We use cookies to enhance the usability of our website. If you continue, we'll assume that you are happy to receive all cookies. More information. Don't show this again.
CTSZ
HPA
RESOURCES
  • TISSUE
  • BRAIN
  • SINGLE CELL
  • SUBCELLULAR
  • CANCER
  • BLOOD
  • CELL LINE
  • STRUCTURE & INTERACTION
ABOUT
  • INTRODUCTION
  • HISTORY
  • ORGANIZATION
  • PUBLICATIONS
  • ANTIBODY SUBMISSION
  • ANTIBODY AVAILABILITY
  • ACKNOWLEDGMENTS
  • CONTACT
NEWS
  • NEWS ARTICLES
  • PRESS ROOM
LEARN
  • DICTIONARY
  • PROTEIN CLASSES
  • PROTEIN EVIDENCE
  • METHODS
  • EDUCATIONAL VIDEOS
DATA
  • DOWNLOADABLE DATA
  • PUBLICATION DATA
  • RELEASE HISTORY
HELP
  • ANTIBODY VALIDATION
  • ASSAYS & ANNOTATION
  • DISCLAIMER
  • HELP & FAQ
  • PRIVACY STATEMENT
  • LICENCE & CITATION
Fields »
Search result

Field
Term
Gene name
Class
Subclass
Class
Keyword
Chromosome
External id
Tissue
Cell type
Expression
Antibody panel
Tissue
Main location
Patient ID
Annotation
Tissue
Category
Tau score
Cluster
Reliability
Brain region
Category
Tau score
Brain region
Category
Tau score
Brain region
Category
Tau score
Cluster
Reliability
Tissue
Cell type
Enrichment
Cell type
Category
Tau score
Cell type
Category
Tau score
Cell type
Category
Tau score
Cell lineage
Category
Tau score
Cluster
Cluster
Location
Searches
Location
Cell line
Class
Type
Phase
Reliability
Cancer
Prognosis
Cancer
Category
Cancer
Category
Tau score
Cluster
Variants
Interacting gene (ensg_id)
Type
Number of interactions
Pathway
Category
Score
Score
Score
Validation
Validation
Validation
Validation
Antibodies
Data type
Column


  • SUMMARY

  • TISSUE

  • BRAIN

  • SINGLE CELL

  • SUBCELL

  • CANCER

  • BLOOD

  • CELL LINE

  • STRUCT & INT

  • CTSZ
TISSUE PRIMARY DATA SKIN Show tissue menu
ADIPOSE TISSUE ADRENAL GLAND AMYGDALA APPENDIX BASAL GANGLIA BONE MARROW BREAST BRONCHUS CEREBELLUM CEREBRAL CORTEX CERVIX CHOROID PLEXUS COLON DUODENUM
ENDOMETRIUM EPIDIDYMIS ESOPHAGUS FALLOPIAN TUBE GALLBLADDER HEART MUSCLE HIPPOCAMPAL FORMATION HYPOTHALAMUS KIDNEY LIVER LUNG LYMPH NODE MIDBRAIN NASOPHARYNX
ORAL MUCOSA OVARY PANCREAS PARATHYROID GLAND PITUITARY GLAND PLACENTA PROSTATE RECTUM RETINA SALIVARY GLAND SEMINAL VESICLE SKELETAL MUSCLE SKIN SMALL INTESTINE
SMOOTH MUSCLE SOFT TISSUE SPINAL CORD SPLEEN STOMACH TESTIS THYMUS THYROID GLAND TONGUE TONSIL URINARY BLADDER VAGINA
ANTIBODIES
AND
VALIDATION
Dictionary
Skin
Tissue proteome
Skin
SKIN - Expression summary
Protein expression
Skini

On the top, protein expression in current human tissue, based on all annotated cell types, is reported with the units not detected (n), low (l), medium (m) and high (h). Underneath, protein expression in each annotated cell type are reported using the same units.

Protein expression data is based on knowledge-based annotation. For genes where more than one antibody has been used, a collective score is set.

If knowledge-based annotation could not be performed for a gene, no data is displayed here. View antibody staining data further down this page.

h
m
l
n
Cells in basal layer: Not detected
Cells in corneal layer: Not detected
Cells in granular layer: Not detected
Cells in spinous layer: Not detected
Endothelial cells: Low
Extracellular matrix: Not detected
Fibrohistiocytic cells: High
Hair follicles: Not detected
Langerhans cells: Medium
Lymphocytes: Not detected
Melanocytes: Not detected
Vascular mural cells: Not detected
RNA expressioni

A summary of mRNA expression data available for current tissue based on several datasets. The mRNA expression levels in human tissues are based on RNA-seq data generated by the Human Protein Atlas (HPA), Genotype-Tissue Expression (GTEx) portal and CAGE data generated by the FANTOM5 consortium. Consensus normalized expression levels for human tissues was created by combining the data from HPA and GTEx datasets.

The mRNA expression levels in pig are based on RNA-seq data generated by the Human Protein Atlas (HPA), and for mouse, HPA data and in situ hybridization generated by the Allen brain atlas are reported.

Scroll down to view mRNA expression data in more detail.
Consensus:56.6 nTPM
HPA:31.1 nTPM
GTEx:56.6 nTPM

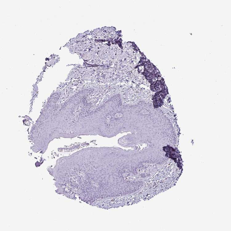
SKIN 1 - Antibody stainingi

Antibody staining in the annotated cell types in the current human tissue is reported as not detected, low, medium, or high, based on conventional immunohistochemistry profiling in selected tissues. This score is based on the combination of the staining intensity and fraction of stained cells.

Each image is clickable and will lead to virtual microscopy that enables deeper exploration of all samples and also displays staining intensity scores, fraction scores and subcellular localization as well as patient and tissue information for each sample.

Antibody HPA049876Antibody HPA053504Antibody CAB025114
Langerhans Not detectedNot detected-
Cells in basal layer --Not detected
Cells in corneal layer --Not detected
Cells in granular layer --Not detected
Cells in spinous layer --Not detected
Endothelial cells --Low
Extracellular matrix --Not detected
Fibroblasts Not detectedNot detected-
Fibrohistiocytic cells --High
Keratinocytes Not detectedLow-
Langerhans cells --Not detected
Lymphocytes --Not detected
Melanocytes Not detectedNot detectedNot detected
Vascular mural cells --Not detected




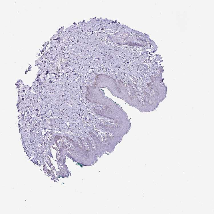
SKIN 2 - Antibody stainingi

Antibody staining in the annotated cell types in the current human tissue is reported as not detected, low, medium, or high, based on conventional immunohistochemistry profiling in selected tissues. This score is based on the combination of the staining intensity and fraction of stained cells.

Each image is clickable and will lead to virtual microscopy that enables deeper exploration of all samples and also displays staining intensity scores, fraction scores and subcellular localization as well as patient and tissue information for each sample.

Antibody HPA049876Antibody HPA053504Antibody CAB025114
Cells in basal layer --Not detected
Cells in corneal layer --Not detected
Cells in granular layer --Not detected
Cells in spinous layer --Not detected
Endothelial cells --Low
Epidermal cells Not detectedLow-
Extracellular matrix --Not detected
Fibrohistiocytic cells --High
Hair follicles --Not detected
Langerhans cells --Medium
Lymphocytes --Not detected
Melanocytes --Not detected
Vascular mural cells --Not detected
   







SKIN - HPA RNA-seqi

The RNA-seq details section shows detailed information about the individual samples used for the transcript profiling and results of the RNA-seq analysis.

Information about each individual sample is listed below, including gender, age, a tissue section image and estimated fractions of cell types. nTPM (normalized transcripts per million) values give a quantification of the gene abundance which is comparable between different genes and samples.
Average nTPMi

Max subtype nTPM is the value for the subtype with the largest average nTPM across the subtype samples.

31.1
overview
Female, age 34
Skin sample 225
nTPM: 36.3
Cell types%
Keratinocytes:
60

Other cell types:
40

overview
Female, age 30
Skin sample 226
nTPM: 17.6
Cell types%
Keratinocytes:
55

Other cell types:
45

N/A
Male, age 57
Skin sample 227
nTPM: 39.4

SKIN - GTEx RNA-seqi

RNA-Seq data generated by the Genotype-Tissue Expression (GTEx) project from human tissues is reported as mean nTPM. More information can be found on the GTEx portal.

Distribution across the dataset is visualized with box plots, shown as median and 25th and 75th percentiles. Points are displayed as outliers if they are above or below 1.5 times the interquartile range. nTPM values of the individual samples are presented next to the box plot.
Max subtype nTPMi

Max subtype nTPM is the value for the subtype with the largest average nTPM across the subtype samples.

56.6
GTEx sample id Sample description nTPM
Skin - Not Sun Exposed (Suprapubic)
Average nTPM: 50.7
Samples: 604

Max nTPM: 167.8
Min nTPM: 18.1
Std nTPM: 17.9
Median nTPM: 48.6
GTEX-1399R-1326-SM-5PNYS 30-39 years, male 167.8
GTEX-Y3IK-1626-SM-4YCF5 50-59 years, female 125.1
GTEX-11DYG-1526-SM-5A5JS 60-69 years, male 121.9
GTEX-139YR-1026-SM-5LZYN 50-59 years, male 112.5
GTEX-18D9B-0926-SM-7LG4U 60-69 years, male 111.2
GTEX-13113-1626-SM-5EQ4I 60-69 years, female 106.0
GTEX-15RJ7-2126-SM-6PAMD 40-49 years, male 102.0
GTEX-14A5H-0826-SM-5QGPJ 60-69 years, male 100.8
GTEX-14PK6-0226-SM-62LF5 70-79 years, female 99.9
GTEX-1H1ZS-2726-SM-9WG75 70-79 years, male 99.2
GTEX-VJYA-1526-SM-3GIJV 60-69 years, male 97.1
GTEX-16YQH-2226-SM-7IGM2 30-39 years, male 95.9
GTEX-X3Y1-2026-SM-3P5YM 40-49 years, male 93.8
GTEX-13OVJ-0826-SM-5J1OK 50-59 years, female 93.0
GTEX-1477Z-0326-SM-7IGLA 60-69 years, male 92.9
GTEX-145MG-1526-SM-5Q5EM 50-59 years, male 92.6
GTEX-1EWIQ-0326-SM-7DHMQ 70-79 years, female 90.0
GTEX-1JMOU-1026-SM-CYPSS 60-69 years, female 89.7
GTEX-ZYW4-0626-SM-59HJR 60-69 years, male 89.5
GTEX-1F6I4-2326-SM-7RHGL 60-69 years, male 88.7
GTEX-1F75A-0726-SM-7RHHD 50-59 years, male 88.3
GTEX-1H1CY-0126-SM-9YFLY 60-69 years, female 88.3
GTEX-145ME-1726-SM-5Q5EU 40-49 years, female 87.9
GTEX-YB5K-2026-SM-4VDT3 40-49 years, female 87.7
GTEX-11NSD-0626-SM-5A5LU 20-29 years, male 86.3
GTEX-WYVS-1626-SM-3NM9R 40-49 years, female 86.2
GTEX-ZYFG-1526-SM-5GZYM 60-69 years, female 86.0
GTEX-UPK5-0426-SM-3GAEK 40-49 years, male 85.6
GTEX-U8XE-0226-SM-4E3J3 30-39 years, male 84.9
GTEX-13OVK-1426-SM-6PAN7 40-49 years, male 84.7
GTEX-17F97-2626-SM-7IGM5 50-59 years, male 84.3
GTEX-12WSL-2026-SM-5GCML 50-59 years, male 84.0
GTEX-YJ8O-2526-SM-5HL85 40-49 years, female 84.0
GTEX-ZAK1-0626-SM-5HL8E 50-59 years, female 83.5
GTEX-1QP29-1826-SM-DTX9S 50-59 years, male 82.3
GTEX-1LBAC-0826-SM-CY8IJ 20-29 years, male 82.2
GTEX-14DAR-1226-SM-73KYV 50-59 years, male 81.9
GTEX-12WSH-1526-SM-5BC5W 50-59 years, male 81.4
GTEX-W5X1-2526-SM-3GILC 40-49 years, female 81.2
GTEX-1GMRU-2126-SM-7P8RA 50-59 years, male 80.1
GTEX-18A66-0626-SM-7LT8Z 60-69 years, male 79.9
GTEX-1A32A-0626-SM-731AQ 50-59 years, female 79.9
GTEX-1RLM8-2926-SM-E8VON 50-59 years, male 79.9
GTEX-ZT9W-1126-SM-57WDR 50-59 years, male 79.7
GTEX-1IDJE-1426-SM-ADEIW 50-59 years, female 79.1
GTEX-1F48J-0726-SM-7RHGS 50-59 years, female 79.0
GTEX-12584-0726-SM-5FQTK 40-49 years, male 78.8
GTEX-146FQ-2126-SM-5RQHU 30-39 years, male 78.5
GTEX-WHSE-0126-SM-3NMBT 20-29 years, male 78.3
GTEX-ZDTS-0826-SM-4WKHL 60-69 years, male 78.3
GTEX-15SHW-0226-SM-7LTAT 60-69 years, male 78.2
GTEX-11DXW-0826-SM-5H118 40-49 years, male 77.8
GTEX-1BAJH-2426-SM-7IGP8 70-79 years, male 77.6
GTEX-XOT4-0626-SM-4B66L 60-69 years, female 77.4
GTEX-YF7O-1526-SM-5IFI6 50-59 years, male 77.2
GTEX-WFG8-2126-SM-3GIKQ 20-29 years, male 76.1
GTEX-1IDJD-2326-SM-ACKWX 30-39 years, male 75.3
GTEX-1AX8Z-0726-SM-73KTS 60-69 years, male 75.0
GTEX-14PJO-2526-SM-6AJBQ 60-69 years, male 74.6
GTEX-16GPK-0626-SM-7KFSF 60-69 years, male 74.4
GTEX-1HC8U-1326-SM-9YFMJ 40-49 years, female 74.4
GTEX-1H3NZ-2726-SM-9WYTQ 60-69 years, male 74.3
GTEX-WYBS-0626-SM-3NMAS 60-69 years, female 74.1
GTEX-1E2YA-2126-SM-7MXUO 50-59 years, male 73.8
GTEX-ZDXO-3126-SM-5IJDF 60-69 years, male 73.7
GTEX-111FC-2526-SM-5GZXU 60-69 years, male 73.3
GTEX-1GZHY-0626-SM-9KNVC 50-59 years, female 72.3
GTEX-12WSJ-1126-SM-5LZVJ 40-49 years, female 72.2
GTEX-WI4N-2726-SM-3LK7Y 40-49 years, female 72.2
GTEX-1HCU6-2526-SM-ADEHL 60-69 years, female 72.2
GTEX-1EX96-1026-SM-7MKG2 50-59 years, male 71.6
GTEX-1JKYN-0826-SM-ARU8S 30-39 years, male 71.4
GTEX-11EM3-1226-SM-5N9DD 20-29 years, female 71.3
GTEX-1117F-2926-SM-5GZYI 60-69 years, female 71.1
GTEX-WH7G-2026-SM-3NMBL 40-49 years, male 71.1
GTEX-WXYG-2026-SM-4E3IY 50-59 years, female 71.1
GTEX-18A7B-2726-SM-7LG56 70-79 years, male 71.0
GTEX-1HUB1-1426-SM-CGQF5 60-69 years, male 70.6
GTEX-1CAV2-0126-SM-7IGN7 40-49 years, female 70.5
GTEX-15CHQ-0326-SM-69LQD 60-69 years, male 70.1
GTEX-1JMLX-0626-SM-ARL8T 50-59 years, male 69.8
GTEX-1RAZR-2126-SM-E9U6T 40-49 years, male 69.8
GTEX-ZU9S-1826-SM-5NQ9E 30-39 years, male 69.3
GTEX-ZVP2-0326-SM-57WBP 50-59 years, male 69.0
GTEX-1HFI6-0126-SM-CNPPI 40-49 years, male 68.9
GTEX-145MN-1526-SM-5SI9T 30-39 years, male 68.7
GTEX-ZLFU-1826-SM-4WWBV 40-49 years, male 68.6
GTEX-1PIGE-1826-SM-E8VOU 20-29 years, male 68.1
GTEX-132AR-0326-SM-5KM2C 50-59 years, female 67.9
GTEX-X8HC-0626-SM-4E3HQ 50-59 years, female 67.6
GTEX-1MJK3-0726-SM-E6CJC 20-29 years, male 67.6
GTEX-WFG7-2026-SM-5SI7P 20-29 years, male 66.9
GTEX-1L5NE-1126-SM-D3L9P 50-59 years, male 66.9
GTEX-1GMR2-0826-SM-7PC3V 50-59 years, male 66.6
GTEX-ZLWG-0826-SM-59888 50-59 years, female 66.5
GTEX-ZPU1-1126-SM-4YCF3 40-49 years, male 66.5
GTEX-1F75W-2726-SM-7SB8H 60-69 years, male 66.5
GTEX-1IDJI-0126-SM-CMKHS 50-59 years, female 66.5
GTEX-YEC4-1826-SM-4W1YP 40-49 years, male 66.1
GTEX-1F6IF-0926-SM-7SB7M 60-69 years, male 66.1
GTEX-14BMU-1226-SM-5S2OR 20-29 years, female 65.9
GTEX-17JCI-2926-SM-7DUFF 60-69 years, female 65.8
GTEX-18D9A-1426-SM-7LT8M 30-39 years, female 65.6
GTEX-1HCUA-0826-SM-ADEHM 50-59 years, female 65.6
GTEX-1IDJF-2026-SM-CL53V 20-29 years, male 65.4
GTEX-1314G-1326-SM-5BC6E 30-39 years, male 65.3
GTEX-1R9PN-0426-SM-DTXDT 40-49 years, female 65.3
GTEX-1CAMR-1326-SM-7PC1F 20-29 years, male 65.2
GTEX-12126-0826-SM-5FQTZ 20-29 years, male 65.1
GTEX-17EVQ-0126-SM-7IGLR 70-79 years, male 64.9
GTEX-131XH-0126-SM-5LZUY 50-59 years, male 64.7
GTEX-WEY5-2326-SM-3GIKK 40-49 years, female 64.5
GTEX-WHPG-2626-SM-3NMBR 50-59 years, male 64.4
GTEX-11ZTT-2126-SM-5CVLO 60-69 years, female 64.1
GTEX-1S82P-2126-SM-E6CI5 60-69 years, female 64.1
GTEX-1AX9J-1326-SM-731BJ 60-69 years, male 63.9
GTEX-14JG6-1426-SM-9WG7C 30-39 years, female 63.8
GTEX-Y8E4-2026-SM-5IFJB 40-49 years, male 63.7
GTEX-ZUA1-2626-SM-5NQ92 40-49 years, male 63.7
GTEX-ZGAY-1826-SM-DO91Q 40-49 years, female 63.6
GTEX-X5EB-1926-SM-4E3IW 40-49 years, male 63.4
GTEX-ZA64-1026-SM-5HL8R 20-29 years, male 63.3
GTEX-11O72-0626-SM-5PNYE 40-49 years, male 63.2
GTEX-ZZPU-0826-SM-5GZX5 50-59 years, female 63.2
GTEX-1RB15-1326-SM-E76Q9 60-69 years, male 63.2
GTEX-16MTA-0926-SM-6M47Z 50-59 years, male 63.1
GTEX-13OW5-2326-SM-5L3HO 60-69 years, male 62.9
GTEX-XYKS-1426-SM-4BRUO 60-69 years, female 62.7
GTEX-ZZ64-1026-SM-5GZXG 20-29 years, male 62.5
GTEX-1LG7Z-1626-SM-CXKYR 30-39 years, male 62.5
GTEX-1LVAN-0626-SM-CNPOQ 50-59 years, female 62.2
GTEX-12WSF-1626-SM-7KUG5 70-79 years, male 61.9
GTEX-139TS-2126-SM-5K7XC 60-69 years, male 61.9
GTEX-16BQI-1326-SM-6M486 30-39 years, female 61.8
GTEX-12WSD-0626-SM-5GCMW 60-69 years, female 61.7
GTEX-13U4I-2226-SM-5LU5H 40-49 years, female 61.7
GTEX-13FH7-1126-SM-5K7UG 50-59 years, female 61.6
GTEX-1R9K4-2826-SM-DTX8F 60-69 years, male 61.4
GTEX-ZF2S-1626-SM-57WES 50-59 years, female 61.3
GTEX-1I1GP-1326-SM-A9G28 50-59 years, male 61.3
GTEX-1S831-1826-SM-EWROF 20-29 years, male 61.3
GTEX-Y8LW-1526-SM-5IFHL 50-59 years, female 61.2
GTEX-1IY9M-2826-SM-ARU8H 60-69 years, male 61.0
GTEX-139TU-0726-SM-5L3EK 60-69 years, male 60.9
GTEX-X4EP-0626-SM-3P621 60-69 years, female 60.9
GTEX-11WQC-1826-SM-5GU59 60-69 years, male 60.6
GTEX-11DZ1-2426-SM-5GZZX 50-59 years, male 60.3
GTEX-117YX-1926-SM-5GIEC 50-59 years, male 60.2
GTEX-17HGU-2326-SM-7DUFE 50-59 years, male 60.2
GTEX-XXEK-1626-SM-4BRUZ 50-59 years, male 60.0
GTEX-1J8JJ-0626-SM-ARZMQ 60-69 years, female 60.0
GTEX-17F96-0126-SM-7EWDU 70-79 years, male 59.6
GTEX-XK95-0226-SM-4AT58 40-49 years, male 59.6
GTEX-XQ3S-1426-SM-4BOPR 20-29 years, male 59.5
GTEX-147F4-0726-SM-5TDDD 50-59 years, male 59.4
GTEX-XBEW-1126-SM-4QARW 40-49 years, male 59.4
GTEX-14ABY-2026-SM-62LDL 50-59 years, male 59.0
GTEX-18A6Q-0626-SM-7KFRP 60-69 years, male 59.0
GTEX-1A8FM-0626-SM-7PC25 50-59 years, female 58.9
GTEX-1EU9M-1426-SM-793AI 60-69 years, male 58.8
GTEX-1JMQL-2226-SM-CNPP4 50-59 years, female 58.6
GTEX-1JN1M-2726-SM-CY8I4 60-69 years, female 58.6
GTEX-ZYFC-0426-SM-5GICQ 50-59 years, male 58.5
GTEX-14E6C-2426-SM-5S2NF 40-49 years, male 58.4
GTEX-11EI6-2826-SM-5H11D 60-69 years, male 58.1
GTEX-1QCLZ-2426-SM-EVYBW 60-69 years, female 58.1
GTEX-17F9E-2326-SM-79OKD 50-59 years, male 57.9
GTEX-11GS4-0226-SM-5HL77 60-69 years, male 57.7
GTEX-11TT1-1826-SM-5EQLV 20-29 years, male 57.6
GTEX-12BJ1-0926-SM-5EQ62 60-69 years, male 57.6
GTEX-14LZ3-0126-SM-69LPM 60-69 years, female 57.5
GTEX-X585-2426-SM-46MW2 50-59 years, male 57.5
GTEX-ZVTK-0226-SM-51MRG 20-29 years, male 57.5
GTEX-ZDYS-2426-SM-4WKGI 50-59 years, male 57.2
GTEX-1GZ2Q-0126-SM-9WG6M 40-49 years, male 57.1
GTEX-1LVAO-2726-SM-E9TJ8 60-69 years, male 57.1
GTEX-1497J-0226-SM-5QGPU 60-69 years, male 56.9
GTEX-15DYW-2726-SM-6EU2I 60-69 years, female 56.9
GTEX-1IDJC-1526-SM-B2LW4 50-59 years, male 56.8
GTEX-15RIE-1926-SM-7KUKJ 60-69 years, male 56.7
GTEX-1POEN-2326-SM-E9J2L 30-39 years, female 56.7
GTEX-139T8-0626-SM-5KLZX 60-69 years, male 56.6
GTEX-1AYD5-2626-SM-7PBXY 50-59 years, male 56.6
GTEX-ZF3C-0626-SM-DO92O 50-59 years, female 56.6
GTEX-144FL-0626-SM-5LU43 50-59 years, male 56.5
GTEX-WFON-1926-SM-3LK7L 40-49 years, male 56.5
GTEX-XBED-1926-SM-47JYP 60-69 years, male 56.5
GTEX-15RIG-0726-SM-7KUM7 40-49 years, male 56.4
GTEX-1GF9W-1426-SM-7PBYM 60-69 years, male 56.4
GTEX-1192X-2726-SM-5N9DN 50-59 years, male 56.1
GTEX-16XZZ-0726-SM-7KUF2 60-69 years, male 56.1
GTEX-11OF3-0126-SM-5PNYF 60-69 years, male 55.8
GTEX-11VI4-1126-SM-5EQMD 40-49 years, female 55.8
GTEX-12KS4-2126-SM-5FQUT 30-39 years, male 55.8
GTEX-13N11-2326-SM-5IJBF 50-59 years, female 55.7
GTEX-14PKV-1126-SM-6LLJ1 20-29 years, female 55.7
GTEX-17HHY-0426-SM-7DHLC 50-59 years, male 55.7
GTEX-1EMGI-2326-SM-7PBYA 60-69 years, male 55.7
GTEX-13SLX-2226-SM-62LEP 50-59 years, female 55.6
GTEX-14E6E-0526-SM-793DN 30-39 years, male 55.6
GTEX-183FY-1026-SM-7939A 20-29 years, male 55.6
GTEX-Y5V6-2326-SM-4VDSA 60-69 years, male 55.6
GTEX-1RAZA-2226-SM-E9U4X 20-29 years, male 55.6
GTEX-1GF9U-2026-SM-7SB92 40-49 years, female 55.5
GTEX-WRHU-2826-SM-3MJG8 50-59 years, female 55.4
GTEX-ZAJG-1526-SM-5CVML 50-59 years, female 55.3
GTEX-1QAET-0326-SM-EVR3U 50-59 years, male 55.2
GTEX-12C56-1526-SM-5FQUQ 20-29 years, male 55.0
GTEX-1B8KE-1126-SM-7EPHI 50-59 years, male 55.0
GTEX-1E1VI-0326-SM-793D1 50-59 years, male 55.0
GTEX-1I4MK-0126-SM-CY8G6 50-59 years, female 54.8
GTEX-13O61-1426-SM-5KM3D 60-69 years, male 54.7
GTEX-14JG1-1526-SM-5YY9X 40-49 years, male 54.6
GTEX-1LGOU-1326-SM-D3L8M 20-29 years, female 54.3
GTEX-1KANC-1226-SM-CYPT7 50-59 years, female 54.2
GTEX-1ICLZ-0326-SM-ARL82 60-69 years, male 54.1
GTEX-1IKOE-1426-SM-CE6T7 30-39 years, female 54.0
GTEX-12ZZZ-0726-SM-5GCNZ 60-69 years, male 53.7
GTEX-1QP66-1226-SM-DTX7U 50-59 years, male 53.6
GTEX-147F3-1726-SM-5SIAW 50-59 years, female 53.5
GTEX-1O9I2-0226-SM-EYYXD 50-59 years, male 53.4
GTEX-1F75I-2226-SM-7SB8U 40-49 years, male 53.3
GTEX-17HG3-2626-SM-7DUF2 30-39 years, female 53.1
GTEX-131YS-2826-SM-5EQ47 60-69 years, female 53.0
GTEX-ZAB4-2126-SM-5HL8U 40-49 years, male 53.0
GTEX-1JMQK-1226-SM-D4P2S 60-69 years, male 53.0
GTEX-1KANA-1326-SM-DIPFA 20-29 years, male 52.9
GTEX-13FHO-0426-SM-5L3F5 60-69 years, male 52.8
GTEX-13NZ9-2626-SM-5L3FK 50-59 years, male 52.7
GTEX-18465-2826-SM-7LT9J 50-59 years, male 52.7
GTEX-XBEC-0726-SM-4QARZ 50-59 years, male 52.7
GTEX-16AAH-0626-SM-793C9 50-59 years, male 52.6
GTEX-1JMQI-1726-SM-ARL93 50-59 years, male 52.6
GTEX-X4EO-2926-SM-4E3JH 60-69 years, female 52.5
GTEX-1GPI7-1826-SM-9KNU1 20-29 years, male 52.5
GTEX-1HCU8-2526-SM-CE6RX 60-69 years, female 52.5
GTEX-13JUV-2026-SM-5K7UA 40-49 years, female 52.3
GTEX-145LT-0526-SM-5LUB2 40-49 years, male 52.3
GTEX-WY7C-2126-SM-3NB2R 50-59 years, male 52.3
GTEX-Y5LM-0926-SM-6LLJG 40-49 years, female 52.3
GTEX-1AX9I-2226-SM-73KUO 60-69 years, male 52.2
GTEX-XV7Q-1826-SM-4BRUV 40-49 years, female 52.2
GTEX-YFCO-1226-SM-5LUAT 40-49 years, male 52.2
GTEX-1211K-1526-SM-5FQU4 60-69 years, female 52.1
GTEX-Z93S-1626-SM-5CVMB 50-59 years, male 52.1
GTEX-1J8Q3-0526-SM-ARL8U 60-69 years, male 52.1
GTEX-1I6K7-1926-SM-B2LXR 40-49 years, male 52.0
GTEX-11EQ8-0926-SM-5H12V 60-69 years, male 51.9
GTEX-1C475-1326-SM-7SB73 40-49 years, female 51.9
GTEX-13OVL-0126-SM-5L3GJ 50-59 years, male 51.8
GTEX-1HCU9-0426-SM-9WYSD 20-29 years, male 51.8
GTEX-13112-0126-SM-5P9IU 50-59 years, male 51.7
GTEX-ZYFD-0626-SM-5E44E 50-59 years, male 51.7
GTEX-1QP9N-1226-SM-E76QN 30-39 years, male 51.7
GTEX-13N2G-0226-SM-5K7VF 60-69 years, male 51.6
GTEX-13X6J-0626-SM-5LU5F 50-59 years, male 51.6
GTEX-ZTX8-1326-SM-4YCEL 20-29 years, male 51.5
GTEX-1H23P-0626-SM-9WG6T 60-69 years, male 51.5
GTEX-1QMI2-2526-SM-E8VNZ 60-69 years, male 51.5
GTEX-1S82U-1026-SM-E6CJK 30-39 years, female 51.4
GTEX-14E1K-2026-SM-7DUEI 50-59 years, male 51.2
GTEX-15FZZ-0526-SM-7KUGD 30-39 years, female 51.2
GTEX-16MT8-2926-SM-7DUFO 60-69 years, female 51.2
GTEX-ZP4G-1426-SM-4WWCL 20-29 years, female 51.1
GTEX-13OVG-1626-SM-5J1NF 60-69 years, male 51.0
GTEX-133LE-2326-SM-5K7W3 20-29 years, female 50.8
GTEX-1MCC2-1826-SM-DIPEX 30-39 years, female 50.8
GTEX-Y114-2126-SM-4TT8B 50-59 years, female 50.7
GTEX-16NPX-0726-SM-7KULC 50-59 years, male 50.4
GTEX-11P81-2226-SM-5PNYI 30-39 years, female 50.3
GTEX-ZVE2-2826-SM-5GU51 50-59 years, male 50.3
GTEX-11NUK-2726-SM-5A5MC 50-59 years, male 50.2
GTEX-1F75B-0726-SM-7PC3R 50-59 years, male 50.2
GTEX-11DXY-0126-SM-5H11Q 60-69 years, male 50.1
GTEX-18A7A-0126-SM-731AH 50-59 years, female 50.1
GTEX-1K2DA-1026-SM-CGQGF 50-59 years, male 50.1
GTEX-11P7K-1126-SM-5HL4L 30-39 years, male 50.0
GTEX-1GN73-0726-SM-7P8TJ 60-69 years, male 50.0
GTEX-1C64N-2626-SM-7PC2N 50-59 years, male 49.9
GTEX-1B996-0426-SM-7EWF8 60-69 years, male 49.8
GTEX-12ZZX-2426-SM-5GCOE 40-49 years, female 49.7
GTEX-WYJK-0526-SM-3NM8Z 50-59 years, male 49.7
GTEX-1I1CD-0626-SM-CE6SW 60-69 years, female 49.7
GTEX-Y111-0626-SM-4SOIT 50-59 years, male 49.6
GTEX-1H1DF-1126-SM-9WG7G 40-49 years, female 49.6
GTEX-1IDJH-0126-SM-D3L92 70-79 years, male 49.5
GTEX-1HSMO-0626-SM-ACKXC 60-69 years, male 49.4
GTEX-13N1W-2426-SM-5IJD1 70-79 years, male 49.3
GTEX-13NYB-0126-SM-5J1MD 40-49 years, male 49.2
GTEX-ZPIC-0526-SM-DO91W 40-49 years, female 49.2
GTEX-15D1Q-2826-SM-6LLH7 40-49 years, male 49.0
GTEX-1B933-2426-SM-7DHMD 50-59 years, female 49.0
GTEX-1CB4F-1026-SM-7DUH1 60-69 years, male 49.0
GTEX-1EKGG-0626-SM-7DUGJ 60-69 years, male 49.0
GTEX-1GF9V-0826-SM-9KNUV 60-69 years, male 49.0
GTEX-147JS-0226-SM-5S2U9 60-69 years, male 48.9
GTEX-18D9U-0126-SM-731BM 40-49 years, male 48.7
GTEX-1C64O-1326-SM-7MGWR 60-69 years, male 48.7
GTEX-1PIIG-2326-SM-DTXFR 30-39 years, male 48.7
GTEX-145MO-2826-SM-5LU96 60-69 years, male 48.6
GTEX-14AS3-1526-SM-5Q5ED 40-49 years, female 48.6
GTEX-Y3I4-1726-SM-4TT89 50-59 years, male 48.6
GTEX-ZT9X-1526-SM-5DUXD 40-49 years, male 48.6
GTEX-1OJC3-1226-SM-DTXER 20-29 years, male 48.6
GTEX-131XW-0626-SM-5PNVD 50-59 years, female 48.5
GTEX-145LS-0626-SM-7EPG7 60-69 years, female 48.4
GTEX-Y5V5-0126-SM-5S2NW 60-69 years, female 48.3
GTEX-VUSG-2326-SM-4KL1U 50-59 years, male 48.2
GTEX-1GMR3-0126-SM-A9SLW 40-49 years, male 48.1
GTEX-1KWVE-1026-SM-D3L9O 30-39 years, male 48.1
GTEX-14PHX-2226-SM-6EU2P 50-59 years, male 48.0
GTEX-1LSNM-0826-SM-DIPG8 50-59 years, male 48.0
GTEX-178AV-1726-SM-7KUL8 40-49 years, male 47.9
GTEX-YEC3-1326-SM-DO92X 50-59 years, male 47.8
GTEX-ZVT4-2426-SM-5GIEI 50-59 years, female 47.6
GTEX-12WSC-2826-SM-5BC5Y 50-59 years, male 47.5
GTEX-WHWD-1826-SM-3LK6I 50-59 years, male 47.4
GTEX-13PVQ-0626-SM-5LU47 50-59 years, male 47.3
GTEX-13QBU-1226-SM-5LU4G 40-49 years, female 47.3
GTEX-ZLV1-1526-SM-DO91J 60-69 years, female 47.2
GTEX-15UF6-1926-SM-7KUDV 70-79 years, female 47.0
GTEX-XPVG-2126-SM-4B667 50-59 years, male 47.0
GTEX-1GZ4H-0526-SM-9KNU9 50-59 years, female 47.0
GTEX-13O3O-2326-SM-5IJD6 60-69 years, female 46.9
GTEX-13YAN-0226-SM-5TDC6 60-69 years, male 46.8
GTEX-ZYVF-0926-SM-5E44J 50-59 years, female 46.8
GTEX-ZE7O-2726-SM-51MT5 50-59 years, female 46.6
GTEX-13FTY-2126-SM-5IFFB 40-49 years, female 46.5
GTEX-1H1E6-0426-SM-9WYUS 30-39 years, male 46.5
GTEX-1EN7A-2426-SM-793DB 40-49 years, male 46.4
GTEX-131XF-2626-SM-5EQ6K 60-69 years, male 46.3
GTEX-13X6I-1826-SM-5SIAO 60-69 years, male 46.3
GTEX-1C6WA-2626-SM-7MKGM 60-69 years, male 46.3
GTEX-16Z82-2626-SM-7KULU 60-69 years, male 46.1
GTEX-1LVA9-2626-SM-EVYD4 50-59 years, male 46.1
GTEX-11UD2-2526-SM-5CVNU 50-59 years, male 45.7
GTEX-13OW6-2726-SM-5J2OE 50-59 years, male 45.7
GTEX-WK11-2726-SM-3NMAQ 50-59 years, male 45.7
GTEX-ZC5H-1526-SM-5HL9Y 40-49 years, female 45.7
GTEX-ZTSS-1426-SM-5985P 40-49 years, male 45.6
GTEX-1HSMP-0926-SM-A9SKX 70-79 years, male 45.6
GTEX-17MFQ-1526-SM-7KFRR 20-29 years, male 45.5
GTEX-1N2DV-1526-SM-DTXEP 40-49 years, male 45.3
GTEX-1I6K6-1726-SM-CGQFD 30-39 years, male 45.2
GTEX-18QFQ-1826-SM-72D52 30-39 years, male 45.0
GTEX-13X6H-0926-SM-5SIB2 50-59 years, female 44.9
GTEX-1N2EE-0626-SM-E76PW 60-69 years, male 44.9
GTEX-1N5O9-0926-SM-E9J3C 60-69 years, male 44.9
GTEX-111CU-1126-SM-5EGIM 50-59 years, male 44.8
GTEX-1CB4I-0126-SM-7RHGG 50-59 years, male 44.8
GTEX-1HKZK-0726-SM-ACKW2 40-49 years, male 44.8
GTEX-1313W-0626-SM-5EQ4H 50-59 years, female 44.7
GTEX-1LSVX-2526-SM-DIPEU 60-69 years, male 44.7
GTEX-1PBJJ-1026-SM-E76OS 30-39 years, male 44.7
GTEX-11LCK-2226-SM-5HL4Q 30-39 years, male 44.6
GTEX-1H1DG-2426-SM-9QEHJ 70-79 years, male 44.6
GTEX-1H3O1-1326-SM-9MQLD 60-69 years, male 44.5
GTEX-139D8-1126-SM-5LU8W 30-39 years, female 44.4
GTEX-1NSGN-0726-SM-DTXEF 50-59 years, male 44.4
GTEX-13VXT-1926-SM-5K7UO 20-29 years, female 44.3
GTEX-1QEPI-2626-SM-DTXF4 60-69 years, female 44.3
GTEX-17HII-1426-SM-7EPGG 50-59 years, male 44.1
GTEX-145MF-0926-SM-5Q5EA 50-59 years, male 44.0
GTEX-1HBPI-2126-SM-ARL9K 50-59 years, male 44.0
GTEX-1M4P7-0726-SM-E6CJ3 60-69 years, male 44.0
GTEX-ZXG5-2126-SM-59HKD 60-69 years, male 43.9
GTEX-1JJEA-1826-SM-ARU8P 60-69 years, male 43.9
GTEX-1GL5R-1326-SM-7RHHF 50-59 years, male 43.6
GTEX-15G19-2426-SM-7KUMR 60-69 years, male 43.5
GTEX-11P82-1426-SM-DTXFY 20-29 years, male 43.5
GTEX-15ER7-0626-SM-6PANF 20-29 years, female 43.4
GTEX-1JN6P-2926-SM-CL54D 60-69 years, male 43.4
GTEX-11DXZ-2026-SM-5987S 50-59 years, male 43.3
GTEX-12ZZY-0726-SM-5EQ66 60-69 years, male 43.3
GTEX-13FTW-0326-SM-5K7UW 40-49 years, male 43.3
GTEX-1KD5A-0126-SM-E9U54 50-59 years, male 43.3
GTEX-16MT9-0126-SM-7EPI8 60-69 years, female 43.2
GTEX-1I19N-0126-SM-CYPSF 70-79 years, male 43.2
GTEX-1JJ6O-2726-SM-CNPOG 60-69 years, male 43.2
GTEX-15CHR-1126-SM-7EWF4 50-59 years, male 43.1
GTEX-13FTX-1526-SM-5K7VJ 20-29 years, female 43.0
GTEX-11EQ9-1626-SM-5PNY8 30-39 years, male 42.7
GTEX-13G51-1826-SM-5KLZH 60-69 years, male 42.7
GTEX-139TT-2126-SM-5LZWC 60-69 years, male 42.6
GTEX-17EVP-2626-SM-7IGMA 40-49 years, male 42.6
GTEX-15CHC-1126-SM-6LLHQ 60-69 years, female 42.5
GTEX-1ICG6-1226-SM-A9SLN 70-79 years, female 42.5
GTEX-13IVO-0726-SM-5LZYV 70-79 years, male 42.4
GTEX-13OW8-1026-SM-5J1NQ 60-69 years, male 42.3
GTEX-14PJ2-0626-SM-6LLII 50-59 years, male 42.3
GTEX-XUW1-0926-SM-4BONX 50-59 years, female 42.3
GTEX-1HSKV-1226-SM-ADEI4 60-69 years, male 42.3
GTEX-14PHY-1226-SM-5ZZWK 60-69 years, female 42.1
GTEX-1A3MV-1826-SM-731CD 30-39 years, male 42.1
GTEX-13NYS-0626-SM-5L3F1 60-69 years, male 42.0
GTEX-1JMPZ-0726-SM-CY8HZ 30-39 years, male 42.0
GTEX-1CAMS-2226-SM-7PBXQ 40-49 years, female 41.9
GTEX-1IL2V-1926-SM-B2LW8 70-79 years, male 41.8
GTEX-1212Z-0126-SM-59HK4 60-69 years, male 41.6
GTEX-XMD2-2126-SM-4YCF8 60-69 years, female 41.4
GTEX-1S3DN-2126-SM-E9TIN 50-59 years, male 41.4
GTEX-12WSK-2126-SM-5CVNC 40-49 years, female 41.3
GTEX-13OW7-0426-SM-5K7VK 50-59 years, male 41.3
GTEX-17MF6-2626-SM-79OKQ 40-49 years, male 41.3
GTEX-1A3MW-0626-SM-731CB 60-69 years, female 41.3
GTEX-1HSMQ-2626-SM-A9SML 50-59 years, male 41.3
GTEX-1GTWX-2026-SM-9YFLM 60-69 years, male 41.2
GTEX-13PVR-0426-SM-5RQK2 60-69 years, female 41.1
GTEX-1B8SF-0126-SM-7DUG3 60-69 years, male 41.0
GTEX-1CB4H-1126-SM-7MKGL 60-69 years, female 41.0
GTEX-144GO-2026-SM-5O99P 60-69 years, male 40.9
GTEX-148VJ-0626-SM-5LUAW 70-79 years, male 40.9
GTEX-ZDTT-0426-SM-4WKFL 60-69 years, male 40.9
GTEX-1JKYR-0626-SM-ARL8R 20-29 years, male 40.8
GTEX-14PJ5-1526-SM-6LLIL 60-69 years, female 40.7
GTEX-1HFI7-2326-SM-CGQFS 50-59 years, female 40.6
GTEX-1PDJ9-1226-SM-EXUSX 20-29 years, male 40.6
GTEX-1J8EW-2726-SM-CY8HR 60-69 years, female 40.5
GTEX-1JMQJ-0826-SM-CNPP7 50-59 years, male 40.4
GTEX-1LSNL-2726-SM-E9TKJ 50-59 years, male 40.4
GTEX-15EU6-2226-SM-6EU2L 50-59 years, male 40.2
GTEX-1IKJJ-2226-SM-CJI4C 60-69 years, male 40.2
GTEX-XQ8I-0926-SM-4BOOF 50-59 years, male 40.1
GTEX-1CAMQ-1326-SM-7P8RV 40-49 years, male 40.0
GTEX-1QCLY-0226-SM-EWRNH 30-39 years, male 40.0
GTEX-144GL-0626-SM-5LU4D 50-59 years, male 39.9
GTEX-145MH-2826-SM-5RQJF 50-59 years, male 39.9
GTEX-1LGRB-0926-SM-COH3K 50-59 years, female 39.9
GTEX-1R9PM-1926-SM-EVR3O 20-29 years, male 39.9
GTEX-17F98-1326-SM-7DUEP 40-49 years, female 39.8
GTEX-14DAQ-0626-SM-793DS 60-69 years, female 39.7
GTEX-ZVE1-0726-SM-51MRN 50-59 years, female 39.7
GTEX-1F52S-2926-SM-7MKGA 60-69 years, female 39.6
GTEX-ZYT6-2326-SM-5GZY3 30-39 years, male 39.6
GTEX-1RAZS-2526-SM-E6CHT 50-59 years, male 39.6
GTEX-14BMV-2826-SM-5TDED 50-59 years, male 39.5
GTEX-1IE54-1126-SM-A9G2Z 40-49 years, female 39.4
GTEX-1B97I-0626-SM-73KUZ 40-49 years, male 39.3
GTEX-1S5ZU-2526-SM-E6CIF 20-29 years, female 39.2
GTEX-1KAFJ-0126-SM-DIPEK 50-59 years, male 39.0
GTEX-1QW4Y-1126-SM-DTXE3 30-39 years, male 38.9
GTEX-1RMOY-1326-SM-E9TIH 50-59 years, male 38.9
GTEX-1I1GV-0626-SM-ARL7M 60-69 years, male 38.8
GTEX-V1D1-2026-SM-3GAF4 50-59 years, male 38.7
GTEX-ZPCL-1126-SM-4WWFE 60-69 years, female 38.7
GTEX-14753-0726-SM-5QGQO 60-69 years, male 38.6
GTEX-14C39-1726-SM-5RQIL 40-49 years, male 38.6
GTEX-15RJE-2826-SM-7KUM9 40-49 years, male 38.3
GTEX-1J1R8-2026-SM-CL53Y 40-49 years, male 38.2
GTEX-13FLV-0126-SM-5K7WT 50-59 years, male 38.1
GTEX-ZTTD-2826-SM-4YCFA 50-59 years, male 37.8
GTEX-1H1DE-1326-SM-9KNUG 20-29 years, male 37.8
GTEX-183WM-0326-SM-72D5V 70-79 years, female 37.7
GTEX-XAJ8-1426-SM-47JYM 40-49 years, male 37.7
GTEX-13PL6-1126-SM-5L3IE 40-49 years, female 37.6
GTEX-1A8G6-2726-SM-731AR 60-69 years, male 37.6
GTEX-144GM-0526-SM-79OJO 20-29 years, male 37.5
GTEX-145LU-1926-SM-79OJN 50-59 years, male 37.5
GTEX-1J8Q2-2626-SM-ACKWQ 60-69 years, male 37.5
GTEX-1R7EU-1626-SM-DTXG3 60-69 years, male 37.5
GTEX-13X6K-0626-SM-5LU5D 60-69 years, female 37.4
GTEX-1LB8K-0726-SM-D5OV2 50-59 years, male 37.3
GTEX-15G1A-1626-SM-7KUKN 30-39 years, male 37.2
GTEX-1HT8W-0626-SM-A9G2H 30-39 years, male 37.2
GTEX-1I1GS-2626-SM-B2LY3 60-69 years, male 37.2
GTEX-11WQK-1026-SM-5EQLX 50-59 years, male 37.1
GTEX-13VXU-0626-SM-5L3F9 50-59 years, male 37.1
GTEX-139UW-0326-SM-5J1ML 60-69 years, male 37.0
GTEX-14ICL-1626-SM-5YYAO 30-39 years, male 37.0
GTEX-11ZU8-0126-SM-5EQ58 60-69 years, male 36.8
GTEX-12WSA-0426-SM-5EQ5X 60-69 years, male 36.8
GTEX-1K9T9-1526-SM-DIPFR 50-59 years, female 36.5
GTEX-1RAZQ-1326-SM-E9TK6 30-39 years, male 36.5
GTEX-1JN76-0626-SM-CKZOQ 20-29 years, female 36.4
GTEX-12WSM-1926-SM-5BC65 60-69 years, male 36.3
GTEX-1B8KZ-0326-SM-73KY4 50-59 years, male 36.2
GTEX-1HSGN-0826-SM-ACKW3 40-49 years, female 36.1
GTEX-1J8QM-2426-SM-A9SLS 60-69 years, female 36.1
GTEX-111VG-1626-SM-5EGIO 60-69 years, male 36.0
GTEX-14JFF-0626-SM-5ZZVT 60-69 years, male 36.0
GTEX-1GZ4I-2626-SM-9KNU3 50-59 years, male 35.9
GTEX-1LKK1-2626-SM-DKPQE 50-59 years, female 35.9
GTEX-11GSP-2326-SM-5HL63 60-69 years, female 35.8
GTEX-13JVG-0726-SM-5KM16 60-69 years, male 35.8
GTEX-15SKB-2826-SM-6PAMH 60-69 years, male 35.8
GTEX-1LG7Y-2526-SM-EWRO7 50-59 years, male 35.8
GTEX-1HR98-2226-SM-ADEI2 60-69 years, male 35.7
GTEX-11PRG-0726-SM-5EGL1 50-59 years, male 35.6
GTEX-1H4P4-2126-SM-9WYSL 50-59 years, male 35.6
GTEX-1HB9E-0126-SM-CM2S5 50-59 years, male 35.6
GTEX-13W3W-0726-SM-5IJDQ 60-69 years, female 35.5
GTEX-1HGF4-0126-SM-CNPPX 60-69 years, male 35.4
GTEX-1PPH7-1126-SM-DTX9A 40-49 years, male 35.4
GTEX-1GMR8-0626-SM-7RHI7 50-59 years, female 35.3
GTEX-1PPGY-1626-SM-EVYBL 60-69 years, male 35.3
GTEX-131XG-0326-SM-5L3DX 50-59 years, female 35.2
GTEX-14PJ3-1126-SM-5ZZVX 50-59 years, male 35.2
GTEX-15EO6-2426-SM-6PALZ 50-59 years, male 35.2
GTEX-ZVT2-0126-SM-5GIDQ 50-59 years, female 35.2
GTEX-14C38-0726-SM-5SI6M 50-59 years, male 35.1
GTEX-14BIN-1126-SM-5RQJZ 50-59 years, female 35.0
GTEX-1IDJU-1726-SM-CMKHU 60-69 years, female 34.9
GTEX-ZY6K-1426-SM-5GZX2 50-59 years, male 34.7
GTEX-1JJE9-2626-SM-ARZMT 70-79 years, male 34.7
GTEX-13OVH-0526-SM-5L3E6 70-79 years, male 34.4
GTEX-17HHE-1326-SM-7EWDZ 50-59 years, male 34.4
GTEX-1A3MX-2626-SM-7PC24 60-69 years, male 34.4
GTEX-UPJH-0226-SM-3GADV 50-59 years, male 34.3
GTEX-147GR-2426-SM-5ZZWQ 60-69 years, male 34.0
GTEX-14PKU-0126-SM-6LLHV 40-49 years, female 34.0
GTEX-17KNJ-2126-SM-718AM 50-59 years, male 34.0
GTEX-1F5PL-0926-SM-7PC2W 40-49 years, female 33.9
GTEX-16NGA-0726-SM-731AO 40-49 years, female 33.7
GTEX-14PJN-1826-SM-6AJ98 30-39 years, male 33.5
GTEX-17F9Y-0126-SM-79OKX 70-79 years, female 33.5
GTEX-1IOXB-2726-SM-CM2RI 50-59 years, male 33.5
GTEX-1K2DU-1226-SM-CYPT4 20-29 years, male 33.5
GTEX-1GN1W-2426-SM-9KNUU 50-59 years, female 33.4
GTEX-ZWKS-0626-SM-5GIDV 30-39 years, male 33.3
GTEX-111YS-1526-SM-5GZYW 60-69 years, male 33.2
GTEX-11DXX-2126-SM-5PNYR 60-69 years, female 33.2
GTEX-15DDE-2926-SM-6LLJ3 50-59 years, female 33.2
GTEX-1HCVE-2726-SM-CL54F 50-59 years, male 33.2
GTEX-YECK-0326-SM-4W1YS 60-69 years, male 33.1
GTEX-12696-0126-SM-5EQ4L 60-69 years, male 33.0
GTEX-13O3Q-0126-SM-5KM34 50-59 years, male 32.9
GTEX-11ZUS-2626-SM-5FQUR 30-39 years, male 32.6
GTEX-14PII-0726-SM-6EU2B 60-69 years, male 32.6
GTEX-1H3VE-0726-SM-9YFL5 40-49 years, male 32.5
GTEX-13D11-0926-SM-5J2NC 50-59 years, female 32.4
GTEX-1GN1U-0626-SM-9MQL9 50-59 years, female 32.4
GTEX-ZE9C-2526-SM-5IJDR 60-69 years, male 32.3
GTEX-1MCYP-0526-SM-E9U6Q 20-29 years, female 32.3
GTEX-14LLW-2626-SM-62LDZ 70-79 years, female 32.2
GTEX-1C2JI-1026-SM-73KY1 50-59 years, male 32.1
GTEX-14B4R-1326-SM-5Q5EZ 30-39 years, male 32.0
GTEX-1QP28-1126-SM-EVYC4 50-59 years, female 31.9
GTEX-1QPFJ-1926-SM-EVYBD 30-39 years, female 31.9
GTEX-1CB4E-0926-SM-7EPHT 60-69 years, male 31.8
GTEX-1H11D-1826-SM-9QEHM 40-49 years, male 31.7
GTEX-1I1HK-2326-SM-CKZOH 60-69 years, male 31.6
GTEX-1HBPN-0126-SM-CGQEF 50-59 years, male 31.2
GTEX-13RTJ-0126-SM-5S2NN 60-69 years, male 31.0
GTEX-1GN2E-0226-SM-9WG6K 60-69 years, male 30.9
GTEX-13SLW-0626-SM-5Q5ER 70-79 years, male 30.8
GTEX-1H2FU-0926-SM-9WPPT 60-69 years, female 30.7
GTEX-1B932-2326-SM-79OL5 40-49 years, female 30.5
GTEX-1KXAM-1626-SM-D3LAD 60-69 years, male 30.3
GTEX-1A8G7-1326-SM-73KVM 60-69 years, male 30.2
GTEX-1F88F-0126-SM-9WYSZ 60-69 years, female 30.2
GTEX-1HBPM-0726-SM-9YFL7 60-69 years, female 30.2
GTEX-1IDFM-0326-SM-ARL7V 60-69 years, male 30.0
GTEX-1JK1U-0226-SM-ARZMX 60-69 years, male 29.7
GTEX-1JMPY-0226-SM-CKZOK 30-39 years, male 29.7
GTEX-1CB4J-1326-SM-7P8RX 60-69 years, male 29.6
GTEX-1C6VQ-1226-SM-73KYD 50-59 years, male 29.5
GTEX-11TUW-0626-SM-5LU9M 60-69 years, male 29.4
GTEX-1B8L1-2226-SM-7P8PT 60-69 years, male 28.8
GTEX-1GPI6-1926-SM-9KNV7 60-69 years, male 28.8
GTEX-1HCU7-0726-SM-A9SL1 50-59 years, male 28.4
GTEX-13PDP-0726-SM-5L3HP 60-69 years, male 28.3
GTEX-1GF9X-1326-SM-7PC2Y 40-49 years, female 28.0
GTEX-1S83E-1326-SM-E6CJM 40-49 years, male 27.8
GTEX-14A6H-2026-SM-5Q5DD 30-39 years, male 27.7
GTEX-1F88E-1626-SM-7SB8Z 60-69 years, female 27.7
GTEX-13NYC-0126-SM-5L3F4 60-69 years, male 27.6
GTEX-1122O-1026-SM-9WYSF 60-69 years, female 27.5
GTEX-1PPH8-0126-SM-EWRN8 20-29 years, male 27.5
GTEX-1EH9U-2826-SM-7DUGT 60-69 years, male 27.2
GTEX-1OJC4-2726-SM-E76PJ 50-59 years, female 27.1
GTEX-ZF29-0926-SM-4WKFZ 60-69 years, female 26.8
GTEX-14PJ6-2626-SM-6EU2T 60-69 years, female 26.7
GTEX-1399U-1126-SM-5L3DB 50-59 years, female 26.4
GTEX-1LVAM-0726-SM-E6CIL 50-59 years, female 26.4
GTEX-1399S-0126-SM-5IJCF 30-39 years, female 26.1
GTEX-14C5O-0326-SM-5ZZUX 60-69 years, male 26.0
GTEX-14PJ4-0226-SM-5YY92 60-69 years, male 25.4
GTEX-1269C-0126-SM-5EQ5L 60-69 years, female 25.3
GTEX-1I1GU-0926-SM-ACKVS 40-49 years, male 25.3
GTEX-1C6VR-0126-SM-7RHGB 60-69 years, male 25.2
GTEX-1KANB-2826-SM-CY8I6 50-59 years, male 25.2
GTEX-1399Q-2326-SM-5KM2X 40-49 years, male 24.9
GTEX-1ICLY-0826-SM-CMKG1 50-59 years, male 24.4
GTEX-1I1GT-1026-SM-ARZLV 60-69 years, female 24.3
GTEX-1IDJV-0126-SM-COH3Y 60-69 years, male 24.3
GTEX-Y9LG-1126-SM-4VBQ7 30-39 years, male 24.1
GTEX-1R46S-2426-SM-E76QA 60-69 years, female 24.0
GTEX-18A67-1626-SM-7LT9T 50-59 years, male 23.9
GTEX-145MI-0626-SM-5SI8S 60-69 years, female 23.8
GTEX-WHSB-1326-SM-3LK6W 50-59 years, male 23.8
GTEX-1AMFI-1326-SM-7939R 50-59 years, female 23.6
GTEX-14XAO-1226-SM-6EU1C 60-69 years, female 23.5
GTEX-1GN1V-2826-SM-9JGIA 60-69 years, male 23.3
GTEX-1J1OQ-0126-SM-D4P2N 40-49 years, female 23.3
GTEX-1NV5F-0626-SM-DTXEG 60-69 years, female 23.3
GTEX-1AMEY-0826-SM-72D65 30-39 years, female 22.9
GTEX-1F6RS-2026-SM-7RHHC 60-69 years, female 22.9
GTEX-1F5PK-2226-SM-7SB6N 50-59 years, male 22.4
GTEX-ZYY3-2926-SM-5GIEB 60-69 years, female 22.3
GTEX-1HR9M-2226-SM-CNPPY 60-69 years, male 22.2
GTEX-1QP2A-1726-SM-E76QC 50-59 years, male 22.2
GTEX-ZVZP-1226-SM-5GID7 50-59 years, male 21.4
GTEX-13QJC-0126-SM-5ZZWJ 60-69 years, female 19.4
GTEX-13NZ8-1226-SM-5KM4A 60-69 years, female 18.1
Show allShow less
Skin - Sun Exposed (Lower leg)
Average nTPM: 56.6
Samples: 701

Max nTPM: 194.2
Min nTPM: 14.5
Std nTPM: 21.0
Median nTPM: 53.1
GTEX-Q734-1926-SM-2I5EV 40-49 years, female 194.2
GTEX-14PK6-1926-SM-6ETZU 70-79 years, female 142.6
GTEX-Y3I4-2126-SM-4TT7C 50-59 years, male 134.3
GTEX-PLZ4-0126-SM-5SI8O 50-59 years, female 133.1
GTEX-113IC-0126-SM-5HL6T 60-69 years, male 131.1
GTEX-14JIY-0126-SM-6LLH6 60-69 years, male 128.3
GTEX-1QP67-1626-SM-EAZ3X 40-49 years, female 128.2
GTEX-13OVJ-0126-SM-5KM36 50-59 years, female 127.3
GTEX-1F48J-0126-SM-7P8TT 50-59 years, female 115.9
GTEX-QDT8-0126-SM-48TZ1 30-39 years, female 115.3
GTEX-144GN-2326-SM-5LU4F 50-59 years, male 113.3
GTEX-S33H-1026-SM-EZ6L6 30-39 years, male 110.0
GTEX-ZDXO-3026-SM-5J1N5 60-69 years, male 109.3
GTEX-11TTK-0126-SM-5987B 60-69 years, female 107.3
GTEX-X4EP-0126-SM-3P5YV 60-69 years, female 106.1
GTEX-X88G-0126-SM-47JZ3 30-39 years, male 104.8
GTEX-13CF2-2526-SM-5LZYX 60-69 years, male 103.2
GTEX-ZF28-0126-SM-4WKGK 60-69 years, male 103.2
GTEX-1HBPH-0426-SM-B2LW5 40-49 years, female 102.4
GTEX-11EMC-2926-SM-5EQ4F 60-69 years, female 102.0
GTEX-1RAZQ-0726-SM-EAZ43 30-39 years, male 100.8
GTEX-13OW7-0126-SM-5MR3B 50-59 years, male 100.7
GTEX-WI4N-1026-SM-3LK7N 40-49 years, female 99.7
GTEX-1C6WA-0126-SM-7PC2B 60-69 years, male 98.9
GTEX-1PWST-0226-SM-E76QJ 70-79 years, male 98.5
GTEX-1192W-2626-SM-5Q5AF 60-69 years, male 97.9
GTEX-15EOM-0126-SM-7KUGG 20-29 years, female 97.6
GTEX-ZAB4-0226-SM-5N9F5 40-49 years, male 97.3
GTEX-RUSQ-1526-SM-2TF62 50-59 years, male 97.0
GTEX-1H2FU-0126-SM-9WYSI 60-69 years, female 97.0
GTEX-P4PQ-0126-SM-2S1NM 60-69 years, male 96.8
GTEX-Y3IK-2426-SM-4WWDU 50-59 years, female 96.6
GTEX-1M4P7-0226-SM-DIPEV 60-69 years, male 96.1
GTEX-1192X-0226-SM-5H12D 50-59 years, male 96.0
GTEX-XV7Q-2526-SM-4BRV9 40-49 years, female 95.4
GTEX-17F97-0326-SM-7LG5B 50-59 years, male 95.3
GTEX-14E6C-0126-SM-5RQIP 40-49 years, male 95.2
GTEX-146FQ-0126-SM-5NQA9 30-39 years, male 94.9
GTEX-X638-0126-SM-47JZ8 70-79 years, female 94.0
GTEX-OXRL-0126-SM-2YUMP 50-59 years, male 93.9
GTEX-RTLS-0126-SM-447CA 60-69 years, female 93.9
GTEX-ZVT3-0126-SM-5GU6I 60-69 years, female 92.1
GTEX-1LNCM-1126-SM-E9U5E 50-59 years, female 91.9
GTEX-12584-0126-SM-5EGKQ 40-49 years, male 91.0
GTEX-ZTPG-0326-SM-5O9AX 20-29 years, female 91.0
GTEX-X8HC-0126-SM-4E3JW 50-59 years, female 90.8
GTEX-1F6IF-0726-SM-7P8TW 60-69 years, male 90.7
GTEX-1OJC4-0126-SM-E9J2E 50-59 years, female 89.4
GTEX-QDVN-2026-SM-3GAEP 50-59 years, male 89.0
GTEX-R45C-0126-SM-EAZ2R 60-69 years, female 88.4
GTEX-QLQW-1126-SM-2S1Q8 30-39 years, male 88.2
GTEX-13VXT-0126-SM-5LU4I 20-29 years, female 88.1
GTEX-1HBPM-0226-SM-ARL9F 60-69 years, female 87.7
GTEX-13G51-2526-SM-5LZYK 60-69 years, male 87.4
GTEX-RN64-0126-SM-2TC68 50-59 years, male 87.1
GTEX-1CAV2-2226-SM-7P8P2 40-49 years, female 86.8
GTEX-111VG-2426-SM-5GZXD 60-69 years, male 85.9
GTEX-117YW-2626-SM-5GZZH 50-59 years, male 85.8
GTEX-12WSD-0126-SM-59HKN 60-69 years, female 85.7
GTEX-U4B1-1826-SM-4DXSU 40-49 years, male 85.6
GTEX-1MA7X-2226-SM-E6CIY 60-69 years, male 85.3
GTEX-1HCU6-0126-SM-CL54K 60-69 years, female 85.2
GTEX-1F6I4-0126-SM-9MQL2 60-69 years, male 84.7
GTEX-1RLM8-2326-SM-EWRN4 50-59 years, male 84.7
GTEX-1J8EW-0126-SM-CJI4F 60-69 years, female 84.4
GTEX-1N2DW-0226-SM-E9TK2 50-59 years, male 84.3
GTEX-12KS4-0326-SM-5EQ41 30-39 years, male 84.1
GTEX-1C6VQ-0126-SM-7P8RI 50-59 years, male 83.5
GTEX-O5YW-0126-SM-3LK6D 50-59 years, male 83.4
GTEX-WY7C-2326-SM-3NB2U 50-59 years, male 83.3
GTEX-OOBK-0126-SM-2YUND 40-49 years, male 83.2
GTEX-15SB6-1726-SM-6PAME 50-59 years, female 82.5
GTEX-13NZA-0226-SM-5K7Z7 60-69 years, male 82.3
GTEX-11P82-1626-SM-59879 20-29 years, male 82.2
GTEX-132NY-0326-SM-5IJBL 60-69 years, male 81.8
GTEX-1HUB1-0426-SM-E9U4U 60-69 years, male 81.6
GTEX-1A32A-0126-SM-718B1 50-59 years, female 81.2
GTEX-146FR-1326-SM-E9J48 60-69 years, female 80.9
GTEX-11GSP-2526-SM-5N9BP 60-69 years, female 80.8
GTEX-17HHY-0126-SM-7LG5D 50-59 years, male 80.8
GTEX-Q2AI-1326-SM-2S1PL 40-49 years, male 80.8
GTEX-SSA3-0126-SM-32QPU 60-69 years, male 80.8
GTEX-13N1W-0126-SM-5K7VT 70-79 years, male 80.6
GTEX-TMZS-0126-SM-3DB9Q 60-69 years, male 80.4
GTEX-Y111-0126-SM-4SOIV 50-59 years, male 80.2
GTEX-NPJ8-0126-SM-2YUNR 40-49 years, male 79.9
GTEX-13RTL-0126-SM-7LG5S 40-49 years, male 79.7
GTEX-113JC-2326-SM-5EQ4E 50-59 years, female 79.5
GTEX-ZEX8-2426-SM-4WKG4 50-59 years, male 79.4
GTEX-1399U-2326-SM-5K7WY 50-59 years, female 79.1
GTEX-15SHW-0326-SM-6PAML 60-69 years, male 78.9
GTEX-11DXW-0226-SM-5H122 40-49 years, male 78.7
GTEX-1HFI6-0226-SM-ADEHZ 40-49 years, male 78.5
GTEX-1QW4Y-1526-SM-EAZ3Z 30-39 years, male 78.5
GTEX-14LLW-0126-SM-6LLIO 70-79 years, female 78.4
GTEX-1AYD5-2426-SM-73KXR 50-59 years, male 78.2
GTEX-11GS4-2726-SM-5A5LE 60-69 years, male 78.0
GTEX-139T8-0126-SM-5K7XZ 60-69 years, male 78.0
GTEX-13OVG-1926-SM-5L3DK 60-69 years, male 78.0
GTEX-QCQG-1726-SM-3GIJ9 50-59 years, female 78.0
GTEX-YEC4-2126-SM-5IFJH 40-49 years, male 77.8
GTEX-17EVQ-0226-SM-7LG4P 70-79 years, male 77.5
GTEX-X4EO-0326-SM-3P5YO 60-69 years, female 77.5
GTEX-ZF3C-0126-SM-DO92D 50-59 years, female 77.2
GTEX-1ICG6-2526-SM-CGQFZ 70-79 years, female 77.1
GTEX-OXRP-0126-SM-3NB32 60-69 years, female 77.0
GTEX-S7PM-0126-SM-4AD6S 60-69 years, male 76.7
GTEX-1GN73-0226-SM-9WG67 60-69 years, male 76.7
GTEX-WH7G-2326-SM-3NMBC 40-49 years, male 76.6
GTEX-T2IS-0126-SM-4DM6O 20-29 years, female 76.5
GTEX-ZYW4-0126-SM-5E44A 60-69 years, male 76.5
GTEX-1AX8Z-0126-SM-7DHM6 60-69 years, male 76.1
GTEX-W5X1-3026-SM-EAZAX 40-49 years, female 76.1
GTEX-OXRK-0226-SM-3NB2G 50-59 years, female 76.0
GTEX-ZAJG-0126-SM-5HL94 50-59 years, female 76.0
GTEX-ZUA1-0126-SM-5GU76 40-49 years, male 75.7
GTEX-145MO-0326-SM-5Q5B3 60-69 years, male 75.4
GTEX-1B933-0126-SM-7PC29 50-59 years, female 75.3
GTEX-12WSJ-1826-SM-5GCNY 40-49 years, female 75.1
GTEX-R55E-0126-SM-2TC5Y 20-29 years, male 75.0
GTEX-ZE7O-0126-SM-57WC1 50-59 years, female 74.5
GTEX-13FHO-0226-SM-5IFGY 60-69 years, male 74.3
GTEX-1EX96-1626-SM-7PBXR 50-59 years, male 74.3
GTEX-1IY9M-0126-SM-D3L8S 60-69 years, male 74.3
GTEX-XUW1-0426-SM-4BOOT 50-59 years, female 74.2
GTEX-13VXU-0126-SM-5SI9F 50-59 years, male 73.9
GTEX-183FY-0126-SM-7LT9P 20-29 years, male 73.4
GTEX-ZVT2-2526-SM-51MT1 50-59 years, female 73.4
GTEX-11ZVC-2526-SM-5FQTE 50-59 years, female 73.3
GTEX-14753-0426-SM-5NQAM 60-69 years, male 73.0
GTEX-QEG4-0226-SM-2S1PY 30-39 years, male 72.8
GTEX-XXEK-2226-SM-4BRUM 50-59 years, male 72.8
GTEX-ZQG8-1626-SM-DHXIT 60-69 years, female 72.6
GTEX-X62O-0126-SM-4E3JN 50-59 years, male 72.5
GTEX-ZDYS-2026-SM-5HL5L 50-59 years, male 72.5
GTEX-139T4-0226-SM-5HL5S 50-59 years, female 72.3
GTEX-Q2AG-0126-SM-33HBV 40-49 years, female 72.2
GTEX-YJ8A-0426-SM-5IFID 20-29 years, male 72.2
GTEX-1B8L1-2526-SM-9WYTF 60-69 years, male 72.2
GTEX-ZYFD-0126-SM-5GIDL 50-59 years, male 72.1
GTEX-1I1HK-0126-SM-COH49 60-69 years, male 72.1
GTEX-11ZTS-0126-SM-5EQ6M 60-69 years, female 72.0
GTEX-1GMR8-0126-SM-9WYTM 50-59 years, female 72.0
GTEX-1CB4G-0226-SM-7PC3O 60-69 years, male 71.9
GTEX-13O1R-0126-SM-5L3EH 60-69 years, male 71.7
GTEX-1497J-2426-SM-7IGNX 60-69 years, male 71.7
GTEX-X5EB-2226-SM-46MW4 40-49 years, male 71.7
GTEX-1F75A-0126-SM-7RHGM 50-59 years, male 71.7
GTEX-11DXX-2426-SM-5GZZW 60-69 years, female 71.6
GTEX-16YQH-0126-SM-7DUFJ 30-39 years, male 71.6
GTEX-139D8-0226-SM-5KLZO 30-39 years, female 71.5
GTEX-14PJM-0226-SM-62LF1 50-59 years, female 71.5
GTEX-18A7A-0226-SM-718BH 50-59 years, female 71.2
GTEX-Y5LM-1926-SM-5RQJH 40-49 years, female 71.2
GTEX-P4PP-0126-SM-3LK69 30-39 years, female 71.1
GTEX-PWCY-1826-SM-DHXIZ 20-29 years, female 70.9
GTEX-11ZTT-2426-SM-5EQLS 60-69 years, female 70.8
GTEX-QVJO-1626-SM-2S1QW 60-69 years, female 70.8
GTEX-183WM-0126-SM-7LTAB 70-79 years, female 70.6
GTEX-145MN-2226-SM-5SIAU 30-39 years, male 70.4
GTEX-ZZPT-0226-SM-5E43X 50-59 years, male 70.4
GTEX-1KD5A-0226-SM-D5OV3 50-59 years, male 70.1
GTEX-14BIL-0126-SM-5SI92 50-59 years, male 70.0
GTEX-11NUK-0126-SM-5A5L3 50-59 years, male 69.7
GTEX-1N2DV-0226-SM-E6CJ6 40-49 years, male 69.7
GTEX-YFC4-0126-SM-5CVLY 40-49 years, female 69.6
GTEX-11UD1-0126-SM-5PNYG 40-49 years, female 69.4
GTEX-1QEPI-0126-SM-EWRMQ 60-69 years, female 69.4
GTEX-12WSL-2526-SM-5GCNJ 50-59 years, male 69.0
GTEX-ZC5H-0226-SM-4WAY9 40-49 years, female 68.9
GTEX-1F88F-2726-SM-7PBZZ 60-69 years, female 68.8
GTEX-1HSMP-0126-SM-E6CJS 70-79 years, male 68.8
GTEX-1211K-2026-SM-5EQ4Z 60-69 years, female 68.7
GTEX-OOBJ-0126-SM-E6CJW 60-69 years, male 68.6
GTEX-1AYCT-2426-SM-7IGQ3 50-59 years, male 68.5
GTEX-13O21-1426-SM-5K7XI 50-59 years, male 68.4
GTEX-SN8G-0126-SM-32PLI 50-59 years, female 68.4
GTEX-14ABY-0226-SM-5TDCQ 50-59 years, male 68.3
GTEX-1I1CD-0126-SM-CM2TK 60-69 years, female 68.3
GTEX-11ZUS-0626-SM-59885 30-39 years, male 68.0
GTEX-1H3NZ-0126-SM-ACKX7 60-69 years, male 68.0
GTEX-11OF3-2626-SM-5GU7F 60-69 years, male 67.9
GTEX-11OC5-0126-SM-5HL6A 60-69 years, male 67.7
GTEX-11DZ1-0126-SM-5985Q 50-59 years, male 67.5
GTEX-X4XY-0226-SM-4E3IZ 60-69 years, male 67.5
GTEX-1H3VE-0326-SM-9YFLH 40-49 years, male 67.5
GTEX-12ZZX-0126-SM-5EGK9 40-49 years, female 67.2
GTEX-ZVE2-0226-SM-59HJB 50-59 years, male 67.2
GTEX-1H1DG-0126-SM-9WYU2 70-79 years, male 67.2
GTEX-XBED-2226-SM-47JYQ 60-69 years, male 67.1
GTEX-11H98-0126-SM-5EGHG 50-59 years, male 66.7
GTEX-131XG-2626-SM-5KM17 50-59 years, female 66.7
GTEX-18A6Q-0126-SM-731BZ 60-69 years, male 66.7
GTEX-Y114-2426-SM-4TT8A 50-59 years, female 66.7
GTEX-1R9PO-2126-SM-E9J4O 60-69 years, female 66.7
GTEX-1313W-0126-SM-5LZUN 50-59 years, female 66.5
GTEX-RM2N-1426-SM-2TF4H 50-59 years, male 66.3
GTEX-1R9K4-0126-SM-DTX9X 60-69 years, male 66.3
GTEX-Q2AH-1626-SM-3GAF8 40-49 years, male 66.1
GTEX-XYKS-2126-SM-4E3IB 60-69 years, female 66.0
GTEX-13OVL-0226-SM-5L3E9 50-59 years, male 65.9
GTEX-XAJ8-0826-SM-47JY6 40-49 years, male 65.7
GTEX-ZY6K-1826-SM-5GZXK 50-59 years, male 65.7
GTEX-Z93T-0126-SM-5HL5N 50-59 years, male 65.6
GTEX-1JKYN-1326-SM-CGQG9 30-39 years, male 65.5
GTEX-13N11-2526-SM-5K7UE 50-59 years, female 65.4
GTEX-VJYA-1126-SM-3GIJU 60-69 years, male 65.4
GTEX-12WSN-5019-SM-79OM6 40-49 years, male 65.3
GTEX-1GZ4H-1726-SM-7PBZJ 50-59 years, female 65.3
GTEX-12126-0326-SM-5PNW3 20-29 years, male 65.2
GTEX-PLZ5-2026-SM-2S1O4 50-59 years, male 65.1
GTEX-145LT-1726-SM-5QGP3 40-49 years, male 65.0
GTEX-17MF6-0126-SM-7LG4F 40-49 years, male 64.8
GTEX-Y8LW-1826-SM-5S2MV 50-59 years, female 64.8
GTEX-ZF29-2326-SM-DO92K 60-69 years, female 64.8
GTEX-11WQC-2526-SM-5CVLE 60-69 years, male 64.7
GTEX-VUSG-2526-SM-4KL1V 50-59 years, male 64.7
GTEX-17HII-0226-SM-7LG4E 50-59 years, male 64.6
GTEX-15SDE-2226-SM-7IGLO 50-59 years, female 64.5
GTEX-WZTO-0126-SM-3NM95 40-49 years, male 64.2
GTEX-148VJ-0126-SM-5TDDN 70-79 years, male 64.0
GTEX-U3ZM-1526-SM-3DB9D 40-49 years, male 64.0
GTEX-1JN1M-0326-SM-CYPT3 60-69 years, female 64.0
GTEX-13D11-2426-SM-5KM1V 50-59 years, female 63.7
GTEX-13U4I-0126-SM-5LU38 40-49 years, female 63.5
GTEX-1POEN-0126-SM-EYYXJ 30-39 years, female 63.5
GTEX-1PPH7-2326-SM-EVYB8 40-49 years, male 63.5
GTEX-15DYW-0126-SM-7KULE 60-69 years, female 63.4
GTEX-18QFQ-0126-SM-731BE 30-39 years, male 63.4
GTEX-ZDTS-0126-SM-4WAY5 60-69 years, male 63.4
GTEX-1GZ2Q-0226-SM-7P8TL 40-49 years, male 63.3
GTEX-SIU8-0126-SM-2XCDT 50-59 years, male 63.2
GTEX-12C56-1726-SM-5EQ61 20-29 years, male 63.0
GTEX-Z9EW-1626-SM-5CVMN 40-49 years, male 62.9
GTEX-139TT-0126-SM-5K7Y5 60-69 years, male 62.8
GTEX-13O3O-0126-SM-E9J49 60-69 years, female 62.7
GTEX-1269C-2526-SM-5EGJ3 60-69 years, female 62.5
GTEX-RVPV-0126-SM-EAZAW 60-69 years, male 62.1
GTEX-11DYG-0126-SM-59883 60-69 years, male 62.0
GTEX-14A6H-0126-SM-5QGPK 30-39 years, male 62.0
GTEX-13SLX-0526-SM-5S2ON 50-59 years, female 61.8
GTEX-14BMU-2226-SM-5TDE9 20-29 years, female 61.6
GTEX-OHPM-0126-SM-2YUN9 50-59 years, male 61.6
GTEX-1ICLZ-0126-SM-CKZPO 60-69 years, male 61.5
GTEX-13NZ8-0826-SM-5MR3I 60-69 years, female 61.3
GTEX-1F7RK-0126-SM-7PC2S 20-29 years, female 61.3
GTEX-1EKGG-0226-SM-9WYTH 60-69 years, male 61.1
GTEX-U412-0426-SM-3DB9O 60-69 years, male 61.0
GTEX-13NYS-0126-SM-5MR3W 60-69 years, male 60.6
GTEX-XUYS-0126-SM-47JWZ 50-59 years, male 60.6
GTEX-1HSEH-0126-SM-ACKXN 60-69 years, male 60.6
GTEX-1J8JJ-0226-SM-CL53I 60-69 years, female 60.6
GTEX-1GN1V-0126-SM-9WPOS 60-69 years, male 60.5
GTEX-U8XE-0326-SM-3DB8P 30-39 years, male 60.4
GTEX-OIZG-0726-SM-33HBL 50-59 years, male 60.2
GTEX-QDVJ-1726-SM-2I5FX 50-59 years, male 60.2
GTEX-1PBJI-0526-SM-E8VNK 20-29 years, female 60.2
GTEX-147F4-0226-SM-5QGPW 50-59 years, male 60.1
GTEX-1I1GS-0126-SM-B2LVW 60-69 years, male 60.1
GTEX-1NV5F-0226-SM-E8VNY 60-69 years, female 60.1
GTEX-144FL-0126-SM-5TDC8 50-59 years, male 60.0
GTEX-1C6VS-0526-SM-7DUEN 60-69 years, male 60.0
GTEX-1314G-1526-SM-5EGK2 30-39 years, male 59.7
GTEX-17F98-0626-SM-79OMX 40-49 years, female 59.7
GTEX-11P7K-2126-SM-5GU7G 30-39 years, male 59.6
GTEX-11DXZ-2326-SM-5EGGV 50-59 years, male 59.4
GTEX-WYVS-2126-SM-3NMA3 40-49 years, female 59.4
GTEX-1HR98-0126-SM-B2LWI 60-69 years, male 59.4
GTEX-1JMOU-1526-SM-CL54I 60-69 years, female 59.3
GTEX-145LV-2126-SM-5LU8N 50-59 years, male 59.1
GTEX-1HCUA-2426-SM-ADEIS 50-59 years, female 59.1
GTEX-14ICK-0226-SM-6EU25 40-49 years, male 59.0
GTEX-1R46S-0626-SM-E9J41 60-69 years, female 59.0
GTEX-13O3P-0126-SM-5KM4S 50-59 years, male 58.9
GTEX-1RAZA-0126-SM-E6CI3 20-29 years, male 58.7
GTEX-WQUQ-0426-SM-3MJFU 60-69 years, male 58.6
GTEX-WVJS-0126-SM-4MVOT 50-59 years, male 58.6
GTEX-1CAMS-0426-SM-7P8T2 40-49 years, female 58.5
GTEX-139TS-2826-SM-5J1OO 60-69 years, male 58.4
GTEX-1HGF4-2426-SM-ACKXM 60-69 years, male 58.4
GTEX-R55G-2526-SM-2TC6D 40-49 years, female 58.3
GTEX-1AX9I-0126-SM-7SB74 60-69 years, male 58.3
GTEX-1IDFM-0126-SM-COH2V 60-69 years, male 58.2
GTEX-147GR-0526-SM-5S2MY 60-69 years, male 57.9
GTEX-14PN4-0126-SM-6EU2V 50-59 years, male 57.9
GTEX-1GZHY-0326-SM-9QEHI 50-59 years, female 57.9
GTEX-U8T8-0126-SM-3DB94 60-69 years, male 57.8
GTEX-1EWIQ-0126-SM-7RHH2 70-79 years, female 57.8
GTEX-WXYG-2326-SM-4E3I6 50-59 years, female 57.7
GTEX-T2YK-0526-SM-32QPJ 50-59 years, male 57.5
GTEX-1HSMO-0126-SM-CL547 60-69 years, male 57.5
GTEX-13112-2826-SM-5DUWH 50-59 years, male 57.3
GTEX-1IE54-0126-SM-CMKHW 40-49 years, female 57.3
GTEX-NFK9-0226-SM-2HMKQ 40-49 years, male 57.2
GTEX-1RB15-2126-SM-E9TIM 60-69 years, male 57.2
GTEX-13X6I-0626-SM-5QGP9 60-69 years, male 57.1
GTEX-16XZY-2126-SM-79OK1 70-79 years, male 57.1
GTEX-W5WG-1826-SM-4KL2Y 50-59 years, female 57.1
GTEX-ZDTT-2726-SM-4WKF8 60-69 years, male 57.1
GTEX-ZYFC-0226-SM-5NQ75 50-59 years, male 57.0
GTEX-ZE9C-2726-SM-57WB5 60-69 years, male 56.8
GTEX-11O72-0126-SM-59887 40-49 years, male 56.7
GTEX-1EU9M-0226-SM-7P8SP 60-69 years, male 56.7
GTEX-1H3O1-0426-SM-9YFKY 60-69 years, male 56.4
GTEX-1LC47-0326-SM-E9TJP 60-69 years, male 56.3
GTEX-11DXY-2626-SM-5GIE7 60-69 years, male 56.2
GTEX-146FH-0126-SM-5QGPP 50-59 years, female 56.2
GTEX-ZXES-1826-SM-5E43S 30-39 years, female 56.0
GTEX-13QJ3-0326-SM-5S2RA 50-59 years, male 55.9
GTEX-T6MO-1626-SM-32QOM 40-49 years, female 55.9
GTEX-WYJK-0126-SM-3NMAB 50-59 years, male 55.9
GTEX-13OVI-1426-SM-5L3EY 60-69 years, female 55.8
GTEX-ZAB5-1826-SM-5HL7C 50-59 years, male 55.8
GTEX-1MGNQ-0126-SM-EVYCJ 40-49 years, male 55.8
GTEX-1RQEC-0426-SM-E6CHU 60-69 years, male 55.8
GTEX-11EM3-2426-SM-59861 20-29 years, female 55.7
GTEX-QV44-1926-SM-2S1RF 50-59 years, male 55.7
GTEX-RWS6-2026-SM-2XCB5 60-69 years, female 55.6
GTEX-RU72-0926-SM-2TF6B 50-59 years, female 55.5
GTEX-18D9B-0526-SM-7LTAS 60-69 years, male 55.4
GTEX-WRHK-1426-SM-3MJF9 20-29 years, female 55.3
GTEX-XQ3S-1526-SM-4BOOC 20-29 years, male 55.3
GTEX-XQ8I-0426-SM-4BOPO 50-59 years, male 55.2
GTEX-1GF9X-2026-SM-7PC3A 40-49 years, female 55.2
GTEX-1IKK5-0626-SM-ARL8A 60-69 years, male 55.2
GTEX-131XW-0426-SM-5LZWP 50-59 years, female 55.0
GTEX-1K9T9-0126-SM-EVYCF 50-59 years, female 54.9
GTEX-1J1R8-1726-SM-ARL8M 40-49 years, male 54.7
GTEX-1MCYP-1926-SM-E9J2R 20-29 years, female 54.7
GTEX-1GN2E-0426-SM-9MQKX 60-69 years, male 54.6
GTEX-13FXS-0226-SM-5IJCK 50-59 years, male 54.5
GTEX-14BIM-0226-SM-7IGLD 60-69 years, female 54.5
GTEX-14E6D-0126-SM-62LDV 50-59 years, male 54.3
GTEX-18A67-0126-SM-7LG5P 50-59 years, male 54.2
GTEX-ZVTK-0426-SM-51MRS 20-29 years, male 54.2
GTEX-15SHU-0126-SM-7KUEH 40-49 years, female 54.1
GTEX-18A66-0226-SM-718BD 60-69 years, male 54.0
GTEX-1F75I-0326-SM-9YFLU 40-49 years, male 54.0
GTEX-1GN1W-0526-SM-9MQJQ 50-59 years, female 54.0
GTEX-1IDJF-0126-SM-CM2RS 20-29 years, male 53.9
GTEX-1GF9V-0326-SM-7RHI5 60-69 years, male 53.8
GTEX-XMD2-0126-SM-4YCDU 60-69 years, female 53.7
GTEX-1GMRU-0126-SM-9YFLV 50-59 years, male 53.7
GTEX-R3RS-0126-SM-3GIJL 40-49 years, female 53.6
GTEX-117YX-2326-SM-5H12W 50-59 years, male 53.5
GTEX-15D1Q-0126-SM-7KUG6 40-49 years, male 53.4
GTEX-1J8Q3-1626-SM-CMKGC 60-69 years, male 53.4
GTEX-ZU9S-0226-SM-5E441 30-39 years, male 53.3
GTEX-11GSO-2426-SM-5A5LY 60-69 years, male 53.2
GTEX-X4XX-0126-SM-3NMC2 60-69 years, male 53.1
GTEX-1JMPY-1326-SM-ARL8Y 30-39 years, male 53.1
GTEX-14PII-0226-SM-6EU1T 60-69 years, male 53.0
GTEX-1S82Y-2026-SM-EVYCM 40-49 years, male 52.9
GTEX-13YAN-0326-SM-5O9DF 60-69 years, male 52.8
GTEX-16MT8-0426-SM-7KUEY 60-69 years, female 52.8
GTEX-11P81-2326-SM-59875 30-39 years, female 52.7
GTEX-1R7EV-2426-SM-EVYBG 40-49 years, male 52.7
GTEX-117XS-2726-SM-5N9BL 60-69 years, male 52.6
GTEX-QESD-1426-SM-2S1R9 20-29 years, male 52.6
GTEX-148VI-1626-SM-5SI6E 60-69 years, female 52.5
GTEX-1KANB-0526-SM-E6CJH 50-59 years, male 52.5
GTEX-ZVT4-0126-SM-DTXFN 50-59 years, female 52.5
GTEX-14PHX-2326-SM-62LEM 50-59 years, male 52.4
GTEX-ZAK1-0126-SM-5IJD3 50-59 years, female 52.4
GTEX-ZQUD-1426-SM-57WER 30-39 years, male 52.4
GTEX-1QP66-1726-SM-E8VO1 50-59 years, male 52.4
GTEX-1KD4Q-0226-SM-E9TJ9 40-49 years, male 52.3
GTEX-X585-0226-SM-4QAS2 50-59 years, male 52.2
GTEX-1H23P-0126-SM-ADEJ3 60-69 years, male 52.2
GTEX-PSDG-0226-SM-DKPOZ 50-59 years, male 52.2
GTEX-1JMQK-0226-SM-CL543 60-69 years, male 52.1
GTEX-WOFL-0126-SM-3MJG2 60-69 years, male 52.0
GTEX-YB5K-2126-SM-4WWDJ 40-49 years, female 52.0
GTEX-16GPK-0126-SM-7DHLE 60-69 years, male 51.9
GTEX-OXRN-0126-SM-48TDM 50-59 years, male 51.7
GTEX-TML8-1926-SM-32QOS 40-49 years, female 51.6
GTEX-1JMPZ-0226-SM-CNPP1 30-39 years, male 51.5
GTEX-11VI4-1726-SM-5CVLH 40-49 years, female 51.3
GTEX-13FTY-0526-SM-5L3EV 40-49 years, female 51.3
GTEX-11XUK-2026-SM-5EQLF 40-49 years, female 51.2
GTEX-1C64O-0126-SM-7SB8P 60-69 years, male 51.2
GTEX-1HBPI-1526-SM-C1YQ1 50-59 years, male 51.2
GTEX-OIZH-0126-SM-2HMIS 50-59 years, male 51.1
GTEX-1HB9E-0226-SM-E9U4R 50-59 years, male 51.1
GTEX-PVOW-0126-SM-2XCFA 40-49 years, male 51.0
GTEX-13OW6-0426-SM-5L3HM 50-59 years, male 50.9
GTEX-14PJ3-1826-SM-62LEX 50-59 years, male 50.9
GTEX-QLQ7-1626-SM-2S1R8 60-69 years, male 50.9
GTEX-131YS-0126-SM-5KM1M 60-69 years, female 50.8
GTEX-ZYY3-0126-SM-5GZY5 60-69 years, female 50.8
GTEX-12WSK-2326-SM-5GCOH 40-49 years, female 50.7
GTEX-1H1E6-1726-SM-ACKVK 30-39 years, male 50.7
GTEX-147F3-0526-SM-5SI98 50-59 years, female 50.6
GTEX-1HKZK-0326-SM-9WYUH 40-49 years, male 50.6
GTEX-14PN3-2426-SM-6LLHS 60-69 years, female 50.5
GTEX-O5YT-0126-SM-48TBW 20-29 years, male 50.4
GTEX-1HCU8-0626-SM-A9SM9 60-69 years, female 50.4
GTEX-OHPL-0126-SM-2HMJ7 60-69 years, female 50.3
GTEX-14PHW-0126-SM-6LLJI 60-69 years, female 50.2
GTEX-18465-0126-SM-731BN 50-59 years, male 50.2
GTEX-Y8DK-0126-SM-4TT3L 60-69 years, male 50.2
GTEX-1H1ZS-0426-SM-9WG6G 70-79 years, male 50.2
GTEX-145LU-0126-SM-5TDCB 50-59 years, male 50.1
GTEX-15DCD-0126-SM-7KUEK 70-79 years, female 50.1
GTEX-POMQ-2226-SM-2I5FK 20-29 years, female 50.1
GTEX-RNOR-0126-SM-E9J4R 50-59 years, female 50.1
GTEX-1LBAC-0126-SM-DIPEZ 20-29 years, male 50.0
GTEX-1S82Z-0826-SM-E6CHY 30-39 years, female 50.0
GTEX-T5JC-0426-SM-32PLO 20-29 years, male 49.9
GTEX-1GF9W-0326-SM-9KNUN 60-69 years, male 49.8
GTEX-1MUQO-0126-SM-EAZ58 60-69 years, male 49.8
GTEX-UJHI-1526-SM-3DB99 50-59 years, female 49.6
GTEX-15UF6-0826-SM-6PALJ 70-79 years, female 49.5
GTEX-131XF-5016-SM-7MGWE 60-69 years, male 49.4
GTEX-1H11D-0226-SM-9WG6Z 40-49 years, male 49.4
GTEX-1IKOH-0226-SM-COH4E 60-69 years, female 49.4
GTEX-13RTJ-2426-SM-5S2Q2 60-69 years, male 49.3
GTEX-V1D1-2226-SM-3NMAX 50-59 years, male 49.2
GTEX-PW2O-1526-SM-7RHHB 20-29 years, male 49.2
GTEX-11WQK-0526-SM-5EQLD 50-59 years, male 49.1
GTEX-13IVO-0126-SM-5J1NG 70-79 years, male 49.0
GTEX-13PVR-2326-SM-5QGR1 60-69 years, female 49.0
GTEX-1I4MK-2226-SM-ACKWD 50-59 years, female 49.0
GTEX-1GPI6-0126-SM-9WG69 60-69 years, male 48.9
GTEX-1PIGE-0126-SM-EVYBJ 20-29 years, male 48.9
GTEX-1LG7Y-0526-SM-DKPQC 50-59 years, male 48.8
GTEX-11TT1-2526-SM-5EGIB 20-29 years, male 48.7
GTEX-UPJH-0326-SM-3GADU 50-59 years, male 48.7
GTEX-ZYFG-2326-SM-5E44B 60-69 years, female 48.7
GTEX-15DDE-0126-SM-6LPKH 50-59 years, female 48.5
GTEX-1AX9K-2326-SM-73KWU 50-59 years, male 48.5
GTEX-Z93S-0126-SM-5HL7M 50-59 years, male 48.4
GTEX-1B8KZ-2026-SM-7DHMB 50-59 years, male 48.3
GTEX-OIZF-0126-SM-7SB8I 60-69 years, male 48.2
GTEX-ZVZO-0126-SM-5A5L9 40-49 years, male 48.1
GTEX-1EMGI-0126-SM-9KNUE 60-69 years, male 47.8
GTEX-1N2EF-0226-SM-EYYXB 60-69 years, male 47.8
GTEX-1IGQW-0126-SM-COH42 60-69 years, male 47.7
GTEX-12WSG-2826-SM-E9J4H 50-59 years, female 47.6
GTEX-1B996-0226-SM-7RHGO 60-69 years, male 47.5
GTEX-13FTW-2626-SM-5K7WL 40-49 years, male 47.4
GTEX-13RTK-1426-SM-5QGQJ 20-29 years, male 47.4
GTEX-SJXC-0126-SM-2XCFF 60-69 years, male 47.4
GTEX-1I1GV-0526-SM-A9G29 60-69 years, male 47.4
GTEX-YB5E-2026-SM-5IFIS 40-49 years, male 47.3
GTEX-14DAQ-0126-SM-5S2MQ 60-69 years, female 47.2
GTEX-14DAR-2026-SM-5S2O3 50-59 years, male 47.2
GTEX-1C2JI-1826-SM-73KXC 50-59 years, male 47.2
GTEX-1I1GR-0126-SM-CL55F 60-69 years, male 47.2
GTEX-U3ZH-2026-SM-3DB78 30-39 years, male 47.1
GTEX-1GN1U-0126-SM-7PBZK 50-59 years, female 47.1
GTEX-1NHNU-1026-SM-E9J2A 50-59 years, male 46.8
GTEX-13X6H-2126-SM-7EWD5 50-59 years, female 46.7
GTEX-1I1GU-2226-SM-CGQFA 40-49 years, male 46.6
GTEX-1JKYR-0126-SM-CNPOJ 20-29 years, male 46.6
GTEX-1AMEY-1326-SM-73KYK 30-39 years, female 46.5
GTEX-1A8FM-0226-SM-7SB7Q 50-59 years, female 46.5
GTEX-13W46-0226-SM-5SIAG 50-59 years, male 46.4
GTEX-14XAO-2326-SM-6EU1B 60-69 years, female 46.4
GTEX-TKQ1-1026-SM-4GICL 30-39 years, male 46.4
GTEX-1H1CY-2826-SM-9MQM3 60-69 years, female 46.4
GTEX-13SLW-0126-SM-5SI6C 70-79 years, male 46.3
GTEX-18A7B-0126-SM-7LG64 70-79 years, male 46.3
GTEX-1GTWX-0126-SM-9YFLK 60-69 years, male 46.3
GTEX-1LSNM-1926-SM-E6CII 50-59 years, male 46.3
GTEX-13FTX-1826-SM-5J1NX 20-29 years, female 46.2
GTEX-XBEW-0626-SM-4QASP 40-49 years, male 46.2
GTEX-SE5C-1626-SM-2XCE3 40-49 years, female 46.2
GTEX-14JG6-2226-SM-6EU2G 30-39 years, female 46.1
GTEX-16XZZ-0126-SM-793DV 60-69 years, male 46.0
GTEX-S95S-1226-SM-4GICG 60-69 years, male 46.0
GTEX-1I1GP-2226-SM-CGQFK 50-59 years, male 46.0
GTEX-17MFQ-1726-SM-793C7 20-29 years, male 45.9
GTEX-1128S-2326-SM-5GZZY 60-69 years, female 45.8
GTEX-1GF9U-2126-SM-7SB7L 40-49 years, female 45.8
GTEX-1QMI2-0226-SM-EVYBX 60-69 years, male 45.8
GTEX-15ER7-0326-SM-7KUEV 20-29 years, female 45.7
GTEX-15CHC-2126-SM-6EU21 60-69 years, female 45.6
GTEX-1A3MX-0126-SM-731BR 60-69 years, male 45.6
GTEX-1MCQQ-0826-SM-DLHC2 60-69 years, male 45.6
GTEX-13OVK-2026-SM-7KUEO 40-49 years, male 45.5
GTEX-17HHE-2026-SM-79OKF 50-59 years, male 45.5
GTEX-1PFEY-1526-SM-E76PP 30-39 years, male 45.5
GTEX-1LB8K-0226-SM-EWRNW 50-59 years, male 45.4
GTEX-15ETS-0126-SM-7KUMW 40-49 years, female 45.3
GTEX-1H3VY-0126-SM-ACKXD 50-59 years, male 45.3
GTEX-13X6J-0126-SM-5QGOU 50-59 years, male 45.2
GTEX-131XH-2226-SM-5DUXJ 50-59 years, male 45.1
GTEX-15G19-0126-SM-6PANQ 60-69 years, male 45.1
GTEX-1A3MW-0126-SM-73KXX 60-69 years, female 45.1
GTEX-11TUW-2726-SM-E9J4M 60-69 years, male 44.9
GTEX-13S7M-0126-SM-5SI6A 60-69 years, female 44.8
GTEX-ZGAY-0526-SM-4WWBB 40-49 years, female 44.8
GTEX-11NSD-2226-SM-5986V 20-29 years, male 44.7
GTEX-15UKP-0426-SM-7KUFQ 20-29 years, male 44.7
GTEX-17HGU-0226-SM-7DHKV 50-59 years, male 44.7
GTEX-1JK1U-2026-SM-CM2RZ 60-69 years, male 44.7
GTEX-OXRO-0126-SM-2YUN4 60-69 years, female 44.5
GTEX-1IL2U-0226-SM-CE6T8 60-69 years, male 44.4
GTEX-RWSA-0126-SM-2XCBB 40-49 years, male 44.3
GTEX-1ICLY-0126-SM-D4P36 50-59 years, male 44.3
GTEX-Y8E4-0626-SM-4WWDL 40-49 years, male 44.2
GTEX-1JMQI-2226-SM-CM2SD 50-59 years, male 44.2
GTEX-ZV68-0126-SM-59HKS 50-59 years, female 44.1
GTEX-139TU-0126-SM-5K7WH 60-69 years, male 44.0
GTEX-16NPX-0226-SM-79OMT 50-59 years, male 43.9
GTEX-1JN6P-0126-SM-D3L98 60-69 years, male 43.9
GTEX-1JN76-0126-SM-CNPPE 20-29 years, female 43.9
GTEX-12ZZZ-0626-SM-5DUXI 60-69 years, male 43.5
GTEX-1CB4H-0226-SM-7PBXM 60-69 years, female 43.5
GTEX-11ZU8-2526-SM-5EQKI 60-69 years, male 43.4
GTEX-13NZB-2526-SM-5J1OM 30-39 years, male 43.3
GTEX-1B8SF-1426-SM-7DUGL 60-69 years, male 43.3
GTEX-TMMY-0226-SM-33HBA 40-49 years, female 43.2
GTEX-1CB4J-0626-SM-7DHMP 60-69 years, male 43.1
GTEX-SUCS-1926-SM-32PM3 70-79 years, male 43.1
GTEX-1QP29-0626-SM-EWRMX 50-59 years, male 43.1
GTEX-1GPI7-0126-SM-9MQL8 20-29 years, male 43.0
GTEX-U3ZN-2326-SM-3DB7W 30-39 years, female 42.9
GTEX-1HCVE-0126-SM-CGQEU 50-59 years, male 42.9
GTEX-P4QT-0126-SM-2I3FL 50-59 years, female 42.8
GTEX-T6MN-0126-SM-32PLP 50-59 years, male 42.7
GTEX-1HSMQ-1226-SM-CGQFX 50-59 years, male 42.5
GTEX-ZPIC-1726-SM-DHXIU 40-49 years, female 42.4
GTEX-133LE-1826-SM-5J1MV 20-29 years, female 42.3
GTEX-14JG1-0426-SM-6ETZZ 40-49 years, male 42.3
GTEX-14LZ3-0226-SM-62LET 60-69 years, female 42.3
GTEX-17HG3-2226-SM-7938L 30-39 years, female 42.3
GTEX-13FH7-2026-SM-E9J4I 50-59 years, female 42.3
GTEX-1LGOU-2026-SM-DIPFF 20-29 years, female 42.2
GTEX-1IOXB-0126-SM-ARL8G 50-59 years, male 42.1
GTEX-14E7W-0126-SM-6LLJ9 70-79 years, male 42.0
GTEX-13W3W-2426-SM-5LU5B 60-69 years, female 41.9
GTEX-1BAJH-0526-SM-793CQ 70-79 years, male 41.9
GTEX-PWO3-1526-SM-48TCM 60-69 years, female 41.8
GTEX-1JMQJ-0526-SM-CYPSU 50-59 years, male 41.8
GTEX-1I6K6-0126-SM-A9SLE 30-39 years, male 41.7
GTEX-11UD2-0226-SM-5EQKY 50-59 years, male 41.6
GTEX-17EUY-0426-SM-793BD 20-29 years, male 41.6
GTEX-16BQI-0226-SM-7KUEX 30-39 years, female 41.5
GTEX-1R7EU-0226-SM-EVR4G 60-69 years, male 41.5
GTEX-13CF3-2426-SM-5IFGX 60-69 years, female 41.4
GTEX-13O3Q-2426-SM-5IJBR 50-59 years, male 41.3
GTEX-1AX9J-0226-SM-73KXM 60-69 years, male 41.3
GTEX-11EI6-0126-SM-5985R 60-69 years, male 41.2
GTEX-1LVAN-0226-SM-COH3S 50-59 years, female 41.2
GTEX-111FC-0126-SM-5N9DL 60-69 years, male 41.1
GTEX-1399R-2726-SM-5IJBA 30-39 years, male 41.0
GTEX-ZZ64-1726-SM-5GZYB 20-29 years, male 40.6
GTEX-S7SE-0126-SM-2XCD5 50-59 years, male 40.5
GTEX-PLZ6-1426-SM-DKPOT 30-39 years, male 40.5
GTEX-14BIN-0626-SM-793DP 50-59 years, female 40.4
GTEX-169BO-1326-SM-9MQK2 50-59 years, male 40.4
GTEX-1HT8W-0126-SM-CNPPP 30-39 years, male 40.4
GTEX-13PDP-0126-SM-5L3HD 60-69 years, male 40.3
GTEX-1B8KE-2126-SM-73KYX 50-59 years, male 40.3
GTEX-1CB4F-0426-SM-9KNV4 60-69 years, male 40.2
GTEX-1C64N-0126-SM-793D7 50-59 years, male 39.9
GTEX-13OW5-0126-SM-DTXFS 60-69 years, male 39.8
GTEX-1F6RS-0126-SM-9MQKZ 60-69 years, female 39.7
GTEX-1H1DE-2126-SM-9WG6R 20-29 years, male 39.6
GTEX-18D9U-0226-SM-718BP 40-49 years, male 39.5
GTEX-1A3MV-1926-SM-718BT 30-39 years, male 39.4
GTEX-1F5PK-2426-SM-7RHHY 50-59 years, male 39.4
GTEX-12WSC-0126-SM-5EQ4P 50-59 years, male 39.3
GTEX-1OFPY-2426-SM-DTXEJ 60-69 years, male 39.2
GTEX-11LCK-1026-SM-5A5KB 30-39 years, male 39.0
GTEX-Y5V6-2426-SM-4VDSB 60-69 years, male 39.0
GTEX-1CAMR-1926-SM-7EPI2 20-29 years, male 38.9
GTEX-ZV6S-2326-SM-4YCEY 40-49 years, female 38.9
GTEX-1MA7W-2026-SM-E9TJ6 20-29 years, female 38.9
GTEX-1QP2A-0126-SM-E9J43 50-59 years, male 38.8
GTEX-1F75B-0126-SM-9KNVL 50-59 years, male 38.7
GTEX-1S5ZA-0126-SM-EVYCV 20-29 years, male 38.7
GTEX-1KAFJ-2026-SM-CY8ID 50-59 years, male 38.5
GTEX-1J1OQ-0226-SM-CYPSH 40-49 years, female 38.4
GTEX-1QP9N-1426-SM-DTXFL 30-39 years, male 38.3
GTEX-12696-2426-SM-5EQ6H 60-69 years, male 38.2
GTEX-17GQL-2026-SM-718BA 60-69 years, male 38.2
GTEX-VJWN-0126-SM-3GIK7 50-59 years, female 37.9
GTEX-1M5QR-1226-SM-EWROB 40-49 years, male 37.7
GTEX-131XE-2326-SM-5PNZ2 50-59 years, male 37.6
GTEX-P44H-0226-SM-2XCEU 40-49 years, male 37.6
GTEX-T8EM-1026-SM-3DB7M 40-49 years, male 37.6
GTEX-1O97I-0326-SM-EYYX7 60-69 years, male 37.6
GTEX-1E1VI-0126-SM-7DHMZ 50-59 years, male 37.5
GTEX-1K2DA-1826-SM-CGQGT 50-59 years, male 37.5
GTEX-1I19N-0326-SM-ACKVX 70-79 years, male 37.4
GTEX-1QPFJ-0226-SM-E76PB 30-39 years, female 37.4
GTEX-13113-5016-SM-7EPIP 60-69 years, female 37.2
GTEX-Y5V5-2326-SM-4V6GA 60-69 years, female 37.2
GTEX-15RIG-0226-SM-7KFTL 40-49 years, male 37.1
GTEX-1LGRB-2526-SM-CNPPQ 50-59 years, female 37.1
GTEX-139UW-2826-SM-5L3E7 60-69 years, male 37.0
GTEX-1QCLY-0326-SM-E8VOG 30-39 years, male 37.0
GTEX-1HFI7-1826-SM-ACKXH 50-59 years, female 36.9
GTEX-1K2DU-2326-SM-E9TIV 20-29 years, male 36.9
GTEX-1S3DN-2226-SM-EVYCD 50-59 years, male 36.8
GTEX-1GMR3-1926-SM-9KNUZ 40-49 years, male 36.7
GTEX-1RDX4-0126-SM-E9J4P 50-59 years, female 36.7
GTEX-1IL2V-0126-SM-CM2TX 70-79 years, male 36.6
GTEX-12ZZY-0226-SM-5LZVE 60-69 years, male 36.1
GTEX-14C5O-0126-SM-5SI6N 60-69 years, male 36.1
GTEX-1IDJU-2626-SM-CM2RT 60-69 years, female 36.0
GTEX-17EVP-0326-SM-7DHLG 40-49 years, male 35.7
GTEX-ZXG5-0126-SM-5GIEU 60-69 years, male 35.7
GTEX-1JJE9-0326-SM-CL53Z 70-79 years, male 35.5
GTEX-1MJK2-0426-SM-DTXE5 50-59 years, male 35.4
GTEX-16AAH-1726-SM-7939C 50-59 years, male 35.2
GTEX-PX3G-0126-SM-2I3EN 20-29 years, female 35.2
GTEX-ZVZP-2426-SM-59HKJ 50-59 years, male 35.1
GTEX-1OJC3-0126-SM-E76QX 20-29 years, male 35.1
GTEX-1HSKV-0226-SM-A9SKJ 60-69 years, male 34.9
GTEX-1JJ6O-0126-SM-E6CI8 60-69 years, male 34.9
GTEX-1C6VR-2426-SM-79OLD 60-69 years, male 34.8
GTEX-14A5H-0426-SM-5QGQF 60-69 years, male 34.7
GTEX-1122O-2126-SM-5EGIR 60-69 years, female 34.6
GTEX-15F5U-1526-SM-6PANO 40-49 years, male 34.5
GTEX-1KWVE-1426-SM-E9TJO 30-39 years, male 34.5
GTEX-1B8SG-0126-SM-73KZ3 50-59 years, male 34.4
GTEX-ZTSS-1926-SM-57WEW 40-49 years, male 34.4
GTEX-1399T-2826-SM-5KLYZ 60-69 years, male 33.7
GTEX-1CB4E-2226-SM-793DC 60-69 years, male 33.7
GTEX-1QAET-0926-SM-E76QM 50-59 years, male 33.6
GTEX-XUZC-1726-SM-4BRWS 30-39 years, female 33.4
GTEX-1J8QM-2126-SM-CYPSJ 60-69 years, female 33.3
GTEX-1JMLX-0226-SM-CM2RO 50-59 years, male 33.1
GTEX-145MI-0526-SM-5O9A8 60-69 years, female 32.8
GTEX-1HBPN-0226-SM-9YFM1 50-59 years, male 32.7
GTEX-1IDJH-0326-SM-A9SLQ 70-79 years, male 32.6
GTEX-1C4CL-0526-SM-73KVK 30-39 years, male 32.5
GTEX-13OW8-1326-SM-5J1OW 60-69 years, male 32.4
GTEX-18D9A-1926-SM-7LG6P 30-39 years, female 32.2
GTEX-145MF-0626-SM-5LUAI 50-59 years, male 32.1
GTEX-1J8Q2-0526-SM-CM2RW 60-69 years, male 32.0
GTEX-1PPH8-0226-SM-E8VND 20-29 years, male 31.8
GTEX-TSE9-0126-SM-3DB83 60-69 years, female 31.6
GTEX-1HCU9-1526-SM-A9SL7 20-29 years, male 31.3
GTEX-11EQ9-2426-SM-5HL5T 30-39 years, male 31.1
GTEX-1CB4I-0226-SM-79OLH 50-59 years, male 31.0
GTEX-WFG8-2226-SM-3GIL9 20-29 years, male 31.0
GTEX-ZF2S-2326-SM-4WWCE 50-59 years, female 31.0
GTEX-13FHP-0126-SM-5IJBG 50-59 years, male 30.9
GTEX-14BMV-0126-SM-5S2PO 50-59 years, male 30.7
GTEX-ZWKS-0126-SM-5SIAA 30-39 years, male 30.4
GTEX-13N2G-2626-SM-5J1OT 60-69 years, male 30.3
GTEX-1F52S-0126-SM-9MQJU 60-69 years, female 30.2
GTEX-1PIIG-0226-SM-EWRN6 30-39 years, male 30.1
GTEX-1F5PL-0326-SM-7P8PQ 40-49 years, female 30.0
GTEX-ZYT6-0226-SM-5NQ6T 30-39 years, male 29.7
GTEX-1HSGN-0226-SM-CGQFV 40-49 years, female 29.5
GTEX-X261-0126-SM-3NMD6 50-59 years, male 29.4
GTEX-1EN7A-0126-SM-7SB81 40-49 years, male 29.3
GTEX-1LH75-2426-SM-E9TJE 50-59 years, female 29.3
GTEX-1PDJ9-0326-SM-DTX95 20-29 years, male 29.1
GTEX-SNMC-1226-SM-2XCFP 20-29 years, male 28.9
GTEX-145ME-1826-SM-5SI9G 40-49 years, female 28.6
GTEX-13NYC-0326-SM-E9J4S 60-69 years, male 28.5
GTEX-1KXAM-2226-SM-CYPTC 60-69 years, male 28.4
GTEX-1AMFI-2026-SM-731BH 50-59 years, female 28.1
GTEX-1H4P4-0726-SM-9YFLR 50-59 years, male 28.1
GTEX-T5JW-1626-SM-3GADZ 20-29 years, female 28.0
GTEX-1I1GQ-0126-SM-COH3H 50-59 years, male 27.4
GTEX-14PJ6-2126-SM-6EU1V 60-69 years, female 27.3
GTEX-17KNJ-2326-SM-7DHLQ 50-59 years, male 27.3
GTEX-1KANC-1526-SM-D3LAB 50-59 years, female 27.3
GTEX-1212Z-2526-SM-5EGKP 60-69 years, male 27.2
GTEX-17F96-1626-SM-7DUFL 70-79 years, male 27.0
GTEX-17JCI-0126-SM-7LG5G 60-69 years, female 26.9
GTEX-12WSA-0226-SM-5BC5V 60-69 years, male 26.7
GTEX-1HCU7-0226-SM-CL545 50-59 years, male 26.6
GTEX-1LG7Z-1726-SM-D3LA4 30-39 years, male 26.6
GTEX-XPVG-2626-SM-4B669 50-59 years, male 26.5
GTEX-14A5I-0126-SM-5TDEA 50-59 years, female 26.4
GTEX-1JJEA-0326-SM-CNPOT 60-69 years, male 26.3
GTEX-145LS-0126-SM-5QGP1 60-69 years, female 25.9
GTEX-16NGA-1726-SM-731B4 40-49 years, female 25.5
GTEX-YJ89-0126-SM-4TT3X 60-69 years, male 25.3
GTEX-1E2YA-0126-SM-9KNUC 50-59 years, male 25.0
GTEX-13111-1626-SM-5EGJY 50-59 years, male 24.8
GTEX-ZTX8-1426-SM-5DUVO 20-29 years, male 24.7
GTEX-1S83E-0126-SM-EWRO4 40-49 years, male 24.4
GTEX-15EU6-0426-SM-6PAN5 50-59 years, male 24.2
GTEX-1I1GT-0626-SM-CGQER 60-69 years, female 24.1
GTEX-WFON-2126-SM-3LK7O 40-49 years, male 23.8
GTEX-14E6E-1826-SM-5S2R7 30-39 years, male 23.6
GTEX-13OVH-0126-SM-5MR4B 70-79 years, male 23.5
GTEX-1IKJJ-0126-SM-CNPQB 60-69 years, male 23.5
GTEX-1R9PM-2026-SM-E76OY 20-29 years, male 23.4
GTEX-13NYB-2526-SM-5K7Z6 40-49 years, male 22.4
GTEX-144GL-0126-SM-5TDE2 50-59 years, male 22.3
GTEX-1KANA-0726-SM-D3L9I 20-29 years, male 22.0
GTEX-1GL5R-1826-SM-9KNUY 50-59 years, male 21.5
GTEX-13JUV-2726-SM-5LZZ8 40-49 years, female 21.4
GTEX-12WSE-0526-SM-793B2 20-29 years, male 20.7
GTEX-1CAMQ-0226-SM-7IGPK 40-49 years, male 20.6
GTEX-1JMQL-0226-SM-CNPP5 50-59 years, female 20.3
GTEX-1B97I-1626-SM-73KYO 40-49 years, male 18.9
GTEX-S32W-2126-SM-2XCB1 50-59 years, female 18.4
GTEX-1C475-1826-SM-73KWA 40-49 years, female 14.6
GTEX-1L5NE-2526-SM-E6CIE 50-59 years, male 14.5
Show allShow less

Contact

  • NEWS ARTICLES
  • PRESS ROOM

The Project

  • INTRODUCTION
  • ORGANIZATION
  • PUBLICATIONS

The Human Protein Atlas

  • DOWNLOADABLE DATA
  • LICENCE & CITATION
  • HELP & FAQ
The Human Protein Atlas project is funded
by the Knut & Alice Wallenberg Foundation.


contact@proteinatlas.org