We use cookies to enhance the usability of our website. If you continue, we'll assume that you are happy to receive all cookies. More information. Don't show this again.
NFKBIA
HPA
RESOURCES
  • TISSUE
  • BRAIN
  • SINGLE CELL
  • SUBCELLULAR
  • CANCER
  • BLOOD
  • CELL LINE
  • STRUCTURE & INTERACTION
ABOUT
  • INTRODUCTION
  • HISTORY
  • ORGANIZATION
  • PUBLICATIONS
  • ANTIBODY SUBMISSION
  • ANTIBODY AVAILABILITY
  • ACKNOWLEDGMENTS
  • CONTACT
NEWS
  • NEWS ARTICLES
  • PRESS ROOM
LEARN
  • DICTIONARY
  • PROTEIN CLASSES
  • PROTEIN EVIDENCE
  • METHODS
  • EDUCATIONAL VIDEOS
DATA
  • DOWNLOADABLE DATA
  • PUBLICATION DATA
  • RELEASE HISTORY
HELP
  • ANTIBODY VALIDATION
  • ASSAYS & ANNOTATION
  • DISCLAIMER
  • HELP & FAQ
  • PRIVACY STATEMENT
  • LICENCE & CITATION
Fields »
Search result

Field
Term
Gene name
Class
Subclass
Class
Keyword
Chromosome
External id
Tissue
Cell type
Expression
Antibody panel
Tissue
Main location
Patient ID
Annotation
Tissue
Category
Tau score
Cluster
Reliability
Brain region
Category
Tau score
Brain region
Category
Tau score
Brain region
Category
Tau score
Cluster
Reliability
Tissue
Cell type
Enrichment
Cell type
Category
Tau score
Cell type
Category
Tau score
Cell type
Category
Tau score
Cell lineage
Category
Tau score
Cluster
Cluster
Location
Searches
Location
Cell line
Class
Type
Phase
Reliability
Cancer
Prognosis
Cancer
Category
Cancer
Category
Tau score
Cluster
Variants
Interacting gene (ensg_id)
Type
Number of interactions
Pathway
Category
Score
Score
Score
Validation
Validation
Validation
Validation
Antibodies
Data type
Column


  • SUMMARY

  • TISSUE

  • BRAIN

  • SINGLE CELL

  • SUBCELL

  • CANCER

  • BLOOD

  • CELL LINE

  • STRUCT & INT

  • NFKBIA
TISSUE PRIMARY DATA SKIN Show tissue menu
ADIPOSE TISSUE ADRENAL GLAND AMYGDALA APPENDIX BASAL GANGLIA BONE MARROW BREAST BRONCHUS CEREBELLUM CEREBRAL CORTEX CERVIX CHOROID PLEXUS COLON DUODENUM
ENDOMETRIUM EPIDIDYMIS ESOPHAGUS FALLOPIAN TUBE GALLBLADDER HEART MUSCLE HIPPOCAMPAL FORMATION HYPOTHALAMUS KIDNEY LIVER LUNG LYMPH NODE MIDBRAIN NASOPHARYNX
ORAL MUCOSA OVARY PANCREAS PARATHYROID GLAND PITUITARY GLAND PLACENTA PROSTATE RECTUM RETINA SALIVARY GLAND SEMINAL VESICLE SKELETAL MUSCLE SKIN SMALL INTESTINE
SMOOTH MUSCLE SOFT TISSUE SPINAL CORD SPLEEN STOMACH TESTIS THYMUS THYROID GLAND TONGUE TONSIL URINARY BLADDER VAGINA
ANTIBODIES
AND
VALIDATION
Dictionary
Skin
Tissue proteome
Skin
SKIN - Expression summary
Protein expression
Skini

On the top, protein expression in current human tissue, based on all annotated cell types, is reported with the units not detected (n), low (l), medium (m) and high (h). Underneath, protein expression in each annotated cell type are reported using the same units.

Protein expression data is based on knowledge-based annotation. For genes where more than one antibody has been used, a collective score is set.

If knowledge-based annotation could not be performed for a gene, no data is displayed here. View antibody staining data further down this page.

h
m
l
n
Epidermal cells: Low
Fibroblasts: Medium
Keratinocytes: Low
Langerhans: Low
Melanocytes: Low
RNA expressioni

A summary of mRNA expression data available for current tissue based on several datasets. The mRNA expression levels in human tissues are based on RNA-seq data generated by the Human Protein Atlas (HPA), Genotype-Tissue Expression (GTEx) portal and CAGE data generated by the FANTOM5 consortium. Consensus normalized expression levels for human tissues was created by combining the data from HPA and GTEx datasets.

The mRNA expression levels in pig are based on RNA-seq data generated by the Human Protein Atlas (HPA), and for mouse, HPA data and in situ hybridization generated by the Allen brain atlas are reported.

Scroll down to view mRNA expression data in more detail.
Consensus:252.4 nTPM
HPA:71.2 nTPM
GTEx:252.4 nTPM

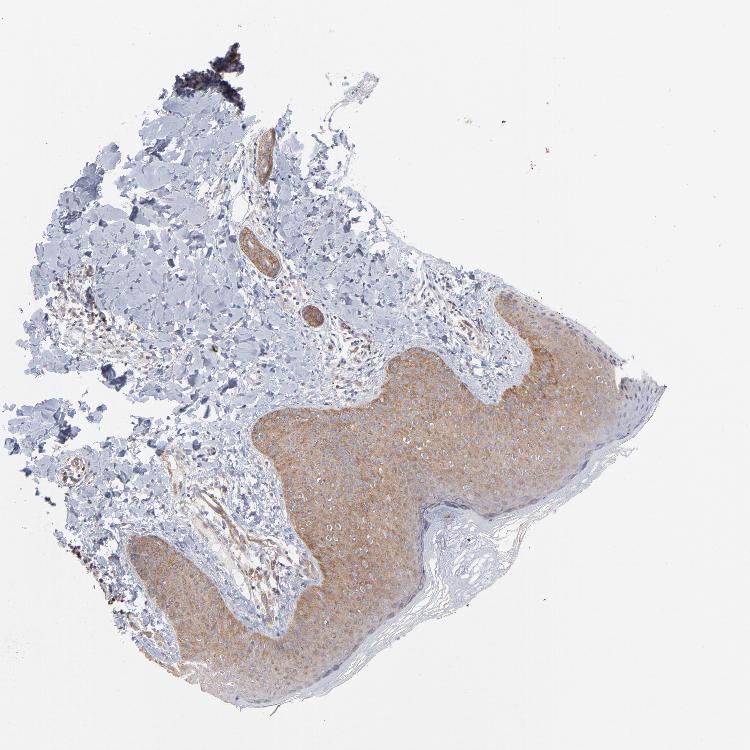
SKIN 1 - Antibody stainingi

Antibody staining in the annotated cell types in the current human tissue is reported as not detected, low, medium, or high, based on conventional immunohistochemistry profiling in selected tissues. This score is based on the combination of the staining intensity and fraction of stained cells.

Each image is clickable and will lead to virtual microscopy that enables deeper exploration of all samples and also displays staining intensity scores, fraction scores and subcellular localization as well as patient and tissue information for each sample.

Antibody HPA029207Antibody CAB003815
Langerhans LowLow
Fibroblasts MediumMedium
Keratinocytes MediumLow
Melanocytes MediumNot detected



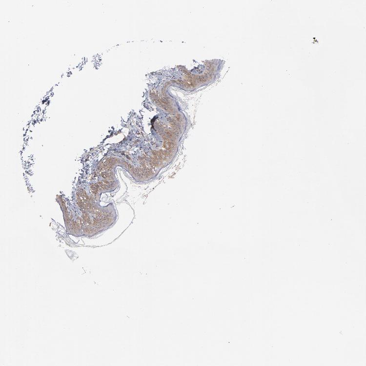
SKIN 2 - Antibody stainingi

Antibody staining in the annotated cell types in the current human tissue is reported as not detected, low, medium, or high, based on conventional immunohistochemistry profiling in selected tissues. This score is based on the combination of the staining intensity and fraction of stained cells.

Each image is clickable and will lead to virtual microscopy that enables deeper exploration of all samples and also displays staining intensity scores, fraction scores and subcellular localization as well as patient and tissue information for each sample.

Antibody HPA029207Antibody CAB003815
Epidermal cells MediumLow
  
  
  




SKIN - HPA RNA-seqi

The RNA-seq details section shows detailed information about the individual samples used for the transcript profiling and results of the RNA-seq analysis.

Information about each individual sample is listed below, including gender, age, a tissue section image and estimated fractions of cell types. nTPM (normalized transcripts per million) values give a quantification of the gene abundance which is comparable between different genes and samples.
Average nTPMi

Max subtype nTPM is the value for the subtype with the largest average nTPM across the subtype samples.

71.2
overview
Female, age 34
Skin sample 225
nTPM: 76.9
Cell types%
Keratinocytes:
60

Other cell types:
40

overview
Female, age 30
Skin sample 226
nTPM: 59.6
Cell types%
Keratinocytes:
55

Other cell types:
45

N/A
Male, age 57
Skin sample 227
nTPM: 77.2

SKIN - GTEx RNA-seqi

RNA-Seq data generated by the Genotype-Tissue Expression (GTEx) project from human tissues is reported as mean nTPM. More information can be found on the GTEx portal.

Distribution across the dataset is visualized with box plots, shown as median and 25th and 75th percentiles. Points are displayed as outliers if they are above or below 1.5 times the interquartile range. nTPM values of the individual samples are presented next to the box plot.
Max subtype nTPMi

Max subtype nTPM is the value for the subtype with the largest average nTPM across the subtype samples.

252.4
GTEx sample id Sample description nTPM
Skin - Not Sun Exposed (Suprapubic)
Average nTPM: 252.4
Samples: 604

Max nTPM: 2714.9
Min nTPM: 55.0
Std nTPM: 182.2
Median nTPM: 213.5
GTEX-ZYFD-0626-SM-5E44E 50-59 years, male 2714.9
GTEX-1HBPM-0726-SM-9YFL7 60-69 years, female 1481.2
GTEX-13YAN-0226-SM-5TDC6 60-69 years, male 1456.6
GTEX-1IDFM-0326-SM-ARL7V 60-69 years, male 1264.8
GTEX-WI4N-2726-SM-3LK7Y 40-49 years, female 923.4
GTEX-1F48J-0726-SM-7RHGS 50-59 years, female 830.8
GTEX-ZVE1-0726-SM-51MRN 50-59 years, female 825.0
GTEX-1R9K4-2826-SM-DTX8F 60-69 years, male 783.9
GTEX-139UW-0326-SM-5J1ML 60-69 years, male 774.2
GTEX-1C64N-2626-SM-7PC2N 50-59 years, male 751.2
GTEX-13PDP-0726-SM-5L3HP 60-69 years, male 708.1
GTEX-YECK-0326-SM-4W1YS 60-69 years, male 704.5
GTEX-13OVH-0526-SM-5L3E6 70-79 years, male 702.9
GTEX-14BIN-1126-SM-5RQJZ 50-59 years, female 687.3
GTEX-1F88E-1626-SM-7SB8Z 60-69 years, female 651.8
GTEX-147JS-0226-SM-5S2U9 60-69 years, male 644.7
GTEX-13X6H-0926-SM-5SIB2 50-59 years, female 639.7
GTEX-1JMQJ-0826-SM-CNPP7 50-59 years, male 634.6
GTEX-13NZ8-1226-SM-5KM4A 60-69 years, female 630.2
GTEX-1NV5F-0626-SM-DTXEG 60-69 years, female 628.7
GTEX-1EMGI-2326-SM-7PBYA 60-69 years, male 599.0
GTEX-13VXT-1926-SM-5K7UO 20-29 years, female 565.9
GTEX-1269C-0126-SM-5EQ5L 60-69 years, female 565.7
GTEX-1PDJ9-1226-SM-EXUSX 20-29 years, male 565.7
GTEX-1CAMS-2226-SM-7PBXQ 40-49 years, female 563.8
GTEX-14A5H-0826-SM-5QGPJ 60-69 years, male 558.1
GTEX-13OVK-1426-SM-6PAN7 40-49 years, male 542.6
GTEX-1PBJJ-1026-SM-E76OS 30-39 years, male 540.4
GTEX-14C38-0726-SM-5SI6M 50-59 years, male 536.2
GTEX-17MF6-2626-SM-79OKQ 40-49 years, male 531.5
GTEX-ZYY3-2926-SM-5GIEB 60-69 years, female 517.4
GTEX-1F6RS-2026-SM-7RHHC 60-69 years, female 512.3
GTEX-1H2FU-0926-SM-9WPPT 60-69 years, female 511.3
GTEX-1KAFJ-0126-SM-DIPEK 50-59 years, male 509.0
GTEX-1J8JJ-0626-SM-ARZMQ 60-69 years, female 508.9
GTEX-1JMQL-2226-SM-CNPP4 50-59 years, female 501.5
GTEX-1F52S-2926-SM-7MKGA 60-69 years, female 497.8
GTEX-1HSMO-0626-SM-ACKXC 60-69 years, male 492.8
GTEX-1LG7Y-2526-SM-EWRO7 50-59 years, male 491.0
GTEX-WYBS-0626-SM-3NMAS 60-69 years, female 489.5
GTEX-1F75I-2226-SM-7SB8U 40-49 years, male 483.3
GTEX-1H11D-1826-SM-9QEHM 40-49 years, male 481.3
GTEX-17HII-1426-SM-7EPGG 50-59 years, male 478.6
GTEX-1R46S-2426-SM-E76QA 60-69 years, female 474.9
GTEX-1IKOE-1426-SM-CE6T7 30-39 years, female 472.4
GTEX-1313W-0626-SM-5EQ4H 50-59 years, female 461.1
GTEX-1A3MX-2626-SM-7PC24 60-69 years, male 450.5
GTEX-1C6VQ-1226-SM-73KYD 50-59 years, male 449.3
GTEX-1MJK3-0726-SM-E6CJC 20-29 years, male 445.7
GTEX-1A8G7-1326-SM-73KVM 60-69 years, male 438.7
GTEX-1PPH7-1126-SM-DTX9A 40-49 years, male 438.3
GTEX-144GO-2026-SM-5O99P 60-69 years, male 438.1
GTEX-ZLFU-1826-SM-4WWBV 40-49 years, male 437.4
GTEX-12WSK-2126-SM-5CVNC 40-49 years, female 433.3
GTEX-1S82U-1026-SM-E6CJK 30-39 years, female 423.8
GTEX-1I1GT-1026-SM-ARZLV 60-69 years, female 422.1
GTEX-1A32A-0626-SM-731AQ 50-59 years, female 420.7
GTEX-1LVAN-0626-SM-CNPOQ 50-59 years, female 420.7
GTEX-1F75B-0726-SM-7PC3R 50-59 years, male 416.0
GTEX-1F5PK-2226-SM-7SB6N 50-59 years, male 411.9
GTEX-1A3MW-0626-SM-731CB 60-69 years, female 411.8
GTEX-13OW8-1026-SM-5J1NQ 60-69 years, male 411.7
GTEX-ZAB4-2126-SM-5HL8U 40-49 years, male 411.6
GTEX-147F3-1726-SM-5SIAW 50-59 years, female 409.7
GTEX-17HGU-2326-SM-7DUFE 50-59 years, male 406.9
GTEX-1H3VE-0726-SM-9YFL5 40-49 years, male 399.0
GTEX-1QPFJ-1926-SM-EVYBD 30-39 years, female 398.0
GTEX-13NYS-0626-SM-5L3F1 60-69 years, male 395.5
GTEX-1H1DE-1326-SM-9KNUG 20-29 years, male 394.1
GTEX-1C6WA-2626-SM-7MKGM 60-69 years, male 393.7
GTEX-X8HC-0626-SM-4E3HQ 50-59 years, female 390.9
GTEX-1S82P-2126-SM-E6CI5 60-69 years, female 384.6
GTEX-14LZ3-0126-SM-69LPM 60-69 years, female 384.5
GTEX-1RAZQ-1326-SM-E9TK6 30-39 years, male 377.5
GTEX-144FL-0626-SM-5LU43 50-59 years, male 375.2
GTEX-13NYC-0126-SM-5L3F4 60-69 years, male 375.0
GTEX-1LKK1-2626-SM-DKPQE 50-59 years, female 371.6
GTEX-1GZ4H-0526-SM-9KNU9 50-59 years, female 371.0
GTEX-13PL6-1126-SM-5L3IE 40-49 years, female 370.6
GTEX-1PPH8-0126-SM-EWRN8 20-29 years, male 369.8
GTEX-11WQK-1026-SM-5EQLX 50-59 years, male 364.6
GTEX-1ICLZ-0326-SM-ARL82 60-69 years, male 363.4
GTEX-1ICLY-0826-SM-CMKG1 50-59 years, male 362.3
GTEX-11DXY-0126-SM-5H11Q 60-69 years, male 361.9
GTEX-U8XE-0226-SM-4E3J3 30-39 years, male 360.8
GTEX-1I1GS-2626-SM-B2LY3 60-69 years, male 358.2
GTEX-1JJEA-1826-SM-ARU8P 60-69 years, male 355.6
GTEX-12WSJ-1126-SM-5LZVJ 40-49 years, female 352.3
GTEX-146FQ-2126-SM-5RQHU 30-39 years, male 349.5
GTEX-1HSMQ-2626-SM-A9SML 50-59 years, male 347.1
GTEX-17F9E-2326-SM-79OKD 50-59 years, male 346.5
GTEX-1IE54-1126-SM-A9G2Z 40-49 years, female 346.3
GTEX-1J1OQ-0126-SM-D4P2N 40-49 years, female 344.6
GTEX-1JN6P-2926-SM-CL54D 60-69 years, male 344.5
GTEX-13RTJ-0126-SM-5S2NN 60-69 years, male 341.7
GTEX-1QP28-1126-SM-EVYC4 50-59 years, female 338.3
GTEX-145ME-1726-SM-5Q5EU 40-49 years, female 337.1
GTEX-1CB4F-1026-SM-7DUH1 60-69 years, male 337.0
GTEX-17F97-2626-SM-7IGM5 50-59 years, male 336.4
GTEX-1192X-2726-SM-5N9DN 50-59 years, male 335.3
GTEX-XMD2-2126-SM-4YCF8 60-69 years, female 334.8
GTEX-12584-0726-SM-5FQTK 40-49 years, male 334.5
GTEX-1HT8W-0626-SM-A9G2H 30-39 years, male 334.3
GTEX-X585-2426-SM-46MW2 50-59 years, male 327.1
GTEX-ZE7O-2726-SM-51MT5 50-59 years, female 326.4
GTEX-ZVZP-1226-SM-5GID7 50-59 years, male 326.2
GTEX-13QJC-0126-SM-5ZZWJ 60-69 years, female 325.7
GTEX-ZYW4-0626-SM-59HJR 60-69 years, male 325.7
GTEX-ZF3C-0626-SM-DO92O 50-59 years, female 325.7
GTEX-145LS-0626-SM-7EPG7 60-69 years, female 325.3
GTEX-13JUV-2026-SM-5K7UA 40-49 years, female 325.1
GTEX-1M4P7-0726-SM-E6CJ3 60-69 years, male 322.4
GTEX-12WSH-1526-SM-5BC5W 50-59 years, male 321.4
GTEX-1HGF4-0126-SM-CNPPX 60-69 years, male 318.9
GTEX-15EU6-2226-SM-6EU2L 50-59 years, male 317.7
GTEX-13OW5-2326-SM-5L3HO 60-69 years, male 317.6
GTEX-15G19-2426-SM-7KUMR 60-69 years, male 316.8
GTEX-11GS4-0226-SM-5HL77 60-69 years, male 316.1
GTEX-1LVAO-2726-SM-E9TJ8 60-69 years, male 315.8
GTEX-13O3O-2326-SM-5IJD6 60-69 years, female 315.2
GTEX-13OW6-2726-SM-5J2OE 50-59 years, male 314.5
GTEX-1MCC2-1826-SM-DIPEX 30-39 years, female 314.5
GTEX-1J8EW-2726-SM-CY8HR 60-69 years, female 313.9
GTEX-13QBU-1226-SM-5LU4G 40-49 years, female 311.3
GTEX-1QAET-0326-SM-EVR3U 50-59 years, male 311.0
GTEX-WK11-2726-SM-3NMAQ 50-59 years, male 309.0
GTEX-14E6C-2426-SM-5S2NF 40-49 years, male 307.6
GTEX-13IVO-0726-SM-5LZYV 70-79 years, male 307.2
GTEX-131XW-0626-SM-5PNVD 50-59 years, female 306.7
GTEX-1I1CD-0626-SM-CE6SW 60-69 years, female 300.6
GTEX-ZTX8-1326-SM-4YCEL 20-29 years, male 299.0
GTEX-15CHR-1126-SM-7EWF4 50-59 years, male 298.0
GTEX-11DZ1-2426-SM-5GZZX 50-59 years, male 297.6
GTEX-1F88F-0126-SM-9WYSZ 60-69 years, female 296.6
GTEX-ZVT4-2426-SM-5GIEI 50-59 years, female 296.4
GTEX-1GF9X-1326-SM-7PC2Y 40-49 years, female 296.2
GTEX-13O61-1426-SM-5KM3D 60-69 years, male 294.2
GTEX-1H4P4-2126-SM-9WYSL 50-59 years, male 292.7
GTEX-145MI-0626-SM-5SI8S 60-69 years, female 292.3
GTEX-1QP2A-1726-SM-E76QC 50-59 years, male 292.2
GTEX-WHSE-0126-SM-3NMBT 20-29 years, male 292.1
GTEX-1399U-1126-SM-5L3DB 50-59 years, female 290.7
GTEX-1AX9I-2226-SM-73KUO 60-69 years, male 288.2
GTEX-1B8KZ-0326-SM-73KY4 50-59 years, male 286.6
GTEX-1N2DV-1526-SM-DTXEP 40-49 years, male 286.4
GTEX-1J8Q2-2626-SM-ACKWQ 60-69 years, male 286.3
GTEX-14ICL-1626-SM-5YYAO 30-39 years, male 285.3
GTEX-1CAMR-1326-SM-7PC1F 20-29 years, male 285.1
GTEX-1JMPZ-0726-SM-CY8HZ 30-39 years, male 284.1
GTEX-1IDJI-0126-SM-CMKHS 50-59 years, female 283.9
GTEX-1KXAM-1626-SM-D3LAD 60-69 years, male 283.9
GTEX-1OJC3-1226-SM-DTXER 20-29 years, male 283.3
GTEX-1NSGN-0726-SM-DTXEF 50-59 years, male 282.9
GTEX-13FTX-1526-SM-5K7VJ 20-29 years, female 282.0
GTEX-1EN7A-2426-SM-793DB 40-49 years, male 281.6
GTEX-1N2EE-0626-SM-E76PW 60-69 years, male 280.3
GTEX-18D9B-0926-SM-7LG4U 60-69 years, male 277.9
GTEX-1QW4Y-1126-SM-DTXE3 30-39 years, male 277.7
GTEX-15SKB-2826-SM-6PAMH 60-69 years, male 277.5
GTEX-15SHW-0226-SM-7LTAT 60-69 years, male 277.4
GTEX-16XZZ-0726-SM-7KUF2 60-69 years, male 277.3
GTEX-1HCUA-0826-SM-ADEHM 50-59 years, female 277.1
GTEX-1R7EU-1626-SM-DTXG3 60-69 years, male 277.0
GTEX-WFG7-2026-SM-5SI7P 20-29 years, male 276.8
GTEX-139YR-1026-SM-5LZYN 50-59 years, male 276.6
GTEX-ZVE2-2826-SM-5GU51 50-59 years, male 276.6
GTEX-1HKZK-0726-SM-ACKW2 40-49 years, male 276.3
GTEX-11ZU8-0126-SM-5EQ58 60-69 years, male 276.0
GTEX-11ZUS-2626-SM-5FQUR 30-39 years, male 275.9
GTEX-16BQI-1326-SM-6M486 30-39 years, female 275.6
GTEX-XQ8I-0926-SM-4BOOF 50-59 years, male 274.9
GTEX-1K2DU-1226-SM-CYPT4 20-29 years, male 274.6
GTEX-131XF-2626-SM-5EQ6K 60-69 years, male 274.2
GTEX-1B996-0426-SM-7EWF8 60-69 years, male 274.2
GTEX-YB5K-2026-SM-4VDT3 40-49 years, female 273.5
GTEX-1S5ZU-2526-SM-E6CIF 20-29 years, female 272.2
GTEX-1HBPN-0126-SM-CGQEF 50-59 years, male 271.8
GTEX-1JMPY-0226-SM-CKZOK 30-39 years, male 271.8
GTEX-1HCU6-2526-SM-ADEHL 60-69 years, female 271.1
GTEX-13FLV-0126-SM-5K7WT 50-59 years, male 269.5
GTEX-1GN1U-0626-SM-9MQL9 50-59 years, female 268.2
GTEX-ZAJG-1526-SM-5CVML 50-59 years, female 267.4
GTEX-XK95-0226-SM-4AT58 40-49 years, male 267.2
GTEX-XBEW-1126-SM-4QARW 40-49 years, male 267.1
GTEX-13112-0126-SM-5P9IU 50-59 years, male 266.6
GTEX-Y8LW-1526-SM-5IFHL 50-59 years, female 266.0
GTEX-1HCU7-0726-SM-A9SL1 50-59 years, male 266.0
GTEX-11EQ8-0926-SM-5H12V 60-69 years, male 265.7
GTEX-12WSL-2026-SM-5GCML 50-59 years, male 265.6
GTEX-144GL-0626-SM-5LU4D 50-59 years, male 265.1
GTEX-13D11-0926-SM-5J2NC 50-59 years, female 264.8
GTEX-XBED-1926-SM-47JYP 60-69 years, male 263.1
GTEX-14PII-0726-SM-6EU2B 60-69 years, male 262.7
GTEX-WHSB-1326-SM-3LK6W 50-59 years, male 261.5
GTEX-WEY5-2326-SM-3GIKK 40-49 years, female 260.3
GTEX-X5EB-1926-SM-4E3IW 40-49 years, male 259.5
GTEX-11TUW-0626-SM-5LU9M 60-69 years, male 259.3
GTEX-14E1K-2026-SM-7DUEI 50-59 years, male 259.2
GTEX-13N1W-2426-SM-5IJD1 70-79 years, male 258.9
GTEX-1GPI7-1826-SM-9KNU1 20-29 years, male 258.5
GTEX-1H1DF-1126-SM-9WG7G 40-49 years, female 257.6
GTEX-13FH7-1126-SM-5K7UG 50-59 years, female 255.6
GTEX-13X6I-1826-SM-5SIAO 60-69 years, male 255.1
GTEX-ZA64-1026-SM-5HL8R 20-29 years, male 255.1
GTEX-YFCO-1226-SM-5LUAT 40-49 years, male 250.3
GTEX-1IL2V-1926-SM-B2LW8 70-79 years, male 250.3
GTEX-1HUB1-1426-SM-CGQF5 60-69 years, male 249.2
GTEX-14C5O-0326-SM-5ZZUX 60-69 years, male 249.0
GTEX-1JK1U-0226-SM-ARZMX 60-69 years, male 248.8
GTEX-16AAH-0626-SM-793C9 50-59 years, male 248.0
GTEX-11DXW-0826-SM-5H118 40-49 years, male 247.6
GTEX-17KNJ-2126-SM-718AM 50-59 years, male 247.5
GTEX-1EH9U-2826-SM-7DUGT 60-69 years, male 246.9
GTEX-Y3I4-1726-SM-4TT89 50-59 years, male 246.5
GTEX-1399R-1326-SM-5PNYS 30-39 years, male 246.4
GTEX-1399S-0126-SM-5IJCF 30-39 years, female 246.4
GTEX-1AYD5-2626-SM-7PBXY 50-59 years, male 246.4
GTEX-12WSD-0626-SM-5GCMW 60-69 years, female 246.3
GTEX-1LSVX-2526-SM-DIPEU 60-69 years, male 246.1
GTEX-1CB4E-0926-SM-7EPHT 60-69 years, male 245.9
GTEX-15UF6-1926-SM-7KUDV 70-79 years, female 245.8
GTEX-1211K-1526-SM-5FQU4 60-69 years, female 245.5
GTEX-1JJ6O-2726-SM-CNPOG 60-69 years, male 244.7
GTEX-1N5O9-0926-SM-E9J3C 60-69 years, male 244.3
GTEX-11PRG-0726-SM-5EGL1 50-59 years, male 243.7
GTEX-11P81-2226-SM-5PNYI 30-39 years, female 242.7
GTEX-Y9LG-1126-SM-4VBQ7 30-39 years, male 242.6
GTEX-15RJE-2826-SM-7KUM9 40-49 years, male 242.5
GTEX-15ER7-0626-SM-6PANF 20-29 years, female 241.8
GTEX-13SLW-0626-SM-5Q5ER 70-79 years, male 241.7
GTEX-1I1GU-0926-SM-ACKVS 40-49 years, male 241.5
GTEX-1497J-0226-SM-5QGPU 60-69 years, male 241.4
GTEX-1HFI7-2326-SM-CGQFS 50-59 years, female 241.1
GTEX-ZY6K-1426-SM-5GZX2 50-59 years, male 240.7
GTEX-ZDXO-3126-SM-5IJDF 60-69 years, male 240.5
GTEX-WXYG-2026-SM-4E3IY 50-59 years, female 240.4
GTEX-14PHY-1226-SM-5ZZWK 60-69 years, female 239.9
GTEX-16YQH-2226-SM-7IGM2 30-39 years, male 239.6
GTEX-12BJ1-0926-SM-5EQ62 60-69 years, male 239.4
GTEX-1QP66-1226-SM-DTX7U 50-59 years, male 238.9
GTEX-148VJ-0626-SM-5LUAW 70-79 years, male 238.3
GTEX-18D9U-0126-SM-731BM 40-49 years, male 238.2
GTEX-178AV-1726-SM-7KUL8 40-49 years, male 238.0
GTEX-12WSF-1626-SM-7KUG5 70-79 years, male 237.8
GTEX-14PHX-2226-SM-6EU2P 50-59 years, male 237.5
GTEX-1E2YA-2126-SM-7MXUO 50-59 years, male 237.3
GTEX-Y114-2126-SM-4TT8B 50-59 years, female 237.1
GTEX-147F4-0726-SM-5TDDD 50-59 years, male 236.9
GTEX-16MT8-2926-SM-7DUFO 60-69 years, female 236.2
GTEX-ZYVF-0926-SM-5E44J 50-59 years, female 235.9
GTEX-1GTWX-2026-SM-9YFLM 60-69 years, male 235.5
GTEX-1HCU9-0426-SM-9WYSD 20-29 years, male 235.3
GTEX-14PJN-1826-SM-6AJ98 30-39 years, male 234.4
GTEX-1CB4H-1126-SM-7MKGL 60-69 years, female 234.0
GTEX-1H3O1-1326-SM-9MQLD 60-69 years, male 233.9
GTEX-1CB4J-1326-SM-7P8RX 60-69 years, male 233.2
GTEX-1HSMP-0926-SM-A9SKX 70-79 years, male 232.7
GTEX-139T8-0626-SM-5KLZX 60-69 years, male 232.4
GTEX-1HSGN-0826-SM-ACKW3 40-49 years, female 232.2
GTEX-15EO6-2426-SM-6PALZ 50-59 years, male 231.9
GTEX-139D8-1126-SM-5LU8W 30-39 years, female 230.6
GTEX-1RLM8-2926-SM-E8VON 50-59 years, male 230.1
GTEX-1H3NZ-2726-SM-9WYTQ 60-69 years, male 229.0
GTEX-1O9I2-0226-SM-EYYXD 50-59 years, male 228.5
GTEX-ZC5H-1526-SM-5HL9Y 40-49 years, female 228.4
GTEX-14B4R-1326-SM-5Q5EZ 30-39 years, male 228.3
GTEX-ZWKS-0626-SM-5GIDV 30-39 years, male 228.0
GTEX-1JMLX-0626-SM-ARL8T 50-59 years, male 227.9
GTEX-1QP29-1826-SM-DTX9S 50-59 years, male 227.2
GTEX-147GR-2426-SM-5ZZWQ 60-69 years, male 226.6
GTEX-14DAR-1226-SM-73KYV 50-59 years, male 226.4
GTEX-15G1A-1626-SM-7KUKN 30-39 years, male 226.0
GTEX-V1D1-2026-SM-3GAF4 50-59 years, male 225.8
GTEX-14LLW-2626-SM-62LDZ 70-79 years, female 225.0
GTEX-14753-0726-SM-5QGQO 60-69 years, male 224.8
GTEX-11ZTT-2126-SM-5CVLO 60-69 years, female 223.9
GTEX-1JN1M-2726-SM-CY8I4 60-69 years, female 223.2
GTEX-13OVG-1626-SM-5J1NF 60-69 years, male 223.0
GTEX-ZPCL-1126-SM-4WWFE 60-69 years, female 222.3
GTEX-13FTW-0326-SM-5K7UW 40-49 years, male 222.1
GTEX-1314G-1326-SM-5BC6E 30-39 years, male 221.8
GTEX-1GN73-0726-SM-7P8TJ 60-69 years, male 221.4
GTEX-14PK6-0226-SM-62LF5 70-79 years, female 221.0
GTEX-1HFI6-0126-SM-CNPPI 40-49 years, male 220.8
GTEX-1GN1V-2826-SM-9JGIA 60-69 years, male 220.6
GTEX-1IKJJ-2226-SM-CJI4C 60-69 years, male 220.5
GTEX-ZLV1-1526-SM-DO91J 60-69 years, female 220.5
GTEX-1A8G6-2726-SM-731AR 60-69 years, male 220.2
GTEX-X3Y1-2026-SM-3P5YM 40-49 years, male 218.3
GTEX-1GPI6-1926-SM-9KNV7 60-69 years, male 218.1
GTEX-1QP9N-1226-SM-E76QN 30-39 years, male 218.1
GTEX-1CAV2-0126-SM-7IGN7 40-49 years, female 217.7
GTEX-12126-0826-SM-5FQTZ 20-29 years, male 217.0
GTEX-13W3W-0726-SM-5IJDQ 60-69 years, female 216.9
GTEX-ZGAY-1826-SM-DO91Q 40-49 years, female 216.6
GTEX-1C64O-1326-SM-7MGWR 60-69 years, male 215.7
GTEX-ZVT2-0126-SM-5GIDQ 50-59 years, female 215.4
GTEX-131XH-0126-SM-5LZUY 50-59 years, male 215.3
GTEX-1AMEY-0826-SM-72D65 30-39 years, female 215.1
GTEX-11EM3-1226-SM-5N9DD 20-29 years, female 214.8
GTEX-17HHE-1326-SM-7EWDZ 50-59 years, male 213.8
GTEX-14A6H-2026-SM-5Q5DD 30-39 years, male 213.6
GTEX-1C2JI-1026-SM-73KY1 50-59 years, male 213.5
GTEX-13113-1626-SM-5EQ4I 60-69 years, female 213.3
GTEX-131XG-0326-SM-5L3DX 50-59 years, female 213.1
GTEX-1PIIG-2326-SM-DTXFR 30-39 years, male 212.7
GTEX-145LU-1926-SM-79OJN 50-59 years, male 212.5
GTEX-XAJ8-1426-SM-47JYM 40-49 years, male 212.4
GTEX-1122O-1026-SM-9WYSF 60-69 years, female 212.2
GTEX-1JJE9-2626-SM-ARZMT 70-79 years, male 212.2
GTEX-1A8FM-0626-SM-7PC25 50-59 years, female 211.6
GTEX-11LCK-2226-SM-5HL4Q 30-39 years, male 211.2
GTEX-12C56-1526-SM-5FQUQ 20-29 years, male 211.2
GTEX-1IDJH-0126-SM-D3L92 70-79 years, male 210.7
GTEX-1F5PL-0926-SM-7PC2W 40-49 years, female 210.2
GTEX-1B932-2326-SM-79OL5 40-49 years, female 210.1
GTEX-1RMOY-1326-SM-E9TIH 50-59 years, male 210.1
GTEX-1JKYN-0826-SM-ARU8S 30-39 years, male 209.5
GTEX-1J1R8-2026-SM-CL53Y 40-49 years, male 209.0
GTEX-11WQC-1826-SM-5GU59 60-69 years, male 208.7
GTEX-17F98-1326-SM-7DUEP 40-49 years, female 208.3
GTEX-ZVP2-0326-SM-57WBP 50-59 years, male 208.1
GTEX-14PKU-0126-SM-6LLHV 40-49 years, female 207.9
GTEX-18D9A-1426-SM-7LT8M 30-39 years, female 207.9
GTEX-14PJ6-2626-SM-6EU2T 60-69 years, female 207.5
GTEX-12WSM-1926-SM-5BC65 60-69 years, male 207.1
GTEX-17F9Y-0126-SM-79OKX 70-79 years, female 207.1
GTEX-1RAZR-2126-SM-E9U6T 40-49 years, male 206.7
GTEX-12WSA-0426-SM-5EQ5X 60-69 years, male 206.6
GTEX-17EVP-2626-SM-7IGMA 40-49 years, male 206.6
GTEX-131YS-2826-SM-5EQ47 60-69 years, female 205.9
GTEX-X4EO-2926-SM-4E3JH 60-69 years, female 205.5
GTEX-15RIE-1926-SM-7KUKJ 60-69 years, male 205.4
GTEX-ZF29-0926-SM-4WKFZ 60-69 years, female 204.4
GTEX-13FHO-0426-SM-5L3F5 60-69 years, male 203.9
GTEX-14PJ5-1526-SM-6LLIL 60-69 years, female 203.9
GTEX-VUSG-2326-SM-4KL1U 50-59 years, male 203.9
GTEX-111CU-1126-SM-5EGIM 50-59 years, male 203.4
GTEX-1GL5R-1326-SM-7RHHF 50-59 years, male 203.1
GTEX-1I4MK-0126-SM-CY8G6 50-59 years, female 202.6
GTEX-1117F-2926-SM-5GZYI 60-69 years, female 202.5
GTEX-YJ8O-2526-SM-5HL85 40-49 years, female 202.0
GTEX-1MCYP-0526-SM-E9U6Q 20-29 years, female 201.8
GTEX-14BMU-1226-SM-5S2OR 20-29 years, female 201.6
GTEX-1AMFI-1326-SM-7939R 50-59 years, female 200.9
GTEX-1HB9E-0126-SM-CM2S5 50-59 years, male 200.8
GTEX-1B8KE-1126-SM-7EPHI 50-59 years, male 200.7
GTEX-1JMOU-1026-SM-CYPSS 60-69 years, female 200.5
GTEX-1I1HK-2326-SM-CKZOH 60-69 years, male 199.5
GTEX-ZXG5-2126-SM-59HKD 60-69 years, male 199.4
GTEX-12ZZX-2426-SM-5GCOE 40-49 years, female 199.3
GTEX-144GM-0526-SM-79OJO 20-29 years, male 199.2
GTEX-14PKV-1126-SM-6LLJ1 20-29 years, female 198.5
GTEX-1J8QM-2426-SM-A9SLS 60-69 years, female 198.4
GTEX-ZYFG-1526-SM-5GZYM 60-69 years, female 197.6
GTEX-13O3Q-0126-SM-5KM34 50-59 years, male 197.3
GTEX-1RB15-1326-SM-E76Q9 60-69 years, male 197.1
GTEX-117YX-1926-SM-5GIEC 50-59 years, male 196.1
GTEX-14PJ4-0226-SM-5YY92 60-69 years, male 195.8
GTEX-17F96-0126-SM-7EWDU 70-79 years, male 195.8
GTEX-133LE-2326-SM-5K7W3 20-29 years, female 195.7
GTEX-1I6K6-1726-SM-CGQFD 30-39 years, male 195.0
GTEX-1C475-1326-SM-7SB73 40-49 years, female 194.8
GTEX-1QCLZ-2426-SM-EVYBW 60-69 years, female 193.8
GTEX-12KS4-2126-SM-5FQUT 30-39 years, male 193.6
GTEX-183WM-0326-SM-72D5V 70-79 years, female 193.1
GTEX-1JKYR-0626-SM-ARL8R 20-29 years, male 192.6
GTEX-12ZZZ-0726-SM-5GCNZ 60-69 years, male 192.4
GTEX-1GZHY-0626-SM-9KNVC 50-59 years, female 190.8
GTEX-1477Z-0326-SM-7IGLA 60-69 years, male 190.3
GTEX-11UD2-2526-SM-5CVNU 50-59 years, male 189.9
GTEX-1GMR8-0626-SM-7RHI7 50-59 years, female 189.8
GTEX-ZZ64-1026-SM-5GZXG 20-29 years, male 187.7
GTEX-Y5LM-0926-SM-6LLJG 40-49 years, female 186.0
GTEX-15D1Q-2826-SM-6LLH7 40-49 years, male 185.6
GTEX-ZDYS-2426-SM-4WKGI 50-59 years, male 185.4
GTEX-1LGRB-0926-SM-COH3K 50-59 years, female 184.9
GTEX-15DYW-2726-SM-6EU2I 60-69 years, female 184.8
GTEX-11P82-1426-SM-DTXFY 20-29 years, male 184.5
GTEX-ZE9C-2526-SM-5IJDR 60-69 years, male 184.3
GTEX-1IDJD-2326-SM-ACKWX 30-39 years, male 184.2
GTEX-1LGOU-1326-SM-D3L8M 20-29 years, female 183.7
GTEX-1R9PM-1926-SM-EVR3O 20-29 years, male 182.2
GTEX-16MT9-0126-SM-7EPI8 60-69 years, female 181.9
GTEX-1HCU8-2526-SM-CE6RX 60-69 years, female 181.8
GTEX-1H23P-0626-SM-9WG6T 60-69 years, male 181.6
GTEX-1GMR2-0826-SM-7PC3V 50-59 years, male 181.4
GTEX-1A3MV-1826-SM-731CD 30-39 years, male 180.3
GTEX-ZLWG-0826-SM-59888 50-59 years, female 180.3
GTEX-13PVQ-0626-SM-5LU47 50-59 years, male 180.0
GTEX-14PJ3-1126-SM-5ZZVX 50-59 years, male 179.8
GTEX-1K9T9-1526-SM-DIPFR 50-59 years, female 179.8
GTEX-ZTSS-1426-SM-5985P 40-49 years, male 179.7
GTEX-11EQ9-1626-SM-5PNY8 30-39 years, male 179.6
GTEX-WY7C-2126-SM-3NB2R 50-59 years, male 179.6
GTEX-YEC4-1826-SM-4W1YP 40-49 years, male 178.7
GTEX-15DDE-2926-SM-6LLJ3 50-59 years, female 178.5
GTEX-16MTA-0926-SM-6M47Z 50-59 years, male 178.5
GTEX-ZP4G-1426-SM-4WWCL 20-29 years, female 177.9
GTEX-1JMQI-1726-SM-ARL93 50-59 years, male 177.7
GTEX-1K2DA-1026-SM-CGQGF 50-59 years, male 177.6
GTEX-11TT1-1826-SM-5EQLV 20-29 years, male 176.9
GTEX-15FZZ-0526-SM-7KUGD 30-39 years, female 176.8
GTEX-11O72-0626-SM-5PNYE 40-49 years, male 176.5
GTEX-XPVG-2126-SM-4B667 50-59 years, male 176.4
GTEX-XYKS-1426-SM-4BRUO 60-69 years, female 176.0
GTEX-14JFF-0626-SM-5ZZVT 60-69 years, male 175.7
GTEX-12ZZY-0726-SM-5EQ66 60-69 years, male 175.6
GTEX-1LVAM-0726-SM-E6CIL 50-59 years, female 175.6
GTEX-12696-0126-SM-5EQ4L 60-69 years, male 175.5
GTEX-1GF9V-0826-SM-9KNUV 60-69 years, male 175.5
GTEX-1KANC-1226-SM-CYPT7 50-59 years, female 175.3
GTEX-1GZ4I-2626-SM-9KNU3 50-59 years, male 175.2
GTEX-1OJC4-2726-SM-E76PJ 50-59 years, female 175.2
GTEX-13PVR-0426-SM-5RQK2 60-69 years, female 175.1
GTEX-1HSKV-1226-SM-ADEI4 60-69 years, male 174.3
GTEX-1JMQK-1226-SM-D4P2S 60-69 years, male 173.3
GTEX-15RIG-0726-SM-7KUM7 40-49 years, male 173.1
GTEX-ZU9S-1826-SM-5NQ9E 30-39 years, male 172.8
GTEX-13X6K-0626-SM-5LU5D 60-69 years, female 172.7
GTEX-ZDTT-0426-SM-4WKFL 60-69 years, male 172.3
GTEX-1IDJU-1726-SM-CMKHU 60-69 years, female 171.8
GTEX-11P7K-1126-SM-5HL4L 30-39 years, male 171.7
GTEX-1B933-2426-SM-7DHMD 50-59 years, female 171.7
GTEX-1GMRU-2126-SM-7P8RA 50-59 years, male 170.8
GTEX-1IDJF-2026-SM-CL53V 20-29 years, male 170.3
GTEX-145MN-1526-SM-5SI9T 30-39 years, male 170.0
GTEX-1B8SF-0126-SM-7DUG3 60-69 years, male 169.2
GTEX-18QFQ-1826-SM-72D52 30-39 years, male 169.1
GTEX-1KANA-1326-SM-DIPFA 20-29 years, male 169.1
GTEX-ZDTS-0826-SM-4WKHL 60-69 years, male 168.7
GTEX-1GF9W-1426-SM-7PBYM 60-69 years, male 168.0
GTEX-XUW1-0926-SM-4BONX 50-59 years, female 167.7
GTEX-1S3DN-2126-SM-E9TIN 50-59 years, male 167.1
GTEX-Y8E4-2026-SM-5IFJB 40-49 years, male 166.8
GTEX-11VI4-1126-SM-5EQMD 40-49 years, female 166.7
GTEX-14E6E-0526-SM-793DN 30-39 years, male 166.0
GTEX-145MF-0926-SM-5Q5EA 50-59 years, male 165.6
GTEX-1PIGE-1826-SM-E8VOU 20-29 years, male 165.6
GTEX-139TT-2126-SM-5LZWC 60-69 years, male 164.7
GTEX-15CHC-1126-SM-6LLHQ 60-69 years, female 164.7
GTEX-1IDJV-0126-SM-COH3Y 60-69 years, male 164.5
GTEX-1RAZA-2226-SM-E9U4X 20-29 years, male 164.0
GTEX-1LSNL-2726-SM-E9TKJ 50-59 years, male 163.8
GTEX-13FTY-2126-SM-5IFFB 40-49 years, female 163.5
GTEX-1HCVE-2726-SM-CL54F 50-59 years, male 163.3
GTEX-1I1GV-0626-SM-ARL7M 60-69 years, male 163.3
GTEX-XBEC-0726-SM-4QARZ 50-59 years, male 163.2
GTEX-11EI6-2826-SM-5H11D 60-69 years, male 163.0
GTEX-1AX9J-1326-SM-731BJ 60-69 years, male 162.9
GTEX-18A7B-2726-SM-7LG56 70-79 years, male 162.8
GTEX-1J8Q3-0526-SM-ARL8U 60-69 years, male 162.4
GTEX-1QMI2-2526-SM-E8VNZ 60-69 years, male 161.0
GTEX-1C6VR-0126-SM-7RHGB 60-69 years, male 160.9
GTEX-1H1DG-2426-SM-9QEHJ 70-79 years, male 160.5
GTEX-1EX96-1026-SM-7MKG2 50-59 years, male 158.6
GTEX-1IDJC-1526-SM-B2LW4 50-59 years, male 157.0
GTEX-1RAZS-2526-SM-E6CHT 50-59 years, male 155.8
GTEX-1B8L1-2226-SM-7P8PT 60-69 years, male 154.8
GTEX-ZYT6-2326-SM-5GZY3 30-39 years, male 154.4
GTEX-11NUK-2726-SM-5A5MC 50-59 years, male 153.7
GTEX-145MO-2826-SM-5LU96 60-69 years, male 153.7
GTEX-1QCLY-0226-SM-EWRNH 30-39 years, male 153.7
GTEX-1S831-1826-SM-EWROF 20-29 years, male 153.5
GTEX-11DXZ-2026-SM-5987S 50-59 years, male 153.2
GTEX-16NGA-0726-SM-731AO 40-49 years, female 151.7
GTEX-ZTTD-2826-SM-4YCFA 50-59 years, male 151.2
GTEX-ZF2S-1626-SM-57WES 50-59 years, female 150.8
GTEX-XV7Q-1826-SM-4BRUV 40-49 years, female 150.7
GTEX-1KD5A-0126-SM-E9U54 50-59 years, male 150.6
GTEX-14PJO-2526-SM-6AJBQ 60-69 years, male 150.4
GTEX-14C39-1726-SM-5RQIL 40-49 years, male 149.7
GTEX-1S83E-1326-SM-E6CJM 40-49 years, male 148.8
GTEX-ZZPU-0826-SM-5GZX5 50-59 years, female 148.5
GTEX-1ICG6-1226-SM-A9SLN 70-79 years, female 147.8
GTEX-1R9PN-0426-SM-DTXDT 40-49 years, female 147.5
GTEX-12WSC-2826-SM-5BC5Y 50-59 years, male 147.0
GTEX-YEC3-1326-SM-DO92X 50-59 years, male 146.7
GTEX-1PPGY-1626-SM-EVYBL 60-69 years, male 146.4
GTEX-XOT4-0626-SM-4B66L 60-69 years, female 146.2
GTEX-18A7A-0126-SM-731AH 50-59 years, female 145.4
GTEX-1LSNM-0826-SM-DIPG8 50-59 years, male 145.4
GTEX-1LG7Z-1626-SM-CXKYR 30-39 years, male 145.1
GTEX-15RJ7-2126-SM-6PAMD 40-49 years, male 144.7
GTEX-ZT9X-1526-SM-5DUXD 40-49 years, male 144.5
GTEX-1LBAC-0826-SM-CY8IJ 20-29 years, male 144.5
GTEX-1F75A-0726-SM-7RHHD 50-59 years, male 143.7
GTEX-X4EP-0626-SM-3P621 60-69 years, female 143.6
GTEX-ZT9W-1126-SM-57WDR 50-59 years, male 143.2
GTEX-14ABY-2026-SM-62LDL 50-59 years, male 142.8
GTEX-1GN1W-2426-SM-9KNUU 50-59 years, female 142.4
GTEX-1L5NE-1126-SM-D3L9P 50-59 years, male 142.1
GTEX-WHPG-2626-SM-3NMBR 50-59 years, male 142.0
GTEX-1F6I4-2326-SM-7RHGL 60-69 years, male 142.0
GTEX-1CB4I-0126-SM-7RHGG 50-59 years, male 141.5
GTEX-145MG-1526-SM-5Q5EM 50-59 years, male 140.7
GTEX-1HR98-2226-SM-ADEI2 60-69 years, male 139.6
GTEX-1HR9M-2226-SM-CNPPY 60-69 years, male 139.6
GTEX-16NPX-0726-SM-7KULC 50-59 years, male 139.5
GTEX-13U4I-2226-SM-5LU5H 40-49 years, female 139.1
GTEX-1CAMQ-1326-SM-7P8RV 40-49 years, male 139.0
GTEX-11DXX-2126-SM-5PNYR 60-69 years, female 138.6
GTEX-18A66-0626-SM-7LT8Z 60-69 years, male 138.0
GTEX-13OVL-0126-SM-5L3GJ 50-59 years, male 137.8
GTEX-14JG6-1426-SM-9WG7C 30-39 years, female 137.5
GTEX-111YS-1526-SM-5GZYW 60-69 years, male 137.1
GTEX-14DAQ-0626-SM-793DS 60-69 years, female 137.1
GTEX-1JN76-0626-SM-CKZOQ 20-29 years, female 137.0
GTEX-ZPIC-0526-SM-DO91W 40-49 years, female 136.9
GTEX-Z93S-1626-SM-5CVMB 50-59 years, male 136.3
GTEX-14PJ2-0626-SM-6LLII 50-59 years, male 136.1
GTEX-1IDJE-1426-SM-ADEIW 50-59 years, female 136.0
GTEX-11OF3-0126-SM-5PNYF 60-69 years, male 135.6
GTEX-WH7G-2026-SM-3NMBL 40-49 years, male 134.7
GTEX-Y5V5-0126-SM-5S2NW 60-69 years, female 134.2
GTEX-13G51-1826-SM-5KLZH 60-69 years, male 133.6
GTEX-WRHU-2826-SM-3MJG8 50-59 years, female 133.5
GTEX-13N2G-0226-SM-5K7VF 60-69 years, male 133.0
GTEX-1B97I-0626-SM-73KUZ 40-49 years, male 132.9
GTEX-1BAJH-2426-SM-7IGP8 70-79 years, male 132.4
GTEX-1H1E6-0426-SM-9WYUS 30-39 years, male 131.8
GTEX-Y5V6-2326-SM-4VDSA 60-69 years, male 130.9
GTEX-13JVG-0726-SM-5KM16 60-69 years, male 130.3
GTEX-17HHY-0426-SM-7DHLC 50-59 years, male 130.3
GTEX-17EVQ-0126-SM-7IGLR 70-79 years, male 130.2
GTEX-YF7O-1526-SM-5IFI6 50-59 years, male 128.6
GTEX-1EU9M-1426-SM-793AI 60-69 years, male 128.4
GTEX-ZYFC-0426-SM-5GICQ 50-59 years, male 128.4
GTEX-139TS-2126-SM-5K7XC 60-69 years, male 128.2
GTEX-UPJH-0226-SM-3GADV 50-59 years, male 127.4
GTEX-1I1GP-1326-SM-A9G28 50-59 years, male 127.3
GTEX-1HC8U-1326-SM-9YFMJ 40-49 years, female 126.6
GTEX-145LT-0526-SM-5LUB2 40-49 years, male 125.6
GTEX-XXEK-1626-SM-4BRUZ 50-59 years, male 125.3
GTEX-14XAO-1226-SM-6EU1C 60-69 years, female 125.0
GTEX-17JCI-2926-SM-7DUFF 60-69 years, female 124.1
GTEX-11GSP-2326-SM-5HL63 60-69 years, female 123.2
GTEX-139TU-0726-SM-5L3EK 60-69 years, male 123.0
GTEX-1H1ZS-2726-SM-9WG75 70-79 years, male 122.6
GTEX-13OW7-0426-SM-5K7VK 50-59 years, male 121.7
GTEX-WYJK-0526-SM-3NM8Z 50-59 years, male 121.7
GTEX-1LB8K-0726-SM-D5OV2 50-59 years, male 121.6
GTEX-1F6IF-0926-SM-7SB7M 60-69 years, male 120.9
GTEX-17MFQ-1526-SM-7KFRR 20-29 years, male 120.2
GTEX-1GMR3-0126-SM-A9SLW 40-49 years, male 120.0
GTEX-1AX8Z-0726-SM-73KTS 60-69 years, male 119.7
GTEX-14JG1-1526-SM-5YY9X 40-49 years, male 119.0
GTEX-Y3IK-1626-SM-4YCF5 50-59 years, female 118.3
GTEX-1POEN-2326-SM-E9J2L 30-39 years, female 118.3
GTEX-13OVJ-0826-SM-5J1OK 50-59 years, female 118.1
GTEX-11DYG-1526-SM-5A5JS 60-69 years, male 117.9
GTEX-1GN2E-0226-SM-9WG6K 60-69 years, male 117.7
GTEX-13VXU-0626-SM-5L3F9 50-59 years, male 116.9
GTEX-1EKGG-0626-SM-7DUGJ 60-69 years, male 116.8
GTEX-15CHQ-0326-SM-69LQD 60-69 years, male 116.1
GTEX-ZPU1-1126-SM-4YCF3 40-49 years, male 115.9
GTEX-11NSD-0626-SM-5A5LU 20-29 years, male 114.5
GTEX-1F75W-2726-SM-7SB8H 60-69 years, male 111.3
GTEX-1399Q-2326-SM-5KM2X 40-49 years, male 111.0
GTEX-WFG8-2126-SM-3GIKQ 20-29 years, male 109.5
GTEX-1GF9U-2026-SM-7SB92 40-49 years, female 108.8
GTEX-13NZ9-2626-SM-5L3FK 50-59 years, male 108.5
GTEX-UPK5-0426-SM-3GAEK 40-49 years, male 108.1
GTEX-14AS3-1526-SM-5Q5ED 40-49 years, female 107.5
GTEX-1KWVE-1026-SM-D3L9O 30-39 years, male 107.4
GTEX-ZAK1-0626-SM-5HL8E 50-59 years, female 106.5
GTEX-13SLX-2226-SM-62LEP 50-59 years, female 106.1
GTEX-1EWIQ-0326-SM-7DHMQ 70-79 years, female 106.1
GTEX-1GZ2Q-0126-SM-9WG6M 40-49 years, male 105.9
GTEX-1KANB-2826-SM-CY8I6 50-59 years, male 104.3
GTEX-18465-2826-SM-7LT9J 50-59 years, male 104.1
GTEX-14BMV-2826-SM-5TDED 50-59 years, male 103.8
GTEX-1I19N-0126-SM-CYPSF 70-79 years, male 103.4
GTEX-183FY-1026-SM-7939A 20-29 years, male 103.1
GTEX-17HG3-2626-SM-7DUF2 30-39 years, female 102.9
GTEX-1212Z-0126-SM-59HK4 60-69 years, male 102.8
GTEX-1IOXB-2726-SM-CM2RI 50-59 years, male 100.9
GTEX-1H1CY-0126-SM-9YFLY 60-69 years, female 100.8
GTEX-13NYB-0126-SM-5J1MD 40-49 years, male 100.6
GTEX-WHWD-1826-SM-3LK6I 50-59 years, male 100.6
GTEX-1I6K7-1926-SM-B2LXR 40-49 years, male 99.0
GTEX-13N11-2326-SM-5IJBF 50-59 years, female 98.2
GTEX-16Z82-2626-SM-7KULU 60-69 years, male 91.4
GTEX-1E1VI-0326-SM-793D1 50-59 years, male 91.4
GTEX-1IY9M-2826-SM-ARU8H 60-69 years, male 90.3
GTEX-1LVA9-2626-SM-EVYD4 50-59 years, male 90.3
GTEX-Y111-0626-SM-4SOIT 50-59 years, male 90.0
GTEX-18A67-1626-SM-7LT9T 50-59 years, male 89.1
GTEX-VJYA-1526-SM-3GIJV 60-69 years, male 87.4
GTEX-18A6Q-0626-SM-7KFRP 60-69 years, male 86.7
GTEX-1QEPI-2626-SM-DTXF4 60-69 years, female 86.5
GTEX-132AR-0326-SM-5KM2C 50-59 years, female 85.8
GTEX-145MH-2826-SM-5RQJF 50-59 years, male 84.8
GTEX-WYVS-1626-SM-3NM9R 40-49 years, female 84.6
GTEX-13X6J-0626-SM-5LU5F 50-59 years, male 84.3
GTEX-1HBPI-2126-SM-ARL9K 50-59 years, male 80.2
GTEX-W5X1-2526-SM-3GILC 40-49 years, female 78.3
GTEX-16GPK-0626-SM-7KFSF 60-69 years, male 78.2
GTEX-XQ3S-1426-SM-4BOPR 20-29 years, male 77.2
GTEX-WFON-1926-SM-3LK7L 40-49 years, male 71.3
GTEX-111VG-1626-SM-5EGIO 60-69 years, male 68.8
GTEX-ZUA1-2626-SM-5NQ92 40-49 years, male 67.5
GTEX-ZVTK-0226-SM-51MRG 20-29 years, male 66.4
GTEX-111FC-2526-SM-5GZXU 60-69 years, male 55.0
Show allShow less
Skin - Sun Exposed (Lower leg)
Average nTPM: 217.1
Samples: 701

Max nTPM: 2742.5
Min nTPM: 63.7
Std nTPM: 169.5
Median nTPM: 185.4
GTEX-ZYFD-0126-SM-5GIDL 50-59 years, male 2742.5
GTEX-13OVH-0126-SM-5MR4B 70-79 years, male 1717.0
GTEX-16XZZ-0126-SM-793DV 60-69 years, male 1484.0
GTEX-WI4N-1026-SM-3LK7N 40-49 years, female 1129.5
GTEX-S32W-2126-SM-2XCB1 50-59 years, female 1085.0
GTEX-14A5I-0126-SM-5TDEA 50-59 years, female 1020.1
GTEX-1128S-2326-SM-5GZZY 60-69 years, female 929.0
GTEX-14E6C-0126-SM-5RQIP 40-49 years, male 753.3
GTEX-17KNJ-2326-SM-7DHLQ 50-59 years, male 732.3
GTEX-183WM-0126-SM-7LTAB 70-79 years, female 714.0
GTEX-13PDP-0126-SM-5L3HD 60-69 years, male 690.7
GTEX-U412-0426-SM-3DB9O 60-69 years, male 685.7
GTEX-1QPFJ-0226-SM-E76PB 30-39 years, female 670.3
GTEX-1NV5F-0226-SM-E8VNY 60-69 years, female 663.2
GTEX-1A3MX-0126-SM-731BR 60-69 years, male 657.8
GTEX-1E2YA-0126-SM-9KNUC 50-59 years, male 621.6
GTEX-1PWST-0226-SM-E76QJ 70-79 years, male 566.7
GTEX-17MF6-0126-SM-7LG4F 40-49 years, male 566.0
GTEX-ZWKS-0126-SM-5SIAA 30-39 years, male 548.4
GTEX-1QMI2-0226-SM-EVYBX 60-69 years, male 497.8
GTEX-1JMQL-0226-SM-CNPP5 50-59 years, female 492.9
GTEX-17HGU-0226-SM-7DHKV 50-59 years, male 487.4
GTEX-17GQL-2026-SM-718BA 60-69 years, male 478.3
GTEX-11TT1-2526-SM-5EGIB 20-29 years, male 476.4
GTEX-139TS-2826-SM-5J1OO 60-69 years, male 465.6
GTEX-1A3MW-0126-SM-73KXX 60-69 years, female 463.8
GTEX-1PDJ9-0326-SM-DTX95 20-29 years, male 452.6
GTEX-145LS-0126-SM-5QGP1 60-69 years, female 451.5
GTEX-14A5H-0426-SM-5QGQF 60-69 years, male 446.3
GTEX-W5WG-1826-SM-4KL2Y 50-59 years, female 440.2
GTEX-1192W-2626-SM-5Q5AF 60-69 years, male 427.1
GTEX-13NYC-0326-SM-E9J4S 60-69 years, male 423.4
GTEX-14E6E-1826-SM-5S2R7 30-39 years, male 420.0
GTEX-1R7EV-2426-SM-EVYBG 40-49 years, male 418.5
GTEX-1GF9X-2026-SM-7PC3A 40-49 years, female 410.7
GTEX-YB5E-2026-SM-5IFIS 40-49 years, male 401.6
GTEX-15UKP-0426-SM-7KUFQ 20-29 years, male 400.2
GTEX-1399U-2326-SM-5K7WY 50-59 years, female 397.4
GTEX-ZF2S-2326-SM-4WWCE 50-59 years, female 396.0
GTEX-1M5QR-1226-SM-EWROB 40-49 years, male 396.0
GTEX-146FQ-0126-SM-5NQA9 30-39 years, male 394.7
GTEX-148VJ-0126-SM-5TDDN 70-79 years, male 393.0
GTEX-1KAFJ-2026-SM-CY8ID 50-59 years, male 392.8
GTEX-OXRP-0126-SM-3NB32 60-69 years, female 390.1
GTEX-1122O-2126-SM-5EGIR 60-69 years, female 389.9
GTEX-ZTX8-1426-SM-5DUVO 20-29 years, male 387.6
GTEX-1399R-2726-SM-5IJBA 30-39 years, male 381.6
GTEX-13OVK-2026-SM-7KUEO 40-49 years, male 381.5
GTEX-1211K-2026-SM-5EQ4Z 60-69 years, female 376.7
GTEX-1LC47-0326-SM-E9TJP 60-69 years, male 371.8
GTEX-1HBPM-0226-SM-ARL9F 60-69 years, female 370.0
GTEX-145ME-1826-SM-5SI9G 40-49 years, female 369.5
GTEX-1GN1V-0126-SM-9WPOS 60-69 years, male 369.4
GTEX-11DZ1-0126-SM-5985Q 50-59 years, male 364.6
GTEX-Y5LM-1926-SM-5RQJH 40-49 years, female 364.3
GTEX-14ICK-0226-SM-6EU25 40-49 years, male 361.1
GTEX-ZV6S-2326-SM-4YCEY 40-49 years, female 360.5
GTEX-ZV68-0126-SM-59HKS 50-59 years, female 357.3
GTEX-1F6RS-0126-SM-9MQKZ 60-69 years, female 356.0
GTEX-12WSJ-1826-SM-5GCNY 40-49 years, female 354.6
GTEX-1H3O1-0426-SM-9YFKY 60-69 years, male 354.3
GTEX-133LE-1826-SM-5J1MV 20-29 years, female 349.5
GTEX-1RB15-2126-SM-E9TIM 60-69 years, male 346.7
GTEX-14PHX-2326-SM-62LEM 50-59 years, male 345.1
GTEX-1B8KZ-2026-SM-7DHMB 50-59 years, male 342.4
GTEX-WOFL-0126-SM-3MJG2 60-69 years, male 339.6
GTEX-X585-0226-SM-4QAS2 50-59 years, male 337.0
GTEX-1I1GT-0626-SM-CGQER 60-69 years, female 333.9
GTEX-X8HC-0126-SM-4E3JW 50-59 years, female 333.5
GTEX-U8XE-0326-SM-3DB8P 30-39 years, male 333.0
GTEX-131XW-0426-SM-5LZWP 50-59 years, female 332.7
GTEX-1CAMS-0426-SM-7P8T2 40-49 years, female 331.5
GTEX-13FTW-2626-SM-5K7WL 40-49 years, male 331.0
GTEX-1JN6P-0126-SM-D3L98 60-69 years, male 331.0
GTEX-P4QT-0126-SM-2I3FL 50-59 years, female 330.7
GTEX-11WQK-0526-SM-5EQLD 50-59 years, male 328.3
GTEX-1J8QM-2126-SM-CYPSJ 60-69 years, female 323.1
GTEX-1KANC-1526-SM-D3LAB 50-59 years, female 320.4
GTEX-RVPV-0126-SM-EAZAW 60-69 years, male 318.8
GTEX-1I1CD-0126-SM-CM2TK 60-69 years, female 318.3
GTEX-1L5NE-2526-SM-E6CIE 50-59 years, male 316.3
GTEX-13JUV-2726-SM-5LZZ8 40-49 years, female 315.8
GTEX-18D9A-1926-SM-7LG6P 30-39 years, female 314.3
GTEX-1IDFM-0126-SM-COH2V 60-69 years, male 312.5
GTEX-1R46S-0626-SM-E9J41 60-69 years, female 311.3
GTEX-VUSG-2526-SM-4KL1V 50-59 years, male 310.4
GTEX-XBEW-0626-SM-4QASP 40-49 years, male 310.1
GTEX-1F5PK-2426-SM-7RHHY 50-59 years, male 308.8
GTEX-ZF28-0126-SM-4WKGK 60-69 years, male 308.3
GTEX-XBED-2226-SM-47JYQ 60-69 years, male 307.3
GTEX-13YAN-0326-SM-5O9DF 60-69 years, male 306.7
GTEX-1JMOU-1526-SM-CL54I 60-69 years, female 303.1
GTEX-14BIN-0626-SM-793DP 50-59 years, female 301.9
GTEX-OXRO-0126-SM-2YUN4 60-69 years, female 301.7
GTEX-1LVAN-0226-SM-COH3S 50-59 years, female 301.2
GTEX-QDVN-2026-SM-3GAEP 50-59 years, male 300.8
GTEX-11H98-0126-SM-5EGHG 50-59 years, male 296.4
GTEX-RU72-0926-SM-2TF6B 50-59 years, female 296.0
GTEX-15RIG-0226-SM-7KFTL 40-49 years, male 294.8
GTEX-1HCU8-0626-SM-A9SM9 60-69 years, female 294.8
GTEX-145MN-2226-SM-5SIAU 30-39 years, male 294.7
GTEX-XMD2-0126-SM-4YCDU 60-69 years, female 293.1
GTEX-XPVG-2626-SM-4B669 50-59 years, male 291.9
GTEX-U8T8-0126-SM-3DB94 60-69 years, male 291.7
GTEX-13O3P-0126-SM-5KM4S 50-59 years, male 290.5
GTEX-12WSL-2526-SM-5GCNJ 50-59 years, male 290.3
GTEX-11UD2-0226-SM-5EQKY 50-59 years, male 289.4
GTEX-1PPH8-0226-SM-E8VND 20-29 years, male 286.2
GTEX-1AX9J-0226-SM-73KXM 60-69 years, male 285.9
GTEX-131XF-5016-SM-7MGWE 60-69 years, male 285.5
GTEX-14LLW-0126-SM-6LLIO 70-79 years, female 283.7
GTEX-1OFPY-2426-SM-DTXEJ 60-69 years, male 283.4
GTEX-15G19-0126-SM-6PANQ 60-69 years, male 282.7
GTEX-13O1R-0126-SM-5L3EH 60-69 years, male 279.2
GTEX-18A66-0226-SM-718BD 60-69 years, male 279.2
GTEX-P4PP-0126-SM-3LK69 30-39 years, female 279.2
GTEX-P44H-0226-SM-2XCEU 40-49 years, male 277.9
GTEX-13IVO-0126-SM-5J1NG 70-79 years, male 277.3
GTEX-1CB4H-0226-SM-7PBXM 60-69 years, female 276.0
GTEX-1GN2E-0426-SM-9MQKX 60-69 years, male 276.0
GTEX-OIZF-0126-SM-7SB8I 60-69 years, male 275.6
GTEX-17F98-0626-SM-79OMX 40-49 years, female 275.3
GTEX-12696-2426-SM-5EQ6H 60-69 years, male 275.0
GTEX-13X6H-2126-SM-7EWD5 50-59 years, female 272.1
GTEX-ZE9C-2726-SM-57WB5 60-69 years, male 270.9
GTEX-13D11-2426-SM-5KM1V 50-59 years, female 270.6
GTEX-1MA7W-2026-SM-E9TJ6 20-29 years, female 269.5
GTEX-ZF3C-0126-SM-DO92D 50-59 years, female 268.6
GTEX-13FH7-2026-SM-E9J4I 50-59 years, female 267.3
GTEX-1C2JI-1826-SM-73KXC 50-59 years, male 266.7
GTEX-14PK6-1926-SM-6ETZU 70-79 years, female 263.5
GTEX-1S3DN-2226-SM-EVYCD 50-59 years, male 263.0
GTEX-X88G-0126-SM-47JZ3 30-39 years, male 262.8
GTEX-R45C-0126-SM-EAZ2R 60-69 years, female 262.7
GTEX-13PVR-2326-SM-5QGR1 60-69 years, female 261.9
GTEX-1GZ4H-1726-SM-7PBZJ 50-59 years, female 261.6
GTEX-1CB4E-2226-SM-793DC 60-69 years, male 260.7
GTEX-1EX96-1626-SM-7PBXR 50-59 years, male 260.1
GTEX-OXRK-0226-SM-3NB2G 50-59 years, female 259.9
GTEX-131XG-2626-SM-5KM17 50-59 years, female 258.1
GTEX-1KXAM-2226-SM-CYPTC 60-69 years, male 257.9
GTEX-T5JW-1626-SM-3GADZ 20-29 years, female 257.2
GTEX-1QP29-0626-SM-EWRMX 50-59 years, male 257.1
GTEX-14PJ6-2126-SM-6EU1V 60-69 years, female 256.6
GTEX-1H11D-0226-SM-9WG6Z 40-49 years, male 256.1
GTEX-15EOM-0126-SM-7KUGG 20-29 years, female 255.9
GTEX-1GN1U-0126-SM-7PBZK 50-59 years, female 255.7
GTEX-U4B1-1826-SM-4DXSU 40-49 years, male 255.1
GTEX-VJWN-0126-SM-3GIK7 50-59 years, female 254.3
GTEX-1HSMO-0126-SM-CL547 60-69 years, male 254.0
GTEX-1C6VQ-0126-SM-7P8RI 50-59 years, male 253.8
GTEX-11DXW-0226-SM-5H122 40-49 years, male 253.5
GTEX-ZVE2-0226-SM-59HJB 50-59 years, male 253.5
GTEX-OIZH-0126-SM-2HMIS 50-59 years, male 252.9
GTEX-ZGAY-0526-SM-4WWBB 40-49 years, female 252.9
GTEX-15ETS-0126-SM-7KUMW 40-49 years, female 252.7
GTEX-1J1OQ-0226-SM-CYPSH 40-49 years, female 252.4
GTEX-14PII-0226-SM-6EU1T 60-69 years, male 252.0
GTEX-13RTJ-2426-SM-5S2Q2 60-69 years, male 250.3
GTEX-14BMU-2226-SM-5TDE9 20-29 years, female 250.2
GTEX-1F75I-0326-SM-9YFLU 40-49 years, male 249.9
GTEX-14PN3-2426-SM-6LLHS 60-69 years, female 249.8
GTEX-15SDE-2226-SM-7IGLO 50-59 years, female 249.5
GTEX-14PHW-0126-SM-6LLJI 60-69 years, female 249.1
GTEX-14C5O-0126-SM-5SI6N 60-69 years, male 248.6
GTEX-1QW4Y-1526-SM-EAZ3Z 30-39 years, male 248.3
GTEX-13OW8-1326-SM-5J1OW 60-69 years, male 248.1
GTEX-117YX-2326-SM-5H12W 50-59 years, male 247.8
GTEX-X5EB-2226-SM-46MW4 40-49 years, male 247.8
GTEX-17EUY-0426-SM-793BD 20-29 years, male 247.5
GTEX-1QCLY-0326-SM-E8VOG 30-39 years, male 246.1
GTEX-1QP66-1726-SM-E8VO1 50-59 years, male 244.8
GTEX-X4EO-0326-SM-3P5YO 60-69 years, female 244.5
GTEX-ZZPT-0226-SM-5E43X 50-59 years, male 243.5
GTEX-1JJ6O-0126-SM-E6CI8 60-69 years, male 243.5
GTEX-YEC4-2126-SM-5IFJH 40-49 years, male 242.2
GTEX-ZVZP-2426-SM-59HKJ 50-59 years, male 242.2
GTEX-16NGA-1726-SM-731B4 40-49 years, female 241.7
GTEX-13113-5016-SM-7EPIP 60-69 years, female 241.1
GTEX-RTLS-0126-SM-447CA 60-69 years, female 240.6
GTEX-XUW1-0426-SM-4BOOT 50-59 years, female 240.3
GTEX-WYJK-0126-SM-3NMAB 50-59 years, male 239.0
GTEX-1HCU9-1526-SM-A9SL7 20-29 years, male 239.0
GTEX-11DYG-0126-SM-59883 60-69 years, male 238.9
GTEX-145MO-0326-SM-5Q5B3 60-69 years, male 238.0
GTEX-1J1R8-1726-SM-ARL8M 40-49 years, male 237.7
GTEX-1HBPN-0226-SM-9YFM1 50-59 years, male 237.3
GTEX-1JK1U-2026-SM-CM2RZ 60-69 years, male 234.9
GTEX-13RTK-1426-SM-5QGQJ 20-29 years, male 234.8
GTEX-1HCU6-0126-SM-CL54K 60-69 years, female 234.8
GTEX-13OW5-0126-SM-DTXFS 60-69 years, male 234.3
GTEX-1HCU7-0226-SM-CL545 50-59 years, male 234.3
GTEX-1497J-2426-SM-7IGNX 60-69 years, male 233.3
GTEX-ZEX8-2426-SM-4WKG4 50-59 years, male 233.1
GTEX-ZYY3-0126-SM-5GZY5 60-69 years, female 233.0
GTEX-139UW-2826-SM-5L3E7 60-69 years, male 232.5
GTEX-1PPH7-2326-SM-EVYB8 40-49 years, male 231.6
GTEX-Q2AI-1326-SM-2S1PL 40-49 years, male 231.2
GTEX-144FL-0126-SM-5TDC8 50-59 years, male 230.5
GTEX-PSDG-0226-SM-DKPOZ 50-59 years, male 230.3
GTEX-146FH-0126-SM-5QGPP 50-59 years, female 230.1
GTEX-1F5PL-0326-SM-7P8PQ 40-49 years, female 229.5
GTEX-13NZ8-0826-SM-5MR3I 60-69 years, female 229.3
GTEX-15EU6-0426-SM-6PAN5 50-59 years, male 229.3
GTEX-1F75B-0126-SM-9KNVL 50-59 years, male 229.3
GTEX-13S7M-0126-SM-5SI6A 60-69 years, female 227.7
GTEX-1B8KE-2126-SM-73KYX 50-59 years, male 227.6
GTEX-ZYFG-2326-SM-5E44B 60-69 years, female 227.4
GTEX-1HCUA-2426-SM-ADEIS 50-59 years, female 227.3
GTEX-1I4MK-2226-SM-ACKWD 50-59 years, female 227.0
GTEX-ZDYS-2026-SM-5HL5L 50-59 years, male 226.0
GTEX-1IKOH-0226-SM-COH4E 60-69 years, female 225.8
GTEX-ZF29-2326-SM-DO92K 60-69 years, female 225.7
GTEX-1MCYP-1926-SM-E9J2R 20-29 years, female 225.1
GTEX-1R9PM-2026-SM-E76OY 20-29 years, male 224.3
GTEX-1S5ZA-0126-SM-EVYCV 20-29 years, male 224.3
GTEX-1HSGN-0226-SM-CGQFV 40-49 years, female 224.1
GTEX-14PJM-0226-SM-62LF1 50-59 years, female 224.0
GTEX-11LCK-1026-SM-5A5KB 30-39 years, male 223.6
GTEX-1H1E6-1726-SM-ACKVK 30-39 years, male 223.0
GTEX-1J8Q3-1626-SM-CMKGC 60-69 years, male 222.8
GTEX-1PFEY-1526-SM-E76PP 30-39 years, male 222.5
GTEX-1H1DE-2126-SM-9WG6R 20-29 years, male 221.9
GTEX-17EVP-0326-SM-7DHLG 40-49 years, male 221.5
GTEX-PLZ4-0126-SM-5SI8O 50-59 years, female 221.4
GTEX-11ZTT-2426-SM-5EQLS 60-69 years, female 221.3
GTEX-113JC-2326-SM-5EQ4E 50-59 years, female 221.2
GTEX-1HSEH-0126-SM-ACKXN 60-69 years, male 221.2
GTEX-1JJE9-0326-SM-CL53Z 70-79 years, male 220.8
GTEX-1LH75-2426-SM-E9TJE 50-59 years, female 220.7
GTEX-13OVI-1426-SM-5L3EY 60-69 years, female 219.3
GTEX-1HFI7-1826-SM-ACKXH 50-59 years, female 219.0
GTEX-13CF3-2426-SM-5IFGX 60-69 years, female 218.6
GTEX-17F97-0326-SM-7LG5B 50-59 years, male 218.0
GTEX-WVJS-0126-SM-4MVOT 50-59 years, male 216.9
GTEX-1R7EU-0226-SM-EVR4G 60-69 years, male 216.9
GTEX-1JN1M-0326-SM-CYPT3 60-69 years, female 216.2
GTEX-ZE7O-0126-SM-57WC1 50-59 years, female 215.3
GTEX-1ICLY-0126-SM-D4P36 50-59 years, male 215.3
GTEX-15UF6-0826-SM-6PALJ 70-79 years, female 214.9
GTEX-1LGOU-2026-SM-DIPFF 20-29 years, female 214.7
GTEX-1N2EF-0226-SM-EYYXB 60-69 years, male 213.3
GTEX-ZTSS-1926-SM-57WEW 40-49 years, male 212.5
GTEX-17HII-0226-SM-7LG4E 50-59 years, male 212.0
GTEX-1MUQO-0126-SM-EAZ58 60-69 years, male 211.4
GTEX-1K2DA-1826-SM-CGQGT 50-59 years, male 210.9
GTEX-ZDTT-2726-SM-4WKF8 60-69 years, male 210.6
GTEX-14753-0426-SM-5NQAM 60-69 years, male 210.3
GTEX-147F4-0226-SM-5QGPW 50-59 years, male 210.3
GTEX-147GR-0526-SM-5S2MY 60-69 years, male 210.2
GTEX-WXYG-2326-SM-4E3I6 50-59 years, female 210.2
GTEX-SUCS-1926-SM-32PM3 70-79 years, male 210.0
GTEX-PWO3-1526-SM-48TCM 60-69 years, female 209.7
GTEX-1OJC3-0126-SM-E76QX 20-29 years, male 209.5
GTEX-P4PQ-0126-SM-2S1NM 60-69 years, male 208.1
GTEX-14DAR-2026-SM-5S2O3 50-59 years, male 207.9
GTEX-15DCD-0126-SM-7KUEK 70-79 years, female 207.7
GTEX-1I6K6-0126-SM-A9SLE 30-39 years, male 207.1
GTEX-145LT-1726-SM-5QGP3 40-49 years, male 206.4
GTEX-1QP9N-1426-SM-DTXFL 30-39 years, male 206.4
GTEX-1CB4I-0226-SM-79OLH 50-59 years, male 206.3
GTEX-1HBPH-0426-SM-B2LW5 40-49 years, female 206.3
GTEX-OHPL-0126-SM-2HMJ7 60-69 years, female 206.1
GTEX-S95S-1226-SM-4GICG 60-69 years, male 205.8
GTEX-145MI-0526-SM-5O9A8 60-69 years, female 205.1
GTEX-1B996-0226-SM-7RHGO 60-69 years, male 205.0
GTEX-ZVT4-0126-SM-DTXFN 50-59 years, female 205.0
GTEX-16GPK-0126-SM-7DHLE 60-69 years, male 204.8
GTEX-11ZVC-2526-SM-5FQTE 50-59 years, female 204.7
GTEX-1C64O-0126-SM-7SB8P 60-69 years, male 204.7
GTEX-1KANA-0726-SM-D3L9I 20-29 years, male 204.7
GTEX-1B97I-1626-SM-73KYO 40-49 years, male 204.4
GTEX-11EQ9-2426-SM-5HL5T 30-39 years, male 204.2
GTEX-1J8Q2-0526-SM-CM2RW 60-69 years, male 203.8
GTEX-ZXG5-0126-SM-5GIEU 60-69 years, male 203.0
GTEX-11DXX-2426-SM-5GZZW 60-69 years, female 202.5
GTEX-13FHO-0226-SM-5IFGY 60-69 years, male 202.5
GTEX-1AYD5-2426-SM-73KXR 50-59 years, male 202.4
GTEX-TKQ1-1026-SM-4GICL 30-39 years, male 202.4
GTEX-Y8LW-1826-SM-5S2MV 50-59 years, female 202.3
GTEX-11GSO-2426-SM-5A5LY 60-69 years, male 201.6
GTEX-1AX9K-2326-SM-73KWU 50-59 years, male 201.5
GTEX-X261-0126-SM-3NMD6 50-59 years, male 201.5
GTEX-ZPIC-1726-SM-DHXIU 40-49 years, female 201.5
GTEX-Y3I4-2126-SM-4TT7C 50-59 years, male 201.4
GTEX-1LGRB-2526-SM-CNPPQ 50-59 years, female 201.3
GTEX-Y114-2426-SM-4TT8A 50-59 years, female 201.2
GTEX-14JG6-2226-SM-6EU2G 30-39 years, female 201.1
GTEX-1IL2U-0226-SM-CE6T8 60-69 years, male 201.1
GTEX-11EMC-2926-SM-5EQ4F 60-69 years, female 200.5
GTEX-13FTX-1826-SM-5J1NX 20-29 years, female 200.2
GTEX-XQ8I-0426-SM-4BOPO 50-59 years, male 199.9
GTEX-11ZU8-2526-SM-5EQKI 60-69 years, male 199.6
GTEX-QV44-1926-SM-2S1RF 50-59 years, male 199.3
GTEX-11EM3-2426-SM-59861 20-29 years, female 198.8
GTEX-1LSNM-1926-SM-E6CII 50-59 years, male 198.4
GTEX-1GZHY-0326-SM-9QEHI 50-59 years, female 198.3
GTEX-1HSMP-0126-SM-E6CJS 70-79 years, male 198.3
GTEX-12WSA-0226-SM-5BC5V 60-69 years, male 198.2
GTEX-1C6VS-0526-SM-7DUEN 60-69 years, male 198.2
GTEX-TML8-1926-SM-32QOS 40-49 years, female 198.2
GTEX-18A67-0126-SM-7LG5P 50-59 years, male 198.1
GTEX-1C475-1826-SM-73KWA 40-49 years, female 197.9
GTEX-1GL5R-1826-SM-9KNUY 50-59 years, male 197.5
GTEX-146FR-1326-SM-E9J48 60-69 years, female 197.2
GTEX-13NYS-0126-SM-5MR3W 60-69 years, male 196.5
GTEX-ZU9S-0226-SM-5E441 30-39 years, male 196.2
GTEX-1I1GU-2226-SM-CGQFA 40-49 years, male 195.8
GTEX-RWS6-2026-SM-2XCB5 60-69 years, female 195.7
GTEX-1HUB1-0426-SM-E9U4U 60-69 years, male 195.5
GTEX-132NY-0326-SM-5IJBL 60-69 years, male 195.4
GTEX-13N1W-0126-SM-5K7VT 70-79 years, male 194.9
GTEX-15DDE-0126-SM-6LPKH 50-59 years, female 194.6
GTEX-1GZ2Q-0226-SM-7P8TL 40-49 years, male 194.6
GTEX-S7PM-0126-SM-4AD6S 60-69 years, male 194.5
GTEX-1RAZQ-0726-SM-EAZ43 30-39 years, male 194.3
GTEX-QDVJ-1726-SM-2I5FX 50-59 years, male 194.1
GTEX-1N2DV-0226-SM-E6CJ6 40-49 years, male 193.8
GTEX-11P7K-2126-SM-5GU7G 30-39 years, male 193.1
GTEX-1S82Z-0826-SM-E6CHY 30-39 years, female 193.0
GTEX-139T8-0126-SM-5K7XZ 60-69 years, male 192.6
GTEX-QLQ7-1626-SM-2S1R8 60-69 years, male 192.5
GTEX-1F52S-0126-SM-9MQJU 60-69 years, female 192.5
GTEX-1PBJI-0526-SM-E8VNK 20-29 years, female 192.1
GTEX-OXRN-0126-SM-48TDM 50-59 years, male 191.8
GTEX-12WSK-2326-SM-5GCOH 40-49 years, female 191.7
GTEX-T8EM-1026-SM-3DB7M 40-49 years, male 191.4
GTEX-14BMV-0126-SM-5S2PO 50-59 years, male 191.2
GTEX-15SHW-0326-SM-6PAML 60-69 years, male 190.8
GTEX-1NHNU-1026-SM-E9J2A 50-59 years, male 190.5
GTEX-PLZ6-1426-SM-DKPOT 30-39 years, male 190.2
GTEX-13111-1626-SM-5EGJY 50-59 years, male 190.1
GTEX-1JMQI-2226-SM-CM2SD 50-59 years, male 189.7
GTEX-ZDTS-0126-SM-4WAY5 60-69 years, male 189.6
GTEX-1GMR3-1926-SM-9KNUZ 40-49 years, male 189.6
GTEX-WFG8-2226-SM-3GIL9 20-29 years, male 189.5
GTEX-X4XX-0126-SM-3NMC2 60-69 years, male 189.5
GTEX-1JMPY-1326-SM-ARL8Y 30-39 years, male 189.5
GTEX-1IOXB-0126-SM-ARL8G 50-59 years, male 189.0
GTEX-14LZ3-0226-SM-62LET 60-69 years, female 188.3
GTEX-1H1DG-0126-SM-9WYU2 70-79 years, male 188.3
GTEX-13OVJ-0126-SM-5KM36 50-59 years, female 187.9
GTEX-139T4-0226-SM-5HL5S 50-59 years, female 187.3
GTEX-ZXES-1826-SM-5E43S 30-39 years, female 187.0
GTEX-ZVT2-2526-SM-51MT1 50-59 years, female 186.7
GTEX-13OVG-1926-SM-5L3DK 60-69 years, male 186.4
GTEX-1CAMR-1926-SM-7EPI2 20-29 years, male 186.4
GTEX-1HCVE-0126-SM-CGQEU 50-59 years, male 186.3
GTEX-12C56-1726-SM-5EQ61 20-29 years, male 185.5
GTEX-T6MO-1626-SM-32QOM 40-49 years, female 185.4
GTEX-WRHK-1426-SM-3MJF9 20-29 years, female 185.4
GTEX-YB5K-2126-SM-4WWDJ 40-49 years, female 184.9
GTEX-1RAZA-0126-SM-E6CI3 20-29 years, male 184.8
GTEX-13W46-0226-SM-5SIAG 50-59 years, male 184.7
GTEX-1CAV2-2226-SM-7P8P2 40-49 years, female 184.5
GTEX-11TUW-2726-SM-E9J4M 60-69 years, male 184.1
GTEX-1A3MV-1926-SM-718BT 30-39 years, male 184.0
GTEX-16MT8-0426-SM-7KUEY 60-69 years, female 183.9
GTEX-ZQUD-1426-SM-57WER 30-39 years, male 183.7
GTEX-1IDJU-2626-SM-CM2RT 60-69 years, female 183.7
GTEX-16YQH-0126-SM-7DUFJ 30-39 years, male 183.6
GTEX-13NZB-2526-SM-5J1OM 30-39 years, male 183.3
GTEX-W5X1-3026-SM-EAZAX 40-49 years, female 182.8
GTEX-13NZA-0226-SM-5K7Z7 60-69 years, male 182.6
GTEX-Y3IK-2426-SM-4WWDU 50-59 years, female 182.4
GTEX-13VXT-0126-SM-5LU4I 20-29 years, female 182.1
GTEX-1GMR8-0126-SM-9WYTM 50-59 years, female 181.9
GTEX-O5YW-0126-SM-3LK6D 50-59 years, male 181.8
GTEX-16AAH-1726-SM-7939C 50-59 years, male 181.4
GTEX-1RDX4-0126-SM-E9J4P 50-59 years, female 181.3
GTEX-1R9PO-2126-SM-E9J4O 60-69 years, female 181.2
GTEX-UJHI-1526-SM-3DB99 50-59 years, female 181.0
GTEX-1JKYR-0126-SM-CNPOJ 20-29 years, male 181.0
GTEX-NFK9-0226-SM-2HMKQ 40-49 years, male 180.9
GTEX-1H2FU-0126-SM-9WYSI 60-69 years, female 180.9
GTEX-1LG7Z-1726-SM-D3LA4 30-39 years, male 180.8
GTEX-113IC-0126-SM-5HL6T 60-69 years, male 180.3
GTEX-1A32A-0126-SM-718B1 50-59 years, female 180.3
GTEX-13U4I-0126-SM-5LU38 40-49 years, female 179.9
GTEX-11TTK-0126-SM-5987B 60-69 years, female 179.5
GTEX-1HGF4-2426-SM-ACKXM 60-69 years, male 179.4
GTEX-OOBJ-0126-SM-E6CJW 60-69 years, male 179.4
GTEX-1AX9I-0126-SM-7SB74 60-69 years, male 179.2
GTEX-18D9B-0526-SM-7LTAS 60-69 years, male 178.9
GTEX-ZZ64-1726-SM-5GZYB 20-29 years, male 178.8
GTEX-15F5U-1526-SM-6PANO 40-49 years, male 178.7
GTEX-X62O-0126-SM-4E3JN 50-59 years, male 178.5
GTEX-ZC5H-0226-SM-4WAY9 40-49 years, female 178.3
GTEX-1AMFI-2026-SM-731BH 50-59 years, female 178.2
GTEX-Y5V6-2426-SM-4VDSB 60-69 years, male 178.1
GTEX-13N11-2526-SM-5K7UE 50-59 years, female 178.0
GTEX-ZAJG-0126-SM-5HL94 50-59 years, female 176.9
GTEX-1JKYN-1326-SM-CGQG9 30-39 years, male 176.9
GTEX-Q734-1926-SM-2I5EV 40-49 years, female 176.1
GTEX-1I1GP-2226-SM-CGQFK 50-59 years, male 176.0
GTEX-1IKJJ-0126-SM-CNPQB 60-69 years, male 175.9
GTEX-ZQG8-1626-SM-DHXIT 60-69 years, female 175.6
GTEX-1QP2A-0126-SM-E9J43 50-59 years, male 175.4
GTEX-15SB6-1726-SM-6PAME 50-59 years, female 175.3
GTEX-12ZZZ-0626-SM-5DUXI 60-69 years, male 175.1
GTEX-14BIM-0226-SM-7IGLD 60-69 years, female 175.0
GTEX-1IE54-0126-SM-CMKHW 40-49 years, female 174.3
GTEX-XV7Q-2526-SM-4BRV9 40-49 years, female 174.0
GTEX-SN8G-0126-SM-32PLI 50-59 years, female 173.9
GTEX-145MF-0626-SM-5LUAI 50-59 years, male 173.6
GTEX-1HSMQ-1226-SM-CGQFX 50-59 years, male 173.6
GTEX-1LBAC-0126-SM-DIPEZ 20-29 years, male 172.8
GTEX-1JN76-0126-SM-CNPPE 20-29 years, female 172.5
GTEX-Q2AH-1626-SM-3GAF8 40-49 years, male 172.1
GTEX-RM2N-1426-SM-2TF4H 50-59 years, male 172.0
GTEX-11UD1-0126-SM-5PNYG 40-49 years, female 171.1
GTEX-14A6H-0126-SM-5QGPK 30-39 years, male 170.7
GTEX-1JJEA-0326-SM-CNPOT 60-69 years, male 170.0
GTEX-TMMY-0226-SM-33HBA 40-49 years, female 169.8
GTEX-1LG7Y-0526-SM-DKPQC 50-59 years, male 169.7
GTEX-13O21-1426-SM-5K7XI 50-59 years, male 169.4
GTEX-XAJ8-0826-SM-47JY6 40-49 years, male 169.3
GTEX-1GPI7-0126-SM-9MQL8 20-29 years, male 169.3
GTEX-1CAMQ-0226-SM-7IGPK 40-49 years, male 169.0
GTEX-RUSQ-1526-SM-2TF62 50-59 years, male 168.6
GTEX-13X6J-0126-SM-5QGOU 50-59 years, male 168.3
GTEX-13X6I-0626-SM-5QGP9 60-69 years, male 168.2
GTEX-15SHU-0126-SM-7KUEH 40-49 years, female 167.9
GTEX-18D9U-0226-SM-718BP 40-49 years, male 167.9
GTEX-1IDJF-0126-SM-CM2RS 20-29 years, male 167.9
GTEX-145LV-2126-SM-5LU8N 50-59 years, male 167.5
GTEX-O5YT-0126-SM-48TBW 20-29 years, male 167.5
GTEX-PLZ5-2026-SM-2S1O4 50-59 years, male 167.2
GTEX-T2IS-0126-SM-4DM6O 20-29 years, female 167.2
GTEX-POMQ-2226-SM-2I5FK 20-29 years, female 167.1
GTEX-13O3O-0126-SM-E9J49 60-69 years, female 167.0
GTEX-18A7B-0126-SM-7LG64 70-79 years, male 166.5
GTEX-15D1Q-0126-SM-7KUG6 40-49 years, male 165.5
GTEX-1PIIG-0226-SM-EWRN6 30-39 years, male 165.2
GTEX-1KWVE-1426-SM-E9TJO 30-39 years, male 165.0
GTEX-1AMEY-1326-SM-73KYK 30-39 years, female 164.9
GTEX-1314G-1526-SM-5EGK2 30-39 years, male 164.5
GTEX-1CB4J-0626-SM-7DHMP 60-69 years, male 164.4
GTEX-1GF9U-2126-SM-7SB7L 40-49 years, female 164.4
GTEX-1ICLZ-0126-SM-CKZPO 60-69 years, male 164.3
GTEX-1269C-2526-SM-5EGJ3 60-69 years, female 163.6
GTEX-1EMGI-0126-SM-9KNUE 60-69 years, male 162.8
GTEX-V1D1-2226-SM-3NMAX 50-59 years, male 162.7
GTEX-WY7C-2326-SM-3NB2U 50-59 years, male 162.2
GTEX-131XH-2226-SM-5DUXJ 50-59 years, male 162.1
GTEX-U3ZM-1526-SM-3DB9D 40-49 years, male 161.6
GTEX-1A8FM-0226-SM-7SB7Q 50-59 years, female 161.6
GTEX-OHPM-0126-SM-2YUN9 50-59 years, male 161.5
GTEX-12WSE-0526-SM-793B2 20-29 years, male 161.4
GTEX-1RLM8-2326-SM-EWRN4 50-59 years, male 161.4
GTEX-11XUK-2026-SM-5EQLF 40-49 years, female 160.6
GTEX-13RTL-0126-SM-7LG5S 40-49 years, male 160.2
GTEX-Y5V5-2326-SM-4V6GA 60-69 years, female 160.2
GTEX-14PJ3-1826-SM-62LEX 50-59 years, male 160.1
GTEX-PWCY-1826-SM-DHXIZ 20-29 years, female 159.8
GTEX-1HB9E-0226-SM-E9U4R 50-59 years, male 159.3
GTEX-11DXZ-2326-SM-5EGGV 50-59 years, male 159.1
GTEX-14ABY-0226-SM-5TDCQ 50-59 years, male 158.8
GTEX-XYKS-2126-SM-4E3IB 60-69 years, female 158.7
GTEX-18QFQ-0126-SM-731BE 30-39 years, male 158.2
GTEX-SE5C-1626-SM-2XCE3 40-49 years, female 158.2
GTEX-1GN1W-0526-SM-9MQJQ 50-59 years, female 157.7
GTEX-1QP67-1626-SM-EAZ3X 40-49 years, female 157.7
GTEX-OXRL-0126-SM-2YUMP 50-59 years, male 157.6
GTEX-14E6D-0126-SM-62LDV 50-59 years, male 157.0
GTEX-11VI4-1726-SM-5CVLH 40-49 years, female 156.7
GTEX-147F3-0526-SM-5SI98 50-59 years, female 156.3
GTEX-1M4P7-0226-SM-DIPEV 60-69 years, male 156.3
GTEX-ZAB4-0226-SM-5N9F5 40-49 years, male 155.9
GTEX-Y8DK-0126-SM-4TT3L 60-69 years, male 155.7
GTEX-13OW7-0126-SM-5MR3B 50-59 years, male 155.4
GTEX-WFON-2126-SM-3LK7O 40-49 years, male 155.4
GTEX-1I1GS-0126-SM-B2LVW 60-69 years, male 155.4
GTEX-11GS4-2726-SM-5A5LE 60-69 years, male 155.3
GTEX-13OW6-0426-SM-5L3HM 50-59 years, male 155.2
GTEX-12WSN-5019-SM-79OM6 40-49 years, male 154.9
GTEX-13CF2-2526-SM-5LZYX 60-69 years, male 154.9
GTEX-X4EP-0126-SM-3P5YV 60-69 years, female 154.8
GTEX-1ICG6-2526-SM-CGQFZ 70-79 years, female 154.7
GTEX-11P82-1626-SM-59879 20-29 years, male 154.6
GTEX-1K2DU-2326-SM-E9TIV 20-29 years, male 154.5
GTEX-ZDXO-3026-SM-5J1N5 60-69 years, male 154.4
GTEX-1F48J-0126-SM-7P8TT 50-59 years, female 154.4
GTEX-131YS-0126-SM-5KM1M 60-69 years, female 154.1
GTEX-T2YK-0526-SM-32QPJ 50-59 years, male 153.8
GTEX-17JCI-0126-SM-7LG5G 60-69 years, female 153.7
GTEX-17F96-1626-SM-7DUFL 70-79 years, male 153.4
GTEX-1MGNQ-0126-SM-EVYCJ 40-49 years, male 153.2
GTEX-15CHC-2126-SM-6EU21 60-69 years, female 152.8
GTEX-R55G-2526-SM-2TC6D 40-49 years, female 152.8
GTEX-1I1GV-0526-SM-A9G29 60-69 years, male 152.6
GTEX-1QAET-0926-SM-E76QM 50-59 years, male 152.2
GTEX-14BIL-0126-SM-5SI92 50-59 years, male 151.8
GTEX-1HKZK-0326-SM-9WYUH 40-49 years, male 151.3
GTEX-13N2G-2626-SM-5J1OT 60-69 years, male 150.7
GTEX-YFC4-0126-SM-5CVLY 40-49 years, female 150.1
GTEX-1GF9V-0326-SM-7RHI5 60-69 years, male 149.8
GTEX-OOBK-0126-SM-2YUND 40-49 years, male 149.6
GTEX-1H3VY-0126-SM-ACKXD 50-59 years, male 149.5
GTEX-1GN73-0226-SM-9WG67 60-69 years, male 149.2
GTEX-16BQI-0226-SM-7KUEX 30-39 years, female 149.1
GTEX-16XZY-2126-SM-79OK1 70-79 years, male 149.1
GTEX-NPJ8-0126-SM-2YUNR 40-49 years, male 148.8
GTEX-12WSD-0126-SM-59HKN 60-69 years, female 147.6
GTEX-OIZG-0726-SM-33HBL 50-59 years, male 147.3
GTEX-WH7G-2326-SM-3NMBC 40-49 years, male 147.1
GTEX-1JMLX-0226-SM-CM2RO 50-59 years, male 146.9
GTEX-11NSD-2226-SM-5986V 20-29 years, male 146.4
GTEX-1192X-0226-SM-5H12D 50-59 years, male 146.3
GTEX-1B8SG-0126-SM-73KZ3 50-59 years, male 146.3
GTEX-QVJO-1626-SM-2S1QW 60-69 years, female 146.2
GTEX-XUZC-1726-SM-4BRWS 30-39 years, female 146.1
GTEX-YJ89-0126-SM-4TT3X 60-69 years, male 146.0
GTEX-1S83E-0126-SM-EWRO4 40-49 years, male 145.7
GTEX-QLQW-1126-SM-2S1Q8 30-39 years, male 145.2
GTEX-13W3W-2426-SM-5LU5B 60-69 years, female 145.0
GTEX-13QJ3-0326-SM-5S2RA 50-59 years, male 144.0
GTEX-1H4P4-0726-SM-9YFLR 50-59 years, male 143.3
GTEX-1HT8W-0126-SM-CNPPP 30-39 years, male 142.6
GTEX-X638-0126-SM-47JZ8 70-79 years, female 142.5
GTEX-WQUQ-0426-SM-3MJFU 60-69 years, male 141.7
GTEX-12WSG-2826-SM-E9J4H 50-59 years, female 141.5
GTEX-YJ8A-0426-SM-5IFID 20-29 years, male 140.5
GTEX-17HHE-2026-SM-79OKF 50-59 years, male 140.3
GTEX-11P81-2326-SM-59875 30-39 years, female 139.6
GTEX-TSE9-0126-SM-3DB83 60-69 years, female 139.3
GTEX-1CB4F-0426-SM-9KNV4 60-69 years, male 138.9
GTEX-XXEK-2226-SM-4BRUM 50-59 years, male 138.7
GTEX-117YW-2626-SM-5GZZH 50-59 years, male 137.9
GTEX-Z93T-0126-SM-5HL5N 50-59 years, male 137.9
GTEX-SSA3-0126-SM-32QPU 60-69 years, male 137.0
GTEX-ZYT6-0226-SM-5NQ6T 30-39 years, male 137.0
GTEX-Z9EW-1626-SM-5CVMN 40-49 years, male 136.9
GTEX-ZVZO-0126-SM-5A5L9 40-49 years, male 136.9
GTEX-QCQG-1726-SM-3GIJ9 50-59 years, female 136.4
GTEX-1B8SF-1426-SM-7DUGL 60-69 years, male 136.1
GTEX-1H3NZ-0126-SM-ACKX7 60-69 years, male 136.1
GTEX-ZY6K-1826-SM-5GZXK 50-59 years, male 135.6
GTEX-ZYW4-0126-SM-5E44A 60-69 years, male 133.8
GTEX-1R9K4-0126-SM-DTX9X 60-69 years, male 133.7
GTEX-QDT8-0126-SM-48TZ1 30-39 years, female 133.6
GTEX-15ER7-0326-SM-7KUEV 20-29 years, female 133.5
GTEX-11OF3-2626-SM-5GU7F 60-69 years, male 133.3
GTEX-Z93S-0126-SM-5HL7M 50-59 years, male 133.0
GTEX-13VXU-0126-SM-5SI9F 50-59 years, male 132.9
GTEX-X4XY-0226-SM-4E3IZ 60-69 years, male 132.5
GTEX-1IDJH-0326-SM-A9SLQ 70-79 years, male 131.6
GTEX-1JMQJ-0526-SM-CYPSU 50-59 years, male 131.3
GTEX-11EI6-0126-SM-5985R 60-69 years, male 130.7
GTEX-16NPX-0226-SM-79OMT 50-59 years, male 130.7
GTEX-14XAO-2326-SM-6EU1B 60-69 years, female 130.1
GTEX-17EVQ-0226-SM-7LG4P 70-79 years, male 130.0
GTEX-T6MN-0126-SM-32PLP 50-59 years, male 129.6
GTEX-1JMPZ-0226-SM-CNPP1 30-39 years, male 129.4
GTEX-12WSC-0126-SM-5EQ4P 50-59 years, male 129.3
GTEX-139D8-0226-SM-5KLZO 30-39 years, female 129.0
GTEX-13O3Q-2426-SM-5IJBR 50-59 years, male 129.0
GTEX-ZAK1-0126-SM-5IJD3 50-59 years, female 127.8
GTEX-1AYCT-2426-SM-7IGQ3 50-59 years, male 127.5
GTEX-1POEN-0126-SM-EYYXJ 30-39 years, female 127.4
GTEX-1AX8Z-0126-SM-7DHM6 60-69 years, male 127.0
GTEX-1N2DW-0226-SM-E9TK2 50-59 years, male 126.9
GTEX-1IGQW-0126-SM-COH42 60-69 years, male 126.4
GTEX-13112-2826-SM-5DUWH 50-59 years, male 126.1
GTEX-1H23P-0126-SM-ADEJ3 60-69 years, male 126.1
GTEX-1LNCM-1126-SM-E9U5E 50-59 years, female 125.9
GTEX-131XE-2326-SM-5PNZ2 50-59 years, male 125.8
GTEX-1H3VE-0326-SM-9YFLH 40-49 years, male 125.5
GTEX-1GTWX-0126-SM-9YFLK 60-69 years, male 125.1
GTEX-18A6Q-0126-SM-731BZ 60-69 years, male 125.0
GTEX-1IKK5-0626-SM-ARL8A 60-69 years, male 124.6
GTEX-14PN4-0126-SM-6EU2V 50-59 years, male 124.4
GTEX-183FY-0126-SM-7LT9P 20-29 years, male 124.4
GTEX-1OJC4-0126-SM-E9J2E 50-59 years, female 124.4
GTEX-XUYS-0126-SM-47JWZ 50-59 years, male 124.3
GTEX-1F88F-2726-SM-7PBZZ 60-69 years, female 124.2
GTEX-1H1CY-2826-SM-9MQM3 60-69 years, female 124.2
GTEX-13SLW-0126-SM-5SI6C 70-79 years, male 123.7
GTEX-17MFQ-1726-SM-793C7 20-29 years, male 123.6
GTEX-ZVTK-0426-SM-51MRS 20-29 years, male 123.0
GTEX-12584-0126-SM-5EGKQ 40-49 years, male 122.3
GTEX-ZAB5-1826-SM-5HL7C 50-59 years, male 121.3
GTEX-1212Z-2526-SM-5EGKP 60-69 years, male 120.8
GTEX-1JMQK-0226-SM-CL543 60-69 years, male 120.7
GTEX-SNMC-1226-SM-2XCFP 20-29 years, male 120.5
GTEX-T5JC-0426-SM-32PLO 20-29 years, male 120.0
GTEX-1313W-0126-SM-5LZUN 50-59 years, female 119.9
GTEX-R3RS-0126-SM-3GIJL 40-49 years, female 119.8
GTEX-13FTY-0526-SM-5L3EV 40-49 years, female 119.7
GTEX-14JIY-0126-SM-6LLH6 60-69 years, male 119.0
GTEX-11ZTS-0126-SM-5EQ6M 60-69 years, female 118.7
GTEX-169BO-1326-SM-9MQK2 50-59 years, male 118.2
GTEX-Y8E4-0626-SM-4WWDL 40-49 years, male 118.0
GTEX-12KS4-0326-SM-5EQ41 30-39 years, male 117.7
GTEX-1KD4Q-0226-SM-E9TJ9 40-49 years, male 117.7
GTEX-117XS-2726-SM-5N9BL 60-69 years, male 116.9
GTEX-13FXS-0226-SM-5IJCK 50-59 years, male 116.8
GTEX-139TU-0126-SM-5K7WH 60-69 years, male 115.8
GTEX-139TT-0126-SM-5K7Y5 60-69 years, male 115.5
GTEX-1EU9M-0226-SM-7P8SP 60-69 years, male 115.5
GTEX-1BAJH-0526-SM-793CQ 70-79 years, male 115.4
GTEX-1C6WA-0126-SM-7PC2B 60-69 years, male 114.6
GTEX-UPJH-0326-SM-3GADU 50-59 years, male 114.2
GTEX-1O97I-0326-SM-EYYX7 60-69 years, male 114.0
GTEX-18465-0126-SM-731BN 50-59 years, male 113.3
GTEX-12126-0326-SM-5PNW3 20-29 years, male 113.2
GTEX-1HBPI-1526-SM-C1YQ1 50-59 years, male 113.1
GTEX-1I1GR-0126-SM-CL55F 60-69 years, male 113.1
GTEX-11WQC-2526-SM-5CVLE 60-69 years, male 112.8
GTEX-1J8EW-0126-SM-CJI4F 60-69 years, female 112.7
GTEX-1C6VR-2426-SM-79OLD 60-69 years, male 112.3
GTEX-TMZS-0126-SM-3DB9Q 60-69 years, male 112.1
GTEX-1MCQQ-0826-SM-DLHC2 60-69 years, male 112.0
GTEX-14DAQ-0126-SM-5S2MQ 60-69 years, female 111.0
GTEX-SIU8-0126-SM-2XCDT 50-59 years, male 110.8
GTEX-1KD5A-0226-SM-D5OV3 50-59 years, male 110.7
GTEX-1F6I4-0126-SM-9MQL2 60-69 years, male 110.5
GTEX-1B8L1-2526-SM-9WYTF 60-69 years, male 110.2
GTEX-1GMRU-0126-SM-9YFLV 50-59 years, male 110.0
GTEX-SJXC-0126-SM-2XCFF 60-69 years, male 109.7
GTEX-1LB8K-0226-SM-EWRNW 50-59 years, male 109.6
GTEX-13OVL-0226-SM-5L3E9 50-59 years, male 109.5
GTEX-QESD-1426-SM-2S1R9 20-29 years, male 109.5
GTEX-WYVS-2126-SM-3NMA3 40-49 years, female 109.4
GTEX-PW2O-1526-SM-7RHHB 20-29 years, male 109.3
GTEX-1399T-2826-SM-5KLYZ 60-69 years, male 109.0
GTEX-1B933-0126-SM-7PC29 50-59 years, female 108.0
GTEX-1HSKV-0226-SM-A9SKJ 60-69 years, male 108.0
GTEX-1PIGE-0126-SM-EVYBJ 20-29 years, male 107.8
GTEX-1IL2V-0126-SM-CM2TX 70-79 years, male 107.3
GTEX-145LU-0126-SM-5TDCB 50-59 years, male 107.1
GTEX-XQ3S-1526-SM-4BOOC 20-29 years, male 106.9
GTEX-1EWIQ-0126-SM-7RHH2 70-79 years, female 106.8
GTEX-RNOR-0126-SM-E9J4R 50-59 years, female 105.7
GTEX-11DXY-2626-SM-5GIE7 60-69 years, male 105.4
GTEX-13FHP-0126-SM-5IJBG 50-59 years, male 105.3
GTEX-1K9T9-0126-SM-EVYCF 50-59 years, female 105.2
GTEX-1H1ZS-0426-SM-9WG6G 70-79 years, male 104.7
GTEX-S33H-1026-SM-EZ6L6 30-39 years, male 104.7
GTEX-1F75A-0126-SM-7RHGM 50-59 years, male 104.4
GTEX-1MJK2-0426-SM-DTXE5 50-59 years, male 104.3
GTEX-14E7W-0126-SM-6LLJ9 70-79 years, male 104.0
GTEX-1HFI6-0226-SM-ADEHZ 40-49 years, male 104.0
GTEX-11OC5-0126-SM-5HL6A 60-69 years, male 103.7
GTEX-1S82Y-2026-SM-EVYCM 40-49 years, male 103.3
GTEX-1EN7A-0126-SM-7SB81 40-49 years, male 102.3
GTEX-17HHY-0126-SM-7LG5D 50-59 years, male 102.1
GTEX-18A7A-0226-SM-718BH 50-59 years, female 101.0
GTEX-1C4CL-0526-SM-73KVK 30-39 years, male 100.9
GTEX-1I1GQ-0126-SM-COH3H 50-59 years, male 100.8
GTEX-1F7RK-0126-SM-7PC2S 20-29 years, female 100.4
GTEX-111FC-0126-SM-5N9DL 60-69 years, male 99.9
GTEX-148VI-1626-SM-5SI6E 60-69 years, female 99.8
GTEX-11O72-0126-SM-59887 40-49 years, male 99.3
GTEX-1HR98-0126-SM-B2LWI 60-69 years, male 99.0
GTEX-1MA7X-2226-SM-E6CIY 60-69 years, male 98.9
GTEX-1E1VI-0126-SM-7DHMZ 50-59 years, male 98.8
GTEX-U3ZH-2026-SM-3DB78 30-39 years, male 98.6
GTEX-ZYFC-0226-SM-5NQ75 50-59 years, male 98.1
GTEX-1I19N-0326-SM-ACKVX 70-79 years, male 97.6
GTEX-11GSP-2526-SM-5N9BP 60-69 years, female 97.0
GTEX-144GN-2326-SM-5LU4F 50-59 years, male 97.0
GTEX-13NYB-2526-SM-5K7Z6 40-49 years, male 96.5
GTEX-1F6IF-0726-SM-7P8TW 60-69 years, male 96.5
GTEX-ZTPG-0326-SM-5O9AX 20-29 years, female 96.4
GTEX-PX3G-0126-SM-2I3EN 20-29 years, female 94.8
GTEX-Q2AG-0126-SM-33HBV 40-49 years, female 94.6
GTEX-11NUK-0126-SM-5A5L3 50-59 years, male 94.5
GTEX-111VG-2426-SM-5GZXD 60-69 years, male 93.4
GTEX-1GF9W-0326-SM-9KNUN 60-69 years, male 92.5
GTEX-13SLX-0526-SM-5S2ON 50-59 years, female 91.9
GTEX-ZVT3-0126-SM-5GU6I 60-69 years, female 91.4
GTEX-14JG1-0426-SM-6ETZZ 40-49 years, male 90.7
GTEX-1GPI6-0126-SM-9WG69 60-69 years, male 90.2
GTEX-VJYA-1126-SM-3GIJU 60-69 years, male 87.3
GTEX-RWSA-0126-SM-2XCBB 40-49 years, male 86.9
GTEX-1C64N-0126-SM-793D7 50-59 years, male 86.0
GTEX-WZTO-0126-SM-3NM95 40-49 years, male 85.1
GTEX-1CB4G-0226-SM-7PC3O 60-69 years, male 84.2
GTEX-12ZZY-0226-SM-5LZVE 60-69 years, male 83.7
GTEX-17HG3-2226-SM-7938L 30-39 years, female 82.9
GTEX-12ZZX-0126-SM-5EGK9 40-49 years, female 82.7
GTEX-R55E-0126-SM-2TC5Y 20-29 years, male 81.7
GTEX-U3ZN-2326-SM-3DB7W 30-39 years, female 80.9
GTEX-1KANB-0526-SM-E6CJH 50-59 years, male 80.9
GTEX-ZUA1-0126-SM-5GU76 40-49 years, male 80.0
GTEX-15DYW-0126-SM-7KULE 60-69 years, female 78.0
GTEX-1RQEC-0426-SM-E6CHU 60-69 years, male 77.6
GTEX-Y111-0126-SM-4SOIV 50-59 years, male 76.3
GTEX-144GL-0126-SM-5TDE2 50-59 years, male 75.5
GTEX-S7SE-0126-SM-2XCD5 50-59 years, male 75.4
GTEX-1J8JJ-0226-SM-CL53I 60-69 years, female 74.8
GTEX-PVOW-0126-SM-2XCFA 40-49 years, male 74.6
GTEX-13G51-2526-SM-5LZYK 60-69 years, male 73.6
GTEX-1I1HK-0126-SM-COH49 60-69 years, male 72.8
GTEX-RN64-0126-SM-2TC68 50-59 years, male 72.5
GTEX-QEG4-0226-SM-2S1PY 30-39 years, male 72.1
GTEX-1EKGG-0226-SM-9WYTH 60-69 years, male 69.4
GTEX-1IY9M-0126-SM-D3L8S 60-69 years, male 69.2
GTEX-1QEPI-0126-SM-EWRMQ 60-69 years, female 65.3
GTEX-11ZUS-0626-SM-59885 30-39 years, male 63.7
Show allShow less

Contact

  • NEWS ARTICLES
  • PRESS ROOM

The Project

  • INTRODUCTION
  • ORGANIZATION
  • PUBLICATIONS

The Human Protein Atlas

  • DOWNLOADABLE DATA
  • LICENCE & CITATION
  • HELP & FAQ
The Human Protein Atlas project is funded
by the Knut & Alice Wallenberg Foundation.


contact@proteinatlas.org