We use cookies to enhance the usability of our website. If you continue, we'll assume that you are happy to receive all cookies. More information. Don't show this again.
POP4
HPA
RESOURCES
  • TISSUE
  • BRAIN
  • SINGLE CELL
  • SUBCELLULAR
  • CANCER
  • BLOOD
  • CELL LINE
  • STRUCTURE & INTERACTION
ABOUT
  • INTRODUCTION
  • HISTORY
  • ORGANIZATION
  • PUBLICATIONS
  • ANTIBODY SUBMISSION
  • ANTIBODY AVAILABILITY
  • ACKNOWLEDGMENTS
  • CONTACT
NEWS
  • NEWS ARTICLES
  • PRESS ROOM
LEARN
  • DICTIONARY
  • PROTEIN CLASSES
  • PROTEIN EVIDENCE
  • METHODS
  • EDUCATIONAL VIDEOS
DATA
  • DOWNLOADABLE DATA
  • PUBLICATION DATA
  • RELEASE HISTORY
HELP
  • ANTIBODY VALIDATION
  • ASSAYS & ANNOTATION
  • DISCLAIMER
  • HELP & FAQ
  • PRIVACY STATEMENT
  • LICENCE & CITATION
Fields »
Search result

Field
Term
Gene name
Class
Subclass
Class
Keyword
Chromosome
External id
Tissue
Cell type
Expression
Antibody panel
Tissue
Main location
Patient ID
Annotation
Tissue
Category
Tau score
Cluster
Reliability
Brain region
Category
Tau score
Brain region
Category
Tau score
Brain region
Category
Tau score
Cluster
Reliability
Tissue
Cell type
Enrichment
Cell type
Category
Tau score
Cell type
Category
Tau score
Cell type
Category
Tau score
Cell lineage
Category
Tau score
Cluster
Cluster
Location
Searches
Location
Cell line
Class
Type
Phase
Reliability
Cancer
Prognosis
Cancer
Category
Cancer
Category
Tau score
Cluster
Variants
Interacting gene (ensg_id)
Type
Number of interactions
Pathway
Category
Score
Score
Score
Validation
Validation
Validation
Validation
Antibodies
Data type
Column


  • SUMMARY

  • TISSUE

  • BRAIN

  • SINGLE CELL

  • SUBCELL

  • CANCER

  • BLOOD

  • CELL LINE

  • STRUCT & INT

  • POP4
TISSUE PRIMARY DATA ADIPOSE TISSUE Show tissue menu
ADIPOSE TISSUE ADRENAL GLAND AMYGDALA APPENDIX BASAL GANGLIA BONE MARROW BREAST BRONCHUS CEREBELLUM CEREBRAL CORTEX CERVIX CHOROID PLEXUS COLON DUODENUM
ENDOMETRIUM EPIDIDYMIS ESOPHAGUS FALLOPIAN TUBE GALLBLADDER HEART MUSCLE HIPPOCAMPAL FORMATION HYPOTHALAMUS KIDNEY LIVER LUNG LYMPH NODE MIDBRAIN NASOPHARYNX
ORAL MUCOSA OVARY PANCREAS PARATHYROID GLAND PITUITARY GLAND PLACENTA PROSTATE RECTUM RETINA SALIVARY GLAND SEMINAL VESICLE SKELETAL MUSCLE SKIN SMALL INTESTINE
SMOOTH MUSCLE SOFT TISSUE SPINAL CORD SPLEEN STOMACH TESTIS THYMUS THYROID GLAND TONGUE TONSIL URINARY BLADDER VAGINA
ANTIBODIES
AND
VALIDATION
Dictionary
Tissue proteome
Adipose tissue
ADIPOSE TISSUE - Expression summary
Protein expression
Adipose tissuei

On the top, protein expression in current human tissue, based on all annotated cell types, is reported with the units not detected (n), low (l), medium (m) and high (h). Underneath, protein expression in each annotated cell type are reported using the same units.

Protein expression data is based on knowledge-based annotation. For genes where more than one antibody has been used, a collective score is set.

If knowledge-based annotation could not be performed for a gene, no data is displayed here. View antibody staining data further down this page.

h
m
l
n
Adipocytes: Not detected
RNA expressioni

A summary of mRNA expression data available for current tissue based on several datasets. The mRNA expression levels in human tissues are based on RNA-seq data generated by the Human Protein Atlas (HPA), Genotype-Tissue Expression (GTEx) portal and CAGE data generated by the FANTOM5 consortium. Consensus normalized expression levels for human tissues was created by combining the data from HPA and GTEx datasets.

The mRNA expression levels in pig are based on RNA-seq data generated by the Human Protein Atlas (HPA), and for mouse, HPA data and in situ hybridization generated by the Allen brain atlas are reported.

Scroll down to view mRNA expression data in more detail.
Consensus:10.9 nTPM
HPA:10.1 nTPM
GTEx:10.9 nTPM
FANTOM5:36.2 Scaled Tags Per Million

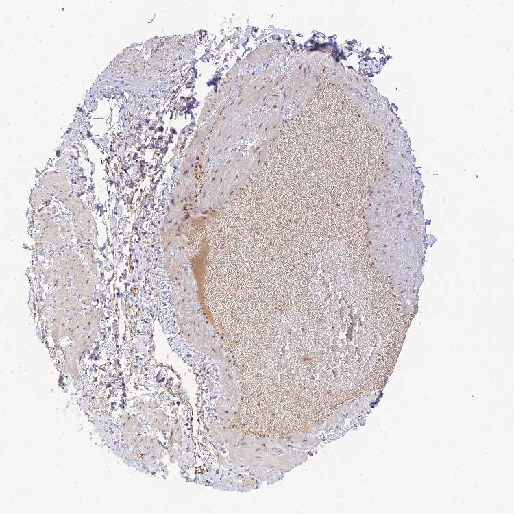
ADIPOSE TISSUE - Antibody stainingi

Antibody staining in the annotated cell types in the current human tissue is reported as not detected, low, medium, or high, based on conventional immunohistochemistry profiling in selected tissues. This score is based on the combination of the staining intensity and fraction of stained cells.

Each image is clickable and will lead to virtual microscopy that enables deeper exploration of all samples and also displays staining intensity scores, fraction scores and subcellular localization as well as patient and tissue information for each sample.

Antibody HPA042748
Adipocytes Not detected






ADIPOSE TISSUE - HPA RNA-seqi

The RNA-seq details section shows detailed information about the individual samples used for the transcript profiling and results of the RNA-seq analysis.

Information about each individual sample is listed below, including gender, age, a tissue section image and estimated fractions of cell types. nTPM (normalized transcripts per million) values give a quantification of the gene abundance which is comparable between different genes and samples.
Average nTPMi

Max subtype nTPM is the value for the subtype with the largest average nTPM across the subtype samples.

10.1
N/A
Female, age 80
Adipose tissue sample 86
nTPM: 16.2
Cell types%
Adipocytes:
95

Other cell types:
5

N/A
Female, age 45
Adipose tissue sample 115
nTPM: 13.6
N/A
Female, age 57
Adipose tissue sample 137
nTPM: 14.9
Cell types%
Adipocytes:
60

Fibroblasts:
20

Smooth muscle cells:
15

Other cell types:
5

overview
Female, age 74
Adipose tissue sample 329
nTPM: 3.7
Cell types%
Adipocytes:
50

Fibroblasts:
30

Smooth muscle cells:
15

Other cell types:
5

overview
Female, age 59
Adipose tissue sample 331
nTPM: 1.8
Cell types%
Adipocytes:
40

Fibroblasts:
40

Smooth muscle cells:
15

Other cell types:
5


ADIPOSE TISSUE - GTEx RNA-seqi

RNA-Seq data generated by the Genotype-Tissue Expression (GTEx) project from human tissues is reported as mean nTPM. More information can be found on the GTEx portal.

Distribution across the dataset is visualized with box plots, shown as median and 25th and 75th percentiles. Points are displayed as outliers if they are above or below 1.5 times the interquartile range. nTPM values of the individual samples are presented next to the box plot.
Max subtype nTPMi

Max subtype nTPM is the value for the subtype with the largest average nTPM across the subtype samples.

10.9
GTEx sample id Sample description nTPM
Adipose - Subcutaneous
Average nTPM: 10.9
Samples: 663

Max nTPM: 25.5
Min nTPM: 2.6
Std nTPM: 3.1
Median nTPM: 10.7
GTEX-15UKP-0526-SM-7KFRO 20-29 years, male 25.5
GTEX-S4P3-1526-SM-E9J3W 50-59 years, female 24.1
GTEX-1MCYP-1826-SM-E9J2Q 20-29 years, female 22.3
GTEX-11EMC-2826-SM-5PNY6 60-69 years, female 21.7
GTEX-Y5V6-2526-SM-5IFJV 60-69 years, male 21.5
GTEX-1R7EV-1926-SM-EVYBF 40-49 years, male 21.0
GTEX-1HSMP-0226-SM-CGQFI 70-79 years, male 19.9
GTEX-16NGA-1826-SM-7LG5L 40-49 years, female 19.7
GTEX-1JN76-0226-SM-CMKGO 20-29 years, female 19.4
GTEX-Q2AH-1726-SM-DIPDV 40-49 years, male 19.0
GTEX-1ICG6-2626-SM-CGQG1 70-79 years, female 18.8
GTEX-1GPI7-0226-SM-9MQKB 20-29 years, male 18.7
GTEX-1399U-2426-SM-5K7XB 50-59 years, female 18.6
GTEX-13O1R-0226-SM-5K7U5 60-69 years, male 18.6
GTEX-ZDTT-2626-SM-5S2OP 60-69 years, male 18.5
GTEX-1HCU6-0226-SM-CGQES 60-69 years, female 18.2
GTEX-WFG8-2326-SM-DIPDX 20-29 years, male 18.2
GTEX-1GTWX-0226-SM-9YFLL 60-69 years, male 18.1
GTEX-1I4MK-2026-SM-B2LVR 50-59 years, female 18.0
GTEX-1J8QM-2326-SM-CYPSL 60-69 years, female 18.0
GTEX-PWN1-0226-SM-DKPO9 40-49 years, female 18.0
GTEX-1OFPY-2326-SM-E8VNU 60-69 years, male 17.8
GTEX-1IDJD-1226-SM-CM2TP 30-39 years, male 17.5
GTEX-WY7C-2426-SM-3NB2V 50-59 years, male 17.4
GTEX-YB5E-2126-SM-5IFI7 40-49 years, male 17.3
GTEX-13G51-2626-SM-5LZYW 60-69 years, male 17.1
GTEX-ZP4G-2326-SM-57WEM 20-29 years, female 17.0
GTEX-1LG7Z-2026-SM-DLHBP 30-39 years, male 17.0
GTEX-1NHNU-1126-SM-E9J2C 50-59 years, male 17.0
GTEX-14PJM-0326-SM-62LF2 50-59 years, female 16.9
GTEX-17KNJ-2226-SM-DKPOU 50-59 years, male 16.9
GTEX-ZLFU-2626-SM-DO91L 40-49 years, male 16.9
GTEX-1QP66-1326-SM-DTXDQ 50-59 years, male 16.8
GTEX-Y3I4-2226-SM-4TT7O 50-59 years, male 16.7
GTEX-ZDYS-2126-SM-5S2P2 50-59 years, male 16.7
GTEX-1OJC4-1726-SM-EXUSV 50-59 years, female 16.6
GTEX-WFG7-2526-SM-EWRM5 20-29 years, male 16.6
GTEX-1QAET-1126-SM-E8VML 50-59 years, male 16.4
GTEX-11P82-1726-SM-5Q5AT 20-29 years, male 16.3
GTEX-11DXX-2326-SM-9YFKS 60-69 years, female 16.3
GTEX-11TT1-2426-SM-5EQMK 20-29 years, male 16.2
GTEX-14E1K-2126-SM-793DU 50-59 years, male 16.2
GTEX-145ME-1926-SM-5MR6T 40-49 years, female 16.2
GTEX-1F5PK-2526-SM-9MQKN 50-59 years, male 16.2
GTEX-PLZ6-1326-SM-3NB24 30-39 years, male 16.0
GTEX-18465-0226-SM-7LG5M 50-59 years, male 15.9
GTEX-1IL2V-0226-SM-CMKI2 70-79 years, male 15.9
GTEX-POMQ-2326-SM-DHXIS 20-29 years, female 15.9
GTEX-1CB4I-0426-SM-7IGPR 50-59 years, male 15.7
GTEX-15SDE-2426-SM-7KFRC 50-59 years, female 15.6
GTEX-1HR98-0226-SM-CGQEK 60-69 years, male 15.6
GTEX-1MUQO-0526-SM-E9J31 60-69 years, male 15.6
GTEX-1RAZA-0226-SM-E9U4W 20-29 years, male 15.6
GTEX-1RDX4-0226-SM-DTXG1 50-59 years, female 15.6
GTEX-1A3MX-0226-SM-731C4 60-69 years, male 15.5
GTEX-1H1ZS-0526-SM-9WG5L 70-79 years, male 15.5
GTEX-1H23P-0226-SM-9YFLO 60-69 years, male 15.5
GTEX-1S83E-0226-SM-EVYCW 40-49 years, male 15.5
GTEX-1AMFI-2126-SM-731BT 50-59 years, female 15.4
GTEX-1QP28-0226-SM-E9J2N 50-59 years, female 15.4
GTEX-12126-0426-SM-5Q5AP 20-29 years, male 15.3
GTEX-18A67-0226-SM-7LG67 50-59 years, male 15.3
GTEX-1HSGN-0126-SM-CGQFU 40-49 years, female 15.3
GTEX-1KANA-0826-SM-D3L9J 20-29 years, male 15.3
GTEX-1QCLY-0526-SM-EAZ47 30-39 years, male 15.3
GTEX-1J8EW-0226-SM-CYPSW 60-69 years, female 15.2
GTEX-ZTPG-0226-SM-5O99I 20-29 years, female 15.1
GTEX-147GR-0426-SM-5S2OL 60-69 years, male 15.0
GTEX-1AX9K-2426-SM-73KZ4 50-59 years, male 15.0
GTEX-14PHX-2426-SM-62LEN 50-59 years, male 14.9
GTEX-1A3MV-2126-SM-718BV 30-39 years, male 14.9
GTEX-PWCY-1926-SM-3NB25 20-29 years, female 14.9
GTEX-1I1GU-2326-SM-CGQFB 40-49 years, male 14.9
GTEX-13OW6-0526-SM-5L3HY 50-59 years, male 14.8
GTEX-1EWIQ-0226-SM-793D3 70-79 years, female 14.8
GTEX-1CAMS-0326-SM-7PC35 40-49 years, female 14.8
GTEX-1JMPY-1426-SM-ARL8Z 30-39 years, male 14.8
GTEX-1JMQK-0126-SM-CM2S3 60-69 years, male 14.8
GTEX-1N2EF-0626-SM-E9J32 60-69 years, male 14.8
GTEX-1QW4Y-1626-SM-EAZ41 30-39 years, male 14.8
GTEX-14BMV-0226-SM-5S2N2 50-59 years, male 14.7
GTEX-1LVAN-0126-SM-COH4H 50-59 years, female 14.7
GTEX-1PFEY-1626-SM-E9J3M 30-39 years, male 14.7
GTEX-1GZ4H-1826-SM-9MQLE 50-59 years, female 14.6
GTEX-1I1GS-0226-SM-B2LVX 60-69 years, male 14.6
GTEX-1QPFJ-0126-SM-E9J4B 30-39 years, female 14.5
GTEX-ZPIC-1826-SM-57WFE 40-49 years, female 14.4
GTEX-1IDFM-0226-SM-CMKFX 60-69 years, male 14.4
GTEX-1J1R8-2226-SM-ARZMP 40-49 years, male 14.4
GTEX-13QBU-2526-SM-5LU4X 40-49 years, female 14.3
GTEX-RWSA-0226-SM-2XCBA 40-49 years, male 14.3
GTEX-1J8Q3-1526-SM-CMKGB 60-69 years, male 14.3
GTEX-1PPGY-0326-SM-DTXFD 60-69 years, male 14.3
GTEX-132QS-2526-SM-62LFJ 60-69 years, male 14.2
GTEX-X15G-2326-SM-4PQZS 50-59 years, female 14.2
GTEX-1CAMR-1826-SM-7MXUJ 20-29 years, male 14.2
GTEX-1QEPI-0226-SM-EWRMR 60-69 years, female 14.2
GTEX-ZLWG-2226-SM-DO92V 50-59 years, female 14.2
GTEX-1AMEY-1426-SM-7939I 30-39 years, female 14.1
GTEX-W5WG-2526-SM-4SOJ2 50-59 years, female 14.1
GTEX-1JKYR-0226-SM-CNPOK 20-29 years, male 14.1
GTEX-PX3G-0226-SM-DKPOF 20-29 years, female 14.1
GTEX-ZYT6-0326-SM-7LG5R 30-39 years, male 14.0
GTEX-1MJK2-0526-SM-DTXE6 50-59 years, male 14.0
GTEX-147F3-0626-SM-5NQ9I 50-59 years, female 13.9
GTEX-1B8SG-0226-SM-7939Q 50-59 years, male 13.9
GTEX-1E1VI-0226-SM-793CZ 50-59 years, male 13.9
GTEX-OXRL-0226-SM-3NB18 50-59 years, male 13.9
GTEX-ZF29-2226-SM-4WWB9 60-69 years, female 13.9
GTEX-1GN1W-0626-SM-9MQK3 50-59 years, female 13.9
GTEX-1I1GP-2326-SM-CGQFL 50-59 years, male 13.8
GTEX-1KXAM-2326-SM-CYPTD 60-69 years, male 13.8
GTEX-13VXT-0226-SM-5LU9Q 20-29 years, female 13.7
GTEX-13YAN-0426-SM-5O9DR 60-69 years, male 13.7
GTEX-14ICK-0326-SM-6LLIZ 40-49 years, male 13.7
GTEX-17HII-0326-SM-7LG4X 50-59 years, male 13.7
GTEX-S32W-2226-SM-2XCAY 50-59 years, female 13.7
GTEX-SUCS-1826-SM-32PM1 70-79 years, male 13.7
GTEX-ZVP2-1826-SM-5GU62 50-59 years, male 13.7
GTEX-1HCU8-0726-SM-ADEIR 60-69 years, female 13.7
GTEX-1IKK5-0526-SM-CMKGG 60-69 years, male 13.7
GTEX-1LGOU-2226-SM-E9U56 20-29 years, female 13.7
GTEX-RVPV-1526-SM-EXOHF 60-69 years, male 13.7
GTEX-11EM3-2326-SM-5H12B 20-29 years, female 13.6
GTEX-13111-1726-SM-5EGJZ 50-59 years, male 13.6
GTEX-14BMU-2126-SM-5S2TS 20-29 years, female 13.6
GTEX-R55G-2426-SM-2TC5I 40-49 years, female 13.6
GTEX-ZYVF-0226-SM-5GIEG 50-59 years, female 13.6
GTEX-1K2DA-2126-SM-CGQGL 50-59 years, male 13.6
GTEX-ZGAY-0626-SM-DO92E 40-49 years, female 13.6
GTEX-12C56-1626-SM-5FQUO 20-29 years, male 13.5
GTEX-1LSVX-0126-SM-EVYCY 60-69 years, male 13.5
GTEX-1QP67-1726-SM-E8VOP 40-49 years, female 13.5
GTEX-1QP9N-1526-SM-DTXFK 30-39 years, male 13.5
GTEX-P4PP-0226-SM-D4P1Z 30-39 years, female 13.5
GTEX-Y3IK-2526-SM-4WWDM 50-59 years, female 13.4
GTEX-Y9LG-2026-SM-62LFS 30-39 years, male 13.4
GTEX-13NYB-2626-SM-9YFMI 40-49 years, male 13.4
GTEX-1F6I4-0226-SM-9MQMA 60-69 years, male 13.4
GTEX-1KD5A-0326-SM-D5OVD 50-59 years, male 13.4
GTEX-1PDJ9-0426-SM-E9J3E 20-29 years, male 13.4
GTEX-1RAZQ-0626-SM-E8VOR 30-39 years, male 13.4
GTEX-1I1GQ-0226-SM-COH3I 50-59 years, male 13.3
GTEX-UTHO-0426-SM-CE6QU 60-69 years, male 13.3
GTEX-145MF-0526-SM-5LUA6 50-59 years, male 13.2
GTEX-1C475-1926-SM-7DUFV 40-49 years, female 13.2
GTEX-TML8-2026-SM-32QOP 40-49 years, female 13.2
GTEX-ZZPU-2726-SM-5NQ8O 50-59 years, female 13.2
GTEX-O5YV-0226-SM-48TBY 60-69 years, female 13.1
GTEX-1LH75-2526-SM-E9U5A 50-59 years, female 13.1
GTEX-1PBJI-0426-SM-E8VNM 20-29 years, female 13.1
GTEX-1PIGE-0526-SM-DTXFA 20-29 years, male 13.1
GTEX-13FH7-2226-SM-5IJD4 50-59 years, female 13.0
GTEX-17F98-1126-SM-79OJS 40-49 years, female 13.0
GTEX-ZC5H-0126-SM-4WAYL 40-49 years, female 13.0
GTEX-17MFQ-1826-SM-7DHLS 20-29 years, male 12.9
GTEX-18D9U-0726-SM-7LG5J 40-49 years, male 12.9
GTEX-1ICLZ-0226-SM-CKZPP 60-69 years, male 12.9
GTEX-13W3W-2526-SM-5SI9P 60-69 years, female 12.7
GTEX-14PN3-2526-SM-6EU15 60-69 years, female 12.7
GTEX-17HHY-0226-SM-793BQ 50-59 years, male 12.7
GTEX-P4PQ-0226-SM-2S1NK 60-69 years, male 12.7
GTEX-1CB4J-1126-SM-7PBY1 60-69 years, male 12.7
GTEX-1HSMO-0226-SM-CGQEZ 60-69 years, male 12.7
GTEX-PLZ4-0226-SM-CYPR1 50-59 years, female 12.7
GTEX-132AR-0226-SM-5IJBE 50-59 years, female 12.6
GTEX-T5JW-1726-SM-3GADN 20-29 years, female 12.6
GTEX-ZPCL-2126-SM-57WFZ 60-69 years, female 12.6
GTEX-ZZ64-1626-SM-5E43W 20-29 years, male 12.6
GTEX-1HCUA-2226-SM-ADEHF 50-59 years, female 12.6
GTEX-OIZF-0226-SM-E9TI3 60-69 years, male 12.6
GTEX-T6MO-1726-SM-33HB8 40-49 years, female 12.5
GTEX-X4LF-1726-SM-3NMBZ 50-59 years, male 12.5
GTEX-1F52S-0226-SM-7SB7U 60-69 years, female 12.5
GTEX-1HR9M-0226-SM-COH3E 60-69 years, male 12.5
GTEX-1ICLY-0226-SM-ARL7R 50-59 years, male 12.5
GTEX-1MGNQ-0226-SM-EVYCK 40-49 years, male 12.5
GTEX-1PWST-0326-SM-EAZ42 70-79 years, male 12.5
GTEX-111CU-1826-SM-5GZYN 50-59 years, male 12.4
GTEX-146FR-1826-SM-5QGPF 60-69 years, female 12.4
GTEX-17F96-1726-SM-7IGMB 70-79 years, male 12.4
GTEX-YF7O-2426-SM-5IFJL 50-59 years, male 12.4
GTEX-1H1CY-2626-SM-9MQKJ 60-69 years, female 12.4
GTEX-1MCC2-2326-SM-E9U5G 30-39 years, female 12.4
GTEX-VJWN-0226-SM-EZ6LF 50-59 years, female 12.4
GTEX-18A7A-0326-SM-731AT 50-59 years, female 12.3
GTEX-1GMR2-2526-SM-9MQKW 50-59 years, male 12.3
GTEX-1HCU7-0326-SM-CMKGI 50-59 years, male 12.3
GTEX-133LE-1926-SM-5N9FV 20-29 years, female 12.2
GTEX-139YR-2426-SM-5J1OB 50-59 years, male 12.2
GTEX-183FY-0326-SM-793BY 20-29 years, male 12.2
GTEX-QDVJ-1826-SM-2S1P3 50-59 years, male 12.2
GTEX-ZQG8-1526-SM-5HL65 60-69 years, female 12.2
GTEX-ZVTK-0526-SM-5GZWT 20-29 years, male 12.2
GTEX-1HBPI-1426-SM-B2LW7 50-59 years, male 12.2
GTEX-1R9PM-2126-SM-E8VOB 20-29 years, male 12.2
GTEX-1S831-0326-SM-EVYD3 20-29 years, male 12.2
GTEX-1A3MW-0226-SM-7939O 60-69 years, female 12.1
GTEX-11ZTT-2526-SM-5EQM9 60-69 years, female 12.0
GTEX-1313W-0226-SM-5LZV7 50-59 years, female 12.0
GTEX-13CF2-2626-SM-5LZZA 60-69 years, male 12.0
GTEX-15RIE-2326-SM-7KFSC 60-69 years, male 12.0
GTEX-1B933-0526-SM-7EPHM 50-59 years, female 12.0
GTEX-Y114-2326-SM-4TT7X 50-59 years, female 12.0
GTEX-ZDXO-2426-SM-5S2NJ 60-69 years, male 12.0
GTEX-ZT9X-1926-SM-57WE7 40-49 years, male 12.0
GTEX-1HSMQ-1426-SM-ADEHT 50-59 years, male 12.0
GTEX-1JK1U-2126-SM-CNPOU 60-69 years, male 12.0
GTEX-1RAZR-0226-SM-EVYC6 40-49 years, male 12.0
GTEX-13IVO-0226-SM-5LZXU 70-79 years, male 11.9
GTEX-13O3Q-2326-SM-5KM3G 50-59 years, male 11.9
GTEX-13RTJ-2526-SM-5S2Q3 60-69 years, male 11.9
GTEX-XBEW-0726-SM-4QARX 40-49 years, male 11.9
GTEX-YB5K-2226-SM-4WWG1 40-49 years, female 11.9
GTEX-11H98-0226-SM-5NQ89 50-59 years, male 11.8
GTEX-16XZY-2526-SM-7DHL2 70-79 years, male 11.8
GTEX-18D9A-2026-SM-718BL 30-39 years, female 11.8
GTEX-VUSG-2426-SM-4KKZG 50-59 years, male 11.8
GTEX-1GZ4I-0226-SM-7RHHO 50-59 years, male 11.8
GTEX-1IDJU-2526-SM-CMKGF 60-69 years, female 11.8
GTEX-1JKYN-1226-SM-CGQG8 30-39 years, male 11.8
GTEX-1LVA9-0226-SM-E9U5N 50-59 years, male 11.8
GTEX-WYJK-0226-SM-EYYV8 50-59 years, male 11.8
GTEX-131XF-2226-SM-5EQKG 60-69 years, male 11.7
GTEX-13CF3-2326-SM-5IFGL 60-69 years, female 11.7
GTEX-1B97I-1726-SM-7939V 40-49 years, male 11.7
GTEX-WEY5-1926-SM-3GIL8 40-49 years, female 11.7
GTEX-WHPG-2126-SM-4M1ZM 50-59 years, male 11.7
GTEX-1IOXB-0226-SM-CMKHY 50-59 years, male 11.7
GTEX-139T6-2126-SM-5KM37 50-59 years, male 11.6
GTEX-14ABY-0326-SM-5TDDK 50-59 years, male 11.6
GTEX-15ETS-0426-SM-6PANI 40-49 years, female 11.6
GTEX-169BO-1426-SM-9MQJT 50-59 years, male 11.6
GTEX-1GF9V-0226-SM-9MQKA 60-69 years, male 11.6
GTEX-1HB9E-0426-SM-CNPPV 50-59 years, male 11.6
GTEX-1J1OQ-0326-SM-CYPTJ 40-49 years, female 11.6
GTEX-1M5QR-2126-SM-DKPQM 40-49 years, male 11.6
GTEX-1S82P-0226-SM-E6CI6 60-69 years, female 11.6
GTEX-12ZZY-0326-SM-5LZVQ 60-69 years, male 11.5
GTEX-13D11-2326-SM-5IJCY 50-59 years, female 11.5
GTEX-14PII-0326-SM-6LLIQ 60-69 years, male 11.5
GTEX-XGQ4-2226-SM-4AT4Y 50-59 years, male 11.5
GTEX-12WSM-0226-SM-5LZV6 60-69 years, male 11.4
GTEX-13113-1826-SM-5LZW4 60-69 years, female 11.4
GTEX-14E6D-0226-SM-62LDW 50-59 years, male 11.4
GTEX-14JG6-2326-SM-6LLH3 30-39 years, female 11.4
GTEX-SNOS-1426-SM-32PLY 40-49 years, male 11.4
GTEX-T6MN-0226-SM-32PMD 50-59 years, male 11.4
GTEX-TKQ1-1126-SM-4GIAZ 30-39 years, male 11.4
GTEX-1A8G6-0526-SM-7PC1E 60-69 years, male 11.4
GTEX-1GMRU-0226-SM-9YFLW 50-59 years, male 11.4
GTEX-1HFI7-2026-SM-CGQFR 50-59 years, female 11.4
GTEX-1QP29-0726-SM-DTXFM 50-59 years, male 11.4
GTEX-1QP6S-0126-SM-E9J4K 40-49 years, male 11.4
GTEX-14ICL-2026-SM-62LDN 30-39 years, male 11.3
GTEX-16BQI-0526-SM-6PAM8 30-39 years, female 11.3
GTEX-18A66-0326-SM-718BE 60-69 years, male 11.3
GTEX-1B8KE-2526-SM-73KYQ 50-59 years, male 11.3
GTEX-1C2JI-2226-SM-7IGPJ 50-59 years, male 11.3
GTEX-T2IS-0226-SM-32QPH 20-29 years, female 11.3
GTEX-ZF28-0226-SM-5S2OE 60-69 years, male 11.3
GTEX-1HSKV-0326-SM-ADEJC 60-69 years, male 11.3
GTEX-1I1HK-0226-SM-COH4A 60-69 years, male 11.3
GTEX-1IKJJ-0226-SM-COH3T 60-69 years, male 11.3
GTEX-1IY9M-0226-SM-CMKHP 60-69 years, male 11.3
GTEX-11OF3-2426-SM-5Q5AS 60-69 years, male 11.2
GTEX-12696-2526-SM-5EQLN 60-69 years, male 11.2
GTEX-13X6K-0226-SM-5QGPB 60-69 years, female 11.2
GTEX-144GM-1926-SM-5LUAN 20-29 years, male 11.2
GTEX-14H4A-1026-SM-62LDY 40-49 years, female 11.2
GTEX-O5YT-0226-SM-32PK5 20-29 years, male 11.2
GTEX-PLZ5-1826-SM-3NB22 50-59 years, male 11.2
GTEX-1GN73-0326-SM-9KNTW 60-69 years, male 11.2
GTEX-1IDJF-0226-SM-CMKGE 20-29 years, male 11.2
GTEX-1LSNL-0526-SM-DIPFI 50-59 years, male 11.2
GTEX-1MA7W-1926-SM-E6CIO 20-29 years, female 11.2
GTEX-11GSO-2326-SM-5A5LX 60-69 years, male 11.1
GTEX-131YS-0226-SM-5IJEH 60-69 years, female 11.1
GTEX-OHPN-0226-SM-48TBV 60-69 years, female 11.1
GTEX-1I6K7-0226-SM-CJI46 40-49 years, male 11.1
GTEX-1R7EU-0326-SM-EWRNJ 60-69 years, male 11.1
GTEX-12WSL-2426-SM-5GCN7 50-59 years, male 11.0
GTEX-OXRO-0226-SM-3LK6F 60-69 years, female 11.0
GTEX-OXRP-0226-SM-3NB14 60-69 years, female 11.0
GTEX-XYKS-2726-SM-4E3IC 60-69 years, female 11.0
GTEX-YJ8A-0526-SM-5IFHT 20-29 years, male 11.0
GTEX-ZVT2-2226-SM-5NQ6P 50-59 years, female 11.0
GTEX-1FIGZ-1626-SM-7SB8L 40-49 years, male 11.0
GTEX-1GN1U-0226-SM-9YFLQ 50-59 years, female 11.0
GTEX-1HUB1-0326-SM-A9SKQ 60-69 years, male 11.0
GTEX-1IGQW-0226-SM-COH43 60-69 years, male 11.0
GTEX-1IL2U-0326-SM-CE6T9 60-69 years, male 11.0
GTEX-1R9K5-0226-SM-EWRNF 50-59 years, male 11.0
GTEX-R45C-0226-SM-EVYAJ 60-69 years, female 11.0
GTEX-111VG-2326-SM-5N9BK 60-69 years, male 10.9
GTEX-13X6J-0226-SM-7EPGC 50-59 years, male 10.9
GTEX-15G19-0226-SM-6PAL2 60-69 years, male 10.9
GTEX-1AX9J-0326-SM-73KXY 60-69 years, male 10.9
GTEX-P4QS-0226-SM-3NB1U 60-69 years, male 10.9
GTEX-QCQG-1826-SM-2S1P2 50-59 years, female 10.9
GTEX-R55C-1626-SM-48FEG 40-49 years, male 10.9
GTEX-Y5V5-2426-SM-5IFJA 60-69 years, female 10.9
GTEX-ZVT4-0226-SM-51MSD 50-59 years, female 10.9
GTEX-ZVZP-2326-SM-59HL4 50-59 years, male 10.9
GTEX-1F6RS-0226-SM-9MQKO 60-69 years, female 10.9
GTEX-1HSEH-0226-SM-ACKVV 60-69 years, male 10.9
GTEX-RUSQ-1626-SM-EZ6L4 50-59 years, male 10.9
GTEX-1399T-2726-SM-5K7XK 60-69 years, male 10.8
GTEX-13OW8-1226-SM-5K7XD 60-69 years, male 10.8
GTEX-13QJ3-0426-SM-5RQHP 50-59 years, male 10.8
GTEX-14DAQ-0226-SM-664MQ 60-69 years, female 10.8
GTEX-14PJ3-1926-SM-62LEY 50-59 years, male 10.8
GTEX-Q2AG-0226-SM-2S1P4 40-49 years, female 10.8
GTEX-U412-0526-SM-3DB9I 60-69 years, male 10.8
GTEX-ZXES-2026-SM-5NQ6R 30-39 years, female 10.8
GTEX-ZYY3-0226-SM-5E45M 60-69 years, female 10.8
GTEX-1F75A-0226-SM-7PC2K 50-59 years, male 10.8
GTEX-1HCVE-0226-SM-CGQEV 50-59 years, male 10.8
GTEX-1JMLX-0126-SM-CMKG9 50-59 years, male 10.8
GTEX-U3ZM-1026-SM-EZ6LD 40-49 years, male 10.8
GTEX-12ZZX-0226-SM-5DUXU 40-49 years, female 10.7
GTEX-13FHP-0226-SM-5K7WD 50-59 years, male 10.7
GTEX-13N11-2626-SM-5K7UQ 50-59 years, female 10.7
GTEX-13O61-2426-SM-5J1NV 60-69 years, male 10.7
GTEX-14PJ2-0226-SM-6LLH4 50-59 years, male 10.7
GTEX-OXRK-0326-SM-3NB3R 50-59 years, female 10.7
GTEX-Q734-1826-SM-2I3EL 40-49 years, female 10.7
GTEX-Z9EW-1826-SM-5CVMA 40-49 years, male 10.7
GTEX-ZAK1-0226-SM-5CVMX 50-59 years, female 10.7
GTEX-1H2FU-0226-SM-9YFKO 60-69 years, female 10.7
GTEX-1I6K6-0226-SM-ADEID 30-39 years, male 10.7
GTEX-1JJEA-0226-SM-COH2X 60-69 years, male 10.7
GTEX-117YX-2226-SM-5EGJJ 50-59 years, male 10.6
GTEX-145MO-0426-SM-5QGP6 60-69 years, male 10.6
GTEX-14C39-2526-SM-5S2UH 40-49 years, male 10.6
GTEX-QEG5-0326-SM-2S1PB 20-29 years, male 10.6
GTEX-XUZC-1826-SM-4BRVO 30-39 years, female 10.6
GTEX-1122O-2026-SM-9YFMG 60-69 years, female 10.6
GTEX-1GMR3-2026-SM-9MQLG 40-49 years, male 10.6
GTEX-1JN6P-0226-SM-COH34 60-69 years, male 10.6
GTEX-1N2DW-0326-SM-E9TK3 50-59 years, male 10.6
GTEX-11I78-2626-SM-5Q5AI 50-59 years, female 10.5
GTEX-13OW7-0226-SM-5MR3N 50-59 years, male 10.5
GTEX-X88G-0226-SM-4GIE4 30-39 years, male 10.5
GTEX-11TUW-2626-SM-5EQKZ 60-69 years, male 10.4
GTEX-131XE-2426-SM-5EQ5V 50-59 years, male 10.4
GTEX-13O21-1526-SM-5K7W4 50-59 years, male 10.4
GTEX-16MTA-2126-SM-6PALC 50-59 years, male 10.4
GTEX-1CB4E-1826-SM-7RHG8 60-69 years, male 10.4
GTEX-1IE54-0226-SM-CMKHX 40-49 years, female 10.4
GTEX-1JMQI-2026-SM-CMKGP 50-59 years, male 10.4
GTEX-1B996-0126-SM-7PBYF 60-69 years, male 10.3
GTEX-1EMGI-0226-SM-9MQL1 60-69 years, male 10.3
GTEX-OIZG-0826-SM-E9TI4 50-59 years, male 10.3
GTEX-144GO-1626-SM-7EPG5 60-69 years, male 10.2
GTEX-14PK6-2026-SM-6LLHP 70-79 years, female 10.2
GTEX-18A6Q-0226-SM-718AS 60-69 years, male 10.2
GTEX-SNMC-1326-SM-2XCFK 20-29 years, male 10.2
GTEX-XBED-2326-SM-47JYR 60-69 years, male 10.2
GTEX-YFCO-2026-SM-4W21Q 40-49 years, male 10.2
GTEX-1EH9U-0226-SM-7PBY8 60-69 years, male 10.2
GTEX-1EKGG-0126-SM-9YFLS 60-69 years, male 10.2
GTEX-1RQEC-0526-SM-E6CHV 60-69 years, male 10.2
GTEX-11XUK-2126-SM-5EQLR 40-49 years, female 10.1
GTEX-11ZTS-0226-SM-5EQKD 60-69 years, female 10.1
GTEX-TMZS-0226-SM-3DB9N 60-69 years, male 10.1
GTEX-YJ8O-2426-SM-5HL7S 40-49 years, female 10.1
GTEX-1LB8K-0326-SM-E9TJC 50-59 years, male 10.1
GTEX-1R46S-0526-SM-EVYBZ 60-69 years, female 10.1
GTEX-111FC-0226-SM-5N9B8 60-69 years, male 10.0
GTEX-1128S-2126-SM-5H12U 60-69 years, female 10.0
GTEX-13NZB-2426-SM-5K7UF 30-39 years, male 10.0
GTEX-1497J-2326-SM-5NQBK 60-69 years, male 10.0
GTEX-17HHE-1926-SM-7EPGW 50-59 years, male 10.0
GTEX-1AYD5-2326-SM-73KXF 50-59 years, male 10.0
GTEX-1C4CL-0426-SM-7939N 30-39 years, male 10.0
GTEX-X4XY-0326-SM-46MVZ 60-69 years, male 10.0
GTEX-XUYS-0226-SM-47JX1 50-59 years, male 10.0
GTEX-ZLV1-1826-SM-5FQU5 60-69 years, female 10.0
GTEX-ZPU1-2426-SM-4WWFM 40-49 years, male 10.0
GTEX-ZTSS-2026-SM-5987K 40-49 years, male 10.0
GTEX-ZYFC-0326-SM-5NQ7H 50-59 years, male 10.0
GTEX-1C6VQ-0226-SM-7P8S5 50-59 years, male 10.0
GTEX-1E2YA-0226-SM-9MQLY 50-59 years, male 10.0
GTEX-13NZA-0126-SM-5K7UH 60-69 years, male 9.9
GTEX-145MN-2626-SM-5NQAH 30-39 years, male 9.9
GTEX-148VI-1726-SM-5S2W9 60-69 years, female 9.9
GTEX-14PJ6-2226-SM-6LLIV 60-69 years, female 9.9
GTEX-16GPK-0226-SM-7DUFI 60-69 years, male 9.9
GTEX-U8XE-0426-SM-3DB91 30-39 years, male 9.9
GTEX-1F75I-0426-SM-7PC3S 40-49 years, male 9.9
GTEX-1I1GT-0526-SM-CGQEQ 60-69 years, female 9.9
GTEX-1K9T9-0226-SM-E9U6K 50-59 years, female 9.9
GTEX-11DZ1-0226-SM-5A5KF 50-59 years, male 9.8
GTEX-11O72-0226-SM-59869 40-49 years, male 9.8
GTEX-139TT-0226-SM-5K7YH 60-69 years, male 9.8
GTEX-13SLX-0426-SM-5QGRC 50-59 years, female 9.8
GTEX-144GL-0226-SM-5QGOX 50-59 years, male 9.8
GTEX-145LT-1826-SM-5QGP4 40-49 years, male 9.8
GTEX-146FH-0226-SM-5QGPQ 50-59 years, female 9.8
GTEX-14E6E-1926-SM-664N4 30-39 years, male 9.8
GTEX-1BAJH-0426-SM-73KWY 70-79 years, male 9.8
GTEX-Y8E4-0726-SM-4WWFN 40-49 years, male 9.8
GTEX-Y8LW-1926-SM-4WWFZ 50-59 years, female 9.8
GTEX-YEC4-2426-SM-57WFO 40-49 years, male 9.8
GTEX-1F48J-0226-SM-7SB82 50-59 years, female 9.8
GTEX-1GN1V-0226-SM-9WYTN 60-69 years, male 9.8
GTEX-1J8JJ-0326-SM-CMKG6 60-69 years, female 9.8
GTEX-QEG4-0326-SM-DIPE3 30-39 years, male 9.8
GTEX-11P7K-2026-SM-5GU74 30-39 years, male 9.7
GTEX-13NZ8-0926-SM-5MR3U 60-69 years, female 9.7
GTEX-16AAH-2026-SM-7LG5F 50-59 years, male 9.7
GTEX-17F97-0426-SM-7LT9U 50-59 years, male 9.7
GTEX-1GF9X-1926-SM-ADEIC 40-49 years, female 9.7
GTEX-1LBAC-0226-SM-DHXJZ 20-29 years, male 9.7
GTEX-VUSH-0226-SM-EXUQV 30-39 years, male 9.7
GTEX-146FQ-0226-SM-5NQAL 30-39 years, male 9.6
GTEX-QLQ7-1526-SM-2S1QA 60-69 years, male 9.6
GTEX-1CB4H-0326-SM-9WG5G 60-69 years, female 9.6
GTEX-13PVR-2426-SM-5RQHN 60-69 years, female 9.5
GTEX-14DAR-1926-SM-5S2NQ 50-59 years, male 9.5
GTEX-R55D-0326-SM-48FES 50-59 years, male 9.5
GTEX-T8EM-1126-SM-3DB7D 40-49 years, male 9.5
GTEX-U4B1-1726-SM-3DB9F 40-49 years, male 9.5
GTEX-XLM4-0226-SM-4AT4N 60-69 years, male 9.5
GTEX-YECK-0226-SM-4W215 60-69 years, male 9.5
GTEX-ZTX8-1526-SM-5N9GI 20-29 years, male 9.5
GTEX-1CAMQ-0126-SM-7SB7S 40-49 years, male 9.5
GTEX-1F88F-2626-SM-9WG5K 60-69 years, female 9.5
GTEX-1I1GR-0226-SM-CMKHQ 60-69 years, male 9.5
GTEX-1JN1M-0126-SM-D4P23 60-69 years, female 9.5
GTEX-1LVAO-0226-SM-E9U6O 60-69 years, male 9.5
GTEX-1PPH8-0626-SM-EWRN9 20-29 years, male 9.5
GTEX-13N2G-2726-SM-5J1MG 60-69 years, male 9.4
GTEX-13O3P-0226-SM-5KM3Z 50-59 years, male 9.4
GTEX-13OVL-0326-SM-5IJCS 50-59 years, male 9.4
GTEX-17MF6-0226-SM-7LG4G 40-49 years, male 9.4
GTEX-1C6VS-0426-SM-79OJV 60-69 years, male 9.4
GTEX-SN8G-0226-SM-4DM6B 50-59 years, female 9.4
GTEX-X4EO-0426-SM-4QASA 60-69 years, female 9.4
GTEX-1A8FM-0126-SM-7SB7P 50-59 years, female 9.4
GTEX-1HBPH-0526-SM-9YFMN 40-49 years, female 9.4
GTEX-1I1GV-0426-SM-ARZLX 60-69 years, male 9.4
GTEX-13U4I-0226-SM-5SIB1 40-49 years, female 9.3
GTEX-145LS-0226-SM-5O9A5 60-69 years, female 9.3
GTEX-145MI-0426-SM-5O99V 60-69 years, female 9.3
GTEX-16MT8-0526-SM-6PAM6 60-69 years, female 9.3
GTEX-1C64O-0226-SM-73KXB 60-69 years, male 9.3
GTEX-NPJ8-0226-SM-48TBN 40-49 years, male 9.3
GTEX-WI4N-1126-SM-3LK7Q 40-49 years, female 9.3
GTEX-XMK1-2226-SM-4B673 40-49 years, male 9.3
GTEX-18QFQ-0226-SM-731BQ 30-39 years, male 9.3
GTEX-1B8L1-2626-SM-7SB77 60-69 years, male 9.3
GTEX-1B932-0226-SM-7PBYH 40-49 years, female 9.3
GTEX-1GN2E-0326-SM-COH3C 60-69 years, male 9.3
GTEX-1LG7Y-0426-SM-DKPQB 50-59 years, male 9.3
GTEX-1MA7X-2126-SM-E6CIX 60-69 years, male 9.3
GTEX-113IC-0226-SM-5HL5C 60-69 years, male 9.2
GTEX-13FTY-0626-SM-5L3F8 40-49 years, female 9.2
GTEX-13PVQ-0226-SM-5SIBG 50-59 years, male 9.2
GTEX-17EUY-0526-SM-7EWDE 20-29 years, male 9.2
GTEX-ZVZO-0226-SM-5A5LA 40-49 years, male 9.2
GTEX-1LSNM-2026-SM-E6CIJ 50-59 years, male 9.2
GTEX-111YS-2426-SM-5GZZQ 60-69 years, male 9.1
GTEX-11UD1-0226-SM-5EQKL 40-49 years, female 9.1
GTEX-13FTW-2526-SM-5IJC8 40-49 years, male 9.1
GTEX-14AS3-2026-SM-5TDD9 40-49 years, female 9.1
GTEX-N7MS-0326-SM-4E3K2 60-69 years, male 9.1
GTEX-SIU8-0226-SM-2XCDS 50-59 years, male 9.1
GTEX-XMD2-0226-SM-4WWEE 60-69 years, female 9.1
GTEX-1L5NE-2626-SM-E9U6P 50-59 years, male 9.1
GTEX-1POEN-0226-SM-EYYXE 30-39 years, female 9.1
GTEX-11P81-2426-SM-5GU65 30-39 years, female 9.0
GTEX-13NZ9-0526-SM-5J1OX 50-59 years, male 9.0
GTEX-13S7M-0226-SM-5S2UG 60-69 years, female 9.0
GTEX-SJXC-0226-SM-2XCDU 60-69 years, male 9.0
GTEX-WH7G-2226-SM-3NMBN 40-49 years, male 9.0
GTEX-X261-0226-SM-3NMD2 50-59 years, male 9.0
GTEX-XQ3S-1626-SM-4WAYN 20-29 years, male 9.0
GTEX-YJ89-0226-SM-4TT3Y 60-69 years, male 9.0
GTEX-1CB4F-0526-SM-9KNW2 60-69 years, male 9.0
GTEX-1F75W-0226-SM-9JGGP 60-69 years, male 9.0
GTEX-1H4P4-0226-SM-9YFKT 50-59 years, male 9.0
GTEX-139TU-0226-SM-5J1NM 60-69 years, male 8.9
GTEX-YFC4-0226-SM-57WD2 40-49 years, female 8.9
GTEX-1LGRB-2426-SM-CNPP3 50-59 years, female 8.9
GTEX-1QP2A-0226-SM-EVYBC 50-59 years, male 8.9
GTEX-RNOR-0226-SM-EZ6MF 50-59 years, female 8.9
GTEX-11LCK-1126-SM-5A5KC 30-39 years, male 8.8
GTEX-1211K-2226-SM-5FQU6 60-69 years, female 8.8
GTEX-1212Z-2426-SM-5EQ5D 60-69 years, male 8.8
GTEX-131XW-0526-SM-5PNXZ 50-59 years, female 8.8
GTEX-139T4-0126-SM-5HL5G 50-59 years, female 8.8
GTEX-QDVN-2126-SM-33HBS 50-59 years, male 8.8
GTEX-S95S-1326-SM-2XCDK 60-69 years, male 8.8
GTEX-T5JC-0526-SM-32PM7 20-29 years, male 8.8
GTEX-WVLH-0226-SM-3MJG6 50-59 years, male 8.8
GTEX-1H3O1-0526-SM-9MQLS 60-69 years, male 8.8
GTEX-1117F-0226-SM-5GZZ7 60-69 years, female 8.7
GTEX-12WSA-0326-SM-5BC6I 60-69 years, male 8.7
GTEX-13N1W-0226-SM-5K7W6 70-79 years, male 8.7
GTEX-13OVI-1326-SM-5IJBO 60-69 years, female 8.7
GTEX-14BIN-0726-SM-793DQ 50-59 years, female 8.7
GTEX-14JG1-0526-SM-6LLHW 40-49 years, male 8.7
GTEX-OHPM-0226-SM-3LK61 50-59 years, male 8.7
GTEX-WL46-0326-SM-3LK6Y 50-59 years, male 8.7
GTEX-X5EB-2426-SM-4E3HX 40-49 years, male 8.7
GTEX-1H1DE-2026-SM-9WG6Q 20-29 years, male 8.7
GTEX-1PIIG-0326-SM-EVYBV 30-39 years, male 8.7
GTEX-11EI6-0226-SM-5EQ64 60-69 years, male 8.6
GTEX-14BIL-0226-SM-5SI9E 50-59 years, male 8.6
GTEX-14PJ4-2226-SM-6LLIS 60-69 years, male 8.6
GTEX-R53T-1626-SM-3GAEW 50-59 years, female 8.6
GTEX-YEC3-1226-SM-5IFI8 50-59 years, male 8.6
GTEX-Z93S-0226-SM-5HL7R 50-59 years, male 8.6
GTEX-ZYW4-0226-SM-5E44M 60-69 years, male 8.6
GTEX-1EU9M-0326-SM-7RHGF 60-69 years, male 8.6
GTEX-1JJE9-1226-SM-CNPOI 70-79 years, male 8.6
GTEX-11ZU8-2426-SM-5EQMV 60-69 years, male 8.5
GTEX-13VXU-0226-SM-5SI9R 50-59 years, male 8.5
GTEX-QEL4-0326-SM-3GAE5 50-59 years, male 8.5
GTEX-REY6-0326-SM-2TF5A 60-69 years, male 8.5
GTEX-WVJS-0226-SM-4MVOU 50-59 years, male 8.5
GTEX-ZF3C-0226-SM-4WWB3 50-59 years, female 8.5
GTEX-1HFI6-0326-SM-ADEI5 40-49 years, male 8.5
GTEX-1I1CD-0226-SM-CM2TL 60-69 years, female 8.5
GTEX-14LLW-0226-SM-62LEL 70-79 years, female 8.4
GTEX-XUW1-0526-SM-4BOP3 50-59 years, female 8.4
GTEX-Y111-0226-SM-4SOIW 50-59 years, male 8.4
GTEX-ZAJG-0226-SM-5HL81 50-59 years, female 8.4
GTEX-ZUA1-0226-SM-5NQ9Q 40-49 years, male 8.4
GTEX-1H1E6-2026-SM-9KNVK 30-39 years, male 8.4
GTEX-1HGF4-2526-SM-ADEIZ 60-69 years, male 8.4
GTEX-1HT8W-0226-SM-CMKGT 30-39 years, male 8.4
GTEX-139T8-0226-SM-5L3EA 60-69 years, male 8.3
GTEX-OHPK-0226-SM-3MJH6 50-59 years, female 8.3
GTEX-QV44-1825-SM-447CF 50-59 years, male 8.3
GTEX-XXEK-2426-SM-4BRUS 50-59 years, male 8.3
GTEX-1C6VR-2626-SM-7MGX2 60-69 years, male 8.3
GTEX-1CB4G-0326-SM-7SB8R 60-69 years, male 8.3
GTEX-1HBPM-0326-SM-CMKGR 60-69 years, female 8.3
GTEX-1KAFJ-2426-SM-D4P32 50-59 years, male 8.3
GTEX-XOT4-0226-SM-4B66Z 60-69 years, female 8.3
GTEX-11DXW-0326-SM-5H11W 40-49 years, male 8.2
GTEX-1269C-2726-SM-5EGJ4 60-69 years, female 8.2
GTEX-139D8-0326-SM-5IJCJ 30-39 years, female 8.2
GTEX-13JVG-0226-SM-5J1MW 60-69 years, male 8.2
GTEX-147JS-0426-SM-5TDD2 60-69 years, male 8.2
GTEX-14JIY-0526-SM-62LFH 60-69 years, male 8.2
GTEX-17HGU-0326-SM-7DUER 50-59 years, male 8.2
GTEX-QESD-1526-SM-2S1QT 20-29 years, male 8.2
GTEX-1H3VE-0226-SM-9WYST 40-49 years, male 8.2
GTEX-1H3VY-0226-SM-9YFMF 50-59 years, male 8.2
GTEX-15DCD-0226-SM-6LPKC 70-79 years, female 8.1
GTEX-16NPX-0326-SM-7EWDI 50-59 years, male 8.1
GTEX-ZVE2-0326-SM-57WFC 50-59 years, male 8.1
GTEX-13OVK-2126-SM-6PAN1 40-49 years, male 8.0
GTEX-16YQH-0226-SM-6PALD 30-39 years, male 8.0
GTEX-U3ZN-2626-SM-3DB7T 30-39 years, female 8.0
GTEX-X638-0226-SM-47JZ9 70-79 years, female 8.0
GTEX-11GS4-2626-SM-5A5LD 60-69 years, male 7.9
GTEX-12KS4-0426-SM-5EQMC 30-39 years, male 7.9
GTEX-13NYS-0226-SM-5MR49 60-69 years, male 7.9
GTEX-13OVJ-0326-SM-5L3GL 50-59 years, female 7.9
GTEX-144FL-0226-SM-5Q5D4 50-59 years, male 7.9
GTEX-OOBJ-0226-SM-2YUMM 60-69 years, male 7.9
GTEX-OOBK-0226-SM-2YUMF 40-49 years, male 7.9
GTEX-P78B-0226-SM-3NB1Z 40-49 years, female 7.9
GTEX-WFON-2226-SM-3TW8W 40-49 years, male 7.9
GTEX-ZDTS-0226-SM-5HL7Q 60-69 years, male 7.9
GTEX-16XZZ-0226-SM-7MGVJ 60-69 years, male 7.9
GTEX-1H1DF-0226-SM-ARL9A 40-49 years, female 7.9
GTEX-11EQ9-2526-SM-5HL66 30-39 years, male 7.8
GTEX-12584-0226-SM-5EQL5 40-49 years, male 7.8
GTEX-13JUV-2826-SM-5LZWU 40-49 years, female 7.8
GTEX-183WM-0226-SM-7LT8T 70-79 years, female 7.8
GTEX-XAJ8-0926-SM-47JXZ 40-49 years, male 7.8
GTEX-1F88E-0526-SM-7SB8J 60-69 years, female 7.8
GTEX-1JJ6O-0226-SM-E6CI9 60-69 years, male 7.8
GTEX-13PDP-0226-SM-5K7W9 60-69 years, male 7.7
GTEX-14753-0326-SM-5QGQB 60-69 years, male 7.7
GTEX-14C5O-0226-SM-5SI6O 60-69 years, male 7.7
GTEX-15DDE-0226-SM-6LLJ6 50-59 years, female 7.7
GTEX-X8HC-0226-SM-4E3K1 50-59 years, female 7.7
GTEX-ZEX8-2326-SM-5S2MN 50-59 years, male 7.7
GTEX-13PLJ-0126-SM-5L3HU 60-69 years, female 7.6
GTEX-UJHI-1626-SM-3DB9A 50-59 years, female 7.6
GTEX-1AYCT-2226-SM-7SB98 50-59 years, male 7.6
GTEX-1EX96-1426-SM-7PBZ5 50-59 years, male 7.6
GTEX-11PRG-0626-SM-5BC56 50-59 years, male 7.5
GTEX-OIZI-0226-SM-2XCEE 40-49 years, male 7.5
GTEX-P44G-2326-SM-2XCCZ 30-39 years, male 7.5
GTEX-QMRM-1726-SM-2S1QG 50-59 years, male 7.5
GTEX-W5X1-2626-SM-4LMI8 40-49 years, female 7.5
GTEX-XBEC-0326-SM-4AT4M 50-59 years, male 7.5
GTEX-R3RS-0226-SM-EYYVE 40-49 years, female 7.5
GTEX-1399R-2626-SM-5KLZ7 30-39 years, male 7.4
GTEX-NFK9-0326-SM-3MJGV 40-49 years, male 7.4
GTEX-TSE9-0226-SM-3DB84 60-69 years, female 7.4
GTEX-Y8E5-0226-SM-57WCM 60-69 years, male 7.4
GTEX-11ZUS-0726-SM-59886 30-39 years, male 7.3
GTEX-13112-2726-SM-5DUW5 50-59 years, male 7.3
GTEX-QV31-1326-SM-2S1QE 30-39 years, male 7.3
GTEX-XQ8I-0526-SM-4BOPS 50-59 years, male 7.3
GTEX-XV7Q-2626-SM-4BRVA 40-49 years, female 7.3
GTEX-ZXG5-0226-SM-59HJI 60-69 years, male 7.3
GTEX-1AX9I-0226-SM-7SB75 60-69 years, male 7.3
GTEX-11ONC-2526-SM-5986W 60-69 years, male 7.2
GTEX-11UD2-0126-SM-5EQL2 50-59 years, male 7.2
GTEX-11ZVC-2626-SM-5FQTA 50-59 years, female 7.2
GTEX-13SLW-0226-SM-5S2NA 70-79 years, male 7.2
GTEX-1A32A-0226-SM-718B2 50-59 years, female 7.2
GTEX-QDT8-0226-SM-32PL4 30-39 years, female 7.2
GTEX-QLQW-1226-SM-2S1Q9 30-39 years, male 7.2
GTEX-XPVG-2726-SM-4B66W 50-59 years, male 7.2
GTEX-Z93T-0226-SM-5HL5Z 50-59 years, male 7.2
GTEX-ZV68-0226-SM-59HJF 50-59 years, female 7.2
GTEX-11WQC-2426-SM-5EQKQ 60-69 years, male 7.1
GTEX-17F9Y-0326-SM-7IGLS 70-79 years, female 7.1
GTEX-RU72-1026-SM-46MUG 50-59 years, female 7.1
GTEX-ZE9C-2826-SM-5S2MO 60-69 years, male 7.0
GTEX-12WSC-0226-SM-5EQ52 50-59 years, male 6.9
GTEX-12WSD-0226-SM-59HKO 60-69 years, female 6.9
GTEX-15ER7-0426-SM-6PAM3 20-29 years, female 6.9
GTEX-1C6WA-0226-SM-7IGPO 60-69 years, male 6.9
GTEX-17HG3-2326-SM-79OKH 30-39 years, female 6.8
GTEX-S7SE-0226-SM-2XCD4 50-59 years, male 6.8
GTEX-ZYFD-0226-SM-5NQ86 50-59 years, male 6.8
GTEX-11TTK-0226-SM-5N9EC 60-69 years, female 6.7
GTEX-13FHO-0326-SM-5IJBH 60-69 years, male 6.7
GTEX-POYW-0726-SM-2XCEO 60-69 years, male 6.7
GTEX-PSDG-0326-SM-48TCP 50-59 years, male 6.7
GTEX-OIZH-0226-SM-2YUMH 50-59 years, male 6.6
GTEX-ZE7O-0226-SM-5S2N1 50-59 years, female 6.6
GTEX-1I19N-0426-SM-ACKVY 70-79 years, male 6.6
GTEX-11EQ8-0226-SM-5EQ5G 60-69 years, male 6.5
GTEX-145MG-0126-SM-5TDDA 50-59 years, male 6.5
GTEX-1A8G7-0226-SM-731AS 60-69 years, male 6.5
GTEX-P4QT-0226-SM-3LK68 50-59 years, female 6.5
GTEX-VJYA-1326-SM-3GIJC 60-69 years, male 6.5
GTEX-1314G-1626-SM-5EQ67 30-39 years, male 6.4
GTEX-11NUK-0326-SM-5HL5K 50-59 years, male 6.4
GTEX-SSA3-0226-SM-32QPN 60-69 years, male 6.3
GTEX-1B8KZ-1926-SM-7DUG8 50-59 years, male 6.2
GTEX-1GMR8-0226-SM-9YFL3 50-59 years, female 6.2
GTEX-1GZ2Q-0326-SM-9WG6N 40-49 years, male 6.0
GTEX-1KWVE-1326-SM-E6CJ1 30-39 years, male 5.8
GTEX-17EVP-0426-SM-79OKG 40-49 years, male 5.7
GTEX-OXRN-0226-SM-2I5EJ 50-59 years, male 5.7
GTEX-15CHQ-0226-SM-6EU2S 60-69 years, male 5.6
GTEX-1B8SF-0526-SM-7939F 60-69 years, male 5.5
GTEX-XK95-0426-SM-4AT4R 40-49 years, male 5.5
GTEX-S33H-1126-SM-2XCB6 30-39 years, male 5.2
GTEX-12ZZZ-0526-SM-5DUX6 60-69 years, male 4.9
GTEX-14A5H-0526-SM-5TDCN 60-69 years, male 4.8
GTEX-WFJO-1926-SM-3GILA 30-39 years, male 4.7
GTEX-Q2AI-1426-SM-2S1P5 40-49 years, male 4.6
GTEX-1JMQL-0326-SM-CNPP6 50-59 years, female 4.6
GTEX-RTLS-0226-SM-2TF5E 60-69 years, female 4.3
GTEX-1S5ZU-0226-SM-E6CHW 20-29 years, female 3.8
GTEX-P44H-0326-SM-2XCES 40-49 years, male 3.2
GTEX-14E6C-0226-SM-5S2N3 40-49 years, male 3.1
GTEX-RM2N-1726-SM-2TF55 50-59 years, male 2.6
Show allShow less
Adipose - Visceral (Omentum)
Average nTPM: 10.5
Samples: 541

Max nTPM: 29.8
Min nTPM: 3.9
Std nTPM: 3.1
Median nTPM: 10.0
GTEX-11TT1-1926-SM-5PNYN 20-29 years, male 29.8
GTEX-14PJO-1626-SM-69LPQ 60-69 years, male 22.0
GTEX-1R7EV-1026-SM-DTX81 40-49 years, male 22.0
GTEX-1399S-1426-SM-5PNYQ 30-39 years, female 21.9
GTEX-1HC8U-0926-SM-A9G3L 40-49 years, female 20.5
GTEX-132QS-0826-SM-5K7WV 60-69 years, male 19.0
GTEX-1K2DU-0726-SM-DIPF7 20-29 years, male 19.0
GTEX-1PFEY-0726-SM-E76PO 30-39 years, male 18.8
GTEX-14PN3-0326-SM-6EU1X 60-69 years, female 18.7
GTEX-17F98-0326-SM-7DHLH 40-49 years, female 18.7
GTEX-Y5LM-0826-SM-4VDSW 40-49 years, female 18.7
GTEX-13FH7-1926-SM-5J2OL 50-59 years, female 18.6
GTEX-1339X-0726-SM-5L3FF 40-49 years, male 18.3
GTEX-15UKP-1426-SM-7KUDX 20-29 years, male 18.3
GTEX-13X6H-1726-SM-5Q5EH 50-59 years, female 18.0
GTEX-1OFPY-0826-SM-DTX8P 60-69 years, male 17.8
GTEX-1CB4E-0826-SM-793CS 60-69 years, male 17.4
GTEX-1122O-0926-SM-9YFLC 60-69 years, female 17.0
GTEX-13IVO-2426-SM-5K7V9 70-79 years, male 16.9
GTEX-1HCU6-1626-SM-CMKGW 60-69 years, female 16.8
GTEX-1OKEX-0926-SM-E8VNJ 60-69 years, male 16.8
GTEX-1ICG6-1726-SM-ARU7K 70-79 years, female 16.5
GTEX-1OJC3-1326-SM-E9J3D 20-29 years, male 16.5
GTEX-Y8LW-0926-SM-4VBQ8 50-59 years, female 16.4
GTEX-1A3MV-0626-SM-731CH 30-39 years, male 16.3
GTEX-1RNTQ-0826-SM-E9TK8 20-29 years, female 16.3
GTEX-1JKYR-1226-SM-CM2S7 20-29 years, male 16.1
GTEX-1HSEH-1326-SM-ADEI1 60-69 years, male 16.0
GTEX-16BQI-1126-SM-7KULF 30-39 years, female 15.8
GTEX-1K2DA-1126-SM-CGQGG 50-59 years, male 15.8
GTEX-1QCLY-1226-SM-EVYC3 30-39 years, male 15.8
GTEX-13OVJ-0926-SM-5K7U1 50-59 years, female 15.7
GTEX-1POEN-1626-SM-EVYC2 30-39 years, female 15.7
GTEX-17GQL-0826-SM-731AM 60-69 years, male 15.6
GTEX-1L5NE-1726-SM-DHXKX 50-59 years, male 15.5
GTEX-1I1GU-0626-SM-CMKHR 40-49 years, male 15.4
GTEX-1JN76-1026-SM-ARZNI 20-29 years, female 15.4
GTEX-1QP67-1126-SM-EAZ4C 40-49 years, female 15.4
GTEX-1QW4Y-0826-SM-DTXE1 30-39 years, male 15.4
GTEX-1KANA-1426-SM-CY8IF 20-29 years, male 15.1
GTEX-13O21-3126-SM-5J1OI 50-59 years, male 14.9
GTEX-14PJ3-0726-SM-69LQE 50-59 years, male 14.9
GTEX-WVLH-1626-SM-EXURN 50-59 years, male 14.9
GTEX-17HHY-1026-SM-7LG5E 50-59 years, male 14.8
GTEX-1RB15-1126-SM-E8VMX 60-69 years, male 14.8
GTEX-1N2EE-1526-SM-DTXE9 60-69 years, male 14.7
GTEX-13FTW-0426-SM-5K7X2 40-49 years, male 14.6
GTEX-1N2EF-0926-SM-E8VNW 60-69 years, male 14.6
GTEX-1QAET-1226-SM-DTX9I 50-59 years, male 14.6
GTEX-1AMFI-1026-SM-73KYM 50-59 years, female 14.5
GTEX-Y3I4-0726-SM-E9J3Y 50-59 years, male 14.5
GTEX-1B933-1326-SM-7939U 50-59 years, female 14.4
GTEX-ZP4G-1326-SM-5EGIW 20-29 years, female 14.4
GTEX-1S3DN-1626-SM-EVYCC 50-59 years, male 14.4
GTEX-133LE-0926-SM-5P9J1 20-29 years, female 14.3
GTEX-18D9U-0426-SM-731AN 40-49 years, male 14.3
GTEX-1I19N-1026-SM-A96TT 70-79 years, male 14.2
GTEX-1LH75-1026-SM-EWROK 50-59 years, female 14.2
GTEX-1LSNM-0626-SM-DIPG7 50-59 years, male 14.2
GTEX-14C38-1026-SM-73KY7 50-59 years, male 14.1
GTEX-ZZPU-0326-SM-5N9BJ 50-59 years, female 14.1
GTEX-1399U-2026-SM-9WPNN 50-59 years, female 14.1
GTEX-1H3VE-1926-SM-9YFL4 40-49 years, male 14.1
GTEX-13FXS-1326-SM-62LFR 50-59 years, male 14.0
GTEX-14PKU-0226-SM-6EU16 40-49 years, female 14.0
GTEX-1H1DG-2026-SM-9QEIV 70-79 years, male 14.0
GTEX-ZLWG-0726-SM-5S2N4 50-59 years, female 14.0
GTEX-1JMQI-1026-SM-COH2U 50-59 years, male 13.9
GTEX-1LBAC-1026-SM-CXKYA 20-29 years, male 13.9
GTEX-1C475-0326-SM-7SB8O 40-49 years, female 13.8
GTEX-131XG-0126-SM-5K7UJ 50-59 years, female 13.7
GTEX-13O61-1926-SM-5KM1R 60-69 years, male 13.7
GTEX-1HSGN-1926-SM-CMKGS 40-49 years, female 13.7
GTEX-1HSMP-1126-SM-B2LXJ 70-79 years, male 13.7
GTEX-1KWVE-0226-SM-E9TKK 30-39 years, male 13.7
GTEX-111CU-1026-SM-5EGIL 50-59 years, male 13.6
GTEX-146FH-2026-SM-5SI9I 50-59 years, female 13.5
GTEX-18D9B-1726-SM-7LTAP 60-69 years, male 13.5
GTEX-WEY5-1326-SM-3GILS 40-49 years, female 13.5
GTEX-ZA64-0926-SM-5HL7H 20-29 years, male 13.5
GTEX-ZPIC-0726-SM-57WFM 40-49 years, female 13.5
GTEX-1N2DV-0626-SM-E9U5H 40-49 years, male 13.5
GTEX-11XUK-1726-SM-5GU61 40-49 years, female 13.4
GTEX-14PHY-1026-SM-62LEV 60-69 years, female 13.4
GTEX-1O9I2-1326-SM-E6CQD 50-59 years, male 13.4
GTEX-1QP66-0626-SM-E76PD 50-59 years, male 13.4
GTEX-1128S-0926-SM-5GZZU 60-69 years, female 13.3
GTEX-14E6E-0226-SM-7DUEF 30-39 years, male 13.3
GTEX-1IL2U-2726-SM-C1YSG 60-69 years, male 13.3
GTEX-11EQ9-1126-SM-5987I 30-39 years, male 13.2
GTEX-139YR-0326-SM-5J1MC 50-59 years, male 13.2
GTEX-13QBU-1326-SM-5LU4K 40-49 years, female 13.2
GTEX-14BIM-1626-SM-7EWD2 60-69 years, female 13.2
GTEX-1HSMQ-1026-SM-ADEHU 50-59 years, male 13.2
GTEX-1QPFJ-2126-SM-EXOJV 30-39 years, female 13.2
GTEX-1S5VW-2426-SM-EAZ52 60-69 years, male 13.2
GTEX-15EU6-1726-SM-6M48H 50-59 years, male 13.1
GTEX-Y111-0926-SM-4SOIU 50-59 years, male 13.1
GTEX-ZDTT-0526-SM-5HL4M 60-69 years, male 13.1
GTEX-1H23P-1726-SM-A9SMN 60-69 years, male 13.1
GTEX-1IDJF-1726-SM-A9SLL 20-29 years, male 13.1
GTEX-1LGOU-0826-SM-DHXKL 20-29 years, female 13.1
GTEX-11DXX-2026-SM-5EGJL 60-69 years, female 13.0
GTEX-131XE-2026-SM-5LZW1 50-59 years, male 13.0
GTEX-15DZA-0626-SM-6PANC 30-39 years, female 13.0
GTEX-1KXAM-0526-SM-DKPQN 60-69 years, male 13.0
GTEX-1S82P-0926-SM-EWRNP 60-69 years, female 13.0
GTEX-ZPCL-1026-SM-5GCOX 60-69 years, female 12.9
GTEX-1GZ4H-0926-SM-9WG6Y 50-59 years, female 12.9
GTEX-1B97I-0526-SM-73KXE 40-49 years, male 12.8
GTEX-XAJ8-0226-SM-4GIB2 40-49 years, male 12.8
GTEX-1KANC-0526-SM-D4P3T 50-59 years, female 12.8
GTEX-1MA7W-0526-SM-E6CIN 20-29 years, female 12.8
GTEX-14PN4-1426-SM-6LLJ4 50-59 years, male 12.7
GTEX-17HGU-1726-SM-79OKM 50-59 years, male 12.7
GTEX-ZVT2-0226-SM-5GIE3 50-59 years, female 12.7
GTEX-1GL5R-0726-SM-9MQL5 50-59 years, male 12.7
GTEX-1HSKV-1926-SM-CNPPN 60-69 years, male 12.7
GTEX-1RMOY-0826-SM-E9TIF 50-59 years, male 12.7
GTEX-1211K-1226-SM-5EQ4N 60-69 years, female 12.6
GTEX-13CF3-1126-SM-5LZXB 60-69 years, female 12.6
GTEX-13W3W-1126-SM-5L3DO 60-69 years, female 12.6
GTEX-14C39-0826-SM-5TDDU 40-49 years, male 12.6
GTEX-14PK6-0926-SM-62LF4 70-79 years, female 12.6
GTEX-15EOM-2326-SM-7KUMV 20-29 years, female 12.6
GTEX-ZT9W-1026-SM-57WG5 50-59 years, male 12.6
GTEX-1GTWX-1526-SM-9MQLF 60-69 years, male 12.6
GTEX-11I78-0226-SM-5HL6R 50-59 years, female 12.5
GTEX-1HCUA-0926-SM-ADEIX 50-59 years, female 12.5
GTEX-1JKYN-0526-SM-CGQG3 30-39 years, male 12.5
GTEX-1QP28-0926-SM-EVR4D 50-59 years, female 12.5
GTEX-12696-1826-SM-5EGJS 60-69 years, male 12.4
GTEX-132AR-0526-SM-5J2MJ 50-59 years, female 12.4
GTEX-13YAN-1126-SM-5TDC7 60-69 years, male 12.4
GTEX-YEC3-0926-SM-5Q5AC 50-59 years, male 12.4
GTEX-YFCO-1126-SM-5S2N9 40-49 years, male 12.4
GTEX-1H1DE-0826-SM-ARU8V 20-29 years, male 12.4
GTEX-1I6K7-1826-SM-CGQFO 40-49 years, male 12.4
GTEX-13D11-0526-SM-5LZYM 50-59 years, female 12.3
GTEX-13O3Q-1126-SM-5K7YK 50-59 years, male 12.3
GTEX-14E1K-0426-SM-5S2PF 50-59 years, male 12.3
GTEX-Y114-1326-SM-4TT9A 50-59 years, female 12.3
GTEX-1CAMS-0926-SM-7SB7F 40-49 years, female 12.3
GTEX-1F75B-1226-SM-7MXTW 50-59 years, male 12.3
GTEX-1GN1W-1226-SM-9MQLW 50-59 years, female 12.3
GTEX-1MCC2-0626-SM-DKPQI 30-39 years, female 12.3
GTEX-1PIGE-1226-SM-EVR3Q 20-29 years, male 12.3
GTEX-VJYA-1626-SM-EXOHL 60-69 years, male 12.3
GTEX-145LV-1026-SM-5O9AE 50-59 years, male 12.2
GTEX-14ICK-1726-SM-6AJA5 40-49 years, male 12.2
GTEX-14PJ4-0126-SM-62LEZ 60-69 years, male 12.1
GTEX-1GF9V-1126-SM-9MQM7 60-69 years, male 12.1
GTEX-1GF9X-0926-SM-7PC2X 40-49 years, female 12.1
GTEX-1HFI7-0726-SM-ACKVN 50-59 years, female 12.1
GTEX-117YX-0726-SM-5GIET 50-59 years, male 12.0
GTEX-Z9EW-0826-SM-5HL9T 40-49 years, male 12.0
GTEX-1QP9N-0426-SM-DTXFT 30-39 years, male 12.0
GTEX-14DAR-0426-SM-664MW 50-59 years, male 11.9
GTEX-14PHW-1626-SM-6EU2H 60-69 years, female 11.9
GTEX-ZYFG-1426-SM-5GICS 60-69 years, female 11.9
GTEX-1I6K6-1526-SM-CGQFC 30-39 years, male 11.9
GTEX-1MA7X-1026-SM-DKPQ8 60-69 years, male 11.9
GTEX-ZF29-0826-SM-5S2O2 60-69 years, female 11.9
GTEX-15DYW-1526-SM-7KUEP 60-69 years, female 11.8
GTEX-15G19-1126-SM-7KUEL 60-69 years, male 11.8
GTEX-17HHE-1526-SM-793AS 50-59 years, male 11.8
GTEX-U8XE-1926-SM-3DB98 30-39 years, male 11.8
GTEX-XBED-1326-SM-4AT4F 60-69 years, male 11.8
GTEX-ZQUD-0526-SM-57WG4 30-39 years, male 11.8
GTEX-1KD4Q-1426-SM-D4P3K 40-49 years, male 11.8
GTEX-1MUQO-0826-SM-EVYCZ 60-69 years, male 11.8
GTEX-1R9PO-0926-SM-E9U4Q 60-69 years, female 11.8
GTEX-1RAZA-0926-SM-E6CQ8 20-29 years, male 11.8
GTEX-12ZZX-1726-SM-5BC63 40-49 years, female 11.7
GTEX-13OW6-2426-SM-5K7WO 50-59 years, male 11.7
GTEX-1MJK3-0626-SM-E6CJB 20-29 years, male 11.7
GTEX-XPVG-1626-SM-EYYVK 50-59 years, male 11.7
GTEX-131XH-0826-SM-5GCN8 50-59 years, male 11.6
GTEX-13FTX-0626-SM-5J2NS 20-29 years, female 11.6
GTEX-1HB9E-0526-SM-ARZNM 50-59 years, male 11.6
GTEX-1IDJU-0926-SM-ARL88 60-69 years, female 11.6
GTEX-1LG7Y-1126-SM-CYPTE 50-59 years, male 11.6
GTEX-16MTA-1326-SM-6PALX 50-59 years, male 11.5
GTEX-XGQ4-1026-SM-4AT4L 50-59 years, male 11.5
GTEX-ZF2S-1526-SM-5S2OO 50-59 years, female 11.5
GTEX-14BMU-0626-SM-73KZ6 20-29 years, female 11.4
GTEX-15RIE-0126-SM-7KUF8 60-69 years, male 11.4
GTEX-17F9E-1326-SM-7DHL4 50-59 years, male 11.4
GTEX-18A66-1926-SM-7LTAG 60-69 years, male 11.4
GTEX-1CAMR-0326-SM-793AH 20-29 years, male 11.4
GTEX-WY7C-0926-SM-3NB34 50-59 years, male 11.4
GTEX-1IDJC-0226-SM-CMKG2 50-59 years, male 11.4
GTEX-1J1R8-0526-SM-ACKWO 40-49 years, male 11.4
GTEX-1QP6S-1626-SM-EVYC5 40-49 years, male 11.4
GTEX-1RLM8-1026-SM-EWROE 50-59 years, male 11.4
GTEX-144GN-0726-SM-5O98O 50-59 years, male 11.3
GTEX-1AX9K-0926-SM-7939G 50-59 years, male 11.3
GTEX-1H1ZS-1326-SM-9WG74 70-79 years, male 11.3
GTEX-1H4P4-0326-SM-9WYTD 50-59 years, male 11.3
GTEX-1HBPN-1526-SM-9WYSB 50-59 years, male 11.3
GTEX-1I1GT-1326-SM-ACKWB 60-69 years, female 11.3
GTEX-ZDTS-1826-SM-5S2N6 60-69 years, male 11.2
GTEX-ZLV1-0926-SM-5S2MR 60-69 years, female 11.2
GTEX-ZPU1-1226-SM-5HL71 40-49 years, male 11.2
GTEX-ZV6S-1626-SM-5NQ81 40-49 years, female 11.2
GTEX-1GF9U-1226-SM-ARL9I 40-49 years, female 11.2
GTEX-1LGRB-0526-SM-COH3A 50-59 years, female 11.2
GTEX-1LVAN-0926-SM-CNNQ2 50-59 years, female 11.2
GTEX-1S5ZA-1026-SM-EWRO2 20-29 years, male 11.2
GTEX-13OW7-1126-SM-5K7V6 50-59 years, male 11.1
GTEX-XBEW-1726-SM-4RGMA 40-49 years, male 11.1
GTEX-11PRG-1526-SM-5HL6Z 50-59 years, male 11.0
GTEX-13PDP-1226-SM-5K7TW 60-69 years, male 11.0
GTEX-1CB4G-2126-SM-7IGQ8 60-69 years, male 11.0
GTEX-WRHK-0826-SM-3MJFG 20-29 years, female 11.0
GTEX-XV7Q-1726-SM-4BRUU 40-49 years, female 11.0
GTEX-1P4AB-1226-SM-DTXET 50-59 years, male 11.0
GTEX-147JS-1026-SM-5S2MP 60-69 years, male 10.9
GTEX-1ICLY-1426-SM-CJI48 50-59 years, male 10.9
GTEX-1K9T9-1626-SM-DIPFS 50-59 years, female 10.9
GTEX-12WSA-1626-SM-5EGJV 60-69 years, male 10.8
GTEX-14B4R-0526-SM-5QGQT 30-39 years, male 10.8
GTEX-14JG6-0526-SM-6LLIH 30-39 years, female 10.8
GTEX-14PHX-1626-SM-69LQB 50-59 years, male 10.8
GTEX-15CHC-0826-SM-686YW 60-69 years, female 10.8
GTEX-1C6VR-1126-SM-7EPHD 60-69 years, male 10.8
GTEX-1HFI6-1726-SM-CGQFH 40-49 years, male 10.8
GTEX-13S86-0926-SM-5SI6I 40-49 years, male 10.7
GTEX-16NGA-0526-SM-731AJ 40-49 years, female 10.7
GTEX-1JMQK-1326-SM-CNPOR 60-69 years, male 10.7
GTEX-11EM3-1126-SM-5A5KM 20-29 years, female 10.6
GTEX-13PL6-0926-SM-5KLYY 40-49 years, female 10.6
GTEX-18A67-1326-SM-7LT8V 50-59 years, male 10.6
GTEX-18QFQ-1326-SM-731CF 30-39 years, male 10.6
GTEX-ZYFC-1826-SM-5GZZA 50-59 years, male 10.6
GTEX-1F75I-1026-SM-7SB8B 40-49 years, male 10.6
GTEX-1GMR2-0226-SM-9JGHO 50-59 years, male 10.6
GTEX-1QMI2-1626-SM-EYYXK 60-69 years, male 10.6
GTEX-13U4I-1726-SM-5J1MF 40-49 years, female 10.5
GTEX-1AX8Z-1626-SM-73KWD 60-69 years, male 10.5
GTEX-WHPG-0626-SM-3NMBD 50-59 years, male 10.5
GTEX-ZE9C-1326-SM-5S2OW 60-69 years, male 10.5
GTEX-1H1E6-1126-SM-9JGGV 30-39 years, male 10.5
GTEX-1RQEC-2526-SM-EVYD2 60-69 years, male 10.5
GTEX-VJWN-2326-SM-EVYAP 50-59 years, female 10.5
GTEX-11VI4-1226-SM-5EQMP 40-49 years, female 10.4
GTEX-14PJ5-0426-SM-5ZZW2 60-69 years, female 10.4
GTEX-ZZ64-0626-SM-5GZWR 20-29 years, male 10.4
GTEX-1F6IF-2026-SM-7P8SE 60-69 years, male 10.4
GTEX-1GPI7-0826-SM-9JGG7 20-29 years, male 10.4
GTEX-1LVAM-1026-SM-DIPFK 50-59 years, female 10.4
GTEX-1NV5F-2526-SM-EXUSK 60-69 years, female 10.4
GTEX-132NY-1126-SM-5PNVE 60-69 years, male 10.3
GTEX-13OVL-0826-SM-5L3GV 50-59 years, male 10.3
GTEX-ZDYS-2226-SM-5S2MI 50-59 years, male 10.3
GTEX-ZE7O-1526-SM-5J1NH 50-59 years, female 10.3
GTEX-1J8EW-1526-SM-CMKFZ 60-69 years, female 10.3
GTEX-13RTK-0726-SM-5Q5EN 20-29 years, male 10.2
GTEX-X585-2526-SM-4QAS1 50-59 years, male 10.2
GTEX-1B8L1-0126-SM-9KNVS 60-69 years, male 10.2
GTEX-1F5PL-1326-SM-7SB83 40-49 years, female 10.2
GTEX-1J8Q2-2226-SM-CM2TZ 60-69 years, male 10.2
GTEX-11WQK-1526-SM-5EGKN 50-59 years, male 10.1
GTEX-13NZB-0826-SM-5K7X5 30-39 years, male 10.1
GTEX-17MFQ-1126-SM-7LT9O 20-29 years, male 10.1
GTEX-1B932-1726-SM-793A5 40-49 years, female 10.1
GTEX-W5X1-1426-SM-3GIKH 40-49 years, female 10.1
GTEX-1I1GQ-1026-SM-CNNQS 50-59 years, male 10.1
GTEX-1PBJI-1326-SM-E9J2V 20-29 years, female 10.1
GTEX-11LCK-0326-SM-5A5M7 30-39 years, male 10.0
GTEX-12WSM-0626-SM-5GCOK 60-69 years, male 10.0
GTEX-1313W-1626-SM-5J1OE 50-59 years, female 10.0
GTEX-13OVK-0326-SM-7KUEJ 40-49 years, male 10.0
GTEX-178AV-0626-SM-6PAM1 40-49 years, male 10.0
GTEX-1BAJH-2126-SM-7EWFB 70-79 years, male 10.0
GTEX-Y8E4-1226-SM-5IFIM 40-49 years, male 10.0
GTEX-ZTX8-0726-SM-59HL9 20-29 years, male 10.0
GTEX-111YS-1326-SM-5EGGK 60-69 years, male 9.9
GTEX-169BO-0426-SM-7EPI1 50-59 years, male 9.9
GTEX-18D9A-0726-SM-7LTA7 30-39 years, female 9.9
GTEX-YEC4-0926-SM-5PNXY 40-49 years, male 9.9
GTEX-YJ89-1926-SM-5IFJ6 60-69 years, male 9.9
GTEX-1CB4I-0826-SM-7MGX1 50-59 years, male 9.9
GTEX-13OVG-1326-SM-5K7Y3 60-69 years, male 9.8
GTEX-13VXT-0926-SM-5LU5K 20-29 years, female 9.8
GTEX-14BMV-1626-SM-73KVQ 50-59 years, male 9.8
GTEX-17EVP-1426-SM-79OMN 40-49 years, male 9.8
GTEX-1CB4F-1126-SM-79OLG 60-69 years, male 9.8
GTEX-XMK1-0926-SM-4B66X 40-49 years, male 9.8
GTEX-ZQG8-1026-SM-51MR9 60-69 years, female 9.8
GTEX-ZVZP-1126-SM-5GICU 50-59 years, male 9.8
GTEX-1HCU8-1126-SM-CM2SA 60-69 years, female 9.8
GTEX-1J1OQ-1526-SM-CJI4E 40-49 years, female 9.8
GTEX-1PPH8-1026-SM-DPRXN 20-29 years, male 9.8
GTEX-12BJ1-0826-SM-5EQ5P 60-69 years, male 9.7
GTEX-14ICL-0926-SM-5S2TU 30-39 years, male 9.7
GTEX-1B996-1226-SM-73KWZ 60-69 years, male 9.7
GTEX-WHWD-0826-SM-3LK6R 50-59 years, male 9.7
GTEX-1E1VI-1826-SM-9WG5J 50-59 years, male 9.7
GTEX-11P81-0726-SM-5PNYH 30-39 years, female 9.6
GTEX-ZT9X-0926-SM-5O9C4 40-49 years, male 9.6
GTEX-ZXES-0926-SM-5E43O 30-39 years, female 9.6
GTEX-1QEPI-2226-SM-E8VN6 60-69 years, female 9.6
GTEX-12584-2126-SM-5FQUM 40-49 years, male 9.5
GTEX-1EH9U-1326-SM-79OM3 60-69 years, male 9.5
GTEX-XXEK-1426-SM-4BRW1 50-59 years, male 9.5
GTEX-1HSMO-1426-SM-CNNQN 60-69 years, male 9.5
GTEX-1JMPY-0326-SM-CM2S2 30-39 years, male 9.5
GTEX-117YW-0826-SM-5H11O 50-59 years, male 9.4
GTEX-11NV4-1426-SM-5BC4W 60-69 years, male 9.4
GTEX-11P82-0326-SM-5HL51 20-29 years, male 9.4
GTEX-1212Z-0526-SM-5FQSQ 60-69 years, male 9.4
GTEX-145MF-1026-SM-5Q5EQ 50-59 years, male 9.4
GTEX-18A6Q-1026-SM-7LT9S 60-69 years, male 9.4
GTEX-1AYCT-1126-SM-79OO8 50-59 years, male 9.4
GTEX-WH7G-1126-SM-3NMBK 40-49 years, male 9.4
GTEX-ZAJG-1626-SM-5HL7I 50-59 years, female 9.4
GTEX-ZYVF-1026-SM-5E44V 50-59 years, female 9.4
GTEX-1GN1U-0726-SM-9MQKL 50-59 years, female 9.4
GTEX-1IKOE-1726-SM-CNNQ6 30-39 years, female 9.4
GTEX-1KAFJ-0826-SM-CYPTF 50-59 years, male 9.4
GTEX-1N2DW-0726-SM-DTX97 50-59 years, male 9.4
GTEX-1C2JI-0826-SM-7EPHB 50-59 years, male 9.3
GTEX-ZG7Y-1626-SM-5S2NO 50-59 years, male 9.3
GTEX-1EMGI-0726-SM-7PBZ4 60-69 years, male 9.3
GTEX-1HKZK-1726-SM-ADEJ9 40-49 years, male 9.3
GTEX-1IY9M-1226-SM-ACKX1 60-69 years, male 9.3
GTEX-11GS4-1026-SM-5N9DE 60-69 years, male 9.2
GTEX-13111-0626-SM-5LZVR 50-59 years, male 9.2
GTEX-14ABY-1926-SM-62LDJ 50-59 years, male 9.2
GTEX-17F96-0726-SM-793CB 70-79 years, male 9.2
GTEX-Y9LG-1226-SM-4VBQA 30-39 years, male 9.2
GTEX-1KD5A-1326-SM-CYPTB 50-59 years, male 9.2
GTEX-1LKK1-1526-SM-EVYCO 50-59 years, female 9.2
GTEX-11DXY-0326-SM-5H12F 60-69 years, male 9.1
GTEX-131XF-0726-SM-5GIE5 60-69 years, male 9.1
GTEX-139T6-0526-SM-5IJC9 50-59 years, male 9.1
GTEX-13PVR-0526-SM-5S2OB 60-69 years, female 9.1
GTEX-17F97-1226-SM-79OJT 50-59 years, male 9.1
GTEX-1AYD5-0126-SM-7DUG5 50-59 years, male 9.1
GTEX-1B8KZ-1026-SM-73KYN 50-59 years, male 9.1
GTEX-ZEX8-1226-SM-5S2OK 50-59 years, male 9.1
GTEX-ZV7C-0826-SM-59HK8 50-59 years, male 9.1
GTEX-1GMRU-0726-SM-7PBZH 50-59 years, male 9.1
GTEX-1I4MK-0726-SM-ACKWC 50-59 years, female 9.1
GTEX-13FHO-2026-SM-5J1OA 60-69 years, male 9.0
GTEX-13PL7-1226-SM-5SIAR 60-69 years, female 9.0
GTEX-15ER7-1026-SM-7KUMD 20-29 years, female 9.0
GTEX-16NPX-1026-SM-6PAM7 50-59 years, male 9.0
GTEX-1A32A-0926-SM-718AB 50-59 years, female 9.0
GTEX-1B8SF-1726-SM-73KZ5 60-69 years, male 9.0
GTEX-WFON-1226-SM-3TW8F 40-49 years, male 9.0
GTEX-WL46-2026-SM-3LK7U 50-59 years, male 9.0
GTEX-XBEC-1826-SM-4QASN 50-59 years, male 9.0
GTEX-1JMLX-1026-SM-D3L8U 50-59 years, male 9.0
GTEX-13G51-0526-SM-5IJCQ 60-69 years, male 8.9
GTEX-13JUV-0626-SM-5J1MQ 40-49 years, female 8.9
GTEX-13N2G-1926-SM-5J1O3 60-69 years, male 8.9
GTEX-13OW8-0326-SM-5L3FB 60-69 years, male 8.9
GTEX-14PJ2-1426-SM-62LFF 50-59 years, male 8.9
GTEX-16GPK-1326-SM-7KUE4 60-69 years, male 8.9
GTEX-Y5V6-0626-SM-4WWFY 60-69 years, male 8.9
GTEX-ZVP2-0226-SM-57WBD 50-59 years, male 8.9
GTEX-1GZ2Q-1226-SM-9MQM8 40-49 years, male 8.9
GTEX-1H1DF-1426-SM-9YFMC 40-49 years, female 8.9
GTEX-12WSI-1526-SM-5GCNM 50-59 years, male 8.8
GTEX-1B8SG-1426-SM-7EWEM 50-59 years, male 8.8
GTEX-1EWIQ-2526-SM-7EPIJ 70-79 years, female 8.8
GTEX-1A8FM-2126-SM-7PC27 50-59 years, female 8.8
GTEX-1HCU9-0626-SM-ACKW6 20-29 years, male 8.8
GTEX-1LSVX-1326-SM-DIPET 60-69 years, male 8.8
GTEX-11NUK-2026-SM-5PNVZ 50-59 years, male 8.7
GTEX-14PJN-0626-SM-6EU13 30-39 years, male 8.7
GTEX-X3Y1-0926-SM-3P5YT 40-49 years, male 8.7
GTEX-XOT4-0826-SM-4B66Y 60-69 years, female 8.7
GTEX-XYKS-1826-SM-4E3JV 60-69 years, female 8.7
GTEX-ZAB5-1126-SM-5Q5AD 50-59 years, male 8.7
GTEX-ZTPG-2326-SM-57WFL 20-29 years, female 8.7
GTEX-1B97J-1126-SM-7SB79 50-59 years, female 8.7
GTEX-1H1CY-0826-SM-9WYTU 60-69 years, female 8.7
GTEX-1HUB1-1526-SM-CGQF6 60-69 years, male 8.7
GTEX-145ME-0726-SM-5O9A3 40-49 years, female 8.6
GTEX-1B8KE-0826-SM-72D6S 50-59 years, male 8.6
GTEX-WK11-2426-SM-3NMAA 50-59 years, male 8.6
GTEX-WYVS-0626-SM-4SOJY 40-49 years, female 8.6
GTEX-1GZ4I-2326-SM-9YFMO 50-59 years, male 8.6
GTEX-1I1GP-1426-SM-ACKVZ 50-59 years, male 8.6
GTEX-12C56-0826-SM-5EGJ5 20-29 years, male 8.5
GTEX-13NZ9-2026-SM-5KM1U 50-59 years, male 8.5
GTEX-13PVQ-2226-SM-5L3G9 50-59 years, male 8.5
GTEX-14PJM-1226-SM-686Z7 50-59 years, female 8.5
GTEX-183FY-1226-SM-7DHLK 20-29 years, male 8.5
GTEX-1AMEY-0526-SM-72D62 30-39 years, female 8.5
GTEX-ZTSS-1026-SM-5985N 40-49 years, male 8.5
GTEX-1F6I4-2126-SM-7PC2J 60-69 years, male 8.5
GTEX-12WSK-1026-SM-5CVNR 40-49 years, female 8.4
GTEX-13NYS-0726-SM-5J1OR 60-69 years, male 8.4
GTEX-13X6J-1926-SM-5TDCU 50-59 years, male 8.4
GTEX-14E7W-2326-SM-69LQC 70-79 years, male 8.4
GTEX-ZYT6-2126-SM-5GZZ4 30-39 years, male 8.4
GTEX-1HT8W-0726-SM-A9SLB 30-39 years, male 8.4
GTEX-1S831-1926-SM-EV79P 20-29 years, male 8.4
GTEX-11GSO-0226-SM-5A5LV 60-69 years, male 8.3
GTEX-12WSL-1126-SM-5CVNK 50-59 years, male 8.3
GTEX-WXYG-0926-SM-3NB2O 50-59 years, female 8.3
GTEX-WYJK-1426-SM-3NM8V 50-59 years, male 8.3
GTEX-Y5V5-0226-SM-5S2N8 60-69 years, female 8.3
GTEX-1GF9W-1026-SM-7SB8X 60-69 years, male 8.3
GTEX-1I1GR-1726-SM-COH39 60-69 years, male 8.3
GTEX-1I1GS-0926-SM-A9SL5 60-69 years, male 8.3
GTEX-XQ3S-2426-SM-4WAYB 20-29 years, male 8.2
GTEX-YJ8A-1926-SM-EZ6LQ 20-29 years, male 8.2
GTEX-11P7K-0826-SM-5BC5F 30-39 years, male 8.1
GTEX-13113-1126-SM-5LZU9 60-69 years, female 8.1
GTEX-13OVH-1126-SM-5K7YP 70-79 years, male 8.1
GTEX-1AX9J-2226-SM-731CW 60-69 years, male 8.1
GTEX-1QP29-1626-SM-EXUSZ 50-59 years, male 8.1
GTEX-1RAZQ-1526-SM-E6CJI 30-39 years, male 8.1
GTEX-1RAZR-1026-SM-E8VOJ 40-49 years, male 8.1
GTEX-13112-1126-SM-5GCMY 50-59 years, male 8.0
GTEX-14E6D-1326-SM-62LES 50-59 years, male 8.0
GTEX-ZUA1-2126-SM-57YRB 40-49 years, male 8.0
GTEX-1GMR3-0826-SM-9WYT4 40-49 years, male 8.0
GTEX-1I1CD-1026-SM-COH3G 60-69 years, female 8.0
GTEX-1192X-1526-SM-5H11I 50-59 years, male 7.9
GTEX-11OF3-0826-SM-5BC51 60-69 years, male 7.9
GTEX-12WSF-1526-SM-6PAN6 70-79 years, male 7.9
GTEX-15D1Q-1326-SM-69LOA 40-49 years, male 7.9
GTEX-ZF28-1426-SM-5S2OG 60-69 years, male 7.9
GTEX-1ICLZ-1626-SM-CE6SS 60-69 years, male 7.9
GTEX-1LSNL-1426-SM-E6CJ9 50-59 years, male 7.9
GTEX-WI4N-1526-SM-EZ6LG 40-49 years, female 7.9
GTEX-13N11-1826-SM-5IJDS 50-59 years, female 7.8
GTEX-ZF3C-1026-SM-5S2OC 50-59 years, female 7.8
GTEX-1KANB-2426-SM-EV7BE 50-59 years, male 7.8
GTEX-11DXZ-1426-SM-5H12A 50-59 years, male 7.7
GTEX-12ZZW-2326-SM-5DUW2 50-59 years, male 7.7
GTEX-13N1W-1226-SM-5K7UM 70-79 years, male 7.7
GTEX-1445S-2426-SM-79ON2 60-69 years, male 7.7
GTEX-16XZZ-1626-SM-7KUEC 60-69 years, male 7.7
GTEX-17F9Y-0726-SM-7LT9G 70-79 years, female 7.7
GTEX-17JCI-1626-SM-7EPGZ 60-69 years, female 7.7
GTEX-1C6VQ-1526-SM-73KU9 50-59 years, male 7.7
GTEX-XUZC-1126-SM-4BOPZ 30-39 years, female 7.7
GTEX-1HBPH-2226-SM-9WYSO 40-49 years, female 7.7
GTEX-1HBPI-1826-SM-ADEHE 50-59 years, male 7.7
GTEX-13VXU-1026-SM-5KLZE 50-59 years, male 7.6
GTEX-13W46-1226-SM-5SIAS 50-59 years, male 7.5
GTEX-146FR-0226-SM-5Q5F6 60-69 years, female 7.5
GTEX-14DAQ-2526-SM-5RQIO 60-69 years, female 7.5
GTEX-18A7A-0926-SM-7LT8H 50-59 years, female 7.5
GTEX-ZDXO-2326-SM-5LU9W 60-69 years, male 7.5
GTEX-11GSP-1026-SM-9WYSH 60-69 years, female 7.5
GTEX-1C64N-1326-SM-7SB7D 50-59 years, male 7.5
GTEX-1IDJH-1626-SM-A9SLP 70-79 years, male 7.5
GTEX-1JJ6O-2826-SM-CNNP7 60-69 years, male 7.5
GTEX-1MCQQ-1426-SM-E6CJA 60-69 years, male 7.5
GTEX-ZYW4-2226-SM-5GZYG 60-69 years, male 7.4
GTEX-1HR9M-1426-SM-A9SMB 60-69 years, male 7.4
GTEX-1LVAO-2126-SM-DIPGA 60-69 years, male 7.4
GTEX-11DYG-2026-SM-5EGGX 60-69 years, male 7.3
GTEX-WWTW-1326-SM-4MVNT 50-59 years, male 7.3
GTEX-1EKGG-1426-SM-7PBY2 60-69 years, male 7.3
GTEX-14AS3-0426-SM-5QGQK 40-49 years, female 7.2
GTEX-14JIY-1426-SM-6EU29 60-69 years, male 7.2
GTEX-15SHU-2326-SM-7KUMC 40-49 years, female 7.2
GTEX-15SKB-1626-SM-6PAL6 60-69 years, male 7.2
GTEX-1AX9I-1726-SM-731BX 60-69 years, male 7.2
GTEX-1F52S-1326-SM-7SB6Q 60-69 years, female 7.2
GTEX-1HGF4-0226-SM-CNNQL 60-69 years, male 7.2
GTEX-17EVQ-0626-SM-7KFTB 70-79 years, male 7.1
GTEX-17KNJ-0426-SM-718AK 50-59 years, male 7.1
GTEX-1IDJI-0926-SM-ACKWZ 50-59 years, female 7.1
GTEX-1IKK5-0826-SM-ACKWN 60-69 years, male 7.1
GTEX-1JN6P-1626-SM-CYPSV 60-69 years, male 7.1
GTEX-14C5O-0926-SM-793DM 60-69 years, male 7.0
GTEX-WOFM-0726-SM-3MJF8 20-29 years, male 7.0
GTEX-1GN73-0626-SM-7PC3I 60-69 years, male 7.0
GTEX-1H2FU-1426-SM-9WPO6 60-69 years, female 7.0
GTEX-1HCU7-2026-SM-A9G2B 50-59 years, male 7.0
GTEX-1IDJD-0926-SM-ACKWW 30-39 years, male 7.0
GTEX-1JMQJ-1926-SM-D4P3A 50-59 years, male 7.0
GTEX-139D8-1626-SM-5IJFZ 30-39 years, female 6.9
GTEX-145LU-1226-SM-5LU9B 50-59 years, male 6.9
GTEX-ZGAY-1326-SM-5S2NS 40-49 years, female 6.9
GTEX-UTHO-1826-SM-3GAFE 60-69 years, male 6.8
GTEX-XLM4-1026-SM-4AT51 60-69 years, male 6.8
GTEX-1IE54-1426-SM-CL53C 40-49 years, female 6.8
GTEX-1R9K4-1426-SM-DPRY4 60-69 years, male 6.8
GTEX-12WSC-1726-SM-5GCN3 50-59 years, male 6.7
GTEX-1399T-1326-SM-5PNVH 60-69 years, male 6.7
GTEX-13X6I-1526-SM-5SIAC 60-69 years, male 6.7
GTEX-13X6K-0726-SM-5LU2Z 60-69 years, female 6.7
GTEX-16NPV-0626-SM-7IGOR 50-59 years, female 6.7
GTEX-18A7B-1226-SM-718AU 70-79 years, male 6.7
GTEX-1A8G6-2026-SM-73KYC 60-69 years, male 6.7
GTEX-WFJO-1026-SM-3GIKL 30-39 years, male 6.7
GTEX-1H11D-1126-SM-9YFM5 40-49 years, male 6.7
GTEX-1F48J-1826-SM-7SB8T 50-59 years, female 6.6
GTEX-15CHQ-1126-SM-686YY 60-69 years, male 6.5
GTEX-17HII-0826-SM-7DUFH 50-59 years, male 6.5
GTEX-X8HC-2326-SM-4QAS4 50-59 years, female 6.5
GTEX-11ZTS-1326-SM-5EQMA 60-69 years, female 6.4
GTEX-16AAH-1526-SM-7LT9W 50-59 years, male 6.4
GTEX-113JC-0726-SM-5GZZR 50-59 years, female 6.3
GTEX-12WSG-0426-SM-5FQSE 50-59 years, female 6.3
GTEX-1C6VS-1826-SM-73KXN 60-69 years, male 6.3
GTEX-1CAV2-0226-SM-7IGPQ 40-49 years, female 6.3
GTEX-11ZUS-1826-SM-5FQTR 30-39 years, male 6.2
GTEX-14BIN-1226-SM-5S2OM 50-59 years, female 6.2
GTEX-1117F-1326-SM-5EGHH 60-69 years, female 6.1
GTEX-13S7M-0826-SM-5QGQX 60-69 years, female 6.1
GTEX-ZC5H-1626-SM-5HL7L 40-49 years, female 6.1
GTEX-1LG7Z-0226-SM-E6CIG 30-39 years, male 6.1
GTEX-14BIL-2426-SM-5QGQR 50-59 years, male 6.0
GTEX-132Q8-1726-SM-5EGK8 60-69 years, male 5.9
GTEX-1CAMQ-1226-SM-7SB7E 40-49 years, male 5.9
GTEX-145LT-1526-SM-5O98P 40-49 years, male 5.7
GTEX-145MI-0826-SM-5SI95 60-69 years, female 5.7
GTEX-1EU9M-1126-SM-793DE 60-69 years, male 5.7
GTEX-ZAB4-1426-SM-5CVN6 40-49 years, male 5.7
GTEX-1JJE9-1526-SM-CM2RR 70-79 years, male 5.7
GTEX-144GM-0626-SM-79OKY 20-29 years, male 5.6
GTEX-18465-1826-SM-731BB 50-59 years, male 5.6
GTEX-UPK5-1826-SM-3GAEB 40-49 years, male 5.6
GTEX-13O3P-0926-SM-5IFFI 50-59 years, male 5.5
GTEX-14753-2526-SM-5LU97 60-69 years, male 5.4
GTEX-ZVE2-1826-SM-51MRZ 50-59 years, male 5.4
GTEX-1EN7A-1626-SM-79OLV 40-49 years, male 5.3
GTEX-VUSG-1426-SM-3GIJN 50-59 years, male 5.3
GTEX-XQ8I-1426-SM-4BOPW 50-59 years, male 5.2
GTEX-12KS4-1526-SM-5EQ6E 30-39 years, male 5.0
GTEX-139TU-1426-SM-5LZY9 60-69 years, male 5.0
GTEX-1A8G7-1226-SM-73KYP 60-69 years, male 5.0
GTEX-131YS-1726-SM-5HL7G 60-69 years, female 4.8
GTEX-14E6C-1226-SM-5ZZUN 40-49 years, male 4.7
GTEX-17MF6-1326-SM-79ONE 40-49 years, male 4.7
GTEX-YECK-1426-SM-5IFHE 60-69 years, male 4.5
GTEX-WYBS-1026-SM-4ONCY 60-69 years, female 4.1
GTEX-ZXG5-1626-SM-59HJK 60-69 years, male 4.1
GTEX-1A3MX-0826-SM-72D64 60-69 years, male 3.9
Show allShow less

ADIPOSE TISSUE - FANTOM5 CAGEi

RNA expression in human tissues obtained through Cap Analysis of Gene Expression (CAGE) generated by the FANTOM5 project are reported as Scaled Tags Per Million.

Max subtype Scaled Tags Per Millioni

Max subtype Scaled Tags Per Million is the value for the subtype with the largest average Scaled Tags Per Million across the subtype samples.

36.2
FANTOM5 sample id Sample description Scaled Tags Per Million
Adipose tissue
Scaled Tags Per Million: 36.2
FF:10010-101C1 65,65,76 years, mixed 36.2

Contact

  • NEWS ARTICLES
  • PRESS ROOM

The Project

  • INTRODUCTION
  • ORGANIZATION
  • PUBLICATIONS

The Human Protein Atlas

  • DOWNLOADABLE DATA
  • LICENCE & CITATION
  • HELP & FAQ
The Human Protein Atlas project is funded
by the Knut & Alice Wallenberg Foundation.


contact@proteinatlas.org