOFT TISSUE SPINAL CORD SPLEEN STOMACH TESTIS THYMUS THYROID GLAND TONGUE TONSIL URINARY BLADDER VAGINA
ANTIBODIES
AND
VALIDATION
Dictionary
Adrenal gland
Tissue proteome
Adrenal gland
ADRENAL GLAND - Expression summary
Protein expression
Adrenal glandi

On the top, protein expression in current human tissue, based on all annotated cell types, is reported with the units not detected (n), low (l), medium (m) and high (h). Underneath, protein expression in each annotated cell type are reported using the same units.

Protein expression data is based on knowledge-based annotation. For genes where more than one antibody has been used, a collective score is set.

If knowledge-based annotation could not be performed for a gene, no data is displayed here. View antibody staining data further down this page.

h
m
l
n
Glandular cells: High
RNA expressioni

A summary of mRNA expression data available for current tissue based on several datasets. The mRNA expression levels in human tissues are based on RNA-seq data generated by the Human Protein Atlas (HPA), Genotype-Tissue Expression (GTEx) portal and CAGE data generated by the FANTOM5 consortium. Consensus normalized expression levels for human tissues was created by combining the data from HPA and GTEx datasets.

The mRNA expression levels in pig are based on RNA-seq data generated by the Human Protein Atlas (HPA), and for mouse, HPA data and in situ hybridization generated by the Allen brain atlas are reported.

Scroll down to view mRNA expression data in more detail.
Consensus:176.6 nTPM
HPA:109.2 nTPM
GTEx:176.6 nTPM

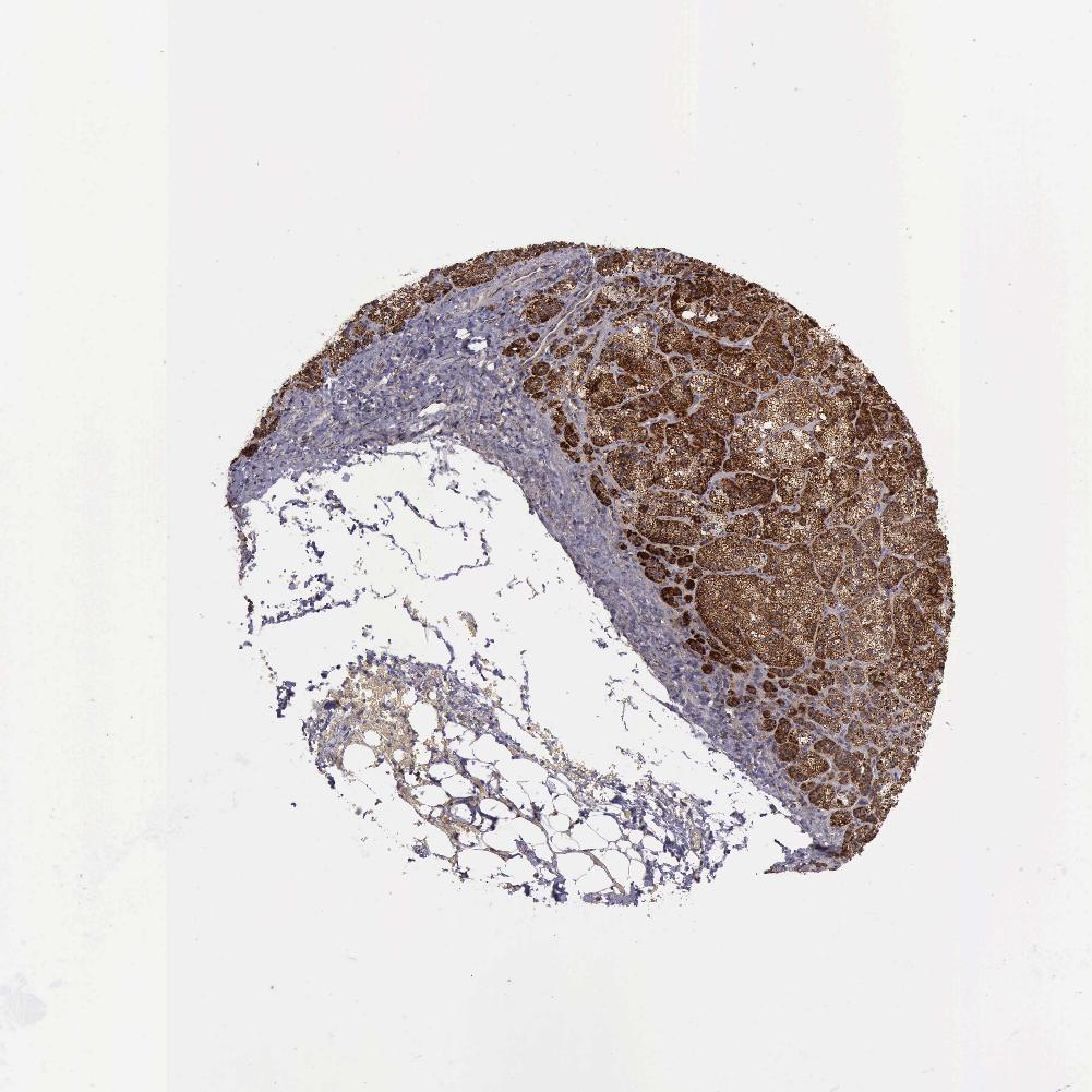
ADRENAL GLAND - Antibody stainingi

Antibody staining in the annotated cell types in the current human tissue is reported as not detected, low, medium, or high, based on conventional immunohistochemistry profiling in selected tissues. This score is based on the combination of the staining intensity and fraction of stained cells.

Each image is clickable and will lead to virtual microscopy that enables deeper exploration of all samples and also displays staining intensity scores, fraction scores and subcellular localization as well as patient and tissue information for each sample.

Antibody HPA000994Antibody CAB008681
Glandular cells HighHigh




ADRENAL GLAND - HPA RNA-seqi

The RNA-seq details section shows detailed information about the individual samples used for the transcript profiling and results of the RNA-seq analysis.

Information about each individual sample is listed below, including gender, age, a tissue section image and estimated fractions of cell types. nTPM (normalized transcripts per million) values give a quantification of the gene abundance which is comparable between different genes and samples.
Average nTPMi

Max subtype nTPM is the value for the subtype with the largest average nTPM across the subtype samples.

109.2
overview
Female, age 62
Adrenal gland sample 87
nTPM: 116.4
Cell types%
Cortical cells:
50

Medullary cells:
40

Other cell types:
10

overview
Female, age 36
Adrenal gland sample 88
nTPM: 105.1
Cell types%
Cortical cells:
50

Medullary cells:
40

Other cell types:
10

overview
Female, age 63
Adrenal gland sample 89
nTPM: 106.3
Cell types%
Cortical cells:
50

Medullary cells:
40

Other cell types:
10


ADRENAL GLAND - GTEx RNA-seqi

RNA-Seq data generated by the Genotype-Tissue Expression (GTEx) project from human tissues is reported as mean nTPM. More information can be found on the GTEx portal.

Distribution across the dataset is visualized with box plots, shown as median and 25th and 75th percentiles. Points are displayed as outliers if they are above or below 1.5 times the interquartile range. nTPM values of the individual samples are presented next to the box plot.
Max subtype nTPMi

Max subtype nTPM is the value for the subtype with the largest average nTPM across the subtype samples.

176.6
GTEx sample id Sample description nTPM
Adrenal Gland
Average nTPM: 176.6
Samples: 258

Max nTPM: 304.0
Min nTPM: 95.7
Std nTPM: 39.5
Median nTPM: 170.5
GTEX-Y5V5-1326-SM-4V6G9 60-69 years, female 304.0
GTEX-1K2DU-0826-SM-DHXKA 20-29 years, male 295.8
GTEX-14753-1726-SM-5NQ9X 60-69 years, male 291.9
GTEX-XMK1-0226-SM-4B65D 40-49 years, male 291.5
GTEX-1KD4Q-1826-SM-DIPFV 40-49 years, male 284.2
GTEX-1A3MW-2126-SM-731DO 60-69 years, female 283.5
GTEX-132QS-0126-SM-5IFH9 60-69 years, male 270.8
GTEX-PW2O-0226-SM-48TC7 20-29 years, male 266.4
GTEX-132NY-2226-SM-5J2LZ 60-69 years, male 263.5
GTEX-1HBPI-1926-SM-CE6RT 50-59 years, male 259.2
GTEX-WYVS-0226-SM-4ONDK 40-49 years, female 254.8
GTEX-U3ZM-0226-SM-4DXTA 40-49 years, male 250.8
GTEX-14E1K-0626-SM-5S2PG 50-59 years, male 249.1
GTEX-13OW6-1726-SM-5IJGI 50-59 years, male 247.2
GTEX-13W3W-1326-SM-5LU4T 60-69 years, female 246.7
GTEX-144GL-1826-SM-79OMB 50-59 years, male 245.5
GTEX-SUCS-0526-SM-4DM56 70-79 years, male 245.5
GTEX-Q2AH-0126-SM-48U2B 40-49 years, male 244.9
GTEX-Y114-0526-SM-4TT8V 50-59 years, female 243.2
GTEX-TKQ2-0226-SM-4DM6V 50-59 years, male 238.2
GTEX-OIZF-1326-SM-3MJGU 60-69 years, male 238.0
GTEX-1S82P-1126-SM-EV79M 60-69 years, female 234.9
GTEX-XV7Q-0226-SM-4BRVL 40-49 years, female 233.1
GTEX-OXRK-0126-SM-3NB1E 50-59 years, female 232.7
GTEX-13QBU-0526-SM-5IJFE 40-49 years, female 232.1
GTEX-1R7EV-1726-SM-E6CR8 40-49 years, male 231.2
GTEX-RWSA-1726-SM-47JX7 40-49 years, male 228.4
GTEX-XQ3S-1726-SM-4BOOD 20-29 years, male 228.1
GTEX-UJMC-0226-SM-4IHLH 50-59 years, male 227.4
GTEX-Y5V6-1926-SM-5IFIL 60-69 years, male 227.3
GTEX-XUZC-0226-SM-4BOO7 30-39 years, female 227.2
GTEX-1339X-0826-SM-5J2O6 40-49 years, male 226.6
GTEX-1B8KZ-0126-SM-7DHM5 50-59 years, male 226.3
GTEX-17HHY-2226-SM-7KFS4 50-59 years, male 226.2
GTEX-RM2N-0126-SM-48FDD 50-59 years, male 225.9
GTEX-15ER7-1126-SM-6M47F 20-29 years, female 224.8
GTEX-1GMR3-0926-SM-9WPP9 40-49 years, male 222.8
GTEX-V955-0126-SM-4JBH5 60-69 years, male 222.7
GTEX-R55E-1826-SM-EXOHD 20-29 years, male 220.8
GTEX-1IDJH-1726-SM-A96T3 70-79 years, male 218.9
GTEX-14XAO-0326-SM-6ETZN 60-69 years, female 218.8
GTEX-18A7A-1826-SM-7KFTU 50-59 years, female 217.9
GTEX-Y9LG-0126-SM-5Q59W 30-39 years, male 215.9
GTEX-1A32A-2126-SM-718AZ 50-59 years, female 215.5
GTEX-WFG8-0126-SM-4LVMH 20-29 years, male 215.2
GTEX-V1D1-0226-SM-4JBHG 50-59 years, male 215.1
GTEX-14PKV-0726-SM-686ZF 20-29 years, female 213.4
GTEX-W5WG-1126-SM-4LMK4 50-59 years, female 211.7
GTEX-ZT9W-0126-SM-4YCFD 50-59 years, male 211.7
GTEX-12WSD-2126-SM-5LZWK 60-69 years, female 211.6
GTEX-S33H-1326-SM-4AD6A 30-39 years, male 210.6
GTEX-13PVR-0226-SM-5RQJI 60-69 years, female 210.0
GTEX-NFK9-1726-SM-3TW8P 40-49 years, male 208.9
GTEX-14PJM-2226-SM-6AJAT 50-59 years, female 208.8
GTEX-1A8FM-1926-SM-7MXTX 50-59 years, female 205.4
GTEX-Q734-0126-SM-48U1E 40-49 years, female 203.9
GTEX-1JMLX-1126-SM-CXZJN 50-59 years, male 203.8
GTEX-17HGU-0126-SM-7DHLV 50-59 years, male 203.1
GTEX-QEG5-1826-SM-CE6QW 20-29 years, male 202.1
GTEX-ZPCL-0826-SM-DNZZ7 60-69 years, female 202.1
GTEX-1I1GP-1826-SM-C1YS1 50-59 years, male 201.6
GTEX-X4LF-0126-SM-4QAS7 50-59 years, male 201.2
GTEX-VUSG-1526-SM-4KKZH 50-59 years, male 200.8
GTEX-1NUQO-0626-SM-E6CQT 20-29 years, female 199.5
GTEX-ZTSS-0326-SM-5987M 40-49 years, male 197.8
GTEX-U3ZN-0826-SM-4DXSZ 30-39 years, female 197.1
GTEX-WQUQ-0126-SM-4OOSS 60-69 years, male 196.9
GTEX-14E6E-0126-SM-73KXH 30-39 years, male 195.8
GTEX-S4Q7-0226-SM-4AD5O 20-29 years, male 195.7
GTEX-1M5QR-1726-SM-EV7AU 40-49 years, male 195.7
GTEX-14JG6-0126-SM-68726 30-39 years, female 195.6
GTEX-12WSK-0326-SM-5GCOJ 40-49 years, female 195.5
GTEX-1B8KE-0926-SM-7189I 50-59 years, male 195.3
GTEX-1GF9V-2026-SM-9JGHS 60-69 years, male 194.9
GTEX-1BAJH-2626-SM-7EPG6 70-79 years, male 194.5
GTEX-PLZ5-0326-SM-3P614 50-59 years, male 192.6
GTEX-11XUK-0126-SM-5CVLK 40-49 years, female 191.9
GTEX-1B8L1-1326-SM-7MKG6 60-69 years, male 191.9
GTEX-1EKGG-2126-SM-7MKFT 60-69 years, male 191.4
GTEX-TMMY-0126-SM-4DXTP 40-49 years, female 191.1
GTEX-145LT-0126-SM-5S2QJ 40-49 years, male 191.0
GTEX-WHPG-1526-SM-4M1ZK 50-59 years, male 189.7
GTEX-T6MO-0126-SM-4DM6X 40-49 years, female 189.3
GTEX-13O3O-1626-SM-5KM1O 60-69 years, female 188.9
GTEX-13O61-0126-SM-5KM4P 60-69 years, male 187.0
GTEX-PWCY-0226-SM-48TD8 20-29 years, female 187.0
GTEX-1211K-0126-SM-59HJE 60-69 years, female 186.1
GTEX-QMRM-0126-SM-CJI1R 50-59 years, male 186.1
GTEX-13111-0326-SM-5DUXF 50-59 years, male 186.0
GTEX-1HKZK-0126-SM-B2LWF 40-49 years, male 184.5
GTEX-14DAR-1726-SM-664MZ 50-59 years, male 184.4
GTEX-P4QT-1326-SM-3NMD3 50-59 years, female 184.1
GTEX-P4QS-1326-SM-3NMCD 60-69 years, male 184.0
GTEX-131YS-2026-SM-5P9J8 60-69 years, female 182.7
GTEX-OHPK-1326-SM-3MJGN 50-59 years, female 182.6
GTEX-13PL7-1026-SM-5MR5C 60-69 years, female 182.2
GTEX-14H4A-0226-SM-5SI6Q 40-49 years, female 182.1
GTEX-Q2AI-0226-SM-48U1D 40-49 years, male 182.0
GTEX-14PJ6-0126-SM-686Z5 60-69 years, female 181.1
GTEX-111YS-0126-SM-5987T 60-69 years, male 180.4
GTEX-S3XE-0126-SM-4AD4R 50-59 years, male 180.1
GTEX-1LNCM-0826-SM-DHXL6 50-59 years, female 179.0
GTEX-1F5PL-2326-SM-7MKFC 40-49 years, female 178.8
GTEX-13OW7-2726-SM-5L3HN 50-59 years, male 178.7
GTEX-11EM3-0326-SM-5A5KJ 20-29 years, female 178.0
GTEX-S341-0126-SM-4AD64 40-49 years, female 177.5
GTEX-1399U-0226-SM-5P9J2 50-59 years, female 176.9
GTEX-15DYW-2126-SM-6M47B 60-69 years, female 176.9
GTEX-ZA64-0226-SM-5HL9C 20-29 years, male 176.9
GTEX-1J8EW-1826-SM-C1YQW 60-69 years, female 176.8
GTEX-ZT9X-0126-SM-4YCFC 40-49 years, male 176.0
GTEX-131XF-0126-SM-5DUVF 60-69 years, male 175.3
GTEX-13D11-0426-SM-5LZYA 50-59 years, female 175.0
GTEX-15EU6-0326-SM-6M48I 50-59 years, male 175.0
GTEX-12WSJ-0126-SM-5GCOM 40-49 years, female 174.3
GTEX-ZYFG-0926-SM-5BC5U 60-69 years, female 173.8
GTEX-1122O-0326-SM-5H124 60-69 years, female 173.5
GTEX-1CB4F-0126-SM-9JGGZ 60-69 years, male 173.4
GTEX-1F88F-1526-SM-9JGG1 60-69 years, female 173.3
GTEX-1HC8U-0226-SM-9WG7Q 40-49 years, female 173.2
GTEX-1JKYN-0126-SM-AHZ4C 30-39 years, male 173.0
GTEX-14C38-1726-SM-5RQJC 50-59 years, male 172.8
GTEX-S32W-0126-SM-4AD61 50-59 years, female 172.8
GTEX-11TT1-0126-SM-5LUAA 20-29 years, male 172.2
GTEX-VJYA-0526-SM-4KL1R 60-69 years, male 171.9
GTEX-S4Z8-0126-SM-4GICC 60-69 years, male 171.7
GTEX-QDVJ-1126-SM-48U1U 50-59 years, male 171.6
GTEX-11EQ9-0126-SM-5986I 30-39 years, male 171.4
GTEX-1AX8Z-2426-SM-72D7D 60-69 years, male 170.6
GTEX-XYKS-0926-SM-4BRVG 60-69 years, female 170.3
GTEX-11DXZ-0226-SM-5EGGZ 50-59 years, male 169.5
GTEX-WY7C-0326-SM-4OND5 50-59 years, male 168.0
GTEX-ZLWG-0126-SM-4WWC5 50-59 years, female 168.0
GTEX-1AX9J-0626-SM-72D7L 60-69 years, male 167.7
GTEX-12BJ1-0526-SM-5FQUD 60-69 years, male 167.6
GTEX-ZEX8-0626-SM-DO118 50-59 years, male 167.4
GTEX-145MN-0226-SM-5QGPY 30-39 years, male 167.3
GTEX-1PPH8-0826-SM-DTX9T 20-29 years, male 167.0
GTEX-ZVT2-0826-SM-5GIEO 50-59 years, female 166.8
GTEX-13O1R-2326-SM-5IJF9 60-69 years, male 166.6
GTEX-1H1E6-1026-SM-9JGFZ 30-39 years, male 166.1
GTEX-16NGA-0126-SM-72D6U 40-49 years, female 166.0
GTEX-QXCU-1326-SM-48FE2 50-59 years, male 165.4
GTEX-ZP4G-0126-SM-4YCE3 20-29 years, female 165.4
GTEX-18A6Q-1826-SM-72D6I 60-69 years, male 165.3
GTEX-11EMC-0526-SM-5EGJN 60-69 years, female 165.0
GTEX-ZDTT-0126-SM-4WKHA 60-69 years, male 164.1
GTEX-17HHE-0226-SM-79399 50-59 years, male 163.3
GTEX-14PK6-0126-SM-664O1 70-79 years, female 163.2
GTEX-14A5I-2126-SM-5NQA8 50-59 years, female 163.1
GTEX-QCQG-0126-SM-48U27 50-59 years, female 163.1
GTEX-OOBK-3125-SM-3LK5R 40-49 years, male 162.9
GTEX-PLZ6-0226-SM-3P61I 30-39 years, male 162.8
GTEX-YFCO-0126-SM-4W1YT 40-49 years, male 162.6
GTEX-ZVP2-0126-SM-5NQ7D 50-59 years, male 162.4
GTEX-ZF2S-0126-SM-4WKFO 50-59 years, female 162.3
GTEX-11GSP-0326-SM-5A5KW 60-69 years, female 161.7
GTEX-12WSG-0726-SM-5EGIG 50-59 years, female 161.5
GTEX-YF7O-0126-SM-5IFIR 50-59 years, male 161.5
GTEX-1RAZQ-0226-SM-EV7BK 30-39 years, male 161.4
GTEX-13FH7-0226-SM-5IFGG 50-59 years, female 161.3
GTEX-QDVN-0426-SM-48TZ6 50-59 years, male 161.2
GTEX-1LGRB-0326-SM-CNPQC 50-59 years, female 160.9
GTEX-14A5H-2126-SM-7IGNV 60-69 years, male 160.7
GTEX-14BMU-0126-SM-5S2Q9 20-29 years, female 159.6
GTEX-1I1GV-1826-SM-CNNR8 60-69 years, male 159.5
GTEX-O5YT-1326-SM-3MJGR 20-29 years, male 159.2
GTEX-1PWST-2126-SM-DPRZ5 70-79 years, male 159.0
GTEX-1I1GT-0126-SM-B2LWM 60-69 years, female 158.1
GTEX-X4EO-1726-SM-4QARN 60-69 years, female 157.5
GTEX-12ZZZ-0926-SM-5N9EQ 60-69 years, male 157.3
GTEX-PX3G-1326-SM-48U18 20-29 years, female 157.1
GTEX-18D9B-1926-SM-7KFSV 60-69 years, male 156.8
GTEX-13FTW-0126-SM-5IJED 40-49 years, male 156.2
GTEX-146FR-1526-SM-5SIB8 60-69 years, female 156.2
GTEX-15SHU-1926-SM-7KUMO 40-49 years, female 156.2
GTEX-1ICG6-0226-SM-AHZ2P 70-79 years, female 155.8
GTEX-ZZPU-1226-SM-5N9CK 50-59 years, female 155.5
GTEX-11NSD-0226-SM-5A5LR 20-29 years, male 154.9
GTEX-1A3MV-0226-SM-731FS 30-39 years, male 154.4
GTEX-1CAMR-0126-SM-79391 20-29 years, male 153.5
GTEX-1QMI2-1926-SM-EAZ4B 60-69 years, male 153.4
GTEX-16MT8-1626-SM-7EWDW 60-69 years, female 153.2
GTEX-14PJ4-0426-SM-6871F 60-69 years, male 152.9
GTEX-R55C-0226-SM-48FEO 40-49 years, male 152.7
GTEX-1PIIG-1426-SM-EXOIS 30-39 years, male 152.7
GTEX-ZLV1-0226-SM-4WWC1 60-69 years, female 152.0
GTEX-1LVAN-0826-SM-CNNPG 50-59 years, female 151.9
GTEX-12WSL-0326-SM-5CVMK 50-59 years, male 151.7
GTEX-13O21-0126-SM-5IJE8 50-59 years, male 151.7
GTEX-1IDJU-0126-SM-CNNR2 60-69 years, female 151.3
GTEX-11DXX-0126-SM-5EGH7 60-69 years, female 151.2
GTEX-REY6-1726-SM-48FDL 60-69 years, male 151.1
GTEX-1AMFI-0626-SM-731DR 50-59 years, female 151.0
GTEX-Y3IK-0226-SM-51MRJ 50-59 years, female 150.6
GTEX-147F4-2526-SM-5NQBB 50-59 years, male 150.2
GTEX-1KANB-2626-SM-EV7BF 50-59 years, male 148.2
GTEX-1KWVE-0726-SM-D4P3O 30-39 years, male 147.9
GTEX-1LG7Z-0426-SM-D4P47 30-39 years, male 147.3
GTEX-ZLFU-0826-SM-4WWBP 40-49 years, male 146.8
GTEX-1QP2A-2626-SM-EAZ3L 50-59 years, male 146.4
GTEX-12WSN-0926-SM-5GCN1 40-49 years, male 146.3
GTEX-1399R-0326-SM-5KM1X 30-39 years, male 146.1
GTEX-OHPL-1326-SM-3MJGG 60-69 years, female 146.1
GTEX-1F5PK-0826-SM-7MXVI 50-59 years, male 144.3
GTEX-OIZH-1326-SM-3NB1H 50-59 years, male 144.2
GTEX-Y5LM-0126-SM-4VBRL 40-49 years, female 144.0
GTEX-1H11D-2426-SM-9JGGN 40-49 years, male 142.5
GTEX-1I1GQ-2026-SM-ARU7F 50-59 years, male 142.5
GTEX-1GN1V-1626-SM-7PBZF 60-69 years, male 142.1
GTEX-QLQW-0226-SM-447BJ 30-39 years, male 142.0
GTEX-1EH9U-1726-SM-7P8QK 60-69 years, male 141.7
GTEX-1KXAM-0326-SM-EV7AQ 60-69 years, male 141.3
GTEX-1399S-0426-SM-5IFG5 30-39 years, female 140.3
GTEX-1K2DA-0226-SM-CGQGW 50-59 years, male 137.0
GTEX-1I1GU-0226-SM-AHZ2J 40-49 years, male 136.7
GTEX-11I78-1826-SM-5A5M4 50-59 years, female 136.5
GTEX-111CU-0126-SM-5GZWZ 50-59 years, male 136.3
GTEX-14PN3-1426-SM-686Z8 60-69 years, female 136.1
GTEX-13N11-0826-SM-5IJFP 50-59 years, female 135.5
GTEX-YB5E-0226-SM-5IFHI 40-49 years, male 135.4
GTEX-13CF3-0126-SM-5IFFM 60-69 years, female 134.6
GTEX-13OVI-1226-SM-5J2ME 60-69 years, female 133.9
GTEX-131XG-1326-SM-5DUX4 50-59 years, female 132.8
GTEX-1RQEC-1926-SM-DTX7M 60-69 years, male 132.6
GTEX-14DAQ-1826-SM-5S2VV 60-69 years, female 132.4
GTEX-1AX9K-0126-SM-7PC1B 50-59 years, male 132.2
GTEX-1QP29-0326-SM-E6CQ4 50-59 years, male 132.2
GTEX-U4B1-0126-SM-4DXSN 40-49 years, male 131.7
GTEX-ZY6K-0126-SM-5SIAM 50-59 years, male 131.5
GTEX-ZYVF-1626-SM-5N9EH 50-59 years, female 131.2
GTEX-QLQ7-0126-SM-CL55R 60-69 years, male 128.8
GTEX-1B996-2026-SM-7MKG7 60-69 years, male 128.6
GTEX-1C475-0126-SM-731DC 40-49 years, female 128.6
GTEX-R55G-0126-SM-48FDS 40-49 years, female 128.6
GTEX-ZUA1-1926-SM-5E45E 40-49 years, male 128.4
GTEX-1HCU6-1826-SM-C1YRN 60-69 years, female 127.8
GTEX-139YR-0126-SM-5IJEY 50-59 years, male 127.0
GTEX-11P7K-0126-SM-5986E 30-39 years, male 126.6
GTEX-15CHR-0626-SM-7938V 50-59 years, male 126.2
GTEX-16AAH-0226-SM-793A8 50-59 years, male 125.1
GTEX-17KNJ-0326-SM-7KFS5 50-59 years, male 125.0
GTEX-RNOR-1626-SM-EZ6MM 50-59 years, female 124.8
GTEX-O5YV-1126-SM-3LK73 60-69 years, female 124.1
GTEX-1F75I-0126-SM-9WPPW 40-49 years, male 123.8
GTEX-117YX-0126-SM-5EGH5 50-59 years, male 121.5
GTEX-1GN73-1526-SM-9WPP1 60-69 years, male 119.0
GTEX-11DXY-1626-SM-5H12L 60-69 years, male 118.8
GTEX-1CAMS-0226-SM-79397 40-49 years, female 118.4
GTEX-1J8Q3-0326-SM-CE6TD 60-69 years, male 117.3
GTEX-132AR-1726-SM-5EGHQ 50-59 years, female 115.1
GTEX-12696-0626-SM-5EGGD 60-69 years, male 113.4
GTEX-1F75A-2026-SM-9KNTR 50-59 years, male 113.1
GTEX-1GL5R-1026-SM-7P8U1 50-59 years, male 113.0
GTEX-1QPFJ-2526-SM-EXOJX 30-39 years, female 112.3
GTEX-R53T-0226-SM-48FEH 50-59 years, female 108.5
GTEX-RUSQ-0226-SM-47JWT 50-59 years, male 106.8
GTEX-1H3VY-1826-SM-9JGI4 50-59 years, male 95.7
Show allShow less

Contact

  • NEWS ARTICLES
  • PRESS ROOM

The Project

  • INTRODUCTION
  • ORGANIZATION
  • PUBLICATIONS

The Human Protein Atlas

  • DOWNLOADABLE DATA
  • LICENCE & CITATION
  • HELP & FAQ
The Human Protein Atlas project is funded
by the Knut & Alice Wallenberg Foundation.


contact@proteinatlas.org