We use cookies to enhance the usability of our website. If you continue, we'll assume that you are happy to receive all cookies. More information. Don't show this again.
CLPTM1
HPA
RESOURCES
  • TISSUE
  • BRAIN
  • SINGLE CELL
  • SUBCELLULAR
  • CANCER
  • BLOOD
  • CELL LINE
  • STRUCTURE & INTERACTION
ABOUT
  • INTRODUCTION
  • HISTORY
  • ORGANIZATION
  • PUBLICATIONS
  • ANTIBODY SUBMISSION
  • ANTIBODY AVAILABILITY
  • ACKNOWLEDGMENTS
  • CONTACT
NEWS
  • NEWS ARTICLES
  • PRESS ROOM
LEARN
  • DICTIONARY
  • PROTEIN CLASSES
  • PROTEIN EVIDENCE
  • METHODS
  • EDUCATIONAL VIDEOS
DATA
  • DOWNLOADABLE DATA
  • PUBLICATION DATA
  • RELEASE HISTORY
HELP
  • ANTIBODY VALIDATION
  • ASSAYS & ANNOTATION
  • DISCLAIMER
  • HELP & FAQ
  • PRIVACY STATEMENT
  • LICENCE & CITATION
Fields »
Search result

Field
Term
Gene name
Class
Subclass
Class
Keyword
Chromosome
External id
Tissue
Cell type
Expression
Antibody panel
Tissue
Main location
Patient ID
Annotation
Tissue
Category
Tau score
Cluster
Reliability
Brain region
Category
Tau score
Brain region
Category
Tau score
Brain region
Category
Tau score
Cluster
Reliability
Tissue
Cell type
Enrichment
Cell type
Category
Tau score
Cell type
Category
Tau score
Cell type
Category
Tau score
Cell lineage
Category
Tau score
Cluster
Cluster
Location
Searches
Location
Cell line
Class
Type
Phase
Reliability
Cancer
Prognosis
Cancer
Category
Cancer
Category
Tau score
Cluster
Variants
Interacting gene (ensg_id)
Type
Number of interactions
Pathway
Category
Score
Score
Score
Validation
Validation
Validation
Validation
Antibodies
Data type
Column


  • SUMMARY

  • TISSUE

  • BRAIN

  • SINGLE CELL

  • SUBCELL

  • CANCER

  • BLOOD

  • CELL LINE

  • STRUCT & INT

  • CLPTM1
TISSUE PRIMARY DATA STOMACH Show tissue menu
ADIPOSE TISSUE ADRENAL GLAND AMYGDALA APPENDIX BASAL GANGLIA BONE MARROW BREAST BRONCHUS CEREBELLUM CEREBRAL CORTEX CERVIX CHOROID PLEXUS COLON DUODENUM
ENDOMETRIUM EPIDIDYMIS ESOPHAGUS FALLOPIAN TUBE GALLBLADDER HEART MUSCLE HIPPOCAMPAL FORMATION HYPOTHALAMUS KIDNEY LIVER LUNG LYMPH NODE MIDBRAIN NASOPHARYNX
ORAL MUCOSA OVARY PANCREAS PARATHYROID GLAND PITUITARY GLAND PLACENTA PROSTATE RECTUM RETINA SALIVARY GLAND SEMINAL VESICLE SKELETAL MUSCLE SKIN SMALL INTESTINE
SMOOTH MUSCLE SOFT TISSUE SPINAL CORD SPLEEN STOMACH TESTIS THYMUS THYROID GLAND TONGUE TONSIL URINARY BLADDER VAGINA
ANTIBODIES
AND
VALIDATION
Dictionary
Tissue proteome
Stomach
STOMACH - Expression summary
Protein expression
Stomachi

On the top, protein expression in current human tissue, based on all annotated cell types, is reported with the units not detected (n), low (l), medium (m) and high (h). Underneath, protein expression in each annotated cell type are reported using the same units.

Protein expression data is based on knowledge-based annotation. For genes where more than one antibody has been used, a collective score is set.

If knowledge-based annotation could not be performed for a gene, no data is displayed here. View antibody staining data further down this page.

h
m
l
n
Glandular cells: High
RNA expressioni

A summary of mRNA expression data available for current tissue based on several datasets. The mRNA expression levels in human tissues are based on RNA-seq data generated by the Human Protein Atlas (HPA), Genotype-Tissue Expression (GTEx) portal and CAGE data generated by the FANTOM5 consortium. Consensus normalized expression levels for human tissues was created by combining the data from HPA and GTEx datasets.

The mRNA expression levels in pig are based on RNA-seq data generated by the Human Protein Atlas (HPA), and for mouse, HPA data and in situ hybridization generated by the Allen brain atlas are reported.

Scroll down to view mRNA expression data in more detail.
Consensus:78.7 nTPM
HPA:38.8 nTPM
GTEx:78.7 nTPM

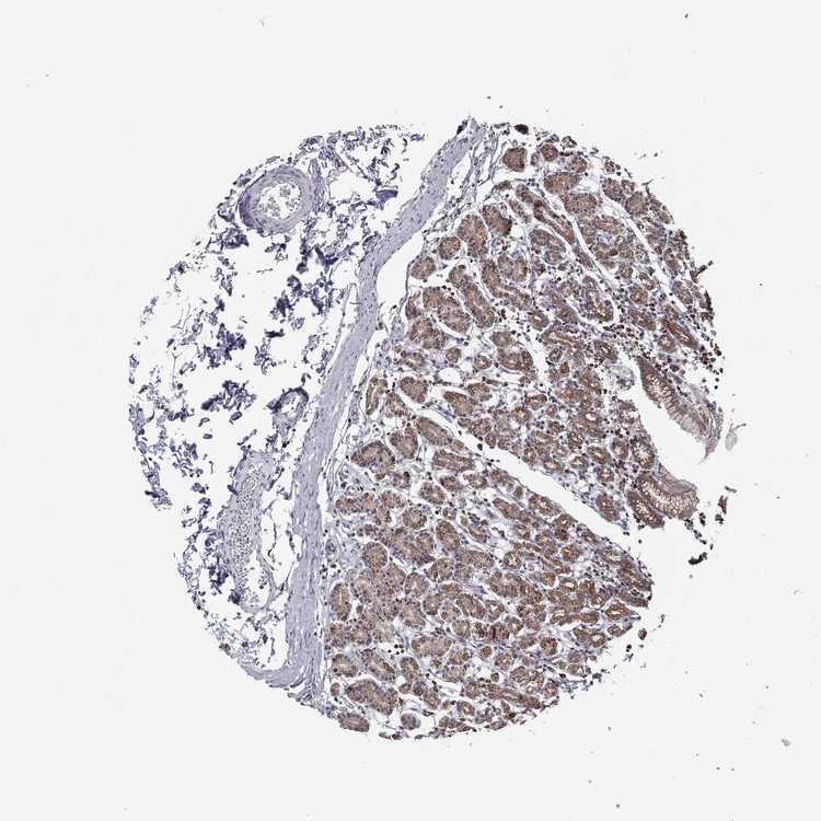
STOMACH 1 - Antibody stainingi

Antibody staining in the annotated cell types in the current human tissue is reported as not detected, low, medium, or high, based on conventional immunohistochemistry profiling in selected tissues. This score is based on the combination of the staining intensity and fraction of stained cells.

Each image is clickable and will lead to virtual microscopy that enables deeper exploration of all samples and also displays staining intensity scores, fraction scores and subcellular localization as well as patient and tissue information for each sample.

Antibody HPA068767
Glandular cells High
STOMACH 2 - Antibody stainingi

Antibody staining in the annotated cell types in the current human tissue is reported as not detected, low, medium, or high, based on conventional immunohistochemistry profiling in selected tissues. This score is based on the combination of the staining intensity and fraction of stained cells.

Each image is clickable and will lead to virtual microscopy that enables deeper exploration of all samples and also displays staining intensity scores, fraction scores and subcellular localization as well as patient and tissue information for each sample.

Antibody HPA068767
Glandular cells High



STOMACH - HPA RNA-seqi

The RNA-seq details section shows detailed information about the individual samples used for the transcript profiling and results of the RNA-seq analysis.

Information about each individual sample is listed below, including gender, age, a tissue section image and estimated fractions of cell types. nTPM (normalized transcripts per million) values give a quantification of the gene abundance which is comparable between different genes and samples.
Average nTPMi

Max subtype nTPM is the value for the subtype with the largest average nTPM across the subtype samples.

38.8
overview
Female, age 33
Stomach sample 61
nTPM: 35.7
Cell types%
Glandular cells:
60

Smooth muscle cells:
5

Other cell types:
35

N/A
Male, age 82
Stomach sample 240
nTPM: 33.2
Cell types%
Glandular cells:
65

Smooth muscle cells:
5

Other cell types:
30

overview
Male, age 71
Stomach sample 241
nTPM: 55.2
Cell types%
Glandular cells:
50

Smooth muscle cells:
5

Other cell types:
45

overview
Female, age 66
Stomach sample 369
nTPM: 31.1
Cell types%
Glandular cells:
50

Smooth muscle cells:
10

Other cell types:
40


STOMACH - GTEx RNA-seqi

RNA-Seq data generated by the Genotype-Tissue Expression (GTEx) project from human tissues is reported as mean nTPM. More information can be found on the GTEx portal.

Distribution across the dataset is visualized with box plots, shown as median and 25th and 75th percentiles. Points are displayed as outliers if they are above or below 1.5 times the interquartile range. nTPM values of the individual samples are presented next to the box plot.
Max subtype nTPMi

Max subtype nTPM is the value for the subtype with the largest average nTPM across the subtype samples.

78.7
GTEx sample id Sample description nTPM
Stomach
Average nTPM: 78.7
Samples: 359

Max nTPM: 148.4
Min nTPM: 40.7
Std nTPM: 18.1
Median nTPM: 78.4
GTEX-14PJ4-1626-SM-664OB 60-69 years, male 148.4
GTEX-T5JW-0926-SM-4DM5K 20-29 years, female 126.1
GTEX-13CF3-1926-SM-5K7WF 60-69 years, female 121.0
GTEX-Q2AI-0826-SM-48TZO 40-49 years, male 119.8
GTEX-14PKV-1826-SM-69LO9 20-29 years, female 118.4
GTEX-Y5V6-1326-SM-4VDTF 60-69 years, male 117.1
GTEX-1399S-1626-SM-5P9GI 30-39 years, female 116.8
GTEX-ZT9W-1526-SM-4YCDE 50-59 years, male 115.9
GTEX-144GM-1726-SM-5O9AS 20-29 years, male 115.3
GTEX-RWS6-0926-SM-47JXE 60-69 years, female 115.1
GTEX-12WSG-2026-SM-5FQUU 50-59 years, female 113.7
GTEX-XUZC-0726-SM-4BOPH 30-39 years, female 113.2
GTEX-WFON-1126-SM-4LVMA 40-49 years, male 113.1
GTEX-ZPU1-1626-SM-4WWB2 40-49 years, male 112.5
GTEX-131XG-1226-SM-5EGH9 50-59 years, female 111.9
GTEX-13FTX-0726-SM-5N9BI 20-29 years, female 111.9
GTEX-QLQW-0726-SM-447AA 30-39 years, male 111.9
GTEX-13FTW-1726-SM-5KM2B 40-49 years, male 111.8
GTEX-1122O-1926-SM-5EGIQ 60-69 years, female 110.7
GTEX-13PVR-2126-SM-73KVR 60-69 years, female 110.6
GTEX-T6MO-0726-SM-4DM58 40-49 years, female 110.2
GTEX-QLQ7-0826-SM-447B3 60-69 years, male 109.5
GTEX-W5WG-1726-SM-4LMI5 50-59 years, female 108.8
GTEX-WFG8-1326-SM-4LVN3 20-29 years, male 108.7
GTEX-ZZ64-0426-SM-5E43F 20-29 years, male 107.6
GTEX-11TT1-0726-SM-5GU5A 20-29 years, male 106.8
GTEX-SUCS-0926-SM-4DM4Z 70-79 years, male 105.9
GTEX-S95S-0826-SM-4B64N 60-69 years, male 105.7
GTEX-1QP2A-2126-SM-DPRZ7 50-59 years, male 105.2
GTEX-14PJ6-0826-SM-686Z9 60-69 years, female 105.0
GTEX-ZDYS-1926-SM-5HL59 50-59 years, male 104.4
GTEX-1B97I-1226-SM-7MGWQ 40-49 years, male 104.4
GTEX-1GF9U-1126-SM-AHZ4H 40-49 years, female 103.4
GTEX-XBED-1226-SM-4AT5V 60-69 years, male 103.3
GTEX-1J8JJ-1726-SM-C1YQG 60-69 years, female 103.3
GTEX-V955-1326-SM-4JBHR 60-69 years, male 103.1
GTEX-1J8Q3-1926-SM-C1YSJ 60-69 years, male 102.9
GTEX-1CAMR-0726-SM-7EPIE 20-29 years, male 102.2
GTEX-1RB15-1026-SM-E9U6V 60-69 years, male 102.1
GTEX-1LG7Z-1226-SM-DHXK4 30-39 years, male 101.7
GTEX-ZV7C-1626-SM-5NQ7E 50-59 years, male 100.7
GTEX-YB5E-1126-SM-664NU 40-49 years, male 100.5
GTEX-ZEX8-1626-SM-4WKG7 50-59 years, male 100.3
GTEX-UJMC-1226-SM-4IHLI 50-59 years, male 99.6
GTEX-1HKZK-1526-SM-B2LWG 40-49 years, male 99.0
GTEX-1B8KE-1326-SM-73KVI 50-59 years, male 98.5
GTEX-111CU-0926-SM-5EGIK 50-59 years, male 98.4
GTEX-QDVJ-1426-SM-48U1Y 50-59 years, male 98.0
GTEX-ZF29-1526-SM-4WKF7 60-69 years, female 98.0
GTEX-14E6E-0926-SM-664N8 30-39 years, male 97.7
GTEX-1LSNM-1026-SM-DHXL2 50-59 years, male 97.7
GTEX-14PJ5-0826-SM-6AJAR 60-69 years, female 97.6
GTEX-ZLFU-1326-SM-DO11R 40-49 years, male 97.4
GTEX-11NSD-1426-SM-5HL67 20-29 years, male 97.3
GTEX-OXRL-1526-SM-E6CHQ 50-59 years, male 97.3
GTEX-S3XE-1026-SM-4AD4O 50-59 years, male 97.2
GTEX-15RIE-1026-SM-6LPJQ 60-69 years, male 97.1
GTEX-12696-1726-SM-5EQLH 60-69 years, male 96.9
GTEX-ZVZP-1726-SM-5GZWY 50-59 years, male 96.9
GTEX-12BJ1-1726-SM-5HL9B 60-69 years, male 96.6
GTEX-15RIF-1126-SM-7KUG2 20-29 years, male 96.5
GTEX-1AMFI-1226-SM-731CZ 50-59 years, female 96.3
GTEX-VJYA-1026-SM-4KL21 60-69 years, male 95.7
GTEX-1C475-1026-SM-7MKFJ 40-49 years, female 95.6
GTEX-PX3G-1526-SM-48U11 20-29 years, female 95.6
GTEX-P4PP-1526-SM-3P61M 30-39 years, female 95.5
GTEX-ZP4G-1226-SM-4WWCJ 20-29 years, female 95.4
GTEX-X15G-1126-SM-4PQZG 50-59 years, female 95.3
GTEX-PWN1-1526-SM-48TDA 40-49 years, female 95.1
GTEX-Y5LM-1326-SM-5RQIS 40-49 years, female 94.9
GTEX-1IDJD-2426-SM-C1YS6 30-39 years, male 94.9
GTEX-OIZF-1526-SM-2I5GR 60-69 years, male 94.6
GTEX-1H1E6-1626-SM-9OSWC 30-39 years, male 94.3
GTEX-1I6K7-1726-SM-B2LXQ 40-49 years, male 94.3
GTEX-17F9E-2226-SM-7IGNC 50-59 years, male 93.9
GTEX-13O21-0926-SM-5IFGT 50-59 years, male 93.7
GTEX-14BMU-1126-SM-5RQJ8 20-29 years, female 93.6
GTEX-S341-0626-SM-4AD5T 40-49 years, female 93.2
GTEX-14DAR-0926-SM-73KUQ 50-59 years, male 93.1
GTEX-1AYCT-1326-SM-7MKHB 50-59 years, male 93.1
GTEX-117YX-1026-SM-5H11V 50-59 years, male 92.9
GTEX-11GSP-2126-SM-5HL5E 60-69 years, female 92.4
GTEX-QXCU-1926-SM-48FE4 50-59 years, male 92.4
GTEX-U4B1-1026-SM-4DXT1 40-49 years, male 92.2
GTEX-Q734-1026-SM-48U16 40-49 years, female 91.9
GTEX-1ICG6-1826-SM-AHZ2O 70-79 years, female 91.9
GTEX-13OVK-0926-SM-7KUFX 40-49 years, male 91.3
GTEX-WEY5-1226-SM-4LMIQ 40-49 years, female 91.3
GTEX-XXEK-0826-SM-4BRWG 50-59 years, male 91.2
GTEX-Y8LW-0826-SM-4WWDO 50-59 years, female 91.2
GTEX-ZAB4-1526-SM-5CVN7 40-49 years, male 91.2
GTEX-WXYG-1626-SM-4ONCR 50-59 years, female 91.0
GTEX-1JK1U-1326-SM-AHZ45 60-69 years, male 90.7
GTEX-1B97J-1826-SM-7IGPP 50-59 years, female 90.2
GTEX-YEC4-1426-SM-5IFHS 40-49 years, male 90.2
GTEX-QV44-1226-SM-CJI1S 50-59 years, male 89.9
GTEX-13FH7-1026-SM-5IJGF 50-59 years, female 89.7
GTEX-1GL5R-1926-SM-9WG7U 50-59 years, male 89.6
GTEX-PWCY-0926-SM-48TD7 20-29 years, female 89.5
GTEX-132QS-1826-SM-5IFFN 60-69 years, male 89.1
GTEX-117YW-2226-SM-5N9DB 50-59 years, male 88.9
GTEX-1AMEY-1226-SM-731DU 30-39 years, female 88.8
GTEX-S4Q7-0726-SM-4AD5F 20-29 years, male 88.8
GTEX-139YR-1926-SM-5LZXM 50-59 years, male 88.7
GTEX-ZQUD-0826-SM-57WDQ 30-39 years, male 88.6
GTEX-V1D1-1726-SM-4JBHB 50-59 years, male 88.5
GTEX-WRHK-0626-SM-4MVOE 20-29 years, female 88.5
GTEX-WFG7-1326-SM-4LMK1 20-29 years, male 88.2
GTEX-QV31-0626-SM-447C5 30-39 years, male 88.1
GTEX-1E1VI-2826-SM-7MGWU 50-59 years, male 88.1
GTEX-ZVT2-1626-SM-51MRC 50-59 years, female 88.0
GTEX-YFCO-0826-SM-5LUAG 40-49 years, male 87.9
GTEX-11EM3-1026-SM-5A5KL 20-29 years, female 87.6
GTEX-13113-0726-SM-5LZUF 60-69 years, female 87.6
GTEX-Q2AH-1126-SM-48TZM 40-49 years, male 87.3
GTEX-WY7C-1726-SM-4ONCC 50-59 years, male 87.3
GTEX-OXRK-1626-SM-3NB17 50-59 years, female 87.2
GTEX-1MGNQ-1826-SM-DPRYI 40-49 years, male 87.1
GTEX-17HII-2426-SM-7KFTT 50-59 years, male 86.7
GTEX-1F5PL-1426-SM-7MKFH 40-49 years, female 86.6
GTEX-RM2N-0826-SM-48FD3 50-59 years, male 86.5
GTEX-ZVP2-1626-SM-5GU5D 50-59 years, male 86.5
GTEX-18A66-2226-SM-7189E 60-69 years, male 86.3
GTEX-15DZA-1126-SM-6LPK8 30-39 years, female 86.1
GTEX-14BIL-1926-SM-73KYI 50-59 years, male 85.8
GTEX-18A67-2626-SM-718AD 50-59 years, male 85.8
GTEX-14B4R-0726-SM-5TDDR 30-39 years, male 85.4
GTEX-144GN-1226-SM-5O991 50-59 years, male 85.3
GTEX-OHPK-1526-SM-3MJGM 50-59 years, female 85.3
GTEX-SNOS-0826-SM-4DM5N 40-49 years, male 85.0
GTEX-OOBJ-1526-SM-3NB1Q 60-69 years, male 84.9
GTEX-1KANA-1126-SM-D3L9M 20-29 years, male 84.7
GTEX-QMRM-1126-SM-447BN 50-59 years, male 84.6
GTEX-ZYY3-1726-SM-5EGH3 60-69 years, female 84.4
GTEX-ZLV1-0826-SM-DO11P 60-69 years, female 84.3
GTEX-XQ8I-2026-SM-4BOOL 50-59 years, male 84.1
GTEX-1QCLZ-1826-SM-DPRXP 60-69 years, female 84.1
GTEX-ZA64-0826-SM-5HL9U 20-29 years, male 84.0
GTEX-TMMY-1626-SM-4DXTY 40-49 years, female 83.9
GTEX-131XF-1226-SM-5HL8V 60-69 years, male 83.7
GTEX-S4UY-1626-SM-4AD55 40-49 years, female 83.4
GTEX-ZY6K-0726-SM-5A5L8 50-59 years, male 83.3
GTEX-QDVN-1226-SM-48TZ5 50-59 years, male 83.2
GTEX-SNMC-0626-SM-4DM6H 20-29 years, male 83.2
GTEX-14ICL-0826-SM-5YY9W 30-39 years, male 83.1
GTEX-ZYFG-1326-SM-5GICJ 60-69 years, female 83.0
GTEX-1399R-1126-SM-5IFIO 30-39 years, male 82.9
GTEX-14E1K-1526-SM-664MN 50-59 years, male 82.9
GTEX-18QFQ-1226-SM-718AE 30-39 years, male 82.9
GTEX-1QPFJ-1526-SM-DPRXT 30-39 years, female 82.7
GTEX-14DAQ-2826-SM-664MU 60-69 years, female 82.4
GTEX-1J8QM-1126-SM-C1YQB 60-69 years, female 81.7
GTEX-1KXAM-0926-SM-CXZKA 60-69 years, male 81.6
GTEX-14PJ3-1426-SM-664O8 50-59 years, male 81.3
GTEX-17HHE-1026-SM-79ON6 50-59 years, male 81.3
GTEX-1JMPY-0926-SM-ARL92 30-39 years, male 81.3
GTEX-11DXX-1326-SM-5GIDZ 60-69 years, female 81.1
GTEX-13O61-1126-SM-5L3FI 60-69 years, male 81.0
GTEX-15CHR-1326-SM-79OLT 50-59 years, male 81.0
GTEX-WHWD-1426-SM-4OORU 50-59 years, male 80.8
GTEX-Y3I4-1626-SM-4TT7W 50-59 years, male 80.8
GTEX-145MN-1326-SM-5NQ9S 30-39 years, male 80.7
GTEX-15DCE-1626-SM-6LPJM 20-29 years, male 80.5
GTEX-Y9LG-1026-SM-5IFJN 30-39 years, male 80.4
GTEX-ZF2S-1426-SM-57WET 50-59 years, female 80.3
GTEX-18A7A-2726-SM-7LG6U 50-59 years, female 80.0
GTEX-1CB4E-1326-SM-7DUGD 60-69 years, male 79.7
GTEX-1JKYN-1726-SM-AHZ48 30-39 years, male 79.7
GTEX-YJ8A-1526-SM-5P9FT 20-29 years, male 79.6
GTEX-ZPIC-2026-SM-57WG3 40-49 years, female 79.6
GTEX-145LT-1426-SM-5O9B3 40-49 years, male 79.4
GTEX-1H3VY-2326-SM-9WG81 50-59 years, male 79.4
GTEX-ZV6S-0926-SM-57WGB 40-49 years, female 79.3
GTEX-111YS-1126-SM-5GZYQ 60-69 years, male 79.2
GTEX-R53T-1226-SM-48FCT 50-59 years, female 79.1
GTEX-13QBU-1126-SM-5LU44 40-49 years, female 79.0
GTEX-1MUQO-1926-SM-EAZ59 60-69 years, male 79.0
GTEX-1F5PK-1826-SM-7RHHX 50-59 years, male 78.8
GTEX-1I1GT-1726-SM-C1YS3 60-69 years, female 78.6
GTEX-QCQG-0526-SM-48U2A 50-59 years, female 78.4
GTEX-13PVQ-2126-SM-5L3FW 50-59 years, male 78.3
GTEX-WHSB-1226-SM-4M1XR 50-59 years, male 78.2
GTEX-1LBAC-1426-SM-CXZKT 20-29 years, male 78.2
GTEX-14JG6-1226-SM-664O6 30-39 years, female 78.1
GTEX-13OW6-2526-SM-5IJEC 50-59 years, male 77.9
GTEX-1HBPN-1626-SM-9WPNP 50-59 years, male 77.6
GTEX-11EQ9-1226-SM-5987E 30-39 years, male 77.4
GTEX-12WSJ-0926-SM-5P9JD 40-49 years, female 77.4
GTEX-17GQL-1226-SM-7KFTS 60-69 years, male 77.2
GTEX-12WSK-1426-SM-5CVNN 40-49 years, female 77.1
GTEX-PW2O-1226-SM-48TCH 20-29 years, male 77.1
GTEX-ZLWG-1526-SM-DO12F 50-59 years, female 77.1
GTEX-1LVAN-2426-SM-CNNPZ 50-59 years, female 77.0
GTEX-1MCYP-1126-SM-E9J2P 20-29 years, female 76.8
GTEX-U3ZN-2026-SM-4DXUC 30-39 years, female 76.2
GTEX-14PHX-1026-SM-664OL 50-59 years, male 76.1
GTEX-POMQ-0826-SM-3P61H 20-29 years, female 76.1
GTEX-1R9K5-1026-SM-EAZ4F 50-59 years, male 75.9
GTEX-XMK1-1526-SM-EYYVO 40-49 years, male 75.9
GTEX-17F98-1526-SM-7EWD8 40-49 years, female 75.6
GTEX-1HFI7-1526-SM-9WG7W 50-59 years, female 75.4
GTEX-ZZPU-1426-SM-5GZZ6 50-59 years, female 75.1
GTEX-ZGAY-1626-SM-DNZZ3 40-49 years, female 75.1
GTEX-15UF7-1226-SM-6M46G 40-49 years, male 74.9
GTEX-OHPM-1526-SM-EV796 50-59 years, male 74.9
GTEX-P4QT-1526-SM-3NMCT 50-59 years, female 74.8
GTEX-131XE-2226-SM-5PNYX 50-59 years, male 74.3
GTEX-1GZ4H-1026-SM-9OSXL 50-59 years, female 74.3
GTEX-13D11-2126-SM-5IFH2 50-59 years, female 74.2
GTEX-1B8KZ-1226-SM-793CP 50-59 years, male 73.9
GTEX-1399U-1626-SM-5P9J3 50-59 years, female 73.8
GTEX-15G1A-1226-SM-7KUF3 30-39 years, male 73.8
GTEX-17MF6-2126-SM-7KFS7 40-49 years, male 73.8
GTEX-1IDJU-1526-SM-CNNR3 60-69 years, female 73.6
GTEX-NFK9-1526-SM-3LK7B 40-49 years, male 73.3
GTEX-1RAZR-1526-SM-EAZ4U 40-49 years, male 72.6
GTEX-12WSD-2326-SM-59HKQ 60-69 years, female 72.2
GTEX-16AAH-1226-SM-79OO9 50-59 years, male 72.2
GTEX-18D9A-0626-SM-7KFTY 30-39 years, female 72.2
GTEX-ZXES-1426-SM-5NQ8S 30-39 years, female 72.2
GTEX-ZYVF-2726-SM-5GID4 50-59 years, female 72.2
GTEX-1MJIX-1126-SM-EV7AO 40-49 years, male 72.2
GTEX-1I1HK-2026-SM-CNNRB 60-69 years, male 71.9
GTEX-1R7EU-1126-SM-EAZ4M 60-69 years, male 71.9
GTEX-13S7M-1826-SM-5RQK6 60-69 years, female 71.8
GTEX-11EI6-2426-SM-5PNVS 60-69 years, male 71.7
GTEX-1LGOU-1526-SM-D3LAJ 20-29 years, female 71.6
GTEX-17HGU-2126-SM-7IGOV 50-59 years, male 71.5
GTEX-1H1DG-2126-SM-9WPPB 70-79 years, male 71.4
GTEX-1HSEH-1526-SM-B2LXG 60-69 years, male 71.1
GTEX-1RMOY-1126-SM-EV79E 50-59 years, male 71.1
GTEX-P78B-1826-SM-3P5YX 40-49 years, female 71.0
GTEX-14PKU-1126-SM-69LOU 40-49 years, female 70.8
GTEX-13X6H-1626-SM-5Q5CT 50-59 years, female 70.5
GTEX-WYJK-2526-SM-4ONDF 50-59 years, male 70.5
GTEX-1HBPI-0726-SM-9WG7Z 50-59 years, male 70.4
GTEX-1A3MX-1926-SM-72D7F 60-69 years, male 70.0
GTEX-UPK5-2126-SM-4JBJK 40-49 years, male 69.7
GTEX-PLZ5-1226-SM-EXOHA 50-59 years, male 69.6
GTEX-P4PQ-1526-SM-3NMCK 60-69 years, male 69.5
GTEX-WYVS-1326-SM-4ONCQ 40-49 years, female 69.4
GTEX-1339X-1426-SM-5K7YO 40-49 years, male 69.3
GTEX-RTLS-2626-SM-46MUJ 60-69 years, female 69.2
GTEX-1211K-1426-SM-5FQTF 60-69 years, female 69.1
GTEX-WZTO-2126-SM-4PQYW 40-49 years, male 69.0
GTEX-OIZH-1526-SM-3NB1J 50-59 years, male 68.9
GTEX-1A3MV-1226-SM-718BW 30-39 years, male 68.5
GTEX-1F75I-1826-SM-7MKGX 40-49 years, male 68.5
GTEX-TKQ1-0526-SM-4DXTG 30-39 years, male 68.5
GTEX-1LGRB-1726-SM-CNNRA 50-59 years, female 68.3
GTEX-1RQEC-2126-SM-DPS15 60-69 years, male 68.3
GTEX-14PN3-1326-SM-6AJ9U 60-69 years, female 68.1
GTEX-1HCUA-1626-SM-A9SMG 50-59 years, female 68.1
GTEX-11P82-0726-SM-5PNYL 20-29 years, male 68.0
GTEX-1H23P-2726-SM-9JGHN 60-69 years, male 67.9
GTEX-1QP29-2326-SM-EXOJO 50-59 years, male 67.7
GTEX-133LE-1326-SM-5IFGO 20-29 years, female 67.3
GTEX-13RTK-0226-SM-5RQHR 20-29 years, male 67.0
GTEX-WH7G-1526-SM-4LVMX 40-49 years, male 66.8
GTEX-O5YW-1526-SM-3MJGL 50-59 years, male 66.5
GTEX-1L5NE-1526-SM-DIPFW 50-59 years, male 66.5
GTEX-XPVG-1526-SM-4B66C 50-59 years, male 66.1
GTEX-1AX9J-2626-SM-731EK 60-69 years, male 65.8
GTEX-145MO-2226-SM-5Q5BN 60-69 years, male 65.7
GTEX-S4P3-0726-SM-4AD57 50-59 years, female 65.1
GTEX-18D9B-2226-SM-718BM 60-69 years, male 64.9
GTEX-WHPG-0426-SM-4M1XW 50-59 years, male 64.8
GTEX-1QP28-2126-SM-DTX8B 50-59 years, female 64.4
GTEX-Y3IK-1426-SM-4YCES 50-59 years, female 64.0
GTEX-O5YV-1926-SM-EV797 60-69 years, female 64.0
GTEX-16NGA-1526-SM-72D56 40-49 years, female 63.7
GTEX-146FR-2026-SM-5NQAI 60-69 years, female 63.6
GTEX-1N2DV-0926-SM-E9TJT 40-49 years, male 63.6
GTEX-R55C-1026-SM-48FCM 40-49 years, male 63.5
GTEX-WFJO-1126-SM-4LVLZ 30-39 years, male 63.2
GTEX-14PHY-0926-SM-5ZZWL 60-69 years, female 62.8
GTEX-1K2DA-0826-SM-CGQGD 50-59 years, male 62.6
GTEX-15EU6-2526-SM-7KUGB 50-59 years, male 62.2
GTEX-146FH-2126-SM-5SI9U 50-59 years, female 62.1
GTEX-RU1J-0526-SM-46MUT 20-29 years, female 62.1
GTEX-13X6J-2126-SM-5TDCV 50-59 years, male 62.0
GTEX-17EUY-1526-SM-793CA 20-29 years, male 62.0
GTEX-PLZ6-0826-SM-3P61K 30-39 years, male 61.8
GTEX-11WQK-2626-SM-5EQ4K 50-59 years, male 61.6
GTEX-13O3Q-2126-SM-5KM4C 50-59 years, male 61.6
GTEX-1QW4Y-0726-SM-DTX8E 30-39 years, male 61.6
GTEX-R55D-1526-SM-48FEJ 50-59 years, male 61.5
GTEX-1A8G6-1426-SM-731EZ 60-69 years, male 61.2
GTEX-11P7K-1726-SM-5GU6F 30-39 years, male 61.1
GTEX-1I4MK-0926-SM-A9SLD 50-59 years, female 61.1
GTEX-145ME-1026-SM-5O9B4 40-49 years, female 60.7
GTEX-T8EM-1226-SM-4DM5J 40-49 years, male 60.7
GTEX-1GPI7-1326-SM-9KNVA 20-29 years, male 60.7
GTEX-XV7Q-1326-SM-4BRWM 40-49 years, female 60.6
GTEX-1QCLY-1126-SM-EAZ4J 30-39 years, male 60.5
GTEX-1QMI2-2126-SM-DPRXQ 60-69 years, male 60.2
GTEX-1HCU8-1326-SM-C1YQQ 60-69 years, female 60.0
GTEX-13111-1226-SM-5GCNC 50-59 years, male 59.8
GTEX-1PPH8-1326-SM-DTXFO 20-29 years, male 59.8
GTEX-13U4I-2526-SM-5SI8Z 40-49 years, female 59.7
GTEX-1E2YA-2426-SM-7EPIG 50-59 years, male 59.7
GTEX-Y8E4-1526-SM-4WWDI 40-49 years, male 59.6
GTEX-12C56-0526-SM-5FQST 20-29 years, male 59.4
GTEX-1J8EW-2226-SM-AHZ3T 60-69 years, female 59.3
GTEX-11VI4-0326-SM-5EQ6L 40-49 years, female 59.2
GTEX-1LVAM-1426-SM-E9TJ4 50-59 years, female 59.2
GTEX-139D8-2326-SM-5IFGE 30-39 years, female 59.0
GTEX-1H1DE-1226-SM-9JGHH 20-29 years, male 58.8
GTEX-XBEW-1826-SM-4RTWX 40-49 years, male 58.4
GTEX-13OVI-2426-SM-5KM4J 60-69 years, female 58.0
GTEX-ZVT3-2126-SM-59HL2 60-69 years, female 57.7
GTEX-Y114-1226-SM-4TT88 50-59 years, female 57.5
GTEX-11I78-1726-SM-5A5M3 50-59 years, female 57.4
GTEX-1PIGE-1126-SM-EWRMV 20-29 years, male 57.4
GTEX-TKQ2-0926-SM-4DXU5 50-59 years, male 56.9
GTEX-1H3NZ-2226-SM-9WYUT 60-69 years, male 56.9
GTEX-1GN1W-2126-SM-9JGI7 50-59 years, female 56.8
GTEX-1JMLX-2426-SM-CXZJQ 50-59 years, male 56.8
GTEX-ZTX8-0426-SM-59HLG 20-29 years, male 56.7
GTEX-132AR-2426-SM-5IFFD 50-59 years, female 56.6
GTEX-1C64O-2226-SM-73KTV 60-69 years, male 56.2
GTEX-UJHI-1026-SM-4IHJP 50-59 years, female 56.1
GTEX-1HSMQ-2426-SM-CE6RY 50-59 years, male 55.4
GTEX-1HT8W-2326-SM-A9SLA 30-39 years, male 55.3
GTEX-13QJ3-2726-SM-5SI6L 50-59 years, male 54.7
GTEX-1JN76-0926-SM-ARZNH 20-29 years, female 54.6
GTEX-T5JC-1926-SM-4DM6Q 20-29 years, male 54.4
GTEX-R55G-1126-SM-48FDG 40-49 years, female 54.1
GTEX-1B8L1-1526-SM-79OLK 60-69 years, male 54.0
GTEX-1S831-1126-SM-EWROI 20-29 years, male 54.0
GTEX-S4Z8-1226-SM-4AD6W 60-69 years, male 53.8
GTEX-YEC3-1426-SM-D4P1S 50-59 years, male 53.5
GTEX-1JMPZ-1826-SM-CXZJT 30-39 years, male 53.4
GTEX-ZE7O-3026-SM-51MS4 50-59 years, female 53.3
GTEX-1GMRU-2526-SM-9WG7T 50-59 years, male 53.3
GTEX-XAJ8-0326-SM-47JYI 40-49 years, male 53.0
GTEX-1S82Z-1726-SM-E6CHZ 30-39 years, female 52.1
GTEX-S7SF-0626-SM-4AD4V 20-29 years, female 51.8
GTEX-11NUK-2426-SM-5BC4U 50-59 years, male 51.6
GTEX-1NSGN-1926-SM-E9J36 50-59 years, male 50.9
GTEX-RUSQ-1126-SM-EAZAU 50-59 years, male 50.7
GTEX-15G19-1526-SM-6LPKP 60-69 years, male 50.4
GTEX-15SHW-2126-SM-6M46Y 60-69 years, male 50.4
GTEX-1HR9M-2326-SM-CNPPZ 60-69 years, male 50.4
GTEX-1IDJF-1426-SM-ACKWK 20-29 years, male 49.7
GTEX-1JMQJ-1326-SM-D4P3B 50-59 years, male 49.6
GTEX-1KD5A-1426-SM-D4P3V 50-59 years, male 49.5
GTEX-QDT8-2026-SM-EZ6LS 30-39 years, female 49.3
GTEX-1S3DN-1526-SM-EVYCB 50-59 years, male 48.8
GTEX-14BMV-2226-SM-5RQHX 50-59 years, male 47.6
GTEX-1IL2V-2026-SM-ARZMA 70-79 years, male 47.1
GTEX-1JN1M-2926-SM-CNNPJ 60-69 years, female 47.0
GTEX-13N1W-2026-SM-5K7YU 70-79 years, male 46.9
GTEX-17KNJ-1526-SM-7LTA9 50-59 years, male 46.8
GTEX-1H11D-2226-SM-9OSXN 40-49 years, male 44.6
GTEX-1QP67-1026-SM-EVR47 40-49 years, female 44.1
GTEX-1EH9U-2226-SM-7PBXX 60-69 years, male 43.6
GTEX-17JCI-2226-SM-7LTA1 60-69 years, female 41.6
GTEX-1CB4H-2426-SM-7PBYR 60-69 years, female 40.7
Show allShow less

Contact

  • NEWS ARTICLES
  • PRESS ROOM

The Project

  • INTRODUCTION
  • ORGANIZATION
  • PUBLICATIONS

The Human Protein Atlas

  • DOWNLOADABLE DATA
  • LICENCE & CITATION
  • HELP & FAQ
The Human Protein Atlas project is funded
by the Knut & Alice Wallenberg Foundation.


contact@proteinatlas.org