We use cookies to enhance the usability of our website. If you continue, we'll assume that you are happy to receive all cookies. More information. Don't show this again.
BEX4
HPA
RESOURCES
  • TISSUE
  • BRAIN
  • SINGLE CELL
  • SUBCELLULAR
  • CANCER
  • BLOOD
  • CELL LINE
  • STRUCTURE & INTERACTION
ABOUT
  • INTRODUCTION
  • HISTORY
  • ORGANIZATION
  • PUBLICATIONS
  • ANTIBODY SUBMISSION
  • ANTIBODY AVAILABILITY
  • ACKNOWLEDGMENTS
  • CONTACT
NEWS
  • NEWS ARTICLES
  • PRESS ROOM
LEARN
  • DICTIONARY
  • PROTEIN CLASSES
  • PROTEIN EVIDENCE
  • METHODS
  • EDUCATIONAL VIDEOS
DATA
  • DOWNLOADABLE DATA
  • PUBLICATION DATA
  • RELEASE HISTORY
HELP
  • ANTIBODY VALIDATION
  • ASSAYS & ANNOTATION
  • DISCLAIMER
  • HELP & FAQ
  • PRIVACY STATEMENT
  • LICENCE & CITATION
Fields »
Search result

Field
Term
Gene name
Class
Subclass
Class
Keyword
Chromosome
External id
Tissue
Cell type
Expression
Antibody panel
Tissue
Main location
Patient ID
Annotation
Tissue
Category
Tau score
Cluster
Reliability
Brain region
Category
Tau score
Brain region
Category
Tau score
Brain region
Category
Tau score
Cluster
Reliability
Tissue
Cell type
Enrichment
Cell type
Category
Tau score
Cell type
Category
Tau score
Cell type
Category
Tau score
Cell lineage
Category
Tau score
Cluster
Cluster
Location
Searches
Location
Cell line
Class
Type
Phase
Reliability
Cancer
Prognosis
Cancer
Category
Cancer
Category
Tau score
Cluster
Variants
Interacting gene (ensg_id)
Type
Number of interactions
Pathway
Category
Score
Score
Score
Validation
Validation
Validation
Validation
Antibodies
Data type
Column


  • SUMMARY

  • TISSUE

  • BRAIN

  • SINGLE CELL

  • SUBCELL

  • CANCER

  • BLOOD

  • CELL LINE

  • STRUCT & INT

  • BEX4
BRAIN CEREBELLUM Show tissue menu
AMYGDALA BASAL GANGLIA CEREBELLUM CEREBRAL CORTEX CHOROID PLEXUS HIPPOCAMPAL FORMATION HYPOTHALAMUS MEDULLA OBLONGATA
MIDBRAIN OLFACTORY BULB PITUITARY GLAND PONS RETINA SPINAL CORD THALAMUS WHITE MATTER
ANTIBODIES
AND
VALIDATION
Brain proteome
Cerebellum
CEREBELLUM - Expression summary
Protein expression
Cerebellumi

On the top, protein expression in current human tissue, based on all annotated cell types, is reported with the units not detected (n), low (l), medium (m) and high (h). Underneath, protein expression in each annotated cell type are reported using the same units.

Protein expression data is based on knowledge-based annotation. For genes where more than one antibody has been used, a collective score is set.

If knowledge-based annotation could not be performed for a gene, no data is displayed here. View antibody staining data further down this page.

h
m
l
n
Cells in granular layer: Not detected
Cells in molecular layer: Not detected
Purkinje cells: Low
RNA expressioni

A summary of mRNA expression data available for current tissue based on several datasets. The mRNA expression levels in human tissues are based on RNA-seq data generated by the Human Protein Atlas (HPA), Genotype-Tissue Expression (GTEx) portal and CAGE data generated by the FANTOM5 consortium. Consensus normalized expression levels for human tissues was created by combining the data from HPA and GTEx datasets.

The mRNA expression levels in pig are based on RNA-seq data generated by the Human Protein Atlas (HPA), and for mouse, HPA data and in situ hybridization generated by the Allen brain atlas are reported.

Scroll down to view mRNA expression data in more detail.
Consensus:195.9 nTPM
HPA Brain:99.3 nTPM
GTEx:195.9 nTPM
FANTOM5:343.0 Scaled Tags Per Million
Pig:92.9 nTPM
Mouse:56.7 nTPM
Allen mouse:1.6 Expression energy

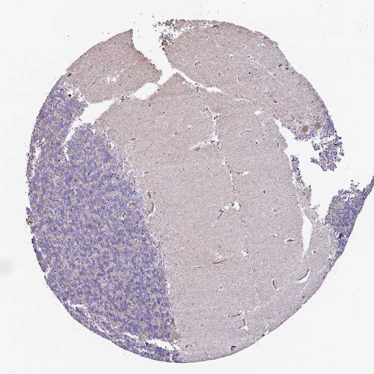
CEREBELLUM - Antibody stainingi

Antibody staining in the annotated cell types in the current human tissue is reported as not detected, low, medium, or high, based on conventional immunohistochemistry profiling in selected tissues. This score is based on the combination of the staining intensity and fraction of stained cells.

Each image is clickable and will lead to virtual microscopy that enables deeper exploration of all samples and also displays staining intensity scores, fraction scores and subcellular localization as well as patient and tissue information for each sample.

Antibody HPA045105
Purkinje cells Low
Cells in granular layer Not detected
Cells in molecular layer Not detected



CEREBELLUM - HPA Brain RNA-seq
Max subtype nTPMi

Max subtype nTPM is the value for the subtype with the largest average nTPM across the subtype samples.

99.3
Sample id Sample description nTPM
Cerebellar cortex
nTPM: 87.0
1768 Female, age 72, unknown 134.5
2101 Male, age 74, right hemisphere 126.7
2006 Male, age 61, right hemisphere 84.1
1769 Male, age 76, right hemisphere 81.0
1774 Male, age 80, left hemisphere 76.9
2055 Female, age 91, right hemisphere 68.0
2003 Female, age 85, right hemisphere 62.8
1788 Male, age 55, unknown 62.3
Cerebellar nuclei
nTPM: 99.3
2783 Female, age 72, unknown 122.3
2318 Male, age 74, left hemisphere 114.1
1966 Female, age 91, left hemisphere 100.4
2175 Male, age 61, right hemisphere 99.6
1879 Male, age 55, unknown 96.5
1871 Male, age 74, unknown 96.3
2882 Male, age 76, left hemisphere 92.7
2177 Female, age 85, both hemispheres 86.3
2005 Male, age 80, left hemisphere 85.4
Flocculonodular lobe
nTPM: 78.5
2004 Male, age 61, right hemisphere 97.2
1771 Male, age 80, left hemisphere 86.3
1765 Male, age 55, unknown 82.5
1767 Male, age 76, left hemisphere 79.7
1792 Male, age 74, unknown 75.3
1835 Female, age 85, right hemisphere 66.5
2176 Female, age 91, right hemisphere 62.2
Vermis
nTPM: 84.9
1751 Male, age 74, right hemisphere 136.2
1928 Female, age 72, unknown 93.5
1778 Female, age 91, left hemisphere 87.3
1766 Male, age 55, unknown 85.0
2834 Male, age 80, left hemisphere 83.0
1770 Male, age 76, left hemisphere 78.6
2460 Male, age 61, both hemispheres 72.7
1825 Male, age 74, unknown 66.8
1988 Female, age 85, left hemisphere 61.4

CEREBELLUM - GTEx RNA-seqi

RNA-Seq data generated by the Genotype-Tissue Expression (GTEx) project from human tissues is reported as mean nTPM. More information can be found on the GTEx portal.

Distribution across the dataset is visualized with box plots, shown as median and 25th and 75th percentiles. Points are displayed as outliers if they are above or below 1.5 times the interquartile range. nTPM values of the individual samples are presented next to the box plot.
Max subtype nTPMi

Max subtype nTPM is the value for the subtype with the largest average nTPM across the subtype samples.

195.9
GTEx sample id Sample description nTPM
Brain - Cerebellar Hemisphere
Average nTPM: 195.9
Samples: 215

Max nTPM: 330.8
Min nTPM: 122.8
Std nTPM: 34.3
Median nTPM: 193.2
GTEX-1B8SG-0011-R11a-SM-7P8PF 50-59 years, male 330.8
GTEX-14C5O-0011-R11b-SM-6872H 60-69 years, male 299.1
GTEX-1F75W-0011-R11b-SM-AHZ34 60-69 years, male 283.7
GTEX-11ZUS-0011-R11b-SM-5BC7B 30-39 years, male 275.8
GTEX-1C64N-0011-R11b-SM-7P8Q6 50-59 years, male 267.9
GTEX-1R9K4-0011-R11a-SM-EZ6N9 60-69 years, male 266.1
GTEX-1F6I4-0011-R11b-SM-9OSWS 60-69 years, male 261.7
GTEX-1GN73-0011-R11b-SM-9OSX4 60-69 years, male 259.9
GTEX-N7MS-0011-R11A-SM-2HMJS 60-69 years, male 254.5
GTEX-12WSC-0011-R11a-SM-5GU5J 50-59 years, male 253.1
GTEX-17HII-0011-R11b-SM-7KFSX 50-59 years, male 248.4
GTEX-13OW7-0011-R11a-SM-5O9DY 50-59 years, male 247.9
GTEX-18A6Q-0011-R11a-SM-72D6H 60-69 years, male 246.2
GTEX-12WSD-0011-R11a-SM-9OSVC 60-69 years, female 246.2
GTEX-1399T-0011-R11a-SM-5J2O1 60-69 years, male 246.1
GTEX-1B933-0011-R11a-SM-7P8PM 50-59 years, female 244.5
GTEX-13G51-0011-R11b-SM-5J2NE 60-69 years, male 244.2
GTEX-UTHO-0011-R11A-SM-3GIJE 60-69 years, male 243.2
GTEX-13X6J-0011-R11a-SM-5P9HE 50-59 years, male 241.9
GTEX-1M4P7-0011-R11b-SM-EXOIK 60-69 years, male 240.2
GTEX-P44H-0011-R11A-SM-2XCER 40-49 years, male 239.1
GTEX-16Z82-0011-R11a-SM-79OKJ 60-69 years, male 237.0
GTEX-14E6D-0011-R11b-SM-664NP 50-59 years, male 236.4
GTEX-1I1GQ-0011-R11b-SM-CKZPA 50-59 years, male 236.4
GTEX-13FLV-0011-R11a-SM-5LZZ7 50-59 years, male 236.3
GTEX-16GPK-0011-R11b-SM-7MKFF 60-69 years, male 233.9
GTEX-12126-0011-R11a-SM-5BC6X 20-29 years, male 232.1
GTEX-1GMRU-0011-R11b-SM-C1YQ4 50-59 years, male 232.0
GTEX-1H3VE-0011-R11b-SM-C1YRP 40-49 years, male 231.9
GTEX-13O3O-0011-R11b-SM-5KM4G 60-69 years, female 231.8
GTEX-1I19N-0011-R11b-SM-ARU6Y 70-79 years, male 231.0
GTEX-1KD4Q-0011-R11b-SM-EXOIE 40-49 years, male 230.6
GTEX-1JJEA-0011-R11a-SM-EXUTE 60-69 years, male 230.4
GTEX-14ABY-0011-R11a-SM-5SI7C 50-59 years, male 230.3
GTEX-13SLX-0011-R11b-SM-5O9C8 50-59 years, female 230.1
GTEX-132Q8-0011-R11b-SM-5DUW9 60-69 years, male 229.7
GTEX-13FHO-0011-R11b-SM-5LZYQ 60-69 years, male 229.6
GTEX-WL46-0011-R11A-SM-3MJFT 50-59 years, male 229.4
GTEX-139TT-0011-R11b-SM-5LZV1 60-69 years, male 229.2
GTEX-1JJ6O-0011-R11b-SM-EXUS2 60-69 years, male 228.7
GTEX-11ZTS-0011-R11a-SM-DO113 60-69 years, female 228.3
GTEX-1F75A-0011-R11a-SM-AHZ35 50-59 years, male 228.3
GTEX-17EVP-0011-R11a-SM-7EWDL 40-49 years, male 228.0
GTEX-1LSVX-0011-R11b-SM-EXOIA 60-69 years, male 228.0
GTEX-12WSF-0011-R11a-SM-5LZVT 70-79 years, male 227.6
GTEX-ZE7O-0011-R11a-SM-57WBC 50-59 years, female 227.0
GTEX-12WSH-0011-R11a-SM-5LZVM 50-59 years, male 226.8
GTEX-13JUV-0011-R11a-SM-5LZYH 40-49 years, female 226.2
GTEX-14PN4-0011-R11a-SM-686ZW 50-59 years, male 225.7
GTEX-11EMC-0011-R11b-SM-DNZZK 60-69 years, female 225.4
GTEX-131XH-0011-R11a-SM-5EGLN 50-59 years, male 223.2
GTEX-ZDXO-0011-R11a-SM-4WWD9 60-69 years, male 222.5
GTEX-1IKOH-0011-R11a-SM-AHZ38 60-69 years, female 220.2
GTEX-S7SE-0011-R11A-SM-2XCDD 50-59 years, male 220.0
GTEX-T2IS-0011-R11A-SM-32QPC 20-29 years, female 219.9
GTEX-12WSI-0011-R11b-SM-5P9EZ 50-59 years, male 219.4
GTEX-1313W-0011-R11a-SM-5DUXN 50-59 years, female 218.4
GTEX-N7MT-0011-R11A-SM-2I3DZ 60-69 years, female 217.3
GTEX-17JCI-0011-R11a-SM-7189Y 60-69 years, female 216.6
GTEX-15CHQ-0011-R11b-SM-686ZZ 60-69 years, male 216.3
GTEX-1H1CY-0011-R11a-SM-C1YQR 60-69 years, female 215.6
GTEX-1N2DW-0011-R11b-SM-EXOIL 50-59 years, male 215.3
GTEX-ZUA1-0011-R11b-SM-51MTI 40-49 years, male 214.6
GTEX-1EMGI-0011-R11b-SM-9OSWX 60-69 years, male 214.1
GTEX-16YQH-0011-R11b-SM-7LT98 30-39 years, male 213.9
GTEX-13QIC-0011-R11b-SM-5O9BU 60-69 years, female 213.6
GTEX-1F7RK-0011-R11b-SM-9QEI2 20-29 years, female 212.6
GTEX-1HBPI-0011-R11b-SM-CE6SH 50-59 years, male 212.2
GTEX-WWYW-0011-R11A-SM-3NB38 50-59 years, female 211.2
GTEX-1LG7Y-0011-R11a-SM-EXOIH 50-59 years, male 211.1
GTEX-1GZHY-0011-R11a-SM-C1YRQ 50-59 years, female 208.7
GTEX-13O3Q-0011-R11b-SM-5KM2W 50-59 years, male 208.0
GTEX-11DYG-0011-R11a-SM-DNZZP 60-69 years, male 207.8
GTEX-1H4P4-0011-R11b-SM-CE6S8 50-59 years, male 206.9
GTEX-12WSE-0011-R11b-SM-5P9JW 20-29 years, male 206.4
GTEX-11TTK-0011-R11b-SM-DO112 60-69 years, female 206.4
GTEX-1IY9M-0011-R11b-SM-A96TI 60-69 years, male 206.4
GTEX-1CAV2-0011-R11a-SM-ARU8D 40-49 years, female 205.9
GTEX-WVLH-0011-R11A-SM-3MJFO 50-59 years, male 205.3
GTEX-1E1VI-0011-R11a-SM-9OSWI 50-59 years, male 205.0
GTEX-1LVAO-0011-R11b-SM-EXOI8 60-69 years, male 205.0
GTEX-144GL-0011-R11b-SM-5P9F6 50-59 years, male 204.8
GTEX-13CZV-0011-R11b-SM-5N9FN 60-69 years, male 204.6
GTEX-13FXS-0011-R11a-SM-5L3DM 50-59 years, male 204.6
GTEX-X4EP-0011-R11B-SM-4QASK 60-69 years, female 204.5
GTEX-Y8DK-0011-R11A-SM-4SOK2 60-69 years, male 204.1
GTEX-ZVZQ-0011-R11a-SM-51MS6 60-69 years, female 204.1
GTEX-17HG3-0011-R11b-SM-7KFT4 30-39 years, female 203.7
GTEX-1IKK5-0011-R11a-SM-C1YRX 60-69 years, male 203.7
GTEX-TSE9-0011-R11A-SM-3DB7N 60-69 years, female 203.2
GTEX-T6MN-0011-R11A-SM-32QOX 50-59 years, male 200.5
GTEX-YJ89-0011-R11a-SM-4SOKA 60-69 years, male 200.4
GTEX-1EKGG-0011-R11a-SM-9QEHZ 60-69 years, male 200.1
GTEX-WZTO-0011-R11A-SM-4E3K9 40-49 years, male 199.5
GTEX-1GZ4I-0011-R11b-SM-9OSWR 50-59 years, male 198.0
GTEX-Z93S-0011-R11a-SM-4RGNN 50-59 years, male 197.9
GTEX-1GF9W-0011-R11b-SM-9OSXG 60-69 years, male 197.6
GTEX-1HSKV-0011-R11b-SM-AHZ2E 60-69 years, male 197.5
GTEX-13NYS-0011-R11b-SM-5MR4P 60-69 years, male 197.0
GTEX-12ZZZ-0011-R11a-SM-5EGLC 60-69 years, male 196.7
GTEX-13FHP-0011-R11b-SM-5LZXP 50-59 years, male 196.4
GTEX-NL4W-0011-R11A-SM-2I3DW 50-59 years, male 196.4
GTEX-QMR6-0011-R11A-SM-32PKK 50-59 years, male 196.2
GTEX-14ASI-0011-R11b-SM-6AJBJ 60-69 years, male 195.5
GTEX-1I1HK-0011-R11a-SM-B2LVN 60-69 years, male 194.7
GTEX-ZE9C-0011-R11a-SM-4WKGG 60-69 years, male 193.8
GTEX-WHSE-0011-R11A-SM-3P5YY 20-29 years, male 193.4
GTEX-1HCU6-0011-R11b-SM-AHZ2F 60-69 years, female 193.2
GTEX-13SLW-0011-R11a-SM-5SI8Q 70-79 years, male 193.0
GTEX-14E7W-0011-R11a-SM-5ZZVA 70-79 years, male 192.7
GTEX-145MH-0011-R11a-SM-5P9HQ 50-59 years, male 192.5
GTEX-1BAJH-0011-R11b-SM-7IGLM 70-79 years, male 191.4
GTEX-1IGQW-0011-R11a-SM-C1YRV 60-69 years, male 190.6
GTEX-13FTY-0011-R11a-SM-5IJEA 40-49 years, female 190.4
GTEX-1IDJH-0011-R11b-SM-C1YRT 70-79 years, male 190.1
GTEX-1CB4G-0011-R11a-SM-9OSWG 60-69 years, male 190.0
GTEX-13X6I-0011-R11a-SM-5P9HN 60-69 years, male 189.2
GTEX-1HFI6-0011-R11b-SM-A96RU 40-49 years, male 189.1
GTEX-11WQC-0011-R11b-SM-57WD6 60-69 years, male 189.0
GTEX-13NZA-0011-R11b-SM-5KM4W 60-69 years, male 188.9
GTEX-11PRG-0011-R11b-SM-DNZZY 50-59 years, male 188.4
GTEX-1I1GR-0011-R11a-SM-CM2T5 60-69 years, male 187.5
GTEX-17EVQ-0011-R11a-SM-7LT9C 70-79 years, male 187.4
GTEX-T5JC-0011-R11A-SM-32PMB 20-29 years, male 187.3
GTEX-15DYW-0011-R11a-SM-6LPIT 60-69 years, female 187.2
GTEX-ZAB4-0011-R11a-SM-4SOKI 40-49 years, male 187.1
GTEX-1IOXB-0011-R11a-SM-A9G1X 50-59 years, male 186.7
GTEX-X585-0011-R11B-SM-46MUZ 50-59 years, male 185.9
GTEX-1I1GV-0011-R11a-SM-CJI3Z 60-69 years, male 185.5
GTEX-11OF3-0011-R11a-SM-57WCR 60-69 years, male 185.0
GTEX-13CF2-0011-R11b-SM-5LZXO 60-69 years, male 185.0
GTEX-1JMQJ-0011-R11a-SM-EXOJY 50-59 years, male 184.4
GTEX-131XW-0011-R11a-SM-5DUV9 50-59 years, female 183.7
GTEX-13PLJ-0011-R11b-SM-5O9BS 60-69 years, female 183.6
GTEX-1B8L1-0011-R11b-SM-793DJ 60-69 years, male 183.5
GTEX-1H3O1-0011-R11a-SM-A96RV 60-69 years, male 183.3
GTEX-1J8EW-0011-R11a-SM-AHZ37 60-69 years, female 183.2
GTEX-13OW6-0011-R11a-SM-5L3H2 50-59 years, male 182.6
GTEX-1R9PO-0011-R11b-SM-EZ6NB 60-69 years, female 182.1
GTEX-ZVT3-0011-R11b-SM-57WBI 60-69 years, female 181.8
GTEX-11EI6-0011-R11a-SM-DO11V 60-69 years, male 181.0
GTEX-13NYB-0011-R11a-SM-5KM3Q 40-49 years, male 180.8
GTEX-13OVL-0011-R11b-SM-5L3G7 50-59 years, male 179.1
GTEX-1H3NZ-0011-R11b-SM-CE6SF 60-69 years, male 179.1
GTEX-11DZ1-0011-R11b-SM-DO11W 50-59 years, male 178.6
GTEX-13VXU-0011-R11b-SM-5O9DJ 50-59 years, male 177.5
GTEX-13OW8-0011-R11a-SM-5L3GT 60-69 years, male 176.6
GTEX-11H98-0011-R11b-SM-5NQ6U 50-59 years, male 175.9
GTEX-YFC4-0011-R11a-SM-4SOK6 40-49 years, female 175.7
GTEX-RU72-0011-R11A-SM-CM2U1 50-59 years, female 175.5
GTEX-1N2EE-0011-R11b-SM-EXOIJ 60-69 years, male 175.4
GTEX-1AX9I-0011-R11b-SM-7DHN4 60-69 years, male 175.1
GTEX-1JMOU-0011-R11b-SM-EXUTA 60-69 years, female 175.0
GTEX-1B8SF-0011-R11a-SM-79OOP 60-69 years, male 174.1
GTEX-1HUB1-0011-R11b-SM-CE6SC 60-69 years, male 173.9
GTEX-17F97-0011-R11b-SM-7KFRQ 50-59 years, male 173.5
GTEX-1HB9E-0011-R11b-SM-ARU79 50-59 years, male 173.2
GTEX-13S7M-0011-R11b-SM-5P9HU 60-69 years, female 172.8
GTEX-18465-0011-R11a-SM-72D78 50-59 years, male 172.5
GTEX-13JVG-0011-R11a-SM-5KM53 60-69 years, male 171.2
GTEX-14BIN-0011-R11a-SM-5SI79 50-59 years, female 171.0
GTEX-RVPV-0011-R11A-SM-2TF6F 60-69 years, male 171.0
GTEX-11DXY-0011-R11a-SM-DNZZN 60-69 years, male 170.9
GTEX-1HGF4-0011-R11a-SM-C1YRR 60-69 years, male 170.9
GTEX-1IL2U-0011-R11a-SM-CE6SO 60-69 years, male 170.3
GTEX-12WSM-0011-R11a-SM-5DUX8 60-69 years, male 169.5
GTEX-QDT8-0011-R11A-SM-32PKD 30-39 years, female 169.0
GTEX-145LU-0011-R11b-SM-5P9JX 50-59 years, male 168.9
GTEX-145MI-0011-R11a-SM-5P9JZ 60-69 years, female 168.7
GTEX-139UW-0011-R11a-SM-5IJGN 60-69 years, male 168.5
GTEX-14DAQ-0011-R11a-SM-664NO 60-69 years, female 168.1
GTEX-1GMR8-0011-R11b-SM-9OSX2 50-59 years, female 167.9
GTEX-XMD1-0011-R11A-SM-4AT5J 60-69 years, male 167.7
GTEX-1J8Q2-0011-R11a-SM-A9SKI 60-69 years, male 167.6
GTEX-13OVH-0011-R11b-SM-5KM4X 70-79 years, male 167.0
GTEX-13X6K-0011-R11a-SM-5P9F5 60-69 years, female 167.0
GTEX-13RTJ-0011-R11a-SM-5O9CK 60-69 years, male 166.8
GTEX-13PVQ-0011-R11a-SM-5O9DU 50-59 years, male 165.4
GTEX-1J1OQ-0011-R11a-SM-A96S3 40-49 years, female 164.4
GTEX-1I1GS-0011-R11a-SM-C1YRU 60-69 years, male 163.2
GTEX-15ER7-0011-R11a-SM-6LPIL 20-29 years, female 163.0
GTEX-1LKK1-0011-R11a-SM-EXOIG 50-59 years, female 162.9
GTEX-14BIM-0011-R11b-SM-5S2RN 60-69 years, female 162.6
GTEX-11GSP-0011-R11b-SM-5NQ7V 60-69 years, female 162.0
GTEX-18464-0011-R11a-SM-72D76 50-59 years, male 161.9
GTEX-1H1DG-0011-R11a-SM-C1YQK 70-79 years, male 161.4
GTEX-1F48J-0011-R11b-SM-9OSWV 50-59 years, female 160.0
GTEX-13OW5-0011-R11b-SM-5L3GG 60-69 years, male 159.7
GTEX-ZF28-0011-R11a-SM-4WWEI 60-69 years, male 158.9
GTEX-X261-0011-R11A-SM-4E3JY 50-59 years, male 154.9
GTEX-183WM-0011-R11a-SM-718A5 70-79 years, female 153.7
GTEX-1GTWX-0011-R11b-SM-C1YQJ 60-69 years, male 153.0
GTEX-12ZZX-0011-R11a-SM-5DUVJ 40-49 years, female 151.2
GTEX-15EO6-0011-R11b-SM-6M47M 50-59 years, male 150.6
GTEX-1H1ZS-0011-R11a-SM-C1YQM 70-79 years, male 150.1
GTEX-1IL2V-0011-R11a-SM-ARU6T 70-79 years, male 149.6
GTEX-13N2G-0011-R11a-SM-5MR3F 60-69 years, male 148.9
GTEX-OHPN-0011-R11A-SM-2I5FM 60-69 years, female 148.4
GTEX-P44G-0011-R11A-SM-2I3FD 30-39 years, male 147.6
GTEX-R55E-0011-R11A-SM-2TC6I 20-29 years, male 147.6
GTEX-131YS-0011-R11b-SM-5EGLM 60-69 years, female 144.2
GTEX-1A3MX-0011-R11b-SM-7DUGP 60-69 years, male 143.7
GTEX-13OVJ-0011-R11a-SM-5P9H8 50-59 years, female 143.4
GTEX-NL3H-0011-R11A-SM-2I3E6 60-69 years, male 141.7
GTEX-14C39-0011-R11b-SM-5YYAF 40-49 years, male 141.6
GTEX-15DCD-0011-R11a-SM-D4P1R 70-79 years, female 141.5
GTEX-16XZZ-0011-R11a-SM-7EPI3 60-69 years, male 140.5
GTEX-1F52S-0011-R11a-SM-CJI23 60-69 years, female 139.9
GTEX-15G19-0011-R11b-SM-6LPIH 60-69 years, male 135.4
GTEX-NPJ7-0011-R11A-SM-2I3E8 60-69 years, female 132.6
GTEX-Q2AG-0011-R11A-SM-2HMKZ 40-49 years, female 132.3
GTEX-1ICLZ-0011-R11a-SM-CJI3N 60-69 years, male 131.8
GTEX-X4XX-0011-R11A-SM-46MWQ 60-69 years, male 129.4
GTEX-16NPV-0011-R11a-SM-7IGMK 50-59 years, female 124.6
GTEX-NPJ8-0011-R11A-SM-2YUMS 40-49 years, male 122.8
Show allShow less
Brain - Cerebellum
Average nTPM: 151.7
Samples: 241

Max nTPM: 226.1
Min nTPM: 89.7
Std nTPM: 21.3
Median nTPM: 149.9
GTEX-11OC5-0626-SM-5HL6M 60-69 years, male 226.1
GTEX-12WSE-2926-SM-5RQJ9 20-29 years, male 222.7
GTEX-147F4-3026-SM-5Q5BJ 50-59 years, male 211.3
GTEX-14C5O-2926-SM-5RQI1 60-69 years, male 210.9
GTEX-131XH-2926-SM-5LZU4 50-59 years, male 209.4
GTEX-1C6WA-3326-SM-7MKGN 60-69 years, male 208.7
GTEX-1B8SG-1926-SM-73KUB 50-59 years, male 205.4
GTEX-1399T-3126-SM-5IJFS 60-69 years, male 203.5
GTEX-WHSE-2926-SM-3NMBG 20-29 years, male 201.5
GTEX-13SLX-3226-SM-5YYA6 50-59 years, female 199.6
GTEX-1JJEA-2926-SM-C1YSK 60-69 years, male 196.6
GTEX-1QP6S-3026-SM-EAZ4N 40-49 years, male 193.3
GTEX-13O3O-3026-SM-5KM42 60-69 years, female 192.9
GTEX-1QEPI-3026-SM-EXOIW 60-69 years, female 192.1
GTEX-T2IS-2926-SM-32QPO 20-29 years, female 190.8
GTEX-1F6I4-3026-SM-7P8SI 60-69 years, male 190.2
GTEX-1RDX4-3226-SM-DPS14 50-59 years, female 189.1
GTEX-QVUS-2926-SM-3GIJB 60-69 years, female 186.4
GTEX-1LSVX-2826-SM-EVR58 60-69 years, male 183.9
GTEX-1IKOH-2826-SM-CNNRC 60-69 years, female 181.8
GTEX-16Z82-2926-SM-6LPJJ 60-69 years, male 180.4
GTEX-1GN73-3026-SM-7MXV8 60-69 years, male 179.1
GTEX-16XZZ-2926-SM-6LPK4 60-69 years, male 178.2
GTEX-145MH-2926-SM-5Q5D2 50-59 years, male 178.1
GTEX-1E1VI-2926-SM-7IGLT 50-59 years, male 177.4
GTEX-1F75W-3126-SM-7P8SJ 60-69 years, male 176.6
GTEX-14ABY-3026-SM-664NE 50-59 years, male 176.5
GTEX-T5JC-2326-SM-32PMR 20-29 years, male 176.5
GTEX-1192X-3226-SM-5987D 50-59 years, male 175.9
GTEX-1EMGI-3126-SM-7MXUR 60-69 years, male 174.8
GTEX-1IY9M-3126-SM-AHZ3A 60-69 years, male 174.2
GTEX-14E6D-2926-SM-664OP 50-59 years, male 174.1
GTEX-P44H-2426-SM-2XCEJ 40-49 years, male 173.8
GTEX-1RNSC-3126-SM-EVR4V 60-69 years, male 173.4
GTEX-WL46-2826-SM-3LK81 50-59 years, male 172.9
GTEX-13NYB-3226-SM-5J2ND 40-49 years, male 172.7
GTEX-1GZHY-3026-SM-7MXVA 50-59 years, female 171.1
GTEX-1H1CY-3026-SM-9OSW7 60-69 years, female 170.5
GTEX-1PWST-3026-SM-EAZ3H 70-79 years, male 170.5
GTEX-1KD4Q-3026-SM-EV7A7 40-49 years, male 170.1
GTEX-WZTO-2826-SM-3NM8P 40-49 years, male 169.4
GTEX-1PIIG-2826-SM-DTX7O 30-39 years, male 169.3
GTEX-13QIC-3026-SM-5LU58 60-69 years, female 168.9
GTEX-1F75A-2926-SM-7MXVN 50-59 years, male 168.6
GTEX-WVLH-2926-SM-3MJG5 50-59 years, male 168.2
GTEX-TSE9-2926-SM-3DB77 60-69 years, female 168.1
GTEX-PVOW-2626-SM-32PL8 40-49 years, male 167.5
GTEX-1GF9V-3026-SM-7P8R8 60-69 years, male 167.4
GTEX-12126-0926-SM-5FQTW 20-29 years, male 167.1
GTEX-11EMC-3326-SM-5P9JH 60-69 years, female 166.9
GTEX-S7SE-2526-SM-2XCDL 50-59 years, male 166.5
GTEX-11NUK-3026-SM-5986K 50-59 years, male 165.9
GTEX-ZAB4-2926-SM-57WCV 40-49 years, male 165.2
GTEX-1LG7Y-3126-SM-EV7AS 50-59 years, male 164.7
GTEX-1C64N-3126-SM-79OO3 50-59 years, male 164.6
GTEX-1B8SF-3026-SM-731DX 60-69 years, male 164.1
GTEX-11TTK-2826-SM-5GU5K 60-69 years, female 163.2
GTEX-145LU-2626-SM-5LU9Z 50-59 years, male 163.2
GTEX-Y8DK-0726-SM-4TT3S 60-69 years, male 163.1
GTEX-ZDXO-2926-SM-4WKFM 60-69 years, male 162.8
GTEX-ZAK1-2926-SM-5HL9S 50-59 years, female 161.7
GTEX-1JMQJ-3126-SM-EV79G 50-59 years, male 161.5
GTEX-1F6IF-3026-SM-7P8QN 60-69 years, male 161.3
GTEX-12ZZZ-3126-SM-5LZU6 60-69 years, male 161.2
GTEX-11O72-2826-SM-5HL6W 40-49 years, male 161.0
GTEX-13OW5-3126-SM-5MR3Y 60-69 years, male 160.9
GTEX-ZYFD-2926-SM-5GID9 50-59 years, male 160.7
GTEX-111FC-3326-SM-5GZYV 60-69 years, male 160.6
GTEX-145LS-3026-SM-5O99S 60-69 years, female 160.6
GTEX-13FXS-3026-SM-5LZYO 50-59 years, male 160.2
GTEX-ZUA1-2926-SM-59HL3 40-49 years, male 160.0
GTEX-1B8L1-3226-SM-7P8OX 60-69 years, male 159.9
GTEX-1GZ2Q-3026-SM-9JGG3 40-49 years, male 159.4
GTEX-QMR6-1326-SM-32PLB 50-59 years, male 159.1
GTEX-RU72-2926-SM-2TF66 50-59 years, female 159.1
GTEX-13FHP-2926-SM-5IJG9 50-59 years, male 158.6
GTEX-X4EP-3026-SM-3P5YP 60-69 years, female 158.6
GTEX-13OW7-2926-SM-5MR3Z 50-59 years, male 158.3
GTEX-12WSH-3126-SM-5LZW8 50-59 years, male 158.2
GTEX-13X6I-2926-SM-5Q5C3 60-69 years, male 158.1
GTEX-T6MN-2526-SM-32PMN 50-59 years, male 158.1
GTEX-12WSC-2926-SM-5BC5Z 50-59 years, male 157.9
GTEX-Z93S-2826-SM-57WBL 50-59 years, male 157.8
GTEX-1KWVE-2226-SM-CXZKN 30-39 years, male 157.4
GTEX-15DYW-3026-SM-7KFRM 60-69 years, female 157.3
GTEX-1H3NZ-2926-SM-9WPQ8 60-69 years, male 157.0
GTEX-1H4P4-2726-SM-9JGGB 50-59 years, male 156.9
GTEX-11NV4-2226-SM-5BC4T 60-69 years, male 156.6
GTEX-11GSO-3026-SM-5Q5AL 60-69 years, male 156.5
GTEX-1R9PO-2826-SM-E6CPV 60-69 years, female 156.5
GTEX-139TT-2626-SM-5LZUB 60-69 years, male 156.3
GTEX-11ZUS-2826-SM-5EQKW 30-39 years, male 156.1
GTEX-UTHO-2926-SM-3P5Z9 60-69 years, male 156.1
GTEX-1KANB-3226-SM-D4P3G 50-59 years, male 155.6
GTEX-14PN4-3026-SM-664O4 50-59 years, male 155.5
GTEX-14C39-3026-SM-5S2QE 40-49 years, male 155.2
GTEX-17JCI-3026-SM-7EWDR 60-69 years, female 155.2
GTEX-18465-2926-SM-7KFSE 50-59 years, male 154.7
GTEX-1RQEC-3026-SM-DPRXM 60-69 years, male 154.2
GTEX-1HSMO-2926-SM-C1YR5 60-69 years, male 154.1
GTEX-13OW8-2926-SM-5L3FV 60-69 years, male 153.7
GTEX-1HBPH-3026-SM-9WPNY 40-49 years, female 153.7
GTEX-11ZVC-3026-SM-59HJM 50-59 years, female 153.0
GTEX-13O3Q-3026-SM-5IJGD 50-59 years, male 152.8
GTEX-1313W-3026-SM-5LZUZ 50-59 years, female 152.4
GTEX-13S7M-3026-SM-5S2QQ 60-69 years, female 152.4
GTEX-1POEN-2726-SM-E9U6B 30-39 years, female 152.4
GTEX-14ASI-2926-SM-5Q5DG 60-69 years, male 151.6
GTEX-13FHO-2926-SM-5L3ES 60-69 years, male 151.4
GTEX-1J1OQ-3126-SM-D4P2O 40-49 years, female 151.4
GTEX-12WSD-3026-SM-5LZU7 60-69 years, female 151.3
GTEX-QDT8-3026-SM-32PKB 30-39 years, female 151.1
GTEX-1MJK2-3026-SM-EV7A5 50-59 years, male 150.9
GTEX-14JFF-2826-SM-6871Q 60-69 years, male 150.7
GTEX-13OVL-3026-SM-5IJF1 50-59 years, male 150.6
GTEX-14DAQ-3026-SM-5S2QZ 60-69 years, female 150.5
GTEX-13112-2926-SM-5DUWT 50-59 years, male 150.1
GTEX-14JIY-2326-SM-6AJAJ 60-69 years, male 150.1
GTEX-1B933-3026-SM-731DB 50-59 years, female 150.0
GTEX-15EO6-2926-SM-6M48D 50-59 years, male 149.9
GTEX-1JJ6O-3026-SM-C1YQH 60-69 years, male 149.9
GTEX-13X6J-2926-SM-7EPGP 50-59 years, male 149.7
GTEX-XLM4-2926-SM-4AT59 60-69 years, male 149.5
GTEX-16YQH-2926-SM-6LPJE 30-39 years, male 149.4
GTEX-1HB9E-3126-SM-AHZ4M 50-59 years, male 148.8
GTEX-11PRG-2826-SM-5BC54 50-59 years, male 148.7
GTEX-1I1GV-3026-SM-CNNR9 60-69 years, male 148.6
GTEX-1I1HK-2726-SM-AHZ2M 60-69 years, male 148.2
GTEX-1EWIQ-3026-SM-7IGOJ 70-79 years, female 148.1
GTEX-18A6Q-2826-SM-7LTAO 60-69 years, male 147.7
GTEX-145MG-3126-SM-5Q5D3 50-59 years, male 147.5
GTEX-17HG3-2826-SM-7EPGO 30-39 years, female 147.0
GTEX-11GSP-3126-SM-5A5LL 60-69 years, female 146.7
GTEX-14JG1-2926-SM-686ZK 40-49 years, male 146.5
GTEX-N7MT-1226-SM-DKPOK 60-69 years, female 146.5
GTEX-1269C-3126-SM-5EGI6 60-69 years, female 146.3
GTEX-1P4AB-3026-SM-EXOJS 50-59 years, male 146.3
GTEX-11EI6-2926-SM-5985U 60-69 years, male 146.2
GTEX-11DYG-2926-SM-5H132 60-69 years, male 146.0
GTEX-13VXU-3026-SM-5LU3K 50-59 years, male 145.7
GTEX-1EX96-3126-SM-9JGGC 50-59 years, male 145.6
GTEX-14BIM-3126-SM-5Q5C7 60-69 years, female 145.3
GTEX-Y111-2826-SM-4TT3O 50-59 years, male 144.8
GTEX-139TS-3126-SM-5LZWX 60-69 years, male 144.7
GTEX-17EVQ-2726-SM-7EWDT 70-79 years, male 143.9
GTEX-1EU9M-2926-SM-793DF 60-69 years, male 143.9
GTEX-132Q8-2926-SM-5IFFP 60-69 years, male 143.7
GTEX-XMD1-2826-SM-4AT5F 60-69 years, male 143.0
GTEX-13G51-3126-SM-5IJG7 60-69 years, male 142.8
GTEX-11ZTS-3226-SM-5EGID 60-69 years, female 142.7
GTEX-11DZ1-2926-SM-5A5KI 50-59 years, male 142.6
GTEX-1GZ4I-2926-SM-9JGGO 50-59 years, male 142.5
GTEX-145MF-2826-SM-7EPGU 50-59 years, male 142.3
GTEX-1NV8Z-3026-SM-DTX8Z 60-69 years, male 141.9
GTEX-17EVP-2926-SM-793BU 40-49 years, male 141.5
GTEX-183WM-2726-SM-7KFRF 70-79 years, female 141.5
GTEX-1H1DG-2826-SM-9JGHB 70-79 years, male 141.2
GTEX-13JVG-3226-SM-5IJGJ 60-69 years, male 141.1
GTEX-13OW6-2926-SM-5KM29 50-59 years, male 141.1
GTEX-11DXW-1026-SM-5H11K 40-49 years, male 141.0
GTEX-13CF2-3026-SM-5IFFX 60-69 years, male 140.9
GTEX-14BIN-3326-SM-5Q5E6 50-59 years, female 140.8
GTEX-1CB4H-3026-SM-79OLX 60-69 years, female 140.8
GTEX-P44G-2526-SM-2I5EK 30-39 years, male 140.6
GTEX-YJ89-2926-SM-5P9IT 60-69 years, male 140.4
GTEX-1BAJH-3126-SM-7MGXY 70-79 years, male 140.4
GTEX-1HCVE-2926-SM-9WPPJ 50-59 years, male 140.4
GTEX-15ER7-3026-SM-6M47W 20-29 years, female 140.2
GTEX-17HHY-2926-SM-79OJW 50-59 years, male 140.0
GTEX-N7MS-2526-SM-2D7W3 60-69 years, male 139.9
GTEX-RNOR-2226-SM-2TF5O 50-59 years, female 139.8
GTEX-WWYW-3026-SM-3NB36 50-59 years, female 139.8
GTEX-ZF28-2926-SM-4WKG1 60-69 years, male 139.7
GTEX-R55E-2526-SM-2TC6H 20-29 years, male 139.1
GTEX-14PJM-3026-SM-6LLHM 50-59 years, female 139.0
GTEX-1JMPZ-2826-SM-C1YRA 30-39 years, male 138.9
GTEX-1GF9W-2726-SM-9JGGW 60-69 years, male 138.7
GTEX-117XS-3126-SM-5GIDP 60-69 years, male 138.3
GTEX-17HII-2926-SM-79OMK 50-59 years, male 138.3
GTEX-1A8G7-3026-SM-73KTT 60-69 years, male 138.3
GTEX-ZVT3-2926-SM-5GU6M 60-69 years, female 137.3
GTEX-X261-3126-SM-4PQZC 50-59 years, male 137.1
GTEX-1F48J-2726-SM-7P8PW 50-59 years, female 136.9
GTEX-1R46S-3126-SM-DPRZ9 60-69 years, female 136.9
GTEX-1CB4G-2926-SM-7MKFQ 60-69 years, male 136.7
GTEX-13PVQ-2926-SM-5L3HJ 50-59 years, male 136.6
GTEX-12ZZY-2926-SM-5DUXO 60-69 years, male 136.0
GTEX-14E7W-2926-SM-5S2R8 70-79 years, male 135.7
GTEX-1H1ZS-2926-SM-9WPP2 70-79 years, male 135.5
GTEX-1IL2V-3026-SM-CYPSA 70-79 years, male 135.4
GTEX-1B996-2926-SM-7MXUH 60-69 years, male 135.2
GTEX-1JMOU-2826-SM-EV79R 60-69 years, female 135.1
GTEX-1EKGG-3126-SM-9WPO5 60-69 years, male 134.5
GTEX-1H3VE-2826-SM-9WPOL 40-49 years, male 134.2
GTEX-1I1CD-2926-SM-A96SJ 60-69 years, female 133.7
GTEX-13OVJ-2726-SM-5IJG6 50-59 years, female 133.2
GTEX-1JN1M-3126-SM-AHZ4E 60-69 years, female 133.1
GTEX-1E2YA-2926-SM-7MGWX 50-59 years, male 133.0
GTEX-13JUV-3026-SM-5K7WX 40-49 years, female 132.7
GTEX-Q2AG-2826-SM-2HMJQ 40-49 years, female 132.0
GTEX-13OVH-2926-SM-5IJFH 70-79 years, male 131.6
GTEX-14PJO-2926-SM-686ZI 60-69 years, male 131.6
GTEX-131YS-3026-SM-5EGHY 60-69 years, female 130.1
GTEX-1128S-2826-SM-5N9DI 60-69 years, female 130.0
GTEX-12ZZX-2826-SM-5BC6K 40-49 years, female 130.0
GTEX-1JJE9-3026-SM-CNNPA 70-79 years, male 129.6
GTEX-144GL-2926-SM-5O99F 50-59 years, male 129.4
GTEX-1IDJH-3126-SM-C1YQS 70-79 years, male 129.4
GTEX-ZYY3-3026-SM-5GIEJ 60-69 years, female 129.3
GTEX-1H3O1-1826-SM-A96TO 60-69 years, male 129.3
GTEX-ZZPT-2926-SM-5EQ5S 50-59 years, male 129.2
GTEX-1C6VR-3026-SM-7IGLW 60-69 years, male 128.9
GTEX-13RTJ-3126-SM-5S2Q4 60-69 years, male 128.1
GTEX-PWO3-1026-SM-2I5F2 60-69 years, female 128.1
GTEX-13X6K-2826-SM-5O9DS 60-69 years, female 127.6
GTEX-13N2G-3126-SM-5IJGL 60-69 years, male 127.1
GTEX-147GR-3126-SM-5S2PM 60-69 years, male 127.1
GTEX-1A3MX-2926-SM-718B7 60-69 years, male 125.8
GTEX-1JMQK-2926-SM-D4P2T 60-69 years, male 125.7
GTEX-11ONC-3026-SM-5985W 60-69 years, male 125.4
GTEX-OHPN-2626-SM-2I5H1 60-69 years, female 125.4
GTEX-14BMV-2926-SM-5TDEE 50-59 years, male 125.3
GTEX-17F97-2926-SM-7DUEQ 50-59 years, male 124.6
GTEX-1F52S-3026-SM-7P8PV 60-69 years, female 124.3
GTEX-11DXY-3126-SM-5N9BT 60-69 years, male 123.8
GTEX-ZAJG-3026-SM-5HL92 50-59 years, female 123.8
GTEX-1HSKV-2926-SM-B2LWJ 60-69 years, male 123.6
GTEX-NPJ7-2826-SM-2I3FU 60-69 years, female 121.8
GTEX-1A8G6-3126-SM-731D8 60-69 years, male 121.6
GTEX-1GTWX-2926-SM-7MXV4 60-69 years, male 121.6
GTEX-1HBPI-2726-SM-9WPPF 50-59 years, male 121.5
GTEX-1EH9U-3126-SM-7MXU5 60-69 years, male 121.2
GTEX-15G19-2826-SM-6M48K 60-69 years, male 120.9
GTEX-X4XX-2926-SM-3NMB1 60-69 years, male 120.5
GTEX-14A5I-2826-SM-5SIBF 50-59 years, female 119.6
GTEX-15SHU-3026-SM-6LPIB 40-49 years, female 118.1
GTEX-QVJO-1325-SM-2S1QX 60-69 years, female 117.9
GTEX-12WSM-2126-SM-5GCOC 60-69 years, male 117.4
GTEX-1JMLX-3026-SM-EV79Q 50-59 years, male 116.5
GTEX-YFC4-3026-SM-5IFJK 40-49 years, female 110.4
GTEX-NPJ8-2626-SM-2D7W2 40-49 years, male 89.7
Show allShow less

CEREBELLUM - FANTOM5 CAGEi

RNA expression in human tissues obtained through Cap Analysis of Gene Expression (CAGE) generated by the FANTOM5 project are reported as Scaled Tags Per Million.

Max subtype Scaled Tags Per Millioni

Max subtype Scaled Tags Per Million is the value for the subtype with the largest average Scaled Tags Per Million across the subtype samples.

343.0
FANTOM5 sample id Sample description Scaled Tags Per Million
Cerebellum
Scaled Tags Per Million: 343.0
FF:10083-102B2 22-68 years, mixed 438.8
FF:10166-103B4 76 years, female 247.2

CEREBELLUM - Pig RNA-seqi

RNA-seq data obtained from pig brain is reported as nTPM .

Normal distribution across the dataset is visualized with box plots, shown as median and 25th and 75th percentiles. Points are displayed as outliers if they are above or below 1.5 times the interquartile range. nTPM values of the individual samples are presented next to the box plot.
Max subtype nTPMi

Max subtype nTPM is the value for the subtype with the largest average nTPM across the subtype samples.

92.9
Pig sample Sample description nTPM
Cerebellum
nTPM: 92.9
Samples: 4

Max nTPM: 121.8
Min nTPM: 81.9
Sample A Female 121.8
Sample B Female 81.9
Sample C Male 82.0
Sample D Male 86.0

CEREBELLUM - Mouse RNA-seqi

RNA-seq data obtained from mouse brain is reported as nTPM .

Normal distribution across the dataset is visualized with box plots, shown as median and 25th and 75th percentiles. Points are displayed as outliers if they are above or below 1.5 times the interquartile range. nTPM values of the individual samples are presented next to the box plot.
Max subtype nTPMi

Max subtype nTPM is the value for the subtype with the largest average nTPM across the subtype samples.

56.7
Mouse sample Sample description nTPM
Cerebellum
nTPM: 56.7
Samples: 4

Max nTPM: 63.3
Min nTPM: 48.3
Sample A Male 63.3
Sample B Male 60.5
Sample C Female 54.7
Sample D Female 48.3

CEREBELLUM - Allen Mouse ISHi

In situ hybridization (ISH) data generated by the Allen brain atlas from mouse brain is reported as expression energy. For more details about a particular experiment, click on the corresponding Allen experiment ID.

Max subtype Expression energyi

Max subtype Expression energy is the value for the subtype with the largest average Expression energy across the subtype samples.

1.6
Allen experiment id Experiment description Expression energy
Cerebellum
Expression energy: 1.6
69201534 Antisense, RP_050317_03_B02, Mouse strain C57BL/6J (56 days, male) 1.6

Contact

  • NEWS ARTICLES
  • PRESS ROOM

The Project

  • INTRODUCTION
  • ORGANIZATION
  • PUBLICATIONS

The Human Protein Atlas

  • DOWNLOADABLE DATA
  • LICENCE & CITATION
  • HELP & FAQ
The Human Protein Atlas project is funded
by the Knut & Alice Wallenberg Foundation.


contact@proteinatlas.org