We use cookies to enhance the usability of our website. If you continue, we'll assume that you are happy to receive all cookies. More information. Don't show this again.
SFRP4
HPA
RESOURCES
  • TISSUE
  • BRAIN
  • SINGLE CELL
  • SUBCELLULAR
  • CANCER
  • BLOOD
  • CELL LINE
  • STRUCTURE & INTERACTION
ABOUT
  • INTRODUCTION
  • HISTORY
  • ORGANIZATION
  • PUBLICATIONS
  • ANTIBODY SUBMISSION
  • ANTIBODY AVAILABILITY
  • ACKNOWLEDGMENTS
  • CONTACT
NEWS
  • NEWS ARTICLES
  • PRESS ROOM
LEARN
  • DICTIONARY
  • PROTEIN CLASSES
  • PROTEIN EVIDENCE
  • METHODS
  • EDUCATIONAL VIDEOS
DATA
  • DOWNLOADABLE DATA
  • PUBLICATION DATA
  • RELEASE HISTORY
HELP
  • ANTIBODY VALIDATION
  • ASSAYS & ANNOTATION
  • DISCLAIMER
  • HELP & FAQ
  • PRIVACY STATEMENT
  • LICENCE & CITATION
Fields »
Search result

Field
Term
Gene name
Class
Subclass
Class
Keyword
Chromosome
External id
Tissue
Cell type
Expression
Antibody panel
Tissue
Main location
Patient ID
Annotation
Tissue
Category
Tau score
Cluster
Reliability
Brain region
Category
Tau score
Brain region
Category
Tau score
Brain region
Category
Tau score
Cluster
Reliability
Tissue
Cell type
Enrichment
Cell type
Category
Tau score
Cell type
Category
Tau score
Cell type
Category
Tau score
Cell lineage
Category
Tau score
Cluster
Cluster
Location
Searches
Location
Cell line
Class
Type
Phase
Reliability
Cancer
Prognosis
Cancer
Category
Cancer
Category
Tau score
Cluster
Variants
Interacting gene (ensg_id)
Type
Number of interactions
Pathway
Category
Score
Score
Score
Validation
Validation
Validation
Validation
Antibodies
Data type
Column


  • SUMMARY

  • TISSUE

  • BRAIN

  • SINGLE CELL

  • SUBCELL

  • CANCER

  • BLOOD

  • CELL LINE

  • STRUCT & INT

  • SFRP4
TISSUE PRIMARY DATA STOMACH Show tissue menu
ADIPOSE TISSUE ADRENAL GLAND AMYGDALA APPENDIX BASAL GANGLIA BONE MARROW BREAST CEREBELLUM CEREBRAL CORTEX CERVIX CHOROID PLEXUS COLON DUODENUM ENDOMETRIUM
EPIDIDYMIS ESOPHAGUS FALLOPIAN TUBE GALLBLADDER HEART MUSCLE HIPPOCAMPAL FORMATION HYPOTHALAMUS KIDNEY LIVER LUNG LYMPH NODE MIDBRAIN NASOPHARYNX ORAL MUCOSA
OVARY PANCREAS PARATHYROID GLAND PITUITARY GLAND PLACENTA PROSTATE RECTUM RETINA SALIVARY GLAND SEMINAL VESICLE SKELETAL MUSCLE SKIN SMALL INTESTINE SMOOTH MUSCLE
SOFT TISSUE SPINAL CORD SPLEEN STOMACH TESTIS THYMUS THYROID GLAND TONGUE TONSIL URINARY BLADDER VAGINA
ANTIBODIES
AND
VALIDATION
Dictionary
Tissue proteome
Stomach
STOMACH - Expression summary
Protein expression
Stomachi

On the top, protein expression in current human tissue, based on all annotated cell types, is reported with the units not detected (n), low (l), medium (m) and high (h). Underneath, protein expression in each annotated cell type are reported using the same units.

Protein expression data is based on knowledge-based annotation. For genes where more than one antibody has been used, a collective score is set.

If knowledge-based annotation could not be performed for a gene, no data is displayed here. View antibody staining data further down this page.

h
m
l
n
Glandular cells: Not detected
RNA expressioni

A summary of mRNA expression data available for current tissue based on several datasets. The mRNA expression levels in human tissues are based on RNA-seq data generated by the Human Protein Atlas (HPA), Genotype-Tissue Expression (GTEx) portal and CAGE data generated by the FANTOM5 consortium. Consensus normalized expression levels for human tissues was created by combining the data from HPA and GTEx datasets.

The mRNA expression levels in pig are based on RNA-seq data generated by the Human Protein Atlas (HPA), and for mouse, HPA data and in situ hybridization generated by the Allen brain atlas are reported.

Scroll down to view mRNA expression data in more detail.
Consensus:2.2 nTPM
HPA:0.7 nTPM
GTEx:2.2 nTPM

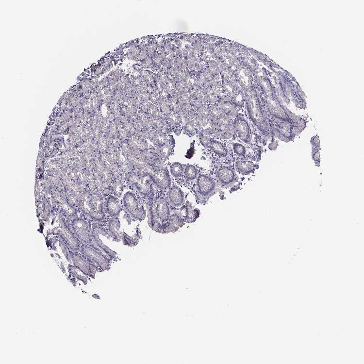
STOMACH 1 - Antibody stainingi

Antibody staining in the annotated cell types in the current human tissue is reported as not detected, low, medium, or high, based on conventional immunohistochemistry profiling in selected tissues. This score is based on the combination of the staining intensity and fraction of stained cells.

Each image is clickable and will lead to virtual microscopy that enables deeper exploration of all samples and also displays staining intensity scores, fraction scores and subcellular localization as well as patient and tissue information for each sample.

Antibody HPA009712Antibody HPA050585
Glandular cells Not detectedLow



STOMACH 2 - Antibody stainingi

Antibody staining in the annotated cell types in the current human tissue is reported as not detected, low, medium, or high, based on conventional immunohistochemistry profiling in selected tissues. This score is based on the combination of the staining intensity and fraction of stained cells.

Each image is clickable and will lead to virtual microscopy that enables deeper exploration of all samples and also displays staining intensity scores, fraction scores and subcellular localization as well as patient and tissue information for each sample.

Antibody HPA009712Antibody HPA050585
Glandular cells Not detectedLow


STOMACH - HPA RNA-seqi

The RNA-seq details section shows detailed information about the individual samples used for the transcript profiling and results of the RNA-seq analysis.

Information about each individual sample is listed below, including gender, age, a tissue section image and estimated fractions of cell types. nTPM (normalized transcripts per million) values give a quantification of the gene abundance which is comparable between different genes and samples.
Average nTPMi

Max subtype nTPM is the value for the subtype with the largest average nTPM across the subtype samples.

0.7
overview
Female, age 33
Stomach sample 61
nTPM: 0.3
Cell types%
Glandular cells:
60

Smooth muscle cells:
5

Other cell types:
35

N/A
Male, age 82
Stomach sample 240
nTPM: 1.7
Cell types%
Glandular cells:
65

Smooth muscle cells:
5

Other cell types:
30

overview
Male, age 71
Stomach sample 241
nTPM: 0.2
Cell types%
Glandular cells:
50

Smooth muscle cells:
5

Other cell types:
45

overview
Female, age 66
Stomach sample 369
nTPM: 0.6
Cell types%
Glandular cells:
50

Smooth muscle cells:
10

Other cell types:
40


STOMACH - GTEx RNA-seqi

RNA-Seq data generated by the Genotype-Tissue Expression (GTEx) project from human tissues is reported as mean nTPM. More information can be found on the GTEx portal.

Distribution across the dataset is visualized with box plots, shown as median and 25th and 75th percentiles. Points are displayed as outliers if they are above or below 1.5 times the interquartile range. nTPM values of the individual samples are presented next to the box plot.
Max subtype nTPMi

Max subtype nTPM is the value for the subtype with the largest average nTPM across the subtype samples.

2.2
GTEx sample id Sample description nTPM
Stomach
Average nTPM: 2.2
Samples: 359

Max nTPM: 33.1
Min nTPM: 0.0
Std nTPM: 3.9
Median nTPM: 0.7
GTEX-ZE7O-3026-SM-51MS4 50-59 years, female 33.1
GTEX-17JCI-2226-SM-7LTA1 60-69 years, female 21.6
GTEX-1HT8W-2326-SM-A9SLA 30-39 years, male 21.0
GTEX-1HR9M-2326-SM-CNPPZ 60-69 years, male 18.3
GTEX-14DAQ-2826-SM-664MU 60-69 years, female 18.0
GTEX-15SHW-2126-SM-6M46Y 60-69 years, male 16.9
GTEX-13N1W-2026-SM-5K7YU 70-79 years, male 16.1
GTEX-1E1VI-2826-SM-7MGWU 50-59 years, male 15.9
GTEX-13O3Q-2126-SM-5KM4C 50-59 years, male 15.7
GTEX-1B8L1-1526-SM-79OLK 60-69 years, male 15.0
GTEX-ZYVF-2726-SM-5GID4 50-59 years, female 15.0
GTEX-1IL2V-2026-SM-ARZMA 70-79 years, male 14.8
GTEX-17EUY-1526-SM-793CA 20-29 years, male 14.3
GTEX-14BMV-2226-SM-5RQHX 50-59 years, male 12.4
GTEX-T5JC-1926-SM-4DM6Q 20-29 years, male 12.4
GTEX-Y3I4-1626-SM-4TT7W 50-59 years, male 12.4
GTEX-YJ8A-1526-SM-5P9FT 20-29 years, male 10.8
GTEX-13QJ3-2726-SM-5SI6L 50-59 years, male 10.4
GTEX-13X6J-2126-SM-5TDCV 50-59 years, male 10.4
GTEX-11EI6-2426-SM-5PNVS 60-69 years, male 10.3
GTEX-UPK5-2126-SM-4JBJK 40-49 years, male 9.7
GTEX-1L5NE-1526-SM-DIPFW 50-59 years, male 9.1
GTEX-1S831-1126-SM-EWROI 20-29 years, male 9.0
GTEX-146FH-2126-SM-5SI9U 50-59 years, female 8.2
GTEX-Y8E4-1526-SM-4WWDI 40-49 years, male 8.2
GTEX-146FR-2026-SM-5NQAI 60-69 years, female 7.3
GTEX-1JN76-0926-SM-ARZNH 20-29 years, female 7.3
GTEX-Y114-1226-SM-4TT88 50-59 years, female 7.2
GTEX-WZTO-2126-SM-4PQYW 40-49 years, male 6.8
GTEX-1RQEC-2126-SM-DPS15 60-69 years, male 6.8
GTEX-1KD5A-1426-SM-D4P3V 50-59 years, male 6.7
GTEX-QXCU-1926-SM-48FE4 50-59 years, male 6.6
GTEX-1HCUA-1626-SM-A9SMG 50-59 years, female 6.6
GTEX-14PKU-1126-SM-69LOU 40-49 years, female 6.0
GTEX-TKQ2-0926-SM-4DXU5 50-59 years, male 5.9
GTEX-ZPIC-2026-SM-57WG3 40-49 years, female 5.8
GTEX-1EH9U-2226-SM-7PBXX 60-69 years, male 5.8
GTEX-1JMQJ-1326-SM-D4P3B 50-59 years, male 5.8
GTEX-1E2YA-2426-SM-7EPIG 50-59 years, male 5.5
GTEX-1211K-1426-SM-5FQTF 60-69 years, female 4.8
GTEX-17KNJ-1526-SM-7LTA9 50-59 years, male 4.7
GTEX-18A7A-2726-SM-7LG6U 50-59 years, female 4.7
GTEX-1GMRU-2526-SM-9WG7T 50-59 years, male 4.7
GTEX-1NSGN-1926-SM-E9J36 50-59 years, male 4.5
GTEX-12C56-0526-SM-5FQST 20-29 years, male 4.3
GTEX-1CB4E-1326-SM-7DUGD 60-69 years, male 4.3
GTEX-ZEX8-1626-SM-4WKG7 50-59 years, male 4.3
GTEX-14PHY-0926-SM-5ZZWL 60-69 years, female 4.2
GTEX-WYVS-1326-SM-4ONCQ 40-49 years, female 4.2
GTEX-XAJ8-0326-SM-47JYI 40-49 years, male 4.1
GTEX-11P7K-1726-SM-5GU6F 30-39 years, male 4.0
GTEX-RU1J-0526-SM-46MUT 20-29 years, female 4.0
GTEX-17HII-2426-SM-7KFTT 50-59 years, male 3.9
GTEX-12WSD-2326-SM-59HKQ 60-69 years, female 3.7
GTEX-1MCYP-1126-SM-E9J2P 20-29 years, female 3.6
GTEX-11WQK-2626-SM-5EQ4K 50-59 years, male 3.5
GTEX-14PN3-1326-SM-6AJ9U 60-69 years, female 3.5
GTEX-1C64O-2226-SM-73KTV 60-69 years, male 3.5
GTEX-S4Z8-1226-SM-4AD6W 60-69 years, male 3.5
GTEX-1QW4Y-0726-SM-DTX8E 30-39 years, male 3.5
GTEX-ZVT3-2126-SM-59HL2 60-69 years, female 3.4
GTEX-1QP28-2126-SM-DTX8B 50-59 years, female 3.3
GTEX-131XE-2226-SM-5PNYX 50-59 years, male 3.1
GTEX-1PIGE-1126-SM-EWRMV 20-29 years, male 3.1
GTEX-1S3DN-1526-SM-EVYCB 50-59 years, male 3.1
GTEX-16NGA-1526-SM-72D56 40-49 years, female 2.9
GTEX-P4QT-1526-SM-3NMCT 50-59 years, female 2.9
GTEX-1H11D-2226-SM-9OSXN 40-49 years, male 2.9
GTEX-1IDJD-2426-SM-C1YS6 30-39 years, male 2.9
GTEX-1J8JJ-1726-SM-C1YQG 60-69 years, female 2.9
GTEX-15RIF-1126-SM-7KUG2 20-29 years, male 2.8
GTEX-Y5LM-1326-SM-5RQIS 40-49 years, female 2.8
GTEX-15G1A-1226-SM-7KUF3 30-39 years, male 2.7
GTEX-PLZ6-0826-SM-3P61K 30-39 years, male 2.7
GTEX-UJHI-1026-SM-4IHJP 50-59 years, female 2.7
GTEX-1H1DE-1226-SM-9JGHH 20-29 years, male 2.7
GTEX-1H3NZ-2226-SM-9WYUT 60-69 years, male 2.7
GTEX-11P82-0726-SM-5PNYL 20-29 years, male 2.6
GTEX-V1D1-1726-SM-4JBHB 50-59 years, male 2.6
GTEX-1HSMQ-2426-SM-CE6RY 50-59 years, male 2.6
GTEX-Q734-1026-SM-48U16 40-49 years, female 2.5
GTEX-S4P3-0726-SM-4AD57 50-59 years, female 2.5
GTEX-117YW-2226-SM-5N9DB 50-59 years, male 2.4
GTEX-1GPI7-1326-SM-9KNVA 20-29 years, male 2.4
GTEX-1QP67-1026-SM-EVR47 40-49 years, female 2.4
GTEX-NFK9-1526-SM-3LK7B 40-49 years, male 2.3
GTEX-WFJO-1126-SM-4LVLZ 30-39 years, male 2.3
GTEX-1J8EW-2226-SM-AHZ3T 60-69 years, female 2.3
GTEX-ZF2S-1426-SM-57WET 50-59 years, female 2.2
GTEX-12WSJ-0926-SM-5P9JD 40-49 years, female 2.1
GTEX-QMRM-1126-SM-447BN 50-59 years, male 2.1
GTEX-R55D-1526-SM-48FEJ 50-59 years, male 2.1
GTEX-XPVG-1526-SM-4B66C 50-59 years, male 2.1
GTEX-1F5PK-1826-SM-7RHHX 50-59 years, male 2.1
GTEX-1JMPZ-1826-SM-CXZJT 30-39 years, male 2.1
GTEX-1R7EU-1126-SM-EAZ4M 60-69 years, male 2.1
GTEX-13111-1226-SM-5GCNC 50-59 years, male 2.0
GTEX-14DAR-0926-SM-73KUQ 50-59 years, male 2.0
GTEX-18D9B-2226-SM-718BM 60-69 years, male 2.0
GTEX-13FH7-1026-SM-5IJGF 50-59 years, female 1.9
GTEX-13S7M-1826-SM-5RQK6 60-69 years, female 1.9
GTEX-14E1K-1526-SM-664MN 50-59 years, male 1.9
GTEX-RTLS-2626-SM-46MUJ 60-69 years, female 1.9
GTEX-WH7G-1526-SM-4LVMX 40-49 years, male 1.9
GTEX-1IDJF-1426-SM-ACKWK 20-29 years, male 1.9
GTEX-11GSP-2126-SM-5HL5E 60-69 years, female 1.8
GTEX-S7SF-0626-SM-4AD4V 20-29 years, female 1.8
GTEX-ZTX8-0426-SM-59HLG 20-29 years, male 1.8
GTEX-1GN1W-2126-SM-9JGI7 50-59 years, female 1.8
GTEX-1QP29-2326-SM-EXOJO 50-59 years, male 1.8
GTEX-YEC3-1426-SM-D4P1S 50-59 years, male 1.8
GTEX-139D8-2326-SM-5IFGE 30-39 years, female 1.7
GTEX-1AX9J-2626-SM-731EK 60-69 years, male 1.7
GTEX-P4PQ-1526-SM-3NMCK 60-69 years, male 1.7
GTEX-ZY6K-0726-SM-5A5L8 50-59 years, male 1.7
GTEX-11VI4-0326-SM-5EQ6L 40-49 years, female 1.6
GTEX-13X6H-1626-SM-5Q5CT 50-59 years, female 1.6
GTEX-R55G-1126-SM-48FDG 40-49 years, female 1.6
GTEX-1HBPI-0726-SM-9WG7Z 50-59 years, male 1.6
GTEX-1K2DA-0826-SM-CGQGD 50-59 years, male 1.6
GTEX-O5YV-1926-SM-EV797 60-69 years, female 1.6
GTEX-RUSQ-1126-SM-EAZAU 50-59 years, male 1.6
GTEX-1399R-1126-SM-5IFIO 30-39 years, male 1.5
GTEX-13PVR-2126-SM-73KVR 60-69 years, female 1.5
GTEX-13U4I-2526-SM-5SI8Z 40-49 years, female 1.5
GTEX-PW2O-1226-SM-48TCH 20-29 years, male 1.5
GTEX-WEY5-1226-SM-4LMIQ 40-49 years, female 1.5
GTEX-QV44-1226-SM-CJI1S 50-59 years, male 1.5
GTEX-OIZH-1526-SM-3NB1J 50-59 years, male 1.4
GTEX-R53T-1226-SM-48FCT 50-59 years, female 1.4
GTEX-WHWD-1426-SM-4OORU 50-59 years, male 1.4
GTEX-1JMLX-2426-SM-CXZJQ 50-59 years, male 1.4
GTEX-1LVAM-1426-SM-E9TJ4 50-59 years, female 1.4
GTEX-1QMI2-2126-SM-DPRXQ 60-69 years, male 1.4
GTEX-QDT8-2026-SM-EZ6LS 30-39 years, female 1.4
GTEX-1A3MX-1926-SM-72D7F 60-69 years, male 1.3
GTEX-1I1HK-2026-SM-CNNRB 60-69 years, male 1.3
GTEX-1CB4H-2426-SM-7PBYR 60-69 years, female 1.2
GTEX-1HSEH-1526-SM-B2LXG 60-69 years, male 1.2
GTEX-1J8QM-1126-SM-C1YQB 60-69 years, female 1.2
GTEX-1JMPY-0926-SM-ARL92 30-39 years, male 1.2
GTEX-1399U-1626-SM-5P9J3 50-59 years, female 1.1
GTEX-13RTK-0226-SM-5RQHR 20-29 years, male 1.1
GTEX-145MO-2226-SM-5Q5BN 60-69 years, male 1.1
GTEX-TKQ1-0526-SM-4DXTG 30-39 years, male 1.1
GTEX-Y5V6-1326-SM-4VDTF 60-69 years, male 1.1
GTEX-1I4MK-0926-SM-A9SLD 50-59 years, female 1.1
GTEX-XMK1-1526-SM-EYYVO 40-49 years, male 1.1
GTEX-11NUK-2426-SM-5BC4U 50-59 years, male 1.0
GTEX-1339X-1426-SM-5K7YO 40-49 years, male 1.0
GTEX-139YR-1926-SM-5LZXM 50-59 years, male 1.0
GTEX-17HHE-1026-SM-79ON6 50-59 years, male 1.0
GTEX-1AMEY-1226-SM-731DU 30-39 years, female 1.0
GTEX-POMQ-0826-SM-3P61H 20-29 years, female 1.0
GTEX-ZF29-1526-SM-4WKF7 60-69 years, female 1.0
GTEX-13O61-1126-SM-5L3FI 60-69 years, male 0.9
GTEX-145ME-1026-SM-5O9B4 40-49 years, female 0.9
GTEX-15G19-1526-SM-6LPKP 60-69 years, male 0.9
GTEX-R55C-1026-SM-48FCM 40-49 years, male 0.9
GTEX-SNOS-0826-SM-4DM5N 40-49 years, male 0.9
GTEX-U3ZN-2026-SM-4DXUC 30-39 years, female 0.9
GTEX-W5WG-1726-SM-4LMI5 50-59 years, female 0.9
GTEX-XXEK-0826-SM-4BRWG 50-59 years, male 0.9
GTEX-ZV6S-0926-SM-57WGB 40-49 years, female 0.9
GTEX-ZZPU-1426-SM-5GZZ6 50-59 years, female 0.9
GTEX-1N2DV-0926-SM-E9TJT 40-49 years, male 0.9
GTEX-1PPH8-1326-SM-DTXFO 20-29 years, male 0.9
GTEX-1RAZR-1526-SM-EAZ4U 40-49 years, male 0.9
GTEX-OXRL-1526-SM-E6CHQ 50-59 years, male 0.9
GTEX-11EQ9-1226-SM-5987E 30-39 years, male 0.8
GTEX-15UF7-1226-SM-6M46G 40-49 years, male 0.8
GTEX-OHPK-1526-SM-3MJGM 50-59 years, female 0.8
GTEX-PX3G-1526-SM-48U11 20-29 years, female 0.8
GTEX-T8EM-1226-SM-4DM5J 40-49 years, male 0.8
GTEX-XBEW-1826-SM-4RTWX 40-49 years, male 0.8
GTEX-XV7Q-1326-SM-4BRWM 40-49 years, female 0.8
GTEX-1B97I-1226-SM-7MGWQ 40-49 years, male 0.8
GTEX-1JKYN-1726-SM-AHZ48 30-39 years, male 0.8
GTEX-1QP2A-2126-SM-DPRZ7 50-59 years, male 0.8
GTEX-13OVI-2426-SM-5KM4J 60-69 years, female 0.7
GTEX-14PJ4-1626-SM-664OB 60-69 years, male 0.7
GTEX-15DCE-1626-SM-6LPJM 20-29 years, male 0.7
GTEX-15EU6-2526-SM-7KUGB 50-59 years, male 0.7
GTEX-OXRK-1626-SM-3NB17 50-59 years, female 0.7
GTEX-QLQW-0726-SM-447AA 30-39 years, male 0.7
GTEX-SUCS-0926-SM-4DM4Z 70-79 years, male 0.7
GTEX-ZAB4-1526-SM-5CVN7 40-49 years, male 0.7
GTEX-ZT9W-1526-SM-4YCDE 50-59 years, male 0.7
GTEX-ZYY3-1726-SM-5EGH3 60-69 years, female 0.7
GTEX-1GF9U-1126-SM-AHZ4H 40-49 years, female 0.7
GTEX-1H1DG-2126-SM-9WPPB 70-79 years, male 0.7
GTEX-1HCU8-1326-SM-C1YQQ 60-69 years, female 0.7
GTEX-1I1GT-1726-SM-C1YS3 60-69 years, female 0.7
GTEX-1JN1M-2926-SM-CNNPJ 60-69 years, female 0.7
GTEX-1RMOY-1126-SM-EV79E 50-59 years, male 0.7
GTEX-11DXX-1326-SM-5GIDZ 60-69 years, female 0.6
GTEX-11NSD-1426-SM-5HL67 20-29 years, male 0.6
GTEX-132AR-2426-SM-5IFFD 50-59 years, female 0.6
GTEX-13OVK-0926-SM-7KUFX 40-49 years, male 0.6
GTEX-13QBU-1126-SM-5LU44 40-49 years, female 0.6
GTEX-O5YW-1526-SM-3MJGL 50-59 years, male 0.6
GTEX-1HBPN-1626-SM-9WPNP 50-59 years, male 0.6
GTEX-1LSNM-1026-SM-DHXL2 50-59 years, male 0.6
GTEX-1LVAN-2426-SM-CNNPZ 50-59 years, female 0.6
GTEX-1QPFJ-1526-SM-DPRXT 30-39 years, female 0.6
GTEX-PLZ5-1226-SM-EXOHA 50-59 years, male 0.6
GTEX-ZGAY-1626-SM-DNZZ3 40-49 years, female 0.6
GTEX-1122O-1926-SM-5EGIQ 60-69 years, female 0.5
GTEX-117YX-1026-SM-5H11V 50-59 years, male 0.5
GTEX-131XF-1226-SM-5HL8V 60-69 years, male 0.5
GTEX-13D11-2126-SM-5IFH2 50-59 years, female 0.5
GTEX-13PVQ-2126-SM-5L3FW 50-59 years, male 0.5
GTEX-14B4R-0726-SM-5TDDR 30-39 years, male 0.5
GTEX-14ICL-0826-SM-5YY9W 30-39 years, male 0.5
GTEX-14JG6-1226-SM-664O6 30-39 years, female 0.5
GTEX-14PJ3-1426-SM-664O8 50-59 years, male 0.5
GTEX-17MF6-2126-SM-7KFS7 40-49 years, male 0.5
GTEX-18D9A-0626-SM-7KFTY 30-39 years, female 0.5
GTEX-1A8G6-1426-SM-731EZ 60-69 years, male 0.5
GTEX-1B8KE-1326-SM-73KVI 50-59 years, male 0.5
GTEX-1B8KZ-1226-SM-793CP 50-59 years, male 0.5
GTEX-QDVJ-1426-SM-48U1Y 50-59 years, male 0.5
GTEX-S4Q7-0726-SM-4AD5F 20-29 years, male 0.5
GTEX-S4UY-1626-SM-4AD55 40-49 years, female 0.5
GTEX-T5JW-0926-SM-4DM5K 20-29 years, female 0.5
GTEX-WRHK-0626-SM-4MVOE 20-29 years, female 0.5
GTEX-X15G-1126-SM-4PQZG 50-59 years, female 0.5
GTEX-Y9LG-1026-SM-5IFJN 30-39 years, male 0.5
GTEX-ZP4G-1226-SM-4WWCJ 20-29 years, female 0.5
GTEX-1H1E6-1626-SM-9OSWC 30-39 years, male 0.5
GTEX-1H23P-2726-SM-9JGHN 60-69 years, male 0.5
GTEX-1HFI7-1526-SM-9WG7W 50-59 years, female 0.5
GTEX-1LBAC-1426-SM-CXZKT 20-29 years, male 0.5
GTEX-1QCLZ-1826-SM-DPRXP 60-69 years, female 0.5
GTEX-1S82Z-1726-SM-E6CHZ 30-39 years, female 0.5
GTEX-11EM3-1026-SM-5A5KL 20-29 years, female 0.4
GTEX-12WSG-2026-SM-5FQUU 50-59 years, female 0.4
GTEX-12WSK-1426-SM-5CVNN 40-49 years, female 0.4
GTEX-13113-0726-SM-5LZUF 60-69 years, female 0.4
GTEX-133LE-1326-SM-5IFGO 20-29 years, female 0.4
GTEX-13CF3-1926-SM-5K7WF 60-69 years, female 0.4
GTEX-145LT-1426-SM-5O9B3 40-49 years, male 0.4
GTEX-14BIL-1926-SM-73KYI 50-59 years, male 0.4
GTEX-14BMU-1126-SM-5RQJ8 20-29 years, female 0.4
GTEX-1A3MV-1226-SM-718BW 30-39 years, male 0.4
GTEX-1AMFI-1226-SM-731CZ 50-59 years, female 0.4
GTEX-OOBJ-1526-SM-3NB1Q 60-69 years, male 0.4
GTEX-SNMC-0626-SM-4DM6H 20-29 years, male 0.4
GTEX-VJYA-1026-SM-4KL21 60-69 years, male 0.4
GTEX-WFG7-1326-SM-4LMK1 20-29 years, male 0.4
GTEX-XBED-1226-SM-4AT5V 60-69 years, male 0.4
GTEX-XQ8I-2026-SM-4BOOL 50-59 years, male 0.4
GTEX-XUZC-0726-SM-4BOPH 30-39 years, female 0.4
GTEX-YB5E-1126-SM-664NU 40-49 years, male 0.4
GTEX-ZQUD-0826-SM-57WDQ 30-39 years, male 0.4
GTEX-1IDJU-1526-SM-CNNR3 60-69 years, female 0.4
GTEX-1J8Q3-1926-SM-C1YSJ 60-69 years, male 0.4
GTEX-1LGOU-1526-SM-D3LAJ 20-29 years, female 0.4
GTEX-1R9K5-1026-SM-EAZ4F 50-59 years, male 0.4
GTEX-ZLV1-0826-SM-DO11P 60-69 years, female 0.4
GTEX-12696-1726-SM-5EQLH 60-69 years, male 0.3
GTEX-13FTX-0726-SM-5N9BI 20-29 years, female 0.3
GTEX-144GN-1226-SM-5O991 50-59 years, male 0.3
GTEX-14PKV-1826-SM-69LO9 20-29 years, female 0.3
GTEX-15CHR-1326-SM-79OLT 50-59 years, male 0.3
GTEX-15RIE-1026-SM-6LPJQ 60-69 years, male 0.3
GTEX-18A66-2226-SM-7189E 60-69 years, male 0.3
GTEX-18QFQ-1226-SM-718AE 30-39 years, male 0.3
GTEX-1AYCT-1326-SM-7MKHB 50-59 years, male 0.3
GTEX-P78B-1826-SM-3P5YX 40-49 years, female 0.3
GTEX-PWN1-1526-SM-48TDA 40-49 years, female 0.3
GTEX-Q2AH-1126-SM-48TZM 40-49 years, male 0.3
GTEX-Q2AI-0826-SM-48TZO 40-49 years, male 0.3
GTEX-QLQ7-0826-SM-447B3 60-69 years, male 0.3
GTEX-RM2N-0826-SM-48FD3 50-59 years, male 0.3
GTEX-RWS6-0926-SM-47JXE 60-69 years, female 0.3
GTEX-TMMY-1626-SM-4DXTY 40-49 years, female 0.3
GTEX-U4B1-1026-SM-4DXT1 40-49 years, male 0.3
GTEX-V955-1326-SM-4JBHR 60-69 years, male 0.3
GTEX-WHSB-1226-SM-4M1XR 50-59 years, male 0.3
GTEX-WY7C-1726-SM-4ONCC 50-59 years, male 0.3
GTEX-WYJK-2526-SM-4ONDF 50-59 years, male 0.3
GTEX-YFCO-0826-SM-5LUAG 40-49 years, male 0.3
GTEX-ZA64-0826-SM-5HL9U 20-29 years, male 0.3
GTEX-ZV7C-1626-SM-5NQ7E 50-59 years, male 0.3
GTEX-ZVT2-1626-SM-51MRC 50-59 years, female 0.3
GTEX-ZVZP-1726-SM-5GZWY 50-59 years, male 0.3
GTEX-ZXES-1426-SM-5NQ8S 30-39 years, female 0.3
GTEX-ZZ64-0426-SM-5E43F 20-29 years, male 0.3
GTEX-1GZ4H-1026-SM-9OSXL 50-59 years, female 0.3
GTEX-1HKZK-1526-SM-B2LWG 40-49 years, male 0.3
GTEX-1ICG6-1826-SM-AHZ2O 70-79 years, female 0.3
GTEX-OHPM-1526-SM-EV796 50-59 years, male 0.3
GTEX-OIZF-1526-SM-2I5GR 60-69 years, male 0.3
GTEX-111YS-1126-SM-5GZYQ 60-69 years, male 0.2
GTEX-11I78-1726-SM-5A5M3 50-59 years, female 0.2
GTEX-132QS-1826-SM-5IFFN 60-69 years, male 0.2
GTEX-13OW6-2526-SM-5IJEC 50-59 years, male 0.2
GTEX-145MN-1326-SM-5NQ9S 30-39 years, male 0.2
GTEX-14E6E-0926-SM-664N8 30-39 years, male 0.2
GTEX-14PJ5-0826-SM-6AJAR 60-69 years, female 0.2
GTEX-14PJ6-0826-SM-686Z9 60-69 years, female 0.2
GTEX-16AAH-1226-SM-79OO9 50-59 years, male 0.2
GTEX-17F98-1526-SM-7EWD8 40-49 years, female 0.2
GTEX-17F9E-2226-SM-7IGNC 50-59 years, male 0.2
GTEX-17GQL-1226-SM-7KFTS 60-69 years, male 0.2
GTEX-18A67-2626-SM-718AD 50-59 years, male 0.2
GTEX-1B97J-1826-SM-7IGPP 50-59 years, female 0.2
GTEX-PWCY-0926-SM-48TD7 20-29 years, female 0.2
GTEX-S3XE-1026-SM-4AD4O 50-59 years, male 0.2
GTEX-S95S-0826-SM-4B64N 60-69 years, male 0.2
GTEX-WHPG-0426-SM-4M1XW 50-59 years, male 0.2
GTEX-WXYG-1626-SM-4ONCR 50-59 years, female 0.2
GTEX-Y3IK-1426-SM-4YCES 50-59 years, female 0.2
GTEX-YEC4-1426-SM-5IFHS 40-49 years, male 0.2
GTEX-ZDYS-1926-SM-5HL59 50-59 years, male 0.2
GTEX-ZPU1-1626-SM-4WWB2 40-49 years, male 0.2
GTEX-ZYFG-1326-SM-5GICJ 60-69 years, female 0.2
GTEX-1GL5R-1926-SM-9WG7U 50-59 years, male 0.2
GTEX-1H3VY-2326-SM-9WG81 50-59 years, male 0.2
GTEX-1I6K7-1726-SM-B2LXQ 40-49 years, male 0.2
GTEX-1JK1U-1326-SM-AHZ45 60-69 years, male 0.2
GTEX-1LG7Z-1226-SM-DHXK4 30-39 years, male 0.2
GTEX-1MUQO-1926-SM-EAZ59 60-69 years, male 0.2
GTEX-1QCLY-1126-SM-EAZ4J 30-39 years, male 0.2
GTEX-1RB15-1026-SM-E9U6V 60-69 years, male 0.2
GTEX-ZLFU-1326-SM-DO11R 40-49 years, male 0.2
GTEX-111CU-0926-SM-5EGIK 50-59 years, male 0.1
GTEX-11TT1-0726-SM-5GU5A 20-29 years, male 0.1
GTEX-12BJ1-1726-SM-5HL9B 60-69 years, male 0.1
GTEX-131XG-1226-SM-5EGH9 50-59 years, female 0.1
GTEX-1399S-1626-SM-5P9GI 30-39 years, female 0.1
GTEX-13FTW-1726-SM-5KM2B 40-49 years, male 0.1
GTEX-13O21-0926-SM-5IFGT 50-59 years, male 0.1
GTEX-144GM-1726-SM-5O9AS 20-29 years, male 0.1
GTEX-15DZA-1126-SM-6LPK8 30-39 years, female 0.1
GTEX-17HGU-2126-SM-7IGOV 50-59 years, male 0.1
GTEX-1C475-1026-SM-7MKFJ 40-49 years, female 0.1
GTEX-1CAMR-0726-SM-7EPIE 20-29 years, male 0.1
GTEX-1F5PL-1426-SM-7MKFH 40-49 years, female 0.1
GTEX-P4PP-1526-SM-3P61M 30-39 years, female 0.1
GTEX-QCQG-0526-SM-48U2A 50-59 years, female 0.1
GTEX-QV31-0626-SM-447C5 30-39 years, male 0.1
GTEX-S341-0626-SM-4AD5T 40-49 years, female 0.1
GTEX-UJMC-1226-SM-4IHLI 50-59 years, male 0.1
GTEX-WFG8-1326-SM-4LVN3 20-29 years, male 0.1
GTEX-WFON-1126-SM-4LVMA 40-49 years, male 0.1
GTEX-ZVP2-1626-SM-5GU5D 50-59 years, male 0.1
GTEX-1KXAM-0926-SM-CXZKA 60-69 years, male 0.1
GTEX-1LGRB-1726-SM-CNNRA 50-59 years, female 0.1
GTEX-1MGNQ-1826-SM-DPRYI 40-49 years, male 0.1
GTEX-1MJIX-1126-SM-EV7AO 40-49 years, male 0.1
GTEX-ZLWG-1526-SM-DO12F 50-59 years, female 0.1
GTEX-14PHX-1026-SM-664OL 50-59 years, male 0.0
GTEX-1F75I-1826-SM-7MKGX 40-49 years, male 0.0
GTEX-QDVN-1226-SM-48TZ5 50-59 years, male 0.0
GTEX-T6MO-0726-SM-4DM58 40-49 years, female 0.0
GTEX-Y8LW-0826-SM-4WWDO 50-59 years, female 0.0
GTEX-1KANA-1126-SM-D3L9M 20-29 years, male 0.0
Show allShow less

Contact

  • NEWS ARTICLES
  • PRESS ROOM

The Project

  • INTRODUCTION
  • ORGANIZATION
  • PUBLICATIONS

The Human Protein Atlas

  • DOWNLOADABLE DATA
  • LICENCE & CITATION
  • HELP & FAQ
The Human Protein Atlas project is funded
by the Knut & Alice Wallenberg Foundation.


contact@proteinatlas.org