We use cookies to enhance the usability of our website. If you continue, we'll assume that you are happy to receive all cookies. More information. Don't show this again.
TIMP1
HPA
RESOURCES
  • TISSUE
  • BRAIN
  • SINGLE CELL
  • SUBCELLULAR
  • CANCER
  • BLOOD
  • CELL LINE
  • STRUCTURE & INTERACTION
ABOUT
  • INTRODUCTION
  • HISTORY
  • ORGANIZATION
  • PUBLICATIONS
  • ANTIBODY SUBMISSION
  • ANTIBODY AVAILABILITY
  • ACKNOWLEDGMENTS
  • CONTACT
NEWS
  • NEWS ARTICLES
  • PRESS ROOM
LEARN
  • DICTIONARY
  • PROTEIN CLASSES
  • PROTEIN EVIDENCE
  • METHODS
  • EDUCATIONAL VIDEOS
DATA
  • DOWNLOADABLE DATA
  • PUBLICATION DATA
  • RELEASE HISTORY
HELP
  • ANTIBODY VALIDATION
  • ASSAYS & ANNOTATION
  • DISCLAIMER
  • HELP & FAQ
  • PRIVACY STATEMENT
  • LICENCE & CITATION
Fields »
Search result

Field
Term
Gene name
Class
Subclass
Class
Keyword
Chromosome
External id
Tissue
Cell type
Expression
Antibody panel
Tissue
Main location
Patient ID
Annotation
Tissue
Category
Tau score
Cluster
Reliability
Brain region
Category
Tau score
Brain region
Category
Tau score
Brain region
Category
Tau score
Cluster
Reliability
Tissue
Cell type
Enrichment
Cell type
Category
Tau score
Cell type
Category
Tau score
Cell type
Category
Tau score
Cell lineage
Category
Tau score
Cluster
Cluster
Location
Searches
Location
Cell line
Class
Type
Phase
Reliability
Cancer
Prognosis
Cancer
Category
Cancer
Category
Tau score
Cluster
Variants
Interacting gene (ensg_id)
Type
Number of interactions
Pathway
Category
Score
Score
Score
Validation
Validation
Validation
Validation
Antibodies
Data type
Column


  • SUMMARY

  • TISSUE

  • BRAIN

  • SINGLE CELL

  • SUBCELL

  • CANCER

  • BLOOD

  • CELL LINE

  • STRUCT & INT

  • TIMP1
TISSUE PRIMARY DATA VAGINA Show tissue menu
ADIPOSE TISSUE ADRENAL GLAND AMYGDALA APPENDIX BASAL GANGLIA BONE MARROW BREAST BRONCHUS CEREBELLUM CEREBRAL CORTEX CERVIX CHOROID PLEXUS COLON DUODENUM
ENDOMETRIUM EPIDIDYMIS ESOPHAGUS FALLOPIAN TUBE GALLBLADDER HEART MUSCLE HIPPOCAMPAL FORMATION HYPOTHALAMUS KIDNEY LIVER LUNG LYMPH NODE MIDBRAIN NASOPHARYNX
ORAL MUCOSA OVARY PANCREAS PARATHYROID GLAND PITUITARY GLAND PLACENTA PROSTATE RECTUM RETINA SALIVARY GLAND SEMINAL VESICLE SKELETAL MUSCLE SKIN SMALL INTESTINE
SMOOTH MUSCLE SOFT TISSUE SPINAL CORD SPLEEN STOMACH TESTIS THYMUS THYROID GLAND TONGUE TONSIL URINARY BLADDER VAGINA
ANTIBODIES
AND
VALIDATION
Dictionary
Vagina
Tissue proteome
Vagina
VAGINA - Expression summary
Protein expression
Vaginai

On the top, protein expression in current human tissue, based on all annotated cell types, is reported with the units not detected (n), low (l), medium (m) and high (h). Underneath, protein expression in each annotated cell type are reported using the same units.

Protein expression data is based on knowledge-based annotation. For genes where more than one antibody has been used, a collective score is set.

If knowledge-based annotation could not be performed for a gene, no data is displayed here. View antibody staining data further down this page.

h
m
l
n
Squamous epithelial cells: Not detected
RNA expressioni

A summary of mRNA expression data available for current tissue based on several datasets. The mRNA expression levels in human tissues are based on RNA-seq data generated by the Human Protein Atlas (HPA), Genotype-Tissue Expression (GTEx) portal and CAGE data generated by the FANTOM5 consortium. Consensus normalized expression levels for human tissues was created by combining the data from HPA and GTEx datasets.

The mRNA expression levels in pig are based on RNA-seq data generated by the Human Protein Atlas (HPA), and for mouse, HPA data and in situ hybridization generated by the Allen brain atlas are reported.

Scroll down to view mRNA expression data in more detail.
Consensus:293.5 nTPM
GTEx:293.5 nTPM
FANTOM5:364.5 Scaled Tags Per Million

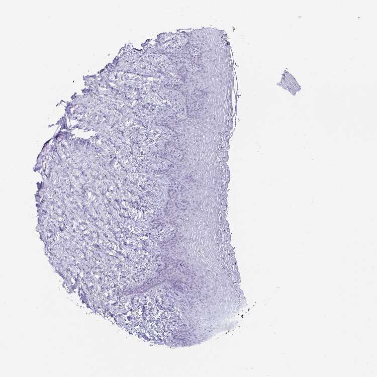
VAGINA - Antibody stainingi

Antibody staining in the annotated cell types in the current human tissue is reported as not detected, low, medium, or high, based on conventional immunohistochemistry profiling in selected tissues. This score is based on the combination of the staining intensity and fraction of stained cells.

Each image is clickable and will lead to virtual microscopy that enables deeper exploration of all samples and also displays staining intensity scores, fraction scores and subcellular localization as well as patient and tissue information for each sample.

Antibody HPA053417Antibody CAB022360
Squamous epithelial cells Not detectedNot detected



VAGINA - GTEx RNA-seqi

RNA-Seq data generated by the Genotype-Tissue Expression (GTEx) project from human tissues is reported as mean nTPM. More information can be found on the GTEx portal.

Distribution across the dataset is visualized with box plots, shown as median and 25th and 75th percentiles. Points are displayed as outliers if they are above or below 1.5 times the interquartile range. nTPM values of the individual samples are presented next to the box plot.
Max subtype nTPMi

Max subtype nTPM is the value for the subtype with the largest average nTPM across the subtype samples.

293.5
GTEx sample id Sample description nTPM
Vagina
Average nTPM: 293.5
Samples: 156

Max nTPM: 1695.6
Min nTPM: 46.4
Std nTPM: 200.7
Median nTPM: 262.5
GTEX-14JG6-0726-SM-69LQH 30-39 years, female 1695.6
GTEX-S4UY-1326-SM-4AD4X 40-49 years, female 908.7
GTEX-T2IS-1926-SM-4DM74 20-29 years, female 817.8
GTEX-YFC4-2926-SM-5IFJ8 40-49 years, female 766.8
GTEX-1QPFJ-1626-SM-DTX7X 30-39 years, female 741.5
GTEX-ZV6S-1326-SM-59HJA 40-49 years, female 700.8
GTEX-1I4MK-1726-SM-ARL7O 50-59 years, female 681.5
GTEX-12WSD-2926-SM-5LZUH 60-69 years, female 677.7
GTEX-18D9A-1026-SM-7KFRU 30-39 years, female 676.3
GTEX-ZYVF-0326-SM-5GIES 50-59 years, female 611.3
GTEX-1LGRB-2126-SM-COH48 50-59 years, female 591.5
GTEX-11DXX-1726-SM-5H11T 60-69 years, female 576.3
GTEX-13QIC-1826-SM-5J1MY 60-69 years, female 568.7
GTEX-X8HC-2826-SM-46MWJ 50-59 years, female 539.4
GTEX-1IE54-2626-SM-CMKFY 40-49 years, female 506.8
GTEX-1F48J-2526-SM-7P8TU 50-59 years, female 489.9
GTEX-1EWIQ-2326-SM-7IGNF 70-79 years, female 488.5
GTEX-145LS-2526-SM-5TDC9 60-69 years, female 475.0
GTEX-WEY5-0826-SM-4LMIH 40-49 years, female 468.2
GTEX-14A5I-2726-SM-5SIB3 50-59 years, female 463.6
GTEX-PLZ4-2726-SM-3P61A 50-59 years, female 462.8
GTEX-1JN1M-2326-SM-ARZNG 60-69 years, female 451.6
GTEX-ZAK1-2426-SM-EXOHM 50-59 years, female 445.3
GTEX-1AMFI-1526-SM-73KVY 50-59 years, female 418.5
GTEX-ZVT3-2726-SM-5GU5X 60-69 years, female 417.0
GTEX-1MCC2-1126-SM-EVYD6 30-39 years, female 414.2
GTEX-XV7Q-1626-SM-4BRWC 40-49 years, female 404.0
GTEX-QCQG-1226-SM-48U23 50-59 years, female 397.6
GTEX-1S5ZU-2626-SM-E9TII 20-29 years, female 397.6
GTEX-11GSP-2226-SM-5HL5Q 60-69 years, female 394.5
GTEX-13D11-1326-SM-5IJFY 50-59 years, female 392.5
GTEX-113JC-1926-SM-5N9GE 50-59 years, female 390.5
GTEX-W5WG-1026-SM-4LMIF 50-59 years, female 389.2
GTEX-TSE9-2526-SM-4DXUS 60-69 years, female 388.1
GTEX-145ME-1426-SM-5RQJS 40-49 years, female 385.5
GTEX-12ZZX-1926-SM-5EGKC 40-49 years, female 378.9
GTEX-146FH-2626-SM-5Q5E1 50-59 years, female 377.4
GTEX-PWN1-2526-SM-48TDS 40-49 years, female 373.6
GTEX-1GN1U-2426-SM-9KNTU 50-59 years, female 373.2
GTEX-1HCU8-2026-SM-9YFLE 60-69 years, female 372.5
GTEX-TML8-1126-SM-4DXSS 40-49 years, female 371.2
GTEX-UJHI-1326-SM-4IHJO 50-59 years, female 370.0
GTEX-15UF6-2126-SM-6M46Z 70-79 years, female 364.5
GTEX-QDT8-2526-SM-48TYX 30-39 years, female 362.9
GTEX-ZYY3-2626-SM-5N9DH 60-69 years, female 361.6
GTEX-OHPN-2426-SM-E9TI5 60-69 years, female 361.0
GTEX-YJ8O-1226-SM-5P9JE 40-49 years, female 359.6
GTEX-15DYW-2926-SM-6PANA 60-69 years, female 357.0
GTEX-12WSJ-1326-SM-5GCOB 40-49 years, female 356.6
GTEX-WRHU-2926-SM-4MVNQ 50-59 years, female 356.5
GTEX-17JCI-2526-SM-7DHLB 60-69 years, female 351.7
GTEX-RWS6-1726-SM-47JXP 60-69 years, female 342.6
GTEX-1LNCM-1026-SM-E9U5D 50-59 years, female 339.3
GTEX-16NPV-2526-SM-6M483 50-59 years, female 339.0
GTEX-131XG-2126-SM-5DUXG 50-59 years, female 331.3
GTEX-13W3W-2326-SM-5LU4Y 60-69 years, female 323.5
GTEX-14DAQ-2326-SM-5S2QX 60-69 years, female 322.8
GTEX-OHPL-2526-SM-3MJGT 60-69 years, female 319.8
GTEX-1HBPH-2926-SM-9WPNX 40-49 years, female 318.2
GTEX-RU1J-1426-SM-46MUV 20-29 years, female 313.6
GTEX-183WM-2126-SM-7LG4I 70-79 years, female 305.9
GTEX-1JMQL-2326-SM-CNNPV 50-59 years, female 304.9
GTEX-13N11-1526-SM-5L3FL 50-59 years, female 301.9
GTEX-1HCUA-1026-SM-A9SMI 50-59 years, female 301.8
GTEX-PX3G-2526-SM-48TZV 20-29 years, female 300.5
GTEX-13PVR-1426-SM-5S2PW 60-69 years, female 297.0
GTEX-1HFI7-1126-SM-A96S5 50-59 years, female 296.2
GTEX-11EM3-1826-SM-5A5KO 20-29 years, female 294.1
GTEX-11P81-2126-SM-5HL6N 30-39 years, female 286.3
GTEX-ZQG8-1126-SM-51MRL 60-69 years, female 283.7
GTEX-13QBU-1726-SM-5IJFQ 40-49 years, female 282.2
GTEX-Y114-1926-SM-4TT8J 50-59 years, female 268.1
GTEX-131YS-2426-SM-5J2OD 60-69 years, female 267.8
GTEX-13U4I-2026-SM-5LU3L 40-49 years, female 264.7
GTEX-14PJM-2926-SM-69LOE 50-59 years, female 264.0
GTEX-1C475-0526-SM-793AC 40-49 years, female 263.7
GTEX-1GMR8-2526-SM-7RHI9 50-59 years, female 263.6
GTEX-ZE7O-2426-SM-57WD7 50-59 years, female 262.8
GTEX-147F3-1526-SM-5SIAK 50-59 years, female 262.3
GTEX-X15G-1926-SM-4PQZQ 50-59 years, female 258.5
GTEX-1I1GT-1226-SM-B2LVK 60-69 years, female 257.7
GTEX-14BMU-1926-SM-5S2QC 20-29 years, female 239.7
GTEX-P78B-2226-SM-3P5ZZ 40-49 years, female 238.2
GTEX-TMMY-1926-SM-4DXUU 40-49 years, female 236.4
GTEX-15ER7-2526-SM-7KUFW 20-29 years, female 235.9
GTEX-ZP4G-0826-SM-4WWF3 20-29 years, female 235.9
GTEX-1NUQO-1826-SM-E6CQU 20-29 years, female 235.9
GTEX-1PIEJ-1926-SM-EVYB7 20-29 years, female 233.6
GTEX-18A7A-2826-SM-7LT8J 50-59 years, female 231.4
GTEX-ZGAY-2226-SM-4YCCX 40-49 years, female 231.1
GTEX-WYVS-1426-SM-4ONCV 40-49 years, female 228.7
GTEX-XUZC-1226-SM-4BRVJ 30-39 years, female 219.6
GTEX-NPJ7-2526-SM-EV79A 60-69 years, female 214.5
GTEX-1LH75-1726-SM-DHXKZ 50-59 years, female 213.7
GTEX-XUW1-0326-SM-4BOOR 50-59 years, female 212.6
GTEX-1GN1W-1526-SM-7P8TG 50-59 years, female 205.8
GTEX-QVJO-2526-SM-CYPRA 60-69 years, female 205.3
GTEX-S4P3-1126-SM-4AD52 50-59 years, female 205.0
GTEX-1QCLZ-2226-SM-DTX7R 60-69 years, female 203.4
GTEX-Y3IK-2226-SM-4YCD4 50-59 years, female 197.4
GTEX-ZTPG-2226-SM-57WF9 20-29 years, female 197.2
GTEX-1ICG6-1626-SM-ARL81 70-79 years, female 196.2
GTEX-13OVI-0926-SM-5J1MI 60-69 years, female 192.9
GTEX-SN8G-2626-SM-EXUQT 50-59 years, female 192.0
GTEX-1HCU6-2326-SM-ACKXP 60-69 years, female 191.1
GTEX-14PJ6-1626-SM-6872D 60-69 years, female 186.7
GTEX-15SHU-2926-SM-7KUKT 40-49 years, female 183.1
GTEX-146FR-2426-SM-5NQAU 60-69 years, female 182.1
GTEX-14H4A-2426-SM-664OQ 40-49 years, female 179.9
GTEX-ZVT2-0626-SM-5GICR 50-59 years, female 178.7
GTEX-Q734-1426-SM-DTXFX 40-49 years, female 176.4
GTEX-U3ZN-0926-SM-4DXTU 30-39 years, female 176.1
GTEX-Y8LW-1426-SM-5RQJJ 50-59 years, female 175.6
GTEX-14AS3-1726-SM-5RQJV 40-49 years, female 165.5
GTEX-15SB6-1426-SM-7KUEM 50-59 years, female 161.0
GTEX-1QP28-1426-SM-EVR4E 50-59 years, female 157.5
GTEX-P4PP-2526-SM-3P61P 30-39 years, female 156.0
GTEX-SE5C-1126-SM-4BRWZ 40-49 years, female 154.3
GTEX-ZC5H-2226-SM-4WAWS 40-49 years, female 147.8
GTEX-1A8FM-2426-SM-7IGPE 50-59 years, female 147.4
GTEX-11EMC-1926-SM-5A5JU 60-69 years, female 146.3
GTEX-T6MO-1226-SM-4DM5S 40-49 years, female 144.5
GTEX-PWCY-1726-SM-48TD3 20-29 years, female 144.1
GTEX-ZLWG-1126-SM-4WWFQ 50-59 years, female 138.1
GTEX-1CAMS-2326-SM-793CR 40-49 years, female 137.9
GTEX-1F5PL-1826-SM-7P8PP 40-49 years, female 136.8
GTEX-14PKU-1326-SM-6871B 40-49 years, female 136.7
GTEX-1MCYP-1326-SM-EV7AD 20-29 years, female 134.2
GTEX-17F9Y-2326-SM-7DUFP 70-79 years, female 129.6
GTEX-1HBPM-2726-SM-9WYUA 60-69 years, female 129.2
GTEX-11XUK-1326-SM-5EQM4 40-49 years, female 127.5
GTEX-1J8EW-2526-SM-CKZO2 60-69 years, female 126.6
GTEX-11VI4-0726-SM-5GU5B 40-49 years, female 125.5
GTEX-1LGOU-1126-SM-D3LAI 20-29 years, female 124.9
GTEX-1LVAM-1926-SM-E6CIM 50-59 years, female 121.9
GTEX-1399U-1526-SM-5J2N7 50-59 years, female 114.9
GTEX-1R9JW-1426-SM-DTX9K 30-39 years, female 113.4
GTEX-OHPK-2526-SM-3MJH9 50-59 years, female 112.9
GTEX-N7MT-1926-SM-3LK5N 60-69 years, female 99.1
GTEX-1J1OQ-1826-SM-CL53R 40-49 years, female 99.0
GTEX-11TTK-2726-SM-5GU58 60-69 years, female 92.2
GTEX-1JN76-1526-SM-CNPPF 20-29 years, female 91.5
GTEX-1LVAN-1626-SM-CNPQ7 50-59 years, female 90.8
GTEX-S7SF-1426-SM-4AT5A 20-29 years, female 88.2
GTEX-ZXES-0626-SM-5E45P 30-39 years, female 87.6
GTEX-14PN3-1626-SM-6AJAV 60-69 years, female 86.9
GTEX-16NGA-1626-SM-72D6M 40-49 years, female 86.8
GTEX-ZZPU-2226-SM-5EGIV 50-59 years, female 86.4
GTEX-1117F-2526-SM-5GZY6 60-69 years, female 81.3
GTEX-13PL7-2726-SM-5L3GB 60-69 years, female 81.0
GTEX-1399S-2326-SM-5K7YV 30-39 years, female 73.9
GTEX-15SDE-1726-SM-6LPJS 50-59 years, female 70.6
GTEX-1GF9U-1926-SM-7P8TZ 40-49 years, female 65.6
GTEX-S341-1226-SM-4AD5S 40-49 years, female 59.0
GTEX-1IDJU-1026-SM-AHZ2U 60-69 years, female 46.9
GTEX-11I78-2026-SM-5987C 50-59 years, female 46.4
Show allShow less

VAGINA - FANTOM5 CAGEi

RNA expression in human tissues obtained through Cap Analysis of Gene Expression (CAGE) generated by the FANTOM5 project are reported as Scaled Tags Per Million.

Max subtype Scaled Tags Per Millioni

Max subtype Scaled Tags Per Million is the value for the subtype with the largest average Scaled Tags Per Million across the subtype samples.

364.5
FANTOM5 sample id Sample description Scaled Tags Per Million
Vagina
Scaled Tags Per Million: 364.5
FF:10204-103F6 68 years, female 364.5

Contact

  • NEWS ARTICLES
  • PRESS ROOM

The Project

  • INTRODUCTION
  • ORGANIZATION
  • PUBLICATIONS

The Human Protein Atlas

  • DOWNLOADABLE DATA
  • LICENCE & CITATION
  • HELP & FAQ
The Human Protein Atlas project is funded
by the Knut & Alice Wallenberg Foundation.


contact@proteinatlas.org