We use cookies to enhance the usability of our website. If you continue, we'll assume that you are happy to receive all cookies. More information. Don't show this again.
STX4
HPA
RESOURCES
  • TISSUE
  • BRAIN
  • SINGLE CELL
  • SUBCELLULAR
  • CANCER
  • BLOOD
  • CELL LINE
  • STRUCTURE & INTERACTION
ABOUT
  • INTRODUCTION
  • HISTORY
  • ORGANIZATION
  • PUBLICATIONS
  • ANTIBODY SUBMISSION
  • ANTIBODY AVAILABILITY
  • ACKNOWLEDGMENTS
  • CONTACT
NEWS
  • NEWS ARTICLES
  • PRESS ROOM
LEARN
  • DICTIONARY
  • PROTEIN CLASSES
  • PROTEIN EVIDENCE
  • METHODS
  • EDUCATIONAL VIDEOS
DATA
  • DOWNLOADABLE DATA
  • PUBLICATION DATA
  • RELEASE HISTORY
HELP
  • ANTIBODY VALIDATION
  • ASSAYS & ANNOTATION
  • DISCLAIMER
  • HELP & FAQ
  • PRIVACY STATEMENT
  • LICENCE & CITATION
Fields »
Search result

Field
Term
Gene name
Class
Subclass
Class
Keyword
Chromosome
External id
Tissue
Cell type
Expression
Antibody panel
Tissue
Main location
Patient ID
Annotation
Tissue
Category
Tau score
Cluster
Reliability
Brain region
Category
Tau score
Brain region
Category
Tau score
Brain region
Category
Tau score
Cluster
Reliability
Tissue
Cell type
Enrichment
Cell type
Category
Tau score
Cell type
Category
Tau score
Cell type
Category
Tau score
Cell lineage
Category
Tau score
Cluster
Cluster
Location
Searches
Location
Cell line
Class
Type
Phase
Reliability
Cancer
Prognosis
Cancer
Category
Cancer
Category
Tau score
Cluster
Variants
Interacting gene (ensg_id)
Type
Number of interactions
Pathway
Category
Score
Score
Score
Validation
Validation
Validation
Validation
Antibodies
Data type
Column


  • SUMMARY

  • TISSUE

  • BRAIN

  • SINGLE CELL

  • SUBCELL

  • CANCER

  • BLOOD

  • CELL LINE

  • STRUCT & INT

  • STX4
TISSUE PRIMARY DATA TESTIS Show tissue menu
ADIPOSE TISSUE ADRENAL GLAND AMYGDALA APPENDIX BASAL GANGLIA BONE MARROW BREAST BRONCHUS CEREBELLUM CEREBRAL CORTEX CERVIX CHOROID PLEXUS COLON DUODENUM
ENDOMETRIUM EPIDIDYMIS ESOPHAGUS FALLOPIAN TUBE GALLBLADDER HEART MUSCLE HIPPOCAMPAL FORMATION HYPOTHALAMUS KIDNEY LIVER LUNG LYMPH NODE MIDBRAIN ORAL MUCOSA
OVARY PANCREAS PARATHYROID GLAND PITUITARY GLAND PLACENTA PROSTATE RECTUM RETINA SALIVARY GLAND SEMINAL VESICLE SKELETAL MUSCLE SKIN SMALL INTESTINE SMOOTH MUSCLE
SOFT TISSUE SPINAL CORD SPLEEN STOMACH TESTIS THYMUS THYROID GLAND TONGUE TONSIL URINARY BLADDER VAGINA
ANTIBODIES
AND
VALIDATION
Dictionary
Testis
Tissue proteome
Testis
TESTIS - Expression summary
Protein expression
Testisi

On the top, protein expression in current human tissue, based on all annotated cell types, is reported with the units not detected (n), low (l), medium (m) and high (h). Underneath, protein expression in each annotated cell type are reported using the same units.

Protein expression data is based on knowledge-based annotation. For genes where more than one antibody has been used, a collective score is set.

If knowledge-based annotation could not be performed for a gene, no data is displayed here. View antibody staining data further down this page.

h
m
l
n
Cells in seminiferous ducts: Medium
Leydig cells: Not detected
RNA expressioni

A summary of mRNA expression data available for current tissue based on several datasets. The mRNA expression levels in human tissues are based on RNA-seq data generated by the Human Protein Atlas (HPA), Genotype-Tissue Expression (GTEx) portal and CAGE data generated by the FANTOM5 consortium. Consensus normalized expression levels for human tissues was created by combining the data from HPA and GTEx datasets.

The mRNA expression levels in pig are based on RNA-seq data generated by the Human Protein Atlas (HPA), and for mouse, HPA data and in situ hybridization generated by the Allen brain atlas are reported.

Scroll down to view mRNA expression data in more detail.
Consensus:14.5 nTPM
HPA:10.7 nTPM
GTEx:14.5 nTPM
FANTOM5:14.2 Scaled Tags Per Million

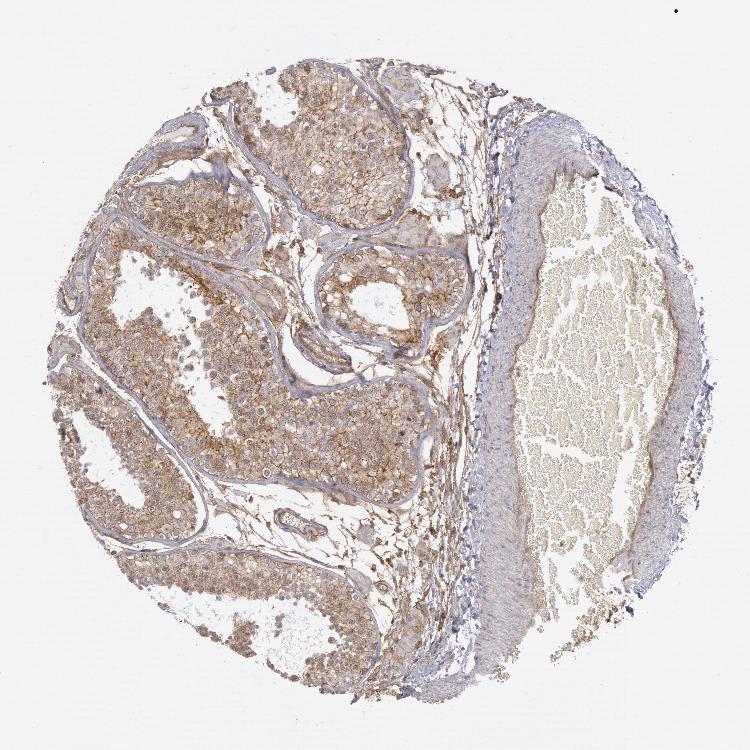
TESTIS - Antibody stainingi

Antibody staining in the annotated cell types in the current human tissue is reported as not detected, low, medium, or high, based on conventional immunohistochemistry profiling in selected tissues. This score is based on the combination of the staining intensity and fraction of stained cells.

Each image is clickable and will lead to virtual microscopy that enables deeper exploration of all samples and also displays staining intensity scores, fraction scores and subcellular localization as well as patient and tissue information for each sample.

Antibody HPA001330
Leydig cells Not detected
Cells in seminiferous ducts Medium



TESTIS - HPA RNA-seqi

The RNA-seq details section shows detailed information about the individual samples used for the transcript profiling and results of the RNA-seq analysis.

Information about each individual sample is listed below, including gender, age, a tissue section image and estimated fractions of cell types. nTPM (normalized transcripts per million) values give a quantification of the gene abundance which is comparable between different genes and samples.
Average nTPMi

Max subtype nTPM is the value for the subtype with the largest average nTPM across the subtype samples.

10.7
overview
Male, age 56
Testis sample 244
nTPM: 13.4
Cell types%
Cells in seminiferous ducts:
65

Other cell types:
35

overview
Male, age 34
Testis sample 278
nTPM: 9.5
Cell types%
Cells in seminiferous ducts:
75

Other cell types:
25

overview
Male, age 62
Testis sample 279
nTPM: 9.8
Cell types%
Cells in seminiferous ducts:
70

Other cell types:
30

overview
Male, age 34
Testis sample 280
nTPM: 18.2
Cell types%
Cells in seminiferous ducts:
60

Other cell types:
40

overview
Male, age 26
Testis sample 281
nTPM: 10.4
Cell types%
Cells in seminiferous ducts:
55

Other cell types:
45

overview
Male, age 50
Testis sample 282
nTPM: 8.9
Cell types%
Cells in seminiferous ducts:
85

Other cell types:
15

overview
Male, age 37
Testis sample 283
nTPM: 12.2
Cell types%
Cells in seminiferous ducts:
35

Other cell types:
65

overview
Male, age 51
Testis sample 349
nTPM: 6.5
Cell types%
Cells in seminiferous ducts:
65

Other cell types:
35

overview
Male, age 34
Testis sample 354
nTPM: 11.3
Cell types%
Cells in seminiferous ducts:
70

Other cell types:
30

overview
Male, age 26
Testis sample 371
nTPM: 6.9
Cell types%
Cells in seminiferous ducts:
75

Other cell types:
25


TESTIS - GTEx RNA-seqi

RNA-Seq data generated by the Genotype-Tissue Expression (GTEx) project from human tissues is reported as mean nTPM. More information can be found on the GTEx portal.

Distribution across the dataset is visualized with box plots, shown as median and 25th and 75th percentiles. Points are displayed as outliers if they are above or below 1.5 times the interquartile range. nTPM values of the individual samples are presented next to the box plot.
Max subtype nTPMi

Max subtype nTPM is the value for the subtype with the largest average nTPM across the subtype samples.

14.5
GTEx sample id Sample description nTPM
Testis
Average nTPM: 14.5
Samples: 361

Max nTPM: 28.7
Min nTPM: 6.9
Std nTPM: 3.4
Median nTPM: 13.9
GTEX-1QAET-1926-SM-DPRZG 50-59 years, male 28.7
GTEX-1K2DU-2226-SM-CXZJY 20-29 years, male 26.9
GTEX-1JKYN-1026-SM-CGQG4 30-39 years, male 24.7
GTEX-1C6VS-1126-SM-7EWEW 60-69 years, male 24.6
GTEX-15SKB-0326-SM-6M477 60-69 years, male 24.2
GTEX-18A67-1826-SM-7KFT7 50-59 years, male 23.9
GTEX-1AX8Z-2826-SM-73KTZ 60-69 years, male 23.8
GTEX-1E2YA-2826-SM-7EPIN 50-59 years, male 23.6
GTEX-XK95-2726-SM-4V6G6 40-49 years, male 23.3
GTEX-ZLFU-2026-SM-4WWG2 40-49 years, male 23.2
GTEX-1399Q-2826-SM-5IJEZ 40-49 years, male 23.1
GTEX-11DXY-0226-SM-5H123 60-69 years, male 22.6
GTEX-1PPH8-1226-SM-DPRXO 20-29 years, male 22.3
GTEX-1C64O-2126-SM-7IGPB 60-69 years, male 21.9
GTEX-1HB9E-1926-SM-D4P34 50-59 years, male 21.9
GTEX-XLM4-1526-SM-4AT6D 60-69 years, male 21.5
GTEX-U8XE-0126-SM-4E3I3 30-39 years, male 21.3
GTEX-13OW8-0526-SM-5KM24 60-69 years, male 21.2
GTEX-S4Z8-2126-SM-4AD5H 60-69 years, male 21.2
GTEX-1BAJH-0726-SM-7IGMF 70-79 years, male 20.9
GTEX-14A6H-2326-SM-5Q5B5 30-39 years, male 20.7
GTEX-1AYCT-1026-SM-79ONR 50-59 years, male 20.5
GTEX-11WQK-2826-SM-5EQKH 50-59 years, male 20.4
GTEX-14PHX-1426-SM-69LPP 50-59 years, male 20.4
GTEX-PLZ5-1526-SM-3P5ZX 50-59 years, male 20.4
GTEX-1H1DG-2726-SM-9JGI1 70-79 years, male 20.3
GTEX-1K2DA-1326-SM-CGQGP 50-59 years, male 20.2
GTEX-R55D-0126-SM-48FEL 50-59 years, male 20.1
GTEX-18QFQ-1926-SM-72D5H 30-39 years, male 20.0
GTEX-14PJ4-1726-SM-664OC 60-69 years, male 19.9
GTEX-1399T-1526-SM-5P9J6 60-69 years, male 19.8
GTEX-YFCO-1726-SM-4W21S 40-49 years, male 19.7
GTEX-11TT1-2226-SM-5GU6B 20-29 years, male 19.5
GTEX-1KXAM-1826-SM-D3LAF 60-69 years, male 19.5
GTEX-1JMQK-2726-SM-CNNPI 60-69 years, male 19.3
GTEX-117YX-2026-SM-5GIEF 50-59 years, male 19.2
GTEX-11O72-0726-SM-5P9GO 40-49 years, male 19.2
GTEX-VJYA-1426-SM-4KL1Y 60-69 years, male 19.2
GTEX-U8T8-1126-SM-4DXUE 60-69 years, male 19.1
GTEX-13QJ3-0226-SM-5S2PU 50-59 years, male 18.7
GTEX-147F4-0626-SM-5LUAK 50-59 years, male 18.7
GTEX-1KD5A-1826-SM-DHXJI 50-59 years, male 18.7
GTEX-QEG5-0126-SM-CMKFD 20-29 years, male 18.7
GTEX-RWSA-2426-SM-47JXR 40-49 years, male 18.6
GTEX-ZDTT-2026-SM-5K7TY 60-69 years, male 18.6
GTEX-1QP29-0426-SM-EVR3Y 50-59 years, male 18.6
GTEX-144GN-1626-SM-5Q5BU 50-59 years, male 18.5
GTEX-13NYB-2226-SM-5MR58 40-49 years, male 18.4
GTEX-O5YT-2126-SM-3MJGD 20-29 years, male 18.4
GTEX-ZTX8-1126-SM-51MRM 20-29 years, male 18.4
GTEX-1E1VI-1026-SM-7MKGQ 50-59 years, male 18.2
GTEX-ZAB4-0126-SM-5CVMG 40-49 years, male 18.1
GTEX-11P7K-1026-SM-5HL6Y 30-39 years, male 18.0
GTEX-13OVK-2226-SM-6LPJY 40-49 years, male 18.0
GTEX-1JJ6O-0526-SM-AHZ3G 60-69 years, male 18.0
GTEX-17MF6-2726-SM-7IGMZ 40-49 years, male 17.9
GTEX-SUCS-1326-SM-4DM5T 70-79 years, male 17.7
GTEX-1F75A-2826-SM-7MXTS 50-59 years, male 17.7
GTEX-1GMR2-0726-SM-7MXVK 50-59 years, male 17.7
GTEX-11EI6-2226-SM-5EGJM 60-69 years, male 17.6
GTEX-1B8KZ-1826-SM-73KVJ 50-59 years, male 17.6
GTEX-145MF-1726-SM-5LU9H 50-59 years, male 17.5
GTEX-WY7C-2226-SM-4ONCS 50-59 years, male 17.5
GTEX-YB5E-1926-SM-5IFIG 40-49 years, male 17.5
GTEX-13N2G-0126-SM-5N9DV 60-69 years, male 17.4
GTEX-13OW6-0126-SM-5IJGM 50-59 years, male 17.4
GTEX-ZT9X-1426-SM-5DUX1 40-49 years, male 17.4
GTEX-1O97I-2426-SM-DPRZ2 60-69 years, male 17.4
GTEX-14E7W-0726-SM-664OK 70-79 years, male 17.3
GTEX-S33H-0126-SM-4AD62 30-39 years, male 17.3
GTEX-X261-2326-SM-4PQYU 50-59 years, male 17.3
GTEX-WQUQ-0326-SM-EWRM7 60-69 years, male 17.2
GTEX-NFK9-0126-SM-3LK5H 40-49 years, male 17.0
GTEX-Q2AH-1526-SM-48TZG 40-49 years, male 17.0
GTEX-1H1ZS-2826-SM-9OSXS 70-79 years, male 16.9
GTEX-1JKYR-1626-SM-AHZ3L 20-29 years, male 16.9
GTEX-1I1GS-1826-SM-C1YS8 60-69 years, male 16.8
GTEX-1LSNL-2426-SM-DHXKO 50-59 years, male 16.8
GTEX-1EU9M-1626-SM-7EWF2 60-69 years, male 16.7
GTEX-1HSMQ-1726-SM-B2LXZ 50-59 years, male 16.7
GTEX-17HGU-0726-SM-7DUFN 50-59 years, male 16.6
GTEX-1GL5R-0826-SM-9KNTS 50-59 years, male 16.6
GTEX-1MA7X-1526-SM-DHXJF 60-69 years, male 16.6
GTEX-13O1R-0726-SM-5IJEI 60-69 years, male 16.5
GTEX-13OVH-0726-SM-5N9BU 70-79 years, male 16.5
GTEX-V955-1926-SM-4KL1L 60-69 years, male 16.5
GTEX-1JJEA-1926-SM-AHZ41 60-69 years, male 16.5
GTEX-1RAZQ-1126-SM-EAZ4S 30-39 years, male 16.5
GTEX-13FLW-2126-SM-5N9FD 50-59 years, male 16.4
GTEX-14PJN-1626-SM-68727 30-39 years, male 16.4
GTEX-18A66-0726-SM-72D77 60-69 years, male 16.4
GTEX-1IY9M-2526-SM-C1YQF 60-69 years, male 16.4
GTEX-12696-0226-SM-5EGL3 60-69 years, male 16.3
GTEX-1339X-1926-SM-5PNVP 40-49 years, male 16.3
GTEX-145MH-2326-SM-5O9AW 50-59 years, male 16.3
GTEX-P4QS-2126-SM-3NMCF 60-69 years, male 16.3
GTEX-1HSMO-2426-SM-A9G24 60-69 years, male 16.3
GTEX-15RIE-0626-SM-6M47G 60-69 years, male 16.2
GTEX-1GN73-1726-SM-9JGFR 60-69 years, male 16.2
GTEX-1KANB-2126-SM-DHXJV 50-59 years, male 16.2
GTEX-1QP9N-1326-SM-DPRZN 30-39 years, male 16.2
GTEX-15RJ7-1826-SM-7KUMJ 40-49 years, male 16.1
GTEX-1CB4I-0926-SM-7MKFY 50-59 years, male 16.1
GTEX-RUSQ-2126-SM-47JXK 50-59 years, male 16.1
GTEX-1EN7A-2226-SM-7MXU6 40-49 years, male 16.0
GTEX-1IL2U-0126-SM-CNPQ5 60-69 years, male 16.0
GTEX-17F9E-1626-SM-7EWDB 50-59 years, male 15.9
GTEX-1LSVX-2126-SM-EV7A9 60-69 years, male 15.9
GTEX-T5JC-0726-SM-4DM55 20-29 years, male 15.8
GTEX-1GN1V-1826-SM-9JGGD 60-69 years, male 15.8
GTEX-1HSKV-1826-SM-CNPPM 60-69 years, male 15.8
GTEX-147GR-0626-SM-5S2PK 60-69 years, male 15.7
GTEX-1ICLY-2926-SM-C1YS5 50-59 years, male 15.7
GTEX-145LT-0426-SM-5LUAP 40-49 years, male 15.6
GTEX-13FTW-1326-SM-5LZZD 40-49 years, male 15.5
GTEX-XPVG-2226-SM-4B65U 50-59 years, male 15.5
GTEX-14A5H-0626-SM-5TDCO 60-69 years, male 15.4
GTEX-1EMGI-0626-SM-7MXUS 60-69 years, male 15.4
GTEX-11NSD-1026-SM-5N9BE 20-29 years, male 15.3
GTEX-14C39-0526-SM-664OF 40-49 years, male 15.3
GTEX-16XZZ-0626-SM-6M47T 60-69 years, male 15.3
GTEX-OIZG-0126-SM-E9TI2 50-59 years, male 15.3
GTEX-16Z82-2726-SM-7KULV 60-69 years, male 15.2
GTEX-PW2O-1426-SM-48TCD 20-29 years, male 15.2
GTEX-XGQ4-2026-SM-4AT6G 50-59 years, male 15.2
GTEX-1EH9U-2626-SM-7IGQN 60-69 years, male 15.2
GTEX-1M5QR-2626-SM-EV7AV 40-49 years, male 15.2
GTEX-11ONC-2226-SM-5HL6D 60-69 years, male 15.1
GTEX-13NZA-2526-SM-5IJFX 60-69 years, male 15.1
GTEX-PLZ6-1226-SM-3P5ZS 30-39 years, male 15.1
GTEX-OHPM-2126-SM-3LK75 50-59 years, male 15.0
GTEX-QMRM-1526-SM-4R1K6 50-59 years, male 15.0
GTEX-T8EM-0126-SM-4DM5R 40-49 years, male 15.0
GTEX-Y3I4-2026-SM-4TT6Z 50-59 years, male 15.0
GTEX-1I1GU-0726-SM-ARU7H 40-49 years, male 15.0
GTEX-11OF3-1826-SM-5987N 60-69 years, male 14.9
GTEX-16MTA-1126-SM-6LPJA 50-59 years, male 14.9
GTEX-WHSE-0426-SM-4M1XO 20-29 years, male 14.9
GTEX-131XE-0426-SM-5IJF4 50-59 years, male 14.8
GTEX-1399R-1626-SM-5P9GG 30-39 years, male 14.8
GTEX-1IOXB-1526-SM-A96T6 50-59 years, male 14.8
GTEX-1QMI2-2826-SM-DPRXR 60-69 years, male 14.8
GTEX-16AAH-1626-SM-7EWE2 50-59 years, male 14.7
GTEX-17KNJ-1126-SM-7KFT6 50-59 years, male 14.7
GTEX-RN64-2326-SM-48FDW 50-59 years, male 14.7
GTEX-S3XE-1526-SM-4AD5A 50-59 years, male 14.7
GTEX-U3ZH-1526-SM-4DXV1 30-39 years, male 14.7
GTEX-1JMQJ-0726-SM-CXZJJ 50-59 years, male 14.7
GTEX-1CAMR-1526-SM-79OLP 20-29 years, male 14.6
GTEX-X3Y1-2626-SM-4PQZI 40-49 years, male 14.6
GTEX-1PIGE-1626-SM-DPRZE 20-29 years, male 14.6
GTEX-SNOS-1126-SM-4DM67 40-49 years, male 14.5
GTEX-ZYT6-2726-SM-5GICP 30-39 years, male 14.5
GTEX-18465-1526-SM-7KFTV 50-59 years, male 14.4
GTEX-R55E-0726-SM-48FCZ 20-29 years, male 14.4
GTEX-Y8E4-2226-SM-5LU94 40-49 years, male 14.4
GTEX-1IDJF-2226-SM-AHZ2T 20-29 years, male 14.4
GTEX-12WSL-2326-SM-5DUXQ 50-59 years, male 14.3
GTEX-QEG4-0126-SM-48TZE 30-39 years, male 14.3
GTEX-S95S-1126-SM-4B64E 60-69 years, male 14.3
GTEX-WFON-2026-SM-4LVMW 40-49 years, male 14.3
GTEX-1KANA-1626-SM-CXZL2 20-29 years, male 14.3
GTEX-1LG7Y-2326-SM-EVR56 50-59 years, male 14.3
GTEX-QV44-1726-SM-4R1KG 50-59 years, male 14.2
GTEX-WFG8-1926-SM-4LVM1 20-29 years, male 14.2
GTEX-WVLH-2626-SM-4MVNV 50-59 years, male 14.2
GTEX-1IKJJ-2126-SM-C1YQU 60-69 years, male 14.2
GTEX-139TS-1726-SM-5IJG5 60-69 years, male 14.1
GTEX-1H11D-1626-SM-9JGHM 40-49 years, male 14.1
GTEX-11EQ8-1426-SM-5EGJR 60-69 years, male 14.0
GTEX-12WSH-0326-SM-5GCNH 50-59 years, male 14.0
GTEX-13VXU-0726-SM-5J2O7 50-59 years, male 14.0
GTEX-OOBJ-2126-SM-3NB1N 60-69 years, male 14.0
GTEX-RM2N-1326-SM-48FCW 50-59 years, male 14.0
GTEX-YF7O-2026-SM-4W1YE 50-59 years, male 14.0
GTEX-YJ89-0626-SM-4TT3Z 60-69 years, male 14.0
GTEX-1F6I4-1426-SM-7MXU3 60-69 years, male 14.0
GTEX-1L5NE-1626-SM-DHXKW 50-59 years, male 14.0
GTEX-1QP6S-0826-SM-E6CPP 40-49 years, male 14.0
GTEX-1R7EU-1726-SM-DTX9M 60-69 years, male 14.0
GTEX-1GMR3-1726-SM-9JGGQ 40-49 years, male 13.9
GTEX-1GZ4I-2726-SM-9JGG9 50-59 years, male 13.9
GTEX-1LBAC-1826-SM-D3L9X 20-29 years, male 13.9
GTEX-1MJK2-1326-SM-EV7A4 50-59 years, male 13.9
GTEX-11DXZ-2126-SM-59881 50-59 years, male 13.8
GTEX-11WQC-2326-SM-5EQKE 60-69 years, male 13.8
GTEX-12WSI-2126-SM-5GCMV 50-59 years, male 13.8
GTEX-1B8KE-1426-SM-7EWEL 50-59 years, male 13.7
GTEX-S7SE-0326-SM-4AT5Q 50-59 years, male 13.7
GTEX-ZQUD-2026-SM-51MSM 30-39 years, male 13.7
GTEX-1H1E6-0626-SM-9OSWF 30-39 years, male 13.7
GTEX-1NHNU-1526-SM-E6CP2 50-59 years, male 13.7
GTEX-1B8L1-2326-SM-9JGGA 60-69 years, male 13.6
GTEX-1I1GP-2426-SM-B2LXK 50-59 years, male 13.6
GTEX-132QS-1226-SM-5P9GD 60-69 years, male 13.5
GTEX-14PJ3-1626-SM-664O5 50-59 years, male 13.5
GTEX-1C64N-2826-SM-7IGP5 50-59 years, male 13.5
GTEX-1JK1U-0726-SM-C1YPZ 60-69 years, male 13.5
GTEX-1R9K5-2326-SM-DPRZC 50-59 years, male 13.5
GTEX-11GS4-2026-SM-5N9CP 60-69 years, male 13.4
GTEX-12BJ1-1326-SM-5BC5P 60-69 years, male 13.4
GTEX-14ABY-0626-SM-5Q5C9 50-59 years, male 13.4
GTEX-1OKEX-1926-SM-E6CP7 60-69 years, male 13.4
GTEX-1RB15-1926-SM-EV79J 60-69 years, male 13.4
GTEX-13NZB-2026-SM-5MR4M 30-39 years, male 13.3
GTEX-17GQL-1726-SM-718B8 60-69 years, male 13.3
GTEX-18A7B-1526-SM-7KFTH 70-79 years, male 13.3
GTEX-1C6VR-1526-SM-7MKG9 60-69 years, male 13.3
GTEX-OIZI-0126-SM-3NB13 40-49 years, male 13.3
GTEX-U4B1-1526-SM-4DXSL 40-49 years, male 13.3
GTEX-ZUA1-2726-SM-59HLJ 40-49 years, male 13.3
GTEX-ZVTK-0126-SM-57WDG 20-29 years, male 13.3
GTEX-111CU-1726-SM-5EGHM 50-59 years, male 13.2
GTEX-12WSM-1326-SM-5GCP9 60-69 years, male 13.2
GTEX-1AX9K-1826-SM-731CY 50-59 years, male 13.2
GTEX-XAJ8-1326-SM-47JYT 40-49 years, male 13.2
GTEX-1LB8K-2326-SM-DHXJL 50-59 years, male 13.2
GTEX-RVPV-1126-SM-EAZAV 60-69 years, male 13.2
GTEX-13N1W-2626-SM-5IJEP 70-79 years, male 13.1
GTEX-14753-0626-SM-5Q5CY 60-69 years, male 13.1
GTEX-XMK1-2026-SM-4B65K 40-49 years, male 13.1
GTEX-ZYFC-0126-SM-5GIEH 50-59 years, male 13.1
GTEX-13O61-2026-SM-5J2M6 60-69 years, male 13.0
GTEX-144GM-0426-SM-5Q5C8 20-29 years, male 13.0
GTEX-15SHV-1926-SM-6LPI1 60-69 years, male 13.0
GTEX-1AX9I-1826-SM-72D5I 60-69 years, male 13.0
GTEX-OOBK-2126-SM-3LK5T 40-49 years, male 13.0
GTEX-Y9LG-1726-SM-4VBQE 30-39 years, male 13.0
GTEX-1HUB1-2026-SM-A96S8 60-69 years, male 13.0
GTEX-15G19-1326-SM-6LPIR 60-69 years, male 12.9
GTEX-U3ZM-1626-SM-4DXSK 40-49 years, male 12.9
GTEX-XPT6-1626-SM-4B655 20-29 years, male 12.9
GTEX-1HBPN-2226-SM-9WPNR 50-59 years, male 12.9
GTEX-1S831-2026-SM-EXOJP 20-29 years, male 12.9
GTEX-PVOW-2126-SM-EZ6LN 40-49 years, male 12.9
GTEX-139T6-1226-SM-5IFFC 50-59 years, male 12.8
GTEX-ZA64-1626-SM-5CVME 20-29 years, male 12.8
GTEX-17HHY-0726-SM-7IGM6 50-59 years, male 12.7
GTEX-OIZH-2126-SM-3NB1P 50-59 years, male 12.7
GTEX-S7PM-0626-SM-4AD4Q 60-69 years, male 12.7
GTEX-TKQ1-0926-SM-4DXU2 30-39 years, male 12.7
GTEX-UPJH-0126-SM-4IHLL 50-59 years, male 12.7
GTEX-WH7G-1926-SM-4LVMM 40-49 years, male 12.7
GTEX-1RAZR-2226-SM-E6CRG 40-49 years, male 12.7
GTEX-11P82-1526-SM-5BC5M 20-29 years, male 12.6
GTEX-13OW5-2526-SM-5L3I1 60-69 years, male 12.6
GTEX-16YQH-1826-SM-6LPJW 30-39 years, male 12.6
GTEX-QLQW-1026-SM-447A9 30-39 years, male 12.6
GTEX-1CB4F-2126-SM-7MXUL 60-69 years, male 12.6
GTEX-139TT-2226-SM-5LZWO 60-69 years, male 12.5
GTEX-14BIL-2226-SM-73KWF 50-59 years, male 12.5
GTEX-XQ3S-2726-SM-4BOP2 20-29 years, male 12.5
GTEX-ZAB5-2426-SM-5CVMW 50-59 years, male 12.5
GTEX-1JMLX-0726-SM-AHZ3M 50-59 years, male 12.5
GTEX-111FC-1926-SM-5GZYC 60-69 years, male 12.4
GTEX-1F6IF-0526-SM-7MKHD 60-69 years, male 12.4
GTEX-T6MN-2026-SM-4DM7L 50-59 years, male 12.4
GTEX-XBED-2026-SM-4AT5D 60-69 years, male 12.4
GTEX-ZT9W-2226-SM-57WFU 50-59 years, male 12.4
GTEX-1S5VW-2626-SM-EVR4W 60-69 years, male 12.4
GTEX-14E6E-1026-SM-664N9 30-39 years, male 12.3
GTEX-WYJK-1826-SM-4ONDM 50-59 years, male 12.3
GTEX-17EVP-2426-SM-7IGNK 40-49 years, male 12.3
GTEX-15RIF-1826-SM-6M469 20-29 years, male 12.2
GTEX-1HCVE-2826-SM-9WPPI 50-59 years, male 12.2
GTEX-1MCQQ-2326-SM-DLHBX 60-69 years, male 12.2
GTEX-18D9B-2726-SM-72D73 60-69 years, male 12.1
GTEX-1A3MX-1026-SM-731F8 60-69 years, male 12.1
GTEX-S4Q7-1226-SM-4AD5I 20-29 years, male 12.1
GTEX-V1D1-2126-SM-4JBH4 50-59 years, male 12.1
GTEX-WHSB-2126-SM-4M1XF 50-59 years, male 12.1
GTEX-13OVL-0426-SM-5IFG6 50-59 years, male 12.0
GTEX-14C5O-2326-SM-73KYU 60-69 years, male 12.0
GTEX-1C4CL-1926-SM-731DY 30-39 years, male 12.0
GTEX-ZTSS-1526-SM-51MTC 40-49 years, male 12.0
GTEX-1GF9W-2126-SM-7MXUX 60-69 years, male 12.0
GTEX-11NUK-2626-SM-5A5MB 50-59 years, male 11.9
GTEX-11TUW-2226-SM-5EQL9 60-69 years, male 11.9
GTEX-TKQ2-1526-SM-4DXUN 50-59 years, male 11.9
GTEX-WZTO-0326-SM-4PQYZ 40-49 years, male 11.9
GTEX-Z93S-1726-SM-5HL8G 50-59 years, male 11.8
GTEX-111YS-2026-SM-5EGGL 60-69 years, male 11.7
GTEX-QV31-1126-SM-CKZNA 30-39 years, male 11.7
GTEX-14C38-0126-SM-5YY9V 50-59 years, male 11.6
GTEX-1PPGY-0726-SM-EXOJ7 60-69 years, male 11.6
GTEX-13O21-1226-SM-5J2MK 50-59 years, male 11.5
GTEX-17HHE-1226-SM-793C6 50-59 years, male 11.5
GTEX-183FY-1926-SM-7KFRI 20-29 years, male 11.5
GTEX-Y5V6-1726-SM-4VDSZ 60-69 years, male 11.5
GTEX-ZVZP-2226-SM-57WBF 50-59 years, male 11.5
GTEX-1I6K7-2426-SM-AHZ2I 40-49 years, male 11.5
GTEX-14PJ2-2026-SM-6AJAQ 50-59 years, male 11.4
GTEX-1J8Q3-0726-SM-AHZ3W 60-69 years, male 11.4
GTEX-1RAZA-2126-SM-EVR4A 20-29 years, male 11.4
GTEX-12C56-1426-SM-5FQSW 20-29 years, male 11.3
GTEX-147JS-0126-SM-5S2TW 60-69 years, male 11.3
GTEX-14B4R-1026-SM-5TDDS 30-39 years, male 11.3
GTEX-X5EB-2026-SM-4E3KA 40-49 years, male 11.3
GTEX-1GTWX-2226-SM-9JGHD 60-69 years, male 11.3
GTEX-1HKZK-1926-SM-9WPPK 40-49 years, male 11.3
GTEX-1KWVE-1126-SM-DHXJY 30-39 years, male 11.3
GTEX-1N2EE-0826-SM-E6CRI 60-69 years, male 11.3
GTEX-1212Z-0326-SM-5FQSJ 60-69 years, male 11.2
GTEX-Q2AI-1226-SM-48U14 40-49 years, male 11.2
GTEX-SNMC-1026-SM-4DM7K 20-29 years, male 11.2
GTEX-1J1R8-1326-SM-CE6TC 40-49 years, male 11.2
GTEX-1A3MV-0726-SM-72D5M 30-39 years, male 11.1
GTEX-1AX9J-1226-SM-72D6P 60-69 years, male 11.1
GTEX-1B8SF-2926-SM-731DL 60-69 years, male 11.1
GTEX-1CB4G-2426-SM-7DUGM 60-69 years, male 11.1
GTEX-117XS-2026-SM-5GID1 60-69 years, male 11.0
GTEX-13FHP-2826-SM-5IJFW 50-59 years, male 11.0
GTEX-YEC3-1726-SM-5IFIK 50-59 years, male 11.0
GTEX-1KD4Q-2126-SM-EV7A6 40-49 years, male 11.0
GTEX-ZZ64-1126-SM-5GZXY 20-29 years, male 10.9
GTEX-1IDJH-2326-SM-D4P2K 70-79 years, male 10.9
GTEX-1PDJ9-1426-SM-DPRYW 20-29 years, male 10.9
GTEX-13111-1526-SM-5EGJX 50-59 years, male 10.8
GTEX-QLQ7-1426-SM-4R1JX 60-69 years, male 10.8
GTEX-WOFM-1126-SM-4OOSB 20-29 years, male 10.8
GTEX-ZV7C-2026-SM-5NQ8F 50-59 years, male 10.8
GTEX-13112-0226-SM-5P9IV 50-59 years, male 10.7
GTEX-14E1K-1926-SM-73KWS 50-59 years, male 10.7
GTEX-YEC4-1526-SM-4W1YU 40-49 years, male 10.6
GTEX-145MO-0126-SM-5S2QU 60-69 years, male 10.5
GTEX-1GN2E-0126-SM-9OSW8 60-69 years, male 10.5
GTEX-11EQ9-1926-SM-5PNVV 30-39 years, male 10.4
GTEX-17MFQ-0826-SM-793C8 20-29 years, male 10.4
GTEX-N7MS-0126-SM-3TW8O 60-69 years, male 10.4
GTEX-R55C-1426-SM-48FED 40-49 years, male 10.4
GTEX-Y111-2426-SM-4TT23 50-59 years, male 10.4
GTEX-XBEC-0126-SM-4GIDT 50-59 years, male 10.3
GTEX-1GF9V-0626-SM-7MXU1 60-69 years, male 10.3
GTEX-1GPI7-1426-SM-9JGGR 20-29 years, male 10.3
GTEX-1RQED-1626-SM-EAZ55 60-69 years, male 10.3
GTEX-1GMRU-0626-SM-7MKH2 50-59 years, male 10.2
GTEX-14DAR-1126-SM-793AT 50-59 years, male 10.1
GTEX-17HII-0126-SM-7KFSS 50-59 years, male 10.1
GTEX-18A6Q-2626-SM-7KFT3 60-69 years, male 10.1
GTEX-111VG-1926-SM-5GIDO 60-69 years, male 10.0
GTEX-1EKGG-2726-SM-79OOD 60-69 years, male 10.0
GTEX-1QP2A-1626-SM-E6CPO 50-59 years, male 10.0
GTEX-11LCK-2326-SM-5HL53 30-39 years, male 9.8
GTEX-ZPU1-2126-SM-57WED 40-49 years, male 9.6
GTEX-1JN6P-2826-SM-CXZJK 60-69 years, male 9.6
GTEX-1PIIG-0526-SM-E6CQM 30-39 years, male 9.5
GTEX-11NV4-1726-SM-5N9FC 60-69 years, male 9.4
GTEX-OXRL-2126-SM-3NM98 50-59 years, male 9.4
GTEX-ZDYS-1326-SM-5IJFF 50-59 years, male 9.3
GTEX-11ZUS-2726-SM-5FQUA 30-39 years, male 9.2
GTEX-OIZF-2126-SM-7P8R2 60-69 years, male 9.2
GTEX-144GL-0726-SM-5LU4P 50-59 years, male 9.0
GTEX-1HSEH-0726-SM-B2LXD 60-69 years, male 8.9
GTEX-WK11-0326-SM-4OOS6 50-59 years, male 8.7
GTEX-1H4P4-1926-SM-9WPOO 50-59 years, male 8.7
GTEX-1I1GV-2526-SM-B2LXL 60-69 years, male 8.7
GTEX-117YW-1526-SM-5EGGP 50-59 years, male 8.6
GTEX-12ZZY-0126-SM-5LZV2 60-69 years, male 8.6
GTEX-1B996-2326-SM-731EC 60-69 years, male 8.3
GTEX-REY6-0126-SM-48FDT 60-69 years, male 8.3
GTEX-1LVA9-2826-SM-EAZ5D 50-59 years, male 6.9
Show allShow less

TESTIS - FANTOM5 CAGEi

RNA expression in human tissues obtained through Cap Analysis of Gene Expression (CAGE) generated by the FANTOM5 project are reported as Scaled Tags Per Million.

Max subtype Scaled Tags Per Millioni

Max subtype Scaled Tags Per Million is the value for the subtype with the largest average Scaled Tags Per Million across the subtype samples.

14.2
FANTOM5 sample id Sample description Scaled Tags Per Million
Testis
Scaled Tags Per Million: 14.2
FF:10096-102C6 14-64 years, male 16.1
FF:10026-101D8 34,53,86 years, male 12.2

Contact

  • NEWS ARTICLES
  • PRESS ROOM

The Project

  • INTRODUCTION
  • ORGANIZATION
  • PUBLICATIONS

The Human Protein Atlas

  • DOWNLOADABLE DATA
  • LICENCE & CITATION
  • HELP & FAQ
The Human Protein Atlas project is funded
by the Knut & Alice Wallenberg Foundation.


contact@proteinatlas.org