We use cookies to enhance the usability of our website. If you continue, we'll assume that you are happy to receive all cookies. More information. Don't show this again.
RPL18A
HPA
RESOURCES
  • TISSUE
  • BRAIN
  • SINGLE CELL
  • SUBCELLULAR
  • CANCER
  • BLOOD
  • CELL LINE
  • STRUCTURE & INTERACTION
ABOUT
  • INTRODUCTION
  • HISTORY
  • ORGANIZATION
  • PUBLICATIONS
  • ANTIBODY SUBMISSION
  • ANTIBODY AVAILABILITY
  • ACKNOWLEDGMENTS
  • CONTACT
NEWS
  • NEWS ARTICLES
  • PRESS ROOM
LEARN
  • DICTIONARY
  • PROTEIN CLASSES
  • PROTEIN EVIDENCE
  • METHODS
  • EDUCATIONAL VIDEOS
DATA
  • DOWNLOADABLE DATA
  • PUBLICATION DATA
  • RELEASE HISTORY
HELP
  • ANTIBODY VALIDATION
  • ASSAYS & ANNOTATION
  • DISCLAIMER
  • HELP & FAQ
  • PRIVACY STATEMENT
  • LICENCE & CITATION
Fields »
Search result

Field
Term
Gene name
Class
Subclass
Class
Keyword
Chromosome
External id
Tissue
Cell type
Expression
Antibody panel
Tissue
Main location
Patient ID
Annotation
Tissue
Category
Tau score
Cluster
Reliability
Brain region
Category
Tau score
Brain region
Category
Tau score
Brain region
Category
Tau score
Cluster
Reliability
Tissue
Cell type
Enrichment
Cell type
Category
Tau score
Cell type
Category
Tau score
Cell type
Category
Tau score
Cell lineage
Category
Tau score
Cluster
Cluster
Location
Searches
Location
Cell line
Class
Type
Phase
Reliability
Cancer
Prognosis
Cancer
Category
Cancer
Category
Tau score
Cluster
Variants
Interacting gene (ensg_id)
Type
Number of interactions
Pathway
Category
Score
Score
Score
Validation
Validation
Validation
Validation
Antibodies
Data type
Column


  • SUMMARY

  • TISSUE

  • BRAIN

  • SINGLE CELL

  • SUBCELL

  • CANCER

  • BLOOD

  • CELL LINE

  • STRUCT & INT

  • RPL18A
TISSUE PRIMARY DATA SALIVARY GLAND Show tissue menu
ADIPOSE TISSUE ADRENAL GLAND AMYGDALA APPENDIX BASAL GANGLIA BONE MARROW BREAST BRONCHUS CEREBELLUM CEREBRAL CORTEX CERVIX CHOROID PLEXUS COLON DUODENUM
ENDOMETRIUM EPIDIDYMIS ESOPHAGUS FALLOPIAN TUBE GALLBLADDER HEART MUSCLE HIPPOCAMPAL FORMATION HYPOTHALAMUS KIDNEY LIVER LUNG LYMPH NODE MIDBRAIN NASOPHARYNX
ORAL MUCOSA OVARY PANCREAS PARATHYROID GLAND PITUITARY GLAND PLACENTA PROSTATE RECTUM RETINA SALIVARY GLAND SEMINAL VESICLE SKELETAL MUSCLE SKIN SMALL INTESTINE
SMOOTH MUSCLE SOFT TISSUE SPINAL CORD SPLEEN STOMACH TESTIS THYMUS THYROID GLAND TONGUE TONSIL URINARY BLADDER VAGINA
ANTIBODIES
AND
VALIDATION
Dictionary
Salivary gland
Tissue proteome
Salivary gland
SALIVARY GLAND - Expression summary
Protein expression
Salivary glandi

On the top, protein expression in current human tissue, based on all annotated cell types, is reported with the units not detected (n), low (l), medium (m) and high (h). Underneath, protein expression in each annotated cell type are reported using the same units.

Protein expression data is based on knowledge-based annotation. For genes where more than one antibody has been used, a collective score is set.

If knowledge-based annotation could not be performed for a gene, no data is displayed here. View antibody staining data further down this page.

h
m
l
n
Glandular cells: Medium
RNA expressioni

A summary of mRNA expression data available for current tissue based on several datasets. The mRNA expression levels in human tissues are based on RNA-seq data generated by the Human Protein Atlas (HPA), Genotype-Tissue Expression (GTEx) portal and CAGE data generated by the FANTOM5 consortium. Consensus normalized expression levels for human tissues was created by combining the data from HPA and GTEx datasets.

The mRNA expression levels in pig are based on RNA-seq data generated by the Human Protein Atlas (HPA), and for mouse, HPA data and in situ hybridization generated by the Allen brain atlas are reported.

Scroll down to view mRNA expression data in more detail.
Consensus:2510.9 nTPM
HPA:2510.9 nTPM
GTEx:1903.8 nTPM
FANTOM5:16.6 Scaled Tags Per Million

SALIVARY GLAND - Antibody stainingi

Antibody staining in the annotated cell types in the current human tissue is reported as not detected, low, medium, or high, based on conventional immunohistochemistry profiling in selected tissues. This score is based on the combination of the staining intensity and fraction of stained cells.

Each image is clickable and will lead to virtual microscopy that enables deeper exploration of all samples and also displays staining intensity scores, fraction scores and subcellular localization as well as patient and tissue information for each sample.

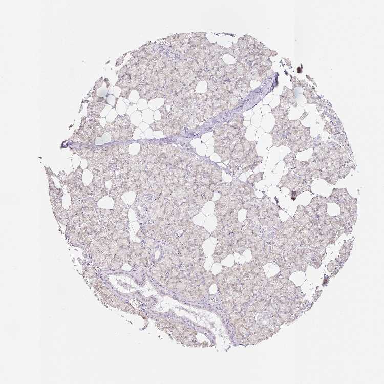
Antibody HPA055259
Glandular cells Medium



SALIVARY GLAND - HPA RNA-seqi

The RNA-seq details section shows detailed information about the individual samples used for the transcript profiling and results of the RNA-seq analysis.

Information about each individual sample is listed below, including gender, age, a tissue section image and estimated fractions of cell types. nTPM (normalized transcripts per million) values give a quantification of the gene abundance which is comparable between different genes and samples.
Average nTPMi

Max subtype nTPM is the value for the subtype with the largest average nTPM across the subtype samples.

2510.9
overview
Female, age 68
Salivary gland sample 216
nTPM: 2804.5
Cell types%
Glandular cells:
45

Ductal cells:
25

Adipocytes:
5

Other cell types:
25

overview
Male, age 60
Salivary gland sample 217
nTPM: 2061.6
Cell types%
Glandular cells:
55

Ductal cells:
20

Adipocytes:
5

Endothelial cells:
5

Other cell types:
15

overview
Female, age 21
Salivary gland sample 218
nTPM: 2666.5
Cell types%
Glandular cells:
55

Ductal cells:
15

Adipocytes:
5

Endothelial cells:
5

Other cell types:
20


SALIVARY GLAND - GTEx RNA-seqi

RNA-Seq data generated by the Genotype-Tissue Expression (GTEx) project from human tissues is reported as mean nTPM. More information can be found on the GTEx portal.

Distribution across the dataset is visualized with box plots, shown as median and 25th and 75th percentiles. Points are displayed as outliers if they are above or below 1.5 times the interquartile range. nTPM values of the individual samples are presented next to the box plot.
Max subtype nTPMi

Max subtype nTPM is the value for the subtype with the largest average nTPM across the subtype samples.

1903.8
GTEx sample id Sample description nTPM
Minor Salivary Gland
Average nTPM: 1903.8
Samples: 162

Max nTPM: 4448.6
Min nTPM: 1078.6
Std nTPM: 438.7
Median nTPM: 1861.6
GTEX-Y5LM-1826-SM-4VDT9 40-49 years, female 4448.6
GTEX-1NSGN-0626-SM-E9J35 50-59 years, male 4190.8
GTEX-ZT9W-2126-SM-51MSF 50-59 years, male 3168.2
GTEX-Y5V6-2226-SM-4VDTC 60-69 years, male 2930.6
GTEX-ZQG8-2126-SM-4YCF1 60-69 years, female 2880.6
GTEX-ZLFU-2226-SM-EXUS7 40-49 years, male 2842.6
GTEX-1339X-2326-SM-5HL5B 40-49 years, male 2625.2
GTEX-18D9U-2226-SM-7KFTN 40-49 years, male 2606.5
GTEX-12WSN-2226-SM-5DUXT 40-49 years, male 2578.6
GTEX-1R9K4-0526-SM-E76P1 60-69 years, male 2516.2
GTEX-12BJ1-2226-SM-5BC6G 60-69 years, male 2473.7
GTEX-ZE7O-2926-SM-51MSG 50-59 years, female 2444.2
GTEX-15EU6-2626-SM-7KUN4 50-59 years, male 2433.5
GTEX-1GMR2-2026-SM-7MKHK 50-59 years, male 2424.5
GTEX-1GPI7-0326-SM-7MKH6 20-29 years, male 2397.3
GTEX-ZF29-2126-SM-DNZYX 60-69 years, female 2352.9
GTEX-13QBU-2126-SM-5KLZN 40-49 years, female 2315.2
GTEX-11P81-2026-SM-5P9GT 30-39 years, female 2282.5
GTEX-Y111-2626-SM-4TT24 50-59 years, male 2267.6
GTEX-WH7G-2126-SM-4M1XU 40-49 years, male 2240.0
GTEX-15RJE-2726-SM-6LPJ1 40-49 years, male 2220.9
GTEX-146FR-1226-SM-5SIA7 60-69 years, female 2220.6
GTEX-17KNJ-2726-SM-7KFRE 50-59 years, male 2208.0
GTEX-1LVA9-2526-SM-EVR5H 50-59 years, male 2198.7
GTEX-11EQ9-2026-SM-5P9JI 30-39 years, male 2157.9
GTEX-ZLWG-2026-SM-DO11F 50-59 years, female 2151.8
GTEX-ZA64-1726-SM-5CVMF 20-29 years, male 2151.4
GTEX-18QFQ-0626-SM-718AW 30-39 years, male 2148.4
GTEX-XGQ4-2626-SM-4AT6B 50-59 years, male 2147.1
GTEX-ZAB5-2326-SM-5IJFR 50-59 years, male 2144.4
GTEX-1I6K6-0626-SM-ARU7J 30-39 years, male 2137.8
GTEX-1HCU7-0126-SM-C1YR3 50-59 years, male 2135.9
GTEX-1MGNQ-1926-SM-DTX8L 40-49 years, male 2132.9
GTEX-14E1K-2626-SM-664OJ 50-59 years, male 2131.0
GTEX-X261-2426-SM-4PQZU 50-59 years, male 2124.8
GTEX-14B4R-1426-SM-5Q5CG 30-39 years, male 2117.8
GTEX-1LKK1-2926-SM-EVR4Z 50-59 years, female 2111.6
GTEX-1314G-2026-SM-5LZUM 30-39 years, male 2097.5
GTEX-1R9PM-1726-SM-E8VOA 20-29 years, male 2092.0
GTEX-13OVL-2926-SM-5IFG3 50-59 years, male 2087.6
GTEX-X3Y1-1926-SM-4PQZO 40-49 years, male 2086.0
GTEX-1KANC-1326-SM-CYPT8 50-59 years, female 2086.0
GTEX-1I6K7-0926-SM-A96SV 40-49 years, male 2085.9
GTEX-1LC47-2426-SM-DHXKK 60-69 years, male 2077.4
GTEX-1I4MK-1326-SM-B2LWT 50-59 years, female 2065.1
GTEX-YF7O-2226-SM-5CVN8 50-59 years, male 2057.5
GTEX-1CB4I-2526-SM-7MKG1 50-59 years, male 2057.3
GTEX-11P82-0926-SM-5986X 20-29 years, male 2050.6
GTEX-XV7Q-2426-SM-4BRV8 40-49 years, female 2047.6
GTEX-ZQUD-2126-SM-51MSY 30-39 years, male 2039.3
GTEX-13QJC-2326-SM-5Q5CD 60-69 years, female 2035.2
GTEX-1445S-2926-SM-5O993 60-69 years, male 2030.4
GTEX-XMK1-2626-SM-4B65R 40-49 years, male 2025.0
GTEX-11EMC-2526-SM-5PNVU 60-69 years, female 2012.6
GTEX-1AMEY-1126-SM-72D79 30-39 years, female 2009.3
GTEX-ZP4G-1926-SM-57WDZ 20-29 years, female 2009.0
GTEX-ZPU1-2326-SM-57WEP 40-49 years, male 2003.9
GTEX-1192X-2926-SM-5N9BA 50-59 years, male 1998.3
GTEX-1LVAO-2626-SM-EVR4S 60-69 years, male 1991.9
GTEX-1S82P-0726-SM-EVR4O 60-69 years, female 1990.9
GTEX-13111-2326-SM-5LZUQ 50-59 years, male 1989.6
GTEX-13JVG-2926-SM-5J2N9 60-69 years, male 1987.8
GTEX-1KD5A-2226-SM-EV79U 50-59 years, male 1953.6
GTEX-1QP9N-2026-SM-DPRZT 30-39 years, male 1947.5
GTEX-13113-1526-SM-5EGHV 60-69 years, female 1940.3
GTEX-11WQK-2926-SM-5EQKT 50-59 years, male 1936.6
GTEX-18A67-0626-SM-7KFSL 50-59 years, male 1934.1
GTEX-WY7C-1426-SM-4OND1 50-59 years, male 1928.6
GTEX-1RNSC-2926-SM-EV79L 60-69 years, male 1920.9
GTEX-X5EB-1726-SM-4E3J7 40-49 years, male 1917.8
GTEX-YB5K-1726-SM-5IFIZ 40-49 years, female 1915.9
GTEX-1OJC3-1026-SM-E6CQK 20-29 years, male 1906.8
GTEX-1LSNL-2626-SM-EV7AT 50-59 years, male 1905.4
GTEX-13OVI-2326-SM-5KM47 60-69 years, female 1898.8
GTEX-WFJO-2026-SM-4LVM3 30-39 years, male 1890.3
GTEX-1POEN-2226-SM-DPRXV 30-39 years, female 1889.5
GTEX-1IDJD-2526-SM-C1YSA 30-39 years, male 1888.5
GTEX-1JN1M-2426-SM-ARU93 60-69 years, female 1877.9
GTEX-1MCQQ-2226-SM-DLHC4 60-69 years, male 1877.7
GTEX-1C64O-0626-SM-7DHL1 60-69 years, male 1877.1
GTEX-1PIEJ-0626-SM-DTX99 20-29 years, female 1862.6
GTEX-11ZTS-3026-SM-5EQM7 60-69 years, female 1860.6
GTEX-14PN4-2526-SM-686ZG 50-59 years, male 1858.7
GTEX-X15G-2126-SM-4PQZR 50-59 years, female 1852.4
GTEX-WOFM-2126-SM-4OOSR 20-29 years, male 1850.8
GTEX-1A3MV-1726-SM-72D68 30-39 years, male 1847.6
GTEX-1C4CL-2026-SM-731EB 30-39 years, male 1838.0
GTEX-111FC-2926-SM-5GZY7 60-69 years, male 1828.3
GTEX-11NV4-1926-SM-5N9D4 60-69 years, male 1822.3
GTEX-14PJN-1726-SM-69LO7 30-39 years, male 1799.6
GTEX-13G51-2426-SM-5LZY8 60-69 years, male 1793.9
GTEX-Y3I4-1926-SM-4TT8L 50-59 years, male 1780.8
GTEX-13VXT-1726-SM-5IFF5 20-29 years, female 1778.0
GTEX-13O21-1926-SM-5MR39 50-59 years, male 1775.0
GTEX-1J1R8-1826-SM-AHZ3B 40-49 years, male 1756.9
GTEX-ZG7Y-2426-SM-DO11H 50-59 years, male 1756.4
GTEX-1KD4Q-2526-SM-CXZKL 40-49 years, male 1752.2
GTEX-1HFI7-2426-SM-B2LXV 50-59 years, female 1741.8
GTEX-1IDJC-1626-SM-AHZ2R 50-59 years, male 1732.3
GTEX-1R9K5-0626-SM-DPRZB 50-59 years, male 1728.2
GTEX-131XF-2826-SM-5EGKH 60-69 years, male 1727.1
GTEX-1IOXB-2826-SM-AHZ32 50-59 years, male 1719.8
GTEX-1GF9X-0226-SM-7P8SM 40-49 years, female 1718.3
GTEX-WHSB-2326-SM-4M1XK 50-59 years, male 1717.7
GTEX-1J8QM-1826-SM-A96TA 60-69 years, female 1709.9
GTEX-ZC5H-2726-SM-5KLZW 40-49 years, female 1708.4
GTEX-11TUW-2426-SM-5EQKB 60-69 years, male 1707.4
GTEX-12WSL-2126-SM-5GCNG 50-59 years, male 1703.7
GTEX-14PJ3-1526-SM-664O9 50-59 years, male 1697.3
GTEX-1EH9U-2926-SM-7DHLX 60-69 years, male 1696.9
GTEX-15SHV-2226-SM-6M464 60-69 years, male 1685.0
GTEX-1HSEH-1826-SM-A96SA 60-69 years, male 1682.0
GTEX-18A7B-2826-SM-7KFTK 70-79 years, male 1680.3
GTEX-13OVK-1826-SM-6PALE 40-49 years, male 1678.0
GTEX-1MCC2-2226-SM-EV7AJ 30-39 years, female 1672.5
GTEX-1S83E-0626-SM-E9TKC 40-49 years, male 1671.5
GTEX-1I1HK-2526-SM-A96SM 60-69 years, male 1665.7
GTEX-1QMI2-0426-SM-EWRND 60-69 years, male 1651.6
GTEX-1JKYR-0726-SM-AHZ3K 20-29 years, male 1650.3
GTEX-ZXG5-2826-SM-5NQ8T 60-69 years, male 1644.1
GTEX-1AX8Z-0626-SM-731EH 60-69 years, male 1643.4
GTEX-WYVS-2026-SM-4RGNS 40-49 years, female 1636.0
GTEX-145ME-1626-SM-5RQI3 40-49 years, female 1630.8
GTEX-1QEPI-0626-SM-E76QE 60-69 years, female 1613.5
GTEX-13NYB-2426-SM-5IFF4 40-49 years, male 1607.4
GTEX-15CHC-1226-SM-686ZH 60-69 years, female 1602.9
GTEX-1IY9M-2926-SM-A96TH 60-69 years, male 1599.6
GTEX-1LBAC-0626-SM-D3L9T 20-29 years, male 1598.1
GTEX-1JN6P-2526-SM-CNNPX 60-69 years, male 1594.2
GTEX-1GN1V-2926-SM-9JGI3 60-69 years, male 1576.4
GTEX-1C6VR-0726-SM-7P8OV 60-69 years, male 1572.6
GTEX-1RAZA-0626-SM-EAZ4H 20-29 years, male 1572.3
GTEX-1R9PO-2626-SM-E6CPU 60-69 years, female 1569.2
GTEX-1H4P4-2026-SM-9WPNV 50-59 years, male 1567.6
GTEX-1GTWX-2526-SM-9JGHG 60-69 years, male 1563.1
GTEX-131XH-2626-SM-5GCNP 50-59 years, male 1541.5
GTEX-1117F-3026-SM-5GZYU 60-69 years, female 1535.5
GTEX-12WSM-1826-SM-5BC64 60-69 years, male 1517.3
GTEX-1AYD5-2726-SM-7MXVG 50-59 years, male 1517.1
GTEX-1HSMQ-0926-SM-A96SI 50-59 years, male 1510.1
GTEX-1GZ2Q-2526-SM-9KNVW 40-49 years, male 1509.9
GTEX-13CF2-2426-SM-5LZYL 60-69 years, male 1501.9
GTEX-1H1CY-2326-SM-9OSXW 60-69 years, female 1500.4
GTEX-1J8EW-2826-SM-A96T9 60-69 years, female 1468.0
GTEX-1B8SF-1826-SM-731DJ 60-69 years, male 1466.0
GTEX-1B8KZ-1726-SM-73KV7 50-59 years, male 1445.3
GTEX-1HR9M-2526-SM-A9G3J 60-69 years, male 1438.1
GTEX-1QCLZ-2526-SM-EXUST 60-69 years, female 1434.6
GTEX-1P4AB-2926-SM-EXOJR 50-59 years, male 1432.3
GTEX-14JIY-3026-SM-6EU1R 60-69 years, male 1420.8
GTEX-1HSGN-0626-SM-A9G2E 40-49 years, female 1410.1
GTEX-1OJC4-3126-SM-EXOJK 50-59 years, female 1403.0
GTEX-178AV-1426-SM-6LLID 40-49 years, male 1392.4
GTEX-1IE54-0826-SM-AHZ2Z 40-49 years, female 1383.3
GTEX-1PPH8-1526-SM-E6CQO 20-29 years, male 1376.8
GTEX-11ZTT-2226-SM-5CVLP 60-69 years, female 1354.4
GTEX-1B932-0626-SM-731EM 40-49 years, female 1353.8
GTEX-17MFQ-1626-SM-7938Z 20-29 years, male 1332.6
GTEX-1GN1W-2526-SM-9JGHX 50-59 years, female 1332.6
GTEX-1B97J-2126-SM-79OL6 50-59 years, female 1302.5
GTEX-1C64N-2926-SM-79OLM 50-59 years, male 1219.8
GTEX-1AX9K-2126-SM-72D7K 50-59 years, male 1078.6
Show allShow less

SALIVARY GLAND - FANTOM5 CAGEi

RNA expression in human tissues obtained through Cap Analysis of Gene Expression (CAGE) generated by the FANTOM5 project are reported as Scaled Tags Per Million.

Max subtype Scaled Tags Per Millioni

Max subtype Scaled Tags Per Million is the value for the subtype with the largest average Scaled Tags Per Million across the subtype samples.

16.6
FANTOM5 sample id Sample description Scaled Tags Per Million
Parotid gland
Scaled Tags Per Million: 9.2
FF:10199-103F1 23 years, male 9.2
Salivary gland
Scaled Tags Per Million: 16.6
FF:10093-102C3 16-60 years, mixed 16.6
Submaxillary gland
Scaled Tags Per Million: 11.4
FF:10202-103F4 24 years, male 11.4

Contact

  • NEWS ARTICLES
  • PRESS ROOM

The Project

  • INTRODUCTION
  • ORGANIZATION
  • PUBLICATIONS

The Human Protein Atlas

  • DOWNLOADABLE DATA
  • LICENCE & CITATION
  • HELP & FAQ
The Human Protein Atlas project is funded
by the Knut & Alice Wallenberg Foundation.


contact@proteinatlas.org