We use cookies to enhance the usability of our website. If you continue, we'll assume that you are happy to receive all cookies. More information. Don't show this again.
SDR39U1
HPA
RESOURCES
  • TISSUE
  • BRAIN
  • SINGLE CELL
  • SUBCELLULAR
  • CANCER
  • BLOOD
  • CELL LINE
  • STRUCTURE & INTERACTION
ABOUT
  • INTRODUCTION
  • HISTORY
  • ORGANIZATION
  • PUBLICATIONS
  • ANTIBODY SUBMISSION
  • ANTIBODY AVAILABILITY
  • ACKNOWLEDGMENTS
  • CONTACT
NEWS
  • NEWS ARTICLES
  • PRESS ROOM
LEARN
  • DICTIONARY
  • PROTEIN CLASSES
  • PROTEIN EVIDENCE
  • METHODS
  • EDUCATIONAL VIDEOS
DATA
  • DOWNLOADABLE DATA
  • PUBLICATION DATA
  • RELEASE HISTORY
HELP
  • ANTIBODY VALIDATION
  • ASSAYS & ANNOTATION
  • DISCLAIMER
  • HELP & FAQ
  • PRIVACY STATEMENT
  • LICENCE & CITATION
Fields »
Search result

Field
Term
Gene name
Class
Subclass
Class
Keyword
Chromosome
External id
Tissue
Cell type
Expression
Antibody panel
Tissue
Main location
Patient ID
Annotation
Tissue
Category
Tau score
Cluster
Reliability
Brain region
Category
Tau score
Brain region
Category
Tau score
Brain region
Category
Tau score
Cluster
Reliability
Tissue
Cell type
Enrichment
Cell type
Category
Tau score
Cell type
Category
Tau score
Cell type
Category
Tau score
Cell lineage
Category
Tau score
Cluster
Cluster
Location
Searches
Location
Cell line
Class
Type
Phase
Reliability
Cancer
Prognosis
Cancer
Category
Cancer
Category
Tau score
Cluster
Variants
Interacting gene (ensg_id)
Type
Number of interactions
Pathway
Category
Score
Score
Score
Validation
Validation
Validation
Validation
Antibodies
Data type
Column


  • SUMMARY

  • TISSUE

  • BRAIN

  • SINGLE CELL

  • SUBCELL

  • CANCER

  • BLOOD

  • CELL LINE

  • STRUCT & INT

  • SDR39U1
TISSUE PRIMARY DATA PANCREAS Show tissue menu
ADIPOSE TISSUE ADRENAL GLAND AMYGDALA APPENDIX BASAL GANGLIA BONE MARROW BREAST BRONCHUS CEREBELLUM CEREBRAL CORTEX CERVIX CHOROID PLEXUS COLON DUODENUM
ENDOMETRIUM EPIDIDYMIS ESOPHAGUS FALLOPIAN TUBE GALLBLADDER HEART MUSCLE HIPPOCAMPAL FORMATION HYPOTHALAMUS KIDNEY LIVER LUNG LYMPH NODE MIDBRAIN NASOPHARYNX
ORAL MUCOSA OVARY PANCREAS PARATHYROID GLAND PITUITARY GLAND PLACENTA PROSTATE RECTUM RETINA SALIVARY GLAND SEMINAL VESICLE SKELETAL MUSCLE SKIN SMALL INTESTINE
SMOOTH MUSCLE SOFT TISSUE SPINAL CORD SPLEEN STOMACH TESTIS THYMUS THYROID GLAND TONGUE TONSIL URINARY BLADDER VAGINA
ANTIBODIES
AND
VALIDATION
Dictionary
Pancreas
Tissue proteome
Pancreas
PANCREAS - Expression summary
Protein expression
Pancreasi

On the top, protein expression in current human tissue, based on all annotated cell types, is reported with the units not detected (n), low (l), medium (m) and high (h). Underneath, protein expression in each annotated cell type are reported using the same units.

Protein expression data is based on knowledge-based annotation. For genes where more than one antibody has been used, a collective score is set.

If knowledge-based annotation could not be performed for a gene, no data is displayed here. View antibody staining data further down this page.

h
m
l
n
Exocrine glandular cells: High
Pancreatic endocrine cells: Low
RNA expressioni

A summary of mRNA expression data available for current tissue based on several datasets. The mRNA expression levels in human tissues are based on RNA-seq data generated by the Human Protein Atlas (HPA), Genotype-Tissue Expression (GTEx) portal and CAGE data generated by the FANTOM5 consortium. Consensus normalized expression levels for human tissues was created by combining the data from HPA and GTEx datasets.

The mRNA expression levels in pig are based on RNA-seq data generated by the Human Protein Atlas (HPA), and for mouse, HPA data and in situ hybridization generated by the Allen brain atlas are reported.

Scroll down to view mRNA expression data in more detail.
Consensus:48.7 nTPM
HPA:25.8 nTPM
GTEx:48.7 nTPM
FANTOM5:27.7 Scaled Tags Per Million

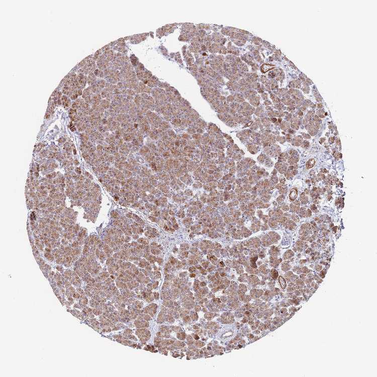
PANCREAS - Antibody stainingi

Antibody staining in the annotated cell types in the current human tissue is reported as not detected, low, medium, or high, based on conventional immunohistochemistry profiling in selected tissues. This score is based on the combination of the staining intensity and fraction of stained cells.

Each image is clickable and will lead to virtual microscopy that enables deeper exploration of all samples and also displays staining intensity scores, fraction scores and subcellular localization as well as patient and tissue information for each sample.

Antibody HPA044294
Exocrine glandular cells High
Pancreatic endocrine cells Low



PANCREAS - HPA RNA-seqi

The RNA-seq details section shows detailed information about the individual samples used for the transcript profiling and results of the RNA-seq analysis.

Information about each individual sample is listed below, including gender, age, a tissue section image and estimated fractions of cell types. nTPM (normalized transcripts per million) values give a quantification of the gene abundance which is comparable between different genes and samples.
Average nTPMi

Max subtype nTPM is the value for the subtype with the largest average nTPM across the subtype samples.

25.8
overview
Female, age 59
Pancreas sample 194
nTPM: 26.5
Cell types%
Exocrine glandular cells:
75

Pancreatic endocrine cells:
10

Ductal cells:
5

Other cell types:
10

overview
Male, age 60
Pancreas sample 195
nTPM: 25.1
Cell types%
Exocrine glandular cells:
90

Pancreatic endocrine cells:
5

Ductal cells:
5


PANCREAS - GTEx RNA-seqi

RNA-Seq data generated by the Genotype-Tissue Expression (GTEx) project from human tissues is reported as mean nTPM. More information can be found on the GTEx portal.

Distribution across the dataset is visualized with box plots, shown as median and 25th and 75th percentiles. Points are displayed as outliers if they are above or below 1.5 times the interquartile range. nTPM values of the individual samples are presented next to the box plot.
Max subtype nTPMi

Max subtype nTPM is the value for the subtype with the largest average nTPM across the subtype samples.

48.7
GTEx sample id Sample description nTPM
Pancreas
Average nTPM: 48.7
Samples: 328

Max nTPM: 83.9
Min nTPM: 26.0
Std nTPM: 10.0
Median nTPM: 48.2
GTEX-1O97I-1726-SM-EXOIP 60-69 years, male 83.9
GTEX-1R46S-1426-SM-EXOJD 60-69 years, female 82.7
GTEX-13YAN-2126-SM-5Q5C4 60-69 years, male 82.1
GTEX-11XUK-0626-SM-5N9ES 40-49 years, female 77.4
GTEX-YB5K-1826-SM-5IFJC 40-49 years, female 75.7
GTEX-17MF6-1426-SM-7IGOX 40-49 years, male 75.2
GTEX-13SLX-1326-SM-5S2QS 50-59 years, female 74.8
GTEX-1PWST-1526-SM-EXOIT 70-79 years, male 74.8
GTEX-ZYT6-1326-SM-5E453 30-39 years, male 72.6
GTEX-1I1GQ-2226-SM-B2LX1 50-59 years, male 70.1
GTEX-WI4N-1826-SM-4OOSF 40-49 years, female 69.1
GTEX-OIZI-1526-SM-E6CHI 40-49 years, male 68.4
GTEX-WRHK-0226-SM-4MVOH 20-29 years, female 68.1
GTEX-T8EM-0826-SM-4DM76 40-49 years, male 67.2
GTEX-1L5NE-0826-SM-DHXKU 50-59 years, male 67.1
GTEX-N7MT-1626-SM-3LK71 60-69 years, female 66.4
GTEX-16Z82-1726-SM-7MGX3 60-69 years, male 66.3
GTEX-13OVI-0526-SM-5IFFQ 60-69 years, female 65.0
GTEX-1OKEX-1726-SM-E9U4F 60-69 years, male 64.9
GTEX-V955-0326-SM-4JBGV 60-69 years, male 64.7
GTEX-1PBJI-2126-SM-DPRYG 20-29 years, female 64.4
GTEX-1MUQO-1426-SM-DPRYJ 60-69 years, male 64.2
GTEX-12WSG-1026-SM-5EGII 50-59 years, female 63.8
GTEX-TMMY-1326-SM-4DXU9 40-49 years, female 63.8
GTEX-X4LF-0326-SM-4QAS9 50-59 years, male 63.6
GTEX-148VI-0826-SM-5TDDI 60-69 years, female 63.5
GTEX-1B933-1726-SM-731FC 50-59 years, female 63.4
GTEX-1CAMQ-1626-SM-7MGXG 40-49 years, male 63.0
GTEX-TML8-0526-SM-32QOQ 40-49 years, female 62.4
GTEX-13FTW-0526-SM-5IFIP 40-49 years, male 62.2
GTEX-1N2DV-1726-SM-DPRYR 40-49 years, male 62.2
GTEX-1399S-0326-SM-5IFFS 30-39 years, female 61.9
GTEX-1H23P-2026-SM-9OSXY 60-69 years, male 61.8
GTEX-13PVR-0726-SM-5S2PX 60-69 years, female 61.6
GTEX-XBEW-1626-SM-4SOJP 40-49 years, male 61.3
GTEX-YF7O-1326-SM-4W1ZR 50-59 years, male 61.2
GTEX-ZDTT-1126-SM-4WKFW 60-69 years, male 61.0
GTEX-1LSNM-0726-SM-DHXL1 50-59 years, male 61.0
GTEX-ZAB4-1726-SM-5HL8C 40-49 years, male 60.4
GTEX-1339X-1026-SM-5IFH5 40-49 years, male 59.7
GTEX-1F5PL-0726-SM-7MKH8 40-49 years, female 59.6
GTEX-1J8EW-1926-SM-CGQGR 60-69 years, female 58.8
GTEX-S33H-1226-SM-4AD69 30-39 years, male 58.6
GTEX-ZYY3-0826-SM-5E44R 60-69 years, female 58.5
GTEX-OXRK-1526-SM-E6CHJ 50-59 years, female 58.5
GTEX-1M5QR-0926-SM-DHXK8 40-49 years, male 58.4
GTEX-15CHR-2026-SM-7MXU2 50-59 years, male 58.2
GTEX-WQUQ-2126-SM-4OOSO 60-69 years, male 58.1
GTEX-1QEPI-1626-SM-EAZ3I 60-69 years, female 58.1
GTEX-14PJN-1526-SM-6AJBP 30-39 years, male 57.8
GTEX-ZDYS-2526-SM-4WKGU 50-59 years, male 57.8
GTEX-1IDJU-0326-SM-CGQEE 60-69 years, female 57.8
GTEX-12WSD-1626-SM-5GCNR 60-69 years, female 57.4
GTEX-13O61-2126-SM-5IJEO 60-69 years, male 57.4
GTEX-18D9U-1626-SM-7KFTW 40-49 years, male 57.1
GTEX-1A8FM-1826-SM-7MGXO 50-59 years, female 57.1
GTEX-14JG6-0426-SM-68715 30-39 years, female 56.8
GTEX-WYJK-2426-SM-4ONDQ 50-59 years, male 56.7
GTEX-14PJO-1826-SM-69LPR 60-69 years, male 56.6
GTEX-11DXX-0926-SM-5H112 60-69 years, female 56.5
GTEX-14PHY-1126-SM-664OR 60-69 years, female 56.4
GTEX-T5JW-0226-SM-4DM7I 20-29 years, female 56.4
GTEX-OOBK-1026-SM-48TC2 40-49 years, male 56.3
GTEX-13O1R-1826-SM-5KM3B 60-69 years, male 56.1
GTEX-SUCS-1426-SM-4DM5W 70-79 years, male 56.1
GTEX-ZF29-1126-SM-4WKGO 60-69 years, female 56.0
GTEX-18A6Q-1726-SM-7LT9A 60-69 years, male 55.8
GTEX-14C39-1026-SM-73KWG 40-49 years, male 55.7
GTEX-WH7G-0826-SM-4LVMR 40-49 years, male 55.7
GTEX-1CAMR-1126-SM-7MGXF 20-29 years, male 55.7
GTEX-XGQ4-0226-SM-4GIDS 50-59 years, male 55.5
GTEX-1GN1W-1126-SM-9OSW3 50-59 years, female 55.3
GTEX-1KANA-1526-SM-CXZKG 20-29 years, male 55.3
GTEX-YEC3-0626-SM-CMKFG 50-59 years, male 55.3
GTEX-132QS-0926-SM-5P9GB 60-69 years, male 55.1
GTEX-WFG8-0326-SM-4LVN4 20-29 years, male 55.1
GTEX-1LVAN-1226-SM-CNNQY 50-59 years, female 55.1
GTEX-1C6VQ-1726-SM-7IGLQ 50-59 years, male 54.9
GTEX-RM2N-0326-SM-48FD8 50-59 years, male 54.9
GTEX-12BJ1-1126-SM-5EGGG 60-69 years, male 54.8
GTEX-1JMPZ-1026-SM-CXZJS 30-39 years, male 54.8
GTEX-1QP28-1026-SM-EAZ4K 50-59 years, female 54.8
GTEX-S3XE-0526-SM-4AD4G 50-59 years, male 54.7
GTEX-V1D1-0726-SM-4JBH7 50-59 years, male 54.6
GTEX-QMRM-0326-SM-CKZNB 50-59 years, male 54.6
GTEX-13W3W-1026-SM-5IFG4 60-69 years, female 54.5
GTEX-YB5E-0526-SM-4VDSD 40-49 years, male 54.4
GTEX-1B8KE-0726-SM-72D7G 50-59 years, male 54.2
GTEX-17HGU-2026-SM-79OKS 50-59 years, male 54.1
GTEX-1A3MW-1926-SM-7IGM8 60-69 years, female 54.1
GTEX-QLQW-0326-SM-447A8 30-39 years, male 53.9
GTEX-X3Y1-0726-SM-3P5YU 40-49 years, male 53.9
GTEX-14PN4-1626-SM-6AJB5 50-59 years, male 53.8
GTEX-1S83E-1426-SM-EV7B8 40-49 years, male 53.8
GTEX-131XG-1426-SM-5GCMO 50-59 years, female 53.7
GTEX-1K9T9-1726-SM-CXZK1 50-59 years, female 53.7
GTEX-XQ8I-1926-SM-4BOOK 50-59 years, male 53.6
GTEX-15EU6-1126-SM-68721 50-59 years, male 53.5
GTEX-TKQ2-0426-SM-4DXUO 50-59 years, male 53.5
GTEX-15FZZ-0626-SM-7KFTO 30-39 years, female 53.4
GTEX-ZAK1-2326-SM-5CVMY 50-59 years, female 53.4
GTEX-1S82P-1026-SM-EAZ4W 60-69 years, female 53.3
GTEX-QDVJ-1226-SM-48U1V 50-59 years, male 53.2
GTEX-1LG7Z-0326-SM-DHXK3 30-39 years, male 53.1
GTEX-18A67-1726-SM-7KFT9 50-59 years, male 53.0
GTEX-XUW1-1726-SM-4BOOZ 50-59 years, female 53.0
GTEX-1NUQO-0826-SM-DPS16 20-29 years, female 53.0
GTEX-1B996-1326-SM-731EO 60-69 years, male 52.7
GTEX-13CF3-1026-SM-5LZWY 60-69 years, female 52.6
GTEX-13FTX-1226-SM-5IFGN 20-29 years, female 52.6
GTEX-P4PP-1026-SM-3NM9O 30-39 years, female 52.6
GTEX-UJMC-1126-SM-3GADP 50-59 years, male 52.6
GTEX-UJHI-0626-SM-3DB8T 50-59 years, female 52.4
GTEX-ZG7Y-0326-SM-4WWEY 50-59 years, male 52.3
GTEX-15UF6-1826-SM-6LLI9 70-79 years, female 52.2
GTEX-NFK9-1626-SM-3LK5J 40-49 years, male 52.1
GTEX-Y8LW-1026-SM-5IFJY 50-59 years, female 52.1
GTEX-1HSMO-2026-SM-CNNQO 60-69 years, male 52.0
GTEX-1QW4Y-0926-SM-DPRY2 30-39 years, male 52.0
GTEX-OOBJ-1026-SM-3NB2L 60-69 years, male 51.8
GTEX-ZLWG-0326-SM-4WWC7 50-59 years, female 51.8
GTEX-11EQ9-1026-SM-5H134 30-39 years, male 51.7
GTEX-11ONC-0526-SM-5BC57 60-69 years, male 51.7
GTEX-144GM-0726-SM-79OJQ 20-29 years, male 51.6
GTEX-ZZPU-0726-SM-5N9C8 50-59 years, female 51.5
GTEX-WFJO-0626-SM-4LVMC 30-39 years, male 51.3
GTEX-1AX9J-1726-SM-731FF 60-69 years, male 51.2
GTEX-RWS6-1126-SM-47JXC 60-69 years, female 51.1
GTEX-ZYW4-2126-SM-59HJ9 60-69 years, male 51.1
GTEX-X15G-0726-SM-4PQZ5 50-59 years, female 51.0
GTEX-R55D-1426-SM-48FEN 50-59 years, male 50.9
GTEX-U4B1-0726-SM-4DXUA 40-49 years, male 50.8
GTEX-11TT1-0326-SM-5LUAY 20-29 years, male 50.7
GTEX-1H1DG-1426-SM-9OSXP 70-79 years, male 50.7
GTEX-11GSP-0426-SM-5A5KX 60-69 years, female 50.5
GTEX-Q734-0426-SM-48TZX 40-49 years, female 50.5
GTEX-1CB4G-1826-SM-7MKGO 60-69 years, male 50.3
GTEX-1QPFJ-2226-SM-EXOJW 30-39 years, female 50.3
GTEX-1128S-0826-SM-5GZZI 60-69 years, female 50.2
GTEX-11I78-0626-SM-5A5LZ 50-59 years, female 50.2
GTEX-WHPG-0326-SM-4M1XV 50-59 years, male 50.2
GTEX-ZF3C-2026-SM-4WWB5 50-59 years, female 50.2
GTEX-VJYA-0826-SM-4KL1M 60-69 years, male 50.1
GTEX-146FQ-1526-SM-5Q5CX 30-39 years, male 50.0
GTEX-145MO-2126-SM-5Q5CZ 60-69 years, male 49.9
GTEX-1I4MK-1026-SM-AHZ2H 50-59 years, female 49.9
GTEX-1K2DU-1026-SM-DHXKC 20-29 years, male 49.8
GTEX-ZVT2-2026-SM-5NQ8Q 50-59 years, female 49.7
GTEX-1GZ4H-0626-SM-9OSXJ 50-59 years, female 49.7
GTEX-14E6E-1426-SM-5RQI2 30-39 years, male 49.5
GTEX-1C2JI-0926-SM-731F1 50-59 years, male 49.4
GTEX-1GL5R-0926-SM-9JGFO 50-59 years, male 49.3
GTEX-1PFEY-1126-SM-DPRZ3 30-39 years, male 49.3
GTEX-1K2DA-0326-SM-CGQGX 50-59 years, male 49.1
GTEX-18A7A-1726-SM-7LT93 50-59 years, female 48.9
GTEX-S95S-0726-SM-4B64H 60-69 years, male 48.9
GTEX-SE5C-0326-SM-4BRWX 40-49 years, female 48.9
GTEX-ZTPG-1026-SM-5DUWP 20-29 years, female 48.6
GTEX-14PHX-2026-SM-6872C 50-59 years, male 48.5
GTEX-Q2AH-0926-SM-48TZK 40-49 years, male 48.4
GTEX-PSDG-1526-SM-48TCY 50-59 years, male 48.3
GTEX-S4P3-0626-SM-4AD59 50-59 years, female 48.3
GTEX-15SHV-1526-SM-6LLIB 60-69 years, male 48.2
GTEX-Q2AI-0426-SM-48U13 40-49 years, male 48.2
GTEX-1S831-0626-SM-EV79N 20-29 years, male 48.2
GTEX-1QP29-1926-SM-DPRZO 50-59 years, male 48.1
GTEX-11VI4-0426-SM-5EGHZ 40-49 years, female 48.0
GTEX-Y3I4-0826-SM-4TT2A 50-59 years, male 48.0
GTEX-1IDJD-0126-SM-C1YQZ 30-39 years, male 48.0
GTEX-Y5LM-0526-SM-4V6G3 40-49 years, female 47.9
GTEX-1R7EV-1126-SM-DPRXU 40-49 years, male 47.9
GTEX-13FH7-1426-SM-5IFIC 50-59 years, female 47.7
GTEX-1OFPY-0626-SM-EXOJ4 60-69 years, male 47.6
GTEX-18A66-2126-SM-7189D 60-69 years, male 47.4
GTEX-1GMR3-1226-SM-7MGY1 40-49 years, male 47.4
GTEX-14PKV-0926-SM-6AJB4 20-29 years, female 47.3
GTEX-13U4I-1526-SM-5IFFF 40-49 years, female 47.1
GTEX-1B97J-1526-SM-79ONI 50-59 years, female 47.1
GTEX-W5WG-0826-SM-4RGNE 50-59 years, female 47.0
GTEX-144FL-1526-SM-5Q5CA 50-59 years, male 46.7
GTEX-145MN-1426-SM-5SI9H 30-39 years, male 46.7
GTEX-WY7C-1026-SM-4OND3 50-59 years, male 46.7
GTEX-12WSN-0826-SM-5GCOF 40-49 years, male 46.5
GTEX-14PJ6-0926-SM-686ZA 60-69 years, female 46.5
GTEX-1GF9X-1126-SM-7MKHC 40-49 years, female 46.5
GTEX-ZLFU-0726-SM-57WF6 40-49 years, male 46.3
GTEX-R55G-0326-SM-48FDM 40-49 years, female 46.2
GTEX-WFG7-0426-SM-4LMK5 20-29 years, male 46.0
GTEX-XMK1-0326-SM-4B652 40-49 years, male 46.0
GTEX-QLQ7-0626-SM-CE6QX 60-69 years, male 46.0
GTEX-1RAZQ-1426-SM-EV7B2 30-39 years, male 45.8
GTEX-1AYCT-1226-SM-7EPGH 50-59 years, male 45.7
GTEX-1QAET-1326-SM-E9U64 50-59 years, male 45.7
GTEX-13FLV-0626-SM-5IFEY 50-59 years, male 45.5
GTEX-1CAMS-1926-SM-7DUEU 40-49 years, female 45.5
GTEX-ZT9W-0926-SM-57WFS 50-59 years, male 45.5
GTEX-13PL7-2226-SM-5L3IC 60-69 years, female 45.4
GTEX-1AX9K-2026-SM-731D1 50-59 years, male 45.3
GTEX-QV31-0226-SM-447BO 30-39 years, male 45.3
GTEX-15UF7-0826-SM-6M46E 40-49 years, male 45.2
GTEX-131XE-1926-SM-5IFER 50-59 years, male 45.1
GTEX-15DYW-1626-SM-6LLI1 60-69 years, female 45.1
GTEX-17KNJ-1926-SM-7KFRV 50-59 years, male 45.0
GTEX-1C4CL-0926-SM-79OL2 30-39 years, male 45.0
GTEX-144GN-0826-SM-5LU5G 50-59 years, male 44.9
GTEX-R53T-0426-SM-48FEM 50-59 years, female 44.9
GTEX-U8XE-2026-SM-3DB8S 30-39 years, male 44.9
GTEX-1JKYR-1026-SM-CGQGI 20-29 years, male 44.9
GTEX-WYVS-0926-SM-4SOJV 40-49 years, female 44.8
GTEX-1LGRB-0426-SM-CNNRD 50-59 years, female 44.7
GTEX-1MGNQ-1226-SM-EV7BM 40-49 years, male 44.7
GTEX-OHPM-1026-SM-3LK74 50-59 years, male 44.6
GTEX-WHSB-0726-SM-4M1XQ 50-59 years, male 44.6
GTEX-ZPU1-0226-SM-4WWC9 40-49 years, male 44.6
GTEX-111YS-1226-SM-5EGGJ 60-69 years, male 44.4
GTEX-ZP4G-0426-SM-4YCER 20-29 years, female 44.4
GTEX-NPJ8-2126-SM-3MJGK 40-49 years, male 44.1
GTEX-PX3G-1026-SM-48TZW 20-29 years, female 43.9
GTEX-1N2EF-2126-SM-DPRYL 60-69 years, male 43.9
GTEX-14PJM-2126-SM-6AJAS 50-59 years, female 43.8
GTEX-14PN3-0126-SM-6AJAU 60-69 years, female 43.7
GTEX-1CB4I-1326-SM-79OLY 50-59 years, male 43.7
GTEX-WFON-0626-SM-4LVLX 40-49 years, male 43.6
GTEX-WHWD-0726-SM-4OORX 50-59 years, male 43.6
GTEX-1122O-0726-SM-5GIEV 60-69 years, female 43.4
GTEX-178AV-0226-SM-793B7 40-49 years, male 43.4
GTEX-XPVG-0326-SM-4B653 50-59 years, male 43.4
GTEX-14PJ3-0426-SM-6LLHF 50-59 years, male 43.3
GTEX-14PJ2-1526-SM-686Z4 50-59 years, male 43.2
GTEX-XBED-0226-SM-47JY8 60-69 years, male 43.2
GTEX-QESD-0226-SM-447BH 20-29 years, male 43.0
GTEX-VUSG-0326-SM-3GIJ7 50-59 years, male 43.0
GTEX-11NSD-0526-SM-5A5LT 20-29 years, male 42.9
GTEX-15SDE-0826-SM-6M463 50-59 years, female 42.9
GTEX-ZAB5-0826-SM-5P9FU 50-59 years, male 42.9
GTEX-1I1GT-0926-SM-AHZ2G 60-69 years, female 42.9
GTEX-117YX-0226-SM-5EGH6 50-59 years, male 42.7
GTEX-1H11D-0926-SM-9OSXO 40-49 years, male 42.6
GTEX-Y114-0826-SM-4TT77 50-59 years, female 42.5
GTEX-ZVZP-0626-SM-59HL5 50-59 years, male 42.4
GTEX-1RAZA-1626-SM-EV79I 20-29 years, male 42.4
GTEX-17F98-0426-SM-79ONZ 40-49 years, female 42.1
GTEX-XXEK-1726-SM-4BRVB 50-59 years, male 42.1
GTEX-YFCO-1026-SM-5LU9S 40-49 years, male 42.1
GTEX-ZEX8-1026-SM-4WKHE 50-59 years, male 42.0
GTEX-13D11-2226-SM-5IFEO 50-59 years, female 41.7
GTEX-1399R-0426-SM-5IJE3 30-39 years, male 41.6
GTEX-1J8Q3-0626-SM-AHZ3V 60-69 years, male 41.5
GTEX-15ER7-1326-SM-6LPK9 20-29 years, female 41.3
GTEX-QCQG-0426-SM-48U29 50-59 years, female 41.3
GTEX-14DAR-0526-SM-664MX 50-59 years, male 41.2
GTEX-Y8E4-1326-SM-5IFIY 40-49 years, male 41.0
GTEX-11LCK-0226-SM-5A5M6 30-39 years, male 40.8
GTEX-ZPIC-0926-SM-4WWFK 40-49 years, female 40.7
GTEX-1KXAM-0226-SM-EV7AP 60-69 years, male 40.7
GTEX-132AR-1826-SM-5EGHR 50-59 years, female 40.6
GTEX-ZC5H-0826-SM-5N9FH 40-49 years, female 40.6
GTEX-ZVP2-0726-SM-59HKY 50-59 years, male 40.6
GTEX-14PK6-1026-SM-664NZ 70-79 years, female 40.5
GTEX-Y9LG-0726-SM-4VDS3 30-39 years, male 40.5
GTEX-14BMU-0726-SM-73KXS 20-29 years, female 40.4
GTEX-PLZ6-0726-SM-3P619 30-39 years, male 40.4
GTEX-1HKZK-1126-SM-9WG82 40-49 years, male 40.3
GTEX-PW2O-0826-SM-48TC5 20-29 years, male 40.2
GTEX-15UKP-1326-SM-6LPI8 20-29 years, male 39.9
GTEX-1399U-0926-SM-5IFHA 50-59 years, female 39.6
GTEX-12WSK-0226-SM-5BC62 40-49 years, female 39.5
GTEX-14ICL-1126-SM-5S2RE 30-39 years, male 39.5
GTEX-14PKU-0626-SM-6EU1Q 40-49 years, female 39.5
GTEX-O5YT-1026-SM-3MJGF 20-29 years, male 39.4
GTEX-1JK1U-1026-SM-AHZ44 60-69 years, male 39.3
GTEX-S32W-0826-SM-4AD5Z 50-59 years, female 39.2
GTEX-11P7K-0526-SM-5BC5I 30-39 years, male 39.0
GTEX-P4PQ-1026-SM-3NMCN 60-69 years, male 39.0
GTEX-YEC4-1326-SM-5IFHG 40-49 years, male 39.0
GTEX-1211K-1126-SM-5EGGB 60-69 years, female 38.8
GTEX-17HHE-0526-SM-7DUGR 50-59 years, male 38.8
GTEX-1NSGN-1726-SM-EXOJG 50-59 years, male 38.8
GTEX-145ME-0326-SM-5S2QO 40-49 years, female 38.7
GTEX-1H1E6-0826-SM-9WG83 30-39 years, male 38.7
GTEX-1IDJC-0526-SM-AHZ2Q 50-59 years, male 38.7
GTEX-1R7EU-0726-SM-DPRZM 60-69 years, male 38.7
GTEX-14PJ4-0726-SM-6872E 60-69 years, male 38.6
GTEX-WXYG-0826-SM-4ONC7 50-59 years, female 38.2
GTEX-14AS3-0326-SM-5Q5DB 40-49 years, female 37.6
GTEX-139YR-1526-SM-5IFJ1 50-59 years, male 36.9
GTEX-15RJ7-0826-SM-6LLI8 40-49 years, male 36.9
GTEX-ZV7C-0726-SM-59HKH 50-59 years, male 36.9
GTEX-15SB6-0226-SM-6LLIA 50-59 years, female 36.7
GTEX-1QP2A-1326-SM-EAZ3K 50-59 years, male 36.7
GTEX-P4QS-1026-SM-3NMCW 60-69 years, male 36.6
GTEX-1I1GU-0326-SM-AHZ2K 40-49 years, male 36.1
GTEX-ZPCL-0726-SM-DO91S 60-69 years, female 36.1
GTEX-X5EB-0526-SM-46MVP 40-49 years, male 36.0
GTEX-16MT8-1726-SM-7EWE7 60-69 years, female 35.9
GTEX-1AMFI-0726-SM-731D9 50-59 years, female 35.9
GTEX-SNOS-0926-SM-4DM7A 40-49 years, male 35.7
GTEX-131XF-1426-SM-5BC68 60-69 years, male 35.5
GTEX-QV44-0426-SM-4R1KF 50-59 years, male 35.5
GTEX-12WSL-0426-SM-5GCNX 50-59 years, male 35.2
GTEX-15RIF-0626-SM-6LLI3 20-29 years, male 35.1
GTEX-1B932-1626-SM-731EA 40-49 years, female 35.1
GTEX-Y3IK-0426-SM-4WWE2 50-59 years, female 34.9
GTEX-1R9K5-1226-SM-E6CPQ 50-59 years, male 34.9
GTEX-1PPH8-2326-SM-EAZ48 20-29 years, male 34.8
GTEX-17F9E-1426-SM-793BG 50-59 years, male 34.7
GTEX-OHPL-1026-SM-3MJGI 60-69 years, female 34.7
GTEX-111CU-0526-SM-5EGHK 50-59 years, male 34.5
GTEX-OIZF-1026-SM-2HML5 60-69 years, male 33.9
GTEX-146FR-0126-SM-5Q5F3 60-69 years, female 33.7
GTEX-13N11-0226-SM-5KM3C 50-59 years, female 33.6
GTEX-QEL4-1326-SM-447AD 50-59 years, male 33.5
GTEX-ZYFG-0826-SM-5BC5T 60-69 years, female 33.5
GTEX-1JKYN-0426-SM-CGQG2 30-39 years, male 33.5
GTEX-1CB4F-1226-SM-7DHKU 60-69 years, male 33.4
GTEX-1GN1U-1126-SM-9WPPZ 50-59 years, female 33.4
GTEX-13VXT-1226-SM-5LU3M 20-29 years, female 32.2
GTEX-1AYD5-0326-SM-7EWEO 50-59 years, male 31.8
GTEX-13X6H-0626-SM-5LU53 50-59 years, female 31.7
GTEX-1B8KZ-0926-SM-731D7 50-59 years, male 31.5
GTEX-QDVN-0926-SM-2I5GL 50-59 years, male 31.3
GTEX-1AX8Z-1726-SM-731DE 60-69 years, male 30.2
GTEX-1IL2U-2326-SM-CNNQV 60-69 years, male 30.1
GTEX-XV7Q-0926-SM-4BRVQ 40-49 years, female 29.3
GTEX-XYKS-1226-SM-4BRVI 60-69 years, female 28.9
GTEX-1C64O-1426-SM-7EWER 60-69 years, male 27.2
GTEX-1HSGN-1426-SM-A8NAA 40-49 years, female 26.8
GTEX-1497J-0426-SM-5Q5CO 60-69 years, male 26.0
Show allShow less

PANCREAS - FANTOM5 CAGEi

RNA expression in human tissues obtained through Cap Analysis of Gene Expression (CAGE) generated by the FANTOM5 project are reported as Scaled Tags Per Million.

Max subtype Scaled Tags Per Millioni

Max subtype Scaled Tags Per Million is the value for the subtype with the largest average Scaled Tags Per Million across the subtype samples.

27.7
FANTOM5 sample id Sample description Scaled Tags Per Million
Pancreas
Scaled Tags Per Million: 27.7
FF:10049-101G4 52 years, male 27.7

Contact

  • NEWS ARTICLES
  • PRESS ROOM

The Project

  • INTRODUCTION
  • ORGANIZATION
  • PUBLICATIONS

The Human Protein Atlas

  • DOWNLOADABLE DATA
  • LICENCE & CITATION
  • HELP & FAQ
The Human Protein Atlas project is funded
by the Knut & Alice Wallenberg Foundation.


contact@proteinatlas.org