We use cookies to enhance the usability of our website. If you continue, we'll assume that you are happy to receive all cookies. More information. Don't show this again.
COPE
HPA
RESOURCES
  • TISSUE
  • BRAIN
  • SINGLE CELL
  • SUBCELLULAR
  • CANCER
  • BLOOD
  • CELL LINE
  • STRUCTURE & INTERACTION
ABOUT
  • INTRODUCTION
  • HISTORY
  • ORGANIZATION
  • PUBLICATIONS
  • ANTIBODY SUBMISSION
  • ANTIBODY AVAILABILITY
  • ACKNOWLEDGMENTS
  • CONTACT
NEWS
  • NEWS ARTICLES
  • PRESS ROOM
LEARN
  • DICTIONARY
  • PROTEIN CLASSES
  • PROTEIN EVIDENCE
  • METHODS
  • EDUCATIONAL VIDEOS
DATA
  • DOWNLOADABLE DATA
  • PUBLICATION DATA
  • RELEASE HISTORY
HELP
  • ANTIBODY VALIDATION
  • ASSAYS & ANNOTATION
  • DISCLAIMER
  • HELP & FAQ
  • PRIVACY STATEMENT
  • LICENCE & CITATION
Fields »
Search result

Field
Term
Gene name
Class
Subclass
Class
Keyword
Chromosome
External id
Tissue
Cell type
Expression
Antibody panel
Tissue
Main location
Patient ID
Annotation
Tissue
Category
Tau score
Cluster
Reliability
Brain region
Category
Tau score
Brain region
Category
Tau score
Brain region
Category
Tau score
Cluster
Reliability
Tissue
Cell type
Enrichment
Cell type
Category
Tau score
Cell type
Category
Tau score
Cell type
Category
Tau score
Cell lineage
Category
Tau score
Cluster
Cluster
Location
Searches
Location
Cell line
Class
Type
Phase
Reliability
Cancer
Prognosis
Cancer
Category
Cancer
Category
Tau score
Cluster
Variants
Interacting gene (ensg_id)
Type
Number of interactions
Pathway
Category
Score
Score
Score
Validation
Validation
Validation
Validation
Antibodies
Data type
Column


  • SUMMARY

  • TISSUE

  • BRAIN

  • SINGLE CELL

  • SUBCELL

  • CANCER

  • BLOOD

  • CELL LINE

  • STRUCT & INT

  • COPE
TISSUE PRIMARY DATA STOMACH Show tissue menu
ADIPOSE TISSUE ADRENAL GLAND AMYGDALA APPENDIX BASAL GANGLIA BONE MARROW BREAST BRONCHUS CEREBELLUM CEREBRAL CORTEX CERVIX CHOROID PLEXUS COLON DUODENUM
ENDOMETRIUM EPIDIDYMIS ESOPHAGUS FALLOPIAN TUBE GALLBLADDER HEART MUSCLE HIPPOCAMPAL FORMATION HYPOTHALAMUS KIDNEY LIVER LUNG LYMPH NODE MIDBRAIN NASOPHARYNX
ORAL MUCOSA OVARY PANCREAS PARATHYROID GLAND PITUITARY GLAND PLACENTA PROSTATE RECTUM RETINA SALIVARY GLAND SEMINAL VESICLE SKELETAL MUSCLE SKIN SMALL INTESTINE
SMOOTH MUSCLE SOFT TISSUE SPINAL CORD SPLEEN STOMACH TESTIS THYMUS THYROID GLAND TONGUE TONSIL URINARY BLADDER VAGINA
ANTIBODIES
AND
VALIDATION
Dictionary
Tissue proteome
Stomach
STOMACH - Expression summary
Protein expression
Stomachi

On the top, protein expression in current human tissue, based on all annotated cell types, is reported with the units not detected (n), low (l), medium (m) and high (h). Underneath, protein expression in each annotated cell type are reported using the same units.

Protein expression data is based on knowledge-based annotation. For genes where more than one antibody has been used, a collective score is set.

If knowledge-based annotation could not be performed for a gene, no data is displayed here. View antibody staining data further down this page.

h
m
l
n
Glandular cells: High
RNA expressioni

A summary of mRNA expression data available for current tissue based on several datasets. The mRNA expression levels in human tissues are based on RNA-seq data generated by the Human Protein Atlas (HPA), Genotype-Tissue Expression (GTEx) portal and CAGE data generated by the FANTOM5 consortium. Consensus normalized expression levels for human tissues was created by combining the data from HPA and GTEx datasets.

The mRNA expression levels in pig are based on RNA-seq data generated by the Human Protein Atlas (HPA), and for mouse, HPA data and in situ hybridization generated by the Allen brain atlas are reported.

Scroll down to view mRNA expression data in more detail.
Consensus:123.2 nTPM
HPA:76.0 nTPM
GTEx:123.2 nTPM

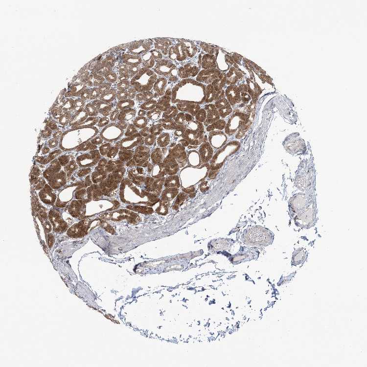
STOMACH 1 - Antibody stainingi

Antibody staining in the annotated cell types in the current human tissue is reported as not detected, low, medium, or high, based on conventional immunohistochemistry profiling in selected tissues. This score is based on the combination of the staining intensity and fraction of stained cells.

Each image is clickable and will lead to virtual microscopy that enables deeper exploration of all samples and also displays staining intensity scores, fraction scores and subcellular localization as well as patient and tissue information for each sample.

Antibody HPA041605Antibody HPA043576Antibody CAB034345
Glandular cells HighMediumHigh


STOMACH 2 - Antibody stainingi

Antibody staining in the annotated cell types in the current human tissue is reported as not detected, low, medium, or high, based on conventional immunohistochemistry profiling in selected tissues. This score is based on the combination of the staining intensity and fraction of stained cells.

Each image is clickable and will lead to virtual microscopy that enables deeper exploration of all samples and also displays staining intensity scores, fraction scores and subcellular localization as well as patient and tissue information for each sample.

Antibody HPA041605Antibody HPA043576Antibody CAB034345
Glandular cells HighHighHigh







STOMACH - HPA RNA-seqi

The RNA-seq details section shows detailed information about the individual samples used for the transcript profiling and results of the RNA-seq analysis.

Information about each individual sample is listed below, including gender, age, a tissue section image and estimated fractions of cell types. nTPM (normalized transcripts per million) values give a quantification of the gene abundance which is comparable between different genes and samples.
Average nTPMi

Max subtype nTPM is the value for the subtype with the largest average nTPM across the subtype samples.

76.0
overview
Female, age 33
Stomach sample 61
nTPM: 83.1
Cell types%
Glandular cells:
60

Smooth muscle cells:
5

Other cell types:
35

N/A
Male, age 82
Stomach sample 240
nTPM: 67
Cell types%
Glandular cells:
65

Smooth muscle cells:
5

Other cell types:
30

overview
Male, age 71
Stomach sample 241
nTPM: 120.9
Cell types%
Glandular cells:
50

Smooth muscle cells:
5

Other cell types:
45

overview
Female, age 66
Stomach sample 369
nTPM: 32.9
Cell types%
Glandular cells:
50

Smooth muscle cells:
10

Other cell types:
40


STOMACH - GTEx RNA-seqi

RNA-Seq data generated by the Genotype-Tissue Expression (GTEx) project from human tissues is reported as mean nTPM. More information can be found on the GTEx portal.

Distribution across the dataset is visualized with box plots, shown as median and 25th and 75th percentiles. Points are displayed as outliers if they are above or below 1.5 times the interquartile range. nTPM values of the individual samples are presented next to the box plot.
Max subtype nTPMi

Max subtype nTPM is the value for the subtype with the largest average nTPM across the subtype samples.

123.2
GTEx sample id Sample description nTPM
Stomach
Average nTPM: 123.2
Samples: 359

Max nTPM: 353.4
Min nTPM: 60.2
Std nTPM: 31.2
Median nTPM: 120.5
GTEX-1J8JJ-1726-SM-C1YQG 60-69 years, female 353.4
GTEX-1RQEC-2126-SM-DPS15 60-69 years, male 253.2
GTEX-ZYY3-1726-SM-5EGH3 60-69 years, female 224.8
GTEX-15RIF-1126-SM-7KUG2 20-29 years, male 218.4
GTEX-QCQG-0526-SM-48U2A 50-59 years, female 205.7
GTEX-11GSP-2126-SM-5HL5E 60-69 years, female 204.7
GTEX-14PJ4-1626-SM-664OB 60-69 years, male 204.5
GTEX-WFG8-1326-SM-4LVN3 20-29 years, male 200.7
GTEX-17HII-2426-SM-7KFTT 50-59 years, male 194.9
GTEX-P4PP-1526-SM-3P61M 30-39 years, female 193.8
GTEX-1H1DG-2126-SM-9WPPB 70-79 years, male 193.8
GTEX-11NSD-1426-SM-5HL67 20-29 years, male 184.6
GTEX-1I1HK-2026-SM-CNNRB 60-69 years, male 184.0
GTEX-17MF6-2126-SM-7KFS7 40-49 years, male 180.5
GTEX-WHPG-0426-SM-4M1XW 50-59 years, male 179.2
GTEX-131XG-1226-SM-5EGH9 50-59 years, female 176.2
GTEX-14PKV-1826-SM-69LO9 20-29 years, female 176.1
GTEX-1RAZR-1526-SM-EAZ4U 40-49 years, male 175.5
GTEX-OIZF-1526-SM-2I5GR 60-69 years, male 173.7
GTEX-ZPU1-1626-SM-4WWB2 40-49 years, male 172.9
GTEX-ZEX8-1626-SM-4WKG7 50-59 years, male 170.8
GTEX-13PVQ-2126-SM-5L3FW 50-59 years, male 168.7
GTEX-POMQ-0826-SM-3P61H 20-29 years, female 168.4
GTEX-PX3G-1526-SM-48U11 20-29 years, female 167.9
GTEX-ZYVF-2726-SM-5GID4 50-59 years, female 165.8
GTEX-Y5V6-1326-SM-4VDTF 60-69 years, male 164.9
GTEX-13O21-0926-SM-5IFGT 50-59 years, male 163.4
GTEX-ZY6K-0726-SM-5A5L8 50-59 years, male 163.2
GTEX-W5WG-1726-SM-4LMI5 50-59 years, female 162.5
GTEX-15G1A-1226-SM-7KUF3 30-39 years, male 160.6
GTEX-18A7A-2726-SM-7LG6U 50-59 years, female 160.0
GTEX-WFG7-1326-SM-4LMK1 20-29 years, male 159.9
GTEX-ZA64-0826-SM-5HL9U 20-29 years, male 159.7
GTEX-T5JW-0926-SM-4DM5K 20-29 years, female 159.5
GTEX-1GF9U-1126-SM-AHZ4H 40-49 years, female 158.8
GTEX-13FTW-1726-SM-5KM2B 40-49 years, male 158.3
GTEX-1JKYN-1726-SM-AHZ48 30-39 years, male 158.1
GTEX-1KANA-1126-SM-D3L9M 20-29 years, male 158.1
GTEX-1F5PL-1426-SM-7MKFH 40-49 years, female 157.4
GTEX-1E1VI-2826-SM-7MGWU 50-59 years, male 156.8
GTEX-1B97I-1226-SM-7MGWQ 40-49 years, male 156.1
GTEX-QDVJ-1426-SM-48U1Y 50-59 years, male 155.8
GTEX-1MJIX-1126-SM-EV7AO 40-49 years, male 154.8
GTEX-Q2AH-1126-SM-48TZM 40-49 years, male 154.6
GTEX-12WSJ-0926-SM-5P9JD 40-49 years, female 154.5
GTEX-Y3IK-1426-SM-4YCES 50-59 years, female 154.5
GTEX-11NUK-2426-SM-5BC4U 50-59 years, male 153.8
GTEX-18A66-2226-SM-7189E 60-69 years, male 153.5
GTEX-117YX-1026-SM-5H11V 50-59 years, male 152.6
GTEX-13CF3-1926-SM-5K7WF 60-69 years, female 152.2
GTEX-1I6K7-1726-SM-B2LXQ 40-49 years, male 152.1
GTEX-14BIL-1926-SM-73KYI 50-59 years, male 151.9
GTEX-13FTX-0726-SM-5N9BI 20-29 years, female 151.5
GTEX-ZVT2-1626-SM-51MRC 50-59 years, female 151.2
GTEX-13OW6-2526-SM-5IJEC 50-59 years, male 150.6
GTEX-ZLWG-1526-SM-DO12F 50-59 years, female 149.4
GTEX-1QPFJ-1526-SM-DPRXT 30-39 years, female 149.3
GTEX-1HBPI-0726-SM-9WG7Z 50-59 years, male 148.8
GTEX-XUZC-0726-SM-4BOPH 30-39 years, female 148.7
GTEX-13OVK-0926-SM-7KUFX 40-49 years, male 148.4
GTEX-YB5E-1126-SM-664NU 40-49 years, male 148.3
GTEX-PWN1-1526-SM-48TDA 40-49 years, female 148.2
GTEX-1HCU8-1326-SM-C1YQQ 60-69 years, female 147.8
GTEX-1CAMR-0726-SM-7EPIE 20-29 years, male 147.7
GTEX-13U4I-2526-SM-5SI8Z 40-49 years, female 147.0
GTEX-O5YW-1526-SM-3MJGL 50-59 years, male 146.8
GTEX-1HKZK-1526-SM-B2LWG 40-49 years, male 146.8
GTEX-139YR-1926-SM-5LZXM 50-59 years, male 146.6
GTEX-OOBJ-1526-SM-3NB1Q 60-69 years, male 146.4
GTEX-14DAQ-2826-SM-664MU 60-69 years, female 145.9
GTEX-ZT9W-1526-SM-4YCDE 50-59 years, male 145.9
GTEX-Q734-1026-SM-48U16 40-49 years, female 145.4
GTEX-QXCU-1926-SM-48FE4 50-59 years, male 145.2
GTEX-12696-1726-SM-5EQLH 60-69 years, male 144.8
GTEX-Y5LM-1326-SM-5RQIS 40-49 years, female 144.6
GTEX-11DXX-1326-SM-5GIDZ 60-69 years, female 143.7
GTEX-12BJ1-1726-SM-5HL9B 60-69 years, male 143.6
GTEX-1NSGN-1926-SM-E9J36 50-59 years, male 143.5
GTEX-1399S-1626-SM-5P9GI 30-39 years, female 143.3
GTEX-P4QT-1526-SM-3NMCT 50-59 years, female 143.2
GTEX-Q2AI-0826-SM-48TZO 40-49 years, male 142.7
GTEX-SUCS-0926-SM-4DM4Z 70-79 years, male 141.7
GTEX-14PHX-1026-SM-664OL 50-59 years, male 141.4
GTEX-1LSNM-1026-SM-DHXL2 50-59 years, male 141.2
GTEX-17EUY-1526-SM-793CA 20-29 years, male 140.9
GTEX-WEY5-1226-SM-4LMIQ 40-49 years, female 140.7
GTEX-1399R-1126-SM-5IFIO 30-39 years, male 139.9
GTEX-1C475-1026-SM-7MKFJ 40-49 years, female 139.4
GTEX-1KXAM-0926-SM-CXZKA 60-69 years, male 139.2
GTEX-17F9E-2226-SM-7IGNC 50-59 years, male 138.4
GTEX-1B97J-1826-SM-7IGPP 50-59 years, female 138.3
GTEX-14PJ6-0826-SM-686Z9 60-69 years, female 138.2
GTEX-1QMI2-2126-SM-DPRXQ 60-69 years, male 138.2
GTEX-1QP2A-2126-SM-DPRZ7 50-59 years, male 138.1
GTEX-117YW-2226-SM-5N9DB 50-59 years, male 138.0
GTEX-WH7G-1526-SM-4LVMX 40-49 years, male 138.0
GTEX-OXRL-1526-SM-E6CHQ 50-59 years, male 138.0
GTEX-1MUQO-1926-SM-EAZ59 60-69 years, male 137.8
GTEX-SNMC-0626-SM-4DM6H 20-29 years, male 137.3
GTEX-ZZ64-0426-SM-5E43F 20-29 years, male 136.8
GTEX-T6MO-0726-SM-4DM58 40-49 years, female 136.7
GTEX-13S7M-1826-SM-5RQK6 60-69 years, female 135.9
GTEX-QMRM-1126-SM-447BN 50-59 years, male 135.7
GTEX-WRHK-0626-SM-4MVOE 20-29 years, female 135.6
GTEX-PW2O-1226-SM-48TCH 20-29 years, male 135.3
GTEX-V955-1326-SM-4JBHR 60-69 years, male 134.7
GTEX-1GL5R-1926-SM-9WG7U 50-59 years, male 134.1
GTEX-1LG7Z-1226-SM-DHXK4 30-39 years, male 133.8
GTEX-ZVZP-1726-SM-5GZWY 50-59 years, male 133.6
GTEX-1122O-1926-SM-5EGIQ 60-69 years, female 133.4
GTEX-111CU-0926-SM-5EGIK 50-59 years, male 133.2
GTEX-S4P3-0726-SM-4AD57 50-59 years, female 133.0
GTEX-1JK1U-1326-SM-AHZ45 60-69 years, male 133.0
GTEX-1A8G6-1426-SM-731EZ 60-69 years, male 132.7
GTEX-R53T-1226-SM-48FCT 50-59 years, female 132.4
GTEX-RM2N-0826-SM-48FD3 50-59 years, male 132.3
GTEX-1ICG6-1826-SM-AHZ2O 70-79 years, female 132.2
GTEX-ZYFG-1326-SM-5GICJ 60-69 years, female 131.3
GTEX-14ICL-0826-SM-5YY9W 30-39 years, male 131.1
GTEX-1AYCT-1326-SM-7MKHB 50-59 years, male 131.0
GTEX-1LVAN-2426-SM-CNNPZ 50-59 years, female 131.0
GTEX-ZV6S-0926-SM-57WGB 40-49 years, female 130.9
GTEX-QDVN-1226-SM-48TZ5 50-59 years, male 130.8
GTEX-ZP4G-1226-SM-4WWCJ 20-29 years, female 130.4
GTEX-ZAB4-1526-SM-5CVN7 40-49 years, male 130.3
GTEX-15CHR-1326-SM-79OLT 50-59 years, male 130.0
GTEX-144GM-1726-SM-5O9AS 20-29 years, male 129.8
GTEX-11TT1-0726-SM-5GU5A 20-29 years, male 129.6
GTEX-18A67-2626-SM-718AD 50-59 years, male 129.2
GTEX-YFCO-0826-SM-5LUAG 40-49 years, male 129.0
GTEX-15G19-1526-SM-6LPKP 60-69 years, male 128.6
GTEX-WXYG-1626-SM-4ONCR 50-59 years, female 128.6
GTEX-17JCI-2226-SM-7LTA1 60-69 years, female 128.1
GTEX-U3ZN-2026-SM-4DXUC 30-39 years, female 127.9
GTEX-1F75I-1826-SM-7MKGX 40-49 years, male 127.8
GTEX-1LGOU-1526-SM-D3LAJ 20-29 years, female 127.8
GTEX-WFON-1126-SM-4LVMA 40-49 years, male 127.7
GTEX-WY7C-1726-SM-4ONCC 50-59 years, male 127.6
GTEX-YJ8A-1526-SM-5P9FT 20-29 years, male 127.6
GTEX-1LGRB-1726-SM-CNNRA 50-59 years, female 127.5
GTEX-13X6H-1626-SM-5Q5CT 50-59 years, female 126.7
GTEX-OHPM-1526-SM-EV796 50-59 years, male 126.3
GTEX-PWCY-0926-SM-48TD7 20-29 years, female 126.2
GTEX-WZTO-2126-SM-4PQYW 40-49 years, male 126.2
GTEX-12WSG-2026-SM-5FQUU 50-59 years, female 125.9
GTEX-1QCLZ-1826-SM-DPRXP 60-69 years, female 125.9
GTEX-15UF7-1226-SM-6M46G 40-49 years, male 125.6
GTEX-ZLFU-1326-SM-DO11R 40-49 years, male 125.6
GTEX-SNOS-0826-SM-4DM5N 40-49 years, male 125.4
GTEX-13X6J-2126-SM-5TDCV 50-59 years, male 125.2
GTEX-1JMLX-2426-SM-CXZJQ 50-59 years, male 124.8
GTEX-1MCYP-1126-SM-E9J2P 20-29 years, female 124.8
GTEX-ZVP2-1626-SM-5GU5D 50-59 years, male 124.7
GTEX-1JN1M-2926-SM-CNNPJ 60-69 years, female 124.5
GTEX-1E2YA-2426-SM-7EPIG 50-59 years, male 124.4
GTEX-OXRK-1626-SM-3NB17 50-59 years, female 124.3
GTEX-WHSB-1226-SM-4M1XR 50-59 years, male 124.1
GTEX-14E6E-0926-SM-664N8 30-39 years, male 123.7
GTEX-1IDJD-2426-SM-C1YS6 30-39 years, male 123.7
GTEX-ZQUD-0826-SM-57WDQ 30-39 years, male 123.5
GTEX-1HCUA-1626-SM-A9SMG 50-59 years, female 123.5
GTEX-18D9B-2226-SM-718BM 60-69 years, male 123.4
GTEX-1QP29-2326-SM-EXOJO 50-59 years, male 123.4
GTEX-XMK1-1526-SM-EYYVO 40-49 years, male 123.4
GTEX-131XF-1226-SM-5HL8V 60-69 years, male 123.3
GTEX-144GN-1226-SM-5O991 50-59 years, male 123.1
GTEX-15SHW-2126-SM-6M46Y 60-69 years, male 122.8
GTEX-15DZA-1126-SM-6LPK8 30-39 years, female 122.7
GTEX-1A3MX-1926-SM-72D7F 60-69 years, male 122.4
GTEX-1AMFI-1226-SM-731CZ 50-59 years, female 122.4
GTEX-OHPK-1526-SM-3MJGM 50-59 years, female 122.1
GTEX-S3XE-1026-SM-4AD4O 50-59 years, male 122.1
GTEX-1B8KZ-1226-SM-793CP 50-59 years, male 121.9
GTEX-RWS6-0926-SM-47JXE 60-69 years, female 121.8
GTEX-15DCE-1626-SM-6LPJM 20-29 years, male 121.6
GTEX-1H1E6-1626-SM-9OSWC 30-39 years, male 121.2
GTEX-1GMRU-2526-SM-9WG7T 50-59 years, male 121.1
GTEX-13D11-2126-SM-5IFH2 50-59 years, female 120.8
GTEX-ZF29-1526-SM-4WKF7 60-69 years, female 120.7
GTEX-1MGNQ-1826-SM-DPRYI 40-49 years, male 120.5
GTEX-ZGAY-1626-SM-DNZZ3 40-49 years, female 120.4
GTEX-UJMC-1226-SM-4IHLI 50-59 years, male 120.2
GTEX-146FH-2126-SM-5SI9U 50-59 years, female 120.1
GTEX-15EU6-2526-SM-7KUGB 50-59 years, male 119.8
GTEX-13O61-1126-SM-5L3FI 60-69 years, male 119.7
GTEX-Y9LG-1026-SM-5IFJN 30-39 years, male 119.6
GTEX-145ME-1026-SM-5O9B4 40-49 years, female 119.5
GTEX-1J8Q3-1926-SM-C1YSJ 60-69 years, male 119.3
GTEX-T8EM-1226-SM-4DM5J 40-49 years, male 119.0
GTEX-S341-0626-SM-4AD5T 40-49 years, female 118.9
GTEX-XBED-1226-SM-4AT5V 60-69 years, male 118.8
GTEX-1AMEY-1226-SM-731DU 30-39 years, female 118.5
GTEX-PLZ5-1226-SM-EXOHA 50-59 years, male 118.4
GTEX-1JMPZ-1826-SM-CXZJT 30-39 years, male 118.2
GTEX-ZZPU-1426-SM-5GZZ6 50-59 years, female 117.5
GTEX-XQ8I-2026-SM-4BOOL 50-59 years, male 117.3
GTEX-1HFI7-1526-SM-9WG7W 50-59 years, female 116.9
GTEX-12WSD-2326-SM-59HKQ 60-69 years, female 116.7
GTEX-P78B-1826-SM-3P5YX 40-49 years, female 116.5
GTEX-1HBPN-1626-SM-9WPNP 50-59 years, male 116.4
GTEX-132QS-1826-SM-5IFFN 60-69 years, male 116.3
GTEX-14JG6-1226-SM-664O6 30-39 years, female 116.2
GTEX-1J8QM-1126-SM-C1YQB 60-69 years, female 116.1
GTEX-V1D1-1726-SM-4JBHB 50-59 years, male 115.6
GTEX-WYJK-2526-SM-4ONDF 50-59 years, male 115.6
GTEX-R55G-1126-SM-48FDG 40-49 years, female 115.5
GTEX-ZDYS-1926-SM-5HL59 50-59 years, male 115.5
GTEX-ZV7C-1626-SM-5NQ7E 50-59 years, male 115.5
GTEX-14B4R-0726-SM-5TDDR 30-39 years, male 115.2
GTEX-1JMQJ-1326-SM-D4P3B 50-59 years, male 115.2
GTEX-ZLV1-0826-SM-DO11P 60-69 years, female 115.0
GTEX-XV7Q-1326-SM-4BRWM 40-49 years, female 114.8
GTEX-145MN-1326-SM-5NQ9S 30-39 years, male 114.7
GTEX-14PJ5-0826-SM-6AJAR 60-69 years, female 114.4
GTEX-1RB15-1026-SM-E9U6V 60-69 years, male 114.3
GTEX-13PVR-2126-SM-73KVR 60-69 years, female 114.1
GTEX-12WSK-1426-SM-5CVNN 40-49 years, female 114.0
GTEX-ZF2S-1426-SM-57WET 50-59 years, female 113.9
GTEX-1LBAC-1426-SM-CXZKT 20-29 years, male 113.9
GTEX-VJYA-1026-SM-4KL21 60-69 years, male 113.8
GTEX-17GQL-1226-SM-7KFTS 60-69 years, male 113.7
GTEX-YEC4-1426-SM-5IFHS 40-49 years, male 113.7
GTEX-11EM3-1026-SM-5A5KL 20-29 years, female 113.4
GTEX-133LE-1326-SM-5IFGO 20-29 years, female 113.4
GTEX-1CB4E-1326-SM-7DUGD 60-69 years, male 113.3
GTEX-1IDJU-1526-SM-CNNR3 60-69 years, female 113.3
GTEX-13113-0726-SM-5LZUF 60-69 years, female 112.5
GTEX-1R7EU-1126-SM-EAZ4M 60-69 years, male 111.7
GTEX-13QBU-1126-SM-5LU44 40-49 years, female 111.6
GTEX-14BMU-1126-SM-5RQJ8 20-29 years, female 111.3
GTEX-QLQ7-0826-SM-447B3 60-69 years, male 111.1
GTEX-RTLS-2626-SM-46MUJ 60-69 years, female 110.9
GTEX-1H23P-2726-SM-9JGHN 60-69 years, male 110.7
GTEX-1J8EW-2226-SM-AHZ3T 60-69 years, female 110.6
GTEX-QV44-1226-SM-CJI1S 50-59 years, male 110.6
GTEX-13FH7-1026-SM-5IJGF 50-59 years, female 109.9
GTEX-1L5NE-1526-SM-DIPFW 50-59 years, male 109.9
GTEX-18QFQ-1226-SM-718AE 30-39 years, male 109.6
GTEX-14PJ3-1426-SM-664O8 50-59 years, male 109.5
GTEX-Y8LW-0826-SM-4WWDO 50-59 years, female 109.2
GTEX-ZVT3-2126-SM-59HL2 60-69 years, female 109.2
GTEX-X15G-1126-SM-4PQZG 50-59 years, female 109.1
GTEX-1IL2V-2026-SM-ARZMA 70-79 years, male 109.0
GTEX-111YS-1126-SM-5GZYQ 60-69 years, male 108.9
GTEX-17HHE-1026-SM-79ON6 50-59 years, male 108.9
GTEX-1S831-1126-SM-EWROI 20-29 years, male 108.9
GTEX-14DAR-0926-SM-73KUQ 50-59 years, male 108.6
GTEX-17F98-1526-SM-7EWD8 40-49 years, female 108.1
GTEX-1HSEH-1526-SM-B2LXG 60-69 years, male 107.7
GTEX-U4B1-1026-SM-4DXT1 40-49 years, male 107.3
GTEX-14PKU-1126-SM-69LOU 40-49 years, female 107.0
GTEX-QLQW-0726-SM-447AA 30-39 years, male 106.8
GTEX-13RTK-0226-SM-5RQHR 20-29 years, male 106.7
GTEX-R55C-1026-SM-48FCM 40-49 years, male 106.1
GTEX-1K2DA-0826-SM-CGQGD 50-59 years, male 105.6
GTEX-Y3I4-1626-SM-4TT7W 50-59 years, male 105.5
GTEX-17HGU-2126-SM-7IGOV 50-59 years, male 105.1
GTEX-1RMOY-1126-SM-EV79E 50-59 years, male 104.3
GTEX-1N2DV-0926-SM-E9TJT 40-49 years, male 104.0
GTEX-1H1DE-1226-SM-9JGHH 20-29 years, male 103.7
GTEX-1H3VY-2326-SM-9WG81 50-59 years, male 103.7
GTEX-11WQK-2626-SM-5EQ4K 50-59 years, male 103.2
GTEX-1S82Z-1726-SM-E6CHZ 30-39 years, female 103.1
GTEX-NFK9-1526-SM-3LK7B 40-49 years, male 102.8
GTEX-145MO-2226-SM-5Q5BN 60-69 years, male 102.3
GTEX-TKQ1-0526-SM-4DXTG 30-39 years, male 102.3
GTEX-QV31-0626-SM-447C5 30-39 years, male 102.1
GTEX-S95S-0826-SM-4B64N 60-69 years, male 102.1
GTEX-TMMY-1626-SM-4DXTY 40-49 years, female 102.1
GTEX-1F5PK-1826-SM-7RHHX 50-59 years, male 101.9
GTEX-16AAH-1226-SM-79OO9 50-59 years, male 101.7
GTEX-ZXES-1426-SM-5NQ8S 30-39 years, female 101.6
GTEX-13N1W-2026-SM-5K7YU 70-79 years, male 101.2
GTEX-1QCLY-1126-SM-EAZ4J 30-39 years, male 101.2
GTEX-1339X-1426-SM-5K7YO 40-49 years, male 101.0
GTEX-S4UY-1626-SM-4AD55 40-49 years, female 101.0
GTEX-XPVG-1526-SM-4B66C 50-59 years, male 100.9
GTEX-145LT-1426-SM-5O9B3 40-49 years, male 100.6
GTEX-1A3MV-1226-SM-718BW 30-39 years, male 100.6
GTEX-14E1K-1526-SM-664MN 50-59 years, male 100.4
GTEX-Y114-1226-SM-4TT88 50-59 years, female 100.4
GTEX-S4Q7-0726-SM-4AD5F 20-29 years, male 99.5
GTEX-18D9A-0626-SM-7KFTY 30-39 years, female 99.4
GTEX-1I4MK-0926-SM-A9SLD 50-59 years, female 98.8
GTEX-1211K-1426-SM-5FQTF 60-69 years, female 98.5
GTEX-1EH9U-2226-SM-7PBXX 60-69 years, male 98.1
GTEX-1B8KE-1326-SM-73KVI 50-59 years, male 98.0
GTEX-15RIE-1026-SM-6LPJQ 60-69 years, male 97.6
GTEX-R55D-1526-SM-48FEJ 50-59 years, male 97.6
GTEX-UPK5-2126-SM-4JBJK 40-49 years, male 97.2
GTEX-1PPH8-1326-SM-DTXFO 20-29 years, male 96.9
GTEX-11EQ9-1226-SM-5987E 30-39 years, male 96.8
GTEX-14BMV-2226-SM-5RQHX 50-59 years, male 96.8
GTEX-1I1GT-1726-SM-C1YS3 60-69 years, female 96.2
GTEX-QDT8-2026-SM-EZ6LS 30-39 years, female 95.8
GTEX-1R9K5-1026-SM-EAZ4F 50-59 years, male 95.7
GTEX-1JMPY-0926-SM-ARL92 30-39 years, male 95.6
GTEX-12C56-0526-SM-5FQST 20-29 years, male 95.3
GTEX-Y8E4-1526-SM-4WWDI 40-49 years, male 95.3
GTEX-11EI6-2426-SM-5PNVS 60-69 years, male 95.1
GTEX-WYVS-1326-SM-4ONCQ 40-49 years, female 95.0
GTEX-1GN1W-2126-SM-9JGI7 50-59 years, female 94.8
GTEX-YEC3-1426-SM-D4P1S 50-59 years, male 94.6
GTEX-XXEK-0826-SM-4BRWG 50-59 years, male 93.9
GTEX-OIZH-1526-SM-3NB1J 50-59 years, male 93.7
GTEX-1AX9J-2626-SM-731EK 60-69 years, male 93.4
GTEX-1399U-1626-SM-5P9J3 50-59 years, female 93.1
GTEX-131XE-2226-SM-5PNYX 50-59 years, male 92.9
GTEX-14PHY-0926-SM-5ZZWL 60-69 years, female 92.7
GTEX-1HR9M-2326-SM-CNPPZ 60-69 years, male 92.7
GTEX-UJHI-1026-SM-4IHJP 50-59 years, female 92.2
GTEX-1B8L1-1526-SM-79OLK 60-69 years, male 91.9
GTEX-1QP28-2126-SM-DTX8B 50-59 years, female 91.5
GTEX-T5JC-1926-SM-4DM6Q 20-29 years, male 91.0
GTEX-11VI4-0326-SM-5EQ6L 40-49 years, female 90.9
GTEX-ZPIC-2026-SM-57WG3 40-49 years, female 90.9
GTEX-S7SF-0626-SM-4AD4V 20-29 years, female 90.5
GTEX-XBEW-1826-SM-4RTWX 40-49 years, male 90.4
GTEX-WFJO-1126-SM-4LVLZ 30-39 years, male 90.1
GTEX-S4Z8-1226-SM-4AD6W 60-69 years, male 90.0
GTEX-WHWD-1426-SM-4OORU 50-59 years, male 89.6
GTEX-RUSQ-1126-SM-EAZAU 50-59 years, male 89.2
GTEX-RU1J-0526-SM-46MUT 20-29 years, female 87.8
GTEX-13111-1226-SM-5GCNC 50-59 years, male 87.5
GTEX-132AR-2426-SM-5IFFD 50-59 years, female 87.5
GTEX-11P82-0726-SM-5PNYL 20-29 years, male 86.7
GTEX-1GZ4H-1026-SM-9OSXL 50-59 years, female 86.0
GTEX-13OVI-2426-SM-5KM4J 60-69 years, female 85.9
GTEX-XAJ8-0326-SM-47JYI 40-49 years, male 85.9
GTEX-O5YV-1926-SM-EV797 60-69 years, female 85.1
GTEX-14PN3-1326-SM-6AJ9U 60-69 years, female 84.8
GTEX-1S3DN-1526-SM-EVYCB 50-59 years, male 84.8
GTEX-139D8-2326-SM-5IFGE 30-39 years, female 84.5
GTEX-ZE7O-3026-SM-51MS4 50-59 years, female 83.8
GTEX-13O3Q-2126-SM-5KM4C 50-59 years, male 83.4
GTEX-1HT8W-2326-SM-A9SLA 30-39 years, male 83.2
GTEX-P4PQ-1526-SM-3NMCK 60-69 years, male 82.9
GTEX-1H3NZ-2226-SM-9WYUT 60-69 years, male 82.8
GTEX-1KD5A-1426-SM-D4P3V 50-59 years, male 82.0
GTEX-146FR-2026-SM-5NQAI 60-69 years, female 81.2
GTEX-PLZ6-0826-SM-3P61K 30-39 years, male 81.1
GTEX-1LVAM-1426-SM-E9TJ4 50-59 years, female 81.1
GTEX-1PIGE-1126-SM-EWRMV 20-29 years, male 81.1
GTEX-13QJ3-2726-SM-5SI6L 50-59 years, male 80.3
GTEX-11P7K-1726-SM-5GU6F 30-39 years, male 79.7
GTEX-1JN76-0926-SM-ARZNH 20-29 years, female 79.5
GTEX-1GPI7-1326-SM-9KNVA 20-29 years, male 78.8
GTEX-1HSMQ-2426-SM-CE6RY 50-59 years, male 77.4
GTEX-1QW4Y-0726-SM-DTX8E 30-39 years, male 74.0
GTEX-17KNJ-1526-SM-7LTA9 50-59 years, male 72.9
GTEX-1H11D-2226-SM-9OSXN 40-49 years, male 72.9
GTEX-1IDJF-1426-SM-ACKWK 20-29 years, male 72.8
GTEX-1C64O-2226-SM-73KTV 60-69 years, male 70.5
GTEX-1CB4H-2426-SM-7PBYR 60-69 years, female 70.1
GTEX-11I78-1726-SM-5A5M3 50-59 years, female 70.0
GTEX-TKQ2-0926-SM-4DXU5 50-59 years, male 69.5
GTEX-ZTX8-0426-SM-59HLG 20-29 years, male 69.5
GTEX-16NGA-1526-SM-72D56 40-49 years, female 68.2
GTEX-1QP67-1026-SM-EVR47 40-49 years, female 60.2
Show allShow less

Contact

  • NEWS ARTICLES
  • PRESS ROOM

The Project

  • INTRODUCTION
  • ORGANIZATION
  • PUBLICATIONS

The Human Protein Atlas

  • DOWNLOADABLE DATA
  • LICENCE & CITATION
  • HELP & FAQ
The Human Protein Atlas project is funded
by the Knut & Alice Wallenberg Foundation.


contact@proteinatlas.org