We use cookies to enhance the usability of our website. If you continue, we'll assume that you are happy to receive all cookies. More information. Don't show this again.
POP4
HPA
RESOURCES
  • TISSUE
  • BRAIN
  • SINGLE CELL
  • SUBCELLULAR
  • CANCER
  • BLOOD
  • CELL LINE
  • STRUCTURE & INTERACTION
ABOUT
  • INTRODUCTION
  • HISTORY
  • ORGANIZATION
  • PUBLICATIONS
  • ANTIBODY SUBMISSION
  • ANTIBODY AVAILABILITY
  • ACKNOWLEDGMENTS
  • CONTACT
NEWS
  • NEWS ARTICLES
  • PRESS ROOM
LEARN
  • DICTIONARY
  • PROTEIN CLASSES
  • PROTEIN EVIDENCE
  • METHODS
  • EDUCATIONAL VIDEOS
DATA
  • DOWNLOADABLE DATA
  • PUBLICATION DATA
  • RELEASE HISTORY
HELP
  • ANTIBODY VALIDATION
  • ASSAYS & ANNOTATION
  • DISCLAIMER
  • HELP & FAQ
  • PRIVACY STATEMENT
  • LICENCE & CITATION
Fields »
Search result

Field
Term
Gene name
Class
Subclass
Class
Keyword
Chromosome
External id
Tissue
Cell type
Expression
Antibody panel
Tissue
Main location
Patient ID
Annotation
Tissue
Category
Tau score
Cluster
Reliability
Brain region
Category
Tau score
Brain region
Category
Tau score
Brain region
Category
Tau score
Cluster
Reliability
Tissue
Cell type
Enrichment
Cell type
Category
Tau score
Cell type
Category
Tau score
Cell type
Category
Tau score
Cell lineage
Category
Tau score
Cluster
Cluster
Location
Searches
Location
Cell line
Class
Type
Phase
Reliability
Cancer
Prognosis
Cancer
Category
Cancer
Category
Tau score
Cluster
Variants
Interacting gene (ensg_id)
Type
Number of interactions
Pathway
Category
Score
Score
Score
Validation
Validation
Validation
Validation
Antibodies
Data type
Column


  • SUMMARY

  • TISSUE

  • BRAIN

  • SINGLE CELL

  • SUBCELL

  • CANCER

  • BLOOD

  • CELL LINE

  • STRUCT & INT

  • POP4
TISSUE PRIMARY DATA STOMACH Show tissue menu
ADIPOSE TISSUE ADRENAL GLAND AMYGDALA APPENDIX BASAL GANGLIA BONE MARROW BREAST BRONCHUS CEREBELLUM CEREBRAL CORTEX CERVIX CHOROID PLEXUS COLON DUODENUM
ENDOMETRIUM EPIDIDYMIS ESOPHAGUS FALLOPIAN TUBE GALLBLADDER HEART MUSCLE HIPPOCAMPAL FORMATION HYPOTHALAMUS KIDNEY LIVER LUNG LYMPH NODE MIDBRAIN NASOPHARYNX
ORAL MUCOSA OVARY PANCREAS PARATHYROID GLAND PITUITARY GLAND PLACENTA PROSTATE RECTUM RETINA SALIVARY GLAND SEMINAL VESICLE SKELETAL MUSCLE SKIN SMALL INTESTINE
SMOOTH MUSCLE SOFT TISSUE SPINAL CORD SPLEEN STOMACH TESTIS THYMUS THYROID GLAND TONGUE TONSIL URINARY BLADDER VAGINA
ANTIBODIES
AND
VALIDATION
Dictionary
Tissue proteome
Stomach
STOMACH - Expression summary
Protein expression
Stomachi

On the top, protein expression in current human tissue, based on all annotated cell types, is reported with the units not detected (n), low (l), medium (m) and high (h). Underneath, protein expression in each annotated cell type are reported using the same units.

Protein expression data is based on knowledge-based annotation. For genes where more than one antibody has been used, a collective score is set.

If knowledge-based annotation could not be performed for a gene, no data is displayed here. View antibody staining data further down this page.

h
m
l
n
Glandular cells: Medium
RNA expressioni

A summary of mRNA expression data available for current tissue based on several datasets. The mRNA expression levels in human tissues are based on RNA-seq data generated by the Human Protein Atlas (HPA), Genotype-Tissue Expression (GTEx) portal and CAGE data generated by the FANTOM5 consortium. Consensus normalized expression levels for human tissues was created by combining the data from HPA and GTEx datasets.

The mRNA expression levels in pig are based on RNA-seq data generated by the Human Protein Atlas (HPA), and for mouse, HPA data and in situ hybridization generated by the Allen brain atlas are reported.

Scroll down to view mRNA expression data in more detail.
Consensus:11.3 nTPM
HPA:6.4 nTPM
GTEx:11.3 nTPM

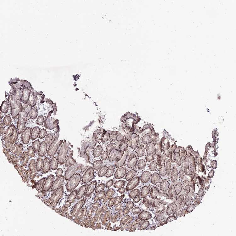
STOMACH 1 - Antibody stainingi

Antibody staining in the annotated cell types in the current human tissue is reported as not detected, low, medium, or high, based on conventional immunohistochemistry profiling in selected tissues. This score is based on the combination of the staining intensity and fraction of stained cells.

Each image is clickable and will lead to virtual microscopy that enables deeper exploration of all samples and also displays staining intensity scores, fraction scores and subcellular localization as well as patient and tissue information for each sample.

Antibody HPA042748
Glandular cells Medium


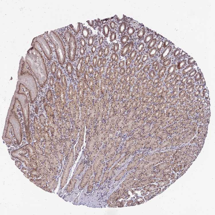
STOMACH 2 - Antibody stainingi

Antibody staining in the annotated cell types in the current human tissue is reported as not detected, low, medium, or high, based on conventional immunohistochemistry profiling in selected tissues. This score is based on the combination of the staining intensity and fraction of stained cells.

Each image is clickable and will lead to virtual microscopy that enables deeper exploration of all samples and also displays staining intensity scores, fraction scores and subcellular localization as well as patient and tissue information for each sample.

Antibody HPA042748
Glandular cells Medium



STOMACH - HPA RNA-seqi

The RNA-seq details section shows detailed information about the individual samples used for the transcript profiling and results of the RNA-seq analysis.

Information about each individual sample is listed below, including gender, age, a tissue section image and estimated fractions of cell types. nTPM (normalized transcripts per million) values give a quantification of the gene abundance which is comparable between different genes and samples.
Average nTPMi

Max subtype nTPM is the value for the subtype with the largest average nTPM across the subtype samples.

6.4
overview
Female, age 33
Stomach sample 61
nTPM: 11.1
Cell types%
Glandular cells:
60

Smooth muscle cells:
5

Other cell types:
35

N/A
Male, age 82
Stomach sample 240
nTPM: 1.9
Cell types%
Glandular cells:
65

Smooth muscle cells:
5

Other cell types:
30

overview
Male, age 71
Stomach sample 241
nTPM: 9.5
Cell types%
Glandular cells:
50

Smooth muscle cells:
5

Other cell types:
45

overview
Female, age 66
Stomach sample 369
nTPM: 3.3
Cell types%
Glandular cells:
50

Smooth muscle cells:
10

Other cell types:
40


STOMACH - GTEx RNA-seqi

RNA-Seq data generated by the Genotype-Tissue Expression (GTEx) project from human tissues is reported as mean nTPM. More information can be found on the GTEx portal.

Distribution across the dataset is visualized with box plots, shown as median and 25th and 75th percentiles. Points are displayed as outliers if they are above or below 1.5 times the interquartile range. nTPM values of the individual samples are presented next to the box plot.
Max subtype nTPMi

Max subtype nTPM is the value for the subtype with the largest average nTPM across the subtype samples.

11.3
GTEx sample id Sample description nTPM
Stomach
Average nTPM: 11.3
Samples: 359

Max nTPM: 24.8
Min nTPM: 4.2
Std nTPM: 2.8
Median nTPM: 11.3
GTEX-15RIF-1126-SM-7KUG2 20-29 years, male 24.8
GTEX-1NSGN-1926-SM-E9J36 50-59 years, male 19.0
GTEX-15G1A-1226-SM-7KUF3 30-39 years, male 18.5
GTEX-WEY5-1226-SM-4LMIQ 40-49 years, female 18.5
GTEX-1IDJD-2426-SM-C1YS6 30-39 years, male 18.4
GTEX-1MUQO-1926-SM-EAZ59 60-69 years, male 18.3
GTEX-1RAZR-1526-SM-EAZ4U 40-49 years, male 17.9
GTEX-1CB4E-1326-SM-7DUGD 60-69 years, male 17.5
GTEX-11TT1-0726-SM-5GU5A 20-29 years, male 16.6
GTEX-14PJ4-1626-SM-664OB 60-69 years, male 16.6
GTEX-1MJIX-1126-SM-EV7AO 40-49 years, male 16.5
GTEX-18A67-2626-SM-718AD 50-59 years, male 16.4
GTEX-1AMFI-1226-SM-731CZ 50-59 years, female 16.4
GTEX-QV44-1226-SM-CJI1S 50-59 years, male 16.4
GTEX-1QP2A-2126-SM-DPRZ7 50-59 years, male 16.1
GTEX-WHSB-1226-SM-4M1XR 50-59 years, male 16.0
GTEX-ZPIC-2026-SM-57WG3 40-49 years, female 16.0
GTEX-ZLWG-1526-SM-DO12F 50-59 years, female 16.0
GTEX-14PKV-1826-SM-69LO9 20-29 years, female 15.8
GTEX-OHPM-1526-SM-EV796 50-59 years, male 15.8
GTEX-1I1GT-1726-SM-C1YS3 60-69 years, female 15.7
GTEX-14E1K-1526-SM-664MN 50-59 years, male 15.5
GTEX-Q734-1026-SM-48U16 40-49 years, female 15.5
GTEX-1IL2V-2026-SM-ARZMA 70-79 years, male 15.5
GTEX-1N2DV-0926-SM-E9TJT 40-49 years, male 15.5
GTEX-ZLFU-1326-SM-DO11R 40-49 years, male 15.4
GTEX-1I6K7-1726-SM-B2LXQ 40-49 years, male 15.3
GTEX-RUSQ-1126-SM-EAZAU 50-59 years, male 15.3
GTEX-1HFI7-1526-SM-9WG7W 50-59 years, female 15.2
GTEX-1KANA-1126-SM-D3L9M 20-29 years, male 15.1
GTEX-16AAH-1226-SM-79OO9 50-59 years, male 15.0
GTEX-WH7G-1526-SM-4LVMX 40-49 years, male 15.0
GTEX-13X6H-1626-SM-5Q5CT 50-59 years, female 14.9
GTEX-W5WG-1726-SM-4LMI5 50-59 years, female 14.9
GTEX-1F5PK-1826-SM-7RHHX 50-59 years, male 14.9
GTEX-13OVK-0926-SM-7KUFX 40-49 years, male 14.8
GTEX-14BMU-1126-SM-5RQJ8 20-29 years, female 14.8
GTEX-1339X-1426-SM-5K7YO 40-49 years, male 14.7
GTEX-13PVR-2126-SM-73KVR 60-69 years, female 14.7
GTEX-PWN1-1526-SM-48TDA 40-49 years, female 14.7
GTEX-1H1DG-2126-SM-9WPPB 70-79 years, male 14.7
GTEX-1QPFJ-1526-SM-DPRXT 30-39 years, female 14.7
GTEX-18D9A-0626-SM-7KFTY 30-39 years, female 14.6
GTEX-1GPI7-1326-SM-9KNVA 20-29 years, male 14.6
GTEX-1K2DA-0826-SM-CGQGD 50-59 years, male 14.6
GTEX-1QMI2-2126-SM-DPRXQ 60-69 years, male 14.5
GTEX-1LVAM-1426-SM-E9TJ4 50-59 years, female 14.4
GTEX-WFG8-1326-SM-4LVN3 20-29 years, male 14.3
GTEX-13O61-1126-SM-5L3FI 60-69 years, male 14.2
GTEX-1J8Q3-1926-SM-C1YSJ 60-69 years, male 14.2
GTEX-1QP28-2126-SM-DTX8B 50-59 years, female 14.2
GTEX-T5JW-0926-SM-4DM5K 20-29 years, female 14.1
GTEX-1H3VY-2326-SM-9WG81 50-59 years, male 14.1
GTEX-XMK1-1526-SM-EYYVO 40-49 years, male 14.1
GTEX-146FH-2126-SM-5SI9U 50-59 years, female 14.0
GTEX-1GL5R-1926-SM-9WG7U 50-59 years, male 14.0
GTEX-13FH7-1026-SM-5IJGF 50-59 years, female 13.9
GTEX-14E6E-0926-SM-664N8 30-39 years, male 13.9
GTEX-QDVN-1226-SM-48TZ5 50-59 years, male 13.9
GTEX-YEC4-1426-SM-5IFHS 40-49 years, male 13.9
GTEX-OXRK-1626-SM-3NB17 50-59 years, female 13.8
GTEX-1HSMQ-2426-SM-CE6RY 50-59 years, male 13.8
GTEX-1R9K5-1026-SM-EAZ4F 50-59 years, male 13.8
GTEX-131XF-1226-SM-5HL8V 60-69 years, male 13.7
GTEX-14ICL-0826-SM-5YY9W 30-39 years, male 13.7
GTEX-18A66-2226-SM-7189E 60-69 years, male 13.7
GTEX-1QCLY-1126-SM-EAZ4J 30-39 years, male 13.7
GTEX-1CAMR-0726-SM-7EPIE 20-29 years, male 13.6
GTEX-U4B1-1026-SM-4DXT1 40-49 years, male 13.6
GTEX-ZVZP-1726-SM-5GZWY 50-59 years, male 13.6
GTEX-1HKZK-1526-SM-B2LWG 40-49 years, male 13.6
GTEX-1JN76-0926-SM-ARZNH 20-29 years, female 13.6
GTEX-13FTX-0726-SM-5N9BI 20-29 years, female 13.5
GTEX-1C475-1026-SM-7MKFJ 40-49 years, female 13.5
GTEX-WY7C-1726-SM-4ONCC 50-59 years, male 13.5
GTEX-Y114-1226-SM-4TT88 50-59 years, female 13.5
GTEX-1J8QM-1126-SM-C1YQB 60-69 years, female 13.5
GTEX-ZGAY-1626-SM-DNZZ3 40-49 years, female 13.5
GTEX-13FTW-1726-SM-5KM2B 40-49 years, male 13.4
GTEX-1F75I-1826-SM-7MKGX 40-49 years, male 13.4
GTEX-WHPG-0426-SM-4M1XW 50-59 years, male 13.4
GTEX-1QCLZ-1826-SM-DPRXP 60-69 years, female 13.4
GTEX-132AR-2426-SM-5IFFD 50-59 years, female 13.3
GTEX-TKQ1-0526-SM-4DXTG 30-39 years, male 13.3
GTEX-YFCO-0826-SM-5LUAG 40-49 years, male 13.3
GTEX-14PJ3-1426-SM-664O8 50-59 years, male 13.2
GTEX-Y5LM-1326-SM-5RQIS 40-49 years, female 13.2
GTEX-14PKU-1126-SM-69LOU 40-49 years, female 13.1
GTEX-OIZH-1526-SM-3NB1J 50-59 years, male 13.1
GTEX-1JKYN-1726-SM-AHZ48 30-39 years, male 13.1
GTEX-1LGOU-1526-SM-D3LAJ 20-29 years, female 13.1
GTEX-P4QT-1526-SM-3NMCT 50-59 years, female 13.0
GTEX-1H1DE-1226-SM-9JGHH 20-29 years, male 13.0
GTEX-1QP29-2326-SM-EXOJO 50-59 years, male 13.0
GTEX-OOBJ-1526-SM-3NB1Q 60-69 years, male 12.9
GTEX-ZV6S-0926-SM-57WGB 40-49 years, female 12.9
GTEX-1RB15-1026-SM-E9U6V 60-69 years, male 12.9
GTEX-PLZ5-1226-SM-EXOHA 50-59 years, male 12.9
GTEX-12WSJ-0926-SM-5P9JD 40-49 years, female 12.8
GTEX-1399S-1626-SM-5P9GI 30-39 years, female 12.8
GTEX-15DCE-1626-SM-6LPJM 20-29 years, male 12.8
GTEX-1B97J-1826-SM-7IGPP 50-59 years, female 12.8
GTEX-P4PP-1526-SM-3P61M 30-39 years, female 12.8
GTEX-QDVJ-1426-SM-48U1Y 50-59 years, male 12.8
GTEX-1B97I-1226-SM-7MGWQ 40-49 years, male 12.8
GTEX-111CU-0926-SM-5EGIK 50-59 years, male 12.7
GTEX-15CHR-1326-SM-79OLT 50-59 years, male 12.7
GTEX-15EU6-2526-SM-7KUGB 50-59 years, male 12.7
GTEX-17F9E-2226-SM-7IGNC 50-59 years, male 12.7
GTEX-S3XE-1026-SM-4AD4O 50-59 years, male 12.7
GTEX-ZP4G-1226-SM-4WWCJ 20-29 years, female 12.7
GTEX-1KXAM-0926-SM-CXZKA 60-69 years, male 12.7
GTEX-1L5NE-1526-SM-DIPFW 50-59 years, male 12.7
GTEX-1RMOY-1126-SM-EV79E 50-59 years, male 12.7
GTEX-14DAR-0926-SM-73KUQ 50-59 years, male 12.6
GTEX-Q2AH-1126-SM-48TZM 40-49 years, male 12.6
GTEX-QLQ7-0826-SM-447B3 60-69 years, male 12.6
GTEX-SUCS-0926-SM-4DM4Z 70-79 years, male 12.6
GTEX-18A7A-2726-SM-7LG6U 50-59 years, female 12.5
GTEX-X15G-1126-SM-4PQZG 50-59 years, female 12.5
GTEX-ZDYS-1926-SM-5HL59 50-59 years, male 12.5
GTEX-ZVP2-1626-SM-5GU5D 50-59 years, male 12.5
GTEX-1IDJU-1526-SM-CNNR3 60-69 years, female 12.5
GTEX-1LG7Z-1226-SM-DHXK4 30-39 years, male 12.5
GTEX-111YS-1126-SM-5GZYQ 60-69 years, male 12.4
GTEX-14PN3-1326-SM-6AJ9U 60-69 years, female 12.4
GTEX-1AYCT-1326-SM-7MKHB 50-59 years, male 12.4
GTEX-V955-1326-SM-4JBHR 60-69 years, male 12.4
GTEX-1MGNQ-1826-SM-DPRYI 40-49 years, male 12.4
GTEX-15RIE-1026-SM-6LPJQ 60-69 years, male 12.3
GTEX-17MF6-2126-SM-7KFS7 40-49 years, male 12.3
GTEX-P4PQ-1526-SM-3NMCK 60-69 years, male 12.3
GTEX-YB5E-1126-SM-664NU 40-49 years, male 12.3
GTEX-17HGU-2126-SM-7IGOV 50-59 years, male 12.2
GTEX-Q2AI-0826-SM-48TZO 40-49 years, male 12.2
GTEX-XAJ8-0326-SM-47JYI 40-49 years, male 12.2
GTEX-ZPU1-1626-SM-4WWB2 40-49 years, male 12.2
GTEX-UJMC-1226-SM-4IHLI 50-59 years, male 12.1
GTEX-WFG7-1326-SM-4LMK1 20-29 years, male 12.1
GTEX-Y5V6-1326-SM-4VDTF 60-69 years, male 12.1
GTEX-ZT9W-1526-SM-4YCDE 50-59 years, male 12.1
GTEX-1HSEH-1526-SM-B2LXG 60-69 years, male 12.1
GTEX-1JK1U-1326-SM-AHZ45 60-69 years, male 12.1
GTEX-1S831-1126-SM-EWROI 20-29 years, male 12.1
GTEX-13D11-2126-SM-5IFH2 50-59 years, female 12.0
GTEX-14JG6-1226-SM-664O6 30-39 years, female 12.0
GTEX-SNMC-0626-SM-4DM6H 20-29 years, male 12.0
GTEX-XBEW-1826-SM-4RTWX 40-49 years, male 12.0
GTEX-ZF29-1526-SM-4WKF7 60-69 years, female 12.0
GTEX-ZZPU-1426-SM-5GZZ6 50-59 years, female 12.0
GTEX-1PPH8-1326-SM-DTXFO 20-29 years, male 12.0
GTEX-ZLV1-0826-SM-DO11P 60-69 years, female 12.0
GTEX-R53T-1226-SM-48FCT 50-59 years, female 11.9
GTEX-ZXES-1426-SM-5NQ8S 30-39 years, female 11.9
GTEX-ZZ64-0426-SM-5E43F 20-29 years, male 11.9
GTEX-1I4MK-0926-SM-A9SLD 50-59 years, female 11.9
GTEX-1QW4Y-0726-SM-DTX8E 30-39 years, male 11.9
GTEX-14PHY-0926-SM-5ZZWL 60-69 years, female 11.8
GTEX-R55C-1026-SM-48FCM 40-49 years, male 11.8
GTEX-WFON-1126-SM-4LVMA 40-49 years, male 11.8
GTEX-12BJ1-1726-SM-5HL9B 60-69 years, male 11.7
GTEX-12C56-0526-SM-5FQST 20-29 years, male 11.7
GTEX-1MCYP-1126-SM-E9J2P 20-29 years, female 11.7
GTEX-1399U-1626-SM-5P9J3 50-59 years, female 11.6
GTEX-14B4R-0726-SM-5TDDR 30-39 years, male 11.6
GTEX-PWCY-0926-SM-48TD7 20-29 years, female 11.6
GTEX-ZTX8-0426-SM-59HLG 20-29 years, male 11.6
GTEX-1H11D-2226-SM-9OSXN 40-49 years, male 11.6
GTEX-WXYG-1626-SM-4ONCR 50-59 years, female 11.5
GTEX-Y3IK-1426-SM-4YCES 50-59 years, female 11.5
GTEX-1GN1W-2126-SM-9JGI7 50-59 years, female 11.5
GTEX-1H1E6-1626-SM-9OSWC 30-39 years, male 11.5
GTEX-1HBPN-1626-SM-9WPNP 50-59 years, male 11.5
GTEX-1399R-1126-SM-5IFIO 30-39 years, male 11.4
GTEX-POMQ-0826-SM-3P61H 20-29 years, female 11.4
GTEX-T6MO-0726-SM-4DM58 40-49 years, female 11.4
GTEX-VJYA-1026-SM-4KL21 60-69 years, male 11.4
GTEX-ZVT2-1626-SM-51MRC 50-59 years, female 11.4
GTEX-1211K-1426-SM-5FQTF 60-69 years, female 11.3
GTEX-13CF3-1926-SM-5K7WF 60-69 years, female 11.3
GTEX-WFJO-1126-SM-4LVLZ 30-39 years, male 11.3
GTEX-Y8LW-0826-SM-4WWDO 50-59 years, female 11.3
GTEX-ZYFG-1326-SM-5GICJ 60-69 years, female 11.3
GTEX-1A3MV-1226-SM-718BW 30-39 years, male 11.2
GTEX-OHPK-1526-SM-3MJGM 50-59 years, female 11.2
GTEX-17GQL-1226-SM-7KFTS 60-69 years, male 11.1
GTEX-PLZ6-0826-SM-3P61K 30-39 years, male 11.1
GTEX-QV31-0626-SM-447C5 30-39 years, male 11.1
GTEX-S4Z8-1226-SM-4AD6W 60-69 years, male 11.1
GTEX-YEC3-1426-SM-D4P1S 50-59 years, male 11.1
GTEX-11P7K-1726-SM-5GU6F 30-39 years, male 11.0
GTEX-12WSG-2026-SM-5FQUU 50-59 years, female 11.0
GTEX-13O3Q-2126-SM-5KM4C 50-59 years, male 11.0
GTEX-16NGA-1526-SM-72D56 40-49 years, female 11.0
GTEX-18QFQ-1226-SM-718AE 30-39 years, male 11.0
GTEX-1F5PL-1426-SM-7MKFH 40-49 years, female 11.0
GTEX-ZEX8-1626-SM-4WKG7 50-59 years, male 11.0
GTEX-ZYVF-2726-SM-5GID4 50-59 years, female 11.0
GTEX-131XG-1226-SM-5EGH9 50-59 years, female 10.9
GTEX-132QS-1826-SM-5IFFN 60-69 years, male 10.9
GTEX-139YR-1926-SM-5LZXM 50-59 years, male 10.9
GTEX-14PHX-1026-SM-664OL 50-59 years, male 10.9
GTEX-1AMEY-1226-SM-731DU 30-39 years, female 10.9
GTEX-S7SF-0626-SM-4AD4V 20-29 years, female 10.9
GTEX-ZY6K-0726-SM-5A5L8 50-59 years, male 10.9
GTEX-1ICG6-1826-SM-AHZ2O 70-79 years, female 10.9
GTEX-133LE-1326-SM-5IFGO 20-29 years, female 10.8
GTEX-PX3G-1526-SM-48U11 20-29 years, female 10.8
GTEX-11GSP-2126-SM-5HL5E 60-69 years, female 10.7
GTEX-15DZA-1126-SM-6LPK8 30-39 years, female 10.7
GTEX-17F98-1526-SM-7EWD8 40-49 years, female 10.7
GTEX-1PIGE-1126-SM-EWRMV 20-29 years, male 10.7
GTEX-1QP67-1026-SM-EVR47 40-49 years, female 10.7
GTEX-1AX9J-2626-SM-731EK 60-69 years, male 10.6
GTEX-RU1J-0526-SM-46MUT 20-29 years, female 10.6
GTEX-1LGRB-1726-SM-CNNRA 50-59 years, female 10.6
GTEX-117YX-1026-SM-5H11V 50-59 years, male 10.5
GTEX-WZTO-2126-SM-4PQYW 40-49 years, male 10.5
GTEX-1LBAC-1426-SM-CXZKT 20-29 years, male 10.5
GTEX-12WSK-1426-SM-5CVNN 40-49 years, female 10.4
GTEX-18D9B-2226-SM-718BM 60-69 years, male 10.4
GTEX-1B8KZ-1226-SM-793CP 50-59 years, male 10.4
GTEX-1122O-1926-SM-5EGIQ 60-69 years, female 10.3
GTEX-WYVS-1326-SM-4ONCQ 40-49 years, female 10.3
GTEX-Y3I4-1626-SM-4TT7W 50-59 years, male 10.3
GTEX-13QBU-1126-SM-5LU44 40-49 years, female 10.2
GTEX-17HII-2426-SM-7KFTT 50-59 years, male 10.2
GTEX-V1D1-1726-SM-4JBHB 50-59 years, male 10.2
GTEX-XPVG-1526-SM-4B66C 50-59 years, male 10.2
GTEX-14PJ6-0826-SM-686Z9 60-69 years, female 10.1
GTEX-17EUY-1526-SM-793CA 20-29 years, male 10.1
GTEX-RM2N-0826-SM-48FD3 50-59 years, male 10.1
GTEX-S4Q7-0726-SM-4AD5F 20-29 years, male 10.1
GTEX-OIZF-1526-SM-2I5GR 60-69 years, male 10.1
GTEX-11DXX-1326-SM-5GIDZ 60-69 years, female 10.0
GTEX-WRHK-0626-SM-4MVOE 20-29 years, female 10.0
GTEX-XBED-1226-SM-4AT5V 60-69 years, male 10.0
GTEX-17HHE-1026-SM-79ON6 50-59 years, male 9.9
GTEX-1A3MX-1926-SM-72D7F 60-69 years, male 9.9
GTEX-XXEK-0826-SM-4BRWG 50-59 years, male 9.9
GTEX-1H3NZ-2226-SM-9WYUT 60-69 years, male 9.9
GTEX-1HCU8-1326-SM-C1YQQ 60-69 years, female 9.9
GTEX-1RQEC-2126-SM-DPS15 60-69 years, male 9.9
GTEX-13O21-0926-SM-5IFGT 50-59 years, male 9.8
GTEX-RWS6-0926-SM-47JXE 60-69 years, female 9.8
GTEX-ZA64-0826-SM-5HL9U 20-29 years, male 9.8
GTEX-1R7EU-1126-SM-EAZ4M 60-69 years, male 9.8
GTEX-1S3DN-1526-SM-EVYCB 50-59 years, male 9.8
GTEX-1C64O-2226-SM-73KTV 60-69 years, male 9.7
GTEX-XUZC-0726-SM-4BOPH 30-39 years, female 9.7
GTEX-OXRL-1526-SM-E6CHQ 50-59 years, male 9.7
GTEX-131XE-2226-SM-5PNYX 50-59 years, male 9.6
GTEX-ZQUD-0826-SM-57WDQ 30-39 years, male 9.6
GTEX-1I1HK-2026-SM-CNNRB 60-69 years, male 9.6
GTEX-14PJ5-0826-SM-6AJAR 60-69 years, female 9.5
GTEX-NFK9-1526-SM-3LK7B 40-49 years, male 9.5
GTEX-TMMY-1626-SM-4DXTY 40-49 years, female 9.5
GTEX-1KD5A-1426-SM-D4P3V 50-59 years, male 9.5
GTEX-1LSNM-1026-SM-DHXL2 50-59 years, male 9.5
GTEX-11VI4-0326-SM-5EQ6L 40-49 years, female 9.4
GTEX-17KNJ-1526-SM-7LTA9 50-59 years, male 9.4
GTEX-O5YW-1526-SM-3MJGL 50-59 years, male 9.4
GTEX-O5YV-1926-SM-EV797 60-69 years, female 9.4
GTEX-11NSD-1426-SM-5HL67 20-29 years, male 9.3
GTEX-145ME-1026-SM-5O9B4 40-49 years, female 9.3
GTEX-1HCUA-1626-SM-A9SMG 50-59 years, female 9.3
GTEX-15G19-1526-SM-6LPKP 60-69 years, male 9.2
GTEX-1B8KE-1326-SM-73KVI 50-59 years, male 9.2
GTEX-QMRM-1126-SM-447BN 50-59 years, male 9.2
GTEX-S341-0626-SM-4AD5T 40-49 years, female 9.2
GTEX-S4UY-1626-SM-4AD55 40-49 years, female 9.2
GTEX-T8EM-1226-SM-4DM5J 40-49 years, male 9.2
GTEX-11P82-0726-SM-5PNYL 20-29 years, male 9.1
GTEX-14DAQ-2826-SM-664MU 60-69 years, female 9.1
GTEX-1B8L1-1526-SM-79OLK 60-69 years, male 9.1
GTEX-R55D-1526-SM-48FEJ 50-59 years, male 9.1
GTEX-S4P3-0726-SM-4AD57 50-59 years, female 9.1
GTEX-QDT8-2026-SM-EZ6LS 30-39 years, female 9.1
GTEX-1JMPZ-1826-SM-CXZJT 30-39 years, male 9.0
GTEX-12696-1726-SM-5EQLH 60-69 years, male 8.8
GTEX-13RTK-0226-SM-5RQHR 20-29 years, male 8.8
GTEX-144GN-1226-SM-5O991 50-59 years, male 8.8
GTEX-QLQW-0726-SM-447AA 30-39 years, male 8.8
GTEX-S95S-0826-SM-4B64N 60-69 years, male 8.8
GTEX-SNOS-0826-SM-4DM5N 40-49 years, male 8.8
GTEX-1GF9U-1126-SM-AHZ4H 40-49 years, female 8.8
GTEX-13113-0726-SM-5LZUF 60-69 years, female 8.7
GTEX-15SHW-2126-SM-6M46Y 60-69 years, male 8.7
GTEX-1GMRU-2526-SM-9WG7T 50-59 years, male 8.7
GTEX-1J8EW-2226-SM-AHZ3T 60-69 years, female 8.7
GTEX-11EI6-2426-SM-5PNVS 60-69 years, male 8.6
GTEX-145LT-1426-SM-5O9B3 40-49 years, male 8.6
GTEX-145MN-1326-SM-5NQ9S 30-39 years, male 8.6
GTEX-R55G-1126-SM-48FDG 40-49 years, female 8.6
GTEX-1HR9M-2326-SM-CNPPZ 60-69 years, male 8.6
GTEX-13OW6-2526-SM-5IJEC 50-59 years, male 8.5
GTEX-146FR-2026-SM-5NQAI 60-69 years, female 8.5
GTEX-1JMQJ-1326-SM-D4P3B 50-59 years, male 8.5
GTEX-11EM3-1026-SM-5A5KL 20-29 years, female 8.4
GTEX-1E2YA-2426-SM-7EPIG 50-59 years, male 8.4
GTEX-1H23P-2726-SM-9JGHN 60-69 years, male 8.4
GTEX-1JMPY-0926-SM-ARL92 30-39 years, male 8.4
GTEX-145MO-2226-SM-5Q5BN 60-69 years, male 8.3
GTEX-P78B-1826-SM-3P5YX 40-49 years, female 8.3
GTEX-QXCU-1926-SM-48FE4 50-59 years, male 8.3
GTEX-UJHI-1026-SM-4IHJP 50-59 years, female 8.3
GTEX-11I78-1726-SM-5A5M3 50-59 years, female 8.2
GTEX-QCQG-0526-SM-48U2A 50-59 years, female 8.2
GTEX-U3ZN-2026-SM-4DXUC 30-39 years, female 8.1
GTEX-ZV7C-1626-SM-5NQ7E 50-59 years, male 8.1
GTEX-Y8E4-1526-SM-4WWDI 40-49 years, male 8.0
GTEX-Y9LG-1026-SM-5IFJN 30-39 years, male 8.0
GTEX-1J8JJ-1726-SM-C1YQG 60-69 years, female 8.0
GTEX-12WSD-2326-SM-59HKQ 60-69 years, female 7.9
GTEX-XV7Q-1326-SM-4BRWM 40-49 years, female 7.9
GTEX-1GZ4H-1026-SM-9OSXL 50-59 years, female 7.8
GTEX-1LVAN-2426-SM-CNNPZ 50-59 years, female 7.8
GTEX-15UF7-1226-SM-6M46G 40-49 years, male 7.7
GTEX-13OVI-2426-SM-5KM4J 60-69 years, female 7.6
GTEX-144GM-1726-SM-5O9AS 20-29 years, male 7.6
GTEX-UPK5-2126-SM-4JBJK 40-49 years, male 7.6
GTEX-YJ8A-1526-SM-5P9FT 20-29 years, male 7.6
GTEX-1HBPI-0726-SM-9WG7Z 50-59 years, male 7.6
GTEX-TKQ2-0926-SM-4DXU5 50-59 years, male 7.5
GTEX-1IDJF-1426-SM-ACKWK 20-29 years, male 7.5
GTEX-13111-1226-SM-5GCNC 50-59 years, male 7.4
GTEX-13QJ3-2726-SM-5SI6L 50-59 years, male 7.4
GTEX-1JMLX-2426-SM-CXZJQ 50-59 years, male 7.4
GTEX-T5JC-1926-SM-4DM6Q 20-29 years, male 7.3
GTEX-1HT8W-2326-SM-A9SLA 30-39 years, male 7.3
GTEX-117YW-2226-SM-5N9DB 50-59 years, male 7.2
GTEX-17JCI-2226-SM-7LTA1 60-69 years, female 7.2
GTEX-13X6J-2126-SM-5TDCV 50-59 years, male 7.1
GTEX-1A8G6-1426-SM-731EZ 60-69 years, male 7.1
GTEX-WYJK-2526-SM-4ONDF 50-59 years, male 7.1
GTEX-13PVQ-2126-SM-5L3FW 50-59 years, male 7.0
GTEX-WHWD-1426-SM-4OORU 50-59 years, male 7.0
GTEX-PW2O-1226-SM-48TCH 20-29 years, male 6.9
GTEX-XQ8I-2026-SM-4BOOL 50-59 years, male 6.9
GTEX-ZE7O-3026-SM-51MS4 50-59 years, female 6.9
GTEX-ZVT3-2126-SM-59HL2 60-69 years, female 6.9
GTEX-1JN1M-2926-SM-CNNPJ 60-69 years, female 6.9
GTEX-13U4I-2526-SM-5SI8Z 40-49 years, female 6.8
GTEX-ZAB4-1526-SM-5CVN7 40-49 years, male 6.8
GTEX-ZF2S-1426-SM-57WET 50-59 years, female 6.8
GTEX-1E1VI-2826-SM-7MGWU 50-59 years, male 6.6
GTEX-11EQ9-1226-SM-5987E 30-39 years, male 6.4
GTEX-11NUK-2426-SM-5BC4U 50-59 years, male 6.4
GTEX-139D8-2326-SM-5IFGE 30-39 years, female 6.4
GTEX-14BIL-1926-SM-73KYI 50-59 years, male 6.2
GTEX-1CB4H-2426-SM-7PBYR 60-69 years, female 6.2
GTEX-1S82Z-1726-SM-E6CHZ 30-39 years, female 6.2
GTEX-ZYY3-1726-SM-5EGH3 60-69 years, female 5.9
GTEX-14BMV-2226-SM-5RQHX 50-59 years, male 5.7
GTEX-11WQK-2626-SM-5EQ4K 50-59 years, male 5.2
GTEX-RTLS-2626-SM-46MUJ 60-69 years, female 5.2
GTEX-13N1W-2026-SM-5K7YU 70-79 years, male 4.4
GTEX-13S7M-1826-SM-5RQK6 60-69 years, female 4.4
GTEX-1EH9U-2226-SM-7PBXX 60-69 years, male 4.2
Show allShow less

Contact

  • NEWS ARTICLES
  • PRESS ROOM

The Project

  • INTRODUCTION
  • ORGANIZATION
  • PUBLICATIONS

The Human Protein Atlas

  • DOWNLOADABLE DATA
  • LICENCE & CITATION
  • HELP & FAQ
The Human Protein Atlas project is funded
by the Knut & Alice Wallenberg Foundation.


contact@proteinatlas.org