We use cookies to enhance the usability of our website. If you continue, we'll assume that you are happy to receive all cookies. More information. Don't show this again.
EIF3D
HPA
RESOURCES
  • TISSUE
  • BRAIN
  • SINGLE CELL
  • SUBCELLULAR
  • CANCER
  • BLOOD
  • CELL LINE
  • STRUCTURE & INTERACTION
ABOUT
  • INTRODUCTION
  • HISTORY
  • ORGANIZATION
  • PUBLICATIONS
  • ANTIBODY SUBMISSION
  • ANTIBODY AVAILABILITY
  • ACKNOWLEDGMENTS
  • CONTACT
NEWS
  • NEWS ARTICLES
  • PRESS ROOM
LEARN
  • DICTIONARY
  • PROTEIN CLASSES
  • PROTEIN EVIDENCE
  • METHODS
  • EDUCATIONAL VIDEOS
DATA
  • DOWNLOADABLE DATA
  • PUBLICATION DATA
  • RELEASE HISTORY
HELP
  • ANTIBODY VALIDATION
  • ASSAYS & ANNOTATION
  • DISCLAIMER
  • HELP & FAQ
  • PRIVACY STATEMENT
  • LICENCE & CITATION
Fields »
Search result

Field
Term
Gene name
Class
Subclass
Class
Keyword
Chromosome
External id
Tissue
Cell type
Expression
Antibody panel
Tissue
Main location
Patient ID
Annotation
Tissue
Category
Tau score
Cluster
Reliability
Brain region
Category
Tau score
Brain region
Category
Tau score
Brain region
Category
Tau score
Cluster
Reliability
Tissue
Cell type
Enrichment
Cell type
Category
Tau score
Cell type
Category
Tau score
Cell type
Category
Tau score
Cell lineage
Category
Tau score
Cluster
Cluster
Location
Searches
Location
Cell line
Class
Type
Phase
Reliability
Cancer
Prognosis
Cancer
Category
Cancer
Category
Tau score
Cluster
Variants
Interacting gene (ensg_id)
Type
Number of interactions
Pathway
Category
Score
Score
Score
Validation
Validation
Validation
Validation
Antibodies
Data type
Column


  • SUMMARY

  • TISSUE

  • BRAIN

  • SINGLE CELL

  • SUBCELL

  • CANCER

  • BLOOD

  • CELL LINE

  • STRUCT & INT

  • EIF3D
TISSUE PRIMARY DATA THYROID GLAND Show tissue menu
ADIPOSE TISSUE ADRENAL GLAND AMYGDALA APPENDIX BASAL GANGLIA BONE MARROW BREAST BRONCHUS CEREBELLUM CEREBRAL CORTEX CERVIX CHOROID PLEXUS COLON DUODENUM
ENDOMETRIUM EPIDIDYMIS ESOPHAGUS FALLOPIAN TUBE GALLBLADDER HEART MUSCLE HIPPOCAMPAL FORMATION HYPOTHALAMUS KIDNEY LIVER LUNG LYMPH NODE MIDBRAIN NASOPHARYNX
ORAL MUCOSA OVARY PANCREAS PARATHYROID GLAND PITUITARY GLAND PLACENTA PROSTATE RECTUM RETINA SALIVARY GLAND SEMINAL VESICLE SKELETAL MUSCLE SKIN SMALL INTESTINE
SMOOTH MUSCLE SOFT TISSUE SPINAL CORD SPLEEN STOMACH TESTIS THYMUS THYROID GLAND TONGUE TONSIL URINARY BLADDER VAGINA
ANTIBODIES
AND
VALIDATION
Dictionary
Thyroid gland
Tissue proteome
Thyroid gland
THYROID GLAND - Expression summary
Protein expression
Thyroid glandi

On the top, protein expression in current human tissue, based on all annotated cell types, is reported with the units not detected (n), low (l), medium (m) and high (h). Underneath, protein expression in each annotated cell type are reported using the same units.

Protein expression data is based on knowledge-based annotation. For genes where more than one antibody has been used, a collective score is set.

If knowledge-based annotation could not be performed for a gene, no data is displayed here. View antibody staining data further down this page.

h
m
l
n
Glandular cells: Medium
RNA expressioni

A summary of mRNA expression data available for current tissue based on several datasets. The mRNA expression levels in human tissues are based on RNA-seq data generated by the Human Protein Atlas (HPA), Genotype-Tissue Expression (GTEx) portal and CAGE data generated by the FANTOM5 consortium. Consensus normalized expression levels for human tissues was created by combining the data from HPA and GTEx datasets.

The mRNA expression levels in pig are based on RNA-seq data generated by the Human Protein Atlas (HPA), and for mouse, HPA data and in situ hybridization generated by the Allen brain atlas are reported.

Scroll down to view mRNA expression data in more detail.
Consensus:110.2 nTPM
HPA:110.2 nTPM
GTEx:81.5 nTPM
FANTOM5:225.8 Scaled Tags Per Million

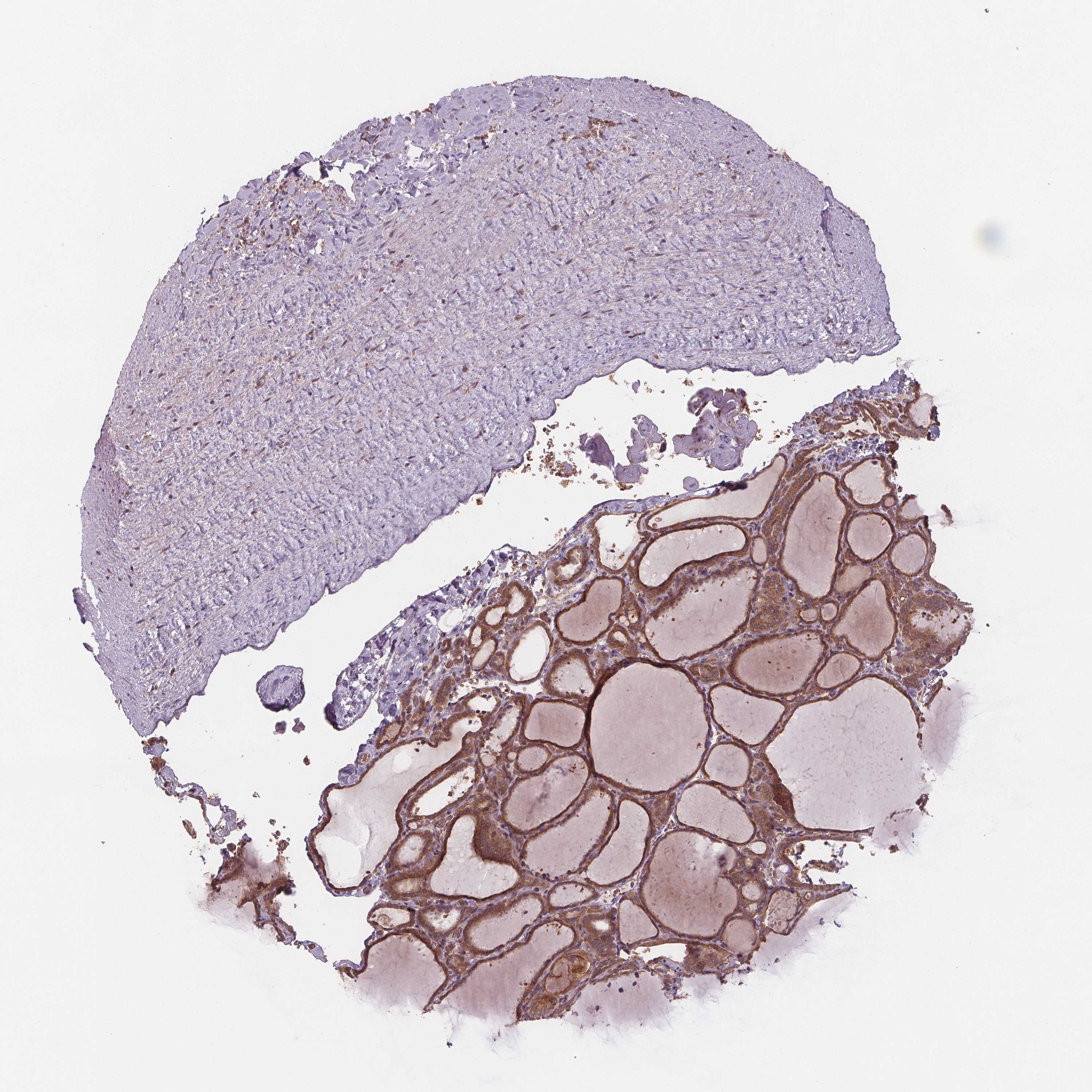
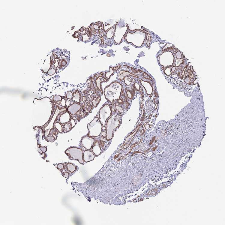
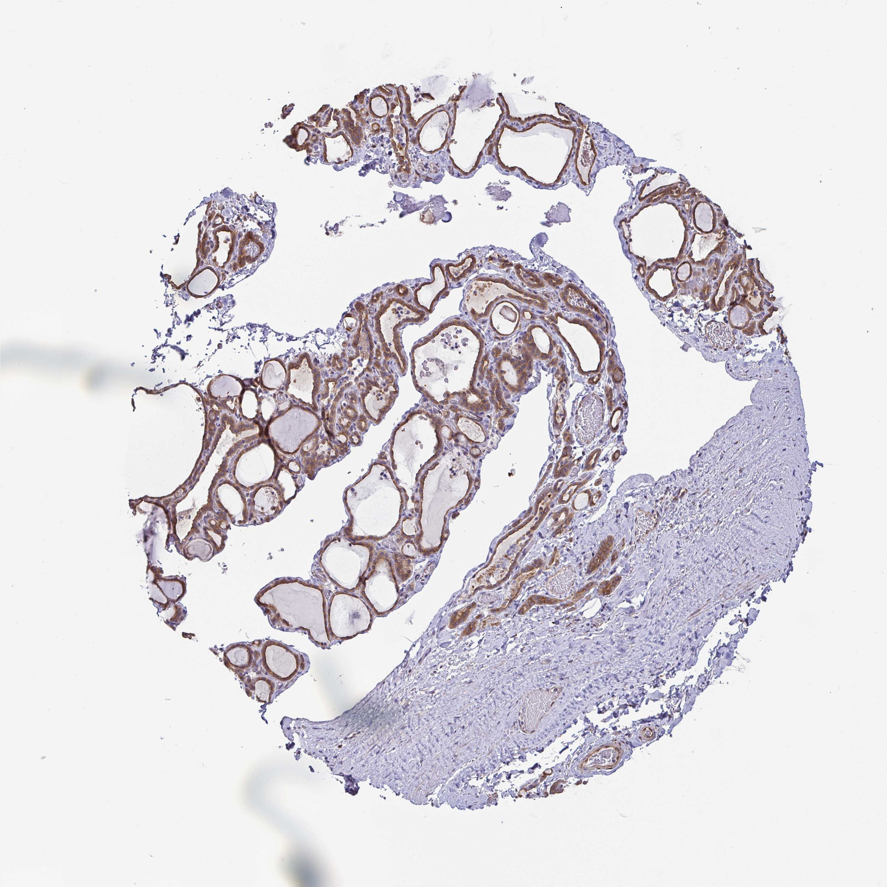
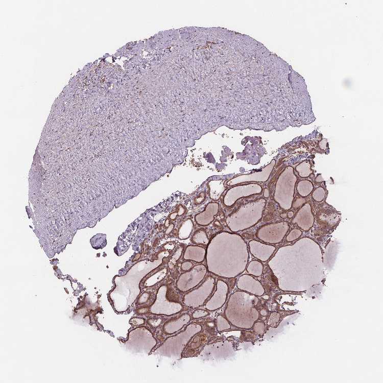
THYROID GLAND - Antibody stainingi

Antibody staining in the annotated cell types in the current human tissue is reported as not detected, low, medium, or high, based on conventional immunohistochemistry profiling in selected tissues. This score is based on the combination of the staining intensity and fraction of stained cells.

Each image is clickable and will lead to virtual microscopy that enables deeper exploration of all samples and also displays staining intensity scores, fraction scores and subcellular localization as well as patient and tissue information for each sample.

Antibody HPA063330Antibody HPA066216
Glandular cells MediumMedium




THYROID GLAND - HPA RNA-seqi

The RNA-seq details section shows detailed information about the individual samples used for the transcript profiling and results of the RNA-seq analysis.

Information about each individual sample is listed below, including gender, age, a tissue section image and estimated fractions of cell types. nTPM (normalized transcripts per million) values give a quantification of the gene abundance which is comparable between different genes and samples.
Average nTPMi

Max subtype nTPM is the value for the subtype with the largest average nTPM across the subtype samples.

110.2
overview
Female, age 20
Thyroid gland sample 249
nTPM: 143.7
Cell types%
Glandular cells:
70

Endothelial cells:
20

Other cell types:
10

overview
Female, age 55
Thyroid gland sample 250
nTPM: 108.2
Cell types%
Glandular cells:
70

Endothelial cells:
20

Other cell types:
10

overview
Female, age 58
Thyroid gland sample 251
nTPM: 113.5
Cell types%
Glandular cells:
70

Endothelial cells:
15

Other cell types:
15

overview
Female, age 48
Thyroid gland sample 252
nTPM: 90.1
Cell types%
Glandular cells:
70

Endothelial cells:
20

Other cell types:
10

overview
Male, age 21
Thyroid gland sample 363
nTPM: 95.5
Cell types%
Glandular cells:
75

Endothelial cells:
10

Other cell types:
15


THYROID GLAND - GTEx RNA-seqi

RNA-Seq data generated by the Genotype-Tissue Expression (GTEx) project from human tissues is reported as mean nTPM. More information can be found on the GTEx portal.

Distribution across the dataset is visualized with box plots, shown as median and 25th and 75th percentiles. Points are displayed as outliers if they are above or below 1.5 times the interquartile range. nTPM values of the individual samples are presented next to the box plot.
Max subtype nTPMi

Max subtype nTPM is the value for the subtype with the largest average nTPM across the subtype samples.

81.5
GTEx sample id Sample description nTPM
Thyroid
Average nTPM: 81.5
Samples: 653

Max nTPM: 188.9
Min nTPM: 41.5
Std nTPM: 17.8
Median nTPM: 77.6
GTEX-1H3VE-0826-SM-9KNVQ 40-49 years, male 188.9
GTEX-13RTJ-0326-SM-5YYAE 60-69 years, male 146.0
GTEX-11TTK-0826-SM-5N9EG 60-69 years, female 144.9
GTEX-13OVJ-0626-SM-5J2O2 50-59 years, female 137.6
GTEX-1F52S-0526-SM-7P8TP 60-69 years, female 135.9
GTEX-17F9Y-0526-SM-7EWDC 70-79 years, female 131.7
GTEX-1ICLZ-0526-SM-ARZM8 60-69 years, male 129.3
GTEX-11GSO-0626-SM-5A5LW 60-69 years, male 129.2
GTEX-183WM-2626-SM-7KFRY 70-79 years, female 129.0
GTEX-XLM4-0726-SM-4AT64 60-69 years, male 126.4
GTEX-11DZ1-2726-SM-5A5KH 50-59 years, male 126.2
GTEX-15EO6-0126-SM-6LPKJ 50-59 years, male 125.5
GTEX-1CB4H-0126-SM-7IGN2 60-69 years, female 125.3
GTEX-X261-0726-SM-EZ6MH 50-59 years, male 125.1
GTEX-RN5K-2826-SM-EZ6L3 50-59 years, female 124.6
GTEX-1192X-1126-SM-5EGGU 50-59 years, male 124.4
GTEX-15RIF-0326-SM-7KUFR 20-29 years, male 124.3
GTEX-U412-0726-SM-EVR2Y 60-69 years, male 122.8
GTEX-15D1Q-0626-SM-6AJAZ 40-49 years, male 122.3
GTEX-1C6VQ-0526-SM-7MGWD 50-59 years, male 122.2
GTEX-144GO-0126-SM-5LUAO 60-69 years, male 122.1
GTEX-1J1OQ-0526-SM-A9G2P 40-49 years, female 121.7
GTEX-1211K-0726-SM-5FQUW 60-69 years, female 120.7
GTEX-1I1GP-0326-SM-CNPQ4 50-59 years, male 120.6
GTEX-WL46-0126-SM-3TW8I 50-59 years, male 120.2
GTEX-1IE54-0926-SM-A9G2Y 40-49 years, female 119.8
GTEX-15UF6-1126-SM-6LPJ3 70-79 years, female 118.6
GTEX-13O1R-0826-SM-5J2MB 60-69 years, male 117.7
GTEX-ZXG5-0926-SM-5NQ8H 60-69 years, male 117.5
GTEX-1H1ZS-0726-SM-A9G3K 70-79 years, male 117.5
GTEX-13NYC-2426-SM-5MR3K 60-69 years, male 116.8
GTEX-17F97-0626-SM-7IGOH 50-59 years, male 116.8
GTEX-13QJ3-0926-SM-73KX5 50-59 years, male 115.2
GTEX-ZAJG-0726-SM-5HL9A 50-59 years, female 114.3
GTEX-OXRP-0326-SM-33HBJ 60-69 years, female 114.1
GTEX-PLZ4-1226-SM-2I5FE 50-59 years, female 114.0
GTEX-144GM-0226-SM-5Q5CB 20-29 years, male 113.2
GTEX-13OVI-0826-SM-5KLZ8 60-69 years, female 112.7
GTEX-ZTPG-0826-SM-5DUVC 20-29 years, female 112.6
GTEX-1JJE9-0226-SM-CY8HU 70-79 years, male 112.5
GTEX-14PQA-1226-SM-6M47A 50-59 years, female 112.1
GTEX-WYBS-1926-SM-3NM8N 60-69 years, female 111.8
GTEX-1CB4J-1426-SM-7MKFR 60-69 years, male 111.6
GTEX-1LG7Z-0526-SM-D4P3Q 30-39 years, male 111.6
GTEX-N7MS-2326-SM-2HMLD 60-69 years, male 111.0
GTEX-1S5ZU-0726-SM-EWROH 20-29 years, female 111.0
GTEX-1I1GS-0726-SM-C1YS7 60-69 years, male 110.7
GTEX-WHSE-0626-SM-4RGNF 20-29 years, male 110.4
GTEX-ZYW4-1126-SM-5SI99 60-69 years, male 110.3
GTEX-SN8G-1526-SM-4DM79 50-59 years, female 109.4
GTEX-1HSMO-0726-SM-A96TM 60-69 years, male 109.1
GTEX-1N5O9-1026-SM-DTX8Y 60-69 years, male 108.9
GTEX-1RNSC-1126-SM-E9TIP 60-69 years, male 108.9
GTEX-16YQH-0326-SM-6LPJV 30-39 years, male 107.9
GTEX-1QW4Y-0226-SM-EAZ3U 30-39 years, male 107.7
GTEX-14A6H-2426-SM-5Q5BO 30-39 years, male 107.2
GTEX-16NGA-0326-SM-718AJ 40-49 years, female 107.1
GTEX-1O9I2-1226-SM-E6CQC 50-59 years, male 106.4
GTEX-14C5O-0826-SM-5TDEG 60-69 years, male 106.0
GTEX-1MJK2-0826-SM-DTXE8 50-59 years, male 106.0
GTEX-15G1A-0326-SM-6M467 30-39 years, male 105.8
GTEX-1B933-1026-SM-7P8RO 50-59 years, female 105.7
GTEX-12BJ1-0426-SM-5FQSO 60-69 years, male 105.6
GTEX-1I1GU-0826-SM-ARZM5 40-49 years, male 105.6
GTEX-12WSK-0926-SM-5CVNQ 40-49 years, female 105.4
GTEX-1H1DF-1026-SM-9QEJ1 40-49 years, female 105.4
GTEX-1IKOH-0626-SM-CJI35 60-69 years, female 105.4
GTEX-13OW8-0126-SM-5IJE5 60-69 years, male 105.3
GTEX-15CHQ-0826-SM-69LOT 60-69 years, male 105.2
GTEX-15SHV-0426-SM-6M476 60-69 years, male 105.2
GTEX-1GMR8-0826-SM-9KNUR 50-59 years, female 105.2
GTEX-13PDP-1026-SM-5L3FA 60-69 years, male 104.8
GTEX-1B8SG-1126-SM-7IGMT 50-59 years, male 104.6
GTEX-1NV5F-0726-SM-DTXEH 60-69 years, female 104.5
GTEX-1I1GV-0726-SM-ARZLY 60-69 years, male 104.4
GTEX-1GZ2Q-0826-SM-7P8TK 40-49 years, male 103.9
GTEX-14PHW-2926-SM-6AJBA 60-69 years, female 103.5
GTEX-RNOR-0926-SM-2TF56 50-59 years, female 103.5
GTEX-145MH-0426-SM-5LU8T 50-59 years, male 103.4
GTEX-147F4-0826-SM-5QGRB 50-59 years, male 103.1
GTEX-11EQ8-0826-SM-5N9FG 60-69 years, male 102.9
GTEX-TSE9-0626-SM-3DB8B 60-69 years, female 102.9
GTEX-ZYY3-1926-SM-5GZXS 60-69 years, female 102.9
GTEX-1JMQL-0926-SM-CJI3F 50-59 years, female 102.8
GTEX-14ICL-0426-SM-5RQJ3 30-39 years, male 102.4
GTEX-1LG7Y-0626-SM-DHXJM 50-59 years, male 102.4
GTEX-U8T8-2326-SM-3DB96 60-69 years, male 102.1
GTEX-1GZ4H-0226-SM-9JGGJ 50-59 years, female 102.0
GTEX-1PIIG-2026-SM-EVR43 30-39 years, male 101.9
GTEX-13X6H-0526-SM-5LU4Q 50-59 years, female 101.8
GTEX-ZF28-0826-SM-4WKGJ 60-69 years, male 101.2
GTEX-ZA64-0426-SM-5HL96 20-29 years, male 100.9
GTEX-S7SF-0226-SM-5SI7H 20-29 years, female 100.8
GTEX-1GZ4I-0626-SM-9WPPN 50-59 years, male 100.8
GTEX-1IDJU-1626-SM-CJI4B 60-69 years, female 100.8
GTEX-12WSH-0226-SM-5GCOG 50-59 years, male 100.7
GTEX-1HB9E-0826-SM-CNNQJ 50-59 years, male 100.6
GTEX-ZF29-0726-SM-DO92H 60-69 years, female 100.6
GTEX-ZYFD-0826-SM-5NQ9A 50-59 years, male 100.4
GTEX-OHPL-2626-SM-2HMJA 60-69 years, female 100.3
GTEX-16BQI-0726-SM-6LPJZ 30-39 years, female 100.0
GTEX-Y114-0626-SM-4TT98 50-59 years, female 99.9
GTEX-11EMC-0226-SM-5EGLP 60-69 years, female 99.6
GTEX-13FLW-0326-SM-5J2M4 50-59 years, male 99.4
GTEX-17HHY-0826-SM-7EPID 50-59 years, male 99.4
GTEX-1F48J-0926-SM-7P8PZ 50-59 years, female 98.8
GTEX-16NPX-1426-SM-6LPK3 50-59 years, male 98.6
GTEX-1GL5R-0626-SM-7PBZY 50-59 years, male 98.6
GTEX-13CF3-0926-SM-5LZZC 60-69 years, female 98.5
GTEX-P44G-0626-SM-2I5EO 30-39 years, male 98.4
GTEX-13N1W-0826-SM-5MR5J 70-79 years, male 97.4
GTEX-14C39-0226-SM-5TDDW 40-49 years, male 97.4
GTEX-XBED-0126-SM-47JY7 60-69 years, male 97.0
GTEX-1313W-0726-SM-5EGK1 50-59 years, female 96.9
GTEX-T2IS-0626-SM-32QP6 20-29 years, female 96.8
GTEX-1IY9M-1026-SM-A96TG 60-69 years, male 96.6
GTEX-13YAN-0926-SM-5O9C3 60-69 years, male 96.5
GTEX-14E6E-0326-SM-73KY6 30-39 years, male 96.4
GTEX-QDVN-0626-SM-2I3FP 50-59 years, male 96.3
GTEX-14PJ6-0326-SM-6871H 60-69 years, female 96.2
GTEX-17MF6-0626-SM-7LT8D 40-49 years, male 96.2
GTEX-131YS-0726-SM-5P9G9 60-69 years, female 96.0
GTEX-1JMPY-0126-SM-CJI39 30-39 years, male 95.9
GTEX-13U4I-0526-SM-5LU59 40-49 years, female 95.7
GTEX-1PWST-0726-SM-EWRMO 70-79 years, male 95.6
GTEX-1JKYN-1126-SM-CGQG5 30-39 years, male 95.5
GTEX-OXRN-1526-SM-E6CHM 50-59 years, male 95.5
GTEX-OHPK-2626-SM-2HMK9 50-59 years, female 95.4
GTEX-WFG7-0326-SM-DKPO8 20-29 years, male 95.4
GTEX-12696-0326-SM-5EGL4 60-69 years, male 95.3
GTEX-1OJC3-0626-SM-E8VMO 20-29 years, male 95.1
GTEX-1M4P7-0626-SM-EVR51 60-69 years, male 95.0
GTEX-16MT8-0626-SM-6M47Q 60-69 years, female 94.9
GTEX-14E6C-2626-SM-5RQJP 40-49 years, male 94.8
GTEX-1HCVE-0726-SM-A96SH 50-59 years, male 94.8
GTEX-13D11-0226-SM-5LZXL 50-59 years, female 94.5
GTEX-1JN6P-0626-SM-ARZN6 60-69 years, male 94.5
GTEX-1IGQW-0626-SM-C1YR9 60-69 years, male 94.4
GTEX-1LGOU-0126-SM-EV79W 20-29 years, female 94.4
GTEX-12584-0826-SM-5FQSK 40-49 years, male 94.2
GTEX-11EI6-0726-SM-59866 60-69 years, male 94.1
GTEX-1HR98-0326-SM-CGQEL 60-69 years, male 94.1
GTEX-11O72-2326-SM-5BC7H 40-49 years, male 94.0
GTEX-11P7K-0226-SM-5986Z 30-39 years, male 94.0
GTEX-131XH-0526-SM-5DUX7 50-59 years, male 93.7
GTEX-1C475-0226-SM-7MGXM 40-49 years, female 93.7
GTEX-1PFEY-0226-SM-EVR3M 30-39 years, male 93.6
GTEX-Z93S-0526-SM-EVYB4 50-59 years, male 93.6
GTEX-13FH7-0126-SM-5KLZ1 50-59 years, female 93.2
GTEX-1PPGY-1426-SM-EVR3R 60-69 years, male 93.2
GTEX-146FR-0326-SM-5SI8U 60-69 years, female 93.1
GTEX-13FHO-0926-SM-5N9EW 60-69 years, male 93.0
GTEX-U4B1-0626-SM-3DB8L 40-49 years, male 92.9
GTEX-13PVR-0626-SM-5S2RC 60-69 years, female 92.8
GTEX-R55E-0826-SM-2TC5M 20-29 years, male 92.8
GTEX-1LGRB-1226-SM-CNNPS 50-59 years, female 92.8
GTEX-18A66-0826-SM-72D5Z 60-69 years, male 92.7
GTEX-1EX96-0126-SM-9KNVH 50-59 years, male 92.7
GTEX-Y9LG-0426-SM-4VBRT 30-39 years, male 92.3
GTEX-ZQUD-0126-SM-7EPIS 30-39 years, male 92.3
GTEX-WK11-0926-SM-3NMAU 50-59 years, male 92.2
GTEX-14A5H-0726-SM-5Q5DW 60-69 years, male 92.1
GTEX-1H2FU-0626-SM-9WPPS 60-69 years, female 92.0
GTEX-11EM3-0126-SM-5985K 20-29 years, female 91.8
GTEX-14C38-0826-SM-5S2U8 50-59 years, male 91.7
GTEX-16XZZ-0826-SM-7IGM3 60-69 years, male 91.7
GTEX-YFC4-2626-SM-5P9FQ 40-49 years, female 91.7
GTEX-ZYVF-1126-SM-5E458 50-59 years, female 91.7
GTEX-131XE-0126-SM-5LZVC 50-59 years, male 91.4
GTEX-15SB6-1526-SM-7KUMQ 50-59 years, female 91.4
GTEX-14PKU-0326-SM-6AJA7 40-49 years, female 91.3
GTEX-1GF9W-0626-SM-7MXVJ 60-69 years, male 91.2
GTEX-ZZ64-0126-SM-5GZXA 20-29 years, male 90.8
GTEX-1F75B-0826-SM-9QEIT 50-59 years, male 90.7
GTEX-11P81-0126-SM-5HL5Y 30-39 years, female 90.6
GTEX-XXEK-1326-SM-4BRV1 50-59 years, male 90.6
GTEX-1R9K4-0726-SM-EWRN2 60-69 years, male 90.4
GTEX-RVPV-1226-SM-2TF73 60-69 years, male 90.3
GTEX-11UD2-0626-SM-5GU6L 50-59 years, male 90.2
GTEX-1QAET-0226-SM-EVR3T 50-59 years, male 90.0
GTEX-11ZTT-1026-SM-5EQKF 60-69 years, female 89.9
GTEX-YB5K-0526-SM-5LUAS 40-49 years, female 89.9
GTEX-ZYT6-0426-SM-5GID3 30-39 years, male 89.7
GTEX-1GN1V-0626-SM-7P8QU 60-69 years, male 89.7
GTEX-13NZA-1026-SM-5MR48 60-69 years, male 89.6
GTEX-1IKOE-0926-SM-ARU7X 30-39 years, female 89.6
GTEX-V955-0426-SM-3GAEL 60-69 years, male 89.5
GTEX-1KAFJ-0426-SM-DHXJH 50-59 years, male 89.5
GTEX-15DDE-0626-SM-69LOK 50-59 years, female 89.1
GTEX-15SHU-0726-SM-7KUFI 40-49 years, female 89.0
GTEX-1MGNQ-0726-SM-DPRYH 40-49 years, male 89.0
GTEX-1QMI2-0826-SM-EXUT4 60-69 years, male 89.0
GTEX-18D9A-0126-SM-7KFSI 30-39 years, female 88.9
GTEX-117YX-1226-SM-5H11S 50-59 years, male 88.8
GTEX-13FXS-0726-SM-5LZXJ 50-59 years, male 88.8
GTEX-15EU6-1426-SM-6M48E 50-59 years, male 88.8
GTEX-SUCS-0226-SM-32PLQ 70-79 years, male 88.8
GTEX-TMMY-0826-SM-33HB9 40-49 years, female 88.8
GTEX-Y111-1926-SM-4SOIS 50-59 years, male 88.8
GTEX-QEG5-0826-SM-2I5GF 20-29 years, male 88.6
GTEX-1AX9I-0626-SM-72D54 60-69 years, male 88.5
GTEX-14PII-0826-SM-6871S 60-69 years, male 88.2
GTEX-16XZY-0726-SM-79OMU 70-79 years, male 88.2
GTEX-13FTY-0726-SM-5J2OH 40-49 years, female 87.7
GTEX-X4XY-0826-SM-4E3JM 60-69 years, male 87.6
GTEX-ZGAY-1026-SM-4WWBR 40-49 years, female 87.4
GTEX-1JMLX-0826-SM-CNNPP 50-59 years, male 87.4
GTEX-P4PQ-2626-SM-33HC9 60-69 years, male 87.3
GTEX-1497J-0126-SM-5Q5BK 60-69 years, male 87.2
GTEX-TKQ1-0126-SM-33HB3 30-39 years, male 87.2
GTEX-139T6-0326-SM-5J2LY 50-59 years, male 87.1
GTEX-13FTW-0626-SM-5IFEX 40-49 years, male 87.0
GTEX-14ASI-0726-SM-5Q5DC 60-69 years, male 87.0
GTEX-1JMPZ-0626-SM-CY8HY 30-39 years, male 87.0
GTEX-1LH75-0626-SM-DIPG3 50-59 years, female 86.5
GTEX-15RIE-0426-SM-7KUMH 60-69 years, male 86.3
GTEX-1JMQK-2126-SM-CY8I2 60-69 years, male 86.2
GTEX-1QP28-0626-SM-E76P5 50-59 years, female 86.2
GTEX-1A8FM-0726-SM-7DUGK 50-59 years, female 86.1
GTEX-ZDYS-0626-SM-5J2N5 50-59 years, male 85.9
GTEX-1CB4G-1526-SM-7P8QG 60-69 years, male 85.9
GTEX-1R46S-0426-SM-EVR48 60-69 years, female 85.9
GTEX-11DYG-0826-SM-5N9GH 60-69 years, male 85.8
GTEX-16MTA-0726-SM-7KUL4 50-59 years, male 85.7
GTEX-1E1VI-0726-SM-7P8QJ 50-59 years, male 85.7
GTEX-QDT8-1226-SM-EVR35 30-39 years, female 85.7
GTEX-111CU-0226-SM-5GZXC 50-59 years, male 85.5
GTEX-18D9B-0726-SM-72D6K 60-69 years, male 85.2
GTEX-14XAO-0426-SM-6AJB6 60-69 years, female 85.1
GTEX-Q734-0526-SM-2I3EH 40-49 years, female 85.1
GTEX-1399U-0326-SM-5P9G5 50-59 years, female 85.0
GTEX-ZTX8-0626-SM-59HKC 20-29 years, male 85.0
GTEX-139YR-1226-SM-5IFEU 50-59 years, male 84.9
GTEX-12WSE-1226-SM-73KUF 20-29 years, male 84.8
GTEX-1C6VS-0826-SM-7EWEI 60-69 years, male 84.7
GTEX-14ICK-1626-SM-6ETZX 40-49 years, male 84.6
GTEX-OIZI-0726-SM-2XCEI 40-49 years, male 84.6
GTEX-RTLS-0626-SM-5SI7Z 60-69 years, female 84.6
GTEX-X5EB-0726-SM-46MVR 40-49 years, male 84.6
GTEX-WWYW-0826-SM-3NB2X 50-59 years, female 84.5
GTEX-1KXAM-1726-SM-D3LAE 60-69 years, male 84.4
GTEX-1JKYR-0826-SM-ARU8L 20-29 years, male 84.3
GTEX-1R9JW-0226-SM-EVR4K 30-39 years, female 84.3
GTEX-15G19-0626-SM-6M474 60-69 years, male 84.2
GTEX-R3RS-0726-SM-3GIJR 40-49 years, female 84.2
GTEX-117XS-0526-SM-5987Q 60-69 years, male 83.9
GTEX-ZLWG-0526-SM-4WWFB 50-59 years, female 83.8
GTEX-14BMU-0226-SM-5S2QA 20-29 years, female 83.7
GTEX-U3ZM-0126-SM-3DB8M 40-49 years, male 83.7
GTEX-W5X1-0426-SM-3GILB 40-49 years, female 83.7
GTEX-1C4CL-0726-SM-7IGP9 30-39 years, male 83.6
GTEX-1J1R8-0126-SM-CJI36 40-49 years, male 83.5
GTEX-13OVK-0226-SM-6M472 40-49 years, male 83.4
GTEX-16GPK-0926-SM-6LPJ9 60-69 years, male 83.4
GTEX-1HBPN-1226-SM-B2LW9 50-59 years, male 83.4
GTEX-1HR9M-0626-SM-A96S6 60-69 years, male 83.4
GTEX-139TS-0126-SM-5K7XJ 60-69 years, male 83.2
GTEX-13X6J-0826-SM-5LU32 50-59 years, male 83.1
GTEX-ZPIC-0226-SM-DO91T 40-49 years, female 83.1
GTEX-12ZZZ-1226-SM-59HK1 60-69 years, male 82.6
GTEX-14PN4-1526-SM-6871V 50-59 years, male 82.6
GTEX-14JIY-1226-SM-6871R 60-69 years, male 82.5
GTEX-14PJO-0626-SM-6LLHH 60-69 years, male 82.5
GTEX-ZYFC-0926-SM-5GZWW 50-59 years, male 82.5
GTEX-NFK9-0726-SM-2HMJW 40-49 years, male 82.3
GTEX-1RMOY-0126-SM-EWRNN 50-59 years, male 82.2
GTEX-1QP6S-2526-SM-DTX9Z 40-49 years, male 82.0
GTEX-P4QS-2626-SM-2I3EV 60-69 years, male 81.9
GTEX-1CAMS-0826-SM-7P8P1 40-49 years, female 81.8
GTEX-1HFI7-0326-SM-9WPOX 50-59 years, female 81.8
GTEX-14PJM-1326-SM-664NX 50-59 years, female 81.7
GTEX-13OW5-0626-SM-5J2N2 60-69 years, male 81.6
GTEX-1HSGN-0726-SM-A9G2F 40-49 years, female 81.6
GTEX-15RJE-1326-SM-6LPI6 40-49 years, male 81.5
GTEX-1K9T9-0826-SM-EAZ4X 50-59 years, female 81.3
GTEX-1P4AB-1126-SM-DTX94 50-59 years, male 81.3
GTEX-12WSC-0826-SM-5EQ5Q 50-59 years, male 81.2
GTEX-11XUK-0226-SM-5EQLW 40-49 years, female 81.1
GTEX-1J8Q3-0226-SM-C1YR4 60-69 years, male 80.9
GTEX-1EMGI-0826-SM-7EPHY 60-69 years, male 80.8
GTEX-14PK6-0426-SM-6EU1J 70-79 years, female 80.7
GTEX-RU72-0126-SM-2TF6Z 50-59 years, female 80.7
GTEX-1KD4Q-1026-SM-CXZKJ 40-49 years, male 80.7
GTEX-14B4R-0126-SM-5TDE4 30-39 years, male 80.5
GTEX-1I1GT-0826-SM-B2LWO 60-69 years, female 80.5
GTEX-QLQ7-0726-SM-2I5G2 60-69 years, male 80.2
GTEX-QXCU-0326-SM-2TC63 50-59 years, male 80.2
GTEX-ZLV1-0126-SM-4WWBZ 60-69 years, female 80.2
GTEX-1GTWX-0726-SM-9WPPA 60-69 years, male 80.2
GTEX-1I19N-0226-SM-CE6ST 70-79 years, male 80.1
GTEX-SJXC-0726-SM-2XCFJ 60-69 years, male 79.9
GTEX-1HT8W-1526-SM-CE6S3 30-39 years, male 79.9
GTEX-132AR-1126-SM-5P9GA 50-59 years, female 79.8
GTEX-1B8KZ-0426-SM-731DP 50-59 years, male 79.8
GTEX-1QPFJ-0626-SM-DTX7Y 30-39 years, female 79.6
GTEX-1S83E-0726-SM-EV7B6 40-49 years, male 79.6
GTEX-1AYCT-0226-SM-73KVB 50-59 years, male 79.5
GTEX-139UW-0126-SM-5KM1B 60-69 years, male 79.4
GTEX-148VI-0526-SM-5TDDG 60-69 years, female 79.4
GTEX-WVLH-0626-SM-3MJG7 50-59 years, male 79.4
GTEX-1IDJC-1026-SM-A96T2 50-59 years, male 79.4
GTEX-1B8KE-0626-SM-7189H 50-59 years, male 79.3
GTEX-11LCK-0526-SM-5A5M9 30-39 years, male 79.2
GTEX-S7SE-0726-SM-2XCD7 50-59 years, male 79.1
GTEX-1R9PM-0226-SM-DPRY7 20-29 years, male 79.1
GTEX-14E7W-0926-SM-5YYA4 70-79 years, male 79.0
GTEX-131XG-0226-SM-5IFG1 50-59 years, female 78.9
GTEX-ZT9W-0226-SM-7SB6H 50-59 years, male 78.9
GTEX-11NSD-0126-SM-5987F 20-29 years, male 78.7
GTEX-OXRK-0626-SM-2HMJ5 50-59 years, female 78.7
GTEX-1I6K7-1126-SM-A96SW 40-49 years, male 78.6
GTEX-Y5V5-0326-SM-5RQJG 60-69 years, female 78.4
GTEX-13113-0126-SM-5LZVX 60-69 years, female 78.3
GTEX-YJ89-0726-SM-5P9F7 60-69 years, male 78.3
GTEX-SNOS-0226-SM-32PLR 40-49 years, male 78.2
GTEX-1F5PL-0826-SM-7MXU7 40-49 years, female 78.2
GTEX-1H1DG-0726-SM-A96TN 70-79 years, male 78.2
GTEX-1399R-0126-SM-5IFEV 30-39 years, male 78.1
GTEX-WFG8-0426-SM-3GILD 20-29 years, male 78.1
GTEX-1KD5A-0426-SM-D4P3X 50-59 years, male 78.0
GTEX-1AMEY-0126-SM-73KTX 30-39 years, female 77.9
GTEX-13N2G-0726-SM-5MR38 60-69 years, male 77.8
GTEX-17F96-0526-SM-79OLE 70-79 years, male 77.8
GTEX-1C2JI-0326-SM-7EWFD 50-59 years, male 77.7
GTEX-REY6-0526-SM-2TF5M 60-69 years, male 77.7
GTEX-1HBPH-0926-SM-A9SME 40-49 years, female 77.7
GTEX-11VI4-0226-SM-5GU6C 40-49 years, female 77.6
GTEX-11GS4-0826-SM-5986J 60-69 years, male 77.5
GTEX-14ABY-0926-SM-5Q5DY 50-59 years, male 77.5
GTEX-14JG6-1326-SM-9OSXU 30-39 years, female 77.5
GTEX-1B97J-0626-SM-7P8RU 50-59 years, female 77.5
GTEX-111FC-1026-SM-5GZX1 60-69 years, male 77.2
GTEX-1477Z-0226-SM-5TDCI 60-69 years, male 77.2
GTEX-17HGU-0826-SM-7EWE5 50-59 years, male 77.2
GTEX-18QFQ-0726-SM-7LG6D 30-39 years, male 77.2
GTEX-S32W-0726-SM-2XCBL 50-59 years, female 77.2
GTEX-WHSB-1626-SM-3LK6J 50-59 years, male 77.2
GTEX-X8HC-0726-SM-46MWG 50-59 years, female 77.2
GTEX-13RTK-0326-SM-5RQHS 20-29 years, male 77.1
GTEX-1I1GR-1126-SM-A9G2I 60-69 years, male 77.1
GTEX-QV31-0726-SM-3GAEG 30-39 years, male 76.9
GTEX-1PDJ9-0826-SM-E76PS 20-29 years, male 76.9
GTEX-ZT9X-0226-SM-51MT2 40-49 years, male 76.8
GTEX-VJYA-0426-SM-3GIJK 60-69 years, male 76.6
GTEX-OIZG-0226-SM-2TC5L 50-59 years, male 76.5
GTEX-YEC4-0626-SM-5CVLU 40-49 years, male 76.5
GTEX-11EQ9-0626-SM-5A5K1 30-39 years, male 76.3
GTEX-12WSD-0926-SM-5GCNL 60-69 years, female 76.3
GTEX-1B97I-0326-SM-7DUGB 40-49 years, male 76.3
GTEX-Y8E4-0126-SM-4VBQ2 40-49 years, male 76.3
GTEX-15RJ7-0326-SM-6M47H 40-49 years, male 76.1
GTEX-OHPM-2626-SM-33HC5 50-59 years, male 76.1
GTEX-1RDX4-0926-SM-E9U6D 50-59 years, female 76.1
GTEX-1BAJH-0926-SM-79OO6 70-79 years, male 76.0
GTEX-XYKS-0826-SM-4BRVF 60-69 years, female 76.0
GTEX-Y3IK-0526-SM-4WWE3 50-59 years, female 76.0
GTEX-1RQED-0926-SM-EWRNZ 60-69 years, male 76.0
GTEX-1IOXB-1026-SM-CJI4D 50-59 years, male 75.9
GTEX-Y5LM-0626-SM-4V6G4 40-49 years, female 75.8
GTEX-ZTSS-0226-SM-59877 40-49 years, male 75.8
GTEX-1GN1W-0126-SM-7MXV7 50-59 years, female 75.8
GTEX-P78B-0526-SM-2I5F7 40-49 years, female 75.6
GTEX-1H1DE-0226-SM-ARZN8 20-29 years, male 75.6
GTEX-13O61-0226-SM-5KM52 60-69 years, male 75.5
GTEX-14PN3-0826-SM-69LOS 60-69 years, female 75.5
GTEX-ZVP2-0426-SM-57WC2 50-59 years, male 75.5
GTEX-1HGF4-0726-SM-9WYU9 60-69 years, male 75.5
GTEX-1QP66-0326-SM-DTX7V 50-59 years, male 75.5
GTEX-1RQEC-1026-SM-EVR5B 60-69 years, male 75.5
GTEX-P4QT-2626-SM-2I3FM 50-59 years, female 75.4
GTEX-RN64-0626-SM-2TC5V 50-59 years, male 75.4
GTEX-QV44-0826-SM-2S1RG 50-59 years, male 75.3
GTEX-WHPG-0226-SM-3NMB9 50-59 years, male 75.3
GTEX-18A67-0826-SM-7KFTI 50-59 years, male 75.1
GTEX-WEY5-0526-SM-3GIKZ 40-49 years, female 75.1
GTEX-1O97I-1026-SM-E76PI 60-69 years, male 75.1
GTEX-145ME-0126-SM-5S2QM 40-49 years, female 74.9
GTEX-14PJ3-0126-SM-69LQP 50-59 years, male 74.8
GTEX-XMK1-0626-SM-4B65A 40-49 years, male 74.8
GTEX-ZE7O-1126-SM-57WC8 50-59 years, female 74.8
GTEX-13VXU-0826-SM-5KLZ2 50-59 years, male 74.7
GTEX-Q2AH-0726-SM-2I3EA 40-49 years, male 74.7
GTEX-1H1E6-0326-SM-9OSWE 30-39 years, male 74.7
GTEX-1J8JJ-0726-SM-AHZ3E 60-69 years, female 74.7
GTEX-R55G-0726-SM-2TC6J 40-49 years, female 74.5
GTEX-ZPU1-0426-SM-4WWCA 40-49 years, male 74.5
GTEX-12ZZX-1226-SM-5EGHS 40-49 years, female 74.4
GTEX-PWCY-2326-SM-2I3EQ 20-29 years, female 74.3
GTEX-WXYG-0226-SM-3NB2Y 50-59 years, female 74.3
GTEX-1B8L1-1626-SM-7IGMH 60-69 years, male 74.2
GTEX-1128S-0126-SM-5H12S 60-69 years, female 74.1
GTEX-O5YV-1526-SM-EV799 60-69 years, female 74.1
GTEX-13PL6-1026-SM-5L3E5 40-49 years, female 74.0
GTEX-ZYFG-0626-SM-5GZYA 60-69 years, female 73.9
GTEX-1F75A-0326-SM-7MXTR 50-59 years, male 73.9
GTEX-14PKV-0626-SM-6AJA2 20-29 years, female 73.8
GTEX-YB5E-0626-SM-4VDSE 40-49 years, male 73.8
GTEX-1GMRU-1126-SM-9KNV1 50-59 years, male 73.8
GTEX-1JMQJ-2026-SM-CNPP9 50-59 years, male 73.8
GTEX-1PBJJ-1926-SM-DTX8T 30-39 years, male 73.8
GTEX-1MCC2-0526-SM-DHXJS 30-39 years, female 73.7
GTEX-1K2DA-1526-SM-CGQGQ 50-59 years, male 73.6
GTEX-18465-1426-SM-7KFTF 50-59 years, male 73.4
GTEX-UJMC-0326-SM-3GAE2 50-59 years, male 73.2
GTEX-11DXX-0226-SM-5P9HL 60-69 years, female 73.1
GTEX-Q2AG-0826-SM-2HMKF 40-49 years, female 73.1
GTEX-X15G-0526-SM-3NMB7 50-59 years, female 73.1
GTEX-XGQ4-0426-SM-4AT4I 50-59 years, male 73.1
GTEX-1HCU7-0826-SM-B2LX7 50-59 years, male 73.1
GTEX-11DXZ-0926-SM-5N9CG 50-59 years, male 73.0
GTEX-WYVS-0326-SM-3NM9V 40-49 years, female 73.0
GTEX-Z9EW-0226-SM-5CVM7 40-49 years, male 72.9
GTEX-1PBJI-0726-SM-EXUSQ 20-29 years, female 72.9
GTEX-13NYB-0726-SM-5MR4J 40-49 years, male 72.7
GTEX-ZQG8-0926-SM-57WFF 60-69 years, female 72.7
GTEX-15ER7-0726-SM-7KUMF 20-29 years, female 72.6
GTEX-WOFL-0726-SM-3MJG4 60-69 years, male 72.6
GTEX-1OFPY-1526-SM-DTX8R 60-69 years, male 72.6
GTEX-ZDTS-0926-SM-5YY9D 60-69 years, male 72.5
GTEX-12WSL-0626-SM-5GCOY 50-59 years, male 72.4
GTEX-1QCLY-0826-SM-DTX8A 30-39 years, male 72.4
GTEX-11GSP-0126-SM-5A5KU 60-69 years, female 72.3
GTEX-OOBJ-2626-SM-2I3F6 60-69 years, male 72.3
GTEX-Q2AI-0326-SM-2I3EK 40-49 years, male 72.3
GTEX-ZPCL-0126-SM-4WWC8 60-69 years, female 72.3
GTEX-1IDJH-0826-SM-CE6SY 70-79 years, male 72.3
GTEX-1LVAM-0826-SM-EV79X 50-59 years, female 72.3
GTEX-1NUQO-0926-SM-DTXEX 20-29 years, female 72.3
GTEX-12WSG-0226-SM-5EGIF 50-59 years, female 72.2
GTEX-1AX9J-2126-SM-731DD 60-69 years, male 72.2
GTEX-1HKZK-0826-SM-A9G2C 40-49 years, male 72.2
GTEX-1AX8Z-0826-SM-7DUFZ 60-69 years, male 72.1
GTEX-132QS-0326-SM-5IJFN 60-69 years, male 72.0
GTEX-1MJK3-0326-SM-DTX96 20-29 years, male 72.0
GTEX-11ZVC-0126-SM-5986G 50-59 years, female 71.9
GTEX-12WSN-0726-SM-5GCMS 40-49 years, male 71.9
GTEX-13PVQ-0726-SM-5L3GI 50-59 years, male 71.9
GTEX-145MI-1126-SM-5O9AK 60-69 years, female 71.9
GTEX-14AS3-0226-SM-5Q5B6 40-49 years, female 71.9
GTEX-15DZA-0226-SM-7KFS6 30-39 years, female 71.9
GTEX-SE5C-0726-SM-4BRWY 40-49 years, female 71.9
GTEX-1HBPM-0926-SM-ARL9C 60-69 years, female 71.9
GTEX-1QEPI-0726-SM-E76QG 60-69 years, female 71.9
GTEX-11TT1-1126-SM-5P9GV 20-29 years, male 71.8
GTEX-18D9U-1026-SM-72D5R 40-49 years, male 71.8
GTEX-1EU9M-0626-SM-7MXUT 60-69 years, male 71.8
GTEX-113JC-0126-SM-5EGJW 50-59 years, female 71.7
GTEX-13JVG-0926-SM-5IJE1 60-69 years, male 71.6
GTEX-ZUA1-0926-SM-4YCDX 40-49 years, male 71.6
GTEX-14PJ4-0326-SM-664OT 60-69 years, male 71.5
GTEX-T6MO-0226-SM-32QOL 40-49 years, female 71.5
GTEX-1EWIQ-0826-SM-7MXTH 70-79 years, female 71.5
GTEX-11I78-0526-SM-5986A 50-59 years, female 71.3
GTEX-13111-0226-SM-5EQ55 50-59 years, male 71.3
GTEX-1192W-0126-SM-5EGGS 60-69 years, male 71.2
GTEX-1B8SF-0626-SM-73KVV 60-69 years, male 71.2
GTEX-ZLFU-0626-SM-4WWBO 40-49 years, male 71.2
GTEX-1HSMQ-0526-SM-A96TY 50-59 years, male 71.2
GTEX-1PPH8-0926-SM-DTX9U 20-29 years, male 71.2
GTEX-11TUW-0226-SM-5LU8X 60-69 years, male 71.1
GTEX-133LE-0326-SM-5P9G4 20-29 years, female 71.1
GTEX-13QJC-0826-SM-5RQKC 60-69 years, female 71.1
GTEX-ZF3C-0826-SM-DO11E 50-59 years, female 71.1
GTEX-PWN1-2626-SM-2I3FH 40-49 years, female 71.0
GTEX-148VJ-0726-SM-5LU8J 70-79 years, male 70.9
GTEX-ZV7C-0126-SM-57WDE 50-59 years, male 70.9
GTEX-1GZHY-1426-SM-9WG5H 50-59 years, female 70.9
GTEX-S341-0226-SM-D4P1Y 40-49 years, female 70.9
GTEX-17F9E-0626-SM-79ON5 50-59 years, male 70.8
GTEX-1KANC-0826-SM-D3LA8 50-59 years, female 70.8
GTEX-11NUK-1026-SM-5HL5J 50-59 years, male 70.7
GTEX-1JJEA-0626-SM-D3L96 60-69 years, male 70.7
GTEX-178AV-0726-SM-6LPJI 40-49 years, male 70.6
GTEX-1F6IF-1126-SM-9KNV2 60-69 years, male 70.6
GTEX-1LBAC-0726-SM-D3L9U 20-29 years, male 70.6
GTEX-1CAMR-0226-SM-7DUGO 20-29 years, male 70.5
GTEX-18A7A-0826-SM-7KFTJ 50-59 years, female 70.4
GTEX-R53T-0526-SM-3GADL 50-59 years, female 70.3
GTEX-13NZ8-0226-SM-5J2OK 60-69 years, female 70.1
GTEX-ZAK1-0726-SM-5HL8Q 50-59 years, female 70.1
GTEX-1GPI7-0726-SM-9WG84 20-29 years, male 70.1
GTEX-WY7C-0226-SM-3NB37 50-59 years, male 70.0
GTEX-1RAZS-1026-SM-E9TID 50-59 years, male 70.0
GTEX-RWS6-0626-SM-2XCAS 60-69 years, female 69.9
GTEX-11DXY-0426-SM-5H12R 60-69 years, male 69.8
GTEX-13NZ9-1126-SM-5MR37 50-59 years, male 69.8
GTEX-1AMFI-0526-SM-7189M 50-59 years, female 69.7
GTEX-X4XX-0926-SM-46MV7 60-69 years, male 69.7
GTEX-1GF9U-0226-SM-7P8TY 40-49 years, female 69.7
GTEX-11P82-0226-SM-5HL4O 20-29 years, male 69.6
GTEX-ZDXO-1726-SM-5HL6L 60-69 years, male 69.6
GTEX-16AAH-0326-SM-7DHML 50-59 years, male 69.5
GTEX-13OVG-0226-SM-5LU93 60-69 years, male 69.4
GTEX-1EH9U-0926-SM-7EWF1 60-69 years, male 69.4
GTEX-111YS-0726-SM-5GZY8 60-69 years, male 69.3
GTEX-U3ZH-0226-SM-3DB7B 30-39 years, male 69.3
GTEX-1I6K6-0726-SM-B2LX4 30-39 years, male 69.2
GTEX-1QP2A-0626-SM-DTX9C 50-59 years, male 69.2
GTEX-18A6Q-0726-SM-7LT8Y 60-69 years, male 69.1
GTEX-XV7Q-0326-SM-4BRVM 40-49 years, female 69.1
GTEX-1122O-0226-SM-5N9DA 60-69 years, female 69.0
GTEX-ZV6S-0226-SM-59HJT 40-49 years, female 69.0
GTEX-1QP9N-0126-SM-DPRZS 30-39 years, male 69.0
GTEX-15FZZ-0226-SM-6LLI4 30-39 years, female 68.9
GTEX-13QBU-0626-SM-5J2OG 40-49 years, female 68.8
GTEX-1GMR3-0726-SM-9WPOF 40-49 years, male 68.8
GTEX-1HUB1-1226-SM-B2LWX 60-69 years, male 68.8
GTEX-145MG-0826-SM-5Q5C2 50-59 years, male 68.7
GTEX-1LSVX-0726-SM-E9TJG 60-69 years, male 68.7
GTEX-1212Z-0426-SM-5FQT6 60-69 years, male 68.6
GTEX-1CB4I-0726-SM-7DUGS 50-59 years, male 68.6
GTEX-OIZF-2626-SM-7P8QZ 60-69 years, male 68.6
GTEX-W5WG-1426-SM-4KKZP 50-59 years, female 68.5
GTEX-U3ZN-0326-SM-3DB86 30-39 years, female 68.4
GTEX-1399T-0126-SM-5KM15 60-69 years, male 68.2
GTEX-13O21-2226-SM-5MR3L 50-59 years, male 68.2
GTEX-Y5V6-0526-SM-4VBRV 60-69 years, male 68.2
GTEX-1HCUA-0126-SM-B2LWC 50-59 years, female 68.2
GTEX-13IVO-0926-SM-5KLZP 70-79 years, male 67.9
GTEX-PX3G-2626-SM-2I3EG 20-29 years, female 67.8
GTEX-1R9K5-0726-SM-EAZ4E 50-59 years, male 67.8
GTEX-14BMV-0726-SM-73KVE 50-59 years, male 67.6
GTEX-Y3I4-0226-SM-4TT27 50-59 years, male 67.6
GTEX-X4LF-0426-SM-3NMB5 50-59 years, male 67.5
GTEX-1HBPI-0826-SM-9WYTX 50-59 years, male 67.5
GTEX-OXRO-1226-SM-48TDL 60-69 years, female 67.4
GTEX-1RAZR-1126-SM-E6CRC 40-49 years, male 67.4
GTEX-15ETS-0526-SM-6PAN3 40-49 years, female 67.3
GTEX-1AX9K-0626-SM-73KVD 50-59 years, male 67.2
GTEX-RWSA-0826-SM-2XCBF 40-49 years, male 67.2
GTEX-12ZZY-0826-SM-5EQMT 60-69 years, male 67.0
GTEX-ZVZP-1026-SM-5GICI 50-59 years, male 67.0
GTEX-XBEW-0126-SM-4AT66 40-49 years, male 66.8
GTEX-13OW6-0726-SM-5L3FX 50-59 years, male 66.7
GTEX-WFJO-0226-SM-3GIKW 30-39 years, male 66.7
GTEX-XUZC-0126-SM-4BOO6 30-39 years, female 66.7
GTEX-WYJK-1626-SM-3NM9J 50-59 years, male 66.3
GTEX-1MA7X-0926-SM-DIPEJ 60-69 years, male 66.3
GTEX-17GQL-0226-SM-7LTAK 60-69 years, male 66.2
GTEX-147GR-0726-SM-5S2PL 60-69 years, male 66.1
GTEX-1F75I-0926-SM-7MXUU 40-49 years, male 66.1
GTEX-1H11D-0626-SM-9WPQ1 40-49 years, male 66.1
GTEX-1HCU9-0226-SM-9WPNT 20-29 years, male 66.1
GTEX-13S86-1126-SM-5RQJX 40-49 years, male 66.0
GTEX-1CB4F-0826-SM-793CV 60-69 years, male 65.8
GTEX-1FIGZ-0226-SM-7P8QR 40-49 years, male 65.8
GTEX-1QCLZ-0626-SM-E6CR2 60-69 years, female 65.8
GTEX-145LU-0426-SM-5O9AH 50-59 years, male 65.7
GTEX-1HFI6-1326-SM-A9SL8 40-49 years, male 65.7
GTEX-1ICG6-0426-SM-ARU7M 70-79 years, female 65.7
GTEX-1CB4E-0326-SM-7MXT3 60-69 years, male 65.5
GTEX-183FY-0626-SM-79OKR 20-29 years, male 65.4
GTEX-12WSJ-0326-SM-5GCMT 40-49 years, female 65.3
GTEX-17KNJ-1026-SM-79ONK 50-59 years, male 65.2
GTEX-15CHR-1726-SM-7DUGW 50-59 years, male 65.0
GTEX-YEC3-0826-SM-4WWFP 50-59 years, male 65.0
GTEX-13VXT-0626-SM-5SIA1 20-29 years, female 64.9
GTEX-1C64N-1026-SM-79ONM 50-59 years, male 64.9
GTEX-1GN73-0826-SM-9OSW4 60-69 years, male 64.9
GTEX-1RAZA-0826-SM-EAZ4I 20-29 years, male 64.9
GTEX-1A3MV-0326-SM-73KW7 30-39 years, male 64.7
GTEX-OXRL-2626-SM-2I3F1 50-59 years, male 64.7
GTEX-T6MN-0626-SM-32PM9 50-59 years, male 64.7
GTEX-1QP67-0326-SM-EVR45 40-49 years, female 64.6
GTEX-1GF9X-0126-SM-A9G38 40-49 years, female 64.5
GTEX-ZZPU-1326-SM-5GZWS 50-59 years, female 64.4
GTEX-13FHP-0926-SM-5L3EC 50-59 years, male 64.3
GTEX-ZY6K-0226-SM-5SIAY 50-59 years, male 64.3
GTEX-YF7O-0726-SM-4W213 50-59 years, male 64.2
GTEX-1OJC4-0526-SM-E6CQV 50-59 years, female 64.2
GTEX-QEL4-0726-SM-3GIJ5 50-59 years, male 64.1
GTEX-17HII-1926-SM-79OLB 50-59 years, male 64.0
GTEX-17JCI-0626-SM-7IGM7 60-69 years, female 64.0
GTEX-VUSG-0426-SM-3GIKD 50-59 years, male 64.0
GTEX-1IKJJ-1026-SM-A96SQ 60-69 years, male 63.8
GTEX-13O3Q-0626-SM-5IJG1 50-59 years, male 63.7
GTEX-13O3P-0726-SM-5J2OM 50-59 years, male 63.6
GTEX-14DAQ-0826-SM-73KWT 60-69 years, female 63.5
GTEX-XUW1-1026-SM-4BONY 50-59 years, female 63.5
GTEX-WH7G-0526-SM-3NMBI 40-49 years, male 63.3
GTEX-1PIGE-0726-SM-DPRZD 20-29 years, male 63.3
GTEX-13N11-1026-SM-5K7XQ 50-59 years, female 63.2
GTEX-169BO-0326-SM-7EPIM 50-59 years, male 62.9
GTEX-17HHE-0426-SM-79OK3 50-59 years, male 62.7
GTEX-ZAB5-0726-SM-5P9JG 50-59 years, male 62.6
GTEX-1JK1U-0326-SM-CXZJH 60-69 years, male 62.2
GTEX-131XF-1826-SM-5EGKG 60-69 years, male 61.9
GTEX-RM2N-0526-SM-2TF4N 50-59 years, male 61.8
GTEX-1HC8U-1226-SM-9WYUW 40-49 years, female 61.7
GTEX-1A8G6-0626-SM-7IGNB 60-69 years, male 61.5
GTEX-1EN7A-1026-SM-7IGPZ 40-49 years, male 61.5
GTEX-1ICLY-0726-SM-A96TB 50-59 years, male 61.5
GTEX-117YW-0126-SM-5EGGN 50-59 years, male 61.4
GTEX-V1D1-0926-SM-4JBHQ 50-59 years, male 61.2
GTEX-YFCO-0326-SM-4W1ZP 40-49 years, male 60.8
GTEX-13O3O-0926-SM-5KM1F 60-69 years, female 60.7
GTEX-1LB8K-0626-SM-D4P3Z 50-59 years, male 60.5
GTEX-13112-0326-SM-5P9IW 50-59 years, male 60.4
GTEX-17HG3-0226-SM-7EWEA 30-39 years, female 60.1
GTEX-ZVT3-0726-SM-5GICN 60-69 years, female 60.0
GTEX-11OF3-0626-SM-5BC4Y 60-69 years, male 59.9
GTEX-15CHC-0126-SM-5YYBA 60-69 years, female 59.9
GTEX-1I1GQ-0826-SM-CNNQR 50-59 years, male 59.9
GTEX-16Z82-0426-SM-7EPGX 60-69 years, male 59.8
GTEX-13FLV-0226-SM-5J2OF 50-59 years, male 59.7
GTEX-1A8G7-1026-SM-73KVA 60-69 years, male 59.7
GTEX-1LVAN-0726-SM-CNNPF 50-59 years, female 59.7
GTEX-11NV4-0626-SM-5N9BR 60-69 years, male 59.6
GTEX-1IL2V-0626-SM-ARU7S 70-79 years, male 59.6
GTEX-111VG-0526-SM-5N9BW 60-69 years, male 59.4
GTEX-13OW7-0826-SM-5L3EL 50-59 years, male 59.3
GTEX-T8EM-0226-SM-3DB7C 40-49 years, male 59.0
GTEX-1JJ6O-0626-SM-AHZ3H 60-69 years, male 58.9
GTEX-145LT-0226-SM-5S2QK 40-49 years, male 58.8
GTEX-T5JW-1226-SM-3GACY 20-29 years, female 57.9
GTEX-1B932-0926-SM-73KUP 40-49 years, female 57.6
GTEX-146FQ-0726-SM-5LUA7 30-39 years, male 57.5
GTEX-WRHU-0926-SM-4E3IG 50-59 years, female 57.4
GTEX-1J8QM-0726-SM-CE6RF 60-69 years, female 57.3
GTEX-R55C-0626-SM-2TF4Q 40-49 years, male 57.2
GTEX-1EKGG-0726-SM-7IGPX 60-69 years, male 57.0
GTEX-SIU8-0626-SM-2XCDN 50-59 years, male 56.8
GTEX-1GN1U-0826-SM-9WPPX 50-59 years, female 56.7
GTEX-XOT4-1526-SM-EAZ2W 60-69 years, female 56.7
GTEX-1C6VR-0426-SM-7IGN6 60-69 years, male 56.5
GTEX-1IL2U-0826-SM-CL53Q 60-69 years, male 56.1
GTEX-ZVZQ-0626-SM-59HJU 60-69 years, female 56.0
GTEX-1HSEH-0826-SM-B2LXE 60-69 years, male 56.0
GTEX-ZC5H-0626-SM-5LU9K 40-49 years, female 55.9
GTEX-1RAZQ-0926-SM-EAZ4Q 30-39 years, male 55.3
GTEX-13W46-0926-SM-5LU3T 50-59 years, male 54.5
GTEX-14BIN-0126-SM-5TDCG 50-59 years, female 54.5
GTEX-1H1CY-0726-SM-9OSXX 60-69 years, female 54.3
GTEX-17EVQ-0526-SM-7KFSK 70-79 years, male 54.2
GTEX-QDVJ-0226-SM-2I5FV 50-59 years, male 54.2
GTEX-1MUQO-0726-SM-E9TJM 60-69 years, male 54.2
GTEX-RUSQ-1026-SM-2TF6V 50-59 years, male 54.1
GTEX-1CAMQ-1126-SM-7EWFE 40-49 years, male 54.0
GTEX-1GN2E-0826-SM-9WYT8 60-69 years, male 54.0
GTEX-14753-0926-SM-5Q5BI 60-69 years, male 53.7
GTEX-1GF9V-0926-SM-9KNW7 60-69 years, male 53.7
GTEX-17EVP-0126-SM-7EPHW 40-49 years, male 53.4
GTEX-1K2DU-0126-SM-E9TIU 20-29 years, male 52.6
GTEX-1269C-0226-SM-5EGKS 60-69 years, female 52.5
GTEX-132NY-1026-SM-5P9IY 60-69 years, male 51.5
GTEX-144GL-1226-SM-5O9A4 50-59 years, male 51.1
GTEX-RU1J-0226-SM-2TF5Y 20-29 years, female 51.1
GTEX-1J8EW-1126-SM-A96T8 60-69 years, female 50.9
GTEX-1HSKV-1026-SM-B2LWK 60-69 years, male 49.9
GTEX-1F88F-0726-SM-7P8R7 60-69 years, female 47.5
GTEX-11ZTS-1126-SM-5LU9X 60-69 years, female 47.3
GTEX-13G51-1226-SM-5K7Z3 60-69 years, male 47.2
GTEX-POYW-0826-SM-2XCEM 60-69 years, male 41.5
Show allShow less

THYROID GLAND - FANTOM5 CAGEi

RNA expression in human tissues obtained through Cap Analysis of Gene Expression (CAGE) generated by the FANTOM5 project are reported as Scaled Tags Per Million.

Max subtype Scaled Tags Per Millioni

Max subtype Scaled Tags Per Million is the value for the subtype with the largest average Scaled Tags Per Million across the subtype samples.

225.8
FANTOM5 sample id Sample description Scaled Tags Per Million
Thyroid
Scaled Tags Per Million: 225.8
FF:10028-101E1 67,68,78 years, mixed 225.8

Contact

  • NEWS ARTICLES
  • PRESS ROOM

The Project

  • INTRODUCTION
  • ORGANIZATION
  • PUBLICATIONS

The Human Protein Atlas

  • DOWNLOADABLE DATA
  • LICENCE & CITATION
  • HELP & FAQ
The Human Protein Atlas project is funded
by the Knut & Alice Wallenberg Foundation.


contact@proteinatlas.org