We use cookies to enhance the usability of our website. If you continue, we'll assume that you are happy to receive all cookies. More information. Don't show this again.
DVL1
HPA
RESOURCES
  • TISSUE
  • BRAIN
  • SINGLE CELL
  • SUBCELLULAR
  • CANCER
  • BLOOD
  • CELL LINE
  • STRUCTURE & INTERACTION
ABOUT
  • INTRODUCTION
  • HISTORY
  • ORGANIZATION
  • PUBLICATIONS
  • ANTIBODY SUBMISSION
  • ANTIBODY AVAILABILITY
  • ACKNOWLEDGMENTS
  • CONTACT
NEWS
  • NEWS ARTICLES
  • PRESS ROOM
LEARN
  • DICTIONARY
  • PROTEIN CLASSES
  • PROTEIN EVIDENCE
  • METHODS
  • EDUCATIONAL VIDEOS
DATA
  • DOWNLOADABLE DATA
  • PUBLICATION DATA
  • RELEASE HISTORY
HELP
  • ANTIBODY VALIDATION
  • ASSAYS & ANNOTATION
  • DISCLAIMER
  • HELP & FAQ
  • PRIVACY STATEMENT
  • LICENCE & CITATION
Fields »
Search result

Field
Term
Gene name
Class
Subclass
Class
Keyword
Chromosome
External id
Tissue
Cell type
Expression
Antibody panel
Tissue
Main location
Patient ID
Annotation
Tissue
Category
Tau score
Cluster
Reliability
Brain region
Category
Tau score
Brain region
Category
Tau score
Brain region
Category
Tau score
Cluster
Reliability
Tissue
Cell type
Enrichment
Cell type
Category
Tau score
Cell type
Category
Tau score
Cell type
Category
Tau score
Cell lineage
Category
Tau score
Cluster
Cluster
Location
Searches
Location
Cell line
Class
Type
Phase
Reliability
Cancer
Prognosis
Cancer
Category
Cancer
Category
Tau score
Cluster
Variants
Interacting gene (ensg_id)
Type
Number of interactions
Pathway
Category
Score
Score
Score
Validation
Validation
Validation
Validation
Antibodies
Data type
Column


  • SUMMARY

  • TISSUE

  • BRAIN

  • SINGLE CELL

  • SUBCELL

  • CANCER

  • BLOOD

  • CELL LINE

  • STRUCT & INT

  • DVL1
TISSUE PRIMARY DATA STOMACH Show tissue menu
ADIPOSE TISSUE ADRENAL GLAND AMYGDALA APPENDIX BASAL GANGLIA BONE MARROW BREAST BRONCHUS CEREBELLUM CEREBRAL CORTEX CERVIX CHOROID PLEXUS COLON DUODENUM
ENDOMETRIUM EPIDIDYMIS ESOPHAGUS FALLOPIAN TUBE GALLBLADDER HEART MUSCLE HIPPOCAMPAL FORMATION HYPOTHALAMUS KIDNEY LIVER LUNG LYMPH NODE MIDBRAIN NASOPHARYNX
ORAL MUCOSA OVARY PANCREAS PARATHYROID GLAND PITUITARY GLAND PLACENTA PROSTATE RECTUM RETINA SALIVARY GLAND SEMINAL VESICLE SKELETAL MUSCLE SKIN SMALL INTESTINE
SMOOTH MUSCLE SOFT TISSUE SPINAL CORD SPLEEN STOMACH TESTIS THYMUS THYROID GLAND TONGUE TONSIL URINARY BLADDER VAGINA
ANTIBODIES
AND
VALIDATION
Dictionary
Tissue proteome
Stomach
STOMACH - Expression summary
Protein expression
Stomachi

On the top, protein expression in current human tissue, based on all annotated cell types, is reported with the units not detected (n), low (l), medium (m) and high (h). Underneath, protein expression in each annotated cell type are reported using the same units.

Protein expression data is based on knowledge-based annotation. For genes where more than one antibody has been used, a collective score is set.

If knowledge-based annotation could not be performed for a gene, no data is displayed here. View antibody staining data further down this page.

h
m
l
n
Glandular cells: High
RNA expressioni

A summary of mRNA expression data available for current tissue based on several datasets. The mRNA expression levels in human tissues are based on RNA-seq data generated by the Human Protein Atlas (HPA), Genotype-Tissue Expression (GTEx) portal and CAGE data generated by the FANTOM5 consortium. Consensus normalized expression levels for human tissues was created by combining the data from HPA and GTEx datasets.

The mRNA expression levels in pig are based on RNA-seq data generated by the Human Protein Atlas (HPA), and for mouse, HPA data and in situ hybridization generated by the Allen brain atlas are reported.

Scroll down to view mRNA expression data in more detail.
Consensus:48.4 nTPM
HPA:29.3 nTPM
GTEx:48.4 nTPM

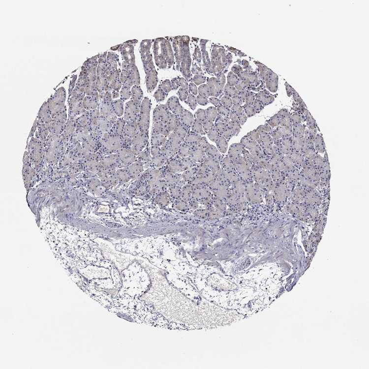
STOMACH 1 - Antibody stainingi

Antibody staining in the annotated cell types in the current human tissue is reported as not detected, low, medium, or high, based on conventional immunohistochemistry profiling in selected tissues. This score is based on the combination of the staining intensity and fraction of stained cells.

Each image is clickable and will lead to virtual microscopy that enables deeper exploration of all samples and also displays staining intensity scores, fraction scores and subcellular localization as well as patient and tissue information for each sample.

Antibody HPA073607Antibody CAB011538
Glandular cells MediumHigh




STOMACH 2 - Antibody stainingi

Antibody staining in the annotated cell types in the current human tissue is reported as not detected, low, medium, or high, based on conventional immunohistochemistry profiling in selected tissues. This score is based on the combination of the staining intensity and fraction of stained cells.

Each image is clickable and will lead to virtual microscopy that enables deeper exploration of all samples and also displays staining intensity scores, fraction scores and subcellular localization as well as patient and tissue information for each sample.

Antibody HPA073607Antibody CAB011538
Glandular cells MediumHigh





STOMACH - HPA RNA-seqi

The RNA-seq details section shows detailed information about the individual samples used for the transcript profiling and results of the RNA-seq analysis.

Information about each individual sample is listed below, including gender, age, a tissue section image and estimated fractions of cell types. nTPM (normalized transcripts per million) values give a quantification of the gene abundance which is comparable between different genes and samples.
Average nTPMi

Max subtype nTPM is the value for the subtype with the largest average nTPM across the subtype samples.

29.3
overview
Female, age 33
Stomach sample 61
nTPM: 26.9
Cell types%
Glandular cells:
60

Smooth muscle cells:
5

Other cell types:
35

N/A
Male, age 82
Stomach sample 240
nTPM: 21.3
Cell types%
Glandular cells:
65

Smooth muscle cells:
5

Other cell types:
30

overview
Male, age 71
Stomach sample 241
nTPM: 56.3
Cell types%
Glandular cells:
50

Smooth muscle cells:
5

Other cell types:
45

overview
Female, age 66
Stomach sample 369
nTPM: 12.6
Cell types%
Glandular cells:
50

Smooth muscle cells:
10

Other cell types:
40


STOMACH - GTEx RNA-seqi

RNA-Seq data generated by the Genotype-Tissue Expression (GTEx) project from human tissues is reported as mean nTPM. More information can be found on the GTEx portal.

Distribution across the dataset is visualized with box plots, shown as median and 25th and 75th percentiles. Points are displayed as outliers if they are above or below 1.5 times the interquartile range. nTPM values of the individual samples are presented next to the box plot.
Max subtype nTPMi

Max subtype nTPM is the value for the subtype with the largest average nTPM across the subtype samples.

48.4
GTEx sample id Sample description nTPM
Stomach
Average nTPM: 48.4
Samples: 359

Max nTPM: 78.8
Min nTPM: 27.7
Std nTPM: 10.1
Median nTPM: 48.3
GTEX-ZAB4-1526-SM-5CVN7 40-49 years, male 78.8
GTEX-ZYY3-1726-SM-5EGH3 60-69 years, female 77.0
GTEX-1LSNM-1026-SM-DHXL2 50-59 years, male 75.1
GTEX-XXEK-0826-SM-4BRWG 50-59 years, male 74.1
GTEX-15RIE-1026-SM-6LPJQ 60-69 years, male 72.5
GTEX-1LG7Z-1226-SM-DHXK4 30-39 years, male 71.9
GTEX-XUZC-0726-SM-4BOPH 30-39 years, female 71.6
GTEX-T6MO-0726-SM-4DM58 40-49 years, female 71.5
GTEX-117YW-2226-SM-5N9DB 50-59 years, male 69.9
GTEX-131XG-1226-SM-5EGH9 50-59 years, female 69.9
GTEX-QLQW-0726-SM-447AA 30-39 years, male 69.6
GTEX-13OW6-2526-SM-5IJEC 50-59 years, male 69.5
GTEX-1LVAN-2426-SM-CNNPZ 50-59 years, female 69.1
GTEX-ZLFU-1326-SM-DO11R 40-49 years, male 68.4
GTEX-1399S-1626-SM-5P9GI 30-39 years, female 68.3
GTEX-RWS6-0926-SM-47JXE 60-69 years, female 68.1
GTEX-12696-1726-SM-5EQLH 60-69 years, male 67.5
GTEX-Y8LW-0826-SM-4WWDO 50-59 years, female 67.4
GTEX-YB5E-1126-SM-664NU 40-49 years, male 67.1
GTEX-144GM-1726-SM-5O9AS 20-29 years, male 66.9
GTEX-WYJK-2526-SM-4ONDF 50-59 years, male 66.3
GTEX-14PKV-1826-SM-69LO9 20-29 years, female 66.0
GTEX-OIZH-1526-SM-3NB1J 50-59 years, male 65.6
GTEX-14PJ5-0826-SM-6AJAR 60-69 years, female 65.2
GTEX-17HII-2426-SM-7KFTT 50-59 years, male 65.1
GTEX-1MGNQ-1826-SM-DPRYI 40-49 years, male 64.8
GTEX-S4Z8-1226-SM-4AD6W 60-69 years, male 64.3
GTEX-S95S-0826-SM-4B64N 60-69 years, male 64.2
GTEX-Y9LG-1026-SM-5IFJN 30-39 years, male 64.2
GTEX-XBED-1226-SM-4AT5V 60-69 years, male 64.1
GTEX-XQ8I-2026-SM-4BOOL 50-59 years, male 64.1
GTEX-ZZ64-0426-SM-5E43F 20-29 years, male 63.7
GTEX-X15G-1126-SM-4PQZG 50-59 years, female 63.4
GTEX-1GF9U-1126-SM-AHZ4H 40-49 years, female 63.1
GTEX-15DCE-1626-SM-6LPJM 20-29 years, male 62.8
GTEX-1RB15-1026-SM-E9U6V 60-69 years, male 62.6
GTEX-SUCS-0926-SM-4DM4Z 70-79 years, male 62.3
GTEX-UJMC-1226-SM-4IHLI 50-59 years, male 61.8
GTEX-1LGRB-1726-SM-CNNRA 50-59 years, female 61.6
GTEX-1CAMR-0726-SM-7EPIE 20-29 years, male 61.5
GTEX-Q2AI-0826-SM-48TZO 40-49 years, male 61.4
GTEX-11TT1-0726-SM-5GU5A 20-29 years, male 61.1
GTEX-ZVT3-2126-SM-59HL2 60-69 years, female 61.0
GTEX-S341-0626-SM-4AD5T 40-49 years, female 60.7
GTEX-1B97I-1226-SM-7MGWQ 40-49 years, male 60.6
GTEX-1J8Q3-1926-SM-C1YSJ 60-69 years, male 60.4
GTEX-ZVP2-1626-SM-5GU5D 50-59 years, male 60.2
GTEX-WFON-1126-SM-4LVMA 40-49 years, male 59.9
GTEX-WXYG-1626-SM-4ONCR 50-59 years, female 59.9
GTEX-U4B1-1026-SM-4DXT1 40-49 years, male 59.7
GTEX-1R7EU-1126-SM-EAZ4M 60-69 years, male 59.7
GTEX-1AYCT-1326-SM-7MKHB 50-59 years, male 58.8
GTEX-QV44-1226-SM-CJI1S 50-59 years, male 58.5
GTEX-1JK1U-1326-SM-AHZ45 60-69 years, male 58.3
GTEX-14PJ4-1626-SM-664OB 60-69 years, male 58.2
GTEX-1B8KE-1326-SM-73KVI 50-59 years, male 58.2
GTEX-NFK9-1526-SM-3LK7B 40-49 years, male 58.2
GTEX-13CF3-1926-SM-5K7WF 60-69 years, female 58.1
GTEX-1B97J-1826-SM-7IGPP 50-59 years, female 58.0
GTEX-PX3G-1526-SM-48U11 20-29 years, female 58.0
GTEX-12WSG-2026-SM-5FQUU 50-59 years, female 57.9
GTEX-13PVR-2126-SM-73KVR 60-69 years, female 57.7
GTEX-YJ8A-1526-SM-5P9FT 20-29 years, male 57.6
GTEX-ZF29-1526-SM-4WKF7 60-69 years, female 57.6
GTEX-139D8-2326-SM-5IFGE 30-39 years, female 57.5
GTEX-14PJ6-0826-SM-686Z9 60-69 years, female 57.5
GTEX-O5YV-1926-SM-EV797 60-69 years, female 57.4
GTEX-ZLV1-0826-SM-DO11P 60-69 years, female 57.1
GTEX-1122O-1926-SM-5EGIQ 60-69 years, female 57.0
GTEX-1AMFI-1226-SM-731CZ 50-59 years, female 56.9
GTEX-1QP2A-2126-SM-DPRZ7 50-59 years, male 56.7
GTEX-ZV7C-1626-SM-5NQ7E 50-59 years, male 56.5
GTEX-P4PP-1526-SM-3P61M 30-39 years, female 56.4
GTEX-T5JW-0926-SM-4DM5K 20-29 years, female 56.4
GTEX-1GZ4H-1026-SM-9OSXL 50-59 years, female 56.2
GTEX-S3XE-1026-SM-4AD4O 50-59 years, male 56.1
GTEX-V955-1326-SM-4JBHR 60-69 years, male 56.1
GTEX-S4Q7-0726-SM-4AD5F 20-29 years, male 55.9
GTEX-S4UY-1626-SM-4AD55 40-49 years, female 55.9
GTEX-12WSK-1426-SM-5CVNN 40-49 years, female 55.6
GTEX-1GL5R-1926-SM-9WG7U 50-59 years, male 55.6
GTEX-WZTO-2126-SM-4PQYW 40-49 years, male 55.5
GTEX-1J8JJ-1726-SM-C1YQG 60-69 years, female 55.5
GTEX-17GQL-1226-SM-7KFTS 60-69 years, male 55.2
GTEX-1ICG6-1826-SM-AHZ2O 70-79 years, female 55.2
GTEX-RTLS-2626-SM-46MUJ 60-69 years, female 55.1
GTEX-11GSP-2126-SM-5HL5E 60-69 years, female 54.9
GTEX-WFG8-1326-SM-4LVN3 20-29 years, male 54.9
GTEX-1E2YA-2426-SM-7EPIG 50-59 years, male 54.7
GTEX-1LBAC-1426-SM-CXZKT 20-29 years, male 54.6
GTEX-13FTW-1726-SM-5KM2B 40-49 years, male 54.5
GTEX-111YS-1126-SM-5GZYQ 60-69 years, male 54.4
GTEX-145LT-1426-SM-5O9B3 40-49 years, male 54.3
GTEX-1A3MX-1926-SM-72D7F 60-69 years, male 54.3
GTEX-14DAQ-2826-SM-664MU 60-69 years, female 54.2
GTEX-1HKZK-1526-SM-B2LWG 40-49 years, male 54.1
GTEX-QLQ7-0826-SM-447B3 60-69 years, male 54.0
GTEX-13S7M-1826-SM-5RQK6 60-69 years, female 53.9
GTEX-111CU-0926-SM-5EGIK 50-59 years, male 53.8
GTEX-ZVZP-1726-SM-5GZWY 50-59 years, male 53.8
GTEX-ZXES-1426-SM-5NQ8S 30-39 years, female 53.8
GTEX-RU1J-0526-SM-46MUT 20-29 years, female 53.6
GTEX-ZT9W-1526-SM-4YCDE 50-59 years, male 53.6
GTEX-1H1E6-1626-SM-9OSWC 30-39 years, male 53.5
GTEX-Q734-1026-SM-48U16 40-49 years, female 53.3
GTEX-131XE-2226-SM-5PNYX 50-59 years, male 53.2
GTEX-14PKU-1126-SM-69LOU 40-49 years, female 53.0
GTEX-18A7A-2726-SM-7LG6U 50-59 years, female 53.0
GTEX-15CHR-1326-SM-79OLT 50-59 years, male 52.9
GTEX-1QP28-2126-SM-DTX8B 50-59 years, female 52.9
GTEX-14E1K-1526-SM-664MN 50-59 years, male 52.8
GTEX-1GMRU-2526-SM-9WG7T 50-59 years, male 52.8
GTEX-P4QT-1526-SM-3NMCT 50-59 years, female 52.6
GTEX-ZY6K-0726-SM-5A5L8 50-59 years, male 52.5
GTEX-ZP4G-1226-SM-4WWCJ 20-29 years, female 52.4
GTEX-PWCY-0926-SM-48TD7 20-29 years, female 52.3
GTEX-Y5LM-1326-SM-5RQIS 40-49 years, female 52.3
GTEX-1399R-1126-SM-5IFIO 30-39 years, male 51.8
GTEX-17F9E-2226-SM-7IGNC 50-59 years, male 51.7
GTEX-132QS-1826-SM-5IFFN 60-69 years, male 51.6
GTEX-13QBU-1126-SM-5LU44 40-49 years, female 51.6
GTEX-15DZA-1126-SM-6LPK8 30-39 years, female 51.6
GTEX-ZDYS-1926-SM-5HL59 50-59 years, male 51.6
GTEX-11NSD-1426-SM-5HL67 20-29 years, male 51.5
GTEX-TMMY-1626-SM-4DXTY 40-49 years, female 51.4
GTEX-1HBPN-1626-SM-9WPNP 50-59 years, male 51.4
GTEX-12BJ1-1726-SM-5HL9B 60-69 years, male 51.3
GTEX-15G19-1526-SM-6LPKP 60-69 years, male 51.2
GTEX-1J8EW-2226-SM-AHZ3T 60-69 years, female 51.2
GTEX-1H23P-2726-SM-9JGHN 60-69 years, male 51.1
GTEX-1399U-1626-SM-5P9J3 50-59 years, female 51.0
GTEX-ZA64-0826-SM-5HL9U 20-29 years, male 50.9
GTEX-WHWD-1426-SM-4OORU 50-59 years, male 50.8
GTEX-XV7Q-1326-SM-4BRWM 40-49 years, female 50.8
GTEX-VJYA-1026-SM-4KL21 60-69 years, male 50.7
GTEX-1HSEH-1526-SM-B2LXG 60-69 years, male 50.5
GTEX-QMRM-1126-SM-447BN 50-59 years, male 50.4
GTEX-1A3MV-1226-SM-718BW 30-39 years, male 50.3
GTEX-Q2AH-1126-SM-48TZM 40-49 years, male 50.3
GTEX-13OVK-0926-SM-7KUFX 40-49 years, male 50.2
GTEX-1I1GT-1726-SM-C1YS3 60-69 years, female 50.2
GTEX-18D9A-0626-SM-7KFTY 30-39 years, female 50.1
GTEX-OOBJ-1526-SM-3NB1Q 60-69 years, male 50.1
GTEX-ZPU1-1626-SM-4WWB2 40-49 years, male 50.1
GTEX-1H1DE-1226-SM-9JGHH 20-29 years, male 50.1
GTEX-14E6E-0926-SM-664N8 30-39 years, male 50.0
GTEX-1HR9M-2326-SM-CNPPZ 60-69 years, male 50.0
GTEX-14BIL-1926-SM-73KYI 50-59 years, male 49.9
GTEX-13113-0726-SM-5LZUF 60-69 years, female 49.8
GTEX-13FH7-1026-SM-5IJGF 50-59 years, female 49.7
GTEX-1H3VY-2326-SM-9WG81 50-59 years, male 49.7
GTEX-1R9K5-1026-SM-EAZ4F 50-59 years, male 49.7
GTEX-14PHX-1026-SM-664OL 50-59 years, male 49.6
GTEX-ZQUD-0826-SM-57WDQ 30-39 years, male 49.6
GTEX-11DXX-1326-SM-5GIDZ 60-69 years, female 49.5
GTEX-SNOS-0826-SM-4DM5N 40-49 years, male 49.5
GTEX-1QMI2-2126-SM-DPRXQ 60-69 years, male 49.5
GTEX-1QPFJ-1526-SM-DPRXT 30-39 years, female 49.5
GTEX-144GN-1226-SM-5O991 50-59 years, male 49.4
GTEX-QDVN-1226-SM-48TZ5 50-59 years, male 49.4
GTEX-U3ZN-2026-SM-4DXUC 30-39 years, female 49.4
GTEX-ZVT2-1626-SM-51MRC 50-59 years, female 49.4
GTEX-ZYFG-1326-SM-5GICJ 60-69 years, female 49.4
GTEX-1LGOU-1526-SM-D3LAJ 20-29 years, female 49.4
GTEX-1MUQO-1926-SM-EAZ59 60-69 years, male 49.4
GTEX-P78B-1826-SM-3P5YX 40-49 years, female 49.3
GTEX-17HHE-1026-SM-79ON6 50-59 years, male 49.2
GTEX-1F75I-1826-SM-7MKGX 40-49 years, male 49.2
GTEX-11EQ9-1226-SM-5987E 30-39 years, male 49.1
GTEX-18A66-2226-SM-7189E 60-69 years, male 49.1
GTEX-OHPK-1526-SM-3MJGM 50-59 years, female 49.1
GTEX-PW2O-1226-SM-48TCH 20-29 years, male 49.0
GTEX-1339X-1426-SM-5K7YO 40-49 years, male 48.9
GTEX-18QFQ-1226-SM-718AE 30-39 years, male 48.9
GTEX-XAJ8-0326-SM-47JYI 40-49 years, male 48.8
GTEX-W5WG-1726-SM-4LMI5 50-59 years, female 48.7
GTEX-139YR-1926-SM-5LZXM 50-59 years, male 48.5
GTEX-14ICL-0826-SM-5YY9W 30-39 years, male 48.4
GTEX-Y5V6-1326-SM-4VDTF 60-69 years, male 48.3
GTEX-1I6K7-1726-SM-B2LXQ 40-49 years, male 48.3
GTEX-12WSD-2326-SM-59HKQ 60-69 years, female 48.2
GTEX-13FTX-0726-SM-5N9BI 20-29 years, female 48.2
GTEX-18D9B-2226-SM-718BM 60-69 years, male 48.2
GTEX-1C475-1026-SM-7MKFJ 40-49 years, female 48.1
GTEX-145MO-2226-SM-5Q5BN 60-69 years, male 47.9
GTEX-117YX-1026-SM-5H11V 50-59 years, male 47.8
GTEX-1MJIX-1126-SM-EV7AO 40-49 years, male 47.8
GTEX-RM2N-0826-SM-48FD3 50-59 years, male 47.7
GTEX-145ME-1026-SM-5O9B4 40-49 years, female 47.6
GTEX-14BMU-1126-SM-5RQJ8 20-29 years, female 47.6
GTEX-14PJ3-1426-SM-664O8 50-59 years, male 47.6
GTEX-YEC4-1426-SM-5IFHS 40-49 years, male 47.6
GTEX-14PN3-1326-SM-6AJ9U 60-69 years, female 47.5
GTEX-1QCLY-1126-SM-EAZ4J 30-39 years, male 47.4
GTEX-1QCLZ-1826-SM-DPRXP 60-69 years, female 47.4
GTEX-13PVQ-2126-SM-5L3FW 50-59 years, male 47.1
GTEX-15RIF-1126-SM-7KUG2 20-29 years, male 47.1
GTEX-QXCU-1926-SM-48FE4 50-59 years, male 47.0
GTEX-QV31-0626-SM-447C5 30-39 years, male 46.9
GTEX-R55D-1526-SM-48FEJ 50-59 years, male 46.8
GTEX-R53T-1226-SM-48FCT 50-59 years, female 46.7
GTEX-ZV6S-0926-SM-57WGB 40-49 years, female 46.7
GTEX-WH7G-1526-SM-4LVMX 40-49 years, male 46.6
GTEX-14B4R-0726-SM-5TDDR 30-39 years, male 46.5
GTEX-17HGU-2126-SM-7IGOV 50-59 years, male 46.5
GTEX-ZLWG-1526-SM-DO12F 50-59 years, female 46.5
GTEX-1J8QM-1126-SM-C1YQB 60-69 years, female 46.4
GTEX-145MN-1326-SM-5NQ9S 30-39 years, male 46.3
GTEX-1KANA-1126-SM-D3L9M 20-29 years, male 46.3
GTEX-1HSMQ-2426-SM-CE6RY 50-59 years, male 46.1
GTEX-ZZPU-1426-SM-5GZZ6 50-59 years, female 46.0
GTEX-OHPM-1526-SM-EV796 50-59 years, male 46.0
GTEX-14JG6-1226-SM-664O6 30-39 years, female 45.9
GTEX-15UF7-1226-SM-6M46G 40-49 years, male 45.9
GTEX-1B8KZ-1226-SM-793CP 50-59 years, male 45.9
GTEX-QDVJ-1426-SM-48U1Y 50-59 years, male 45.9
GTEX-1E1VI-2826-SM-7MGWU 50-59 years, male 45.9
GTEX-1RMOY-1126-SM-EV79E 50-59 years, male 45.9
GTEX-11EM3-1026-SM-5A5KL 20-29 years, female 45.5
GTEX-V1D1-1726-SM-4JBHB 50-59 years, male 45.5
GTEX-ZYVF-2726-SM-5GID4 50-59 years, female 45.5
GTEX-PWN1-1526-SM-48TDA 40-49 years, female 45.4
GTEX-17F98-1526-SM-7EWD8 40-49 years, female 45.3
GTEX-1I1HK-2026-SM-CNNRB 60-69 years, male 45.2
GTEX-17MF6-2126-SM-7KFS7 40-49 years, male 45.1
GTEX-1F5PL-1426-SM-7MKFH 40-49 years, female 45.1
GTEX-1HBPI-0726-SM-9WG7Z 50-59 years, male 45.0
GTEX-18A67-2626-SM-718AD 50-59 years, male 44.9
GTEX-1LVAM-1426-SM-E9TJ4 50-59 years, female 44.7
GTEX-1K2DA-0826-SM-CGQGD 50-59 years, male 44.5
GTEX-1RQEC-2126-SM-DPS15 60-69 years, male 44.4
GTEX-T5JC-1926-SM-4DM6Q 20-29 years, male 44.3
GTEX-WRHK-0626-SM-4MVOE 20-29 years, female 44.3
GTEX-1JMLX-2426-SM-CXZJQ 50-59 years, male 44.3
GTEX-13U4I-2526-SM-5SI8Z 40-49 years, female 44.2
GTEX-1A8G6-1426-SM-731EZ 60-69 years, male 44.2
GTEX-1CB4E-1326-SM-7DUGD 60-69 years, male 44.2
GTEX-1H3NZ-2226-SM-9WYUT 60-69 years, male 43.9
GTEX-1KXAM-0926-SM-CXZKA 60-69 years, male 43.9
GTEX-132AR-2426-SM-5IFFD 50-59 years, female 43.8
GTEX-WY7C-1726-SM-4ONCC 50-59 years, male 43.8
GTEX-1JMPZ-1826-SM-CXZJT 30-39 years, male 43.8
GTEX-WYVS-1326-SM-4ONCQ 40-49 years, female 43.7
GTEX-1HCUA-1626-SM-A9SMG 50-59 years, female 43.7
GTEX-ZGAY-1626-SM-DNZZ3 40-49 years, female 43.6
GTEX-14DAR-0926-SM-73KUQ 50-59 years, male 43.5
GTEX-15G1A-1226-SM-7KUF3 30-39 years, male 43.4
GTEX-POMQ-0826-SM-3P61H 20-29 years, female 43.4
GTEX-YFCO-0826-SM-5LUAG 40-49 years, male 43.4
GTEX-1JKYN-1726-SM-AHZ48 30-39 years, male 43.4
GTEX-1AX9J-2626-SM-731EK 60-69 years, male 43.3
GTEX-16AAH-1226-SM-79OO9 50-59 years, male 43.2
GTEX-1KD5A-1426-SM-D4P3V 50-59 years, male 43.2
GTEX-12WSJ-0926-SM-5P9JD 40-49 years, female 42.8
GTEX-WHSB-1226-SM-4M1XR 50-59 years, male 42.8
GTEX-146FR-2026-SM-5NQAI 60-69 years, female 42.7
GTEX-S4P3-0726-SM-4AD57 50-59 years, female 42.7
GTEX-1EH9U-2226-SM-7PBXX 60-69 years, male 42.5
GTEX-1HFI7-1526-SM-9WG7W 50-59 years, female 42.5
GTEX-1IL2V-2026-SM-ARZMA 70-79 years, male 42.4
GTEX-ZEX8-1626-SM-4WKG7 50-59 years, male 42.3
GTEX-OXRL-1526-SM-E6CHQ 50-59 years, male 42.2
GTEX-1N2DV-0926-SM-E9TJT 40-49 years, male 42.1
GTEX-13X6J-2126-SM-5TDCV 50-59 years, male 42.0
GTEX-TKQ1-0526-SM-4DXTG 30-39 years, male 41.9
GTEX-1HCU8-1326-SM-C1YQQ 60-69 years, female 41.8
GTEX-13D11-2126-SM-5IFH2 50-59 years, female 41.6
GTEX-13O21-0926-SM-5IFGT 50-59 years, male 41.2
GTEX-WEY5-1226-SM-4LMIQ 40-49 years, female 41.0
GTEX-11EI6-2426-SM-5PNVS 60-69 years, male 40.9
GTEX-14PHY-0926-SM-5ZZWL 60-69 years, female 40.9
GTEX-1H1DG-2126-SM-9WPPB 70-79 years, male 40.9
GTEX-1JMQJ-1326-SM-D4P3B 50-59 years, male 40.9
GTEX-1PPH8-1326-SM-DTXFO 20-29 years, male 40.8
GTEX-XPVG-1526-SM-4B66C 50-59 years, male 40.6
GTEX-1IDJD-2426-SM-C1YS6 30-39 years, male 40.6
GTEX-UPK5-2126-SM-4JBJK 40-49 years, male 40.5
GTEX-131XF-1226-SM-5HL8V 60-69 years, male 40.3
GTEX-S7SF-0626-SM-4AD4V 20-29 years, female 40.3
GTEX-13O61-1126-SM-5L3FI 60-69 years, male 40.1
GTEX-XBEW-1826-SM-4RTWX 40-49 years, male 40.1
GTEX-13O3Q-2126-SM-5KM4C 50-59 years, male 40.0
GTEX-OXRK-1626-SM-3NB17 50-59 years, female 40.0
GTEX-11WQK-2626-SM-5EQ4K 50-59 years, male 39.8
GTEX-1QW4Y-0726-SM-DTX8E 30-39 years, male 39.6
GTEX-13N1W-2026-SM-5K7YU 70-79 years, male 39.5
GTEX-RUSQ-1126-SM-EAZAU 50-59 years, male 39.5
GTEX-146FH-2126-SM-5SI9U 50-59 years, female 39.2
GTEX-17EUY-1526-SM-793CA 20-29 years, male 39.2
GTEX-1IDJU-1526-SM-CNNR3 60-69 years, female 38.9
GTEX-1CB4H-2426-SM-7PBYR 60-69 years, female 38.8
GTEX-Y3IK-1426-SM-4YCES 50-59 years, female 38.7
GTEX-ZF2S-1426-SM-57WET 50-59 years, female 38.3
GTEX-XMK1-1526-SM-EYYVO 40-49 years, male 38.3
GTEX-13RTK-0226-SM-5RQHR 20-29 years, male 38.1
GTEX-11NUK-2426-SM-5BC4U 50-59 years, male 37.9
GTEX-SNMC-0626-SM-4DM6H 20-29 years, male 37.9
GTEX-O5YW-1526-SM-3MJGL 50-59 years, male 37.7
GTEX-OIZF-1526-SM-2I5GR 60-69 years, male 37.6
GTEX-YEC3-1426-SM-D4P1S 50-59 years, male 37.6
GTEX-14BMV-2226-SM-5RQHX 50-59 years, male 37.5
GTEX-TKQ2-0926-SM-4DXU5 50-59 years, male 37.5
GTEX-11I78-1726-SM-5A5M3 50-59 years, female 37.4
GTEX-16NGA-1526-SM-72D56 40-49 years, female 37.2
GTEX-PLZ6-0826-SM-3P61K 30-39 years, male 36.9
GTEX-1211K-1426-SM-5FQTF 60-69 years, female 36.6
GTEX-UJHI-1026-SM-4IHJP 50-59 years, female 36.3
GTEX-1IDJF-1426-SM-ACKWK 20-29 years, male 36.3
GTEX-1NSGN-1926-SM-E9J36 50-59 years, male 36.3
GTEX-13111-1226-SM-5GCNC 50-59 years, male 36.2
GTEX-ZTX8-0426-SM-59HLG 20-29 years, male 36.2
GTEX-11VI4-0326-SM-5EQ6L 40-49 years, female 36.1
GTEX-133LE-1326-SM-5IFGO 20-29 years, female 36.1
GTEX-T8EM-1226-SM-4DM5J 40-49 years, male 36.1
GTEX-1MCYP-1126-SM-E9J2P 20-29 years, female 36.1
GTEX-13QJ3-2726-SM-5SI6L 50-59 years, male 36.0
GTEX-QCQG-0526-SM-48U2A 50-59 years, female 36.0
GTEX-WFG7-1326-SM-4LMK1 20-29 years, male 36.0
GTEX-1QP29-2326-SM-EXOJO 50-59 years, male 35.8
GTEX-17JCI-2226-SM-7LTA1 60-69 years, female 35.6
GTEX-1GN1W-2126-SM-9JGI7 50-59 years, female 35.6
GTEX-R55C-1026-SM-48FCM 40-49 years, male 35.5
GTEX-1C64O-2226-SM-73KTV 60-69 years, male 35.1
GTEX-13X6H-1626-SM-5Q5CT 50-59 years, female 34.9
GTEX-13OVI-2426-SM-5KM4J 60-69 years, female 34.6
GTEX-Y3I4-1626-SM-4TT7W 50-59 years, male 34.3
GTEX-Y8E4-1526-SM-4WWDI 40-49 years, male 34.3
GTEX-1H11D-2226-SM-9OSXN 40-49 years, male 34.3
GTEX-PLZ5-1226-SM-EXOHA 50-59 years, male 34.3
GTEX-P4PQ-1526-SM-3NMCK 60-69 years, male 34.2
GTEX-1L5NE-1526-SM-DIPFW 50-59 years, male 34.1
GTEX-11P7K-1726-SM-5GU6F 30-39 years, male 34.0
GTEX-WFJO-1126-SM-4LVLZ 30-39 years, male 34.0
GTEX-1QP67-1026-SM-EVR47 40-49 years, female 34.0
GTEX-1HT8W-2326-SM-A9SLA 30-39 years, male 33.9
GTEX-11P82-0726-SM-5PNYL 20-29 years, male 32.9
GTEX-1PIGE-1126-SM-EWRMV 20-29 years, male 32.9
GTEX-1S3DN-1526-SM-EVYCB 50-59 years, male 32.8
GTEX-1GPI7-1326-SM-9KNVA 20-29 years, male 32.7
GTEX-1S82Z-1726-SM-E6CHZ 30-39 years, female 32.7
GTEX-1JMPY-0926-SM-ARL92 30-39 years, male 32.3
GTEX-1F5PK-1826-SM-7RHHX 50-59 years, male 32.2
GTEX-1RAZR-1526-SM-EAZ4U 40-49 years, male 32.2
GTEX-1B8L1-1526-SM-79OLK 60-69 years, male 31.4
GTEX-1JN1M-2926-SM-CNNPJ 60-69 years, female 31.3
GTEX-R55G-1126-SM-48FDG 40-49 years, female 31.2
GTEX-1AMEY-1226-SM-731DU 30-39 years, female 31.0
GTEX-ZPIC-2026-SM-57WG3 40-49 years, female 31.0
GTEX-Y114-1226-SM-4TT88 50-59 years, female 30.9
GTEX-12C56-0526-SM-5FQST 20-29 years, male 30.8
GTEX-1I4MK-0926-SM-A9SLD 50-59 years, female 30.4
GTEX-QDT8-2026-SM-EZ6LS 30-39 years, female 30.2
GTEX-1S831-1126-SM-EWROI 20-29 years, male 29.9
GTEX-WHPG-0426-SM-4M1XW 50-59 years, male 29.8
GTEX-ZE7O-3026-SM-51MS4 50-59 years, female 29.6
GTEX-17KNJ-1526-SM-7LTA9 50-59 years, male 29.3
GTEX-1JN76-0926-SM-ARZNH 20-29 years, female 28.5
GTEX-15SHW-2126-SM-6M46Y 60-69 years, male 28.3
GTEX-15EU6-2526-SM-7KUGB 50-59 years, male 27.7
Show allShow less

Contact

  • NEWS ARTICLES
  • PRESS ROOM

The Project

  • INTRODUCTION
  • ORGANIZATION
  • PUBLICATIONS

The Human Protein Atlas

  • DOWNLOADABLE DATA
  • LICENCE & CITATION
  • HELP & FAQ
The Human Protein Atlas project is funded
by the Knut & Alice Wallenberg Foundation.


contact@proteinatlas.org