We use cookies to enhance the usability of our website. If you continue, we'll assume that you are happy to receive all cookies. More information. Don't show this again.
STX4
HPA
RESOURCES
  • TISSUE
  • BRAIN
  • SINGLE CELL
  • SUBCELLULAR
  • CANCER
  • BLOOD
  • CELL LINE
  • STRUCTURE & INTERACTION
ABOUT
  • INTRODUCTION
  • HISTORY
  • ORGANIZATION
  • PUBLICATIONS
  • ANTIBODY SUBMISSION
  • ANTIBODY AVAILABILITY
  • ACKNOWLEDGMENTS
  • CONTACT
NEWS
  • NEWS ARTICLES
  • PRESS ROOM
LEARN
  • DICTIONARY
  • PROTEIN CLASSES
  • PROTEIN EVIDENCE
  • METHODS
  • EDUCATIONAL VIDEOS
DATA
  • DOWNLOADABLE DATA
  • PUBLICATION DATA
  • RELEASE HISTORY
HELP
  • ANTIBODY VALIDATION
  • ASSAYS & ANNOTATION
  • DISCLAIMER
  • HELP & FAQ
  • PRIVACY STATEMENT
  • LICENCE & CITATION
Fields »
Search result

Field
Term
Gene name
Class
Subclass
Class
Keyword
Chromosome
External id
Tissue
Cell type
Expression
Antibody panel
Tissue
Main location
Patient ID
Annotation
Tissue
Category
Tau score
Cluster
Reliability
Brain region
Category
Tau score
Brain region
Category
Tau score
Brain region
Category
Tau score
Cluster
Reliability
Tissue
Cell type
Enrichment
Cell type
Category
Tau score
Cell type
Category
Tau score
Cell type
Category
Tau score
Cell lineage
Category
Tau score
Cluster
Cluster
Location
Searches
Location
Cell line
Class
Type
Phase
Reliability
Cancer
Prognosis
Cancer
Category
Cancer
Category
Tau score
Cluster
Variants
Interacting gene (ensg_id)
Type
Number of interactions
Pathway
Category
Score
Score
Score
Validation
Validation
Validation
Validation
Antibodies
Data type
Column


  • SUMMARY

  • TISSUE

  • BRAIN

  • SINGLE CELL

  • SUBCELL

  • CANCER

  • BLOOD

  • CELL LINE

  • STRUCT & INT

  • STX4
TISSUE PRIMARY DATA ADIPOSE TISSUE Show tissue menu
ADIPOSE TISSUE ADRENAL GLAND AMYGDALA APPENDIX BASAL GANGLIA BONE MARROW BREAST BRONCHUS CEREBELLUM CEREBRAL CORTEX CERVIX CHOROID PLEXUS COLON DUODENUM
ENDOMETRIUM EPIDIDYMIS ESOPHAGUS FALLOPIAN TUBE GALLBLADDER HEART MUSCLE HIPPOCAMPAL FORMATION HYPOTHALAMUS KIDNEY LIVER LUNG LYMPH NODE MIDBRAIN ORAL MUCOSA
OVARY PANCREAS PARATHYROID GLAND PITUITARY GLAND PLACENTA PROSTATE RECTUM RETINA SALIVARY GLAND SEMINAL VESICLE SKELETAL MUSCLE SKIN SMALL INTESTINE SMOOTH MUSCLE
SOFT TISSUE SPINAL CORD SPLEEN STOMACH TESTIS THYMUS THYROID GLAND TONGUE TONSIL URINARY BLADDER VAGINA
ANTIBODIES
AND
VALIDATION
Dictionary
Tissue proteome
Adipose tissue
ADIPOSE TISSUE - Expression summary
Protein expression
Adipose tissuei

On the top, protein expression in current human tissue, based on all annotated cell types, is reported with the units not detected (n), low (l), medium (m) and high (h). Underneath, protein expression in each annotated cell type are reported using the same units.

Protein expression data is based on knowledge-based annotation. For genes where more than one antibody has been used, a collective score is set.

If knowledge-based annotation could not be performed for a gene, no data is displayed here. View antibody staining data further down this page.

h
m
l
n
Adipocytes: Not detected
RNA expressioni

A summary of mRNA expression data available for current tissue based on several datasets. The mRNA expression levels in human tissues are based on RNA-seq data generated by the Human Protein Atlas (HPA), Genotype-Tissue Expression (GTEx) portal and CAGE data generated by the FANTOM5 consortium. Consensus normalized expression levels for human tissues was created by combining the data from HPA and GTEx datasets.

The mRNA expression levels in pig are based on RNA-seq data generated by the Human Protein Atlas (HPA), and for mouse, HPA data and in situ hybridization generated by the Allen brain atlas are reported.

Scroll down to view mRNA expression data in more detail.
Consensus:37.1 nTPM
HPA:32.5 nTPM
GTEx:37.1 nTPM
FANTOM5:31.7 Scaled Tags Per Million

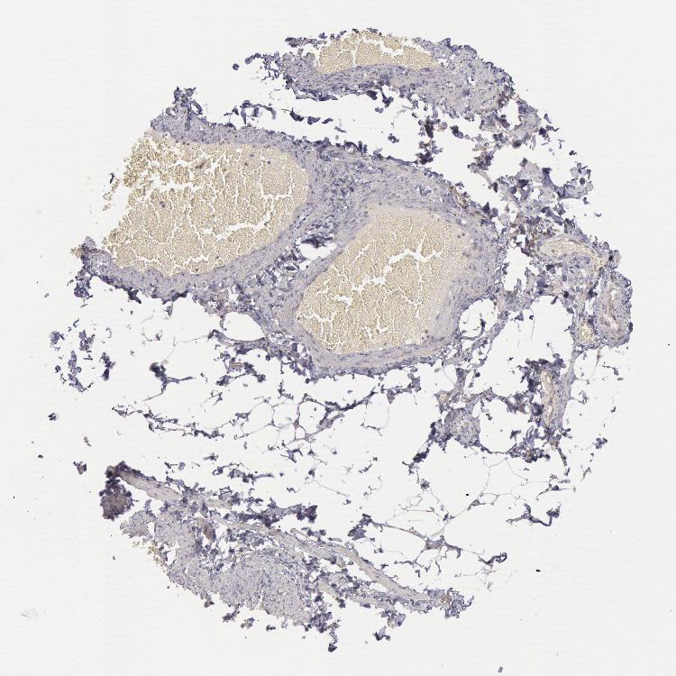
ADIPOSE TISSUE - Antibody stainingi

Antibody staining in the annotated cell types in the current human tissue is reported as not detected, low, medium, or high, based on conventional immunohistochemistry profiling in selected tissues. This score is based on the combination of the staining intensity and fraction of stained cells.

Each image is clickable and will lead to virtual microscopy that enables deeper exploration of all samples and also displays staining intensity scores, fraction scores and subcellular localization as well as patient and tissue information for each sample.

Antibody HPA001330
Adipocytes Not detected




ADIPOSE TISSUE - HPA RNA-seqi

The RNA-seq details section shows detailed information about the individual samples used for the transcript profiling and results of the RNA-seq analysis.

Information about each individual sample is listed below, including gender, age, a tissue section image and estimated fractions of cell types. nTPM (normalized transcripts per million) values give a quantification of the gene abundance which is comparable between different genes and samples.
Average nTPMi

Max subtype nTPM is the value for the subtype with the largest average nTPM across the subtype samples.

32.5
N/A
Female, age 80
Adipose tissue sample 86
nTPM: 35.3
Cell types%
Adipocytes:
95

Other cell types:
5

N/A
Female, age 45
Adipose tissue sample 115
nTPM: 22.8
N/A
Female, age 57
Adipose tissue sample 137
nTPM: 21.7
Cell types%
Adipocytes:
60

Fibroblasts:
20

Smooth muscle cells:
15

Other cell types:
5

overview
Female, age 74
Adipose tissue sample 329
nTPM: 35
Cell types%
Adipocytes:
50

Fibroblasts:
30

Smooth muscle cells:
15

Other cell types:
5

overview
Female, age 59
Adipose tissue sample 331
nTPM: 47.7
Cell types%
Adipocytes:
40

Fibroblasts:
40

Smooth muscle cells:
15

Other cell types:
5


ADIPOSE TISSUE - GTEx RNA-seqi

RNA-Seq data generated by the Genotype-Tissue Expression (GTEx) project from human tissues is reported as mean nTPM. More information can be found on the GTEx portal.

Distribution across the dataset is visualized with box plots, shown as median and 25th and 75th percentiles. Points are displayed as outliers if they are above or below 1.5 times the interquartile range. nTPM values of the individual samples are presented next to the box plot.
Max subtype nTPMi

Max subtype nTPM is the value for the subtype with the largest average nTPM across the subtype samples.

37.1
GTEx sample id Sample description nTPM
Adipose - Subcutaneous
Average nTPM: 37.1
Samples: 663

Max nTPM: 81.1
Min nTPM: 17.3
Std nTPM: 7.9
Median nTPM: 35.8
GTEX-13NYS-0226-SM-5MR49 60-69 years, male 81.1
GTEX-13JVG-0226-SM-5J1MW 60-69 years, male 71.0
GTEX-XMD2-0226-SM-4WWEE 60-69 years, female 69.6
GTEX-11TT1-2426-SM-5EQMK 20-29 years, male 66.8
GTEX-183WM-0226-SM-7LT8T 70-79 years, female 63.9
GTEX-ZE7O-0226-SM-5S2N1 50-59 years, female 63.4
GTEX-ZYVF-0226-SM-5GIEG 50-59 years, female 62.5
GTEX-111VG-2326-SM-5N9BK 60-69 years, male 61.9
GTEX-13FHO-0326-SM-5IJBH 60-69 years, male 61.0
GTEX-14E1K-2126-SM-793DU 50-59 years, male 60.4
GTEX-11GSO-2326-SM-5A5LX 60-69 years, male 60.3
GTEX-14A5H-0526-SM-5TDCN 60-69 years, male 60.1
GTEX-POMQ-2326-SM-DHXIS 20-29 years, female 59.1
GTEX-U8XE-0426-SM-3DB91 30-39 years, male 58.7
GTEX-XK95-0426-SM-4AT4R 40-49 years, male 57.5
GTEX-144GO-1626-SM-7EPG5 60-69 years, male 57.1
GTEX-1GZ4I-0226-SM-7RHHO 50-59 years, male 56.2
GTEX-1HBPH-0526-SM-9YFMN 40-49 years, female 56.1
GTEX-11EQ8-0226-SM-5EQ5G 60-69 years, male 56.0
GTEX-X15G-2326-SM-4PQZS 50-59 years, female 55.7
GTEX-QDT8-0226-SM-32PL4 30-39 years, female 55.5
GTEX-1IL2V-0226-SM-CMKI2 70-79 years, male 55.3
GTEX-1RDX4-0226-SM-DTXG1 50-59 years, female 55.1
GTEX-1LBAC-0226-SM-DHXJZ 20-29 years, male 55.0
GTEX-11UD1-0226-SM-5EQKL 40-49 years, female 54.3
GTEX-11UD2-0126-SM-5EQL2 50-59 years, male 53.9
GTEX-11ZU8-2426-SM-5EQMV 60-69 years, male 53.8
GTEX-1F75W-0226-SM-9JGGP 60-69 years, male 53.6
GTEX-13NZA-0126-SM-5K7UH 60-69 years, male 53.1
GTEX-1I1CD-0226-SM-CM2TL 60-69 years, female 53.1
GTEX-OOBK-0226-SM-2YUMF 40-49 years, male 52.2
GTEX-UJHI-1626-SM-3DB9A 50-59 years, female 52.1
GTEX-1GZ2Q-0326-SM-9WG6N 40-49 years, male 52.1
GTEX-132QS-2526-SM-62LFJ 60-69 years, male 52.0
GTEX-11TTK-0226-SM-5N9EC 60-69 years, female 51.9
GTEX-1RAZQ-0626-SM-E8VOR 30-39 years, male 51.8
GTEX-1IDFM-0226-SM-CMKFX 60-69 years, male 51.7
GTEX-X8HC-0226-SM-4E3K1 50-59 years, female 50.9
GTEX-ZYFD-0226-SM-5NQ86 50-59 years, male 50.7
GTEX-14BIN-0726-SM-793DQ 50-59 years, female 50.3
GTEX-139T4-0126-SM-5HL5G 50-59 years, female 50.2
GTEX-Q734-1826-SM-2I3EL 40-49 years, female 50.2
GTEX-1J1OQ-0326-SM-CYPTJ 40-49 years, female 50.1
GTEX-1N2DW-0326-SM-E9TK3 50-59 years, male 50.1
GTEX-1H1DF-0226-SM-ARL9A 40-49 years, female 50.0
GTEX-1I1GS-0226-SM-B2LVX 60-69 years, male 49.9
GTEX-1M5QR-2126-SM-DKPQM 40-49 years, male 49.9
GTEX-146FQ-0226-SM-5NQAL 30-39 years, male 49.7
GTEX-13SLW-0226-SM-5S2NA 70-79 years, male 49.6
GTEX-1ICLY-0226-SM-ARL7R 50-59 years, male 49.6
GTEX-NPJ8-0226-SM-48TBN 40-49 years, male 49.4
GTEX-144GM-1926-SM-5LUAN 20-29 years, male 49.3
GTEX-18A67-0226-SM-7LG67 50-59 years, male 49.2
GTEX-145MI-0426-SM-5O99V 60-69 years, female 48.9
GTEX-OXRN-0226-SM-2I5EJ 50-59 years, male 48.9
GTEX-1HR9M-0226-SM-COH3E 60-69 years, male 48.9
GTEX-VJWN-0226-SM-EZ6LF 50-59 years, female 48.9
GTEX-R3RS-0226-SM-EYYVE 40-49 years, female 48.7
GTEX-13G51-2626-SM-5LZYW 60-69 years, male 48.4
GTEX-U412-0526-SM-3DB9I 60-69 years, male 48.4
GTEX-Y5V5-2426-SM-5IFJA 60-69 years, female 48.4
GTEX-ZE9C-2826-SM-5S2MO 60-69 years, male 48.4
GTEX-1GN2E-0326-SM-COH3C 60-69 years, male 48.4
GTEX-13YAN-0426-SM-5O9DR 60-69 years, male 47.9
GTEX-X88G-0226-SM-4GIE4 30-39 years, male 47.8
GTEX-16MT8-0526-SM-6PAM6 60-69 years, female 47.7
GTEX-1QEPI-0226-SM-EWRMR 60-69 years, female 47.6
GTEX-17F96-1726-SM-7IGMB 70-79 years, male 47.4
GTEX-1JMQL-0326-SM-CNPP6 50-59 years, female 47.4
GTEX-1IDJD-1226-SM-CM2TP 30-39 years, male 47.3
GTEX-12584-0226-SM-5EQL5 40-49 years, male 47.1
GTEX-1399R-2626-SM-5KLZ7 30-39 years, male 47.1
GTEX-13OVI-1326-SM-5IJBO 60-69 years, female 47.1
GTEX-1HCU8-0726-SM-ADEIR 60-69 years, female 47.1
GTEX-18A6Q-0226-SM-718AS 60-69 years, male 47.0
GTEX-1ICLZ-0226-SM-CKZPP 60-69 years, male 46.8
GTEX-WI4N-1126-SM-3LK7Q 40-49 years, female 46.3
GTEX-ZAJG-0226-SM-5HL81 50-59 years, female 46.3
GTEX-1GN1V-0226-SM-9WYTN 60-69 years, male 46.3
GTEX-133LE-1926-SM-5N9FV 20-29 years, female 46.1
GTEX-14BMV-0226-SM-5S2N2 50-59 years, male 46.0
GTEX-1H3VE-0226-SM-9WYST 40-49 years, male 45.9
GTEX-11ZTS-0226-SM-5EQKD 60-69 years, female 45.5
GTEX-13SLX-0426-SM-5QGRC 50-59 years, female 45.5
GTEX-POYW-0726-SM-2XCEO 60-69 years, male 45.4
GTEX-1EX96-1426-SM-7PBZ5 50-59 years, male 45.2
GTEX-XGQ4-2226-SM-4AT4Y 50-59 years, male 45.1
GTEX-13NZ9-0526-SM-5J1OX 50-59 years, male 45.0
GTEX-1B8SF-0526-SM-7939F 60-69 years, male 45.0
GTEX-ZVP2-1826-SM-5GU62 50-59 years, male 45.0
GTEX-1HR98-0226-SM-CGQEK 60-69 years, male 45.0
GTEX-ZYY3-0226-SM-5E45M 60-69 years, female 44.8
GTEX-Q2AH-1726-SM-DIPDV 40-49 years, male 44.8
GTEX-YJ8A-0526-SM-5IFHT 20-29 years, male 44.6
GTEX-ZVZO-0226-SM-5A5LA 40-49 years, male 44.6
GTEX-1C6VQ-0226-SM-7P8S5 50-59 years, male 44.6
GTEX-PSDG-0326-SM-48TCP 50-59 years, male 44.4
GTEX-13PDP-0226-SM-5K7W9 60-69 years, male 44.3
GTEX-1GMRU-0226-SM-9YFLW 50-59 years, male 44.3
GTEX-11EMC-2826-SM-5PNY6 60-69 years, female 44.2
GTEX-16XZZ-0226-SM-7MGVJ 60-69 years, male 44.2
GTEX-1GTWX-0226-SM-9YFLL 60-69 years, male 44.1
GTEX-TMZS-0226-SM-3DB9N 60-69 years, male 44.0
GTEX-X4XY-0326-SM-46MVZ 60-69 years, male 44.0
GTEX-1399T-2726-SM-5K7XK 60-69 years, male 43.9
GTEX-YB5E-2126-SM-5IFI7 40-49 years, male 43.9
GTEX-1H1DE-2026-SM-9WG6Q 20-29 years, male 43.9
GTEX-ZP4G-2326-SM-57WEM 20-29 years, female 43.6
GTEX-1LVA9-0226-SM-E9U5N 50-59 years, male 43.5
GTEX-15RIE-2326-SM-7KFSC 60-69 years, male 43.4
GTEX-12ZZY-0326-SM-5LZVQ 60-69 years, male 43.3
GTEX-1LGRB-2426-SM-CNPP3 50-59 years, female 43.3
GTEX-1H23P-0226-SM-9YFLO 60-69 years, male 43.2
GTEX-Y9LG-2026-SM-62LFS 30-39 years, male 43.1
GTEX-ZF3C-0226-SM-4WWB3 50-59 years, female 43.1
GTEX-13OVJ-0326-SM-5L3GL 50-59 years, female 43.0
GTEX-1CB4G-0326-SM-7SB8R 60-69 years, male 43.0
GTEX-YJ89-0226-SM-4TT3Y 60-69 years, male 42.9
GTEX-PLZ4-0226-SM-CYPR1 50-59 years, female 42.9
GTEX-WFON-2226-SM-3TW8W 40-49 years, male 42.8
GTEX-1A3MW-0226-SM-7939O 60-69 years, female 42.7
GTEX-1JN6P-0226-SM-COH34 60-69 years, male 42.7
GTEX-14753-0326-SM-5QGQB 60-69 years, male 42.6
GTEX-VUSG-2426-SM-4KKZG 50-59 years, male 42.6
GTEX-ZYT6-0326-SM-7LG5R 30-39 years, male 42.6
GTEX-1R9K5-0226-SM-EWRNF 50-59 years, male 42.5
GTEX-12ZZX-0226-SM-5DUXU 40-49 years, female 42.4
GTEX-13FTY-0626-SM-5L3F8 40-49 years, female 42.4
GTEX-ZTPG-0226-SM-5O99I 20-29 years, female 42.4
GTEX-WVJS-0226-SM-4MVOU 50-59 years, male 42.3
GTEX-1HB9E-0426-SM-CNPPV 50-59 years, male 42.3
GTEX-X261-0226-SM-3NMD2 50-59 years, male 42.2
GTEX-ZDTS-0226-SM-5HL7Q 60-69 years, male 42.2
GTEX-12WSL-2426-SM-5GCN7 50-59 years, male 42.1
GTEX-17MF6-0226-SM-7LG4G 40-49 years, male 42.1
GTEX-U4B1-1726-SM-3DB9F 40-49 years, male 42.1
GTEX-1I6K6-0226-SM-ADEID 30-39 years, male 42.1
GTEX-QESD-1526-SM-2S1QT 20-29 years, male 42.0
GTEX-13OW7-0226-SM-5MR3N 50-59 years, male 41.9
GTEX-13PLJ-0126-SM-5L3HU 60-69 years, female 41.9
GTEX-WFG8-2326-SM-DIPDX 20-29 years, male 41.9
GTEX-1H3VY-0226-SM-9YFMF 50-59 years, male 41.7
GTEX-SN8G-0226-SM-4DM6B 50-59 years, female 41.5
GTEX-ZPCL-2126-SM-57WFZ 60-69 years, female 41.5
GTEX-145LT-1826-SM-5QGP4 40-49 years, male 41.4
GTEX-1FIGZ-1626-SM-7SB8L 40-49 years, male 41.3
GTEX-T2IS-0226-SM-32QPH 20-29 years, female 41.2
GTEX-W5X1-2626-SM-4LMI8 40-49 years, female 41.2
GTEX-ZVZP-2326-SM-59HL4 50-59 years, male 41.2
GTEX-1PWST-0326-SM-EAZ42 70-79 years, male 41.2
GTEX-1B933-0526-SM-7EPHM 50-59 years, female 41.1
GTEX-1J1R8-2226-SM-ARZMP 40-49 years, male 41.1
GTEX-13VXT-0226-SM-5LU9Q 20-29 years, female 41.0
GTEX-18A7A-0326-SM-731AT 50-59 years, female 41.0
GTEX-131XW-0526-SM-5PNXZ 50-59 years, female 40.9
GTEX-132AR-0226-SM-5IJBE 50-59 years, female 40.9
GTEX-13S7M-0226-SM-5S2UG 60-69 years, female 40.9
GTEX-ZQG8-1526-SM-5HL65 60-69 years, female 40.9
GTEX-1N2EF-0626-SM-E9J32 60-69 years, male 40.9
GTEX-11I78-2626-SM-5Q5AI 50-59 years, female 40.8
GTEX-139YR-2426-SM-5J1OB 50-59 years, male 40.7
GTEX-1HBPM-0326-SM-CMKGR 60-69 years, female 40.7
GTEX-SUCS-1826-SM-32PM1 70-79 years, male 40.6
GTEX-T5JC-0526-SM-32PM7 20-29 years, male 40.6
GTEX-WVLH-0226-SM-3MJG6 50-59 years, male 40.6
GTEX-Z9EW-1826-SM-5CVMA 40-49 years, male 40.6
GTEX-1EKGG-0126-SM-9YFLS 60-69 years, male 40.6
GTEX-1AX9J-0326-SM-73KXY 60-69 years, male 40.5
GTEX-1117F-0226-SM-5GZZ7 60-69 years, female 40.4
GTEX-15SDE-2426-SM-7KFRC 50-59 years, female 40.4
GTEX-15UKP-0526-SM-7KFRO 20-29 years, male 40.4
GTEX-1A8G7-0226-SM-731AS 60-69 years, male 40.4
GTEX-145LS-0226-SM-5O9A5 60-69 years, female 40.3
GTEX-14E6C-0226-SM-5S2N3 40-49 years, male 40.3
GTEX-R55G-2426-SM-2TC5I 40-49 years, female 40.3
GTEX-XAJ8-0926-SM-47JXZ 40-49 years, male 40.3
GTEX-XUZC-1826-SM-4BRVO 30-39 years, female 40.3
GTEX-YJ8O-2426-SM-5HL7S 40-49 years, female 40.3
GTEX-SIU8-0226-SM-2XCDS 50-59 years, male 40.2
GTEX-1PPGY-0326-SM-DTXFD 60-69 years, male 40.2
GTEX-1QP9N-1526-SM-DTXFK 30-39 years, male 40.2
GTEX-11ONC-2526-SM-5986W 60-69 years, male 40.0
GTEX-P4PQ-0226-SM-2S1NK 60-69 years, male 40.0
GTEX-N7MS-0326-SM-4E3K2 60-69 years, male 39.9
GTEX-X4EO-0426-SM-4QASA 60-69 years, female 39.9
GTEX-1LSVX-0126-SM-EVYCY 60-69 years, male 39.9
GTEX-13CF2-2626-SM-5LZZA 60-69 years, male 39.7
GTEX-XQ8I-0526-SM-4BOPS 50-59 years, male 39.7
GTEX-1A8G6-0526-SM-7PC1E 60-69 years, male 39.7
GTEX-1A3MX-0226-SM-731C4 60-69 years, male 39.6
GTEX-ZPU1-2426-SM-4WWFM 40-49 years, male 39.6
GTEX-1LB8K-0326-SM-E9TJC 50-59 years, male 39.6
GTEX-UTHO-0426-SM-CE6QU 60-69 years, male 39.6
GTEX-QEL4-0326-SM-3GAE5 50-59 years, male 39.5
GTEX-1212Z-2426-SM-5EQ5D 60-69 years, male 39.4
GTEX-11DXX-2326-SM-9YFKS 60-69 years, female 39.4
GTEX-14DAQ-0226-SM-664MQ 60-69 years, female 39.3
GTEX-TSE9-0226-SM-3DB84 60-69 years, female 39.3
GTEX-1JN1M-0126-SM-D4P23 60-69 years, female 39.3
GTEX-1RAZR-0226-SM-EVYC6 40-49 years, male 39.3
GTEX-R45C-0226-SM-EVYAJ 60-69 years, female 39.3
GTEX-RUSQ-1626-SM-EZ6L4 50-59 years, male 39.3
GTEX-PLZ5-1826-SM-3NB22 50-59 years, male 39.2
GTEX-QDVN-2126-SM-33HBS 50-59 years, male 39.2
GTEX-XYKS-2726-SM-4E3IC 60-69 years, female 39.2
GTEX-14ICK-0326-SM-6LLIZ 40-49 years, male 39.1
GTEX-17F97-0426-SM-7LT9U 50-59 years, male 39.1
GTEX-R55D-0326-SM-48FES 50-59 years, male 39.1
GTEX-1J8JJ-0326-SM-CMKG6 60-69 years, female 39.1
GTEX-13X6J-0226-SM-7EPGC 50-59 years, male 39.0
GTEX-144GL-0226-SM-5QGOX 50-59 years, male 39.0
GTEX-1POEN-0226-SM-EYYXE 30-39 years, female 39.0
GTEX-13PVR-2426-SM-5RQHN 60-69 years, female 38.9
GTEX-WHPG-2126-SM-4M1ZM 50-59 years, male 38.9
GTEX-1MJK2-0526-SM-DTXE6 50-59 years, male 38.9
GTEX-15DCD-0226-SM-6LPKC 70-79 years, female 38.8
GTEX-OHPM-0226-SM-3LK61 50-59 years, male 38.8
GTEX-1GMR3-2026-SM-9MQLG 40-49 years, male 38.8
GTEX-OIZF-0226-SM-E9TI3 60-69 years, male 38.8
GTEX-14PII-0326-SM-6LLIQ 60-69 years, male 38.7
GTEX-11H98-0226-SM-5NQ89 50-59 years, male 38.6
GTEX-131XE-2426-SM-5EQ5V 50-59 years, male 38.6
GTEX-18A66-0326-SM-718BE 60-69 years, male 38.6
GTEX-ZF29-2226-SM-4WWB9 60-69 years, female 38.6
GTEX-1HFI7-2026-SM-CGQFR 50-59 years, female 38.6
GTEX-1HUB1-0326-SM-A9SKQ 60-69 years, male 38.6
GTEX-13FTW-2526-SM-5IJC8 40-49 years, male 38.5
GTEX-T6MN-0226-SM-32PMD 50-59 years, male 38.5
GTEX-XXEK-2426-SM-4BRUS 50-59 years, male 38.4
GTEX-1HT8W-0226-SM-CMKGT 30-39 years, male 38.4
GTEX-1K9T9-0226-SM-E9U6K 50-59 years, female 38.4
GTEX-OIZG-0826-SM-E9TI4 50-59 years, male 38.4
GTEX-139TU-0226-SM-5J1NM 60-69 years, male 38.3
GTEX-1GF9X-1926-SM-ADEIC 40-49 years, female 38.3
GTEX-11TUW-2626-SM-5EQKZ 60-69 years, male 38.2
GTEX-1314G-1626-SM-5EQ67 30-39 years, male 38.2
GTEX-131YS-0226-SM-5IJEH 60-69 years, female 38.2
GTEX-13NZ8-0926-SM-5MR3U 60-69 years, female 38.2
GTEX-SSA3-0226-SM-32QPN 60-69 years, male 38.2
GTEX-X638-0226-SM-47JZ9 70-79 years, female 38.2
GTEX-YFCO-2026-SM-4W21Q 40-49 years, male 38.2
GTEX-1HCVE-0226-SM-CGQEV 50-59 years, male 38.2
GTEX-14AS3-2026-SM-5TDD9 40-49 years, female 38.1
GTEX-14PJ4-2226-SM-6LLIS 60-69 years, male 38.1
GTEX-1AYD5-2326-SM-73KXF 50-59 years, male 38.1
GTEX-OIZH-0226-SM-2YUMH 50-59 years, male 38.1
GTEX-WY7C-2426-SM-3NB2V 50-59 years, male 38.1
GTEX-X4LF-1726-SM-3NMBZ 50-59 years, male 38.1
GTEX-1HCUA-2226-SM-ADEHF 50-59 years, female 38.1
GTEX-VUSH-0226-SM-EXUQV 30-39 years, male 38.1
GTEX-1OFPY-2326-SM-E8VNU 60-69 years, male 38.0
GTEX-1H1ZS-0526-SM-9WG5L 70-79 years, male 37.9
GTEX-1H4P4-0226-SM-9YFKT 50-59 years, male 37.9
GTEX-1OJC4-1726-SM-EXUSV 50-59 years, female 37.9
GTEX-139T8-0226-SM-5L3EA 60-69 years, male 37.8
GTEX-X5EB-2426-SM-4E3HX 40-49 years, male 37.8
GTEX-XV7Q-2626-SM-4BRVA 40-49 years, female 37.8
GTEX-13D11-2326-SM-5IJCY 50-59 years, female 37.7
GTEX-14LLW-0226-SM-62LEL 70-79 years, female 37.7
GTEX-ZXG5-0226-SM-59HJI 60-69 years, male 37.7
GTEX-1C6VR-2626-SM-7MGX2 60-69 years, male 37.7
GTEX-1GN1U-0226-SM-9YFLQ 50-59 years, female 37.7
GTEX-11DZ1-0226-SM-5A5KF 50-59 years, male 37.6
GTEX-T6MO-1726-SM-33HB8 40-49 years, female 37.6
GTEX-1399U-2426-SM-5K7XB 50-59 years, female 37.5
GTEX-13O1R-0226-SM-5K7U5 60-69 years, male 37.5
GTEX-13O3Q-2326-SM-5KM3G 50-59 years, male 37.5
GTEX-14PK6-2026-SM-6LLHP 70-79 years, female 37.5
GTEX-16MTA-2126-SM-6PALC 50-59 years, male 37.5
GTEX-1AX9K-2426-SM-73KZ4 50-59 years, male 37.5
GTEX-1S82P-0226-SM-E6CI6 60-69 years, female 37.5
GTEX-1C6WA-0226-SM-7IGPO 60-69 years, male 37.4
GTEX-11PRG-0626-SM-5BC56 50-59 years, male 37.3
GTEX-139D8-0326-SM-5IJCJ 30-39 years, female 37.3
GTEX-1497J-2326-SM-5NQBK 60-69 years, male 37.3
GTEX-14PJ6-2226-SM-6LLIV 60-69 years, female 37.3
GTEX-16YQH-0226-SM-6PALD 30-39 years, male 37.3
GTEX-17F9Y-0326-SM-7IGLS 70-79 years, female 37.3
GTEX-1C6VS-0426-SM-79OJV 60-69 years, male 37.3
GTEX-1RAZA-0226-SM-E9U4W 20-29 years, male 37.3
GTEX-1211K-2226-SM-5FQU6 60-69 years, female 37.2
GTEX-1IGQW-0226-SM-COH43 60-69 years, male 37.2
GTEX-RVPV-1526-SM-EXOHF 60-69 years, male 37.2
GTEX-13O3P-0226-SM-5KM3Z 50-59 years, male 37.1
GTEX-13QBU-2526-SM-5LU4X 40-49 years, female 37.0
GTEX-Y8E4-0726-SM-4WWFN 40-49 years, male 37.0
GTEX-12ZZZ-0526-SM-5DUX6 60-69 years, male 36.9
GTEX-147F3-0626-SM-5NQ9I 50-59 years, female 36.9
GTEX-1CAMS-0326-SM-7PC35 40-49 years, female 36.9
GTEX-1HSMO-0226-SM-CGQEZ 60-69 years, male 36.9
GTEX-1IE54-0226-SM-CMKHX 40-49 years, female 36.9
GTEX-1JJE9-1226-SM-CNPOI 70-79 years, male 36.9
GTEX-14PJ3-1926-SM-62LEY 50-59 years, male 36.8
GTEX-TKQ1-1126-SM-4GIAZ 30-39 years, male 36.8
GTEX-1GF9V-0226-SM-9MQKA 60-69 years, male 36.8
GTEX-1R7EV-1926-SM-EVYBF 40-49 years, male 36.8
GTEX-ZLWG-2226-SM-DO92V 50-59 years, female 36.8
GTEX-1128S-2126-SM-5H12U 60-69 years, female 36.7
GTEX-1269C-2726-SM-5EGJ4 60-69 years, female 36.7
GTEX-18465-0226-SM-7LG5M 50-59 years, male 36.7
GTEX-Y8E5-0226-SM-57WCM 60-69 years, male 36.7
GTEX-1122O-2026-SM-9YFMG 60-69 years, female 36.7
GTEX-17KNJ-2226-SM-DKPOU 50-59 years, male 36.7
GTEX-1QPFJ-0126-SM-E9J4B 30-39 years, female 36.7
GTEX-1S831-0326-SM-EVYD3 20-29 years, male 36.7
GTEX-YF7O-2426-SM-5IFJL 50-59 years, male 36.6
GTEX-ZZ64-1626-SM-5E43W 20-29 years, male 36.6
GTEX-1QP6S-0126-SM-E9J4K 40-49 years, male 36.6
GTEX-1R46S-0526-SM-EVYBZ 60-69 years, female 36.6
GTEX-13OW6-0526-SM-5L3HY 50-59 years, male 36.5
GTEX-145MN-2626-SM-5NQAH 30-39 years, male 36.5
GTEX-RWSA-0226-SM-2XCBA 40-49 years, male 36.5
GTEX-WH7G-2226-SM-3NMBN 40-49 years, male 36.5
GTEX-XBEW-0726-SM-4QARX 40-49 years, male 36.5
GTEX-Y3I4-2226-SM-4TT7O 50-59 years, male 36.5
GTEX-SJXC-0226-SM-2XCDU 60-69 years, male 36.4
GTEX-1QP28-0226-SM-E9J2N 50-59 years, female 36.4
GTEX-13111-1726-SM-5EGJZ 50-59 years, male 36.3
GTEX-OHPN-0226-SM-48TBV 60-69 years, female 36.3
GTEX-111FC-0226-SM-5N9B8 60-69 years, male 36.2
GTEX-145MG-0126-SM-5TDDA 50-59 years, male 36.2
GTEX-1HSEH-0226-SM-ACKVV 60-69 years, male 36.2
GTEX-14PJM-0326-SM-62LF2 50-59 years, female 36.1
GTEX-13NYB-2626-SM-9YFMI 40-49 years, male 36.1
GTEX-1JK1U-2126-SM-CNPOU 60-69 years, male 36.0
GTEX-111CU-1826-SM-5GZYN 50-59 years, male 35.9
GTEX-1KD5A-0326-SM-D5OVD 50-59 years, male 35.9
GTEX-1LG7Y-0426-SM-DKPQB 50-59 years, male 35.9
GTEX-ZLFU-2626-SM-DO91L 40-49 years, male 35.9
GTEX-11P81-2426-SM-5GU65 30-39 years, female 35.8
GTEX-12126-0426-SM-5Q5AP 20-29 years, male 35.8
GTEX-14PHX-2426-SM-62LEN 50-59 years, male 35.8
GTEX-O5YV-0226-SM-48TBY 60-69 years, female 35.8
GTEX-RM2N-1726-SM-2TF55 50-59 years, male 35.8
GTEX-XUW1-0526-SM-4BOP3 50-59 years, female 35.8
GTEX-1EH9U-0226-SM-7PBY8 60-69 years, male 35.8
GTEX-1PPH8-0626-SM-EWRN9 20-29 years, male 35.8
GTEX-11EQ9-2526-SM-5HL66 30-39 years, male 35.7
GTEX-1LH75-2526-SM-E9U5A 50-59 years, female 35.7
GTEX-12C56-1626-SM-5FQUO 20-29 years, male 35.6
GTEX-13NZB-2426-SM-5K7UF 30-39 years, male 35.6
GTEX-14JG1-0526-SM-6LLHW 40-49 years, male 35.6
GTEX-XBEC-0326-SM-4AT4M 50-59 years, male 35.6
GTEX-Y3IK-2526-SM-4WWDM 50-59 years, female 35.6
GTEX-1HCU7-0326-SM-CMKGI 50-59 years, male 35.6
GTEX-1J8EW-0226-SM-CYPSW 60-69 years, female 35.6
GTEX-1LVAO-0226-SM-E9U6O 60-69 years, male 35.6
GTEX-13112-2726-SM-5DUW5 50-59 years, male 35.5
GTEX-13N1W-0226-SM-5K7W6 70-79 years, male 35.5
GTEX-ZC5H-0126-SM-4WAYL 40-49 years, female 35.5
GTEX-1CAMR-1826-SM-7MXUJ 20-29 years, male 35.5
GTEX-1LVAN-0126-SM-COH4H 50-59 years, female 35.5
GTEX-11O72-0226-SM-59869 40-49 years, male 35.4
GTEX-S7SE-0226-SM-2XCD4 50-59 years, male 35.4
GTEX-ZVE2-0326-SM-57WFC 50-59 years, male 35.4
GTEX-Q2AI-1426-SM-2S1P5 40-49 years, male 35.3
GTEX-1IY9M-0226-SM-CMKHP 60-69 years, male 35.3
GTEX-W5WG-2526-SM-4SOJ2 50-59 years, female 35.2
GTEX-1LSNL-0526-SM-DIPFI 50-59 years, male 35.2
GTEX-1QP2A-0226-SM-EVYBC 50-59 years, male 35.2
GTEX-1BAJH-0426-SM-73KWY 70-79 years, male 35.1
GTEX-1HSMQ-1426-SM-ADEHT 50-59 years, male 35.1
GTEX-1R9PM-2126-SM-E8VOB 20-29 years, male 35.1
GTEX-12WSA-0326-SM-5BC6I 60-69 years, male 35.0
GTEX-15ETS-0426-SM-6PANI 40-49 years, female 35.0
GTEX-17EUY-0526-SM-7EWDE 20-29 years, male 35.0
GTEX-P4QS-0226-SM-3NB1U 60-69 years, male 35.0
GTEX-16BQI-0526-SM-6PAM8 30-39 years, female 34.9
GTEX-1E1VI-0226-SM-793CZ 50-59 years, male 34.9
GTEX-P78B-0226-SM-3NB1Z 40-49 years, female 34.9
GTEX-XLM4-0226-SM-4AT4N 60-69 years, male 34.9
GTEX-1R7EU-0326-SM-EWRNJ 60-69 years, male 34.9
GTEX-12WSC-0226-SM-5EQ52 50-59 years, male 34.8
GTEX-183FY-0326-SM-793BY 20-29 years, male 34.8
GTEX-1I1GV-0426-SM-ARZLX 60-69 years, male 34.8
GTEX-1IKJJ-0226-SM-COH3T 60-69 years, male 34.8
GTEX-1LG7Z-2026-SM-DLHBP 30-39 years, male 34.8
GTEX-18D9A-2026-SM-718BL 30-39 years, female 34.7
GTEX-YFC4-0226-SM-57WD2 40-49 years, female 34.7
GTEX-Z93S-0226-SM-5HL7R 50-59 years, male 34.7
GTEX-1F75A-0226-SM-7PC2K 50-59 years, male 34.7
GTEX-11DXW-0326-SM-5H11W 40-49 years, male 34.6
GTEX-1313W-0226-SM-5LZV7 50-59 years, female 34.6
GTEX-ZYW4-0226-SM-5E44M 60-69 years, male 34.6
GTEX-1B932-0226-SM-7PBYH 40-49 years, female 34.6
GTEX-1F6RS-0226-SM-9MQKO 60-69 years, female 34.6
GTEX-1I1GU-2326-SM-CGQFB 40-49 years, male 34.6
GTEX-1I1HK-0226-SM-COH4A 60-69 years, male 34.5
GTEX-1LGOU-2226-SM-E9U56 20-29 years, female 34.5
GTEX-14C39-2526-SM-5S2UH 40-49 years, male 34.4
GTEX-XQ3S-1626-SM-4WAYN 20-29 years, male 34.4
GTEX-1I6K7-0226-SM-CJI46 40-49 years, male 34.4
GTEX-1IKK5-0526-SM-CMKGG 60-69 years, male 34.4
GTEX-1KAFJ-2426-SM-D4P32 50-59 years, male 34.4
GTEX-11ZUS-0726-SM-59886 30-39 years, male 34.3
GTEX-13W3W-2526-SM-5SI9P 60-69 years, female 34.3
GTEX-11GS4-2626-SM-5A5LD 60-69 years, male 34.2
GTEX-139T6-2126-SM-5KM37 50-59 years, male 34.2
GTEX-S33H-1126-SM-2XCB6 30-39 years, male 34.2
GTEX-YEC3-1226-SM-5IFI8 50-59 years, male 34.2
GTEX-1F48J-0226-SM-7SB82 50-59 years, female 34.2
GTEX-1MA7W-1926-SM-E6CIO 20-29 years, female 34.2
GTEX-13IVO-0226-SM-5LZXU 70-79 years, male 34.1
GTEX-13RTJ-2526-SM-5S2Q3 60-69 years, male 34.1
GTEX-16AAH-2026-SM-7LG5F 50-59 years, male 34.1
GTEX-QV44-1825-SM-447CF 50-59 years, male 34.1
GTEX-1H1CY-2626-SM-9MQKJ 60-69 years, female 34.1
GTEX-PX3G-0226-SM-DKPOF 20-29 years, female 34.1
GTEX-13N2G-2726-SM-5J1MG 60-69 years, male 34.0
GTEX-15CHQ-0226-SM-6EU2S 60-69 years, male 34.0
GTEX-1C4CL-0426-SM-7939N 30-39 years, male 34.0
GTEX-QEG5-0326-SM-2S1PB 20-29 years, male 34.0
GTEX-QLQ7-1526-SM-2S1QA 60-69 years, male 34.0
GTEX-1HSGN-0126-SM-CGQFU 40-49 years, female 34.0
GTEX-RNOR-0226-SM-EZ6MF 50-59 years, female 34.0
GTEX-147GR-0426-SM-5S2OL 60-69 years, male 33.9
GTEX-Y111-0226-SM-4SOIW 50-59 years, male 33.9
GTEX-1CB4E-1826-SM-7RHG8 60-69 years, male 33.9
GTEX-1JMLX-0126-SM-CMKG9 50-59 years, male 33.9
GTEX-13JUV-2826-SM-5LZWU 40-49 years, female 33.8
GTEX-14PN3-2526-SM-6EU15 60-69 years, female 33.8
GTEX-17HGU-0326-SM-7DUER 50-59 years, male 33.8
GTEX-1GMR8-0226-SM-9YFL3 50-59 years, female 33.8
GTEX-1KANA-0826-SM-D3L9J 20-29 years, male 33.8
GTEX-QEG4-0326-SM-DIPE3 30-39 years, male 33.8
GTEX-111YS-2426-SM-5GZZQ 60-69 years, male 33.7
GTEX-QMRM-1726-SM-2S1QG 50-59 years, male 33.7
GTEX-1JKYN-1226-SM-CGQG8 30-39 years, male 33.7
GTEX-1PBJI-0426-SM-E8VNM 20-29 years, female 33.7
GTEX-12KS4-0426-SM-5EQMC 30-39 years, male 33.6
GTEX-1B8KZ-1926-SM-7DUG8 50-59 years, male 33.6
GTEX-ZPIC-1826-SM-57WFE 40-49 years, female 33.6
GTEX-ZVT2-2226-SM-5NQ6P 50-59 years, female 33.6
GTEX-1HBPI-1426-SM-B2LW7 50-59 years, male 33.6
GTEX-1L5NE-2626-SM-E9U6P 50-59 years, male 33.6
GTEX-SNOS-1426-SM-32PLY 40-49 years, male 33.5
GTEX-XUYS-0226-SM-47JX1 50-59 years, male 33.5
GTEX-ZAK1-0226-SM-5CVMX 50-59 years, female 33.5
GTEX-1CB4J-1126-SM-7PBY1 60-69 years, male 33.5
GTEX-1PIIG-0326-SM-EVYBV 30-39 years, male 33.5
GTEX-XOT4-0226-SM-4B66Z 60-69 years, female 33.5
GTEX-13PVQ-0226-SM-5SIBG 50-59 years, male 33.4
GTEX-16NPX-0326-SM-7EWDI 50-59 years, male 33.4
GTEX-P4QT-0226-SM-3LK68 50-59 years, female 33.4
GTEX-RU72-1026-SM-46MUG 50-59 years, female 33.4
GTEX-1I19N-0426-SM-ACKVY 70-79 years, male 33.4
GTEX-113IC-0226-SM-5HL5C 60-69 years, male 33.3
GTEX-17HG3-2326-SM-79OKH 30-39 years, female 33.3
GTEX-WL46-0326-SM-3LK6Y 50-59 years, male 33.3
GTEX-1IDJU-2526-SM-CMKGF 60-69 years, female 33.3
GTEX-1JKYR-0226-SM-CNPOK 20-29 years, male 33.3
GTEX-1QP66-1326-SM-DTXDQ 50-59 years, male 33.3
GTEX-117YX-2226-SM-5EGJJ 50-59 years, male 33.2
GTEX-OOBJ-0226-SM-2YUMM 60-69 years, male 33.2
GTEX-18QFQ-0226-SM-731BQ 30-39 years, male 33.2
GTEX-1GPI7-0226-SM-9MQKB 20-29 years, male 33.2
GTEX-1H2FU-0226-SM-9YFKO 60-69 years, female 33.2
GTEX-1JMQI-2026-SM-CMKGP 50-59 years, male 33.2
GTEX-1S5ZU-0226-SM-E6CHW 20-29 years, female 33.2
GTEX-11WQC-2426-SM-5EQKQ 60-69 years, male 33.1
GTEX-1GMR2-2526-SM-9MQKW 50-59 years, male 33.1
GTEX-1GN1W-0626-SM-9MQK3 50-59 years, female 33.1
GTEX-WYJK-0226-SM-EYYV8 50-59 years, male 33.1
GTEX-12WSD-0226-SM-59HKO 60-69 years, female 33.0
GTEX-1F6I4-0226-SM-9MQMA 60-69 years, male 33.0
GTEX-1IL2U-0326-SM-CE6T9 60-69 years, male 33.0
GTEX-13O61-2426-SM-5J1NV 60-69 years, male 32.9
GTEX-145ME-1926-SM-5MR6T 40-49 years, female 32.9
GTEX-1MA7X-2126-SM-E6CIX 60-69 years, male 32.9
GTEX-Y5V6-2526-SM-5IFJV 60-69 years, male 32.8
GTEX-ZTX8-1526-SM-5N9GI 20-29 years, male 32.8
GTEX-1HSMP-0226-SM-CGQFI 70-79 years, male 32.8
GTEX-1QP29-0726-SM-DTXFM 50-59 years, male 32.8
GTEX-11OF3-2426-SM-5Q5AS 60-69 years, male 32.7
GTEX-13N11-2626-SM-5K7UQ 50-59 years, female 32.7
GTEX-13OVK-2126-SM-6PAN1 40-49 years, male 32.7
GTEX-144FL-0226-SM-5Q5D4 50-59 years, male 32.7
GTEX-ZVT4-0226-SM-51MSD 50-59 years, female 32.7
GTEX-1E2YA-0226-SM-9MQLY 50-59 years, male 32.7
GTEX-1NHNU-1126-SM-E9J2C 50-59 years, male 32.7
GTEX-WFG7-2526-SM-EWRM5 20-29 years, male 32.7
GTEX-1I1GT-0526-SM-CGQEQ 60-69 years, female 32.6
GTEX-146FR-1826-SM-5QGPF 60-69 years, female 32.5
GTEX-14JIY-0526-SM-62LFH 60-69 years, male 32.4
GTEX-OXRK-0326-SM-3NB3R 50-59 years, female 32.4
GTEX-Y114-2326-SM-4TT7X 50-59 years, female 32.4
GTEX-1JJ6O-0226-SM-E6CI9 60-69 years, male 32.4
GTEX-1KXAM-2326-SM-CYPTD 60-69 years, male 32.4
GTEX-ZGAY-0626-SM-DO92E 40-49 years, female 32.4
GTEX-17HII-0326-SM-7LG4X 50-59 years, male 32.3
GTEX-1EU9M-0326-SM-7RHGF 60-69 years, male 32.3
GTEX-1GZ4H-1826-SM-9MQLE 50-59 years, female 32.3
GTEX-U3ZM-1026-SM-EZ6LD 40-49 years, male 32.3
GTEX-17HHY-0226-SM-793BQ 50-59 years, male 32.2
GTEX-ZV68-0226-SM-59HJF 50-59 years, female 32.2
GTEX-1EWIQ-0226-SM-793D3 70-79 years, female 32.1
GTEX-YEC4-2426-SM-57WFO 40-49 years, male 32.1
GTEX-ZDTT-2626-SM-5S2OP 60-69 years, male 32.1
GTEX-11ZVC-2626-SM-5FQTA 50-59 years, female 32.0
GTEX-ZUA1-0226-SM-5NQ9Q 40-49 years, male 31.9
GTEX-13VXU-0226-SM-5SI9R 50-59 years, male 31.8
GTEX-VJYA-1326-SM-3GIJC 60-69 years, male 31.8
GTEX-1H3O1-0526-SM-9MQLS 60-69 years, male 31.8
GTEX-11ZTT-2526-SM-5EQM9 60-69 years, female 31.7
GTEX-13113-1826-SM-5LZW4 60-69 years, female 31.7
GTEX-14E6D-0226-SM-62LDW 50-59 years, male 31.7
GTEX-1HGF4-2526-SM-ADEIZ 60-69 years, male 31.7
GTEX-1ICG6-2626-SM-CGQG1 70-79 years, female 31.7
GTEX-P4PP-0226-SM-D4P1Z 30-39 years, female 31.7
GTEX-QCQG-1826-SM-2S1P2 50-59 years, female 31.6
GTEX-XMK1-2226-SM-4B673 40-49 years, male 31.6
GTEX-1A32A-0226-SM-718B2 50-59 years, female 31.5
GTEX-PWCY-1926-SM-3NB25 20-29 years, female 31.5
GTEX-1JMQK-0126-SM-CM2S3 60-69 years, male 31.5
GTEX-1C64O-0226-SM-73KXB 60-69 years, male 31.4
GTEX-T8EM-1126-SM-3DB7D 40-49 years, male 31.4
GTEX-YECK-0226-SM-4W215 60-69 years, male 31.4
GTEX-1HFI6-0326-SM-ADEI5 40-49 years, male 31.4
GTEX-146FH-0226-SM-5QGPQ 50-59 years, female 31.3
GTEX-1B8KE-2526-SM-73KYQ 50-59 years, male 31.3
GTEX-14BIL-0226-SM-5SI9E 50-59 years, male 31.2
GTEX-131XF-2226-SM-5EQKG 60-69 years, male 31.1
GTEX-1B97I-1726-SM-7939V 40-49 years, male 31.1
GTEX-1MUQO-0526-SM-E9J31 60-69 years, male 31.1
GTEX-13FHP-0226-SM-5K7WD 50-59 years, male 31.0
GTEX-15ER7-0426-SM-6PAM3 20-29 years, female 31.0
GTEX-1QAET-1126-SM-E8VML 50-59 years, male 31.0
GTEX-11EI6-0226-SM-5EQ64 60-69 years, male 30.9
GTEX-1GN73-0326-SM-9KNTW 60-69 years, male 30.9
GTEX-S4P3-1526-SM-E9J3W 50-59 years, female 30.9
GTEX-13CF3-2326-SM-5IFGL 60-69 years, female 30.8
GTEX-14C5O-0226-SM-5SI6O 60-69 years, male 30.8
GTEX-Z93T-0226-SM-5HL5Z 50-59 years, male 30.8
GTEX-ZLV1-1826-SM-5FQU5 60-69 years, female 30.8
GTEX-1PDJ9-0426-SM-E9J3E 20-29 years, male 30.8
GTEX-11P82-1726-SM-5Q5AT 20-29 years, male 30.7
GTEX-ZTSS-2026-SM-5987K 40-49 years, male 30.7
GTEX-14BMU-2126-SM-5S2TS 20-29 years, female 30.6
GTEX-17F98-1126-SM-79OJS 40-49 years, female 30.6
GTEX-OXRP-0226-SM-3NB14 60-69 years, female 30.6
GTEX-1MCYP-1826-SM-E9J2Q 20-29 years, female 30.6
GTEX-O5YT-0226-SM-32PK5 20-29 years, male 30.5
GTEX-P44H-0326-SM-2XCES 40-49 years, male 30.5
GTEX-Y8LW-1926-SM-4WWFZ 50-59 years, female 30.5
GTEX-ZT9X-1926-SM-57WE7 40-49 years, male 30.5
GTEX-ZZPU-2726-SM-5NQ8O 50-59 years, female 30.5
GTEX-11NUK-0326-SM-5HL5K 50-59 years, male 30.5
GTEX-1J8QM-2326-SM-CYPSL 60-69 years, female 30.5
GTEX-13O21-1526-SM-5K7W4 50-59 years, male 30.4
GTEX-11LCK-1126-SM-5A5KC 30-39 years, male 30.3
GTEX-U3ZN-2626-SM-3DB7T 30-39 years, female 30.3
GTEX-ZEX8-2326-SM-5S2MN 50-59 years, male 30.3
GTEX-1CB4H-0326-SM-9WG5G 60-69 years, female 30.3
GTEX-12WSM-0226-SM-5LZV6 60-69 years, male 30.2
GTEX-14PJ2-0226-SM-6LLH4 50-59 years, male 30.2
GTEX-16GPK-0226-SM-7DUFI 60-69 years, male 30.2
GTEX-1A3MV-2126-SM-718BV 30-39 years, male 30.2
GTEX-1AMEY-1426-SM-7939I 30-39 years, female 30.2
GTEX-1F88E-0526-SM-7SB8J 60-69 years, female 30.2
GTEX-1IOXB-0226-SM-CMKHY 50-59 years, male 30.2
GTEX-1QW4Y-1626-SM-EAZ41 30-39 years, male 30.2
GTEX-1RQEC-0526-SM-E6CHV 60-69 years, male 30.2
GTEX-13QJ3-0426-SM-5RQHP 50-59 years, male 30.1
GTEX-14DAR-1926-SM-5S2NQ 50-59 years, male 30.1
GTEX-14E6E-1926-SM-664N4 30-39 years, male 30.0
GTEX-15G19-0226-SM-6PAL2 60-69 years, male 30.0
GTEX-17MFQ-1826-SM-7DHLS 20-29 years, male 30.0
GTEX-13FH7-2226-SM-5IJD4 50-59 years, female 29.9
GTEX-S32W-2226-SM-2XCAY 50-59 years, female 29.9
GTEX-1QP67-1726-SM-E8VOP 40-49 years, female 29.9
GTEX-13OVL-0326-SM-5IJCS 50-59 years, male 29.8
GTEX-17HHE-1926-SM-7EPGW 50-59 years, male 29.8
GTEX-1JJEA-0226-SM-COH2X 60-69 years, male 29.8
GTEX-T5JW-1726-SM-3GADN 20-29 years, female 29.7
GTEX-OXRO-0226-SM-3LK6F 60-69 years, female 29.6
GTEX-PWN1-0226-SM-DKPO9 40-49 years, female 29.6
GTEX-13U4I-0226-SM-5SIB1 40-49 years, female 29.5
GTEX-R53T-1626-SM-3GAEW 50-59 years, female 29.5
GTEX-TML8-2026-SM-32QOP 40-49 years, female 29.5
GTEX-1AMFI-2126-SM-731BT 50-59 years, female 29.4
GTEX-1CAMQ-0126-SM-7SB7S 40-49 years, male 29.3
GTEX-1C2JI-2226-SM-7IGPJ 50-59 years, male 29.2
GTEX-1H1E6-2026-SM-9KNVK 30-39 years, male 29.2
GTEX-16NGA-1826-SM-7LG5L 40-49 years, female 29.1
GTEX-ZXES-2026-SM-5NQ6R 30-39 years, female 29.1
GTEX-1JMPY-1426-SM-ARL8Z 30-39 years, male 29.1
GTEX-OHPK-0226-SM-3MJH6 50-59 years, female 29.0
GTEX-169BO-1426-SM-9MQJT 50-59 years, male 29.0
GTEX-14ABY-0326-SM-5TDDK 50-59 years, male 28.9
GTEX-1S83E-0226-SM-EVYCW 40-49 years, male 28.9
GTEX-13OW8-1226-SM-5K7XD 60-69 years, male 28.8
GTEX-1F88F-2626-SM-9WG5K 60-69 years, female 28.8
GTEX-Q2AG-0226-SM-2S1P4 40-49 years, female 28.7
GTEX-1AYCT-2226-SM-7SB98 50-59 years, male 28.7
GTEX-145MO-0426-SM-5QGP6 60-69 years, male 28.6
GTEX-1C475-1926-SM-7DUFV 40-49 years, female 28.6
GTEX-1JN76-0226-SM-CMKGO 20-29 years, female 28.3
GTEX-1LSNM-2026-SM-E6CIJ 50-59 years, male 28.3
GTEX-QV31-1326-SM-2S1QE 30-39 years, male 28.2
GTEX-R55C-1626-SM-48FEG 40-49 years, male 28.2
GTEX-YB5K-2226-SM-4WWG1 40-49 years, female 28.2
GTEX-1EMGI-0226-SM-9MQL1 60-69 years, male 28.2
GTEX-14ICL-2026-SM-62LDN 30-39 years, male 28.1
GTEX-XPVG-2726-SM-4B66W 50-59 years, male 28.1
GTEX-1I4MK-2026-SM-B2LVR 50-59 years, female 28.1
GTEX-1PIGE-0526-SM-DTXFA 20-29 years, male 28.1
GTEX-11XUK-2126-SM-5EQLR 40-49 years, female 28.0
GTEX-17EVP-0426-SM-79OKG 40-49 years, male 28.0
GTEX-1B996-0126-SM-7PBYF 60-69 years, male 28.0
GTEX-ZYFC-0326-SM-5NQ7H 50-59 years, male 27.9
GTEX-1F75I-0426-SM-7PC3S 40-49 years, male 27.9
GTEX-1I1GR-0226-SM-CMKHQ 60-69 years, male 27.9
GTEX-147JS-0426-SM-5TDD2 60-69 years, male 27.8
GTEX-QLQW-1226-SM-2S1Q9 30-39 years, male 27.8
GTEX-1IDJF-0226-SM-CMKGE 20-29 years, male 27.7
GTEX-139TT-0226-SM-5K7YH 60-69 years, male 27.6
GTEX-QDVJ-1826-SM-2S1P3 50-59 years, male 27.5
GTEX-15DDE-0226-SM-6LLJ6 50-59 years, female 27.4
GTEX-S95S-1326-SM-2XCDK 60-69 years, male 27.4
GTEX-145MF-0526-SM-5LUA6 50-59 years, male 27.3
GTEX-WFJO-1926-SM-3GILA 30-39 years, male 27.3
GTEX-1I1GP-2326-SM-CGQFL 50-59 years, male 27.3
GTEX-1I1GQ-0226-SM-COH3I 50-59 years, male 27.2
GTEX-16XZY-2526-SM-7DHL2 70-79 years, male 27.1
GTEX-1AX9I-0226-SM-7SB75 60-69 years, male 27.1
GTEX-ZDYS-2126-SM-5S2P2 50-59 years, male 27.1
GTEX-14JG6-2326-SM-6LLH3 30-39 years, female 27.0
GTEX-1HCU6-0226-SM-CGQES 60-69 years, female 27.0
GTEX-NFK9-0326-SM-3MJGV 40-49 years, male 26.9
GTEX-18D9U-0726-SM-7LG5J 40-49 years, male 26.7
GTEX-1CB4F-0526-SM-9KNW2 60-69 years, male 26.7
GTEX-1K2DA-2126-SM-CGQGL 50-59 years, male 26.7
GTEX-11P7K-2026-SM-5GU74 30-39 years, male 26.6
GTEX-1PFEY-1626-SM-E9J3M 30-39 years, male 26.5
GTEX-OXRL-0226-SM-3NB18 50-59 years, male 26.3
GTEX-1F52S-0226-SM-7SB7U 60-69 years, female 26.1
GTEX-1MGNQ-0226-SM-EVYCK 40-49 years, male 26.1
GTEX-ZDXO-2426-SM-5S2NJ 60-69 years, male 26.0
GTEX-PLZ6-1326-SM-3NB24 30-39 years, male 25.9
GTEX-ZF28-0226-SM-5S2OE 60-69 years, male 25.9
GTEX-1CB4I-0426-SM-7IGPR 50-59 years, male 25.8
GTEX-1B8L1-2626-SM-7SB77 60-69 years, male 25.8
GTEX-148VI-1726-SM-5S2W9 60-69 years, female 25.7
GTEX-P44G-2326-SM-2XCCZ 30-39 years, male 25.6
GTEX-ZVTK-0526-SM-5GZWT 20-29 years, male 25.4
GTEX-1A8FM-0126-SM-7SB7P 50-59 years, female 25.3
GTEX-1KWVE-1326-SM-E6CJ1 30-39 years, male 25.3
GTEX-WEY5-1926-SM-3GIL8 40-49 years, female 25.2
GTEX-XBED-2326-SM-47JYR 60-69 years, male 24.7
GTEX-1J8Q3-1526-SM-CMKGB 60-69 years, male 24.6
GTEX-1QCLY-0526-SM-EAZ47 30-39 years, male 24.5
GTEX-SNMC-1326-SM-2XCFK 20-29 years, male 24.3
GTEX-1HSKV-0326-SM-ADEJC 60-69 years, male 24.1
GTEX-1MCC2-2326-SM-E9U5G 30-39 years, female 24.1
GTEX-13X6K-0226-SM-5QGPB 60-69 years, female 23.9
GTEX-11EM3-2326-SM-5H12B 20-29 years, female 23.2
GTEX-12696-2526-SM-5EQLN 60-69 years, male 23.0
GTEX-14H4A-1026-SM-62LDY 40-49 years, female 21.8
GTEX-1F5PK-2526-SM-9MQKN 50-59 years, male 21.6
GTEX-RTLS-0226-SM-2TF5E 60-69 years, female 21.1
GTEX-OIZI-0226-SM-2XCEE 40-49 years, male 19.0
GTEX-REY6-0326-SM-2TF5A 60-69 years, male 18.0
GTEX-1B8SG-0226-SM-7939Q 50-59 years, male 17.3
Show allShow less
Adipose - Visceral (Omentum)
Average nTPM: 37.0
Samples: 541

Max nTPM: 100.5
Min nTPM: 20.8
Std nTPM: 8.2
Median nTPM: 35.5
GTEX-1JKYN-0526-SM-CGQG3 30-39 years, male 100.5
GTEX-1PBJI-1326-SM-E9J2V 20-29 years, female 77.5
GTEX-1QEPI-2226-SM-E8VN6 60-69 years, female 68.3
GTEX-ZYVF-1026-SM-5E44V 50-59 years, female 68.1
GTEX-U8XE-1926-SM-3DB98 30-39 years, male 66.0
GTEX-14PJ4-0126-SM-62LEZ 60-69 years, male 61.5
GTEX-1I1CD-1026-SM-COH3G 60-69 years, female 60.7
GTEX-14C38-1026-SM-73KY7 50-59 years, male 59.5
GTEX-1HCU8-1126-SM-CM2SA 60-69 years, female 58.0
GTEX-1RB15-1126-SM-E8VMX 60-69 years, male 58.0
GTEX-13OVH-1126-SM-5K7YP 70-79 years, male 57.8
GTEX-1CB4I-0826-SM-7MGX1 50-59 years, male 57.6
GTEX-1192X-1526-SM-5H11I 50-59 years, male 57.0
GTEX-1445S-2426-SM-79ON2 60-69 years, male 56.9
GTEX-14PN4-1426-SM-6LLJ4 50-59 years, male 56.9
GTEX-11TT1-1926-SM-5PNYN 20-29 years, male 56.4
GTEX-Y114-1326-SM-4TT9A 50-59 years, female 55.7
GTEX-X8HC-2326-SM-4QAS4 50-59 years, female 55.2
GTEX-113JC-0726-SM-5GZZR 50-59 years, female 53.3
GTEX-Y9LG-1226-SM-4VBQA 30-39 years, male 52.7
GTEX-1QCLY-1226-SM-EVYC3 30-39 years, male 52.4
GTEX-11WQK-1526-SM-5EGKN 50-59 years, male 51.9
GTEX-13X6H-1726-SM-5Q5EH 50-59 years, female 51.8
GTEX-1HCU9-0626-SM-ACKW6 20-29 years, male 51.5
GTEX-133LE-0926-SM-5P9J1 20-29 years, female 51.4
GTEX-ZE7O-1526-SM-5J1NH 50-59 years, female 51.3
GTEX-WI4N-1526-SM-EZ6LG 40-49 years, female 51.2
GTEX-11I78-0226-SM-5HL6R 50-59 years, female 51.1
GTEX-14PK6-0926-SM-62LF4 70-79 years, female 50.8
GTEX-13PVQ-2226-SM-5L3G9 50-59 years, male 50.7
GTEX-1J1OQ-1526-SM-CJI4E 40-49 years, female 50.6
GTEX-1JN6P-1626-SM-CYPSV 60-69 years, male 50.6
GTEX-1212Z-0526-SM-5FQSQ 60-69 years, male 50.4
GTEX-1ICLY-1426-SM-CJI48 50-59 years, male 50.3
GTEX-1N2DW-0726-SM-DTX97 50-59 years, male 50.2
GTEX-ZV7C-0826-SM-59HK8 50-59 years, male 50.0
GTEX-1R9K4-1426-SM-DPRY4 60-69 years, male 50.0
GTEX-132QS-0826-SM-5K7WV 60-69 years, male 49.7
GTEX-13PL7-1226-SM-5SIAR 60-69 years, female 48.9
GTEX-13FXS-1326-SM-62LFR 50-59 years, male 48.5
GTEX-1128S-0926-SM-5GZZU 60-69 years, female 48.2
GTEX-YJ89-1926-SM-5IFJ6 60-69 years, male 48.1
GTEX-13FTW-0426-SM-5K7X2 40-49 years, male 47.9
GTEX-1GMR3-0826-SM-9WYT4 40-49 years, male 47.9
GTEX-1OKEX-0926-SM-E8VNJ 60-69 years, male 47.9
GTEX-1S5VW-2426-SM-EAZ52 60-69 years, male 47.7
GTEX-1I1GP-1426-SM-ACKVZ 50-59 years, male 47.6
GTEX-1R9PO-0926-SM-E9U4Q 60-69 years, female 47.5
GTEX-12584-2126-SM-5FQUM 40-49 years, male 47.4
GTEX-XUZC-1126-SM-4BOPZ 30-39 years, female 47.4
GTEX-11P82-0326-SM-5HL51 20-29 years, male 47.3
GTEX-14BMU-0626-SM-73KZ6 20-29 years, female 47.3
GTEX-1A32A-0926-SM-718AB 50-59 years, female 47.0
GTEX-1H3VE-1926-SM-9YFL4 40-49 years, male 47.0
GTEX-1IKK5-0826-SM-ACKWN 60-69 years, male 47.0
GTEX-Y5LM-0826-SM-4VDSW 40-49 years, female 46.8
GTEX-1LBAC-1026-SM-CXKYA 20-29 years, male 46.8
GTEX-ZE9C-1326-SM-5S2OW 60-69 years, male 46.7
GTEX-14ICL-0926-SM-5S2TU 30-39 years, male 46.5
GTEX-1H1DF-1426-SM-9YFMC 40-49 years, female 46.5
GTEX-1K2DU-0726-SM-DIPF7 20-29 years, male 46.5
GTEX-144GM-0626-SM-79OKY 20-29 years, male 46.3
GTEX-1AX8Z-1626-SM-73KWD 60-69 years, male 46.3
GTEX-11GS4-1026-SM-5N9DE 60-69 years, male 46.0
GTEX-1A8G7-1226-SM-73KYP 60-69 years, male 45.9
GTEX-1J8EW-1526-SM-CMKFZ 60-69 years, female 45.8
GTEX-16XZZ-1626-SM-7KUEC 60-69 years, male 45.7
GTEX-1RNTQ-0826-SM-E9TK8 20-29 years, female 45.7
GTEX-13IVO-2426-SM-5K7V9 70-79 years, male 45.6
GTEX-ZAJG-1626-SM-5HL7I 50-59 years, female 45.5
GTEX-1GZ2Q-1226-SM-9MQM8 40-49 years, male 45.3
GTEX-1PPH8-1026-SM-DPRXN 20-29 years, male 45.3
GTEX-XLM4-1026-SM-4AT51 60-69 years, male 45.2
GTEX-1F75I-1026-SM-7SB8B 40-49 years, male 45.2
GTEX-139T6-0526-SM-5IJC9 50-59 years, male 45.1
GTEX-13N1W-1226-SM-5K7UM 70-79 years, male 45.0
GTEX-17MFQ-1126-SM-7LT9O 20-29 years, male 45.0
GTEX-13FHO-2026-SM-5J1OA 60-69 years, male 44.9
GTEX-YJ8A-1926-SM-EZ6LQ 20-29 years, male 44.7
GTEX-1LSVX-1326-SM-DIPET 60-69 years, male 44.5
GTEX-18A67-1326-SM-7LT8V 50-59 years, male 44.3
GTEX-12KS4-1526-SM-5EQ6E 30-39 years, male 44.2
GTEX-13YAN-1126-SM-5TDC7 60-69 years, male 44.2
GTEX-13QBU-1326-SM-5LU4K 40-49 years, female 44.0
GTEX-ZC5H-1626-SM-5HL7L 40-49 years, female 43.9
GTEX-VJWN-2326-SM-EVYAP 50-59 years, female 43.9
GTEX-1117F-1326-SM-5EGHH 60-69 years, female 43.8
GTEX-13NZ9-2026-SM-5KM1U 50-59 years, male 43.8
GTEX-X585-2526-SM-4QAS1 50-59 years, male 43.8
GTEX-18D9U-0426-SM-731AN 40-49 years, male 43.7
GTEX-1IDJD-0926-SM-ACKWW 30-39 years, male 43.5
GTEX-1P4AB-1226-SM-DTXET 50-59 years, male 43.5
GTEX-1RAZQ-1526-SM-E6CJI 30-39 years, male 43.5
GTEX-1S831-1926-SM-EV79P 20-29 years, male 43.5
GTEX-14E6C-1226-SM-5ZZUN 40-49 years, male 43.4
GTEX-14PHX-1626-SM-69LQB 50-59 years, male 43.3
GTEX-1HSMP-1126-SM-B2LXJ 70-79 years, male 43.3
GTEX-XBEW-1726-SM-4RGMA 40-49 years, male 43.2
GTEX-13OW8-0326-SM-5L3FB 60-69 years, male 43.1
GTEX-1H1DG-2026-SM-9QEIV 70-79 years, male 43.1
GTEX-12WSA-1626-SM-5EGJV 60-69 years, male 43.0
GTEX-13RTK-0726-SM-5Q5EN 20-29 years, male 43.0
GTEX-13OVJ-0926-SM-5K7U1 50-59 years, female 42.9
GTEX-13VXU-1026-SM-5KLZE 50-59 years, male 42.9
GTEX-1AYCT-1126-SM-79OO8 50-59 years, male 42.9
GTEX-1KANA-1426-SM-CY8IF 20-29 years, male 42.8
GTEX-1LSNL-1426-SM-E6CJ9 50-59 years, male 42.7
GTEX-1GN1U-0726-SM-9MQKL 50-59 years, female 42.6
GTEX-1GPI7-0826-SM-9JGG7 20-29 years, male 42.6
GTEX-ZXG5-1626-SM-59HJK 60-69 years, male 42.4
GTEX-1GF9W-1026-SM-7SB8X 60-69 years, male 42.3
GTEX-16BQI-1126-SM-7KULF 30-39 years, female 42.2
GTEX-1GN73-0626-SM-7PC3I 60-69 years, male 42.2
GTEX-1MCQQ-1426-SM-E6CJA 60-69 years, male 42.2
GTEX-1POEN-1626-SM-EVYC2 30-39 years, female 42.2
GTEX-1QAET-1226-SM-DTX9I 50-59 years, male 42.2
GTEX-ZTSS-1026-SM-5985N 40-49 years, male 42.1
GTEX-ZTX8-0726-SM-59HL9 20-29 years, male 42.1
GTEX-11GSO-0226-SM-5A5LV 60-69 years, male 41.8
GTEX-UTHO-1826-SM-3GAFE 60-69 years, male 41.6
GTEX-WWTW-1326-SM-4MVNT 50-59 years, male 41.6
GTEX-ZZ64-0626-SM-5GZWR 20-29 years, male 41.6
GTEX-14PKU-0226-SM-6EU16 40-49 years, female 41.5
GTEX-1PIGE-1226-SM-EVR3Q 20-29 years, male 41.4
GTEX-1QP6S-1626-SM-EVYC5 40-49 years, male 41.4
GTEX-13111-0626-SM-5LZVR 50-59 years, male 41.3
GTEX-16GPK-1326-SM-7KUE4 60-69 years, male 41.3
GTEX-1S5ZA-1026-SM-EWRO2 20-29 years, male 41.3
GTEX-1EU9M-1126-SM-793DE 60-69 years, male 41.2
GTEX-ZAB4-1426-SM-5CVN6 40-49 years, male 41.2
GTEX-XPVG-1626-SM-EYYVK 50-59 years, male 41.1
GTEX-13O3P-0926-SM-5IFFI 50-59 years, male 41.0
GTEX-1AYD5-0126-SM-7DUG5 50-59 years, male 41.0
GTEX-ZA64-0926-SM-5HL7H 20-29 years, male 41.0
GTEX-14C39-0826-SM-5TDDU 40-49 years, male 40.9
GTEX-1HUB1-1526-SM-CGQF6 60-69 years, male 40.9
GTEX-1JJE9-1526-SM-CM2RR 70-79 years, male 40.9
GTEX-17HII-0826-SM-7DUFH 50-59 years, male 40.8
GTEX-1RLM8-1026-SM-EWROE 50-59 years, male 40.8
GTEX-14753-2526-SM-5LU97 60-69 years, male 40.7
GTEX-1H23P-1726-SM-A9SMN 60-69 years, male 40.7
GTEX-XXEK-1426-SM-4BRW1 50-59 years, male 40.6
GTEX-1LVAO-2126-SM-DIPGA 60-69 years, male 40.6
GTEX-14BIM-1626-SM-7EWD2 60-69 years, female 40.5
GTEX-1CAV2-0226-SM-7IGPQ 40-49 years, female 40.5
GTEX-ZVZP-1126-SM-5GICU 50-59 years, male 40.5
GTEX-1I1GU-0626-SM-CMKHR 40-49 years, male 40.5
GTEX-12BJ1-0826-SM-5EQ5P 60-69 years, male 40.4
GTEX-ZVE2-1826-SM-51MRZ 50-59 years, male 40.4
GTEX-1NV5F-2526-SM-EXUSK 60-69 years, female 40.4
GTEX-WL46-2026-SM-3LK7U 50-59 years, male 40.3
GTEX-XBEC-1826-SM-4QASN 50-59 years, male 40.3
GTEX-1K9T9-1626-SM-DIPFS 50-59 years, female 40.3
GTEX-VJYA-1626-SM-EXOHL 60-69 years, male 40.3
GTEX-16MTA-1326-SM-6PALX 50-59 years, male 40.2
GTEX-18A6Q-1026-SM-7LT9S 60-69 years, male 40.1
GTEX-WH7G-1126-SM-3NMBK 40-49 years, male 40.1
GTEX-ZLWG-0726-SM-5S2N4 50-59 years, female 40.1
GTEX-131XF-0726-SM-5GIE5 60-69 years, male 40.0
GTEX-15SKB-1626-SM-6PAL6 60-69 years, male 39.9
GTEX-WYBS-1026-SM-4ONCY 60-69 years, female 39.9
GTEX-1KAFJ-0826-SM-CYPTF 50-59 years, male 39.9
GTEX-13PDP-1226-SM-5K7TW 60-69 years, male 39.8
GTEX-14PJ2-1426-SM-62LFF 50-59 years, male 39.8
GTEX-16NPV-0626-SM-7IGOR 50-59 years, female 39.8
GTEX-16NPX-1026-SM-6PAM7 50-59 years, male 39.8
GTEX-ZYW4-2226-SM-5GZYG 60-69 years, male 39.8
GTEX-1F6IF-2026-SM-7P8SE 60-69 years, male 39.8
GTEX-11PRG-1526-SM-5HL6Z 50-59 years, male 39.7
GTEX-1F75B-1226-SM-7MXTW 50-59 years, male 39.7
GTEX-1J8Q2-2226-SM-CM2TZ 60-69 years, male 39.7
GTEX-Z9EW-0826-SM-5HL9T 40-49 years, male 39.6
GTEX-1MUQO-0826-SM-EVYCZ 60-69 years, male 39.6
GTEX-ZTPG-2326-SM-57WFL 20-29 years, female 39.5
GTEX-1122O-0926-SM-9YFLC 60-69 years, female 39.5
GTEX-1GF9V-1126-SM-9MQM7 60-69 years, male 39.5
GTEX-15EOM-2326-SM-7KUMV 20-29 years, female 39.4
GTEX-17F9E-1326-SM-7DHL4 50-59 years, male 39.4
GTEX-1HSEH-1326-SM-ADEI1 60-69 years, male 39.4
GTEX-12WSI-1526-SM-5GCNM 50-59 years, male 39.3
GTEX-YEC4-0926-SM-5PNXY 40-49 years, male 39.3
GTEX-1C64N-1326-SM-7SB7D 50-59 years, male 39.3
GTEX-1LG7Y-1126-SM-CYPTE 50-59 years, male 39.3
GTEX-1OFPY-0826-SM-DTX8P 60-69 years, male 39.3
GTEX-14DAR-0426-SM-664MW 50-59 years, male 39.2
GTEX-1H1E6-1126-SM-9JGGV 30-39 years, male 39.2
GTEX-1EH9U-1326-SM-79OM3 60-69 years, male 39.1
GTEX-1399U-2026-SM-9WPNN 50-59 years, female 39.1
GTEX-1IKOE-1726-SM-CNNQ6 30-39 years, female 39.1
GTEX-1MJK3-0626-SM-E6CJB 20-29 years, male 39.1
GTEX-14JIY-1426-SM-6EU29 60-69 years, male 39.0
GTEX-1IL2U-2726-SM-C1YSG 60-69 years, male 39.0
GTEX-1C6VS-1826-SM-73KXN 60-69 years, male 38.7
GTEX-1F6I4-2126-SM-7PC2J 60-69 years, male 38.7
GTEX-17EVQ-0626-SM-7KFTB 70-79 years, male 38.6
GTEX-WYJK-1426-SM-3NM8V 50-59 years, male 38.6
GTEX-1CAMR-0326-SM-793AH 20-29 years, male 38.5
GTEX-ZF3C-1026-SM-5S2OC 50-59 years, female 38.5
GTEX-139TU-1426-SM-5LZY9 60-69 years, male 38.4
GTEX-17EVP-1426-SM-79OMN 40-49 years, male 38.4
GTEX-1QP28-0926-SM-EVR4D 50-59 years, female 38.4
GTEX-14PN3-0326-SM-6EU1X 60-69 years, female 38.3
GTEX-14ICK-1726-SM-6AJA5 40-49 years, male 38.2
GTEX-1H11D-1126-SM-9YFM5 40-49 years, male 38.2
GTEX-14PJN-0626-SM-6EU13 30-39 years, male 38.1
GTEX-YECK-1426-SM-5IFHE 60-69 years, male 38.1
GTEX-ZVT2-0226-SM-5GIE3 50-59 years, female 38.1
GTEX-1J1R8-0526-SM-ACKWO 40-49 years, male 38.1
GTEX-1QP29-1626-SM-EXUSZ 50-59 years, male 38.1
GTEX-1KD5A-1326-SM-CYPTB 50-59 years, male 37.9
GTEX-1N2EF-0926-SM-E8VNW 60-69 years, male 37.9
GTEX-ZDTT-0526-SM-5HL4M 60-69 years, male 37.8
GTEX-1HKZK-1726-SM-ADEJ9 40-49 years, male 37.8
GTEX-1PFEY-0726-SM-E76PO 30-39 years, male 37.8
GTEX-17JCI-1626-SM-7EPGZ 60-69 years, female 37.7
GTEX-WFON-1226-SM-3TW8F 40-49 years, male 37.7
GTEX-1GF9U-1226-SM-ARL9I 40-49 years, female 37.7
GTEX-1L5NE-1726-SM-DHXKX 50-59 years, male 37.7
GTEX-131XG-0126-SM-5K7UJ 50-59 years, female 37.6
GTEX-13FTX-0626-SM-5J2NS 20-29 years, female 37.4
GTEX-XOT4-0826-SM-4B66Y 60-69 years, female 37.4
GTEX-14PHW-1626-SM-6EU2H 60-69 years, female 37.2
GTEX-11GSP-1026-SM-9WYSH 60-69 years, female 37.2
GTEX-13CF3-1126-SM-5LZXB 60-69 years, female 37.1
GTEX-15DZA-0626-SM-6PANC 30-39 years, female 37.1
GTEX-17HHY-1026-SM-7LG5E 50-59 years, male 37.1
GTEX-1HC8U-0926-SM-A9G3L 40-49 years, female 37.1
GTEX-WK11-2426-SM-3NMAA 50-59 years, male 37.0
GTEX-WRHK-0826-SM-3MJFG 20-29 years, female 37.0
GTEX-ZXES-0926-SM-5E43O 30-39 years, female 36.9
GTEX-WVLH-1626-SM-EXURN 50-59 years, male 36.9
GTEX-1AMEY-0526-SM-72D62 30-39 years, female 36.8
GTEX-1B933-1326-SM-7939U 50-59 years, female 36.8
GTEX-VUSG-1426-SM-3GIJN 50-59 years, male 36.8
GTEX-1HFI7-0726-SM-ACKVN 50-59 years, female 36.8
GTEX-13OW7-1126-SM-5K7V6 50-59 years, male 36.7
GTEX-15RIE-0126-SM-7KUF8 60-69 years, male 36.7
GTEX-ZYFC-1826-SM-5GZZA 50-59 years, male 36.7
GTEX-1A8FM-2126-SM-7PC27 50-59 years, female 36.7
GTEX-1F5PL-1326-SM-7SB83 40-49 years, female 36.7
GTEX-1HR9M-1426-SM-A9SMB 60-69 years, male 36.7
GTEX-1LKK1-1526-SM-EVYCO 50-59 years, female 36.5
GTEX-12WSF-1526-SM-6PAN6 70-79 years, male 36.4
GTEX-13O3Q-1126-SM-5K7YK 50-59 years, male 36.4
GTEX-1KXAM-0526-SM-DKPQN 60-69 years, male 36.4
GTEX-12WSK-1026-SM-5CVNR 40-49 years, female 36.3
GTEX-14BIL-2426-SM-5QGQR 50-59 years, male 36.3
GTEX-XQ3S-2426-SM-4WAYB 20-29 years, male 36.3
GTEX-1GMRU-0726-SM-7PBZH 50-59 years, male 36.3
GTEX-1LH75-1026-SM-EWROK 50-59 years, female 36.2
GTEX-1QMI2-1626-SM-EYYXK 60-69 years, male 36.2
GTEX-1399S-1426-SM-5PNYQ 30-39 years, female 36.1
GTEX-13JUV-0626-SM-5J1MQ 40-49 years, female 36.1
GTEX-XMK1-0926-SM-4B66X 40-49 years, male 36.1
GTEX-1ICLZ-1626-SM-CE6SS 60-69 years, male 36.1
GTEX-1JMLX-1026-SM-D3L8U 50-59 years, male 36.1
GTEX-111CU-1026-SM-5EGIL 50-59 years, male 36.0
GTEX-15EU6-1726-SM-6M48H 50-59 years, male 36.0
GTEX-17F97-1226-SM-79OJT 50-59 years, male 36.0
GTEX-ZV6S-1626-SM-5NQ81 40-49 years, female 36.0
GTEX-15G19-1126-SM-7KUEL 60-69 years, male 35.9
GTEX-XGQ4-1026-SM-4AT4L 50-59 years, male 35.9
GTEX-ZLV1-0926-SM-5S2MR 60-69 years, female 35.9
GTEX-1B8SG-1426-SM-7EWEM 50-59 years, male 35.8
GTEX-1ICG6-1726-SM-ARU7K 70-79 years, female 35.8
GTEX-15UKP-1426-SM-7KUDX 20-29 years, male 35.7
GTEX-145LT-1526-SM-5O98P 40-49 years, male 35.6
GTEX-18D9B-1726-SM-7LTAP 60-69 years, male 35.6
GTEX-ZF2S-1526-SM-5S2OO 50-59 years, female 35.6
GTEX-15CHQ-1126-SM-686YY 60-69 years, male 35.5
GTEX-1IE54-1426-SM-CL53C 40-49 years, female 35.5
GTEX-13NZB-0826-SM-5K7X5 30-39 years, male 35.4
GTEX-18A7A-0926-SM-7LT8H 50-59 years, female 35.4
GTEX-ZEX8-1226-SM-5S2OK 50-59 years, male 35.4
GTEX-1HBPI-1826-SM-ADEHE 50-59 years, male 35.4
GTEX-1I1GQ-1026-SM-CNNQS 50-59 years, male 35.4
GTEX-11EM3-1126-SM-5A5KM 20-29 years, female 35.3
GTEX-14ABY-1926-SM-62LDJ 50-59 years, male 35.3
GTEX-1I19N-1026-SM-A96TT 70-79 years, male 35.3
GTEX-1JN76-1026-SM-ARZNI 20-29 years, female 35.3
GTEX-145MF-1026-SM-5Q5EQ 50-59 years, male 35.2
GTEX-13VXT-0926-SM-5LU5K 20-29 years, female 35.1
GTEX-14JG6-0526-SM-6LLIH 30-39 years, female 35.1
GTEX-17GQL-0826-SM-731AM 60-69 years, male 35.1
GTEX-1I6K6-1526-SM-CGQFC 30-39 years, male 35.1
GTEX-117YW-0826-SM-5H11O 50-59 years, male 35.0
GTEX-13X6I-1526-SM-5SIAC 60-69 years, male 35.0
GTEX-18A66-1926-SM-7LTAG 60-69 years, male 35.0
GTEX-1JMQK-1326-SM-CNPOR 60-69 years, male 35.0
GTEX-169BO-0426-SM-7EPI1 50-59 years, male 34.9
GTEX-ZZPU-0326-SM-5N9BJ 50-59 years, female 34.9
GTEX-1HCU7-2026-SM-A9G2B 50-59 years, male 34.9
GTEX-13112-1126-SM-5GCMY 50-59 years, male 34.8
GTEX-132AR-0526-SM-5J2MJ 50-59 years, female 34.8
GTEX-1HSMQ-1026-SM-ADEHU 50-59 years, male 34.8
GTEX-1O9I2-1326-SM-E6CQD 50-59 years, male 34.8
GTEX-1313W-1626-SM-5J1OE 50-59 years, female 34.7
GTEX-147JS-1026-SM-5S2MP 60-69 years, male 34.7
GTEX-UPK5-1826-SM-3GAEB 40-49 years, male 34.7
GTEX-Y111-0926-SM-4SOIU 50-59 years, male 34.7
GTEX-1I1GS-0926-SM-A9SL5 60-69 years, male 34.7
GTEX-132Q8-1726-SM-5EGK8 60-69 years, male 34.6
GTEX-17F9Y-0726-SM-7LT9G 70-79 years, female 34.6
GTEX-ZYT6-2126-SM-5GZZ4 30-39 years, male 34.6
GTEX-1RAZR-1026-SM-E8VOJ 40-49 years, male 34.6
GTEX-11ZUS-1826-SM-5FQTR 30-39 years, male 34.5
GTEX-13113-1126-SM-5LZU9 60-69 years, female 34.5
GTEX-13PVR-0526-SM-5S2OB 60-69 years, female 34.5
GTEX-18QFQ-1326-SM-731CF 30-39 years, male 34.5
GTEX-1IDJH-1626-SM-A9SLP 70-79 years, male 34.5
GTEX-1RQEC-2526-SM-EVYD2 60-69 years, male 34.5
GTEX-13W3W-1126-SM-5L3DO 60-69 years, female 34.4
GTEX-ZPCL-1026-SM-5GCOX 60-69 years, female 34.4
GTEX-1N2EE-1526-SM-DTXE9 60-69 years, male 34.4
GTEX-ZT9W-1026-SM-57WG5 50-59 years, male 34.3
GTEX-1EMGI-0726-SM-7PBZ4 60-69 years, male 34.3
GTEX-131XE-2026-SM-5LZW1 50-59 years, male 34.2
GTEX-14E6D-1326-SM-62LES 50-59 years, male 34.1
GTEX-14PHY-1026-SM-62LEV 60-69 years, female 34.0
GTEX-17HGU-1726-SM-79OKM 50-59 years, male 34.0
GTEX-YEC3-0926-SM-5Q5AC 50-59 years, male 34.0
GTEX-1H4P4-0326-SM-9WYTD 50-59 years, male 34.0
GTEX-1JJ6O-2826-SM-CNNP7 60-69 years, male 34.0
GTEX-1N2DV-0626-SM-E9U5H 40-49 years, male 34.0
GTEX-145MI-0826-SM-5SI95 60-69 years, female 33.9
GTEX-12WSG-0426-SM-5FQSE 50-59 years, female 33.8
GTEX-146FH-2026-SM-5SI9I 50-59 years, female 33.8
GTEX-1A3MX-0826-SM-72D64 60-69 years, male 33.8
GTEX-1EWIQ-2526-SM-7EPIJ 70-79 years, female 33.8
GTEX-14BIN-1226-SM-5S2OM 50-59 years, female 33.7
GTEX-XBED-1326-SM-4AT4F 60-69 years, male 33.7
GTEX-1HSMO-1426-SM-CNNQN 60-69 years, male 33.7
GTEX-117YX-0726-SM-5GIET 50-59 years, male 33.6
GTEX-132NY-1126-SM-5PNVE 60-69 years, male 33.6
GTEX-12WSC-1726-SM-5GCN3 50-59 years, male 33.5
GTEX-131YS-1726-SM-5HL7G 60-69 years, female 33.5
GTEX-1CB4G-2126-SM-7IGQ8 60-69 years, male 33.5
GTEX-11DYG-2026-SM-5EGGX 60-69 years, male 33.4
GTEX-11LCK-0326-SM-5A5M7 30-39 years, male 33.4
GTEX-183FY-1226-SM-7DHLK 20-29 years, male 33.4
GTEX-ZPIC-0726-SM-57WFM 40-49 years, female 33.4
GTEX-18A7B-1226-SM-718AU 70-79 years, male 33.3
GTEX-1C6VR-1126-SM-7EPHD 60-69 years, male 33.3
GTEX-1EN7A-1626-SM-79OLV 40-49 years, male 33.3
GTEX-ZYFG-1426-SM-5GICS 60-69 years, female 33.3
GTEX-1HBPH-2226-SM-9WYSO 40-49 years, female 33.3
GTEX-12ZZW-2326-SM-5DUW2 50-59 years, male 33.1
GTEX-13X6J-1926-SM-5TDCU 50-59 years, male 33.1
GTEX-1A8G6-2026-SM-73KYC 60-69 years, male 33.1
GTEX-1GZ4I-2326-SM-9YFMO 50-59 years, male 33.1
GTEX-1I4MK-0726-SM-ACKWC 50-59 years, female 33.1
GTEX-1LGRB-0526-SM-COH3A 50-59 years, female 33.1
GTEX-ZVP2-0226-SM-57WBD 50-59 years, male 33.0
GTEX-1H1DE-0826-SM-ARU8V 20-29 years, male 33.0
GTEX-144GN-0726-SM-5O98O 50-59 years, male 32.9
GTEX-145LU-1226-SM-5LU9B 50-59 years, male 32.9
GTEX-ZUA1-2126-SM-57YRB 40-49 years, male 32.9
GTEX-1C475-0326-SM-7SB8O 40-49 years, female 32.9
GTEX-1HB9E-0526-SM-ARZNM 50-59 years, male 32.9
GTEX-1JMQI-1026-SM-COH2U 50-59 years, male 32.9
GTEX-1F48J-1826-SM-7SB8T 50-59 years, female 32.8
GTEX-12696-1826-SM-5EGJS 60-69 years, male 32.7
GTEX-14C5O-0926-SM-793DM 60-69 years, male 32.7
GTEX-1B8SF-1726-SM-73KZ5 60-69 years, male 32.7
GTEX-1I1GT-1326-SM-ACKWB 60-69 years, female 32.7
GTEX-Y5V5-0226-SM-5S2N8 60-69 years, female 32.6
GTEX-1EKGG-1426-SM-7PBY2 60-69 years, male 32.6
GTEX-1H1ZS-1326-SM-9WG74 70-79 years, male 32.6
GTEX-ZPU1-1226-SM-5HL71 40-49 years, male 32.5
GTEX-1S3DN-1626-SM-EVYCC 50-59 years, male 32.5
GTEX-13W46-1226-SM-5SIAS 50-59 years, male 32.4
GTEX-1HGF4-0226-SM-CNNQL 60-69 years, male 32.4
GTEX-1GN1W-1226-SM-9MQLW 50-59 years, female 32.3
GTEX-13S86-0926-SM-5SI6I 40-49 years, male 32.2
GTEX-1E1VI-1826-SM-9WG5J 50-59 years, male 32.2
GTEX-1GF9X-0926-SM-7PC2X 40-49 years, female 32.2
GTEX-1MCC2-0626-SM-DKPQI 30-39 years, female 32.2
GTEX-14AS3-0426-SM-5QGQK 40-49 years, female 32.1
GTEX-1BAJH-2126-SM-7EWFB 70-79 years, male 32.1
GTEX-131XH-0826-SM-5GCN8 50-59 years, male 32.0
GTEX-13OVG-1326-SM-5K7Y3 60-69 years, male 32.0
GTEX-18D9A-0726-SM-7LTA7 30-39 years, female 32.0
GTEX-1CAMQ-1226-SM-7SB7E 40-49 years, male 32.0
GTEX-1QP66-0626-SM-E76PD 50-59 years, male 32.0
GTEX-11DXY-0326-SM-5H12F 60-69 years, male 31.9
GTEX-17KNJ-0426-SM-718AK 50-59 years, male 31.9
GTEX-1KD4Q-1426-SM-D4P3K 40-49 years, male 31.9
GTEX-1LVAN-0926-SM-CNNQ2 50-59 years, female 31.9
GTEX-1LSNM-0626-SM-DIPG7 50-59 years, male 31.8
GTEX-1LVAM-1026-SM-DIPFK 50-59 years, female 31.8
GTEX-13O61-1926-SM-5KM1R 60-69 years, male 31.7
GTEX-1OJC3-1326-SM-E9J3D 20-29 years, male 31.7
GTEX-11EQ9-1126-SM-5987I 30-39 years, male 31.6
GTEX-11VI4-1226-SM-5EQMP 40-49 years, female 31.6
GTEX-15DYW-1526-SM-7KUEP 60-69 years, female 31.5
GTEX-1F52S-1326-SM-7SB6Q 60-69 years, female 31.5
GTEX-1KWVE-0226-SM-E9TKK 30-39 years, male 31.5
GTEX-1QPFJ-2126-SM-EXOJV 30-39 years, female 31.5
GTEX-13OVK-0326-SM-7KUEJ 40-49 years, male 31.4
GTEX-14B4R-0526-SM-5QGQT 30-39 years, male 31.4
GTEX-XQ8I-1426-SM-4BOPW 50-59 years, male 31.4
GTEX-1H2FU-1426-SM-9WPO6 60-69 years, female 31.4
GTEX-1JMQJ-1926-SM-D4P3A 50-59 years, male 31.4
GTEX-1339X-0726-SM-5L3FF 40-49 years, male 31.3
GTEX-1I6K7-1826-SM-CGQFO 40-49 years, male 31.3
GTEX-1IDJC-0226-SM-CMKG2 50-59 years, male 31.3
GTEX-1RMOY-0826-SM-E9TIF 50-59 years, male 31.3
GTEX-139D8-1626-SM-5IJFZ 30-39 years, female 31.2
GTEX-15CHC-0826-SM-686YW 60-69 years, female 31.2
GTEX-14DAQ-2526-SM-5RQIO 60-69 years, female 31.1
GTEX-18465-1826-SM-731BB 50-59 years, male 31.1
GTEX-1LGOU-0826-SM-DHXKL 20-29 years, female 31.1
GTEX-1RAZA-0926-SM-E6CQ8 20-29 years, male 31.1
GTEX-ZP4G-1326-SM-5EGIW 20-29 years, female 31.0
GTEX-1KANB-2426-SM-EV7BE 50-59 years, male 31.0
GTEX-13OW6-2426-SM-5K7WO 50-59 years, male 30.9
GTEX-XYKS-1826-SM-4E3JV 60-69 years, female 30.9
GTEX-ZDTS-1826-SM-5S2N6 60-69 years, male 30.9
GTEX-1B97J-1126-SM-7SB79 50-59 years, female 30.9
GTEX-1HCUA-0926-SM-ADEIX 50-59 years, female 30.9
GTEX-1JKYR-1226-SM-CM2S7 20-29 years, male 30.9
GTEX-15D1Q-1326-SM-69LOA 40-49 years, male 30.8
GTEX-15ER7-1026-SM-7KUMD 20-29 years, female 30.8
GTEX-WHPG-0626-SM-3NMBD 50-59 years, male 30.8
GTEX-ZDXO-2326-SM-5LU9W 60-69 years, male 30.8
GTEX-1MA7X-1026-SM-DKPQ8 60-69 years, male 30.8
GTEX-Y5V6-0626-SM-4WWFY 60-69 years, male 30.7
GTEX-1GMR2-0226-SM-9JGHO 50-59 years, male 30.7
GTEX-1H1CY-0826-SM-9WYTU 60-69 years, female 30.7
GTEX-14E1K-0426-SM-5S2PF 50-59 years, male 30.6
GTEX-14PJ5-0426-SM-5ZZW2 60-69 years, female 30.6
GTEX-17HHE-1526-SM-793AS 50-59 years, male 30.6
GTEX-1HFI6-1726-SM-CGQFH 40-49 years, male 30.6
GTEX-11NUK-2026-SM-5PNVZ 50-59 years, male 30.5
GTEX-11XUK-1726-SM-5GU61 40-49 years, female 30.5
GTEX-1LG7Z-0226-SM-E6CIG 30-39 years, male 30.5
GTEX-13S7M-0826-SM-5QGQX 60-69 years, female 30.4
GTEX-13U4I-1726-SM-5J1MF 40-49 years, female 30.4
GTEX-17F98-0326-SM-7DHLH 40-49 years, female 30.4
GTEX-1R7EV-1026-SM-DTX81 40-49 years, male 30.3
GTEX-1211K-1226-SM-5EQ4N 60-69 years, female 30.2
GTEX-146FR-0226-SM-5Q5F6 60-69 years, female 30.2
GTEX-13OVL-0826-SM-5L3GV 50-59 years, male 30.1
GTEX-16AAH-1526-SM-7LT9W 50-59 years, male 30.1
GTEX-1A3MV-0626-SM-731CH 30-39 years, male 30.1
GTEX-WHWD-0826-SM-3LK6R 50-59 years, male 30.1
GTEX-1CAMS-0926-SM-7SB7F 40-49 years, female 30.1
GTEX-1HCU6-1626-SM-CMKGW 60-69 years, female 30.1
GTEX-12WSL-1126-SM-5CVNK 50-59 years, male 30.0
GTEX-1C2JI-0826-SM-7EPHB 50-59 years, male 30.0
GTEX-XV7Q-1726-SM-4BRUU 40-49 years, female 30.0
GTEX-1CB4F-1126-SM-79OLG 60-69 years, male 29.8
GTEX-1JMPY-0326-SM-CM2S2 30-39 years, male 29.8
GTEX-ZF29-0826-SM-5S2O2 60-69 years, female 29.8
GTEX-12ZZX-1726-SM-5BC63 40-49 years, female 29.7
GTEX-1399T-1326-SM-5PNVH 60-69 years, male 29.7
GTEX-13G51-0526-SM-5IJCQ 60-69 years, male 29.7
GTEX-1IDJU-0926-SM-ARL88 60-69 years, female 29.6
GTEX-12WSM-0626-SM-5GCOK 60-69 years, male 29.5
GTEX-13N2G-1926-SM-5J1O3 60-69 years, male 29.5
GTEX-14E6E-0226-SM-7DUEF 30-39 years, male 29.5
GTEX-14PJO-1626-SM-69LPQ 60-69 years, male 29.5
GTEX-1B97I-0526-SM-73KXE 40-49 years, male 29.5
GTEX-1GTWX-1526-SM-9MQLF 60-69 years, male 29.5
GTEX-Y8LW-0926-SM-4VBQ8 50-59 years, female 29.4
GTEX-1KANC-0526-SM-D4P3T 50-59 years, female 29.4
GTEX-11DXX-2026-SM-5EGJL 60-69 years, female 29.3
GTEX-14PJ3-0726-SM-69LQE 50-59 years, male 29.3
GTEX-1CB4E-0826-SM-793CS 60-69 years, male 29.3
GTEX-1I1GR-1726-SM-COH39 60-69 years, male 29.3
GTEX-11ZTS-1326-SM-5EQMA 60-69 years, female 29.2
GTEX-ZDYS-2226-SM-5S2MI 50-59 years, male 29.2
GTEX-ZQG8-1026-SM-51MR9 60-69 years, female 29.2
GTEX-1HSKV-1926-SM-CNPPN 60-69 years, male 29.2
GTEX-Y3I4-0726-SM-E9J3Y 50-59 years, male 29.2
GTEX-X3Y1-0926-SM-3P5YT 40-49 years, male 29.1
GTEX-Y8E4-1226-SM-5IFIM 40-49 years, male 29.1
GTEX-1MA7W-0526-SM-E6CIN 20-29 years, female 29.1
GTEX-1HT8W-0726-SM-A9SLB 30-39 years, male 29.0
GTEX-13X6K-0726-SM-5LU2Z 60-69 years, female 28.9
GTEX-1QW4Y-0826-SM-DTXE1 30-39 years, male 28.9
GTEX-W5X1-1426-SM-3GIKH 40-49 years, female 28.8
GTEX-13N11-1826-SM-5IJDS 50-59 years, female 28.7
GTEX-1B932-1726-SM-793A5 40-49 years, female 28.7
GTEX-WEY5-1326-SM-3GILS 40-49 years, female 28.7
GTEX-1AMFI-1026-SM-73KYM 50-59 years, female 28.6
GTEX-1K2DA-1126-SM-CGQGG 50-59 years, male 28.6
GTEX-14E7W-2326-SM-69LQC 70-79 years, male 28.5
GTEX-14PJM-1226-SM-686Z7 50-59 years, female 28.5
GTEX-1IDJI-0926-SM-ACKWZ 50-59 years, female 28.5
GTEX-1S82P-0926-SM-EWRNP 60-69 years, female 28.5
GTEX-111YS-1326-SM-5EGGK 60-69 years, male 28.4
GTEX-139YR-0326-SM-5J1MC 50-59 years, male 28.4
GTEX-1B8L1-0126-SM-9KNVS 60-69 years, male 28.3
GTEX-1HBPN-1526-SM-9WYSB 50-59 years, male 28.3
GTEX-11DXZ-1426-SM-5H12A 50-59 years, male 28.2
GTEX-1GZ4H-0926-SM-9WG6Y 50-59 years, female 28.2
GTEX-17MF6-1326-SM-79ONE 40-49 years, male 28.1
GTEX-178AV-0626-SM-6PAM1 40-49 years, male 28.0
GTEX-11P81-0726-SM-5PNYH 30-39 years, female 27.9
GTEX-1B8KE-0826-SM-72D6S 50-59 years, male 27.9
GTEX-1B996-1226-SM-73KWZ 60-69 years, male 27.8
GTEX-11NV4-1426-SM-5BC4W 60-69 years, male 27.7
GTEX-1IY9M-1226-SM-ACKX1 60-69 years, male 27.7
GTEX-145LV-1026-SM-5O9AE 50-59 years, male 27.6
GTEX-1HSGN-1926-SM-CMKGS 40-49 years, female 27.6
GTEX-1AX9I-1726-SM-731BX 60-69 years, male 27.5
GTEX-XAJ8-0226-SM-4GIB2 40-49 years, male 27.5
GTEX-13PL6-0926-SM-5KLYY 40-49 years, female 27.4
GTEX-13O21-3126-SM-5J1OI 50-59 years, male 27.2
GTEX-14BMV-1626-SM-73KVQ 50-59 years, male 27.2
GTEX-WOFM-0726-SM-3MJF8 20-29 years, male 27.1
GTEX-13NYS-0726-SM-5J1OR 60-69 years, male 27.0
GTEX-ZT9X-0926-SM-5O9C4 40-49 years, male 27.0
GTEX-13D11-0526-SM-5LZYM 50-59 years, female 26.9
GTEX-1C6VQ-1526-SM-73KU9 50-59 years, male 26.7
GTEX-1IDJF-1726-SM-A9SLL 20-29 years, male 26.7
GTEX-13FH7-1926-SM-5J2OL 50-59 years, female 26.6
GTEX-11P7K-0826-SM-5BC5F 30-39 years, male 26.5
GTEX-ZQUD-0526-SM-57WG4 30-39 years, male 26.5
GTEX-1B8KZ-1026-SM-73KYN 50-59 years, male 26.4
GTEX-WYVS-0626-SM-4SOJY 40-49 years, female 26.4
GTEX-1GL5R-0726-SM-9MQL5 50-59 years, male 26.4
GTEX-17F96-0726-SM-793CB 70-79 years, male 26.1
GTEX-1AX9J-2226-SM-731CW 60-69 years, male 26.1
GTEX-YFCO-1126-SM-5S2N9 40-49 years, male 26.1
GTEX-ZG7Y-1626-SM-5S2NO 50-59 years, male 26.0
GTEX-1AX9K-0926-SM-7939G 50-59 years, male 25.8
GTEX-11OF3-0826-SM-5BC51 60-69 years, male 25.7
GTEX-12C56-0826-SM-5EGJ5 20-29 years, male 25.7
GTEX-ZAB5-1126-SM-5Q5AD 50-59 years, male 25.4
GTEX-16NGA-0526-SM-731AJ 40-49 years, female 25.3
GTEX-145ME-0726-SM-5O9A3 40-49 years, female 24.1
GTEX-1QP67-1126-SM-EAZ4C 40-49 years, female 23.5
GTEX-15SHU-2326-SM-7KUMC 40-49 years, female 23.4
GTEX-ZF28-1426-SM-5S2OG 60-69 years, male 23.3
GTEX-WXYG-0926-SM-3NB2O 50-59 years, female 23.0
GTEX-WFJO-1026-SM-3GIKL 30-39 years, male 22.8
GTEX-1QP9N-0426-SM-DTXFT 30-39 years, male 22.2
GTEX-ZGAY-1326-SM-5S2NS 40-49 years, female 20.9
GTEX-WY7C-0926-SM-3NB34 50-59 years, male 20.8
Show allShow less

ADIPOSE TISSUE - FANTOM5 CAGEi

RNA expression in human tissues obtained through Cap Analysis of Gene Expression (CAGE) generated by the FANTOM5 project are reported as Scaled Tags Per Million.

Max subtype Scaled Tags Per Millioni

Max subtype Scaled Tags Per Million is the value for the subtype with the largest average Scaled Tags Per Million across the subtype samples.

31.7
FANTOM5 sample id Sample description Scaled Tags Per Million
Adipose tissue
Scaled Tags Per Million: 31.7
FF:10010-101C1 65,65,76 years, mixed 31.7

Contact

  • NEWS ARTICLES
  • PRESS ROOM

The Project

  • INTRODUCTION
  • ORGANIZATION
  • PUBLICATIONS

The Human Protein Atlas

  • DOWNLOADABLE DATA
  • LICENCE & CITATION
  • HELP & FAQ
The Human Protein Atlas project is funded
by the Knut & Alice Wallenberg Foundation.


contact@proteinatlas.org