We use cookies to enhance the usability of our website. If you continue, we'll assume that you are happy to receive all cookies. More information. Don't show this again.
EIF3D
HPA
RESOURCES
  • TISSUE
  • BRAIN
  • SINGLE CELL
  • SUBCELLULAR
  • CANCER
  • BLOOD
  • CELL LINE
  • STRUCTURE & INTERACTION
ABOUT
  • INTRODUCTION
  • HISTORY
  • ORGANIZATION
  • PUBLICATIONS
  • ANTIBODY SUBMISSION
  • ANTIBODY AVAILABILITY
  • ACKNOWLEDGMENTS
  • CONTACT
NEWS
  • NEWS ARTICLES
  • PRESS ROOM
LEARN
  • DICTIONARY
  • PROTEIN CLASSES
  • PROTEIN EVIDENCE
  • METHODS
  • EDUCATIONAL VIDEOS
DATA
  • DOWNLOADABLE DATA
  • PUBLICATION DATA
  • RELEASE HISTORY
HELP
  • ANTIBODY VALIDATION
  • ASSAYS & ANNOTATION
  • DISCLAIMER
  • HELP & FAQ
  • PRIVACY STATEMENT
  • LICENCE & CITATION
Fields »
Search result

Field
Term
Gene name
Class
Subclass
Class
Keyword
Chromosome
External id
Tissue
Cell type
Expression
Antibody panel
Tissue
Main location
Patient ID
Annotation
Tissue
Category
Tau score
Cluster
Reliability
Brain region
Category
Tau score
Brain region
Category
Tau score
Brain region
Category
Tau score
Cluster
Reliability
Tissue
Cell type
Enrichment
Cell type
Category
Tau score
Cell type
Category
Tau score
Cell type
Category
Tau score
Cell lineage
Category
Tau score
Cluster
Cluster
Location
Searches
Location
Cell line
Class
Type
Phase
Reliability
Cancer
Prognosis
Cancer
Category
Cancer
Category
Tau score
Cluster
Variants
Interacting gene (ensg_id)
Type
Number of interactions
Pathway
Category
Score
Score
Score
Validation
Validation
Validation
Validation
Antibodies
Data type
Column


  • SUMMARY

  • TISSUE

  • BRAIN

  • SINGLE CELL

  • SUBCELL

  • CANCER

  • BLOOD

  • CELL LINE

  • STRUCT & INT

  • EIF3D
TISSUE PRIMARY DATA BREAST Show tissue menu
ADIPOSE TISSUE ADRENAL GLAND AMYGDALA APPENDIX BASAL GANGLIA BONE MARROW BREAST BRONCHUS CEREBELLUM CEREBRAL CORTEX CERVIX CHOROID PLEXUS COLON DUODENUM
ENDOMETRIUM EPIDIDYMIS ESOPHAGUS FALLOPIAN TUBE GALLBLADDER HEART MUSCLE HIPPOCAMPAL FORMATION HYPOTHALAMUS KIDNEY LIVER LUNG LYMPH NODE MIDBRAIN NASOPHARYNX
ORAL MUCOSA OVARY PANCREAS PARATHYROID GLAND PITUITARY GLAND PLACENTA PROSTATE RECTUM RETINA SALIVARY GLAND SEMINAL VESICLE SKELETAL MUSCLE SKIN SMALL INTESTINE
SMOOTH MUSCLE SOFT TISSUE SPINAL CORD SPLEEN STOMACH TESTIS THYMUS THYROID GLAND TONGUE TONSIL URINARY BLADDER VAGINA
ANTIBODIES
AND
VALIDATION
Dictionary
Breast
Tissue proteome
Breast
BREAST - Expression summary
Protein expression
Breasti

On the top, protein expression in current human tissue, based on all annotated cell types, is reported with the units not detected (n), low (l), medium (m) and high (h). Underneath, protein expression in each annotated cell type are reported using the same units.

Protein expression data is based on knowledge-based annotation. For genes where more than one antibody has been used, a collective score is set.

If knowledge-based annotation could not be performed for a gene, no data is displayed here. View antibody staining data further down this page.

h
m
l
n
Adipocytes: Not detected
Glandular cells: Medium
Myoepithelial cells: Medium
RNA expressioni

A summary of mRNA expression data available for current tissue based on several datasets. The mRNA expression levels in human tissues are based on RNA-seq data generated by the Human Protein Atlas (HPA), Genotype-Tissue Expression (GTEx) portal and CAGE data generated by the FANTOM5 consortium. Consensus normalized expression levels for human tissues was created by combining the data from HPA and GTEx datasets.

The mRNA expression levels in pig are based on RNA-seq data generated by the Human Protein Atlas (HPA), and for mouse, HPA data and in situ hybridization generated by the Allen brain atlas are reported.

Scroll down to view mRNA expression data in more detail.
Consensus:178.5 nTPM
HPA:178.5 nTPM
GTEx:115.1 nTPM
FANTOM5:136.1 Scaled Tags Per Million

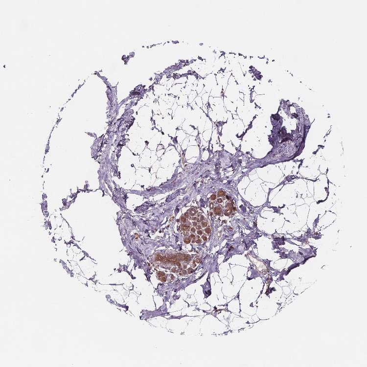
BREAST - Antibody stainingi

Antibody staining in the annotated cell types in the current human tissue is reported as not detected, low, medium, or high, based on conventional immunohistochemistry profiling in selected tissues. This score is based on the combination of the staining intensity and fraction of stained cells.

Each image is clickable and will lead to virtual microscopy that enables deeper exploration of all samples and also displays staining intensity scores, fraction scores and subcellular localization as well as patient and tissue information for each sample.

Antibody HPA063330Antibody HPA066216
Adipocytes Not detectedNot detected
Glandular cells MediumMedium
Myoepithelial cells LowMedium





BREAST - HPA RNA-seqi

The RNA-seq details section shows detailed information about the individual samples used for the transcript profiling and results of the RNA-seq analysis.

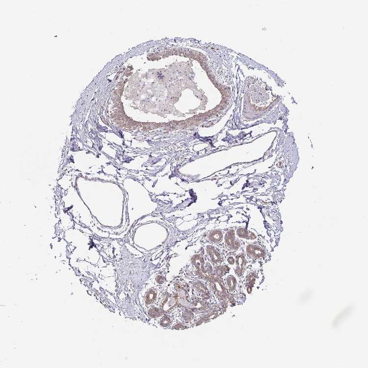
Information about each individual sample is listed below, including gender, age, a tissue section image and estimated fractions of cell types. nTPM (normalized transcripts per million) values give a quantification of the gene abundance which is comparable between different genes and samples.
Average nTPMi

Max subtype nTPM is the value for the subtype with the largest average nTPM across the subtype samples.

178.5
overview
Female, age 52
Breast sample 373
nTPM: 199.3
Cell types%
Glandular cells:
15

Adipocytes:
5

Other cell types:
80

overview
Female, age 80
Breast sample 390
nTPM: 111.5
Cell types%
Glandular cells:
5

Adipocytes:
15

Other cell types:
80

overview
Female, age 47
Breast sample 405
nTPM: 131.9
Cell types%
Glandular cells:
5

Adipocytes:
5

Other cell types:
90

overview
Female, age 38
Breast sample 410
nTPM: 271.5
Cell types%
Glandular cells:
40

Adipocytes:
5

Other cell types:
55


BREAST - GTEx RNA-seqi

RNA-Seq data generated by the Genotype-Tissue Expression (GTEx) project from human tissues is reported as mean nTPM. More information can be found on the GTEx portal.

Distribution across the dataset is visualized with box plots, shown as median and 25th and 75th percentiles. Points are displayed as outliers if they are above or below 1.5 times the interquartile range. nTPM values of the individual samples are presented next to the box plot.
Max subtype nTPMi

Max subtype nTPM is the value for the subtype with the largest average nTPM across the subtype samples.

115.1
GTEx sample id Sample description nTPM
Breast - Mammary Tissue
Average nTPM: 115.1
Samples: 459

Max nTPM: 243.2
Min nTPM: 44.7
Std nTPM: 25.1
Median nTPM: 111.2
GTEX-14H4A-2526-SM-5YYAY 40-49 years, female 243.2
GTEX-1F5PK-2126-SM-7PC28 50-59 years, male 236.7
GTEX-1N2EF-2226-SM-E9J33 60-69 years, male 205.0
GTEX-11EM3-1326-SM-5N9C6 20-29 years, female 198.4
GTEX-1NUQO-2226-SM-E9U68 20-29 years, female 195.3
GTEX-11P82-1326-SM-5HL62 20-29 years, male 193.7
GTEX-1CB4J-1826-SM-7EWF9 60-69 years, male 191.7
GTEX-1IE54-0626-SM-ARL8D 40-49 years, female 186.6
GTEX-1CAMS-1426-SM-7IGPM 40-49 years, female 182.5
GTEX-ZXES-0826-SM-5E43C 30-39 years, female 180.0
GTEX-1R9JW-0326-SM-EAZ45 30-39 years, female 178.3
GTEX-1ICLY-1726-SM-B2LVT 50-59 years, male 177.3
GTEX-1399U-1826-SM-5PNZ1 50-59 years, female 176.6
GTEX-14AS3-1626-SM-5S2OY 40-49 years, female 175.2
GTEX-ZLFU-2126-SM-DO931 40-49 years, male 173.7
GTEX-14E6C-1326-SM-62LEQ 40-49 years, male 169.5
GTEX-1B8SG-1226-SM-7IGPF 50-59 years, male 169.5
GTEX-ZVT2-1826-SM-5NQ8W 50-59 years, female 167.6
GTEX-17MF6-0326-SM-7EPH5 40-49 years, male 163.6
GTEX-1JJE9-2326-SM-ARL8Q 70-79 years, male 163.1
GTEX-16NGA-0826-SM-718AF 40-49 years, female 161.5
GTEX-14PN4-0626-SM-62LFP 50-59 years, male 160.4
GTEX-1IDJH-2226-SM-E6CJV 70-79 years, male 160.4
GTEX-ZVE2-1226-SM-5NQ8R 50-59 years, male 159.8
GTEX-1S82Z-0726-SM-E6CHX 30-39 years, female 159.5
GTEX-12WSK-2226-SM-5GCO5 40-49 years, female 158.1
GTEX-ZA64-1526-SM-5CVMD 20-29 years, male 158.1
GTEX-1ICLZ-0426-SM-B2LW2 60-69 years, male 158.1
GTEX-14BMU-1626-SM-5TDE7 20-29 years, female 157.0
GTEX-1I19N-2826-SM-CL55D 70-79 years, male 153.9
GTEX-13PVQ-1026-SM-5KM3M 50-59 years, male 153.4
GTEX-1JKYR-0926-SM-CMKGJ 20-29 years, male 152.9
GTEX-1IKOE-1326-SM-CE6T6 30-39 years, female 152.6
GTEX-13D11-1026-SM-5IJFB 50-59 years, female 151.6
GTEX-13SLW-2526-SM-62LDQ 70-79 years, male 151.5
GTEX-1JN1M-3026-SM-CMKGK 60-69 years, female 150.9
GTEX-1HCUA-0726-SM-ACKVU 50-59 years, female 149.5
GTEX-133LE-1726-SM-5K7VQ 20-29 years, female 149.2
GTEX-ZLWG-1926-SM-DO92J 50-59 years, female 149.2
GTEX-RU1J-0626-SM-4WAWY 20-29 years, female 148.7
GTEX-12KS4-0126-SM-5Q5A5 30-39 years, male 147.9
GTEX-1GZ4H-0326-SM-7P8QX 50-59 years, female 147.2
GTEX-183WM-0726-SM-7LTAA 70-79 years, female 146.7
GTEX-ZYW4-0826-SM-5GIDG 60-69 years, male 146.6
GTEX-ZAB4-2526-SM-5HL8M 40-49 years, male 146.4
GTEX-UTHO-1026-SM-3GAF7 60-69 years, male 146.3
GTEX-1F5PL-1026-SM-7RHI1 40-49 years, female 146.3
GTEX-11TT1-2126-SM-5GU5Y 20-29 years, male 146.2
GTEX-T6MO-0326-SM-32QOK 40-49 years, female 145.4
GTEX-T2IS-1526-SM-32QPR 20-29 years, female 145.3
GTEX-1MCC2-2126-SM-EWRON 30-39 years, female 145.0
GTEX-14PKU-0426-SM-6EU1P 40-49 years, female 144.8
GTEX-1I6K6-0826-SM-ARL7Z 30-39 years, male 143.9
GTEX-132Q8-1426-SM-5EGK7 60-69 years, male 143.7
GTEX-TMMY-0726-SM-33HBE 40-49 years, female 143.7
GTEX-14PJO-0726-SM-69LO8 60-69 years, male 143.2
GTEX-Y8E4-1626-SM-5S2MW 40-49 years, male 143.2
GTEX-1QP28-1226-SM-E9J2M 50-59 years, female 143.1
GTEX-1I1GT-1126-SM-ARL7J 60-69 years, female 142.5
GTEX-1AMEY-1026-SM-718AA 30-39 years, female 142.3
GTEX-1QPFJ-2026-SM-EVYBE 30-39 years, female 142.2
GTEX-11WQK-2426-SM-5GU5C 50-59 years, male 141.9
GTEX-1S82U-1126-SM-E9U6I 30-39 years, female 141.5
GTEX-ZQUD-1926-SM-51MSA 30-39 years, male 140.2
GTEX-1GPI7-0926-SM-7PC3J 20-29 years, male 140.2
GTEX-1HCU7-1026-SM-ADEIP 50-59 years, male 139.0
GTEX-1R7EV-1526-SM-E8VOD 40-49 years, male 138.9
GTEX-REY6-2426-SM-48FF5 60-69 years, male 138.8
GTEX-XGQ4-0926-SM-4AT4U 50-59 years, male 138.8
GTEX-1JJEA-2726-SM-ARL8V 60-69 years, male 138.2
GTEX-14ABY-2126-SM-5QGQZ 50-59 years, male 137.8
GTEX-11EQ9-1826-SM-5Q5AJ 30-39 years, male 137.6
GTEX-14PHY-1926-SM-5YY95 60-69 years, female 137.1
GTEX-117YX-1426-SM-5H12H 50-59 years, male 136.7
GTEX-18A66-1726-SM-7LG5N 60-69 years, male 136.7
GTEX-13113-5013-SM-7SB7G 60-69 years, female 136.4
GTEX-13O3O-0826-SM-5K7WE 60-69 years, female 136.2
GTEX-U412-1826-SM-4DXTJ 60-69 years, male 136.0
GTEX-1POEN-0926-SM-DTX88 30-39 years, female 136.0
GTEX-ZT9W-2026-SM-51MRA 50-59 years, male 135.9
GTEX-1F75I-2026-SM-7SB7N 40-49 years, male 135.8
GTEX-14ICK-2426-SM-6EU27 40-49 years, male 135.7
GTEX-145LT-0726-SM-5S2VM 40-49 years, male 135.6
GTEX-131YS-0626-SM-5EGKL 60-69 years, female 135.5
GTEX-131XW-0726-SM-5EGK3 50-59 years, female 135.2
GTEX-1GMR2-1926-SM-9MQLZ 50-59 years, male 135.2
GTEX-13SLX-2326-SM-5ZZWE 50-59 years, female 135.0
GTEX-1HCVE-2626-SM-ADEJ8 50-59 years, male 135.0
GTEX-12BJ1-1826-SM-5HL9N 60-69 years, male 134.9
GTEX-X62O-0526-SM-EWRMA 50-59 years, male 134.2
GTEX-1JN6P-2426-SM-ARL99 60-69 years, male 133.7
GTEX-1RLM8-2226-SM-EVYD1 50-59 years, male 132.7
GTEX-1IDJE-0826-SM-CKZNZ 50-59 years, female 131.8
GTEX-1I1GP-0426-SM-COH3N 50-59 years, male 131.6
GTEX-15RJE-2626-SM-7KFT1 40-49 years, male 131.1
GTEX-1PPH7-0826-SM-E8VNX 40-49 years, male 131.1
GTEX-13O61-1826-SM-5KM4I 60-69 years, male 131.0
GTEX-13PVR-2226-SM-7DHKP 60-69 years, female 130.8
GTEX-1NHNU-0926-SM-E9J2T 50-59 years, male 130.7
GTEX-11WQC-1726-SM-5GU4W 60-69 years, male 130.6
GTEX-1MA7W-1026-SM-DKPQK 20-29 years, female 130.6
GTEX-1ICG6-1326-SM-ACKWR 70-79 years, female 130.3
GTEX-1HSGN-1526-SM-A9SMO 40-49 years, female 130.1
GTEX-1211K-1926-SM-5EQLB 60-69 years, female 129.9
GTEX-1MCYP-0126-SM-E6CIS 20-29 years, female 129.6
GTEX-11DZ1-0326-SM-5N9BN 50-59 years, male 129.5
GTEX-16BQI-1026-SM-7KUEA 30-39 years, female 129.4
GTEX-13FHO-0826-SM-5L3E8 60-69 years, male 129.3
GTEX-ZZ64-1226-SM-5E43R 20-29 years, male 129.3
GTEX-15EOM-5019-SM-793DK 20-29 years, female 129.1
GTEX-XUW1-2326-SM-4BOO5 50-59 years, female 129.1
GTEX-ZC5H-2626-SM-5J2MG 40-49 years, female 129.1
GTEX-139T8-0826-SM-5L3DE 60-69 years, male 128.0
GTEX-13CF3-2126-SM-5IFJP 60-69 years, female 128.0
GTEX-ZVT4-1026-SM-57WC4 50-59 years, female 127.9
GTEX-1HC8U-0826-SM-ADEIL 40-49 years, female 127.6
GTEX-1I4MK-1626-SM-CM2TJ 50-59 years, female 127.4
GTEX-145MF-2226-SM-7EPIR 50-59 years, male 127.1
GTEX-UJHI-1426-SM-3DB9C 50-59 years, female 126.9
GTEX-1H1ZS-0126-SM-9YFKQ 70-79 years, male 126.9
GTEX-14LLW-0626-SM-62LFC 70-79 years, female 126.8
GTEX-Y3IK-2326-SM-4WWDT 50-59 years, female 126.8
GTEX-1GN1W-1926-SM-7P8TH 50-59 years, female 126.4
GTEX-Y5LM-1726-SM-4VDSX 40-49 years, female 126.3
GTEX-1JMLX-2026-SM-CMKGN 50-59 years, male 126.3
GTEX-ZGAY-1726-SM-DO91P 40-49 years, female 126.3
GTEX-1H23P-0726-SM-9WG7K 60-69 years, male 126.2
GTEX-11TUW-1826-SM-5BC5D 60-69 years, male 126.1
GTEX-RWS6-1926-SM-47JXY 60-69 years, female 126.0
GTEX-144GM-0926-SM-5O994 20-29 years, male 125.7
GTEX-1B8KE-1226-SM-73KWK 50-59 years, male 125.4
GTEX-1LVAN-1326-SM-CNPQE 50-59 years, female 125.3
GTEX-1IDJF-2326-SM-ARL86 20-29 years, male 125.2
GTEX-1117F-2826-SM-5GZXL 60-69 years, female 124.8
GTEX-XOT4-0726-SM-4GIAW 60-69 years, female 124.8
GTEX-ZV6S-1826-SM-5NQ8D 40-49 years, female 124.7
GTEX-ZF3C-2326-SM-5S2NC 50-59 years, female 124.7
GTEX-1P4AB-1826-SM-E76PU 50-59 years, male 124.3
GTEX-1L5NE-2126-SM-CY8IH 50-59 years, male 124.2
GTEX-ZLV1-1426-SM-DO92Z 60-69 years, female 124.2
GTEX-XMD1-0826-SM-4AT52 60-69 years, male 124.0
GTEX-Y9LG-1426-SM-5IFJZ 30-39 years, male 124.0
GTEX-ZAJG-0626-SM-5HL8X 50-59 years, female 124.0
GTEX-1PPGY-1526-SM-EVYBK 60-69 years, male 124.0
GTEX-W5X1-2326-SM-3GIL6 40-49 years, female 123.9
GTEX-11P81-1926-SM-5BC53 30-39 years, female 123.8
GTEX-15UF6-0126-SM-6PAMB 70-79 years, female 123.7
GTEX-18A7A-0726-SM-7LTAI 50-59 years, female 123.3
GTEX-WXYG-2226-SM-4E3IM 50-59 years, female 123.0
GTEX-17F9E-2526-SM-7MGW2 50-59 years, male 123.0
GTEX-ZTX8-1226-SM-4YCE9 20-29 years, male 122.5
GTEX-1192X-2326-SM-5987X 50-59 years, male 122.4
GTEX-1H1DG-0526-SM-9YFLN 70-79 years, male 122.4
GTEX-SE5C-2126-SM-4BRUJ 40-49 years, female 122.1
GTEX-1JMOU-2026-SM-CMKGU 60-69 years, female 122.1
GTEX-17EUY-1926-SM-7DUF6 20-29 years, male 122.0
GTEX-139T6-1626-SM-5PNYZ 50-59 years, male 121.8
GTEX-1GN1U-0526-SM-9KNTT 50-59 years, female 121.8
GTEX-14B4R-1226-SM-5TDDT 30-39 years, male 120.6
GTEX-17EVQ-0426-SM-7LG57 70-79 years, male 120.5
GTEX-ZTTD-1026-SM-51MRD 50-59 years, male 120.5
GTEX-1IDFM-0426-SM-B2LVV 60-69 years, male 120.5
GTEX-1LVAM-0926-SM-E9TJ2 50-59 years, female 120.5
GTEX-1QP29-1726-SM-E8VMQ 50-59 years, male 120.4
GTEX-XBED-1626-SM-47JYN 60-69 years, male 120.1
GTEX-Y5V5-2126-SM-4WWFO 60-69 years, female 119.8
GTEX-1PDJ9-1126-SM-EXUSW 20-29 years, male 119.8
GTEX-1HSMO-0826-SM-ADEIV 60-69 years, male 119.7
GTEX-WOFL-0826-SM-3MJG1 60-69 years, male 119.6
GTEX-12ZZX-1126-SM-5EGKB 40-49 years, female 119.3
GTEX-17MFQ-0926-SM-7LG4S 20-29 years, male 119.3
GTEX-1OKEX-0826-SM-E9J2B 60-69 years, male 119.3
GTEX-11P7K-0726-SM-5EGKX 30-39 years, male 119.2
GTEX-13W46-0826-SM-5LU3H 50-59 years, male 119.2
GTEX-1E2YA-2726-SM-7IGPW 50-59 years, male 119.1
GTEX-X4EP-2926-SM-3P5YQ 60-69 years, female 118.5
GTEX-13O3P-0826-SM-5L3DH 50-59 years, male 118.4
GTEX-18D9A-1526-SM-7LG4J 30-39 years, female 118.2
GTEX-1GMR8-0726-SM-9KNVI 50-59 years, female 118.2
GTEX-1HBPN-2326-SM-9WPPU 50-59 years, male 117.8
GTEX-1CB4E-0226-SM-79OLW 60-69 years, male 117.7
GTEX-S4Q7-1126-SM-4AD6R 20-29 years, male 117.6
GTEX-S4UY-0726-SM-4AD6X 40-49 years, female 117.5
GTEX-1H1CY-2226-SM-9WG7E 60-69 years, female 117.2
GTEX-15ETS-0626-SM-7KUMX 40-49 years, female 117.1
GTEX-1QCLZ-2326-SM-DTXDO 60-69 years, female 117.1
GTEX-1HFI7-0126-SM-CGQFQ 50-59 years, female 117.0
GTEX-X4XY-0926-SM-4E3JD 60-69 years, male 116.7
GTEX-YFCO-1826-SM-4W1YH 40-49 years, male 116.7
GTEX-1I1GU-1026-SM-ADEHJ 40-49 years, male 116.6
GTEX-U8XE-0826-SM-4E3J1 30-39 years, male 116.5
GTEX-1HCU8-0126-SM-ADEHH 60-69 years, female 116.2
GTEX-15FZZ-0726-SM-7KUFZ 30-39 years, female 115.9
GTEX-1J8QM-2026-SM-ARZMW 60-69 years, female 115.5
GTEX-1QP9N-1826-SM-E8VMP 30-39 years, male 115.5
GTEX-1B933-2526-SM-7IGO5 50-59 years, female 115.3
GTEX-1KAFJ-0226-SM-DIPEL 50-59 years, male 115.3
GTEX-ZV7C-1826-SM-5NQ83 50-59 years, male 114.9
GTEX-S4P3-1326-SM-4AD6V 50-59 years, female 114.8
GTEX-ZF29-1926-SM-5S2P1 60-69 years, female 114.8
GTEX-1R7EU-1226-SM-E8VMR 60-69 years, male 114.6
GTEX-13W3W-1226-SM-5LU4H 60-69 years, female 114.3
GTEX-1K9T9-1426-SM-DIPFQ 50-59 years, female 114.3
GTEX-13PL6-2926-SM-5L3I2 40-49 years, female 114.2
GTEX-1QMI2-0726-SM-E9J4F 60-69 years, male 114.1
GTEX-1QW4Y-1026-SM-DTXE2 30-39 years, male 114.1
GTEX-U3ZN-1926-SM-4DXSG 30-39 years, female 114.0
GTEX-1GZHY-0726-SM-9WG6B 50-59 years, female 113.9
GTEX-1RAZS-1226-SM-E8VMT 50-59 years, male 113.7
GTEX-1J8Q2-2726-SM-A9G2X 60-69 years, male 113.4
GTEX-1GN2E-2226-SM-9WG6J 60-69 years, male 113.2
GTEX-QDT8-0626-SM-48TYW 30-39 years, female 112.7
GTEX-ZY6K-1626-SM-5GZWV 50-59 years, male 112.7
GTEX-1R46S-2526-SM-E8VN2 60-69 years, female 112.6
GTEX-11GSP-0926-SM-9WYSG 60-69 years, female 112.4
GTEX-TKQ1-0226-SM-33HB5 30-39 years, male 112.3
GTEX-111YS-1926-SM-5GICC 60-69 years, male 112.1
GTEX-183FY-1126-SM-7DHLJ 20-29 years, male 112.1
GTEX-1JMQK-2626-SM-COH2W 60-69 years, male 112.1
GTEX-1N2EE-2126-SM-E8VNN 60-69 years, male 112.1
GTEX-1AX9J-1126-SM-731B7 60-69 years, male 112.0
GTEX-13QJ3-0826-SM-7DHKK 50-59 years, male 111.9
GTEX-X15G-1626-SM-3NMB3 50-59 years, female 111.8
GTEX-WYVS-1726-SM-3NMAY 40-49 years, female 111.7
GTEX-169BO-1126-SM-7MGWN 50-59 years, male 111.6
GTEX-XYKS-1326-SM-4BRUN 60-69 years, female 111.5
GTEX-1JMPZ-1626-SM-COH31 30-39 years, male 111.5
GTEX-XUZC-1626-SM-4BRVP 30-39 years, female 111.3
GTEX-ZDTT-2126-SM-DKPOM 60-69 years, male 111.3
GTEX-ZQG8-0726-SM-5P9H9 60-69 years, female 111.2
GTEX-PSDG-1626-SM-48TCQ 50-59 years, male 111.1
GTEX-XMD2-0926-SM-4WWEF 60-69 years, female 111.1
GTEX-1LBAC-0926-SM-CXKY9 20-29 years, male 111.0
GTEX-ZZPU-0626-SM-5E43T 50-59 years, female 110.7
GTEX-13FTW-1426-SM-5LZWZ 40-49 years, male 110.5
GTEX-13FTX-1126-SM-5N9EN 20-29 years, female 110.5
GTEX-17F96-2426-SM-7IGLN 70-79 years, male 110.2
GTEX-13S86-1226-SM-5S2OA 40-49 years, male 110.0
GTEX-1KANC-1426-SM-CYPT9 50-59 years, female 109.9
GTEX-1KXAM-1026-SM-CY8IA 60-69 years, male 109.8
GTEX-18QFQ-0826-SM-718AX 30-39 years, male 109.7
GTEX-1HCU9-0326-SM-9WYSC 20-29 years, male 109.4
GTEX-13NZB-2126-SM-5MR4Y 30-39 years, male 109.0
GTEX-ZF2S-2026-SM-5E461 50-59 years, female 108.9
GTEX-145ME-1526-SM-5Q5F2 40-49 years, female 108.8
GTEX-XMK1-1126-SM-4IHJ8 40-49 years, male 108.6
GTEX-1R9PM-1826-SM-EVYBH 20-29 years, male 108.6
GTEX-WFON-1826-SM-3GILG 40-49 years, male 108.5
GTEX-13N1W-0626-SM-5MR4U 70-79 years, male 108.4
GTEX-13VXU-2826-SM-664MA 50-59 years, male 108.4
GTEX-RUSQ-2026-SM-4GIAK 50-59 years, male 108.4
GTEX-1LSNM-1326-SM-E9TJ1 50-59 years, male 108.4
GTEX-ZPIC-1126-SM-5BC7F 40-49 years, female 108.2
GTEX-1JKYN-0726-SM-ARZMY 30-39 years, male 108.2
GTEX-1MJK3-1126-SM-E9J3F 20-29 years, male 108.2
GTEX-1122O-1226-SM-5H113 60-69 years, female 108.1
GTEX-17GQL-0326-SM-7LG5U 60-69 years, male 108.1
GTEX-QMRM-1626-SM-D4P1U 50-59 years, male 107.9
GTEX-WI4N-1426-SM-3LK7H 40-49 years, female 107.8
GTEX-ZVZQ-0826-SM-51MRF 60-69 years, female 107.4
GTEX-12WSN-1326-SM-5GCNT 40-49 years, male 107.3
GTEX-1IDJU-1826-SM-CMKHV 60-69 years, female 107.2
GTEX-1R9PN-0326-SM-DTX85 40-49 years, female 107.2
GTEX-1GF9X-1026-SM-ACKX2 40-49 years, female 107.1
GTEX-1M5QR-2526-SM-E9U5P 40-49 years, male 107.0
GTEX-YB5E-1726-SM-5IFJ3 40-49 years, male 106.8
GTEX-18A7B-2626-SM-7LG55 70-79 years, male 106.6
GTEX-11GSO-1926-SM-5A5K3 60-69 years, male 106.5
GTEX-1AX8Z-0926-SM-731AW 60-69 years, male 106.4
GTEX-1LGRB-1826-SM-CNPQL 50-59 years, female 106.1
GTEX-ZEX8-2226-SM-57WC6 50-59 years, male 106.0
GTEX-14PJ4-2126-SM-6ETZJ 60-69 years, male 105.9
GTEX-1CAMR-1426-SM-793BO 20-29 years, male 105.9
GTEX-12WSM-1726-SM-5BC6J 60-69 years, male 105.6
GTEX-17KNJ-2026-SM-7LG53 50-59 years, male 105.6
GTEX-15G19-2126-SM-6M48J 60-69 years, male 105.4
GTEX-1KD4Q-2326-SM-D4P3M 40-49 years, male 105.4
GTEX-1NV8Z-2826-SM-E8VME 60-69 years, male 105.4
GTEX-WYJK-1326-SM-3NB2T 50-59 years, male 105.3
GTEX-R55D-0826-SM-48FEA 50-59 years, male 105.2
GTEX-1314G-1226-SM-5BC6D 30-39 years, male 105.1
GTEX-1QCLY-1626-SM-DTXDW 30-39 years, male 105.0
GTEX-1LSVX-2426-SM-E6CJX 60-69 years, male 104.9
GTEX-VJWN-0726-SM-3GIJ8 50-59 years, female 104.8
GTEX-1C475-1226-SM-7SB72 40-49 years, female 104.8
GTEX-QVJO-1826-SM-447C9 60-69 years, female 104.5
GTEX-11PRG-0826-SM-5EQ6A 50-59 years, male 104.3
GTEX-RU72-0626-SM-46MUI 50-59 years, female 104.3
GTEX-ZDYS-1126-SM-5K7UB 50-59 years, male 104.2
GTEX-1MJK2-2226-SM-EVYCR 50-59 years, male 103.9
GTEX-11EMC-2026-SM-5A5JV 60-69 years, female 103.8
GTEX-1KANA-2026-SM-DIPFB 20-29 years, male 103.8
GTEX-15ER7-1626-SM-6PAMZ 20-29 years, female 103.7
GTEX-1M4P7-2626-SM-E9U5F 60-69 years, male 103.7
GTEX-11ONC-2126-SM-5HL6E 60-69 years, male 103.6
GTEX-1IOXB-1926-SM-ARL8E 50-59 years, male 103.6
GTEX-YB5K-1626-SM-5IFIN 40-49 years, female 103.4
GTEX-1JMPY-0526-SM-CL54O 30-39 years, male 103.3
GTEX-1GF9U-1726-SM-7MGY5 40-49 years, female 103.2
GTEX-1GMRU-0826-SM-9WYT7 50-59 years, male 103.2
GTEX-1HT8W-2226-SM-CGQEC 30-39 years, male 103.2
GTEX-145MO-0826-SM-5NQBL 60-69 years, male 103.1
GTEX-117XS-1926-SM-5GICO 60-69 years, male 102.9
GTEX-145MN-1926-SM-5SIAI 30-39 years, male 102.9
GTEX-1H3VY-0926-SM-ACKXE 50-59 years, male 102.9
GTEX-1K2DA-1726-SM-CGQGS 50-59 years, male 102.9
GTEX-Y5V6-2126-SM-4WWFX 60-69 years, male 102.7
GTEX-S32W-2026-SM-4AD6E 50-59 years, female 102.6
GTEX-Z9EW-1526-SM-EZ6LU 40-49 years, male 102.5
GTEX-11I78-2226-SM-5PNYA 50-59 years, female 102.4
GTEX-1269C-2426-SM-5FQSN 60-69 years, female 102.2
GTEX-1A3MX-2726-SM-718B6 60-69 years, male 102.2
GTEX-X261-0626-SM-3NMD9 50-59 years, male 102.0
GTEX-1A8G7-2426-SM-731AK 60-69 years, male 101.9
GTEX-1C64O-0726-SM-7DUFU 60-69 years, male 101.7
GTEX-1CB4G-2326-SM-79OOI 60-69 years, male 101.7
GTEX-1HBPM-0126-SM-ARL9E 60-69 years, female 101.6
GTEX-11DXZ-1926-SM-5GZZL 50-59 years, male 101.4
GTEX-1KD5A-1926-SM-DKPQA 50-59 years, male 101.4
GTEX-11OF3-1926-SM-59889 60-69 years, male 101.3
GTEX-14753-2426-SM-5LU8U 60-69 years, male 101.3
GTEX-11NV4-2026-SM-5N9DG 60-69 years, male 101.2
GTEX-139TU-0626-SM-5KM3X 60-69 years, male 101.2
GTEX-1B97I-0426-SM-79OL7 40-49 years, male 101.2
GTEX-YFC4-1426-SM-5IFJG 40-49 years, female 101.0
GTEX-ZTPG-2826-SM-57WGA 20-29 years, female 100.7
GTEX-17F97-2526-SM-7EWDV 50-59 years, male 100.6
GTEX-15UF7-0726-SM-6M46D 40-49 years, male 100.1
GTEX-13OW8-0226-SM-5K7UP 60-69 years, male 100.0
GTEX-147F4-2826-SM-5NQBN 50-59 years, male 100.0
GTEX-14DAR-1326-SM-7DUEG 50-59 years, male 100.0
GTEX-1HR98-0426-SM-COH36 60-69 years, male 99.6
GTEX-1C6VS-0726-SM-7EPHF 60-69 years, male 99.5
GTEX-Q2AG-0326-SM-48U1O 40-49 years, female 99.5
GTEX-VUSG-2226-SM-4KKZO 50-59 years, male 99.4
GTEX-1I1HK-2426-SM-ADEHX 60-69 years, male 99.3
GTEX-1EN7A-1426-SM-7PBY4 40-49 years, male 99.2
GTEX-1HR9M-2426-SM-ACKXI 60-69 years, male 99.2
GTEX-11ZTT-2326-SM-5EQLG 60-69 years, female 99.0
GTEX-14A5I-0726-SM-5TDEB 50-59 years, female 99.0
GTEX-14BMV-0626-SM-793AU 50-59 years, male 98.8
GTEX-1C6VQ-0426-SM-79OOX 50-59 years, male 98.4
GTEX-17F98-0526-SM-79OK5 40-49 years, female 98.3
GTEX-WYBS-0926-SM-3NM94 60-69 years, female 98.3
GTEX-U3ZH-1426-SM-4DXSR 30-39 years, male 97.7
GTEX-XV7Q-2326-SM-4BRVZ 40-49 years, female 97.5
GTEX-ZVTK-0326-SM-51MRR 20-29 years, male 97.3
GTEX-1LG7Z-0726-SM-CXKYD 30-39 years, male 97.2
GTEX-QEL4-2126-SM-447AE 50-59 years, male 96.9
GTEX-TKQ2-1826-SM-33HB2 50-59 years, male 96.7
GTEX-11O72-2126-SM-5N9FO 40-49 years, male 96.4
GTEX-13QIC-2326-SM-5LU5N 60-69 years, female 96.2
GTEX-1HUB1-1626-SM-CM2SL 60-69 years, male 96.0
GTEX-1GPI6-0626-SM-7RHHJ 60-69 years, male 95.8
GTEX-S341-1526-SM-4AD6K 40-49 years, female 95.7
GTEX-15SHW-1326-SM-6PAL8 60-69 years, male 95.6
GTEX-R3RS-0626-SM-48FE1 40-49 years, female 95.3
GTEX-YECK-0726-SM-EZ6LV 60-69 years, male 95.1
GTEX-11DXY-2326-SM-5GICW 60-69 years, male 94.9
GTEX-ZWKS-2826-SM-5NQ74 30-39 years, male 94.9
GTEX-YEC3-1026-SM-5IFI5 50-59 years, male 94.8
GTEX-1N5O9-1126-SM-DTXEQ 60-69 years, male 94.7
GTEX-QEG5-0726-SM-D4P1T 20-29 years, male 94.5
GTEX-Y114-2026-SM-4TT7L 50-59 years, female 94.2
GTEX-1LC47-1226-SM-D4P44 60-69 years, male 94.0
GTEX-1AX9I-0726-SM-73KWV 60-69 years, male 93.8
GTEX-1B932-0826-SM-73KXG 40-49 years, female 93.8
GTEX-11ZUS-0826-SM-5FQUY 30-39 years, male 93.7
GTEX-1JK1U-1826-SM-ARL8W 60-69 years, male 93.7
GTEX-13OW5-2226-SM-5L3HC 60-69 years, male 93.6
GTEX-17JCI-0726-SM-7EPH1 60-69 years, female 93.6
GTEX-1H1E6-0926-SM-9YFLT 30-39 years, male 93.5
GTEX-11NSD-0926-SM-5N9DR 20-29 years, male 93.4
GTEX-11LCK-2426-SM-5HL5F 30-39 years, male 93.3
GTEX-1HSEH-2026-SM-ADEHN 60-69 years, male 93.0
GTEX-13FTY-2226-SM-5J1ND 40-49 years, female 92.8
GTEX-T2YK-2226-SM-32QPT 50-59 years, male 92.7
GTEX-ZUA1-1526-SM-59HLS 40-49 years, male 92.7
GTEX-1IGQW-0926-SM-ADEH6 60-69 years, male 92.7
GTEX-11EI6-0626-SM-5985T 60-69 years, male 92.5
GTEX-1BAJH-0826-SM-7EWEF 70-79 years, male 92.4
GTEX-1IKJJ-2326-SM-COH3U 60-69 years, male 92.4
GTEX-1C6WA-2426-SM-7SB86 60-69 years, male 92.3
GTEX-1J8EW-2626-SM-CL53E 60-69 years, female 92.2
GTEX-V955-2026-SM-3GAFA 60-69 years, male 92.1
GTEX-1F75B-0626-SM-7SB8A 50-59 years, male 92.1
GTEX-13CF2-2026-SM-5K7VI 60-69 years, male 92.0
GTEX-13O3Q-2226-SM-5KM4O 50-59 years, male 91.9
GTEX-1H4P4-2226-SM-9MQKQ 50-59 years, male 91.8
GTEX-17HG3-0126-SM-7IGNH 30-39 years, female 91.7
GTEX-1IKOH-2326-SM-CM2TW 60-69 years, female 91.7
GTEX-1RAZQ-1226-SM-EWRNL 30-39 years, male 91.7
GTEX-TML8-1226-SM-32QON 40-49 years, female 91.5
GTEX-1I6K7-1026-SM-A9SLK 40-49 years, male 91.4
GTEX-XQ3S-1326-SM-4BOPQ 20-29 years, male 91.2
GTEX-WRHU-0326-SM-3MJFY 50-59 years, female 90.8
GTEX-ZU9S-1926-SM-5NQBP 30-39 years, male 90.8
GTEX-13N11-1726-SM-5J1OJ 50-59 years, female 90.7
GTEX-ZYT6-0126-SM-5E45J 30-39 years, male 90.7
GTEX-18A6Q-0926-SM-7LG4N 60-69 years, male 90.1
GTEX-1QEPI-0926-SM-DTXF3 60-69 years, female 90.1
GTEX-1H11D-1526-SM-9MQJY 40-49 years, male 90.0
GTEX-WY7C-2726-SM-3NB3P 50-59 years, male 89.8
GTEX-14E7W-0826-SM-62LEJ 70-79 years, male 89.7
GTEX-1B8KZ-1526-SM-7DUG7 50-59 years, male 89.4
GTEX-1GMR3-2626-SM-7RHHG 40-49 years, male 89.3
GTEX-132NY-0826-SM-5K7Y7 60-69 years, male 89.0
GTEX-1LNCM-0226-SM-DIPF4 50-59 years, female 89.0
GTEX-S7SE-0826-SM-4AT4D 50-59 years, male 88.8
GTEX-ZYFC-0826-SM-5E44K 50-59 years, male 88.8
GTEX-17HHE-1426-SM-7EPH4 50-59 years, male 88.6
GTEX-UPK5-2326-SM-3P5Z8 40-49 years, male 88.6
GTEX-1HKZK-1826-SM-ADEJ2 40-49 years, male 88.2
GTEX-ZAK1-1326-SM-EVYAS 50-59 years, female 88.2
GTEX-13NZ8-0126-SM-5IJCT 60-69 years, female 88.1
GTEX-1J8Q3-1326-SM-CMKI1 60-69 years, male 87.7
GTEX-132AR-0826-SM-5EGK6 50-59 years, female 87.6
GTEX-1A3MV-1626-SM-731C1 30-39 years, male 87.2
GTEX-11GS4-2126-SM-5A5KR 60-69 years, male 86.8
GTEX-1MA7X-1626-SM-E9U5B 60-69 years, male 86.7
GTEX-Y111-2026-SM-4SOJA 50-59 years, male 86.6
GTEX-WHSB-1926-SM-EXOHH 50-59 years, male 86.4
GTEX-13NZ9-1026-SM-5MR5K 50-59 years, male 86.1
GTEX-T5JW-2026-SM-4DM63 20-29 years, female 86.1
GTEX-1EKGG-2626-SM-7IGPY 60-69 years, male 85.9
GTEX-XQ8I-2426-SM-4WAXY 50-59 years, male 85.6
GTEX-1I1GV-2426-SM-CGQFM 60-69 years, male 85.4
GTEX-146FH-0826-SM-5SI8T 50-59 years, female 84.3
GTEX-14E6E-1326-SM-5S2NR 30-39 years, male 84.2
GTEX-1F6I4-2526-SM-7SB8F 60-69 years, male 83.4
GTEX-1RQEC-2026-SM-DTXDM 60-69 years, male 83.4
GTEX-1EU9M-2826-SM-7EWFH 60-69 years, male 83.2
GTEX-WFG8-2026-SM-EXOHO 20-29 years, male 83.1
GTEX-YJ8O-2226-SM-5IFHW 40-49 years, female 82.7
GTEX-1313W-0826-SM-5EQ4T 50-59 years, female 82.4
GTEX-R53T-1526-SM-48FEK 50-59 years, female 82.0
GTEX-17HGU-1326-SM-79OKB 50-59 years, male 81.9
GTEX-Y3I4-1526-SM-4TT7K 50-59 years, male 81.5
GTEX-1GZ2Q-2626-SM-7MXV9 40-49 years, male 81.2
GTEX-1GZ4I-2826-SM-9MQK5 50-59 years, male 80.8
GTEX-T6MN-0726-SM-32PML 50-59 years, male 80.5
GTEX-17EVP-0226-SM-79OND 40-49 years, male 80.4
GTEX-T5JC-2126-SM-32PMO 20-29 years, male 80.3
GTEX-1B8L1-2426-SM-9WYTE 60-69 years, male 80.2
GTEX-ZDXO-0126-SM-5S2ND 60-69 years, male 80.0
GTEX-11DXW-0626-SM-5N9ER 40-49 years, male 79.9
GTEX-18465-2026-SM-718AP 50-59 years, male 79.4
GTEX-16YQH-2826-SM-6PAMY 30-39 years, male 79.0
GTEX-17HHY-0926-SM-793C1 50-59 years, male 78.6
GTEX-1LSNL-2826-SM-E9U5L 50-59 years, male 78.1
GTEX-1F75A-1826-SM-7SB8G 50-59 years, male 77.3
GTEX-1EWIQ-1726-SM-7SB7T 70-79 years, female 77.2
GTEX-1IY9M-2726-SM-CMKG5 60-69 years, male 76.6
GTEX-1B97J-0426-SM-79OLQ 50-59 years, female 75.8
GTEX-1GF9V-2526-SM-7SB8K 60-69 years, male 75.8
GTEX-1HSKV-2026-SM-CMKGX 60-69 years, male 73.8
GTEX-Y8LW-1626-SM-5IFHX 50-59 years, female 70.1
GTEX-144GL-2026-SM-5LU3O 50-59 years, male 70.0
GTEX-S33H-0326-SM-4AD6N 30-39 years, male 44.7
Show allShow less

BREAST - FANTOM5 CAGEi

RNA expression in human tissues obtained through Cap Analysis of Gene Expression (CAGE) generated by the FANTOM5 project are reported as Scaled Tags Per Million.

Max subtype Scaled Tags Per Millioni

Max subtype Scaled Tags Per Million is the value for the subtype with the largest average Scaled Tags Per Million across the subtype samples.

136.1
FANTOM5 sample id Sample description Scaled Tags Per Million
Breast
Scaled Tags Per Million: 136.1
FF:10080-102A8 77 years, female 136.1

Contact

  • NEWS ARTICLES
  • PRESS ROOM

The Project

  • INTRODUCTION
  • ORGANIZATION
  • PUBLICATIONS

The Human Protein Atlas

  • DOWNLOADABLE DATA
  • LICENCE & CITATION
  • HELP & FAQ
The Human Protein Atlas project is funded
by the Knut & Alice Wallenberg Foundation.


contact@proteinatlas.org