We use cookies to enhance the usability of our website. If you continue, we'll assume that you are happy to receive all cookies. More information. Don't show this again.
CTSZ
HPA
RESOURCES
  • TISSUE
  • BRAIN
  • SINGLE CELL
  • SUBCELLULAR
  • CANCER
  • BLOOD
  • CELL LINE
  • STRUCTURE & INTERACTION
ABOUT
  • INTRODUCTION
  • HISTORY
  • ORGANIZATION
  • PUBLICATIONS
  • ANTIBODY SUBMISSION
  • ANTIBODY AVAILABILITY
  • ACKNOWLEDGMENTS
  • CONTACT
NEWS
  • NEWS ARTICLES
  • PRESS ROOM
LEARN
  • DICTIONARY
  • PROTEIN CLASSES
  • PROTEIN EVIDENCE
  • METHODS
  • EDUCATIONAL VIDEOS
DATA
  • DOWNLOADABLE DATA
  • PUBLICATION DATA
  • RELEASE HISTORY
HELP
  • ANTIBODY VALIDATION
  • ASSAYS & ANNOTATION
  • DISCLAIMER
  • HELP & FAQ
  • PRIVACY STATEMENT
  • LICENCE & CITATION
Fields »
Search result

Field
Term
Gene name
Class
Subclass
Class
Keyword
Chromosome
External id
Tissue
Cell type
Expression
Antibody panel
Tissue
Main location
Patient ID
Annotation
Tissue
Category
Tau score
Cluster
Reliability
Brain region
Category
Tau score
Brain region
Category
Tau score
Brain region
Category
Tau score
Cluster
Reliability
Tissue
Cell type
Enrichment
Cell type
Category
Tau score
Cell type
Category
Tau score
Cell type
Category
Tau score
Cell lineage
Category
Tau score
Cluster
Cluster
Location
Searches
Location
Cell line
Class
Type
Phase
Reliability
Cancer
Prognosis
Cancer
Category
Cancer
Category
Tau score
Cluster
Variants
Interacting gene (ensg_id)
Type
Number of interactions
Pathway
Category
Score
Score
Score
Validation
Validation
Validation
Validation
Antibodies
Data type
Column


  • SUMMARY

  • TISSUE

  • BRAIN

  • SINGLE CELL

  • SUBCELL

  • CANCER

  • BLOOD

  • CELL LINE

  • STRUCT & INT

  • CTSZ
TISSUE PRIMARY DATA SMALL INTESTINE Show tissue menu
ADIPOSE TISSUE ADRENAL GLAND AMYGDALA APPENDIX BASAL GANGLIA BONE MARROW BREAST BRONCHUS CEREBELLUM CEREBRAL CORTEX CERVIX CHOROID PLEXUS COLON DUODENUM
ENDOMETRIUM EPIDIDYMIS ESOPHAGUS FALLOPIAN TUBE GALLBLADDER HEART MUSCLE HIPPOCAMPAL FORMATION HYPOTHALAMUS KIDNEY LIVER LUNG LYMPH NODE MIDBRAIN NASOPHARYNX
ORAL MUCOSA OVARY PANCREAS PARATHYROID GLAND PITUITARY GLAND PLACENTA PROSTATE RECTUM RETINA SALIVARY GLAND SEMINAL VESICLE SKELETAL MUSCLE SKIN SMALL INTESTINE
SMOOTH MUSCLE SOFT TISSUE SPINAL CORD SPLEEN STOMACH TESTIS THYMUS THYROID GLAND TONGUE TONSIL URINARY BLADDER VAGINA
ANTIBODIES
AND
VALIDATION
Dictionary
Small intestine
Tissue proteome
Intestine
SMALL INTESTINE - Expression summary
Protein expression
Small intestinei

On the top, protein expression in current human tissue, based on all annotated cell types, is reported with the units not detected (n), low (l), medium (m) and high (h). Underneath, protein expression in each annotated cell type are reported using the same units.

Protein expression data is based on knowledge-based annotation. For genes where more than one antibody has been used, a collective score is set.

If knowledge-based annotation could not be performed for a gene, no data is displayed here. View antibody staining data further down this page.

h
m
l
n
Glandular cells: High
RNA expressioni

A summary of mRNA expression data available for current tissue based on several datasets. The mRNA expression levels in human tissues are based on RNA-seq data generated by the Human Protein Atlas (HPA), Genotype-Tissue Expression (GTEx) portal and CAGE data generated by the FANTOM5 consortium. Consensus normalized expression levels for human tissues was created by combining the data from HPA and GTEx datasets.

The mRNA expression levels in pig are based on RNA-seq data generated by the Human Protein Atlas (HPA), and for mouse, HPA data and in situ hybridization generated by the Allen brain atlas are reported.

Scroll down to view mRNA expression data in more detail.
Consensus:219.7 nTPM
HPA:219.7 nTPM
GTEx:193.3 nTPM
FANTOM5:177.2 Scaled Tags Per Million

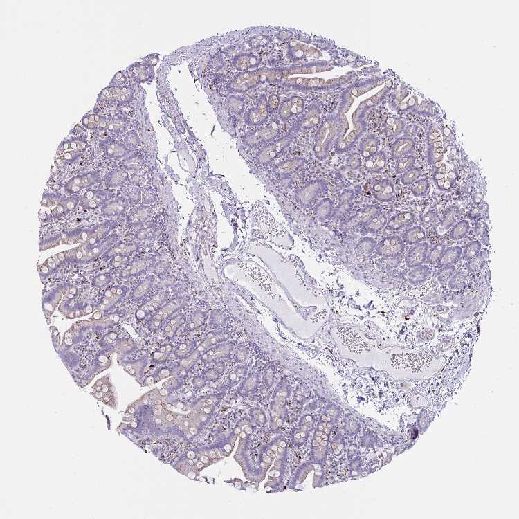
SMALL INTESTINE - Antibody stainingi

Antibody staining in the annotated cell types in the current human tissue is reported as not detected, low, medium, or high, based on conventional immunohistochemistry profiling in selected tissues. This score is based on the combination of the staining intensity and fraction of stained cells.

Each image is clickable and will lead to virtual microscopy that enables deeper exploration of all samples and also displays staining intensity scores, fraction scores and subcellular localization as well as patient and tissue information for each sample.

Antibody HPA049876Antibody HPA053504Antibody CAB025114
Glandular cells MediumHighHigh







SMALL INTESTINE - HPA RNA-seqi

The RNA-seq details section shows detailed information about the individual samples used for the transcript profiling and results of the RNA-seq analysis.

Information about each individual sample is listed below, including gender, age, a tissue section image and estimated fractions of cell types. nTPM (normalized transcripts per million) values give a quantification of the gene abundance which is comparable between different genes and samples.
Average nTPMi

Max subtype nTPM is the value for the subtype with the largest average nTPM across the subtype samples.

219.7
overview
Male, age 65
Small intestine sample 232
nTPM: 237.6
Cell types%
Glandular cells:
55

Smooth muscle cells:
5

Other cell types:
40

overview
Male, age 39
Small intestine sample 233
nTPM: 231.1
Cell types%
Glandular cells:
40

Smooth muscle cells:
5

Other cell types:
55

overview
Male, age 68
Small intestine sample 234
nTPM: 189.3
Cell types%
Glandular cells:
30

Smooth muscle cells:
15

Other cell types:
55

N/A
Male, age 85
Small intestine sample 235
nTPM: 221

SMALL INTESTINE - GTEx RNA-seqi

RNA-Seq data generated by the Genotype-Tissue Expression (GTEx) project from human tissues is reported as mean nTPM. More information can be found on the GTEx portal.

Distribution across the dataset is visualized with box plots, shown as median and 25th and 75th percentiles. Points are displayed as outliers if they are above or below 1.5 times the interquartile range. nTPM values of the individual samples are presented next to the box plot.
Max subtype nTPMi

Max subtype nTPM is the value for the subtype with the largest average nTPM across the subtype samples.

193.3
GTEx sample id Sample description nTPM
Small Intestine - Terminal Ileum
Average nTPM: 193.3
Samples: 187

Max nTPM: 441.6
Min nTPM: 84.5
Std nTPM: 71.9
Median nTPM: 186.9
GTEX-YFCO-1326-SM-664NV 40-49 years, male 441.6
GTEX-111YS-1426-SM-5GID8 60-69 years, male 440.1
GTEX-ZPCL-1726-SM-57WEO 60-69 years, female 382.2
GTEX-14PJ6-1726-SM-6AJBN 60-69 years, female 381.9
GTEX-13D11-0726-SM-5LZZB 50-59 years, female 353.8
GTEX-13FTW-2026-SM-5IJE2 40-49 years, male 342.1
GTEX-ZDTT-1726-SM-5HL69 60-69 years, male 340.1
GTEX-14PK6-1626-SM-6871I 70-79 years, female 330.7
GTEX-WY7C-1826-SM-4ONCE 50-59 years, male 328.5
GTEX-11DXX-1626-SM-5H11H 60-69 years, female 323.7
GTEX-YB5E-1526-SM-5IFIE 40-49 years, male 323.0
GTEX-ZLV1-1126-SM-4WWBW 60-69 years, female 312.9
GTEX-14DAR-1426-SM-5RQIR 50-59 years, male 309.2
GTEX-1399S-2026-SM-5KM4B 30-39 years, female 307.6
GTEX-1122O-1326-SM-5H11F 60-69 years, female 300.0
GTEX-ZLWG-1626-SM-DNZZ1 50-59 years, female 298.0
GTEX-YEC4-1726-SM-4W21E 40-49 years, male 297.6
GTEX-ZZ64-0526-SM-5GZXM 20-29 years, male 295.8
GTEX-ZTSS-0926-SM-59865 40-49 years, male 294.2
GTEX-1NSGN-2126-SM-DPRYN 50-59 years, male 293.6
GTEX-1J8Q3-2526-SM-CNNQ4 60-69 years, male 290.0
GTEX-YF7O-1826-SM-5IFIU 50-59 years, male 289.5
GTEX-14XAO-1926-SM-6ETZO 60-69 years, female 285.9
GTEX-1CAMR-0826-SM-7MKFK 20-29 years, male 282.4
GTEX-ZYFG-2026-SM-5E43Y 60-69 years, female 277.4
GTEX-1AMFI-1926-SM-731F2 50-59 years, female 273.2
GTEX-VJYA-0926-SM-4KL1N 60-69 years, male 272.1
GTEX-ZVZP-1826-SM-5GZXB 50-59 years, male 270.4
GTEX-1B8KE-1726-SM-7IGMN 50-59 years, male 270.0
GTEX-11EQ9-1326-SM-5985X 30-39 years, male 268.7
GTEX-1GMR2-1026-SM-7MKHJ 50-59 years, male 268.0
GTEX-16MTA-1526-SM-6LPJB 50-59 years, male 265.1
GTEX-11NSD-1726-SM-5N9C3 20-29 years, male 263.5
GTEX-11I78-1126-SM-5A5K5 50-59 years, female 263.2
GTEX-XGQ4-1326-SM-4GIDU 50-59 years, male 258.9
GTEX-XXEK-1026-SM-4BRUW 50-59 years, male 258.1
GTEX-ZF29-1626-SM-4WKFJ 60-69 years, female 253.0
GTEX-14E6E-1626-SM-5RQI7 30-39 years, male 252.8
GTEX-15G1A-1726-SM-6LPI4 30-39 years, male 252.7
GTEX-ZEX8-1826-SM-57WBH 50-59 years, male 252.3
GTEX-ZTX8-0526-SM-59HLD 20-29 years, male 244.9
GTEX-145LT-1026-SM-5LU9O 40-49 years, male 240.8
GTEX-14PKU-1626-SM-6871C 40-49 years, female 239.7
GTEX-14PJN-0826-SM-686ZL 30-39 years, male 239.6
GTEX-1QP2A-2426-SM-EXOJA 50-59 years, male 239.3
GTEX-ZA64-1226-SM-5HL7B 20-29 years, male 238.0
GTEX-11P82-0826-SM-5P9GU 20-29 years, male 236.8
GTEX-X5EB-1626-SM-4E3IV 40-49 years, male 236.6
GTEX-ZVP2-1726-SM-5GU5P 50-59 years, male 235.5
GTEX-XUZC-1426-SM-4BRV3 30-39 years, female 234.7
GTEX-14PN3-2026-SM-68729 60-69 years, female 233.0
GTEX-ZG7Y-1926-SM-DNZZ5 50-59 years, male 232.7
GTEX-Y9LG-1626-SM-5IFHM 30-39 years, male 227.1
GTEX-17MFQ-1026-SM-7KFSZ 20-29 years, male 226.8
GTEX-1CB4F-1826-SM-7MGXI 60-69 years, male 226.4
GTEX-WFJO-0926-SM-4LVM2 30-39 years, male 226.0
GTEX-1JN76-1126-SM-C1YRL 20-29 years, female 225.6
GTEX-WQUQ-2426-SM-4MVNW 60-69 years, male 225.2
GTEX-133LE-1426-SM-5IFH1 20-29 years, female 224.8
GTEX-13PL7-2626-SM-5IFH4 60-69 years, female 224.6
GTEX-16AAH-1426-SM-7KFTR 50-59 years, male 222.7
GTEX-ZVT2-2126-SM-5NQ93 50-59 years, female 218.0
GTEX-Z9EW-0926-SM-5CVMM 40-49 years, male 217.5
GTEX-1R7EU-1326-SM-E6CQ6 60-69 years, male 215.5
GTEX-X15G-1426-SM-4PQZK 50-59 years, female 211.8
GTEX-13FH7-1226-SM-5IJFK 50-59 years, female 210.7
GTEX-1PIEJ-1526-SM-E6CP8 20-29 years, female 210.0
GTEX-1R9K5-2026-SM-E6CPS 50-59 years, male 208.1
GTEX-131XF-1326-SM-5GCMQ 60-69 years, male 207.3
GTEX-144GM-1026-SM-79OKU 20-29 years, male 207.3
GTEX-VUSG-1726-SM-4KKZL 50-59 years, male 207.0
GTEX-183FY-1626-SM-793D8 20-29 years, male 206.1
GTEX-11XUK-1426-SM-5EQMG 40-49 years, female 204.9
GTEX-1H11D-2526-SM-9JGGU 40-49 years, male 204.7
GTEX-1OJC3-1626-SM-E9U65 20-29 years, male 203.9
GTEX-ZXES-1526-SM-5NQ95 30-39 years, female 202.4
GTEX-1IKOE-1926-SM-ARU7V 30-39 years, female 201.1
GTEX-1GL5R-2026-SM-7MKHP 50-59 years, male 197.9
GTEX-XBED-1426-SM-4AT4G 60-69 years, male 196.9
GTEX-16A39-1426-SM-6LLI6 30-39 years, female 195.8
GTEX-11VI4-1626-SM-5EQKO 40-49 years, female 194.2
GTEX-XAJ8-0526-SM-47JYK 40-49 years, male 193.9
GTEX-1MGNQ-2326-SM-EV7BG 40-49 years, male 193.8
GTEX-13113-1226-SM-5EGHT 60-69 years, female 193.7
GTEX-14BMU-1426-SM-5TDE5 20-29 years, female 192.7
GTEX-1C475-1426-SM-793CH 40-49 years, female 191.3
GTEX-139YR-2226-SM-5IFFW 50-59 years, male 190.2
GTEX-1KXAM-2026-SM-DHXKI 60-69 years, male 190.0
GTEX-1399R-2026-SM-5K7WN 30-39 years, male 189.8
GTEX-WRHK-1026-SM-4MVOD 20-29 years, female 189.2
GTEX-1RAZA-1826-SM-DTXA2 20-29 years, male 187.8
GTEX-11DXZ-1326-SM-5H11X 50-59 years, male 187.7
GTEX-1LBAC-1526-SM-CXZKU 20-29 years, male 187.4
GTEX-13X6H-1826-SM-7EWCZ 50-59 years, female 186.9
GTEX-ZTPG-2626-SM-57WFX 20-29 years, female 185.3
GTEX-1QPFJ-2626-SM-DPRZU 30-39 years, female 184.7
GTEX-18A66-2526-SM-7KFTZ 60-69 years, male 184.5
GTEX-12BJ1-1926-SM-5HL9Z 60-69 years, male 181.3
GTEX-13O61-1326-SM-5KM31 60-69 years, male 178.7
GTEX-1RAZR-1826-SM-E6CRE 40-49 years, male 178.7
GTEX-WH7G-1626-SM-4LVMY 40-49 years, male 178.0
GTEX-1H1DE-1426-SM-9JGHV 20-29 years, male 177.0
GTEX-WHSB-1026-SM-4M1XN 50-59 years, male 175.5
GTEX-1AX8Z-2526-SM-731E3 60-69 years, male 174.9
GTEX-1HSMQ-2226-SM-C1YRD 50-59 years, male 174.1
GTEX-18QFQ-1626-SM-72D7H 30-39 years, male 173.3
GTEX-11P7K-1626-SM-5GU63 30-39 years, male 171.4
GTEX-ZPIC-2326-SM-57WDW 40-49 years, female 170.9
GTEX-1J8QM-1026-SM-C1YQA 60-69 years, female 169.5
GTEX-139T6-1026-SM-5IJGC 50-59 years, male 167.6
GTEX-14PKV-2026-SM-6AJ9A 20-29 years, female 167.5
GTEX-1C64O-2526-SM-79ONO 60-69 years, male 166.9
GTEX-1RAZQ-2226-SM-DPRZR 30-39 years, male 165.4
GTEX-1PDJ9-1826-SM-E9U66 20-29 years, male 162.9
GTEX-Y5LM-1626-SM-4VDTB 40-49 years, female 161.6
GTEX-1EMGI-2826-SM-7IGMR 60-69 years, male 161.4
GTEX-1399U-2126-SM-5IFEZ 50-59 years, female 159.6
GTEX-1QP28-1726-SM-E6CRK 50-59 years, female 156.3
GTEX-ZLFU-1526-SM-4WWBT 40-49 years, male 155.8
GTEX-1192X-2526-SM-59868 50-59 years, male 155.6
GTEX-UPK5-2026-SM-4JBIM 40-49 years, male 155.2
GTEX-1K9T9-2726-SM-D4P3E 50-59 years, female 153.3
GTEX-ZQG8-2526-SM-57WEQ 60-69 years, female 152.6
GTEX-13CF3-1226-SM-5LZXN 60-69 years, female 151.3
GTEX-1CAMS-2426-SM-7DHMV 40-49 years, female 150.3
GTEX-ZC5H-2326-SM-4WAYT 40-49 years, female 148.4
GTEX-14PJ3-1326-SM-664O7 50-59 years, male 143.6
GTEX-XMK1-1826-SM-4B66F 40-49 years, male 143.0
GTEX-11TUW-1926-SM-5BC58 60-69 years, male 142.6
GTEX-WFG8-1626-SM-4LVMB 20-29 years, male 141.1
GTEX-Y3IK-1726-SM-4YCCR 50-59 years, female 140.9
GTEX-131XG-1726-SM-5LZUR 50-59 years, female 140.4
GTEX-1B8KZ-1126-SM-7IGLX 50-59 years, male 140.4
GTEX-13W3W-2026-SM-5K7UL 60-69 years, female 139.5
GTEX-1QW4Y-1226-SM-EWRMY 30-39 years, male 136.2
GTEX-13O21-1026-SM-5IJDU 50-59 years, male 135.4
GTEX-13RTK-0826-SM-5Q5C6 20-29 years, male 135.4
GTEX-17HHE-1726-SM-79OKT 50-59 years, male 135.4
GTEX-1F75I-2526-SM-9WPOZ 40-49 years, male 134.8
GTEX-1MUQO-2426-SM-EAZ5A 60-69 years, male 134.4
GTEX-145ME-0926-SM-5O9AR 40-49 years, female 133.9
GTEX-1LGOU-1426-SM-D3L8N 20-29 years, female 132.8
GTEX-Y114-1426-SM-4TT6W 50-59 years, female 132.6
GTEX-ZF2S-1726-SM-57WFT 50-59 years, female 130.7
GTEX-1R7EV-1226-SM-DTX82 40-49 years, male 127.8
GTEX-Y5V5-1826-SM-4VDS5 60-69 years, female 127.2
GTEX-1L5NE-1826-SM-EV79T 50-59 years, male 126.9
GTEX-1GMR3-2726-SM-7MKFB 40-49 years, male 126.4
GTEX-111CU-1326-SM-5NQ8L 50-59 years, male 124.8
GTEX-ZP4G-1626-SM-57WGD 20-29 years, female 124.6
GTEX-13NYB-1826-SM-5J1N3 40-49 years, male 120.6
GTEX-15EU6-1826-SM-7PC1W 50-59 years, male 120.2
GTEX-1S5ZA-1326-SM-EV7BB 20-29 years, male 120.2
GTEX-1OKEX-1126-SM-DTXEB 60-69 years, male 119.7
GTEX-WEY5-1526-SM-4LMJF 40-49 years, female 119.2
GTEX-1R9PM-1626-SM-DPRY9 20-29 years, male 118.2
GTEX-WYJK-1526-SM-4ONCW 50-59 years, male 117.9
GTEX-1BAJH-2526-SM-7IGOT 70-79 years, male 117.6
GTEX-ZAB5-1526-SM-5HL9P 50-59 years, male 117.6
GTEX-Y111-2226-SM-4SOJB 50-59 years, male 116.4
GTEX-WFG7-1726-SM-4LVME 20-29 years, male 116.0
GTEX-1R9K4-2326-SM-E6CRB 60-69 years, male 115.7
GTEX-1R9JW-1926-SM-EVR4J 30-39 years, female 114.8
GTEX-117YX-0326-SM-5GICL 50-59 years, male 114.7
GTEX-1JJE9-2226-SM-CXZJM 70-79 years, male 114.5
GTEX-1JK1U-1226-SM-CNNPN 60-69 years, male 113.7
GTEX-13OVI-1926-SM-5IJCG 60-69 years, female 112.3
GTEX-1JMQK-2426-SM-CXZJU 60-69 years, male 111.6
GTEX-15DZA-0826-SM-6AJBF 30-39 years, female 111.3
GTEX-148VJ-2226-SM-5NQ9M 70-79 years, male 109.2
GTEX-13QBU-1926-SM-5IJEW 40-49 years, female 108.5
GTEX-11LCK-1926-SM-5A5KE 30-39 years, male 108.3
GTEX-WFON-1526-SM-4LVMP 40-49 years, male 108.3
GTEX-Y3I4-1326-SM-4TT8Z 50-59 years, male 107.1
GTEX-13111-1426-SM-5DUW3 50-59 years, male 105.6
GTEX-1QCLZ-2126-SM-EWRNC 60-69 years, female 102.4
GTEX-XPVG-1726-SM-4B65W 50-59 years, male 101.8
GTEX-17KNJ-1626-SM-718AL 50-59 years, male 101.4
GTEX-1LH75-1926-SM-DIPGD 50-59 years, female 100.6
GTEX-12WSK-1526-SM-5CVNO 40-49 years, female 100.2
GTEX-1497J-1926-SM-5TDCC 60-69 years, male 100.2
GTEX-131XE-0926-SM-5HL7J 50-59 years, male 100.1
GTEX-1I1GT-1826-SM-ARZLW 60-69 years, female 99.9
GTEX-1S82Z-1826-SM-E9TIK 30-39 years, female 94.5
GTEX-14C39-1826-SM-5ZZW4 40-49 years, male 93.2
GTEX-ZQUD-0926-SM-57WE3 30-39 years, male 85.6
GTEX-16NGA-1126-SM-7KFSY 40-49 years, female 84.5
Show allShow less

SMALL INTESTINE - FANTOM5 CAGEi

RNA expression in human tissues obtained through Cap Analysis of Gene Expression (CAGE) generated by the FANTOM5 project are reported as Scaled Tags Per Million.

Max subtype Scaled Tags Per Millioni

Max subtype Scaled Tags Per Million is the value for the subtype with the largest average Scaled Tags Per Million across the subtype samples.

177.2
FANTOM5 sample id Sample description Scaled Tags Per Million
Small intestine
Scaled Tags Per Million: 177.2
FF:10024-101D6 15,40,85 years, mixed 177.2

Contact

  • NEWS ARTICLES
  • PRESS ROOM

The Project

  • INTRODUCTION
  • ORGANIZATION
  • PUBLICATIONS

The Human Protein Atlas

  • DOWNLOADABLE DATA
  • LICENCE & CITATION
  • HELP & FAQ
The Human Protein Atlas project is funded
by the Knut & Alice Wallenberg Foundation.


contact@proteinatlas.org