We use cookies to enhance the usability of our website. If you continue, we'll assume that you are happy to receive all cookies. More information. Don't show this again.
AEBP1
HPA
RESOURCES
  • TISSUE
  • BRAIN
  • SINGLE CELL
  • SUBCELLULAR
  • CANCER
  • BLOOD
  • CELL LINE
  • STRUCTURE & INTERACTION
ABOUT
  • INTRODUCTION
  • HISTORY
  • ORGANIZATION
  • PUBLICATIONS
  • ANTIBODY SUBMISSION
  • ANTIBODY AVAILABILITY
  • ACKNOWLEDGMENTS
  • CONTACT
NEWS
  • NEWS ARTICLES
  • PRESS ROOM
LEARN
  • DICTIONARY
  • PROTEIN CLASSES
  • PROTEIN EVIDENCE
  • METHODS
  • EDUCATIONAL VIDEOS
DATA
  • DOWNLOADABLE DATA
  • PUBLICATION DATA
  • RELEASE HISTORY
HELP
  • ANTIBODY VALIDATION
  • ASSAYS & ANNOTATION
  • DISCLAIMER
  • HELP & FAQ
  • PRIVACY STATEMENT
  • LICENCE & CITATION
Fields »
Search result

Field
Term
Gene name
Class
Subclass
Class
Keyword
Chromosome
External id
Tissue
Cell type
Expression
Antibody panel
Tissue
Main location
Patient ID
Annotation
Tissue
Category
Tau score
Cluster
Reliability
Brain region
Category
Tau score
Brain region
Category
Tau score
Brain region
Category
Tau score
Cluster
Reliability
Tissue
Cell type
Enrichment
Cell type
Category
Tau score
Cell type
Category
Tau score
Cell type
Category
Tau score
Cell lineage
Category
Tau score
Cluster
Cluster
Location
Searches
Location
Cell line
Class
Type
Phase
Reliability
Cancer
Prognosis
Cancer
Category
Cancer
Category
Tau score
Cluster
Variants
Interacting gene (ensg_id)
Type
Number of interactions
Pathway
Category
Score
Score
Score
Validation
Validation
Validation
Validation
Antibodies
Data type
Column


  • SUMMARY

  • TISSUE

  • BRAIN

  • SINGLE CELL

  • SUBCELL

  • CANCER

  • BLOOD

  • CELL LINE

  • STRUCT & INT

  • AEBP1
TISSUE PRIMARY DATA THYROID GLAND Show tissue menu
ADIPOSE TISSUE ADRENAL GLAND AMYGDALA APPENDIX BASAL GANGLIA BONE MARROW BREAST BRONCHUS CEREBELLUM CEREBRAL CORTEX CERVIX CHOROID PLEXUS COLON DUODENUM
ENDOMETRIUM EPIDIDYMIS ESOPHAGUS FALLOPIAN TUBE GALLBLADDER HEART MUSCLE HIPPOCAMPAL FORMATION HYPOTHALAMUS KIDNEY LIVER LUNG LYMPH NODE MIDBRAIN NASOPHARYNX
ORAL MUCOSA OVARY PANCREAS PARATHYROID GLAND PITUITARY GLAND PLACENTA PROSTATE RECTUM RETINA SALIVARY GLAND SEMINAL VESICLE SKELETAL MUSCLE SKIN SMALL INTESTINE
SMOOTH MUSCLE SOFT TISSUE SPINAL CORD SPLEEN STOMACH TESTIS THYMUS THYROID GLAND TONGUE TONSIL URINARY BLADDER VAGINA
ANTIBODIES
AND
VALIDATION
Dictionary
Thyroid gland
Tissue proteome
Thyroid gland
THYROID GLAND - Expression summary
Protein expression
Thyroid glandi

On the top, protein expression in current human tissue, based on all annotated cell types, is reported with the units not detected (n), low (l), medium (m) and high (h). Underneath, protein expression in each annotated cell type are reported using the same units.

Protein expression data is based on knowledge-based annotation. For genes where more than one antibody has been used, a collective score is set.

If knowledge-based annotation could not be performed for a gene, no data is displayed here. View antibody staining data further down this page.

h
m
l
n
Glandular cells: Low
RNA expressioni

A summary of mRNA expression data available for current tissue based on several datasets. The mRNA expression levels in human tissues are based on RNA-seq data generated by the Human Protein Atlas (HPA), Genotype-Tissue Expression (GTEx) portal and CAGE data generated by the FANTOM5 consortium. Consensus normalized expression levels for human tissues was created by combining the data from HPA and GTEx datasets.

The mRNA expression levels in pig are based on RNA-seq data generated by the Human Protein Atlas (HPA), and for mouse, HPA data and in situ hybridization generated by the Allen brain atlas are reported.

Scroll down to view mRNA expression data in more detail.
Consensus:81.2 nTPM
HPA:14.0 nTPM
GTEx:81.2 nTPM
FANTOM5:155.5 Scaled Tags Per Million

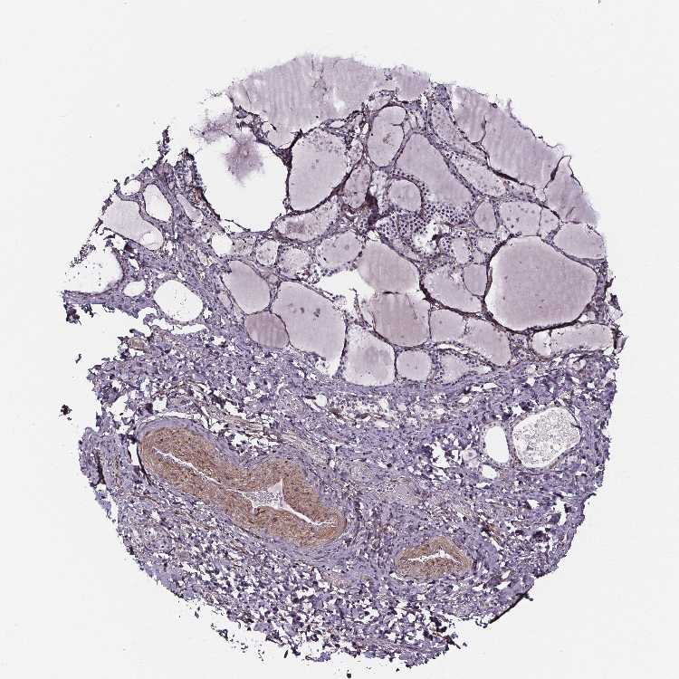
THYROID GLAND - Antibody stainingi

Antibody staining in the annotated cell types in the current human tissue is reported as not detected, low, medium, or high, based on conventional immunohistochemistry profiling in selected tissues. This score is based on the combination of the staining intensity and fraction of stained cells.

Each image is clickable and will lead to virtual microscopy that enables deeper exploration of all samples and also displays staining intensity scores, fraction scores and subcellular localization as well as patient and tissue information for each sample.

Antibody HPA063595Antibody HPA064970Antibody CAB009966
Glandular cells Not detectedLowLow







THYROID GLAND - HPA RNA-seqi

The RNA-seq details section shows detailed information about the individual samples used for the transcript profiling and results of the RNA-seq analysis.

Information about each individual sample is listed below, including gender, age, a tissue section image and estimated fractions of cell types. nTPM (normalized transcripts per million) values give a quantification of the gene abundance which is comparable between different genes and samples.
Average nTPMi

Max subtype nTPM is the value for the subtype with the largest average nTPM across the subtype samples.

14.0
overview
Female, age 20
Thyroid gland sample 249
nTPM: 10.5
Cell types%
Glandular cells:
70

Endothelial cells:
20

Other cell types:
10

overview
Female, age 55
Thyroid gland sample 250
nTPM: 18.6
Cell types%
Glandular cells:
70

Endothelial cells:
20

Other cell types:
10

overview
Female, age 58
Thyroid gland sample 251
nTPM: 15.2
Cell types%
Glandular cells:
70

Endothelial cells:
15

Other cell types:
15

overview
Female, age 48
Thyroid gland sample 252
nTPM: 17.9
Cell types%
Glandular cells:
70

Endothelial cells:
20

Other cell types:
10

overview
Male, age 21
Thyroid gland sample 363
nTPM: 8
Cell types%
Glandular cells:
75

Endothelial cells:
10

Other cell types:
15


THYROID GLAND - GTEx RNA-seqi

RNA-Seq data generated by the Genotype-Tissue Expression (GTEx) project from human tissues is reported as mean nTPM. More information can be found on the GTEx portal.

Distribution across the dataset is visualized with box plots, shown as median and 25th and 75th percentiles. Points are displayed as outliers if they are above or below 1.5 times the interquartile range. nTPM values of the individual samples are presented next to the box plot.
Max subtype nTPMi

Max subtype nTPM is the value for the subtype with the largest average nTPM across the subtype samples.

81.2
GTEx sample id Sample description nTPM
Thyroid
Average nTPM: 81.2
Samples: 653

Max nTPM: 392.8
Min nTPM: 9.1
Std nTPM: 41.8
Median nTPM: 74.0
GTEX-1B8SF-0626-SM-73KVV 60-69 years, male 392.8
GTEX-1O97I-1026-SM-E76PI 60-69 years, male 263.0
GTEX-11GSP-0126-SM-5A5KU 60-69 years, female 255.5
GTEX-1RNSC-1126-SM-E9TIP 60-69 years, male 230.1
GTEX-OHPL-2626-SM-2HMJA 60-69 years, female 223.7
GTEX-ZDTS-0926-SM-5YY9D 60-69 years, male 222.7
GTEX-1OJC3-0626-SM-E8VMO 20-29 years, male 222.1
GTEX-1JMQL-0926-SM-CJI3F 50-59 years, female 212.4
GTEX-17F9Y-0526-SM-7EWDC 70-79 years, female 209.9
GTEX-14ICK-1626-SM-6ETZX 40-49 years, male 204.6
GTEX-14DAQ-0826-SM-73KWT 60-69 years, female 196.0
GTEX-1J8EW-1126-SM-A96T8 60-69 years, female 194.4
GTEX-11DXY-0426-SM-5H12R 60-69 years, male 193.4
GTEX-1LG7Z-0526-SM-D4P3Q 30-39 years, male 191.0
GTEX-1EKGG-0726-SM-7IGPX 60-69 years, male 185.2
GTEX-1HUB1-1226-SM-B2LWX 60-69 years, male 184.6
GTEX-1C6VR-0426-SM-7IGN6 60-69 years, male 180.7
GTEX-1C4CL-0726-SM-7IGP9 30-39 years, male 179.9
GTEX-RU72-0126-SM-2TF6Z 50-59 years, female 174.2
GTEX-1LH75-0626-SM-DIPG3 50-59 years, female 172.0
GTEX-1EN7A-1026-SM-7IGPZ 40-49 years, male 171.4
GTEX-1R9K4-0726-SM-EWRN2 60-69 years, male 170.4
GTEX-ZAB5-0726-SM-5P9JG 50-59 years, male 170.1
GTEX-145LU-0426-SM-5O9AH 50-59 years, male 169.0
GTEX-1B932-0926-SM-73KUP 40-49 years, female 168.7
GTEX-X15G-0526-SM-3NMB7 50-59 years, female 168.7
GTEX-1AX8Z-0826-SM-7DUFZ 60-69 years, male 168.1
GTEX-16MTA-0726-SM-7KUL4 50-59 years, male 168.0
GTEX-Y5V5-0326-SM-5RQJG 60-69 years, female 167.5
GTEX-1JMPZ-0626-SM-CY8HY 30-39 years, male 166.3
GTEX-1EMGI-0826-SM-7EPHY 60-69 years, male 163.4
GTEX-1F75B-0826-SM-9QEIT 50-59 years, male 162.0
GTEX-17F97-0626-SM-7IGOH 50-59 years, male 160.8
GTEX-RTLS-0626-SM-5SI7Z 60-69 years, female 158.4
GTEX-WOFL-0726-SM-3MJG4 60-69 years, male 158.2
GTEX-1JN6P-0626-SM-ARZN6 60-69 years, male 157.7
GTEX-13PDP-1026-SM-5L3FA 60-69 years, male 156.6
GTEX-ZF3C-0826-SM-DO11E 50-59 years, female 154.3
GTEX-1P4AB-1126-SM-DTX94 50-59 years, male 154.1
GTEX-1IDJC-1026-SM-A96T2 50-59 years, male 153.6
GTEX-183FY-0626-SM-79OKR 20-29 years, male 153.4
GTEX-1EX96-0126-SM-9KNVH 50-59 years, male 152.8
GTEX-12WSE-1226-SM-73KUF 20-29 years, male 152.4
GTEX-1LGRB-1226-SM-CNNPS 50-59 years, female 147.9
GTEX-17HII-1926-SM-79OLB 50-59 years, male 144.1
GTEX-1IE54-0926-SM-A9G2Y 40-49 years, female 141.8
GTEX-1NV5F-0726-SM-DTXEH 60-69 years, female 141.5
GTEX-11TUW-0226-SM-5LU8X 60-69 years, male 139.7
GTEX-11ZTS-1126-SM-5LU9X 60-69 years, female 139.6
GTEX-16MT8-0626-SM-6M47Q 60-69 years, female 138.4
GTEX-1R46S-0426-SM-EVR48 60-69 years, female 138.4
GTEX-X4XX-0926-SM-46MV7 60-69 years, male 138.0
GTEX-1EU9M-0626-SM-7MXUT 60-69 years, male 137.4
GTEX-1269C-0226-SM-5EGKS 60-69 years, female 136.5
GTEX-WEY5-0526-SM-3GIKZ 40-49 years, female 136.0
GTEX-REY6-0526-SM-2TF5M 60-69 years, male 135.7
GTEX-12ZZY-0826-SM-5EQMT 60-69 years, male 135.5
GTEX-1IKOE-0926-SM-ARU7X 30-39 years, female 135.0
GTEX-1ICLZ-0526-SM-ARZM8 60-69 years, male 134.9
GTEX-1RDX4-0926-SM-E9U6D 50-59 years, female 134.8
GTEX-1GN1U-0826-SM-9WPPX 50-59 years, female 134.5
GTEX-139TS-0126-SM-5K7XJ 60-69 years, male 134.0
GTEX-O5YV-1526-SM-EV799 60-69 years, female 133.4
GTEX-PWN1-2626-SM-2I3FH 40-49 years, female 133.3
GTEX-12WSG-0226-SM-5EGIF 50-59 years, female 132.7
GTEX-15RJE-1326-SM-6LPI6 40-49 years, male 132.1
GTEX-13111-0226-SM-5EQ55 50-59 years, male 131.8
GTEX-1I1GR-1126-SM-A9G2I 60-69 years, male 131.8
GTEX-RN64-0626-SM-2TC5V 50-59 years, male 131.0
GTEX-15DDE-0626-SM-69LOK 50-59 years, female 130.8
GTEX-1IL2V-0626-SM-ARU7S 70-79 years, male 130.7
GTEX-1GN2E-0826-SM-9WYT8 60-69 years, male 130.5
GTEX-16XZY-0726-SM-79OMU 70-79 years, male 130.4
GTEX-1F48J-0926-SM-7P8PZ 50-59 years, female 130.4
GTEX-13U4I-0526-SM-5LU59 40-49 years, female 130.0
GTEX-W5X1-0426-SM-3GILB 40-49 years, female 129.8
GTEX-15SB6-1526-SM-7KUMQ 50-59 years, female 129.6
GTEX-1I1GP-0326-SM-CNPQ4 50-59 years, male 129.3
GTEX-OHPK-2626-SM-2HMK9 50-59 years, female 129.2
GTEX-ZE7O-1126-SM-57WC8 50-59 years, female 128.9
GTEX-1AMEY-0126-SM-73KTX 30-39 years, female 128.8
GTEX-1S5ZU-0726-SM-EWROH 20-29 years, female 128.8
GTEX-ZYY3-1926-SM-5GZXS 60-69 years, female 128.7
GTEX-QDVN-0626-SM-2I3FP 50-59 years, male 127.8
GTEX-13X6J-0826-SM-5LU32 50-59 years, male 125.4
GTEX-11O72-2326-SM-5BC7H 40-49 years, male 124.5
GTEX-13NZ8-0226-SM-5J2OK 60-69 years, female 124.4
GTEX-11EQ8-0826-SM-5N9FG 60-69 years, male 123.8
GTEX-148VJ-0726-SM-5LU8J 70-79 years, male 123.7
GTEX-15G1A-0326-SM-6M467 30-39 years, male 123.4
GTEX-1GF9W-0626-SM-7MXVJ 60-69 years, male 122.1
GTEX-148VI-0526-SM-5TDDG 60-69 years, female 121.5
GTEX-17HG3-0226-SM-7EWEA 30-39 years, female 121.3
GTEX-1QEPI-0726-SM-E76QG 60-69 years, female 121.2
GTEX-1JMPY-0126-SM-CJI39 30-39 years, male 120.8
GTEX-1LSVX-0726-SM-E9TJG 60-69 years, male 119.9
GTEX-1PBJJ-1926-SM-DTX8T 30-39 years, male 119.3
GTEX-T6MN-0626-SM-32PM9 50-59 years, male 118.8
GTEX-OXRO-1226-SM-48TDL 60-69 years, female 118.7
GTEX-ZC5H-0626-SM-5LU9K 40-49 years, female 118.7
GTEX-WVLH-0626-SM-3MJG7 50-59 years, male 118.5
GTEX-P4QT-2626-SM-2I3FM 50-59 years, female 118.4
GTEX-Q2AI-0326-SM-2I3EK 40-49 years, male 117.9
GTEX-13CF3-0926-SM-5LZZC 60-69 years, female 117.8
GTEX-14PJO-0626-SM-6LLHH 60-69 years, male 117.6
GTEX-1GMR3-0726-SM-9WPOF 40-49 years, male 117.3
GTEX-169BO-0326-SM-7EPIM 50-59 years, male 117.1
GTEX-1C6VQ-0526-SM-7MGWD 50-59 years, male 117.0
GTEX-17HGU-0826-SM-7EWE5 50-59 years, male 116.6
GTEX-ZQUD-0126-SM-7EPIS 30-39 years, male 116.6
GTEX-1KD5A-0426-SM-D4P3X 50-59 years, male 116.4
GTEX-13S86-1126-SM-5RQJX 40-49 years, male 116.1
GTEX-1GF9X-0126-SM-A9G38 40-49 years, female 116.1
GTEX-1JK1U-0326-SM-CXZJH 60-69 years, male 115.8
GTEX-178AV-0726-SM-6LPJI 40-49 years, male 115.2
GTEX-1GZHY-1426-SM-9WG5H 50-59 years, female 114.9
GTEX-18QFQ-0726-SM-7LG6D 30-39 years, male 114.7
GTEX-1HR98-0326-SM-CGQEL 60-69 years, male 114.4
GTEX-12ZZX-1226-SM-5EGHS 40-49 years, female 114.2
GTEX-X8HC-0726-SM-46MWG 50-59 years, female 113.9
GTEX-1E1VI-0726-SM-7P8QJ 50-59 years, male 113.8
GTEX-17F9E-0626-SM-79ON5 50-59 years, male 113.5
GTEX-N7MS-2326-SM-2HMLD 60-69 years, male 113.5
GTEX-117XS-0526-SM-5987Q 60-69 years, male 112.4
GTEX-1399R-0126-SM-5IFEV 30-39 years, male 112.0
GTEX-14XAO-0426-SM-6AJB6 60-69 years, female 111.9
GTEX-1KAFJ-0426-SM-DHXJH 50-59 years, male 111.8
GTEX-1QP28-0626-SM-E76P5 50-59 years, female 111.5
GTEX-111VG-0526-SM-5N9BW 60-69 years, male 111.4
GTEX-13YAN-0926-SM-5O9C3 60-69 years, male 111.0
GTEX-13O3P-0726-SM-5J2OM 50-59 years, male 110.7
GTEX-18A7A-0826-SM-7KFTJ 50-59 years, female 110.7
GTEX-OXRK-0626-SM-2HMJ5 50-59 years, female 110.7
GTEX-1K9T9-0826-SM-EAZ4X 50-59 years, female 110.6
GTEX-1LB8K-0626-SM-D4P3Z 50-59 years, male 110.6
GTEX-13G51-1226-SM-5K7Z3 60-69 years, male 110.3
GTEX-13FXS-0726-SM-5LZXJ 50-59 years, male 109.4
GTEX-1IKOH-0626-SM-CJI35 60-69 years, female 109.3
GTEX-1PBJI-0726-SM-EXUSQ 20-29 years, female 109.2
GTEX-13X6H-0526-SM-5LU4Q 50-59 years, female 108.3
GTEX-13O3O-0926-SM-5KM1F 60-69 years, female 108.2
GTEX-X5EB-0726-SM-46MVR 40-49 years, male 107.8
GTEX-1EWIQ-0826-SM-7MXTH 70-79 years, female 107.8
GTEX-1HT8W-1526-SM-CE6S3 30-39 years, male 107.3
GTEX-1HBPI-0826-SM-9WYTX 50-59 years, male 106.6
GTEX-17JCI-0626-SM-7IGM7 60-69 years, female 105.7
GTEX-11LCK-0526-SM-5A5M9 30-39 years, male 105.4
GTEX-13PVQ-0726-SM-5L3GI 50-59 years, male 105.3
GTEX-S7SF-0226-SM-5SI7H 20-29 years, female 105.3
GTEX-13FHO-0926-SM-5N9EW 60-69 years, male 105.1
GTEX-13IVO-0926-SM-5KLZP 70-79 years, male 104.9
GTEX-14C38-0826-SM-5S2U8 50-59 years, male 104.8
GTEX-ZPU1-0426-SM-4WWCA 40-49 years, male 104.5
GTEX-16Z82-0426-SM-7EPGX 60-69 years, male 103.9
GTEX-11DXX-0226-SM-5P9HL 60-69 years, female 103.8
GTEX-RNOR-0926-SM-2TF56 50-59 years, female 103.5
GTEX-R55E-0826-SM-2TC5M 20-29 years, male 103.4
GTEX-1JMQJ-2026-SM-CNPP9 50-59 years, male 103.3
GTEX-WWYW-0826-SM-3NB2X 50-59 years, female 102.9
GTEX-1H1DE-0226-SM-ARZN8 20-29 years, male 102.7
GTEX-13QJ3-0926-SM-73KX5 50-59 years, male 102.4
GTEX-145ME-0126-SM-5S2QM 40-49 years, female 102.1
GTEX-S7SE-0726-SM-2XCD7 50-59 years, male 102.1
GTEX-Q2AH-0726-SM-2I3EA 40-49 years, male 101.9
GTEX-13NZA-1026-SM-5MR48 60-69 years, male 101.7
GTEX-1CB4F-0826-SM-793CV 60-69 years, male 101.6
GTEX-ZT9X-0226-SM-51MT2 40-49 years, male 101.4
GTEX-1QPFJ-0626-SM-DTX7Y 30-39 years, female 101.3
GTEX-12WSH-0226-SM-5GCOG 50-59 years, male 101.1
GTEX-1HCUA-0126-SM-B2LWC 50-59 years, female 100.9
GTEX-13O1R-0826-SM-5J2MB 60-69 years, male 100.5
GTEX-11UD2-0626-SM-5GU6L 50-59 years, male 100.2
GTEX-13FTY-0726-SM-5J2OH 40-49 years, female 99.8
GTEX-PX3G-2626-SM-2I3EG 20-29 years, female 99.5
GTEX-15UF6-1126-SM-6LPJ3 70-79 years, female 99.1
GTEX-17KNJ-1026-SM-79ONK 50-59 years, male 99.1
GTEX-1A8FM-0726-SM-7DUGK 50-59 years, female 99.0
GTEX-18A66-0826-SM-72D5Z 60-69 years, male 98.9
GTEX-1MA7X-0926-SM-DIPEJ 60-69 years, male 98.5
GTEX-WHSE-0626-SM-4RGNF 20-29 years, male 97.7
GTEX-18D9U-1026-SM-72D5R 40-49 years, male 97.5
GTEX-1BAJH-0926-SM-79OO6 70-79 years, male 97.2
GTEX-139UW-0126-SM-5KM1B 60-69 years, male 97.1
GTEX-13NYB-0726-SM-5MR4J 40-49 years, male 96.8
GTEX-144GL-1226-SM-5O9A4 50-59 years, male 96.8
GTEX-X4XY-0826-SM-4E3JM 60-69 years, male 96.8
GTEX-1HFI6-1326-SM-A9SL8 40-49 years, male 96.7
GTEX-15RIE-0426-SM-7KUMH 60-69 years, male 96.6
GTEX-1JMLX-0826-SM-CNNPP 50-59 years, male 96.4
GTEX-14C39-0226-SM-5TDDW 40-49 years, male 96.0
GTEX-11ZVC-0126-SM-5986G 50-59 years, female 95.7
GTEX-15ETS-0526-SM-6PAN3 40-49 years, female 95.5
GTEX-17EVP-0126-SM-7EPHW 40-49 years, male 95.2
GTEX-SIU8-0626-SM-2XCDN 50-59 years, male 95.1
GTEX-U3ZH-0226-SM-3DB7B 30-39 years, male 95.1
GTEX-13PVR-0626-SM-5S2RC 60-69 years, female 95.0
GTEX-1HGF4-0726-SM-9WYU9 60-69 years, male 94.7
GTEX-145MH-0426-SM-5LU8T 50-59 years, male 94.6
GTEX-11EMC-0226-SM-5EGLP 60-69 years, female 94.2
GTEX-17HHY-0826-SM-7EPID 50-59 years, male 93.9
GTEX-1H1DF-1026-SM-9QEJ1 40-49 years, female 93.8
GTEX-1JJE9-0226-SM-CY8HU 70-79 years, male 93.8
GTEX-13112-0326-SM-5P9IW 50-59 years, male 93.6
GTEX-1CB4G-1526-SM-7P8QG 60-69 years, male 92.9
GTEX-Y9LG-0426-SM-4VBRT 30-39 years, male 92.8
GTEX-1QP6S-2526-SM-DTX9Z 40-49 years, male 92.7
GTEX-1JJEA-0626-SM-D3L96 60-69 years, male 92.2
GTEX-Q734-0526-SM-2I3EH 40-49 years, female 92.0
GTEX-ZAK1-0726-SM-5HL8Q 50-59 years, female 92.0
GTEX-1JJ6O-0626-SM-AHZ3H 60-69 years, male 92.0
GTEX-1RMOY-0126-SM-EWRNN 50-59 years, male 92.0
GTEX-XV7Q-0326-SM-4BRVM 40-49 years, female 91.9
GTEX-11I78-0526-SM-5986A 50-59 years, female 91.8
GTEX-RWSA-0826-SM-2XCBF 40-49 years, male 91.8
GTEX-14E7W-0926-SM-5YYA4 70-79 years, male 91.6
GTEX-1CB4J-1426-SM-7MKFR 60-69 years, male 91.5
GTEX-ZF28-0826-SM-4WKGJ 60-69 years, male 91.5
GTEX-RUSQ-1026-SM-2TF6V 50-59 years, male 91.3
GTEX-145MG-0826-SM-5Q5C2 50-59 years, male 91.0
GTEX-1I6K7-1126-SM-A96SW 40-49 years, male 91.0
GTEX-1HSMO-0726-SM-A96TM 60-69 years, male 90.7
GTEX-1I1GV-0726-SM-ARZLY 60-69 years, male 90.7
GTEX-1HC8U-1226-SM-9WYUW 40-49 years, female 89.8
GTEX-WXYG-0226-SM-3NB2Y 50-59 years, female 89.7
GTEX-ZTPG-0826-SM-5DUVC 20-29 years, female 89.7
GTEX-ZYFD-0826-SM-5NQ9A 50-59 years, male 89.6
GTEX-1LBAC-0726-SM-D3L9U 20-29 years, male 89.4
GTEX-17EVQ-0526-SM-7KFSK 70-79 years, male 89.2
GTEX-12WSC-0826-SM-5EQ5Q 50-59 years, male 89.0
GTEX-11P7K-0226-SM-5986Z 30-39 years, male 88.8
GTEX-ZDYS-0626-SM-5J2N5 50-59 years, male 88.6
GTEX-P78B-0526-SM-2I5F7 40-49 years, female 88.5
GTEX-RWS6-0626-SM-2XCAS 60-69 years, female 88.4
GTEX-132AR-1126-SM-5P9GA 50-59 years, female 88.0
GTEX-13N2G-0726-SM-5MR38 60-69 years, male 88.0
GTEX-NFK9-0726-SM-2HMJW 40-49 years, male 87.8
GTEX-111YS-0726-SM-5GZY8 60-69 years, male 87.6
GTEX-131XE-0126-SM-5LZVC 50-59 years, male 87.1
GTEX-1F6IF-1126-SM-9KNV2 60-69 years, male 86.9
GTEX-1C64N-1026-SM-79ONM 50-59 years, male 86.6
GTEX-13OW6-0726-SM-5L3FX 50-59 years, male 86.5
GTEX-Y3IK-0526-SM-4WWE3 50-59 years, female 86.3
GTEX-1H1ZS-0726-SM-A9G3K 70-79 years, male 86.3
GTEX-OXRL-2626-SM-2I3F1 50-59 years, male 86.1
GTEX-183WM-2626-SM-7KFRY 70-79 years, female 85.9
GTEX-13W46-0926-SM-5LU3T 50-59 years, male 85.8
GTEX-1PWST-0726-SM-EWRMO 70-79 years, male 85.6
GTEX-131XH-0526-SM-5DUX7 50-59 years, male 85.5
GTEX-14E6C-2626-SM-5RQJP 40-49 years, male 85.4
GTEX-ZVP2-0426-SM-57WC2 50-59 years, male 85.4
GTEX-11DYG-0826-SM-5N9GH 60-69 years, male 85.1
GTEX-14PN3-0826-SM-69LOS 60-69 years, female 84.9
GTEX-13VXU-0826-SM-5KLZ2 50-59 years, male 84.8
GTEX-15G19-0626-SM-6M474 60-69 years, male 84.8
GTEX-WFJO-0226-SM-3GIKW 30-39 years, male 84.7
GTEX-1J8JJ-0726-SM-AHZ3E 60-69 years, female 84.6
GTEX-1HBPH-0926-SM-A9SME 40-49 years, female 84.5
GTEX-SN8G-1526-SM-4DM79 50-59 years, female 84.4
GTEX-1HCU7-0826-SM-B2LX7 50-59 years, male 84.4
GTEX-U3ZN-0326-SM-3DB86 30-39 years, female 84.3
GTEX-14E6E-0326-SM-73KY6 30-39 years, male 83.9
GTEX-ZGAY-1026-SM-4WWBR 40-49 years, female 83.9
GTEX-1HKZK-0826-SM-A9G2C 40-49 years, male 83.9
GTEX-13OVJ-0626-SM-5J2O2 50-59 years, female 83.8
GTEX-1RQED-0926-SM-EWRNZ 60-69 years, male 83.7
GTEX-12WSL-0626-SM-5GCOY 50-59 years, male 83.5
GTEX-ZYFC-0926-SM-5GZWW 50-59 years, male 83.4
GTEX-ZT9W-0226-SM-7SB6H 50-59 years, male 83.4
GTEX-ZZ64-0126-SM-5GZXA 20-29 years, male 83.3
GTEX-13NZ9-1126-SM-5MR37 50-59 years, male 83.2
GTEX-15SHU-0726-SM-7KUFI 40-49 years, female 83.1
GTEX-OXRN-1526-SM-E6CHM 50-59 years, male 83.0
GTEX-17MF6-0626-SM-7LT8D 40-49 years, male 82.8
GTEX-ZPIC-0226-SM-DO91T 40-49 years, female 82.8
GTEX-XOT4-1526-SM-EAZ2W 60-69 years, female 82.6
GTEX-11P81-0126-SM-5HL5Y 30-39 years, female 82.5
GTEX-WYVS-0326-SM-3NM9V 40-49 years, female 82.3
GTEX-R53T-0526-SM-3GADL 50-59 years, female 81.9
GTEX-13QBU-0626-SM-5J2OG 40-49 years, female 81.6
GTEX-1H1DG-0726-SM-A96TN 70-79 years, male 81.4
GTEX-16YQH-0326-SM-6LPJV 30-39 years, male 81.3
GTEX-1MJK3-0326-SM-DTX96 20-29 years, male 81.2
GTEX-144GM-0226-SM-5Q5CB 20-29 years, male 80.9
GTEX-13FHP-0926-SM-5L3EC 50-59 years, male 80.7
GTEX-1J1R8-0126-SM-CJI36 40-49 years, male 80.7
GTEX-W5WG-1426-SM-4KKZP 50-59 years, female 80.6
GTEX-Z93S-0526-SM-EVYB4 50-59 years, male 80.4
GTEX-1C6VS-0826-SM-7EWEI 60-69 years, male 80.1
GTEX-Y5LM-0626-SM-4V6G4 40-49 years, female 80.1
GTEX-1HBPN-1226-SM-B2LW9 50-59 years, male 80.0
GTEX-14PKV-0626-SM-6AJA2 20-29 years, female 79.8
GTEX-13O3Q-0626-SM-5IJG1 50-59 years, male 79.7
GTEX-1128S-0126-SM-5H12S 60-69 years, female 79.6
GTEX-13OVK-0226-SM-6M472 40-49 years, male 79.5
GTEX-WYBS-1926-SM-3NM8N 60-69 years, female 79.5
GTEX-1H11D-0626-SM-9WPQ1 40-49 years, male 79.4
GTEX-16BQI-0726-SM-6LPJZ 30-39 years, female 79.2
GTEX-ZPCL-0126-SM-4WWC8 60-69 years, female 79.1
GTEX-139YR-1226-SM-5IFEU 50-59 years, male 78.9
GTEX-15RJ7-0326-SM-6M47H 40-49 years, male 78.9
GTEX-11DXZ-0926-SM-5N9CG 50-59 years, male 78.7
GTEX-14C5O-0826-SM-5TDEG 60-69 years, male 78.7
GTEX-Z9EW-0226-SM-5CVM7 40-49 years, male 78.7
GTEX-QEG5-0826-SM-2I5GF 20-29 years, male 78.6
GTEX-1NUQO-0926-SM-DTXEX 20-29 years, female 78.4
GTEX-1497J-0126-SM-5Q5BK 60-69 years, male 78.0
GTEX-1MUQO-0726-SM-E9TJM 60-69 years, male 77.9
GTEX-TSE9-0626-SM-3DB8B 60-69 years, female 77.8
GTEX-11EI6-0726-SM-59866 60-69 years, male 77.5
GTEX-XXEK-1326-SM-4BRV1 50-59 years, male 77.4
GTEX-18D9B-0726-SM-72D6K 60-69 years, male 77.3
GTEX-1R9JW-0226-SM-EVR4K 30-39 years, female 77.3
GTEX-145MI-1126-SM-5O9AK 60-69 years, female 76.6
GTEX-1HR9M-0626-SM-A96S6 60-69 years, male 76.6
GTEX-R55G-0726-SM-2TC6J 40-49 years, female 76.3
GTEX-1K2DU-0126-SM-E9TIU 20-29 years, male 76.2
GTEX-15DZA-0226-SM-7KFS6 30-39 years, female 75.9
GTEX-1GMR8-0826-SM-9KNUR 50-59 years, female 75.8
GTEX-1GZ2Q-0826-SM-7P8TK 40-49 years, male 75.7
GTEX-113JC-0126-SM-5EGJW 50-59 years, female 75.6
GTEX-1A3MV-0326-SM-73KW7 30-39 years, male 74.9
GTEX-1A8G6-0626-SM-7IGNB 60-69 years, male 74.9
GTEX-P4QS-2626-SM-2I3EV 60-69 years, male 74.8
GTEX-18465-1426-SM-7KFTF 50-59 years, male 74.7
GTEX-WL46-0126-SM-3TW8I 50-59 years, male 74.6
GTEX-146FR-0326-SM-5SI8U 60-69 years, female 74.4
GTEX-1477Z-0226-SM-5TDCI 60-69 years, male 74.0
GTEX-ZAJG-0726-SM-5HL9A 50-59 years, female 73.9
GTEX-18A67-0826-SM-7KFTI 50-59 years, male 73.8
GTEX-1QAET-0226-SM-EVR3T 50-59 years, male 73.8
GTEX-PWCY-2326-SM-2I3EQ 20-29 years, female 73.7
GTEX-1AX9I-0626-SM-72D54 60-69 years, male 73.6
GTEX-WRHU-0926-SM-4E3IG 50-59 years, female 73.5
GTEX-16XZZ-0826-SM-7IGM3 60-69 years, male 73.3
GTEX-1QCLY-0826-SM-DTX8A 30-39 years, male 73.0
GTEX-ZYVF-1126-SM-5E458 50-59 years, female 72.9
GTEX-OOBJ-2626-SM-2I3F6 60-69 years, male 72.5
GTEX-15FZZ-0226-SM-6LLI4 30-39 years, female 72.4
GTEX-1QP66-0326-SM-DTX7V 50-59 years, male 72.4
GTEX-12WSD-0926-SM-5GCNL 60-69 years, female 72.2
GTEX-1313W-0726-SM-5EGK1 50-59 years, female 71.9
GTEX-1GN1V-0626-SM-7P8QU 60-69 years, male 71.6
GTEX-OIZF-2626-SM-7P8QZ 60-69 years, male 71.6
GTEX-1H1E6-0326-SM-9OSWE 30-39 years, male 71.5
GTEX-1212Z-0426-SM-5FQT6 60-69 years, male 71.0
GTEX-1PFEY-0226-SM-EVR3M 30-39 years, male 71.0
GTEX-13OW8-0126-SM-5IJE5 60-69 years, male 70.3
GTEX-1GMRU-1126-SM-9KNV1 50-59 years, male 70.3
GTEX-1HFI7-0326-SM-9WPOX 50-59 years, female 70.2
GTEX-1HCVE-0726-SM-A96SH 50-59 years, male 70.1
GTEX-13FH7-0126-SM-5KLZ1 50-59 years, female 70.0
GTEX-1B8L1-1626-SM-7IGMH 60-69 years, male 70.0
GTEX-ZLFU-0626-SM-4WWBO 40-49 years, male 70.0
GTEX-OIZG-0226-SM-2TC5L 50-59 years, male 69.4
GTEX-1IL2U-0826-SM-CL53Q 60-69 years, male 69.4
GTEX-14PHW-2926-SM-6AJBA 60-69 years, female 69.3
GTEX-111CU-0226-SM-5GZXC 50-59 years, male 69.2
GTEX-1GL5R-0626-SM-7PBZY 50-59 years, male 69.1
GTEX-1PDJ9-0826-SM-E76PS 20-29 years, male 68.9
GTEX-14PII-0826-SM-6871S 60-69 years, male 68.7
GTEX-1RAZS-1026-SM-E9TID 50-59 years, male 68.5
GTEX-14PJM-1326-SM-664NX 50-59 years, female 68.3
GTEX-1GF9V-0926-SM-9KNW7 60-69 years, male 68.2
GTEX-1GN73-0826-SM-9OSW4 60-69 years, male 68.2
GTEX-Y114-0626-SM-4TT98 50-59 years, female 67.8
GTEX-1I6K6-0726-SM-B2LX4 30-39 years, male 67.5
GTEX-1AX9J-2126-SM-731DD 60-69 years, male 67.3
GTEX-1B97I-0326-SM-7DUGB 40-49 years, male 67.3
GTEX-11TT1-1126-SM-5P9GV 20-29 years, male 67.2
GTEX-131YS-0726-SM-5P9G9 60-69 years, female 67.2
GTEX-QLQ7-0726-SM-2I5G2 60-69 years, male 67.0
GTEX-133LE-0326-SM-5P9G4 20-29 years, female 66.9
GTEX-13D11-0226-SM-5LZXL 50-59 years, female 66.9
GTEX-1LVAM-0826-SM-EV79X 50-59 years, female 66.9
GTEX-1HB9E-0826-SM-CNNQJ 50-59 years, male 66.7
GTEX-16GPK-0926-SM-6LPJ9 60-69 years, male 66.6
GTEX-U4B1-0626-SM-3DB8L 40-49 years, male 66.6
GTEX-146FQ-0726-SM-5LUA7 30-39 years, male 66.5
GTEX-1HCU9-0226-SM-9WPNT 20-29 years, male 66.2
GTEX-15ER7-0726-SM-7KUMF 20-29 years, female 66.0
GTEX-1I1GQ-0826-SM-CNNQR 50-59 years, male 66.0
GTEX-1RQEC-1026-SM-EVR5B 60-69 years, male 65.9
GTEX-RU1J-0226-SM-2TF5Y 20-29 years, female 65.7
GTEX-1C2JI-0326-SM-7EWFD 50-59 years, male 65.5
GTEX-1B97J-0626-SM-7P8RU 50-59 years, female 65.5
GTEX-1HBPM-0926-SM-ARL9C 60-69 years, female 65.4
GTEX-XBED-0126-SM-47JY7 60-69 years, male 65.3
GTEX-ZF29-0726-SM-DO92H 60-69 years, female 65.2
GTEX-1F88F-0726-SM-7P8R7 60-69 years, female 65.1
GTEX-11EM3-0126-SM-5985K 20-29 years, female 64.7
GTEX-T2IS-0626-SM-32QP6 20-29 years, female 64.7
GTEX-147GR-0726-SM-5S2PL 60-69 years, male 64.6
GTEX-13OVG-0226-SM-5LU93 60-69 years, male 63.8
GTEX-14PJ4-0326-SM-664OT 60-69 years, male 63.5
GTEX-YB5K-0526-SM-5LUAS 40-49 years, female 63.5
GTEX-1IDJH-0826-SM-CE6SY 70-79 years, male 63.5
GTEX-RVPV-1226-SM-2TF73 60-69 years, male 63.1
GTEX-WHSB-1626-SM-3LK6J 50-59 years, male 63.1
GTEX-1QMI2-0826-SM-EXUT4 60-69 years, male 63.1
GTEX-1IKJJ-1026-SM-A96SQ 60-69 years, male 62.9
GTEX-13QJC-0826-SM-5RQKC 60-69 years, female 62.7
GTEX-11NUK-1026-SM-5HL5J 50-59 years, male 62.4
GTEX-15CHQ-0826-SM-69LOT 60-69 years, male 62.4
GTEX-14JG6-1326-SM-9OSXU 30-39 years, female 62.3
GTEX-1ICLY-0726-SM-A96TB 50-59 years, male 62.2
GTEX-ZYW4-1126-SM-5SI99 60-69 years, male 62.0
GTEX-15D1Q-0626-SM-6AJAZ 40-49 years, male 61.5
GTEX-1O9I2-1226-SM-E6CQC 50-59 years, male 61.4
GTEX-1I1GT-0826-SM-B2LWO 60-69 years, female 61.0
GTEX-1JMQK-2126-SM-CY8I2 60-69 years, male 61.0
GTEX-ZDXO-1726-SM-5HL6L 60-69 years, male 61.0
GTEX-14A5H-0726-SM-5Q5DW 60-69 years, male 60.4
GTEX-POYW-0826-SM-2XCEM 60-69 years, male 60.4
GTEX-16AAH-0326-SM-7DHML 50-59 years, male 60.2
GTEX-111FC-1026-SM-5GZX1 60-69 years, male 60.1
GTEX-1J1OQ-0526-SM-A9G2P 40-49 years, female 60.1
GTEX-ZV6S-0226-SM-59HJT 40-49 years, female 60.0
GTEX-1I1GS-0726-SM-C1YS7 60-69 years, male 60.0
GTEX-1HSEH-0826-SM-B2LXE 60-69 years, male 59.9
GTEX-11DZ1-2726-SM-5A5KH 50-59 years, male 59.6
GTEX-14ABY-0926-SM-5Q5DY 50-59 years, male 59.6
GTEX-14PN4-1526-SM-6871V 50-59 years, male 59.6
GTEX-14ASI-0726-SM-5Q5DC 60-69 years, male 59.0
GTEX-13FTW-0626-SM-5IFEX 40-49 years, male 58.4
GTEX-1QP67-0326-SM-EVR45 40-49 years, female 58.4
GTEX-117YW-0126-SM-5EGGN 50-59 years, male 58.3
GTEX-11OF3-0626-SM-5BC4Y 60-69 years, male 58.1
GTEX-1IY9M-1026-SM-A96TG 60-69 years, male 58.1
GTEX-14A6H-2426-SM-5Q5BO 30-39 years, male 58.0
GTEX-13JVG-0926-SM-5IJE1 60-69 years, male 57.7
GTEX-XUW1-1026-SM-4BONY 50-59 years, female 57.5
GTEX-13RTK-0326-SM-5RQHS 20-29 years, male 57.4
GTEX-14B4R-0126-SM-5TDE4 30-39 years, male 57.3
GTEX-ZV7C-0126-SM-57WDE 50-59 years, male 57.3
GTEX-1R9PM-0226-SM-DPRY7 20-29 years, male 57.2
GTEX-ZYT6-0426-SM-5GID3 30-39 years, male 57.1
GTEX-17GQL-0226-SM-7LTAK 60-69 years, male 56.9
GTEX-PLZ4-1226-SM-2I5FE 50-59 years, female 56.7
GTEX-V1D1-0926-SM-4JBHQ 50-59 years, male 56.6
GTEX-S32W-0726-SM-2XCBL 50-59 years, female 56.5
GTEX-1AYCT-0226-SM-73KVB 50-59 years, male 56.3
GTEX-WFG8-0426-SM-3GILD 20-29 years, male 56.3
GTEX-1CB4E-0326-SM-7MXT3 60-69 years, male 55.9
GTEX-18A6Q-0726-SM-7LT8Y 60-69 years, male 55.7
GTEX-1H1CY-0726-SM-9OSXX 60-69 years, female 55.7
GTEX-ZTSS-0226-SM-59877 40-49 years, male 55.6
GTEX-WHPG-0226-SM-3NMB9 50-59 years, male 55.5
GTEX-1H2FU-0626-SM-9WPPS 60-69 years, female 55.4
GTEX-1GF9U-0226-SM-7P8TY 40-49 years, female 55.3
GTEX-14PQA-1226-SM-6M47A 50-59 years, female 54.8
GTEX-QV44-0826-SM-2S1RG 50-59 years, male 54.8
GTEX-1K2DA-1526-SM-CGQGQ 50-59 years, male 54.5
GTEX-11EQ9-0626-SM-5A5K1 30-39 years, male 54.4
GTEX-132QS-0326-SM-5IJFN 60-69 years, male 54.3
GTEX-1QP2A-0626-SM-DTX9C 50-59 years, male 54.2
GTEX-1HSGN-0726-SM-A9G2F 40-49 years, female 54.0
GTEX-1PPGY-1426-SM-EVR3R 60-69 years, male 54.0
GTEX-RN5K-2826-SM-EZ6L3 50-59 years, female 53.9
GTEX-1AX9K-0626-SM-73KVD 50-59 years, male 53.8
GTEX-13PL6-1026-SM-5L3E5 40-49 years, female 53.7
GTEX-1F75A-0326-SM-7MXTR 50-59 years, male 53.7
GTEX-Q2AG-0826-SM-2HMKF 40-49 years, female 53.5
GTEX-U8T8-2326-SM-3DB96 60-69 years, male 53.5
GTEX-14PJ3-0126-SM-69LQP 50-59 years, male 53.3
GTEX-1R9K5-0726-SM-EAZ4E 50-59 years, male 53.3
GTEX-13O21-2226-SM-5MR3L 50-59 years, male 53.2
GTEX-1PIIG-2026-SM-EVR43 30-39 years, male 53.2
GTEX-U3ZM-0126-SM-3DB8M 40-49 years, male 53.1
GTEX-VUSG-0426-SM-3GIKD 50-59 years, male 53.1
GTEX-1CAMR-0226-SM-7DUGO 20-29 years, male 53.0
GTEX-YEC4-0626-SM-5CVLU 40-49 years, male 52.5
GTEX-13113-0126-SM-5LZVX 60-69 years, female 52.4
GTEX-1CAMS-0826-SM-7P8P1 40-49 years, female 52.4
GTEX-ZXG5-0926-SM-5NQ8H 60-69 years, male 52.3
GTEX-ZTX8-0626-SM-59HKC 20-29 years, male 52.2
GTEX-OXRP-0326-SM-33HBJ 60-69 years, female 52.1
GTEX-RM2N-0526-SM-2TF4N 50-59 years, male 52.1
GTEX-17HHE-0426-SM-79OK3 50-59 years, male 52.0
GTEX-SNOS-0226-SM-32PLR 40-49 years, male 51.9
GTEX-WFG7-0326-SM-DKPO8 20-29 years, male 51.8
GTEX-WK11-0926-SM-3NMAU 50-59 years, male 51.6
GTEX-14PK6-0426-SM-6EU1J 70-79 years, female 51.4
GTEX-ZLV1-0126-SM-4WWBZ 60-69 years, female 51.4
GTEX-14PJ6-0326-SM-6871H 60-69 years, female 51.3
GTEX-1I19N-0226-SM-CE6ST 70-79 years, male 51.0
GTEX-WY7C-0226-SM-3NB37 50-59 years, male 50.8
GTEX-1192W-0126-SM-5EGGS 60-69 years, male 50.4
GTEX-1MGNQ-0726-SM-DPRYH 40-49 years, male 50.4
GTEX-11GS4-0826-SM-5986J 60-69 years, male 50.2
GTEX-1GTWX-0726-SM-9WPPA 60-69 years, male 50.0
GTEX-1GPI7-0726-SM-9WG84 20-29 years, male 49.9
GTEX-14AS3-0226-SM-5Q5B6 40-49 years, female 49.8
GTEX-1EH9U-0926-SM-7EWF1 60-69 years, male 49.8
GTEX-TKQ1-0126-SM-33HB3 30-39 years, male 49.8
GTEX-13O61-0226-SM-5KM52 60-69 years, male 49.6
GTEX-14BMV-0726-SM-73KVE 50-59 years, male 49.6
GTEX-R3RS-0726-SM-3GIJR 40-49 years, female 49.5
GTEX-ZVZQ-0626-SM-59HJU 60-69 years, female 49.3
GTEX-13OVI-0826-SM-5KLZ8 60-69 years, female 49.2
GTEX-WH7G-0526-SM-3NMBI 40-49 years, male 49.2
GTEX-131XF-1826-SM-5EGKG 60-69 years, male 49.0
GTEX-1IOXB-1026-SM-CJI4D 50-59 years, male 48.8
GTEX-1KANC-0826-SM-D3LA8 50-59 years, female 48.6
GTEX-145LT-0226-SM-5S2QK 40-49 years, male 48.4
GTEX-14753-0926-SM-5Q5BI 60-69 years, male 48.4
GTEX-P44G-0626-SM-2I5EO 30-39 years, male 48.3
GTEX-ZQG8-0926-SM-57WFF 60-69 years, female 48.1
GTEX-1HSMQ-0526-SM-A96TY 50-59 years, male 47.8
GTEX-QXCU-0326-SM-2TC63 50-59 years, male 47.7
GTEX-ZZPU-1326-SM-5GZWS 50-59 years, female 47.7
GTEX-1KXAM-1726-SM-D3LAE 60-69 years, male 47.7
GTEX-1C475-0226-SM-7MGXM 40-49 years, female 47.6
GTEX-12ZZZ-1226-SM-59HK1 60-69 years, male 47.5
GTEX-ZA64-0426-SM-5HL96 20-29 years, male 47.3
GTEX-1QP9N-0126-SM-DPRZS 30-39 years, male 47.1
GTEX-11P82-0226-SM-5HL4O 20-29 years, male 46.9
GTEX-14PKU-0326-SM-6AJA7 40-49 years, female 46.8
GTEX-15CHR-1726-SM-7DUGW 50-59 years, male 46.8
GTEX-1RAZR-1126-SM-E6CRC 40-49 years, male 46.7
GTEX-ZUA1-0926-SM-4YCDX 40-49 years, male 46.6
GTEX-144GO-0126-SM-5LUAO 60-69 years, male 46.4
GTEX-1I1GU-0826-SM-ARZM5 40-49 years, male 46.4
GTEX-X4LF-0426-SM-3NMB5 50-59 years, male 46.2
GTEX-R55C-0626-SM-2TF4Q 40-49 years, male 46.1
GTEX-1JKYN-1126-SM-CGQG5 30-39 years, male 46.1
GTEX-WYJK-1626-SM-3NM9J 50-59 years, male 46.0
GTEX-XUZC-0126-SM-4BOO6 30-39 years, female 45.9
GTEX-XLM4-0726-SM-4AT64 60-69 years, male 45.8
GTEX-SE5C-0726-SM-4BRWY 40-49 years, female 45.4
GTEX-1B933-1026-SM-7P8RO 50-59 years, female 45.4
GTEX-13OW5-0626-SM-5J2N2 60-69 years, male 45.3
GTEX-11NSD-0126-SM-5987F 20-29 years, male 45.1
GTEX-131XG-0226-SM-5IFG1 50-59 years, female 45.1
GTEX-1IDJU-1626-SM-CJI4B 60-69 years, female 44.8
GTEX-1CAMQ-1126-SM-7EWFE 40-49 years, male 44.7
GTEX-XBEW-0126-SM-4AT66 40-49 years, male 44.7
GTEX-1122O-0226-SM-5N9DA 60-69 years, female 44.6
GTEX-11TTK-0826-SM-5N9EG 60-69 years, female 44.2
GTEX-18D9A-0126-SM-7KFSI 30-39 years, female 44.1
GTEX-QDT8-1226-SM-EVR35 30-39 years, female 44.1
GTEX-1KD4Q-1026-SM-CXZKJ 40-49 years, male 43.8
GTEX-12WSN-0726-SM-5GCMS 40-49 years, male 43.7
GTEX-15SHV-0426-SM-6M476 60-69 years, male 43.7
GTEX-1F75I-0926-SM-7MXUU 40-49 years, male 43.7
GTEX-1RAZQ-0926-SM-EAZ4Q 30-39 years, male 43.7
GTEX-13OW7-0826-SM-5L3EL 50-59 years, male 43.6
GTEX-1ICG6-0426-SM-ARU7M 70-79 years, female 43.6
GTEX-12WSK-0926-SM-5CVNQ 40-49 years, female 43.4
GTEX-16NPX-1426-SM-6LPK3 50-59 years, male 43.4
GTEX-13VXT-0626-SM-5SIA1 20-29 years, female 43.3
GTEX-QEL4-0726-SM-3GIJ5 50-59 years, male 43.2
GTEX-T8EM-0226-SM-3DB7C 40-49 years, male 43.2
GTEX-1B8SG-1126-SM-7IGMT 50-59 years, male 43.0
GTEX-Y8E4-0126-SM-4VBQ2 40-49 years, male 43.0
GTEX-1399U-0326-SM-5P9G5 50-59 years, female 42.9
GTEX-1HSKV-1026-SM-B2LWK 60-69 years, male 42.6
GTEX-1LVAN-0726-SM-CNNPF 50-59 years, female 42.5
GTEX-ZLWG-0526-SM-4WWFB 50-59 years, female 42.4
GTEX-139T6-0326-SM-5J2LY 50-59 years, male 42.3
GTEX-1N5O9-1026-SM-DTX8Y 60-69 years, male 42.2
GTEX-1CB4H-0126-SM-7IGN2 60-69 years, female 42.1
GTEX-1192X-1126-SM-5EGGU 50-59 years, male 41.9
GTEX-Y111-1926-SM-4SOIS 50-59 years, male 41.6
GTEX-YF7O-0726-SM-4W213 50-59 years, male 41.6
GTEX-1A8G7-1026-SM-73KVA 60-69 years, male 41.5
GTEX-1GN1W-0126-SM-7MXV7 50-59 years, female 41.5
GTEX-T6MO-0226-SM-32QOL 40-49 years, female 41.4
GTEX-YFC4-2626-SM-5P9FQ 40-49 years, female 41.2
GTEX-Y3I4-0226-SM-4TT27 50-59 years, male 41.1
GTEX-13N11-1026-SM-5K7XQ 50-59 years, female 40.9
GTEX-1B8KE-0626-SM-7189H 50-59 years, male 40.7
GTEX-1JKYR-0826-SM-ARU8L 20-29 years, male 40.2
GTEX-1S83E-0726-SM-EV7B6 40-49 years, male 40.2
GTEX-12696-0326-SM-5EGL4 60-69 years, male 40.0
GTEX-1J8QM-0726-SM-CE6RF 60-69 years, female 39.7
GTEX-U412-0726-SM-EVR2Y 60-69 years, male 39.7
GTEX-ZYFG-0626-SM-5GZYA 60-69 years, female 39.5
GTEX-1LG7Y-0626-SM-DHXJM 50-59 years, male 39.5
GTEX-OIZI-0726-SM-2XCEI 40-49 years, male 39.4
GTEX-XGQ4-0426-SM-4AT4I 50-59 years, male 39.3
GTEX-1F5PL-0826-SM-7MXU7 40-49 years, female 39.2
GTEX-1PPH8-0926-SM-DTX9U 20-29 years, male 39.2
GTEX-12BJ1-0426-SM-5FQSO 60-69 years, male 39.1
GTEX-1OJC4-0526-SM-E6CQV 50-59 years, female 39.1
GTEX-1H3VE-0826-SM-9KNVQ 40-49 years, male 38.9
GTEX-1211K-0726-SM-5FQUW 60-69 years, female 38.7
GTEX-1CB4I-0726-SM-7DUGS 50-59 years, male 38.6
GTEX-QV31-0726-SM-3GAEG 30-39 years, male 38.2
GTEX-YJ89-0726-SM-5P9F7 60-69 years, male 37.9
GTEX-VJYA-0426-SM-3GIJK 60-69 years, male 37.7
GTEX-11XUK-0226-SM-5EQLW 40-49 years, female 37.4
GTEX-P4PQ-2626-SM-33HC9 60-69 years, male 37.4
GTEX-132NY-1026-SM-5P9IY 60-69 years, male 37.3
GTEX-13NYC-2426-SM-5MR3K 60-69 years, male 37.3
GTEX-1MCC2-0526-SM-DHXJS 30-39 years, female 37.3
GTEX-17F96-0526-SM-79OLE 70-79 years, male 37.1
GTEX-16NGA-0326-SM-718AJ 40-49 years, female 36.9
GTEX-1399T-0126-SM-5KM15 60-69 years, male 36.8
GTEX-UJMC-0326-SM-3GAE2 50-59 years, male 36.8
GTEX-ZVT3-0726-SM-5GICN 60-69 years, female 36.4
GTEX-1GZ4I-0626-SM-9WPPN 50-59 years, male 36.3
GTEX-XMK1-0626-SM-4B65A 40-49 years, male 36.2
GTEX-ZY6K-0226-SM-5SIAY 50-59 years, male 36.2
GTEX-X261-0726-SM-EZ6MH 50-59 years, male 36.1
GTEX-Y5V6-0526-SM-4VBRV 60-69 years, male 35.9
GTEX-15EO6-0126-SM-6LPKJ 50-59 years, male 35.8
GTEX-1F52S-0526-SM-7P8TP 60-69 years, female 35.2
GTEX-12584-0826-SM-5FQSK 40-49 years, male 34.9
GTEX-1M4P7-0626-SM-EVR51 60-69 years, male 34.7
GTEX-1MJK2-0826-SM-DTXE8 50-59 years, male 34.4
GTEX-1PIGE-0726-SM-DPRZD 20-29 years, male 34.3
GTEX-1FIGZ-0226-SM-7P8QR 40-49 years, male 34.2
GTEX-14BMU-0226-SM-5S2QA 20-29 years, female 33.7
GTEX-1OFPY-1526-SM-DTX8R 60-69 years, male 32.9
GTEX-14ICL-0426-SM-5RQJ3 30-39 years, male 32.8
GTEX-SUCS-0226-SM-32PLQ 70-79 years, male 32.8
GTEX-147F4-0826-SM-5QGRB 50-59 years, male 32.7
GTEX-117YX-1226-SM-5H11S 50-59 years, male 32.6
GTEX-1J8Q3-0226-SM-C1YR4 60-69 years, male 32.4
GTEX-1B8KZ-0426-SM-731DP 50-59 years, male 31.6
GTEX-SJXC-0726-SM-2XCFJ 60-69 years, male 31.5
GTEX-YEC3-0826-SM-4WWFP 50-59 years, male 31.5
GTEX-1LGOU-0126-SM-EV79W 20-29 years, female 30.8
GTEX-1IGQW-0626-SM-C1YR9 60-69 years, male 30.6
GTEX-S341-0226-SM-D4P1Y 40-49 years, female 30.1
GTEX-12WSJ-0326-SM-5GCMT 40-49 years, female 29.7
GTEX-13FLW-0326-SM-5J2M4 50-59 years, male 29.2
GTEX-1QCLZ-0626-SM-E6CR2 60-69 years, female 29.2
GTEX-1RAZA-0826-SM-EAZ4I 20-29 years, male 29.0
GTEX-T5JW-1226-SM-3GACY 20-29 years, female 28.9
GTEX-V955-0426-SM-3GAEL 60-69 years, male 28.8
GTEX-15CHC-0126-SM-5YYBA 60-69 years, female 28.5
GTEX-13RTJ-0326-SM-5YYAE 60-69 years, male 27.9
GTEX-11NV4-0626-SM-5N9BR 60-69 years, male 27.5
GTEX-14BIN-0126-SM-5TDCG 50-59 years, female 26.5
GTEX-15RIF-0326-SM-7KUFR 20-29 years, male 26.4
GTEX-11VI4-0226-SM-5GU6C 40-49 years, female 26.3
GTEX-13N1W-0826-SM-5MR5J 70-79 years, male 26.0
GTEX-14JIY-1226-SM-6871R 60-69 years, male 25.3
GTEX-QDVJ-0226-SM-2I5FV 50-59 years, male 25.3
GTEX-11ZTT-1026-SM-5EQKF 60-69 years, female 25.2
GTEX-ZVZP-1026-SM-5GICI 50-59 years, male 24.9
GTEX-13FLV-0226-SM-5J2OF 50-59 years, male 24.4
GTEX-OHPM-2626-SM-33HC5 50-59 years, male 24.0
GTEX-TMMY-0826-SM-33HB9 40-49 years, female 23.6
GTEX-1QW4Y-0226-SM-EAZ3U 30-39 years, male 21.5
GTEX-15EU6-1426-SM-6M48E 50-59 years, male 20.7
GTEX-11GSO-0626-SM-5A5LW 60-69 years, male 20.0
GTEX-1AMFI-0526-SM-7189M 50-59 years, female 17.6
GTEX-YB5E-0626-SM-4VDSE 40-49 years, male 14.9
GTEX-YFCO-0326-SM-4W1ZP 40-49 years, male 12.3
GTEX-1GZ4H-0226-SM-9JGGJ 50-59 years, female 10.8
GTEX-XYKS-0826-SM-4BRVF 60-69 years, female 9.1
Show allShow less

THYROID GLAND - FANTOM5 CAGEi

RNA expression in human tissues obtained through Cap Analysis of Gene Expression (CAGE) generated by the FANTOM5 project are reported as Scaled Tags Per Million.

Max subtype Scaled Tags Per Millioni

Max subtype Scaled Tags Per Million is the value for the subtype with the largest average Scaled Tags Per Million across the subtype samples.

155.5
FANTOM5 sample id Sample description Scaled Tags Per Million
Thyroid
Scaled Tags Per Million: 155.5
FF:10028-101E1 67,68,78 years, mixed 155.5

Contact

  • NEWS ARTICLES
  • PRESS ROOM

The Project

  • INTRODUCTION
  • ORGANIZATION
  • PUBLICATIONS

The Human Protein Atlas

  • DOWNLOADABLE DATA
  • LICENCE & CITATION
  • HELP & FAQ
The Human Protein Atlas project is funded
by the Knut & Alice Wallenberg Foundation.


contact@proteinatlas.org