We use cookies to enhance the usability of our website. If you continue, we'll assume that you are happy to receive all cookies. More information. Don't show this again.
TIMP1
HPA
RESOURCES
  • TISSUE
  • BRAIN
  • SINGLE CELL
  • SUBCELLULAR
  • CANCER
  • BLOOD
  • CELL LINE
  • STRUCTURE & INTERACTION
ABOUT
  • INTRODUCTION
  • HISTORY
  • ORGANIZATION
  • PUBLICATIONS
  • ANTIBODY SUBMISSION
  • ANTIBODY AVAILABILITY
  • ACKNOWLEDGMENTS
  • CONTACT
NEWS
  • NEWS ARTICLES
  • PRESS ROOM
LEARN
  • DICTIONARY
  • PROTEIN CLASSES
  • PROTEIN EVIDENCE
  • METHODS
  • EDUCATIONAL VIDEOS
DATA
  • DOWNLOADABLE DATA
  • PUBLICATION DATA
  • RELEASE HISTORY
HELP
  • ANTIBODY VALIDATION
  • ASSAYS & ANNOTATION
  • DISCLAIMER
  • HELP & FAQ
  • PRIVACY STATEMENT
  • LICENCE & CITATION
Fields »
Search result

Field
Term
Gene name
Class
Subclass
Class
Keyword
Chromosome
External id
Tissue
Cell type
Expression
Antibody panel
Tissue
Main location
Patient ID
Annotation
Tissue
Category
Tau score
Cluster
Reliability
Brain region
Category
Tau score
Brain region
Category
Tau score
Brain region
Category
Tau score
Cluster
Reliability
Tissue
Cell type
Enrichment
Cell type
Category
Tau score
Cell type
Category
Tau score
Cell type
Category
Tau score
Cell lineage
Category
Tau score
Cluster
Cluster
Location
Searches
Location
Cell line
Class
Type
Phase
Reliability
Cancer
Prognosis
Cancer
Category
Cancer
Category
Tau score
Cluster
Variants
Interacting gene (ensg_id)
Type
Number of interactions
Pathway
Category
Score
Score
Score
Validation
Validation
Validation
Validation
Antibodies
Data type
Column


  • SUMMARY

  • TISSUE

  • BRAIN

  • SINGLE CELL

  • SUBCELL

  • CANCER

  • BLOOD

  • CELL LINE

  • STRUCT & INT

  • TIMP1
TISSUE PRIMARY DATA ESOPHAGUS Show tissue menu
ADIPOSE TISSUE ADRENAL GLAND AMYGDALA APPENDIX BASAL GANGLIA BONE MARROW BREAST BRONCHUS CEREBELLUM CEREBRAL CORTEX CERVIX CHOROID PLEXUS COLON DUODENUM
ENDOMETRIUM EPIDIDYMIS ESOPHAGUS FALLOPIAN TUBE GALLBLADDER HEART MUSCLE HIPPOCAMPAL FORMATION HYPOTHALAMUS KIDNEY LIVER LUNG LYMPH NODE MIDBRAIN NASOPHARYNX
ORAL MUCOSA OVARY PANCREAS PARATHYROID GLAND PITUITARY GLAND PLACENTA PROSTATE RECTUM RETINA SALIVARY GLAND SEMINAL VESICLE SKELETAL MUSCLE SKIN SMALL INTESTINE
SMOOTH MUSCLE SOFT TISSUE SPINAL CORD SPLEEN STOMACH TESTIS THYMUS THYROID GLAND TONGUE TONSIL URINARY BLADDER VAGINA
ANTIBODIES
AND
VALIDATION
Dictionary
Esophagus
Tissue proteome
Esophagus
ESOPHAGUS - Expression summary
Protein expression
Esophagusi

On the top, protein expression in current human tissue, based on all annotated cell types, is reported with the units not detected (n), low (l), medium (m) and high (h). Underneath, protein expression in each annotated cell type are reported using the same units.

Protein expression data is based on knowledge-based annotation. For genes where more than one antibody has been used, a collective score is set.

If knowledge-based annotation could not be performed for a gene, no data is displayed here. View antibody staining data further down this page.

h
m
l
n
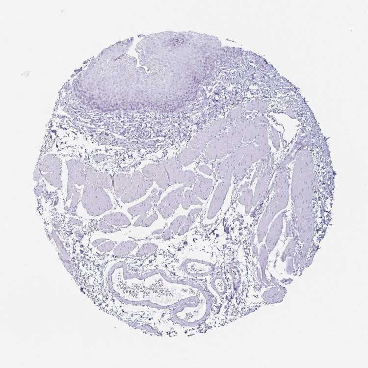
Squamous epithelial cells: Not detected
RNA expressioni

A summary of mRNA expression data available for current tissue based on several datasets. The mRNA expression levels in human tissues are based on RNA-seq data generated by the Human Protein Atlas (HPA), Genotype-Tissue Expression (GTEx) portal and CAGE data generated by the FANTOM5 consortium. Consensus normalized expression levels for human tissues was created by combining the data from HPA and GTEx datasets.

The mRNA expression levels in pig are based on RNA-seq data generated by the Human Protein Atlas (HPA), and for mouse, HPA data and in situ hybridization generated by the Allen brain atlas are reported.

Scroll down to view mRNA expression data in more detail.
Consensus:127.1 nTPM
HPA:101.0 nTPM
GTEx:127.1 nTPM
FANTOM5:272.9 Scaled Tags Per Million

ESOPHAGUS - Antibody stainingi

Antibody staining in the annotated cell types in the current human tissue is reported as not detected, low, medium, or high, based on conventional immunohistochemistry profiling in selected tissues. This score is based on the combination of the staining intensity and fraction of stained cells.

Each image is clickable and will lead to virtual microscopy that enables deeper exploration of all samples and also displays staining intensity scores, fraction scores and subcellular localization as well as patient and tissue information for each sample.

Antibody HPA053417Antibody CAB022360
Squamous epithelial cells Not detectedNot detected





ESOPHAGUS - HPA RNA-seqi

The RNA-seq details section shows detailed information about the individual samples used for the transcript profiling and results of the RNA-seq analysis.

Information about each individual sample is listed below, including gender, age, a tissue section image and estimated fractions of cell types. nTPM (normalized transcripts per million) values give a quantification of the gene abundance which is comparable between different genes and samples.
Average nTPMi

Max subtype nTPM is the value for the subtype with the largest average nTPM across the subtype samples.

101.0
overview
Female, age 70
Esophagus sample 130
nTPM: 119
Cell types%
Squamous epithelial cells:
35

Smooth muscle cells:
15

Skeletal muscle cells:
5

Other cell types:
45

overview
Male, age 38
Esophagus sample 131
nTPM: 120.3
Cell types%
Squamous epithelial cells:
60

Smooth muscle cells:
20

Other cell types:
20

overview
Male, age 76
Esophagus sample 132
nTPM: 63.8
Cell types%
Squamous epithelial cells:
45

Smooth muscle cells:
15

Other cell types:
40


ESOPHAGUS - GTEx RNA-seqi

RNA-Seq data generated by the Genotype-Tissue Expression (GTEx) project from human tissues is reported as mean nTPM. More information can be found on the GTEx portal.

Distribution across the dataset is visualized with box plots, shown as median and 25th and 75th percentiles. Points are displayed as outliers if they are above or below 1.5 times the interquartile range. nTPM values of the individual samples are presented next to the box plot.
Max subtype nTPMi

Max subtype nTPM is the value for the subtype with the largest average nTPM across the subtype samples.

127.1
GTEx sample id Sample description nTPM
Esophagus - Mucosa
Average nTPM: 127.1
Samples: 555

Max nTPM: 1991.4
Min nTPM: 19.5
Std nTPM: 177.4
Median nTPM: 77.1
GTEX-1H3VY-2026-SM-9JGHK 50-59 years, male 1991.4
GTEX-17F9E-1926-SM-7IGQF 50-59 years, male 1549.5
GTEX-13X6I-1026-SM-5LU4C 60-69 years, male 1282.5
GTEX-WHWD-0926-SM-4OORY 50-59 years, male 1142.9
GTEX-RUSQ-0826-SM-47JWW 50-59 years, male 1097.2
GTEX-13JVG-2026-SM-5KM1N 60-69 years, male 1080.4
GTEX-1C6VQ-1826-SM-7EWEH 50-59 years, male 1036.4
GTEX-1I1GP-1026-SM-C1YRZ 50-59 years, male 965.5
GTEX-1JMQK-2026-SM-C1YQN 60-69 years, male 903.2
GTEX-1JK1U-1726-SM-CNNPM 60-69 years, male 736.8
GTEX-15EOM-5013-SM-7MKF9 20-29 years, female 699.2
GTEX-144GO-2726-SM-5O9A2 60-69 years, male 664.5
GTEX-XMK1-1326-SM-4B65Q 40-49 years, male 657.0
GTEX-U8XE-1726-SM-4E3IF 30-39 years, male 621.3
GTEX-14PJ6-1026-SM-686ZB 60-69 years, female 617.8
GTEX-1M5QR-0726-SM-DHXK7 40-49 years, male 583.5
GTEX-12WSN-5013-SM-7P8P9 40-49 years, male 559.7
GTEX-15RJ7-0926-SM-6LPJO 40-49 years, male 533.0
GTEX-RM2N-0726-SM-48FD5 50-59 years, male 486.2
GTEX-1HCU7-2126-SM-A96SG 50-59 years, male 447.6
GTEX-1I6K7-1426-SM-B2LXP 40-49 years, male 427.6
GTEX-1AX8Z-5016-SM-AHZ2B 60-69 years, male 426.1
GTEX-15UF6-2326-SM-6M465 70-79 years, female 411.8
GTEX-REY6-1326-SM-48FDO 60-69 years, male 394.1
GTEX-1QW4Y-0526-SM-EAZ3V 30-39 years, male 390.8
GTEX-16MTA-0826-SM-6LLIC 50-59 years, male 386.9
GTEX-X4LF-0626-SM-4QASB 50-59 years, male 368.3
GTEX-16Z82-1926-SM-6M47U 60-69 years, male 358.8
GTEX-R45C-1226-SM-48FEE 60-69 years, female 353.5
GTEX-11DYG-1326-SM-5N9DO 60-69 years, male 347.7
GTEX-TSE9-1226-SM-4DXTM 60-69 years, female 324.2
GTEX-145ME-5004-SM-7MGXP 40-49 years, female 302.8
GTEX-S3XE-0926-SM-4AD4S 50-59 years, male 299.8
GTEX-17F97-1326-SM-7MGVO 50-59 years, male 288.4
GTEX-13O61-0926-SM-5IFFE 60-69 years, male 281.1
GTEX-14PK6-1326-SM-686ZE 70-79 years, female 279.8
GTEX-QEG5-1426-SM-447AS 20-29 years, male 279.1
GTEX-15DCD-1626-SM-6AJBH 70-79 years, female 273.6
GTEX-TMMY-1126-SM-4DXSX 40-49 years, female 273.0
GTEX-ZV68-0926-SM-59HK7 50-59 years, female 272.3
GTEX-12WSG-5007-SM-7DUGZ 50-59 years, female 271.0
GTEX-1I1GV-2226-SM-ARU7E 60-69 years, male 269.0
GTEX-1F52S-1426-SM-7P8PU 60-69 years, female 259.9
GTEX-ZY6K-0626-SM-59HJL 50-59 years, male 258.6
GTEX-ZYFC-1626-SM-5N9EU 50-59 years, male 246.7
GTEX-11TT1-0526-SM-5P9JO 20-29 years, male 245.0
GTEX-13CF3-1626-SM-5IFG9 60-69 years, female 244.5
GTEX-N7MS-1225-SM-3LK5G 60-69 years, male 241.8
GTEX-ZTX8-0226-SM-5E44D 20-29 years, male 239.5
GTEX-15DCE-1326-SM-6LPJL 20-29 years, male 238.1
GTEX-1GMR8-1826-SM-9WYUE 50-59 years, female 236.4
GTEX-T5JW-1326-SM-4DM5G 20-29 years, female 234.7
GTEX-SUCS-0726-SM-4DM7J 70-79 years, male 231.4
GTEX-ZT9X-0526-SM-5GCOP 40-49 years, male 231.4
GTEX-13PVQ-1726-SM-5IFF3 50-59 years, male 230.7
GTEX-13SLX-1726-SM-5Q5E5 50-59 years, female 230.2
GTEX-1QP29-2126-SM-E6CPZ 50-59 years, male 226.7
GTEX-13NYB-0926-SM-5IFFA 40-49 years, male 225.6
GTEX-14BIM-1326-SM-7EWD1 60-69 years, female 224.4
GTEX-11TUW-1326-SM-5EQKV 60-69 years, male 220.0
GTEX-146FH-1726-SM-5QGQ2 50-59 years, female 218.8
GTEX-14BIN-2726-SM-5RQIE 50-59 years, female 217.2
GTEX-1LVA9-2126-SM-DLHBY 50-59 years, male 215.2
GTEX-1R7EU-0826-SM-DPRZL 60-69 years, male 214.9
GTEX-SNOS-0626-SM-4DM5F 40-49 years, male 214.2
GTEX-12WSL-1526-SM-5GCP8 50-59 years, male 214.1
GTEX-X585-1226-SM-46MW7 50-59 years, male 213.3
GTEX-1CB4J-2426-SM-7MXVC 60-69 years, male 209.7
GTEX-14A6H-1326-SM-5NQBC 30-39 years, male 208.0
GTEX-17KNJ-1326-SM-7KFTG 50-59 years, male 205.5
GTEX-1JMLX-2326-SM-CXZJP 50-59 years, male 203.3
GTEX-1F7RK-1526-SM-7P8T6 20-29 years, female 201.2
GTEX-12ZZX-1326-SM-5DUWI 40-49 years, female 200.9
GTEX-13G51-0926-SM-5IFFU 60-69 years, male 193.9
GTEX-1I1GU-1426-SM-B2LX3 40-49 years, male 193.0
GTEX-132AR-2226-SM-5J2NT 50-59 years, female 192.9
GTEX-1BAJH-2026-SM-7P8OZ 70-79 years, male 188.2
GTEX-QDVJ-0726-SM-48U1W 50-59 years, male 184.8
GTEX-ZQUD-0426-SM-57WFR 30-39 years, male 183.3
GTEX-14C38-2126-SM-5RQJO 50-59 years, male 183.1
GTEX-145LS-1826-SM-5LUAZ 60-69 years, female 180.7
GTEX-117YW-1926-SM-5H121 50-59 years, male 178.7
GTEX-145MF-1426-SM-5O9B6 50-59 years, male 176.3
GTEX-ZAB5-0926-SM-5CVMV 50-59 years, male 176.1
GTEX-QLQ7-0926-SM-447BC 60-69 years, male 175.7
GTEX-183WM-1726-SM-7KFT5 70-79 years, female 174.9
GTEX-1GF9U-0826-SM-7MXTZ 40-49 years, female 172.3
GTEX-15EU6-1626-SM-6LPKF 50-59 years, male 170.6
GTEX-16XZY-0926-SM-7938M 70-79 years, male 170.3
GTEX-Y3I4-1226-SM-4TT8N 50-59 years, male 169.5
GTEX-1QEPI-1826-SM-EAZ3J 60-69 years, female 168.6
GTEX-ZTPG-1626-SM-5DUX2 20-29 years, female 168.0
GTEX-14BMU-0926-SM-5S2QB 20-29 years, female 165.3
GTEX-15EO6-1026-SM-7KUG9 50-59 years, male 162.8
GTEX-N7MT-0326-SM-48TDP 60-69 years, female 162.2
GTEX-17HGU-1426-SM-7938G 50-59 years, male 161.6
GTEX-148VI-1026-SM-5TDDJ 60-69 years, female 161.0
GTEX-1GN73-1926-SM-9JGGS 60-69 years, male 160.2
GTEX-R55D-1126-SM-48FEB 50-59 years, male 158.7
GTEX-1F5PL-1726-SM-9QEGL 40-49 years, female 158.5
GTEX-1269C-1026-SM-5N9EY 60-69 years, female 158.1
GTEX-13OVJ-1226-SM-5L3HA 50-59 years, female 156.9
GTEX-OXRL-0626-SM-3NM9C 50-59 years, male 156.8
GTEX-1IDFM-1126-SM-A96SY 60-69 years, male 156.0
GTEX-XXEK-0326-SM-4BRVV 50-59 years, male 153.3
GTEX-WHSE-1526-SM-4M1XH 20-29 years, male 153.2
GTEX-11DZ1-2026-SM-5A5KG 50-59 years, male 151.8
GTEX-1C475-0926-SM-7MKFI 40-49 years, female 150.4
GTEX-ZPU1-1426-SM-4WWFU 40-49 years, male 148.5
GTEX-WH7G-0926-SM-4LVMJ 40-49 years, male 148.2
GTEX-1LSNL-2226-SM-DHXKM 50-59 years, male 146.8
GTEX-ZAJG-1326-SM-5S2NV 50-59 years, female 146.3
GTEX-SJXC-1426-SM-EYYVB 60-69 years, male 145.6
GTEX-1GPI7-1026-SM-7MGY2 20-29 years, male 145.3
GTEX-1MJIX-0826-SM-DTXEO 40-49 years, male 143.7
GTEX-11LCK-1726-SM-5S2OQ 30-39 years, male 142.3
GTEX-18A66-1426-SM-7KFRT 60-69 years, male 141.6
GTEX-133LE-0626-SM-5IFFJ 20-29 years, female 140.0
GTEX-144GM-1426-SM-5LU31 20-29 years, male 139.7
GTEX-13QJ3-1726-SM-5RQK9 50-59 years, male 139.5
GTEX-QESD-0826-SM-47J4G 20-29 years, male 139.2
GTEX-X4XY-1726-SM-46MVO 60-69 years, male 139.0
GTEX-ZYVF-2226-SM-5GIDD 50-59 years, female 138.4
GTEX-12ZZW-1726-SM-5DUVD 50-59 years, male 138.3
GTEX-XYKS-1526-SM-4BRUP 60-69 years, female 138.3
GTEX-1LVAM-1126-SM-DHXKP 50-59 years, female 137.8
GTEX-NPJ8-1926-SM-3MJGB 40-49 years, male 134.3
GTEX-S32W-0926-SM-4AD5X 50-59 years, female 133.9
GTEX-XV7Q-1126-SM-4BRVS 40-49 years, female 133.2
GTEX-1HCU6-1326-SM-A96TZ 60-69 years, female 133.0
GTEX-QDVN-1026-SM-48TZA 50-59 years, male 132.8
GTEX-17HII-1526-SM-9OSVD 50-59 years, male 132.6
GTEX-1R9K4-1926-SM-DPRZW 60-69 years, male 131.6
GTEX-139UW-1126-SM-5IJEJ 60-69 years, male 130.6
GTEX-P4QS-0626-SM-3NMD1 60-69 years, male 129.7
GTEX-1K9T9-2026-SM-CXZK3 50-59 years, female 129.5
GTEX-132QS-1426-SM-5P9GE 60-69 years, male 129.3
GTEX-XLM4-2326-SM-4AT5E 60-69 years, male 128.5
GTEX-OXRN-1726-SM-3NM9B 50-59 years, male 127.6
GTEX-1211K-0926-SM-5FQTL 60-69 years, female 127.5
GTEX-S341-0526-SM-4AD5U 40-49 years, female 127.2
GTEX-ZEX8-1426-SM-4WKHQ 50-59 years, male 126.4
GTEX-1E1VI-1526-SM-7IGQ2 50-59 years, male 125.9
GTEX-1H3NZ-1326-SM-9JGHI 60-69 years, male 125.8
GTEX-1GTWX-1326-SM-9JGHU 60-69 years, male 125.4
GTEX-1HCU8-2226-SM-9WPOV 60-69 years, female 125.1
GTEX-1497J-2726-SM-5SI9W 60-69 years, male 125.0
GTEX-1JMPZ-2026-SM-C1YR8 30-39 years, male 124.8
GTEX-PVOW-1626-SM-48TC9 40-49 years, male 124.3
GTEX-1HBPH-1126-SM-A96TU 40-49 years, female 123.9
GTEX-Q2AH-0826-SM-48TZN 40-49 years, male 123.0
GTEX-131XF-0826-SM-5GICG 60-69 years, male 122.8
GTEX-13OW8-2326-SM-5L3I9 60-69 years, male 122.6
GTEX-13O1R-1326-SM-5IJF5 60-69 years, male 121.4
GTEX-QLQW-0526-SM-4R1KS 30-39 years, male 121.3
GTEX-11GSP-1826-SM-5N9DQ 60-69 years, female 119.6
GTEX-14PJ4-1526-SM-664OA 60-69 years, male 119.1
GTEX-TML8-1526-SM-4DXUX 40-49 years, female 118.2
GTEX-XK95-1026-SM-4GIDV 40-49 years, male 117.9
GTEX-13FH7-0526-SM-5IJF8 50-59 years, female 117.7
GTEX-XGQ4-1526-SM-4AT6H 50-59 years, male 117.6
GTEX-OOBK-0625-SM-3LK5P 40-49 years, male 116.6
GTEX-WVLH-1426-SM-4MVNX 50-59 years, male 116.6
GTEX-SNMC-0526-SM-4DM69 20-29 years, male 116.2
GTEX-1KD4Q-1126-SM-CXZKK 40-49 years, male 116.0
GTEX-RU72-0726-SM-46MUW 50-59 years, female 115.8
GTEX-1JMQJ-1226-SM-D3L97 50-59 years, male 114.0
GTEX-ZAK1-1526-SM-5S2OV 50-59 years, female 113.9
GTEX-ZZPT-1426-SM-5N9C5 50-59 years, male 113.9
GTEX-QEG4-0726-SM-CNNRF 30-39 years, male 113.6
GTEX-1I1CD-1726-SM-A9G3P 60-69 years, female 113.4
GTEX-RVPV-0526-SM-47JYL 60-69 years, male 112.6
GTEX-14E6E-0726-SM-5S2R3 30-39 years, male 112.5
GTEX-1LSVX-1226-SM-DHXJN 60-69 years, male 112.2
GTEX-146FR-0426-SM-5SI97 60-69 years, female 111.8
GTEX-1A32A-1826-SM-72D5G 50-59 years, female 111.5
GTEX-1HBPI-0626-SM-9WPP4 50-59 years, male 111.2
GTEX-WK11-1026-SM-4OOS8 50-59 years, male 110.4
GTEX-SE5C-1226-SM-4BRWV 40-49 years, female 110.3
GTEX-1ICG6-1926-SM-ARU7L 70-79 years, female 109.8
GTEX-16A39-1026-SM-6LPJU 30-39 years, female 109.3
GTEX-1MA7W-0426-SM-E9TJ5 20-29 years, female 108.9
GTEX-1J1OQ-2526-SM-AHZ3Q 40-49 years, female 108.5
GTEX-1PPGY-1726-SM-EVR3S 60-69 years, male 107.9
GTEX-OHPN-1026-SM-E9TI8 60-69 years, female 107.9
GTEX-1KANB-1826-SM-DHXJU 50-59 years, male 107.7
GTEX-1QP9N-0926-SM-E9U5S 30-39 years, male 107.2
GTEX-111YS-0926-SM-5EGGI 60-69 years, male 107.1
GTEX-15SB6-0726-SM-6M48F 50-59 years, female 106.5
GTEX-11EI6-1526-SM-5P9GL 60-69 years, male 105.3
GTEX-WFJO-0826-SM-4LVM5 30-39 years, male 105.2
GTEX-P4PP-0626-SM-3NM9X 30-39 years, female 104.6
GTEX-XMD2-1326-SM-4YCET 60-69 years, female 104.4
GTEX-13FLV-1126-SM-5J2NO 50-59 years, male 104.3
GTEX-11EM3-0826-SM-5N9CC 20-29 years, female 103.7
GTEX-17F98-1726-SM-7938O 40-49 years, female 103.6
GTEX-1LGRB-1626-SM-CNNR7 50-59 years, female 103.2
GTEX-1N2EE-2426-SM-EXOIO 60-69 years, male 103.2
GTEX-1LGOU-0526-SM-D3LAO 20-29 years, female 101.7
GTEX-11DXX-1126-SM-5GZZK 60-69 years, female 101.5
GTEX-ZZ64-0226-SM-5E44X 20-29 years, male 101.4
GTEX-11XUK-0826-SM-5GU6P 40-49 years, female 101.3
GTEX-1HBPM-1426-SM-9WPPE 60-69 years, female 101.2
GTEX-11VI4-0526-SM-5EQ48 40-49 years, female 100.6
GTEX-1EN7A-1226-SM-7MGX9 40-49 years, male 99.6
GTEX-1EKGG-1726-SM-7MXUP 60-69 years, male 99.4
GTEX-145LU-0926-SM-79OJL 50-59 years, male 99.2
GTEX-ZYW4-1326-SM-5E45N 60-69 years, male 98.9
GTEX-1H1DG-1226-SM-9JGH3 70-79 years, male 98.2
GTEX-1OJC3-0826-SM-DPRYU 20-29 years, male 97.9
GTEX-12ZZY-1426-SM-5N9EI 60-69 years, male 97.8
GTEX-15DYW-1826-SM-6LPIY 60-69 years, female 97.4
GTEX-1F88F-1126-SM-7MKHL 60-69 years, female 97.3
GTEX-Q2AG-1326-SM-43V8K 40-49 years, female 97.2
GTEX-R3RS-1326-SM-48FE7 40-49 years, female 97.0
GTEX-ZPCL-1426-SM-57WEC 60-69 years, female 96.6
GTEX-13O21-0626-SM-5IJDI 50-59 years, male 96.4
GTEX-S4Q7-0626-SM-4AD5M 20-29 years, male 95.5
GTEX-OXRP-0926-SM-48TC1 60-69 years, female 95.1
GTEX-T2IS-0826-SM-4DM6L 20-29 years, female 94.8
GTEX-RU1J-0326-SM-46MUM 20-29 years, female 93.7
GTEX-145MN-1026-SM-5NQ9G 30-39 years, male 93.4
GTEX-RTLS-1126-SM-46MUQ 60-69 years, female 93.2
GTEX-146FQ-1026-SM-5LU8I 30-39 years, male 93.1
GTEX-WEY5-0926-SM-4LMI4 40-49 years, female 92.5
GTEX-1JKYR-2126-SM-CNNPC 20-29 years, male 92.2
GTEX-ZDYS-0826-SM-4WWCR 50-59 years, male 91.9
GTEX-X15G-0826-SM-4PQZD 50-59 years, female 91.6
GTEX-1MA7X-0726-SM-EV7AB 60-69 years, male 91.6
GTEX-1HC8U-1526-SM-9WPO4 40-49 years, female 91.2
GTEX-13FHO-1726-SM-DPRZX 60-69 years, male 91.1
GTEX-WFON-0826-SM-4LVMI 40-49 years, male 91.0
GTEX-13FTW-1626-SM-5KM4N 40-49 years, male 90.9
GTEX-Z9EW-0526-SM-5HL8S 40-49 years, male 90.9
GTEX-16NPX-1626-SM-6LLI5 50-59 years, male 90.6
GTEX-1I1GS-2126-SM-ARU7G 60-69 years, male 90.6
GTEX-132Q8-1826-SM-5EGIY 60-69 years, male 90.1
GTEX-18465-1126-SM-7LG6E 50-59 years, male 90.0
GTEX-P4QT-0626-SM-3NMCP 50-59 years, female 89.8
GTEX-1399Q-1126-SM-5P9JA 40-49 years, male 89.7
GTEX-1EU9M-2326-SM-7MKGS 60-69 years, male 89.3
GTEX-15UF7-0926-SM-6M46F 40-49 years, male 88.8
GTEX-S95S-0426-SM-4B64I 60-69 years, male 88.7
GTEX-14PHY-0626-SM-664NN 60-69 years, female 88.4
GTEX-15ETS-1926-SM-7KUN5 40-49 years, female 88.4
GTEX-13O3Q-0826-SM-5IFGF 50-59 years, male 87.2
GTEX-13FHP-1526-SM-5IJGE 50-59 years, male 85.6
GTEX-VUSG-1226-SM-4KKZF 50-59 years, male 84.3
GTEX-XQ3S-1126-SM-4BOPK 20-29 years, male 84.1
GTEX-147F3-0826-SM-5NQA7 50-59 years, female 84.0
GTEX-18A6Q-1226-SM-7KFS9 60-69 years, male 83.5
GTEX-V955-1126-SM-4JBH3 60-69 years, male 82.9
GTEX-145MO-1426-SM-DTX9W 60-69 years, male 82.9
GTEX-T6MO-0526-SM-4DM6R 40-49 years, female 82.8
GTEX-1H23P-1426-SM-9JGH5 60-69 years, male 82.5
GTEX-ZLFU-1126-SM-DO11K 40-49 years, male 82.5
GTEX-111CU-0726-SM-5GZYD 50-59 years, male 82.4
GTEX-13S86-0826-SM-5SI6J 40-49 years, male 82.3
GTEX-14DAQ-1426-SM-5RQJD 60-69 years, female 82.3
GTEX-1LBAC-1226-SM-DHXK1 20-29 years, male 82.3
GTEX-131YS-1426-SM-5IJF7 60-69 years, female 82.1
GTEX-1PFEY-0826-SM-E9U6A 30-39 years, male 81.1
GTEX-P4PQ-0626-SM-3NMCU 60-69 years, male 80.6
GTEX-15RIE-0826-SM-6M47X 60-69 years, male 80.4
GTEX-Y3IK-1126-SM-51MSV 50-59 years, female 80.3
GTEX-1HFI6-1226-SM-A96SK 40-49 years, male 80.2
GTEX-1CB4H-1526-SM-7MXU4 60-69 years, female 80.0
GTEX-1QP2A-1926-SM-EXOJ9 50-59 years, male 80.0
GTEX-1A8FM-1526-SM-7MXTA 50-59 years, female 79.9
GTEX-XBED-1026-SM-48TCB 60-69 years, male 79.1
GTEX-13X6H-1326-SM-5LU42 50-59 years, female 78.7
GTEX-1IDJD-1626-SM-C1YRC 30-39 years, male 78.6
GTEX-1J8QM-1926-SM-AHZ3Z 60-69 years, female 78.3
GTEX-144FL-2726-SM-5O98Z 50-59 years, male 77.8
GTEX-ZYT6-1126-SM-5GZYR 30-39 years, male 77.8
GTEX-1IKOE-1526-SM-C1YSD 30-39 years, female 77.7
GTEX-1EWIQ-1526-SM-79OO7 70-79 years, female 77.6
GTEX-ZF2S-1226-SM-4WWAX 50-59 years, female 77.1
GTEX-14B4R-0326-SM-5TDDP 30-39 years, male 76.9
GTEX-WFG8-1226-SM-4V6EI 20-29 years, male 76.9
GTEX-Y111-1626-SM-57WCY 50-59 years, male 76.5
GTEX-T2YK-1326-SM-4DM6S 50-59 years, male 76.2
GTEX-1212Z-2126-SM-5FQTM 60-69 years, male 75.7
GTEX-S4P3-0426-SM-4AD56 50-59 years, female 75.6
GTEX-ZF29-1326-SM-DNZYV 60-69 years, female 75.3
GTEX-Q2AI-0626-SM-48TZU 40-49 years, male 75.2
GTEX-13W46-1926-SM-5J2MF 50-59 years, male 74.7
GTEX-1R9PM-0926-SM-DPRYA 20-29 years, male 74.5
GTEX-UPJH-1026-SM-EAZB2 50-59 years, male 74.5
GTEX-PSDG-1326-SM-48TD2 50-59 years, male 74.4
GTEX-1F75I-1726-SM-7MKGW 40-49 years, male 74.2
GTEX-148VJ-1026-SM-5LU98 70-79 years, male 73.6
GTEX-1H1DE-1026-SM-9JGH6 20-29 years, male 73.5
GTEX-T8EM-0526-SM-4DM64 40-49 years, male 73.3
GTEX-13YAN-1926-SM-7EPH9 60-69 years, male 73.2
GTEX-1B996-1826-SM-7MGY6 60-69 years, male 73.2
GTEX-ZE9C-1126-SM-4WWBD 60-69 years, male 73.0
GTEX-X62O-2226-SM-46MW3 50-59 years, male 72.8
GTEX-12WSA-1426-SM-5EGJU 60-69 years, male 72.7
GTEX-1CB4I-1026-SM-7MKFZ 50-59 years, male 72.5
GTEX-14E1K-1226-SM-5S2PD 50-59 years, male 72.2
GTEX-1I1GR-1326-SM-ARU7B 60-69 years, male 72.2
GTEX-13X6K-2126-SM-5O9D4 60-69 years, female 72.1
GTEX-144GN-0626-SM-5O9B2 50-59 years, male 71.6
GTEX-P78B-1026-SM-3NMC4 40-49 years, female 71.5
GTEX-1GMR3-1526-SM-9JGGL 40-49 years, male 71.5
GTEX-1QP67-0726-SM-DPRY1 40-49 years, female 71.4
GTEX-1H1ZS-1526-SM-9OSXR 70-79 years, male 71.3
GTEX-1RLM8-0726-SM-E6CRH 50-59 years, male 71.1
GTEX-R55G-1026-SM-48FDI 40-49 years, female 70.9
GTEX-1HCUA-1426-SM-9WPP7 50-59 years, female 70.9
GTEX-1HSGN-1626-SM-A96U2 40-49 years, female 70.9
GTEX-1J8EW-1326-SM-AHZ3S 60-69 years, female 70.9
GTEX-1IDJH-2026-SM-CNNQX 70-79 years, male 70.8
GTEX-YECK-1626-SM-5IFHQ 60-69 years, male 70.5
GTEX-1GL5R-1526-SM-7MKHO 50-59 years, male 69.7
GTEX-1CAMQ-2726-SM-7MKGD 40-49 years, male 69.4
GTEX-11NSD-1126-SM-5N9BQ 20-29 years, male 69.2
GTEX-ZVE2-1326-SM-5NQ94 50-59 years, male 68.9
GTEX-17MFQ-0526-SM-7KFTX 20-29 years, male 68.4
GTEX-UJMC-0926-SM-4IHLK 50-59 years, male 68.4
GTEX-1QCLZ-1626-SM-E9U5R 60-69 years, female 67.8
GTEX-QVUS-0626-SM-447CC 60-69 years, female 67.3
GTEX-1H11D-2126-SM-9OSXM 40-49 years, male 67.2
GTEX-ZAB4-1126-SM-5HL86 40-49 years, male 67.0
GTEX-XQ8I-1526-SM-4BOOH 50-59 years, male 66.8
GTEX-1MCQQ-1026-SM-EV7AX 60-69 years, male 66.7
GTEX-1399U-1026-SM-5J1OC 50-59 years, female 66.6
GTEX-XUZC-0426-SM-4BOPE 30-39 years, female 66.5
GTEX-18A67-2426-SM-7LT95 50-59 years, male 65.7
GTEX-11DXY-1426-SM-5N9CN 60-69 years, male 65.5
GTEX-QCQG-0626-SM-48U21 50-59 years, female 65.3
GTEX-TKQ1-0326-SM-4DXSM 30-39 years, male 65.1
GTEX-1I1GQ-1726-SM-B2LWZ 50-59 years, male 65.1
GTEX-1GN1U-1826-SM-9JGH2 50-59 years, female 65.0
GTEX-11ZTS-2626-SM-5EGIC 60-69 years, female 64.8
GTEX-WHPG-1126-SM-4M1XT 50-59 years, male 64.8
GTEX-1HCVE-1226-SM-9WPPH 50-59 years, male 64.6
GTEX-169BO-0526-SM-793AK 50-59 years, male 64.5
GTEX-POYW-1326-SM-48TCG 60-69 years, male 64.5
GTEX-1RAZR-1226-SM-E6CRD 40-49 years, male 64.4
GTEX-1HSKV-2426-SM-A8N8K 60-69 years, male 64.3
GTEX-13PVR-1826-SM-5Q5CC 60-69 years, female 64.1
GTEX-15RIF-0826-SM-6M47C 20-29 years, male 64.0
GTEX-13111-0826-SM-5LZV3 50-59 years, male 63.7
GTEX-1CB4G-1326-SM-7MKFP 60-69 years, male 63.7
GTEX-17EVQ-1926-SM-7IGOF 70-79 years, male 63.4
GTEX-12BJ1-1626-SM-5HL8Y 60-69 years, male 63.0
GTEX-R55E-1326-SM-48FCR 20-29 years, male 63.0
GTEX-139T6-0626-SM-5IFF9 50-59 years, male 62.8
GTEX-1IDJF-1226-SM-C1YPX 20-29 years, male 62.7
GTEX-1B933-2026-SM-7EWFC 50-59 years, female 62.6
GTEX-1AX9K-1126-SM-731DQ 50-59 years, male 62.3
GTEX-1IY9M-1626-SM-AHZ39 60-69 years, male 62.3
GTEX-RNOR-1226-SM-48FDQ 50-59 years, female 61.8
GTEX-12WSD-1826-SM-5GCOA 60-69 years, female 61.7
GTEX-T5JC-1726-SM-4DM6U 20-29 years, male 61.5
GTEX-14PKV-1726-SM-6871U 20-29 years, female 61.3
GTEX-1QPFJ-1226-SM-EAZ3M 30-39 years, female 61.2
GTEX-139YR-1726-SM-5IFFK 50-59 years, male 60.9
GTEX-17JCI-1226-SM-793D9 60-69 years, female 59.9
GTEX-1L5NE-1426-SM-DHXKV 50-59 years, male 59.9
GTEX-11EMC-2226-SM-5A5JW 60-69 years, female 59.8
GTEX-WQUQ-1626-SM-4OOSH 60-69 years, male 59.8
GTEX-18A7A-2326-SM-7KFRH 50-59 years, female 59.7
GTEX-UPK5-1226-SM-4IHL8 40-49 years, male 59.5
GTEX-17F96-2526-SM-7DHL3 70-79 years, male 59.4
GTEX-R53T-1126-SM-48FD4 50-59 years, female 59.4
GTEX-X4EO-1226-SM-4QARR 60-69 years, female 59.4
GTEX-11NUK-1326-SM-5P9GN 50-59 years, male 59.1
GTEX-1CB4F-1526-SM-7MKFM 60-69 years, male 59.1
GTEX-QV44-1126-SM-CL55C 50-59 years, male 59.1
GTEX-1PPH8-1626-SM-E6CQP 20-29 years, male 58.7
GTEX-QEL4-1426-SM-447AC 50-59 years, male 58.6
GTEX-PLZ5-0926-SM-3TW8L 50-59 years, male 58.5
GTEX-11EQ9-0726-SM-5A5K2 30-39 years, male 58.3
GTEX-ZYFG-1126-SM-5GICY 60-69 years, female 58.2
GTEX-WRHK-0526-SM-4MVOF 20-29 years, female 58.1
GTEX-O5YV-1026-SM-3LK72 60-69 years, female 57.7
GTEX-13U4I-1126-SM-5LU3S 40-49 years, female 57.4
GTEX-YFC4-1226-SM-5LU9R 40-49 years, female 57.3
GTEX-1AYD5-0926-SM-793AF 50-59 years, male 57.2
GTEX-YJ89-1526-SM-5P9IR 60-69 years, male 57.2
GTEX-PWN1-0626-SM-48TDT 40-49 years, female 56.8
GTEX-Y5V5-1626-SM-4VDSG 60-69 years, female 56.7
GTEX-ZC5H-1326-SM-5HL7E 40-49 years, female 56.7
GTEX-16MT8-1326-SM-6M47R 60-69 years, female 56.5
GTEX-1MCC2-1926-SM-DHXJR 30-39 years, female 56.5
GTEX-1RDX4-2126-SM-EV7B3 50-59 years, female 55.9
GTEX-X4EP-1626-SM-4QAS6 60-69 years, female 55.7
GTEX-11ONC-1526-SM-5GU6S 60-69 years, male 55.5
GTEX-139TU-1226-SM-5J2NL 60-69 years, male 55.5
GTEX-1EH9U-2426-SM-7EWFG 60-69 years, male 55.5
GTEX-1KAFJ-0626-SM-D3L8X 50-59 years, male 55.4
GTEX-1NUQO-1126-SM-DTX98 20-29 years, female 54.6
GTEX-183FY-1526-SM-7IGOW 20-29 years, male 54.5
GTEX-ZGAY-1126-SM-4WWBS 40-49 years, female 54.4
GTEX-12KS4-0926-SM-5BC5S 30-39 years, male 54.3
GTEX-131XE-1426-SM-5HL7V 50-59 years, male 54.3
GTEX-14C5O-1626-SM-73KYH 60-69 years, male 54.0
GTEX-S7SF-0926-SM-4AD4M 20-29 years, female 53.7
GTEX-Y114-0926-SM-4TT7J 50-59 years, female 53.6
GTEX-12C56-1226-SM-5FQSU 20-29 years, male 53.4
GTEX-1399R-0826-SM-5IJEL 30-39 years, male 53.4
GTEX-15F5U-5010-SM-AHZ2D 40-49 years, male 53.3
GTEX-14PJM-1526-SM-664NY 50-59 years, female 53.2
GTEX-1QP28-1826-SM-EAZ4L 50-59 years, female 53.2
GTEX-14PJN-0526-SM-68724 30-39 years, male 53.0
GTEX-1RAZA-1326-SM-DPS12 20-29 years, male 53.0
GTEX-OIZF-0626-SM-7MKHG 60-69 years, male 53.0
GTEX-OIZI-1426-SM-3NB1T 40-49 years, male 52.9
GTEX-13D11-1926-SM-5IFGB 50-59 years, female 52.6
GTEX-1B97J-1026-SM-7MXTE 50-59 years, female 52.6
GTEX-18D9U-2126-SM-7LG4Y 40-49 years, male 52.3
GTEX-ZYY3-1526-SM-5SIA9 60-69 years, female 52.3
GTEX-145LT-1126-SM-5LUA1 40-49 years, male 52.0
GTEX-WXYG-1226-SM-4ONCJ 50-59 years, female 52.0
GTEX-U3ZH-1026-SM-4DXUZ 30-39 years, male 51.8
GTEX-WYVS-0726-SM-4ONDO 40-49 years, female 51.7
GTEX-U3ZM-0526-SM-4DXTB 40-49 years, male 51.5
GTEX-1B8KZ-0726-SM-7938W 50-59 years, male 51.4
GTEX-1HSMQ-2026-SM-B2LY1 50-59 years, male 51.2
GTEX-12696-1326-SM-5FQTJ 60-69 years, male 50.9
GTEX-1GN1W-2226-SM-9JGI5 50-59 years, female 50.9
GTEX-1B8KE-1826-SM-731FD 50-59 years, male 50.6
GTEX-1GMR2-1526-SM-7MXV6 50-59 years, male 50.6
GTEX-1JKYN-1526-SM-CGQGA 30-39 years, male 50.5
GTEX-U3ZN-1726-SM-4DXUQ 30-39 years, female 49.8
GTEX-ZXES-1126-SM-5GZXN 30-39 years, female 49.6
GTEX-1RAZS-2626-SM-EV79C 50-59 years, male 49.5
GTEX-XBEW-1326-SM-4AT63 40-49 years, male 49.4
GTEX-1LB8K-1326-SM-CXZKB 50-59 years, male 49.4
GTEX-YEC3-2526-SM-CXZIH 50-59 years, male 49.3
GTEX-17HHE-0926-SM-7938K 50-59 years, male 48.9
GTEX-15ER7-2126-SM-7939E 20-29 years, female 48.8
GTEX-14PJ5-0526-SM-664OE 60-69 years, female 48.7
GTEX-1A3MV-1326-SM-7LG6C 30-39 years, male 48.7
GTEX-ZG7Y-1126-SM-4WWEZ 50-59 years, male 48.7
GTEX-ZVP2-1326-SM-57WCE 50-59 years, male 48.7
GTEX-1HKZK-1426-SM-A96U1 40-49 years, male 48.5
GTEX-ZF3C-1626-SM-4WWB4 50-59 years, female 48.4
GTEX-13OVG-0626-SM-5IFEP 60-69 years, male 48.3
GTEX-11P81-0826-SM-5P9GR 30-39 years, female 48.2
GTEX-1F5PK-1526-SM-7MKGV 50-59 years, male 48.2
GTEX-1HGF4-0926-SM-9WPP8 60-69 years, male 48.1
GTEX-1C2JI-1126-SM-731FH 50-59 years, male 48.0
GTEX-VJYA-0726-SM-4KL1T 60-69 years, male 48.0
GTEX-Y5V6-1026-SM-4VBS2 60-69 years, male 47.9
GTEX-Y8E4-1726-SM-5LU9G 40-49 years, male 47.9
GTEX-ZUA1-1226-SM-5NQ6O 40-49 years, male 47.9
GTEX-1CB4E-1026-SM-793AB 60-69 years, male 47.5
GTEX-18D9A-0526-SM-7KFSW 30-39 years, female 47.4
GTEX-UJHI-0826-SM-4IHLM 50-59 years, female 47.4
GTEX-1I4MK-0426-SM-B2LWQ 50-59 years, female 47.3
GTEX-1R9K5-1526-SM-DPRZA 50-59 years, male 47.3
GTEX-RN64-1026-SM-48FDX 50-59 years, male 47.2
GTEX-WFG7-1126-SM-4LMK3 20-29 years, male 47.0
GTEX-1JMPY-0826-SM-AHZ4A 30-39 years, male 46.8
GTEX-Y5LM-1026-SM-4VDSQ 40-49 years, female 46.7
GTEX-ZDTT-1326-SM-4WKFH 60-69 years, male 46.5
GTEX-13W3W-1626-SM-5LU35 60-69 years, female 46.4
GTEX-18D9B-2026-SM-7LT96 60-69 years, male 46.2
GTEX-14PJ3-0626-SM-6UGC5 50-59 years, male 46.2
GTEX-13RTK-0526-SM-5S2QF 20-29 years, male 46.1
GTEX-1QCLY-1526-SM-DPRXX 30-39 years, male 45.7
GTEX-1N2DV-2026-SM-EV7BL 40-49 years, male 45.6
GTEX-OIZG-1026-SM-3LK5X 50-59 years, male 45.5
GTEX-1AX9I-1426-SM-7DHM8 60-69 years, male 45.4
GTEX-1HB9E-1526-SM-D3LA6 50-59 years, male 45.1
GTEX-178AV-0526-SM-6LPJH 40-49 years, male 45.0
GTEX-WOFM-0626-SM-4OOS3 20-29 years, male 45.0
GTEX-11ZU8-1526-SM-5EGHX 60-69 years, male 44.6
GTEX-16AAH-0726-SM-793A9 50-59 years, male 44.5
GTEX-ZT9W-1326-SM-51MTB 50-59 years, male 44.3
GTEX-1K2DU-1726-SM-EV79S 20-29 years, male 44.2
GTEX-1N2DW-1426-SM-EV7AZ 50-59 years, male 44.2
GTEX-13NZB-1226-SM-5J2MW 30-39 years, male 44.0
GTEX-1399S-1326-SM-5P9GH 30-39 years, female 43.9
GTEX-S33H-0826-SM-4AD5Y 30-39 years, male 43.9
GTEX-YEC4-1026-SM-9WG7N 40-49 years, male 43.7
GTEX-WHSB-0426-SM-4M1XI 50-59 years, male 43.6
GTEX-Y9LG-0626-SM-4WWDH 30-39 years, male 43.4
GTEX-OXRK-1326-SM-3NB1A 50-59 years, female 43.3
GTEX-YB5K-0826-SM-5YYB7 40-49 years, female 43.3
GTEX-WYJK-1926-SM-4ONDP 50-59 years, male 43.2
GTEX-1LG7Z-0926-SM-CXKYK 30-39 years, male 43.0
GTEX-13FTX-0526-SM-5IFGS 20-29 years, female 42.6
GTEX-17EUY-1426-SM-7938X 20-29 years, male 42.4
GTEX-W5WG-1626-SM-4LMKG 50-59 years, female 42.4
GTEX-18QFQ-1026-SM-7LG6B 30-39 years, male 42.4
GTEX-U4B1-0826-SM-4DXTW 40-49 years, male 42.2
GTEX-14H4A-1626-SM-5SI69 40-49 years, female 42.0
GTEX-PWCY-0726-SM-48TCS 20-29 years, female 41.9
GTEX-R55C-0826-SM-48FCL 40-49 years, male 41.8
GTEX-1122O-1726-SM-5GICM 60-69 years, female 41.7
GTEX-YF7O-0926-SM-5IFIF 50-59 years, male 41.6
GTEX-13QBU-1026-SM-5LU3R 40-49 years, female 41.3
GTEX-PLZ4-1626-SM-3P618 50-59 years, female 41.3
GTEX-1AMEY-0226-SM-7189Q 30-39 years, female 40.8
GTEX-1AMFI-0226-SM-731D5 50-59 years, female 40.8
GTEX-131XG-1026-SM-5GCMX 50-59 years, female 40.7
GTEX-15SHU-1426-SM-6LPIN 40-49 years, female 40.7
GTEX-16BQI-1526-SM-6LLIE 30-39 years, female 40.5
GTEX-1S83E-0826-SM-EV7B7 40-49 years, male 40.3
GTEX-NFK9-1126-SM-3LK78 40-49 years, male 40.2
GTEX-1EMGI-1926-SM-7938Y 60-69 years, male 39.9
GTEX-11P82-0526-SM-5986P 20-29 years, male 39.8
GTEX-11DXZ-1226-SM-5H11L 50-59 years, male 39.6
GTEX-1LVAN-2326-SM-CNNPY 50-59 years, female 39.4
GTEX-RWS6-0826-SM-47JXF 60-69 years, female 38.6
GTEX-ZVT2-1326-SM-5E45H 50-59 years, female 38.3
GTEX-1PIGE-0926-SM-E9U5Z 20-29 years, male 38.3
GTEX-1IKK5-1326-SM-AHZ2X 60-69 years, male 38.1
GTEX-1R9JW-1526-SM-DPRZK 30-39 years, female 37.8
GTEX-ZLWG-1326-SM-DNZYZ 50-59 years, female 37.8
GTEX-13OVK-1126-SM-6PAMR 40-49 years, male 37.6
GTEX-1OKEX-1326-SM-E9J2U 60-69 years, male 37.6
GTEX-15RJE-0926-SM-6LLHZ 40-49 years, male 37.5
GTEX-ZA64-0626-SM-5HL9O 20-29 years, male 36.6
GTEX-1MGNQ-1626-SM-EAZ4Z 40-49 years, male 36.3
GTEX-13PL7-0226-SM-731DT 60-69 years, female 35.6
GTEX-V1D1-1026-SM-4JBHE 50-59 years, male 35.6
GTEX-Y8LW-0726-SM-5IFI1 50-59 years, female 35.5
GTEX-14JG6-0926-SM-6871Y 30-39 years, female 35.4
GTEX-1LG7Y-1726-SM-EV7AR 50-59 years, male 35.4
GTEX-1LNCM-0626-SM-EV7AI 50-59 years, female 35.1
GTEX-14AS3-0626-SM-5QGQD 40-49 years, female 34.9
GTEX-1EX96-2226-SM-7MKGT 50-59 years, male 34.8
GTEX-1KXAM-0826-SM-CXZK9 60-69 years, male 34.7
GTEX-14ICL-0526-SM-5RQJ6 30-39 years, male 33.8
GTEX-11I78-1526-SM-5A5K7 50-59 years, female 33.6
GTEX-1B97I-0926-SM-731DZ 40-49 years, male 33.4
GTEX-YB5E-0926-SM-4WWDQ 40-49 years, male 33.2
GTEX-1C64O-1826-SM-7DHM4 60-69 years, male 33.0
GTEX-16NGA-1426-SM-718AC 40-49 years, female 32.5
GTEX-1RAZQ-1726-SM-EAZ4T 30-39 years, male 32.4
GTEX-ZLV1-0526-SM-4WWD4 60-69 years, female 32.3
GTEX-14ICK-2026-SM-6AJB2 40-49 years, male 31.9
GTEX-13OVI-2626-SM-5KM4T 60-69 years, female 31.8
GTEX-1J1R8-0326-SM-AHZ3D 40-49 years, male 30.7
GTEX-12WSK-1126-SM-5LZV8 40-49 years, female 30.3
GTEX-OIZH-0626-SM-3NB1L 50-59 years, male 29.7
GTEX-1KANA-0626-SM-D4P3I 20-29 years, male 29.7
GTEX-145LV-1326-SM-5S2QI 50-59 years, male 29.3
GTEX-1S82Y-1226-SM-EV7BD 40-49 years, male 28.4
GTEX-1AX9J-1826-SM-731FM 60-69 years, male 28.1
GTEX-1MCYP-1026-SM-DPRYB 20-29 years, female 28.1
GTEX-14DAR-0826-SM-73KYJ 50-59 years, male 27.6
GTEX-ZTSS-0626-SM-59867 40-49 years, male 27.5
GTEX-PLZ6-0526-SM-3P61C 30-39 years, male 26.2
GTEX-X3Y1-1326-SM-4PQZB 40-49 years, male 26.2
GTEX-14JIY-0926-SM-6871D 60-69 years, male 25.3
GTEX-1K2DA-0626-SM-CGQGO 50-59 years, male 23.0
GTEX-11P7K-1326-SM-5BC5G 30-39 years, male 21.8
GTEX-1NSGN-2026-SM-DPRYM 50-59 years, male 19.5
Show allShow less

ESOPHAGUS - FANTOM5 CAGEi

RNA expression in human tissues obtained through Cap Analysis of Gene Expression (CAGE) generated by the FANTOM5 project are reported as Scaled Tags Per Million.

Max subtype Scaled Tags Per Millioni

Max subtype Scaled Tags Per Million is the value for the subtype with the largest average Scaled Tags Per Million across the subtype samples.

272.9
FANTOM5 sample id Sample description Scaled Tags Per Million
Esophagus
Scaled Tags Per Million: 272.9
FF:10015-101C6 68,74,75 years, mixed 272.9

Contact

  • NEWS ARTICLES
  • PRESS ROOM

The Project

  • INTRODUCTION
  • ORGANIZATION
  • PUBLICATIONS

The Human Protein Atlas

  • DOWNLOADABLE DATA
  • LICENCE & CITATION
  • HELP & FAQ
The Human Protein Atlas project is funded
by the Knut & Alice Wallenberg Foundation.


contact@proteinatlas.org