We use cookies to enhance the usability of our website. If you continue, we'll assume that you are happy to receive all cookies. More information. Don't show this again.
ACTA2
HPA
RESOURCES
  • TISSUE
  • BRAIN
  • SINGLE CELL
  • SUBCELLULAR
  • CANCER
  • BLOOD
  • CELL LINE
  • STRUCTURE & INTERACTION
ABOUT
  • INTRODUCTION
  • HISTORY
  • ORGANIZATION
  • PUBLICATIONS
  • ANTIBODY SUBMISSION
  • ANTIBODY AVAILABILITY
  • ACKNOWLEDGMENTS
  • CONTACT
NEWS
  • NEWS ARTICLES
  • PRESS ROOM
LEARN
  • DICTIONARY
  • PROTEIN CLASSES
  • PROTEIN EVIDENCE
  • METHODS
  • EDUCATIONAL VIDEOS
DATA
  • DOWNLOADABLE DATA
  • PUBLICATION DATA
  • RELEASE HISTORY
HELP
  • ANTIBODY VALIDATION
  • ASSAYS & ANNOTATION
  • DISCLAIMER
  • HELP & FAQ
  • PRIVACY STATEMENT
  • LICENCE & CITATION
Fields »
Search result

Field
Term
Gene name
Class
Subclass
Class
Keyword
Chromosome
External id
Tissue
Cell type
Expression
Antibody panel
Tissue
Main location
Patient ID
Annotation
Tissue
Category
Tau score
Cluster
Reliability
Brain region
Category
Tau score
Brain region
Category
Tau score
Brain region
Category
Tau score
Cluster
Reliability
Tissue
Cell type
Enrichment
Cell type
Category
Tau score
Cell type
Category
Tau score
Cell type
Category
Tau score
Cell lineage
Category
Tau score
Cluster
Cluster
Location
Searches
Location
Cell line
Class
Type
Phase
Reliability
Cancer
Prognosis
Cancer
Category
Cancer
Category
Tau score
Cluster
Variants
Interacting gene (ensg_id)
Type
Number of interactions
Pathway
Category
Score
Score
Score
Validation
Validation
Validation
Validation
Antibodies
Data type
Column


  • SUMMARY

  • TISSUE

  • BRAIN

  • SINGLE CELL

  • SUBCELL

  • CANCER

  • BLOOD

  • CELL LINE

  • STRUCT & INT

  • ACTA2
TISSUE PRIMARY DATA SMALL INTESTINE Show tissue menu
ADIPOSE TISSUE ADRENAL GLAND AMYGDALA APPENDIX BASAL GANGLIA BONE MARROW BREAST BRONCHUS CEREBELLUM CEREBRAL CORTEX CERVIX CHOROID PLEXUS COLON DUODENUM
ENDOMETRIUM EPIDIDYMIS ESOPHAGUS FALLOPIAN TUBE GALLBLADDER HEART MUSCLE HIPPOCAMPAL FORMATION HYPOTHALAMUS KIDNEY LIVER LUNG LYMPH NODE MIDBRAIN NASOPHARYNX
ORAL MUCOSA OVARY PANCREAS PARATHYROID GLAND PITUITARY GLAND PLACENTA PROSTATE RECTUM RETINA SALIVARY GLAND SEMINAL VESICLE SKELETAL MUSCLE SKIN SMALL INTESTINE
SMOOTH MUSCLE SOFT TISSUE SPINAL CORD SPLEEN STOMACH TESTIS THYMUS THYROID GLAND TONGUE TONSIL URINARY BLADDER VAGINA
ANTIBODIES
AND
VALIDATION
Dictionary
Small intestine
Tissue proteome
Intestine
SMALL INTESTINE - Expression summary
Protein expression
Small intestinei

On the top, protein expression in current human tissue, based on all annotated cell types, is reported with the units not detected (n), low (l), medium (m) and high (h). Underneath, protein expression in each annotated cell type are reported using the same units.

Protein expression data is based on knowledge-based annotation. For genes where more than one antibody has been used, a collective score is set.

If knowledge-based annotation could not be performed for a gene, no data is displayed here. View antibody staining data further down this page.

h
m
l
n
Endocrine cells: Not detected
Enterocytes: Not detected
Enterocytes - Microvilli: High
Goblet cells: Not detected
Paneth cells: Not detected
RNA expressioni

A summary of mRNA expression data available for current tissue based on several datasets. The mRNA expression levels in human tissues are based on RNA-seq data generated by the Human Protein Atlas (HPA), Genotype-Tissue Expression (GTEx) portal and CAGE data generated by the FANTOM5 consortium. Consensus normalized expression levels for human tissues was created by combining the data from HPA and GTEx datasets.

The mRNA expression levels in pig are based on RNA-seq data generated by the Human Protein Atlas (HPA), and for mouse, HPA data and in situ hybridization generated by the Allen brain atlas are reported.

Scroll down to view mRNA expression data in more detail.
Consensus:680.6 nTPM
HPA:280.4 nTPM
GTEx:680.6 nTPM
FANTOM5:363.2 Scaled Tags Per Million

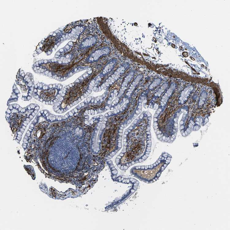
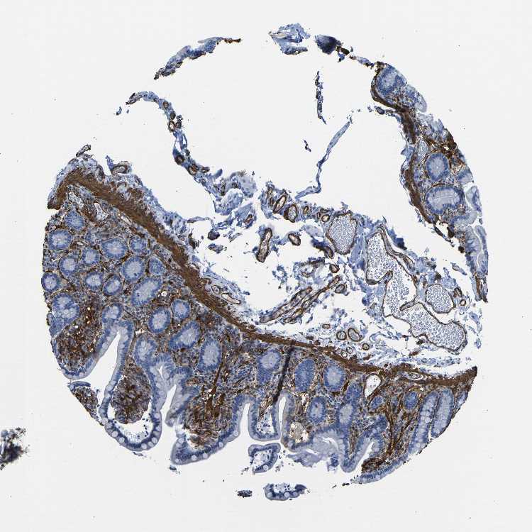
SMALL INTESTINE - Antibody stainingi

Antibody staining in the annotated cell types in the current human tissue is reported as not detected, low, medium, or high, based on conventional immunohistochemistry profiling in selected tissues. This score is based on the combination of the staining intensity and fraction of stained cells.

Each image is clickable and will lead to virtual microscopy that enables deeper exploration of all samples and also displays staining intensity scores, fraction scores and subcellular localization as well as patient and tissue information for each sample.

Antibody HPA041264Antibody HPA041271Antibody CAB000002Antibody CAB003761Antibody CAB013531
Endocrine cells -Not detected---
Enterocytes -Not detected---
Enterocytes - Microvilli -High---
Glandular cells High-Not detectedMediumNot detected
Goblet cells -Not detected---
Paneth cells -Not detected---











SMALL INTESTINE - HPA RNA-seqi

The RNA-seq details section shows detailed information about the individual samples used for the transcript profiling and results of the RNA-seq analysis.

Information about each individual sample is listed below, including gender, age, a tissue section image and estimated fractions of cell types. nTPM (normalized transcripts per million) values give a quantification of the gene abundance which is comparable between different genes and samples.
Average nTPMi

Max subtype nTPM is the value for the subtype with the largest average nTPM across the subtype samples.

280.4
overview
Male, age 65
Small intestine sample 232
nTPM: 151.9
Cell types%
Glandular cells:
55

Smooth muscle cells:
5

Other cell types:
40

overview
Male, age 39
Small intestine sample 233
nTPM: 239.7
Cell types%
Glandular cells:
40

Smooth muscle cells:
5

Other cell types:
55

overview
Male, age 68
Small intestine sample 234
nTPM: 379.5
Cell types%
Glandular cells:
30

Smooth muscle cells:
15

Other cell types:
55

N/A
Male, age 85
Small intestine sample 235
nTPM: 350.7

SMALL INTESTINE - GTEx RNA-seqi

RNA-Seq data generated by the Genotype-Tissue Expression (GTEx) project from human tissues is reported as mean nTPM. More information can be found on the GTEx portal.

Distribution across the dataset is visualized with box plots, shown as median and 25th and 75th percentiles. Points are displayed as outliers if they are above or below 1.5 times the interquartile range. nTPM values of the individual samples are presented next to the box plot.
Max subtype nTPMi

Max subtype nTPM is the value for the subtype with the largest average nTPM across the subtype samples.

680.6
GTEx sample id Sample description nTPM
Small Intestine - Terminal Ileum
Average nTPM: 680.6
Samples: 187

Max nTPM: 4490.3
Min nTPM: 117.0
Std nTPM: 622.9
Median nTPM: 426.3
GTEX-XPVG-1726-SM-4B65W 50-59 years, male 4490.3
GTEX-1OKEX-1126-SM-DTXEB 60-69 years, male 2800.8
GTEX-11LCK-1926-SM-5A5KE 30-39 years, male 2792.1
GTEX-XMK1-1826-SM-4B66F 40-49 years, male 2699.9
GTEX-15EU6-1826-SM-7PC1W 50-59 years, male 2533.4
GTEX-WFON-1526-SM-4LVMP 40-49 years, male 2455.6
GTEX-WYJK-1526-SM-4ONCW 50-59 years, male 2428.2
GTEX-WEY5-1526-SM-4LMJF 40-49 years, female 2337.4
GTEX-ZF2S-1726-SM-57WFT 50-59 years, female 2231.8
GTEX-13OVI-1926-SM-5IJCG 60-69 years, female 1995.9
GTEX-1QCLZ-2126-SM-EWRNC 60-69 years, female 1862.4
GTEX-117YX-0326-SM-5GICL 50-59 years, male 1816.2
GTEX-ZAB5-1526-SM-5HL9P 50-59 years, male 1738.4
GTEX-Y5V5-1826-SM-4VDS5 60-69 years, female 1691.0
GTEX-13111-1426-SM-5DUW3 50-59 years, male 1577.6
GTEX-Y3I4-1326-SM-4TT8Z 50-59 years, male 1479.9
GTEX-1192X-2526-SM-59868 50-59 years, male 1440.4
GTEX-1MUQO-2426-SM-EAZ5A 60-69 years, male 1433.9
GTEX-17KNJ-1626-SM-718AL 50-59 years, male 1424.0
GTEX-1C64O-2526-SM-79ONO 60-69 years, male 1334.2
GTEX-1S82Z-1826-SM-E9TIK 30-39 years, female 1328.4
GTEX-ZQUD-0926-SM-57WE3 30-39 years, male 1325.7
GTEX-1B8KZ-1126-SM-7IGLX 50-59 years, male 1312.0
GTEX-1MGNQ-2326-SM-EV7BG 40-49 years, male 1284.1
GTEX-Y111-2226-SM-4SOJB 50-59 years, male 1235.7
GTEX-1I1GT-1826-SM-ARZLW 60-69 years, female 1232.5
GTEX-1R7EV-1226-SM-DTX82 40-49 years, male 1188.0
GTEX-145ME-0926-SM-5O9AR 40-49 years, female 1176.9
GTEX-1R9PM-1626-SM-DPRY9 20-29 years, male 1156.7
GTEX-12WSK-1526-SM-5CVNO 40-49 years, female 1153.1
GTEX-111CU-1326-SM-5NQ8L 50-59 years, male 1132.1
GTEX-13QBU-1926-SM-5IJEW 40-49 years, female 1122.0
GTEX-ZPIC-2326-SM-57WDW 40-49 years, female 1112.2
GTEX-1NSGN-2126-SM-DPRYN 50-59 years, male 1097.4
GTEX-Y5LM-1626-SM-4VDTB 40-49 years, female 1071.2
GTEX-1QW4Y-1226-SM-EWRMY 30-39 years, male 1048.6
GTEX-13NYB-1826-SM-5J1N3 40-49 years, male 1042.8
GTEX-Y3IK-1726-SM-4YCCR 50-59 years, female 1027.9
GTEX-1BAJH-2526-SM-7IGOT 70-79 years, male 1020.8
GTEX-13O21-1026-SM-5IJDU 50-59 years, male 978.8
GTEX-WFG7-1726-SM-4LVME 20-29 years, male 966.0
GTEX-1LGOU-1426-SM-D3L8N 20-29 years, female 895.8
GTEX-1LH75-1926-SM-DIPGD 50-59 years, female 860.7
GTEX-1R9JW-1926-SM-EVR4J 30-39 years, female 847.4
GTEX-WFG8-1626-SM-4LVMB 20-29 years, male 838.8
GTEX-14PJ3-1326-SM-664O7 50-59 years, male 833.4
GTEX-17HHE-1726-SM-79OKT 50-59 years, male 828.7
GTEX-ZQG8-2526-SM-57WEQ 60-69 years, female 824.2
GTEX-1S5ZA-1326-SM-EV7BB 20-29 years, male 821.9
GTEX-1L5NE-1826-SM-EV79T 50-59 years, male 799.7
GTEX-14C39-1826-SM-5ZZW4 40-49 years, male 796.4
GTEX-1CAMS-2426-SM-7DHMV 40-49 years, female 789.6
GTEX-1JMQK-2426-SM-CXZJU 60-69 years, male 761.3
GTEX-1R9K5-2026-SM-E6CPS 50-59 years, male 753.8
GTEX-1RAZA-1826-SM-DTXA2 20-29 years, male 715.9
GTEX-1R9K4-2326-SM-E6CRB 60-69 years, male 713.2
GTEX-ZC5H-2326-SM-4WAYT 40-49 years, female 708.4
GTEX-18A66-2526-SM-7KFTZ 60-69 years, male 688.5
GTEX-ZTPG-2626-SM-57WFX 20-29 years, female 687.1
GTEX-15DZA-0826-SM-6AJBF 30-39 years, female 680.3
GTEX-16A39-1426-SM-6LLI6 30-39 years, female 669.4
GTEX-14PKV-2026-SM-6AJ9A 20-29 years, female 661.6
GTEX-ZP4G-1626-SM-57WGD 20-29 years, female 661.6
GTEX-148VJ-2226-SM-5NQ9M 70-79 years, male 656.7
GTEX-1GMR3-2726-SM-7MKFB 40-49 years, male 645.8
GTEX-1JK1U-1226-SM-CNNPN 60-69 years, male 621.8
GTEX-17MFQ-1026-SM-7KFSZ 20-29 years, male 621.7
GTEX-ZVT2-2126-SM-5NQ93 50-59 years, female 620.6
GTEX-1CB4F-1826-SM-7MGXI 60-69 years, male 620.3
GTEX-1JJE9-2226-SM-CXZJM 70-79 years, male 607.8
GTEX-1RAZR-1826-SM-E6CRE 40-49 years, male 584.4
GTEX-13RTK-0826-SM-5Q5C6 20-29 years, male 575.1
GTEX-131XE-0926-SM-5HL7J 50-59 years, male 574.5
GTEX-1497J-1926-SM-5TDCC 60-69 years, male 565.2
GTEX-1H1DE-1426-SM-9JGHV 20-29 years, male 557.8
GTEX-13W3W-2026-SM-5K7UL 60-69 years, female 543.9
GTEX-Y114-1426-SM-4TT6W 50-59 years, female 529.0
GTEX-ZYFG-2026-SM-5E43Y 60-69 years, female 520.8
GTEX-WHSB-1026-SM-4M1XN 50-59 years, male 516.1
GTEX-XAJ8-0526-SM-47JYK 40-49 years, male 508.0
GTEX-1F75I-2526-SM-9WPOZ 40-49 years, male 493.9
GTEX-1R7EU-1326-SM-E6CQ6 60-69 years, male 475.4
GTEX-1RAZQ-2226-SM-DPRZR 30-39 years, male 475.4
GTEX-X15G-1426-SM-4PQZK 50-59 years, female 473.7
GTEX-14PJN-0826-SM-686ZL 30-39 years, male 470.9
GTEX-139T6-1026-SM-5IJGC 50-59 years, male 470.1
GTEX-ZA64-1226-SM-5HL7B 20-29 years, male 459.6
GTEX-16AAH-1426-SM-7KFTR 50-59 years, male 458.0
GTEX-YFCO-1326-SM-664NV 40-49 years, male 452.5
GTEX-1HSMQ-2226-SM-C1YRD 50-59 years, male 449.4
GTEX-ZEX8-1826-SM-57WBH 50-59 years, male 441.6
GTEX-1OJC3-1626-SM-E9U65 20-29 years, male 430.8
GTEX-VUSG-1726-SM-4KKZL 50-59 years, male 427.7
GTEX-1QPFJ-2626-SM-DPRZU 30-39 years, female 426.3
GTEX-XXEK-1026-SM-4BRUW 50-59 years, male 423.6
GTEX-YEC4-1726-SM-4W21E 40-49 years, male 416.2
GTEX-13113-1226-SM-5EGHT 60-69 years, female 412.1
GTEX-X5EB-1626-SM-4E3IV 40-49 years, male 411.0
GTEX-1EMGI-2826-SM-7IGMR 60-69 years, male 409.1
GTEX-ZLWG-1626-SM-DNZZ1 50-59 years, female 406.6
GTEX-18QFQ-1626-SM-72D7H 30-39 years, male 402.3
GTEX-1GMR2-1026-SM-7MKHJ 50-59 years, male 400.6
GTEX-YF7O-1826-SM-5IFIU 50-59 years, male 392.2
GTEX-XUZC-1426-SM-4BRV3 30-39 years, female 390.9
GTEX-Z9EW-0926-SM-5CVMM 40-49 years, male 384.9
GTEX-14DAR-1426-SM-5RQIR 50-59 years, male 383.9
GTEX-1KXAM-2026-SM-DHXKI 60-69 years, male 380.4
GTEX-XBED-1426-SM-4AT4G 60-69 years, male 380.0
GTEX-1J8QM-1026-SM-C1YQA 60-69 years, female 379.9
GTEX-14XAO-1926-SM-6ETZO 60-69 years, female 373.9
GTEX-ZXES-1526-SM-5NQ95 30-39 years, female 372.4
GTEX-1QP28-1726-SM-E6CRK 50-59 years, female 369.4
GTEX-131XF-1326-SM-5GCMQ 60-69 years, male 368.5
GTEX-WQUQ-2426-SM-4MVNW 60-69 years, male 366.7
GTEX-WRHK-1026-SM-4MVOD 20-29 years, female 363.5
GTEX-11VI4-1626-SM-5EQKO 40-49 years, female 356.6
GTEX-11P82-0826-SM-5P9GU 20-29 years, male 354.2
GTEX-11EQ9-1326-SM-5985X 30-39 years, male 346.9
GTEX-1J8Q3-2526-SM-CNNQ4 60-69 years, male 339.9
GTEX-WH7G-1626-SM-4LVMY 40-49 years, male 336.4
GTEX-13FTW-2026-SM-5IJE2 40-49 years, male 336.0
GTEX-13X6H-1826-SM-7EWCZ 50-59 years, female 335.5
GTEX-UPK5-2026-SM-4JBIM 40-49 years, male 331.9
GTEX-12BJ1-1926-SM-5HL9Z 60-69 years, male 329.4
GTEX-16NGA-1126-SM-7KFSY 40-49 years, female 326.6
GTEX-145LT-1026-SM-5LU9O 40-49 years, male 326.2
GTEX-Y9LG-1626-SM-5IFHM 30-39 years, male 323.7
GTEX-14PKU-1626-SM-6871C 40-49 years, female 323.3
GTEX-VJYA-0926-SM-4KL1N 60-69 years, male 320.1
GTEX-1QP2A-2426-SM-EXOJA 50-59 years, male 319.2
GTEX-ZPCL-1726-SM-57WEO 60-69 years, female 318.6
GTEX-11DXZ-1326-SM-5H11X 50-59 years, male 316.6
GTEX-1PIEJ-1526-SM-E6CP8 20-29 years, female 314.7
GTEX-14PJ6-1726-SM-6AJBN 60-69 years, female 312.5
GTEX-13PL7-2626-SM-5IFH4 60-69 years, female 309.8
GTEX-ZTSS-0926-SM-59865 40-49 years, male 309.3
GTEX-ZLV1-1126-SM-4WWBW 60-69 years, female 308.8
GTEX-1IKOE-1926-SM-ARU7V 30-39 years, female 308.5
GTEX-YB5E-1526-SM-5IFIE 40-49 years, male 308.1
GTEX-11NSD-1726-SM-5N9C3 20-29 years, male 306.7
GTEX-1C475-1426-SM-793CH 40-49 years, female 305.8
GTEX-11DXX-1626-SM-5H11H 60-69 years, female 300.7
GTEX-131XG-1726-SM-5LZUR 50-59 years, female 299.1
GTEX-14PK6-1626-SM-6871I 70-79 years, female 299.0
GTEX-XGQ4-1326-SM-4GIDU 50-59 years, male 297.7
GTEX-139YR-2226-SM-5IFFW 50-59 years, male 293.0
GTEX-15G1A-1726-SM-6LPI4 30-39 years, male 292.7
GTEX-1PDJ9-1826-SM-E9U66 20-29 years, male 290.0
GTEX-1JN76-1126-SM-C1YRL 20-29 years, female 289.9
GTEX-13CF3-1226-SM-5LZXN 60-69 years, female 286.6
GTEX-11P7K-1626-SM-5GU63 30-39 years, male 286.1
GTEX-ZG7Y-1926-SM-DNZZ5 50-59 years, male 284.5
GTEX-WFJO-0926-SM-4LVM2 30-39 years, male 274.4
GTEX-13O61-1326-SM-5KM31 60-69 years, male 273.7
GTEX-1CAMR-0826-SM-7MKFK 20-29 years, male 266.5
GTEX-1LBAC-1526-SM-CXZKU 20-29 years, male 264.2
GTEX-1399R-2026-SM-5K7WN 30-39 years, male 263.6
GTEX-ZVZP-1826-SM-5GZXB 50-59 years, male 260.4
GTEX-183FY-1626-SM-793D8 20-29 years, male 255.7
GTEX-1122O-1326-SM-5H11F 60-69 years, female 252.5
GTEX-14PN3-2026-SM-68729 60-69 years, female 250.6
GTEX-WY7C-1826-SM-4ONCE 50-59 years, male 244.8
GTEX-1K9T9-2726-SM-D4P3E 50-59 years, female 244.4
GTEX-ZTX8-0526-SM-59HLD 20-29 years, male 237.9
GTEX-ZF29-1626-SM-4WKFJ 60-69 years, female 237.7
GTEX-ZZ64-0526-SM-5GZXM 20-29 years, male 236.0
GTEX-13FH7-1226-SM-5IJFK 50-59 years, female 235.4
GTEX-16MTA-1526-SM-6LPJB 50-59 years, male 234.7
GTEX-1AMFI-1926-SM-731F2 50-59 years, female 234.4
GTEX-13D11-0726-SM-5LZZB 50-59 years, female 228.9
GTEX-14E6E-1626-SM-5RQI7 30-39 years, male 226.5
GTEX-1B8KE-1726-SM-7IGMN 50-59 years, male 219.9
GTEX-1AX8Z-2526-SM-731E3 60-69 years, male 219.8
GTEX-1H11D-2526-SM-9JGGU 40-49 years, male 217.4
GTEX-ZDTT-1726-SM-5HL69 60-69 years, male 217.0
GTEX-144GM-1026-SM-79OKU 20-29 years, male 216.6
GTEX-11XUK-1426-SM-5EQMG 40-49 years, female 216.1
GTEX-ZVP2-1726-SM-5GU5P 50-59 years, male 215.1
GTEX-1GL5R-2026-SM-7MKHP 50-59 years, male 198.2
GTEX-111YS-1426-SM-5GID8 60-69 years, male 188.8
GTEX-11TUW-1926-SM-5BC58 60-69 years, male 188.4
GTEX-11I78-1126-SM-5A5K5 50-59 years, female 177.5
GTEX-1399U-2126-SM-5IFEZ 50-59 years, female 176.8
GTEX-133LE-1426-SM-5IFH1 20-29 years, female 175.5
GTEX-14BMU-1426-SM-5TDE5 20-29 years, female 143.3
GTEX-ZLFU-1526-SM-4WWBT 40-49 years, male 139.2
GTEX-1399S-2026-SM-5KM4B 30-39 years, female 117.0
Show allShow less

SMALL INTESTINE - FANTOM5 CAGEi

RNA expression in human tissues obtained through Cap Analysis of Gene Expression (CAGE) generated by the FANTOM5 project are reported as Scaled Tags Per Million.

Max subtype Scaled Tags Per Millioni

Max subtype Scaled Tags Per Million is the value for the subtype with the largest average Scaled Tags Per Million across the subtype samples.

363.2
FANTOM5 sample id Sample description Scaled Tags Per Million
Small intestine
Scaled Tags Per Million: 363.2
FF:10024-101D6 15,40,85 years, mixed 363.2

Contact

  • NEWS ARTICLES
  • PRESS ROOM

The Project

  • INTRODUCTION
  • ORGANIZATION
  • PUBLICATIONS

The Human Protein Atlas

  • DOWNLOADABLE DATA
  • LICENCE & CITATION
  • HELP & FAQ
The Human Protein Atlas project is funded
by the Knut & Alice Wallenberg Foundation.


contact@proteinatlas.org