We use cookies to enhance the usability of our website. If you continue, we'll assume that you are happy to receive all cookies. More information. Don't show this again.
CDC37
HPA
RESOURCES
  • TISSUE
  • BRAIN
  • SINGLE CELL
  • SUBCELLULAR
  • CANCER
  • BLOOD
  • CELL LINE
  • STRUCTURE & INTERACTION
ABOUT
  • INTRODUCTION
  • HISTORY
  • ORGANIZATION
  • PUBLICATIONS
  • ANTIBODY SUBMISSION
  • ANTIBODY AVAILABILITY
  • ACKNOWLEDGMENTS
  • CONTACT
NEWS
  • NEWS ARTICLES
  • PRESS ROOM
LEARN
  • DICTIONARY
  • PROTEIN CLASSES
  • PROTEIN EVIDENCE
  • METHODS
  • EDUCATIONAL VIDEOS
DATA
  • DOWNLOADABLE DATA
  • PUBLICATION DATA
  • RELEASE HISTORY
HELP
  • ANTIBODY VALIDATION
  • ASSAYS & ANNOTATION
  • DISCLAIMER
  • HELP & FAQ
  • PRIVACY STATEMENT
  • LICENCE & CITATION
Fields »
Search result

Field
Term
Gene name
Class
Subclass
Class
Keyword
Chromosome
External id
Tissue
Cell type
Expression
Antibody panel
Tissue
Main location
Patient ID
Annotation
Tissue
Category
Tau score
Cluster
Reliability
Brain region
Category
Tau score
Brain region
Category
Tau score
Brain region
Category
Tau score
Cluster
Reliability
Tissue
Cell type
Enrichment
Cell type
Category
Tau score
Cell type
Category
Tau score
Cell type
Category
Tau score
Cell lineage
Category
Tau score
Cluster
Cluster
Location
Searches
Location
Cell line
Class
Type
Phase
Reliability
Cancer
Prognosis
Cancer
Category
Cancer
Category
Tau score
Cluster
Variants
Interacting gene (ensg_id)
Type
Number of interactions
Pathway
Category
Score
Score
Score
Validation
Validation
Validation
Validation
Antibodies
Data type
Column


  • SUMMARY

  • TISSUE

  • BRAIN

  • SINGLE CELL

  • SUBCELL

  • CANCER

  • BLOOD

  • CELL LINE

  • STRUCT & INT

  • CDC37
TISSUE PRIMARY DATA SKIN Show tissue menu
ADIPOSE TISSUE ADRENAL GLAND AMYGDALA APPENDIX BASAL GANGLIA BONE MARROW BREAST BRONCHUS CEREBELLUM CEREBRAL CORTEX CERVIX CHOROID PLEXUS COLON DUODENUM
ENDOMETRIUM EPIDIDYMIS ESOPHAGUS FALLOPIAN TUBE GALLBLADDER HEART MUSCLE HIPPOCAMPAL FORMATION HYPOTHALAMUS KIDNEY LIVER LUNG LYMPH NODE MIDBRAIN NASOPHARYNX
ORAL MUCOSA OVARY PANCREAS PARATHYROID GLAND PITUITARY GLAND PLACENTA PROSTATE RECTUM RETINA SALIVARY GLAND SEMINAL VESICLE SKELETAL MUSCLE SKIN SMALL INTESTINE
SMOOTH MUSCLE SOFT TISSUE SPINAL CORD SPLEEN STOMACH TESTIS THYMUS THYROID GLAND TONGUE TONSIL URINARY BLADDER VAGINA
ANTIBODIES
AND
VALIDATION
Dictionary
Skin
Tissue proteome
Skin
SKIN - Expression summary
Protein expression
Skini

On the top, protein expression in current human tissue, based on all annotated cell types, is reported with the units not detected (n), low (l), medium (m) and high (h). Underneath, protein expression in each annotated cell type are reported using the same units.

Protein expression data is based on knowledge-based annotation. For genes where more than one antibody has been used, a collective score is set.

If knowledge-based annotation could not be performed for a gene, no data is displayed here. View antibody staining data further down this page.

h
m
l
n
Cells in basal layer: Low
Cells in corneal layer: Not detected
Cells in granular layer: Low
Cells in spinous layer: Low
Eccrine glands: Not detected
Endothelial cells: High
Extracellular matrix: Not detected
Fibrohistiocytic cells: Medium
Hair follicles: Medium
Langerhans cells: Low
Lymphocytes: Medium
Melanocytes: Low
Vascular mural cells: Not detected
RNA expressioni

A summary of mRNA expression data available for current tissue based on several datasets. The mRNA expression levels in human tissues are based on RNA-seq data generated by the Human Protein Atlas (HPA), Genotype-Tissue Expression (GTEx) portal and CAGE data generated by the FANTOM5 consortium. Consensus normalized expression levels for human tissues was created by combining the data from HPA and GTEx datasets.

The mRNA expression levels in pig are based on RNA-seq data generated by the Human Protein Atlas (HPA), and for mouse, HPA data and in situ hybridization generated by the Allen brain atlas are reported.

Scroll down to view mRNA expression data in more detail.
Consensus:97.8 nTPM
HPA:48.5 nTPM
GTEx:97.8 nTPM

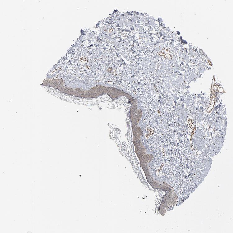
SKIN 1 - Antibody stainingi

Antibody staining in the annotated cell types in the current human tissue is reported as not detected, low, medium, or high, based on conventional immunohistochemistry profiling in selected tissues. This score is based on the combination of the staining intensity and fraction of stained cells.

Each image is clickable and will lead to virtual microscopy that enables deeper exploration of all samples and also displays staining intensity scores, fraction scores and subcellular localization as well as patient and tissue information for each sample.

Antibody HPA003928Antibody CAB004214
Langerhans -Not detected
Cells in basal layer Not detected-
Cells in corneal layer Not detected-
Cells in granular layer Not detected-
Cells in spinous layer Not detected-
Eccrine glands Not detected-
Endothelial cells Medium-
Extracellular matrix Not detected-
Fibrohistiocytic cells Not detected-
Keratinocytes -Not detected
Langerhans cells Not detected-
Lymphocytes Not detected-
Melanocytes Not detectedNot detected
Vascular mural cells Not detected-
SKIN 2 - Antibody stainingi

Antibody staining in the annotated cell types in the current human tissue is reported as not detected, low, medium, or high, based on conventional immunohistochemistry profiling in selected tissues. This score is based on the combination of the staining intensity and fraction of stained cells.

Each image is clickable and will lead to virtual microscopy that enables deeper exploration of all samples and also displays staining intensity scores, fraction scores and subcellular localization as well as patient and tissue information for each sample.

Antibody HPA003928Antibody CAB004214
Cells in basal layer Low-
Cells in corneal layer Not detected-
Cells in granular layer Low-
Cells in spinous layer Low-
Endothelial cells High-
Epidermal cells -Low
Extracellular matrix Not detected-
Fibrohistiocytic cells Medium-
Hair follicles Medium-
Langerhans cells Low-
Lymphocytes Medium-
Melanocytes Low-
Vascular mural cells Not detected-
  




SKIN - HPA RNA-seqi

The RNA-seq details section shows detailed information about the individual samples used for the transcript profiling and results of the RNA-seq analysis.

Information about each individual sample is listed below, including gender, age, a tissue section image and estimated fractions of cell types. nTPM (normalized transcripts per million) values give a quantification of the gene abundance which is comparable between different genes and samples.
Average nTPMi

Max subtype nTPM is the value for the subtype with the largest average nTPM across the subtype samples.

48.5
overview
Female, age 34
Skin sample 225
nTPM: 40.5
Cell types%
Keratinocytes:
60

Other cell types:
40

overview
Female, age 30
Skin sample 226
nTPM: 24.7
Cell types%
Keratinocytes:
55

Other cell types:
45

N/A
Male, age 57
Skin sample 227
nTPM: 80.3

SKIN - GTEx RNA-seqi

RNA-Seq data generated by the Genotype-Tissue Expression (GTEx) project from human tissues is reported as mean nTPM. More information can be found on the GTEx portal.

Distribution across the dataset is visualized with box plots, shown as median and 25th and 75th percentiles. Points are displayed as outliers if they are above or below 1.5 times the interquartile range. nTPM values of the individual samples are presented next to the box plot.
Max subtype nTPMi

Max subtype nTPM is the value for the subtype with the largest average nTPM across the subtype samples.

97.8
GTEx sample id Sample description nTPM
Skin - Not Sun Exposed (Suprapubic)
Average nTPM: 97.8
Samples: 604

Max nTPM: 209.0
Min nTPM: 50.7
Std nTPM: 16.6
Median nTPM: 95.7
GTEX-11WQK-1026-SM-5EQLX 50-59 years, male 209.0
GTEX-11DYG-1526-SM-5A5JS 60-69 years, male 168.3
GTEX-14XAO-1226-SM-6EU1C 60-69 years, female 163.7
GTEX-WI4N-2726-SM-3LK7Y 40-49 years, female 163.1
GTEX-X585-2426-SM-46MW2 50-59 years, male 154.3
GTEX-1PPH8-0126-SM-EWRN8 20-29 years, male 153.3
GTEX-1R9PN-0426-SM-DTXDT 40-49 years, female 151.2
GTEX-1OJC3-1226-SM-DTXER 20-29 years, male 146.7
GTEX-144FL-0626-SM-5LU43 50-59 years, male 146.2
GTEX-1IKOE-1426-SM-CE6T7 30-39 years, female 145.2
GTEX-WFG7-2026-SM-5SI7P 20-29 years, male 144.4
GTEX-11DZ1-2426-SM-5GZZX 50-59 years, male 143.9
GTEX-14A5H-0826-SM-5QGPJ 60-69 years, male 140.4
GTEX-Y114-2126-SM-4TT8B 50-59 years, female 140.0
GTEX-ZYFD-0626-SM-5E44E 50-59 years, male 139.9
GTEX-1EX96-1026-SM-7MKG2 50-59 years, male 139.4
GTEX-1E2YA-2126-SM-7MXUO 50-59 years, male 137.6
GTEX-WHSE-0126-SM-3NMBT 20-29 years, male 136.8
GTEX-WH7G-2026-SM-3NMBL 40-49 years, male 135.7
GTEX-16MT9-0126-SM-7EPI8 60-69 years, female 135.6
GTEX-ZY6K-1426-SM-5GZX2 50-59 years, male 135.6
GTEX-15RIG-0726-SM-7KUM7 40-49 years, male 135.5
GTEX-15G19-2426-SM-7KUMR 60-69 years, male 131.7
GTEX-ZPCL-1126-SM-4WWFE 60-69 years, female 131.5
GTEX-1N2DV-1526-SM-DTXEP 40-49 years, male 131.5
GTEX-17F97-2626-SM-7IGM5 50-59 years, male 131.4
GTEX-111VG-1626-SM-5EGIO 60-69 years, male 131.2
GTEX-13NYC-0126-SM-5L3F4 60-69 years, male 131.0
GTEX-1H11D-1826-SM-9QEHM 40-49 years, male 130.7
GTEX-U8XE-0226-SM-4E3J3 30-39 years, male 129.9
GTEX-11OF3-0126-SM-5PNYF 60-69 years, male 129.4
GTEX-1ICLZ-0326-SM-ARL82 60-69 years, male 128.3
GTEX-1I1GU-0926-SM-ACKVS 40-49 years, male 125.6
GTEX-ZYVF-0926-SM-5E44J 50-59 years, female 125.2
GTEX-1399S-0126-SM-5IJCF 30-39 years, female 125.1
GTEX-ZTX8-1326-SM-4YCEL 20-29 years, male 124.7
GTEX-12WSJ-1126-SM-5LZVJ 40-49 years, female 124.5
GTEX-13G51-1826-SM-5KLZH 60-69 years, male 124.1
GTEX-1QP9N-1226-SM-E76QN 30-39 years, male 123.9
GTEX-XBEW-1126-SM-4QARW 40-49 years, male 123.3
GTEX-ZLFU-1826-SM-4WWBV 40-49 years, male 122.6
GTEX-ZF3C-0626-SM-DO92O 50-59 years, female 122.4
GTEX-1F6I4-2326-SM-7RHGL 60-69 years, male 122.1
GTEX-XYKS-1426-SM-4BRUO 60-69 years, female 121.4
GTEX-14PJ3-1126-SM-5ZZVX 50-59 years, male 121.3
GTEX-ZT9X-1526-SM-5DUXD 40-49 years, male 121.3
GTEX-ZVP2-0326-SM-57WBP 50-59 years, male 121.2
GTEX-11NUK-2726-SM-5A5MC 50-59 years, male 120.7
GTEX-14PK6-0226-SM-62LF5 70-79 years, female 120.2
GTEX-1399Q-2326-SM-5KM2X 40-49 years, male 120.0
GTEX-14PHY-1226-SM-5ZZWK 60-69 years, female 119.5
GTEX-17HII-1426-SM-7EPGG 50-59 years, male 119.4
GTEX-15G1A-1626-SM-7KUKN 30-39 years, male 119.1
GTEX-1HCUA-0826-SM-ADEHM 50-59 years, female 119.0
GTEX-1117F-2926-SM-5GZYI 60-69 years, female 118.9
GTEX-147F4-0726-SM-5TDDD 50-59 years, male 118.8
GTEX-14C38-0726-SM-5SI6M 50-59 years, male 117.9
GTEX-14PJO-2526-SM-6AJBQ 60-69 years, male 117.9
GTEX-1QAET-0326-SM-EVR3U 50-59 years, male 117.8
GTEX-132AR-0326-SM-5KM2C 50-59 years, female 117.3
GTEX-1JMQL-2226-SM-CNPP4 50-59 years, female 117.3
GTEX-1A3MW-0626-SM-731CB 60-69 years, female 117.2
GTEX-ZE7O-2726-SM-51MT5 50-59 years, female 117.2
GTEX-1LVAN-0626-SM-CNPOQ 50-59 years, female 116.2
GTEX-13NYB-0126-SM-5J1MD 40-49 years, male 116.1
GTEX-Y3IK-1626-SM-4YCF5 50-59 years, female 116.1
GTEX-1RAZQ-1326-SM-E9TK6 30-39 years, male 115.9
GTEX-XK95-0226-SM-4AT58 40-49 years, male 115.8
GTEX-11PRG-0726-SM-5EGL1 50-59 years, male 115.7
GTEX-16YQH-2226-SM-7IGM2 30-39 years, male 115.6
GTEX-11WQC-1826-SM-5GU59 60-69 years, male 115.3
GTEX-1GMRU-2126-SM-7P8RA 50-59 years, male 115.3
GTEX-1R9PM-1926-SM-EVR3O 20-29 years, male 115.3
GTEX-ZU9S-1826-SM-5NQ9E 30-39 years, male 115.1
GTEX-1192X-2726-SM-5N9DN 50-59 years, male 114.6
GTEX-12WSH-1526-SM-5BC5W 50-59 years, male 114.6
GTEX-1CAMR-1326-SM-7PC1F 20-29 years, male 114.5
GTEX-18D9B-0926-SM-7LG4U 60-69 years, male 114.4
GTEX-1O9I2-0226-SM-EYYXD 50-59 years, male 114.2
GTEX-1S3DN-2126-SM-E9TIN 50-59 years, male 113.8
GTEX-1313W-0626-SM-5EQ4H 50-59 years, female 113.7
GTEX-14ICL-1626-SM-5YYAO 30-39 years, male 113.7
GTEX-1LKK1-2626-SM-DKPQE 50-59 years, female 113.4
GTEX-15RJ7-2126-SM-6PAMD 40-49 years, male 113.3
GTEX-ZYW4-0626-SM-59HJR 60-69 years, male 113.3
GTEX-1C6WA-2626-SM-7MKGM 60-69 years, male 113.2
GTEX-ZXG5-2126-SM-59HKD 60-69 years, male 113.2
GTEX-139D8-1126-SM-5LU8W 30-39 years, female 113.1
GTEX-YFCO-1226-SM-5LUAT 40-49 years, male 113.1
GTEX-1CAMS-2226-SM-7PBXQ 40-49 years, female 113.1
GTEX-XQ8I-0926-SM-4BOOF 50-59 years, male 112.9
GTEX-12584-0726-SM-5FQTK 40-49 years, male 112.4
GTEX-ZTSS-1426-SM-5985P 40-49 years, male 112.1
GTEX-11DXX-2126-SM-5PNYR 60-69 years, female 112.0
GTEX-14LZ3-0126-SM-69LPM 60-69 years, female 111.8
GTEX-17F96-0126-SM-7EWDU 70-79 years, male 111.7
GTEX-1HSMP-0926-SM-A9SKX 70-79 years, male 111.4
GTEX-WHSB-1326-SM-3LK6W 50-59 years, male 111.3
GTEX-11TT1-1826-SM-5EQLV 20-29 years, male 111.1
GTEX-XXEK-1626-SM-4BRUZ 50-59 years, male 111.1
GTEX-12WSK-2126-SM-5CVNC 40-49 years, female 111.0
GTEX-12ZZX-2426-SM-5GCOE 40-49 years, female 110.8
GTEX-16MTA-0926-SM-6M47Z 50-59 years, male 110.8
GTEX-1OJC4-2726-SM-E76PJ 50-59 years, female 110.8
GTEX-1PIGE-1826-SM-E8VOU 20-29 years, male 110.8
GTEX-15SHW-0226-SM-7LTAT 60-69 years, male 110.7
GTEX-15UF6-1926-SM-7KUDV 70-79 years, female 110.5
GTEX-1J8EW-2726-SM-CY8HR 60-69 years, female 110.5
GTEX-Y111-0626-SM-4SOIT 50-59 years, male 110.4
GTEX-1QP2A-1726-SM-E76QC 50-59 years, male 110.3
GTEX-13JVG-0726-SM-5KM16 60-69 years, male 110.2
GTEX-1HT8W-0626-SM-A9G2H 30-39 years, male 110.2
GTEX-1MCC2-1826-SM-DIPEX 30-39 years, female 110.2
GTEX-13PL6-1126-SM-5L3IE 40-49 years, female 109.9
GTEX-1I1GT-1026-SM-ARZLV 60-69 years, female 109.9
GTEX-1PPH7-1126-SM-DTX9A 40-49 years, male 109.7
GTEX-14BIN-1126-SM-5RQJZ 50-59 years, female 109.6
GTEX-13PDP-0726-SM-5L3HP 60-69 years, male 109.4
GTEX-1JJEA-1826-SM-ARU8P 60-69 years, male 109.4
GTEX-11NSD-0626-SM-5A5LU 20-29 years, male 109.0
GTEX-Y5LM-0926-SM-6LLJG 40-49 years, female 109.0
GTEX-YB5K-2026-SM-4VDT3 40-49 years, female 108.9
GTEX-13YAN-0226-SM-5TDC6 60-69 years, male 108.8
GTEX-1H23P-0626-SM-9WG6T 60-69 years, male 108.8
GTEX-1HCU7-0726-SM-A9SL1 50-59 years, male 108.7
GTEX-1JMOU-1026-SM-CYPSS 60-69 years, female 108.6
GTEX-17HGU-2326-SM-7DUFE 50-59 years, male 108.2
GTEX-13FTX-1526-SM-5K7VJ 20-29 years, female 108.1
GTEX-1LBAC-0826-SM-CY8IJ 20-29 years, male 108.1
GTEX-WXYG-2026-SM-4E3IY 50-59 years, female 108.0
GTEX-13FH7-1126-SM-5K7UG 50-59 years, female 107.8
GTEX-131XH-0126-SM-5LZUY 50-59 years, male 107.7
GTEX-17F9Y-0126-SM-79OKX 70-79 years, female 107.5
GTEX-1AYD5-2626-SM-7PBXY 50-59 years, male 107.5
GTEX-XOT4-0626-SM-4B66L 60-69 years, female 107.2
GTEX-1H1CY-0126-SM-9YFLY 60-69 years, female 107.2
GTEX-17F9E-2326-SM-79OKD 50-59 years, male 107.0
GTEX-13OVJ-0826-SM-5J1OK 50-59 years, female 106.8
GTEX-13W3W-0726-SM-5IJDQ 60-69 years, female 106.6
GTEX-ZDTS-0826-SM-4WKHL 60-69 years, male 106.5
GTEX-1C64N-2626-SM-7PC2N 50-59 years, male 106.5
GTEX-16AAH-0626-SM-793C9 50-59 years, male 106.4
GTEX-11ZU8-0126-SM-5EQ58 60-69 years, male 106.3
GTEX-17HHE-1326-SM-7EWDZ 50-59 years, male 106.0
GTEX-14C39-1726-SM-5RQIL 40-49 years, male 105.9
GTEX-ZZPU-0826-SM-5GZX5 50-59 years, female 105.8
GTEX-11DXY-0126-SM-5H11Q 60-69 years, male 105.7
GTEX-Y3I4-1726-SM-4TT89 50-59 years, male 105.7
GTEX-ZA64-1026-SM-5HL8R 20-29 years, male 105.6
GTEX-ZAK1-0626-SM-5HL8E 50-59 years, female 105.5
GTEX-11DXZ-2026-SM-5987S 50-59 years, male 105.2
GTEX-1HBPN-0126-SM-CGQEF 50-59 years, male 105.2
GTEX-ZF2S-1626-SM-57WES 50-59 years, female 105.0
GTEX-11P7K-1126-SM-5HL4L 30-39 years, male 104.7
GTEX-1AX9J-1326-SM-731BJ 60-69 years, male 104.7
GTEX-1LVAO-2726-SM-E9TJ8 60-69 years, male 104.6
GTEX-145MG-1526-SM-5Q5EM 50-59 years, male 104.4
GTEX-1JKYN-0826-SM-ARU8S 30-39 years, male 104.4
GTEX-ZDXO-3126-SM-5IJDF 60-69 years, male 104.3
GTEX-13IVO-0726-SM-5LZYV 70-79 years, male 104.2
GTEX-1IDFM-0326-SM-ARL7V 60-69 years, male 104.2
GTEX-1K2DA-1026-SM-CGQGF 50-59 years, male 104.2
GTEX-144GL-0626-SM-5LU4D 50-59 years, male 104.1
GTEX-W5X1-2526-SM-3GILC 40-49 years, female 104.1
GTEX-YECK-0326-SM-4W1YS 60-69 years, male 104.1
GTEX-1H1DE-1326-SM-9KNUG 20-29 years, male 104.0
GTEX-14E6C-2426-SM-5S2NF 40-49 years, male 103.8
GTEX-15DYW-2726-SM-6EU2I 60-69 years, female 103.7
GTEX-17HG3-2626-SM-7DUF2 30-39 years, female 103.7
GTEX-Y5V6-2326-SM-4VDSA 60-69 years, male 103.7
GTEX-1N2EE-0626-SM-E76PW 60-69 years, male 103.7
GTEX-13N1W-2426-SM-5IJD1 70-79 years, male 103.6
GTEX-13O61-1426-SM-5KM3D 60-69 years, male 103.6
GTEX-1GPI7-1826-SM-9KNU1 20-29 years, male 103.6
GTEX-ZVZP-1226-SM-5GID7 50-59 years, male 103.5
GTEX-1CAV2-0126-SM-7IGN7 40-49 years, female 103.3
GTEX-1GN73-0726-SM-7P8TJ 60-69 years, male 103.3
GTEX-15RIE-1926-SM-7KUKJ 60-69 years, male 103.2
GTEX-139YR-1026-SM-5LZYN 50-59 years, male 103.1
GTEX-13112-0126-SM-5P9IU 50-59 years, male 103.0
GTEX-1PBJJ-1026-SM-E76OS 30-39 years, male 103.0
GTEX-17EVP-2626-SM-7IGMA 40-49 years, male 102.9
GTEX-ZVE1-0726-SM-51MRN 50-59 years, female 102.9
GTEX-1KAFJ-0126-SM-DIPEK 50-59 years, male 102.9
GTEX-1B97I-0626-SM-73KUZ 40-49 years, male 102.8
GTEX-18D9A-1426-SM-7LT8M 30-39 years, female 102.8
GTEX-1S82U-1026-SM-E6CJK 30-39 years, female 102.7
GTEX-1I1CD-0626-SM-CE6SW 60-69 years, female 102.6
GTEX-1H1DF-1126-SM-9WG7G 40-49 years, female 102.5
GTEX-1H2FU-0926-SM-9WPPT 60-69 years, female 102.3
GTEX-XQ3S-1426-SM-4BOPR 20-29 years, male 102.2
GTEX-11VI4-1126-SM-5EQMD 40-49 years, female 102.1
GTEX-15CHR-1126-SM-7EWF4 50-59 years, male 102.1
GTEX-1LVA9-2626-SM-EVYD4 50-59 years, male 102.1
GTEX-1211K-1526-SM-5FQU4 60-69 years, female 102.0
GTEX-X8HC-0626-SM-4E3HQ 50-59 years, female 102.0
GTEX-1MJK3-0726-SM-E6CJC 20-29 years, male 101.9
GTEX-16XZZ-0726-SM-7KUF2 60-69 years, male 101.8
GTEX-1PIIG-2326-SM-DTXFR 30-39 years, male 101.8
GTEX-13FHO-0426-SM-5L3F5 60-69 years, male 101.7
GTEX-1QP29-1826-SM-DTX9S 50-59 years, male 101.7
GTEX-13OW6-2726-SM-5J2OE 50-59 years, male 101.6
GTEX-1212Z-0126-SM-59HK4 60-69 years, male 101.5
GTEX-14PJ4-0226-SM-5YY92 60-69 years, male 101.5
GTEX-1C6VQ-1226-SM-73KYD 50-59 years, male 101.5
GTEX-Y9LG-1126-SM-4VBQ7 30-39 years, male 101.4
GTEX-ZP4G-1426-SM-4WWCL 20-29 years, female 101.3
GTEX-12126-0826-SM-5FQTZ 20-29 years, male 101.1
GTEX-13RTJ-0126-SM-5S2NN 60-69 years, male 101.0
GTEX-14PHX-2226-SM-6EU2P 50-59 years, male 100.9
GTEX-1CAMQ-1326-SM-7P8RV 40-49 years, male 100.9
GTEX-1LSVX-2526-SM-DIPEU 60-69 years, male 100.9
GTEX-13O3O-2326-SM-5IJD6 60-69 years, female 100.8
GTEX-X3Y1-2026-SM-3P5YM 40-49 years, male 100.8
GTEX-1JN1M-2726-SM-CY8I4 60-69 years, female 100.7
GTEX-11DXW-0826-SM-5H118 40-49 years, male 100.6
GTEX-145ME-1726-SM-5Q5EU 40-49 years, female 100.6
GTEX-ZC5H-1526-SM-5HL9Y 40-49 years, female 100.6
GTEX-1A3MX-2626-SM-7PC24 60-69 years, male 100.6
GTEX-ZLV1-1526-SM-DO91J 60-69 years, female 100.6
GTEX-WFG8-2126-SM-3GIKQ 20-29 years, male 100.5
GTEX-1F48J-0726-SM-7RHGS 50-59 years, female 100.5
GTEX-1399R-1326-SM-5PNYS 30-39 years, male 100.4
GTEX-1F88F-0126-SM-9WYSZ 60-69 years, female 100.4
GTEX-111CU-1126-SM-5EGIM 50-59 years, male 100.3
GTEX-146FQ-2126-SM-5RQHU 30-39 years, male 100.3
GTEX-15RJE-2826-SM-7KUM9 40-49 years, male 100.3
GTEX-1R9K4-2826-SM-DTX8F 60-69 years, male 100.3
GTEX-1S831-1826-SM-EWROF 20-29 years, male 100.3
GTEX-1JMQJ-0826-SM-CNPP7 50-59 years, male 100.2
GTEX-1HB9E-0126-SM-CM2S5 50-59 years, male 100.1
GTEX-1IKJJ-2226-SM-CJI4C 60-69 years, male 100.0
GTEX-11ZTT-2126-SM-5CVLO 60-69 years, female 99.9
GTEX-1HC8U-1326-SM-9YFMJ 40-49 years, female 99.9
GTEX-111FC-2526-SM-5GZXU 60-69 years, male 99.8
GTEX-YJ8O-2526-SM-5HL85 40-49 years, female 99.8
GTEX-1H3O1-1326-SM-9MQLD 60-69 years, male 99.7
GTEX-1RMOY-1326-SM-E9TIH 50-59 years, male 99.7
GTEX-147GR-2426-SM-5ZZWQ 60-69 years, male 99.5
GTEX-13OW5-2326-SM-5L3HO 60-69 years, male 99.4
GTEX-1POEN-2326-SM-E9J2L 30-39 years, female 99.4
GTEX-1JMPY-0226-SM-CKZOK 30-39 years, male 99.3
GTEX-ZAB4-2126-SM-5HL8U 40-49 years, male 99.2
GTEX-117YX-1926-SM-5GIEC 50-59 years, male 99.1
GTEX-12ZZZ-0726-SM-5GCNZ 60-69 years, male 99.1
GTEX-ZE9C-2526-SM-5IJDR 60-69 years, male 98.9
GTEX-1HCU8-2526-SM-CE6RX 60-69 years, female 98.7
GTEX-11O72-0626-SM-5PNYE 40-49 years, male 98.6
GTEX-1JMLX-0626-SM-ARL8T 50-59 years, male 98.6
GTEX-14JG1-1526-SM-5YY9X 40-49 years, male 98.3
GTEX-1F52S-2926-SM-7MKGA 60-69 years, female 98.2
GTEX-1HSMQ-2626-SM-A9SML 50-59 years, male 98.2
GTEX-1LSNM-0826-SM-DIPG8 50-59 years, male 98.1
GTEX-1JMQK-1226-SM-D4P2S 60-69 years, male 98.0
GTEX-13113-1626-SM-5EQ4I 60-69 years, female 97.9
GTEX-14PKV-1126-SM-6LLJ1 20-29 years, female 97.9
GTEX-ZWKS-0626-SM-5GIDV 30-39 years, male 97.9
GTEX-1HCU6-2526-SM-ADEHL 60-69 years, female 97.9
GTEX-1CB4E-0926-SM-7EPHT 60-69 years, male 97.8
GTEX-1H1ZS-2726-SM-9WG75 70-79 years, male 97.8
GTEX-1HBPM-0726-SM-9YFL7 60-69 years, female 97.8
GTEX-145LS-0626-SM-7EPG7 60-69 years, female 97.7
GTEX-14E1K-2026-SM-7DUEI 50-59 years, male 97.7
GTEX-15ER7-0626-SM-6PANF 20-29 years, female 97.7
GTEX-11P82-1426-SM-DTXFY 20-29 years, male 97.7
GTEX-1HR98-2226-SM-ADEI2 60-69 years, male 97.7
GTEX-ZVTK-0226-SM-51MRG 20-29 years, male 97.6
GTEX-1GZ4I-2626-SM-9KNU3 50-59 years, male 97.6
GTEX-1NSGN-0726-SM-DTXEF 50-59 years, male 97.6
GTEX-1CB4J-1326-SM-7P8RX 60-69 years, male 97.5
GTEX-1KANB-2826-SM-CY8I6 50-59 years, male 97.5
GTEX-139TU-0726-SM-5L3EK 60-69 years, male 97.3
GTEX-1JK1U-0226-SM-ARZMX 60-69 years, male 97.3
GTEX-13FTW-0326-SM-5K7UW 40-49 years, male 97.2
GTEX-14ABY-2026-SM-62LDL 50-59 years, male 97.1
GTEX-1GZHY-0626-SM-9KNVC 50-59 years, female 97.0
GTEX-1C64O-1326-SM-7MGWR 60-69 years, male 96.9
GTEX-1GZ4H-0526-SM-9KNU9 50-59 years, female 96.9
GTEX-1IY9M-2826-SM-ARU8H 60-69 years, male 96.9
GTEX-1NV5F-0626-SM-DTXEG 60-69 years, female 96.9
GTEX-1GMR2-0826-SM-7PC3V 50-59 years, male 96.8
GTEX-1HFI6-0126-SM-CNPPI 40-49 years, male 96.8
GTEX-12WSD-0626-SM-5GCMW 60-69 years, female 96.7
GTEX-13SLX-2226-SM-62LEP 50-59 years, female 96.7
GTEX-1HSMO-0626-SM-ACKXC 60-69 years, male 96.7
GTEX-13OVH-0526-SM-5L3E6 70-79 years, male 96.5
GTEX-18A66-0626-SM-7LT8Z 60-69 years, male 96.5
GTEX-18A7B-2726-SM-7LG56 70-79 years, male 96.5
GTEX-13X6H-0926-SM-5SIB2 50-59 years, female 96.3
GTEX-XBEC-0726-SM-4QARZ 50-59 years, male 96.3
GTEX-1S82P-2126-SM-E6CI5 60-69 years, female 96.2
GTEX-11ZUS-2626-SM-5FQUR 30-39 years, male 96.1
GTEX-ZDYS-2426-SM-4WKGI 50-59 years, male 96.1
GTEX-1B8KE-1126-SM-7EPHI 50-59 years, male 96.0
GTEX-ZVT2-0126-SM-5GIDQ 50-59 years, female 96.0
GTEX-12WSA-0426-SM-5EQ5X 60-69 years, male 95.9
GTEX-1AX8Z-0726-SM-73KTS 60-69 years, male 95.9
GTEX-XAJ8-1426-SM-47JYM 40-49 years, male 95.8
GTEX-Z93S-1626-SM-5CVMB 50-59 years, male 95.8
GTEX-1RB15-1326-SM-E76Q9 60-69 years, male 95.8
GTEX-12WSF-1626-SM-7KUG5 70-79 years, male 95.7
GTEX-15CHQ-0326-SM-69LQD 60-69 years, male 95.7
GTEX-1BAJH-2426-SM-7IGP8 70-79 years, male 95.7
GTEX-XBED-1926-SM-47JYP 60-69 years, male 95.7
GTEX-1EMGI-2326-SM-7PBYA 60-69 years, male 95.7
GTEX-1JN76-0626-SM-CKZOQ 20-29 years, female 95.6
GTEX-17EVQ-0126-SM-7IGLR 70-79 years, male 95.5
GTEX-1H3VE-0726-SM-9YFL5 40-49 years, male 95.5
GTEX-ZPU1-1126-SM-4YCF3 40-49 years, male 95.4
GTEX-12ZZY-0726-SM-5EQ66 60-69 years, male 95.3
GTEX-17F98-1326-SM-7DUEP 40-49 years, female 95.3
GTEX-1I1GV-0626-SM-ARL7M 60-69 years, male 95.2
GTEX-1J8JJ-0626-SM-ARZMQ 60-69 years, female 95.0
GTEX-13O3Q-0126-SM-5KM34 50-59 years, male 94.9
GTEX-15DDE-2926-SM-6LLJ3 50-59 years, female 94.9
GTEX-15D1Q-2826-SM-6LLH7 40-49 years, male 94.7
GTEX-144GO-2026-SM-5O99P 60-69 years, male 94.6
GTEX-ZTTD-2826-SM-4YCFA 50-59 years, male 94.6
GTEX-1GPI6-1926-SM-9KNV7 60-69 years, male 94.6
GTEX-131XG-0326-SM-5L3DX 50-59 years, female 94.5
GTEX-139TS-2126-SM-5K7XC 60-69 years, male 94.5
GTEX-1JMQI-1726-SM-ARL93 50-59 years, male 94.5
GTEX-13NZ9-2626-SM-5L3FK 50-59 years, male 94.4
GTEX-1HKZK-0726-SM-ACKW2 40-49 years, male 94.4
GTEX-1R46S-2426-SM-E76QA 60-69 years, female 94.4
GTEX-11EQ8-0926-SM-5H12V 60-69 years, male 94.3
GTEX-14BMV-2826-SM-5TDED 50-59 years, male 94.3
GTEX-WFON-1926-SM-3LK7L 40-49 years, male 94.3
GTEX-1LG7Y-2526-SM-EWRO7 50-59 years, male 94.3
GTEX-11GS4-0226-SM-5HL77 60-69 years, male 94.2
GTEX-11UD2-2526-SM-5CVNU 50-59 years, male 94.2
GTEX-X4EO-2926-SM-4E3JH 60-69 years, female 94.2
GTEX-XV7Q-1826-SM-4BRUV 40-49 years, female 94.2
GTEX-XUW1-0926-SM-4BONX 50-59 years, female 94.1
GTEX-1GTWX-2026-SM-9YFLM 60-69 years, male 94.1
GTEX-1H1DG-2426-SM-9QEHJ 70-79 years, male 94.1
GTEX-11P81-2226-SM-5PNYI 30-39 years, female 93.9
GTEX-13OVL-0126-SM-5L3GJ 50-59 years, male 93.9
GTEX-ZUA1-2626-SM-5NQ92 40-49 years, male 93.9
GTEX-1PPGY-1626-SM-EVYBL 60-69 years, male 93.9
GTEX-12KS4-2126-SM-5FQUT 30-39 years, male 93.8
GTEX-1HGF4-0126-SM-CNPPX 60-69 years, male 93.8
GTEX-139UW-0326-SM-5J1ML 60-69 years, male 93.7
GTEX-XPVG-2126-SM-4B667 50-59 years, male 93.7
GTEX-1EN7A-2426-SM-793DB 40-49 years, male 93.6
GTEX-ZAJG-1526-SM-5CVML 50-59 years, female 93.6
GTEX-ZYY3-2926-SM-5GIEB 60-69 years, female 93.5
GTEX-1I4MK-0126-SM-CY8G6 50-59 years, female 93.5
GTEX-1IDJC-1526-SM-B2LW4 50-59 years, male 93.5
GTEX-1LG7Z-1626-SM-CXKYR 30-39 years, male 93.5
GTEX-16Z82-2626-SM-7KULU 60-69 years, male 93.4
GTEX-Y8LW-1526-SM-5IFHL 50-59 years, female 93.4
GTEX-1GF9V-0826-SM-9KNUV 60-69 years, male 93.4
GTEX-13FTY-2126-SM-5IFFB 40-49 years, female 93.3
GTEX-13X6I-1826-SM-5SIAO 60-69 years, male 93.3
GTEX-14A6H-2026-SM-5Q5DD 30-39 years, male 93.3
GTEX-ZF29-0926-SM-4WKFZ 60-69 years, female 93.3
GTEX-18QFQ-1826-SM-72D52 30-39 years, male 93.2
GTEX-131YS-2826-SM-5EQ47 60-69 years, female 93.1
GTEX-WHPG-2626-SM-3NMBR 50-59 years, male 93.1
GTEX-1IDJD-2326-SM-ACKWX 30-39 years, male 93.1
GTEX-1QPFJ-1926-SM-EVYBD 30-39 years, female 93.1
GTEX-1HBPI-2126-SM-ARL9K 50-59 years, male 93.0
GTEX-1IL2V-1926-SM-B2LW8 70-79 years, male 92.9
GTEX-1MCYP-0526-SM-E9U6Q 20-29 years, female 92.9
GTEX-1F75A-0726-SM-7RHHD 50-59 years, male 92.8
GTEX-WHWD-1826-SM-3LK6I 50-59 years, male 92.7
GTEX-13NYS-0626-SM-5L3F1 60-69 years, male 92.6
GTEX-131XW-0626-SM-5PNVD 50-59 years, female 92.5
GTEX-1I19N-0126-SM-CYPSF 70-79 years, male 92.3
GTEX-14AS3-1526-SM-5Q5ED 40-49 years, female 92.1
GTEX-ZDTT-0426-SM-4WKFL 60-69 years, male 92.1
GTEX-139TT-2126-SM-5LZWC 60-69 years, male 92.0
GTEX-15EU6-2226-SM-6EU2L 50-59 years, male 92.0
GTEX-1I1GP-1326-SM-A9G28 50-59 years, male 92.0
GTEX-18A6Q-0626-SM-7KFRP 60-69 years, male 91.9
GTEX-1KANA-1326-SM-DIPFA 20-29 years, male 91.9
GTEX-148VJ-0626-SM-5LUAW 70-79 years, male 91.8
GTEX-13VXT-1926-SM-5K7UO 20-29 years, female 91.7
GTEX-145MN-1526-SM-5SI9T 30-39 years, male 91.5
GTEX-X4EP-0626-SM-3P621 60-69 years, female 91.5
GTEX-1F75I-2226-SM-7SB8U 40-49 years, male 91.5
GTEX-14753-0726-SM-5QGQO 60-69 years, male 91.4
GTEX-1A8G6-2726-SM-731AR 60-69 years, male 91.4
GTEX-ZLWG-0826-SM-59888 50-59 years, female 91.4
GTEX-12WSL-2026-SM-5GCML 50-59 years, male 91.3
GTEX-1EKGG-0626-SM-7DUGJ 60-69 years, male 91.3
GTEX-1JJE9-2626-SM-ARZMT 70-79 years, male 91.3
GTEX-1R7EU-1626-SM-DTXG3 60-69 years, male 91.3
GTEX-1EWIQ-0326-SM-7DHMQ 70-79 years, female 91.2
GTEX-1PDJ9-1226-SM-EXUSX 20-29 years, male 91.2
GTEX-11GSP-2326-SM-5HL63 60-69 years, female 91.1
GTEX-13OVK-1426-SM-6PAN7 40-49 years, male 91.1
GTEX-145MH-2826-SM-5RQJF 50-59 years, male 91.0
GTEX-1K2DU-1226-SM-CYPT4 20-29 years, male 91.0
GTEX-1LSNL-2726-SM-E9TKJ 50-59 years, male 91.0
GTEX-11EQ9-1626-SM-5PNY8 30-39 years, male 90.9
GTEX-13OW7-0426-SM-5K7VK 50-59 years, male 90.9
GTEX-1H4P4-2126-SM-9WYSL 50-59 years, male 90.9
GTEX-13N11-2326-SM-5IJBF 50-59 years, female 90.8
GTEX-1C6VR-0126-SM-7RHGB 60-69 years, male 90.7
GTEX-1F6RS-2026-SM-7RHHC 60-69 years, female 90.7
GTEX-1H1E6-0426-SM-9WYUS 30-39 years, male 90.7
GTEX-1J8QM-2426-SM-A9SLS 60-69 years, female 90.7
GTEX-ZPIC-0526-SM-DO91W 40-49 years, female 90.7
GTEX-14PJ6-2626-SM-6EU2T 60-69 years, female 90.6
GTEX-ZVT4-2426-SM-5GIEI 50-59 years, female 90.6
GTEX-ZYT6-2326-SM-5GZY3 30-39 years, male 90.6
GTEX-15EO6-2426-SM-6PALZ 50-59 years, male 90.4
GTEX-13FLV-0126-SM-5K7WT 50-59 years, male 90.3
GTEX-16MT8-2926-SM-7DUFO 60-69 years, female 90.3
GTEX-1HSGN-0826-SM-ACKW3 40-49 years, female 90.3
GTEX-VUSG-2326-SM-4KL1U 50-59 years, male 90.2
GTEX-1GZ2Q-0126-SM-9WG6M 40-49 years, male 90.1
GTEX-1LB8K-0726-SM-D5OV2 50-59 years, male 90.0
GTEX-17KNJ-2126-SM-718AM 50-59 years, male 89.9
GTEX-1F75B-0726-SM-7PC3R 50-59 years, male 89.9
GTEX-17HHY-0426-SM-7DHLC 50-59 years, male 89.8
GTEX-1HFI7-2326-SM-CGQFS 50-59 years, female 89.7
GTEX-1I1HK-2326-SM-CKZOH 60-69 years, male 89.7
GTEX-WRHU-2826-SM-3MJG8 50-59 years, female 89.6
GTEX-1JMPZ-0726-SM-CY8HZ 30-39 years, male 89.5
GTEX-XMD2-2126-SM-4YCF8 60-69 years, female 89.4
GTEX-WY7C-2126-SM-3NB2R 50-59 years, male 89.3
GTEX-13N2G-0226-SM-5K7VF 60-69 years, male 89.2
GTEX-1AX9I-2226-SM-73KUO 60-69 years, male 89.2
GTEX-14JFF-0626-SM-5ZZVT 60-69 years, male 89.2
GTEX-1A8FM-0626-SM-7PC25 50-59 years, female 89.2
GTEX-12BJ1-0926-SM-5EQ62 60-69 years, male 89.1
GTEX-13SLW-0626-SM-5Q5ER 70-79 years, male 89.1
GTEX-145MI-0626-SM-5SI8S 60-69 years, female 89.0
GTEX-133LE-2326-SM-5K7W3 20-29 years, female 88.9
GTEX-13VXU-0626-SM-5L3F9 50-59 years, male 88.9
GTEX-15CHC-1126-SM-6LLHQ 60-69 years, female 88.9
GTEX-13X6K-0626-SM-5LU5D 60-69 years, female 88.7
GTEX-1269C-0126-SM-5EQ5L 60-69 years, female 88.5
GTEX-1B996-0426-SM-7EWF8 60-69 years, male 88.4
GTEX-13D11-0926-SM-5J2NC 50-59 years, female 88.3
GTEX-15FZZ-0526-SM-7KUGD 30-39 years, female 88.3
GTEX-1IDJE-1426-SM-ADEIW 50-59 years, female 88.2
GTEX-14E6E-0526-SM-793DN 30-39 years, male 87.9
GTEX-1GN1V-2826-SM-9JGIA 60-69 years, male 87.9
GTEX-1IDJI-0126-SM-CMKHS 50-59 years, female 87.8
GTEX-1QW4Y-1126-SM-DTXE3 30-39 years, male 87.8
GTEX-14DAR-1226-SM-73KYV 50-59 years, male 87.5
GTEX-1IOXB-2726-SM-CM2RI 50-59 years, male 87.4
GTEX-1RLM8-2926-SM-E8VON 50-59 years, male 87.4
GTEX-1QMI2-2526-SM-E8VNZ 60-69 years, male 87.3
GTEX-ZYFG-1526-SM-5GZYM 60-69 years, female 87.2
GTEX-1HR9M-2226-SM-CNPPY 60-69 years, male 87.2
GTEX-18D9U-0126-SM-731BM 40-49 years, male 87.1
GTEX-1KANC-1226-SM-CYPT7 50-59 years, female 87.1
GTEX-WYJK-0526-SM-3NM8Z 50-59 years, male 86.7
GTEX-1J8Q3-0526-SM-ARL8U 60-69 years, male 86.7
GTEX-1J1R8-2026-SM-CL53Y 40-49 years, male 86.6
GTEX-18465-2826-SM-7LT9J 50-59 years, male 86.5
GTEX-15SKB-2826-SM-6PAMH 60-69 years, male 86.4
GTEX-13OVG-1626-SM-5J1NF 60-69 years, male 86.3
GTEX-131XF-2626-SM-5EQ6K 60-69 years, male 86.2
GTEX-1J8Q2-2626-SM-ACKWQ 60-69 years, male 86.2
GTEX-1B933-2426-SM-7DHMD 50-59 years, female 86.1
GTEX-1IE54-1126-SM-A9G2Z 40-49 years, female 86.1
GTEX-13PVQ-0626-SM-5LU47 50-59 years, male 85.9
GTEX-1HSKV-1226-SM-ADEI4 60-69 years, male 85.9
GTEX-13NZ8-1226-SM-5KM4A 60-69 years, female 85.8
GTEX-14LLW-2626-SM-62LDZ 70-79 years, female 85.8
GTEX-1IDJV-0126-SM-COH3Y 60-69 years, male 85.7
GTEX-1J1OQ-0126-SM-D4P2N 40-49 years, female 85.6
GTEX-1QEPI-2626-SM-DTXF4 60-69 years, female 85.6
GTEX-1399U-1126-SM-5L3DB 50-59 years, female 85.5
GTEX-ZYFC-0426-SM-5GICQ 50-59 years, male 85.4
GTEX-1QP66-1226-SM-DTX7U 50-59 years, male 85.4
GTEX-1C2JI-1026-SM-73KY1 50-59 years, male 85.1
GTEX-YEC3-1326-SM-DO92X 50-59 years, male 85.1
GTEX-1GN2E-0226-SM-9WG6K 60-69 years, male 85.0
GTEX-139T8-0626-SM-5KLZX 60-69 years, male 84.9
GTEX-1F88E-1626-SM-7SB8Z 60-69 years, female 84.9
GTEX-1GN1W-2426-SM-9KNUU 50-59 years, female 84.9
GTEX-14PII-0726-SM-6EU2B 60-69 years, male 84.8
GTEX-1JKYR-0626-SM-ARL8R 20-29 years, male 84.7
GTEX-Y8E4-2026-SM-5IFJB 40-49 years, male 84.6
GTEX-145LU-1926-SM-79OJN 50-59 years, male 84.5
GTEX-145MO-2826-SM-5LU96 60-69 years, male 84.5
GTEX-13JUV-2026-SM-5K7UA 40-49 years, female 84.4
GTEX-1GMR8-0626-SM-7RHI7 50-59 years, female 84.4
GTEX-1M4P7-0726-SM-E6CJ3 60-69 years, male 84.4
GTEX-1LVAM-0726-SM-E6CIL 50-59 years, female 84.3
GTEX-111YS-1526-SM-5GZYW 60-69 years, male 84.2
GTEX-1497J-0226-SM-5QGPU 60-69 years, male 84.2
GTEX-1CB4F-1026-SM-7DUH1 60-69 years, male 84.1
GTEX-1F5PL-0926-SM-7PC2W 40-49 years, female 84.1
GTEX-1HCU9-0426-SM-9WYSD 20-29 years, male 84.1
GTEX-16BQI-1326-SM-6M486 30-39 years, female 84.0
GTEX-1JN6P-2926-SM-CL54D 60-69 years, male 84.0
GTEX-1LGRB-0926-SM-COH3K 50-59 years, female 83.8
GTEX-1RAZR-2126-SM-E9U6T 40-49 years, male 83.8
GTEX-13X6J-0626-SM-5LU5F 50-59 years, male 83.7
GTEX-1A32A-0626-SM-731AQ 50-59 years, female 83.7
GTEX-ZZ64-1026-SM-5GZXG 20-29 years, male 83.7
GTEX-1I6K7-1926-SM-B2LXR 40-49 years, male 83.7
GTEX-1QCLY-0226-SM-EWRNH 30-39 years, male 83.7
GTEX-1A3MV-1826-SM-731CD 30-39 years, male 83.5
GTEX-11EM3-1226-SM-5N9DD 20-29 years, female 83.3
GTEX-1IDJU-1726-SM-CMKHU 60-69 years, female 83.1
GTEX-11LCK-2226-SM-5HL4Q 30-39 years, male 83.0
GTEX-1CB4I-0126-SM-7RHGG 50-59 years, male 82.9
GTEX-1I1GS-2626-SM-B2LY3 60-69 years, male 82.9
GTEX-WK11-2726-SM-3NMAQ 50-59 years, male 82.8
GTEX-ZGAY-1826-SM-DO91Q 40-49 years, female 82.7
GTEX-1477Z-0326-SM-7IGLA 60-69 years, male 82.6
GTEX-1S5ZU-2526-SM-E6CIF 20-29 years, female 82.6
GTEX-147F3-1726-SM-5SIAW 50-59 years, female 82.5
GTEX-11TUW-0626-SM-5LU9M 60-69 years, male 82.4
GTEX-16GPK-0626-SM-7KFSF 60-69 years, male 82.4
GTEX-14JG6-1426-SM-9WG7C 30-39 years, female 82.4
GTEX-14BMU-1226-SM-5S2OR 20-29 years, female 82.3
GTEX-16NGA-0726-SM-731AO 40-49 years, female 82.3
GTEX-1B8SF-0126-SM-7DUG3 60-69 years, male 82.3
GTEX-1I6K6-1726-SM-CGQFD 30-39 years, male 82.2
GTEX-1IDJH-0126-SM-D3L92 70-79 years, male 82.2
GTEX-1A8G7-1326-SM-73KVM 60-69 years, male 82.1
GTEX-183WM-0326-SM-72D5V 70-79 years, female 82.0
GTEX-1F5PK-2226-SM-7SB6N 50-59 years, male 82.0
GTEX-1KXAM-1626-SM-D3LAD 60-69 years, male 82.0
GTEX-1122O-1026-SM-9WYSF 60-69 years, female 81.8
GTEX-13PVR-0426-SM-5RQK2 60-69 years, female 81.7
GTEX-1ICLY-0826-SM-CMKG1 50-59 years, male 81.7
GTEX-13QJC-0126-SM-5ZZWJ 60-69 years, female 81.6
GTEX-ZT9W-1126-SM-57WDR 50-59 years, male 81.6
GTEX-1K9T9-1526-SM-DIPFR 50-59 years, female 81.6
GTEX-1CB4H-1126-SM-7MKGL 60-69 years, female 81.4
GTEX-1KD5A-0126-SM-E9U54 50-59 years, male 81.4
GTEX-18A7A-0126-SM-731AH 50-59 years, female 81.0
GTEX-13OW8-1026-SM-5J1NQ 60-69 years, male 80.9
GTEX-1B8L1-2226-SM-7P8PT 60-69 years, male 80.9
GTEX-1ICG6-1226-SM-A9SLN 70-79 years, female 80.9
GTEX-12C56-1526-SM-5FQUQ 20-29 years, male 80.8
GTEX-1JJ6O-2726-SM-CNPOG 60-69 years, male 80.8
GTEX-1N5O9-0926-SM-E9J3C 60-69 years, male 80.8
GTEX-144GM-0526-SM-79OJO 20-29 years, male 80.7
GTEX-1RAZS-2526-SM-E6CHT 50-59 years, male 80.7
GTEX-14DAQ-0626-SM-793DS 60-69 years, female 80.6
GTEX-18A67-1626-SM-7LT9T 50-59 years, male 80.5
GTEX-1F75W-2726-SM-7SB8H 60-69 years, male 80.5
GTEX-1QCLZ-2426-SM-EVYBW 60-69 years, female 80.5
GTEX-1GF9W-1426-SM-7PBYM 60-69 years, male 80.4
GTEX-17MFQ-1526-SM-7KFRR 20-29 years, male 80.3
GTEX-17JCI-2926-SM-7DUFF 60-69 years, female 80.0
GTEX-X5EB-1926-SM-4E3IW 40-49 years, male 79.8
GTEX-1E1VI-0326-SM-793D1 50-59 years, male 79.6
GTEX-145MF-0926-SM-5Q5EA 50-59 years, male 79.5
GTEX-YEC4-1826-SM-4W1YP 40-49 years, male 79.5
GTEX-14PJ5-1526-SM-6LLIL 60-69 years, female 79.3
GTEX-1C475-1326-SM-7SB73 40-49 years, female 79.2
GTEX-1GF9X-1326-SM-7PC2Y 40-49 years, female 79.0
GTEX-12696-0126-SM-5EQ4L 60-69 years, male 78.8
GTEX-1314G-1326-SM-5BC6E 30-39 years, male 78.7
GTEX-145LT-0526-SM-5LUB2 40-49 years, male 78.4
GTEX-1H3NZ-2726-SM-9WYTQ 60-69 years, male 78.2
GTEX-1LGOU-1326-SM-D3L8M 20-29 years, female 78.0
GTEX-1S83E-1326-SM-E6CJM 40-49 years, male 78.0
GTEX-13U4I-2226-SM-5LU5H 40-49 years, female 77.8
GTEX-1GL5R-1326-SM-7RHHF 50-59 years, male 77.8
GTEX-1QP28-1126-SM-EVYC4 50-59 years, female 77.8
GTEX-12WSM-1926-SM-5BC65 60-69 years, male 77.6
GTEX-1L5NE-1126-SM-D3L9P 50-59 years, male 77.6
GTEX-14PJN-1826-SM-6AJ98 30-39 years, male 77.5
GTEX-YF7O-1526-SM-5IFI6 50-59 years, male 77.5
GTEX-11EI6-2826-SM-5H11D 60-69 years, male 77.1
GTEX-14B4R-1326-SM-5Q5EZ 30-39 years, male 77.1
GTEX-1HUB1-1426-SM-CGQF5 60-69 years, male 77.1
GTEX-1HCVE-2726-SM-CL54F 50-59 years, male 76.9
GTEX-14C5O-0326-SM-5ZZUX 60-69 years, male 76.7
GTEX-1F6IF-0926-SM-7SB7M 60-69 years, male 76.7
GTEX-1GN1U-0626-SM-9MQL9 50-59 years, female 76.5
GTEX-UPJH-0226-SM-3GADV 50-59 years, male 76.2
GTEX-1GMR3-0126-SM-A9SLW 40-49 years, male 76.1
GTEX-16NPX-0726-SM-7KULC 50-59 years, male 76.0
GTEX-14PJ2-0626-SM-6LLII 50-59 years, male 75.4
GTEX-ZVE2-2826-SM-5GU51 50-59 years, male 75.4
GTEX-178AV-1726-SM-7KUL8 40-49 years, male 75.2
GTEX-13QBU-1226-SM-5LU4G 40-49 years, female 75.1
GTEX-Y5V5-0126-SM-5S2NW 60-69 years, female 75.1
GTEX-1IDJF-2026-SM-CL53V 20-29 years, male 74.7
GTEX-17MF6-2626-SM-79OKQ 40-49 years, male 73.7
GTEX-WYBS-0626-SM-3NMAS 60-69 years, female 73.7
GTEX-1KWVE-1026-SM-D3L9O 30-39 years, male 73.0
GTEX-14PKU-0126-SM-6LLHV 40-49 years, female 72.9
GTEX-WYVS-1626-SM-3NM9R 40-49 years, female 72.5
GTEX-12WSC-2826-SM-5BC5Y 50-59 years, male 71.7
GTEX-1EH9U-2826-SM-7DUGT 60-69 years, male 71.1
GTEX-183FY-1026-SM-7939A 20-29 years, male 69.1
GTEX-1B8KZ-0326-SM-73KY4 50-59 years, male 68.8
GTEX-1EU9M-1426-SM-793AI 60-69 years, male 68.8
GTEX-1AMEY-0826-SM-72D65 30-39 years, female 68.1
GTEX-1B932-2326-SM-79OL5 40-49 years, female 66.5
GTEX-WEY5-2326-SM-3GIKK 40-49 years, female 66.3
GTEX-1RAZA-2226-SM-E9U4X 20-29 years, male 65.7
GTEX-147JS-0226-SM-5S2U9 60-69 years, male 65.4
GTEX-1AMFI-1326-SM-7939R 50-59 years, female 65.4
GTEX-UPK5-0426-SM-3GAEK 40-49 years, male 65.0
GTEX-1GF9U-2026-SM-7SB92 40-49 years, female 61.6
GTEX-V1D1-2026-SM-3GAF4 50-59 years, male 58.8
GTEX-VJYA-1526-SM-3GIJV 60-69 years, male 50.7
Show allShow less
Skin - Sun Exposed (Lower leg)
Average nTPM: 95.4
Samples: 701

Max nTPM: 216.4
Min nTPM: 49.7
Std nTPM: 17.9
Median nTPM: 93.5
GTEX-11WQK-0526-SM-5EQLD 50-59 years, male 216.4
GTEX-POMQ-2226-SM-2I5FK 20-29 years, female 198.9
GTEX-W5X1-3026-SM-EAZAX 40-49 years, female 181.2
GTEX-RUSQ-1526-SM-2TF62 50-59 years, male 180.6
GTEX-Y3IK-2426-SM-4WWDU 50-59 years, female 174.3
GTEX-139UW-2826-SM-5L3E7 60-69 years, male 161.5
GTEX-183WM-0126-SM-7LTAB 70-79 years, female 157.3
GTEX-SE5C-1626-SM-2XCE3 40-49 years, female 155.3
GTEX-O5YT-0126-SM-48TBW 20-29 years, male 154.0
GTEX-ZVZO-0126-SM-5A5L9 40-49 years, male 153.7
GTEX-XUZC-1726-SM-4BRWS 30-39 years, female 151.4
GTEX-XYKS-2126-SM-4E3IB 60-69 years, female 144.6
GTEX-1399U-2326-SM-5K7WY 50-59 years, female 143.0
GTEX-1LBAC-0126-SM-DIPEZ 20-29 years, male 140.9
GTEX-X4XY-0226-SM-4E3IZ 60-69 years, male 140.6
GTEX-OHPL-0126-SM-2HMJ7 60-69 years, female 138.6
GTEX-11DYG-0126-SM-59883 60-69 years, male 138.3
GTEX-NPJ8-0126-SM-2YUNR 40-49 years, male 138.1
GTEX-Q2AI-1326-SM-2S1PL 40-49 years, male 136.7
GTEX-Y114-2426-SM-4TT8A 50-59 years, female 136.7
GTEX-WI4N-1026-SM-3LK7N 40-49 years, female 134.4
GTEX-Q734-1926-SM-2I5EV 40-49 years, female 131.3
GTEX-P4QT-0126-SM-2I3FL 50-59 years, female 129.9
GTEX-T6MN-0126-SM-32PLP 50-59 years, male 129.9
GTEX-14E6C-0126-SM-5RQIP 40-49 years, male 129.3
GTEX-15SB6-1726-SM-6PAME 50-59 years, female 127.9
GTEX-18D9A-1926-SM-7LG6P 30-39 years, female 127.0
GTEX-X88G-0126-SM-47JZ3 30-39 years, male 126.5
GTEX-14E6E-1826-SM-5S2R7 30-39 years, male 126.4
GTEX-OIZH-0126-SM-2HMIS 50-59 years, male 125.7
GTEX-14PK6-1926-SM-6ETZU 70-79 years, female 125.4
GTEX-11DXZ-2326-SM-5EGGV 50-59 years, male 125.2
GTEX-146FQ-0126-SM-5NQA9 30-39 years, male 125.2
GTEX-13FTW-2626-SM-5K7WL 40-49 years, male 125.0
GTEX-17JCI-0126-SM-7LG5G 60-69 years, female 125.0
GTEX-13FXS-0226-SM-5IJCK 50-59 years, male 124.9
GTEX-1HB9E-0226-SM-E9U4R 50-59 years, male 124.7
GTEX-1122O-2126-SM-5EGIR 60-69 years, female 124.4
GTEX-P4PP-0126-SM-3LK69 30-39 years, female 124.1
GTEX-15UF6-0826-SM-6PALJ 70-79 years, female 123.2
GTEX-RVPV-0126-SM-EAZAW 60-69 years, male 122.7
GTEX-11TT1-2526-SM-5EGIB 20-29 years, male 122.5
GTEX-13FHP-0126-SM-5IJBG 50-59 years, male 122.5
GTEX-15EOM-0126-SM-7KUGG 20-29 years, female 122.3
GTEX-1HFI6-0226-SM-ADEHZ 40-49 years, male 122.3
GTEX-18A7A-0226-SM-718BH 50-59 years, female 120.7
GTEX-P4PQ-0126-SM-2S1NM 60-69 years, male 120.6
GTEX-1A3MX-0126-SM-731BR 60-69 years, male 120.5
GTEX-11UD1-0126-SM-5PNYG 40-49 years, female 120.3
GTEX-1EMGI-0126-SM-9KNUE 60-69 years, male 120.1
GTEX-ZAJG-0126-SM-5HL94 50-59 years, female 119.7
GTEX-1JMQL-0226-SM-CNPP5 50-59 years, female 119.6
GTEX-Y5V6-2426-SM-4VDSB 60-69 years, male 119.5
GTEX-XQ8I-0426-SM-4BOPO 50-59 years, male 119.4
GTEX-1QP9N-1426-SM-DTXFL 30-39 years, male 119.3
GTEX-ZV68-0126-SM-59HKS 50-59 years, female 119.2
GTEX-PX3G-0126-SM-2I3EN 20-29 years, female 119.0
GTEX-1N2DW-0226-SM-E9TK2 50-59 years, male 118.3
GTEX-1R9PM-2026-SM-E76OY 20-29 years, male 118.3
GTEX-RTLS-0126-SM-447CA 60-69 years, female 118.2
GTEX-1M5QR-1226-SM-EWROB 40-49 years, male 118.1
GTEX-U412-0426-SM-3DB9O 60-69 years, male 118.0
GTEX-11H98-0126-SM-5EGHG 50-59 years, male 117.9
GTEX-ZF3C-0126-SM-DO92D 50-59 years, female 117.6
GTEX-ZXES-1826-SM-5E43S 30-39 years, female 117.5
GTEX-13CF2-2526-SM-5LZYX 60-69 years, male 117.3
GTEX-QDT8-0126-SM-48TZ1 30-39 years, female 117.0
GTEX-TMZS-0126-SM-3DB9Q 60-69 years, male 116.8
GTEX-ZE7O-0126-SM-57WC1 50-59 years, female 116.8
GTEX-ZVTK-0426-SM-51MRS 20-29 years, male 116.7
GTEX-ZYFD-0126-SM-5GIDL 50-59 years, male 116.5
GTEX-144FL-0126-SM-5TDC8 50-59 years, male 116.4
GTEX-12126-0326-SM-5PNW3 20-29 years, male 116.3
GTEX-S33H-1026-SM-EZ6L6 30-39 years, male 116.2
GTEX-OOBK-0126-SM-2YUND 40-49 years, male 116.1
GTEX-14XAO-2326-SM-6EU1B 60-69 years, female 116.0
GTEX-UJHI-1526-SM-3DB99 50-59 years, female 115.8
GTEX-1HR98-0126-SM-B2LWI 60-69 years, male 115.8
GTEX-1I1GV-0526-SM-A9G29 60-69 years, male 115.8
GTEX-17HHY-0126-SM-7LG5D 50-59 years, male 115.6
GTEX-1K2DA-1826-SM-CGQGT 50-59 years, male 115.4
GTEX-1PIIG-0226-SM-EWRN6 30-39 years, male 115.4
GTEX-111FC-0126-SM-5N9DL 60-69 years, male 115.1
GTEX-X8HC-0126-SM-4E3JW 50-59 years, female 114.9
GTEX-T2YK-0526-SM-32QPJ 50-59 years, male 114.3
GTEX-13G51-2526-SM-5LZYK 60-69 years, male 114.0
GTEX-XMD2-0126-SM-4YCDU 60-69 years, female 114.0
GTEX-PWCY-1826-SM-DHXIZ 20-29 years, female 113.9
GTEX-1AYCT-2426-SM-7IGQ3 50-59 years, male 113.8
GTEX-ZVT2-2526-SM-51MT1 50-59 years, female 113.6
GTEX-1KD4Q-0226-SM-E9TJ9 40-49 years, male 113.6
GTEX-11P82-1626-SM-59879 20-29 years, male 113.2
GTEX-131XH-2226-SM-5DUXJ 50-59 years, male 113.0
GTEX-O5YW-0126-SM-3LK6D 50-59 years, male 113.0
GTEX-WH7G-2326-SM-3NMBC 40-49 years, male 112.9
GTEX-ZTPG-0326-SM-5O9AX 20-29 years, female 112.9
GTEX-XXEK-2226-SM-4BRUM 50-59 years, male 112.3
GTEX-X4XX-0126-SM-3NMC2 60-69 years, male 112.1
GTEX-1IOXB-0126-SM-ARL8G 50-59 years, male 112.1
GTEX-1R9K4-0126-SM-DTX9X 60-69 years, male 112.1
GTEX-U8XE-0326-SM-3DB8P 30-39 years, male 112.0
GTEX-ZAK1-0126-SM-5IJD3 50-59 years, female 112.0
GTEX-11NSD-2226-SM-5986V 20-29 years, male 111.9
GTEX-ZDYS-2026-SM-5HL5L 50-59 years, male 111.8
GTEX-139TS-2826-SM-5J1OO 60-69 years, male 111.3
GTEX-ZY6K-1826-SM-5GZXK 50-59 years, male 111.1
GTEX-1CAV2-2226-SM-7P8P2 40-49 years, female 110.9
GTEX-Y8DK-0126-SM-4TT3L 60-69 years, male 110.8
GTEX-1CAMS-0426-SM-7P8T2 40-49 years, female 110.5
GTEX-14JG1-0426-SM-6ETZZ 40-49 years, male 110.4
GTEX-1192W-2626-SM-5Q5AF 60-69 years, male 110.3
GTEX-1H1CY-2826-SM-9MQM3 60-69 years, female 110.3
GTEX-1LNCM-1126-SM-E9U5E 50-59 years, female 109.9
GTEX-ZE9C-2726-SM-57WB5 60-69 years, male 109.7
GTEX-1LC47-0326-SM-E9TJP 60-69 years, male 109.6
GTEX-ZU9S-0226-SM-5E441 30-39 years, male 109.4
GTEX-15UKP-0426-SM-7KUFQ 20-29 years, male 109.2
GTEX-1497J-2426-SM-7IGNX 60-69 years, male 109.1
GTEX-144GN-2326-SM-5LU4F 50-59 years, male 109.0
GTEX-139D8-0226-SM-5KLZO 30-39 years, female 108.9
GTEX-1LGOU-2026-SM-DIPFF 20-29 years, female 108.3
GTEX-Z93S-0126-SM-5HL7M 50-59 years, male 108.0
GTEX-1H3VE-0326-SM-9YFLH 40-49 years, male 108.0
GTEX-1192X-0226-SM-5H12D 50-59 years, male 107.9
GTEX-1QP67-1626-SM-EAZ3X 40-49 years, female 107.8
GTEX-1HBPM-0226-SM-ARL9F 60-69 years, female 107.7
GTEX-11TTK-0126-SM-5987B 60-69 years, female 107.5
GTEX-13OVK-2026-SM-7KUEO 40-49 years, male 107.5
GTEX-Y3I4-2126-SM-4TT7C 50-59 years, male 107.5
GTEX-1F5PL-0326-SM-7P8PQ 40-49 years, female 107.5
GTEX-1L5NE-2526-SM-E6CIE 50-59 years, male 107.3
GTEX-SUCS-1926-SM-32PM3 70-79 years, male 107.2
GTEX-1JMLX-0226-SM-CM2RO 50-59 years, male 107.2
GTEX-14A5H-0426-SM-5QGQF 60-69 years, male 107.0
GTEX-1S3DN-2226-SM-EVYCD 50-59 years, male 107.0
GTEX-117XS-2726-SM-5N9BL 60-69 years, male 106.9
GTEX-1A32A-0126-SM-718B1 50-59 years, female 106.8
GTEX-11O72-0126-SM-59887 40-49 years, male 106.7
GTEX-132NY-0326-SM-5IJBL 60-69 years, male 106.7
GTEX-Z93T-0126-SM-5HL5N 50-59 years, male 106.6
GTEX-1M4P7-0226-SM-DIPEV 60-69 years, male 106.6
GTEX-13N11-2526-SM-5K7UE 50-59 years, female 106.5
GTEX-13NYS-0126-SM-5MR3W 60-69 years, male 106.5
GTEX-1LB8K-0226-SM-EWRNW 50-59 years, male 106.4
GTEX-13VXU-0126-SM-5SI9F 50-59 years, male 106.2
GTEX-1GF9X-2026-SM-7PC3A 40-49 years, female 106.2
GTEX-1B8L1-2526-SM-9WYTF 60-69 years, male 106.1
GTEX-1QAET-0926-SM-E76QM 50-59 years, male 106.1
GTEX-1F6RS-0126-SM-9MQKZ 60-69 years, female 105.9
GTEX-11DZ1-0126-SM-5985Q 50-59 years, male 105.8
GTEX-NFK9-0226-SM-2HMKQ 40-49 years, male 105.7
GTEX-YFC4-0126-SM-5CVLY 40-49 years, female 105.6
GTEX-WVJS-0126-SM-4MVOT 50-59 years, male 105.4
GTEX-YB5K-2126-SM-4WWDJ 40-49 years, female 105.4
GTEX-15RIG-0226-SM-7KFTL 40-49 years, male 105.3
GTEX-131YS-0126-SM-5KM1M 60-69 years, female 105.2
GTEX-X4EP-0126-SM-3P5YV 60-69 years, female 105.1
GTEX-14753-0426-SM-5NQAM 60-69 years, male 104.9
GTEX-OXRL-0126-SM-2YUMP 50-59 years, male 104.9
GTEX-PWO3-1526-SM-48TCM 60-69 years, female 104.8
GTEX-1JMPY-1326-SM-ARL8Y 30-39 years, male 104.8
GTEX-X261-0126-SM-3NMD6 50-59 years, male 104.6
GTEX-1HCUA-2426-SM-ADEIS 50-59 years, female 104.5
GTEX-ZYFG-2326-SM-5E44B 60-69 years, female 104.4
GTEX-Y111-0126-SM-4SOIV 50-59 years, male 104.3
GTEX-1RAZQ-0726-SM-EAZ43 30-39 years, male 104.3
GTEX-13OVH-0126-SM-5MR4B 70-79 years, male 104.2
GTEX-1GN2E-0426-SM-9MQKX 60-69 years, male 104.2
GTEX-1GZHY-0326-SM-9QEHI 50-59 years, female 104.1
GTEX-1GF9W-0326-SM-9KNUN 60-69 years, male 104.0
GTEX-13NYB-2526-SM-5K7Z6 40-49 years, male 103.8
GTEX-14PN4-0126-SM-6EU2V 50-59 years, male 103.8
GTEX-WXYG-2326-SM-4E3I6 50-59 years, female 103.8
GTEX-13NZB-2526-SM-5J1OM 30-39 years, male 103.6
GTEX-12WSJ-1826-SM-5GCNY 40-49 years, female 103.5
GTEX-ZTX8-1426-SM-5DUVO 20-29 years, male 103.5
GTEX-PSDG-0226-SM-DKPOZ 50-59 years, male 103.5
GTEX-1JN1M-0326-SM-CYPT3 60-69 years, female 103.4
GTEX-14E6D-0126-SM-62LDV 50-59 years, male 103.3
GTEX-11ZTS-0126-SM-5EQ6M 60-69 years, female 103.2
GTEX-1EWIQ-0126-SM-7RHH2 70-79 years, female 103.1
GTEX-YJ89-0126-SM-4TT3X 60-69 years, male 103.0
GTEX-12WSK-2326-SM-5GCOH 40-49 years, female 102.9
GTEX-12ZZZ-0626-SM-5DUXI 60-69 years, male 102.9
GTEX-PLZ5-2026-SM-2S1O4 50-59 years, male 102.8
GTEX-1MJK2-0426-SM-DTXE5 50-59 years, male 102.7
GTEX-145MN-2226-SM-5SIAU 30-39 years, male 102.6
GTEX-14BMV-0126-SM-5S2PO 50-59 years, male 102.6
GTEX-RU72-0926-SM-2TF6B 50-59 years, female 102.6
GTEX-11XUK-2026-SM-5EQLF 40-49 years, female 102.5
GTEX-18QFQ-0126-SM-731BE 30-39 years, male 102.5
GTEX-ZWKS-0126-SM-5SIAA 30-39 years, male 102.4
GTEX-ZYT6-0226-SM-5NQ6T 30-39 years, male 102.4
GTEX-13112-2826-SM-5DUWH 50-59 years, male 102.3
GTEX-12ZZX-0126-SM-5EGK9 40-49 years, female 102.2
GTEX-1PPH8-0226-SM-E8VND 20-29 years, male 102.2
GTEX-11OF3-2626-SM-5GU7F 60-69 years, male 102.0
GTEX-12WSD-0126-SM-59HKN 60-69 years, female 102.0
GTEX-1IDJH-0326-SM-A9SLQ 70-79 years, male 102.0
GTEX-1211K-2026-SM-5EQ4Z 60-69 years, female 101.9
GTEX-14PJM-0226-SM-62LF1 50-59 years, female 101.9
GTEX-16YQH-0126-SM-7DUFJ 30-39 years, male 101.8
GTEX-1GZ2Q-0226-SM-7P8TL 40-49 years, male 101.8
GTEX-1PWST-0226-SM-E76QJ 70-79 years, male 101.8
GTEX-14BIN-0626-SM-793DP 50-59 years, female 101.7
GTEX-18D9B-0526-SM-7LTAS 60-69 years, male 101.6
GTEX-OXRK-0226-SM-3NB2G 50-59 years, female 101.5
GTEX-13NZ8-0826-SM-5MR3I 60-69 years, female 101.4
GTEX-1GMR3-1926-SM-9KNUZ 40-49 years, male 101.4
GTEX-1OJC3-0126-SM-E76QX 20-29 years, male 101.4
GTEX-117YW-2626-SM-5GZZH 50-59 years, male 101.3
GTEX-1399R-2726-SM-5IJBA 30-39 years, male 101.3
GTEX-15ETS-0126-SM-7KUMW 40-49 years, female 101.3
GTEX-16BQI-0226-SM-7KUEX 30-39 years, female 101.2
GTEX-R45C-0126-SM-EAZ2R 60-69 years, female 101.2
GTEX-1RLM8-2326-SM-EWRN4 50-59 years, male 100.9
GTEX-ZVT4-0126-SM-DTXFN 50-59 years, female 100.9
GTEX-139T8-0126-SM-5K7XZ 60-69 years, male 100.8
GTEX-1J8EW-0126-SM-CJI4F 60-69 years, female 100.8
GTEX-12584-0126-SM-5EGKQ 40-49 years, male 100.7
GTEX-15ER7-0326-SM-7KUEV 20-29 years, female 100.7
GTEX-XQ3S-1526-SM-4BOOC 20-29 years, male 100.7
GTEX-1B933-0126-SM-7PC29 50-59 years, female 100.7
GTEX-PLZ4-0126-SM-5SI8O 50-59 years, female 100.5
GTEX-169BO-1326-SM-9MQK2 50-59 years, male 100.5
GTEX-QV44-1926-SM-2S1RF 50-59 years, male 100.3
GTEX-1HSMO-0126-SM-CL547 60-69 years, male 100.3
GTEX-13113-5016-SM-7EPIP 60-69 years, female 100.0
GTEX-14PII-0226-SM-6EU1T 60-69 years, male 100.0
GTEX-14ICK-0226-SM-6EU25 40-49 years, male 99.9
GTEX-1GTWX-0126-SM-9YFLK 60-69 years, male 99.8
GTEX-17F97-0326-SM-7LG5B 50-59 years, male 99.7
GTEX-1I6K6-0126-SM-A9SLE 30-39 years, male 99.6
GTEX-15G19-0126-SM-6PANQ 60-69 years, male 99.4
GTEX-XV7Q-2526-SM-4BRV9 40-49 years, female 99.4
GTEX-ZDTS-0126-SM-4WAY5 60-69 years, male 99.3
GTEX-1C6WA-0126-SM-7PC2B 60-69 years, male 99.3
GTEX-1QMI2-0226-SM-EVYBX 60-69 years, male 99.2
GTEX-147F4-0226-SM-5QGPW 50-59 years, male 99.1
GTEX-XBEW-0626-SM-4QASP 40-49 years, male 99.1
GTEX-1GN73-0226-SM-9WG67 60-69 years, male 99.0
GTEX-111VG-2426-SM-5GZXD 60-69 years, male 98.8
GTEX-QESD-1426-SM-2S1R9 20-29 years, male 98.8
GTEX-PLZ6-1426-SM-DKPOT 30-39 years, male 98.6
GTEX-YB5E-2026-SM-5IFIS 40-49 years, male 98.5
GTEX-1LG7Z-1726-SM-D3LA4 30-39 years, male 98.5
GTEX-R55G-2526-SM-2TC6D 40-49 years, female 98.3
GTEX-1HSKV-0226-SM-A9SKJ 60-69 years, male 98.3
GTEX-13111-1626-SM-5EGJY 50-59 years, male 98.2
GTEX-SIU8-0126-SM-2XCDT 50-59 years, male 98.2
GTEX-1313W-0126-SM-5LZUN 50-59 years, female 98.1
GTEX-145LS-0126-SM-5QGP1 60-69 years, female 98.1
GTEX-17MF6-0126-SM-7LG4F 40-49 years, male 98.1
GTEX-13PVR-2326-SM-5QGR1 60-69 years, female 98.0
GTEX-13RTL-0126-SM-7LG5S 40-49 years, male 98.0
GTEX-1A3MW-0126-SM-73KXX 60-69 years, female 98.0
GTEX-T2IS-0126-SM-4DM6O 20-29 years, female 98.0
GTEX-13OW6-0426-SM-5L3HM 50-59 years, male 97.9
GTEX-1NV5F-0226-SM-E8VNY 60-69 years, female 97.9
GTEX-14BMU-2226-SM-5TDE9 20-29 years, female 97.8
GTEX-WYJK-0126-SM-3NMAB 50-59 years, male 97.8
GTEX-Y5LM-1926-SM-5RQJH 40-49 years, female 97.8
GTEX-ZYW4-0126-SM-5E44A 60-69 years, male 97.8
GTEX-1JJEA-0326-SM-CNPOT 60-69 years, male 97.7
GTEX-OOBJ-0126-SM-E6CJW 60-69 years, male 97.7
GTEX-ZGAY-0526-SM-4WWBB 40-49 years, female 97.5
GTEX-1HKZK-0326-SM-9WYUH 40-49 years, male 97.5
GTEX-QEG4-0226-SM-2S1PY 30-39 years, male 97.3
GTEX-XUW1-0426-SM-4BOOT 50-59 years, female 97.3
GTEX-13FTY-0526-SM-5L3EV 40-49 years, female 97.2
GTEX-RM2N-1426-SM-2TF4H 50-59 years, male 97.1
GTEX-13O3P-0126-SM-5KM4S 50-59 years, male 97.0
GTEX-1J8JJ-0226-SM-CL53I 60-69 years, female 97.0
GTEX-18A6Q-0126-SM-731BZ 60-69 years, male 96.9
GTEX-SN8G-0126-SM-32PLI 50-59 years, female 96.9
GTEX-1HCVE-0126-SM-CGQEU 50-59 years, male 96.9
GTEX-11GSO-2426-SM-5A5LY 60-69 years, male 96.8
GTEX-1IKK5-0626-SM-ARL8A 60-69 years, male 96.7
GTEX-14LZ3-0226-SM-62LET 60-69 years, female 96.6
GTEX-YEC4-2126-SM-5IFJH 40-49 years, male 96.6
GTEX-1QP66-1726-SM-E8VO1 50-59 years, male 96.5
GTEX-1R46S-0626-SM-E9J41 60-69 years, female 96.4
GTEX-13OVL-0226-SM-5L3E9 50-59 years, male 96.3
GTEX-15CHC-2126-SM-6EU21 60-69 years, female 96.2
GTEX-11NUK-0126-SM-5A5L3 50-59 years, male 96.1
GTEX-U3ZM-1526-SM-3DB9D 40-49 years, male 96.1
GTEX-1S5ZA-0126-SM-EVYCV 20-29 years, male 96.0
GTEX-145LV-2126-SM-5LU8N 50-59 years, male 95.9
GTEX-1GZ4H-1726-SM-7PBZJ 50-59 years, female 95.9
GTEX-1IDFM-0126-SM-COH2V 60-69 years, male 95.9
GTEX-1R7EU-0226-SM-EVR4G 60-69 years, male 95.9
GTEX-17EVQ-0226-SM-7LG4P 70-79 years, male 95.8
GTEX-1ICLZ-0126-SM-CKZPO 60-69 years, male 95.8
GTEX-11VI4-1726-SM-5CVLH 40-49 years, female 95.7
GTEX-13O3Q-2426-SM-5IJBR 50-59 years, male 95.7
GTEX-1HGF4-2426-SM-ACKXM 60-69 years, male 95.7
GTEX-1JN6P-0126-SM-D3L98 60-69 years, male 95.7
GTEX-13O21-1426-SM-5K7XI 50-59 years, male 95.6
GTEX-1H1ZS-0426-SM-9WG6G 70-79 years, male 95.6
GTEX-18A67-0126-SM-7LG5P 50-59 years, male 95.5
GTEX-1B8SF-1426-SM-7DUGL 60-69 years, male 95.4
GTEX-X585-0226-SM-4QAS2 50-59 years, male 95.4
GTEX-1PFEY-1526-SM-E76PP 30-39 years, male 95.4
GTEX-ZQG8-1626-SM-DHXIT 60-69 years, female 95.4
GTEX-11GS4-2726-SM-5A5LE 60-69 years, male 95.3
GTEX-1269C-2526-SM-5EGJ3 60-69 years, female 95.3
GTEX-OXRN-0126-SM-48TDM 50-59 years, male 95.3
GTEX-XAJ8-0826-SM-47JY6 40-49 years, male 95.2
GTEX-12WSE-0526-SM-793B2 20-29 years, male 95.1
GTEX-18D9U-0226-SM-718BP 40-49 years, male 95.1
GTEX-1CAMR-1926-SM-7EPI2 20-29 years, male 95.1
GTEX-1C6VQ-0126-SM-7P8RI 50-59 years, male 95.1
GTEX-14PHX-2326-SM-62LEM 50-59 years, male 95.0
GTEX-S95S-1226-SM-4GICG 60-69 years, male 95.0
GTEX-11EM3-2426-SM-59861 20-29 years, female 94.9
GTEX-RN64-0126-SM-2TC68 50-59 years, male 94.9
GTEX-ZV6S-2326-SM-4YCEY 40-49 years, female 94.9
GTEX-1H4P4-0726-SM-9YFLR 50-59 years, male 94.9
GTEX-QVJO-1626-SM-2S1QW 60-69 years, female 94.7
GTEX-WFON-2126-SM-3LK7O 40-49 years, male 94.7
GTEX-1PDJ9-0326-SM-DTX95 20-29 years, male 94.7
GTEX-139T4-0226-SM-5HL5S 50-59 years, female 94.6
GTEX-1PIGE-0126-SM-EVYBJ 20-29 years, male 94.6
GTEX-WQUQ-0426-SM-3MJFU 60-69 years, male 94.5
GTEX-1CB4F-0426-SM-9KNV4 60-69 years, male 94.5
GTEX-1F75B-0126-SM-9KNVL 50-59 years, male 94.4
GTEX-11ZUS-0626-SM-59885 30-39 years, male 94.3
GTEX-17F98-0626-SM-79OMX 40-49 years, female 94.3
GTEX-1KANC-1526-SM-D3LAB 50-59 years, female 94.3
GTEX-113IC-0126-SM-5HL6T 60-69 years, male 94.2
GTEX-131XF-5016-SM-7MGWE 60-69 years, male 94.2
GTEX-1MGNQ-0126-SM-EVYCJ 40-49 years, male 94.2
GTEX-16MT8-0426-SM-7KUEY 60-69 years, female 94.1
GTEX-S7PM-0126-SM-4AD6S 60-69 years, male 94.1
GTEX-TKQ1-1026-SM-4GICL 30-39 years, male 94.1
GTEX-1OFPY-2426-SM-DTXEJ 60-69 years, male 94.1
GTEX-1S83E-0126-SM-EWRO4 40-49 years, male 94.1
GTEX-X638-0126-SM-47JZ8 70-79 years, female 94.0
GTEX-1HBPI-1526-SM-C1YQ1 50-59 years, male 93.9
GTEX-1JMPZ-0226-SM-CNPP1 30-39 years, male 93.9
GTEX-1RB15-2126-SM-E9TIM 60-69 years, male 93.9
GTEX-13PDP-0126-SM-5L3HD 60-69 years, male 93.8
GTEX-11OC5-0126-SM-5HL6A 60-69 years, male 93.7
GTEX-OHPM-0126-SM-2YUN9 50-59 years, male 93.7
GTEX-1LVAN-0226-SM-COH3S 50-59 years, female 93.7
GTEX-T5JC-0426-SM-32PLO 20-29 years, male 93.6
GTEX-ZDXO-3026-SM-5J1N5 60-69 years, male 93.6
GTEX-1F52S-0126-SM-9MQJU 60-69 years, female 93.6
GTEX-12WSL-2526-SM-5GCNJ 50-59 years, male 93.5
GTEX-16GPK-0126-SM-7DHLE 60-69 years, male 93.5
GTEX-XUYS-0126-SM-47JWZ 50-59 years, male 93.5
GTEX-1GMRU-0126-SM-9YFLV 50-59 years, male 93.5
GTEX-ZPIC-1726-SM-DHXIU 40-49 years, female 93.5
GTEX-13RTJ-2426-SM-5S2Q2 60-69 years, male 93.4
GTEX-18A7B-0126-SM-7LG64 70-79 years, male 93.3
GTEX-1H3O1-0426-SM-9YFKY 60-69 years, male 93.3
GTEX-1MA7W-2026-SM-E9TJ6 20-29 years, female 93.3
GTEX-11P7K-2126-SM-5GU7G 30-39 years, male 93.2
GTEX-11UD2-0226-SM-5EQKY 50-59 years, male 93.2
GTEX-YJ8A-0426-SM-5IFID 20-29 years, male 93.2
GTEX-1J8Q2-0526-SM-CM2RW 60-69 years, male 93.2
GTEX-1KAFJ-2026-SM-CY8ID 50-59 years, male 93.2
GTEX-13IVO-0126-SM-5J1NG 70-79 years, male 93.0
GTEX-X5EB-2226-SM-46MW4 40-49 years, male 93.0
GTEX-14BIM-0226-SM-7IGLD 60-69 years, female 92.9
GTEX-1HSMP-0126-SM-E6CJS 70-79 years, male 92.8
GTEX-13OW7-0126-SM-5MR3B 50-59 years, male 92.6
GTEX-145MO-0326-SM-5Q5B3 60-69 years, male 92.6
GTEX-13OVI-1426-SM-5L3EY 60-69 years, female 92.5
GTEX-Y8E4-0626-SM-4WWDL 40-49 years, male 92.5
GTEX-1I4MK-2226-SM-ACKWD 50-59 years, female 92.5
GTEX-1JMQJ-0526-SM-CYPSU 50-59 years, male 92.4
GTEX-13FTX-1826-SM-5J1NX 20-29 years, female 92.3
GTEX-11DXX-2426-SM-5GZZW 60-69 years, female 92.2
GTEX-ZEX8-2426-SM-4WKG4 50-59 years, male 92.2
GTEX-WOFL-0126-SM-3MJG2 60-69 years, male 92.1
GTEX-13OVJ-0126-SM-5KM36 50-59 years, female 92.0
GTEX-145MF-0626-SM-5LUAI 50-59 years, male 92.0
GTEX-1F6I4-0126-SM-9MQL2 60-69 years, male 92.0
GTEX-1QPFJ-0226-SM-E76PB 30-39 years, female 92.0
GTEX-1399T-2826-SM-5KLYZ 60-69 years, male 91.9
GTEX-13YAN-0326-SM-5O9DF 60-69 years, male 91.9
GTEX-1I1GP-2226-SM-CGQFK 50-59 years, male 91.8
GTEX-183FY-0126-SM-7LT9P 20-29 years, male 91.7
GTEX-1HSEH-0126-SM-ACKXN 60-69 years, male 91.7
GTEX-13SLW-0126-SM-5SI6C 70-79 years, male 91.5
GTEX-ZVT3-0126-SM-5GU6I 60-69 years, female 91.5
GTEX-15SHW-0326-SM-6PAML 60-69 years, male 91.4
GTEX-VUSG-2526-SM-4KL1V 50-59 years, male 91.4
GTEX-1QP29-0626-SM-EWRMX 50-59 years, male 91.4
GTEX-11EI6-0126-SM-5985R 60-69 years, male 91.2
GTEX-ZYFC-0226-SM-5NQ75 50-59 years, male 91.2
GTEX-1EX96-1626-SM-7PBXR 50-59 years, male 91.2
GTEX-1N2EF-0226-SM-EYYXB 60-69 years, male 91.2
GTEX-11P81-2326-SM-59875 30-39 years, female 91.0
GTEX-133LE-1826-SM-5J1MV 20-29 years, female 91.0
GTEX-1CB4I-0226-SM-79OLH 50-59 years, male 90.9
GTEX-1HCU8-0626-SM-A9SM9 60-69 years, female 90.9
GTEX-1I1GU-2226-SM-CGQFA 40-49 years, male 90.9
GTEX-1IL2U-0226-SM-CE6T8 60-69 years, male 90.9
GTEX-ZZPT-0226-SM-5E43X 50-59 years, male 90.8
GTEX-1F6IF-0726-SM-7P8TW 60-69 years, male 90.7
GTEX-1128S-2326-SM-5GZZY 60-69 years, female 90.6
GTEX-QDVN-2026-SM-3GAEP 50-59 years, male 90.6
GTEX-1CB4H-0226-SM-7PBXM 60-69 years, female 90.5
GTEX-ZF29-2326-SM-DO92K 60-69 years, female 90.5
GTEX-131XE-2326-SM-5PNZ2 50-59 years, male 90.4
GTEX-139TU-0126-SM-5K7WH 60-69 years, male 90.4
GTEX-13CF3-2426-SM-5IFGX 60-69 years, female 90.4
GTEX-ZAB4-0226-SM-5N9F5 40-49 years, male 90.3
GTEX-X4EO-0326-SM-3P5YO 60-69 years, female 90.2
GTEX-Y5V5-2326-SM-4V6GA 60-69 years, female 90.2
GTEX-ZVE2-0226-SM-59HJB 50-59 years, male 90.2
GTEX-S7SE-0126-SM-2XCD5 50-59 years, male 90.0
GTEX-117YX-2326-SM-5H12W 50-59 years, male 89.9
GTEX-1IGQW-0126-SM-COH42 60-69 years, male 89.9
GTEX-11GSP-2526-SM-5N9BP 60-69 years, female 89.8
GTEX-146FH-0126-SM-5QGPP 50-59 years, female 89.8
GTEX-Y8LW-1826-SM-5S2MV 50-59 years, female 89.8
GTEX-WZTO-0126-SM-3NM95 40-49 years, male 89.7
GTEX-1E2YA-0126-SM-9KNUC 50-59 years, male 89.7
GTEX-1IE54-0126-SM-CMKHW 40-49 years, female 89.5
GTEX-1KWVE-1426-SM-E9TJO 30-39 years, male 89.5
GTEX-15D1Q-0126-SM-7KUG6 40-49 years, male 89.4
GTEX-1IKOH-0226-SM-COH4E 60-69 years, female 89.4
GTEX-1QEPI-0126-SM-EWRMQ 60-69 years, female 89.4
GTEX-1BAJH-0526-SM-793CQ 70-79 years, male 89.3
GTEX-1GF9U-2126-SM-7SB7L 40-49 years, female 89.3
GTEX-1HBPH-0426-SM-B2LW5 40-49 years, female 89.3
GTEX-131XW-0426-SM-5LZWP 50-59 years, female 89.2
GTEX-1HSGN-0226-SM-CGQFV 40-49 years, female 89.2
GTEX-1JMQK-0226-SM-CL543 60-69 years, male 89.2
GTEX-113JC-2326-SM-5EQ4E 50-59 years, female 88.8
GTEX-145LT-1726-SM-5QGP3 40-49 years, male 88.8
GTEX-147F3-0526-SM-5SI98 50-59 years, female 88.8
GTEX-WRHK-1426-SM-3MJF9 20-29 years, female 88.7
GTEX-ZAB5-1826-SM-5HL7C 50-59 years, male 88.6
GTEX-1JMQI-2226-SM-CM2SD 50-59 years, male 88.6
GTEX-11EQ9-2426-SM-5HL5T 30-39 years, male 88.5
GTEX-13N1W-0126-SM-5K7VT 70-79 years, male 88.5
GTEX-ZYY3-0126-SM-5GZY5 60-69 years, female 88.5
GTEX-1MCQQ-0826-SM-DLHC2 60-69 years, male 88.5
GTEX-1H1DG-0126-SM-9WYU2 70-79 years, male 88.3
GTEX-1HCU9-1526-SM-A9SL7 20-29 years, male 88.3
GTEX-1OJC4-0126-SM-E9J2E 50-59 years, female 88.3
GTEX-15SHU-0126-SM-7KUEH 40-49 years, female 88.1
GTEX-1ICG6-2526-SM-CGQFZ 70-79 years, female 88.1
GTEX-1AX8Z-0126-SM-7DHM6 60-69 years, male 88.0
GTEX-U8T8-0126-SM-3DB94 60-69 years, male 88.0
GTEX-1F75I-0326-SM-9YFLU 40-49 years, male 88.0
GTEX-1PBJI-0526-SM-E8VNK 20-29 years, female 88.0
GTEX-1QP2A-0126-SM-E9J43 50-59 years, male 88.0
GTEX-1314G-1526-SM-5EGK2 30-39 years, male 87.9
GTEX-1EKGG-0226-SM-9WYTH 60-69 years, male 87.9
GTEX-1HUB1-0426-SM-E9U4U 60-69 years, male 87.9
GTEX-13QJ3-0326-SM-5S2RA 50-59 years, male 87.8
GTEX-1IL2V-0126-SM-CM2TX 70-79 years, male 87.8
GTEX-1PPH7-2326-SM-EVYB8 40-49 years, male 87.8
GTEX-13NZA-0226-SM-5K7Z7 60-69 years, male 87.7
GTEX-13X6H-2126-SM-7EWD5 50-59 years, female 87.7
GTEX-ZVZP-2426-SM-59HKJ 50-59 years, male 87.7
GTEX-1LG7Y-0526-SM-DKPQC 50-59 years, male 87.7
GTEX-1LH75-2426-SM-E9TJE 50-59 years, female 87.7
GTEX-17HGU-0226-SM-7DHKV 50-59 years, male 87.6
GTEX-17KNJ-2326-SM-7DHLQ 50-59 years, male 87.6
GTEX-1HBPN-0226-SM-9YFM1 50-59 years, male 87.6
GTEX-1I1GS-0126-SM-B2LVW 60-69 years, male 87.6
GTEX-1CB4E-2226-SM-793DC 60-69 years, male 87.5
GTEX-W5WG-1826-SM-4KL2Y 50-59 years, female 87.5
GTEX-1H11D-0226-SM-9WG6Z 40-49 years, male 87.5
GTEX-1I1GT-0626-SM-CGQER 60-69 years, female 87.5
GTEX-1KANB-0526-SM-E6CJH 50-59 years, male 87.5
GTEX-1S82Y-2026-SM-EVYCM 40-49 years, male 87.5
GTEX-X62O-0126-SM-4E3JN 50-59 years, male 87.4
GTEX-11WQC-2526-SM-5CVLE 60-69 years, male 87.3
GTEX-ZF28-0126-SM-4WKGK 60-69 years, male 87.3
GTEX-1O97I-0326-SM-EYYX7 60-69 years, male 87.2
GTEX-11ZVC-2526-SM-5FQTE 50-59 years, female 87.1
GTEX-WY7C-2326-SM-3NB2U 50-59 years, male 87.1
GTEX-1H2FU-0126-SM-9WYSI 60-69 years, female 87.1
GTEX-1HCU6-0126-SM-CL54K 60-69 years, female 87.1
GTEX-1J1OQ-0226-SM-CYPSH 40-49 years, female 87.1
GTEX-13W46-0226-SM-5SIAG 50-59 years, male 87.0
GTEX-1212Z-2526-SM-5EGKP 60-69 years, male 86.9
GTEX-ZF2S-2326-SM-4WWCE 50-59 years, female 86.9
GTEX-13D11-2426-SM-5KM1V 50-59 years, female 86.8
GTEX-ZDTT-2726-SM-4WKF8 60-69 years, male 86.8
GTEX-1JKYR-0126-SM-CNPOJ 20-29 years, male 86.7
GTEX-11EMC-2926-SM-5EQ4F 60-69 years, female 86.6
GTEX-13FHO-0226-SM-5IFGY 60-69 years, male 86.6
GTEX-13O3O-0126-SM-E9J49 60-69 years, female 86.6
GTEX-1GN1V-0126-SM-9WPOS 60-69 years, male 86.6
GTEX-11DXW-0226-SM-5H122 40-49 years, male 86.5
GTEX-11TUW-2726-SM-E9J4M 60-69 years, male 86.5
GTEX-1ICLY-0126-SM-D4P36 50-59 years, male 86.4
GTEX-13W3W-2426-SM-5LU5B 60-69 years, female 86.2
GTEX-1IY9M-0126-SM-D3L8S 60-69 years, male 86.2
GTEX-13FH7-2026-SM-E9J4I 50-59 years, female 86.1
GTEX-12WSG-2826-SM-E9J4H 50-59 years, female 85.9
GTEX-16XZY-2126-SM-79OK1 70-79 years, male 85.8
GTEX-13OW5-0126-SM-DTXFS 60-69 years, male 85.8
GTEX-12WSC-0126-SM-5EQ4P 50-59 years, male 85.7
GTEX-14PJ3-1826-SM-62LEX 50-59 years, male 85.7
GTEX-1MCYP-1926-SM-E9J2R 20-29 years, female 85.7
GTEX-1IDJF-0126-SM-CM2RS 20-29 years, male 85.6
GTEX-OXRO-0126-SM-2YUN4 60-69 years, female 85.5
GTEX-TSE9-0126-SM-3DB83 60-69 years, female 85.5
GTEX-ZQUD-1426-SM-57WER 30-39 years, male 85.5
GTEX-RNOR-0126-SM-E9J4R 50-59 years, female 85.5
GTEX-14PJ6-2126-SM-6EU1V 60-69 years, female 85.3
GTEX-13RTK-1426-SM-5QGQJ 20-29 years, male 85.2
GTEX-14JIY-0126-SM-6LLH6 60-69 years, male 85.2
GTEX-1C64N-0126-SM-793D7 50-59 years, male 85.2
GTEX-V1D1-2226-SM-3NMAX 50-59 years, male 85.2
GTEX-1GPI7-0126-SM-9MQL8 20-29 years, male 85.2
GTEX-17HII-0226-SM-7LG4E 50-59 years, male 85.1
GTEX-11ZTT-2426-SM-5EQLS 60-69 years, female 84.7
GTEX-1H3NZ-0126-SM-ACKX7 60-69 years, male 84.7
GTEX-ZUA1-0126-SM-5GU76 40-49 years, male 84.6
GTEX-1F75A-0126-SM-7RHGM 50-59 years, male 84.6
GTEX-148VI-1626-SM-5SI6E 60-69 years, female 84.5
GTEX-QLQ7-1626-SM-2S1R8 60-69 years, male 84.4
GTEX-1H3VY-0126-SM-ACKXD 50-59 years, male 84.4
GTEX-145MI-0526-SM-5O9A8 60-69 years, female 84.3
GTEX-XBED-2226-SM-47JYQ 60-69 years, male 84.3
GTEX-146FR-1326-SM-E9J48 60-69 years, female 84.3
GTEX-1KXAM-2226-SM-CYPTC 60-69 years, male 84.3
GTEX-11DXY-2626-SM-5GIE7 60-69 years, male 84.2
GTEX-1GF9V-0326-SM-7RHI5 60-69 years, male 84.2
GTEX-16NGA-1726-SM-731B4 40-49 years, female 84.1
GTEX-1F7RK-0126-SM-7PC2S 20-29 years, female 84.1
GTEX-15DCD-0126-SM-7KUEK 70-79 years, female 84.0
GTEX-TML8-1926-SM-32QOS 40-49 years, female 84.0
GTEX-12696-2426-SM-5EQ6H 60-69 years, male 83.9
GTEX-13S7M-0126-SM-5SI6A 60-69 years, female 83.8
GTEX-14DAQ-0126-SM-5S2MQ 60-69 years, female 83.8
GTEX-Z9EW-1626-SM-5CVMN 40-49 years, male 83.8
GTEX-1CB4G-0226-SM-7PC3O 60-69 years, male 83.8
GTEX-13SLX-0526-SM-5S2ON 50-59 years, female 83.7
GTEX-QLQW-1126-SM-2S1Q8 30-39 years, male 83.7
GTEX-1EU9M-0226-SM-7P8SP 60-69 years, male 83.5
GTEX-1H23P-0126-SM-ADEJ3 60-69 years, male 83.5
GTEX-12ZZY-0226-SM-5LZVE 60-69 years, male 83.4
GTEX-1B996-0226-SM-7RHGO 60-69 years, male 83.4
GTEX-145ME-1826-SM-5SI9G 40-49 years, female 83.3
GTEX-1H1DE-2126-SM-9WG6R 20-29 years, male 83.3
GTEX-1N2DV-0226-SM-E6CJ6 40-49 years, male 83.2
GTEX-1GMR8-0126-SM-9WYTM 50-59 years, female 83.1
GTEX-13U4I-0126-SM-5LU38 40-49 years, female 82.9
GTEX-13X6I-0626-SM-5QGP9 60-69 years, male 82.8
GTEX-13OVG-1926-SM-5L3DK 60-69 years, male 82.7
GTEX-13OW8-1326-SM-5J1OW 60-69 years, male 82.6
GTEX-1C6VR-2426-SM-79OLD 60-69 years, male 82.6
GTEX-1LSNM-1926-SM-E6CII 50-59 years, male 82.6
GTEX-12C56-1726-SM-5EQ61 20-29 years, male 82.5
GTEX-14C5O-0126-SM-5SI6N 60-69 years, male 82.5
GTEX-1LGRB-2526-SM-CNPPQ 50-59 years, female 82.4
GTEX-11ZU8-2526-SM-5EQKI 60-69 years, male 82.3
GTEX-1QCLY-0326-SM-E8VOG 30-39 years, male 82.3
GTEX-11LCK-1026-SM-5A5KB 30-39 years, male 82.1
GTEX-QDVJ-1726-SM-2I5FX 50-59 years, male 82.1
GTEX-1C64O-0126-SM-7SB8P 60-69 years, male 82.0
GTEX-14PN3-2426-SM-6LLHS 60-69 years, female 81.9
GTEX-15DDE-0126-SM-6LPKH 50-59 years, female 81.9
GTEX-18465-0126-SM-731BN 50-59 years, male 81.8
GTEX-13VXT-0126-SM-5LU4I 20-29 years, female 81.7
GTEX-1H1E6-1726-SM-ACKVK 30-39 years, male 81.7
GTEX-1HT8W-0126-SM-CNPPP 30-39 years, male 81.7
GTEX-13X6J-0126-SM-5QGOU 50-59 years, male 81.6
GTEX-1AX9I-0126-SM-7SB74 60-69 years, male 81.6
GTEX-14A6H-0126-SM-5QGPK 30-39 years, male 81.5
GTEX-R55E-0126-SM-2TC5Y 20-29 years, male 81.5
GTEX-12KS4-0326-SM-5EQ41 30-39 years, male 81.4
GTEX-13O1R-0126-SM-5L3EH 60-69 years, male 81.4
GTEX-1I1HK-0126-SM-COH49 60-69 years, male 81.3
GTEX-1IKJJ-0126-SM-CNPQB 60-69 years, male 81.2
GTEX-1JK1U-2026-SM-CM2RZ 60-69 years, male 81.2
GTEX-1B8KE-2126-SM-73KYX 50-59 years, male 81.1
GTEX-1K2DU-2326-SM-E9TIV 20-29 years, male 81.0
GTEX-14PHW-0126-SM-6LLJI 60-69 years, female 80.9
GTEX-1J1R8-1726-SM-ARL8M 40-49 years, male 80.9
GTEX-1JJ6O-0126-SM-E6CI8 60-69 years, male 80.9
GTEX-13JUV-2726-SM-5LZZ8 40-49 years, female 80.8
GTEX-1AX9J-0226-SM-73KXM 60-69 years, male 80.7
GTEX-1J8QM-2126-SM-CYPSJ 60-69 years, female 80.7
GTEX-1MUQO-0126-SM-EAZ58 60-69 years, male 80.7
GTEX-ZC5H-0226-SM-4WAY9 40-49 years, female 80.5
GTEX-1HSMQ-1226-SM-CGQFX 50-59 years, male 80.3
GTEX-13N2G-2626-SM-5J1OT 60-69 years, male 80.2
GTEX-14ABY-0226-SM-5TDCQ 50-59 years, male 80.2
GTEX-1CB4J-0626-SM-7DHMP 60-69 years, male 80.2
GTEX-147GR-0526-SM-5S2MY 60-69 years, male 79.9
GTEX-14JG6-2226-SM-6EU2G 30-39 years, female 79.7
GTEX-T5JW-1626-SM-3GADZ 20-29 years, female 79.7
GTEX-ZZ64-1726-SM-5GZYB 20-29 years, male 79.6
GTEX-1K9T9-0126-SM-EVYCF 50-59 years, female 79.6
GTEX-1KD5A-0226-SM-D5OV3 50-59 years, male 79.5
GTEX-1AYD5-2426-SM-73KXR 50-59 years, male 79.4
GTEX-U4B1-1826-SM-4DXSU 40-49 years, male 79.3
GTEX-1KANA-0726-SM-D3L9I 20-29 years, male 79.1
GTEX-1R7EV-2426-SM-EVYBG 40-49 years, male 79.0
GTEX-1JKYN-1326-SM-CGQG9 30-39 years, male 78.7
GTEX-1IDJU-2626-SM-CM2RT 60-69 years, female 78.6
GTEX-1RAZA-0126-SM-E6CI3 20-29 years, male 78.6
GTEX-1JJE9-0326-SM-CL53Z 70-79 years, male 78.4
GTEX-12WSA-0226-SM-5BC5V 60-69 years, male 78.3
GTEX-OXRP-0126-SM-3NB32 60-69 years, female 78.3
GTEX-1I1GQ-0126-SM-COH3H 50-59 years, male 78.2
GTEX-13NYC-0326-SM-E9J4S 60-69 years, male 78.1
GTEX-1RQEC-0426-SM-E6CHU 60-69 years, male 78.1
GTEX-TMMY-0226-SM-33HBA 40-49 years, female 78.0
GTEX-15SDE-2226-SM-7IGLO 50-59 years, female 77.8
GTEX-1I19N-0326-SM-ACKVX 70-79 years, male 77.8
GTEX-XPVG-2626-SM-4B669 50-59 years, male 77.7
GTEX-1GPI6-0126-SM-9WG69 60-69 years, male 77.7
GTEX-1RDX4-0126-SM-E9J4P 50-59 years, female 77.7
GTEX-15F5U-1526-SM-6PANO 40-49 years, male 77.6
GTEX-14LLW-0126-SM-6LLIO 70-79 years, female 77.3
GTEX-1AX9K-2326-SM-73KWU 50-59 years, male 77.3
GTEX-144GL-0126-SM-5TDE2 50-59 years, male 77.2
GTEX-15DYW-0126-SM-7KULE 60-69 years, female 77.1
GTEX-WYVS-2126-SM-3NMA3 40-49 years, female 77.1
GTEX-1GN1W-0526-SM-9MQJQ 50-59 years, female 77.1
GTEX-16XZZ-0126-SM-793DV 60-69 years, male 77.0
GTEX-PW2O-1526-SM-7RHHB 20-29 years, male 77.0
GTEX-17F96-1626-SM-7DUFL 70-79 years, male 76.8
GTEX-131XG-2626-SM-5KM17 50-59 years, female 76.7
GTEX-145LU-0126-SM-5TDCB 50-59 years, male 76.7
GTEX-14DAR-2026-SM-5S2O3 50-59 years, male 76.7
GTEX-1R9PO-2126-SM-E9J4O 60-69 years, female 76.7
GTEX-1POEN-0126-SM-EYYXJ 30-39 years, female 76.6
GTEX-1C4CL-0526-SM-73KVK 30-39 years, male 76.2
GTEX-1HCU7-0226-SM-CL545 50-59 years, male 76.1
GTEX-1B8KZ-2026-SM-7DHMB 50-59 years, male 75.9
GTEX-1E1VI-0126-SM-7DHMZ 50-59 years, male 75.8
GTEX-1F48J-0126-SM-7P8TT 50-59 years, female 75.7
GTEX-17EVP-0326-SM-7DHLG 40-49 years, male 75.5
GTEX-1B97I-1626-SM-73KYO 40-49 years, male 75.5
GTEX-1J8Q3-1626-SM-CMKGC 60-69 years, male 75.5
GTEX-ZTSS-1926-SM-57WEW 40-49 years, male 75.3
GTEX-U3ZN-2326-SM-3DB7W 30-39 years, female 75.2
GTEX-1I1CD-0126-SM-CM2TK 60-69 years, female 75.2
GTEX-17HG3-2226-SM-7938L 30-39 years, female 75.0
GTEX-18A66-0226-SM-718BD 60-69 years, male 74.9
GTEX-1AMEY-1326-SM-73KYK 30-39 years, female 74.8
GTEX-12WSN-5019-SM-79OM6 40-49 years, male 74.5
GTEX-1F88F-2726-SM-7PBZZ 60-69 years, female 74.5
GTEX-1CAMQ-0226-SM-7IGPK 40-49 years, male 74.4
GTEX-OIZF-0126-SM-7SB8I 60-69 years, male 74.4
GTEX-1EN7A-0126-SM-7SB81 40-49 years, male 74.1
GTEX-S32W-2126-SM-2XCB1 50-59 years, female 73.8
GTEX-WFG8-2226-SM-3GIL9 20-29 years, male 73.8
GTEX-1A3MV-1926-SM-718BT 30-39 years, male 73.6
GTEX-16NPX-0226-SM-79OMT 50-59 years, male 73.3
GTEX-1C6VS-0526-SM-7DUEN 60-69 years, male 73.3
GTEX-139TT-0126-SM-5K7Y5 60-69 years, male 73.2
GTEX-1C475-1826-SM-73KWA 40-49 years, female 73.1
GTEX-U3ZH-2026-SM-3DB78 30-39 years, male 73.0
GTEX-1JMOU-1526-SM-CL54I 60-69 years, female 73.0
GTEX-15EU6-0426-SM-6PAN5 50-59 years, male 72.9
GTEX-17EUY-0426-SM-793BD 20-29 years, male 72.9
GTEX-1B8SG-0126-SM-73KZ3 50-59 years, male 72.9
GTEX-1QW4Y-1526-SM-EAZ3Z 30-39 years, male 72.5
GTEX-1C2JI-1826-SM-73KXC 50-59 years, male 72.4
GTEX-14A5I-0126-SM-5TDEA 50-59 years, female 72.3
GTEX-RWS6-2026-SM-2XCB5 60-69 years, female 72.0
GTEX-17MFQ-1726-SM-793C7 20-29 years, male 71.9
GTEX-1GL5R-1826-SM-9KNUY 50-59 years, male 71.8
GTEX-14E7W-0126-SM-6LLJ9 70-79 years, male 71.5
GTEX-1A8FM-0226-SM-7SB7Q 50-59 years, female 71.5
GTEX-1NHNU-1026-SM-E9J2A 50-59 years, male 71.3
GTEX-R3RS-0126-SM-3GIJL 40-49 years, female 71.0
GTEX-1MA7X-2226-SM-E6CIY 60-69 years, male 70.6
GTEX-ZXG5-0126-SM-5GIEU 60-69 years, male 70.5
GTEX-OIZG-0726-SM-33HBL 50-59 years, male 70.1
GTEX-1HFI7-1826-SM-ACKXH 50-59 years, female 69.5
GTEX-1GN1U-0126-SM-7PBZK 50-59 years, female 69.2
GTEX-VJYA-1126-SM-3GIJU 60-69 years, male 68.9
GTEX-148VJ-0126-SM-5TDDN 70-79 years, male 68.7
GTEX-14BIL-0126-SM-5SI92 50-59 years, male 68.6
GTEX-1I1GR-0126-SM-CL55F 60-69 years, male 68.4
GTEX-RWSA-0126-SM-2XCBB 40-49 years, male 68.0
GTEX-1JN76-0126-SM-CNPPE 20-29 years, female 67.4
GTEX-17GQL-2026-SM-718BA 60-69 years, male 67.3
GTEX-T6MO-1626-SM-32QOM 40-49 years, female 67.3
GTEX-SJXC-0126-SM-2XCFF 60-69 years, male 66.8
GTEX-1AMFI-2026-SM-731BH 50-59 years, female 66.5
GTEX-16AAH-1726-SM-7939C 50-59 years, male 66.1
GTEX-SSA3-0126-SM-32QPU 60-69 years, male 65.8
GTEX-17HHE-2026-SM-79OKF 50-59 years, male 65.6
GTEX-UPJH-0326-SM-3GADU 50-59 years, male 64.8
GTEX-1S82Z-0826-SM-E6CHY 30-39 years, female 64.4
GTEX-Q2AG-0126-SM-33HBV 40-49 years, female 63.8
GTEX-PVOW-0126-SM-2XCFA 40-49 years, male 63.7
GTEX-1F5PK-2426-SM-7RHHY 50-59 years, male 62.3
GTEX-SNMC-1226-SM-2XCFP 20-29 years, male 61.9
GTEX-T8EM-1026-SM-3DB7M 40-49 years, male 61.9
GTEX-QCQG-1726-SM-3GIJ9 50-59 years, female 59.1
GTEX-VJWN-0126-SM-3GIK7 50-59 years, female 55.6
GTEX-Q2AH-1626-SM-3GAF8 40-49 years, male 55.0
GTEX-P44H-0226-SM-2XCEU 40-49 years, male 49.7
Show allShow less

Contact

  • NEWS ARTICLES
  • PRESS ROOM

The Project

  • INTRODUCTION
  • ORGANIZATION
  • PUBLICATIONS

The Human Protein Atlas

  • DOWNLOADABLE DATA
  • LICENCE & CITATION
  • HELP & FAQ
The Human Protein Atlas project is funded
by the Knut & Alice Wallenberg Foundation.


contact@proteinatlas.org