We use cookies to enhance the usability of our website. If you continue, we'll assume that you are happy to receive all cookies. More information. Don't show this again.
DVL1
HPA
RESOURCES
  • TISSUE
  • BRAIN
  • SINGLE CELL
  • SUBCELLULAR
  • CANCER
  • BLOOD
  • CELL LINE
  • STRUCTURE & INTERACTION
ABOUT
  • INTRODUCTION
  • HISTORY
  • ORGANIZATION
  • PUBLICATIONS
  • ANTIBODY SUBMISSION
  • ANTIBODY AVAILABILITY
  • ACKNOWLEDGMENTS
  • CONTACT
NEWS
  • NEWS ARTICLES
  • PRESS ROOM
LEARN
  • DICTIONARY
  • PROTEIN CLASSES
  • PROTEIN EVIDENCE
  • METHODS
  • EDUCATIONAL VIDEOS
DATA
  • DOWNLOADABLE DATA
  • PUBLICATION DATA
  • RELEASE HISTORY
HELP
  • ANTIBODY VALIDATION
  • ASSAYS & ANNOTATION
  • DISCLAIMER
  • HELP & FAQ
  • PRIVACY STATEMENT
  • LICENCE & CITATION
Fields »
Search result

Field
Term
Gene name
Class
Subclass
Class
Keyword
Chromosome
External id
Tissue
Cell type
Expression
Antibody panel
Tissue
Main location
Patient ID
Annotation
Tissue
Category
Tau score
Cluster
Reliability
Brain region
Category
Tau score
Brain region
Category
Tau score
Brain region
Category
Tau score
Cluster
Reliability
Tissue
Cell type
Enrichment
Cell type
Category
Tau score
Cell type
Category
Tau score
Cell type
Category
Tau score
Cell lineage
Category
Tau score
Cluster
Cluster
Location
Searches
Location
Cell line
Class
Type
Phase
Reliability
Cancer
Prognosis
Cancer
Category
Cancer
Category
Tau score
Cluster
Variants
Interacting gene (ensg_id)
Type
Number of interactions
Pathway
Category
Score
Score
Score
Validation
Validation
Validation
Validation
Antibodies
Data type
Column


  • SUMMARY

  • TISSUE

  • BRAIN

  • SINGLE CELL

  • SUBCELL

  • CANCER

  • BLOOD

  • CELL LINE

  • STRUCT & INT

  • DVL1
TISSUE PRIMARY DATA SKIN Show tissue menu
ADIPOSE TISSUE ADRENAL GLAND AMYGDALA APPENDIX BASAL GANGLIA BONE MARROW BREAST BRONCHUS CEREBELLUM CEREBRAL CORTEX CERVIX CHOROID PLEXUS COLON DUODENUM
ENDOMETRIUM EPIDIDYMIS ESOPHAGUS FALLOPIAN TUBE GALLBLADDER HEART MUSCLE HIPPOCAMPAL FORMATION HYPOTHALAMUS KIDNEY LIVER LUNG LYMPH NODE MIDBRAIN NASOPHARYNX
ORAL MUCOSA OVARY PANCREAS PARATHYROID GLAND PITUITARY GLAND PLACENTA PROSTATE RECTUM RETINA SALIVARY GLAND SEMINAL VESICLE SKELETAL MUSCLE SKIN SMALL INTESTINE
SMOOTH MUSCLE SOFT TISSUE SPINAL CORD SPLEEN STOMACH TESTIS THYMUS THYROID GLAND TONGUE TONSIL URINARY BLADDER VAGINA
ANTIBODIES
AND
VALIDATION
Dictionary
Skin
Tissue proteome
Skin
SKIN - Expression summary
Protein expression
Skini

On the top, protein expression in current human tissue, based on all annotated cell types, is reported with the units not detected (n), low (l), medium (m) and high (h). Underneath, protein expression in each annotated cell type are reported using the same units.

Protein expression data is based on knowledge-based annotation. For genes where more than one antibody has been used, a collective score is set.

If knowledge-based annotation could not be performed for a gene, no data is displayed here. View antibody staining data further down this page.

h
m
l
n
Epidermal cells: High
Fibroblasts: Low
Keratinocytes: Medium
Langerhans: Medium
Melanocytes: Medium
RNA expressioni

A summary of mRNA expression data available for current tissue based on several datasets. The mRNA expression levels in human tissues are based on RNA-seq data generated by the Human Protein Atlas (HPA), Genotype-Tissue Expression (GTEx) portal and CAGE data generated by the FANTOM5 consortium. Consensus normalized expression levels for human tissues was created by combining the data from HPA and GTEx datasets.

The mRNA expression levels in pig are based on RNA-seq data generated by the Human Protein Atlas (HPA), and for mouse, HPA data and in situ hybridization generated by the Allen brain atlas are reported.

Scroll down to view mRNA expression data in more detail.
Consensus:49.2 nTPM
HPA:26.9 nTPM
GTEx:49.2 nTPM

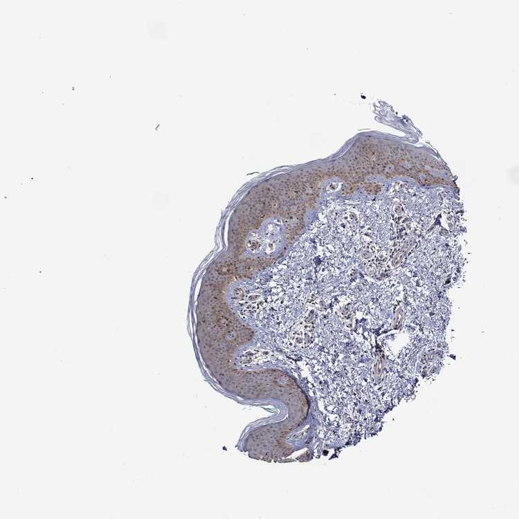
SKIN 1 - Antibody stainingi

Antibody staining in the annotated cell types in the current human tissue is reported as not detected, low, medium, or high, based on conventional immunohistochemistry profiling in selected tissues. This score is based on the combination of the staining intensity and fraction of stained cells.

Each image is clickable and will lead to virtual microscopy that enables deeper exploration of all samples and also displays staining intensity scores, fraction scores and subcellular localization as well as patient and tissue information for each sample.

Antibody HPA073607Antibody CAB011538
Langerhans Not detectedMedium
Fibroblasts Not detectedLow
Keratinocytes LowMedium
Melanocytes LowMedium




SKIN 2 - Antibody stainingi

Antibody staining in the annotated cell types in the current human tissue is reported as not detected, low, medium, or high, based on conventional immunohistochemistry profiling in selected tissues. This score is based on the combination of the staining intensity and fraction of stained cells.

Each image is clickable and will lead to virtual microscopy that enables deeper exploration of all samples and also displays staining intensity scores, fraction scores and subcellular localization as well as patient and tissue information for each sample.

Antibody HPA073607Antibody CAB011538
Epidermal cells MediumHigh
  
  
  




SKIN - HPA RNA-seqi

The RNA-seq details section shows detailed information about the individual samples used for the transcript profiling and results of the RNA-seq analysis.

Information about each individual sample is listed below, including gender, age, a tissue section image and estimated fractions of cell types. nTPM (normalized transcripts per million) values give a quantification of the gene abundance which is comparable between different genes and samples.
Average nTPMi

Max subtype nTPM is the value for the subtype with the largest average nTPM across the subtype samples.

26.9
overview
Female, age 34
Skin sample 225
nTPM: 16.2
Cell types%
Keratinocytes:
60

Other cell types:
40

overview
Female, age 30
Skin sample 226
nTPM: 6.2
Cell types%
Keratinocytes:
55

Other cell types:
45

N/A
Male, age 57
Skin sample 227
nTPM: 58.3

SKIN - GTEx RNA-seqi

RNA-Seq data generated by the Genotype-Tissue Expression (GTEx) project from human tissues is reported as mean nTPM. More information can be found on the GTEx portal.

Distribution across the dataset is visualized with box plots, shown as median and 25th and 75th percentiles. Points are displayed as outliers if they are above or below 1.5 times the interquartile range. nTPM values of the individual samples are presented next to the box plot.
Max subtype nTPMi

Max subtype nTPM is the value for the subtype with the largest average nTPM across the subtype samples.

49.2
GTEx sample id Sample description nTPM
Skin - Not Sun Exposed (Suprapubic)
Average nTPM: 49.2
Samples: 604

Max nTPM: 96.2
Min nTPM: 24.7
Std nTPM: 11.0
Median nTPM: 47.8
GTEX-1PPH8-0126-SM-EWRN8 20-29 years, male 96.2
GTEX-X585-2426-SM-46MW2 50-59 years, male 91.6
GTEX-WI4N-2726-SM-3LK7Y 40-49 years, female 89.6
GTEX-1R9PN-0426-SM-DTXDT 40-49 years, female 88.8
GTEX-1OJC3-1226-SM-DTXER 20-29 years, male 83.0
GTEX-ZY6K-1426-SM-5GZX2 50-59 years, male 82.9
GTEX-1H2FU-0926-SM-9WPPT 60-69 years, female 82.3
GTEX-Y9LG-1126-SM-4VBQ7 30-39 years, male 79.8
GTEX-WHSE-0126-SM-3NMBT 20-29 years, male 78.9
GTEX-1QP2A-1726-SM-E76QC 50-59 years, male 78.6
GTEX-ZVZP-1226-SM-5GID7 50-59 years, male 77.7
GTEX-XBEW-1126-SM-4QARW 40-49 years, male 77.1
GTEX-14PJ4-0226-SM-5YY92 60-69 years, male 76.3
GTEX-XQ8I-0926-SM-4BOOF 50-59 years, male 76.1
GTEX-1IKOE-1426-SM-CE6T7 30-39 years, female 75.5
GTEX-1ICLZ-0326-SM-ARL82 60-69 years, male 74.2
GTEX-1MCYP-0526-SM-E9U6Q 20-29 years, female 74.1
GTEX-Y111-0626-SM-4SOIT 50-59 years, male 73.0
GTEX-1RMOY-1326-SM-E9TIH 50-59 years, male 72.4
GTEX-1399S-0126-SM-5IJCF 30-39 years, female 72.3
GTEX-XUW1-0926-SM-4BONX 50-59 years, female 72.2
GTEX-ZPCL-1126-SM-4WWFE 60-69 years, female 71.3
GTEX-1LSNM-0826-SM-DIPG8 50-59 years, male 71.0
GTEX-13NYS-0626-SM-5L3F1 60-69 years, male 70.0
GTEX-1B8KE-1126-SM-7EPHI 50-59 years, male 69.8
GTEX-WHSB-1326-SM-3LK6W 50-59 years, male 69.7
GTEX-XAJ8-1426-SM-47JYM 40-49 years, male 69.7
GTEX-1K2DU-1226-SM-CYPT4 20-29 years, male 69.6
GTEX-1N2DV-1526-SM-DTXEP 40-49 years, male 68.7
GTEX-13IVO-0726-SM-5LZYV 70-79 years, male 68.4
GTEX-11WQK-1026-SM-5EQLX 50-59 years, male 68.2
GTEX-Y114-2126-SM-4TT8B 50-59 years, female 67.8
GTEX-YFCO-1226-SM-5LUAT 40-49 years, male 67.8
GTEX-1192X-2726-SM-5N9DN 50-59 years, male 67.4
GTEX-13NYC-0126-SM-5L3F4 60-69 years, male 67.3
GTEX-17HII-1426-SM-7EPGG 50-59 years, male 67.1
GTEX-14C39-1726-SM-5RQIL 40-49 years, male 67.0
GTEX-16MTA-0926-SM-6M47Z 50-59 years, male 66.9
GTEX-111CU-1126-SM-5EGIM 50-59 years, male 66.5
GTEX-11DZ1-2426-SM-5GZZX 50-59 years, male 66.3
GTEX-1JMLX-0626-SM-ARL8T 50-59 years, male 66.3
GTEX-13OVH-0526-SM-5L3E6 70-79 years, male 66.2
GTEX-14C5O-0326-SM-5ZZUX 60-69 years, male 66.2
GTEX-1LKK1-2626-SM-DKPQE 50-59 years, female 66.2
GTEX-13O61-1426-SM-5KM3D 60-69 years, male 66.1
GTEX-1LGRB-0926-SM-COH3K 50-59 years, female 65.9
GTEX-15CHR-1126-SM-7EWF4 50-59 years, male 65.7
GTEX-1QP28-1126-SM-EVYC4 50-59 years, female 65.7
GTEX-11OF3-0126-SM-5PNYF 60-69 years, male 65.4
GTEX-1S82U-1026-SM-E6CJK 30-39 years, female 65.2
GTEX-1QP9N-1226-SM-E76QN 30-39 years, male 65.1
GTEX-1CB4J-1326-SM-7P8RX 60-69 years, male 65.0
GTEX-1MCC2-1826-SM-DIPEX 30-39 years, female 64.9
GTEX-ZYVF-0926-SM-5E44J 50-59 years, female 64.7
GTEX-17HHE-1326-SM-7EWDZ 50-59 years, male 64.6
GTEX-1PPH7-1126-SM-DTX9A 40-49 years, male 64.4
GTEX-X4EP-0626-SM-3P621 60-69 years, female 64.2
GTEX-ZLFU-1826-SM-4WWBV 40-49 years, male 64.1
GTEX-WFG7-2026-SM-5SI7P 20-29 years, male 63.7
GTEX-1HBPN-0126-SM-CGQEF 50-59 years, male 63.7
GTEX-1NV5F-0626-SM-DTXEG 60-69 years, female 63.5
GTEX-13FTX-1526-SM-5K7VJ 20-29 years, female 63.4
GTEX-XPVG-2126-SM-4B667 50-59 years, male 63.3
GTEX-12WSJ-1126-SM-5LZVJ 40-49 years, female 63.2
GTEX-14PHY-1226-SM-5ZZWK 60-69 years, female 63.1
GTEX-1RAZQ-1326-SM-E9TK6 30-39 years, male 63.0
GTEX-1S3DN-2126-SM-E9TIN 50-59 years, male 62.8
GTEX-XXEK-1626-SM-4BRUZ 50-59 years, male 62.7
GTEX-ZVT2-0126-SM-5GIDQ 50-59 years, female 62.5
GTEX-14E1K-2026-SM-7DUEI 50-59 years, male 62.4
GTEX-WH7G-2026-SM-3NMBL 40-49 years, male 62.4
GTEX-1C2JI-1026-SM-73KY1 50-59 years, male 62.1
GTEX-ZYY3-2926-SM-5GIEB 60-69 years, female 62.1
GTEX-1PIIG-2326-SM-DTXFR 30-39 years, male 62.1
GTEX-XK95-0226-SM-4AT58 40-49 years, male 62.0
GTEX-1JMPY-0226-SM-CKZOK 30-39 years, male 62.0
GTEX-1F6RS-2026-SM-7RHHC 60-69 years, female 61.9
GTEX-ZLV1-1526-SM-DO91J 60-69 years, female 61.9
GTEX-18QFQ-1826-SM-72D52 30-39 years, male 61.7
GTEX-ZTSS-1426-SM-5985P 40-49 years, male 61.7
GTEX-ZTX8-1326-SM-4YCEL 20-29 years, male 61.6
GTEX-14XAO-1226-SM-6EU1C 60-69 years, female 61.4
GTEX-11DXZ-2026-SM-5987S 50-59 years, male 61.3
GTEX-ZDTT-0426-SM-4WKFL 60-69 years, male 61.3
GTEX-1HGF4-0126-SM-CNPPX 60-69 years, male 61.2
GTEX-ZF29-0926-SM-4WKFZ 60-69 years, female 61.0
GTEX-11DXX-2126-SM-5PNYR 60-69 years, female 60.8
GTEX-13FTW-0326-SM-5K7UW 40-49 years, male 60.6
GTEX-17F9E-2326-SM-79OKD 50-59 years, male 60.5
GTEX-14PJ6-2626-SM-6EU2T 60-69 years, female 60.4
GTEX-1HSMQ-2626-SM-A9SML 50-59 years, male 60.4
GTEX-1313W-0626-SM-5EQ4H 50-59 years, female 60.3
GTEX-13VXT-1926-SM-5K7UO 20-29 years, female 60.3
GTEX-15RJE-2826-SM-7KUM9 40-49 years, male 59.8
GTEX-1C6WA-2626-SM-7MKGM 60-69 years, male 59.6
GTEX-1GPI7-1826-SM-9KNU1 20-29 years, male 59.6
GTEX-ZVP2-0326-SM-57WBP 50-59 years, male 59.5
GTEX-14PK6-0226-SM-62LF5 70-79 years, female 59.4
GTEX-1I1GT-1026-SM-ARZLV 60-69 years, female 59.4
GTEX-111VG-1626-SM-5EGIO 60-69 years, male 59.3
GTEX-139T8-0626-SM-5KLZX 60-69 years, male 59.3
GTEX-1B97I-0626-SM-73KUZ 40-49 years, male 59.2
GTEX-1H23P-0626-SM-9WG6T 60-69 years, male 59.2
GTEX-1R46S-2426-SM-E76QA 60-69 years, female 59.2
GTEX-1HCUA-0826-SM-ADEHM 50-59 years, female 59.1
GTEX-1K2DA-1026-SM-CGQGF 50-59 years, male 59.1
GTEX-Y3I4-1726-SM-4TT89 50-59 years, male 58.9
GTEX-1HB9E-0126-SM-CM2S5 50-59 years, male 58.8
GTEX-1KAFJ-0126-SM-DIPEK 50-59 years, male 58.8
GTEX-1JKYN-0826-SM-ARU8S 30-39 years, male 58.7
GTEX-131XF-2626-SM-5EQ6K 60-69 years, male 58.6
GTEX-ZAB4-2126-SM-5HL8U 40-49 years, male 58.6
GTEX-1R7EU-1626-SM-DTXG3 60-69 years, male 58.6
GTEX-13NZ8-1226-SM-5KM4A 60-69 years, female 58.4
GTEX-17F97-2626-SM-7IGM5 50-59 years, male 58.4
GTEX-WHWD-1826-SM-3LK6I 50-59 years, male 58.4
GTEX-XV7Q-1826-SM-4BRUV 40-49 years, female 58.3
GTEX-1KANA-1326-SM-DIPFA 20-29 years, male 58.3
GTEX-ZE7O-2726-SM-51MT5 50-59 years, female 58.2
GTEX-11TUW-0626-SM-5LU9M 60-69 years, male 58.1
GTEX-133LE-2326-SM-5K7W3 20-29 years, female 58.1
GTEX-16AAH-0626-SM-793C9 50-59 years, male 58.1
GTEX-16MT8-2926-SM-7DUFO 60-69 years, female 58.1
GTEX-14LLW-2626-SM-62LDZ 70-79 years, female 57.9
GTEX-1LVAN-0626-SM-CNPOQ 50-59 years, female 57.9
GTEX-13OVK-1426-SM-6PAN7 40-49 years, male 57.8
GTEX-1HCU7-0726-SM-A9SL1 50-59 years, male 57.8
GTEX-1QPFJ-1926-SM-EVYBD 30-39 years, female 57.7
GTEX-131XG-0326-SM-5L3DX 50-59 years, female 57.5
GTEX-1POEN-2326-SM-E9J2L 30-39 years, female 57.5
GTEX-1399U-1126-SM-5L3DB 50-59 years, female 57.4
GTEX-14PKV-1126-SM-6LLJ1 20-29 years, female 57.4
GTEX-ZP4G-1426-SM-4WWCL 20-29 years, female 57.4
GTEX-1JK1U-0226-SM-ARZMX 60-69 years, male 57.4
GTEX-1K9T9-1526-SM-DIPFR 50-59 years, female 57.4
GTEX-1LBAC-0826-SM-CY8IJ 20-29 years, male 57.4
GTEX-1NSGN-0726-SM-DTXEF 50-59 years, male 57.3
GTEX-15RIG-0726-SM-7KUM7 40-49 years, male 57.2
GTEX-XBEC-0726-SM-4QARZ 50-59 years, male 57.1
GTEX-1R9PM-1926-SM-EVR3O 20-29 years, male 56.9
GTEX-13W3W-0726-SM-5IJDQ 60-69 years, female 56.8
GTEX-1QW4Y-1126-SM-DTXE3 30-39 years, male 56.8
GTEX-11P82-1426-SM-DTXFY 20-29 years, male 56.7
GTEX-14ICL-1626-SM-5YYAO 30-39 years, male 56.4
GTEX-17F96-0126-SM-7EWDU 70-79 years, male 56.4
GTEX-11ZU8-0126-SM-5EQ58 60-69 years, male 56.3
GTEX-13O3Q-0126-SM-5KM34 50-59 years, male 56.1
GTEX-12WSA-0426-SM-5EQ5X 60-69 years, male 56.0
GTEX-13QJC-0126-SM-5ZZWJ 60-69 years, female 56.0
GTEX-15CHQ-0326-SM-69LQD 60-69 years, male 56.0
GTEX-14PJ5-1526-SM-6LLIL 60-69 years, female 55.9
GTEX-XOT4-0626-SM-4B66L 60-69 years, female 55.9
GTEX-XYKS-1426-SM-4BRUO 60-69 years, female 55.8
GTEX-11O72-0626-SM-5PNYE 40-49 years, male 55.7
GTEX-13FHO-0426-SM-5L3F5 60-69 years, male 55.4
GTEX-X5EB-1926-SM-4E3IW 40-49 years, male 55.4
GTEX-ZWKS-0626-SM-5GIDV 30-39 years, male 55.4
GTEX-1GZ4H-0526-SM-9KNU9 50-59 years, female 55.4
GTEX-1I1GU-0926-SM-ACKVS 40-49 years, male 55.4
GTEX-147F4-0726-SM-5TDDD 50-59 years, male 55.2
GTEX-1S82P-2126-SM-E6CI5 60-69 years, female 55.2
GTEX-14PJ3-1126-SM-5ZZVX 50-59 years, male 55.0
GTEX-1CB4F-1026-SM-7DUH1 60-69 years, male 55.0
GTEX-Y8LW-1526-SM-5IFHL 50-59 years, female 55.0
GTEX-1F88F-0126-SM-9WYSZ 60-69 years, female 55.0
GTEX-13JVG-0726-SM-5KM16 60-69 years, male 54.9
GTEX-1IDJU-1726-SM-CMKHU 60-69 years, female 54.9
GTEX-1MJK3-0726-SM-E6CJC 20-29 years, male 54.7
GTEX-ZT9X-1526-SM-5DUXD 40-49 years, male 54.6
GTEX-12696-0126-SM-5EQ4L 60-69 years, male 54.2
GTEX-1CB4E-0926-SM-7EPHT 60-69 years, male 54.2
GTEX-1IKJJ-2226-SM-CJI4C 60-69 years, male 54.2
GTEX-13PDP-0726-SM-5L3HP 60-69 years, male 54.1
GTEX-14PII-0726-SM-6EU2B 60-69 years, male 54.1
GTEX-1J1R8-2026-SM-CL53Y 40-49 years, male 54.1
GTEX-14LZ3-0126-SM-69LPM 60-69 years, female 54.0
GTEX-16MT9-0126-SM-7EPI8 60-69 years, female 54.0
GTEX-1J8EW-2726-SM-CY8HR 60-69 years, female 54.0
GTEX-131XH-0126-SM-5LZUY 50-59 years, male 53.8
GTEX-11P81-2226-SM-5PNYI 30-39 years, female 53.7
GTEX-12ZZZ-0726-SM-5GCNZ 60-69 years, male 53.7
GTEX-1399Q-2326-SM-5KM2X 40-49 years, male 53.7
GTEX-1JMQK-1226-SM-D4P2S 60-69 years, male 53.6
GTEX-1EH9U-2826-SM-7DUGT 60-69 years, male 53.4
GTEX-13D11-0926-SM-5J2NC 50-59 years, female 53.3
GTEX-VUSG-2326-SM-4KL1U 50-59 years, male 53.3
GTEX-YEC3-1326-SM-DO92X 50-59 years, male 53.3
GTEX-1J1OQ-0126-SM-D4P2N 40-49 years, female 53.2
GTEX-15DDE-2926-SM-6LLJ3 50-59 years, female 53.1
GTEX-WFON-1926-SM-3LK7L 40-49 years, male 53.1
GTEX-Z93S-1626-SM-5CVMB 50-59 years, male 53.1
GTEX-1GF9V-0826-SM-9KNUV 60-69 years, male 53.1
GTEX-1HT8W-0626-SM-A9G2H 30-39 years, male 53.0
GTEX-1QCLY-0226-SM-EWRNH 30-39 years, male 52.9
GTEX-11PRG-0726-SM-5EGL1 50-59 years, male 52.6
GTEX-17F9Y-0126-SM-79OKX 70-79 years, female 52.6
GTEX-X8HC-0626-SM-4E3HQ 50-59 years, female 52.6
GTEX-1B996-0426-SM-7EWF8 60-69 years, male 52.5
GTEX-1LVAO-2726-SM-E9TJ8 60-69 years, male 52.5
GTEX-1GZ2Q-0126-SM-9WG6M 40-49 years, male 52.4
GTEX-1HKZK-0726-SM-ACKW2 40-49 years, male 52.4
GTEX-1HBPM-0726-SM-9YFL7 60-69 years, female 52.3
GTEX-13OW8-1026-SM-5J1NQ 60-69 years, male 52.2
GTEX-1I4MK-0126-SM-CY8G6 50-59 years, female 52.2
GTEX-1JMOU-1026-SM-CYPSS 60-69 years, female 52.2
GTEX-12BJ1-0926-SM-5EQ62 60-69 years, male 52.1
GTEX-1CAMR-1326-SM-7PC1F 20-29 years, male 52.1
GTEX-145MH-2826-SM-5RQJF 50-59 years, male 52.0
GTEX-17EVQ-0126-SM-7IGLR 70-79 years, male 51.9
GTEX-1EN7A-2426-SM-793DB 40-49 years, male 51.8
GTEX-U8XE-0226-SM-4E3J3 30-39 years, male 51.8
GTEX-ZYT6-2326-SM-5GZY3 30-39 years, male 51.8
GTEX-1A3MX-2626-SM-7PC24 60-69 years, male 51.8
GTEX-11TT1-1826-SM-5EQLV 20-29 years, male 51.7
GTEX-ZZPU-0826-SM-5GZX5 50-59 years, female 51.7
GTEX-1212Z-0126-SM-59HK4 60-69 years, male 51.6
GTEX-13RTJ-0126-SM-5S2NN 60-69 years, male 51.6
GTEX-XBED-1926-SM-47JYP 60-69 years, male 51.6
GTEX-1E2YA-2126-SM-7MXUO 50-59 years, male 51.6
GTEX-1JJE9-2626-SM-ARZMT 70-79 years, male 51.6
GTEX-1OJC4-2726-SM-E76PJ 50-59 years, female 51.6
GTEX-17EVP-2626-SM-7IGMA 40-49 years, male 51.5
GTEX-ZC5H-1526-SM-5HL9Y 40-49 years, female 51.5
GTEX-11LCK-2226-SM-5HL4Q 30-39 years, male 51.3
GTEX-132AR-0326-SM-5KM2C 50-59 years, female 51.3
GTEX-139TT-2126-SM-5LZWC 60-69 years, male 51.3
GTEX-1AMEY-0826-SM-72D65 30-39 years, female 51.3
GTEX-ZA64-1026-SM-5HL8R 20-29 years, male 51.3
GTEX-14E6E-0526-SM-793DN 30-39 years, male 51.2
GTEX-1IDJV-0126-SM-COH3Y 60-69 years, male 51.1
GTEX-11UD2-2526-SM-5CVNU 50-59 years, male 51.0
GTEX-144GO-2026-SM-5O99P 60-69 years, male 51.0
GTEX-17F98-1326-SM-7DUEP 40-49 years, female 50.9
GTEX-11EQ8-0926-SM-5H12V 60-69 years, male 50.7
GTEX-Y5LM-0926-SM-6LLJG 40-49 years, female 50.7
GTEX-1GZHY-0626-SM-9KNVC 50-59 years, female 50.7
GTEX-1LG7Z-1626-SM-CXKYR 30-39 years, male 50.7
GTEX-13OW7-0426-SM-5K7VK 50-59 years, male 50.6
GTEX-1PPGY-1626-SM-EVYBL 60-69 years, male 50.6
GTEX-14E6C-2426-SM-5S2NF 40-49 years, male 50.5
GTEX-144GM-0526-SM-79OJO 20-29 years, male 50.4
GTEX-14PJN-1826-SM-6AJ98 30-39 years, male 50.4
GTEX-15RIE-1926-SM-7KUKJ 60-69 years, male 50.4
GTEX-1122O-1026-SM-9WYSF 60-69 years, female 50.4
GTEX-1H3O1-1326-SM-9MQLD 60-69 years, male 50.4
GTEX-1IDFM-0326-SM-ARL7V 60-69 years, male 50.4
GTEX-1LB8K-0726-SM-D5OV2 50-59 years, male 50.4
GTEX-ZF3C-0626-SM-DO92O 50-59 years, female 50.4
GTEX-14753-0726-SM-5QGQO 60-69 years, male 50.3
GTEX-ZE9C-2526-SM-5IJDR 60-69 years, male 50.3
GTEX-15FZZ-0526-SM-7KUGD 30-39 years, female 50.2
GTEX-1KXAM-1626-SM-D3LAD 60-69 years, male 50.2
GTEX-15G1A-1626-SM-7KUKN 30-39 years, male 50.0
GTEX-X3Y1-2026-SM-3P5YM 40-49 years, male 50.0
GTEX-1117F-2926-SM-5GZYI 60-69 years, female 49.9
GTEX-11EQ9-1626-SM-5PNY8 30-39 years, male 49.9
GTEX-1HFI7-2326-SM-CGQFS 50-59 years, female 49.9
GTEX-139TU-0726-SM-5L3EK 60-69 years, male 49.8
GTEX-XQ3S-1426-SM-4BOPR 20-29 years, male 49.7
GTEX-11VI4-1126-SM-5EQMD 40-49 years, female 49.5
GTEX-12WSF-1626-SM-7KUG5 70-79 years, male 49.5
GTEX-18D9A-1426-SM-7LT8M 30-39 years, female 49.5
GTEX-1IL2V-1926-SM-B2LW8 70-79 years, male 49.5
GTEX-ZVE1-0726-SM-51MRN 50-59 years, female 49.4
GTEX-1C64O-1326-SM-7MGWR 60-69 years, male 49.4
GTEX-1F52S-2926-SM-7MKGA 60-69 years, female 49.3
GTEX-1GF9X-1326-SM-7PC2Y 40-49 years, female 49.3
GTEX-1J8QM-2426-SM-A9SLS 60-69 years, female 49.3
GTEX-147GR-2426-SM-5ZZWQ 60-69 years, male 49.2
GTEX-1JN1M-2726-SM-CY8I4 60-69 years, female 49.2
GTEX-1LSVX-2526-SM-DIPEU 60-69 years, male 49.2
GTEX-12WSK-2126-SM-5CVNC 40-49 years, female 49.1
GTEX-13SLX-2226-SM-62LEP 50-59 years, female 49.1
GTEX-145LT-0526-SM-5LUB2 40-49 years, male 49.1
GTEX-1A3MW-0626-SM-731CB 60-69 years, female 49.1
GTEX-1GTWX-2026-SM-9YFLM 60-69 years, male 49.1
GTEX-UPJH-0226-SM-3GADV 50-59 years, male 49.0
GTEX-ZDTS-0826-SM-4WKHL 60-69 years, male 49.0
GTEX-1GN73-0726-SM-7P8TJ 60-69 years, male 49.0
GTEX-1CAMQ-1326-SM-7P8RV 40-49 years, male 48.9
GTEX-1H11D-1826-SM-9QEHM 40-49 years, male 48.9
GTEX-111FC-2526-SM-5GZXU 60-69 years, male 48.7
GTEX-145ME-1726-SM-5Q5EU 40-49 years, female 48.7
GTEX-139TS-2126-SM-5K7XC 60-69 years, male 48.6
GTEX-13FH7-1126-SM-5K7UG 50-59 years, female 48.6
GTEX-1H4P4-2126-SM-9WYSL 50-59 years, male 48.6
GTEX-14PHX-2226-SM-6EU2P 50-59 years, male 48.5
GTEX-1JN76-0626-SM-CKZOQ 20-29 years, female 48.5
GTEX-1A8G6-2726-SM-731AR 60-69 years, male 48.4
GTEX-1J8Q2-2626-SM-ACKWQ 60-69 years, male 48.4
GTEX-1LVAM-0726-SM-E6CIL 50-59 years, female 48.4
GTEX-13OVJ-0826-SM-5J1OK 50-59 years, female 48.3
GTEX-16YQH-2226-SM-7IGM2 30-39 years, male 48.3
GTEX-WXYG-2026-SM-4E3IY 50-59 years, female 48.3
GTEX-1N2EE-0626-SM-E76PW 60-69 years, male 48.2
GTEX-15D1Q-2826-SM-6LLH7 40-49 years, male 48.1
GTEX-12ZZY-0726-SM-5EQ66 60-69 years, male 48.0
GTEX-16XZZ-0726-SM-7KUF2 60-69 years, male 48.0
GTEX-1JMQJ-0826-SM-CNPP7 50-59 years, male 48.0
GTEX-11DXY-0126-SM-5H11Q 60-69 years, male 47.9
GTEX-145LS-0626-SM-7EPG7 60-69 years, female 47.9
GTEX-15UF6-1926-SM-7KUDV 70-79 years, female 47.8
GTEX-1B8SF-0126-SM-7DUG3 60-69 years, male 47.8
GTEX-WYJK-0526-SM-3NM8Z 50-59 years, male 47.8
GTEX-1PBJJ-1026-SM-E76OS 30-39 years, male 47.8
GTEX-1EKGG-0626-SM-7DUGJ 60-69 years, male 47.7
GTEX-1F5PK-2226-SM-7SB6N 50-59 years, male 47.7
GTEX-11ZTT-2126-SM-5CVLO 60-69 years, female 47.6
GTEX-14BIN-1126-SM-5RQJZ 50-59 years, female 47.6
GTEX-1HSGN-0826-SM-ACKW3 40-49 years, female 47.6
GTEX-1JKYR-0626-SM-ARL8R 20-29 years, male 47.6
GTEX-11GSP-2326-SM-5HL63 60-69 years, female 47.5
GTEX-13OW6-2726-SM-5J2OE 50-59 years, male 47.5
GTEX-ZVT4-2426-SM-5GIEI 50-59 years, female 47.5
GTEX-12126-0826-SM-5FQTZ 20-29 years, male 47.4
GTEX-ZYW4-0626-SM-59HJR 60-69 years, male 47.4
GTEX-13X6I-1826-SM-5SIAO 60-69 years, male 47.3
GTEX-18D9B-0926-SM-7LG4U 60-69 years, male 47.2
GTEX-WHPG-2626-SM-3NMBR 50-59 years, male 47.2
GTEX-ZU9S-1826-SM-5NQ9E 30-39 years, male 47.2
GTEX-1H3VE-0726-SM-9YFL5 40-49 years, male 47.2
GTEX-14B4R-1326-SM-5Q5EZ 30-39 years, male 47.1
GTEX-1CB4I-0126-SM-7RHGG 50-59 years, male 47.1
GTEX-1JMQL-2226-SM-CNPP4 50-59 years, female 47.0
GTEX-1JN6P-2926-SM-CL54D 60-69 years, male 47.0
GTEX-14C38-0726-SM-5SI6M 50-59 years, male 46.9
GTEX-117YX-1926-SM-5GIEC 50-59 years, male 46.8
GTEX-1HSMP-0926-SM-A9SKX 70-79 years, male 46.8
GTEX-13PVQ-0626-SM-5LU47 50-59 years, male 46.7
GTEX-14PJO-2526-SM-6AJBQ 60-69 years, male 46.7
GTEX-1HCU8-2526-SM-CE6RX 60-69 years, female 46.7
GTEX-1H1E6-0426-SM-9WYUS 30-39 years, male 46.5
GTEX-1PIGE-1826-SM-E8VOU 20-29 years, male 46.5
GTEX-12ZZX-2426-SM-5GCOE 40-49 years, female 46.4
GTEX-13JUV-2026-SM-5K7UA 40-49 years, female 46.4
GTEX-13PL6-1126-SM-5L3IE 40-49 years, female 46.4
GTEX-1C64N-2626-SM-7PC2N 50-59 years, male 46.4
GTEX-1399R-1326-SM-5PNYS 30-39 years, male 46.3
GTEX-13N1W-2426-SM-5IJD1 70-79 years, male 46.3
GTEX-13X6H-0926-SM-5SIB2 50-59 years, female 46.3
GTEX-1A3MV-1826-SM-731CD 30-39 years, male 46.3
GTEX-YECK-0326-SM-4W1YS 60-69 years, male 46.3
GTEX-1HCVE-2726-SM-CL54F 50-59 years, male 46.3
GTEX-139YR-1026-SM-5LZYN 50-59 years, male 46.1
GTEX-13FTY-2126-SM-5IFFB 40-49 years, female 46.1
GTEX-WY7C-2126-SM-3NB2R 50-59 years, male 46.1
GTEX-1I1GS-2626-SM-B2LY3 60-69 years, male 46.1
GTEX-12WSH-1526-SM-5BC5W 50-59 years, male 46.0
GTEX-1AMFI-1326-SM-7939R 50-59 years, female 46.0
GTEX-1EMGI-2326-SM-7PBYA 60-69 years, male 45.9
GTEX-1N5O9-0926-SM-E9J3C 60-69 years, male 45.9
GTEX-ZF2S-1626-SM-57WES 50-59 years, female 45.8
GTEX-1GMR2-0826-SM-7PC3V 50-59 years, male 45.8
GTEX-11GS4-0226-SM-5HL77 60-69 years, male 45.7
GTEX-18D9U-0126-SM-731BM 40-49 years, male 45.7
GTEX-1H1DF-1126-SM-9WG7G 40-49 years, female 45.6
GTEX-13FLV-0126-SM-5K7WT 50-59 years, male 45.5
GTEX-18A67-1626-SM-7LT9T 50-59 years, male 45.5
GTEX-1IDJI-0126-SM-CMKHS 50-59 years, female 45.5
GTEX-ZPIC-0526-SM-DO91W 40-49 years, female 45.5
GTEX-139D8-1126-SM-5LU8W 30-39 years, female 45.4
GTEX-16NGA-0726-SM-731AO 40-49 years, female 45.4
GTEX-1R9K4-2826-SM-DTX8F 60-69 years, male 45.4
GTEX-111YS-1526-SM-5GZYW 60-69 years, male 45.3
GTEX-14DAR-1226-SM-73KYV 50-59 years, male 45.3
GTEX-1CAMS-2226-SM-7PBXQ 40-49 years, female 45.2
GTEX-1JJ6O-2726-SM-CNPOG 60-69 years, male 45.2
GTEX-ZGAY-1826-SM-DO91Q 40-49 years, female 45.2
GTEX-13112-0126-SM-5P9IU 50-59 years, male 45.1
GTEX-13OW5-2326-SM-5L3HO 60-69 years, male 45.0
GTEX-15CHC-1126-SM-6LLHQ 60-69 years, female 45.0
GTEX-1CB4H-1126-SM-7MKGL 60-69 years, female 44.9
GTEX-ZDYS-2426-SM-4WKGI 50-59 years, male 44.9
GTEX-ZYFC-0426-SM-5GICQ 50-59 years, male 44.9
GTEX-16Z82-2626-SM-7KULU 60-69 years, male 44.8
GTEX-1HR98-2226-SM-ADEI2 60-69 years, male 44.8
GTEX-1269C-0126-SM-5EQ5L 60-69 years, female 44.7
GTEX-131YS-2826-SM-5EQ47 60-69 years, female 44.7
GTEX-13OVG-1626-SM-5J1NF 60-69 years, male 44.7
GTEX-12WSM-1926-SM-5BC65 60-69 years, male 44.6
GTEX-1LVA9-2626-SM-EVYD4 50-59 years, male 44.6
GTEX-1RB15-1326-SM-E76Q9 60-69 years, male 44.6
GTEX-1S831-1826-SM-EWROF 20-29 years, male 44.6
GTEX-14PKU-0126-SM-6LLHV 40-49 years, female 44.4
GTEX-17HGU-2326-SM-7DUFE 50-59 years, male 44.4
GTEX-1JJEA-1826-SM-ARU8P 60-69 years, male 44.4
GTEX-1PDJ9-1226-SM-EXUSX 20-29 years, male 44.4
GTEX-1A8G7-1326-SM-73KVM 60-69 years, male 44.3
GTEX-ZPU1-1126-SM-4YCF3 40-49 years, male 44.3
GTEX-1GMR8-0626-SM-7RHI7 50-59 years, female 44.3
GTEX-1LG7Y-2526-SM-EWRO7 50-59 years, male 44.3
GTEX-1O9I2-0226-SM-EYYXD 50-59 years, male 44.3
GTEX-16BQI-1326-SM-6M486 30-39 years, female 44.2
GTEX-15EU6-2226-SM-6EU2L 50-59 years, male 44.1
GTEX-1H1DE-1326-SM-9KNUG 20-29 years, male 44.1
GTEX-1JMPZ-0726-SM-CY8HZ 30-39 years, male 44.1
GTEX-13N2G-0226-SM-5K7VF 60-69 years, male 44.0
GTEX-13NYB-0126-SM-5J1MD 40-49 years, male 43.9
GTEX-15EO6-2426-SM-6PALZ 50-59 years, male 43.9
GTEX-X4EO-2926-SM-4E3JH 60-69 years, female 43.9
GTEX-145LU-1926-SM-79OJN 50-59 years, male 43.8
GTEX-18A7B-2726-SM-7LG56 70-79 years, male 43.8
GTEX-ZZ64-1026-SM-5GZXG 20-29 years, male 43.8
GTEX-1GN2E-0226-SM-9WG6K 60-69 years, male 43.8
GTEX-12584-0726-SM-5FQTK 40-49 years, male 43.6
GTEX-15G19-2426-SM-7KUMR 60-69 years, male 43.6
GTEX-ZYFG-1526-SM-5GZYM 60-69 years, female 43.6
GTEX-15DYW-2726-SM-6EU2I 60-69 years, female 43.5
GTEX-1B933-2426-SM-7DHMD 50-59 years, female 43.5
GTEX-ZDXO-3126-SM-5IJDF 60-69 years, male 43.5
GTEX-1C6VR-0126-SM-7RHGB 60-69 years, male 43.5
GTEX-1ICG6-1226-SM-A9SLN 70-79 years, female 43.5
GTEX-147F3-1726-SM-5SIAW 50-59 years, female 43.4
GTEX-1I19N-0126-SM-CYPSF 70-79 years, male 43.4
GTEX-1QP29-1826-SM-DTX9S 50-59 years, male 43.4
GTEX-11NSD-0626-SM-5A5LU 20-29 years, male 43.3
GTEX-1IDJC-1526-SM-B2LW4 50-59 years, male 43.3
GTEX-1J8Q3-0526-SM-ARL8U 60-69 years, male 43.3
GTEX-1477Z-0326-SM-7IGLA 60-69 years, male 43.2
GTEX-11P7K-1126-SM-5HL4L 30-39 years, male 43.1
GTEX-131XW-0626-SM-5PNVD 50-59 years, female 43.1
GTEX-14BMU-1226-SM-5S2OR 20-29 years, female 43.1
GTEX-1AX9J-1326-SM-731BJ 60-69 years, male 43.1
GTEX-1HCU9-0426-SM-9WYSD 20-29 years, male 43.1
GTEX-1S5ZU-2526-SM-E6CIF 20-29 years, female 43.1
GTEX-11WQC-1826-SM-5GU59 60-69 years, male 43.0
GTEX-ZYFD-0626-SM-5E44E 50-59 years, male 43.0
GTEX-1IDJD-2326-SM-ACKWX 30-39 years, male 43.0
GTEX-13G51-1826-SM-5KLZH 60-69 years, male 42.9
GTEX-13OVL-0126-SM-5L3GJ 50-59 years, male 42.9
GTEX-ZLWG-0826-SM-59888 50-59 years, female 42.9
GTEX-1F75I-2226-SM-7SB8U 40-49 years, male 42.9
GTEX-1AX9I-2226-SM-73KUO 60-69 years, male 42.8
GTEX-ZT9W-1126-SM-57WDR 50-59 years, male 42.7
GTEX-1I1HK-2326-SM-CKZOH 60-69 years, male 42.7
GTEX-1IE54-1126-SM-A9G2Z 40-49 years, female 42.7
GTEX-1GZ4I-2626-SM-9KNU3 50-59 years, male 42.6
GTEX-11DXW-0826-SM-5H118 40-49 years, male 42.5
GTEX-1GN1W-2426-SM-9KNUU 50-59 years, female 42.5
GTEX-14AS3-1526-SM-5Q5ED 40-49 years, female 42.4
GTEX-1EWIQ-0326-SM-7DHMQ 70-79 years, female 42.4
GTEX-1ICLY-0826-SM-CMKG1 50-59 years, male 42.4
GTEX-13PVR-0426-SM-5RQK2 60-69 years, female 42.3
GTEX-14ABY-2026-SM-62LDL 50-59 years, male 42.3
GTEX-13U4I-2226-SM-5LU5H 40-49 years, female 42.2
GTEX-14A5H-0826-SM-5QGPJ 60-69 years, male 42.2
GTEX-1QAET-0326-SM-EVR3U 50-59 years, male 42.2
GTEX-148VJ-0626-SM-5LUAW 70-79 years, male 42.1
GTEX-14DAQ-0626-SM-793DS 60-69 years, female 42.0
GTEX-1RAZS-2526-SM-E6CHT 50-59 years, male 42.0
GTEX-13YAN-0226-SM-5TDC6 60-69 years, male 41.9
GTEX-1I1GV-0626-SM-ARL7M 60-69 years, male 41.9
GTEX-1C475-1326-SM-7SB73 40-49 years, female 41.8
GTEX-11ZUS-2626-SM-5FQUR 30-39 years, male 41.7
GTEX-11NUK-2726-SM-5A5MC 50-59 years, male 41.5
GTEX-14JG6-1426-SM-9WG7C 30-39 years, female 41.5
GTEX-1HSKV-1226-SM-ADEI4 60-69 years, male 41.5
GTEX-1JMQI-1726-SM-ARL93 50-59 years, male 41.5
GTEX-145MN-1526-SM-5SI9T 30-39 years, male 41.4
GTEX-183WM-0326-SM-72D5V 70-79 years, female 41.4
GTEX-1GN1V-2826-SM-9JGIA 60-69 years, male 41.4
GTEX-1J8JJ-0626-SM-ARZMQ 60-69 years, female 41.4
GTEX-1211K-1526-SM-5FQU4 60-69 years, female 41.3
GTEX-17MFQ-1526-SM-7KFRR 20-29 years, male 41.3
GTEX-YEC4-1826-SM-4W1YP 40-49 years, male 41.3
GTEX-1F6I4-2326-SM-7RHGL 60-69 years, male 41.3
GTEX-145MI-0626-SM-5SI8S 60-69 years, female 41.2
GTEX-WYVS-1626-SM-3NM9R 40-49 years, female 41.2
GTEX-ZAJG-1526-SM-5CVML 50-59 years, female 41.2
GTEX-1KD5A-0126-SM-E9U54 50-59 years, male 41.2
GTEX-13VXU-0626-SM-5L3F9 50-59 years, male 41.1
GTEX-Y8E4-2026-SM-5IFJB 40-49 years, male 40.9
GTEX-ZXG5-2126-SM-59HKD 60-69 years, male 40.8
GTEX-1KANC-1226-SM-CYPT7 50-59 years, female 40.5
GTEX-1QEPI-2626-SM-DTXF4 60-69 years, female 40.5
GTEX-145MO-2826-SM-5LU96 60-69 years, male 40.4
GTEX-146FQ-2126-SM-5RQHU 30-39 years, male 40.4
GTEX-13X6J-0626-SM-5LU5F 50-59 years, male 40.3
GTEX-15ER7-0626-SM-6PANF 20-29 years, female 40.3
GTEX-1H1DG-2426-SM-9QEHJ 70-79 years, male 40.3
GTEX-1IDJH-0126-SM-D3L92 70-79 years, male 40.3
GTEX-Y3IK-1626-SM-4YCF5 50-59 years, female 40.1
GTEX-1GMRU-2126-SM-7P8RA 50-59 years, male 40.1
GTEX-1IOXB-2726-SM-CM2RI 50-59 years, male 40.1
GTEX-1RLM8-2926-SM-E8VON 50-59 years, male 40.0
GTEX-13SLW-0626-SM-5Q5ER 70-79 years, male 39.9
GTEX-1GL5R-1326-SM-7RHHF 50-59 years, male 39.9
GTEX-145MG-1526-SM-5Q5EM 50-59 years, male 39.8
GTEX-1HR9M-2226-SM-CNPPY 60-69 years, male 39.8
GTEX-1C6VQ-1226-SM-73KYD 50-59 years, male 39.7
GTEX-1KWVE-1026-SM-D3L9O 30-39 years, male 39.7
GTEX-13O3O-2326-SM-5IJD6 60-69 years, female 39.6
GTEX-1KANB-2826-SM-CY8I6 50-59 years, male 39.6
GTEX-1S83E-1326-SM-E6CJM 40-49 years, male 39.6
GTEX-1I6K6-1726-SM-CGQFD 30-39 years, male 39.4
GTEX-1LSNL-2726-SM-E9TKJ 50-59 years, male 39.4
GTEX-WK11-2726-SM-3NMAQ 50-59 years, male 39.3
GTEX-1GN1U-0626-SM-9MQL9 50-59 years, female 39.3
GTEX-17KNJ-2126-SM-718AM 50-59 years, male 39.2
GTEX-1F75B-0726-SM-7PC3R 50-59 years, male 39.2
GTEX-ZVTK-0226-SM-51MRG 20-29 years, male 39.1
GTEX-1IY9M-2826-SM-ARU8H 60-69 years, male 39.1
GTEX-1QMI2-2526-SM-E8VNZ 60-69 years, male 39.1
GTEX-145MF-0926-SM-5Q5EA 50-59 years, male 39.0
GTEX-17HHY-0426-SM-7DHLC 50-59 years, male 39.0
GTEX-144FL-0626-SM-5LU43 50-59 years, male 38.8
GTEX-183FY-1026-SM-7939A 20-29 years, male 38.8
GTEX-13NZ9-2626-SM-5L3FK 50-59 years, male 38.6
GTEX-16NPX-0726-SM-7KULC 50-59 years, male 38.6
GTEX-1GPI6-1926-SM-9KNV7 60-69 years, male 38.6
GTEX-WRHU-2826-SM-3MJG8 50-59 years, female 38.4
GTEX-1GMR3-0126-SM-A9SLW 40-49 years, male 38.4
GTEX-YB5K-2026-SM-4VDT3 40-49 years, female 38.2
GTEX-1GF9W-1426-SM-7PBYM 60-69 years, male 38.2
GTEX-1HCU6-2526-SM-ADEHL 60-69 years, female 38.1
GTEX-147JS-0226-SM-5S2U9 60-69 years, male 38.0
GTEX-1HC8U-1326-SM-9YFMJ 40-49 years, female 37.9
GTEX-18465-2826-SM-7LT9J 50-59 years, male 37.8
GTEX-1AX8Z-0726-SM-73KTS 60-69 years, male 37.8
GTEX-Y5V5-0126-SM-5S2NW 60-69 years, female 37.8
GTEX-XMD2-2126-SM-4YCF8 60-69 years, female 37.7
GTEX-11EM3-1226-SM-5N9DD 20-29 years, female 37.6
GTEX-ZAK1-0626-SM-5HL8E 50-59 years, female 37.6
GTEX-1AYD5-2626-SM-7PBXY 50-59 years, male 37.6
GTEX-1IDJE-1426-SM-ADEIW 50-59 years, female 37.6
GTEX-1QCLZ-2426-SM-EVYBW 60-69 years, female 37.6
GTEX-14A6H-2026-SM-5Q5DD 30-39 years, male 37.5
GTEX-15RJ7-2126-SM-6PAMD 40-49 years, male 37.5
GTEX-1B932-2326-SM-79OL5 40-49 years, female 37.5
GTEX-12WSC-2826-SM-5BC5Y 50-59 years, male 37.3
GTEX-1497J-0226-SM-5QGPU 60-69 years, male 37.2
GTEX-17JCI-2926-SM-7DUFF 60-69 years, female 37.1
GTEX-1M4P7-0726-SM-E6CJ3 60-69 years, male 36.9
GTEX-YJ8O-2526-SM-5HL85 40-49 years, female 36.7
GTEX-1F5PL-0926-SM-7PC2W 40-49 years, female 36.7
GTEX-1H1CY-0126-SM-9YFLY 60-69 years, female 36.7
GTEX-18A7A-0126-SM-731AH 50-59 years, female 36.6
GTEX-1F48J-0726-SM-7RHGS 50-59 years, female 36.6
GTEX-1LGOU-1326-SM-D3L8M 20-29 years, female 36.4
GTEX-12C56-1526-SM-5FQUQ 20-29 years, male 36.3
GTEX-17MF6-2626-SM-79OKQ 40-49 years, male 36.3
GTEX-ZUA1-2626-SM-5NQ92 40-49 years, male 36.2
GTEX-11DYG-1526-SM-5A5JS 60-69 years, male 36.1
GTEX-ZVE2-2826-SM-5GU51 50-59 years, male 36.1
GTEX-1I6K7-1926-SM-B2LXR 40-49 years, male 36.0
GTEX-1EU9M-1426-SM-793AI 60-69 years, male 35.9
GTEX-1314G-1326-SM-5BC6E 30-39 years, male 35.7
GTEX-1HFI6-0126-SM-CNPPI 40-49 years, male 35.7
GTEX-14JFF-0626-SM-5ZZVT 60-69 years, male 35.6
GTEX-139UW-0326-SM-5J1ML 60-69 years, male 35.5
GTEX-1A32A-0626-SM-731AQ 50-59 years, female 35.5
GTEX-ZTTD-2826-SM-4YCFA 50-59 years, male 35.4
GTEX-12WSL-2026-SM-5GCML 50-59 years, male 35.3
GTEX-14JG1-1526-SM-5YY9X 40-49 years, male 35.3
GTEX-1I1GP-1326-SM-A9G28 50-59 years, male 35.3
GTEX-13113-1626-SM-5EQ4I 60-69 years, female 35.2
GTEX-1HSMO-0626-SM-ACKXC 60-69 years, male 35.2
GTEX-1L5NE-1126-SM-D3L9P 50-59 years, male 35.2
GTEX-11EI6-2826-SM-5H11D 60-69 years, male 35.1
GTEX-1QP66-1226-SM-DTX7U 50-59 years, male 34.9
GTEX-1BAJH-2426-SM-7IGP8 70-79 years, male 34.8
GTEX-1HBPI-2126-SM-ARL9K 50-59 years, male 34.8
GTEX-1IDJF-2026-SM-CL53V 20-29 years, male 34.7
GTEX-1RAZR-2126-SM-E9U6T 40-49 years, male 34.7
GTEX-144GL-0626-SM-5LU4D 50-59 years, male 34.6
GTEX-1I1CD-0626-SM-CE6SW 60-69 years, female 34.5
GTEX-178AV-1726-SM-7KUL8 40-49 years, male 34.4
GTEX-17HG3-2626-SM-7DUF2 30-39 years, female 34.3
GTEX-14PJ2-0626-SM-6LLII 50-59 years, male 34.2
GTEX-WEY5-2326-SM-3GIKK 40-49 years, female 34.1
GTEX-1H3NZ-2726-SM-9WYTQ 60-69 years, male 34.1
GTEX-13QBU-1226-SM-5LU4G 40-49 years, female 34.0
GTEX-WFG8-2126-SM-3GIKQ 20-29 years, male 33.7
GTEX-Y5V6-2326-SM-4VDSA 60-69 years, male 33.7
GTEX-1E1VI-0326-SM-793D1 50-59 years, male 33.5
GTEX-1CAV2-0126-SM-7IGN7 40-49 years, female 33.4
GTEX-YF7O-1526-SM-5IFI6 50-59 years, male 33.4
GTEX-1HUB1-1426-SM-CGQF5 60-69 years, male 33.4
GTEX-1F75A-0726-SM-7RHHD 50-59 years, male 33.1
GTEX-12WSD-0626-SM-5GCMW 60-69 years, female 33.0
GTEX-16GPK-0626-SM-7KFSF 60-69 years, male 33.0
GTEX-V1D1-2026-SM-3GAF4 50-59 years, male 33.0
GTEX-1B8L1-2226-SM-7P8PT 60-69 years, male 32.8
GTEX-1F75W-2726-SM-7SB8H 60-69 years, male 32.8
GTEX-13X6K-0626-SM-5LU5D 60-69 years, female 32.7
GTEX-14BMV-2826-SM-5TDED 50-59 years, male 32.7
GTEX-WYBS-0626-SM-3NMAS 60-69 years, female 32.2
GTEX-18A66-0626-SM-7LT8Z 60-69 years, male 32.1
GTEX-1H1ZS-2726-SM-9WG75 70-79 years, male 32.1
GTEX-1RAZA-2226-SM-E9U4X 20-29 years, male 32.0
GTEX-12KS4-2126-SM-5FQUT 30-39 years, male 31.7
GTEX-1B8KZ-0326-SM-73KY4 50-59 years, male 31.3
GTEX-1EX96-1026-SM-7MKG2 50-59 years, male 30.1
GTEX-15SHW-0226-SM-7LTAT 60-69 years, male 29.8
GTEX-W5X1-2526-SM-3GILC 40-49 years, female 29.6
GTEX-13N11-2326-SM-5IJBF 50-59 years, female 29.5
GTEX-18A6Q-0626-SM-7KFRP 60-69 years, male 29.1
GTEX-1GF9U-2026-SM-7SB92 40-49 years, female 27.5
GTEX-15SKB-2826-SM-6PAMH 60-69 years, male 27.4
GTEX-1F88E-1626-SM-7SB8Z 60-69 years, female 26.0
GTEX-1A8FM-0626-SM-7PC25 50-59 years, female 25.6
GTEX-1F6IF-0926-SM-7SB7M 60-69 years, male 25.4
GTEX-VJYA-1526-SM-3GIJV 60-69 years, male 25.2
GTEX-UPK5-0426-SM-3GAEK 40-49 years, male 24.7
Show allShow less
Skin - Sun Exposed (Lower leg)
Average nTPM: 47.6
Samples: 701

Max nTPM: 144.9
Min nTPM: 24.9
Std nTPM: 11.0
Median nTPM: 46.6
GTEX-SE5C-1626-SM-2XCE3 40-49 years, female 144.9
GTEX-XUZC-1726-SM-4BRWS 30-39 years, female 100.8
GTEX-P4QT-0126-SM-2I3FL 50-59 years, female 87.1
GTEX-SN8G-0126-SM-32PLI 50-59 years, female 84.4
GTEX-NPJ8-0126-SM-2YUNR 40-49 years, male 83.1
GTEX-1QP9N-1426-SM-DTXFL 30-39 years, male 77.8
GTEX-ZGAY-0526-SM-4WWBB 40-49 years, female 76.3
GTEX-ZXES-1826-SM-5E43S 30-39 years, female 75.4
GTEX-WI4N-1026-SM-3LK7N 40-49 years, female 74.5
GTEX-O5YW-0126-SM-3LK6D 50-59 years, male 74.3
GTEX-1399U-2326-SM-5K7WY 50-59 years, female 74.2
GTEX-1JMQL-0226-SM-CNPP5 50-59 years, female 73.2
GTEX-X4EP-0126-SM-3P5YV 60-69 years, female 72.9
GTEX-ZAJG-0126-SM-5HL94 50-59 years, female 72.3
GTEX-13NZB-2526-SM-5J1OM 30-39 years, male 71.2
GTEX-1OJC3-0126-SM-E76QX 20-29 years, male 71.2
GTEX-13OVH-0126-SM-5MR4B 70-79 years, male 71.0
GTEX-1LVAN-0226-SM-COH3S 50-59 years, female 71.0
GTEX-OHPL-0126-SM-2HMJ7 60-69 years, female 70.9
GTEX-X8HC-0126-SM-4E3JW 50-59 years, female 70.2
GTEX-U8T8-0126-SM-3DB94 60-69 years, male 69.5
GTEX-1K2DU-2326-SM-E9TIV 20-29 years, male 69.4
GTEX-P4PP-0126-SM-3LK69 30-39 years, female 68.7
GTEX-RTLS-0126-SM-447CA 60-69 years, female 68.2
GTEX-WFON-2126-SM-3LK7O 40-49 years, male 67.8
GTEX-1PFEY-1526-SM-E76PP 30-39 years, male 67.7
GTEX-14XAO-2326-SM-6EU1B 60-69 years, female 66.8
GTEX-OIZH-0126-SM-2HMIS 50-59 years, male 66.7
GTEX-1JMLX-0226-SM-CM2RO 50-59 years, male 66.5
GTEX-O5YT-0126-SM-48TBW 20-29 years, male 66.2
GTEX-XXEK-2226-SM-4BRUM 50-59 years, male 66.2
GTEX-117XS-2726-SM-5N9BL 60-69 years, male 66.1
GTEX-QESD-1426-SM-2S1R9 20-29 years, male 66.0
GTEX-SUCS-1926-SM-32PM3 70-79 years, male 66.0
GTEX-UJHI-1526-SM-3DB99 50-59 years, female 65.5
GTEX-13FTY-0526-SM-5L3EV 40-49 years, female 65.3
GTEX-XBEW-0626-SM-4QASP 40-49 years, male 65.0
GTEX-ZWKS-0126-SM-5SIAA 30-39 years, male 64.8
GTEX-ZYFG-2326-SM-5E44B 60-69 years, female 64.8
GTEX-T6MN-0126-SM-32PLP 50-59 years, male 64.7
GTEX-YB5E-2026-SM-5IFIS 40-49 years, male 64.7
GTEX-ZPIC-1726-SM-DHXIU 40-49 years, female 64.6
GTEX-WYJK-0126-SM-3NMAB 50-59 years, male 64.5
GTEX-169BO-1326-SM-9MQK2 50-59 years, male 64.5
GTEX-1LH75-2426-SM-E9TJE 50-59 years, female 64.5
GTEX-14PN4-0126-SM-6EU2V 50-59 years, male 64.3
GTEX-1PIIG-0226-SM-EWRN6 30-39 years, male 64.2
GTEX-TKQ1-1026-SM-4GICL 30-39 years, male 64.1
GTEX-18D9A-1926-SM-7LG6P 30-39 years, female 63.7
GTEX-1J1OQ-0226-SM-CYPSH 40-49 years, female 63.7
GTEX-13NZ8-0826-SM-5MR3I 60-69 years, female 63.5
GTEX-14PJ6-2126-SM-6EU1V 60-69 years, female 63.3
GTEX-X4XX-0126-SM-3NMC2 60-69 years, male 63.3
GTEX-1OFPY-2426-SM-DTXEJ 60-69 years, male 63.2
GTEX-ZTX8-1426-SM-5DUVO 20-29 years, male 62.8
GTEX-11UD1-0126-SM-5PNYG 40-49 years, female 62.7
GTEX-131XE-2326-SM-5PNZ2 50-59 years, male 62.7
GTEX-139D8-0226-SM-5KLZO 30-39 years, female 62.7
GTEX-1JMPY-1326-SM-ARL8Y 30-39 years, male 62.4
GTEX-PSDG-0226-SM-DKPOZ 50-59 years, male 62.4
GTEX-1CB4I-0226-SM-79OLH 50-59 years, male 62.3
GTEX-1KWVE-1426-SM-E9TJO 30-39 years, male 62.3
GTEX-NFK9-0226-SM-2HMKQ 40-49 years, male 62.1
GTEX-U412-0426-SM-3DB9O 60-69 years, male 62.1
GTEX-13O3P-0126-SM-5KM4S 50-59 years, male 62.0
GTEX-X4XY-0226-SM-4E3IZ 60-69 years, male 62.0
GTEX-1KXAM-2226-SM-CYPTC 60-69 years, male 62.0
GTEX-145MN-2226-SM-5SIAU 30-39 years, male 61.9
GTEX-1JN1M-0326-SM-CYPT3 60-69 years, female 61.7
GTEX-13NYS-0126-SM-5MR3W 60-69 years, male 61.5
GTEX-1HCU9-1526-SM-A9SL7 20-29 years, male 61.3
GTEX-1HCVE-0126-SM-CGQEU 50-59 years, male 61.3
GTEX-1122O-2126-SM-5EGIR 60-69 years, female 61.2
GTEX-1L5NE-2526-SM-E6CIE 50-59 years, male 61.2
GTEX-1PDJ9-0326-SM-DTX95 20-29 years, male 61.1
GTEX-T5JC-0426-SM-32PLO 20-29 years, male 60.9
GTEX-1HSEH-0126-SM-ACKXN 60-69 years, male 60.9
GTEX-T5JW-1626-SM-3GADZ 20-29 years, female 60.8
GTEX-17GQL-2026-SM-718BA 60-69 years, male 60.7
GTEX-1S5ZA-0126-SM-EVYCV 20-29 years, male 60.7
GTEX-XYKS-2126-SM-4E3IB 60-69 years, female 60.4
GTEX-11EQ9-2426-SM-5HL5T 30-39 years, male 60.3
GTEX-1R46S-0626-SM-E9J41 60-69 years, female 60.2
GTEX-T2YK-0526-SM-32QPJ 50-59 years, male 60.0
GTEX-1R9PM-2026-SM-E76OY 20-29 years, male 60.0
GTEX-1LG7Z-1726-SM-D3LA4 30-39 years, male 59.8
GTEX-11TT1-2526-SM-5EGIB 20-29 years, male 59.6
GTEX-TMZS-0126-SM-3DB9Q 60-69 years, male 59.6
GTEX-1LBAC-0126-SM-DIPEZ 20-29 years, male 59.5
GTEX-15UF6-0826-SM-6PALJ 70-79 years, female 59.4
GTEX-X261-0126-SM-3NMD6 50-59 years, male 59.4
GTEX-1KANA-0726-SM-D3L9I 20-29 years, male 59.4
GTEX-XQ8I-0426-SM-4BOPO 50-59 years, male 59.3
GTEX-1MA7W-2026-SM-E9TJ6 20-29 years, female 59.2
GTEX-14ICK-0226-SM-6EU25 40-49 years, male 59.1
GTEX-XPVG-2626-SM-4B669 50-59 years, male 59.1
GTEX-1C4CL-0526-SM-73KVK 30-39 years, male 59.0
GTEX-XAJ8-0826-SM-47JY6 40-49 years, male 59.0
GTEX-ZVZP-2426-SM-59HKJ 50-59 years, male 58.9
GTEX-1A3MX-0126-SM-731BR 60-69 years, male 58.7
GTEX-S95S-1226-SM-4GICG 60-69 years, male 58.6
GTEX-ZU9S-0226-SM-5E441 30-39 years, male 58.6
GTEX-1JJ6O-0126-SM-E6CI8 60-69 years, male 58.5
GTEX-15F5U-1526-SM-6PANO 40-49 years, male 58.3
GTEX-PLZ6-1426-SM-DKPOT 30-39 years, male 58.3
GTEX-1B8KE-2126-SM-73KYX 50-59 years, male 58.2
GTEX-Y114-2426-SM-4TT8A 50-59 years, female 58.1
GTEX-1F5PL-0326-SM-7P8PQ 40-49 years, female 57.9
GTEX-1LSNM-1926-SM-E6CII 50-59 years, male 57.9
GTEX-1QCLY-0326-SM-E8VOG 30-39 years, male 57.9
GTEX-1LGRB-2526-SM-CNPPQ 50-59 years, female 57.8
GTEX-1CAMR-1926-SM-7EPI2 20-29 years, male 57.6
GTEX-1NV5F-0226-SM-E8VNY 60-69 years, female 57.6
GTEX-14A5H-0426-SM-5QGQF 60-69 years, male 57.5
GTEX-W5X1-3026-SM-EAZAX 40-49 years, female 57.5
GTEX-1GMR3-1926-SM-9KNUZ 40-49 years, male 57.4
GTEX-1IKK5-0626-SM-ARL8A 60-69 years, male 57.4
GTEX-139TS-2826-SM-5J1OO 60-69 years, male 57.3
GTEX-13NYB-2526-SM-5K7Z6 40-49 years, male 57.3
GTEX-13OW8-1326-SM-5J1OW 60-69 years, male 57.3
GTEX-13FTW-2626-SM-5K7WL 40-49 years, male 57.2
GTEX-13113-5016-SM-7EPIP 60-69 years, female 57.1
GTEX-13PDP-0126-SM-5L3HD 60-69 years, male 57.1
GTEX-13111-1626-SM-5EGJY 50-59 years, male 57.0
GTEX-1399R-2726-SM-5IJBA 30-39 years, male 57.0
GTEX-1S3DN-2226-SM-EVYCD 50-59 years, male 56.8
GTEX-Y5LM-1926-SM-5RQJH 40-49 years, female 56.7
GTEX-YEC4-2126-SM-5IFJH 40-49 years, male 56.7
GTEX-ZDTS-0126-SM-4WAY5 60-69 years, male 56.7
GTEX-18D9U-0226-SM-718BP 40-49 years, male 56.6
GTEX-11GSO-2426-SM-5A5LY 60-69 years, male 56.5
GTEX-14C5O-0126-SM-5SI6N 60-69 years, male 56.2
GTEX-PLZ5-2026-SM-2S1O4 50-59 years, male 56.1
GTEX-Z93S-0126-SM-5HL7M 50-59 years, male 56.1
GTEX-X585-0226-SM-4QAS2 50-59 years, male 55.9
GTEX-18A67-0126-SM-7LG5P 50-59 years, male 55.7
GTEX-X5EB-2226-SM-46MW4 40-49 years, male 55.7
GTEX-OHPM-0126-SM-2YUN9 50-59 years, male 55.6
GTEX-OOBJ-0126-SM-E6CJW 60-69 years, male 55.6
GTEX-ZF3C-0126-SM-DO92D 50-59 years, female 55.6
GTEX-133LE-1826-SM-5J1MV 20-29 years, female 55.5
GTEX-1HBPM-0226-SM-ARL9F 60-69 years, female 55.5
GTEX-1I1GV-0526-SM-A9G29 60-69 years, male 55.5
GTEX-1R7EU-0226-SM-EVR4G 60-69 years, male 55.4
GTEX-13RTK-1426-SM-5QGQJ 20-29 years, male 55.1
GTEX-14LZ3-0226-SM-62LET 60-69 years, female 55.1
GTEX-YB5K-2126-SM-4WWDJ 40-49 years, female 55.0
GTEX-11UD2-0226-SM-5EQKY 50-59 years, male 54.9
GTEX-ZTSS-1926-SM-57WEW 40-49 years, male 54.9
GTEX-ZVZO-0126-SM-5A5L9 40-49 years, male 54.9
GTEX-13PVR-2326-SM-5QGR1 60-69 years, female 54.8
GTEX-145LV-2126-SM-5LU8N 50-59 years, male 54.8
GTEX-X88G-0126-SM-47JZ3 30-39 years, male 54.8
GTEX-1HSMP-0126-SM-E6CJS 70-79 years, male 54.8
GTEX-13X6H-2126-SM-7EWD5 50-59 years, female 54.7
GTEX-WH7G-2326-SM-3NMBC 40-49 years, male 54.7
GTEX-1CB4E-2226-SM-793DC 60-69 years, male 54.6
GTEX-1K2DA-1826-SM-CGQGT 50-59 years, male 54.6
GTEX-11DXZ-2326-SM-5EGGV 50-59 years, male 54.5
GTEX-U3ZM-1526-SM-3DB9D 40-49 years, male 54.5
GTEX-T8EM-1026-SM-3DB7M 40-49 years, male 54.3
GTEX-XUW1-0426-SM-4BOOT 50-59 years, female 54.3
GTEX-ZAB4-0226-SM-5N9F5 40-49 years, male 54.3
GTEX-1LC47-0326-SM-E9TJP 60-69 years, male 54.3
GTEX-1QP66-1726-SM-E8VO1 50-59 years, male 54.3
GTEX-13YAN-0326-SM-5O9DF 60-69 years, male 54.2
GTEX-1497J-2426-SM-7IGNX 60-69 years, male 54.2
GTEX-RU72-0926-SM-2TF6B 50-59 years, female 54.2
GTEX-131XF-5016-SM-7MGWE 60-69 years, male 54.2
GTEX-1HSMO-0126-SM-CL547 60-69 years, male 54.2
GTEX-11WQK-0526-SM-5EQLD 50-59 years, male 54.1
GTEX-15ETS-0126-SM-7KUMW 40-49 years, female 54.1
GTEX-PX3G-0126-SM-2I3EN 20-29 years, female 54.1
GTEX-1JMQI-2226-SM-CM2SD 50-59 years, male 54.0
GTEX-1LGOU-2026-SM-DIPFF 20-29 years, female 54.0
GTEX-12WSK-2326-SM-5GCOH 40-49 years, female 53.9
GTEX-15UKP-0426-SM-7KUFQ 20-29 years, male 53.9
GTEX-13CF3-2426-SM-5IFGX 60-69 years, female 53.8
GTEX-17F98-0626-SM-79OMX 40-49 years, female 53.8
GTEX-1H1DG-0126-SM-9WYU2 70-79 years, male 53.8
GTEX-1JMQJ-0526-SM-CYPSU 50-59 years, male 53.7
GTEX-1AMFI-2026-SM-731BH 50-59 years, female 53.6
GTEX-ZZ64-1726-SM-5GZYB 20-29 years, male 53.6
GTEX-1QPFJ-0226-SM-E76PB 30-39 years, female 53.6
GTEX-PWCY-1826-SM-DHXIZ 20-29 years, female 53.6
GTEX-Y8DK-0126-SM-4TT3L 60-69 years, male 53.5
GTEX-1KANC-1526-SM-D3LAB 50-59 years, female 53.5
GTEX-15EOM-0126-SM-7KUGG 20-29 years, female 53.4
GTEX-13OVK-2026-SM-7KUEO 40-49 years, male 53.3
GTEX-145ME-1826-SM-5SI9G 40-49 years, female 53.2
GTEX-WVJS-0126-SM-4MVOT 50-59 years, male 53.1
GTEX-1M5QR-1226-SM-EWROB 40-49 years, male 53.1
GTEX-13CF2-2526-SM-5LZYX 60-69 years, male 53.0
GTEX-1I6K6-0126-SM-A9SLE 30-39 years, male 53.0
GTEX-13N2G-2626-SM-5J1OT 60-69 years, male 52.9
GTEX-Y3IK-2426-SM-4WWDU 50-59 years, female 52.9
GTEX-OXRL-0126-SM-2YUMP 50-59 years, male 52.8
GTEX-11TUW-2726-SM-E9J4M 60-69 years, male 52.8
GTEX-1GTWX-0126-SM-9YFLK 60-69 years, male 52.8
GTEX-15RIG-0226-SM-7KFTL 40-49 years, male 52.7
GTEX-XQ3S-1526-SM-4BOOC 20-29 years, male 52.7
GTEX-ZYFC-0226-SM-5NQ75 50-59 years, male 52.7
GTEX-ZF29-2326-SM-DO92K 60-69 years, female 52.7
GTEX-131XG-2626-SM-5KM17 50-59 years, female 52.4
GTEX-U8XE-0326-SM-3DB8P 30-39 years, male 52.4
GTEX-1S83E-0126-SM-EWRO4 40-49 years, male 52.4
GTEX-1JN6P-0126-SM-D3L98 60-69 years, male 52.3
GTEX-12WSE-0526-SM-793B2 20-29 years, male 52.2
GTEX-12WSJ-1826-SM-5GCNY 40-49 years, female 52.1
GTEX-1GF9W-0326-SM-9KNUN 60-69 years, male 52.1
GTEX-18QFQ-0126-SM-731BE 30-39 years, male 52.0
GTEX-14JG1-0426-SM-6ETZZ 40-49 years, male 51.9
GTEX-1C475-1826-SM-73KWA 40-49 years, female 51.9
GTEX-VUSG-2526-SM-4KL1V 50-59 years, male 51.9
GTEX-1KAFJ-2026-SM-CY8ID 50-59 years, male 51.9
GTEX-1PPH8-0226-SM-E8VND 20-29 years, male 51.9
GTEX-ZV6S-2326-SM-4YCEY 40-49 years, female 51.8
GTEX-1H4P4-0726-SM-9YFLR 50-59 years, male 51.8
GTEX-15CHC-2126-SM-6EU21 60-69 years, female 51.7
GTEX-1I1GT-0626-SM-CGQER 60-69 years, female 51.7
GTEX-17EUY-0426-SM-793BD 20-29 years, male 51.6
GTEX-Q2AI-1326-SM-2S1PL 40-49 years, male 51.6
GTEX-145LS-0126-SM-5QGP1 60-69 years, female 51.5
GTEX-12ZZZ-0626-SM-5DUXI 60-69 years, male 51.4
GTEX-13O21-1426-SM-5K7XI 50-59 years, male 51.4
GTEX-ZE7O-0126-SM-57WC1 50-59 years, female 51.4
GTEX-1HSGN-0226-SM-CGQFV 40-49 years, female 51.4
GTEX-1RB15-2126-SM-E9TIM 60-69 years, male 51.4
GTEX-1CAMQ-0226-SM-7IGPK 40-49 years, male 51.3
GTEX-WXYG-2326-SM-4E3I6 50-59 years, female 51.3
GTEX-14PHX-2326-SM-62LEM 50-59 years, male 51.2
GTEX-1QAET-0926-SM-E76QM 50-59 years, male 51.1
GTEX-PWO3-1526-SM-48TCM 60-69 years, female 51.0
GTEX-11OC5-0126-SM-5HL6A 60-69 years, male 50.9
GTEX-1J8QM-2126-SM-CYPSJ 60-69 years, female 50.9
GTEX-1MCQQ-0826-SM-DLHC2 60-69 years, male 50.9
GTEX-1N2EF-0226-SM-EYYXB 60-69 years, male 50.9
GTEX-1128S-2326-SM-5GZZY 60-69 years, female 50.8
GTEX-14E6C-0126-SM-5RQIP 40-49 years, male 50.8
GTEX-15SB6-1726-SM-6PAME 50-59 years, female 50.8
GTEX-Y111-0126-SM-4SOIV 50-59 years, male 50.8
GTEX-14PK6-1926-SM-6ETZU 70-79 years, female 50.7
GTEX-13FH7-2026-SM-E9J4I 50-59 years, female 50.7
GTEX-11DYG-0126-SM-59883 60-69 years, male 50.6
GTEX-16YQH-0126-SM-7DUFJ 30-39 years, male 50.6
GTEX-17HGU-0226-SM-7DHKV 50-59 years, male 50.6
GTEX-QV44-1926-SM-2S1RF 50-59 years, male 50.5
GTEX-12696-2426-SM-5EQ6H 60-69 years, male 50.4
GTEX-145MF-0626-SM-5LUAI 50-59 years, male 50.4
GTEX-13JUV-2726-SM-5LZZ8 40-49 years, female 50.2
GTEX-1GMR8-0126-SM-9WYTM 50-59 years, female 50.2
GTEX-14E6D-0126-SM-62LDV 50-59 years, male 50.1
GTEX-QEG4-0226-SM-2S1PY 30-39 years, male 50.1
GTEX-WZTO-0126-SM-3NM95 40-49 years, male 50.0
GTEX-111FC-0126-SM-5N9DL 60-69 years, male 49.9
GTEX-1B97I-1626-SM-73KYO 40-49 years, male 49.9
GTEX-W5WG-1826-SM-4KL2Y 50-59 years, female 49.9
GTEX-RVPV-0126-SM-EAZAW 60-69 years, male 49.9
GTEX-16NGA-1726-SM-731B4 40-49 years, female 49.8
GTEX-ZV68-0126-SM-59HKS 50-59 years, female 49.8
GTEX-1CB4H-0226-SM-7PBXM 60-69 years, female 49.8
GTEX-131YS-0126-SM-5KM1M 60-69 years, female 49.6
GTEX-1399T-2826-SM-5KLYZ 60-69 years, male 49.6
GTEX-1C64N-0126-SM-793D7 50-59 years, male 49.6
GTEX-OXRO-0126-SM-2YUN4 60-69 years, female 49.6
GTEX-1IOXB-0126-SM-ARL8G 50-59 years, male 49.6
GTEX-16MT8-0426-SM-7KUEY 60-69 years, female 49.5
GTEX-1F6RS-0126-SM-9MQKZ 60-69 years, female 49.5
GTEX-1HCUA-2426-SM-ADEIS 50-59 years, female 49.5
GTEX-1192X-0226-SM-5H12D 50-59 years, male 49.4
GTEX-132NY-0326-SM-5IJBL 60-69 years, male 49.4
GTEX-16XZZ-0126-SM-793DV 60-69 years, male 49.4
GTEX-12126-0326-SM-5PNW3 20-29 years, male 49.3
GTEX-13OVI-1426-SM-5L3EY 60-69 years, female 49.3
GTEX-14LLW-0126-SM-6LLIO 70-79 years, female 49.2
GTEX-TSE9-0126-SM-3DB83 60-69 years, female 49.2
GTEX-ZEX8-2426-SM-4WKG4 50-59 years, male 49.2
GTEX-113JC-2326-SM-5EQ4E 50-59 years, female 49.1
GTEX-13O3Q-2426-SM-5IJBR 50-59 years, male 49.1
GTEX-17EVP-0326-SM-7DHLG 40-49 years, male 49.1
GTEX-1GF9X-2026-SM-7PC3A 40-49 years, female 49.1
GTEX-1HSKV-0226-SM-A9SKJ 60-69 years, male 49.1
GTEX-1313W-0126-SM-5LZUN 50-59 years, female 49.0
GTEX-SIU8-0126-SM-2XCDT 50-59 years, male 49.0
GTEX-XBED-2226-SM-47JYQ 60-69 years, male 49.0
GTEX-1GN2E-0426-SM-9MQKX 60-69 years, male 49.0
GTEX-13FTX-1826-SM-5J1NX 20-29 years, female 48.9
GTEX-13W3W-2426-SM-5LU5B 60-69 years, female 48.9
GTEX-17F96-1626-SM-7DUFL 70-79 years, male 48.8
GTEX-14DAR-2026-SM-5S2O3 50-59 years, male 48.7
GTEX-1AYCT-2426-SM-7IGQ3 50-59 years, male 48.6
GTEX-POMQ-2226-SM-2I5FK 20-29 years, female 48.6
GTEX-T2IS-0126-SM-4DM6O 20-29 years, female 48.6
GTEX-WY7C-2326-SM-3NB2U 50-59 years, male 48.6
GTEX-1B8SG-0126-SM-73KZ3 50-59 years, male 48.5
GTEX-1BAJH-0526-SM-793CQ 70-79 years, male 48.5
GTEX-1I4MK-2226-SM-ACKWD 50-59 years, female 48.5
GTEX-1E2YA-0126-SM-9KNUC 50-59 years, male 48.4
GTEX-1H1ZS-0426-SM-9WG6G 70-79 years, male 48.4
GTEX-1HCU8-0626-SM-A9SM9 60-69 years, female 48.4
GTEX-1211K-2026-SM-5EQ4Z 60-69 years, female 48.3
GTEX-R55G-2526-SM-2TC6D 40-49 years, female 48.3
GTEX-X4EO-0326-SM-3P5YO 60-69 years, female 48.3
GTEX-YJ89-0126-SM-4TT3X 60-69 years, male 48.3
GTEX-1J8Q2-0526-SM-CM2RW 60-69 years, male 48.3
GTEX-1QP2A-0126-SM-E9J43 50-59 years, male 48.3
GTEX-11DXX-2426-SM-5GZZW 60-69 years, female 48.2
GTEX-WRHK-1426-SM-3MJF9 20-29 years, female 48.1
GTEX-ZVT2-2526-SM-51MT1 50-59 years, female 48.1
GTEX-1IDJU-2626-SM-CM2RT 60-69 years, female 48.1
GTEX-17MFQ-1726-SM-793C7 20-29 years, male 48.0
GTEX-1J1R8-1726-SM-ARL8M 40-49 years, male 48.0
GTEX-13SLW-0126-SM-5SI6C 70-79 years, male 47.9
GTEX-145MI-0526-SM-5O9A8 60-69 years, female 47.9
GTEX-RUSQ-1526-SM-2TF62 50-59 years, male 47.9
GTEX-11ZTS-0126-SM-5EQ6M 60-69 years, female 47.8
GTEX-13RTJ-2426-SM-5S2Q2 60-69 years, male 47.8
GTEX-17KNJ-2326-SM-7DHLQ 50-59 years, male 47.8
GTEX-ZDTT-2726-SM-4WKF8 60-69 years, male 47.8
GTEX-1MCYP-1926-SM-E9J2R 20-29 years, female 47.8
GTEX-1314G-1526-SM-5EGK2 30-39 years, male 47.7
GTEX-13QJ3-0326-SM-5S2RA 50-59 years, male 47.7
GTEX-ZVTK-0426-SM-51MRS 20-29 years, male 47.7
GTEX-1HGF4-2426-SM-ACKXM 60-69 years, male 47.7
GTEX-ZQUD-1426-SM-57WER 30-39 years, male 47.6
GTEX-11P7K-2126-SM-5GU7G 30-39 years, male 47.5
GTEX-14A5I-0126-SM-5TDEA 50-59 years, female 47.5
GTEX-Z93T-0126-SM-5HL5N 50-59 years, male 47.5
GTEX-1H1DE-2126-SM-9WG6R 20-29 years, male 47.5
GTEX-144GL-0126-SM-5TDE2 50-59 years, male 47.4
GTEX-T6MO-1626-SM-32QOM 40-49 years, female 47.3
GTEX-Y8LW-1826-SM-5S2MV 50-59 years, female 47.2
GTEX-1LB8K-0226-SM-EWRNW 50-59 years, male 47.2
GTEX-1IKJJ-0126-SM-CNPQB 60-69 years, male 47.1
GTEX-RNOR-0126-SM-E9J4R 50-59 years, female 47.1
GTEX-13D11-2426-SM-5KM1V 50-59 years, female 47.0
GTEX-1J8EW-0126-SM-CJI4F 60-69 years, female 47.0
GTEX-1KD4Q-0226-SM-E9TJ9 40-49 years, male 47.0
GTEX-1AX9J-0226-SM-73KXM 60-69 years, male 46.9
GTEX-XUYS-0126-SM-47JWZ 50-59 years, male 46.9
GTEX-1H11D-0226-SM-9WG6Z 40-49 years, male 46.9
GTEX-1H1CY-2826-SM-9MQM3 60-69 years, female 46.9
GTEX-OXRN-0126-SM-48TDM 50-59 years, male 46.8
GTEX-1IDJF-0126-SM-CM2RS 20-29 years, male 46.8
GTEX-11EM3-2426-SM-59861 20-29 years, female 46.7
GTEX-11H98-0126-SM-5EGHG 50-59 years, male 46.7
GTEX-1HBPN-0226-SM-9YFM1 50-59 years, male 46.7
GTEX-1IDJH-0326-SM-A9SLQ 70-79 years, male 46.7
GTEX-1LNCM-1126-SM-E9U5E 50-59 years, female 46.7
GTEX-146FQ-0126-SM-5NQA9 30-39 years, male 46.6
GTEX-ZYY3-0126-SM-5GZY5 60-69 years, female 46.6
GTEX-11VI4-1726-SM-5CVLH 40-49 years, female 46.5
GTEX-1GZ4H-1726-SM-7PBZJ 50-59 years, female 46.5
GTEX-14PN3-2426-SM-6LLHS 60-69 years, female 46.4
GTEX-U3ZN-2326-SM-3DB7W 30-39 years, female 46.4
GTEX-WQUQ-0426-SM-3MJFU 60-69 years, male 46.4
GTEX-ZY6K-1826-SM-5GZXK 50-59 years, male 46.4
GTEX-11NSD-2226-SM-5986V 20-29 years, male 46.3
GTEX-14E6E-1826-SM-5S2R7 30-39 years, male 46.3
GTEX-14JG6-2226-SM-6EU2G 30-39 years, female 46.3
GTEX-14PII-0226-SM-6EU1T 60-69 years, male 46.3
GTEX-1CAV2-2226-SM-7P8P2 40-49 years, female 46.3
GTEX-1GN1V-0126-SM-9WPOS 60-69 years, male 46.3
GTEX-1I1GS-0126-SM-B2LVW 60-69 years, male 46.3
GTEX-139UW-2826-SM-5L3E7 60-69 years, male 46.2
GTEX-14BIM-0226-SM-7IGLD 60-69 years, female 46.2
GTEX-12WSD-0126-SM-59HKN 60-69 years, female 46.1
GTEX-XV7Q-2526-SM-4BRV9 40-49 years, female 46.1
GTEX-ZAB5-1826-SM-5HL7C 50-59 years, male 46.1
GTEX-13RTL-0126-SM-7LG5S 40-49 years, male 46.0
GTEX-14753-0426-SM-5NQAM 60-69 years, male 46.0
GTEX-1HCU7-0226-SM-CL545 50-59 years, male 46.0
GTEX-13FXS-0226-SM-5IJCK 50-59 years, male 45.9
GTEX-1LG7Y-0526-SM-DKPQC 50-59 years, male 45.9
GTEX-1MJK2-0426-SM-DTXE5 50-59 years, male 45.9
GTEX-1QP29-0626-SM-EWRMX 50-59 years, male 45.9
GTEX-16GPK-0126-SM-7DHLE 60-69 years, male 45.8
GTEX-1GF9V-0326-SM-7RHI5 60-69 years, male 45.8
GTEX-13VXU-0126-SM-5SI9F 50-59 years, male 45.7
GTEX-15ER7-0326-SM-7KUEV 20-29 years, female 45.6
GTEX-1GPI7-0126-SM-9MQL8 20-29 years, male 45.6
GTEX-1ICLY-0126-SM-D4P36 50-59 years, male 45.6
GTEX-1I1GP-2226-SM-CGQFK 50-59 years, male 45.5
GTEX-1IL2U-0226-SM-CE6T8 60-69 years, male 45.5
GTEX-S33H-1026-SM-EZ6L6 30-39 years, male 45.5
GTEX-144FL-0126-SM-5TDC8 50-59 years, male 45.4
GTEX-S7PM-0126-SM-4AD6S 60-69 years, male 45.4
GTEX-1RAZA-0126-SM-E6CI3 20-29 years, male 45.4
GTEX-147F4-0226-SM-5QGPW 50-59 years, male 45.3
GTEX-PLZ4-0126-SM-5SI8O 50-59 years, female 45.3
GTEX-1GZHY-0326-SM-9QEHI 50-59 years, female 45.3
GTEX-1O97I-0326-SM-EYYX7 60-69 years, male 45.3
GTEX-13X6J-0126-SM-5QGOU 50-59 years, male 45.2
GTEX-Y5V5-2326-SM-4V6GA 60-69 years, female 45.2
GTEX-Y8E4-0626-SM-4WWDL 40-49 years, male 45.2
GTEX-1MUQO-0126-SM-EAZ58 60-69 years, male 45.2
GTEX-1K9T9-0126-SM-EVYCF 50-59 years, female 45.1
GTEX-11DXY-2626-SM-5GIE7 60-69 years, male 45.0
GTEX-139T8-0126-SM-5K7XZ 60-69 years, male 45.0
GTEX-1F52S-0126-SM-9MQJU 60-69 years, female 45.0
GTEX-1JN76-0126-SM-CNPPE 20-29 years, female 45.0
GTEX-13IVO-0126-SM-5J1NG 70-79 years, male 44.9
GTEX-18A7B-0126-SM-7LG64 70-79 years, male 44.9
GTEX-1PWST-0226-SM-E76QJ 70-79 years, male 44.9
GTEX-13O1R-0126-SM-5L3EH 60-69 years, male 44.8
GTEX-13112-2826-SM-5DUWH 50-59 years, male 44.7
GTEX-ZF2S-2326-SM-4WWCE 50-59 years, female 44.7
GTEX-12WSG-2826-SM-E9J4H 50-59 years, female 44.7
GTEX-1HR98-0126-SM-B2LWI 60-69 years, male 44.7
GTEX-1212Z-2526-SM-5EGKP 60-69 years, male 44.6
GTEX-131XH-2226-SM-5DUXJ 50-59 years, male 44.6
GTEX-14BMV-0126-SM-5S2PO 50-59 years, male 44.6
GTEX-1NHNU-1026-SM-E9J2A 50-59 years, male 44.6
GTEX-145LT-1726-SM-5QGP3 40-49 years, male 44.5
GTEX-1AMEY-1326-SM-73KYK 30-39 years, female 44.5
GTEX-12C56-1726-SM-5EQ61 20-29 years, male 44.4
GTEX-144GN-2326-SM-5LU4F 50-59 years, male 44.4
GTEX-1F75B-0126-SM-9KNVL 50-59 years, male 44.4
GTEX-1PIGE-0126-SM-EVYBJ 20-29 years, male 44.4
GTEX-1A3MV-1926-SM-718BT 30-39 years, male 44.3
GTEX-RWS6-2026-SM-2XCB5 60-69 years, female 44.3
GTEX-TMMY-0226-SM-33HBA 40-49 years, female 44.2
GTEX-1PPH7-2326-SM-EVYB8 40-49 years, male 44.2
GTEX-OOBK-0126-SM-2YUND 40-49 years, male 44.1
GTEX-13OW5-0126-SM-DTXFS 60-69 years, male 44.1
GTEX-13O3O-0126-SM-E9J49 60-69 years, female 44.0
GTEX-1GZ2Q-0226-SM-7P8TL 40-49 years, male 44.0
GTEX-1H23P-0126-SM-ADEJ3 60-69 years, male 44.0
GTEX-1RDX4-0126-SM-E9J4P 50-59 years, female 44.0
GTEX-1S82Y-2026-SM-EVYCM 40-49 years, male 44.0
GTEX-117YW-2626-SM-5GZZH 50-59 years, male 43.9
GTEX-14BMU-2226-SM-5TDE9 20-29 years, female 43.9
GTEX-WOFL-0126-SM-3MJG2 60-69 years, male 43.9
GTEX-1E1VI-0126-SM-7DHMZ 50-59 years, male 43.8
GTEX-RM2N-1426-SM-2TF4H 50-59 years, male 43.8
GTEX-1EMGI-0126-SM-9KNUE 60-69 years, male 43.8
GTEX-1JKYR-0126-SM-CNPOJ 20-29 years, male 43.8
GTEX-17JCI-0126-SM-7LG5G 60-69 years, female 43.7
GTEX-18A6Q-0126-SM-731BZ 60-69 years, male 43.7
GTEX-1JMPZ-0226-SM-CNPP1 30-39 years, male 43.6
GTEX-13VXT-0126-SM-5LU4I 20-29 years, female 43.5
GTEX-ZDXO-3026-SM-5J1N5 60-69 years, male 43.5
GTEX-1F7RK-0126-SM-7PC2S 20-29 years, female 43.5
GTEX-1R7EV-2426-SM-EVYBG 40-49 years, male 43.5
GTEX-13W46-0226-SM-5SIAG 50-59 years, male 43.4
GTEX-UPJH-0326-SM-3GADU 50-59 years, male 43.4
GTEX-ZXG5-0126-SM-5GIEU 60-69 years, male 43.4
GTEX-14PJ3-1826-SM-62LEX 50-59 years, male 43.3
GTEX-16NPX-0226-SM-79OMT 50-59 years, male 43.3
GTEX-1CB4J-0626-SM-7DHMP 60-69 years, male 43.3
GTEX-X638-0126-SM-47JZ8 70-79 years, female 43.3
GTEX-1IL2V-0126-SM-CM2TX 70-79 years, male 43.3
GTEX-1GL5R-1826-SM-9KNUY 50-59 years, male 43.2
GTEX-1I1GQ-0126-SM-COH3H 50-59 years, male 43.2
GTEX-117YX-2326-SM-5H12W 50-59 years, male 43.1
GTEX-11DZ1-0126-SM-5985Q 50-59 years, male 43.1
GTEX-YJ8A-0426-SM-5IFID 20-29 years, male 43.1
GTEX-ZE9C-2726-SM-57WB5 60-69 years, male 43.1
GTEX-16BQI-0226-SM-7KUEX 30-39 years, female 43.0
GTEX-ZYT6-0226-SM-5NQ6T 30-39 years, male 43.0
GTEX-11EMC-2926-SM-5EQ4F 60-69 years, female 42.9
GTEX-11P82-1626-SM-59879 20-29 years, male 42.9
GTEX-13OW6-0426-SM-5L3HM 50-59 years, male 42.9
GTEX-1H2FU-0126-SM-9WYSI 60-69 years, female 42.9
GTEX-13OW7-0126-SM-5MR3B 50-59 years, male 42.7
GTEX-1A3MW-0126-SM-73KXX 60-69 years, female 42.7
GTEX-P4PQ-0126-SM-2S1NM 60-69 years, male 42.7
GTEX-ZC5H-0226-SM-4WAY9 40-49 years, female 42.7
GTEX-11TTK-0126-SM-5987B 60-69 years, female 42.6
GTEX-ZYFD-0126-SM-5GIDL 50-59 years, male 42.6
GTEX-13X6I-0626-SM-5QGP9 60-69 years, male 42.5
GTEX-1EWIQ-0126-SM-7RHH2 70-79 years, female 42.5
GTEX-1C2JI-1826-SM-73KXC 50-59 years, male 42.4
GTEX-WYVS-2126-SM-3NMA3 40-49 years, female 42.4
GTEX-TML8-1926-SM-32QOS 40-49 years, female 42.3
GTEX-11LCK-1026-SM-5A5KB 30-39 years, male 42.2
GTEX-16AAH-1726-SM-7939C 50-59 years, male 42.2
GTEX-1B8SF-1426-SM-7DUGL 60-69 years, male 42.2
GTEX-X62O-0126-SM-4E3JN 50-59 years, male 42.2
GTEX-1HT8W-0126-SM-CNPPP 30-39 years, male 42.2
GTEX-1QMI2-0226-SM-EVYBX 60-69 years, male 42.2
GTEX-111VG-2426-SM-5GZXD 60-69 years, male 42.1
GTEX-13NZA-0226-SM-5K7Z7 60-69 years, male 42.0
GTEX-QVJO-1626-SM-2S1QW 60-69 years, female 42.0
GTEX-S7SE-0126-SM-2XCD5 50-59 years, male 42.0
GTEX-11DXW-0226-SM-5H122 40-49 years, male 41.9
GTEX-12WSA-0226-SM-5BC5V 60-69 years, male 41.9
GTEX-R45C-0126-SM-EAZ2R 60-69 years, female 41.9
GTEX-17HG3-2226-SM-7938L 30-39 years, female 41.7
GTEX-148VI-1626-SM-5SI6E 60-69 years, female 41.6
GTEX-1B996-0226-SM-7RHGO 60-69 years, male 41.6
GTEX-14E7W-0126-SM-6LLJ9 70-79 years, male 41.5
GTEX-18465-0126-SM-731BN 50-59 years, male 41.5
GTEX-ZF28-0126-SM-4WKGK 60-69 years, male 41.5
GTEX-1GN73-0226-SM-9WG67 60-69 years, male 41.5
GTEX-1269C-2526-SM-5EGJ3 60-69 years, female 41.4
GTEX-13S7M-0126-SM-5SI6A 60-69 years, female 41.4
GTEX-139T4-0226-SM-5HL5S 50-59 years, female 41.3
GTEX-18A66-0226-SM-718BD 60-69 years, male 41.3
GTEX-OXRK-0226-SM-3NB2G 50-59 years, female 41.3
GTEX-1JJE9-0326-SM-CL53Z 70-79 years, male 41.3
GTEX-1JKYN-1326-SM-CGQG9 30-39 years, male 41.3
GTEX-S32W-2126-SM-2XCB1 50-59 years, female 41.2
GTEX-1CB4F-0426-SM-9KNV4 60-69 years, male 41.2
GTEX-1HSMQ-1226-SM-CGQFX 50-59 years, male 41.1
GTEX-11GSP-2526-SM-5N9BP 60-69 years, female 41.0
GTEX-12WSC-0126-SM-5EQ4P 50-59 years, male 41.0
GTEX-139TU-0126-SM-5K7WH 60-69 years, male 41.0
GTEX-QDT8-0126-SM-48TZ1 30-39 years, female 40.9
GTEX-1ICG6-2526-SM-CGQFZ 70-79 years, female 40.9
GTEX-1B8KZ-2026-SM-7DHMB 50-59 years, male 40.8
GTEX-147GR-0526-SM-5S2MY 60-69 years, male 40.7
GTEX-1JK1U-2026-SM-CM2RZ 60-69 years, male 40.7
GTEX-13N11-2526-SM-5K7UE 50-59 years, female 40.6
GTEX-1B8L1-2526-SM-9WYTF 60-69 years, male 40.6
GTEX-1B933-0126-SM-7PC29 50-59 years, female 40.6
GTEX-1I1GU-2226-SM-CGQFA 40-49 years, male 40.6
GTEX-1IKOH-0226-SM-COH4E 60-69 years, female 40.6
GTEX-1A32A-0126-SM-718B1 50-59 years, female 40.5
GTEX-YFC4-0126-SM-5CVLY 40-49 years, female 40.5
GTEX-15DDE-0126-SM-6LPKH 50-59 years, female 40.4
GTEX-1HKZK-0326-SM-9WYUH 40-49 years, male 40.4
GTEX-1JMQK-0226-SM-CL543 60-69 years, male 40.4
GTEX-17F97-0326-SM-7LG5B 50-59 years, male 40.3
GTEX-11XUK-2026-SM-5EQLF 40-49 years, female 40.2
GTEX-15EU6-0426-SM-6PAN5 50-59 years, male 40.2
GTEX-1I19N-0326-SM-ACKVX 70-79 years, male 40.2
GTEX-14BIN-0626-SM-793DP 50-59 years, female 40.1
GTEX-15SHU-0126-SM-7KUEH 40-49 years, female 40.1
GTEX-Y3I4-2126-SM-4TT7C 50-59 years, male 40.1
GTEX-1GF9U-2126-SM-7SB7L 40-49 years, female 40.1
GTEX-1N2DV-0226-SM-E6CJ6 40-49 years, male 40.1
GTEX-1N2DW-0226-SM-E9TK2 50-59 years, male 40.1
GTEX-13OVL-0226-SM-5L3E9 50-59 years, male 40.0
GTEX-146FH-0126-SM-5QGPP 50-59 years, female 40.0
GTEX-17HII-0226-SM-7LG4E 50-59 years, male 39.9
GTEX-1H3O1-0426-SM-9YFKY 60-69 years, male 39.9
GTEX-1H3VE-0326-SM-9YFLH 40-49 years, male 39.9
GTEX-1HFI7-1826-SM-ACKXH 50-59 years, female 39.9
GTEX-17HHY-0126-SM-7LG5D 50-59 years, male 39.8
GTEX-145MO-0326-SM-5Q5B3 60-69 years, male 39.7
GTEX-ZQG8-1626-SM-DHXIT 60-69 years, female 39.6
GTEX-ZVT4-0126-SM-DTXFN 50-59 years, female 39.6
GTEX-14DAQ-0126-SM-5S2MQ 60-69 years, female 39.4
GTEX-18A7A-0226-SM-718BH 50-59 years, female 39.4
GTEX-ZDYS-2026-SM-5HL5L 50-59 years, male 39.4
GTEX-ZZPT-0226-SM-5E43X 50-59 years, male 39.3
GTEX-11P81-2326-SM-59875 30-39 years, female 39.2
GTEX-17MF6-0126-SM-7LG4F 40-49 years, male 39.2
GTEX-12WSL-2526-SM-5GCNJ 50-59 years, male 39.1
GTEX-12ZZX-0126-SM-5EGK9 40-49 years, female 39.1
GTEX-OXRP-0126-SM-3NB32 60-69 years, female 39.1
GTEX-131XW-0426-SM-5LZWP 50-59 years, female 39.0
GTEX-ZAK1-0126-SM-5IJD3 50-59 years, female 39.0
GTEX-1GMRU-0126-SM-9YFLV 50-59 years, male 39.0
GTEX-1J8Q3-1626-SM-CMKGC 60-69 years, male 39.0
GTEX-1PBJI-0526-SM-E8VNK 20-29 years, female 39.0
GTEX-1192W-2626-SM-5Q5AF 60-69 years, male 38.9
GTEX-1HFI6-0226-SM-ADEHZ 40-49 years, male 38.9
GTEX-R55E-0126-SM-2TC5Y 20-29 years, male 38.8
GTEX-12584-0126-SM-5EGKQ 40-49 years, male 38.7
GTEX-14PJM-0226-SM-62LF1 50-59 years, female 38.7
GTEX-1F75I-0326-SM-9YFLU 40-49 years, male 38.7
GTEX-11OF3-2626-SM-5GU7F 60-69 years, male 38.6
GTEX-13FHP-0126-SM-5IJBG 50-59 years, male 38.6
GTEX-13OVG-1926-SM-5L3DK 60-69 years, male 38.6
GTEX-1C6VR-2426-SM-79OLD 60-69 years, male 38.6
GTEX-OIZG-0726-SM-33HBL 50-59 years, male 38.6
GTEX-VJWN-0126-SM-3GIK7 50-59 years, female 38.6
GTEX-ZYW4-0126-SM-5E44A 60-69 years, male 38.6
GTEX-1EN7A-0126-SM-7SB81 40-49 years, male 38.6
GTEX-139TT-0126-SM-5K7Y5 60-69 years, male 38.5
GTEX-12ZZY-0226-SM-5LZVE 60-69 years, male 38.4
GTEX-13NYC-0326-SM-E9J4S 60-69 years, male 38.4
GTEX-1GPI6-0126-SM-9WG69 60-69 years, male 38.4
GTEX-1KD5A-0226-SM-D5OV3 50-59 years, male 38.4
GTEX-PW2O-1526-SM-7RHHB 20-29 years, male 38.4
GTEX-WFG8-2226-SM-3GIL9 20-29 years, male 38.3
GTEX-1HBPH-0426-SM-B2LW5 40-49 years, female 38.3
GTEX-1H3VY-0126-SM-ACKXD 50-59 years, male 37.8
GTEX-1RQEC-0426-SM-E6CHU 60-69 years, male 37.8
GTEX-147F3-0526-SM-5SI98 50-59 years, female 37.7
GTEX-1HCU6-0126-SM-CL54K 60-69 years, female 37.7
GTEX-15DCD-0126-SM-7KUEK 70-79 years, female 37.6
GTEX-ZTPG-0326-SM-5O9AX 20-29 years, female 37.6
GTEX-1ICLZ-0126-SM-CKZPO 60-69 years, male 37.6
GTEX-1IGQW-0126-SM-COH42 60-69 years, male 37.6
GTEX-13U4I-0126-SM-5LU38 40-49 years, female 37.5
GTEX-QLQ7-1626-SM-2S1R8 60-69 years, male 37.5
GTEX-1HBPI-1526-SM-C1YQ1 50-59 years, male 37.5
GTEX-1MGNQ-0126-SM-EVYCJ 40-49 years, male 37.5
GTEX-13OVJ-0126-SM-5KM36 50-59 years, female 37.4
GTEX-Z9EW-1626-SM-5CVMN 40-49 years, male 37.4
GTEX-11EI6-0126-SM-5985R 60-69 years, male 37.3
GTEX-1CAMS-0426-SM-7P8T2 40-49 years, female 37.3
GTEX-12KS4-0326-SM-5EQ41 30-39 years, male 37.2
GTEX-13N1W-0126-SM-5K7VT 70-79 years, male 37.2
GTEX-SNMC-1226-SM-2XCFP 20-29 years, male 37.0
GTEX-U3ZH-2026-SM-3DB78 30-39 years, male 37.0
GTEX-1C6VS-0526-SM-7DUEN 60-69 years, male 36.9
GTEX-RWSA-0126-SM-2XCBB 40-49 years, male 36.9
GTEX-14A6H-0126-SM-5QGPK 30-39 years, male 36.8
GTEX-1EKGG-0226-SM-9WYTH 60-69 years, male 36.8
GTEX-17EVQ-0226-SM-7LG4P 70-79 years, male 36.7
GTEX-ZVE2-0226-SM-59HJB 50-59 years, male 36.7
GTEX-1C6WA-0126-SM-7PC2B 60-69 years, male 36.7
GTEX-1JJEA-0326-SM-CNPOT 60-69 years, male 36.7
GTEX-1KANB-0526-SM-E6CJH 50-59 years, male 36.7
GTEX-1HB9E-0226-SM-E9U4R 50-59 years, male 36.6
GTEX-11NUK-0126-SM-5A5L3 50-59 years, male 36.5
GTEX-11ZTT-2426-SM-5EQLS 60-69 years, female 36.5
GTEX-QLQW-1126-SM-2S1Q8 30-39 years, male 36.5
GTEX-1GN1U-0126-SM-7PBZK 50-59 years, female 36.5
GTEX-18D9B-0526-SM-7LTAS 60-69 years, male 36.4
GTEX-13SLX-0526-SM-5S2ON 50-59 years, female 36.3
GTEX-11ZU8-2526-SM-5EQKI 60-69 years, male 36.0
GTEX-U4B1-1826-SM-4DXSU 40-49 years, male 35.9
GTEX-1POEN-0126-SM-EYYXJ 30-39 years, female 35.9
GTEX-1RAZQ-0726-SM-EAZ43 30-39 years, male 35.8
GTEX-17HHE-2026-SM-79OKF 50-59 years, male 35.6
GTEX-1CB4G-0226-SM-7PC3O 60-69 years, male 35.4
GTEX-1C64O-0126-SM-7SB8P 60-69 years, male 35.3
GTEX-1EU9M-0226-SM-7P8SP 60-69 years, male 35.3
GTEX-13G51-2526-SM-5LZYK 60-69 years, male 35.2
GTEX-11GS4-2726-SM-5A5LE 60-69 years, male 35.0
GTEX-V1D1-2226-SM-3NMAX 50-59 years, male 35.0
GTEX-ZVT3-0126-SM-5GU6I 60-69 years, female 35.0
GTEX-1AX9I-0126-SM-7SB74 60-69 years, male 35.0
GTEX-1F6I4-0126-SM-9MQL2 60-69 years, male 35.0
GTEX-15D1Q-0126-SM-7KUG6 40-49 years, male 34.9
GTEX-1AX8Z-0126-SM-7DHM6 60-69 years, male 34.8
GTEX-Q734-1926-SM-2I5EV 40-49 years, female 34.8
GTEX-11O72-0126-SM-59887 40-49 years, male 34.7
GTEX-1AX9K-2326-SM-73KWU 50-59 years, male 34.5
GTEX-1IDFM-0126-SM-COH2V 60-69 years, male 34.5
GTEX-1IE54-0126-SM-CMKHW 40-49 years, female 34.5
GTEX-183FY-0126-SM-7LT9P 20-29 years, male 34.2
GTEX-XMD2-0126-SM-4YCDU 60-69 years, female 34.2
GTEX-1GN1W-0526-SM-9MQJQ 50-59 years, female 34.2
GTEX-Y5V6-2426-SM-4VDSB 60-69 years, male 34.1
GTEX-1H3NZ-0126-SM-ACKX7 60-69 years, male 34.0
GTEX-145LU-0126-SM-5TDCB 50-59 years, male 33.9
GTEX-RN64-0126-SM-2TC68 50-59 years, male 33.8
GTEX-1H1E6-1726-SM-ACKVK 30-39 years, male 33.8
GTEX-11ZUS-0626-SM-59885 30-39 years, male 33.6
GTEX-1J8JJ-0226-SM-CL53I 60-69 years, female 33.6
GTEX-11ZVC-2526-SM-5FQTE 50-59 years, female 33.5
GTEX-1F75A-0126-SM-7RHGM 50-59 years, male 33.4
GTEX-15SDE-2226-SM-7IGLO 50-59 years, female 33.3
GTEX-1R9K4-0126-SM-DTX9X 60-69 years, male 33.2
GTEX-1S82Z-0826-SM-E6CHY 30-39 years, female 33.2
GTEX-14PHW-0126-SM-6LLJI 60-69 years, female 32.9
GTEX-1JMOU-1526-SM-CL54I 60-69 years, female 32.8
GTEX-ZUA1-0126-SM-5GU76 40-49 years, male 32.7
GTEX-13FHO-0226-SM-5IFGY 60-69 years, male 32.5
GTEX-1RLM8-2326-SM-EWRN4 50-59 years, male 32.5
GTEX-1QEPI-0126-SM-EWRMQ 60-69 years, female 32.3
GTEX-QDVN-2026-SM-3GAEP 50-59 years, male 32.2
GTEX-QDVJ-1726-SM-2I5FX 50-59 years, male 32.1
GTEX-14ABY-0226-SM-5TDCQ 50-59 years, male 31.9
GTEX-R3RS-0126-SM-3GIJL 40-49 years, female 31.9
GTEX-15DYW-0126-SM-7KULE 60-69 years, female 31.8
GTEX-1OJC4-0126-SM-E9J2E 50-59 years, female 31.7
GTEX-1F5PK-2426-SM-7RHHY 50-59 years, male 31.6
GTEX-1AYD5-2426-SM-73KXR 50-59 years, male 31.5
GTEX-1F6IF-0726-SM-7P8TW 60-69 years, male 31.4
GTEX-1A8FM-0226-SM-7SB7Q 50-59 years, female 31.2
GTEX-1R9PO-2126-SM-E9J4O 60-69 years, female 31.0
GTEX-VJYA-1126-SM-3GIJU 60-69 years, male 30.8
GTEX-148VJ-0126-SM-5TDDN 70-79 years, male 30.6
GTEX-183WM-0126-SM-7LTAB 70-79 years, female 30.6
GTEX-1MA7X-2226-SM-E6CIY 60-69 years, male 30.5
GTEX-11WQC-2526-SM-5CVLE 60-69 years, male 30.2
GTEX-1I1HK-0126-SM-COH49 60-69 years, male 30.2
GTEX-1F88F-2726-SM-7PBZZ 60-69 years, female 30.1
GTEX-1M4P7-0226-SM-DIPEV 60-69 years, male 30.1
GTEX-14JIY-0126-SM-6LLH6 60-69 years, male 30.0
GTEX-Q2AG-0126-SM-33HBV 40-49 years, female 30.0
GTEX-Q2AH-1626-SM-3GAF8 40-49 years, male 29.7
GTEX-1I1GR-0126-SM-CL55F 60-69 years, male 29.6
GTEX-15SHW-0326-SM-6PAML 60-69 years, male 29.5
GTEX-1I1CD-0126-SM-CM2TK 60-69 years, female 29.3
GTEX-1QW4Y-1526-SM-EAZ3Z 30-39 years, male 29.3
GTEX-16XZY-2126-SM-79OK1 70-79 years, male 29.2
GTEX-12WSN-5019-SM-79OM6 40-49 years, male 29.1
GTEX-1IY9M-0126-SM-D3L8S 60-69 years, male 29.1
GTEX-113IC-0126-SM-5HL6T 60-69 years, male 28.9
GTEX-SJXC-0126-SM-2XCFF 60-69 years, male 28.8
GTEX-1F48J-0126-SM-7P8TT 50-59 years, female 28.8
GTEX-15G19-0126-SM-6PANQ 60-69 years, male 28.7
GTEX-1HUB1-0426-SM-E9U4U 60-69 years, male 28.6
GTEX-1QP67-1626-SM-EAZ3X 40-49 years, female 28.6
GTEX-146FR-1326-SM-E9J48 60-69 years, female 27.8
GTEX-PVOW-0126-SM-2XCFA 40-49 years, male 27.6
GTEX-SSA3-0126-SM-32QPU 60-69 years, male 27.3
GTEX-1EX96-1626-SM-7PBXR 50-59 years, male 27.3
GTEX-QCQG-1726-SM-3GIJ9 50-59 years, female 27.1
GTEX-14BIL-0126-SM-5SI92 50-59 years, male 27.0
GTEX-1C6VQ-0126-SM-7P8RI 50-59 years, male 26.9
GTEX-OIZF-0126-SM-7SB8I 60-69 years, male 26.7
GTEX-P44H-0226-SM-2XCEU 40-49 years, male 24.9
Show allShow less

Contact

  • NEWS ARTICLES
  • PRESS ROOM

The Project

  • INTRODUCTION
  • ORGANIZATION
  • PUBLICATIONS

The Human Protein Atlas

  • DOWNLOADABLE DATA
  • LICENCE & CITATION
  • HELP & FAQ
The Human Protein Atlas project is funded
by the Knut & Alice Wallenberg Foundation.


contact@proteinatlas.org