We use cookies to enhance the usability of our website. If you continue, we'll assume that you are happy to receive all cookies. More information. Don't show this again.
SDR39U1
HPA
RESOURCES
  • TISSUE
  • BRAIN
  • SINGLE CELL
  • SUBCELLULAR
  • CANCER
  • BLOOD
  • CELL LINE
  • STRUCTURE & INTERACTION
ABOUT
  • INTRODUCTION
  • HISTORY
  • ORGANIZATION
  • PUBLICATIONS
  • ANTIBODY SUBMISSION
  • ANTIBODY AVAILABILITY
  • ACKNOWLEDGMENTS
  • CONTACT
NEWS
  • NEWS ARTICLES
  • PRESS ROOM
LEARN
  • DICTIONARY
  • PROTEIN CLASSES
  • PROTEIN EVIDENCE
  • METHODS
  • EDUCATIONAL VIDEOS
DATA
  • DOWNLOADABLE DATA
  • PUBLICATION DATA
  • RELEASE HISTORY
HELP
  • ANTIBODY VALIDATION
  • ASSAYS & ANNOTATION
  • DISCLAIMER
  • HELP & FAQ
  • PRIVACY STATEMENT
  • LICENCE & CITATION
Fields »
Search result

Field
Term
Gene name
Class
Subclass
Class
Keyword
Chromosome
External id
Tissue
Cell type
Expression
Antibody panel
Tissue
Main location
Patient ID
Annotation
Tissue
Category
Tau score
Cluster
Reliability
Brain region
Category
Tau score
Brain region
Category
Tau score
Brain region
Category
Tau score
Cluster
Reliability
Tissue
Cell type
Enrichment
Cell type
Category
Tau score
Cell type
Category
Tau score
Cell type
Category
Tau score
Cell lineage
Category
Tau score
Cluster
Cluster
Location
Searches
Location
Cell line
Class
Type
Phase
Reliability
Cancer
Prognosis
Cancer
Category
Cancer
Category
Tau score
Cluster
Variants
Interacting gene (ensg_id)
Type
Number of interactions
Pathway
Category
Score
Score
Score
Validation
Validation
Validation
Validation
Antibodies
Data type
Column


  • SUMMARY

  • TISSUE

  • BRAIN

  • SINGLE CELL

  • SUBCELL

  • CANCER

  • BLOOD

  • CELL LINE

  • STRUCT & INT

  • SDR39U1
TISSUE PRIMARY DATA BREAST Show tissue menu
ADIPOSE TISSUE ADRENAL GLAND AMYGDALA APPENDIX BASAL GANGLIA BONE MARROW BREAST BRONCHUS CEREBELLUM CEREBRAL CORTEX CERVIX CHOROID PLEXUS COLON DUODENUM
ENDOMETRIUM EPIDIDYMIS ESOPHAGUS FALLOPIAN TUBE GALLBLADDER HEART MUSCLE HIPPOCAMPAL FORMATION HYPOTHALAMUS KIDNEY LIVER LUNG LYMPH NODE MIDBRAIN NASOPHARYNX
ORAL MUCOSA OVARY PANCREAS PARATHYROID GLAND PITUITARY GLAND PLACENTA PROSTATE RECTUM RETINA SALIVARY GLAND SEMINAL VESICLE SKELETAL MUSCLE SKIN SMALL INTESTINE
SMOOTH MUSCLE SOFT TISSUE SPINAL CORD SPLEEN STOMACH TESTIS THYMUS THYROID GLAND TONGUE TONSIL URINARY BLADDER VAGINA
ANTIBODIES
AND
VALIDATION
Dictionary
Breast
Tissue proteome
Breast
BREAST - Expression summary
Protein expression
Breasti

On the top, protein expression in current human tissue, based on all annotated cell types, is reported with the units not detected (n), low (l), medium (m) and high (h). Underneath, protein expression in each annotated cell type are reported using the same units.

Protein expression data is based on knowledge-based annotation. For genes where more than one antibody has been used, a collective score is set.

If knowledge-based annotation could not be performed for a gene, no data is displayed here. View antibody staining data further down this page.

h
m
l
n
Adipocytes: Not detected
Glandular cells: Medium
Myoepithelial cells: High
RNA expressioni

A summary of mRNA expression data available for current tissue based on several datasets. The mRNA expression levels in human tissues are based on RNA-seq data generated by the Human Protein Atlas (HPA), Genotype-Tissue Expression (GTEx) portal and CAGE data generated by the FANTOM5 consortium. Consensus normalized expression levels for human tissues was created by combining the data from HPA and GTEx datasets.

The mRNA expression levels in pig are based on RNA-seq data generated by the Human Protein Atlas (HPA), and for mouse, HPA data and in situ hybridization generated by the Allen brain atlas are reported.

Scroll down to view mRNA expression data in more detail.
Consensus:43.2 nTPM
HPA:17.4 nTPM
GTEx:43.2 nTPM
FANTOM5:21.6 Scaled Tags Per Million

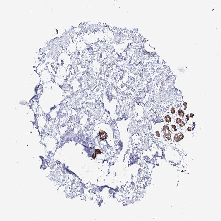
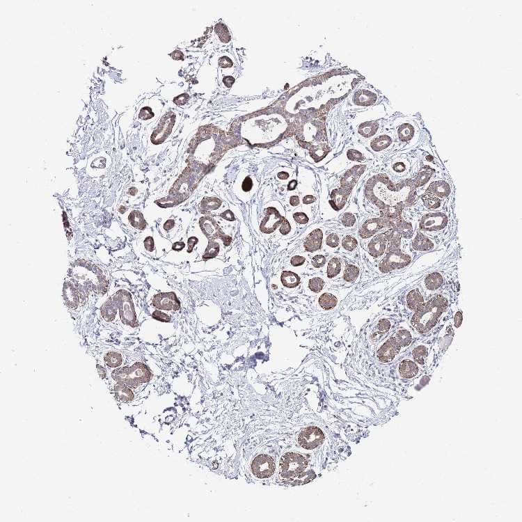
BREAST - Antibody stainingi

Antibody staining in the annotated cell types in the current human tissue is reported as not detected, low, medium, or high, based on conventional immunohistochemistry profiling in selected tissues. This score is based on the combination of the staining intensity and fraction of stained cells.

Each image is clickable and will lead to virtual microscopy that enables deeper exploration of all samples and also displays staining intensity scores, fraction scores and subcellular localization as well as patient and tissue information for each sample.

Antibody HPA044294
Adipocytes Not detected
Glandular cells Medium
Myoepithelial cells High


BREAST - HPA RNA-seqi

The RNA-seq details section shows detailed information about the individual samples used for the transcript profiling and results of the RNA-seq analysis.

Information about each individual sample is listed below, including gender, age, a tissue section image and estimated fractions of cell types. nTPM (normalized transcripts per million) values give a quantification of the gene abundance which is comparable between different genes and samples.
Average nTPMi

Max subtype nTPM is the value for the subtype with the largest average nTPM across the subtype samples.

17.4
overview
Female, age 52
Breast sample 373
nTPM: 19.4
Cell types%
Glandular cells:
15

Adipocytes:
5

Other cell types:
80

overview
Female, age 80
Breast sample 390
nTPM: 17
Cell types%
Glandular cells:
5

Adipocytes:
15

Other cell types:
80

overview
Female, age 47
Breast sample 405
nTPM: 20.6
Cell types%
Glandular cells:
5

Adipocytes:
5

Other cell types:
90

overview
Female, age 38
Breast sample 410
nTPM: 12.5
Cell types%
Glandular cells:
40

Adipocytes:
5

Other cell types:
55


BREAST - GTEx RNA-seqi

RNA-Seq data generated by the Genotype-Tissue Expression (GTEx) project from human tissues is reported as mean nTPM. More information can be found on the GTEx portal.

Distribution across the dataset is visualized with box plots, shown as median and 25th and 75th percentiles. Points are displayed as outliers if they are above or below 1.5 times the interquartile range. nTPM values of the individual samples are presented next to the box plot.
Max subtype nTPMi

Max subtype nTPM is the value for the subtype with the largest average nTPM across the subtype samples.

43.2
GTEx sample id Sample description nTPM
Breast - Mammary Tissue
Average nTPM: 43.2
Samples: 459

Max nTPM: 74.2
Min nTPM: 16.7
Std nTPM: 9.1
Median nTPM: 42.9
GTEX-132Q8-1426-SM-5EGK7 60-69 years, male 74.2
GTEX-1JJEA-2726-SM-ARL8V 60-69 years, male 68.1
GTEX-Y5LM-1726-SM-4VDSX 40-49 years, female 66.8
GTEX-ZQUD-1926-SM-51MSA 30-39 years, male 65.3
GTEX-14LLW-0626-SM-62LFC 70-79 years, female 65.0
GTEX-YB5E-1726-SM-5IFJ3 40-49 years, male 64.7
GTEX-14BMV-0626-SM-793AU 50-59 years, male 64.6
GTEX-14PN4-0626-SM-62LFP 50-59 years, male 64.4
GTEX-1IDJH-2226-SM-E6CJV 70-79 years, male 64.2
GTEX-1MCYP-0126-SM-E6CIS 20-29 years, female 63.5
GTEX-1S82Z-0726-SM-E6CHX 30-39 years, female 63.4
GTEX-1RLM8-2226-SM-EVYD1 50-59 years, male 62.8
GTEX-11DZ1-0326-SM-5N9BN 50-59 years, male 62.6
GTEX-XMD2-0926-SM-4WWEF 60-69 years, female 61.5
GTEX-11I78-2226-SM-5PNYA 50-59 years, female 61.3
GTEX-XMD1-0826-SM-4AT52 60-69 years, male 61.2
GTEX-ZT9W-2026-SM-51MRA 50-59 years, male 61.2
GTEX-14ABY-2126-SM-5QGQZ 50-59 years, male 60.5
GTEX-1H1ZS-0126-SM-9YFKQ 70-79 years, male 60.5
GTEX-13CF3-2126-SM-5IFJP 60-69 years, female 60.3
GTEX-ZZ64-1226-SM-5E43R 20-29 years, male 59.7
GTEX-ZWKS-2826-SM-5NQ74 30-39 years, male 59.5
GTEX-1LNCM-0226-SM-DIPF4 50-59 years, female 59.4
GTEX-13SLW-2526-SM-62LDQ 70-79 years, male 59.3
GTEX-R55D-0826-SM-48FEA 50-59 years, male 59.3
GTEX-139TU-0626-SM-5KM3X 60-69 years, male 59.2
GTEX-17MF6-0326-SM-7EPH5 40-49 years, male 59.2
GTEX-131XW-0726-SM-5EGK3 50-59 years, female 58.9
GTEX-145MO-0826-SM-5NQBL 60-69 years, male 58.6
GTEX-14PHY-1926-SM-5YY95 60-69 years, female 58.6
GTEX-1CAMR-1426-SM-793BO 20-29 years, male 58.5
GTEX-1I1GP-0426-SM-COH3N 50-59 years, male 58.5
GTEX-1R7EV-1526-SM-E8VOD 40-49 years, male 58.4
GTEX-13N1W-0626-SM-5MR4U 70-79 years, male 57.8
GTEX-X4EP-2926-SM-3P5YQ 60-69 years, female 57.4
GTEX-14753-2426-SM-5LU8U 60-69 years, male 57.3
GTEX-14H4A-2526-SM-5YYAY 40-49 years, female 57.3
GTEX-12BJ1-1826-SM-5HL9N 60-69 years, male 57.1
GTEX-1LSVX-2426-SM-E6CJX 60-69 years, male 57.0
GTEX-17F9E-2526-SM-7MGW2 50-59 years, male 56.9
GTEX-1I1GV-2426-SM-CGQFM 60-69 years, male 56.9
GTEX-ZTTD-1026-SM-51MRD 50-59 years, male 56.8
GTEX-13O61-1826-SM-5KM4I 60-69 years, male 55.9
GTEX-1I19N-2826-SM-CL55D 70-79 years, male 55.8
GTEX-ZVT2-1826-SM-5NQ8W 50-59 years, female 55.6
GTEX-1MJK3-1126-SM-E9J3F 20-29 years, male 55.5
GTEX-145MN-1926-SM-5SIAI 30-39 years, male 54.9
GTEX-1JJE9-2326-SM-ARL8Q 70-79 years, male 54.5
GTEX-1HCVE-2626-SM-ADEJ8 50-59 years, male 54.3
GTEX-14B4R-1226-SM-5TDDT 30-39 years, male 54.0
GTEX-139T6-1626-SM-5PNYZ 50-59 years, male 53.9
GTEX-1HUB1-1626-SM-CM2SL 60-69 years, male 53.8
GTEX-133LE-1726-SM-5K7VQ 20-29 years, female 53.6
GTEX-14PJO-0726-SM-69LO8 60-69 years, male 53.5
GTEX-1F5PK-2126-SM-7PC28 50-59 years, male 53.5
GTEX-1IOXB-1926-SM-ARL8E 50-59 years, male 53.4
GTEX-17EUY-1926-SM-7DUF6 20-29 years, male 53.3
GTEX-XMK1-1126-SM-4IHJ8 40-49 years, male 53.3
GTEX-169BO-1126-SM-7MGWN 50-59 years, male 52.7
GTEX-117XS-1926-SM-5GICO 60-69 years, male 52.5
GTEX-1B8SG-1226-SM-7IGPF 50-59 years, male 52.5
GTEX-1HCU9-0326-SM-9WYSC 20-29 years, male 52.5
GTEX-11ZTT-2326-SM-5EQLG 60-69 years, female 52.4
GTEX-1399U-1826-SM-5PNZ1 50-59 years, female 52.4
GTEX-13OW8-0226-SM-5K7UP 60-69 years, male 52.4
GTEX-Y9LG-1426-SM-5IFJZ 30-39 years, male 52.3
GTEX-1RAZQ-1226-SM-EWRNL 30-39 years, male 52.3
GTEX-XGQ4-0926-SM-4AT4U 50-59 years, male 52.2
GTEX-11TT1-2126-SM-5GU5Y 20-29 years, male 52.1
GTEX-X4XY-0926-SM-4E3JD 60-69 years, male 52.0
GTEX-T2IS-1526-SM-32QPR 20-29 years, female 51.9
GTEX-1R9JW-0326-SM-EAZ45 30-39 years, female 51.9
GTEX-18D9A-1526-SM-7LG4J 30-39 years, female 51.8
GTEX-1C6WA-2426-SM-7SB86 60-69 years, male 51.7
GTEX-1IDFM-0426-SM-B2LVV 60-69 years, male 51.7
GTEX-1K9T9-1426-SM-DIPFQ 50-59 years, female 51.7
GTEX-131YS-0626-SM-5EGKL 60-69 years, female 51.5
GTEX-1J8Q2-2726-SM-A9G2X 60-69 years, male 51.5
GTEX-1L5NE-2126-SM-CY8IH 50-59 years, male 51.5
GTEX-WI4N-1426-SM-3LK7H 40-49 years, female 51.2
GTEX-1M4P7-2626-SM-E9U5F 60-69 years, male 51.2
GTEX-1GMR2-1926-SM-9MQLZ 50-59 years, male 51.1
GTEX-1HSEH-2026-SM-ADEHN 60-69 years, male 51.0
GTEX-11PRG-0826-SM-5EQ6A 50-59 years, male 50.9
GTEX-Q2AG-0326-SM-48U1O 40-49 years, female 50.9
GTEX-QVJO-1826-SM-447C9 60-69 years, female 50.9
GTEX-ZVTK-0326-SM-51MRR 20-29 years, male 50.9
GTEX-PSDG-1626-SM-48TCQ 50-59 years, male 50.8
GTEX-1H11D-1526-SM-9MQJY 40-49 years, male 50.8
GTEX-17EVQ-0426-SM-7LG57 70-79 years, male 50.7
GTEX-1B8KE-1226-SM-73KWK 50-59 years, male 50.7
GTEX-S33H-0326-SM-4AD6N 30-39 years, male 50.7
GTEX-1I4MK-1626-SM-CM2TJ 50-59 years, female 50.7
GTEX-11LCK-2426-SM-5HL5F 30-39 years, male 50.6
GTEX-1H1DG-0526-SM-9YFLN 70-79 years, male 50.6
GTEX-1192X-2326-SM-5987X 50-59 years, male 50.4
GTEX-1JMPZ-1626-SM-COH31 30-39 years, male 50.4
GTEX-111YS-1926-SM-5GICC 60-69 years, male 50.3
GTEX-1GF9U-1726-SM-7MGY5 40-49 years, female 50.3
GTEX-1MA7W-1026-SM-DKPQK 20-29 years, female 50.2
GTEX-1ICG6-1326-SM-ACKWR 70-79 years, female 50.1
GTEX-1S82U-1126-SM-E9U6I 30-39 years, female 50.0
GTEX-1MA7X-1626-SM-E9U5B 60-69 years, male 49.9
GTEX-Y3I4-1526-SM-4TT7K 50-59 years, male 49.8
GTEX-145MF-2226-SM-7EPIR 50-59 years, male 49.7
GTEX-ZYFC-0826-SM-5E44K 50-59 years, male 49.7
GTEX-1AX9J-1126-SM-731B7 60-69 years, male 49.6
GTEX-1KAFJ-0226-SM-DIPEL 50-59 years, male 49.6
GTEX-13D11-1026-SM-5IJFB 50-59 years, female 49.3
GTEX-14AS3-1626-SM-5S2OY 40-49 years, female 49.3
GTEX-1N5O9-1126-SM-DTXEQ 60-69 years, male 49.3
GTEX-WFG8-2026-SM-EXOHO 20-29 years, male 49.3
GTEX-1HR98-0426-SM-COH36 60-69 years, male 49.2
GTEX-1IDJU-1826-SM-CMKHV 60-69 years, female 49.2
GTEX-11ZUS-0826-SM-5FQUY 30-39 years, male 49.1
GTEX-ZYT6-0126-SM-5E45J 30-39 years, male 49.1
GTEX-1KANA-2026-SM-DIPFB 20-29 years, male 49.1
GTEX-1A8G7-2426-SM-731AK 60-69 years, male 49.0
GTEX-XQ8I-2426-SM-4WAXY 50-59 years, male 48.7
GTEX-1QPFJ-2026-SM-EVYBE 30-39 years, female 48.7
GTEX-11O72-2126-SM-5N9FO 40-49 years, male 48.6
GTEX-1AX9I-0726-SM-73KWV 60-69 years, male 48.6
GTEX-1PPGY-1526-SM-EVYBK 60-69 years, male 48.6
GTEX-VUSG-2226-SM-4KKZO 50-59 years, male 48.5
GTEX-13S86-1226-SM-5S2OA 40-49 years, male 48.4
GTEX-1ICLZ-0426-SM-B2LW2 60-69 years, male 48.4
GTEX-1P4AB-1826-SM-E76PU 50-59 years, male 48.4
GTEX-183WM-0726-SM-7LTAA 70-79 years, female 48.3
GTEX-S4Q7-1126-SM-4AD6R 20-29 years, male 48.2
GTEX-U8XE-0826-SM-4E3J1 30-39 years, male 48.2
GTEX-1LSNM-1326-SM-E9TJ1 50-59 years, male 48.2
GTEX-16YQH-2826-SM-6PAMY 30-39 years, male 48.1
GTEX-1ICLY-1726-SM-B2LVT 50-59 years, male 48.0
GTEX-14ICK-2426-SM-6EU27 40-49 years, male 47.9
GTEX-YB5K-1626-SM-5IFIN 40-49 years, female 47.9
GTEX-1KD5A-1926-SM-DKPQA 50-59 years, male 47.9
GTEX-QMRM-1626-SM-D4P1U 50-59 years, male 47.8
GTEX-1QW4Y-1026-SM-DTXE2 30-39 years, male 47.6
GTEX-13PVQ-1026-SM-5KM3M 50-59 years, male 47.5
GTEX-11DXY-2326-SM-5GICW 60-69 years, male 47.4
GTEX-XUZC-1626-SM-4BRVP 30-39 years, female 47.3
GTEX-YEC3-1026-SM-5IFI5 50-59 years, male 47.3
GTEX-1IE54-0626-SM-ARL8D 40-49 years, female 47.3
GTEX-1JKYN-0726-SM-ARZMY 30-39 years, male 47.3
GTEX-1C6VS-0726-SM-7EPHF 60-69 years, male 47.1
GTEX-1117F-2826-SM-5GZXL 60-69 years, female 47.0
GTEX-13FTW-1426-SM-5LZWZ 40-49 years, male 47.0
GTEX-13W3W-1226-SM-5LU4H 60-69 years, female 46.9
GTEX-ZVE2-1226-SM-5NQ8R 50-59 years, male 46.9
GTEX-1POEN-0926-SM-DTX88 30-39 years, female 46.9
GTEX-1GN2E-2226-SM-9WG6J 60-69 years, male 46.8
GTEX-1QCLZ-2326-SM-DTXDO 60-69 years, female 46.8
GTEX-1HT8W-2226-SM-CGQEC 30-39 years, male 46.7
GTEX-1R9PN-0326-SM-DTX85 40-49 years, female 46.7
GTEX-1GPI6-0626-SM-7RHHJ 60-69 years, male 46.6
GTEX-15G19-2126-SM-6M48J 60-69 years, male 46.5
GTEX-YFCO-1826-SM-4W1YH 40-49 years, male 46.5
GTEX-1122O-1226-SM-5H113 60-69 years, female 46.4
GTEX-17F96-2426-SM-7IGLN 70-79 years, male 46.4
GTEX-13NZB-2126-SM-5MR4Y 30-39 years, male 46.1
GTEX-ZAB4-2526-SM-5HL8M 40-49 years, male 46.0
GTEX-1HBPM-0126-SM-ARL9E 60-69 years, female 46.0
GTEX-ZLFU-2126-SM-DO931 40-49 years, male 46.0
GTEX-11GSO-1926-SM-5A5K3 60-69 years, male 45.8
GTEX-18A7B-2626-SM-7LG55 70-79 years, male 45.8
GTEX-1EN7A-1426-SM-7PBY4 40-49 years, male 45.7
GTEX-1GZ4H-0326-SM-7P8QX 50-59 years, female 45.7
GTEX-11EMC-2026-SM-5A5JV 60-69 years, female 45.6
GTEX-145LT-0726-SM-5S2VM 40-49 years, male 45.6
GTEX-1E2YA-2726-SM-7IGPW 50-59 years, male 45.6
GTEX-X261-0626-SM-3NMD9 50-59 years, male 45.6
GTEX-1RQEC-2026-SM-DTXDM 60-69 years, male 45.6
GTEX-12ZZX-1126-SM-5EGKB 40-49 years, female 45.4
GTEX-17GQL-0326-SM-7LG5U 60-69 years, male 45.4
GTEX-1JMOU-2026-SM-CMKGU 60-69 years, female 45.4
GTEX-1JMPY-0526-SM-CL54O 30-39 years, male 45.4
GTEX-1QP29-1726-SM-E8VMQ 50-59 years, male 45.4
GTEX-1GMRU-0826-SM-9WYT7 50-59 years, male 45.3
GTEX-WYJK-1326-SM-3NB2T 50-59 years, male 45.2
GTEX-13O3O-0826-SM-5K7WE 60-69 years, female 45.1
GTEX-145ME-1526-SM-5Q5F2 40-49 years, female 45.1
GTEX-S32W-2026-SM-4AD6E 50-59 years, female 45.1
GTEX-ZLWG-1926-SM-DO92J 50-59 years, female 45.1
GTEX-XQ3S-1326-SM-4BOPQ 20-29 years, male 45.0
GTEX-XV7Q-2326-SM-4BRVZ 40-49 years, female 45.0
GTEX-ZDTT-2126-SM-DKPOM 60-69 years, male 45.0
GTEX-16NGA-0826-SM-718AF 40-49 years, female 44.9
GTEX-1LVAN-1326-SM-CNPQE 50-59 years, female 44.9
GTEX-1QP28-1226-SM-E9J2M 50-59 years, female 44.9
GTEX-12WSN-1326-SM-5GCNT 40-49 years, male 44.8
GTEX-14BMU-1626-SM-5TDE7 20-29 years, female 44.7
GTEX-1AMEY-1026-SM-718AA 30-39 years, female 44.7
GTEX-14PKU-0426-SM-6EU1P 40-49 years, female 44.6
GTEX-XYKS-1326-SM-4BRUN 60-69 years, female 44.6
GTEX-17MFQ-0926-SM-7LG4S 20-29 years, male 44.5
GTEX-Y8E4-1626-SM-5S2MW 40-49 years, male 44.5
GTEX-18A6Q-0926-SM-7LG4N 60-69 years, male 44.4
GTEX-1CB4G-2326-SM-79OOI 60-69 years, male 44.4
GTEX-1F5PL-1026-SM-7RHI1 40-49 years, female 44.4
GTEX-1I6K6-0826-SM-ARL7Z 30-39 years, male 44.4
GTEX-11EM3-1326-SM-5N9C6 20-29 years, female 44.3
GTEX-13NZ9-1026-SM-5MR5K 50-59 years, male 44.3
GTEX-14E6C-1326-SM-62LEQ 40-49 years, male 44.3
GTEX-1NUQO-2226-SM-E9U68 20-29 years, female 44.3
GTEX-S4P3-1326-SM-4AD6V 50-59 years, female 44.1
GTEX-ZEX8-2226-SM-57WC6 50-59 years, male 44.0
GTEX-14E7W-0826-SM-62LEJ 70-79 years, male 43.9
GTEX-1R7EU-1226-SM-E8VMR 60-69 years, male 43.8
GTEX-13SLX-2326-SM-5ZZWE 50-59 years, female 43.7
GTEX-147F4-2826-SM-5NQBN 50-59 years, male 43.6
GTEX-1CAMS-1426-SM-7IGPM 40-49 years, female 43.6
GTEX-ZQG8-0726-SM-5P9H9 60-69 years, female 43.6
GTEX-17HGU-1326-SM-79OKB 50-59 years, male 43.5
GTEX-1NHNU-0926-SM-E9J2T 50-59 years, male 43.5
GTEX-ZF3C-2326-SM-5S2NC 50-59 years, female 43.5
GTEX-1GPI7-0926-SM-7PC3J 20-29 years, male 43.4
GTEX-1B97I-0426-SM-79OL7 40-49 years, male 43.3
GTEX-1F75B-0626-SM-7SB8A 50-59 years, male 43.3
GTEX-ZLV1-1426-SM-DO92Z 60-69 years, female 43.3
GTEX-11TUW-1826-SM-5BC5D 60-69 years, male 43.2
GTEX-132NY-0826-SM-5K7Y7 60-69 years, male 43.2
GTEX-1CB4J-1826-SM-7EWF9 60-69 years, male 43.2
GTEX-1N2EF-2226-SM-E9J33 60-69 years, male 43.2
GTEX-11DXW-0626-SM-5N9ER 40-49 years, male 43.0
GTEX-11GS4-2126-SM-5A5KR 60-69 years, male 43.0
GTEX-11ONC-2126-SM-5HL6E 60-69 years, male 43.0
GTEX-15FZZ-0726-SM-7KUFZ 30-39 years, female 43.0
GTEX-1LVAM-0926-SM-E9TJ2 50-59 years, female 43.0
GTEX-RWS6-1926-SM-47JXY 60-69 years, female 42.9
GTEX-1KXAM-1026-SM-CY8IA 60-69 years, male 42.9
GTEX-Y5V6-2126-SM-4WWFX 60-69 years, male 42.8
GTEX-Y8LW-1626-SM-5IFHX 50-59 years, female 42.8
GTEX-144GL-2026-SM-5LU3O 50-59 years, male 42.7
GTEX-1I1GT-1126-SM-ARL7J 60-69 years, female 42.7
GTEX-1QCLY-1626-SM-DTXDW 30-39 years, male 42.7
GTEX-WHSB-1926-SM-EXOHH 50-59 years, male 42.7
GTEX-T5JC-2126-SM-32PMO 20-29 years, male 42.6
GTEX-ZDYS-1126-SM-5K7UB 50-59 years, male 42.6
GTEX-1EU9M-2826-SM-7EWFH 60-69 years, male 42.5
GTEX-11EQ9-1826-SM-5Q5AJ 30-39 years, male 42.4
GTEX-1HC8U-0826-SM-ADEIL 40-49 years, female 42.4
GTEX-S4UY-0726-SM-4AD6X 40-49 years, female 42.1
GTEX-U412-1826-SM-4DXTJ 60-69 years, male 42.1
GTEX-ZA64-1526-SM-5CVMD 20-29 years, male 42.1
GTEX-ZYW4-0826-SM-5GIDG 60-69 years, male 42.0
GTEX-1QP9N-1826-SM-E8VMP 30-39 years, male 42.0
GTEX-ZV6S-1826-SM-5NQ8D 40-49 years, female 41.9
GTEX-1I1HK-2426-SM-ADEHX 60-69 years, male 41.9
GTEX-QEG5-0726-SM-D4P1T 20-29 years, male 41.9
GTEX-R53T-1526-SM-48FEK 50-59 years, female 41.8
GTEX-1H23P-0726-SM-9WG7K 60-69 years, male 41.8
GTEX-139T8-0826-SM-5L3DE 60-69 years, male 41.6
GTEX-1RAZS-1226-SM-E8VMT 50-59 years, male 41.6
GTEX-13FHO-0826-SM-5L3E8 60-69 years, male 41.5
GTEX-17KNJ-2026-SM-7LG53 50-59 years, male 41.5
GTEX-1I1GU-1026-SM-ADEHJ 40-49 years, male 41.5
GTEX-1JN6P-2426-SM-ARL99 60-69 years, male 41.5
GTEX-T6MN-0726-SM-32PML 50-59 years, male 41.4
GTEX-XBED-1626-SM-47JYN 60-69 years, male 41.4
GTEX-11P7K-0726-SM-5EGKX 30-39 years, male 41.3
GTEX-1J8Q3-1326-SM-CMKI1 60-69 years, male 41.3
GTEX-1PPH7-0826-SM-E8VNX 40-49 years, male 41.3
GTEX-1R46S-2526-SM-E8VN2 60-69 years, female 41.3
GTEX-ZGAY-1726-SM-DO91P 40-49 years, female 41.3
GTEX-15RJE-2626-SM-7KFT1 40-49 years, male 41.2
GTEX-1F75I-2026-SM-7SB7N 40-49 years, male 41.2
GTEX-1IDJF-2326-SM-ARL86 20-29 years, male 41.2
GTEX-RUSQ-2026-SM-4GIAK 50-59 years, male 41.1
GTEX-T2YK-2226-SM-32QPT 50-59 years, male 41.1
GTEX-ZF29-1926-SM-5S2P1 60-69 years, female 41.0
GTEX-1IKJJ-2326-SM-COH3U 60-69 years, male 41.0
GTEX-1R9PM-1826-SM-EVYBH 20-29 years, male 41.0
GTEX-18465-2026-SM-718AP 50-59 years, male 40.7
GTEX-1LGRB-1826-SM-CNPQL 50-59 years, female 40.7
GTEX-1MJK2-2226-SM-EVYCR 50-59 years, male 40.7
GTEX-11P82-1326-SM-5HL62 20-29 years, male 40.6
GTEX-17EVP-0226-SM-79OND 40-49 years, male 40.5
GTEX-XUW1-2326-SM-4BOO5 50-59 years, female 40.5
GTEX-1IKOH-2326-SM-CM2TW 60-69 years, female 40.5
GTEX-Z9EW-1526-SM-EZ6LU 40-49 years, male 40.5
GTEX-12WSM-1726-SM-5BC6J 60-69 years, male 40.4
GTEX-YJ8O-2226-SM-5IFHW 40-49 years, female 40.4
GTEX-11GSP-0926-SM-9WYSG 60-69 years, female 40.1
GTEX-1HFI7-0126-SM-CGQFQ 50-59 years, female 40.1
GTEX-ZAK1-1326-SM-EVYAS 50-59 years, female 40.1
GTEX-WYBS-0926-SM-3NM94 60-69 years, female 39.9
GTEX-13FTX-1126-SM-5N9EN 20-29 years, female 39.8
GTEX-1N2EE-2126-SM-E8VNN 60-69 years, male 39.8
GTEX-11OF3-1926-SM-59889 60-69 years, male 39.7
GTEX-1H1E6-0926-SM-9YFLT 30-39 years, male 39.6
GTEX-1HCU8-0126-SM-ADEHH 60-69 years, female 39.6
GTEX-1IDJE-0826-SM-CKZNZ 50-59 years, female 39.6
GTEX-1OKEX-0826-SM-E9J2B 60-69 years, male 39.6
GTEX-183FY-1126-SM-7DHLJ 20-29 years, male 39.5
GTEX-1QMI2-0726-SM-E9J4F 60-69 years, male 39.4
GTEX-WRHU-0326-SM-3MJFY 50-59 years, female 39.3
GTEX-1HSMO-0826-SM-ADEIV 60-69 years, male 39.3
GTEX-1I6K7-1026-SM-A9SLK 40-49 years, male 39.3
GTEX-13FTY-2226-SM-5J1ND 40-49 years, female 39.2
GTEX-14A5I-0726-SM-5TDEB 50-59 years, female 39.2
GTEX-1B97J-0426-SM-79OLQ 50-59 years, female 39.2
GTEX-ZAJG-0626-SM-5HL8X 50-59 years, female 39.2
GTEX-12WSK-2226-SM-5GCO5 40-49 years, female 39.1
GTEX-XOT4-0726-SM-4GIAW 60-69 years, female 39.1
GTEX-WY7C-2726-SM-3NB3P 50-59 years, male 39.0
GTEX-1JK1U-1826-SM-ARL8W 60-69 years, male 39.0
GTEX-1K2DA-1726-SM-CGQGS 50-59 years, male 39.0
GTEX-1PDJ9-1126-SM-EXUSW 20-29 years, male 39.0
GTEX-15ETS-0626-SM-7KUMX 40-49 years, female 38.9
GTEX-YECK-0726-SM-EZ6LV 60-69 years, male 38.9
GTEX-1A3MX-2726-SM-718B6 60-69 years, male 38.8
GTEX-ZV7C-1826-SM-5NQ83 50-59 years, male 38.8
GTEX-1269C-2426-SM-5FQSN 60-69 years, female 38.7
GTEX-144GM-0926-SM-5O994 20-29 years, male 38.7
GTEX-UPK5-2326-SM-3P5Z8 40-49 years, male 38.7
GTEX-13O3Q-2226-SM-5KM4O 50-59 years, male 38.6
GTEX-16BQI-1026-SM-7KUEA 30-39 years, female 38.6
GTEX-1HCU7-1026-SM-ADEIP 50-59 years, male 38.6
GTEX-1QEPI-0926-SM-DTXF3 60-69 years, female 38.6
GTEX-T6MO-0326-SM-32QOK 40-49 years, female 38.5
GTEX-ZXES-0826-SM-5E43C 30-39 years, female 38.5
GTEX-13OW5-2226-SM-5L3HC 60-69 years, male 38.4
GTEX-13PL6-2926-SM-5L3I2 40-49 years, female 38.3
GTEX-1H3VY-0926-SM-ACKXE 50-59 years, male 38.3
GTEX-13PVR-2226-SM-7DHKP 60-69 years, female 38.2
GTEX-1EKGG-2626-SM-7IGPY 60-69 years, male 38.2
GTEX-UJHI-1426-SM-3DB9C 50-59 years, female 38.2
GTEX-1HBPN-2326-SM-9WPPU 50-59 years, male 38.2
GTEX-11WQK-2426-SM-5GU5C 50-59 years, male 38.1
GTEX-18A7A-0726-SM-7LTAI 50-59 years, female 38.1
GTEX-11NSD-0926-SM-5N9DR 20-29 years, male 38.0
GTEX-Y114-2026-SM-4TT7L 50-59 years, female 38.0
GTEX-1BAJH-0826-SM-7EWEF 70-79 years, male 37.9
GTEX-13CF2-2026-SM-5K7VI 60-69 years, male 37.8
GTEX-QDT8-0626-SM-48TYW 30-39 years, female 37.8
GTEX-Y3IK-2326-SM-4WWDT 50-59 years, female 37.8
GTEX-1LC47-1226-SM-D4P44 60-69 years, male 37.7
GTEX-17JCI-0726-SM-7EPH1 60-69 years, female 37.6
GTEX-TMMY-0726-SM-33HBE 40-49 years, female 37.6
GTEX-17F98-0526-SM-79OK5 40-49 years, female 37.5
GTEX-S7SE-0826-SM-4AT4D 50-59 years, male 37.5
GTEX-X15G-1626-SM-3NMB3 50-59 years, female 37.5
GTEX-1GF9X-1026-SM-ACKX2 40-49 years, female 37.5
GTEX-1H4P4-2226-SM-9MQKQ 50-59 years, male 37.5
GTEX-X62O-0526-SM-EWRMA 50-59 years, male 37.5
GTEX-17HHE-1426-SM-7EPH4 50-59 years, male 37.4
GTEX-11EI6-0626-SM-5985T 60-69 years, male 37.2
GTEX-13W46-0826-SM-5LU3H 50-59 years, male 37.2
GTEX-R3RS-0626-SM-48FE1 40-49 years, female 37.2
GTEX-1IGQW-0926-SM-ADEH6 60-69 years, male 37.2
GTEX-132AR-0826-SM-5EGK6 50-59 years, female 36.9
GTEX-13VXU-2826-SM-664MA 50-59 years, male 36.9
GTEX-11NV4-2026-SM-5N9DG 60-69 years, male 36.7
GTEX-14E6E-1326-SM-5S2NR 30-39 years, male 36.7
GTEX-15UF6-0126-SM-6PAMB 70-79 years, female 36.7
GTEX-1LG7Z-0726-SM-CXKYD 30-39 years, male 36.6
GTEX-ZC5H-2626-SM-5J2MG 40-49 years, female 36.5
GTEX-17F97-2526-SM-7EWDV 50-59 years, male 36.4
GTEX-ZDXO-0126-SM-5S2ND 60-69 years, male 36.4
GTEX-1313W-0826-SM-5EQ4T 50-59 years, female 36.3
GTEX-U3ZH-1426-SM-4DXSR 30-39 years, male 36.2
GTEX-1HKZK-1826-SM-ADEJ2 40-49 years, male 36.1
GTEX-RU72-0626-SM-46MUI 50-59 years, female 36.0
GTEX-1GMR3-2626-SM-7RHHG 40-49 years, male 35.9
GTEX-1KANC-1426-SM-CYPT9 50-59 years, female 35.9
GTEX-ZZPU-0626-SM-5E43T 50-59 years, female 35.7
GTEX-1HCUA-0726-SM-ACKVU 50-59 years, female 35.6
GTEX-1211K-1926-SM-5EQLB 60-69 years, female 35.5
GTEX-17HHY-0926-SM-793C1 50-59 years, male 35.5
GTEX-1HSKV-2026-SM-CMKGX 60-69 years, male 35.5
GTEX-15UF7-0726-SM-6M46D 40-49 years, male 35.4
GTEX-15ER7-1626-SM-6PAMZ 20-29 years, female 35.2
GTEX-WXYG-2226-SM-4E3IM 50-59 years, female 35.0
GTEX-ZTPG-2826-SM-57WGA 20-29 years, female 35.0
GTEX-S341-1526-SM-4AD6K 40-49 years, female 34.9
GTEX-1IKOE-1326-SM-CE6T6 30-39 years, female 34.9
GTEX-1CB4E-0226-SM-79OLW 60-69 years, male 34.8
GTEX-ZVT4-1026-SM-57WC4 50-59 years, female 34.6
GTEX-1IY9M-2726-SM-CMKG5 60-69 years, male 34.5
GTEX-15EOM-5019-SM-793DK 20-29 years, female 34.4
GTEX-1JKYR-0926-SM-CMKGJ 20-29 years, male 34.3
GTEX-REY6-2426-SM-48FF5 60-69 years, male 34.0
GTEX-ZU9S-1926-SM-5NQBP 30-39 years, male 34.0
GTEX-1JMQK-2626-SM-COH2W 60-69 years, male 33.9
GTEX-1KD4Q-2326-SM-D4P3M 40-49 years, male 33.9
GTEX-13NZ8-0126-SM-5IJCT 60-69 years, female 33.8
GTEX-17HG3-0126-SM-7IGNH 30-39 years, female 33.8
GTEX-YFC4-1426-SM-5IFJG 40-49 years, female 33.7
GTEX-11DXZ-1926-SM-5GZZL 50-59 years, male 33.6
GTEX-1J8QM-2026-SM-ARZMW 60-69 years, female 33.5
GTEX-1GZHY-0726-SM-9WG6B 50-59 years, female 33.4
GTEX-12KS4-0126-SM-5Q5A5 30-39 years, male 33.3
GTEX-13QIC-2326-SM-5LU5N 60-69 years, female 33.3
GTEX-Y5V5-2126-SM-4WWFO 60-69 years, female 33.3
GTEX-1GF9V-2526-SM-7SB8K 60-69 years, male 33.3
GTEX-1H1CY-2226-SM-9WG7E 60-69 years, female 33.1
GTEX-1A3MV-1626-SM-731C1 30-39 years, male 33.0
GTEX-1B8L1-2426-SM-9WYTE 60-69 years, male 32.9
GTEX-1GN1W-1926-SM-7P8TH 50-59 years, female 32.9
GTEX-11WQC-1726-SM-5GU4W 60-69 years, male 32.7
GTEX-1C6VQ-0426-SM-79OOX 50-59 years, male 32.7
GTEX-TKQ1-0226-SM-33HB5 30-39 years, male 32.6
GTEX-WYVS-1726-SM-3NMAY 40-49 years, female 32.6
GTEX-13N11-1726-SM-5J1OJ 50-59 years, female 32.5
GTEX-ZPIC-1126-SM-5BC7F 40-49 years, female 32.5
GTEX-ZTX8-1226-SM-4YCE9 20-29 years, male 32.5
GTEX-1JN1M-3026-SM-CMKGK 60-69 years, female 32.5
GTEX-1M5QR-2526-SM-E9U5P 40-49 years, male 32.5
GTEX-SE5C-2126-SM-4BRUJ 40-49 years, female 32.4
GTEX-117YX-1426-SM-5H12H 50-59 years, male 32.1
GTEX-14PJ4-2126-SM-6ETZJ 60-69 years, male 32.1
GTEX-T5JW-2026-SM-4DM63 20-29 years, female 32.1
GTEX-15SHW-1326-SM-6PAL8 60-69 years, male 31.9
GTEX-ZUA1-1526-SM-59HLS 40-49 years, male 31.9
GTEX-Y111-2026-SM-4SOJA 50-59 years, male 31.8
GTEX-1LBAC-0926-SM-CXKY9 20-29 years, male 31.8
GTEX-TML8-1226-SM-32QON 40-49 years, female 31.5
GTEX-18A66-1726-SM-7LG5N 60-69 years, male 31.5
GTEX-13O3P-0826-SM-5L3DH 50-59 years, male 31.4
GTEX-ZF2S-2026-SM-5E461 50-59 years, female 31.4
GTEX-1GZ4I-2826-SM-9MQK5 50-59 years, male 31.4
GTEX-146FH-0826-SM-5SI8T 50-59 years, female 31.3
GTEX-18QFQ-0826-SM-718AX 30-39 years, male 31.3
GTEX-1B933-2526-SM-7IGO5 50-59 years, female 31.3
GTEX-1C475-1226-SM-7SB72 40-49 years, female 31.1
GTEX-1F75A-1826-SM-7SB8G 50-59 years, male 31.1
GTEX-ZY6K-1626-SM-5GZWV 50-59 years, male 31.0
GTEX-1314G-1226-SM-5BC6D 30-39 years, male 30.8
GTEX-1J8EW-2626-SM-CL53E 60-69 years, female 30.6
GTEX-RU1J-0626-SM-4WAWY 20-29 years, female 30.5
GTEX-V955-2026-SM-3GAFA 60-69 years, male 30.3
GTEX-WFON-1826-SM-3GILG 40-49 years, male 30.3
GTEX-1GMR8-0726-SM-9KNVI 50-59 years, female 29.8
GTEX-11P81-1926-SM-5BC53 30-39 years, female 29.7
GTEX-1B8KZ-1526-SM-7DUG7 50-59 years, male 29.7
GTEX-14DAR-1326-SM-7DUEG 50-59 years, male 29.6
GTEX-WOFL-0826-SM-3MJG1 60-69 years, male 29.5
GTEX-1EWIQ-1726-SM-7SB7T 70-79 years, female 29.5
GTEX-1NV8Z-2826-SM-E8VME 60-69 years, male 29.1
GTEX-1AX8Z-0926-SM-731AW 60-69 years, male 28.9
GTEX-1MCC2-2126-SM-EWRON 30-39 years, female 28.8
GTEX-1B932-0826-SM-73KXG 40-49 years, female 28.5
GTEX-UTHO-1026-SM-3GAF7 60-69 years, male 27.9
GTEX-1F6I4-2526-SM-7SB8F 60-69 years, male 27.6
GTEX-1C64O-0726-SM-7DUFU 60-69 years, male 27.3
GTEX-1GN1U-0526-SM-9KNTT 50-59 years, female 27.2
GTEX-1JMLX-2026-SM-CMKGN 50-59 years, male 26.8
GTEX-13113-5013-SM-7SB7G 60-69 years, female 25.4
GTEX-ZVZQ-0826-SM-51MRF 60-69 years, female 24.9
GTEX-TKQ2-1826-SM-33HB2 50-59 years, male 24.5
GTEX-13QJ3-0826-SM-7DHKK 50-59 years, male 23.0
GTEX-1GZ2Q-2626-SM-7MXV9 40-49 years, male 22.9
GTEX-1HR9M-2426-SM-ACKXI 60-69 years, male 22.9
GTEX-VJWN-0726-SM-3GIJ8 50-59 years, female 22.1
GTEX-U3ZN-1926-SM-4DXSG 30-39 years, female 21.9
GTEX-W5X1-2326-SM-3GIL6 40-49 years, female 21.7
GTEX-1HSGN-1526-SM-A9SMO 40-49 years, female 21.2
GTEX-QEL4-2126-SM-447AE 50-59 years, male 20.1
GTEX-1LSNL-2826-SM-E9U5L 50-59 years, male 16.7
Show allShow less

BREAST - FANTOM5 CAGEi

RNA expression in human tissues obtained through Cap Analysis of Gene Expression (CAGE) generated by the FANTOM5 project are reported as Scaled Tags Per Million.

Max subtype Scaled Tags Per Millioni

Max subtype Scaled Tags Per Million is the value for the subtype with the largest average Scaled Tags Per Million across the subtype samples.

21.6
FANTOM5 sample id Sample description Scaled Tags Per Million
Breast
Scaled Tags Per Million: 21.6
FF:10080-102A8 77 years, female 21.6

Contact

  • NEWS ARTICLES
  • PRESS ROOM

The Project

  • INTRODUCTION
  • ORGANIZATION
  • PUBLICATIONS

The Human Protein Atlas

  • DOWNLOADABLE DATA
  • LICENCE & CITATION
  • HELP & FAQ
The Human Protein Atlas project is funded
by the Knut & Alice Wallenberg Foundation.


contact@proteinatlas.org