We use cookies to enhance the usability of our website. If you continue, we'll assume that you are happy to receive all cookies. More information. Don't show this again.
AEBP1
HPA
RESOURCES
  • TISSUE
  • BRAIN
  • SINGLE CELL
  • SUBCELLULAR
  • CANCER
  • BLOOD
  • CELL LINE
  • STRUCTURE & INTERACTION
ABOUT
  • INTRODUCTION
  • HISTORY
  • ORGANIZATION
  • PUBLICATIONS
  • ANTIBODY SUBMISSION
  • ANTIBODY AVAILABILITY
  • ACKNOWLEDGMENTS
  • CONTACT
NEWS
  • NEWS ARTICLES
  • PRESS ROOM
LEARN
  • DICTIONARY
  • PROTEIN CLASSES
  • PROTEIN EVIDENCE
  • METHODS
  • EDUCATIONAL VIDEOS
DATA
  • DOWNLOADABLE DATA
  • PUBLICATION DATA
  • RELEASE HISTORY
HELP
  • ANTIBODY VALIDATION
  • ASSAYS & ANNOTATION
  • DISCLAIMER
  • HELP & FAQ
  • PRIVACY STATEMENT
  • LICENCE & CITATION
Fields »
Search result

Field
Term
Gene name
Class
Subclass
Class
Keyword
Chromosome
External id
Tissue
Cell type
Expression
Antibody panel
Tissue
Main location
Patient ID
Annotation
Tissue
Category
Tau score
Cluster
Reliability
Brain region
Category
Tau score
Brain region
Category
Tau score
Brain region
Category
Tau score
Cluster
Reliability
Tissue
Cell type
Enrichment
Cell type
Category
Tau score
Cell type
Category
Tau score
Cell type
Category
Tau score
Cell lineage
Category
Tau score
Cluster
Cluster
Location
Searches
Location
Cell line
Class
Type
Phase
Reliability
Cancer
Prognosis
Cancer
Category
Cancer
Category
Tau score
Cluster
Variants
Interacting gene (ensg_id)
Type
Number of interactions
Pathway
Category
Score
Score
Score
Validation
Validation
Validation
Validation
Antibodies
Data type
Column


  • SUMMARY

  • TISSUE

  • BRAIN

  • SINGLE CELL

  • SUBCELL

  • CANCER

  • BLOOD

  • CELL LINE

  • STRUCT & INT

  • AEBP1
TISSUE PRIMARY DATA SKIN Show tissue menu
ADIPOSE TISSUE ADRENAL GLAND AMYGDALA APPENDIX BASAL GANGLIA BONE MARROW BREAST BRONCHUS CEREBELLUM CEREBRAL CORTEX CERVIX CHOROID PLEXUS COLON DUODENUM
ENDOMETRIUM EPIDIDYMIS ESOPHAGUS FALLOPIAN TUBE GALLBLADDER HEART MUSCLE HIPPOCAMPAL FORMATION HYPOTHALAMUS KIDNEY LIVER LUNG LYMPH NODE MIDBRAIN NASOPHARYNX
ORAL MUCOSA OVARY PANCREAS PARATHYROID GLAND PITUITARY GLAND PLACENTA PROSTATE RECTUM RETINA SALIVARY GLAND SEMINAL VESICLE SKELETAL MUSCLE SKIN SMALL INTESTINE
SMOOTH MUSCLE SOFT TISSUE SPINAL CORD SPLEEN STOMACH TESTIS THYMUS THYROID GLAND TONGUE TONSIL URINARY BLADDER VAGINA
ANTIBODIES
AND
VALIDATION
Dictionary
Skin
Tissue proteome
Skin
SKIN - Expression summary
Protein expression
Skini

On the top, protein expression in current human tissue, based on all annotated cell types, is reported with the units not detected (n), low (l), medium (m) and high (h). Underneath, protein expression in each annotated cell type are reported using the same units.

Protein expression data is based on knowledge-based annotation. For genes where more than one antibody has been used, a collective score is set.

If knowledge-based annotation could not be performed for a gene, no data is displayed here. View antibody staining data further down this page.

h
m
l
n
Arrector pili muscle cells: Not detected
Cells in basal layer: Not detected
Cells in corneal layer: Not detected
Cells in granular layer: Not detected
Cells in spinous layer: Not detected
Endothelial cells: Low
Extracellular matrix: High
Fibrohistiocytic cells: Medium
Langerhans cells: Not detected
Lymphocytes: Not detected
Melanocytes: Not detected
Sebaceous glands: Not detected
Vascular mural cells: Not detected
RNA expressioni

A summary of mRNA expression data available for current tissue based on several datasets. The mRNA expression levels in human tissues are based on RNA-seq data generated by the Human Protein Atlas (HPA), Genotype-Tissue Expression (GTEx) portal and CAGE data generated by the FANTOM5 consortium. Consensus normalized expression levels for human tissues was created by combining the data from HPA and GTEx datasets.

The mRNA expression levels in pig are based on RNA-seq data generated by the Human Protein Atlas (HPA), and for mouse, HPA data and in situ hybridization generated by the Allen brain atlas are reported.

Scroll down to view mRNA expression data in more detail.
Consensus:82.0 nTPM
HPA:40.1 nTPM
GTEx:82.0 nTPM

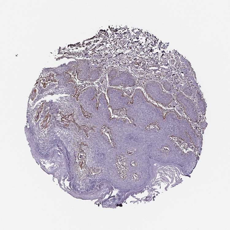
SKIN 1 - Antibody stainingi

Antibody staining in the annotated cell types in the current human tissue is reported as not detected, low, medium, or high, based on conventional immunohistochemistry profiling in selected tissues. This score is based on the combination of the staining intensity and fraction of stained cells.

Each image is clickable and will lead to virtual microscopy that enables deeper exploration of all samples and also displays staining intensity scores, fraction scores and subcellular localization as well as patient and tissue information for each sample.

Antibody HPA063595Antibody HPA064970Antibody CAB009966
Langerhans -LowLow
Arrector pili muscle cells Not detected--
Cells in basal layer Not detected--
Cells in corneal layer Not detected--
Cells in granular layer Not detected--
Cells in spinous layer Not detected--
Endothelial cells Not detected--
Extracellular matrix Medium--
Fibroblasts -Not detectedNot detected
Fibrohistiocytic cells Medium--
Keratinocytes -LowLow
Langerhans cells Not detected--
Lymphocytes Not detected--
Melanocytes Not detectedNot detectedNot detected
Sebaceous glands Not detected--
Vascular mural cells Not detected--





SKIN 2 - Antibody stainingi

Antibody staining in the annotated cell types in the current human tissue is reported as not detected, low, medium, or high, based on conventional immunohistochemistry profiling in selected tissues. This score is based on the combination of the staining intensity and fraction of stained cells.

Each image is clickable and will lead to virtual microscopy that enables deeper exploration of all samples and also displays staining intensity scores, fraction scores and subcellular localization as well as patient and tissue information for each sample.

Antibody HPA063595Antibody HPA064970Antibody CAB009966
Arrector pili muscle cells Not detected--
Cells in basal layer Not detected--
Cells in corneal layer Not detected--
Cells in granular layer Not detected--
Cells in spinous layer Not detected--
Endothelial cells Low--
Epidermal cells -LowNot detected
Extracellular matrix High--
Fibrohistiocytic cells Low--
Langerhans cells Not detected--
Lymphocytes Not detected--
Melanocytes Not detected--
Vascular mural cells Not detected--
   
   
   





SKIN - HPA RNA-seqi

The RNA-seq details section shows detailed information about the individual samples used for the transcript profiling and results of the RNA-seq analysis.

Information about each individual sample is listed below, including gender, age, a tissue section image and estimated fractions of cell types. nTPM (normalized transcripts per million) values give a quantification of the gene abundance which is comparable between different genes and samples.
Average nTPMi

Max subtype nTPM is the value for the subtype with the largest average nTPM across the subtype samples.

40.1
overview
Female, age 34
Skin sample 225
nTPM: 42.3
Cell types%
Keratinocytes:
60

Other cell types:
40

overview
Female, age 30
Skin sample 226
nTPM: 22.4
Cell types%
Keratinocytes:
55

Other cell types:
45

N/A
Male, age 57
Skin sample 227
nTPM: 55.5

SKIN - GTEx RNA-seqi

RNA-Seq data generated by the Genotype-Tissue Expression (GTEx) project from human tissues is reported as mean nTPM. More information can be found on the GTEx portal.

Distribution across the dataset is visualized with box plots, shown as median and 25th and 75th percentiles. Points are displayed as outliers if they are above or below 1.5 times the interquartile range. nTPM values of the individual samples are presented next to the box plot.
Max subtype nTPMi

Max subtype nTPM is the value for the subtype with the largest average nTPM across the subtype samples.

82.0
GTEx sample id Sample description nTPM
Skin - Not Sun Exposed (Suprapubic)
Average nTPM: 63.0
Samples: 604

Max nTPM: 414.3
Min nTPM: 6.7
Std nTPM: 42.0
Median nTPM: 53.1
GTEX-1QP29-1826-SM-DTX9S 50-59 years, male 414.3
GTEX-1JMOU-1026-SM-CYPSS 60-69 years, female 264.3
GTEX-18D9B-0926-SM-7LG4U 60-69 years, male 261.1
GTEX-13113-1626-SM-5EQ4I 60-69 years, female 243.2
GTEX-ZGAY-1826-SM-DO91Q 40-49 years, female 235.8
GTEX-WYVS-1626-SM-3NM9R 40-49 years, female 210.4
GTEX-1HC8U-1326-SM-9YFMJ 40-49 years, female 193.1
GTEX-ZLWG-0826-SM-59888 50-59 years, female 189.9
GTEX-14BMU-1226-SM-5S2OR 20-29 years, female 178.8
GTEX-WI4N-2726-SM-3LK7Y 40-49 years, female 176.6
GTEX-1F48J-0726-SM-7RHGS 50-59 years, female 175.2
GTEX-X4EP-0626-SM-3P621 60-69 years, female 174.7
GTEX-1IDJE-1426-SM-ADEIW 50-59 years, female 173.7
GTEX-15RJ7-2126-SM-6PAMD 40-49 years, male 173.2
GTEX-Y8LW-1526-SM-5IFHL 50-59 years, female 172.9
GTEX-WYBS-0626-SM-3NMAS 60-69 years, female 169.3
GTEX-1497J-0226-SM-5QGPU 60-69 years, male 167.6
GTEX-1A32A-0626-SM-731AQ 50-59 years, female 167.3
GTEX-1LBAC-0826-SM-CY8IJ 20-29 years, male 166.2
GTEX-13OVK-1426-SM-6PAN7 40-49 years, male 166.0
GTEX-X8HC-0626-SM-4E3HQ 50-59 years, female 165.5
GTEX-139YR-1026-SM-5LZYN 50-59 years, male 164.7
GTEX-1CAV2-0126-SM-7IGN7 40-49 years, female 163.8
GTEX-U8XE-0226-SM-4E3J3 30-39 years, male 158.9
GTEX-1IDJI-0126-SM-CMKHS 50-59 years, female 155.2
GTEX-14PK6-0226-SM-62LF5 70-79 years, female 154.3
GTEX-12WSL-2026-SM-5GCML 50-59 years, male 153.5
GTEX-1IDJD-2326-SM-ACKWX 30-39 years, male 153.4
GTEX-1399R-1326-SM-5PNYS 30-39 years, male 151.0
GTEX-X3Y1-2026-SM-3P5YM 40-49 years, male 150.5
GTEX-1EWIQ-0326-SM-7DHMQ 70-79 years, female 148.6
GTEX-1H3NZ-2726-SM-9WYTQ 60-69 years, male 147.8
GTEX-1117F-2926-SM-5GZYI 60-69 years, female 147.1
GTEX-13OVJ-0826-SM-5J1OK 50-59 years, female 141.2
GTEX-WHSE-0126-SM-3NMBT 20-29 years, male 140.9
GTEX-1LVAO-2726-SM-E9TJ8 60-69 years, male 140.5
GTEX-18A66-0626-SM-7LT8Z 60-69 years, male 140.2
GTEX-Y3IK-1626-SM-4YCF5 50-59 years, female 135.2
GTEX-145MN-1526-SM-5SI9T 30-39 years, male 133.1
GTEX-11EM3-1226-SM-5N9DD 20-29 years, female 133.0
GTEX-ZLFU-1826-SM-4WWBV 40-49 years, male 132.4
GTEX-WXYG-2026-SM-4E3IY 50-59 years, female 131.2
GTEX-14DAR-1226-SM-73KYV 50-59 years, male 130.8
GTEX-14E6C-2426-SM-5S2NF 40-49 years, male 129.3
GTEX-1JKYN-0826-SM-ARU8S 30-39 years, male 127.8
GTEX-145ME-1726-SM-5Q5EU 40-49 years, female 127.5
GTEX-16BQI-1326-SM-6M486 30-39 years, female 126.6
GTEX-ZYFG-1526-SM-5GZYM 60-69 years, female 126.4
GTEX-ZAK1-0626-SM-5HL8E 50-59 years, female 123.3
GTEX-15FZZ-0526-SM-7KUGD 30-39 years, female 123.1
GTEX-X5EB-1926-SM-4E3IW 40-49 years, male 122.5
GTEX-ZVP2-0326-SM-57WBP 50-59 years, male 121.4
GTEX-132AR-0326-SM-5KM2C 50-59 years, female 120.9
GTEX-ZZ64-1026-SM-5GZXG 20-29 years, male 119.5
GTEX-1R9PN-0426-SM-DTXDT 40-49 years, female 118.9
GTEX-1JN1M-2726-SM-CY8I4 60-69 years, female 116.9
GTEX-17EVQ-0126-SM-7IGLR 70-79 years, male 116.4
GTEX-1IDJC-1526-SM-B2LW4 50-59 years, male 116.3
GTEX-ZA64-1026-SM-5HL8R 20-29 years, male 116.1
GTEX-146FQ-2126-SM-5RQHU 30-39 years, male 114.2
GTEX-1A3MW-0626-SM-731CB 60-69 years, female 113.6
GTEX-1MCC2-1826-SM-DIPEX 30-39 years, female 113.3
GTEX-WEY5-2326-SM-3GIKK 40-49 years, female 112.4
GTEX-1H1CY-0126-SM-9YFLY 60-69 years, female 111.6
GTEX-ZTSS-1426-SM-5985P 40-49 years, male 110.4
GTEX-1QP66-1226-SM-DTX7U 50-59 years, male 110.4
GTEX-1GZHY-0626-SM-9KNVC 50-59 years, female 108.3
GTEX-1314G-1326-SM-5BC6E 30-39 years, male 108.2
GTEX-1IDJF-2026-SM-CL53V 20-29 years, male 107.6
GTEX-12WSH-1526-SM-5BC5W 50-59 years, male 107.3
GTEX-14A5H-0826-SM-5QGPJ 60-69 years, male 105.6
GTEX-1IKOE-1426-SM-CE6T7 30-39 years, female 105.0
GTEX-XBED-1926-SM-47JYP 60-69 years, male 104.7
GTEX-12584-0726-SM-5FQTK 40-49 years, male 104.1
GTEX-ZLV1-1526-SM-DO91J 60-69 years, female 104.1
GTEX-11ZTT-2126-SM-5CVLO 60-69 years, female 103.5
GTEX-1L5NE-1126-SM-D3L9P 50-59 years, male 103.4
GTEX-13X6H-0926-SM-5SIB2 50-59 years, female 100.1
GTEX-1AX9J-1326-SM-731BJ 60-69 years, male 100.1
GTEX-ZT9W-1126-SM-57WDR 50-59 years, male 99.7
GTEX-1HCU8-2526-SM-CE6RX 60-69 years, female 99.7
GTEX-1AX8Z-0726-SM-73KTS 60-69 years, male 99.6
GTEX-ZDYS-2426-SM-4WKGI 50-59 years, male 99.4
GTEX-XK95-0226-SM-4AT58 40-49 years, male 99.2
GTEX-1RLM8-2926-SM-E8VON 50-59 years, male 98.8
GTEX-ZF2S-1626-SM-57WES 50-59 years, female 97.2
GTEX-ZZPU-0826-SM-5GZX5 50-59 years, female 97.1
GTEX-YB5K-2026-SM-4VDT3 40-49 years, female 96.9
GTEX-ZP4G-1426-SM-4WWCL 20-29 years, female 96.9
GTEX-XYKS-1426-SM-4BRUO 60-69 years, female 96.8
GTEX-13FTW-0326-SM-5K7UW 40-49 years, male 96.6
GTEX-183FY-1026-SM-7939A 20-29 years, male 96.4
GTEX-1JMQL-2226-SM-CNPP4 50-59 years, female 96.4
GTEX-1S82P-2126-SM-E6CI5 60-69 years, female 95.7
GTEX-14JG6-1426-SM-9WG7C 30-39 years, female 95.6
GTEX-145LT-0526-SM-5LUB2 40-49 years, male 95.5
GTEX-13FH7-1126-SM-5K7UG 50-59 years, female 95.3
GTEX-1F75A-0726-SM-7RHHD 50-59 years, male 95.3
GTEX-1HCUA-0826-SM-ADEHM 50-59 years, female 94.5
GTEX-VJYA-1526-SM-3GIJV 60-69 years, male 94.1
GTEX-YJ8O-2526-SM-5HL85 40-49 years, female 93.8
GTEX-1F75W-2726-SM-7SB8H 60-69 years, male 93.2
GTEX-ZYFD-0626-SM-5E44E 50-59 years, male 92.5
GTEX-1I4MK-0126-SM-CY8G6 50-59 years, female 92.0
GTEX-1H1DF-1126-SM-9WG7G 40-49 years, female 91.3
GTEX-13VXT-1926-SM-5K7UO 20-29 years, female 90.8
GTEX-W5X1-2526-SM-3GILC 40-49 years, female 90.6
GTEX-1211K-1526-SM-5FQU4 60-69 years, female 90.5
GTEX-1KANC-1226-SM-CYPT7 50-59 years, female 90.5
GTEX-147F3-1726-SM-5SIAW 50-59 years, female 90.4
GTEX-17JCI-2926-SM-7DUFF 60-69 years, female 90.3
GTEX-1H23P-0626-SM-9WG6T 60-69 years, male 89.8
GTEX-1HKZK-0726-SM-ACKW2 40-49 years, male 89.8
GTEX-1CB4H-1126-SM-7MKGL 60-69 years, female 87.7
GTEX-11EI6-2826-SM-5H11D 60-69 years, male 87.4
GTEX-16MTA-0926-SM-6M47Z 50-59 years, male 87.4
GTEX-15CHQ-0326-SM-69LQD 60-69 years, male 86.9
GTEX-Y5LM-0926-SM-6LLJG 40-49 years, female 86.9
GTEX-1CAMR-1326-SM-7PC1F 20-29 years, male 86.9
GTEX-1EX96-1026-SM-7MKG2 50-59 years, male 86.6
GTEX-13QBU-1226-SM-5LU4G 40-49 years, female 86.5
GTEX-Y5V5-0126-SM-5S2NW 60-69 years, female 86.4
GTEX-1RAZR-2126-SM-E9U6T 40-49 years, male 86.2
GTEX-14PJO-2526-SM-6AJBQ 60-69 years, male 85.1
GTEX-15SHW-0226-SM-7LTAT 60-69 years, male 85.0
GTEX-11DZ1-2426-SM-5GZZX 50-59 years, male 84.9
GTEX-1HUB1-1426-SM-CGQF5 60-69 years, male 84.9
GTEX-11EQ8-0926-SM-5H12V 60-69 years, male 84.4
GTEX-XBEW-1126-SM-4QARW 40-49 years, male 84.4
GTEX-1MJK3-0726-SM-E6CJC 20-29 years, male 84.4
GTEX-1JMLX-0626-SM-ARL8T 50-59 years, male 84.1
GTEX-1C475-1326-SM-7SB73 40-49 years, female 83.5
GTEX-18D9U-0126-SM-731BM 40-49 years, male 83.4
GTEX-1QCLZ-2426-SM-EVYBW 60-69 years, female 83.0
GTEX-11VI4-1126-SM-5EQMD 40-49 years, female 82.5
GTEX-ZPU1-1126-SM-4YCF3 40-49 years, male 82.5
GTEX-ZVE2-2826-SM-5GU51 50-59 years, male 82.5
GTEX-13OVG-1626-SM-5J1NF 60-69 years, male 82.1
GTEX-WFG8-2126-SM-3GIKQ 20-29 years, male 81.8
GTEX-YF7O-1526-SM-5IFI6 50-59 years, male 81.8
GTEX-1GMR2-0826-SM-7PC3V 50-59 years, male 81.8
GTEX-1HSMQ-2626-SM-A9SML 50-59 years, male 81.7
GTEX-1S831-1826-SM-EWROF 20-29 years, male 81.3
GTEX-17F96-0126-SM-7EWDU 70-79 years, male 80.7
GTEX-1F88E-1626-SM-7SB8Z 60-69 years, female 80.7
GTEX-1HCU6-2526-SM-ADEHL 60-69 years, female 80.6
GTEX-12WSD-0626-SM-5GCMW 60-69 years, female 80.5
GTEX-16GPK-0626-SM-7KFSF 60-69 years, male 80.2
GTEX-11DYG-1526-SM-5A5JS 60-69 years, male 80.0
GTEX-14PKV-1126-SM-6LLJ1 20-29 years, female 79.8
GTEX-13U4I-2226-SM-5LU5H 40-49 years, female 79.4
GTEX-WH7G-2026-SM-3NMBL 40-49 years, male 79.1
GTEX-12BJ1-0926-SM-5EQ62 60-69 years, male 78.7
GTEX-13YAN-0226-SM-5TDC6 60-69 years, male 78.7
GTEX-13PVQ-0626-SM-5LU47 50-59 years, male 78.2
GTEX-WY7C-2126-SM-3NB2R 50-59 years, male 78.0
GTEX-ZYW4-0626-SM-59HJR 60-69 years, male 78.0
GTEX-12WSJ-1126-SM-5LZVJ 40-49 years, female 77.7
GTEX-ZVT2-0126-SM-5GIDQ 50-59 years, female 77.2
GTEX-1J8Q3-0526-SM-ARL8U 60-69 years, male 77.1
GTEX-1HSMO-0626-SM-ACKXC 60-69 years, male 76.9
GTEX-11NSD-0626-SM-5A5LU 20-29 years, male 76.6
GTEX-1PIGE-1826-SM-E8VOU 20-29 years, male 76.6
GTEX-WHPG-2626-SM-3NMBR 50-59 years, male 76.5
GTEX-1F6I4-2326-SM-7RHGL 60-69 years, male 76.5
GTEX-1A8FM-0626-SM-7PC25 50-59 years, female 76.2
GTEX-15EU6-2226-SM-6EU2L 50-59 years, male 75.8
GTEX-18A7A-0126-SM-731AH 50-59 years, female 75.4
GTEX-11O72-0626-SM-5PNYE 40-49 years, male 75.3
GTEX-XOT4-0626-SM-4B66L 60-69 years, female 75.2
GTEX-133LE-2326-SM-5K7W3 20-29 years, female 75.0
GTEX-XUW1-0926-SM-4BONX 50-59 years, female 74.9
GTEX-1GZ4H-0526-SM-9KNU9 50-59 years, female 74.5
GTEX-131YS-2826-SM-5EQ47 60-69 years, female 74.0
GTEX-14PKU-0126-SM-6LLHV 40-49 years, female 74.0
GTEX-18D9A-1426-SM-7LT8M 30-39 years, female 73.4
GTEX-15D1Q-2826-SM-6LLH7 40-49 years, male 73.3
GTEX-XV7Q-1826-SM-4BRUV 40-49 years, female 73.2
GTEX-14E6E-0526-SM-793DN 30-39 years, male 72.6
GTEX-14AS3-1526-SM-5Q5ED 40-49 years, female 72.4
GTEX-1LG7Z-1626-SM-CXKYR 30-39 years, male 72.3
GTEX-1ICLZ-0326-SM-ARL82 60-69 years, male 72.1
GTEX-111FC-2526-SM-5GZXU 60-69 years, male 71.9
GTEX-17F9E-2326-SM-79OKD 50-59 years, male 71.9
GTEX-15DYW-2726-SM-6EU2I 60-69 years, female 71.7
GTEX-18A7B-2726-SM-7LG56 70-79 years, male 71.7
GTEX-11DXW-0826-SM-5H118 40-49 years, male 71.5
GTEX-117YX-1926-SM-5GIEC 50-59 years, male 71.2
GTEX-11P81-2226-SM-5PNYI 30-39 years, female 71.2
GTEX-13JUV-2026-SM-5K7UA 40-49 years, female 71.0
GTEX-12ZZZ-0726-SM-5GCNZ 60-69 years, male 70.8
GTEX-147JS-0226-SM-5S2U9 60-69 years, male 70.6
GTEX-WFON-1926-SM-3LK7L 40-49 years, male 70.6
GTEX-12C56-1526-SM-5FQUQ 20-29 years, male 70.5
GTEX-13OW5-2326-SM-5L3HO 60-69 years, male 69.9
GTEX-17F97-2626-SM-7IGM5 50-59 years, male 69.8
GTEX-1F75I-2226-SM-7SB8U 40-49 years, male 69.6
GTEX-1B97I-0626-SM-73KUZ 40-49 years, male 69.5
GTEX-1I1CD-0626-SM-CE6SW 60-69 years, female 69.5
GTEX-1F75B-0726-SM-7PC3R 50-59 years, male 68.8
GTEX-15G1A-1626-SM-7KUKN 30-39 years, male 68.7
GTEX-1I6K6-1726-SM-CGQFD 30-39 years, male 68.7
GTEX-139D8-1126-SM-5LU8W 30-39 years, female 68.4
GTEX-17MF6-2626-SM-79OKQ 40-49 years, male 68.4
GTEX-1IY9M-2826-SM-ARU8H 60-69 years, male 68.4
GTEX-1GZ2Q-0126-SM-9WG6M 40-49 years, male 68.0
GTEX-ZVTK-0226-SM-51MRG 20-29 years, male 67.8
GTEX-11WQK-1026-SM-5EQLX 50-59 years, male 67.5
GTEX-X585-2426-SM-46MW2 50-59 years, male 67.4
GTEX-1J8QM-2426-SM-A9SLS 60-69 years, female 67.3
GTEX-17F9Y-0126-SM-79OKX 70-79 years, female 67.0
GTEX-ZDTS-0826-SM-4WKHL 60-69 years, male 66.8
GTEX-ZUA1-2626-SM-5NQ92 40-49 years, male 66.8
GTEX-11P7K-1126-SM-5HL4L 30-39 years, male 66.5
GTEX-13O61-1426-SM-5KM3D 60-69 years, male 66.5
GTEX-17HG3-2626-SM-7DUF2 30-39 years, female 66.5
GTEX-ZPIC-0526-SM-DO91W 40-49 years, female 66.4
GTEX-144GM-0526-SM-79OJO 20-29 years, male 66.1
GTEX-12126-0826-SM-5FQTZ 20-29 years, male 65.6
GTEX-1B8KE-1126-SM-7EPHI 50-59 years, male 65.1
GTEX-X4EO-2926-SM-4E3JH 60-69 years, female 64.9
GTEX-145MG-1526-SM-5Q5EM 50-59 years, male 64.6
GTEX-178AV-1726-SM-7KUL8 40-49 years, male 64.6
GTEX-ZAJG-1526-SM-5CVML 50-59 years, female 64.6
GTEX-18QFQ-1826-SM-72D52 30-39 years, male 64.5
GTEX-145MO-2826-SM-5LU96 60-69 years, male 64.3
GTEX-12WSF-1626-SM-7KUG5 70-79 years, male 63.8
GTEX-17HGU-2326-SM-7DUFE 50-59 years, male 63.8
GTEX-ZDXO-3126-SM-5IJDF 60-69 years, male 63.7
GTEX-1F6IF-0926-SM-7SB7M 60-69 years, male 63.1
GTEX-17F98-1326-SM-7DUEP 40-49 years, female 63.0
GTEX-ZAB4-2126-SM-5HL8U 40-49 years, male 63.0
GTEX-ZC5H-1526-SM-5HL9Y 40-49 years, female 63.0
GTEX-1GF9U-2026-SM-7SB92 40-49 years, female 62.1
GTEX-1J8JJ-0626-SM-ARZMQ 60-69 years, female 61.5
GTEX-1HBPM-0726-SM-9YFL7 60-69 years, female 61.4
GTEX-145LS-0626-SM-7EPG7 60-69 years, female 60.7
GTEX-1GMRU-2126-SM-7P8RA 50-59 years, male 60.7
GTEX-1KANA-1326-SM-DIPFA 20-29 years, male 60.7
GTEX-144FL-0626-SM-5LU43 50-59 years, male 60.6
GTEX-15UF6-1926-SM-7KUDV 70-79 years, female 60.5
GTEX-15CHC-1126-SM-6LLHQ 60-69 years, female 60.4
GTEX-111CU-1126-SM-5EGIM 50-59 years, male 60.3
GTEX-139T8-0626-SM-5KLZX 60-69 years, male 60.2
GTEX-1GTWX-2026-SM-9YFLM 60-69 years, male 60.0
GTEX-1GF9W-1426-SM-7PBYM 60-69 years, male 59.9
GTEX-WRHU-2826-SM-3MJG8 50-59 years, female 59.8
GTEX-1R7EU-1626-SM-DTXG3 60-69 years, male 59.7
GTEX-1477Z-0326-SM-7IGLA 60-69 years, male 59.6
GTEX-ZVE1-0726-SM-51MRN 50-59 years, female 59.6
GTEX-1LGOU-1326-SM-D3L8M 20-29 years, female 59.4
GTEX-1GPI7-1826-SM-9KNU1 20-29 years, male 59.0
GTEX-1RB15-1326-SM-E76Q9 60-69 years, male 59.0
GTEX-1R9K4-2826-SM-DTX8F 60-69 years, male 58.5
GTEX-Y8E4-2026-SM-5IFJB 40-49 years, male 58.4
GTEX-ZYFC-0426-SM-5GICQ 50-59 years, male 58.4
GTEX-1A3MX-2626-SM-7PC24 60-69 years, male 58.4
GTEX-Y3I4-1726-SM-4TT89 50-59 years, male 58.3
GTEX-16MT9-0126-SM-7EPI8 60-69 years, female 58.2
GTEX-11P82-1426-SM-DTXFY 20-29 years, male 58.1
GTEX-1QEPI-2626-SM-DTXF4 60-69 years, female 58.1
GTEX-ZU9S-1826-SM-5NQ9E 30-39 years, male 58.0
GTEX-1K2DU-1226-SM-CYPT4 20-29 years, male 58.0
GTEX-16NGA-0726-SM-731AO 40-49 years, female 57.7
GTEX-Y114-2126-SM-4TT8B 50-59 years, female 57.6
GTEX-1HFI7-2326-SM-CGQFS 50-59 years, female 57.4
GTEX-13N2G-0226-SM-5K7VF 60-69 years, male 57.3
GTEX-1JMPZ-0726-SM-CY8HZ 30-39 years, male 57.3
GTEX-1AX9I-2226-SM-73KUO 60-69 years, male 57.2
GTEX-1B996-0426-SM-7EWF8 60-69 years, male 57.1
GTEX-1H1ZS-2726-SM-9WG75 70-79 years, male 57.1
GTEX-15ER7-0626-SM-6PANF 20-29 years, female 57.0
GTEX-183WM-0326-SM-72D5V 70-79 years, female 57.0
GTEX-15RIE-1926-SM-7KUKJ 60-69 years, male 56.6
GTEX-1LVAN-0626-SM-CNPOQ 50-59 years, female 56.5
GTEX-11EQ9-1626-SM-5PNY8 30-39 years, male 56.4
GTEX-1HSKV-1226-SM-ADEI4 60-69 years, male 56.4
GTEX-17HHY-0426-SM-7DHLC 50-59 years, male 56.3
GTEX-1F52S-2926-SM-7MKGA 60-69 years, female 56.2
GTEX-13FTX-1526-SM-5K7VJ 20-29 years, female 56.1
GTEX-17HII-1426-SM-7EPGG 50-59 years, male 56.0
GTEX-1ICG6-1226-SM-A9SLN 70-79 years, female 56.0
GTEX-1F5PL-0926-SM-7PC2W 40-49 years, female 55.6
GTEX-131XW-0626-SM-5PNVD 50-59 years, female 55.4
GTEX-14PJ2-0626-SM-6LLII 50-59 years, male 55.4
GTEX-XXEK-1626-SM-4BRUZ 50-59 years, male 55.4
GTEX-13N11-2326-SM-5IJBF 50-59 years, female 55.3
GTEX-1B933-2426-SM-7DHMD 50-59 years, female 55.0
GTEX-1I1GP-1326-SM-A9G28 50-59 years, male 55.0
GTEX-13O3O-2326-SM-5IJD6 60-69 years, female 54.9
GTEX-1GL5R-1326-SM-7RHHF 50-59 years, male 54.8
GTEX-13OW8-1026-SM-5J1NQ 60-69 years, male 54.7
GTEX-14E1K-2026-SM-7DUEI 50-59 years, male 54.5
GTEX-1HFI6-0126-SM-CNPPI 40-49 years, male 54.2
GTEX-13X6I-1826-SM-5SIAO 60-69 years, male 54.0
GTEX-11WQC-1826-SM-5GU59 60-69 years, male 53.9
GTEX-13N1W-2426-SM-5IJD1 70-79 years, male 53.9
GTEX-131XG-0326-SM-5L3DX 50-59 years, female 53.8
GTEX-1I19N-0126-SM-CYPSF 70-79 years, male 53.6
GTEX-YEC3-1326-SM-DO92X 50-59 years, male 53.3
GTEX-13FHO-0426-SM-5L3F5 60-69 years, male 53.2
GTEX-14PJN-1826-SM-6AJ98 30-39 years, male 53.2
GTEX-XBEC-0726-SM-4QARZ 50-59 years, male 52.9
GTEX-1JMQI-1726-SM-ARL93 50-59 years, male 52.9
GTEX-XQ8I-0926-SM-4BOOF 50-59 years, male 52.7
GTEX-1AMFI-1326-SM-7939R 50-59 years, female 52.6
GTEX-12WSK-2126-SM-5CVNC 40-49 years, female 52.5
GTEX-ZE7O-2726-SM-51MT5 50-59 years, female 52.3
GTEX-1KWVE-1026-SM-D3L9O 30-39 years, male 52.3
GTEX-1EU9M-1426-SM-793AI 60-69 years, male 52.1
GTEX-1CB4F-1026-SM-7DUH1 60-69 years, male 51.9
GTEX-1S82U-1026-SM-E6CJK 30-39 years, female 51.8
GTEX-14PJ6-2626-SM-6EU2T 60-69 years, female 51.6
GTEX-1RAZA-2226-SM-E9U4X 20-29 years, male 51.6
GTEX-13IVO-0726-SM-5LZYV 70-79 years, male 51.2
GTEX-16NPX-0726-SM-7KULC 50-59 years, male 51.1
GTEX-ZT9X-1526-SM-5DUXD 40-49 years, male 50.8
GTEX-14XAO-1226-SM-6EU1C 60-69 years, female 50.4
GTEX-1I6K7-1926-SM-B2LXR 40-49 years, male 50.3
GTEX-1LSNM-0826-SM-DIPG8 50-59 years, male 50.3
GTEX-14LZ3-0126-SM-69LPM 60-69 years, female 50.2
GTEX-11TT1-1826-SM-5EQLV 20-29 years, male 49.9
GTEX-1HCU9-0426-SM-9WYSD 20-29 years, male 49.7
GTEX-1QP28-1126-SM-EVYC4 50-59 years, female 49.7
GTEX-1AYD5-2626-SM-7PBXY 50-59 years, male 49.3
GTEX-15G19-2426-SM-7KUMR 60-69 years, male 49.2
GTEX-14C38-0726-SM-5SI6M 50-59 years, male 48.9
GTEX-14PJ3-1126-SM-5ZZVX 50-59 years, male 48.9
GTEX-13X6J-0626-SM-5LU5F 50-59 years, male 48.5
GTEX-11DXX-2126-SM-5PNYR 60-69 years, female 48.4
GTEX-1B8KZ-0326-SM-73KY4 50-59 years, male 48.4
GTEX-1JMQK-1226-SM-D4P2S 60-69 years, male 48.4
GTEX-16AAH-0626-SM-793C9 50-59 years, male 48.2
GTEX-11GSP-2326-SM-5HL63 60-69 years, female 48.1
GTEX-1QP9N-1226-SM-E76QN 30-39 years, male 48.1
GTEX-1OJC3-1226-SM-DTXER 20-29 years, male 47.9
GTEX-1QPFJ-1926-SM-EVYBD 30-39 years, female 47.8
GTEX-YEC4-1826-SM-4W1YP 40-49 years, male 47.7
GTEX-131XF-2626-SM-5EQ6K 60-69 years, male 47.2
GTEX-139TU-0726-SM-5L3EK 60-69 years, male 47.2
GTEX-1EN7A-2426-SM-793DB 40-49 years, male 47.2
GTEX-1POEN-2326-SM-E9J2L 30-39 years, female 47.1
GTEX-14PHY-1226-SM-5ZZWK 60-69 years, female 47.0
GTEX-1E1VI-0326-SM-793D1 50-59 years, male 47.0
GTEX-11DXY-0126-SM-5H11Q 60-69 years, male 46.9
GTEX-1N2EE-0626-SM-E76PW 60-69 years, male 46.9
GTEX-1O9I2-0226-SM-EYYXD 50-59 years, male 46.8
GTEX-XPVG-2126-SM-4B667 50-59 years, male 46.7
GTEX-131XH-0126-SM-5LZUY 50-59 years, male 46.6
GTEX-11LCK-2226-SM-5HL4Q 30-39 years, male 46.5
GTEX-1KAFJ-0126-SM-DIPEK 50-59 years, male 46.2
GTEX-ZXG5-2126-SM-59HKD 60-69 years, male 46.1
GTEX-11GS4-0226-SM-5HL77 60-69 years, male 45.8
GTEX-12KS4-2126-SM-5FQUT 30-39 years, male 45.4
GTEX-1C2JI-1026-SM-73KY1 50-59 years, male 44.9
GTEX-1A3MV-1826-SM-731CD 30-39 years, male 44.8
GTEX-14PHX-2226-SM-6EU2P 50-59 years, male 44.7
GTEX-16Z82-2626-SM-7KULU 60-69 years, male 44.7
GTEX-1H1DG-2426-SM-9QEHJ 70-79 years, male 44.6
GTEX-1JJ6O-2726-SM-CNPOG 60-69 years, male 44.6
GTEX-UPK5-0426-SM-3GAEK 40-49 years, male 44.5
GTEX-1EMGI-2326-SM-7PBYA 60-69 years, male 44.5
GTEX-1LSVX-2526-SM-DIPEU 60-69 years, male 44.5
GTEX-16XZZ-0726-SM-7KUF2 60-69 years, male 44.3
GTEX-VUSG-2326-SM-4KL1U 50-59 years, male 44.3
GTEX-WK11-2726-SM-3NMAQ 50-59 years, male 44.3
GTEX-1CB4J-1326-SM-7P8RX 60-69 years, male 44.3
GTEX-16YQH-2226-SM-7IGM2 30-39 years, male 44.1
GTEX-WYJK-0526-SM-3NM8Z 50-59 years, male 44.1
GTEX-ZF29-0926-SM-4WKFZ 60-69 years, female 44.1
GTEX-1GN1W-2426-SM-9KNUU 50-59 years, female 44.1
GTEX-1HSGN-0826-SM-ACKW3 40-49 years, female 44.1
GTEX-13NZ9-2626-SM-5L3FK 50-59 years, male 44.0
GTEX-1BAJH-2426-SM-7IGP8 70-79 years, male 44.0
GTEX-1HBPI-2126-SM-ARL9K 50-59 years, male 43.9
GTEX-1JN6P-2926-SM-CL54D 60-69 years, male 43.8
GTEX-YFCO-1226-SM-5LUAT 40-49 years, male 43.5
GTEX-1K2DA-1026-SM-CGQGF 50-59 years, male 43.5
GTEX-1GN1U-0626-SM-9MQL9 50-59 years, female 43.3
GTEX-1C64O-1326-SM-7MGWR 60-69 years, male 43.2
GTEX-1192X-2726-SM-5N9DN 50-59 years, male 43.1
GTEX-13X6K-0626-SM-5LU5D 60-69 years, female 43.1
GTEX-1KXAM-1626-SM-D3LAD 60-69 years, male 43.1
GTEX-11DXZ-2026-SM-5987S 50-59 years, male 43.0
GTEX-13PVR-0426-SM-5RQK2 60-69 years, female 42.9
GTEX-14DAQ-0626-SM-793DS 60-69 years, female 42.9
GTEX-WFG7-2026-SM-5SI7P 20-29 years, male 42.8
GTEX-13SLX-2226-SM-62LEP 50-59 years, female 42.7
GTEX-1N5O9-0926-SM-E9J3C 60-69 years, male 42.7
GTEX-1EKGG-0626-SM-7DUGJ 60-69 years, male 42.3
GTEX-XAJ8-1426-SM-47JYM 40-49 years, male 42.1
GTEX-1E2YA-2126-SM-7MXUO 50-59 years, male 42.0
GTEX-1IDFM-0326-SM-ARL7V 60-69 years, male 41.9
GTEX-13OVL-0126-SM-5L3GJ 50-59 years, male 41.8
GTEX-1CB4I-0126-SM-7RHGG 50-59 years, male 41.7
GTEX-1ICLY-0826-SM-CMKG1 50-59 years, male 41.6
GTEX-1KD5A-0126-SM-E9U54 50-59 years, male 41.5
GTEX-13OW6-2726-SM-5J2OE 50-59 years, male 41.3
GTEX-1J1R8-2026-SM-CL53Y 40-49 years, male 41.2
GTEX-139TS-2126-SM-5K7XC 60-69 years, male 40.7
GTEX-16MT8-2926-SM-7DUFO 60-69 years, female 40.2
GTEX-1C6WA-2626-SM-7MKGM 60-69 years, male 40.2
GTEX-1K9T9-1526-SM-DIPFR 50-59 years, female 40.2
GTEX-11UD2-2526-SM-5CVNU 50-59 years, male 40.1
GTEX-13NYC-0126-SM-5L3F4 60-69 years, male 40.1
GTEX-1PBJJ-1026-SM-E76OS 30-39 years, male 40.1
GTEX-1LSNL-2726-SM-E9TKJ 50-59 years, male 40.0
GTEX-ZF3C-0626-SM-DO92O 50-59 years, female 39.8
GTEX-18A6Q-0626-SM-7KFRP 60-69 years, male 39.6
GTEX-1GMR3-0126-SM-A9SLW 40-49 years, male 39.6
GTEX-15CHR-1126-SM-7EWF4 50-59 years, male 39.3
GTEX-14PJ5-1526-SM-6LLIL 60-69 years, female 39.2
GTEX-1CB4E-0926-SM-7EPHT 60-69 years, male 39.1
GTEX-13NYB-0126-SM-5J1MD 40-49 years, male 39.0
GTEX-1H2FU-0926-SM-9WPPT 60-69 years, female 39.0
GTEX-15SKB-2826-SM-6PAMH 60-69 years, male 38.9
GTEX-17MFQ-1526-SM-7KFRR 20-29 years, male 38.8
GTEX-ZVT4-2426-SM-5GIEI 50-59 years, female 38.8
GTEX-13RTJ-0126-SM-5S2NN 60-69 years, male 38.7
GTEX-15EO6-2426-SM-6PALZ 50-59 years, male 38.5
GTEX-1A8G6-2726-SM-731AR 60-69 years, male 38.4
GTEX-WHWD-1826-SM-3LK6I 50-59 years, male 38.4
GTEX-1GMR8-0626-SM-7RHI7 50-59 years, female 38.4
GTEX-1QMI2-2526-SM-E8VNZ 60-69 years, male 38.4
GTEX-1S5ZU-2526-SM-E6CIF 20-29 years, female 38.3
GTEX-1IDJU-1726-SM-CMKHU 60-69 years, female 38.2
GTEX-14JG1-1526-SM-5YY9X 40-49 years, male 38.0
GTEX-1HB9E-0126-SM-CM2S5 50-59 years, male 37.8
GTEX-13NYS-0626-SM-5L3F1 60-69 years, male 37.7
GTEX-1B8SF-0126-SM-7DUG3 60-69 years, male 37.7
GTEX-ZTX8-1326-SM-4YCEL 20-29 years, male 37.7
GTEX-13OW7-0426-SM-5K7VK 50-59 years, male 37.5
GTEX-14B4R-1326-SM-5Q5EZ 30-39 years, male 37.5
GTEX-XQ3S-1426-SM-4BOPR 20-29 years, male 37.4
GTEX-1122O-1026-SM-9WYSF 60-69 years, female 37.2
GTEX-1AMEY-0826-SM-72D65 30-39 years, female 37.0
GTEX-17KNJ-2126-SM-718AM 50-59 years, male 36.8
GTEX-1JK1U-0226-SM-ARZMX 60-69 years, male 36.6
GTEX-1B932-2326-SM-79OL5 40-49 years, female 36.5
GTEX-1IDJH-0126-SM-D3L92 70-79 years, male 36.5
GTEX-18465-2826-SM-7LT9J 50-59 years, male 36.4
GTEX-13W3W-0726-SM-5IJDQ 60-69 years, female 36.3
GTEX-1RAZQ-1326-SM-E9TK6 30-39 years, male 36.2
GTEX-15RIG-0726-SM-7KUM7 40-49 years, male 36.1
GTEX-Z93S-1626-SM-5CVMB 50-59 years, male 35.9
GTEX-1M4P7-0726-SM-E6CJ3 60-69 years, male 35.9
GTEX-13D11-0926-SM-5J2NC 50-59 years, female 35.7
GTEX-ZPCL-1126-SM-4WWFE 60-69 years, female 35.7
GTEX-14LLW-2626-SM-62LDZ 70-79 years, female 35.4
GTEX-UPJH-0226-SM-3GADV 50-59 years, male 35.4
GTEX-1I1GS-2626-SM-B2LY3 60-69 years, male 35.4
GTEX-Y5V6-2326-SM-4VDSA 60-69 years, male 35.3
GTEX-14ABY-2026-SM-62LDL 50-59 years, male 35.2
GTEX-1JKYR-0626-SM-ARL8R 20-29 years, male 35.2
GTEX-1QAET-0326-SM-EVR3U 50-59 years, male 35.2
GTEX-1KANB-2826-SM-CY8I6 50-59 years, male 35.1
GTEX-147F4-0726-SM-5TDDD 50-59 years, male 34.9
GTEX-11NUK-2726-SM-5A5MC 50-59 years, male 34.8
GTEX-1HSMP-0926-SM-A9SKX 70-79 years, male 34.8
GTEX-1IDJV-0126-SM-COH3Y 60-69 years, male 34.6
GTEX-148VJ-0626-SM-5LUAW 70-79 years, male 34.4
GTEX-1PPH7-1126-SM-DTX9A 40-49 years, male 34.4
GTEX-ZY6K-1426-SM-5GZX2 50-59 years, male 34.3
GTEX-14JFF-0626-SM-5ZZVT 60-69 years, male 34.3
GTEX-14BIN-1126-SM-5RQJZ 50-59 years, female 34.0
GTEX-1H1E6-0426-SM-9WYUS 30-39 years, male 34.0
GTEX-1S3DN-2126-SM-E9TIN 50-59 years, male 33.7
GTEX-ZTTD-2826-SM-4YCFA 50-59 years, male 33.6
GTEX-1PIIG-2326-SM-DTXFR 30-39 years, male 33.6
GTEX-1PPH8-0126-SM-EWRN8 20-29 years, male 33.3
GTEX-1JMQJ-0826-SM-CNPP7 50-59 years, male 33.2
GTEX-139TT-2126-SM-5LZWC 60-69 years, male 33.0
GTEX-1C64N-2626-SM-7PC2N 50-59 years, male 33.0
GTEX-13O3Q-0126-SM-5KM34 50-59 years, male 32.9
GTEX-1LB8K-0726-SM-D5OV2 50-59 years, male 32.8
GTEX-1I1GU-0926-SM-ACKVS 40-49 years, male 32.7
GTEX-1IL2V-1926-SM-B2LW8 70-79 years, male 32.6
GTEX-1N2DV-1526-SM-DTXEP 40-49 years, male 32.2
GTEX-1H3VE-0726-SM-9YFL5 40-49 years, male 31.9
GTEX-139UW-0326-SM-5J1ML 60-69 years, male 31.8
GTEX-1GN2E-0226-SM-9WG6K 60-69 years, male 31.7
GTEX-1GF9X-1326-SM-7PC2Y 40-49 years, female 31.6
GTEX-1H4P4-2126-SM-9WYSL 50-59 years, male 31.6
GTEX-1J8Q2-2626-SM-ACKWQ 60-69 years, male 31.6
GTEX-12ZZY-0726-SM-5EQ66 60-69 years, male 31.5
GTEX-17EVP-2626-SM-7IGMA 40-49 years, male 31.5
GTEX-1H11D-1826-SM-9QEHM 40-49 years, male 31.5
GTEX-1IKJJ-2226-SM-CJI4C 60-69 years, male 31.5
GTEX-14ICL-1626-SM-5YYAO 30-39 years, male 31.3
GTEX-ZYVF-0926-SM-5E44J 50-59 years, female 31.2
GTEX-12696-0126-SM-5EQ4L 60-69 years, male 31.0
GTEX-1H3O1-1326-SM-9MQLD 60-69 years, male 31.0
GTEX-11OF3-0126-SM-5PNYF 60-69 years, male 30.9
GTEX-111YS-1526-SM-5GZYW 60-69 years, male 30.8
GTEX-1LGRB-0926-SM-COH3K 50-59 years, female 30.8
GTEX-1NSGN-0726-SM-DTXEF 50-59 years, male 30.8
GTEX-1HCVE-2726-SM-CL54F 50-59 years, male 30.7
GTEX-145MF-0926-SM-5Q5EA 50-59 years, male 30.6
GTEX-14C5O-0326-SM-5ZZUX 60-69 years, male 30.4
GTEX-1A8G7-1326-SM-73KVM 60-69 years, male 30.4
GTEX-12ZZX-2426-SM-5GCOE 40-49 years, female 30.3
GTEX-13VXU-0626-SM-5L3F9 50-59 years, male 30.3
GTEX-14PJ4-0226-SM-5YY92 60-69 years, male 30.2
GTEX-13FTY-2126-SM-5IFFB 40-49 years, female 30.0
GTEX-1212Z-0126-SM-59HK4 60-69 years, male 29.8
GTEX-1H1DE-1326-SM-9KNUG 20-29 years, male 29.6
GTEX-1JN76-0626-SM-CKZOQ 20-29 years, female 29.2
GTEX-1RMOY-1326-SM-E9TIH 50-59 years, male 29.1
GTEX-13FLV-0126-SM-5K7WT 50-59 years, male 29.0
GTEX-15DDE-2926-SM-6LLJ3 50-59 years, female 29.0
GTEX-13PDP-0726-SM-5L3HP 60-69 years, male 28.8
GTEX-1IE54-1126-SM-A9G2Z 40-49 years, female 28.6
GTEX-1LVA9-2626-SM-EVYD4 50-59 years, male 28.6
GTEX-12WSC-2826-SM-5BC5Y 50-59 years, male 28.2
GTEX-1PDJ9-1226-SM-EXUSX 20-29 years, male 28.1
GTEX-15RJE-2826-SM-7KUM9 40-49 years, male 27.9
GTEX-ZDTT-0426-SM-4WKFL 60-69 years, male 27.9
GTEX-1I1HK-2326-SM-CKZOH 60-69 years, male 27.8
GTEX-V1D1-2026-SM-3GAF4 50-59 years, male 27.5
GTEX-1F88F-0126-SM-9WYSZ 60-69 years, female 27.5
GTEX-1C6VQ-1226-SM-73KYD 50-59 years, male 27.4
GTEX-11TUW-0626-SM-5LU9M 60-69 years, male 27.3
GTEX-1399U-1126-SM-5L3DB 50-59 years, female 27.3
GTEX-11ZU8-0126-SM-5EQ58 60-69 years, male 27.1
GTEX-14BMV-2826-SM-5TDED 50-59 years, male 27.1
GTEX-1JJE9-2626-SM-ARZMT 70-79 years, male 27.0
GTEX-ZWKS-0626-SM-5GIDV 30-39 years, male 26.8
GTEX-1J8EW-2726-SM-CY8HR 60-69 years, female 26.8
GTEX-1I1GV-0626-SM-ARL7M 60-69 years, male 26.7
GTEX-1HGF4-0126-SM-CNPPX 60-69 years, male 26.5
GTEX-1IOXB-2726-SM-CM2RI 50-59 years, male 26.5
GTEX-145LU-1926-SM-79OJN 50-59 years, male 26.3
GTEX-1GF9V-0826-SM-9KNUV 60-69 years, male 26.3
GTEX-144GO-2026-SM-5O99P 60-69 years, male 26.2
GTEX-1R9PM-1926-SM-EVR3O 20-29 years, male 26.2
GTEX-1CAMQ-1326-SM-7P8RV 40-49 years, male 26.1
GTEX-13G51-1826-SM-5KLZH 60-69 years, male 26.0
GTEX-12WSA-0426-SM-5EQ5X 60-69 years, male 25.9
GTEX-XMD2-2126-SM-4YCF8 60-69 years, female 24.9
GTEX-1HR98-2226-SM-ADEI2 60-69 years, male 24.8
GTEX-1QW4Y-1126-SM-DTXE3 30-39 years, male 24.7
GTEX-13PL6-1126-SM-5L3IE 40-49 years, female 24.4
GTEX-1EH9U-2826-SM-7DUGT 60-69 years, male 24.3
GTEX-13NZ8-1226-SM-5KM4A 60-69 years, female 24.0
GTEX-145MH-2826-SM-5RQJF 50-59 years, male 24.0
GTEX-1F6RS-2026-SM-7RHHC 60-69 years, female 24.0
GTEX-13112-0126-SM-5P9IU 50-59 years, male 23.9
GTEX-1313W-0626-SM-5EQ4H 50-59 years, female 23.7
GTEX-144GL-0626-SM-5LU4D 50-59 years, male 23.7
GTEX-145MI-0626-SM-5SI8S 60-69 years, female 23.5
GTEX-1RAZS-2526-SM-E6CHT 50-59 years, male 23.5
GTEX-1QCLY-0226-SM-EWRNH 30-39 years, male 23.1
GTEX-1GN73-0726-SM-7P8TJ 60-69 years, male 22.8
GTEX-14753-0726-SM-5QGQO 60-69 years, male 22.7
GTEX-1LKK1-2626-SM-DKPQE 50-59 years, female 22.5
GTEX-14PII-0726-SM-6EU2B 60-69 years, male 22.4
GTEX-1CAMS-2226-SM-7PBXQ 40-49 years, female 22.3
GTEX-1HCU7-0726-SM-A9SL1 50-59 years, male 22.3
GTEX-1HBPN-0126-SM-CGQEF 50-59 years, male 22.2
GTEX-1JMPY-0226-SM-CKZOK 30-39 years, male 22.0
GTEX-1GZ4I-2626-SM-9KNU3 50-59 years, male 21.9
GTEX-14A6H-2026-SM-5Q5DD 30-39 years, male 20.9
GTEX-Y111-0626-SM-4SOIT 50-59 years, male 20.9
GTEX-17HHE-1326-SM-7EWDZ 50-59 years, male 20.3
GTEX-1OJC4-2726-SM-E76PJ 50-59 years, female 20.3
GTEX-ZYY3-2926-SM-5GIEB 60-69 years, female 20.2
GTEX-1PPGY-1626-SM-EVYBL 60-69 years, male 20.0
GTEX-14C39-1726-SM-5RQIL 40-49 years, male 19.8
GTEX-12WSM-1926-SM-5BC65 60-69 years, male 19.6
GTEX-1F5PK-2226-SM-7SB6N 50-59 years, male 19.6
GTEX-YECK-0326-SM-4W1YS 60-69 years, male 19.4
GTEX-13OVH-0526-SM-5L3E6 70-79 years, male 19.3
GTEX-1I1GT-1026-SM-ARZLV 60-69 years, female 19.2
GTEX-111VG-1626-SM-5EGIO 60-69 years, male 19.0
GTEX-13JVG-0726-SM-5KM16 60-69 years, male 19.0
GTEX-WHSB-1326-SM-3LK6W 50-59 years, male 18.9
GTEX-1269C-0126-SM-5EQ5L 60-69 years, female 18.8
GTEX-1JJEA-1826-SM-ARU8P 60-69 years, male 18.2
GTEX-1MCYP-0526-SM-E9U6Q 20-29 years, female 18.1
GTEX-1C6VR-0126-SM-7RHGB 60-69 years, male 16.7
GTEX-Y9LG-1126-SM-4VBQ7 30-39 years, male 16.4
GTEX-1LG7Y-2526-SM-EWRO7 50-59 years, male 16.2
GTEX-1399S-0126-SM-5IJCF 30-39 years, female 16.1
GTEX-1QP2A-1726-SM-E76QC 50-59 years, male 16.0
GTEX-1R46S-2426-SM-E76QA 60-69 years, female 16.0
GTEX-ZYT6-2326-SM-5GZY3 30-39 years, male 15.8
GTEX-1GPI6-1926-SM-9KNV7 60-69 years, male 15.8
GTEX-13QJC-0126-SM-5ZZWJ 60-69 years, female 15.7
GTEX-ZE9C-2526-SM-5IJDR 60-69 years, male 15.5
GTEX-1LVAM-0726-SM-E6CIL 50-59 years, female 15.2
GTEX-1B8L1-2226-SM-7P8PT 60-69 years, male 14.3
GTEX-18A67-1626-SM-7LT9T 50-59 years, male 14.2
GTEX-11PRG-0726-SM-5EGL1 50-59 years, male 13.3
GTEX-1S83E-1326-SM-E6CJM 40-49 years, male 12.7
GTEX-1HT8W-0626-SM-A9G2H 30-39 years, male 12.4
GTEX-13SLW-0626-SM-5Q5ER 70-79 years, male 12.2
GTEX-11ZUS-2626-SM-5FQUR 30-39 years, male 12.1
GTEX-ZVZP-1226-SM-5GID7 50-59 years, male 11.1
GTEX-1GN1V-2826-SM-9JGIA 60-69 years, male 10.6
GTEX-1HR9M-2226-SM-CNPPY 60-69 years, male 10.5
GTEX-147GR-2426-SM-5ZZWQ 60-69 years, male 9.5
GTEX-1NV5F-0626-SM-DTXEG 60-69 years, female 7.9
GTEX-1J1OQ-0126-SM-D4P2N 40-49 years, female 7.8
GTEX-1399Q-2326-SM-5KM2X 40-49 years, male 6.7
Show allShow less
Skin - Sun Exposed (Lower leg)
Average nTPM: 82.0
Samples: 701

Max nTPM: 418.7
Min nTPM: 9.5
Std nTPM: 50.9
Median nTPM: 71.0
GTEX-15EOM-0126-SM-7KUGG 20-29 years, female 418.7
GTEX-RUSQ-1526-SM-2TF62 50-59 years, male 374.9
GTEX-WI4N-1026-SM-3LK7N 40-49 years, female 359.3
GTEX-ZZPT-0226-SM-5E43X 50-59 years, male 296.7
GTEX-13OVJ-0126-SM-5KM36 50-59 years, female 296.0
GTEX-146FR-1326-SM-E9J48 60-69 years, female 294.9
GTEX-14JIY-0126-SM-6LLH6 60-69 years, male 283.0
GTEX-113IC-0126-SM-5HL6T 60-69 years, male 279.5
GTEX-Q734-1926-SM-2I5EV 40-49 years, female 250.0
GTEX-1AYD5-2426-SM-73KXR 50-59 years, male 249.8
GTEX-1PWST-0226-SM-E76QJ 70-79 years, male 240.7
GTEX-OOBK-0126-SM-2YUND 40-49 years, male 235.9
GTEX-144GN-2326-SM-5LU4F 50-59 years, male 231.2
GTEX-1H2FU-0126-SM-9WYSI 60-69 years, female 227.8
GTEX-ZYW4-0126-SM-5E44A 60-69 years, male 220.3
GTEX-ZF28-0126-SM-4WKGK 60-69 years, male 215.9
GTEX-1LNCM-1126-SM-E9U5E 50-59 years, female 212.5
GTEX-1OJC4-0126-SM-E9J2E 50-59 years, female 211.2
GTEX-WH7G-2326-SM-3NMBC 40-49 years, male 205.2
GTEX-1F48J-0126-SM-7P8TT 50-59 years, female 201.4
GTEX-PLZ4-0126-SM-5SI8O 50-59 years, female 198.3
GTEX-15SHW-0326-SM-6PAML 60-69 years, male 194.7
GTEX-1HBPH-0426-SM-B2LW5 40-49 years, female 192.8
GTEX-ZEX8-2426-SM-4WKG4 50-59 years, male 191.6
GTEX-13O1R-0126-SM-5L3EH 60-69 years, male 190.3
GTEX-X4EO-0326-SM-3P5YO 60-69 years, female 188.9
GTEX-ZE7O-0126-SM-57WC1 50-59 years, female 184.9
GTEX-XV7Q-2526-SM-4BRV9 40-49 years, female 184.4
GTEX-ZTPG-0326-SM-5O9AX 20-29 years, female 184.4
GTEX-1QP67-1626-SM-EAZ3X 40-49 years, female 177.0
GTEX-S33H-1026-SM-EZ6L6 30-39 years, male 173.9
GTEX-1C6WA-0126-SM-7PC2B 60-69 years, male 169.9
GTEX-X8HC-0126-SM-4E3JW 50-59 years, female 169.2
GTEX-12WSL-2526-SM-5GCNJ 50-59 years, male 168.7
GTEX-NPJ8-0126-SM-2YUNR 40-49 years, male 168.0
GTEX-14E6C-0126-SM-5RQIP 40-49 years, male 167.6
GTEX-14LLW-0126-SM-6LLIO 70-79 years, female 167.4
GTEX-1F6I4-0126-SM-9MQL2 60-69 years, male 164.4
GTEX-11DXX-2426-SM-5GZZW 60-69 years, female 163.8
GTEX-13VXT-0126-SM-5LU4I 20-29 years, female 163.2
GTEX-1A3MW-0126-SM-73KXX 60-69 years, female 162.6
GTEX-QLQW-1126-SM-2S1Q8 30-39 years, male 162.6
GTEX-1HCU6-0126-SM-CL54K 60-69 years, female 162.3
GTEX-11GSP-2526-SM-5N9BP 60-69 years, female 162.2
GTEX-13CF2-2526-SM-5LZYX 60-69 years, male 161.7
GTEX-146FH-0126-SM-5QGPP 50-59 years, female 161.4
GTEX-12584-0126-SM-5EGKQ 40-49 years, male 160.4
GTEX-RTLS-0126-SM-447CA 60-69 years, female 160.4
GTEX-13OW7-0126-SM-5MR3B 50-59 years, male 157.5
GTEX-1HBPM-0226-SM-ARL9F 60-69 years, female 157.5
GTEX-ZVT3-0126-SM-5GU6I 60-69 years, female 155.9
GTEX-OXRK-0226-SM-3NB2G 50-59 years, female 155.7
GTEX-QDT8-0126-SM-48TZ1 30-39 years, female 155.0
GTEX-17HII-0226-SM-7LG4E 50-59 years, male 154.9
GTEX-15UF6-0826-SM-6PALJ 70-79 years, female 154.4
GTEX-1AYCT-2426-SM-7IGQ3 50-59 years, male 153.8
GTEX-1QEPI-0126-SM-EWRMQ 60-69 years, female 152.9
GTEX-11TTK-0126-SM-5987B 60-69 years, female 152.5
GTEX-ZAJG-0126-SM-5HL94 50-59 years, female 152.5
GTEX-ZDXO-3026-SM-5J1N5 60-69 years, male 151.7
GTEX-1R9K4-0126-SM-DTX9X 60-69 years, male 151.1
GTEX-1M4P7-0226-SM-DIPEV 60-69 years, male 150.9
GTEX-X638-0126-SM-47JZ8 70-79 years, female 150.5
GTEX-13NZA-0226-SM-5K7Z7 60-69 years, male 150.1
GTEX-12WSN-5019-SM-79OM6 40-49 years, male 149.0
GTEX-14BIL-0126-SM-5SI92 50-59 years, male 148.9
GTEX-1HUB1-0426-SM-E9U4U 60-69 years, male 148.7
GTEX-OXRP-0126-SM-3NB32 60-69 years, female 148.2
GTEX-1ICG6-2526-SM-CGQFZ 70-79 years, female 147.7
GTEX-ZUA1-0126-SM-5GU76 40-49 years, male 147.1
GTEX-13N1W-0126-SM-5K7VT 70-79 years, male 144.5
GTEX-1CAV2-2226-SM-7P8P2 40-49 years, female 144.4
GTEX-13OVG-1926-SM-5L3DK 60-69 years, male 144.3
GTEX-WOFL-0126-SM-3MJG2 60-69 years, male 143.4
GTEX-XUW1-0426-SM-4BOOT 50-59 years, female 143.4
GTEX-1MGNQ-0126-SM-EVYCJ 40-49 years, male 142.9
GTEX-ZF3C-0126-SM-DO92D 50-59 years, female 142.1
GTEX-X4EP-0126-SM-3P5YV 60-69 years, female 141.7
GTEX-1A32A-0126-SM-718B1 50-59 years, female 141.5
GTEX-1GN1W-0526-SM-9MQJQ 50-59 years, female 141.3
GTEX-1I1HK-0126-SM-COH49 60-69 years, male 140.5
GTEX-12WSD-0126-SM-59HKN 60-69 years, female 138.9
GTEX-Y8LW-1826-SM-5S2MV 50-59 years, female 138.4
GTEX-14PK6-1926-SM-6ETZU 70-79 years, female 138.1
GTEX-R55E-0126-SM-2TC5Y 20-29 years, male 137.5
GTEX-1J8EW-0126-SM-CJI4F 60-69 years, female 137.3
GTEX-Y5LM-1926-SM-5RQJH 40-49 years, female 135.7
GTEX-YJ8A-0426-SM-5IFID 20-29 years, male 135.0
GTEX-145MN-2226-SM-5SIAU 30-39 years, male 134.1
GTEX-ZAB4-0226-SM-5N9F5 40-49 years, male 133.7
GTEX-15DYW-0126-SM-7KULE 60-69 years, female 132.2
GTEX-X62O-0126-SM-4E3JN 50-59 years, male 131.8
GTEX-1JMOU-1526-SM-CL54I 60-69 years, female 131.2
GTEX-WY7C-2326-SM-3NB2U 50-59 years, male 130.6
GTEX-117YW-2626-SM-5GZZH 50-59 years, male 130.5
GTEX-Y114-2426-SM-4TT8A 50-59 years, female 130.3
GTEX-1IY9M-0126-SM-D3L8S 60-69 years, male 129.8
GTEX-OXRL-0126-SM-2YUMP 50-59 years, male 128.2
GTEX-13OVI-1426-SM-5L3EY 60-69 years, female 128.0
GTEX-12KS4-0326-SM-5EQ41 30-39 years, male 127.5
GTEX-Q2AI-1326-SM-2S1PL 40-49 years, male 126.1
GTEX-1C6VS-0526-SM-7DUEN 60-69 years, male 125.4
GTEX-17HHY-0126-SM-7LG5D 50-59 years, male 124.8
GTEX-1R9PO-2126-SM-E9J4O 60-69 years, female 124.8
GTEX-QEG4-0226-SM-2S1PY 30-39 years, male 124.5
GTEX-1IE54-0126-SM-CMKHW 40-49 years, female 124.4
GTEX-Z9EW-1626-SM-5CVMN 40-49 years, male 123.7
GTEX-RN64-0126-SM-2TC68 50-59 years, male 123.0
GTEX-13O3O-0126-SM-E9J49 60-69 years, female 122.7
GTEX-11ZVC-2526-SM-5FQTE 50-59 years, female 122.6
GTEX-1LBAC-0126-SM-DIPEZ 20-29 years, male 122.3
GTEX-S7PM-0126-SM-4AD6S 60-69 years, male 122.1
GTEX-ZF29-2326-SM-DO92K 60-69 years, female 122.0
GTEX-12C56-1726-SM-5EQ61 20-29 years, male 121.4
GTEX-13W46-0226-SM-5SIAG 50-59 years, male 121.3
GTEX-13VXU-0126-SM-5SI9F 50-59 years, male 120.3
GTEX-1AX8Z-0126-SM-7DHM6 60-69 years, male 120.3
GTEX-U4B1-1826-SM-4DXSU 40-49 years, male 120.1
GTEX-11ZTT-2426-SM-5EQLS 60-69 years, female 118.9
GTEX-131XG-2626-SM-5KM17 50-59 years, female 118.6
GTEX-14PJM-0226-SM-62LF1 50-59 years, female 118.5
GTEX-QDVN-2026-SM-3GAEP 50-59 years, male 118.4
GTEX-X5EB-2226-SM-46MW4 40-49 years, male 117.9
GTEX-1H3NZ-0126-SM-ACKX7 60-69 years, male 117.7
GTEX-183WM-0126-SM-7LTAB 70-79 years, female 117.4
GTEX-ZDYS-2026-SM-5HL5L 50-59 years, male 117.0
GTEX-1K9T9-0126-SM-EVYCF 50-59 years, female 116.8
GTEX-1GN1V-0126-SM-9WPOS 60-69 years, male 116.3
GTEX-11GS4-2726-SM-5A5LE 60-69 years, male 116.2
GTEX-1F88F-2726-SM-7PBZZ 60-69 years, female 116.1
GTEX-145MO-0326-SM-5Q5B3 60-69 years, male 115.7
GTEX-11XUK-2026-SM-5EQLF 40-49 years, female 115.3
GTEX-ZVT2-2526-SM-51MT1 50-59 years, female 115.3
GTEX-R45C-0126-SM-EAZ2R 60-69 years, female 115.1
GTEX-O5YW-0126-SM-3LK6D 50-59 years, male 114.7
GTEX-139TT-0126-SM-5K7Y5 60-69 years, male 113.8
GTEX-148VJ-0126-SM-5TDDN 70-79 years, male 113.8
GTEX-OXRO-0126-SM-2YUN4 60-69 years, female 113.8
GTEX-PLZ5-2026-SM-2S1O4 50-59 years, male 113.8
GTEX-QVJO-1626-SM-2S1QW 60-69 years, female 113.5
GTEX-11DZ1-0126-SM-5985Q 50-59 years, male 113.1
GTEX-1MA7X-2226-SM-E6CIY 60-69 years, male 112.8
GTEX-1F6IF-0726-SM-7P8TW 60-69 years, male 112.6
GTEX-1ICLZ-0126-SM-CKZPO 60-69 years, male 111.8
GTEX-ZVE2-0226-SM-59HJB 50-59 years, male 111.3
GTEX-1JN1M-0326-SM-CYPT3 60-69 years, female 111.1
GTEX-15G19-0126-SM-6PANQ 60-69 years, male 111.0
GTEX-V1D1-2226-SM-3NMAX 50-59 years, male 110.9
GTEX-148VI-1626-SM-5SI6E 60-69 years, female 110.8
GTEX-11P82-1626-SM-59879 20-29 years, male 110.2
GTEX-11VI4-1726-SM-5CVLH 40-49 years, female 110.1
GTEX-1GF9X-2026-SM-7PC3A 40-49 years, female 110.0
GTEX-14PN4-0126-SM-6EU2V 50-59 years, male 109.3
GTEX-Q2AG-0126-SM-33HBV 40-49 years, female 109.1
GTEX-111VG-2426-SM-5GZXD 60-69 years, male 108.3
GTEX-1211K-2026-SM-5EQ4Z 60-69 years, female 108.2
GTEX-17EVQ-0226-SM-7LG4P 70-79 years, male 108.1
GTEX-U8T8-0126-SM-3DB94 60-69 years, male 108.1
GTEX-145LV-2126-SM-5LU8N 50-59 years, male 107.8
GTEX-15DCD-0126-SM-7KUEK 70-79 years, female 107.7
GTEX-1JKYN-1326-SM-CGQG9 30-39 years, male 107.3
GTEX-17F97-0326-SM-7LG5B 50-59 years, male 107.1
GTEX-18A67-0126-SM-7LG5P 50-59 years, male 107.1
GTEX-1GMR8-0126-SM-9WYTM 50-59 years, female 107.0
GTEX-13RTL-0126-SM-7LG5S 40-49 years, male 106.6
GTEX-145LT-1726-SM-5QGP3 40-49 years, male 106.4
GTEX-1I1CD-0126-SM-CM2TK 60-69 years, female 106.3
GTEX-18A7A-0226-SM-718BH 50-59 years, female 106.2
GTEX-YEC4-2126-SM-5IFJH 40-49 years, male 106.2
GTEX-11WQC-2526-SM-5CVLE 60-69 years, male 105.7
GTEX-RU72-0926-SM-2TF6B 50-59 years, female 105.4
GTEX-16YQH-0126-SM-7DUFJ 30-39 years, male 105.1
GTEX-12WSJ-1826-SM-5GCNY 40-49 years, female 104.9
GTEX-1313W-0126-SM-5LZUN 50-59 years, female 104.9
GTEX-18A66-0226-SM-718BD 60-69 years, male 104.7
GTEX-1RLM8-2326-SM-EWRN4 50-59 years, male 103.9
GTEX-ZDTT-2726-SM-4WKF8 60-69 years, male 103.5
GTEX-13YAN-0326-SM-5O9DF 60-69 years, male 103.4
GTEX-ZC5H-0226-SM-4WAY9 40-49 years, female 103.4
GTEX-P4PQ-0126-SM-2S1NM 60-69 years, male 103.2
GTEX-13X6H-2126-SM-7EWD5 50-59 years, female 102.8
GTEX-146FQ-0126-SM-5NQA9 30-39 years, male 102.2
GTEX-139D8-0226-SM-5KLZO 30-39 years, female 102.0
GTEX-SUCS-1926-SM-32PM3 70-79 years, male 101.8
GTEX-1PIGE-0126-SM-EVYBJ 20-29 years, male 101.6
GTEX-183FY-0126-SM-7LT9P 20-29 years, male 101.2
GTEX-15SB6-1726-SM-6PAME 50-59 years, female 100.9
GTEX-1LC47-0326-SM-E9TJP 60-69 years, male 100.2
GTEX-W5X1-3026-SM-EAZAX 40-49 years, female 100.2
GTEX-15SDE-2226-SM-7IGLO 50-59 years, female 100.0
GTEX-ZAB5-1826-SM-5HL7C 50-59 years, male 99.5
GTEX-1QP66-1726-SM-E8VO1 50-59 years, male 99.5
GTEX-16XZY-2126-SM-79OK1 70-79 years, male 99.4
GTEX-1RAZQ-0726-SM-EAZ43 30-39 years, male 99.0
GTEX-U3ZM-1526-SM-3DB9D 40-49 years, male 98.9
GTEX-X4XY-0226-SM-4E3IZ 60-69 years, male 98.6
GTEX-1HFI6-0226-SM-ADEHZ 40-49 years, male 98.3
GTEX-1IDFM-0126-SM-COH2V 60-69 years, male 97.9
GTEX-XBED-2226-SM-47JYQ 60-69 years, male 97.6
GTEX-XXEK-2226-SM-4BRUM 50-59 years, male 96.8
GTEX-R55G-2526-SM-2TC6D 40-49 years, female 96.6
GTEX-1CB4G-0226-SM-7PC3O 60-69 years, male 96.5
GTEX-WYVS-2126-SM-3NMA3 40-49 years, female 96.2
GTEX-147F4-0226-SM-5QGPW 50-59 years, male 96.1
GTEX-11ZUS-0626-SM-59885 30-39 years, male 95.9
GTEX-P4PP-0126-SM-3LK69 30-39 years, female 95.6
GTEX-1EKGG-0226-SM-9WYTH 60-69 years, male 95.6
GTEX-13QJ3-0326-SM-5S2RA 50-59 years, male 95.5
GTEX-ZQG8-1626-SM-DHXIT 60-69 years, female 95.5
GTEX-VJYA-1126-SM-3GIJU 60-69 years, male 95.3
GTEX-U8XE-0326-SM-3DB8P 30-39 years, male 95.1
GTEX-1N2DW-0226-SM-E9TK2 50-59 years, male 95.1
GTEX-18D9B-0526-SM-7LTAS 60-69 years, male 94.4
GTEX-1C2JI-1826-SM-73KXC 50-59 years, male 94.1
GTEX-1AX9K-2326-SM-73KWU 50-59 years, male 93.9
GTEX-1CB4J-0626-SM-7DHMP 60-69 years, male 93.8
GTEX-1H3VE-0326-SM-9YFLH 40-49 years, male 93.8
GTEX-117YX-2326-SM-5H12W 50-59 years, male 93.7
GTEX-11DXW-0226-SM-5H122 40-49 years, male 93.7
GTEX-VUSG-2526-SM-4KL1V 50-59 years, male 93.7
GTEX-Y3I4-2126-SM-4TT7C 50-59 years, male 93.7
GTEX-1B8L1-2526-SM-9WYTF 60-69 years, male 93.7
GTEX-XYKS-2126-SM-4E3IB 60-69 years, female 93.3
GTEX-SN8G-0126-SM-32PLI 50-59 years, female 93.1
GTEX-1I1GU-2226-SM-CGQFA 40-49 years, male 93.1
GTEX-1192X-0226-SM-5H12D 50-59 years, male 92.8
GTEX-1RAZA-0126-SM-E6CI3 20-29 years, male 92.6
GTEX-ZY6K-1826-SM-5GZXK 50-59 years, male 92.5
GTEX-1I1GS-0126-SM-B2LVW 60-69 years, male 92.5
GTEX-13FTX-1826-SM-5J1NX 20-29 years, female 91.8
GTEX-U3ZN-2326-SM-3DB7W 30-39 years, female 91.5
GTEX-1GTWX-0126-SM-9YFLK 60-69 years, male 91.5
GTEX-11O72-0126-SM-59887 40-49 years, male 91.2
GTEX-QCQG-1726-SM-3GIJ9 50-59 years, female 90.9
GTEX-1S82Y-2026-SM-EVYCM 40-49 years, male 90.8
GTEX-YB5K-2126-SM-4WWDJ 40-49 years, female 90.6
GTEX-13OVL-0226-SM-5L3E9 50-59 years, male 90.5
GTEX-NFK9-0226-SM-2HMKQ 40-49 years, male 90.4
GTEX-1RB15-2126-SM-E9TIM 60-69 years, male 90.3
GTEX-RM2N-1426-SM-2TF4H 50-59 years, male 90.2
GTEX-1HCUA-2426-SM-ADEIS 50-59 years, female 90.1
GTEX-1KD5A-0226-SM-D5OV3 50-59 years, male 90.0
GTEX-1R46S-0626-SM-E9J41 60-69 years, female 89.9
GTEX-SSA3-0126-SM-32QPU 60-69 years, male 89.8
GTEX-11H98-0126-SM-5EGHG 50-59 years, male 89.6
GTEX-144FL-0126-SM-5TDC8 50-59 years, male 89.6
GTEX-11EMC-2926-SM-5EQ4F 60-69 years, female 89.1
GTEX-WRHK-1426-SM-3MJF9 20-29 years, female 89.0
GTEX-113JC-2326-SM-5EQ4E 50-59 years, female 88.7
GTEX-1QPFJ-0226-SM-E76PB 30-39 years, female 88.7
GTEX-15SHU-0126-SM-7KUEH 40-49 years, female 88.4
GTEX-Q2AH-1626-SM-3GAF8 40-49 years, male 88.2
GTEX-14A6H-0126-SM-5QGPK 30-39 years, male 88.0
GTEX-13SLX-0526-SM-5S2ON 50-59 years, female 87.9
GTEX-13U4I-0126-SM-5LU38 40-49 years, female 87.9
GTEX-Y111-0126-SM-4SOIV 50-59 years, male 87.9
GTEX-W5WG-1826-SM-4KL2Y 50-59 years, female 87.8
GTEX-1269C-2526-SM-5EGJ3 60-69 years, female 87.7
GTEX-1GN73-0226-SM-9WG67 60-69 years, male 87.7
GTEX-OIZF-0126-SM-7SB8I 60-69 years, male 87.5
GTEX-1HSMO-0126-SM-CL547 60-69 years, male 87.4
GTEX-1B8KZ-2026-SM-7DHMB 50-59 years, male 87.2
GTEX-1JK1U-2026-SM-CM2RZ 60-69 years, male 87.2
GTEX-1PBJI-0526-SM-E8VNK 20-29 years, female 87.0
GTEX-U3ZH-2026-SM-3DB78 30-39 years, male 86.6
GTEX-ZYFD-0126-SM-5GIDL 50-59 years, male 86.6
GTEX-18A6Q-0126-SM-731BZ 60-69 years, male 86.4
GTEX-18QFQ-0126-SM-731BE 30-39 years, male 86.4
GTEX-12WSG-2826-SM-E9J4H 50-59 years, female 86.1
GTEX-OHPM-0126-SM-2YUN9 50-59 years, male 86.0
GTEX-1A3MX-0126-SM-731BR 60-69 years, male 85.8
GTEX-1S82Z-0826-SM-E6CHY 30-39 years, female 85.8
GTEX-15DDE-0126-SM-6LPKH 50-59 years, female 85.0
GTEX-132NY-0326-SM-5IJBL 60-69 years, male 84.9
GTEX-13NZ8-0826-SM-5MR3I 60-69 years, female 84.9
GTEX-XAJ8-0826-SM-47JY6 40-49 years, male 84.6
GTEX-11WQK-0526-SM-5EQLD 50-59 years, male 84.3
GTEX-TMZS-0126-SM-3DB9Q 60-69 years, male 83.8
GTEX-139T4-0226-SM-5HL5S 50-59 years, female 83.7
GTEX-13FHO-0226-SM-5IFGY 60-69 years, male 83.7
GTEX-ZDTS-0126-SM-4WAY5 60-69 years, male 83.6
GTEX-1HSMQ-1226-SM-CGQFX 50-59 years, male 83.6
GTEX-1N2DV-0226-SM-E6CJ6 40-49 years, male 83.3
GTEX-16BQI-0226-SM-7KUEX 30-39 years, female 83.2
GTEX-1HKZK-0326-SM-9WYUH 40-49 years, male 83.2
GTEX-1497J-2426-SM-7IGNX 60-69 years, male 83.1
GTEX-13G51-2526-SM-5LZYK 60-69 years, male 82.4
GTEX-1QW4Y-1526-SM-EAZ3Z 30-39 years, male 82.4
GTEX-1B933-0126-SM-7PC29 50-59 years, female 82.2
GTEX-1N2EF-0226-SM-EYYXB 60-69 years, male 82.0
GTEX-YFC4-0126-SM-5CVLY 40-49 years, female 81.9
GTEX-1J8JJ-0226-SM-CL53I 60-69 years, female 81.5
GTEX-13X6I-0626-SM-5QGP9 60-69 years, male 81.1
GTEX-14PHW-0126-SM-6LLJI 60-69 years, female 81.1
GTEX-17MF6-0126-SM-7LG4F 40-49 years, male 80.9
GTEX-14BIM-0226-SM-7IGLD 60-69 years, female 80.7
GTEX-1GN1U-0126-SM-7PBZK 50-59 years, female 80.4
GTEX-1A8FM-0226-SM-7SB7Q 50-59 years, female 80.1
GTEX-1H1DG-0126-SM-9WYU2 70-79 years, male 80.1
GTEX-1R7EV-2426-SM-EVYBG 40-49 years, male 80.0
GTEX-SIU8-0126-SM-2XCDT 50-59 years, male 79.5
GTEX-11LCK-1026-SM-5A5KB 30-39 years, male 79.4
GTEX-139TS-2826-SM-5J1OO 60-69 years, male 79.3
GTEX-ZYFC-0226-SM-5NQ75 50-59 years, male 79.1
GTEX-1POEN-0126-SM-EYYXJ 30-39 years, female 79.1
GTEX-11NUK-0126-SM-5A5L3 50-59 years, male 78.8
GTEX-ZV6S-2326-SM-4YCEY 40-49 years, female 78.7
GTEX-1C6VQ-0126-SM-7P8RI 50-59 years, male 78.7
GTEX-11OF3-2626-SM-5GU7F 60-69 years, male 78.5
GTEX-1399U-2326-SM-5K7WY 50-59 years, female 78.5
GTEX-1C64O-0126-SM-7SB8P 60-69 years, male 78.5
GTEX-11P7K-2126-SM-5GU7G 30-39 years, male 78.2
GTEX-13O3P-0126-SM-5KM4S 50-59 years, male 77.9
GTEX-X585-0226-SM-4QAS2 50-59 years, male 77.8
GTEX-13NYS-0126-SM-5MR3W 60-69 years, male 77.5
GTEX-WQUQ-0426-SM-3MJFU 60-69 years, male 77.5
GTEX-WXYG-2326-SM-4E3I6 50-59 years, female 77.3
GTEX-1CB4H-0226-SM-7PBXM 60-69 years, female 77.1
GTEX-1PFEY-1526-SM-E76PP 30-39 years, male 77.0
GTEX-XUYS-0126-SM-47JWZ 50-59 years, male 76.7
GTEX-1EWIQ-0126-SM-7RHH2 70-79 years, female 76.6
GTEX-RWS6-2026-SM-2XCB5 60-69 years, female 76.5
GTEX-ZVT4-0126-SM-DTXFN 50-59 years, female 76.2
GTEX-13O21-1426-SM-5K7XI 50-59 years, male 76.1
GTEX-1B8KE-2126-SM-73KYX 50-59 years, male 76.1
GTEX-1IKOH-0226-SM-COH4E 60-69 years, female 75.7
GTEX-17HGU-0226-SM-7DHKV 50-59 years, male 75.5
GTEX-1EX96-1626-SM-7PBXR 50-59 years, male 75.2
GTEX-ZAK1-0126-SM-5IJD3 50-59 years, female 74.9
GTEX-1QP29-0626-SM-EWRMX 50-59 years, male 74.9
GTEX-TML8-1926-SM-32QOS 40-49 years, female 74.8
GTEX-14PJ3-1826-SM-62LEX 50-59 years, male 74.6
GTEX-12ZZX-0126-SM-5EGK9 40-49 years, female 74.5
GTEX-14XAO-2326-SM-6EU1B 60-69 years, female 74.1
GTEX-11P81-2326-SM-59875 30-39 years, female 73.9
GTEX-1I6K6-0126-SM-A9SLE 30-39 years, male 73.7
GTEX-1H1E6-1726-SM-ACKVK 30-39 years, male 73.6
GTEX-13CF3-2426-SM-5IFGX 60-69 years, female 73.1
GTEX-13D11-2426-SM-5KM1V 50-59 years, female 73.1
GTEX-1H1ZS-0426-SM-9WG6G 70-79 years, male 73.1
GTEX-1314G-1526-SM-5EGK2 30-39 years, male 73.0
GTEX-QDVJ-1726-SM-2I5FX 50-59 years, male 72.9
GTEX-14ABY-0226-SM-5TDCQ 50-59 years, male 72.7
GTEX-Y3IK-2426-SM-4WWDU 50-59 years, female 72.7
GTEX-133LE-1826-SM-5J1MV 20-29 years, female 72.5
GTEX-1HR98-0126-SM-B2LWI 60-69 years, male 72.2
GTEX-11NSD-2226-SM-5986V 20-29 years, male 72.1
GTEX-1RQEC-0426-SM-E6CHU 60-69 years, male 71.9
GTEX-1AX9J-0226-SM-73KXM 60-69 years, male 71.5
GTEX-1HSEH-0126-SM-ACKXN 60-69 years, male 71.1
GTEX-XMD2-0126-SM-4YCDU 60-69 years, female 71.0
GTEX-Y5V5-2326-SM-4V6GA 60-69 years, female 70.9
GTEX-139T8-0126-SM-5K7XZ 60-69 years, male 70.5
GTEX-OXRN-0126-SM-48TDM 50-59 years, male 70.4
GTEX-PWCY-1826-SM-DHXIZ 20-29 years, female 70.4
GTEX-1IDJF-0126-SM-CM2RS 20-29 years, male 70.3
GTEX-OOBJ-0126-SM-E6CJW 60-69 years, male 70.3
GTEX-OHPL-0126-SM-2HMJ7 60-69 years, female 70.2
GTEX-ZVZO-0126-SM-5A5L9 40-49 years, male 70.2
GTEX-1HB9E-0226-SM-E9U4R 50-59 years, male 70.2
GTEX-1KANB-0526-SM-E6CJH 50-59 years, male 70.2
GTEX-15UKP-0426-SM-7KUFQ 20-29 years, male 70.1
GTEX-TMMY-0226-SM-33HBA 40-49 years, female 69.6
GTEX-1GZ4H-1726-SM-7PBZJ 50-59 years, female 69.2
GTEX-1F5PK-2426-SM-7RHHY 50-59 years, male 69.1
GTEX-ZGAY-0526-SM-4WWBB 40-49 years, female 68.5
GTEX-1GMRU-0126-SM-9YFLV 50-59 years, male 67.8
GTEX-11ZTS-0126-SM-5EQ6M 60-69 years, female 67.4
GTEX-S95S-1226-SM-4GICG 60-69 years, male 67.2
GTEX-YB5E-2026-SM-5IFIS 40-49 years, male 67.1
GTEX-16GPK-0126-SM-7DHLE 60-69 years, male 66.9
GTEX-1GZHY-0326-SM-9QEHI 50-59 years, female 66.8
GTEX-14BMU-2226-SM-5TDE9 20-29 years, female 66.7
GTEX-1ICLY-0126-SM-D4P36 50-59 years, male 66.7
GTEX-1EU9M-0226-SM-7P8SP 60-69 years, male 66.6
GTEX-1JMPY-1326-SM-ARL8Y 30-39 years, male 66.6
GTEX-1E1VI-0126-SM-7DHMZ 50-59 years, male 66.4
GTEX-14E7W-0126-SM-6LLJ9 70-79 years, male 66.3
GTEX-1H3O1-0426-SM-9YFKY 60-69 years, male 66.3
GTEX-1F75A-0126-SM-7RHGM 50-59 years, male 65.8
GTEX-13RTJ-2426-SM-5S2Q2 60-69 years, male 65.7
GTEX-1AX9I-0126-SM-7SB74 60-69 years, male 65.6
GTEX-15D1Q-0126-SM-7KUG6 40-49 years, male 65.5
GTEX-RWSA-0126-SM-2XCBB 40-49 years, male 65.5
GTEX-ZXG5-0126-SM-5GIEU 60-69 years, male 65.5
GTEX-ZE9C-2726-SM-57WB5 60-69 years, male 65.4
GTEX-T2IS-0126-SM-4DM6O 20-29 years, female 65.3
GTEX-1I19N-0326-SM-ACKVX 70-79 years, male 65.3
GTEX-1LH75-2426-SM-E9TJE 50-59 years, female 65.2
GTEX-14DAQ-0126-SM-5S2MQ 60-69 years, female 65.1
GTEX-ZYY3-0126-SM-5GZY5 60-69 years, female 64.9
GTEX-ZXES-1826-SM-5E43S 30-39 years, female 64.7
GTEX-XQ3S-1526-SM-4BOOC 20-29 years, male 64.6
GTEX-XQ8I-0426-SM-4BOPO 50-59 years, male 64.6
GTEX-1I1GR-0126-SM-CL55F 60-69 years, male 64.6
GTEX-14LZ3-0226-SM-62LET 60-69 years, female 64.5
GTEX-T6MO-1626-SM-32QOM 40-49 years, female 64.5
GTEX-ZVTK-0426-SM-51MRS 20-29 years, male 64.5
GTEX-14JG6-2226-SM-6EU2G 30-39 years, female 64.4
GTEX-QLQ7-1626-SM-2S1R8 60-69 years, male 64.4
GTEX-1QCLY-0326-SM-E8VOG 30-39 years, male 64.2
GTEX-P4QT-0126-SM-2I3FL 50-59 years, female 64.1
GTEX-1H23P-0126-SM-ADEJ3 60-69 years, male 64.1
GTEX-1PPH7-2326-SM-EVYB8 40-49 years, male 64.0
GTEX-131XE-2326-SM-5PNZ2 50-59 years, male 63.8
GTEX-1HCU8-0626-SM-A9SM9 60-69 years, female 63.8
GTEX-1HCVE-0126-SM-CGQEU 50-59 years, male 63.8
GTEX-13IVO-0126-SM-5J1NG 70-79 years, male 63.7
GTEX-1EMGI-0126-SM-9KNUE 60-69 years, male 63.7
GTEX-11DXY-2626-SM-5GIE7 60-69 years, male 63.6
GTEX-13FTY-0526-SM-5L3EV 40-49 years, female 63.4
GTEX-X4XX-0126-SM-3NMC2 60-69 years, male 63.2
GTEX-Z93T-0126-SM-5HL5N 50-59 years, male 63.1
GTEX-131XW-0426-SM-5LZWP 50-59 years, female 63.0
GTEX-11GSO-2426-SM-5A5LY 60-69 years, male 62.9
GTEX-14DAR-2026-SM-5S2O3 50-59 years, male 62.8
GTEX-1KD4Q-0226-SM-E9TJ9 40-49 years, male 62.8
GTEX-1JN76-0126-SM-CNPPE 20-29 years, female 62.6
GTEX-ZZ64-1726-SM-5GZYB 20-29 years, male 62.5
GTEX-1NHNU-1026-SM-E9J2A 50-59 years, male 62.5
GTEX-11EM3-2426-SM-59861 20-29 years, female 62.2
GTEX-147GR-0526-SM-5S2MY 60-69 years, male 62.0
GTEX-13X6J-0126-SM-5QGOU 50-59 years, male 61.9
GTEX-UPJH-0326-SM-3GADU 50-59 years, male 61.8
GTEX-13RTK-1426-SM-5QGQJ 20-29 years, male 61.6
GTEX-1HGF4-2426-SM-ACKXM 60-69 years, male 61.3
GTEX-13N11-2526-SM-5K7UE 50-59 years, female 61.2
GTEX-147F3-0526-SM-5SI98 50-59 years, female 60.8
GTEX-1HFI7-1826-SM-ACKXH 50-59 years, female 60.7
GTEX-1H11D-0226-SM-9WG6Z 40-49 years, male 60.6
GTEX-1J1R8-1726-SM-ARL8M 40-49 years, male 60.5
GTEX-RNOR-0126-SM-E9J4R 50-59 years, female 60.5
GTEX-14C5O-0126-SM-5SI6N 60-69 years, male 60.4
GTEX-13PVR-2326-SM-5QGR1 60-69 years, female 60.2
GTEX-11EI6-0126-SM-5985R 60-69 years, male 60.1
GTEX-15ETS-0126-SM-7KUMW 40-49 years, female 60.0
GTEX-14PN3-2426-SM-6LLHS 60-69 years, female 59.9
GTEX-ZQUD-1426-SM-57WER 30-39 years, male 59.8
GTEX-1192W-2626-SM-5Q5AF 60-69 years, male 59.6
GTEX-13OW5-0126-SM-DTXFS 60-69 years, male 59.6
GTEX-1MUQO-0126-SM-EAZ58 60-69 years, male 59.6
GTEX-15ER7-0326-SM-7KUEV 20-29 years, female 59.5
GTEX-13S7M-0126-SM-5SI6A 60-69 years, female 59.4
GTEX-1HSKV-0226-SM-A9SKJ 60-69 years, male 59.3
GTEX-1JMQK-0226-SM-CL543 60-69 years, male 59.3
GTEX-13FXS-0226-SM-5IJCK 50-59 years, male 59.1
GTEX-14ICK-0226-SM-6EU25 40-49 years, male 59.0
GTEX-WZTO-0126-SM-3NM95 40-49 years, male 58.9
GTEX-ZTSS-1926-SM-57WEW 40-49 years, male 58.8
GTEX-17EUY-0426-SM-793BD 20-29 years, male 58.7
GTEX-12WSK-2326-SM-5GCOH 40-49 years, female 58.5
GTEX-1128S-2326-SM-5GZZY 60-69 years, female 58.4
GTEX-11OC5-0126-SM-5HL6A 60-69 years, male 58.3
GTEX-17HG3-2226-SM-7938L 30-39 years, female 57.8
GTEX-ZPIC-1726-SM-DHXIU 40-49 years, female 57.8
GTEX-139TU-0126-SM-5K7WH 60-69 years, male 57.7
GTEX-1GPI7-0126-SM-9MQL8 20-29 years, male 57.7
GTEX-17MFQ-1726-SM-793C7 20-29 years, male 57.6
GTEX-T5JC-0426-SM-32PLO 20-29 years, male 57.6
GTEX-13FH7-2026-SM-E9J4I 50-59 years, female 57.6
GTEX-18A7B-0126-SM-7LG64 70-79 years, male 57.5
GTEX-1JMQJ-0526-SM-CYPSU 50-59 years, male 57.5
GTEX-1JJE9-0326-SM-CL53Z 70-79 years, male 57.3
GTEX-QESD-1426-SM-2S1R9 20-29 years, male 56.8
GTEX-1CAMS-0426-SM-7P8T2 40-49 years, female 56.8
GTEX-PW2O-1526-SM-7RHHB 20-29 years, male 56.8
GTEX-U412-0426-SM-3DB9O 60-69 years, male 56.7
GTEX-11UD1-0126-SM-5PNYG 40-49 years, female 56.6
GTEX-12ZZZ-0626-SM-5DUXI 60-69 years, male 56.5
GTEX-1GZ2Q-0226-SM-7P8TL 40-49 years, male 56.2
GTEX-11DXZ-2326-SM-5EGGV 50-59 years, male 56.1
GTEX-17F98-0626-SM-79OMX 40-49 years, female 56.1
GTEX-11TT1-2526-SM-5EGIB 20-29 years, male 55.9
GTEX-16NGA-1726-SM-731B4 40-49 years, female 55.9
GTEX-1F52S-0126-SM-9MQJU 60-69 years, female 55.8
GTEX-PSDG-0226-SM-DKPOZ 50-59 years, male 55.6
GTEX-1MCYP-1926-SM-E9J2R 20-29 years, female 55.5
GTEX-1H3VY-0126-SM-ACKXD 50-59 years, male 55.4
GTEX-13PDP-0126-SM-5L3HD 60-69 years, male 55.2
GTEX-QV44-1926-SM-2S1RF 50-59 years, male 54.9
GTEX-13OW6-0426-SM-5L3HM 50-59 years, male 54.4
GTEX-TKQ1-1026-SM-4GICL 30-39 years, male 54.3
GTEX-1I4MK-2226-SM-ACKWD 50-59 years, female 54.3
GTEX-ZYFG-2326-SM-5E44B 60-69 years, female 54.0
GTEX-16MT8-0426-SM-7KUEY 60-69 years, female 53.8
GTEX-1F75I-0326-SM-9YFLU 40-49 years, male 53.8
GTEX-1GF9W-0326-SM-9KNUN 60-69 years, male 53.8
GTEX-169BO-1326-SM-9MQK2 50-59 years, male 53.5
GTEX-11TUW-2726-SM-E9J4M 60-69 years, male 53.4
GTEX-16XZZ-0126-SM-793DV 60-69 years, male 53.1
GTEX-1CAMR-1926-SM-7EPI2 20-29 years, male 53.1
GTEX-1HSMP-0126-SM-E6CJS 70-79 years, male 52.6
GTEX-13NZB-2526-SM-5J1OM 30-39 years, male 52.4
GTEX-1S5ZA-0126-SM-EVYCV 20-29 years, male 52.4
GTEX-1F7RK-0126-SM-7PC2S 20-29 years, female 52.3
GTEX-X88G-0126-SM-47JZ3 30-39 years, male 52.1
GTEX-18465-0126-SM-731BN 50-59 years, male 52.0
GTEX-1H1DE-2126-SM-9WG6R 20-29 years, male 52.0
GTEX-13W3W-2426-SM-5LU5B 60-69 years, female 51.9
GTEX-15F5U-1526-SM-6PANO 40-49 years, male 51.8
GTEX-16NPX-0226-SM-79OMT 50-59 years, male 51.4
GTEX-11UD2-0226-SM-5EQKY 50-59 years, male 51.3
GTEX-1NV5F-0226-SM-E8VNY 60-69 years, female 51.3
GTEX-14PHX-2326-SM-62LEM 50-59 years, male 51.2
GTEX-1GN2E-0426-SM-9MQKX 60-69 years, male 51.2
GTEX-1JN6P-0126-SM-D3L98 60-69 years, male 50.4
GTEX-13112-2826-SM-5DUWH 50-59 years, male 50.3
GTEX-RVPV-0126-SM-EAZAW 60-69 years, male 50.3
GTEX-145MI-0526-SM-5O9A8 60-69 years, female 49.9
GTEX-WYJK-0126-SM-3NMAB 50-59 years, male 49.8
GTEX-1HBPI-1526-SM-C1YQ1 50-59 years, male 49.7
GTEX-PLZ6-1426-SM-DKPOT 30-39 years, male 49.7
GTEX-15CHC-2126-SM-6EU21 60-69 years, female 49.2
GTEX-VJWN-0126-SM-3GIK7 50-59 years, female 49.2
GTEX-1AMEY-1326-SM-73KYK 30-39 years, female 49.1
GTEX-1K2DA-1826-SM-CGQGT 50-59 years, male 48.9
GTEX-ZU9S-0226-SM-5E441 30-39 years, male 48.8
GTEX-1B8SG-0126-SM-73KZ3 50-59 years, male 48.7
GTEX-1JMQI-2226-SM-CM2SD 50-59 years, male 48.7
GTEX-1IL2U-0226-SM-CE6T8 60-69 years, male 48.6
GTEX-131XH-2226-SM-5DUXJ 50-59 years, male 48.5
GTEX-1LG7Y-0526-SM-DKPQC 50-59 years, male 48.5
GTEX-12696-2426-SM-5EQ6H 60-69 years, male 48.4
GTEX-145ME-1826-SM-5SI9G 40-49 years, female 48.3
GTEX-1B996-0226-SM-7RHGO 60-69 years, male 48.0
GTEX-1LGOU-2026-SM-DIPFF 20-29 years, female 47.9
GTEX-14BIN-0626-SM-793DP 50-59 years, female 47.5
GTEX-14PII-0226-SM-6EU1T 60-69 years, male 47.5
GTEX-T2YK-0526-SM-32QPJ 50-59 years, male 47.5
GTEX-R3RS-0126-SM-3GIJL 40-49 years, female 47.3
GTEX-WVJS-0126-SM-4MVOT 50-59 years, male 47.3
GTEX-PVOW-0126-SM-2XCFA 40-49 years, male 47.2
GTEX-Y8DK-0126-SM-4TT3L 60-69 years, male 46.9
GTEX-1IDJU-2626-SM-CM2RT 60-69 years, female 46.8
GTEX-T8EM-1026-SM-3DB7M 40-49 years, male 46.7
GTEX-131YS-0126-SM-5KM1M 60-69 years, female 46.6
GTEX-1MCQQ-0826-SM-DLHC2 60-69 years, male 46.6
GTEX-12WSC-0126-SM-5EQ4P 50-59 years, male 46.5
GTEX-1I1GP-2226-SM-CGQFK 50-59 years, male 46.5
GTEX-11DYG-0126-SM-59883 60-69 years, male 46.4
GTEX-13OW8-1326-SM-5J1OW 60-69 years, male 46.4
GTEX-1IKK5-0626-SM-ARL8A 60-69 years, male 46.4
GTEX-Y8E4-0626-SM-4WWDL 40-49 years, male 46.3
GTEX-1KAFJ-2026-SM-CY8ID 50-59 years, male 46.2
GTEX-14E6D-0126-SM-62LDV 50-59 years, male 46.1
GTEX-1J1OQ-0226-SM-CYPSH 40-49 years, female 46.1
GTEX-1A3MV-1926-SM-718BT 30-39 years, male 45.6
GTEX-13FTW-2626-SM-5K7WL 40-49 years, male 45.4
GTEX-1GPI6-0126-SM-9WG69 60-69 years, male 45.2
GTEX-1IGQW-0126-SM-COH42 60-69 years, male 45.2
GTEX-1CB4E-2226-SM-793DC 60-69 years, male 45.0
GTEX-1K2DU-2326-SM-E9TIV 20-29 years, male 45.0
GTEX-11ZU8-2526-SM-5EQKI 60-69 years, male 44.8
GTEX-18D9U-0226-SM-718BP 40-49 years, male 44.7
GTEX-1AMFI-2026-SM-731BH 50-59 years, female 44.7
GTEX-T6MN-0126-SM-32PLP 50-59 years, male 44.5
GTEX-1QMI2-0226-SM-EVYBX 60-69 years, male 44.5
GTEX-PWO3-1526-SM-48TCM 60-69 years, female 44.3
GTEX-1QP2A-0126-SM-E9J43 50-59 years, male 44.3
GTEX-12ZZY-0226-SM-5LZVE 60-69 years, male 44.1
GTEX-1LB8K-0226-SM-EWRNW 50-59 years, male 44.0
GTEX-1S3DN-2226-SM-EVYCD 50-59 years, male 43.9
GTEX-ZV68-0126-SM-59HKS 50-59 years, female 43.7
GTEX-OIZH-0126-SM-2HMIS 50-59 years, male 43.5
GTEX-1QP9N-1426-SM-DTXFL 30-39 years, male 43.0
GTEX-1JMPZ-0226-SM-CNPP1 30-39 years, male 42.9
GTEX-17EVP-0326-SM-7DHLG 40-49 years, male 42.6
GTEX-1BAJH-0526-SM-793CQ 70-79 years, male 42.2
GTEX-1C4CL-0526-SM-73KVK 30-39 years, male 42.1
GTEX-SJXC-0126-SM-2XCFF 60-69 years, male 41.9
GTEX-1J8Q3-1626-SM-CMKGC 60-69 years, male 41.9
GTEX-OIZG-0726-SM-33HBL 50-59 years, male 41.8
GTEX-14A5H-0426-SM-5QGQF 60-69 years, male 41.7
GTEX-1PPH8-0226-SM-E8VND 20-29 years, male 41.3
GTEX-1LVAN-0226-SM-COH3S 50-59 years, female 40.1
GTEX-WFG8-2226-SM-3GIL9 20-29 years, male 39.6
GTEX-1IL2V-0126-SM-CM2TX 70-79 years, male 39.4
GTEX-1I1GV-0526-SM-A9G29 60-69 years, male 39.3
GTEX-1R7EU-0226-SM-EVR4G 60-69 years, male 39.3
GTEX-13NYC-0326-SM-E9J4S 60-69 years, male 39.1
GTEX-1F6RS-0126-SM-9MQKZ 60-69 years, female 39.1
GTEX-13SLW-0126-SM-5SI6C 70-79 years, male 39.0
GTEX-1C6VR-2426-SM-79OLD 60-69 years, male 38.9
GTEX-1HSGN-0226-SM-CGQFV 40-49 years, female 38.5
GTEX-O5YT-0126-SM-48TBW 20-29 years, male 38.4
GTEX-1HBPN-0226-SM-9YFM1 50-59 years, male 37.8
GTEX-SNMC-1226-SM-2XCFP 20-29 years, male 37.7
GTEX-13OVK-2026-SM-7KUEO 40-49 years, male 37.1
GTEX-S32W-2126-SM-2XCB1 50-59 years, female 36.9
GTEX-117XS-2726-SM-5N9BL 60-69 years, male 36.7
GTEX-17HHE-2026-SM-79OKF 50-59 years, male 36.6
GTEX-1EN7A-0126-SM-7SB81 40-49 years, male 36.5
GTEX-1LG7Z-1726-SM-D3LA4 30-39 years, male 36.2
GTEX-1LGRB-2526-SM-CNPPQ 50-59 years, female 36.2
GTEX-1LSNM-1926-SM-E6CII 50-59 years, male 36.2
GTEX-13N2G-2626-SM-5J1OT 60-69 years, male 36.1
GTEX-12126-0326-SM-5PNW3 20-29 years, male 36.0
GTEX-UJHI-1526-SM-3DB99 50-59 years, female 36.0
GTEX-131XF-5016-SM-7MGWE 60-69 years, male 35.7
GTEX-1H1CY-2826-SM-9MQM3 60-69 years, female 35.5
GTEX-1J8QM-2126-SM-CYPSJ 60-69 years, female 35.4
GTEX-139UW-2826-SM-5L3E7 60-69 years, male 35.1
GTEX-1F75B-0126-SM-9KNVL 50-59 years, male 35.1
GTEX-1GF9U-2126-SM-7SB7L 40-49 years, female 34.9
GTEX-S7SE-0126-SM-2XCD5 50-59 years, male 34.8
GTEX-14BMV-0126-SM-5S2PO 50-59 years, male 34.6
GTEX-1IOXB-0126-SM-ARL8G 50-59 years, male 34.5
GTEX-14E6E-1826-SM-5S2R7 30-39 years, male 34.3
GTEX-XUZC-1726-SM-4BRWS 30-39 years, female 34.3
GTEX-14753-0426-SM-5NQAM 60-69 years, male 34.2
GTEX-1HT8W-0126-SM-CNPPP 30-39 years, male 34.2
GTEX-1GF9V-0326-SM-7RHI5 60-69 years, male 33.9
GTEX-1KWVE-1426-SM-E9TJO 30-39 years, male 33.9
GTEX-1O97I-0326-SM-EYYX7 60-69 years, male 33.9
GTEX-1B8SF-1426-SM-7DUGL 60-69 years, male 33.8
GTEX-1JKYR-0126-SM-CNPOJ 20-29 years, male 33.7
GTEX-TSE9-0126-SM-3DB83 60-69 years, female 33.6
GTEX-Z93S-0126-SM-5HL7M 50-59 years, male 33.6
GTEX-1J8Q2-0526-SM-CM2RW 60-69 years, male 33.5
GTEX-11EQ9-2426-SM-5HL5T 30-39 years, male 33.1
GTEX-14A5I-0126-SM-5TDEA 50-59 years, female 33.0
GTEX-13FHP-0126-SM-5IJBG 50-59 years, male 32.8
GTEX-14JG1-0426-SM-6ETZZ 40-49 years, male 31.8
GTEX-16AAH-1726-SM-7939C 50-59 years, male 31.6
GTEX-1RDX4-0126-SM-E9J4P 50-59 years, female 31.6
GTEX-ZF2S-2326-SM-4WWCE 50-59 years, female 31.4
GTEX-14PJ6-2126-SM-6EU1V 60-69 years, female 31.2
GTEX-XBEW-0626-SM-4QASP 40-49 years, male 31.2
GTEX-1H4P4-0726-SM-9YFLR 50-59 years, male 30.6
GTEX-1E2YA-0126-SM-9KNUC 50-59 years, male 30.4
GTEX-13113-5016-SM-7EPIP 60-69 years, female 30.3
GTEX-1HCU7-0226-SM-CL545 50-59 years, male 30.3
GTEX-111FC-0126-SM-5N9DL 60-69 years, male 30.0
GTEX-1I1GT-0626-SM-CGQER 60-69 years, female 29.8
GTEX-1OFPY-2426-SM-DTXEJ 60-69 years, male 29.4
GTEX-145LS-0126-SM-5QGP1 60-69 years, female 28.9
GTEX-17F96-1626-SM-7DUFL 70-79 years, male 28.7
GTEX-ZYT6-0226-SM-5NQ6T 30-39 years, male 28.7
GTEX-P44H-0226-SM-2XCEU 40-49 years, male 28.6
GTEX-17GQL-2026-SM-718BA 60-69 years, male 28.5
GTEX-1GMR3-1926-SM-9KNUZ 40-49 years, male 28.2
GTEX-13O3Q-2426-SM-5IJBR 50-59 years, male 27.9
GTEX-X261-0126-SM-3NMD6 50-59 years, male 26.9
GTEX-ZVZP-2426-SM-59HKJ 50-59 years, male 26.9
GTEX-1JMLX-0226-SM-CM2RO 50-59 years, male 26.9
GTEX-1OJC3-0126-SM-E76QX 20-29 years, male 26.7
GTEX-1QAET-0926-SM-E76QM 50-59 years, male 26.6
GTEX-17KNJ-2326-SM-7DHLQ 50-59 years, male 26.5
GTEX-1399R-2726-SM-5IJBA 30-39 years, male 26.3
GTEX-1212Z-2526-SM-5EGKP 60-69 years, male 25.9
GTEX-1MA7W-2026-SM-E9TJ6 20-29 years, female 25.9
GTEX-1399T-2826-SM-5KLYZ 60-69 years, male 25.6
GTEX-15RIG-0226-SM-7KFTL 40-49 years, male 25.2
GTEX-1JMQL-0226-SM-CNPP5 50-59 years, female 25.2
GTEX-1KANC-1526-SM-D3LAB 50-59 years, female 24.6
GTEX-1C64N-0126-SM-793D7 50-59 years, male 24.5
GTEX-1I1GQ-0126-SM-COH3H 50-59 years, male 24.5
GTEX-145LU-0126-SM-5TDCB 50-59 years, male 24.2
GTEX-1KXAM-2226-SM-CYPTC 60-69 years, male 24.1
GTEX-ZWKS-0126-SM-5SIAA 30-39 years, male 23.8
GTEX-144GL-0126-SM-5TDE2 50-59 years, male 23.7
GTEX-1PDJ9-0326-SM-DTX95 20-29 years, male 22.9
GTEX-PX3G-0126-SM-2I3EN 20-29 years, female 22.5
GTEX-1B97I-1626-SM-73KYO 40-49 years, male 22.4
GTEX-POMQ-2226-SM-2I5FK 20-29 years, female 22.2
GTEX-XPVG-2626-SM-4B669 50-59 years, male 22.2
GTEX-1CAMQ-0226-SM-7IGPK 40-49 years, male 21.5
GTEX-1CB4F-0426-SM-9KNV4 60-69 years, male 21.4
GTEX-WFON-2126-SM-3LK7O 40-49 years, male 21.2
GTEX-Y5V6-2426-SM-4VDSB 60-69 years, male 21.2
GTEX-T5JW-1626-SM-3GADZ 20-29 years, female 21.0
GTEX-1HCU9-1526-SM-A9SL7 20-29 years, male 20.8
GTEX-SE5C-1626-SM-2XCE3 40-49 years, female 20.8
GTEX-1122O-2126-SM-5EGIR 60-69 years, female 20.3
GTEX-1IKJJ-0126-SM-CNPQB 60-69 years, male 20.2
GTEX-1CB4I-0226-SM-79OLH 50-59 years, male 19.7
GTEX-1F5PL-0326-SM-7P8PQ 40-49 years, female 19.4
GTEX-1M5QR-1226-SM-EWROB 40-49 years, male 18.9
GTEX-1MJK2-0426-SM-DTXE5 50-59 years, male 18.8
GTEX-1GL5R-1826-SM-9KNUY 50-59 years, male 18.4
GTEX-13JUV-2726-SM-5LZZ8 40-49 years, female 18.2
GTEX-17JCI-0126-SM-7LG5G 60-69 years, female 17.6
GTEX-18D9A-1926-SM-7LG6P 30-39 years, female 16.6
GTEX-1S83E-0126-SM-EWRO4 40-49 years, male 16.5
GTEX-13111-1626-SM-5EGJY 50-59 years, male 16.0
GTEX-13NYB-2526-SM-5K7Z6 40-49 years, male 16.0
GTEX-1JJEA-0326-SM-CNPOT 60-69 years, male 15.3
GTEX-145MF-0626-SM-5LUAI 50-59 years, male 15.2
GTEX-1JJ6O-0126-SM-E6CI8 60-69 years, male 14.8
GTEX-15EU6-0426-SM-6PAN5 50-59 years, male 14.6
GTEX-1C475-1826-SM-73KWA 40-49 years, female 14.6
GTEX-1IDJH-0326-SM-A9SLQ 70-79 years, male 14.6
GTEX-12WSA-0226-SM-5BC5V 60-69 years, male 14.2
GTEX-13OVH-0126-SM-5MR4B 70-79 years, male 14.2
GTEX-YJ89-0126-SM-4TT3X 60-69 years, male 13.7
GTEX-1KANA-0726-SM-D3L9I 20-29 years, male 13.5
GTEX-1R9PM-2026-SM-E76OY 20-29 years, male 13.1
GTEX-1PIIG-0226-SM-EWRN6 30-39 years, male 12.8
GTEX-12WSE-0526-SM-793B2 20-29 years, male 12.1
GTEX-ZTX8-1426-SM-5DUVO 20-29 years, male 11.3
GTEX-1L5NE-2526-SM-E6CIE 50-59 years, male 9.5
Show allShow less

Contact

  • NEWS ARTICLES
  • PRESS ROOM

The Project

  • INTRODUCTION
  • ORGANIZATION
  • PUBLICATIONS

The Human Protein Atlas

  • DOWNLOADABLE DATA
  • LICENCE & CITATION
  • HELP & FAQ
The Human Protein Atlas project is funded
by the Knut & Alice Wallenberg Foundation.


contact@proteinatlas.org