We use cookies to enhance the usability of our website. If you continue, we'll assume that you are happy to receive all cookies. More information. Don't show this again.
SFRP4
HPA
RESOURCES
  • TISSUE
  • BRAIN
  • SINGLE CELL
  • SUBCELLULAR
  • CANCER
  • BLOOD
  • CELL LINE
  • STRUCTURE & INTERACTION
ABOUT
  • INTRODUCTION
  • HISTORY
  • ORGANIZATION
  • PUBLICATIONS
  • ANTIBODY SUBMISSION
  • ANTIBODY AVAILABILITY
  • ACKNOWLEDGMENTS
  • CONTACT
NEWS
  • NEWS ARTICLES
  • PRESS ROOM
LEARN
  • DICTIONARY
  • PROTEIN CLASSES
  • PROTEIN EVIDENCE
  • METHODS
  • EDUCATIONAL VIDEOS
DATA
  • DOWNLOADABLE DATA
  • PUBLICATION DATA
  • RELEASE HISTORY
HELP
  • ANTIBODY VALIDATION
  • ASSAYS & ANNOTATION
  • DISCLAIMER
  • HELP & FAQ
  • PRIVACY STATEMENT
  • LICENCE & CITATION
Fields »
Search result

Field
Term
Gene name
Class
Subclass
Class
Keyword
Chromosome
External id
Tissue
Cell type
Expression
Antibody panel
Tissue
Main location
Patient ID
Annotation
Tissue
Category
Tau score
Cluster
Reliability
Brain region
Category
Tau score
Brain region
Category
Tau score
Brain region
Category
Tau score
Cluster
Reliability
Tissue
Cell type
Enrichment
Cell type
Category
Tau score
Cell type
Category
Tau score
Cell type
Category
Tau score
Cell lineage
Category
Tau score
Cluster
Cluster
Location
Searches
Location
Cell line
Class
Type
Phase
Reliability
Cancer
Prognosis
Cancer
Category
Cancer
Category
Tau score
Cluster
Variants
Interacting gene (ensg_id)
Type
Number of interactions
Pathway
Category
Score
Score
Score
Validation
Validation
Validation
Validation
Antibodies
Data type
Column


  • SUMMARY

  • TISSUE

  • BRAIN

  • SINGLE CELL

  • SUBCELL

  • CANCER

  • BLOOD

  • CELL LINE

  • STRUCT & INT

  • SFRP4
TISSUE PRIMARY DATA BREAST Show tissue menu
ADIPOSE TISSUE ADRENAL GLAND AMYGDALA APPENDIX BASAL GANGLIA BONE MARROW BREAST CEREBELLUM CEREBRAL CORTEX CERVIX CHOROID PLEXUS COLON DUODENUM ENDOMETRIUM
EPIDIDYMIS ESOPHAGUS FALLOPIAN TUBE GALLBLADDER HEART MUSCLE HIPPOCAMPAL FORMATION HYPOTHALAMUS KIDNEY LIVER LUNG LYMPH NODE MIDBRAIN NASOPHARYNX ORAL MUCOSA
OVARY PANCREAS PARATHYROID GLAND PITUITARY GLAND PLACENTA PROSTATE RECTUM RETINA SALIVARY GLAND SEMINAL VESICLE SKELETAL MUSCLE SKIN SMALL INTESTINE SMOOTH MUSCLE
SOFT TISSUE SPINAL CORD SPLEEN STOMACH TESTIS THYMUS THYROID GLAND TONGUE TONSIL URINARY BLADDER VAGINA
ANTIBODIES
AND
VALIDATION
Dictionary
Breast
Tissue proteome
Breast
BREAST - Expression summary
Protein expression
Breasti

On the top, protein expression in current human tissue, based on all annotated cell types, is reported with the units not detected (n), low (l), medium (m) and high (h). Underneath, protein expression in each annotated cell type are reported using the same units.

Protein expression data is based on knowledge-based annotation. For genes where more than one antibody has been used, a collective score is set.

If knowledge-based annotation could not be performed for a gene, no data is displayed here. View antibody staining data further down this page.

h
m
l
n
Adipocytes: Not detected
Glandular cells: Not detected
Myoepithelial cells: Not detected
RNA expressioni

A summary of mRNA expression data available for current tissue based on several datasets. The mRNA expression levels in human tissues are based on RNA-seq data generated by the Human Protein Atlas (HPA), Genotype-Tissue Expression (GTEx) portal and CAGE data generated by the FANTOM5 consortium. Consensus normalized expression levels for human tissues was created by combining the data from HPA and GTEx datasets.

The mRNA expression levels in pig are based on RNA-seq data generated by the Human Protein Atlas (HPA), and for mouse, HPA data and in situ hybridization generated by the Allen brain atlas are reported.

Scroll down to view mRNA expression data in more detail.
Consensus:58.0 nTPM
HPA:40.1 nTPM
GTEx:58.0 nTPM
FANTOM5:17.5 Scaled Tags Per Million

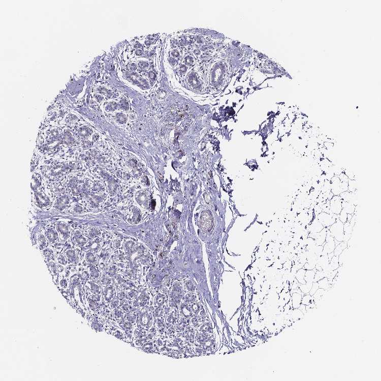
BREAST - Antibody stainingi

Antibody staining in the annotated cell types in the current human tissue is reported as not detected, low, medium, or high, based on conventional immunohistochemistry profiling in selected tissues. This score is based on the combination of the staining intensity and fraction of stained cells.

Each image is clickable and will lead to virtual microscopy that enables deeper exploration of all samples and also displays staining intensity scores, fraction scores and subcellular localization as well as patient and tissue information for each sample.

Antibody HPA009712Antibody HPA050585
Adipocytes Not detectedNot detected
Glandular cells Not detectedNot detected
Myoepithelial cells Not detectedNot detected




BREAST - HPA RNA-seqi

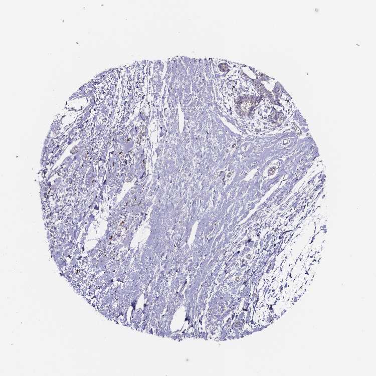
The RNA-seq details section shows detailed information about the individual samples used for the transcript profiling and results of the RNA-seq analysis.

Information about each individual sample is listed below, including gender, age, a tissue section image and estimated fractions of cell types. nTPM (normalized transcripts per million) values give a quantification of the gene abundance which is comparable between different genes and samples.
Average nTPMi

Max subtype nTPM is the value for the subtype with the largest average nTPM across the subtype samples.

40.1
overview
Female, age 52
Breast sample 373
nTPM: 41
Cell types%
Glandular cells:
15

Adipocytes:
5

Other cell types:
80

overview
Female, age 80
Breast sample 390
nTPM: 68.9
Cell types%
Glandular cells:
5

Adipocytes:
15

Other cell types:
80

overview
Female, age 47
Breast sample 405
nTPM: 24.8
Cell types%
Glandular cells:
5

Adipocytes:
5

Other cell types:
90

overview
Female, age 38
Breast sample 410
nTPM: 25.9
Cell types%
Glandular cells:
40

Adipocytes:
5

Other cell types:
55


BREAST - GTEx RNA-seqi

RNA-Seq data generated by the Genotype-Tissue Expression (GTEx) project from human tissues is reported as mean nTPM. More information can be found on the GTEx portal.

Distribution across the dataset is visualized with box plots, shown as median and 25th and 75th percentiles. Points are displayed as outliers if they are above or below 1.5 times the interquartile range. nTPM values of the individual samples are presented next to the box plot.
Max subtype nTPMi

Max subtype nTPM is the value for the subtype with the largest average nTPM across the subtype samples.

58.0
GTEx sample id Sample description nTPM
Breast - Mammary Tissue
Average nTPM: 58.0
Samples: 459

Max nTPM: 484.2
Min nTPM: 0.2
Std nTPM: 79.2
Median nTPM: 27.5
GTEX-1C6WA-2426-SM-7SB86 60-69 years, male 484.2
GTEX-1GMRU-0826-SM-9WYT7 50-59 years, male 481.1
GTEX-13NZ9-1026-SM-5MR5K 50-59 years, male 446.1
GTEX-1GF9V-2526-SM-7SB8K 60-69 years, male 433.2
GTEX-132NY-0826-SM-5K7Y7 60-69 years, male 416.9
GTEX-17MFQ-0926-SM-7LG4S 20-29 years, male 403.3
GTEX-1NV8Z-2826-SM-E8VME 60-69 years, male 402.7
GTEX-11EI6-0626-SM-5985T 60-69 years, male 400.5
GTEX-1GN2E-2226-SM-9WG6J 60-69 years, male 391.6
GTEX-1HT8W-2226-SM-CGQEC 30-39 years, male 313.8
GTEX-11NV4-2026-SM-5N9DG 60-69 years, male 308.5
GTEX-1F6I4-2526-SM-7SB8F 60-69 years, male 276.5
GTEX-13O3Q-2226-SM-5KM4O 50-59 years, male 266.4
GTEX-17KNJ-2026-SM-7LG53 50-59 years, male 258.7
GTEX-18A6Q-0926-SM-7LG4N 60-69 years, male 255.1
GTEX-S33H-0326-SM-4AD6N 30-39 years, male 248.0
GTEX-1AX9I-0726-SM-73KWV 60-69 years, male 245.1
GTEX-X4XY-0926-SM-4E3JD 60-69 years, male 241.5
GTEX-T6MN-0726-SM-32PML 50-59 years, male 236.9
GTEX-1JMLX-2026-SM-CMKGN 50-59 years, male 233.3
GTEX-11OF3-1926-SM-59889 60-69 years, male 230.8
GTEX-17HHY-0926-SM-793C1 50-59 years, male 228.6
GTEX-13N1W-0626-SM-5MR4U 70-79 years, male 227.4
GTEX-1CB4G-2326-SM-79OOI 60-69 years, male 223.4
GTEX-1AX9J-1126-SM-731B7 60-69 years, male 207.8
GTEX-1F75A-1826-SM-7SB8G 50-59 years, male 206.5
GTEX-14E7W-0826-SM-62LEJ 70-79 years, male 203.3
GTEX-17HG3-0126-SM-7IGNH 30-39 years, female 202.5
GTEX-WRHU-0326-SM-3MJFY 50-59 years, female 200.4
GTEX-1N2EE-2126-SM-E8VNN 60-69 years, male 193.1
GTEX-145MF-2226-SM-7EPIR 50-59 years, male 190.3
GTEX-1IGQW-0926-SM-ADEH6 60-69 years, male 188.2
GTEX-1GPI6-0626-SM-7RHHJ 60-69 years, male 185.6
GTEX-14BMV-0626-SM-793AU 50-59 years, male 184.8
GTEX-ZYFC-0826-SM-5E44K 50-59 years, male 180.7
GTEX-X62O-0526-SM-EWRMA 50-59 years, male 179.9
GTEX-1IOXB-1926-SM-ARL8E 50-59 years, male 173.7
GTEX-11GS4-2126-SM-5A5KR 60-69 years, male 167.5
GTEX-1IDJH-2226-SM-E6CJV 70-79 years, male 166.9
GTEX-11DXW-0626-SM-5N9ER 40-49 years, male 166.6
GTEX-1C6VS-0726-SM-7EPHF 60-69 years, male 164.3
GTEX-U412-1826-SM-4DXTJ 60-69 years, male 163.2
GTEX-1I1GP-0426-SM-COH3N 50-59 years, male 160.1
GTEX-13S86-1226-SM-5S2OA 40-49 years, male 159.4
GTEX-WY7C-2726-SM-3NB3P 50-59 years, male 145.9
GTEX-1M4P7-2626-SM-E9U5F 60-69 years, male 145.0
GTEX-1B8L1-2426-SM-9WYTE 60-69 years, male 144.5
GTEX-WFG8-2026-SM-EXOHO 20-29 years, male 143.3
GTEX-1JJEA-2726-SM-ARL8V 60-69 years, male 143.0
GTEX-1EKGG-2626-SM-7IGPY 60-69 years, male 142.3
GTEX-1HUB1-1626-SM-CM2SL 60-69 years, male 141.7
GTEX-11PRG-0826-SM-5EQ6A 50-59 years, male 138.8
GTEX-ZDXO-0126-SM-5S2ND 60-69 years, male 137.8
GTEX-145MN-1926-SM-5SIAI 30-39 years, male 137.1
GTEX-XBED-1626-SM-47JYN 60-69 years, male 136.4
GTEX-1QEPI-0926-SM-DTXF3 60-69 years, female 133.7
GTEX-13O3O-0826-SM-5K7WE 60-69 years, female 131.9
GTEX-1IKJJ-2326-SM-COH3U 60-69 years, male 131.7
GTEX-1KD4Q-2326-SM-D4P3M 40-49 years, male 130.8
GTEX-ZYW4-0826-SM-5GIDG 60-69 years, male 129.8
GTEX-YFC4-1426-SM-5IFJG 40-49 years, female 128.0
GTEX-1AMEY-1026-SM-718AA 30-39 years, female 127.4
GTEX-1J8Q3-1326-SM-CMKI1 60-69 years, male 122.5
GTEX-13O3P-0826-SM-5L3DH 50-59 years, male 120.4
GTEX-S7SE-0826-SM-4AT4D 50-59 years, male 119.0
GTEX-146FH-0826-SM-5SI8T 50-59 years, female 118.6
GTEX-1A3MV-1626-SM-731C1 30-39 years, male 118.5
GTEX-1JKYR-0926-SM-CMKGJ 20-29 years, male 115.3
GTEX-14PKU-0426-SM-6EU1P 40-49 years, female 114.7
GTEX-1GF9X-1026-SM-ACKX2 40-49 years, female 114.2
GTEX-1I1HK-2426-SM-ADEHX 60-69 years, male 108.6
GTEX-183FY-1126-SM-7DHLJ 20-29 years, male 108.2
GTEX-ZTTD-1026-SM-51MRD 50-59 years, male 107.8
GTEX-ZTX8-1226-SM-4YCE9 20-29 years, male 107.0
GTEX-1I6K7-1026-SM-A9SLK 40-49 years, male 105.7
GTEX-T2IS-1526-SM-32QPR 20-29 years, female 104.8
GTEX-11WQC-1726-SM-5GU4W 60-69 years, male 104.2
GTEX-ZU9S-1926-SM-5NQBP 30-39 years, male 101.4
GTEX-WYJK-1326-SM-3NB2T 50-59 years, male 99.4
GTEX-ZF2S-2026-SM-5E461 50-59 years, female 99.0
GTEX-ZVT4-1026-SM-57WC4 50-59 years, female 98.4
GTEX-11GSP-0926-SM-9WYSG 60-69 years, female 97.5
GTEX-1PPGY-1526-SM-EVYBK 60-69 years, male 96.1
GTEX-139T6-1626-SM-5PNYZ 50-59 years, male 95.8
GTEX-ZDTT-2126-SM-DKPOM 60-69 years, male 95.6
GTEX-YJ8O-2226-SM-5IFHW 40-49 years, female 94.7
GTEX-1A8G7-2426-SM-731AK 60-69 years, male 94.5
GTEX-1MJK2-2226-SM-EVYCR 50-59 years, male 94.3
GTEX-1B933-2526-SM-7IGO5 50-59 years, female 92.6
GTEX-1EN7A-1426-SM-7PBY4 40-49 years, male 89.0
GTEX-1PDJ9-1126-SM-EXUSW 20-29 years, male 88.6
GTEX-1IE54-0626-SM-ARL8D 40-49 years, female 88.4
GTEX-1LBAC-0926-SM-CXKY9 20-29 years, male 88.0
GTEX-13SLW-2526-SM-62LDQ 70-79 years, male 87.4
GTEX-ZA64-1526-SM-5CVMD 20-29 years, male 85.2
GTEX-XQ3S-1326-SM-4BOPQ 20-29 years, male 85.0
GTEX-1P4AB-1826-SM-E76PU 50-59 years, male 82.8
GTEX-1313W-0826-SM-5EQ4T 50-59 years, female 82.6
GTEX-17HGU-1326-SM-79OKB 50-59 years, male 79.5
GTEX-1C475-1226-SM-7SB72 40-49 years, female 79.5
GTEX-1QMI2-0726-SM-E9J4F 60-69 years, male 79.4
GTEX-1I6K6-0826-SM-ARL7Z 30-39 years, male 78.5
GTEX-ZEX8-2226-SM-57WC6 50-59 years, male 76.1
GTEX-ZY6K-1626-SM-5GZWV 50-59 years, male 76.1
GTEX-1JMPZ-1626-SM-COH31 30-39 years, male 75.9
GTEX-1122O-1226-SM-5H113 60-69 years, female 75.0
GTEX-11TUW-1826-SM-5BC5D 60-69 years, male 74.6
GTEX-1B97J-0426-SM-79OLQ 50-59 years, female 74.5
GTEX-Y9LG-1426-SM-5IFJZ 30-39 years, male 74.5
GTEX-1BAJH-0826-SM-7EWEF 70-79 years, male 73.8
GTEX-1R7EU-1226-SM-E8VMR 60-69 years, male 73.4
GTEX-1GZHY-0726-SM-9WG6B 50-59 years, female 73.2
GTEX-14753-2426-SM-5LU8U 60-69 years, male 72.5
GTEX-ZV7C-1826-SM-5NQ83 50-59 years, male 72.0
GTEX-1LSVX-2426-SM-E6CJX 60-69 years, male 71.1
GTEX-1N5O9-1126-SM-DTXEQ 60-69 years, male 70.0
GTEX-14B4R-1226-SM-5TDDT 30-39 years, male 68.5
GTEX-145LT-0726-SM-5S2VM 40-49 years, male 68.0
GTEX-13PVQ-1026-SM-5KM3M 50-59 years, male 67.6
GTEX-17JCI-0726-SM-7EPH1 60-69 years, female 67.2
GTEX-1GZ2Q-2626-SM-7MXV9 40-49 years, male 66.3
GTEX-1R9PN-0326-SM-DTX85 40-49 years, female 66.2
GTEX-WYVS-1726-SM-3NMAY 40-49 years, female 65.4
GTEX-1B8SG-1226-SM-7IGPF 50-59 years, male 65.2
GTEX-QMRM-1626-SM-D4P1U 50-59 years, male 65.2
GTEX-ZVZQ-0826-SM-51MRF 60-69 years, female 65.0
GTEX-1OKEX-0826-SM-E9J2B 60-69 years, male 64.8
GTEX-U3ZH-1426-SM-4DXSR 30-39 years, male 63.2
GTEX-1KXAM-1026-SM-CY8IA 60-69 years, male 63.0
GTEX-11LCK-2426-SM-5HL5F 30-39 years, male 62.7
GTEX-1H4P4-2226-SM-9MQKQ 50-59 years, male 60.8
GTEX-Y8E4-1626-SM-5S2MW 40-49 years, male 60.7
GTEX-18A7A-0726-SM-7LTAI 50-59 years, female 60.6
GTEX-1IY9M-2726-SM-CMKG5 60-69 years, male 60.3
GTEX-12WSN-1326-SM-5GCNT 40-49 years, male 59.9
GTEX-15G19-2126-SM-6M48J 60-69 years, male 59.8
GTEX-1KAFJ-0226-SM-DIPEL 50-59 years, male 59.8
GTEX-1B97I-0426-SM-79OL7 40-49 years, male 58.9
GTEX-1RAZQ-1226-SM-EWRNL 30-39 years, male 58.7
GTEX-1192X-2326-SM-5987X 50-59 years, male 58.5
GTEX-15FZZ-0726-SM-7KUFZ 30-39 years, female 58.3
GTEX-1B8KZ-1526-SM-7DUG7 50-59 years, male 58.3
GTEX-Q2AG-0326-SM-48U1O 40-49 years, female 58.2
GTEX-1N2EF-2226-SM-E9J33 60-69 years, male 57.4
GTEX-14PJ4-2126-SM-6ETZJ 60-69 years, male 57.0
GTEX-ZYT6-0126-SM-5E45J 30-39 years, male 57.0
GTEX-12KS4-0126-SM-5Q5A5 30-39 years, male 56.9
GTEX-14ABY-2126-SM-5QGQZ 50-59 years, male 56.0
GTEX-11NSD-0926-SM-5N9DR 20-29 years, male 55.5
GTEX-T5JC-2126-SM-32PMO 20-29 years, male 54.9
GTEX-1QP29-1726-SM-E8VMQ 50-59 years, male 54.5
GTEX-1HCUA-0726-SM-ACKVU 50-59 years, female 54.3
GTEX-1IDJE-0826-SM-CKZNZ 50-59 years, female 54.0
GTEX-1314G-1226-SM-5BC6D 30-39 years, male 53.3
GTEX-S4P3-1326-SM-4AD6V 50-59 years, female 53.3
GTEX-111YS-1926-SM-5GICC 60-69 years, male 53.1
GTEX-1H3VY-0926-SM-ACKXE 50-59 years, male 51.5
GTEX-Y114-2026-SM-4TT7L 50-59 years, female 50.8
GTEX-1GMR3-2626-SM-7RHHG 40-49 years, male 50.8
GTEX-1I19N-2826-SM-CL55D 70-79 years, male 50.6
GTEX-1HR98-0426-SM-COH36 60-69 years, male 50.4
GTEX-1B932-0826-SM-73KXG 40-49 years, female 49.9
GTEX-1EWIQ-1726-SM-7SB7T 70-79 years, female 49.9
GTEX-Y3I4-1526-SM-4TT7K 50-59 years, male 49.8
GTEX-QEG5-0726-SM-D4P1T 20-29 years, male 49.8
GTEX-U8XE-0826-SM-4E3J1 30-39 years, male 49.5
GTEX-ZVTK-0326-SM-51MRR 20-29 years, male 49.4
GTEX-15ER7-1626-SM-6PAMZ 20-29 years, female 48.6
GTEX-ZUA1-1526-SM-59HLS 40-49 years, male 48.4
GTEX-VUSG-2226-SM-4KKZO 50-59 years, male 47.4
GTEX-1GZ4I-2826-SM-9MQK5 50-59 years, male 47.3
GTEX-17EVQ-0426-SM-7LG57 70-79 years, male 46.9
GTEX-17EVP-0226-SM-79OND 40-49 years, male 46.8
GTEX-1H1DG-0526-SM-9YFLN 70-79 years, male 46.8
GTEX-13NZB-2126-SM-5MR4Y 30-39 years, male 46.7
GTEX-1J8QM-2026-SM-ARZMW 60-69 years, female 46.6
GTEX-11DXZ-1926-SM-5GZZL 50-59 years, male 46.2
GTEX-13CF2-2026-SM-5K7VI 60-69 years, male 46.0
GTEX-1MCYP-0126-SM-E6CIS 20-29 years, female 44.7
GTEX-XOT4-0726-SM-4GIAW 60-69 years, female 44.4
GTEX-12BJ1-1826-SM-5HL9N 60-69 years, male 44.3
GTEX-Z9EW-1526-SM-EZ6LU 40-49 years, male 44.1
GTEX-ZAK1-1326-SM-EVYAS 50-59 years, female 43.9
GTEX-UPK5-2326-SM-3P5Z8 40-49 years, male 43.8
GTEX-1JMPY-0526-SM-CL54O 30-39 years, male 43.6
GTEX-ZVE2-1226-SM-5NQ8R 50-59 years, male 43.5
GTEX-13D11-1026-SM-5IJFB 50-59 years, female 43.0
GTEX-13FTY-2226-SM-5J1ND 40-49 years, female 42.2
GTEX-144GL-2026-SM-5LU3O 50-59 years, male 41.3
GTEX-13W46-0826-SM-5LU3H 50-59 years, male 40.9
GTEX-S4Q7-1126-SM-4AD6R 20-29 years, male 40.9
GTEX-15UF7-0726-SM-6M46D 40-49 years, male 40.6
GTEX-1AX8Z-0926-SM-731AW 60-69 years, male 39.9
GTEX-1H1CY-2226-SM-9WG7E 60-69 years, female 39.7
GTEX-1CB4J-1826-SM-7EWF9 60-69 years, male 39.3
GTEX-RWS6-1926-SM-47JXY 60-69 years, female 39.3
GTEX-139TU-0626-SM-5KM3X 60-69 years, male 38.9
GTEX-11P81-1926-SM-5BC53 30-39 years, female 38.1
GTEX-1POEN-0926-SM-DTX88 30-39 years, female 38.0
GTEX-X15G-1626-SM-3NMB3 50-59 years, female 37.2
GTEX-1MA7X-1626-SM-E9U5B 60-69 years, male 36.3
GTEX-1H11D-1526-SM-9MQJY 40-49 years, male 35.9
GTEX-1J8Q2-2726-SM-A9G2X 60-69 years, male 35.7
GTEX-1I1GV-2426-SM-CGQFM 60-69 years, male 35.6
GTEX-147F4-2826-SM-5NQBN 50-59 years, male 35.5
GTEX-ZF29-1926-SM-5S2P1 60-69 years, female 35.1
GTEX-1CB4E-0226-SM-79OLW 60-69 years, male 34.7
GTEX-17HHE-1426-SM-7EPH4 50-59 years, male 34.0
GTEX-1269C-2426-SM-5FQSN 60-69 years, female 33.4
GTEX-VJWN-0726-SM-3GIJ8 50-59 years, female 33.4
GTEX-1GF9U-1726-SM-7MGY5 40-49 years, female 33.2
GTEX-11TT1-2126-SM-5GU5Y 20-29 years, male 32.8
GTEX-12WSM-1726-SM-5BC6J 60-69 years, male 32.1
GTEX-1E2YA-2726-SM-7IGPW 50-59 years, male 32.1
GTEX-13QIC-2326-SM-5LU5N 60-69 years, female 31.4
GTEX-18QFQ-0826-SM-718AX 30-39 years, male 30.8
GTEX-TKQ2-1826-SM-33HB2 50-59 years, male 30.7
GTEX-11ONC-2126-SM-5HL6E 60-69 years, male 30.2
GTEX-ZPIC-1126-SM-5BC7F 40-49 years, female 30.2
GTEX-ZGAY-1726-SM-DO91P 40-49 years, female 30.0
GTEX-XMD2-0926-SM-4WWEF 60-69 years, female 29.2
GTEX-1F75I-2026-SM-7SB7N 40-49 years, male 29.2
GTEX-T2YK-2226-SM-32QPT 50-59 years, male 29.1
GTEX-1LVAM-0926-SM-E9TJ2 50-59 years, female 29.0
GTEX-R3RS-0626-SM-48FE1 40-49 years, female 28.9
GTEX-13VXU-2826-SM-664MA 50-59 years, male 28.5
GTEX-11DXY-2326-SM-5GICW 60-69 years, male 28.1
GTEX-13N11-1726-SM-5J1OJ 50-59 years, female 28.1
GTEX-WI4N-1426-SM-3LK7H 40-49 years, female 27.9
GTEX-1HCVE-2626-SM-ADEJ8 50-59 years, male 27.5
GTEX-1IKOH-2326-SM-CM2TW 60-69 years, female 27.4
GTEX-1CAMR-1426-SM-793BO 20-29 years, male 27.3
GTEX-13FTW-1426-SM-5LZWZ 40-49 years, male 27.1
GTEX-1I1GU-1026-SM-ADEHJ 40-49 years, male 27.1
GTEX-13NZ8-0126-SM-5IJCT 60-69 years, female 27.0
GTEX-YFCO-1826-SM-4W1YH 40-49 years, male 27.0
GTEX-13FHO-0826-SM-5L3E8 60-69 years, male 26.5
GTEX-XUW1-2326-SM-4BOO5 50-59 years, female 26.5
GTEX-1MA7W-1026-SM-DKPQK 20-29 years, female 26.3
GTEX-TML8-1226-SM-32QON 40-49 years, female 26.0
GTEX-1GPI7-0926-SM-7PC3J 20-29 years, male 25.9
GTEX-1R46S-2526-SM-E8VN2 60-69 years, female 25.9
GTEX-Y111-2026-SM-4SOJA 50-59 years, male 25.3
GTEX-1IDFM-0426-SM-B2LVV 60-69 years, male 25.2
GTEX-131XW-0726-SM-5EGK3 50-59 years, female 25.0
GTEX-131YS-0626-SM-5EGKL 60-69 years, female 24.8
GTEX-1HSKV-2026-SM-CMKGX 60-69 years, male 24.8
GTEX-QVJO-1826-SM-447C9 60-69 years, female 24.6
GTEX-1HCU7-1026-SM-ADEIP 50-59 years, male 24.5
GTEX-17GQL-0326-SM-7LG5U 60-69 years, male 24.3
GTEX-X261-0626-SM-3NMD9 50-59 years, male 24.1
GTEX-15SHW-1326-SM-6PAL8 60-69 years, male 24.0
GTEX-13PVR-2226-SM-7DHKP 60-69 years, female 23.9
GTEX-1M5QR-2526-SM-E9U5P 40-49 years, male 23.9
GTEX-18A66-1726-SM-7LG5N 60-69 years, male 23.4
GTEX-1QCLY-1626-SM-DTXDW 30-39 years, male 23.4
GTEX-1GN1W-1926-SM-7P8TH 50-59 years, female 23.1
GTEX-ZXES-0826-SM-5E43C 30-39 years, female 22.5
GTEX-11EM3-1326-SM-5N9C6 20-29 years, female 22.1
GTEX-1HC8U-0826-SM-ADEIL 40-49 years, female 22.1
GTEX-1HR9M-2426-SM-ACKXI 60-69 years, male 21.6
GTEX-1RQEC-2026-SM-DTXDM 60-69 years, male 21.2
GTEX-1S82U-1126-SM-E9U6I 30-39 years, female 21.0
GTEX-Y5V5-2126-SM-4WWFO 60-69 years, female 20.5
GTEX-1MCC2-2126-SM-EWRON 30-39 years, female 20.3
GTEX-1JMQK-2626-SM-COH2W 60-69 years, male 20.2
GTEX-1KANA-2026-SM-DIPFB 20-29 years, male 20.2
GTEX-1RAZS-1226-SM-E8VMT 50-59 years, male 20.2
GTEX-14PN4-0626-SM-62LFP 50-59 years, male 20.1
GTEX-1B8KE-1226-SM-73KWK 50-59 years, male 20.1
GTEX-117YX-1426-SM-5H12H 50-59 years, male 20.0
GTEX-1JJE9-2326-SM-ARL8Q 70-79 years, male 19.9
GTEX-RU72-0626-SM-46MUI 50-59 years, female 19.7
GTEX-S341-1526-SM-4AD6K 40-49 years, female 19.6
GTEX-1IDJF-2326-SM-ARL86 20-29 years, male 19.1
GTEX-U3ZN-1926-SM-4DXSG 30-39 years, female 18.9
GTEX-17MF6-0326-SM-7EPH5 40-49 years, male 18.4
GTEX-T5JW-2026-SM-4DM63 20-29 years, female 18.3
GTEX-1F75B-0626-SM-7SB8A 50-59 years, male 18.0
GTEX-1211K-1926-SM-5EQLB 60-69 years, female 17.7
GTEX-1LSNM-1326-SM-E9TJ1 50-59 years, male 17.4
GTEX-1HFI7-0126-SM-CGQFQ 50-59 years, female 17.3
GTEX-1JK1U-1826-SM-ARL8W 60-69 years, male 17.3
GTEX-1C64O-0726-SM-7DUFU 60-69 years, male 17.0
GTEX-16BQI-1026-SM-7KUEA 30-39 years, female 16.9
GTEX-ZZPU-0626-SM-5E43T 50-59 years, female 16.8
GTEX-XYKS-1326-SM-4BRUN 60-69 years, female 16.5
GTEX-139T8-0826-SM-5L3DE 60-69 years, male 16.4
GTEX-1GN1U-0526-SM-9KNTT 50-59 years, female 16.4
GTEX-ZVT2-1826-SM-5NQ8W 50-59 years, female 16.3
GTEX-1H1E6-0926-SM-9YFLT 30-39 years, male 16.1
GTEX-RU1J-0626-SM-4WAWY 20-29 years, female 15.9
GTEX-11ZUS-0826-SM-5FQUY 30-39 years, male 15.8
GTEX-13SLX-2326-SM-5ZZWE 50-59 years, female 15.6
GTEX-14E6C-1326-SM-62LEQ 40-49 years, male 15.6
GTEX-ZLV1-1426-SM-DO92Z 60-69 years, female 15.6
GTEX-17F97-2526-SM-7EWDV 50-59 years, male 15.0
GTEX-1QPFJ-2026-SM-EVYBE 30-39 years, female 15.0
GTEX-ZLFU-2126-SM-DO931 40-49 years, male 15.0
GTEX-1GMR8-0726-SM-9KNVI 50-59 years, female 14.8
GTEX-1LVAN-1326-SM-CNPQE 50-59 years, female 14.7
GTEX-1A3MX-2726-SM-718B6 60-69 years, male 14.3
GTEX-Y5V6-2126-SM-4WWFX 60-69 years, male 14.2
GTEX-13PL6-2926-SM-5L3I2 40-49 years, female 13.8
GTEX-12ZZX-1126-SM-5EGKB 40-49 years, female 13.7
GTEX-16YQH-2826-SM-6PAMY 30-39 years, male 13.1
GTEX-1IKOE-1326-SM-CE6T6 30-39 years, female 13.1
GTEX-1QCLZ-2326-SM-DTXDO 60-69 years, female 13.1
GTEX-17F98-0526-SM-79OK5 40-49 years, female 13.0
GTEX-Y8LW-1626-SM-5IFHX 50-59 years, female 13.0
GTEX-ZF3C-2326-SM-5S2NC 50-59 years, female 13.0
GTEX-14AS3-1626-SM-5S2OY 40-49 years, female 12.6
GTEX-16NGA-0826-SM-718AF 40-49 years, female 12.6
GTEX-W5X1-2326-SM-3GIL6 40-49 years, female 12.6
GTEX-117XS-1926-SM-5GICO 60-69 years, male 12.5
GTEX-14DAR-1326-SM-7DUEG 50-59 years, male 12.4
GTEX-ZZ64-1226-SM-5E43R 20-29 years, male 12.2
GTEX-1MJK3-1126-SM-E9J3F 20-29 years, male 12.2
GTEX-QEL4-2126-SM-447AE 50-59 years, male 12.1
GTEX-133LE-1726-SM-5K7VQ 20-29 years, female 12.0
GTEX-13OW5-2226-SM-5L3HC 60-69 years, male 12.0
GTEX-1QP28-1226-SM-E9J2M 50-59 years, female 11.9
GTEX-1JN6P-2426-SM-ARL99 60-69 years, male 11.8
GTEX-13CF3-2126-SM-5IFJP 60-69 years, female 11.6
GTEX-1EU9M-2826-SM-7EWFH 60-69 years, male 11.5
GTEX-WXYG-2226-SM-4E3IM 50-59 years, female 11.5
GTEX-ZC5H-2626-SM-5J2MG 40-49 years, female 11.5
GTEX-11EQ9-1826-SM-5Q5AJ 30-39 years, male 11.3
GTEX-1QP9N-1826-SM-E8VMP 30-39 years, male 11.1
GTEX-WHSB-1926-SM-EXOHH 50-59 years, male 11.1
GTEX-1K2DA-1726-SM-CGQGS 50-59 years, male 10.8
GTEX-QDT8-0626-SM-48TYW 30-39 years, female 10.6
GTEX-144GM-0926-SM-5O994 20-29 years, male 10.5
GTEX-R55D-0826-SM-48FEA 50-59 years, male 10.5
GTEX-WYBS-0926-SM-3NM94 60-69 years, female 10.4
GTEX-Y3IK-2326-SM-4WWDT 50-59 years, female 10.4
GTEX-YB5E-1726-SM-5IFJ3 40-49 years, male 10.4
GTEX-1H1ZS-0126-SM-9YFKQ 70-79 years, male 10.4
GTEX-1ICLZ-0426-SM-B2LW2 60-69 years, male 10.4
GTEX-1R9PM-1826-SM-EVYBH 20-29 years, male 10.4
GTEX-1R9JW-0326-SM-EAZ45 30-39 years, female 10.3
GTEX-1J8EW-2626-SM-CL53E 60-69 years, female 10.1
GTEX-UJHI-1426-SM-3DB9C 50-59 years, female 10.0
GTEX-17EUY-1926-SM-7DUF6 20-29 years, male 9.8
GTEX-1HCU9-0326-SM-9WYSC 20-29 years, male 9.8
GTEX-1S82Z-0726-SM-E6CHX 30-39 years, female 9.8
GTEX-WOFL-0826-SM-3MJG1 60-69 years, male 9.6
GTEX-13W3W-1226-SM-5LU4H 60-69 years, female 9.4
GTEX-1LNCM-0226-SM-DIPF4 50-59 years, female 9.4
GTEX-11P7K-0726-SM-5EGKX 30-39 years, male 9.3
GTEX-14BMU-1626-SM-5TDE7 20-29 years, female 9.2
GTEX-15UF6-0126-SM-6PAMB 70-79 years, female 9.1
GTEX-SE5C-2126-SM-4BRUJ 40-49 years, female 8.7
GTEX-YEC3-1026-SM-5IFI5 50-59 years, male 8.7
GTEX-TMMY-0726-SM-33HBE 40-49 years, female 8.6
GTEX-169BO-1126-SM-7MGWN 50-59 years, male 8.6
GTEX-1K9T9-1426-SM-DIPFQ 50-59 years, female 8.5
GTEX-13OW8-0226-SM-5K7UP 60-69 years, male 8.3
GTEX-YB5K-1626-SM-5IFIN 40-49 years, female 8.3
GTEX-YECK-0726-SM-EZ6LV 60-69 years, male 8.3
GTEX-14ICK-2426-SM-6EU27 40-49 years, male 8.2
GTEX-1LG7Z-0726-SM-CXKYD 30-39 years, male 8.1
GTEX-11I78-2226-SM-5PNYA 50-59 years, female 7.9
GTEX-145MO-0826-SM-5NQBL 60-69 years, male 7.7
GTEX-RUSQ-2026-SM-4GIAK 50-59 years, male 7.7
GTEX-1HSGN-1526-SM-A9SMO 40-49 years, female 7.6
GTEX-R53T-1526-SM-48FEK 50-59 years, female 7.5
GTEX-1QW4Y-1026-SM-DTXE2 30-39 years, male 7.0
GTEX-14A5I-0726-SM-5TDEB 50-59 years, female 6.9
GTEX-1F5PL-1026-SM-7RHI1 40-49 years, female 6.9
GTEX-1I4MK-1626-SM-CM2TJ 50-59 years, female 6.8
GTEX-18D9A-1526-SM-7LG4J 30-39 years, female 6.6
GTEX-ZDYS-1126-SM-5K7UB 50-59 years, male 6.6
GTEX-14PHY-1926-SM-5YY95 60-69 years, female 6.5
GTEX-12WSK-2226-SM-5GCO5 40-49 years, female 6.3
GTEX-S32W-2026-SM-4AD6E 50-59 years, female 6.3
GTEX-1HCU8-0126-SM-ADEHH 60-69 years, female 6.3
GTEX-14H4A-2526-SM-5YYAY 40-49 years, female 6.2
GTEX-14PJO-0726-SM-69LO8 60-69 years, male 6.2
GTEX-15EOM-5019-SM-793DK 20-29 years, female 6.2
GTEX-1CAMS-1426-SM-7IGPM 40-49 years, female 6.2
GTEX-1GMR2-1926-SM-9MQLZ 50-59 years, male 6.1
GTEX-T6MO-0326-SM-32QOK 40-49 years, female 6.0
GTEX-Y5LM-1726-SM-4VDSX 40-49 years, female 5.9
GTEX-ZWKS-2826-SM-5NQ74 30-39 years, male 5.9
GTEX-V955-2026-SM-3GAFA 60-69 years, male 5.8
GTEX-1HBPN-2326-SM-9WPPU 50-59 years, male 5.8
GTEX-1KANC-1426-SM-CYPT9 50-59 years, female 5.8
GTEX-1LSNL-2826-SM-E9U5L 50-59 years, male 5.8
GTEX-1GZ4H-0326-SM-7P8QX 50-59 years, female 5.7
GTEX-XGQ4-0926-SM-4AT4U 50-59 years, male 5.6
GTEX-1NHNU-0926-SM-E9J2T 50-59 years, male 5.6
GTEX-1HBPM-0126-SM-ARL9E 60-69 years, female 5.1
GTEX-1KD5A-1926-SM-DKPQA 50-59 years, male 5.1
GTEX-ZAB4-2526-SM-5HL8M 40-49 years, male 5.0
GTEX-11GSO-1926-SM-5A5K3 60-69 years, male 4.9
GTEX-145ME-1526-SM-5Q5F2 40-49 years, female 4.8
GTEX-XMK1-1126-SM-4IHJ8 40-49 years, male 4.7
GTEX-1HSEH-2026-SM-ADEHN 60-69 years, male 4.7
GTEX-ZV6S-1826-SM-5NQ8D 40-49 years, female 4.5
GTEX-1ICLY-1726-SM-B2LVT 50-59 years, male 4.5
GTEX-18465-2026-SM-718AP 50-59 years, male 4.4
GTEX-1C6VQ-0426-SM-79OOX 50-59 years, male 4.4
GTEX-1I1GT-1126-SM-ARL7J 60-69 years, female 4.4
GTEX-13FTX-1126-SM-5N9EN 20-29 years, female 4.3
GTEX-15ETS-0626-SM-7KUMX 40-49 years, female 4.3
GTEX-1PPH7-0826-SM-E8VNX 40-49 years, male 4.3
GTEX-ZAJG-0626-SM-5HL8X 50-59 years, female 4.1
GTEX-X4EP-2926-SM-3P5YQ 60-69 years, female 4.0
GTEX-1HKZK-1826-SM-ADEJ2 40-49 years, male 3.8
GTEX-1IDJU-1826-SM-CMKHV 60-69 years, female 3.7
GTEX-14E6E-1326-SM-5S2NR 30-39 years, male 3.6
GTEX-14LLW-0626-SM-62LFC 70-79 years, female 3.6
GTEX-S4UY-0726-SM-4AD6X 40-49 years, female 3.6
GTEX-132Q8-1426-SM-5EGK7 60-69 years, male 3.5
GTEX-1F5PK-2126-SM-7PC28 50-59 years, male 3.5
GTEX-1LGRB-1826-SM-CNPQL 50-59 years, female 3.4
GTEX-1399U-1826-SM-5PNZ1 50-59 years, female 3.3
GTEX-REY6-2426-SM-48FF5 60-69 years, male 3.3
GTEX-1JN1M-3026-SM-CMKGK 60-69 years, female 3.2
GTEX-WFON-1826-SM-3GILG 40-49 years, male 3.1
GTEX-11DZ1-0326-SM-5N9BN 50-59 years, male 3.0
GTEX-XV7Q-2326-SM-4BRVZ 40-49 years, female 3.0
GTEX-11O72-2126-SM-5N9FO 40-49 years, male 2.9
GTEX-1JKYN-0726-SM-ARZMY 30-39 years, male 2.8
GTEX-11EMC-2026-SM-5A5JV 60-69 years, female 2.6
GTEX-11ZTT-2326-SM-5EQLG 60-69 years, female 2.6
GTEX-TKQ1-0226-SM-33HB5 30-39 years, male 2.6
GTEX-13113-5013-SM-7SB7G 60-69 years, female 2.6
GTEX-132AR-0826-SM-5EGK6 50-59 years, female 2.5
GTEX-1HSMO-0826-SM-ADEIV 60-69 years, male 2.5
GTEX-13QJ3-0826-SM-7DHKK 50-59 years, male 2.4
GTEX-ZQUD-1926-SM-51MSA 30-39 years, male 2.4
GTEX-1LC47-1226-SM-D4P44 60-69 years, male 2.4
GTEX-1NUQO-2226-SM-E9U68 20-29 years, female 2.4
GTEX-11WQK-2426-SM-5GU5C 50-59 years, male 2.3
GTEX-13O61-1826-SM-5KM4I 60-69 years, male 2.3
GTEX-1117F-2826-SM-5GZXL 60-69 years, female 2.2
GTEX-XQ8I-2426-SM-4WAXY 50-59 years, male 2.0
GTEX-1JMOU-2026-SM-CMKGU 60-69 years, female 2.0
GTEX-1RLM8-2226-SM-EVYD1 50-59 years, male 2.0
GTEX-XMD1-0826-SM-4AT52 60-69 years, male 1.8
GTEX-ZT9W-2026-SM-51MRA 50-59 years, male 1.8
GTEX-ZLWG-1926-SM-DO92J 50-59 years, female 1.7
GTEX-UTHO-1026-SM-3GAF7 60-69 years, male 1.5
GTEX-18A7B-2626-SM-7LG55 70-79 years, male 1.3
GTEX-1ICG6-1326-SM-ACKWR 70-79 years, female 1.3
GTEX-1L5NE-2126-SM-CY8IH 50-59 years, male 1.3
GTEX-15RJE-2626-SM-7KFT1 40-49 years, male 1.1
GTEX-17F9E-2526-SM-7MGW2 50-59 years, male 1.1
GTEX-XUZC-1626-SM-4BRVP 30-39 years, female 0.9
GTEX-11P82-1326-SM-5HL62 20-29 years, male 0.8
GTEX-1R7EV-1526-SM-E8VOD 40-49 years, male 0.8
GTEX-17F96-2426-SM-7IGLN 70-79 years, male 0.6
GTEX-PSDG-1626-SM-48TCQ 50-59 years, male 0.6
GTEX-ZQG8-0726-SM-5P9H9 60-69 years, female 0.6
GTEX-1H23P-0726-SM-9WG7K 60-69 years, male 0.5
GTEX-183WM-0726-SM-7LTAA 70-79 years, female 0.2
GTEX-ZTPG-2826-SM-57WGA 20-29 years, female 0.2
Show allShow less

BREAST - FANTOM5 CAGEi

RNA expression in human tissues obtained through Cap Analysis of Gene Expression (CAGE) generated by the FANTOM5 project are reported as Scaled Tags Per Million.

Max subtype Scaled Tags Per Millioni

Max subtype Scaled Tags Per Million is the value for the subtype with the largest average Scaled Tags Per Million across the subtype samples.

17.5
FANTOM5 sample id Sample description Scaled Tags Per Million
Breast
Scaled Tags Per Million: 17.5
FF:10080-102A8 77 years, female 17.5

Contact

  • NEWS ARTICLES
  • PRESS ROOM

The Project

  • INTRODUCTION
  • ORGANIZATION
  • PUBLICATIONS

The Human Protein Atlas

  • DOWNLOADABLE DATA
  • LICENCE & CITATION
  • HELP & FAQ
The Human Protein Atlas project is funded
by the Knut & Alice Wallenberg Foundation.


contact@proteinatlas.org