We use cookies to enhance the usability of our website. If you continue, we'll assume that you are happy to receive all cookies. More information. Don't show this again.
TMEM176B
HPA
RESOURCES
  • TISSUE
  • BRAIN
  • SINGLE CELL
  • SUBCELLULAR
  • CANCER
  • BLOOD
  • CELL LINE
  • STRUCTURE & INTERACTION
ABOUT
  • INTRODUCTION
  • HISTORY
  • ORGANIZATION
  • PUBLICATIONS
  • ANTIBODY SUBMISSION
  • ANTIBODY AVAILABILITY
  • ACKNOWLEDGMENTS
  • CONTACT
NEWS
  • NEWS ARTICLES
  • PRESS ROOM
LEARN
  • DICTIONARY
  • PROTEIN CLASSES
  • PROTEIN EVIDENCE
  • METHODS
  • EDUCATIONAL VIDEOS
DATA
  • DOWNLOADABLE DATA
  • PUBLICATION DATA
  • RELEASE HISTORY
HELP
  • ANTIBODY VALIDATION
  • ASSAYS & ANNOTATION
  • DISCLAIMER
  • HELP & FAQ
  • PRIVACY STATEMENT
  • LICENCE & CITATION
Fields »
Search result

Field
Term
Gene name
Class
Subclass
Class
Keyword
Chromosome
External id
Tissue
Cell type
Expression
Antibody panel
Tissue
Main location
Patient ID
Annotation
Tissue
Category
Tau score
Cluster
Reliability
Brain region
Category
Tau score
Brain region
Category
Tau score
Brain region
Category
Tau score
Cluster
Reliability
Tissue
Cell type
Enrichment
Cell type
Category
Tau score
Cell type
Category
Tau score
Cell type
Category
Tau score
Cell lineage
Category
Tau score
Cluster
Cluster
Location
Searches
Location
Cell line
Class
Type
Phase
Reliability
Cancer
Prognosis
Cancer
Category
Cancer
Category
Tau score
Cluster
Variants
Interacting gene (ensg_id)
Type
Number of interactions
Pathway
Category
Score
Score
Score
Validation
Validation
Validation
Validation
Antibodies
Data type
Column


  • SUMMARY

  • TISSUE

  • BRAIN

  • SINGLE CELL

  • SUBCELL

  • CANCER

  • BLOOD

  • CELL LINE

  • STRUCT & INT

  • TMEM176B
TISSUE PRIMARY DATA BREAST Show tissue menu
ADIPOSE TISSUE ADRENAL GLAND AMYGDALA APPENDIX BASAL GANGLIA BONE MARROW BREAST BRONCHUS CEREBELLUM CEREBRAL CORTEX CERVIX CHOROID PLEXUS COLON DUODENUM
ENDOMETRIUM EPIDIDYMIS ESOPHAGUS FALLOPIAN TUBE GALLBLADDER HEART MUSCLE HIPPOCAMPAL FORMATION HYPOTHALAMUS KIDNEY LIVER LUNG LYMPH NODE MIDBRAIN ORAL MUCOSA
OVARY PANCREAS PARATHYROID GLAND PITUITARY GLAND PLACENTA PROSTATE RECTUM RETINA SALIVARY GLAND SEMINAL VESICLE SKELETAL MUSCLE SKIN SMALL INTESTINE SMOOTH MUSCLE
SOFT TISSUE SPINAL CORD SPLEEN STOMACH TESTIS THYMUS THYROID GLAND TONGUE TONSIL URINARY BLADDER VAGINA
ANTIBODIES
AND
VALIDATION
Dictionary
Breast
Tissue proteome
Breast
BREAST - Expression summary
Protein expression
Breasti

On the top, protein expression in current human tissue, based on all annotated cell types, is reported with the units not detected (n), low (l), medium (m) and high (h). Underneath, protein expression in each annotated cell type are reported using the same units.

Protein expression data is based on knowledge-based annotation. For genes where more than one antibody has been used, a collective score is set.

If knowledge-based annotation could not be performed for a gene, no data is displayed here. View antibody staining data further down this page.

h
m
l
n
Adipocytes: Not detected
Glandular cells: High
Myoepithelial cells: Medium
RNA expressioni

A summary of mRNA expression data available for current tissue based on several datasets. The mRNA expression levels in human tissues are based on RNA-seq data generated by the Human Protein Atlas (HPA), Genotype-Tissue Expression (GTEx) portal and CAGE data generated by the FANTOM5 consortium. Consensus normalized expression levels for human tissues was created by combining the data from HPA and GTEx datasets.

The mRNA expression levels in pig are based on RNA-seq data generated by the Human Protein Atlas (HPA), and for mouse, HPA data and in situ hybridization generated by the Allen brain atlas are reported.

Scroll down to view mRNA expression data in more detail.
Consensus:75.3 nTPM
HPA:72.8 nTPM
GTEx:75.3 nTPM
FANTOM5:87.6 Scaled Tags Per Million

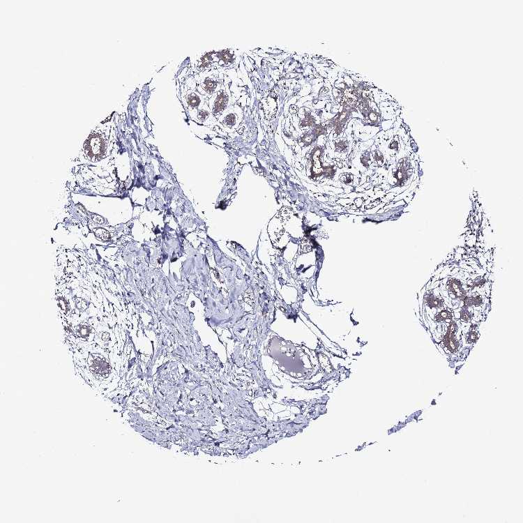
BREAST - Antibody stainingi

Antibody staining in the annotated cell types in the current human tissue is reported as not detected, low, medium, or high, based on conventional immunohistochemistry profiling in selected tissues. This score is based on the combination of the staining intensity and fraction of stained cells.

Each image is clickable and will lead to virtual microscopy that enables deeper exploration of all samples and also displays staining intensity scores, fraction scores and subcellular localization as well as patient and tissue information for each sample.

Antibody HPA047509
Adipocytes Not detected
Glandular cells High
Myoepithelial cells Medium


BREAST - HPA RNA-seqi

The RNA-seq details section shows detailed information about the individual samples used for the transcript profiling and results of the RNA-seq analysis.

Information about each individual sample is listed below, including gender, age, a tissue section image and estimated fractions of cell types. nTPM (normalized transcripts per million) values give a quantification of the gene abundance which is comparable between different genes and samples.
Average nTPMi

Max subtype nTPM is the value for the subtype with the largest average nTPM across the subtype samples.

72.8
overview
Female, age 52
Breast sample 373
nTPM: 110
Cell types%
Glandular cells:
15

Adipocytes:
5

Other cell types:
80

overview
Female, age 80
Breast sample 390
nTPM: 73.8
Cell types%
Glandular cells:
5

Adipocytes:
15

Other cell types:
80

overview
Female, age 47
Breast sample 405
nTPM: 58.5
Cell types%
Glandular cells:
5

Adipocytes:
5

Other cell types:
90

overview
Female, age 38
Breast sample 410
nTPM: 48.8
Cell types%
Glandular cells:
40

Adipocytes:
5

Other cell types:
55


BREAST - GTEx RNA-seqi

RNA-Seq data generated by the Genotype-Tissue Expression (GTEx) project from human tissues is reported as mean nTPM. More information can be found on the GTEx portal.

Distribution across the dataset is visualized with box plots, shown as median and 25th and 75th percentiles. Points are displayed as outliers if they are above or below 1.5 times the interquartile range. nTPM values of the individual samples are presented next to the box plot.
Max subtype nTPMi

Max subtype nTPM is the value for the subtype with the largest average nTPM across the subtype samples.

75.3
GTEx sample id Sample description nTPM
Breast - Mammary Tissue
Average nTPM: 75.3
Samples: 459

Max nTPM: 330.2
Min nTPM: 13.7
Std nTPM: 41.2
Median nTPM: 68.0
GTEX-13O3P-0826-SM-5L3DH 50-59 years, male 330.2
GTEX-ZTPG-2826-SM-57WGA 20-29 years, female 288.4
GTEX-13NZ9-1026-SM-5MR5K 50-59 years, male 259.0
GTEX-13FHO-0826-SM-5L3E8 60-69 years, male 253.1
GTEX-1HC8U-0826-SM-ADEIL 40-49 years, female 237.3
GTEX-14ICK-2426-SM-6EU27 40-49 years, male 186.7
GTEX-ZVT4-1026-SM-57WC4 50-59 years, female 183.3
GTEX-ZAJG-0626-SM-5HL8X 50-59 years, female 182.7
GTEX-13N11-1726-SM-5J1OJ 50-59 years, female 181.6
GTEX-13SLW-2526-SM-62LDQ 70-79 years, male 180.7
GTEX-14ABY-2126-SM-5QGQZ 50-59 years, male 174.4
GTEX-17HG3-0126-SM-7IGNH 30-39 years, female 165.7
GTEX-X4EP-2926-SM-3P5YQ 60-69 years, female 162.8
GTEX-1H1DG-0526-SM-9YFLN 70-79 years, male 161.1
GTEX-1QEPI-0926-SM-DTXF3 60-69 years, female 156.9
GTEX-17F98-0526-SM-79OK5 40-49 years, female 155.8
GTEX-R3RS-0626-SM-48FE1 40-49 years, female 155.4
GTEX-ZTX8-1226-SM-4YCE9 20-29 years, male 154.7
GTEX-1IE54-0626-SM-ARL8D 40-49 years, female 153.5
GTEX-14AS3-1626-SM-5S2OY 40-49 years, female 152.9
GTEX-1B8SG-1226-SM-7IGPF 50-59 years, male 145.8
GTEX-1QPFJ-2026-SM-EVYBE 30-39 years, female 144.9
GTEX-17EVQ-0426-SM-7LG57 70-79 years, male 144.0
GTEX-1HCUA-0726-SM-ACKVU 50-59 years, female 143.0
GTEX-139T8-0826-SM-5L3DE 60-69 years, male 142.1
GTEX-1R46S-2526-SM-E8VN2 60-69 years, female 141.5
GTEX-1LNCM-0226-SM-DIPF4 50-59 years, female 141.4
GTEX-1QMI2-0726-SM-E9J4F 60-69 years, male 139.7
GTEX-13NZ8-0126-SM-5IJCT 60-69 years, female 139.4
GTEX-1J8QM-2026-SM-ARZMW 60-69 years, female 139.1
GTEX-145LT-0726-SM-5S2VM 40-49 years, male 139.0
GTEX-14PHY-1926-SM-5YY95 60-69 years, female 138.9
GTEX-Y8LW-1626-SM-5IFHX 50-59 years, female 137.9
GTEX-1GF9X-1026-SM-ACKX2 40-49 years, female 137.5
GTEX-ZVZQ-0826-SM-51MRF 60-69 years, female 137.4
GTEX-ZZPU-0626-SM-5E43T 50-59 years, female 137.2
GTEX-QDT8-0626-SM-48TYW 30-39 years, female 136.8
GTEX-XYKS-1326-SM-4BRUN 60-69 years, female 136.6
GTEX-T5JW-2026-SM-4DM63 20-29 years, female 136.0
GTEX-SE5C-2126-SM-4BRUJ 40-49 years, female 135.8
GTEX-ZVT2-1826-SM-5NQ8W 50-59 years, female 133.5
GTEX-15FZZ-0726-SM-7KUFZ 30-39 years, female 131.9
GTEX-1R9PN-0326-SM-DTX85 40-49 years, female 130.8
GTEX-X62O-0526-SM-EWRMA 50-59 years, male 130.7
GTEX-X15G-1626-SM-3NMB3 50-59 years, female 129.3
GTEX-1313W-0826-SM-5EQ4T 50-59 years, female 129.0
GTEX-15G19-2126-SM-6M48J 60-69 years, male 128.9
GTEX-1R9JW-0326-SM-EAZ45 30-39 years, female 127.5
GTEX-14BMU-1626-SM-5TDE7 20-29 years, female 127.0
GTEX-1122O-1226-SM-5H113 60-69 years, female 126.2
GTEX-17JCI-0726-SM-7EPH1 60-69 years, female 125.9
GTEX-131YS-0626-SM-5EGKL 60-69 years, female 125.7
GTEX-11EM3-1326-SM-5N9C6 20-29 years, female 125.2
GTEX-Q2AG-0326-SM-48U1O 40-49 years, female 124.1
GTEX-XBED-1626-SM-47JYN 60-69 years, male 121.7
GTEX-1KD5A-1926-SM-DKPQA 50-59 years, male 120.5
GTEX-W5X1-2326-SM-3GIL6 40-49 years, female 119.9
GTEX-Y5LM-1726-SM-4VDSX 40-49 years, female 119.8
GTEX-XMD2-0926-SM-4WWEF 60-69 years, female 119.6
GTEX-11ZUS-0826-SM-5FQUY 30-39 years, male 118.5
GTEX-S341-1526-SM-4AD6K 40-49 years, female 118.4
GTEX-13PL6-2926-SM-5L3I2 40-49 years, female 116.1
GTEX-1EWIQ-1726-SM-7SB7T 70-79 years, female 115.7
GTEX-14H4A-2526-SM-5YYAY 40-49 years, female 115.5
GTEX-11GSP-0926-SM-9WYSG 60-69 years, female 115.4
GTEX-1IDJE-0826-SM-CKZNZ 50-59 years, female 115.0
GTEX-13O3O-0826-SM-5K7WE 60-69 years, female 114.8
GTEX-13S86-1226-SM-5S2OA 40-49 years, male 112.6
GTEX-14PN4-0626-SM-62LFP 50-59 years, male 110.9
GTEX-WRHU-0326-SM-3MJFY 50-59 years, female 110.4
GTEX-1IDFM-0426-SM-B2LVV 60-69 years, male 110.2
GTEX-16NGA-0826-SM-718AF 40-49 years, female 109.9
GTEX-13113-5013-SM-7SB7G 60-69 years, female 109.9
GTEX-1POEN-0926-SM-DTX88 30-39 years, female 108.9
GTEX-WYBS-0926-SM-3NM94 60-69 years, female 108.7
GTEX-Y114-2026-SM-4TT7L 50-59 years, female 108.7
GTEX-1B933-2526-SM-7IGO5 50-59 years, female 107.9
GTEX-11TT1-2126-SM-5GU5Y 20-29 years, male 106.8
GTEX-ZGAY-1726-SM-DO91P 40-49 years, female 106.5
GTEX-1MCC2-2126-SM-EWRON 30-39 years, female 105.7
GTEX-1CB4J-1826-SM-7EWF9 60-69 years, male 105.6
GTEX-13D11-1026-SM-5IJFB 50-59 years, female 105.1
GTEX-ZLV1-1426-SM-DO92Z 60-69 years, female 104.0
GTEX-1I19N-2826-SM-CL55D 70-79 years, male 102.7
GTEX-YFC4-1426-SM-5IFJG 40-49 years, female 102.1
GTEX-TML8-1226-SM-32QON 40-49 years, female 101.9
GTEX-S4P3-1326-SM-4AD6V 50-59 years, female 101.8
GTEX-1I1GP-0426-SM-COH3N 50-59 years, male 101.5
GTEX-ZXES-0826-SM-5E43C 30-39 years, female 101.4
GTEX-1GZHY-0726-SM-9WG6B 50-59 years, female 101.4
GTEX-131XW-0726-SM-5EGK3 50-59 years, female 101.1
GTEX-13OW8-0226-SM-5K7UP 60-69 years, male 101.1
GTEX-ZVE2-1226-SM-5NQ8R 50-59 years, male 101.1
GTEX-VUSG-2226-SM-4KKZO 50-59 years, male 101.0
GTEX-QVJO-1826-SM-447C9 60-69 years, female 100.4
GTEX-1IDJH-2226-SM-E6CJV 70-79 years, male 100.4
GTEX-11ONC-2126-SM-5HL6E 60-69 years, male 100.3
GTEX-ZYW4-0826-SM-5GIDG 60-69 years, male 100.2
GTEX-ZC5H-2626-SM-5J2MG 40-49 years, female 99.9
GTEX-1MA7W-1026-SM-DKPQK 20-29 years, female 99.9
GTEX-XV7Q-2326-SM-4BRVZ 40-49 years, female 99.5
GTEX-1JJE9-2326-SM-ARL8Q 70-79 years, male 98.9
GTEX-1MJK2-2226-SM-EVYCR 50-59 years, male 98.4
GTEX-1GZ4I-2826-SM-9MQK5 50-59 years, male 98.1
GTEX-1MCYP-0126-SM-E6CIS 20-29 years, female 98.1
GTEX-1JMQK-2626-SM-COH2W 60-69 years, male 97.6
GTEX-1CAMS-1426-SM-7IGPM 40-49 years, female 97.5
GTEX-RU72-0626-SM-46MUI 50-59 years, female 97.1
GTEX-ZY6K-1626-SM-5GZWV 50-59 years, male 97.0
GTEX-XMD1-0826-SM-4AT52 60-69 years, male 96.5
GTEX-1C6VS-0726-SM-7EPHF 60-69 years, male 95.3
GTEX-1HCU8-0126-SM-ADEHH 60-69 years, female 94.7
GTEX-1I6K6-0826-SM-ARL7Z 30-39 years, male 94.2
GTEX-1399U-1826-SM-5PNZ1 50-59 years, female 93.9
GTEX-11P81-1926-SM-5BC53 30-39 years, female 93.6
GTEX-13N1W-0626-SM-5MR4U 70-79 years, male 93.6
GTEX-133LE-1726-SM-5K7VQ 20-29 years, female 93.2
GTEX-13W46-0826-SM-5LU3H 50-59 years, male 93.1
GTEX-1IKOE-1326-SM-CE6T6 30-39 years, female 92.8
GTEX-147F4-2826-SM-5NQBN 50-59 years, male 92.6
GTEX-11I78-2226-SM-5PNYA 50-59 years, female 92.5
GTEX-18465-2026-SM-718AP 50-59 years, male 91.9
GTEX-ZTTD-1026-SM-51MRD 50-59 years, male 91.6
GTEX-14LLW-0626-SM-62LFC 70-79 years, female 91.5
GTEX-17F97-2526-SM-7EWDV 50-59 years, male 91.3
GTEX-Y5V5-2126-SM-4WWFO 60-69 years, female 90.8
GTEX-11WQC-1726-SM-5GU4W 60-69 years, male 90.6
GTEX-U3ZN-1926-SM-4DXSG 30-39 years, female 90.0
GTEX-18A7A-0726-SM-7LTAI 50-59 years, female 89.9
GTEX-ZEX8-2226-SM-57WC6 50-59 years, male 89.6
GTEX-11O72-2126-SM-5N9FO 40-49 years, male 89.4
GTEX-14A5I-0726-SM-5TDEB 50-59 years, female 89.4
GTEX-ZF3C-2326-SM-5S2NC 50-59 years, female 89.3
GTEX-13PVQ-1026-SM-5KM3M 50-59 years, male 89.1
GTEX-Y3I4-1526-SM-4TT7K 50-59 years, male 89.0
GTEX-1M5QR-2526-SM-E9U5P 40-49 years, male 88.9
GTEX-1JJEA-2726-SM-ARL8V 60-69 years, male 88.7
GTEX-1AX8Z-0926-SM-731AW 60-69 years, male 88.5
GTEX-UJHI-1426-SM-3DB9C 50-59 years, female 88.5
GTEX-1PPGY-1526-SM-EVYBK 60-69 years, male 88.5
GTEX-15EOM-5019-SM-793DK 20-29 years, female 88.4
GTEX-1GF9V-2526-SM-7SB8K 60-69 years, male 88.4
GTEX-1B97J-0426-SM-79OLQ 50-59 years, female 88.0
GTEX-1QP29-1726-SM-E8VMQ 50-59 years, male 87.9
GTEX-1R9PM-1826-SM-EVYBH 20-29 years, male 87.7
GTEX-1GN1U-0526-SM-9KNTT 50-59 years, female 87.4
GTEX-1JN6P-2426-SM-ARL99 60-69 years, male 87.3
GTEX-1KAFJ-0226-SM-DIPEL 50-59 years, male 87.2
GTEX-1GN2E-2226-SM-9WG6J 60-69 years, male 86.7
GTEX-183FY-1126-SM-7DHLJ 20-29 years, male 86.1
GTEX-1S82U-1126-SM-E9U6I 30-39 years, female 85.8
GTEX-132NY-0826-SM-5K7Y7 60-69 years, male 85.5
GTEX-1AMEY-1026-SM-718AA 30-39 years, female 85.5
GTEX-WI4N-1426-SM-3LK7H 40-49 years, female 85.2
GTEX-1GMRU-0826-SM-9WYT7 50-59 years, male 85.2
GTEX-RWS6-1926-SM-47JXY 60-69 years, female 85.1
GTEX-14E7W-0826-SM-62LEJ 70-79 years, male 85.0
GTEX-1LSNL-2826-SM-E9U5L 50-59 years, male 85.0
GTEX-VJWN-0726-SM-3GIJ8 50-59 years, female 84.8
GTEX-17EUY-1926-SM-7DUF6 20-29 years, male 84.4
GTEX-1GN1W-1926-SM-7P8TH 50-59 years, female 84.1
GTEX-13NZB-2126-SM-5MR4Y 30-39 years, male 83.9
GTEX-12WSK-2226-SM-5GCO5 40-49 years, female 83.7
GTEX-T2YK-2226-SM-32QPT 50-59 years, male 83.7
GTEX-11P7K-0726-SM-5EGKX 30-39 years, male 83.3
GTEX-1F5PL-1026-SM-7RHI1 40-49 years, female 83.1
GTEX-1JK1U-1826-SM-ARL8W 60-69 years, male 83.0
GTEX-YECK-0726-SM-EZ6LV 60-69 years, male 82.9
GTEX-Y3IK-2326-SM-4WWDT 50-59 years, female 82.8
GTEX-11NV4-2026-SM-5N9DG 60-69 years, male 82.6
GTEX-1211K-1926-SM-5EQLB 60-69 years, female 82.6
GTEX-1H1CY-2226-SM-9WG7E 60-69 years, female 82.4
GTEX-16YQH-2826-SM-6PAMY 30-39 years, male 82.0
GTEX-S7SE-0826-SM-4AT4D 50-59 years, male 81.9
GTEX-YJ8O-2226-SM-5IFHW 40-49 years, female 81.6
GTEX-1ICLY-1726-SM-B2LVT 50-59 years, male 81.3
GTEX-1C64O-0726-SM-7DUFU 60-69 years, male 81.2
GTEX-14PKU-0426-SM-6EU1P 40-49 years, female 81.1
GTEX-1C475-1226-SM-7SB72 40-49 years, female 81.0
GTEX-ZU9S-1926-SM-5NQBP 30-39 years, male 80.9
GTEX-1A8G7-2426-SM-731AK 60-69 years, male 80.4
GTEX-1QP28-1226-SM-E9J2M 50-59 years, female 80.3
GTEX-YB5K-1626-SM-5IFIN 40-49 years, female 80.2
GTEX-13W3W-1226-SM-5LU4H 60-69 years, female 79.8
GTEX-1HSGN-1526-SM-A9SMO 40-49 years, female 79.8
GTEX-1F5PK-2126-SM-7PC28 50-59 years, male 79.1
GTEX-1B932-0826-SM-73KXG 40-49 years, female 78.9
GTEX-ZDXO-0126-SM-5S2ND 60-69 years, male 78.7
GTEX-ZF2S-2026-SM-5E461 50-59 years, female 78.6
GTEX-145MF-2226-SM-7EPIR 50-59 years, male 78.5
GTEX-15ER7-1626-SM-6PAMZ 20-29 years, female 78.4
GTEX-1JMPZ-1626-SM-COH31 30-39 years, male 78.3
GTEX-QEL4-2126-SM-447AE 50-59 years, male 78.2
GTEX-12ZZX-1126-SM-5EGKB 40-49 years, female 78.1
GTEX-1JMLX-2026-SM-CMKGN 50-59 years, male 78.0
GTEX-QEG5-0726-SM-D4P1T 20-29 years, male 77.8
GTEX-1K9T9-1426-SM-DIPFQ 50-59 years, female 77.6
GTEX-11OF3-1926-SM-59889 60-69 years, male 77.0
GTEX-15SHW-1326-SM-6PAL8 60-69 years, male 76.9
GTEX-183WM-0726-SM-7LTAA 70-79 years, female 76.8
GTEX-YFCO-1826-SM-4W1YH 40-49 years, male 76.7
GTEX-1192X-2326-SM-5987X 50-59 years, male 76.1
GTEX-1F75I-2026-SM-7SB7N 40-49 years, male 75.6
GTEX-WYJK-1326-SM-3NB2T 50-59 years, male 74.7
GTEX-1H4P4-2226-SM-9MQKQ 50-59 years, male 74.5
GTEX-1269C-2426-SM-5FQSN 60-69 years, female 74.4
GTEX-17HHE-1426-SM-7EPH4 50-59 years, male 73.9
GTEX-ZAK1-1326-SM-EVYAS 50-59 years, female 73.9
GTEX-1J8EW-2626-SM-CL53E 60-69 years, female 73.7
GTEX-1HUB1-1626-SM-CM2SL 60-69 years, male 73.6
GTEX-1HBPM-0126-SM-ARL9E 60-69 years, female 73.5
GTEX-1JMOU-2026-SM-CMKGU 60-69 years, female 73.4
GTEX-ZWKS-2826-SM-5NQ74 30-39 years, male 72.8
GTEX-1C6WA-2426-SM-7SB86 60-69 years, male 72.0
GTEX-15UF6-0126-SM-6PAMB 70-79 years, female 71.5
GTEX-1I1GV-2426-SM-CGQFM 60-69 years, male 71.5
GTEX-146FH-0826-SM-5SI8T 50-59 years, female 71.2
GTEX-U3ZH-1426-SM-4DXSR 30-39 years, male 71.1
GTEX-1B8KZ-1526-SM-7DUG7 50-59 years, male 70.9
GTEX-11DXW-0626-SM-5N9ER 40-49 years, male 70.7
GTEX-1I6K7-1026-SM-A9SLK 40-49 years, male 70.3
GTEX-1E2YA-2726-SM-7IGPW 50-59 years, male 70.2
GTEX-11EMC-2026-SM-5A5JV 60-69 years, female 69.6
GTEX-13SLX-2326-SM-5ZZWE 50-59 years, female 69.6
GTEX-12KS4-0126-SM-5Q5A5 30-39 years, male 69.3
GTEX-ZPIC-1126-SM-5BC7F 40-49 years, female 69.1
GTEX-1F75B-0626-SM-7SB8A 50-59 years, male 69.1
GTEX-11GSO-1926-SM-5A5K3 60-69 years, male 68.6
GTEX-1N2EF-2226-SM-E9J33 60-69 years, male 68.4
GTEX-15ETS-0626-SM-7KUMX 40-49 years, female 68.0
GTEX-17MF6-0326-SM-7EPH5 40-49 years, male 67.9
GTEX-XOT4-0726-SM-4GIAW 60-69 years, female 67.2
GTEX-1S82Z-0726-SM-E6CHX 30-39 years, female 67.2
GTEX-WHSB-1926-SM-EXOHH 50-59 years, male 67.1
GTEX-13QIC-2326-SM-5LU5N 60-69 years, female 67.0
GTEX-145MO-0826-SM-5NQBL 60-69 years, male 66.9
GTEX-ZF29-1926-SM-5S2P1 60-69 years, female 66.6
GTEX-1R7EU-1226-SM-E8VMR 60-69 years, male 66.6
GTEX-13FTX-1126-SM-5N9EN 20-29 years, female 66.4
GTEX-1HT8W-2226-SM-CGQEC 30-39 years, male 66.4
GTEX-13FTY-2226-SM-5J1ND 40-49 years, female 66.3
GTEX-1AX9I-0726-SM-73KWV 60-69 years, male 66.3
GTEX-18A6Q-0926-SM-7LG4N 60-69 years, male 65.9
GTEX-1P4AB-1826-SM-E76PU 50-59 years, male 65.9
GTEX-11DXY-2326-SM-5GICW 60-69 years, male 65.7
GTEX-1CB4G-2326-SM-79OOI 60-69 years, male 65.7
GTEX-1IKOH-2326-SM-CM2TW 60-69 years, female 65.7
GTEX-1IOXB-1926-SM-ARL8E 50-59 years, male 65.7
GTEX-1C6VQ-0426-SM-79OOX 50-59 years, male 65.5
GTEX-1GMR3-2626-SM-7RHHG 40-49 years, male 65.4
GTEX-1GZ4H-0326-SM-7P8QX 50-59 years, female 65.1
GTEX-1HR9M-2426-SM-ACKXI 60-69 years, male 65.0
GTEX-U412-1826-SM-4DXTJ 60-69 years, male 64.6
GTEX-1HCVE-2626-SM-ADEJ8 50-59 years, male 64.6
GTEX-TMMY-0726-SM-33HBE 40-49 years, female 64.4
GTEX-UPK5-2326-SM-3P5Z8 40-49 years, male 63.7
GTEX-WYVS-1726-SM-3NMAY 40-49 years, female 63.7
GTEX-ZA64-1526-SM-5CVMD 20-29 years, male 63.5
GTEX-1EKGG-2626-SM-7IGPY 60-69 years, male 63.1
GTEX-1CB4E-0226-SM-79OLW 60-69 years, male 62.8
GTEX-1GMR8-0726-SM-9KNVI 50-59 years, female 62.7
GTEX-S32W-2026-SM-4AD6E 50-59 years, female 62.4
GTEX-17KNJ-2026-SM-7LG53 50-59 years, male 62.3
GTEX-1BAJH-0826-SM-7EWEF 70-79 years, male 61.8
GTEX-13O3Q-2226-SM-5KM4O 50-59 years, male 61.4
GTEX-1LSVX-2426-SM-E6CJX 60-69 years, male 61.2
GTEX-144GL-2026-SM-5LU3O 50-59 years, male 61.0
GTEX-13PVR-2226-SM-7DHKP 60-69 years, female 60.5
GTEX-WXYG-2226-SM-4E3IM 50-59 years, female 60.3
GTEX-17F96-2426-SM-7IGLN 70-79 years, male 59.9
GTEX-14BMV-0626-SM-793AU 50-59 years, male 59.7
GTEX-1GPI7-0926-SM-7PC3J 20-29 years, male 59.5
GTEX-1GZ2Q-2626-SM-7MXV9 40-49 years, male 59.5
GTEX-17HHY-0926-SM-793C1 50-59 years, male 59.3
GTEX-T6MO-0326-SM-32QOK 40-49 years, female 59.2
GTEX-1M4P7-2626-SM-E9U5F 60-69 years, male 59.1
GTEX-1HR98-0426-SM-COH36 60-69 years, male 58.8
GTEX-1I4MK-1626-SM-CM2TJ 50-59 years, female 58.8
GTEX-11DZ1-0326-SM-5N9BN 50-59 years, male 58.6
GTEX-145MN-1926-SM-5SIAI 30-39 years, male 58.6
GTEX-1LVAM-0926-SM-E9TJ2 50-59 years, female 58.5
GTEX-1AX9J-1126-SM-731B7 60-69 years, male 58.3
GTEX-ZYFC-0826-SM-5E44K 50-59 years, male 58.1
GTEX-11GS4-2126-SM-5A5KR 60-69 years, male 57.6
GTEX-1ICLZ-0426-SM-B2LW2 60-69 years, male 57.3
GTEX-14PJO-0726-SM-69LO8 60-69 years, male 57.1
GTEX-14E6C-1326-SM-62LEQ 40-49 years, male 56.9
GTEX-132Q8-1426-SM-5EGK7 60-69 years, male 56.8
GTEX-T5JC-2126-SM-32PMO 20-29 years, male 56.8
GTEX-18D9A-1526-SM-7LG4J 30-39 years, female 56.5
GTEX-11EI6-0626-SM-5985T 60-69 years, male 56.4
GTEX-11PRG-0826-SM-5EQ6A 50-59 years, male 56.1
GTEX-U8XE-0826-SM-4E3J1 30-39 years, male 56.0
GTEX-13OW5-2226-SM-5L3HC 60-69 years, male 55.9
GTEX-1J8Q2-2726-SM-A9G2X 60-69 years, male 55.9
GTEX-17EVP-0226-SM-79OND 40-49 years, male 55.6
GTEX-1LGRB-1826-SM-CNPQL 50-59 years, female 55.2
GTEX-1A3MV-1626-SM-731C1 30-39 years, male 54.5
GTEX-1LVAN-1326-SM-CNPQE 50-59 years, female 54.4
GTEX-Y5V6-2126-SM-4WWFX 60-69 years, male 54.1
GTEX-13QJ3-0826-SM-7DHKK 50-59 years, male 53.9
GTEX-1QW4Y-1026-SM-DTXE2 30-39 years, male 53.5
GTEX-1I1GT-1126-SM-ARL7J 60-69 years, female 53.2
GTEX-1H1E6-0926-SM-9YFLT 30-39 years, male 52.9
GTEX-S4UY-0726-SM-4AD6X 40-49 years, female 52.7
GTEX-13VXU-2826-SM-664MA 50-59 years, male 52.6
GTEX-1314G-1226-SM-5BC6D 30-39 years, male 52.4
GTEX-1MA7X-1626-SM-E9U5B 60-69 years, male 52.4
GTEX-1H3VY-0926-SM-ACKXE 50-59 years, male 52.3
GTEX-1IGQW-0926-SM-ADEH6 60-69 years, male 52.3
GTEX-12WSM-1726-SM-5BC6J 60-69 years, male 52.2
GTEX-117XS-1926-SM-5GICO 60-69 years, male 52.0
GTEX-14753-2426-SM-5LU8U 60-69 years, male 51.8
GTEX-1HBPN-2326-SM-9WPPU 50-59 years, male 51.8
GTEX-1I1HK-2426-SM-ADEHX 60-69 years, male 51.8
GTEX-S4Q7-1126-SM-4AD6R 20-29 years, male 51.4
GTEX-1PPH7-0826-SM-E8VNX 40-49 years, male 51.2
GTEX-1F75A-1826-SM-7SB8G 50-59 years, male 50.9
GTEX-RU1J-0626-SM-4WAWY 20-29 years, female 50.8
GTEX-1KANA-2026-SM-DIPFB 20-29 years, male 50.8
GTEX-ZUA1-1526-SM-59HLS 40-49 years, male 50.6
GTEX-1RAZQ-1226-SM-EWRNL 30-39 years, male 50.6
GTEX-XUW1-2326-SM-4BOO5 50-59 years, female 49.5
GTEX-1F6I4-2526-SM-7SB8F 60-69 years, male 49.5
GTEX-Y8E4-1626-SM-5S2MW 40-49 years, male 49.3
GTEX-1JN1M-3026-SM-CMKGK 60-69 years, female 49.2
GTEX-1GF9U-1726-SM-7MGY5 40-49 years, female 49.0
GTEX-13O61-1826-SM-5KM4I 60-69 years, male 48.9
GTEX-1EN7A-1426-SM-7PBY4 40-49 years, male 48.9
GTEX-1HCU7-1026-SM-ADEIP 50-59 years, male 48.6
GTEX-1QCLY-1626-SM-DTXDW 30-39 years, male 48.5
GTEX-1117F-2826-SM-5GZXL 60-69 years, female 48.4
GTEX-1LSNM-1326-SM-E9TJ1 50-59 years, male 47.7
GTEX-R53T-1526-SM-48FEK 50-59 years, female 47.6
GTEX-1QCLZ-2326-SM-DTXDO 60-69 years, female 47.6
GTEX-1B97I-0426-SM-79OL7 40-49 years, male 47.5
GTEX-1HKZK-1826-SM-ADEJ2 40-49 years, male 47.5
GTEX-1RQEC-2026-SM-DTXDM 60-69 years, male 46.7
GTEX-13CF3-2126-SM-5IFJP 60-69 years, female 46.6
GTEX-1GPI6-0626-SM-7RHHJ 60-69 years, male 46.1
GTEX-WFON-1826-SM-3GILG 40-49 years, male 46.0
GTEX-1K2DA-1726-SM-CGQGS 50-59 years, male 46.0
GTEX-WFG8-2026-SM-EXOHO 20-29 years, male 46.0
GTEX-1ICG6-1326-SM-ACKWR 70-79 years, female 45.8
GTEX-TKQ2-1826-SM-33HB2 50-59 years, male 45.4
GTEX-ZV7C-1826-SM-5NQ83 50-59 years, male 44.8
GTEX-1IDJU-1826-SM-CMKHV 60-69 years, female 44.8
GTEX-ZVTK-0326-SM-51MRR 20-29 years, male 44.0
GTEX-132AR-0826-SM-5EGK6 50-59 years, female 43.9
GTEX-1RLM8-2226-SM-EVYD1 50-59 years, male 43.7
GTEX-X4XY-0926-SM-4E3JD 60-69 years, male 43.3
GTEX-ZT9W-2026-SM-51MRA 50-59 years, male 43.3
GTEX-1B8L1-2426-SM-9WYTE 60-69 years, male 43.3
GTEX-11WQK-2426-SM-5GU5C 50-59 years, male 43.1
GTEX-1NV8Z-2826-SM-E8VME 60-69 years, male 42.6
GTEX-139TU-0626-SM-5KM3X 60-69 years, male 42.5
GTEX-ZYT6-0126-SM-5E45J 30-39 years, male 42.3
GTEX-15RJE-2626-SM-7KFT1 40-49 years, male 42.2
GTEX-17MFQ-0926-SM-7LG4S 20-29 years, male 42.2
GTEX-ZLWG-1926-SM-DO92J 50-59 years, female 42.1
GTEX-1IDJF-2326-SM-ARL86 20-29 years, male 41.6
GTEX-16BQI-1026-SM-7KUEA 30-39 years, female 41.5
GTEX-1IKJJ-2326-SM-COH3U 60-69 years, male 41.3
GTEX-1LG7Z-0726-SM-CXKYD 30-39 years, male 41.3
GTEX-ZQG8-0726-SM-5P9H9 60-69 years, female 41.1
GTEX-1N5O9-1126-SM-DTXEQ 60-69 years, male 41.0
GTEX-145ME-1526-SM-5Q5F2 40-49 years, female 40.9
GTEX-117YX-1426-SM-5H12H 50-59 years, male 40.7
GTEX-12BJ1-1826-SM-5HL9N 60-69 years, male 40.6
GTEX-1HSEH-2026-SM-ADEHN 60-69 years, male 40.5
GTEX-13FTW-1426-SM-5LZWZ 40-49 years, male 40.3
GTEX-1PDJ9-1126-SM-EXUSW 20-29 years, male 40.3
GTEX-X261-0626-SM-3NMD9 50-59 years, male 40.2
GTEX-1KXAM-1026-SM-CY8IA 60-69 years, male 40.2
GTEX-1KD4Q-2326-SM-D4P3M 40-49 years, male 39.4
GTEX-1H1ZS-0126-SM-9YFKQ 70-79 years, male 39.2
GTEX-S33H-0326-SM-4AD6N 30-39 years, male 38.7
GTEX-1JKYR-0926-SM-CMKGJ 20-29 years, male 38.7
GTEX-R55D-0826-SM-48FEA 50-59 years, male 38.5
GTEX-169BO-1126-SM-7MGWN 50-59 years, male 38.4
GTEX-1IY9M-2726-SM-CMKG5 60-69 years, male 38.4
GTEX-QMRM-1626-SM-D4P1U 50-59 years, male 38.3
GTEX-17F9E-2526-SM-7MGW2 50-59 years, male 38.2
GTEX-WOFL-0826-SM-3MJG1 60-69 years, male 38.1
GTEX-Y111-2026-SM-4SOJA 50-59 years, male 38.1
GTEX-12WSN-1326-SM-5GCNT 40-49 years, male 38.0
GTEX-11DXZ-1926-SM-5GZZL 50-59 years, male 37.6
GTEX-XQ3S-1326-SM-4BOPQ 20-29 years, male 37.4
GTEX-1GMR2-1926-SM-9MQLZ 50-59 years, male 37.1
GTEX-ZLFU-2126-SM-DO931 40-49 years, male 37.0
GTEX-1N2EE-2126-SM-E8VNN 60-69 years, male 36.8
GTEX-ZV6S-1826-SM-5NQ8D 40-49 years, female 36.7
GTEX-1RAZS-1226-SM-E8VMT 50-59 years, male 36.3
GTEX-18QFQ-0826-SM-718AX 30-39 years, male 36.1
GTEX-1CAMR-1426-SM-793BO 20-29 years, male 35.8
GTEX-1HFI7-0126-SM-CGQFQ 50-59 years, female 35.4
GTEX-1B8KE-1226-SM-73KWK 50-59 years, male 35.3
GTEX-T6MN-0726-SM-32PML 50-59 years, male 35.0
GTEX-15UF7-0726-SM-6M46D 40-49 years, male 34.7
GTEX-111YS-1926-SM-5GICC 60-69 years, male 34.5
GTEX-Y9LG-1426-SM-5IFJZ 30-39 years, male 34.5
GTEX-1HSMO-0826-SM-ADEIV 60-69 years, male 34.5
GTEX-13CF2-2026-SM-5K7VI 60-69 years, male 34.2
GTEX-11LCK-2426-SM-5HL5F 30-39 years, male 33.9
GTEX-17GQL-0326-SM-7LG5U 60-69 years, male 33.6
GTEX-1JMPY-0526-SM-CL54O 30-39 years, male 33.4
GTEX-T2IS-1526-SM-32QPR 20-29 years, female 33.2
GTEX-144GM-0926-SM-5O994 20-29 years, male 32.7
GTEX-1NHNU-0926-SM-E9J2T 50-59 years, male 32.7
GTEX-1H23P-0726-SM-9WG7K 60-69 years, male 32.6
GTEX-1A3MX-2726-SM-718B6 60-69 years, male 32.5
GTEX-ZAB4-2526-SM-5HL8M 40-49 years, male 32.2
GTEX-1KANC-1426-SM-CYPT9 50-59 years, female 32.2
GTEX-UTHO-1026-SM-3GAF7 60-69 years, male 31.9
GTEX-18A66-1726-SM-7LG5N 60-69 years, male 31.5
GTEX-1I1GU-1026-SM-ADEHJ 40-49 years, male 31.4
GTEX-XQ8I-2426-SM-4WAXY 50-59 years, male 31.2
GTEX-11NSD-0926-SM-5N9DR 20-29 years, male 30.5
GTEX-1EU9M-2826-SM-7EWFH 60-69 years, male 30.3
GTEX-ZDTT-2126-SM-DKPOM 60-69 years, male 30.0
GTEX-18A7B-2626-SM-7LG55 70-79 years, male 29.5
GTEX-14E6E-1326-SM-5S2NR 30-39 years, male 29.3
GTEX-1NUQO-2226-SM-E9U68 20-29 years, female 29.1
GTEX-YB5E-1726-SM-5IFJ3 40-49 years, male 28.7
GTEX-1L5NE-2126-SM-CY8IH 50-59 years, male 28.7
GTEX-V955-2026-SM-3GAFA 60-69 years, male 28.5
GTEX-XUZC-1626-SM-4BRVP 30-39 years, female 28.4
GTEX-1JKYN-0726-SM-ARZMY 30-39 years, male 27.9
GTEX-1H11D-1526-SM-9MQJY 40-49 years, male 27.4
GTEX-17HGU-1326-SM-79OKB 50-59 years, male 27.3
GTEX-1HSKV-2026-SM-CMKGX 60-69 years, male 27.1
GTEX-1QP9N-1826-SM-E8VMP 30-39 years, male 26.9
GTEX-14PJ4-2126-SM-6ETZJ 60-69 years, male 26.4
GTEX-Z9EW-1526-SM-EZ6LU 40-49 years, male 26.2
GTEX-11ZTT-2326-SM-5EQLG 60-69 years, female 25.8
GTEX-139T6-1626-SM-5PNYZ 50-59 years, male 25.7
GTEX-1R7EV-1526-SM-E8VOD 40-49 years, male 25.1
GTEX-RUSQ-2026-SM-4GIAK 50-59 years, male 24.5
GTEX-14B4R-1226-SM-5TDDT 30-39 years, male 24.3
GTEX-ZQUD-1926-SM-51MSA 30-39 years, male 24.2
GTEX-11TUW-1826-SM-5BC5D 60-69 years, male 23.3
GTEX-1LC47-1226-SM-D4P44 60-69 years, male 23.2
GTEX-PSDG-1626-SM-48TCQ 50-59 years, male 22.9
GTEX-14DAR-1326-SM-7DUEG 50-59 years, male 22.7
GTEX-1OKEX-0826-SM-E9J2B 60-69 years, male 22.7
GTEX-1LBAC-0926-SM-CXKY9 20-29 years, male 21.9
GTEX-1J8Q3-1326-SM-CMKI1 60-69 years, male 21.4
GTEX-XGQ4-0926-SM-4AT4U 50-59 years, male 19.2
GTEX-REY6-2426-SM-48FF5 60-69 years, male 18.9
GTEX-YEC3-1026-SM-5IFI5 50-59 years, male 18.8
GTEX-WY7C-2726-SM-3NB3P 50-59 years, male 18.7
GTEX-XMK1-1126-SM-4IHJ8 40-49 years, male 18.3
GTEX-11EQ9-1826-SM-5Q5AJ 30-39 years, male 17.7
GTEX-ZZ64-1226-SM-5E43R 20-29 years, male 16.0
GTEX-TKQ1-0226-SM-33HB5 30-39 years, male 14.9
GTEX-1HCU9-0326-SM-9WYSC 20-29 years, male 14.0
GTEX-1MJK3-1126-SM-E9J3F 20-29 years, male 13.9
GTEX-11P82-1326-SM-5HL62 20-29 years, male 13.8
GTEX-ZDYS-1126-SM-5K7UB 50-59 years, male 13.7
Show allShow less

BREAST - FANTOM5 CAGEi

RNA expression in human tissues obtained through Cap Analysis of Gene Expression (CAGE) generated by the FANTOM5 project are reported as Scaled Tags Per Million.

Max subtype Scaled Tags Per Millioni

Max subtype Scaled Tags Per Million is the value for the subtype with the largest average Scaled Tags Per Million across the subtype samples.

87.6
FANTOM5 sample id Sample description Scaled Tags Per Million
Breast
Scaled Tags Per Million: 87.6
FF:10080-102A8 77 years, female 87.6

Contact

  • NEWS ARTICLES
  • PRESS ROOM

The Project

  • INTRODUCTION
  • ORGANIZATION
  • PUBLICATIONS

The Human Protein Atlas

  • DOWNLOADABLE DATA
  • LICENCE & CITATION
  • HELP & FAQ
The Human Protein Atlas project is funded
by the Knut & Alice Wallenberg Foundation.


contact@proteinatlas.org