We use cookies to enhance the usability of our website. If you continue, we'll assume that you are happy to receive all cookies. More information. Don't show this again.
SNRNP70
HPA
RESOURCES
  • TISSUE
  • BRAIN
  • SINGLE CELL
  • SUBCELLULAR
  • CANCER
  • BLOOD
  • CELL LINE
  • STRUCTURE & INTERACTION
ABOUT
  • INTRODUCTION
  • HISTORY
  • ORGANIZATION
  • PUBLICATIONS
  • ANTIBODY SUBMISSION
  • ANTIBODY AVAILABILITY
  • ACKNOWLEDGMENTS
  • CONTACT
NEWS
  • NEWS ARTICLES
  • PRESS ROOM
LEARN
  • DICTIONARY
  • PROTEIN CLASSES
  • PROTEIN EVIDENCE
  • METHODS
  • EDUCATIONAL VIDEOS
DATA
  • DOWNLOADABLE DATA
  • PUBLICATION DATA
  • RELEASE HISTORY
HELP
  • ANTIBODY VALIDATION
  • ASSAYS & ANNOTATION
  • DISCLAIMER
  • HELP & FAQ
  • PRIVACY STATEMENT
  • LICENCE & CITATION
Fields »
Search result

Field
Term
Gene name
Class
Subclass
Class
Keyword
Chromosome
External id
Tissue
Cell type
Expression
Antibody panel
Tissue
Main location
Patient ID
Annotation
Tissue
Category
Tau score
Cluster
Reliability
Brain region
Category
Tau score
Brain region
Category
Tau score
Brain region
Category
Tau score
Cluster
Reliability
Tissue
Cell type
Enrichment
Cell type
Category
Tau score
Cell type
Category
Tau score
Cell type
Category
Tau score
Cell lineage
Category
Tau score
Cluster
Cluster
Location
Searches
Location
Cell line
Class
Type
Phase
Reliability
Cancer
Prognosis
Cancer
Category
Cancer
Category
Tau score
Cluster
Variants
Interacting gene (ensg_id)
Type
Number of interactions
Pathway
Category
Score
Score
Score
Validation
Validation
Validation
Validation
Antibodies
Data type
Column


  • SUMMARY

  • TISSUE

  • BRAIN

  • SINGLE CELL

  • SUBCELL

  • CANCER

  • BLOOD

  • CELL LINE

  • STRUCT & INT

  • SNRNP70
TISSUE PRIMARY DATA ESOPHAGUS Show tissue menu
ADIPOSE TISSUE ADRENAL GLAND AMYGDALA APPENDIX BASAL GANGLIA BONE MARROW BREAST BRONCHUS CEREBELLUM CEREBRAL CORTEX CERVIX CHOROID PLEXUS COLON DUODENUM
ENDOMETRIUM EPIDIDYMIS ESOPHAGUS FALLOPIAN TUBE GALLBLADDER HEART MUSCLE HIPPOCAMPAL FORMATION HYPOTHALAMUS KIDNEY LIVER LUNG LYMPH NODE MIDBRAIN NASOPHARYNX
ORAL MUCOSA OVARY PANCREAS PARATHYROID GLAND PITUITARY GLAND PLACENTA PROSTATE RECTUM RETINA SALIVARY GLAND SEMINAL VESICLE SKELETAL MUSCLE SKIN SMALL INTESTINE
SMOOTH MUSCLE SOFT TISSUE SPINAL CORD SPLEEN STOMACH TESTIS THYMUS THYROID GLAND TONGUE TONSIL URINARY BLADDER VAGINA
ANTIBODIES
AND
VALIDATION
Dictionary
Esophagus
Tissue proteome
Esophagus
ESOPHAGUS - Expression summary
Protein expression
Esophagusi

On the top, protein expression in current human tissue, based on all annotated cell types, is reported with the units not detected (n), low (l), medium (m) and high (h). Underneath, protein expression in each annotated cell type are reported using the same units.

Protein expression data is based on knowledge-based annotation. For genes where more than one antibody has been used, a collective score is set.

If knowledge-based annotation could not be performed for a gene, no data is displayed here. View antibody staining data further down this page.

h
m
l
n
Squamous epithelial cells: High
RNA expressioni

A summary of mRNA expression data available for current tissue based on several datasets. The mRNA expression levels in human tissues are based on RNA-seq data generated by the Human Protein Atlas (HPA), Genotype-Tissue Expression (GTEx) portal and CAGE data generated by the FANTOM5 consortium. Consensus normalized expression levels for human tissues was created by combining the data from HPA and GTEx datasets.

The mRNA expression levels in pig are based on RNA-seq data generated by the Human Protein Atlas (HPA), and for mouse, HPA data and in situ hybridization generated by the Allen brain atlas are reported.

Scroll down to view mRNA expression data in more detail.
Consensus:101.0 nTPM
HPA:17.3 nTPM
GTEx:101.0 nTPM
FANTOM5:202.2 Scaled Tags Per Million

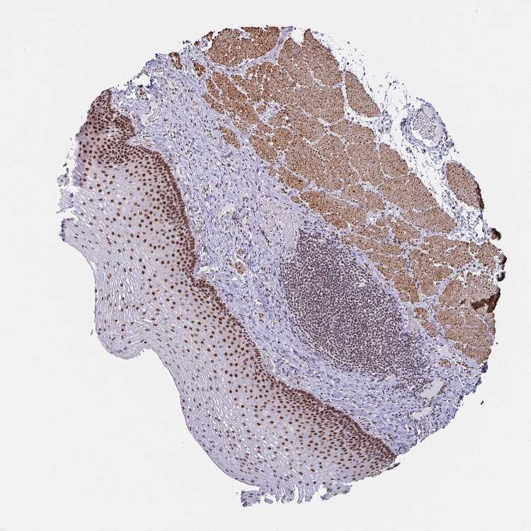
ESOPHAGUS - Antibody stainingi

Antibody staining in the annotated cell types in the current human tissue is reported as not detected, low, medium, or high, based on conventional immunohistochemistry profiling in selected tissues. This score is based on the combination of the staining intensity and fraction of stained cells.

Each image is clickable and will lead to virtual microscopy that enables deeper exploration of all samples and also displays staining intensity scores, fraction scores and subcellular localization as well as patient and tissue information for each sample.

Antibody HPA042050Antibody HPA043516
Squamous epithelial cells HighHigh





ESOPHAGUS - HPA RNA-seqi

The RNA-seq details section shows detailed information about the individual samples used for the transcript profiling and results of the RNA-seq analysis.

Information about each individual sample is listed below, including gender, age, a tissue section image and estimated fractions of cell types. nTPM (normalized transcripts per million) values give a quantification of the gene abundance which is comparable between different genes and samples.
Average nTPMi

Max subtype nTPM is the value for the subtype with the largest average nTPM across the subtype samples.

17.3
overview
Female, age 70
Esophagus sample 130
nTPM: 18.8
Cell types%
Squamous epithelial cells:
35

Smooth muscle cells:
15

Skeletal muscle cells:
5

Other cell types:
45

overview
Male, age 38
Esophagus sample 131
nTPM: 17.3
Cell types%
Squamous epithelial cells:
60

Smooth muscle cells:
20

Other cell types:
20

overview
Male, age 76
Esophagus sample 132
nTPM: 15.7
Cell types%
Squamous epithelial cells:
45

Smooth muscle cells:
15

Other cell types:
40


ESOPHAGUS - GTEx RNA-seqi

RNA-Seq data generated by the Genotype-Tissue Expression (GTEx) project from human tissues is reported as mean nTPM. More information can be found on the GTEx portal.

Distribution across the dataset is visualized with box plots, shown as median and 25th and 75th percentiles. Points are displayed as outliers if they are above or below 1.5 times the interquartile range. nTPM values of the individual samples are presented next to the box plot.
Max subtype nTPMi

Max subtype nTPM is the value for the subtype with the largest average nTPM across the subtype samples.

101.0
GTEx sample id Sample description nTPM
Esophagus - Mucosa
Average nTPM: 101.0
Samples: 555

Max nTPM: 196.3
Min nTPM: 40.8
Std nTPM: 20.5
Median nTPM: 97.9
GTEX-Q2AG-1326-SM-43V8K 40-49 years, female 196.3
GTEX-1KANB-1826-SM-DHXJU 50-59 years, male 195.5
GTEX-PVOW-1626-SM-48TC9 40-49 years, male 168.8
GTEX-13NYB-0926-SM-5IFFA 40-49 years, male 166.4
GTEX-145ME-5004-SM-7MGXP 40-49 years, female 162.8
GTEX-145MF-1426-SM-5O9B6 50-59 years, male 162.6
GTEX-ZZPT-1426-SM-5N9C5 50-59 years, male 162.0
GTEX-14PJ5-0526-SM-664OE 60-69 years, female 160.8
GTEX-1N2EE-2426-SM-EXOIO 60-69 years, male 160.1
GTEX-1HCU8-2226-SM-9WPOV 60-69 years, female 158.4
GTEX-1I1GP-1026-SM-C1YRZ 50-59 years, male 157.9
GTEX-12ZZX-1326-SM-5DUWI 40-49 years, female 154.6
GTEX-XQ3S-1126-SM-4BOPK 20-29 years, male 154.6
GTEX-ZTX8-0226-SM-5E44D 20-29 years, male 154.3
GTEX-13O3Q-0826-SM-5IFGF 50-59 years, male 154.0
GTEX-11GSP-1826-SM-5N9DQ 60-69 years, female 153.3
GTEX-1JMQJ-1226-SM-D3L97 50-59 years, male 153.2
GTEX-1F88F-1126-SM-7MKHL 60-69 years, female 150.6
GTEX-18465-1126-SM-7LG6E 50-59 years, male 148.8
GTEX-1C6VQ-1826-SM-7EWEH 50-59 years, male 148.0
GTEX-13FLV-1126-SM-5J2NO 50-59 years, male 146.5
GTEX-1PPH8-1626-SM-E6CQP 20-29 years, male 145.0
GTEX-18D9U-2126-SM-7LG4Y 40-49 years, male 142.6
GTEX-11DXY-1426-SM-5N9CN 60-69 years, male 141.6
GTEX-YFC4-1226-SM-5LU9R 40-49 years, female 140.8
GTEX-TMMY-1126-SM-4DXSX 40-49 years, female 140.4
GTEX-1JMLX-2326-SM-CXZJP 50-59 years, male 139.9
GTEX-15F5U-5010-SM-AHZ2D 40-49 years, male 139.8
GTEX-WVLH-1426-SM-4MVNX 50-59 years, male 138.6
GTEX-1I1GS-2126-SM-ARU7G 60-69 years, male 137.2
GTEX-1N2DW-1426-SM-EV7AZ 50-59 years, male 136.7
GTEX-ZXES-1126-SM-5GZXN 30-39 years, female 133.9
GTEX-14JIY-0926-SM-6871D 60-69 years, male 133.6
GTEX-1IDJD-1626-SM-C1YRC 30-39 years, male 132.4
GTEX-11EMC-2226-SM-5A5JW 60-69 years, female 132.1
GTEX-1HBPI-0626-SM-9WPP4 50-59 years, male 131.3
GTEX-11ZU8-1526-SM-5EGHX 60-69 years, male 130.1
GTEX-1QP2A-1926-SM-EXOJ9 50-59 years, male 129.6
GTEX-X4EP-1626-SM-4QAS6 60-69 years, female 129.4
GTEX-13X6H-1326-SM-5LU42 50-59 years, female 128.9
GTEX-11ZTS-2626-SM-5EGIC 60-69 years, female 128.1
GTEX-WQUQ-1626-SM-4OOSH 60-69 years, male 128.0
GTEX-UPK5-1226-SM-4IHL8 40-49 years, male 127.8
GTEX-ZY6K-0626-SM-59HJL 50-59 years, male 127.7
GTEX-1LG7Y-1726-SM-EV7AR 50-59 years, male 127.7
GTEX-1I4MK-0426-SM-B2LWQ 50-59 years, female 127.1
GTEX-WHWD-0926-SM-4OORY 50-59 years, male 127.0
GTEX-14BIM-1326-SM-7EWD1 60-69 years, female 126.7
GTEX-144FL-2726-SM-5O98Z 50-59 years, male 126.2
GTEX-1JKYN-1526-SM-CGQGA 30-39 years, male 125.8
GTEX-1B933-2026-SM-7EWFC 50-59 years, female 125.7
GTEX-1GF9U-0826-SM-7MXTZ 40-49 years, female 125.7
GTEX-13NZB-1226-SM-5J2MW 30-39 years, male 125.2
GTEX-OXRP-0926-SM-48TC1 60-69 years, female 125.2
GTEX-1EMGI-1926-SM-7938Y 60-69 years, male 125.0
GTEX-13O1R-1326-SM-5IJF5 60-69 years, male 124.8
GTEX-1AX8Z-5016-SM-AHZ2B 60-69 years, male 124.7
GTEX-1IKK5-1326-SM-AHZ2X 60-69 years, male 124.5
GTEX-14PK6-1326-SM-686ZE 70-79 years, female 124.4
GTEX-1F75I-1726-SM-7MKGW 40-49 years, male 124.4
GTEX-18A6Q-1226-SM-7KFS9 60-69 years, male 124.0
GTEX-11NUK-1326-SM-5P9GN 50-59 years, male 123.8
GTEX-1LVAM-1126-SM-DHXKP 50-59 years, female 123.7
GTEX-15RIF-0826-SM-6M47C 20-29 years, male 123.6
GTEX-17F9E-1926-SM-7IGQF 50-59 years, male 123.5
GTEX-145MO-1426-SM-DTX9W 60-69 years, male 123.4
GTEX-13X6I-1026-SM-5LU4C 60-69 years, male 123.0
GTEX-1QP9N-0926-SM-E9U5S 30-39 years, male 123.0
GTEX-R55E-1326-SM-48FCR 20-29 years, male 122.9
GTEX-ZYFC-1626-SM-5N9EU 50-59 years, male 122.6
GTEX-R55D-1126-SM-48FEB 50-59 years, male 122.5
GTEX-RUSQ-0826-SM-47JWW 50-59 years, male 122.3
GTEX-144GO-2726-SM-5O9A2 60-69 years, male 121.9
GTEX-1F5PL-1726-SM-9QEGL 40-49 years, female 121.5
GTEX-1J8EW-1326-SM-AHZ3S 60-69 years, female 121.4
GTEX-UPJH-1026-SM-EAZB2 50-59 years, male 121.2
GTEX-11I78-1526-SM-5A5K7 50-59 years, female 121.0
GTEX-145LV-1326-SM-5S2QI 50-59 years, male 121.0
GTEX-15DCE-1326-SM-6LPJL 20-29 years, male 120.7
GTEX-139UW-1126-SM-5IJEJ 60-69 years, male 120.3
GTEX-13OVJ-1226-SM-5L3HA 50-59 years, female 120.3
GTEX-1EH9U-2426-SM-7EWFG 60-69 years, male 120.2
GTEX-1LSVX-1226-SM-DHXJN 60-69 years, male 120.2
GTEX-13YAN-1926-SM-7EPH9 60-69 years, male 120.1
GTEX-QVUS-0626-SM-447CC 60-69 years, female 120.0
GTEX-1QCLZ-1626-SM-E9U5R 60-69 years, female 119.7
GTEX-14BMU-0926-SM-5S2QB 20-29 years, female 119.6
GTEX-TSE9-1226-SM-4DXTM 60-69 years, female 119.6
GTEX-1212Z-2126-SM-5FQTM 60-69 years, male 119.5
GTEX-ZPCL-1426-SM-57WEC 60-69 years, female 119.5
GTEX-ZLFU-1126-SM-DO11K 40-49 years, male 119.0
GTEX-S341-0526-SM-4AD5U 40-49 years, female 118.7
GTEX-11LCK-1726-SM-5S2OQ 30-39 years, male 118.6
GTEX-1BAJH-2026-SM-7P8OZ 70-79 years, male 118.6
GTEX-1LNCM-0626-SM-EV7AI 50-59 years, female 118.3
GTEX-16XZY-0926-SM-7938M 70-79 years, male 117.9
GTEX-1497J-2726-SM-5SI9W 60-69 years, male 117.5
GTEX-ZE9C-1126-SM-4WWBD 60-69 years, male 117.5
GTEX-ZF3C-1626-SM-4WWB4 50-59 years, female 117.2
GTEX-14ICK-2026-SM-6AJB2 40-49 years, male 117.1
GTEX-1399Q-1126-SM-5P9JA 40-49 years, male 117.0
GTEX-13PVQ-1726-SM-5IFF3 50-59 years, male 116.9
GTEX-11ONC-1526-SM-5GU6S 60-69 years, male 116.5
GTEX-ZAJG-1326-SM-5S2NV 50-59 years, female 116.5
GTEX-ZYY3-1526-SM-5SIA9 60-69 years, female 116.4
GTEX-X4EO-1226-SM-4QARR 60-69 years, female 116.3
GTEX-1LVAN-2326-SM-CNNPY 50-59 years, female 116.3
GTEX-T5JW-1326-SM-4DM5G 20-29 years, female 116.2
GTEX-1MCC2-1926-SM-DHXJR 30-39 years, female 116.2
GTEX-1K2DU-1726-SM-EV79S 20-29 years, male 115.9
GTEX-1K9T9-2026-SM-CXZK3 50-59 years, female 115.9
GTEX-117YW-1926-SM-5H121 50-59 years, male 115.5
GTEX-13S86-0826-SM-5SI6J 40-49 years, male 115.5
GTEX-14PJ4-1526-SM-664OA 60-69 years, male 115.5
GTEX-1KANA-0626-SM-D4P3I 20-29 years, male 115.5
GTEX-ZYFG-1126-SM-5GICY 60-69 years, female 115.2
GTEX-12WSA-1426-SM-5EGJU 60-69 years, male 115.1
GTEX-1H1DE-1026-SM-9JGH6 20-29 years, male 115.1
GTEX-1HGF4-0926-SM-9WPP8 60-69 years, male 115.1
GTEX-14BIN-2726-SM-5RQIE 50-59 years, female 114.9
GTEX-1EU9M-2326-SM-7MKGS 60-69 years, male 114.5
GTEX-ZYW4-1326-SM-5E45N 60-69 years, male 114.3
GTEX-RNOR-1226-SM-48FDQ 50-59 years, female 114.2
GTEX-1EKGG-1726-SM-7MXUP 60-69 years, male 114.2
GTEX-11TT1-0526-SM-5P9JO 20-29 years, male 114.1
GTEX-13SLX-1726-SM-5Q5E5 50-59 years, female 114.1
GTEX-1EX96-2226-SM-7MKGT 50-59 years, male 114.1
GTEX-1GPI7-1026-SM-7MGY2 20-29 years, male 113.9
GTEX-1JMPZ-2026-SM-C1YR8 30-39 years, male 113.9
GTEX-1I1GQ-1726-SM-B2LWZ 50-59 years, male 113.8
GTEX-1R9PM-0926-SM-DPRYA 20-29 years, male 113.8
GTEX-15DCD-1626-SM-6AJBH 70-79 years, female 113.6
GTEX-1JMQK-2026-SM-C1YQN 60-69 years, male 113.5
GTEX-1OJC3-0826-SM-DPRYU 20-29 years, male 113.5
GTEX-14ICL-0526-SM-5RQJ6 30-39 years, male 113.3
GTEX-11DZ1-2026-SM-5A5KG 50-59 years, male 113.1
GTEX-132QS-1426-SM-5P9GE 60-69 years, male 113.0
GTEX-ZYVF-2226-SM-5GIDD 50-59 years, female 113.0
GTEX-UJMC-0926-SM-4IHLK 50-59 years, male 112.7
GTEX-1HCU7-2126-SM-A96SG 50-59 years, male 112.7
GTEX-1MCQQ-1026-SM-EV7AX 60-69 years, male 112.7
GTEX-Y111-1626-SM-57WCY 50-59 years, male 112.6
GTEX-1LG7Z-0926-SM-CXKYK 30-39 years, male 112.6
GTEX-1LVA9-2126-SM-DLHBY 50-59 years, male 112.6
GTEX-1HB9E-1526-SM-D3LA6 50-59 years, male 112.4
GTEX-12ZZW-1726-SM-5DUVD 50-59 years, male 112.2
GTEX-1CB4J-2426-SM-7MXVC 60-69 years, male 112.2
GTEX-1C475-0926-SM-7MKFI 40-49 years, female 112.1
GTEX-XLM4-2326-SM-4AT5E 60-69 years, male 111.6
GTEX-U8XE-1726-SM-4E3IF 30-39 years, male 111.4
GTEX-ZAK1-1526-SM-5S2OV 50-59 years, female 111.4
GTEX-1HSKV-2426-SM-A8N8K 60-69 years, male 111.3
GTEX-14AS3-0626-SM-5QGQD 40-49 years, female 111.2
GTEX-S32W-0926-SM-4AD5X 50-59 years, female 111.2
GTEX-1QP67-0726-SM-DPRY1 40-49 years, female 111.1
GTEX-1B996-1826-SM-7MGY6 60-69 years, male 111.0
GTEX-1GMR2-1526-SM-7MXV6 50-59 years, male 110.9
GTEX-1NUQO-1126-SM-DTX98 20-29 years, female 110.9
GTEX-13G51-0926-SM-5IFFU 60-69 years, male 110.8
GTEX-13OW8-2326-SM-5L3I9 60-69 years, male 110.8
GTEX-148VI-1026-SM-5TDDJ 60-69 years, female 110.7
GTEX-1IKOE-1526-SM-C1YSD 30-39 years, female 110.5
GTEX-139TU-1226-SM-5J2NL 60-69 years, male 110.3
GTEX-14PJN-0526-SM-68724 30-39 years, male 110.2
GTEX-Y9LG-0626-SM-4WWDH 30-39 years, male 110.1
GTEX-14B4R-0326-SM-5TDDP 30-39 years, male 110.0
GTEX-XBEW-1326-SM-4AT63 40-49 years, male 109.9
GTEX-1LSNL-2226-SM-DHXKM 50-59 years, male 109.9
GTEX-1QW4Y-0526-SM-EAZ3V 30-39 years, male 109.4
GTEX-ZZ64-0226-SM-5E44X 20-29 years, male 109.3
GTEX-1PFEY-0826-SM-E9U6A 30-39 years, male 109.3
GTEX-U3ZM-0526-SM-4DXTB 40-49 years, male 109.2
GTEX-ZTPG-1626-SM-5DUX2 20-29 years, female 109.2
GTEX-11DYG-1326-SM-5N9DO 60-69 years, male 108.9
GTEX-XGQ4-1526-SM-4AT6H 50-59 years, male 108.9
GTEX-1H11D-2126-SM-9OSXM 40-49 years, male 108.8
GTEX-Z9EW-0526-SM-5HL8S 40-49 years, male 108.6
GTEX-1122O-1726-SM-5GICM 60-69 years, female 108.4
GTEX-13CF3-1626-SM-5IFG9 60-69 years, female 108.4
GTEX-14E1K-1226-SM-5S2PD 50-59 years, male 108.4
GTEX-ZVP2-1326-SM-57WCE 50-59 years, male 108.1
GTEX-1N2DV-2026-SM-EV7BL 40-49 years, male 108.1
GTEX-1HCU6-1326-SM-A96TZ 60-69 years, female 108.0
GTEX-1CAMQ-2726-SM-7MKGD 40-49 years, male 107.9
GTEX-1QP28-1826-SM-EAZ4L 50-59 years, female 107.9
GTEX-S4P3-0426-SM-4AD56 50-59 years, female 107.8
GTEX-QEG5-1426-SM-447AS 20-29 years, male 107.7
GTEX-1RAZS-2626-SM-EV79C 50-59 years, male 107.7
GTEX-14PJM-1526-SM-664NY 50-59 years, female 107.1
GTEX-1H23P-1426-SM-9JGH5 60-69 years, male 107.1
GTEX-1R7EU-0826-SM-DPRZL 60-69 years, male 107.0
GTEX-ZUA1-1226-SM-5NQ6O 40-49 years, male 106.9
GTEX-WFG8-1226-SM-4V6EI 20-29 years, male 106.8
GTEX-1QCLY-1526-SM-DPRXX 30-39 years, male 106.8
GTEX-13U4I-1126-SM-5LU3S 40-49 years, female 106.6
GTEX-1RAZA-1326-SM-DPS12 20-29 years, male 106.4
GTEX-1F5PK-1526-SM-7MKGV 50-59 years, male 106.2
GTEX-1L5NE-1426-SM-DHXKV 50-59 years, male 106.2
GTEX-P78B-1026-SM-3NMC4 40-49 years, female 106.1
GTEX-QEL4-1426-SM-447AC 50-59 years, male 106.0
GTEX-12WSD-1826-SM-5GCOA 60-69 years, female 105.9
GTEX-11P82-0526-SM-5986P 20-29 years, male 105.8
GTEX-11TUW-1326-SM-5EQKV 60-69 years, male 105.5
GTEX-12WSL-1526-SM-5GCP8 50-59 years, male 105.0
GTEX-1A8FM-1526-SM-7MXTA 50-59 years, female 105.0
GTEX-1HC8U-1526-SM-9WPO4 40-49 years, female 105.0
GTEX-OHPN-1026-SM-E9TI8 60-69 years, female 105.0
GTEX-133LE-0626-SM-5IFFJ 20-29 years, female 104.7
GTEX-11DXX-1126-SM-5GZZK 60-69 years, female 104.6
GTEX-ZG7Y-1126-SM-4WWEZ 50-59 years, male 104.5
GTEX-11EM3-0826-SM-5N9CC 20-29 years, female 104.4
GTEX-PSDG-1326-SM-48TD2 50-59 years, male 104.4
GTEX-PWCY-0726-SM-48TCS 20-29 years, female 104.4
GTEX-Y3I4-1226-SM-4TT8N 50-59 years, male 104.4
GTEX-1H3VY-2026-SM-9JGHK 50-59 years, male 104.2
GTEX-1I6K7-1426-SM-B2LXP 40-49 years, male 104.0
GTEX-145MN-1026-SM-5NQ9G 30-39 years, male 103.9
GTEX-RN64-1026-SM-48FDX 50-59 years, male 103.9
GTEX-1KAFJ-0626-SM-D3L8X 50-59 years, male 103.9
GTEX-1EN7A-1226-SM-7MGX9 40-49 years, male 103.8
GTEX-16MTA-0826-SM-6LLIC 50-59 years, male 103.7
GTEX-WXYG-1226-SM-4ONCJ 50-59 years, female 103.7
GTEX-17F96-2526-SM-7DHL3 70-79 years, male 103.5
GTEX-1HCUA-1426-SM-9WPP7 50-59 years, female 103.5
GTEX-132Q8-1826-SM-5EGIY 60-69 years, male 103.3
GTEX-1HBPH-1126-SM-A96TU 40-49 years, female 103.3
GTEX-1AYD5-0926-SM-793AF 50-59 years, male 103.1
GTEX-14C38-2126-SM-5RQJO 50-59 years, male 102.9
GTEX-ZDYS-0826-SM-4WWCR 50-59 years, male 102.9
GTEX-WFJO-0826-SM-4LVM5 30-39 years, male 102.8
GTEX-1M5QR-0726-SM-DHXK7 40-49 years, male 102.6
GTEX-ZLWG-1326-SM-DNZYZ 50-59 years, female 102.6
GTEX-1RAZQ-1726-SM-EAZ4T 30-39 years, male 102.5
GTEX-131XF-0826-SM-5GICG 60-69 years, male 102.3
GTEX-VUSG-1226-SM-4KKZF 50-59 years, male 102.2
GTEX-1J1R8-0326-SM-AHZ3D 40-49 years, male 102.2
GTEX-12WSK-1126-SM-5LZV8 40-49 years, female 102.1
GTEX-1LBAC-1226-SM-DHXK1 20-29 years, male 102.1
GTEX-14PKV-1726-SM-6871U 20-29 years, female 102.0
GTEX-YB5E-0926-SM-4WWDQ 40-49 years, male 102.0
GTEX-Y5V5-1626-SM-4VDSG 60-69 years, female 101.6
GTEX-15DYW-1826-SM-6LPIY 60-69 years, female 101.4
GTEX-RU1J-0326-SM-46MUM 20-29 years, female 101.4
GTEX-1399S-1326-SM-5P9GH 30-39 years, female 101.3
GTEX-146FH-1726-SM-5QGQ2 50-59 years, female 101.2
GTEX-148VJ-1026-SM-5LU98 70-79 years, male 101.2
GTEX-111YS-0926-SM-5EGGI 60-69 years, male 101.0
GTEX-16BQI-1526-SM-6LLIE 30-39 years, female 100.9
GTEX-YEC3-2526-SM-CXZIH 50-59 years, male 100.8
GTEX-OIZG-1026-SM-3LK5X 50-59 years, male 100.7
GTEX-ZPU1-1426-SM-4WWFU 40-49 years, male 100.7
GTEX-1CB4F-1526-SM-7MKFM 60-69 years, male 100.5
GTEX-X15G-0826-SM-4PQZD 50-59 years, female 100.4
GTEX-16Z82-1926-SM-6M47U 60-69 years, male 100.2
GTEX-ZVT2-1326-SM-5E45H 50-59 years, female 100.2
GTEX-1J1OQ-2526-SM-AHZ3Q 40-49 years, female 100.2
GTEX-WOFM-0626-SM-4OOS3 20-29 years, male 100.0
GTEX-ZYT6-1126-SM-5GZYR 30-39 years, male 99.9
GTEX-16A39-1026-SM-6LPJU 30-39 years, female 99.8
GTEX-139T6-0626-SM-5IFF9 50-59 years, male 99.7
GTEX-14E6E-0726-SM-5S2R3 30-39 years, male 99.6
GTEX-144GM-1426-SM-5LU31 20-29 years, male 99.4
GTEX-S4Q7-0626-SM-4AD5M 20-29 years, male 99.3
GTEX-X4LF-0626-SM-4QASB 50-59 years, male 99.3
GTEX-11DXZ-1226-SM-5H11L 50-59 years, male 99.1
GTEX-17EUY-1426-SM-7938X 20-29 years, male 99.1
GTEX-13FTW-1626-SM-5KM4N 40-49 years, male 98.7
GTEX-NPJ8-1926-SM-3MJGB 40-49 years, male 98.7
GTEX-1HCVE-1226-SM-9WPPH 50-59 years, male 98.7
GTEX-1MGNQ-1626-SM-EAZ4Z 40-49 years, male 98.6
GTEX-1C2JI-1126-SM-731FH 50-59 years, male 98.5
GTEX-T2YK-1326-SM-4DM6S 50-59 years, male 98.5
GTEX-R45C-1226-SM-48FEE 60-69 years, female 98.4
GTEX-15RIE-0826-SM-6M47X 60-69 years, male 98.2
GTEX-13FTX-0526-SM-5IFGS 20-29 years, female 98.1
GTEX-14JG6-0926-SM-6871Y 30-39 years, female 98.0
GTEX-ZEX8-1426-SM-4WKHQ 50-59 years, male 98.0
GTEX-PLZ4-1626-SM-3P618 50-59 years, female 97.9
GTEX-1H1ZS-1526-SM-9OSXR 70-79 years, male 97.9
GTEX-1JK1U-1726-SM-CNNPM 60-69 years, male 97.9
GTEX-13O21-0626-SM-5IJDI 50-59 years, male 97.8
GTEX-146FR-0426-SM-5SI97 60-69 years, female 97.8
GTEX-15ER7-2126-SM-7939E 20-29 years, female 97.8
GTEX-YF7O-0926-SM-5IFIF 50-59 years, male 97.8
GTEX-1I1GU-1426-SM-B2LX3 40-49 years, male 97.8
GTEX-1R9K4-1926-SM-DPRZW 60-69 years, male 97.8
GTEX-S3XE-0926-SM-4AD4S 50-59 years, male 97.7
GTEX-13OVG-0626-SM-5IFEP 60-69 years, male 97.5
GTEX-1I1CD-1726-SM-A9G3P 60-69 years, female 97.5
GTEX-144GN-0626-SM-5O9B2 50-59 years, male 97.4
GTEX-15RJE-0926-SM-6LLHZ 40-49 years, male 97.1
GTEX-WFG7-1126-SM-4LMK3 20-29 years, male 97.1
GTEX-WK11-1026-SM-4OOS8 50-59 years, male 97.1
GTEX-18A7A-2326-SM-7KFRH 50-59 years, female 96.9
GTEX-1S82Y-1226-SM-EV7BD 40-49 years, male 96.9
GTEX-131YS-1426-SM-5IJF7 60-69 years, female 96.8
GTEX-1RLM8-0726-SM-E6CRH 50-59 years, male 96.8
GTEX-17JCI-1226-SM-793D9 60-69 years, female 96.7
GTEX-1RDX4-2126-SM-EV7B3 50-59 years, female 96.7
GTEX-16MT8-1326-SM-6M47R 60-69 years, female 96.6
GTEX-OIZH-0626-SM-3NB1L 50-59 years, male 96.6
GTEX-PWN1-0626-SM-48TDT 40-49 years, female 96.6
GTEX-RU72-0726-SM-46MUW 50-59 years, female 96.6
GTEX-1CB4H-1526-SM-7MXU4 60-69 years, female 96.6
GTEX-XK95-1026-SM-4GIDV 40-49 years, male 96.5
GTEX-1GN1W-2226-SM-9JGI5 50-59 years, female 96.5
GTEX-11P7K-1326-SM-5BC5G 30-39 years, male 96.4
GTEX-1AMEY-0226-SM-7189Q 30-39 years, female 96.4
GTEX-Q2AH-0826-SM-48TZN 40-49 years, male 96.4
GTEX-VJYA-0726-SM-4KL1T 60-69 years, male 96.4
GTEX-X585-1226-SM-46MW7 50-59 years, male 96.4
GTEX-17MFQ-0526-SM-7KFTX 20-29 years, male 96.3
GTEX-1HFI6-1226-SM-A96SK 40-49 years, male 96.2
GTEX-147F3-0826-SM-5NQA7 50-59 years, female 96.0
GTEX-UJHI-0826-SM-4IHLM 50-59 years, female 95.9
GTEX-U3ZH-1026-SM-4DXUZ 30-39 years, male 95.7
GTEX-1ICG6-1926-SM-ARU7L 70-79 years, female 95.7
GTEX-169BO-0526-SM-793AK 50-59 years, male 95.6
GTEX-ZGAY-1126-SM-4WWBS 40-49 years, female 95.6
GTEX-ZV68-0926-SM-59HK7 50-59 years, female 95.6
GTEX-YECK-1626-SM-5IFHQ 60-69 years, male 95.5
GTEX-YEC4-1026-SM-9WG7N 40-49 years, male 95.4
GTEX-12KS4-0926-SM-5BC5S 30-39 years, male 95.3
GTEX-PLZ5-0926-SM-3TW8L 50-59 years, male 95.3
GTEX-183WM-1726-SM-7KFT5 70-79 years, female 95.1
GTEX-Y3IK-1126-SM-51MSV 50-59 years, female 95.1
GTEX-Y8E4-1726-SM-5LU9G 40-49 years, male 95.1
GTEX-ZTSS-0626-SM-59867 40-49 years, male 95.1
GTEX-1MA7X-0726-SM-EV7AB 60-69 years, male 95.0
GTEX-1CB4I-1026-SM-7MKFZ 50-59 years, male 94.9
GTEX-ZAB5-0926-SM-5CVMV 50-59 years, male 94.7
GTEX-1I1GR-1326-SM-ARU7B 60-69 years, male 94.6
GTEX-1S83E-0826-SM-EV7B7 40-49 years, male 94.5
GTEX-132AR-2226-SM-5J2NT 50-59 years, female 94.4
GTEX-111CU-0726-SM-5GZYD 50-59 years, male 94.3
GTEX-U4B1-0826-SM-4DXTW 40-49 years, male 94.1
GTEX-1HBPM-1426-SM-9WPPE 60-69 years, female 94.1
GTEX-R3RS-1326-SM-48FE7 40-49 years, female 94.0
GTEX-1MA7W-0426-SM-E9TJ5 20-29 years, female 94.0
GTEX-12696-1326-SM-5FQTJ 60-69 years, male 93.8
GTEX-1C64O-1826-SM-7DHM4 60-69 years, male 93.8
GTEX-1CB4E-1026-SM-793AB 60-69 years, male 93.8
GTEX-1QPFJ-1226-SM-EAZ3M 30-39 years, female 93.7
GTEX-11P81-0826-SM-5P9GR 30-39 years, female 93.5
GTEX-P4QS-0626-SM-3NMD1 60-69 years, male 93.4
GTEX-O5YV-1026-SM-3LK72 60-69 years, female 93.1
GTEX-13111-0826-SM-5LZV3 50-59 years, male 93.0
GTEX-ZDTT-1326-SM-4WKFH 60-69 years, male 92.9
GTEX-WH7G-0926-SM-4LVMJ 40-49 years, male 92.7
GTEX-ZLV1-0526-SM-4WWD4 60-69 years, female 92.7
GTEX-1QEPI-1826-SM-EAZ3J 60-69 years, female 92.5
GTEX-QDVN-1026-SM-48TZA 50-59 years, male 92.4
GTEX-WYJK-1926-SM-4ONDP 50-59 years, male 92.4
GTEX-1K2DA-0626-SM-CGQGO 50-59 years, male 92.4
GTEX-QV44-1126-SM-CL55C 50-59 years, male 92.2
GTEX-YJ89-1526-SM-5P9IR 60-69 years, male 91.9
GTEX-XMK1-1326-SM-4B65Q 40-49 years, male 91.8
GTEX-13X6K-2126-SM-5O9D4 60-69 years, female 91.7
GTEX-XBED-1026-SM-48TCB 60-69 years, male 91.7
GTEX-1QP29-2126-SM-E6CPZ 50-59 years, male 91.7
GTEX-1JKYR-2126-SM-CNNPC 20-29 years, male 91.6
GTEX-139YR-1726-SM-5IFFK 50-59 years, male 91.5
GTEX-13W3W-1626-SM-5LU35 60-69 years, female 91.5
GTEX-1KXAM-0826-SM-CXZK9 60-69 years, male 91.5
GTEX-SNMC-0526-SM-4DM69 20-29 years, male 91.4
GTEX-XUZC-0426-SM-4BOPE 30-39 years, female 91.4
GTEX-15SHU-1426-SM-6LPIN 40-49 years, female 91.2
GTEX-11NSD-1126-SM-5N9BQ 20-29 years, male 90.9
GTEX-146FQ-1026-SM-5LU8I 30-39 years, male 90.9
GTEX-WFON-0826-SM-4LVMI 40-49 years, male 90.9
GTEX-1F52S-1426-SM-7P8PU 60-69 years, female 90.9
GTEX-1IDJH-2026-SM-CNNQX 70-79 years, male 90.5
GTEX-18A67-2426-SM-7LT95 50-59 years, male 90.3
GTEX-R55C-0826-SM-48FCL 40-49 years, male 90.3
GTEX-1HKZK-1426-SM-A96U1 40-49 years, male 90.2
GTEX-1KD4Q-1126-SM-CXZKK 40-49 years, male 90.1
GTEX-13OVI-2626-SM-5KM4T 60-69 years, female 90.0
GTEX-SUCS-0726-SM-4DM7J 70-79 years, male 89.9
GTEX-S33H-0826-SM-4AD5Y 30-39 years, male 89.8
GTEX-T8EM-0526-SM-4DM64 40-49 years, male 89.8
GTEX-1GMR8-1826-SM-9WYUE 50-59 years, female 89.8
GTEX-1J8QM-1926-SM-AHZ3Z 60-69 years, female 89.7
GTEX-16NPX-1626-SM-6LLI5 50-59 years, male 89.6
GTEX-145LS-1826-SM-5LUAZ 60-69 years, female 89.5
GTEX-1NSGN-2026-SM-DPRYM 50-59 years, male 89.5
GTEX-OXRL-0626-SM-3NM9C 50-59 years, male 89.4
GTEX-13QBU-1026-SM-5LU3R 40-49 years, female 89.3
GTEX-U3ZN-1726-SM-4DXUQ 30-39 years, female 89.3
GTEX-12WSG-5007-SM-7DUGZ 50-59 years, female 89.1
GTEX-1AX9K-1126-SM-731DQ 50-59 years, male 89.1
GTEX-13JVG-2026-SM-5KM1N 60-69 years, male 89.0
GTEX-1HSMQ-2026-SM-B2LY1 50-59 years, male 89.0
GTEX-1A3MV-1326-SM-7LG6C 30-39 years, male 88.9
GTEX-1MCYP-1026-SM-DPRYB 20-29 years, female 88.8
GTEX-ZVE2-1326-SM-5NQ94 50-59 years, male 88.7
GTEX-1OKEX-1326-SM-E9J2U 60-69 years, male 88.7
GTEX-QLQ7-0926-SM-447BC 60-69 years, male 88.6
GTEX-QESD-0826-SM-47J4G 20-29 years, male 88.5
GTEX-S7SF-0926-SM-4AD4M 20-29 years, female 88.5
GTEX-11XUK-0826-SM-5GU6P 40-49 years, female 88.4
GTEX-X3Y1-1326-SM-4PQZB 40-49 years, male 88.4
GTEX-13PVR-1826-SM-5Q5CC 60-69 years, female 88.3
GTEX-14C5O-1626-SM-73KYH 60-69 years, male 88.2
GTEX-REY6-1326-SM-48FDO 60-69 years, male 88.1
GTEX-18QFQ-1026-SM-7LG6B 30-39 years, male 88.1
GTEX-17KNJ-1326-SM-7KFTG 50-59 years, male 88.0
GTEX-RVPV-0526-SM-47JYL 60-69 years, male 88.0
GTEX-ZT9X-0526-SM-5GCOP 40-49 years, male 88.0
GTEX-1R9K5-1526-SM-DPRZA 50-59 years, male 87.9
GTEX-QDVJ-0726-SM-48U1W 50-59 years, male 87.8
GTEX-Y8LW-0726-SM-5IFI1 50-59 years, female 87.8
GTEX-PLZ6-0526-SM-3P61C 30-39 years, male 87.7
GTEX-S95S-0426-SM-4B64I 60-69 years, male 87.7
GTEX-1399U-1026-SM-5J1OC 50-59 years, female 87.6
GTEX-17F97-1326-SM-7MGVO 50-59 years, male 87.5
GTEX-1JMPY-0826-SM-AHZ4A 30-39 years, male 87.5
GTEX-ZA64-0626-SM-5HL9O 20-29 years, male 87.4
GTEX-QEG4-0726-SM-CNNRF 30-39 years, male 87.4
GTEX-14DAQ-1426-SM-5RQJD 60-69 years, female 87.3
GTEX-ZAB4-1126-SM-5HL86 40-49 years, male 87.3
GTEX-WYVS-0726-SM-4ONDO 40-49 years, female 87.2
GTEX-11EI6-1526-SM-5P9GL 60-69 years, male 87.1
GTEX-1GN1U-1826-SM-9JGH2 50-59 years, female 87.1
GTEX-1IY9M-1626-SM-AHZ39 60-69 years, male 87.1
GTEX-17HHE-0926-SM-7938K 50-59 years, male 86.9
GTEX-ZT9W-1326-SM-51MTB 50-59 years, male 86.7
GTEX-145LU-0926-SM-79OJL 50-59 years, male 86.5
GTEX-1PPGY-1726-SM-EVR3S 60-69 years, male 86.5
GTEX-1RAZR-1226-SM-E6CRD 40-49 years, male 86.5
GTEX-145LT-1126-SM-5LUA1 40-49 years, male 86.4
GTEX-13D11-1926-SM-5IFGB 50-59 years, female 86.3
GTEX-11EQ9-0726-SM-5A5K2 30-39 years, male 85.9
GTEX-1E1VI-1526-SM-7IGQ2 50-59 years, male 85.5
GTEX-1GMR3-1526-SM-9JGGL 40-49 years, male 85.3
GTEX-178AV-0526-SM-6LPJH 40-49 years, male 85.2
GTEX-18A66-1426-SM-7KFRT 60-69 years, male 85.2
GTEX-TKQ1-0326-SM-4DXSM 30-39 years, male 85.2
GTEX-RWS6-0826-SM-47JXF 60-69 years, female 84.8
GTEX-X62O-2226-SM-46MW3 50-59 years, male 84.8
GTEX-YB5K-0826-SM-5YYB7 40-49 years, female 84.7
GTEX-12ZZY-1426-SM-5N9EI 60-69 years, male 84.6
GTEX-T2IS-0826-SM-4DM6L 20-29 years, female 84.6
GTEX-Q2AI-0626-SM-48TZU 40-49 years, male 84.3
GTEX-131XE-1426-SM-5HL7V 50-59 years, male 84.2
GTEX-V955-1126-SM-4JBH3 60-69 years, male 84.1
GTEX-13FH7-0526-SM-5IJF8 50-59 years, female 84.0
GTEX-W5WG-1626-SM-4LMKG 50-59 years, female 84.0
GTEX-14DAR-0826-SM-73KYJ 50-59 years, male 83.9
GTEX-Y114-0926-SM-4TT7J 50-59 years, female 83.9
GTEX-ZC5H-1326-SM-5HL7E 40-49 years, female 83.9
GTEX-17EVQ-1926-SM-7IGOF 70-79 years, male 83.6
GTEX-1IDJF-1226-SM-C1YPX 20-29 years, male 83.0
GTEX-13FHO-1726-SM-DPRZX 60-69 years, male 82.8
GTEX-17F98-1726-SM-7938O 40-49 years, female 82.7
GTEX-P4QT-0626-SM-3NMCP 50-59 years, female 82.7
GTEX-1MJIX-0826-SM-DTXEO 40-49 years, male 82.7
GTEX-SJXC-1426-SM-EYYVB 60-69 years, male 82.6
GTEX-R53T-1126-SM-48FD4 50-59 years, female 82.5
GTEX-1R9JW-1526-SM-DPRZK 30-39 years, female 82.5
GTEX-Y5V6-1026-SM-4VBS2 60-69 years, male 82.4
GTEX-NFK9-1126-SM-3LK78 40-49 years, male 82.3
GTEX-1HSGN-1626-SM-A96U2 40-49 years, female 82.3
GTEX-1LB8K-1326-SM-CXZKB 50-59 years, male 82.2
GTEX-N7MT-0326-SM-48TDP 60-69 years, female 82.1
GTEX-OXRN-1726-SM-3NM9B 50-59 years, male 82.0
GTEX-1GN73-1926-SM-9JGGS 60-69 years, male 81.9
GTEX-1GL5R-1526-SM-7MKHO 50-59 years, male 81.8
GTEX-183FY-1526-SM-7IGOW 20-29 years, male 81.6
GTEX-T6MO-0526-SM-4DM6R 40-49 years, female 81.5
GTEX-Y5LM-1026-SM-4VDSQ 40-49 years, female 81.5
GTEX-ZF29-1326-SM-DNZYV 60-69 years, female 81.4
GTEX-15RJ7-0926-SM-6LPJO 40-49 years, male 81.3
GTEX-RTLS-1126-SM-46MUQ 60-69 years, female 81.2
GTEX-12C56-1226-SM-5FQSU 20-29 years, male 80.9
GTEX-POYW-1326-SM-48TCG 60-69 years, male 80.5
GTEX-1269C-1026-SM-5N9EY 60-69 years, female 80.4
GTEX-14PJ6-1026-SM-686ZB 60-69 years, female 80.2
GTEX-1LGOU-0526-SM-D3LAO 20-29 years, female 80.2
GTEX-RM2N-0726-SM-48FD5 50-59 years, male 80.1
GTEX-WRHK-0526-SM-4MVOF 20-29 years, female 80.0
GTEX-ZF2S-1226-SM-4WWAX 50-59 years, female 79.7
GTEX-SE5C-1226-SM-4BRWV 40-49 years, female 79.6
GTEX-SNOS-0626-SM-4DM5F 40-49 years, male 79.6
GTEX-V1D1-1026-SM-4JBHE 50-59 years, male 79.5
GTEX-WHPG-1126-SM-4M1XT 50-59 years, male 79.5
GTEX-15UF7-0926-SM-6M46F 40-49 years, male 79.2
GTEX-13O61-0926-SM-5IFFE 60-69 years, male 79.1
GTEX-1I1GV-2226-SM-ARU7E 60-69 years, male 79.0
GTEX-N7MS-1225-SM-3LK5G 60-69 years, male 78.8
GTEX-1211K-0926-SM-5FQTL 60-69 years, female 78.7
GTEX-ZQUD-0426-SM-57WFR 30-39 years, male 78.7
GTEX-11VI4-0526-SM-5EQ48 40-49 years, female 78.6
GTEX-13FHP-1526-SM-5IJGE 50-59 years, male 78.6
GTEX-15EOM-5013-SM-7MKF9 20-29 years, female 78.6
GTEX-XYKS-1526-SM-4BRUP 60-69 years, female 78.5
GTEX-14H4A-1626-SM-5SI69 40-49 years, female 78.4
GTEX-1A32A-1826-SM-72D5G 50-59 years, female 78.2
GTEX-12BJ1-1626-SM-5HL8Y 60-69 years, male 78.0
GTEX-15ETS-1926-SM-7KUN5 40-49 years, female 78.0
GTEX-14PHY-0626-SM-664NN 60-69 years, female 77.7
GTEX-XQ8I-1526-SM-4BOOH 50-59 years, male 77.2
GTEX-17HGU-1426-SM-7938G 50-59 years, male 76.9
GTEX-1GTWX-1326-SM-9JGHU 60-69 years, male 76.8
GTEX-18D9B-2026-SM-7LT96 60-69 years, male 76.7
GTEX-1H3NZ-1326-SM-9JGHI 60-69 years, male 76.4
GTEX-1B97I-0926-SM-731DZ 40-49 years, male 76.1
GTEX-13OVK-1126-SM-6PAMR 40-49 years, male 76.0
GTEX-1B8KZ-0726-SM-7938W 50-59 years, male 75.8
GTEX-18D9A-0526-SM-7KFSW 30-39 years, female 75.7
GTEX-13W46-1926-SM-5J2MF 50-59 years, male 75.6
GTEX-1B97J-1026-SM-7MXTE 50-59 years, female 75.6
GTEX-X4XY-1726-SM-46MVO 60-69 years, male 75.3
GTEX-XMD2-1326-SM-4YCET 60-69 years, female 75.3
GTEX-XV7Q-1126-SM-4BRVS 40-49 years, female 75.0
GTEX-1LGRB-1626-SM-CNNR7 50-59 years, female 74.8
GTEX-1F7RK-1526-SM-7P8T6 20-29 years, female 74.7
GTEX-13RTK-0526-SM-5S2QF 20-29 years, male 74.6
GTEX-QLQW-0526-SM-4R1KS 30-39 years, male 74.4
GTEX-1B8KE-1826-SM-731FD 50-59 years, male 74.3
GTEX-OIZI-1426-SM-3NB1T 40-49 years, male 74.2
GTEX-R55G-1026-SM-48FDI 40-49 years, female 74.2
GTEX-131XG-1026-SM-5GCMX 50-59 years, female 74.0
GTEX-1399R-0826-SM-5IJEL 30-39 years, male 73.9
GTEX-1AX9J-1826-SM-731FM 60-69 years, male 73.8
GTEX-XXEK-0326-SM-4BRVV 50-59 years, male 73.7
GTEX-OOBK-0625-SM-3LK5P 40-49 years, male 73.4
GTEX-16AAH-0726-SM-793A9 50-59 years, male 73.2
GTEX-P4PQ-0626-SM-3NMCU 60-69 years, male 73.2
GTEX-15UF6-2326-SM-6M465 70-79 years, female 72.5
GTEX-1H1DG-1226-SM-9JGH3 70-79 years, male 71.7
GTEX-15EU6-1626-SM-6LPKF 50-59 years, male 70.9
GTEX-17HII-1526-SM-9OSVD 50-59 years, male 70.5
GTEX-15EO6-1026-SM-7KUG9 50-59 years, male 70.3
GTEX-1CB4G-1326-SM-7MKFP 60-69 years, male 70.2
GTEX-13QJ3-1726-SM-5RQK9 50-59 years, male 69.9
GTEX-WEY5-0926-SM-4LMI4 40-49 years, female 69.8
GTEX-16NGA-1426-SM-718AC 40-49 years, female 68.8
GTEX-T5JC-1726-SM-4DM6U 20-29 years, male 68.8
GTEX-14A6H-1326-SM-5NQBC 30-39 years, male 68.3
GTEX-TML8-1526-SM-4DXUX 40-49 years, female 68.1
GTEX-P4PP-0626-SM-3NM9X 30-39 years, female 67.9
GTEX-15SB6-0726-SM-6M48F 50-59 years, female 67.8
GTEX-1PIGE-0926-SM-E9U5Z 20-29 years, male 67.7
GTEX-1AX9I-1426-SM-7DHM8 60-69 years, male 67.4
GTEX-12WSN-5013-SM-7P8P9 40-49 years, male 67.2
GTEX-WHSE-1526-SM-4M1XH 20-29 years, male 66.6
GTEX-1EWIQ-1526-SM-79OO7 70-79 years, female 66.3
GTEX-OIZF-0626-SM-7MKHG 60-69 years, male 65.8
GTEX-QCQG-0626-SM-48U21 50-59 years, female 65.7
GTEX-OXRK-1326-SM-3NB1A 50-59 years, female 63.8
GTEX-14PJ3-0626-SM-6UGC5 50-59 years, male 63.5
GTEX-13PL7-0226-SM-731DT 60-69 years, female 63.2
GTEX-1AMFI-0226-SM-731D5 50-59 years, female 61.3
GTEX-WHSB-0426-SM-4M1XI 50-59 years, male 59.6
GTEX-1IDFM-1126-SM-A96SY 60-69 years, male 40.8
Show allShow less

ESOPHAGUS - FANTOM5 CAGEi

RNA expression in human tissues obtained through Cap Analysis of Gene Expression (CAGE) generated by the FANTOM5 project are reported as Scaled Tags Per Million.

Max subtype Scaled Tags Per Millioni

Max subtype Scaled Tags Per Million is the value for the subtype with the largest average Scaled Tags Per Million across the subtype samples.

202.2
FANTOM5 sample id Sample description Scaled Tags Per Million
Esophagus
Scaled Tags Per Million: 202.2
FF:10015-101C6 68,74,75 years, mixed 202.2

Contact

  • NEWS ARTICLES
  • PRESS ROOM

The Project

  • INTRODUCTION
  • ORGANIZATION
  • PUBLICATIONS

The Human Protein Atlas

  • DOWNLOADABLE DATA
  • LICENCE & CITATION
  • HELP & FAQ
The Human Protein Atlas project is funded
by the Knut & Alice Wallenberg Foundation.


contact@proteinatlas.org