We use cookies to enhance the usability of our website. If you continue, we'll assume that you are happy to receive all cookies. More information. Don't show this again.
SNRNP70
HPA
RESOURCES
  • TISSUE
  • BRAIN
  • SINGLE CELL
  • SUBCELLULAR
  • CANCER
  • BLOOD
  • CELL LINE
  • STRUCTURE & INTERACTION
ABOUT
  • INTRODUCTION
  • HISTORY
  • ORGANIZATION
  • PUBLICATIONS
  • ANTIBODY SUBMISSION
  • ANTIBODY AVAILABILITY
  • ACKNOWLEDGMENTS
  • CONTACT
NEWS
  • NEWS ARTICLES
  • PRESS ROOM
LEARN
  • DICTIONARY
  • PROTEIN CLASSES
  • PROTEIN EVIDENCE
  • METHODS
  • EDUCATIONAL VIDEOS
DATA
  • DOWNLOADABLE DATA
  • PUBLICATION DATA
  • RELEASE HISTORY
HELP
  • ANTIBODY VALIDATION
  • ASSAYS & ANNOTATION
  • DISCLAIMER
  • HELP & FAQ
  • PRIVACY STATEMENT
  • LICENCE & CITATION
Fields »
Search result

Field
Term
Gene name
Class
Subclass
Class
Keyword
Chromosome
External id
Tissue
Cell type
Expression
Antibody panel
Tissue
Main location
Patient ID
Annotation
Tissue
Category
Tau score
Cluster
Reliability
Brain region
Category
Tau score
Brain region
Category
Tau score
Brain region
Category
Tau score
Cluster
Reliability
Tissue
Cell type
Enrichment
Cell type
Category
Tau score
Cell type
Category
Tau score
Cell type
Category
Tau score
Cell lineage
Category
Tau score
Cluster
Cluster
Location
Searches
Location
Cell line
Class
Type
Phase
Reliability
Cancer
Prognosis
Cancer
Category
Cancer
Category
Tau score
Cluster
Variants
Interacting gene (ensg_id)
Type
Number of interactions
Pathway
Category
Score
Score
Score
Validation
Validation
Validation
Validation
Antibodies
Data type
Column


  • SUMMARY

  • TISSUE

  • BRAIN

  • SINGLE CELL

  • SUBCELL

  • CANCER

  • BLOOD

  • CELL LINE

  • STRUCT & INT

  • SNRNP70
TISSUE PRIMARY DATA STOMACH Show tissue menu
ADIPOSE TISSUE ADRENAL GLAND AMYGDALA APPENDIX BASAL GANGLIA BONE MARROW BREAST BRONCHUS CEREBELLUM CEREBRAL CORTEX CERVIX CHOROID PLEXUS COLON DUODENUM
ENDOMETRIUM EPIDIDYMIS ESOPHAGUS FALLOPIAN TUBE GALLBLADDER HEART MUSCLE HIPPOCAMPAL FORMATION HYPOTHALAMUS KIDNEY LIVER LUNG LYMPH NODE MIDBRAIN NASOPHARYNX
ORAL MUCOSA OVARY PANCREAS PARATHYROID GLAND PITUITARY GLAND PLACENTA PROSTATE RECTUM RETINA SALIVARY GLAND SEMINAL VESICLE SKELETAL MUSCLE SKIN SMALL INTESTINE
SMOOTH MUSCLE SOFT TISSUE SPINAL CORD SPLEEN STOMACH TESTIS THYMUS THYROID GLAND TONGUE TONSIL URINARY BLADDER VAGINA
ANTIBODIES
AND
VALIDATION
Dictionary
Tissue proteome
Stomach
STOMACH - Expression summary
Protein expression
Stomachi

On the top, protein expression in current human tissue, based on all annotated cell types, is reported with the units not detected (n), low (l), medium (m) and high (h). Underneath, protein expression in each annotated cell type are reported using the same units.

Protein expression data is based on knowledge-based annotation. For genes where more than one antibody has been used, a collective score is set.

If knowledge-based annotation could not be performed for a gene, no data is displayed here. View antibody staining data further down this page.

h
m
l
n
Glandular cells: High
RNA expressioni

A summary of mRNA expression data available for current tissue based on several datasets. The mRNA expression levels in human tissues are based on RNA-seq data generated by the Human Protein Atlas (HPA), Genotype-Tissue Expression (GTEx) portal and CAGE data generated by the FANTOM5 consortium. Consensus normalized expression levels for human tissues was created by combining the data from HPA and GTEx datasets.

The mRNA expression levels in pig are based on RNA-seq data generated by the Human Protein Atlas (HPA), and for mouse, HPA data and in situ hybridization generated by the Allen brain atlas are reported.

Scroll down to view mRNA expression data in more detail.
Consensus:91.5 nTPM
HPA:37.0 nTPM
GTEx:91.5 nTPM

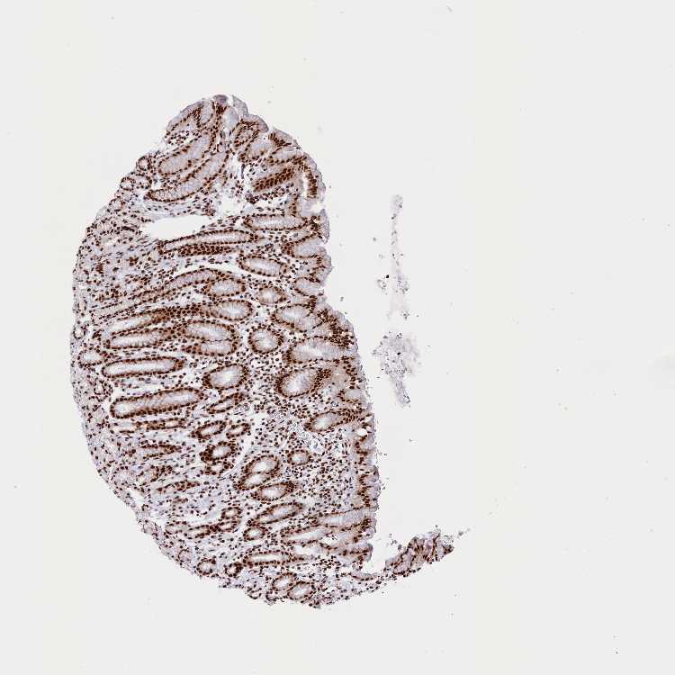
STOMACH 1 - Antibody stainingi

Antibody staining in the annotated cell types in the current human tissue is reported as not detected, low, medium, or high, based on conventional immunohistochemistry profiling in selected tissues. This score is based on the combination of the staining intensity and fraction of stained cells.

Each image is clickable and will lead to virtual microscopy that enables deeper exploration of all samples and also displays staining intensity scores, fraction scores and subcellular localization as well as patient and tissue information for each sample.

Antibody HPA042050Antibody HPA043516Antibody CAB001718
Glandular cells HighHighMedium



STOMACH 2 - Antibody stainingi

Antibody staining in the annotated cell types in the current human tissue is reported as not detected, low, medium, or high, based on conventional immunohistochemistry profiling in selected tissues. This score is based on the combination of the staining intensity and fraction of stained cells.

Each image is clickable and will lead to virtual microscopy that enables deeper exploration of all samples and also displays staining intensity scores, fraction scores and subcellular localization as well as patient and tissue information for each sample.

Antibody HPA042050Antibody HPA043516Antibody CAB001718
Glandular cells HighMediumMedium






STOMACH - HPA RNA-seqi

The RNA-seq details section shows detailed information about the individual samples used for the transcript profiling and results of the RNA-seq analysis.

Information about each individual sample is listed below, including gender, age, a tissue section image and estimated fractions of cell types. nTPM (normalized transcripts per million) values give a quantification of the gene abundance which is comparable between different genes and samples.
Average nTPMi

Max subtype nTPM is the value for the subtype with the largest average nTPM across the subtype samples.

37.0
overview
Female, age 33
Stomach sample 61
nTPM: 37.1
Cell types%
Glandular cells:
60

Smooth muscle cells:
5

Other cell types:
35

N/A
Male, age 82
Stomach sample 240
nTPM: 24.4
Cell types%
Glandular cells:
65

Smooth muscle cells:
5

Other cell types:
30

overview
Male, age 71
Stomach sample 241
nTPM: 73.3
Cell types%
Glandular cells:
50

Smooth muscle cells:
5

Other cell types:
45

overview
Female, age 66
Stomach sample 369
nTPM: 13.4
Cell types%
Glandular cells:
50

Smooth muscle cells:
10

Other cell types:
40


STOMACH - GTEx RNA-seqi

RNA-Seq data generated by the Genotype-Tissue Expression (GTEx) project from human tissues is reported as mean nTPM. More information can be found on the GTEx portal.

Distribution across the dataset is visualized with box plots, shown as median and 25th and 75th percentiles. Points are displayed as outliers if they are above or below 1.5 times the interquartile range. nTPM values of the individual samples are presented next to the box plot.
Max subtype nTPMi

Max subtype nTPM is the value for the subtype with the largest average nTPM across the subtype samples.

91.5
GTEx sample id Sample description nTPM
Stomach
Average nTPM: 91.5
Samples: 359

Max nTPM: 159.1
Min nTPM: 49.9
Std nTPM: 16.3
Median nTPM: 91.3
GTEX-13N1W-2026-SM-5K7YU 70-79 years, male 159.1
GTEX-ZYVF-2726-SM-5GID4 50-59 years, female 157.8
GTEX-1LSNM-1026-SM-DHXL2 50-59 years, male 133.6
GTEX-1QP28-2126-SM-DTX8B 50-59 years, female 133.0
GTEX-1122O-1926-SM-5EGIQ 60-69 years, female 132.8
GTEX-144GM-1726-SM-5O9AS 20-29 years, male 131.9
GTEX-1LG7Z-1226-SM-DHXK4 30-39 years, male 131.5
GTEX-117YW-2226-SM-5N9DB 50-59 years, male 131.2
GTEX-1J8JJ-1726-SM-C1YQG 60-69 years, female 130.1
GTEX-1QP2A-2126-SM-DPRZ7 50-59 years, male 130.0
GTEX-11GSP-2126-SM-5HL5E 60-69 years, female 124.4
GTEX-YB5E-1126-SM-664NU 40-49 years, male 122.8
GTEX-SUCS-0926-SM-4DM4Z 70-79 years, male 122.6
GTEX-1I6K7-1726-SM-B2LXQ 40-49 years, male 120.9
GTEX-13OW6-2526-SM-5IJEC 50-59 years, male 120.0
GTEX-11EQ9-1226-SM-5987E 30-39 years, male 119.9
GTEX-1GF9U-1126-SM-AHZ4H 40-49 years, female 119.9
GTEX-131XG-1226-SM-5EGH9 50-59 years, female 118.9
GTEX-ZLV1-0826-SM-DO11P 60-69 years, female 118.7
GTEX-ZYY3-1726-SM-5EGH3 60-69 years, female 117.8
GTEX-13CF3-1926-SM-5K7WF 60-69 years, female 117.7
GTEX-Y9LG-1026-SM-5IFJN 30-39 years, male 116.1
GTEX-ZZ64-0426-SM-5E43F 20-29 years, male 115.9
GTEX-1F75I-1826-SM-7MKGX 40-49 years, male 114.6
GTEX-O5YV-1926-SM-EV797 60-69 years, female 114.4
GTEX-13PVR-2126-SM-73KVR 60-69 years, female 114.3
GTEX-1IDJD-2426-SM-C1YS6 30-39 years, male 114.3
GTEX-1RAZR-1526-SM-EAZ4U 40-49 years, male 114.1
GTEX-1HBPI-0726-SM-9WG7Z 50-59 years, male 113.6
GTEX-1ICG6-1826-SM-AHZ2O 70-79 years, female 112.9
GTEX-WYVS-1326-SM-4ONCQ 40-49 years, female 112.8
GTEX-PWN1-1526-SM-48TDA 40-49 years, female 112.6
GTEX-XXEK-0826-SM-4BRWG 50-59 years, male 112.4
GTEX-15G1A-1226-SM-7KUF3 30-39 years, male 112.2
GTEX-11WQK-2626-SM-5EQ4K 50-59 years, male 111.7
GTEX-14JG6-1226-SM-664O6 30-39 years, female 111.0
GTEX-1QCLZ-1826-SM-DPRXP 60-69 years, female 110.3
GTEX-1HSEH-1526-SM-B2LXG 60-69 years, male 110.0
GTEX-18A7A-2726-SM-7LG6U 50-59 years, female 109.9
GTEX-1QPFJ-1526-SM-DPRXT 30-39 years, female 109.5
GTEX-WRHK-0626-SM-4MVOE 20-29 years, female 109.3
GTEX-132AR-2426-SM-5IFFD 50-59 years, female 109.2
GTEX-ZYFG-1326-SM-5GICJ 60-69 years, female 109.2
GTEX-ZZPU-1426-SM-5GZZ6 50-59 years, female 109.1
GTEX-1H1E6-1626-SM-9OSWC 30-39 years, male 109.0
GTEX-1RQEC-2126-SM-DPS15 60-69 years, male 108.9
GTEX-WXYG-1626-SM-4ONCR 50-59 years, female 108.7
GTEX-1KANA-1126-SM-D3L9M 20-29 years, male 108.3
GTEX-V955-1326-SM-4JBHR 60-69 years, male 108.2
GTEX-ZA64-0826-SM-5HL9U 20-29 years, male 108.0
GTEX-13S7M-1826-SM-5RQK6 60-69 years, female 107.8
GTEX-17HII-2426-SM-7KFTT 50-59 years, male 107.8
GTEX-PW2O-1226-SM-48TCH 20-29 years, male 107.7
GTEX-1RMOY-1126-SM-EV79E 50-59 years, male 107.1
GTEX-18A66-2226-SM-7189E 60-69 years, male 107.0
GTEX-ZVT2-1626-SM-51MRC 50-59 years, female 106.8
GTEX-111CU-0926-SM-5EGIK 50-59 years, male 106.7
GTEX-1HKZK-1526-SM-B2LWG 40-49 years, male 106.7
GTEX-1J8QM-1126-SM-C1YQB 60-69 years, female 106.7
GTEX-1399S-1626-SM-5P9GI 30-39 years, female 106.6
GTEX-1JMPY-0926-SM-ARL92 30-39 years, male 106.3
GTEX-ZT9W-1526-SM-4YCDE 50-59 years, male 106.2
GTEX-UJMC-1226-SM-4IHLI 50-59 years, male 106.0
GTEX-1I1HK-2026-SM-CNNRB 60-69 years, male 105.9
GTEX-WFG8-1326-SM-4LVN3 20-29 years, male 105.8
GTEX-1GZ4H-1026-SM-9OSXL 50-59 years, female 105.7
GTEX-11DXX-1326-SM-5GIDZ 60-69 years, female 105.6
GTEX-QMRM-1126-SM-447BN 50-59 years, male 105.3
GTEX-1I1GT-1726-SM-C1YS3 60-69 years, female 105.3
GTEX-13O3Q-2126-SM-5KM4C 50-59 years, male 105.0
GTEX-1HCU8-1326-SM-C1YQQ 60-69 years, female 104.7
GTEX-15UF7-1226-SM-6M46G 40-49 years, male 104.4
GTEX-ZVP2-1626-SM-5GU5D 50-59 years, male 104.3
GTEX-145MO-2226-SM-5Q5BN 60-69 years, male 104.2
GTEX-1LGRB-1726-SM-CNNRA 50-59 years, female 104.0
GTEX-1R7EU-1126-SM-EAZ4M 60-69 years, male 103.5
GTEX-1J8EW-2226-SM-AHZ3T 60-69 years, female 103.2
GTEX-117YX-1026-SM-5H11V 50-59 years, male 103.0
GTEX-ZPU1-1626-SM-4WWB2 40-49 years, male 102.3
GTEX-ZLFU-1326-SM-DO11R 40-49 years, male 102.2
GTEX-13113-0726-SM-5LZUF 60-69 years, female 102.1
GTEX-PWCY-0926-SM-48TD7 20-29 years, female 102.0
GTEX-XBED-1226-SM-4AT5V 60-69 years, male 101.9
GTEX-1LVAN-2426-SM-CNNPZ 50-59 years, female 101.9
GTEX-1CAMR-0726-SM-7EPIE 20-29 years, male 101.8
GTEX-1JMLX-2426-SM-CXZJQ 50-59 years, male 101.5
GTEX-X15G-1126-SM-4PQZG 50-59 years, female 101.3
GTEX-ZV7C-1626-SM-5NQ7E 50-59 years, male 101.3
GTEX-14PKV-1826-SM-69LO9 20-29 years, female 101.0
GTEX-17F9E-2226-SM-7IGNC 50-59 years, male 101.0
GTEX-XV7Q-1326-SM-4BRWM 40-49 years, female 101.0
GTEX-14DAQ-2826-SM-664MU 60-69 years, female 100.9
GTEX-1K2DA-0826-SM-CGQGD 50-59 years, male 100.9
GTEX-QV44-1226-SM-CJI1S 50-59 years, male 100.8
GTEX-139YR-1926-SM-5LZXM 50-59 years, male 100.7
GTEX-14BIL-1926-SM-73KYI 50-59 years, male 100.7
GTEX-Q2AI-0826-SM-48TZO 40-49 years, male 100.7
GTEX-14PJ5-0826-SM-6AJAR 60-69 years, female 100.6
GTEX-145LT-1426-SM-5O9B3 40-49 years, male 100.4
GTEX-XUZC-0726-SM-4BOPH 30-39 years, female 100.3
GTEX-1KD5A-1426-SM-D4P3V 50-59 years, male 100.3
GTEX-W5WG-1726-SM-4LMI5 50-59 years, female 100.2
GTEX-1IDJF-1426-SM-ACKWK 20-29 years, male 100.1
GTEX-13PVQ-2126-SM-5L3FW 50-59 years, male 100.0
GTEX-T6MO-0726-SM-4DM58 40-49 years, female 100.0
GTEX-1L5NE-1526-SM-DIPFW 50-59 years, male 100.0
GTEX-WHWD-1426-SM-4OORU 50-59 years, male 99.9
GTEX-ZXES-1426-SM-5NQ8S 30-39 years, female 99.9
GTEX-13111-1226-SM-5GCNC 50-59 years, male 99.8
GTEX-WFG7-1326-SM-4LMK1 20-29 years, male 99.7
GTEX-17MF6-2126-SM-7KFS7 40-49 years, male 99.3
GTEX-1AYCT-1326-SM-7MKHB 50-59 years, male 99.1
GTEX-11P82-0726-SM-5PNYL 20-29 years, male 99.0
GTEX-15SHW-2126-SM-6M46Y 60-69 years, male 99.0
GTEX-ZP4G-1226-SM-4WWCJ 20-29 years, female 98.9
GTEX-111YS-1126-SM-5GZYQ 60-69 years, male 98.8
GTEX-132QS-1826-SM-5IFFN 60-69 years, male 98.8
GTEX-13FTX-0726-SM-5N9BI 20-29 years, female 98.6
GTEX-145ME-1026-SM-5O9B4 40-49 years, female 98.1
GTEX-13U4I-2526-SM-5SI8Z 40-49 years, female 98.0
GTEX-ZY6K-0726-SM-5A5L8 50-59 years, male 98.0
GTEX-1HR9M-2326-SM-CNPPZ 60-69 years, male 98.0
GTEX-12WSJ-0926-SM-5P9JD 40-49 years, female 97.8
GTEX-1PPH8-1326-SM-DTXFO 20-29 years, male 97.6
GTEX-13D11-2126-SM-5IFH2 50-59 years, female 97.5
GTEX-1LVAM-1426-SM-E9TJ4 50-59 years, female 97.4
GTEX-1QMI2-2126-SM-DPRXQ 60-69 years, male 97.2
GTEX-WFON-1126-SM-4LVMA 40-49 years, male 97.0
GTEX-QLQ7-0826-SM-447B3 60-69 years, male 96.9
GTEX-POMQ-0826-SM-3P61H 20-29 years, female 96.7
GTEX-R53T-1226-SM-48FCT 50-59 years, female 96.7
GTEX-S4Z8-1226-SM-4AD6W 60-69 years, male 96.7
GTEX-13FTW-1726-SM-5KM2B 40-49 years, male 96.6
GTEX-14E6E-0926-SM-664N8 30-39 years, male 96.5
GTEX-11EI6-2426-SM-5PNVS 60-69 years, male 96.4
GTEX-12BJ1-1726-SM-5HL9B 60-69 years, male 96.4
GTEX-P78B-1826-SM-3P5YX 40-49 years, female 96.3
GTEX-13QBU-1126-SM-5LU44 40-49 years, female 95.9
GTEX-UPK5-2126-SM-4JBJK 40-49 years, male 95.8
GTEX-ZGAY-1626-SM-DNZZ3 40-49 years, female 95.7
GTEX-1MGNQ-1826-SM-DPRYI 40-49 years, male 95.5
GTEX-14ICL-0826-SM-5YY9W 30-39 years, male 95.4
GTEX-18A67-2626-SM-718AD 50-59 years, male 95.4
GTEX-146FR-2026-SM-5NQAI 60-69 years, female 95.1
GTEX-U4B1-1026-SM-4DXT1 40-49 years, male 95.0
GTEX-XQ8I-2026-SM-4BOOL 50-59 years, male 94.9
GTEX-1LBAC-1426-SM-CXZKT 20-29 years, male 94.8
GTEX-OXRL-1526-SM-E6CHQ 50-59 years, male 94.6
GTEX-13OVK-0926-SM-7KUFX 40-49 years, male 94.5
GTEX-1HCUA-1626-SM-A9SMG 50-59 years, female 94.4
GTEX-1IL2V-2026-SM-ARZMA 70-79 years, male 94.4
GTEX-1S831-1126-SM-EWROI 20-29 years, male 94.2
GTEX-RU1J-0526-SM-46MUT 20-29 years, female 93.9
GTEX-WEY5-1226-SM-4LMIQ 40-49 years, female 93.9
GTEX-1KXAM-0926-SM-CXZKA 60-69 years, male 93.8
GTEX-P4QT-1526-SM-3NMCT 50-59 years, female 93.4
GTEX-1JK1U-1326-SM-AHZ45 60-69 years, male 93.4
GTEX-1399R-1126-SM-5IFIO 30-39 years, male 93.3
GTEX-17HHE-1026-SM-79ON6 50-59 years, male 93.3
GTEX-T5JW-0926-SM-4DM5K 20-29 years, female 93.3
GTEX-ZAB4-1526-SM-5CVN7 40-49 years, male 93.3
GTEX-1JMPZ-1826-SM-CXZJT 30-39 years, male 93.3
GTEX-11NSD-1426-SM-5HL67 20-29 years, male 93.2
GTEX-13X6J-2126-SM-5TDCV 50-59 years, male 93.1
GTEX-Q734-1026-SM-48U16 40-49 years, female 93.1
GTEX-P4PP-1526-SM-3P61M 30-39 years, female 93.0
GTEX-SNOS-0826-SM-4DM5N 40-49 years, male 93.0
GTEX-PLZ5-1226-SM-EXOHA 50-59 years, male 93.0
GTEX-12696-1726-SM-5EQLH 60-69 years, male 92.7
GTEX-12WSK-1426-SM-5CVNN 40-49 years, female 92.7
GTEX-133LE-1326-SM-5IFGO 20-29 years, female 92.7
GTEX-OOBJ-1526-SM-3NB1Q 60-69 years, male 92.7
GTEX-1N2DV-0926-SM-E9TJT 40-49 years, male 92.7
GTEX-15RIE-1026-SM-6LPJQ 60-69 years, male 92.6
GTEX-1CB4H-2426-SM-7PBYR 60-69 years, female 92.6
GTEX-Y8LW-0826-SM-4WWDO 50-59 years, female 92.0
GTEX-1PIGE-1126-SM-EWRMV 20-29 years, male 91.9
GTEX-V1D1-1726-SM-4JBHB 50-59 years, male 91.6
GTEX-1339X-1426-SM-5K7YO 40-49 years, male 91.3
GTEX-14PHX-1026-SM-664OL 50-59 years, male 91.3
GTEX-S341-0626-SM-4AD5T 40-49 years, female 91.2
GTEX-14PJ3-1426-SM-664O8 50-59 years, male 91.0
GTEX-OXRK-1626-SM-3NB17 50-59 years, female 90.8
GTEX-1LGOU-1526-SM-D3LAJ 20-29 years, female 90.4
GTEX-1F5PL-1426-SM-7MKFH 40-49 years, female 90.3
GTEX-QDVJ-1426-SM-48U1Y 50-59 years, male 90.2
GTEX-Y5LM-1326-SM-5RQIS 40-49 years, female 90.2
GTEX-145MN-1326-SM-5NQ9S 30-39 years, male 90.0
GTEX-15DCE-1626-SM-6LPJM 20-29 years, male 90.0
GTEX-1JKYN-1726-SM-AHZ48 30-39 years, male 89.9
GTEX-139D8-2326-SM-5IFGE 30-39 years, female 89.5
GTEX-14BMU-1126-SM-5RQJ8 20-29 years, female 89.5
GTEX-S3XE-1026-SM-4AD4O 50-59 years, male 89.5
GTEX-YJ8A-1526-SM-5P9FT 20-29 years, male 89.3
GTEX-WYJK-2526-SM-4ONDF 50-59 years, male 89.1
GTEX-ZVZP-1726-SM-5GZWY 50-59 years, male 89.1
GTEX-1R9K5-1026-SM-EAZ4F 50-59 years, male 88.9
GTEX-PLZ6-0826-SM-3P61K 30-39 years, male 88.8
GTEX-144GN-1226-SM-5O991 50-59 years, male 88.5
GTEX-1E2YA-2426-SM-7EPIG 50-59 years, male 88.5
GTEX-R55D-1526-SM-48FEJ 50-59 years, male 88.5
GTEX-14PKU-1126-SM-69LOU 40-49 years, female 87.6
GTEX-QDT8-2026-SM-EZ6LS 30-39 years, female 87.6
GTEX-15DZA-1126-SM-6LPK8 30-39 years, female 87.4
GTEX-XPVG-1526-SM-4B66C 50-59 years, male 87.4
GTEX-RUSQ-1126-SM-EAZAU 50-59 years, male 87.3
GTEX-1B97I-1226-SM-7MGWQ 40-49 years, male 87.2
GTEX-ZQUD-0826-SM-57WDQ 30-39 years, male 87.1
GTEX-17GQL-1226-SM-7KFTS 60-69 years, male 87.0
GTEX-1H23P-2726-SM-9JGHN 60-69 years, male 87.0
GTEX-1MUQO-1926-SM-EAZ59 60-69 years, male 87.0
GTEX-WH7G-1526-SM-4LVMX 40-49 years, male 86.9
GTEX-1MJIX-1126-SM-EV7AO 40-49 years, male 86.9
GTEX-U3ZN-2026-SM-4DXUC 30-39 years, female 86.8
GTEX-13O61-1126-SM-5L3FI 60-69 years, male 86.7
GTEX-11P7K-1726-SM-5GU6F 30-39 years, male 86.5
GTEX-XAJ8-0326-SM-47JYI 40-49 years, male 86.5
GTEX-1RB15-1026-SM-E9U6V 60-69 years, male 86.5
GTEX-1H1DG-2126-SM-9WPPB 70-79 years, male 86.4
GTEX-YFCO-0826-SM-5LUAG 40-49 years, male 86.3
GTEX-ZEX8-1626-SM-4WKG7 50-59 years, male 86.1
GTEX-13O21-0926-SM-5IFGT 50-59 years, male 86.0
GTEX-13RTK-0226-SM-5RQHR 20-29 years, male 85.9
GTEX-14PJ6-0826-SM-686Z9 60-69 years, female 85.7
GTEX-1A3MX-1926-SM-72D7F 60-69 years, male 85.6
GTEX-1GN1W-2126-SM-9JGI7 50-59 years, female 85.5
GTEX-ZTX8-0426-SM-59HLG 20-29 years, male 85.4
GTEX-1S3DN-1526-SM-EVYCB 50-59 years, male 85.4
GTEX-14BMV-2226-SM-5RQHX 50-59 years, male 85.2
GTEX-131XE-2226-SM-5PNYX 50-59 years, male 85.0
GTEX-18D9B-2226-SM-718BM 60-69 years, male 85.0
GTEX-NFK9-1526-SM-3LK7B 40-49 years, male 84.8
GTEX-SNMC-0626-SM-4DM6H 20-29 years, male 84.6
GTEX-17HGU-2126-SM-7IGOV 50-59 years, male 84.5
GTEX-ZVT3-2126-SM-59HL2 60-69 years, female 84.3
GTEX-15CHR-1326-SM-79OLT 50-59 years, male 83.8
GTEX-1B97J-1826-SM-7IGPP 50-59 years, female 83.8
GTEX-RTLS-2626-SM-46MUJ 60-69 years, female 83.8
GTEX-14PJ4-1626-SM-664OB 60-69 years, male 83.7
GTEX-1QW4Y-0726-SM-DTX8E 30-39 years, male 83.5
GTEX-18D9A-0626-SM-7KFTY 30-39 years, female 83.4
GTEX-14DAR-0926-SM-73KUQ 50-59 years, male 83.3
GTEX-18QFQ-1226-SM-718AE 30-39 years, male 83.2
GTEX-1IDJU-1526-SM-CNNR3 60-69 years, female 83.2
GTEX-YEC4-1426-SM-5IFHS 40-49 years, male 83.1
GTEX-1H3VY-2326-SM-9WG81 50-59 years, male 82.9
GTEX-ZLWG-1526-SM-DO12F 50-59 years, female 82.8
GTEX-1E1VI-2826-SM-7MGWU 50-59 years, male 82.5
GTEX-131XF-1226-SM-5HL8V 60-69 years, male 82.4
GTEX-11TT1-0726-SM-5GU5A 20-29 years, male 82.2
GTEX-1GL5R-1926-SM-9WG7U 50-59 years, male 82.2
GTEX-14PN3-1326-SM-6AJ9U 60-69 years, female 82.1
GTEX-QXCU-1926-SM-48FE4 50-59 years, male 81.9
GTEX-TKQ1-0526-SM-4DXTG 30-39 years, male 81.9
GTEX-RM2N-0826-SM-48FD3 50-59 years, male 81.8
GTEX-S4Q7-0726-SM-4AD5F 20-29 years, male 81.7
GTEX-1MCYP-1126-SM-E9J2P 20-29 years, female 81.5
GTEX-1JMQJ-1326-SM-D4P3B 50-59 years, male 81.4
GTEX-YEC3-1426-SM-D4P1S 50-59 years, male 81.4
GTEX-12WSD-2326-SM-59HKQ 60-69 years, female 81.3
GTEX-13QJ3-2726-SM-5SI6L 50-59 years, male 81.2
GTEX-QDVN-1226-SM-48TZ5 50-59 years, male 81.2
GTEX-PX3G-1526-SM-48U11 20-29 years, female 81.1
GTEX-1HBPN-1626-SM-9WPNP 50-59 years, male 81.0
GTEX-1399U-1626-SM-5P9J3 50-59 years, female 80.9
GTEX-17JCI-2226-SM-7LTA1 60-69 years, female 80.9
GTEX-OHPM-1526-SM-EV796 50-59 years, male 80.8
GTEX-R55C-1026-SM-48FCM 40-49 years, male 80.6
GTEX-1AMFI-1226-SM-731CZ 50-59 years, female 80.5
GTEX-1B8KZ-1226-SM-793CP 50-59 years, male 80.5
GTEX-1H3NZ-2226-SM-9WYUT 60-69 years, male 80.5
GTEX-1HT8W-2326-SM-A9SLA 30-39 years, male 80.4
GTEX-T5JC-1926-SM-4DM6Q 20-29 years, male 80.3
GTEX-13FH7-1026-SM-5IJGF 50-59 years, female 80.2
GTEX-14B4R-0726-SM-5TDDR 30-39 years, male 79.7
GTEX-S4UY-1626-SM-4AD55 40-49 years, female 79.7
GTEX-12WSG-2026-SM-5FQUU 50-59 years, female 79.6
GTEX-1B8KE-1326-SM-73KVI 50-59 years, male 79.6
GTEX-1QCLY-1126-SM-EAZ4J 30-39 years, male 79.0
GTEX-ZDYS-1926-SM-5HL59 50-59 years, male 78.9
GTEX-Q2AH-1126-SM-48TZM 40-49 years, male 78.5
GTEX-T8EM-1226-SM-4DM5J 40-49 years, male 78.3
GTEX-1JN1M-2926-SM-CNNPJ 60-69 years, female 78.3
GTEX-1211K-1426-SM-5FQTF 60-69 years, female 78.2
GTEX-11EM3-1026-SM-5A5KL 20-29 years, female 78.0
GTEX-13OVI-2426-SM-5KM4J 60-69 years, female 77.9
GTEX-XBEW-1826-SM-4RTWX 40-49 years, male 77.6
GTEX-Y8E4-1526-SM-4WWDI 40-49 years, male 77.6
GTEX-XMK1-1526-SM-EYYVO 40-49 years, male 77.5
GTEX-11NUK-2426-SM-5BC4U 50-59 years, male 77.3
GTEX-15EU6-2526-SM-7KUGB 50-59 years, male 77.2
GTEX-QV31-0626-SM-447C5 30-39 years, male 77.1
GTEX-1HFI7-1526-SM-9WG7W 50-59 years, female 77.0
GTEX-TKQ2-0926-SM-4DXU5 50-59 years, male 76.9
GTEX-16AAH-1226-SM-79OO9 50-59 years, male 76.4
GTEX-WZTO-2126-SM-4PQYW 40-49 years, male 76.3
GTEX-1GPI7-1326-SM-9KNVA 20-29 years, male 76.3
GTEX-13X6H-1626-SM-5Q5CT 50-59 years, female 76.2
GTEX-14PHY-0926-SM-5ZZWL 60-69 years, female 76.2
GTEX-17KNJ-1526-SM-7LTA9 50-59 years, male 76.2
GTEX-TMMY-1626-SM-4DXTY 40-49 years, female 76.2
GTEX-1A8G6-1426-SM-731EZ 60-69 years, male 76.0
GTEX-17EUY-1526-SM-793CA 20-29 years, male 75.6
GTEX-WY7C-1726-SM-4ONCC 50-59 years, male 75.6
GTEX-146FH-2126-SM-5SI9U 50-59 years, female 75.3
GTEX-RWS6-0926-SM-47JXE 60-69 years, female 75.3
GTEX-QLQW-0726-SM-447AA 30-39 years, male 75.0
GTEX-1I4MK-0926-SM-A9SLD 50-59 years, female 75.0
GTEX-R55G-1126-SM-48FDG 40-49 years, female 74.7
GTEX-S95S-0826-SM-4B64N 60-69 years, male 74.6
GTEX-WHSB-1226-SM-4M1XR 50-59 years, male 74.6
GTEX-ZV6S-0926-SM-57WGB 40-49 years, female 74.6
GTEX-OHPK-1526-SM-3MJGM 50-59 years, female 74.2
GTEX-ZF2S-1426-SM-57WET 50-59 years, female 73.7
GTEX-OIZH-1526-SM-3NB1J 50-59 years, male 73.6
GTEX-S7SF-0626-SM-4AD4V 20-29 years, female 73.4
GTEX-11VI4-0326-SM-5EQ6L 40-49 years, female 73.3
GTEX-Y3I4-1626-SM-4TT7W 50-59 years, male 72.9
GTEX-VJYA-1026-SM-4KL21 60-69 years, male 72.8
GTEX-1J8Q3-1926-SM-C1YSJ 60-69 years, male 72.7
GTEX-1QP67-1026-SM-EVR47 40-49 years, female 72.6
GTEX-1GMRU-2526-SM-9WG7T 50-59 years, male 72.3
GTEX-O5YW-1526-SM-3MJGL 50-59 years, male 72.2
GTEX-1AMEY-1226-SM-731DU 30-39 years, female 72.0
GTEX-1S82Z-1726-SM-E6CHZ 30-39 years, female 71.9
GTEX-12C56-0526-SM-5FQST 20-29 years, male 71.8
GTEX-15G19-1526-SM-6LPKP 60-69 years, male 71.8
GTEX-ZPIC-2026-SM-57WG3 40-49 years, female 71.8
GTEX-1B8L1-1526-SM-79OLK 60-69 years, male 71.7
GTEX-1C475-1026-SM-7MKFJ 40-49 years, female 71.6
GTEX-Y114-1226-SM-4TT88 50-59 years, female 71.0
GTEX-1EH9U-2226-SM-7PBXX 60-69 years, male 71.0
GTEX-11I78-1726-SM-5A5M3 50-59 years, female 70.9
GTEX-S4P3-0726-SM-4AD57 50-59 years, female 70.4
GTEX-Y5V6-1326-SM-4VDTF 60-69 years, male 70.1
GTEX-Y3IK-1426-SM-4YCES 50-59 years, female 70.0
GTEX-WFJO-1126-SM-4LVLZ 30-39 years, male 69.9
GTEX-17F98-1526-SM-7EWD8 40-49 years, female 69.3
GTEX-UJHI-1026-SM-4IHJP 50-59 years, female 68.9
GTEX-ZF29-1526-SM-4WKF7 60-69 years, female 68.9
GTEX-1HSMQ-2426-SM-CE6RY 50-59 years, male 68.9
GTEX-1QP29-2326-SM-EXOJO 50-59 years, male 65.3
GTEX-ZE7O-3026-SM-51MS4 50-59 years, female 64.2
GTEX-1A3MV-1226-SM-718BW 30-39 years, male 63.7
GTEX-1H1DE-1226-SM-9JGHH 20-29 years, male 63.4
GTEX-14E1K-1526-SM-664MN 50-59 years, male 62.7
GTEX-1AX9J-2626-SM-731EK 60-69 years, male 62.2
GTEX-WHPG-0426-SM-4M1XW 50-59 years, male 61.8
GTEX-1H11D-2226-SM-9OSXN 40-49 years, male 60.4
GTEX-QCQG-0526-SM-48U2A 50-59 years, female 60.3
GTEX-1JN76-0926-SM-ARZNH 20-29 years, female 60.1
GTEX-P4PQ-1526-SM-3NMCK 60-69 years, male 59.8
GTEX-16NGA-1526-SM-72D56 40-49 years, female 59.7
GTEX-1F5PK-1826-SM-7RHHX 50-59 years, male 57.9
GTEX-15RIF-1126-SM-7KUG2 20-29 years, male 57.1
GTEX-1C64O-2226-SM-73KTV 60-69 years, male 56.6
GTEX-1NSGN-1926-SM-E9J36 50-59 years, male 54.5
GTEX-1CB4E-1326-SM-7DUGD 60-69 years, male 53.2
GTEX-OIZF-1526-SM-2I5GR 60-69 years, male 49.9
Show allShow less

Contact

  • NEWS ARTICLES
  • PRESS ROOM

The Project

  • INTRODUCTION
  • ORGANIZATION
  • PUBLICATIONS

The Human Protein Atlas

  • DOWNLOADABLE DATA
  • LICENCE & CITATION
  • HELP & FAQ
The Human Protein Atlas project is funded
by the Knut & Alice Wallenberg Foundation.


contact@proteinatlas.org