We use cookies to enhance the usability of our website. If you continue, we'll assume that you are happy to receive all cookies. More information. Don't show this again.
APLP1
HPA
RESOURCES
  • TISSUE
  • BRAIN
  • SINGLE CELL
  • SUBCELLULAR
  • CANCER
  • BLOOD
  • CELL LINE
  • STRUCTURE & INTERACTION
ABOUT
  • INTRODUCTION
  • HISTORY
  • ORGANIZATION
  • PUBLICATIONS
  • ANTIBODY SUBMISSION
  • ANTIBODY AVAILABILITY
  • ACKNOWLEDGMENTS
  • CONTACT
NEWS
  • NEWS ARTICLES
  • PRESS ROOM
LEARN
  • DICTIONARY
  • PROTEIN CLASSES
  • PROTEIN EVIDENCE
  • METHODS
  • EDUCATIONAL VIDEOS
DATA
  • DOWNLOADABLE DATA
  • PUBLICATION DATA
  • RELEASE HISTORY
HELP
  • ANTIBODY VALIDATION
  • ASSAYS & ANNOTATION
  • DISCLAIMER
  • HELP & FAQ
  • PRIVACY STATEMENT
  • LICENCE & CITATION
Fields »
Search result

Field
Term
Gene name
Class
Subclass
Class
Keyword
Chromosome
External id
Tissue
Cell type
Expression
Antibody panel
Tissue
Main location
Patient ID
Annotation
Tissue
Category
Tau score
Cluster
Reliability
Brain region
Category
Tau score
Brain region
Category
Tau score
Brain region
Category
Tau score
Cluster
Reliability
Tissue
Cell type
Enrichment
Cell type
Category
Tau score
Cell type
Category
Tau score
Cell type
Category
Tau score
Cell lineage
Category
Tau score
Cluster
Cluster
Location
Searches
Location
Cell line
Class
Type
Phase
Reliability
Cancer
Prognosis
Cancer
Category
Cancer
Category
Tau score
Cluster
Variants
Interacting gene (ensg_id)
Type
Number of interactions
Pathway
Category
Score
Score
Score
Validation
Validation
Validation
Validation
Antibodies
Data type
Column


  • SUMMARY

  • TISSUE

  • BRAIN

  • SINGLE CELL

  • SUBCELL

  • CANCER

  • BLOOD

  • CELL LINE

  • STRUCT & INT

  • APLP1
TISSUE PRIMARY DATA STOMACH Show tissue menu
ADIPOSE TISSUE ADRENAL GLAND AMYGDALA APPENDIX BASAL GANGLIA BONE MARROW BREAST BRONCHUS CEREBELLUM CEREBRAL CORTEX CERVIX CHOROID PLEXUS COLON DUODENUM
ENDOMETRIUM EPIDIDYMIS ESOPHAGUS FALLOPIAN TUBE GALLBLADDER HEART MUSCLE HIPPOCAMPAL FORMATION HYPOTHALAMUS KIDNEY LIVER LUNG LYMPH NODE MIDBRAIN NASOPHARYNX
ORAL MUCOSA OVARY PANCREAS PARATHYROID GLAND PITUITARY GLAND PLACENTA PROSTATE RECTUM RETINA SALIVARY GLAND SEMINAL VESICLE SKELETAL MUSCLE SKIN SMALL INTESTINE
SMOOTH MUSCLE SOFT TISSUE SPINAL CORD SPLEEN STOMACH TESTIS THYMUS THYROID GLAND TONGUE TONSIL URINARY BLADDER VAGINA
ANTIBODIES
AND
VALIDATION
Dictionary
Tissue proteome
Stomach
STOMACH - Expression summary
Protein expression
Stomachi

On the top, protein expression in current human tissue, based on all annotated cell types, is reported with the units not detected (n), low (l), medium (m) and high (h). Underneath, protein expression in each annotated cell type are reported using the same units.

Protein expression data is based on knowledge-based annotation. For genes where more than one antibody has been used, a collective score is set.

If knowledge-based annotation could not be performed for a gene, no data is displayed here. View antibody staining data further down this page.

h
m
l
n
Glandular cells: Not detected
RNA expressioni

A summary of mRNA expression data available for current tissue based on several datasets. The mRNA expression levels in human tissues are based on RNA-seq data generated by the Human Protein Atlas (HPA), Genotype-Tissue Expression (GTEx) portal and CAGE data generated by the FANTOM5 consortium. Consensus normalized expression levels for human tissues was created by combining the data from HPA and GTEx datasets.

The mRNA expression levels in pig are based on RNA-seq data generated by the Human Protein Atlas (HPA), and for mouse, HPA data and in situ hybridization generated by the Allen brain atlas are reported.

Scroll down to view mRNA expression data in more detail.
Consensus:27.3 nTPM
HPA:17.1 nTPM
GTEx:27.3 nTPM

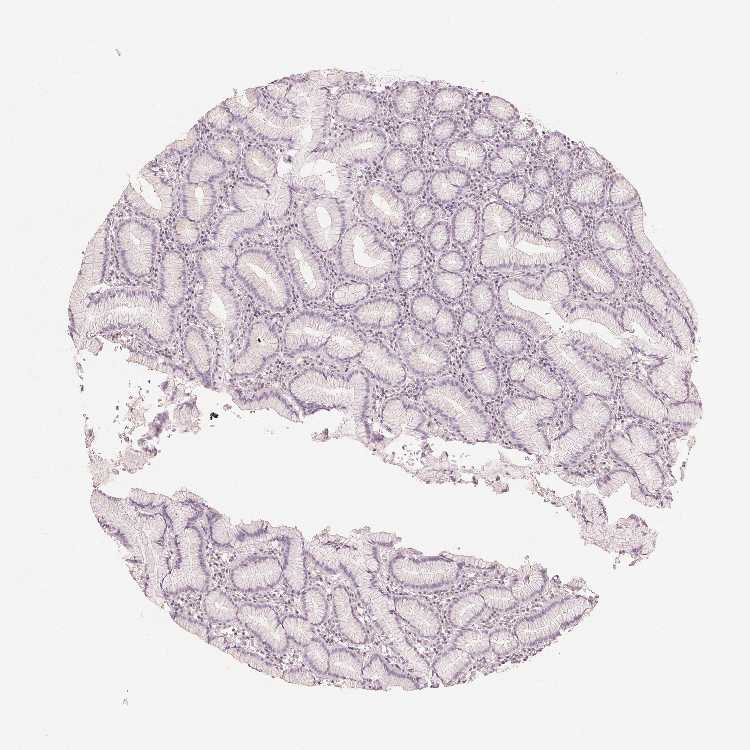
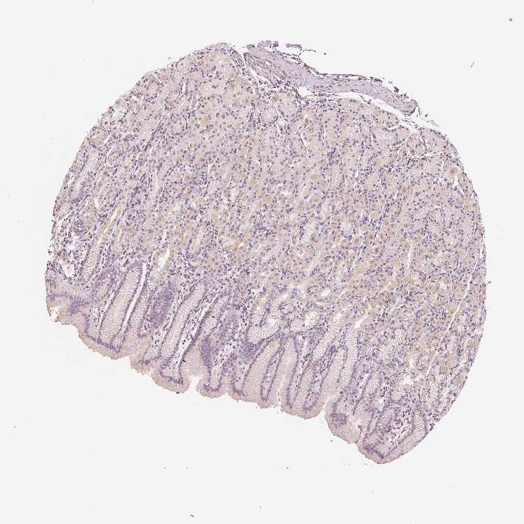
STOMACH 1 - Antibody stainingi

Antibody staining in the annotated cell types in the current human tissue is reported as not detected, low, medium, or high, based on conventional immunohistochemistry profiling in selected tissues. This score is based on the combination of the staining intensity and fraction of stained cells.

Each image is clickable and will lead to virtual microscopy that enables deeper exploration of all samples and also displays staining intensity scores, fraction scores and subcellular localization as well as patient and tissue information for each sample.

Antibody HPA028970Antibody HPA028971
Glandular cells MediumLow



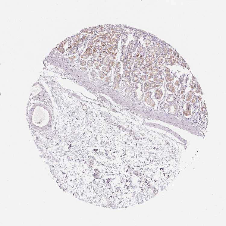
STOMACH 2 - Antibody stainingi

Antibody staining in the annotated cell types in the current human tissue is reported as not detected, low, medium, or high, based on conventional immunohistochemistry profiling in selected tissues. This score is based on the combination of the staining intensity and fraction of stained cells.

Each image is clickable and will lead to virtual microscopy that enables deeper exploration of all samples and also displays staining intensity scores, fraction scores and subcellular localization as well as patient and tissue information for each sample.

Antibody HPA028970Antibody HPA028971
Glandular cells MediumNot detected





STOMACH - HPA RNA-seqi

The RNA-seq details section shows detailed information about the individual samples used for the transcript profiling and results of the RNA-seq analysis.

Information about each individual sample is listed below, including gender, age, a tissue section image and estimated fractions of cell types. nTPM (normalized transcripts per million) values give a quantification of the gene abundance which is comparable between different genes and samples.
Average nTPMi

Max subtype nTPM is the value for the subtype with the largest average nTPM across the subtype samples.

17.1
overview
Female, age 33
Stomach sample 61
nTPM: 29.8
Cell types%
Glandular cells:
60

Smooth muscle cells:
5

Other cell types:
35

N/A
Male, age 82
Stomach sample 240
nTPM: 9.8
Cell types%
Glandular cells:
65

Smooth muscle cells:
5

Other cell types:
30

overview
Male, age 71
Stomach sample 241
nTPM: 7.1
Cell types%
Glandular cells:
50

Smooth muscle cells:
5

Other cell types:
45

overview
Female, age 66
Stomach sample 369
nTPM: 21.8
Cell types%
Glandular cells:
50

Smooth muscle cells:
10

Other cell types:
40


STOMACH - GTEx RNA-seqi

RNA-Seq data generated by the Genotype-Tissue Expression (GTEx) project from human tissues is reported as mean nTPM. More information can be found on the GTEx portal.

Distribution across the dataset is visualized with box plots, shown as median and 25th and 75th percentiles. Points are displayed as outliers if they are above or below 1.5 times the interquartile range. nTPM values of the individual samples are presented next to the box plot.
Max subtype nTPMi

Max subtype nTPM is the value for the subtype with the largest average nTPM across the subtype samples.

27.3
GTEx sample id Sample description nTPM
Stomach
Average nTPM: 27.3
Samples: 359

Max nTPM: 167.8
Min nTPM: 1.1
Std nTPM: 26.8
Median nTPM: 20.6
GTEX-OIZF-1526-SM-2I5GR 60-69 years, male 167.8
GTEX-14BIL-1926-SM-73KYI 50-59 years, male 161.8
GTEX-1J8JJ-1726-SM-C1YQG 60-69 years, female 159.9
GTEX-17HII-2426-SM-7KFTT 50-59 years, male 149.2
GTEX-11GSP-2126-SM-5HL5E 60-69 years, female 142.0
GTEX-ZPU1-1626-SM-4WWB2 40-49 years, male 134.5
GTEX-PX3G-1526-SM-48U11 20-29 years, female 108.0
GTEX-1H1DG-2126-SM-9WPPB 70-79 years, male 100.0
GTEX-1RQEC-2126-SM-DPS15 60-69 years, male 95.5
GTEX-1GL5R-1926-SM-9WG7U 50-59 years, male 95.4
GTEX-14DAQ-2826-SM-664MU 60-69 years, female 94.8
GTEX-ZYY3-1726-SM-5EGH3 60-69 years, female 92.1
GTEX-1HBPI-0726-SM-9WG7Z 50-59 years, male 91.8
GTEX-14PJ6-0826-SM-686Z9 60-69 years, female 90.8
GTEX-12WSG-2026-SM-5FQUU 50-59 years, female 86.2
GTEX-ZAB4-1526-SM-5CVN7 40-49 years, male 84.7
GTEX-1A8G6-1426-SM-731EZ 60-69 years, male 83.7
GTEX-1I1HK-2026-SM-CNNRB 60-69 years, male 79.0
GTEX-OOBJ-1526-SM-3NB1Q 60-69 years, male 73.5
GTEX-ZYFG-1326-SM-5GICJ 60-69 years, female 71.9
GTEX-13OW6-2526-SM-5IJEC 50-59 years, male 67.3
GTEX-QXCU-1926-SM-48FE4 50-59 years, male 67.3
GTEX-1RB15-1026-SM-E9U6V 60-69 years, male 67.2
GTEX-YB5E-1126-SM-664NU 40-49 years, male 66.8
GTEX-1QMI2-2126-SM-DPRXQ 60-69 years, male 66.6
GTEX-1E1VI-2826-SM-7MGWU 50-59 years, male 65.5
GTEX-Y5V6-1326-SM-4VDTF 60-69 years, male 65.3
GTEX-1QP2A-2126-SM-DPRZ7 50-59 years, male 65.3
GTEX-UJMC-1226-SM-4IHLI 50-59 years, male 64.9
GTEX-145LT-1426-SM-5O9B3 40-49 years, male 64.6
GTEX-1J8EW-2226-SM-AHZ3T 60-69 years, female 64.3
GTEX-U3ZN-2026-SM-4DXUC 30-39 years, female 64.0
GTEX-18A7A-2726-SM-7LG6U 50-59 years, female 61.1
GTEX-13X6J-2126-SM-5TDCV 50-59 years, male 60.3
GTEX-13PVQ-2126-SM-5L3FW 50-59 years, male 59.9
GTEX-ZLV1-0826-SM-DO11P 60-69 years, female 59.7
GTEX-12WSD-2326-SM-59HKQ 60-69 years, female 59.1
GTEX-XXEK-0826-SM-4BRWG 50-59 years, male 59.0
GTEX-1HKZK-1526-SM-B2LWG 40-49 years, male 58.6
GTEX-YJ8A-1526-SM-5P9FT 20-29 years, male 57.6
GTEX-1RAZR-1526-SM-EAZ4U 40-49 years, male 57.6
GTEX-11NSD-1426-SM-5HL67 20-29 years, male 57.5
GTEX-15RIE-1026-SM-6LPJQ 60-69 years, male 56.5
GTEX-1J8Q3-1926-SM-C1YSJ 60-69 years, male 54.2
GTEX-V1D1-1726-SM-4JBHB 50-59 years, male 53.0
GTEX-Q2AI-0826-SM-48TZO 40-49 years, male 52.9
GTEX-Q734-1026-SM-48U16 40-49 years, female 52.7
GTEX-12WSK-1426-SM-5CVNN 40-49 years, female 51.1
GTEX-1LGOU-1526-SM-D3LAJ 20-29 years, female 50.8
GTEX-145MO-2226-SM-5Q5BN 60-69 years, male 50.3
GTEX-RTLS-2626-SM-46MUJ 60-69 years, female 50.0
GTEX-17HHE-1026-SM-79ON6 50-59 years, male 49.8
GTEX-1CAMR-0726-SM-7EPIE 20-29 years, male 49.4
GTEX-17MF6-2126-SM-7KFS7 40-49 years, male 49.1
GTEX-VJYA-1026-SM-4KL21 60-69 years, male 48.9
GTEX-14PJ5-0826-SM-6AJAR 60-69 years, female 48.6
GTEX-R53T-1226-SM-48FCT 50-59 years, female 47.8
GTEX-117YW-2226-SM-5N9DB 50-59 years, male 47.3
GTEX-18A66-2226-SM-7189E 60-69 years, male 47.0
GTEX-V955-1326-SM-4JBHR 60-69 years, male 46.7
GTEX-SUCS-0926-SM-4DM4Z 70-79 years, male 46.6
GTEX-X15G-1126-SM-4PQZG 50-59 years, female 46.6
GTEX-RWS6-0926-SM-47JXE 60-69 years, female 46.1
GTEX-14E6E-0926-SM-664N8 30-39 years, male 46.0
GTEX-1JMLX-2426-SM-CXZJQ 50-59 years, male 45.1
GTEX-RM2N-0826-SM-48FD3 50-59 years, male 45.0
GTEX-ZEX8-1626-SM-4WKG7 50-59 years, male 44.9
GTEX-XMK1-1526-SM-EYYVO 40-49 years, male 42.8
GTEX-ZF2S-1426-SM-57WET 50-59 years, female 42.3
GTEX-13OVK-0926-SM-7KUFX 40-49 years, male 42.2
GTEX-1B97I-1226-SM-7MGWQ 40-49 years, male 42.0
GTEX-11NUK-2426-SM-5BC4U 50-59 years, male 41.5
GTEX-S95S-0826-SM-4B64N 60-69 years, male 41.2
GTEX-1ICG6-1826-SM-AHZ2O 70-79 years, female 41.2
GTEX-1QPFJ-1526-SM-DPRXT 30-39 years, female 41.1
GTEX-17GQL-1226-SM-7KFTS 60-69 years, male 40.8
GTEX-WFON-1126-SM-4LVMA 40-49 years, male 40.4
GTEX-13U4I-2526-SM-5SI8Z 40-49 years, female 40.3
GTEX-144GN-1226-SM-5O991 50-59 years, male 39.9
GTEX-1F75I-1826-SM-7MKGX 40-49 years, male 39.4
GTEX-144GM-1726-SM-5O9AS 20-29 years, male 39.3
GTEX-OXRL-1526-SM-E6CHQ 50-59 years, male 39.2
GTEX-13QBU-1126-SM-5LU44 40-49 years, female 39.0
GTEX-1B8KZ-1226-SM-793CP 50-59 years, male 38.9
GTEX-17F9E-2226-SM-7IGNC 50-59 years, male 38.7
GTEX-QV44-1226-SM-CJI1S 50-59 years, male 37.8
GTEX-OXRK-1626-SM-3NB17 50-59 years, female 37.4
GTEX-15CHR-1326-SM-79OLT 50-59 years, male 37.0
GTEX-15DCE-1626-SM-6LPJM 20-29 years, male 37.0
GTEX-18QFQ-1226-SM-718AE 30-39 years, male 36.8
GTEX-139YR-1926-SM-5LZXM 50-59 years, male 36.7
GTEX-1GMRU-2526-SM-9WG7T 50-59 years, male 36.2
GTEX-W5WG-1726-SM-4LMI5 50-59 years, female 36.1
GTEX-13O21-0926-SM-5IFGT 50-59 years, male 35.7
GTEX-14PJ4-1626-SM-664OB 60-69 years, male 35.1
GTEX-1399S-1626-SM-5P9GI 30-39 years, female 34.5
GTEX-O5YW-1526-SM-3MJGL 50-59 years, male 34.3
GTEX-1J8QM-1126-SM-C1YQB 60-69 years, female 34.3
GTEX-Y5LM-1326-SM-5RQIS 40-49 years, female 34.1
GTEX-S4UY-1626-SM-4AD55 40-49 years, female 34.0
GTEX-ZP4G-1226-SM-4WWCJ 20-29 years, female 33.4
GTEX-13113-0726-SM-5LZUF 60-69 years, female 33.2
GTEX-14PHX-1026-SM-664OL 50-59 years, male 33.1
GTEX-1F5PK-1826-SM-7RHHX 50-59 years, male 32.9
GTEX-QV31-0626-SM-447C5 30-39 years, male 32.8
GTEX-1HFI7-1526-SM-9WG7W 50-59 years, female 32.7
GTEX-1JMQJ-1326-SM-D4P3B 50-59 years, male 32.7
GTEX-XUZC-0726-SM-4BOPH 30-39 years, female 32.4
GTEX-T6MO-0726-SM-4DM58 40-49 years, female 32.0
GTEX-14ICL-0826-SM-5YY9W 30-39 years, male 31.9
GTEX-WEY5-1226-SM-4LMIQ 40-49 years, female 31.4
GTEX-YEC4-1426-SM-5IFHS 40-49 years, male 31.4
GTEX-17HGU-2126-SM-7IGOV 50-59 years, male 31.2
GTEX-132QS-1826-SM-5IFFN 60-69 years, male 30.2
GTEX-111CU-0926-SM-5EGIK 50-59 years, male 30.0
GTEX-NFK9-1526-SM-3LK7B 40-49 years, male 30.0
GTEX-1HCU8-1326-SM-C1YQQ 60-69 years, female 30.0
GTEX-ZLWG-1526-SM-DO12F 50-59 years, female 29.8
GTEX-1B97J-1826-SM-7IGPP 50-59 years, female 29.6
GTEX-XBED-1226-SM-4AT5V 60-69 years, male 29.5
GTEX-T5JW-0926-SM-4DM5K 20-29 years, female 29.4
GTEX-12696-1726-SM-5EQLH 60-69 years, male 29.3
GTEX-14BMV-2226-SM-5RQHX 50-59 years, male 29.1
GTEX-PWCY-0926-SM-48TD7 20-29 years, female 29.0
GTEX-XQ8I-2026-SM-4BOOL 50-59 years, male 28.9
GTEX-14PJ3-1426-SM-664O8 50-59 years, male 28.8
GTEX-1H1E6-1626-SM-9OSWC 30-39 years, male 28.7
GTEX-1399R-1126-SM-5IFIO 30-39 years, male 28.3
GTEX-ZF29-1526-SM-4WKF7 60-69 years, female 28.3
GTEX-QLQW-0726-SM-447AA 30-39 years, male 28.1
GTEX-1KXAM-0926-SM-CXZKA 60-69 years, male 27.7
GTEX-OHPM-1526-SM-EV796 50-59 years, male 27.7
GTEX-WZTO-2126-SM-4PQYW 40-49 years, male 27.6
GTEX-ZQUD-0826-SM-57WDQ 30-39 years, male 27.4
GTEX-13PVR-2126-SM-73KVR 60-69 years, female 27.2
GTEX-Y3IK-1426-SM-4YCES 50-59 years, female 27.0
GTEX-1RMOY-1126-SM-EV79E 50-59 years, male 26.7
GTEX-ZT9W-1526-SM-4YCDE 50-59 years, male 26.6
GTEX-1122O-1926-SM-5EGIQ 60-69 years, female 26.3
GTEX-11EM3-1026-SM-5A5KL 20-29 years, female 25.9
GTEX-1C475-1026-SM-7MKFJ 40-49 years, female 25.7
GTEX-1AYCT-1326-SM-7MKHB 50-59 years, male 25.6
GTEX-OHPK-1526-SM-3MJGM 50-59 years, female 25.6
GTEX-P4PP-1526-SM-3P61M 30-39 years, female 25.5
GTEX-1MGNQ-1826-SM-DPRYI 40-49 years, male 25.4
GTEX-WXYG-1626-SM-4ONCR 50-59 years, female 25.2
GTEX-S4Q7-0726-SM-4AD5F 20-29 years, male 25.1
GTEX-17JCI-2226-SM-7LTA1 60-69 years, female 24.9
GTEX-1I6K7-1726-SM-B2LXQ 40-49 years, male 24.7
GTEX-1QCLZ-1826-SM-DPRXP 60-69 years, female 24.7
GTEX-13FH7-1026-SM-5IJGF 50-59 years, female 24.6
GTEX-ZDYS-1926-SM-5HL59 50-59 years, male 24.5
GTEX-1A3MV-1226-SM-718BW 30-39 years, male 24.3
GTEX-ZXES-1426-SM-5NQ8S 30-39 years, female 24.2
GTEX-1GN1W-2126-SM-9JGI7 50-59 years, female 24.1
GTEX-WYVS-1326-SM-4ONCQ 40-49 years, female 23.6
GTEX-17F98-1526-SM-7EWD8 40-49 years, female 23.3
GTEX-1A3MX-1926-SM-72D7F 60-69 years, male 23.3
GTEX-14DAR-0926-SM-73KUQ 50-59 years, male 23.2
GTEX-14B4R-0726-SM-5TDDR 30-39 years, male 23.0
GTEX-111YS-1126-SM-5GZYQ 60-69 years, male 22.9
GTEX-1AMEY-1226-SM-731DU 30-39 years, female 22.7
GTEX-1AX9J-2626-SM-731EK 60-69 years, male 22.7
GTEX-145MN-1326-SM-5NQ9S 30-39 years, male 22.5
GTEX-131XF-1226-SM-5HL8V 60-69 years, male 22.4
GTEX-WFG7-1326-SM-4LMK1 20-29 years, male 22.3
GTEX-ZZ64-0426-SM-5E43F 20-29 years, male 22.3
GTEX-1JK1U-1326-SM-AHZ45 60-69 years, male 22.3
GTEX-1LBAC-1426-SM-CXZKT 20-29 years, male 22.1
GTEX-S3XE-1026-SM-4AD4O 50-59 years, male 21.8
GTEX-1HBPN-1626-SM-9WPNP 50-59 years, male 21.8
GTEX-1LSNM-1026-SM-DHXL2 50-59 years, male 21.7
GTEX-1AMFI-1226-SM-731CZ 50-59 years, female 21.4
GTEX-QMRM-1126-SM-447BN 50-59 years, male 21.4
GTEX-1LG7Z-1226-SM-DHXK4 30-39 years, male 21.4
GTEX-1QCLY-1126-SM-EAZ4J 30-39 years, male 21.4
GTEX-XV7Q-1326-SM-4BRWM 40-49 years, female 21.0
GTEX-ZZPU-1426-SM-5GZZ6 50-59 years, female 20.9
GTEX-ZLFU-1326-SM-DO11R 40-49 years, male 20.7
GTEX-1H3VY-2326-SM-9WG81 50-59 years, male 20.6
GTEX-ZVT3-2126-SM-59HL2 60-69 years, female 20.5
GTEX-1IDJD-2426-SM-C1YS6 30-39 years, male 20.3
GTEX-PWN1-1526-SM-48TDA 40-49 years, female 20.1
GTEX-1R9K5-1026-SM-EAZ4F 50-59 years, male 20.1
GTEX-PW2O-1226-SM-48TCH 20-29 years, male 20.0
GTEX-WHWD-1426-SM-4OORU 50-59 years, male 20.0
GTEX-13CF3-1926-SM-5K7WF 60-69 years, female 19.6
GTEX-1GZ4H-1026-SM-9OSXL 50-59 years, female 19.6
GTEX-1H23P-2726-SM-9JGHN 60-69 years, male 19.6
GTEX-1LVAN-2426-SM-CNNPZ 50-59 years, female 19.4
GTEX-Y8E4-1526-SM-4WWDI 40-49 years, male 19.2
GTEX-ZVP2-1626-SM-5GU5D 50-59 years, male 19.2
GTEX-14PKV-1826-SM-69LO9 20-29 years, female 18.9
GTEX-TMMY-1626-SM-4DXTY 40-49 years, female 18.7
GTEX-WRHK-0626-SM-4MVOE 20-29 years, female 18.5
GTEX-ZGAY-1626-SM-DNZZ3 40-49 years, female 18.4
GTEX-Q2AH-1126-SM-48TZM 40-49 years, male 18.3
GTEX-S341-0626-SM-4AD5T 40-49 years, female 18.3
GTEX-PLZ5-1226-SM-EXOHA 50-59 years, male 18.3
GTEX-1JMPZ-1826-SM-CXZJT 30-39 years, male 18.0
GTEX-133LE-1326-SM-5IFGO 20-29 years, female 17.8
GTEX-ZV7C-1626-SM-5NQ7E 50-59 years, male 17.4
GTEX-13FTW-1726-SM-5KM2B 40-49 years, male 17.3
GTEX-ZA64-0826-SM-5HL9U 20-29 years, male 17.3
GTEX-WHSB-1226-SM-4M1XR 50-59 years, male 17.2
GTEX-ZY6K-0726-SM-5A5L8 50-59 years, male 17.2
GTEX-QLQ7-0826-SM-447B3 60-69 years, male 16.7
GTEX-13D11-2126-SM-5IFH2 50-59 years, female 16.6
GTEX-Y8LW-0826-SM-4WWDO 50-59 years, female 16.6
GTEX-13FTX-0726-SM-5N9BI 20-29 years, female 16.5
GTEX-1JKYN-1726-SM-AHZ48 30-39 years, male 16.4
GTEX-U4B1-1026-SM-4DXT1 40-49 years, male 16.1
GTEX-XBEW-1826-SM-4RTWX 40-49 years, male 15.8
GTEX-1QP29-2326-SM-EXOJO 50-59 years, male 15.7
GTEX-13S7M-1826-SM-5RQK6 60-69 years, female 15.6
GTEX-1GF9U-1126-SM-AHZ4H 40-49 years, female 15.6
GTEX-1MUQO-1926-SM-EAZ59 60-69 years, male 15.0
GTEX-14BMU-1126-SM-5RQJ8 20-29 years, female 14.8
GTEX-18D9A-0626-SM-7KFTY 30-39 years, female 14.6
GTEX-P78B-1826-SM-3P5YX 40-49 years, female 14.5
GTEX-SNOS-0826-SM-4DM5N 40-49 years, male 14.4
GTEX-SNMC-0626-SM-4DM6H 20-29 years, male 14.3
GTEX-1R7EU-1126-SM-EAZ4M 60-69 years, male 14.3
GTEX-1IDJU-1526-SM-CNNR3 60-69 years, female 13.7
GTEX-15UF7-1226-SM-6M46G 40-49 years, male 13.6
GTEX-1KANA-1126-SM-D3L9M 20-29 years, male 13.6
GTEX-11TT1-0726-SM-5GU5A 20-29 years, male 13.5
GTEX-11I78-1726-SM-5A5M3 50-59 years, female 13.3
GTEX-1JN1M-2926-SM-CNNPJ 60-69 years, female 13.3
GTEX-1I1GT-1726-SM-C1YS3 60-69 years, female 13.1
GTEX-11DXX-1326-SM-5GIDZ 60-69 years, female 12.8
GTEX-1JMPY-0926-SM-ARL92 30-39 years, male 12.7
GTEX-139D8-2326-SM-5IFGE 30-39 years, female 12.5
GTEX-16AAH-1226-SM-79OO9 50-59 years, male 12.5
GTEX-QDVJ-1426-SM-48U1Y 50-59 years, male 12.5
GTEX-12BJ1-1726-SM-5HL9B 60-69 years, male 12.2
GTEX-11EI6-2426-SM-5PNVS 60-69 years, male 12.1
GTEX-POMQ-0826-SM-3P61H 20-29 years, female 12.1
GTEX-WYJK-2526-SM-4ONDF 50-59 years, male 11.9
GTEX-15G19-1526-SM-6LPKP 60-69 years, male 11.7
GTEX-QCQG-0526-SM-48U2A 50-59 years, female 11.5
GTEX-ZVT2-1626-SM-51MRC 50-59 years, female 11.5
GTEX-15DZA-1126-SM-6LPK8 30-39 years, female 11.3
GTEX-WFG8-1326-SM-4LVN3 20-29 years, male 11.3
GTEX-Y3I4-1626-SM-4TT7W 50-59 years, male 11.3
GTEX-WHPG-0426-SM-4M1XW 50-59 years, male 11.2
GTEX-YFCO-0826-SM-5LUAG 40-49 years, male 11.1
GTEX-Y9LG-1026-SM-5IFJN 30-39 years, male 11.0
GTEX-16NGA-1526-SM-72D56 40-49 years, female 10.9
GTEX-1F5PL-1426-SM-7MKFH 40-49 years, female 10.9
GTEX-O5YV-1926-SM-EV797 60-69 years, female 10.9
GTEX-1B8KE-1326-SM-73KVI 50-59 years, male 10.5
GTEX-1HSEH-1526-SM-B2LXG 60-69 years, male 10.3
GTEX-14JG6-1226-SM-664O6 30-39 years, female 10.1
GTEX-18A67-2626-SM-718AD 50-59 years, male 10.1
GTEX-1E2YA-2426-SM-7EPIG 50-59 years, male 10.1
GTEX-WY7C-1726-SM-4ONCC 50-59 years, male 10.1
GTEX-131XG-1226-SM-5EGH9 50-59 years, female 9.9
GTEX-145ME-1026-SM-5O9B4 40-49 years, female 9.9
GTEX-T8EM-1226-SM-4DM5J 40-49 years, male 8.9
GTEX-T5JC-1926-SM-4DM6Q 20-29 years, male 8.8
GTEX-11P82-0726-SM-5PNYL 20-29 years, male 8.7
GTEX-QDVN-1226-SM-48TZ5 50-59 years, male 8.6
GTEX-1KD5A-1426-SM-D4P3V 50-59 years, male 8.6
GTEX-1HSMQ-2426-SM-CE6RY 50-59 years, male 8.1
GTEX-1LGRB-1726-SM-CNNRA 50-59 years, female 8.0
GTEX-ZVZP-1726-SM-5GZWY 50-59 years, male 7.9
GTEX-QDT8-2026-SM-EZ6LS 30-39 years, female 7.9
GTEX-13N1W-2026-SM-5K7YU 70-79 years, male 7.8
GTEX-1B8L1-1526-SM-79OLK 60-69 years, male 7.8
GTEX-117YX-1026-SM-5H11V 50-59 years, male 7.7
GTEX-S7SF-0626-SM-4AD4V 20-29 years, female 7.6
GTEX-1IL2V-2026-SM-ARZMA 70-79 years, male 7.1
GTEX-1MJIX-1126-SM-EV7AO 40-49 years, male 7.0
GTEX-11WQK-2626-SM-5EQ4K 50-59 years, male 6.9
GTEX-1LVAM-1426-SM-E9TJ4 50-59 years, female 6.9
GTEX-13RTK-0226-SM-5RQHR 20-29 years, male 6.8
GTEX-11EQ9-1226-SM-5987E 30-39 years, male 6.7
GTEX-12C56-0526-SM-5FQST 20-29 years, male 6.7
GTEX-13O3Q-2126-SM-5KM4C 50-59 years, male 6.7
GTEX-1CB4H-2426-SM-7PBYR 60-69 years, female 6.7
GTEX-1399U-1626-SM-5P9J3 50-59 years, female 6.6
GTEX-1I4MK-0926-SM-A9SLD 50-59 years, female 6.6
GTEX-RU1J-0526-SM-46MUT 20-29 years, female 6.5
GTEX-1CB4E-1326-SM-7DUGD 60-69 years, male 6.3
GTEX-UPK5-2126-SM-4JBJK 40-49 years, male 6.2
GTEX-1H3NZ-2226-SM-9WYUT 60-69 years, male 6.2
GTEX-1QP67-1026-SM-EVR47 40-49 years, female 6.2
GTEX-OIZH-1526-SM-3NB1J 50-59 years, male 5.8
GTEX-TKQ2-0926-SM-4DXU5 50-59 years, male 5.8
GTEX-1QW4Y-0726-SM-DTX8E 30-39 years, male 5.6
GTEX-132AR-2426-SM-5IFFD 50-59 years, female 5.5
GTEX-1H11D-2226-SM-9OSXN 40-49 years, male 5.4
GTEX-13O61-1126-SM-5L3FI 60-69 years, male 5.2
GTEX-146FH-2126-SM-5SI9U 50-59 years, female 5.2
GTEX-1IDJF-1426-SM-ACKWK 20-29 years, male 5.2
GTEX-131XE-2226-SM-5PNYX 50-59 years, male 5.1
GTEX-1HR9M-2326-SM-CNPPZ 60-69 years, male 5.1
GTEX-1PPH8-1326-SM-DTXFO 20-29 years, male 5.1
GTEX-14PN3-1326-SM-6AJ9U 60-69 years, female 5.0
GTEX-15G1A-1226-SM-7KUF3 30-39 years, male 5.0
GTEX-1S3DN-1526-SM-EVYCB 50-59 years, male 5.0
GTEX-P4PQ-1526-SM-3NMCK 60-69 years, male 4.9
GTEX-11VI4-0326-SM-5EQ6L 40-49 years, female 4.8
GTEX-13111-1226-SM-5GCNC 50-59 years, male 4.8
GTEX-1K2DA-0826-SM-CGQGD 50-59 years, male 4.8
GTEX-14PKU-1126-SM-69LOU 40-49 years, female 4.7
GTEX-15SHW-2126-SM-6M46Y 60-69 years, male 4.7
GTEX-1C64O-2226-SM-73KTV 60-69 years, male 4.7
GTEX-18D9B-2226-SM-718BM 60-69 years, male 4.6
GTEX-R55C-1026-SM-48FCM 40-49 years, male 4.6
GTEX-Y114-1226-SM-4TT88 50-59 years, female 4.6
GTEX-13X6H-1626-SM-5Q5CT 50-59 years, female 4.5
GTEX-S4P3-0726-SM-4AD57 50-59 years, female 4.5
GTEX-XAJ8-0326-SM-47JYI 40-49 years, male 4.4
GTEX-1HCUA-1626-SM-A9SMG 50-59 years, female 4.4
GTEX-R55G-1126-SM-48FDG 40-49 years, female 4.3
GTEX-1EH9U-2226-SM-7PBXX 60-69 years, male 4.3
GTEX-TKQ1-0526-SM-4DXTG 30-39 years, male 4.2
GTEX-1QP28-2126-SM-DTX8B 50-59 years, female 4.2
GTEX-146FR-2026-SM-5NQAI 60-69 years, female 4.1
GTEX-1339X-1426-SM-5K7YO 40-49 years, male 4.0
GTEX-15EU6-2526-SM-7KUGB 50-59 years, male 4.0
GTEX-1N2DV-0926-SM-E9TJT 40-49 years, male 4.0
GTEX-YEC3-1426-SM-D4P1S 50-59 years, male 4.0
GTEX-WH7G-1526-SM-4LVMX 40-49 years, male 3.9
GTEX-XPVG-1526-SM-4B66C 50-59 years, male 3.9
GTEX-1S831-1126-SM-EWROI 20-29 years, male 3.9
GTEX-1211K-1426-SM-5FQTF 60-69 years, female 3.8
GTEX-P4QT-1526-SM-3NMCT 50-59 years, female 3.8
GTEX-11P7K-1726-SM-5GU6F 30-39 years, male 3.7
GTEX-WFJO-1126-SM-4LVLZ 30-39 years, male 3.7
GTEX-ZV6S-0926-SM-57WGB 40-49 years, female 3.7
GTEX-1JN76-0926-SM-ARZNH 20-29 years, female 3.7
GTEX-1PIGE-1126-SM-EWRMV 20-29 years, male 3.7
GTEX-15RIF-1126-SM-7KUG2 20-29 years, male 3.6
GTEX-ZYVF-2726-SM-5GID4 50-59 years, female 3.6
GTEX-1H1DE-1226-SM-9JGHH 20-29 years, male 3.6
GTEX-1S82Z-1726-SM-E6CHZ 30-39 years, female 3.6
GTEX-12WSJ-0926-SM-5P9JD 40-49 years, female 3.3
GTEX-UJHI-1026-SM-4IHJP 50-59 years, female 3.3
GTEX-1NSGN-1926-SM-E9J36 50-59 years, male 3.3
GTEX-14E1K-1526-SM-664MN 50-59 years, male 3.2
GTEX-17EUY-1526-SM-793CA 20-29 years, male 3.1
GTEX-PLZ6-0826-SM-3P61K 30-39 years, male 3.1
GTEX-1GPI7-1326-SM-9KNVA 20-29 years, male 3.1
GTEX-1MCYP-1126-SM-E9J2P 20-29 years, female 3.1
GTEX-17KNJ-1526-SM-7LTA9 50-59 years, male 3.0
GTEX-1L5NE-1526-SM-DIPFW 50-59 years, male 2.9
GTEX-RUSQ-1126-SM-EAZAU 50-59 years, male 2.9
GTEX-ZPIC-2026-SM-57WG3 40-49 years, female 2.8
GTEX-14PHY-0926-SM-5ZZWL 60-69 years, female 2.6
GTEX-R55D-1526-SM-48FEJ 50-59 years, male 2.6
GTEX-1HT8W-2326-SM-A9SLA 30-39 years, male 2.6
GTEX-13OVI-2426-SM-5KM4J 60-69 years, female 2.4
GTEX-13QJ3-2726-SM-5SI6L 50-59 years, male 1.9
GTEX-ZE7O-3026-SM-51MS4 50-59 years, female 1.5
GTEX-S4Z8-1226-SM-4AD6W 60-69 years, male 1.4
GTEX-ZTX8-0426-SM-59HLG 20-29 years, male 1.1
Show allShow less

Contact

  • NEWS ARTICLES
  • PRESS ROOM

The Project

  • INTRODUCTION
  • ORGANIZATION
  • PUBLICATIONS

The Human Protein Atlas

  • DOWNLOADABLE DATA
  • LICENCE & CITATION
  • HELP & FAQ
The Human Protein Atlas project is funded
by the Knut & Alice Wallenberg Foundation.


contact@proteinatlas.org