We use cookies to enhance the usability of our website. If you continue, we'll assume that you are happy to receive all cookies. More information. Don't show this again.
SOD3
HPA
RESOURCES
  • TISSUE
  • BRAIN
  • SINGLE CELL
  • SUBCELLULAR
  • CANCER
  • BLOOD
  • CELL LINE
  • STRUCTURE & INTERACTION
ABOUT
  • INTRODUCTION
  • HISTORY
  • ORGANIZATION
  • PUBLICATIONS
  • ANTIBODY SUBMISSION
  • ANTIBODY AVAILABILITY
  • ACKNOWLEDGMENTS
  • CONTACT
NEWS
  • NEWS ARTICLES
  • PRESS ROOM
LEARN
  • DICTIONARY
  • PROTEIN CLASSES
  • PROTEIN EVIDENCE
  • METHODS
  • EDUCATIONAL VIDEOS
DATA
  • DOWNLOADABLE DATA
  • PUBLICATION DATA
  • RELEASE HISTORY
HELP
  • ANTIBODY VALIDATION
  • ASSAYS & ANNOTATION
  • DISCLAIMER
  • HELP & FAQ
  • PRIVACY STATEMENT
  • LICENCE & CITATION
Fields »
Search result

Field
Term
Gene name
Class
Subclass
Class
Keyword
Chromosome
External id
Tissue
Cell type
Expression
Antibody panel
Tissue
Main location
Patient ID
Annotation
Tissue
Category
Tau score
Cluster
Reliability
Brain region
Category
Tau score
Brain region
Category
Tau score
Brain region
Category
Tau score
Cluster
Reliability
Tissue
Cell type
Enrichment
Cell type
Category
Tau score
Cell type
Category
Tau score
Cell type
Category
Tau score
Cell lineage
Category
Tau score
Cluster
Cluster
Location
Searches
Location
Cell line
Class
Type
Phase
Reliability
Cancer
Prognosis
Cancer
Category
Cancer
Category
Tau score
Cluster
Variants
Interacting gene (ensg_id)
Type
Number of interactions
Pathway
Category
Score
Score
Score
Validation
Validation
Validation
Validation
Antibodies
Data type
Column


  • SUMMARY

  • TISSUE

  • BRAIN

  • SINGLE CELL

  • SUBCELL

  • CANCER

  • BLOOD

  • CELL LINE

  • STRUCT & INT

  • SOD3
TISSUE PRIMARY DATA BREAST Show tissue menu
ADIPOSE TISSUE ADRENAL GLAND AMYGDALA APPENDIX BASAL GANGLIA BONE MARROW BREAST BRONCHUS CEREBELLUM CEREBRAL CORTEX CERVIX CHOROID PLEXUS COLON DUODENUM
ENDOMETRIUM EPIDIDYMIS ESOPHAGUS FALLOPIAN TUBE GALLBLADDER HEART MUSCLE HIPPOCAMPAL FORMATION HYPOTHALAMUS KIDNEY LIVER LUNG LYMPH NODE MIDBRAIN NASOPHARYNX
ORAL MUCOSA OVARY PANCREAS PARATHYROID GLAND PITUITARY GLAND PLACENTA PROSTATE RECTUM RETINA SALIVARY GLAND SEMINAL VESICLE SKELETAL MUSCLE SKIN SMALL INTESTINE
SMOOTH MUSCLE SOFT TISSUE SPINAL CORD SPLEEN STOMACH TESTIS THYMUS THYROID GLAND TONGUE TONSIL URINARY BLADDER VAGINA
ANTIBODIES
AND
VALIDATION
Dictionary
Breast
Tissue proteome
Breast
BREAST - Expression summary
Protein expression
Breasti

On the top, protein expression in current human tissue, based on all annotated cell types, is reported with the units not detected (n), low (l), medium (m) and high (h). Underneath, protein expression in each annotated cell type are reported using the same units.

Protein expression data is based on knowledge-based annotation. For genes where more than one antibody has been used, a collective score is set.

If knowledge-based annotation could not be performed for a gene, no data is displayed here. View antibody staining data further down this page.

h
m
l
n
Adipocytes: Not detected
Glandular cells: Low
Myoepithelial cells: Not detected
RNA expressioni

A summary of mRNA expression data available for current tissue based on several datasets. The mRNA expression levels in human tissues are based on RNA-seq data generated by the Human Protein Atlas (HPA), Genotype-Tissue Expression (GTEx) portal and CAGE data generated by the FANTOM5 consortium. Consensus normalized expression levels for human tissues was created by combining the data from HPA and GTEx datasets.

The mRNA expression levels in pig are based on RNA-seq data generated by the Human Protein Atlas (HPA), and for mouse, HPA data and in situ hybridization generated by the Allen brain atlas are reported.

Scroll down to view mRNA expression data in more detail.
Consensus:129.8 nTPM
HPA:17.4 nTPM
GTEx:129.8 nTPM
FANTOM5:315.6 Scaled Tags Per Million

BREAST - Antibody stainingi

Antibody staining in the annotated cell types in the current human tissue is reported as not detected, low, medium, or high, based on conventional immunohistochemistry profiling in selected tissues. This score is based on the combination of the staining intensity and fraction of stained cells.

Each image is clickable and will lead to virtual microscopy that enables deeper exploration of all samples and also displays staining intensity scores, fraction scores and subcellular localization as well as patient and tissue information for each sample.

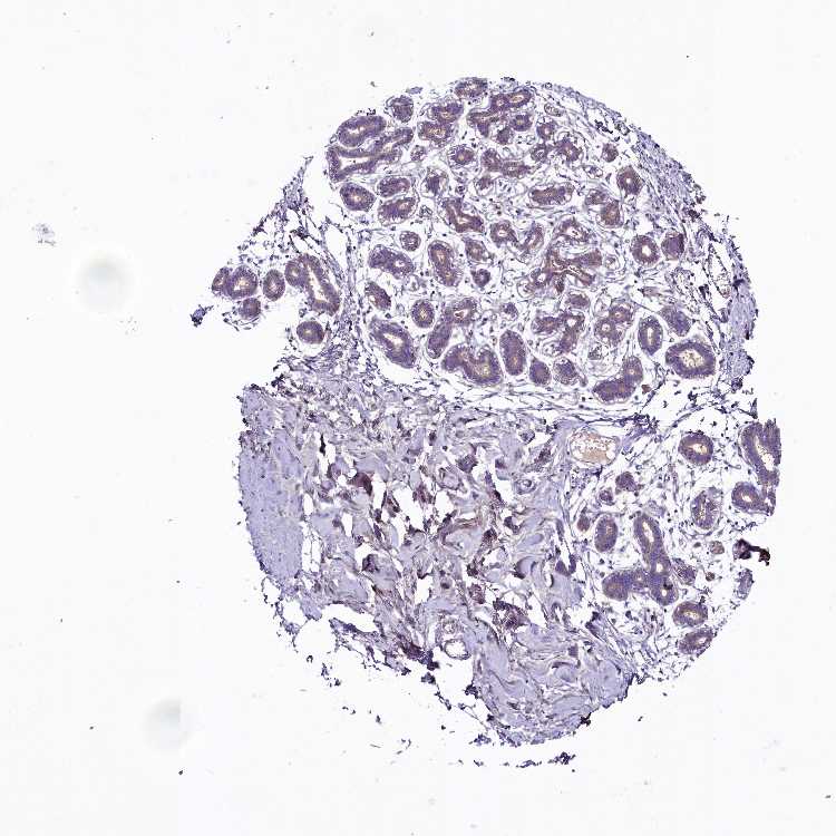
Antibody HPA042110
Adipocytes Not detected
Glandular cells Low
Myoepithelial cells Not detected



BREAST - HPA RNA-seqi

The RNA-seq details section shows detailed information about the individual samples used for the transcript profiling and results of the RNA-seq analysis.

Information about each individual sample is listed below, including gender, age, a tissue section image and estimated fractions of cell types. nTPM (normalized transcripts per million) values give a quantification of the gene abundance which is comparable between different genes and samples.
Average nTPMi

Max subtype nTPM is the value for the subtype with the largest average nTPM across the subtype samples.

17.4
overview
Female, age 52
Breast sample 373
nTPM: 17.2
Cell types%
Glandular cells:
15

Adipocytes:
5

Other cell types:
80

overview
Female, age 80
Breast sample 390
nTPM: 36.7
Cell types%
Glandular cells:
5

Adipocytes:
15

Other cell types:
80

overview
Female, age 47
Breast sample 405
nTPM: 11.9
Cell types%
Glandular cells:
5

Adipocytes:
5

Other cell types:
90

overview
Female, age 38
Breast sample 410
nTPM: 4
Cell types%
Glandular cells:
40

Adipocytes:
5

Other cell types:
55


BREAST - GTEx RNA-seqi

RNA-Seq data generated by the Genotype-Tissue Expression (GTEx) project from human tissues is reported as mean nTPM. More information can be found on the GTEx portal.

Distribution across the dataset is visualized with box plots, shown as median and 25th and 75th percentiles. Points are displayed as outliers if they are above or below 1.5 times the interquartile range. nTPM values of the individual samples are presented next to the box plot.
Max subtype nTPMi

Max subtype nTPM is the value for the subtype with the largest average nTPM across the subtype samples.

129.8
GTEx sample id Sample description nTPM
Breast - Mammary Tissue
Average nTPM: 129.8
Samples: 459

Max nTPM: 399.5
Min nTPM: 9.0
Std nTPM: 63.6
Median nTPM: 122.0
GTEX-13PVQ-1026-SM-5KM3M 50-59 years, male 399.5
GTEX-ZYW4-0826-SM-5GIDG 60-69 years, male 355.6
GTEX-17EVQ-0426-SM-7LG57 70-79 years, male 345.3
GTEX-13N1W-0626-SM-5MR4U 70-79 years, male 339.3
GTEX-1JKYR-0926-SM-CMKGJ 20-29 years, male 310.1
GTEX-144GL-2026-SM-5LU3O 50-59 years, male 300.8
GTEX-ZQUD-1926-SM-51MSA 30-39 years, male 294.2
GTEX-145MN-1926-SM-5SIAI 30-39 years, male 293.5
GTEX-X4XY-0926-SM-4E3JD 60-69 years, male 283.8
GTEX-1IDJH-2226-SM-E6CJV 70-79 years, male 277.9
GTEX-1QW4Y-1026-SM-DTXE2 30-39 years, male 277.5
GTEX-1NHNU-0926-SM-E9J2T 50-59 years, male 274.7
GTEX-U8XE-0826-SM-4E3J1 30-39 years, male 270.2
GTEX-1JN1M-3026-SM-CMKGK 60-69 years, female 266.8
GTEX-11WQK-2426-SM-5GU5C 50-59 years, male 265.4
GTEX-12WSM-1726-SM-5BC6J 60-69 years, male 264.6
GTEX-11DXZ-1926-SM-5GZZL 50-59 years, male 260.8
GTEX-YJ8O-2226-SM-5IFHW 40-49 years, female 257.6
GTEX-1I6K6-0826-SM-ARL7Z 30-39 years, male 252.1
GTEX-132NY-0826-SM-5K7Y7 60-69 years, male 251.5
GTEX-1EN7A-1426-SM-7PBY4 40-49 years, male 251.3
GTEX-ZVT4-1026-SM-57WC4 50-59 years, female 249.1
GTEX-1HR98-0426-SM-COH36 60-69 years, male 247.6
GTEX-1M4P7-2626-SM-E9U5F 60-69 years, male 245.3
GTEX-11ZTT-2326-SM-5EQLG 60-69 years, female 245.0
GTEX-1I19N-2826-SM-CL55D 70-79 years, male 244.9
GTEX-1JJE9-2326-SM-ARL8Q 70-79 years, male 241.7
GTEX-1KD5A-1926-SM-DKPQA 50-59 years, male 241.6
GTEX-XMK1-1126-SM-4IHJ8 40-49 years, male 241.5
GTEX-1S82Z-0726-SM-E6CHX 30-39 years, female 238.7
GTEX-1BAJH-0826-SM-7EWEF 70-79 years, male 237.5
GTEX-11DXY-2326-SM-5GICW 60-69 years, male 230.4
GTEX-XMD2-0926-SM-4WWEF 60-69 years, female 230.4
GTEX-1ICLZ-0426-SM-B2LW2 60-69 years, male 226.4
GTEX-1QMI2-0726-SM-E9J4F 60-69 years, male 226.3
GTEX-YEC3-1026-SM-5IFI5 50-59 years, male 225.2
GTEX-1HFI7-0126-SM-CGQFQ 50-59 years, female 224.3
GTEX-1QP9N-1826-SM-E8VMP 30-39 years, male 223.8
GTEX-14E7W-0826-SM-62LEJ 70-79 years, male 223.1
GTEX-R55D-0826-SM-48FEA 50-59 years, male 222.8
GTEX-QVJO-1826-SM-447C9 60-69 years, female 222.5
GTEX-U412-1826-SM-4DXTJ 60-69 years, male 221.8
GTEX-11ONC-2126-SM-5HL6E 60-69 years, male 220.5
GTEX-13OW8-0226-SM-5K7UP 60-69 years, male 220.1
GTEX-1I1GP-0426-SM-COH3N 50-59 years, male 218.4
GTEX-1QEPI-0926-SM-DTXF3 60-69 years, female 217.5
GTEX-13S86-1226-SM-5S2OA 40-49 years, male 216.9
GTEX-132AR-0826-SM-5EGK6 50-59 years, female 216.8
GTEX-1HUB1-1626-SM-CM2SL 60-69 years, male 215.7
GTEX-ZDYS-1126-SM-5K7UB 50-59 years, male 215.6
GTEX-ZDTT-2126-SM-DKPOM 60-69 years, male 212.0
GTEX-17MFQ-0926-SM-7LG4S 20-29 years, male 211.9
GTEX-17KNJ-2026-SM-7LG53 50-59 years, male 211.7
GTEX-1H1ZS-0126-SM-9YFKQ 70-79 years, male 211.7
GTEX-1122O-1226-SM-5H113 60-69 years, female 209.9
GTEX-Y8E4-1626-SM-5S2MW 40-49 years, male 207.3
GTEX-13O61-1826-SM-5KM4I 60-69 years, male 207.0
GTEX-XBED-1626-SM-47JYN 60-69 years, male 203.2
GTEX-1313W-0826-SM-5EQ4T 50-59 years, female 203.0
GTEX-XQ8I-2426-SM-4WAXY 50-59 years, male 202.6
GTEX-YFCO-1826-SM-4W1YH 40-49 years, male 199.7
GTEX-14B4R-1226-SM-5TDDT 30-39 years, male 199.5
GTEX-R53T-1526-SM-48FEK 50-59 years, female 198.8
GTEX-1HSMO-0826-SM-ADEIV 60-69 years, male 198.0
GTEX-11OF3-1926-SM-59889 60-69 years, male 196.5
GTEX-ZA64-1526-SM-5CVMD 20-29 years, male 195.9
GTEX-14E6C-1326-SM-62LEQ 40-49 years, male 193.6
GTEX-1H11D-1526-SM-9MQJY 40-49 years, male 193.5
GTEX-11GSP-0926-SM-9WYSG 60-69 years, female 193.3
GTEX-1H4P4-2226-SM-9MQKQ 50-59 years, male 192.5
GTEX-139T6-1626-SM-5PNYZ 50-59 years, male 192.1
GTEX-13D11-1026-SM-5IJFB 50-59 years, female 192.1
GTEX-Y3I4-1526-SM-4TT7K 50-59 years, male 192.1
GTEX-11ZUS-0826-SM-5FQUY 30-39 years, male 191.8
GTEX-16BQI-1026-SM-7KUEA 30-39 years, female 191.8
GTEX-ZLFU-2126-SM-DO931 40-49 years, male 191.5
GTEX-WI4N-1426-SM-3LK7H 40-49 years, female 190.8
GTEX-14PKU-0426-SM-6EU1P 40-49 years, female 190.1
GTEX-12KS4-0126-SM-5Q5A5 30-39 years, male 189.2
GTEX-11TUW-1826-SM-5BC5D 60-69 years, male 188.7
GTEX-1JMLX-2026-SM-CMKGN 50-59 years, male 187.6
GTEX-1I1GU-1026-SM-ADEHJ 40-49 years, male 186.3
GTEX-1IDFM-0426-SM-B2LVV 60-69 years, male 185.9
GTEX-1MCYP-0126-SM-E6CIS 20-29 years, female 185.2
GTEX-1GN2E-2226-SM-9WG6J 60-69 years, male 185.1
GTEX-17GQL-0326-SM-7LG5U 60-69 years, male 184.0
GTEX-18A6Q-0926-SM-7LG4N 60-69 years, male 183.9
GTEX-14E6E-1326-SM-5S2NR 30-39 years, male 183.6
GTEX-1PPH7-0826-SM-E8VNX 40-49 years, male 183.4
GTEX-11WQC-1726-SM-5GU4W 60-69 years, male 181.8
GTEX-1GPI7-0926-SM-7PC3J 20-29 years, male 181.4
GTEX-1JJEA-2726-SM-ARL8V 60-69 years, male 181.3
GTEX-1KXAM-1026-SM-CY8IA 60-69 years, male 181.2
GTEX-YECK-0726-SM-EZ6LV 60-69 years, male 181.2
GTEX-Y5V5-2126-SM-4WWFO 60-69 years, female 179.6
GTEX-1LSVX-2426-SM-E6CJX 60-69 years, male 178.6
GTEX-1AX9I-0726-SM-73KWV 60-69 years, male 178.3
GTEX-ZT9W-2026-SM-51MRA 50-59 years, male 178.3
GTEX-ZDXO-0126-SM-5S2ND 60-69 years, male 178.2
GTEX-1N2EF-2226-SM-E9J33 60-69 years, male 177.5
GTEX-13W46-0826-SM-5LU3H 50-59 years, male 176.9
GTEX-S7SE-0826-SM-4AT4D 50-59 years, male 176.4
GTEX-S32W-2026-SM-4AD6E 50-59 years, female 175.8
GTEX-11P82-1326-SM-5HL62 20-29 years, male 174.2
GTEX-18465-2026-SM-718AP 50-59 years, male 173.9
GTEX-1KAFJ-0226-SM-DIPEL 50-59 years, male 173.2
GTEX-11I78-2226-SM-5PNYA 50-59 years, female 172.7
GTEX-1HCUA-0726-SM-ACKVU 50-59 years, female 172.4
GTEX-18A7A-0726-SM-7LTAI 50-59 years, female 171.2
GTEX-1HT8W-2226-SM-CGQEC 30-39 years, male 171.0
GTEX-1E2YA-2726-SM-7IGPW 50-59 years, male 170.5
GTEX-1C6WA-2426-SM-7SB86 60-69 years, male 168.5
GTEX-11GSO-1926-SM-5A5K3 60-69 years, male 167.9
GTEX-1C6VS-0726-SM-7EPHF 60-69 years, male 166.5
GTEX-144GM-0926-SM-5O994 20-29 years, male 166.1
GTEX-14DAR-1326-SM-7DUEG 50-59 years, male 165.8
GTEX-ZAB4-2526-SM-5HL8M 40-49 years, male 165.6
GTEX-ZQG8-0726-SM-5P9H9 60-69 years, female 165.5
GTEX-1N5O9-1126-SM-DTXEQ 60-69 years, male 165.5
GTEX-1GZHY-0726-SM-9WG6B 50-59 years, female 165.4
GTEX-131YS-0626-SM-5EGKL 60-69 years, female 165.3
GTEX-13VXU-2826-SM-664MA 50-59 years, male 164.8
GTEX-1B8L1-2426-SM-9WYTE 60-69 years, male 164.4
GTEX-Y5V6-2126-SM-4WWFX 60-69 years, male 164.0
GTEX-1QPFJ-2026-SM-EVYBE 30-39 years, female 164.0
GTEX-Y9LG-1426-SM-5IFJZ 30-39 years, male 163.9
GTEX-12BJ1-1826-SM-5HL9N 60-69 years, male 163.8
GTEX-12WSK-2226-SM-5GCO5 40-49 years, female 163.4
GTEX-17F9E-2526-SM-7MGW2 50-59 years, male 163.0
GTEX-XQ3S-1326-SM-4BOPQ 20-29 years, male 162.7
GTEX-169BO-1126-SM-7MGWN 50-59 years, male 162.5
GTEX-S33H-0326-SM-4AD6N 30-39 years, male 161.1
GTEX-1GMRU-0826-SM-9WYT7 50-59 years, male 160.9
GTEX-1IOXB-1926-SM-ARL8E 50-59 years, male 159.6
GTEX-11O72-2126-SM-5N9FO 40-49 years, male 158.4
GTEX-11NV4-2026-SM-5N9DG 60-69 years, male 158.0
GTEX-1EKGG-2626-SM-7IGPY 60-69 years, male 157.5
GTEX-1KANC-1426-SM-CYPT9 50-59 years, female 156.4
GTEX-17JCI-0726-SM-7EPH1 60-69 years, female 155.9
GTEX-13O3O-0826-SM-5K7WE 60-69 years, female 155.8
GTEX-1IDJF-2326-SM-ARL86 20-29 years, male 154.5
GTEX-14753-2426-SM-5LU8U 60-69 years, male 154.2
GTEX-18D9A-1526-SM-7LG4J 30-39 years, female 153.7
GTEX-13FTX-1126-SM-5N9EN 20-29 years, female 153.6
GTEX-17HHE-1426-SM-7EPH4 50-59 years, male 153.3
GTEX-1IE54-0626-SM-ARL8D 40-49 years, female 151.6
GTEX-1HSEH-2026-SM-ADEHN 60-69 years, male 151.5
GTEX-1PPGY-1526-SM-EVYBK 60-69 years, male 150.8
GTEX-1OKEX-0826-SM-E9J2B 60-69 years, male 150.5
GTEX-1H3VY-0926-SM-ACKXE 50-59 years, male 150.2
GTEX-13NZ8-0126-SM-5IJCT 60-69 years, female 149.1
GTEX-ZZ64-1226-SM-5E43R 20-29 years, male 149.1
GTEX-1JKYN-0726-SM-ARZMY 30-39 years, male 149.0
GTEX-ZVZQ-0826-SM-51MRF 60-69 years, female 148.5
GTEX-14PJ4-2126-SM-6ETZJ 60-69 years, male 147.2
GTEX-11EQ9-1826-SM-5Q5AJ 30-39 years, male 146.7
GTEX-QMRM-1626-SM-D4P1U 50-59 years, male 146.7
GTEX-13NZ9-1026-SM-5MR5K 50-59 years, male 145.8
GTEX-1MA7X-1626-SM-E9U5B 60-69 years, male 145.6
GTEX-11EI6-0626-SM-5985T 60-69 years, male 145.1
GTEX-11GS4-2126-SM-5A5KR 60-69 years, male 144.9
GTEX-ZUA1-1526-SM-59HLS 40-49 years, male 144.2
GTEX-17F97-2526-SM-7EWDV 50-59 years, male 142.9
GTEX-XYKS-1326-SM-4BRUN 60-69 years, female 141.5
GTEX-1LBAC-0926-SM-CXKY9 20-29 years, male 141.3
GTEX-17HHY-0926-SM-793C1 50-59 years, male 140.9
GTEX-13SLW-2526-SM-62LDQ 70-79 years, male 140.8
GTEX-15UF7-0726-SM-6M46D 40-49 years, male 140.8
GTEX-RWS6-1926-SM-47JXY 60-69 years, female 140.7
GTEX-14ICK-2426-SM-6EU27 40-49 years, male 140.1
GTEX-Y8LW-1626-SM-5IFHX 50-59 years, female 140.1
GTEX-1R9JW-0326-SM-EAZ45 30-39 years, female 140.0
GTEX-18A7B-2626-SM-7LG55 70-79 years, male 139.9
GTEX-1R9PN-0326-SM-DTX85 40-49 years, female 139.7
GTEX-Y114-2026-SM-4TT7L 50-59 years, female 139.3
GTEX-13CF3-2126-SM-5IFJP 60-69 years, female 138.4
GTEX-145MF-2226-SM-7EPIR 50-59 years, male 138.4
GTEX-16YQH-2826-SM-6PAMY 30-39 years, male 138.4
GTEX-Y111-2026-SM-4SOJA 50-59 years, male 138.1
GTEX-13FTW-1426-SM-5LZWZ 40-49 years, male 138.0
GTEX-1GPI6-0626-SM-7RHHJ 60-69 years, male 137.9
GTEX-13PVR-2226-SM-7DHKP 60-69 years, female 137.6
GTEX-117YX-1426-SM-5H12H 50-59 years, male 137.5
GTEX-1F5PK-2126-SM-7PC28 50-59 years, male 137.4
GTEX-1C64O-0726-SM-7DUFU 60-69 years, male 136.9
GTEX-1H1DG-0526-SM-9YFLN 70-79 years, male 136.8
GTEX-1S82U-1126-SM-E9U6I 30-39 years, female 136.8
GTEX-1KD4Q-2326-SM-D4P3M 40-49 years, male 136.6
GTEX-13O3Q-2226-SM-5KM4O 50-59 years, male 136.3
GTEX-WRHU-0326-SM-3MJFY 50-59 years, female 135.3
GTEX-YB5K-1626-SM-5IFIN 40-49 years, female 134.8
GTEX-145ME-1526-SM-5Q5F2 40-49 years, female 134.4
GTEX-Z9EW-1526-SM-EZ6LU 40-49 years, male 134.1
GTEX-11NSD-0926-SM-5N9DR 20-29 years, male 133.6
GTEX-1I1HK-2426-SM-ADEHX 60-69 years, male 133.4
GTEX-1AMEY-1026-SM-718AA 30-39 years, female 132.9
GTEX-ZLV1-1426-SM-DO92Z 60-69 years, female 132.4
GTEX-11LCK-2426-SM-5HL5F 30-39 years, male 131.3
GTEX-1AX9J-1126-SM-731B7 60-69 years, male 131.1
GTEX-1117F-2826-SM-5GZXL 60-69 years, female 130.5
GTEX-YB5E-1726-SM-5IFJ3 40-49 years, male 130.2
GTEX-1JN6P-2426-SM-ARL99 60-69 years, male 130.0
GTEX-REY6-2426-SM-48FF5 60-69 years, male 129.8
GTEX-ZEX8-2226-SM-57WC6 50-59 years, male 129.8
GTEX-ZV6S-1826-SM-5NQ8D 40-49 years, female 129.6
GTEX-14ABY-2126-SM-5QGQZ 50-59 years, male 129.5
GTEX-1HC8U-0826-SM-ADEIL 40-49 years, female 129.5
GTEX-1211K-1926-SM-5EQLB 60-69 years, female 129.4
GTEX-139TU-0626-SM-5KM3X 60-69 years, male 129.4
GTEX-11TT1-2126-SM-5GU5Y 20-29 years, male 128.9
GTEX-ZV7C-1826-SM-5NQ83 50-59 years, male 128.8
GTEX-1CB4G-2326-SM-79OOI 60-69 years, male 128.2
GTEX-XUW1-2326-SM-4BOO5 50-59 years, female 128.0
GTEX-183FY-1126-SM-7DHLJ 20-29 years, male 127.7
GTEX-1R46S-2526-SM-E8VN2 60-69 years, female 127.6
GTEX-117XS-1926-SM-5GICO 60-69 years, male 127.5
GTEX-1A3MX-2726-SM-718B6 60-69 years, male 127.5
GTEX-ZYT6-0126-SM-5E45J 30-39 years, male 127.2
GTEX-1MJK2-2226-SM-EVYCR 50-59 years, male 126.2
GTEX-1J8Q2-2726-SM-A9G2X 60-69 years, male 126.1
GTEX-13W3W-1226-SM-5LU4H 60-69 years, female 125.8
GTEX-147F4-2826-SM-5NQBN 50-59 years, male 125.7
GTEX-1HCU8-0126-SM-ADEHH 60-69 years, female 125.7
GTEX-1LSNL-2826-SM-E9U5L 50-59 years, male 124.6
GTEX-17HGU-1326-SM-79OKB 50-59 years, male 124.4
GTEX-1IGQW-0926-SM-ADEH6 60-69 years, male 123.6
GTEX-1ICLY-1726-SM-B2LVT 50-59 years, male 123.5
GTEX-14BMV-0626-SM-793AU 50-59 years, male 123.3
GTEX-1J8QM-2026-SM-ARZMW 60-69 years, female 122.3
GTEX-XV7Q-2326-SM-4BRVZ 40-49 years, female 122.0
GTEX-S4Q7-1126-SM-4AD6R 20-29 years, male 121.9
GTEX-1R9PM-1826-SM-EVYBH 20-29 years, male 121.9
GTEX-14PN4-0626-SM-62LFP 50-59 years, male 121.8
GTEX-1JMPZ-1626-SM-COH31 30-39 years, male 121.8
GTEX-1H23P-0726-SM-9WG7K 60-69 years, male 121.4
GTEX-TKQ2-1826-SM-33HB2 50-59 years, male 121.1
GTEX-13CF2-2026-SM-5K7VI 60-69 years, male 120.8
GTEX-ZAJG-0626-SM-5HL8X 50-59 years, female 120.7
GTEX-WHSB-1926-SM-EXOHH 50-59 years, male 120.3
GTEX-1HBPM-0126-SM-ARL9E 60-69 years, female 119.5
GTEX-11DXW-0626-SM-5N9ER 40-49 years, male 119.4
GTEX-17F96-2426-SM-7IGLN 70-79 years, male 119.4
GTEX-12WSN-1326-SM-5GCNT 40-49 years, male 118.9
GTEX-1HCU7-1026-SM-ADEIP 50-59 years, male 117.8
GTEX-1N2EE-2126-SM-E8VNN 60-69 years, male 117.8
GTEX-17MF6-0326-SM-7EPH5 40-49 years, male 117.7
GTEX-1LG7Z-0726-SM-CXKYD 30-39 years, male 117.7
GTEX-ZVTK-0326-SM-51MRR 20-29 years, male 117.2
GTEX-X62O-0526-SM-EWRMA 50-59 years, male 117.0
GTEX-1EWIQ-1726-SM-7SB7T 70-79 years, female 116.9
GTEX-1F75B-0626-SM-7SB8A 50-59 years, male 116.9
GTEX-WOFL-0826-SM-3MJG1 60-69 years, male 116.6
GTEX-13113-5013-SM-7SB7G 60-69 years, female 116.2
GTEX-R3RS-0626-SM-48FE1 40-49 years, female 115.8
GTEX-15UF6-0126-SM-6PAMB 70-79 years, female 115.2
GTEX-ZZPU-0626-SM-5E43T 50-59 years, female 115.1
GTEX-1JMQK-2626-SM-COH2W 60-69 years, male 114.7
GTEX-1GZ4I-2826-SM-9MQK5 50-59 years, male 114.0
GTEX-ZYFC-0826-SM-5E44K 50-59 years, male 113.8
GTEX-1B8KZ-1526-SM-7DUG7 50-59 years, male 113.5
GTEX-S4P3-1326-SM-4AD6V 50-59 years, female 113.4
GTEX-1NV8Z-2826-SM-E8VME 60-69 years, male 113.4
GTEX-11P7K-0726-SM-5EGKX 30-39 years, male 112.6
GTEX-13NZB-2126-SM-5MR4Y 30-39 years, male 112.3
GTEX-1AX8Z-0926-SM-731AW 60-69 years, male 112.3
GTEX-1I6K7-1026-SM-A9SLK 40-49 years, male 111.9
GTEX-133LE-1726-SM-5K7VQ 20-29 years, female 110.5
GTEX-1PDJ9-1126-SM-EXUSW 20-29 years, male 110.4
GTEX-ZWKS-2826-SM-5NQ74 30-39 years, male 110.1
GTEX-17F98-0526-SM-79OK5 40-49 years, female 109.4
GTEX-1A3MV-1626-SM-731C1 30-39 years, male 108.8
GTEX-ZLWG-1926-SM-DO92J 50-59 years, female 108.1
GTEX-1MCC2-2126-SM-EWRON 30-39 years, female 107.9
GTEX-1F75A-1826-SM-7SB8G 50-59 years, male 107.3
GTEX-145MO-0826-SM-5NQBL 60-69 years, male 107.0
GTEX-WYJK-1326-SM-3NB2T 50-59 years, male 106.6
GTEX-1LNCM-0226-SM-DIPF4 50-59 years, female 106.0
GTEX-1MJK3-1126-SM-E9J3F 20-29 years, male 106.0
GTEX-U3ZH-1426-SM-4DXSR 30-39 years, male 104.9
GTEX-1ICG6-1326-SM-ACKWR 70-79 years, female 104.4
GTEX-131XW-0726-SM-5EGK3 50-59 years, female 104.3
GTEX-1CB4J-1826-SM-7EWF9 60-69 years, male 104.3
GTEX-RUSQ-2026-SM-4GIAK 50-59 years, male 104.3
GTEX-1GF9U-1726-SM-7MGY5 40-49 years, female 104.2
GTEX-1B97I-0426-SM-79OL7 40-49 years, male 103.8
GTEX-ZU9S-1926-SM-5NQBP 30-39 years, male 103.4
GTEX-1GMR3-2626-SM-7RHHG 40-49 years, male 103.3
GTEX-XGQ4-0926-SM-4AT4U 50-59 years, male 102.0
GTEX-XMD1-0826-SM-4AT52 60-69 years, male 101.2
GTEX-1B8SG-1226-SM-7IGPF 50-59 years, male 101.0
GTEX-ZTX8-1226-SM-4YCE9 20-29 years, male 100.9
GTEX-1QCLZ-2326-SM-DTXDO 60-69 years, female 100.0
GTEX-ZPIC-1126-SM-5BC7F 40-49 years, female 99.4
GTEX-146FH-0826-SM-5SI8T 50-59 years, female 98.2
GTEX-1I1GV-2426-SM-CGQFM 60-69 years, male 98.0
GTEX-1A8G7-2426-SM-731AK 60-69 years, male 97.8
GTEX-1B933-2526-SM-7IGO5 50-59 years, female 96.6
GTEX-Q2AG-0326-SM-48U1O 40-49 years, female 96.3
GTEX-11PRG-0826-SM-5EQ6A 50-59 years, male 96.1
GTEX-QDT8-0626-SM-48TYW 30-39 years, female 95.7
GTEX-1LSNM-1326-SM-E9TJ1 50-59 years, male 95.4
GTEX-1314G-1226-SM-5BC6D 30-39 years, male 95.2
GTEX-1GF9V-2526-SM-7SB8K 60-69 years, male 94.5
GTEX-1B97J-0426-SM-79OLQ 50-59 years, female 93.8
GTEX-1C6VQ-0426-SM-79OOX 50-59 years, male 93.5
GTEX-1HCVE-2626-SM-ADEJ8 50-59 years, male 93.5
GTEX-Y5LM-1726-SM-4VDSX 40-49 years, female 93.4
GTEX-12ZZX-1126-SM-5EGKB 40-49 years, female 93.3
GTEX-1RLM8-2226-SM-EVYD1 50-59 years, male 93.3
GTEX-1HCU9-0326-SM-9WYSC 20-29 years, male 93.2
GTEX-1MA7W-1026-SM-DKPQK 20-29 years, female 93.2
GTEX-WXYG-2226-SM-4E3IM 50-59 years, female 93.1
GTEX-13N11-1726-SM-5J1OJ 50-59 years, female 93.0
GTEX-1H1CY-2226-SM-9WG7E 60-69 years, female 92.9
GTEX-1IDJU-1826-SM-CMKHV 60-69 years, female 92.8
GTEX-13FHO-0826-SM-5L3E8 60-69 years, male 92.7
GTEX-WFON-1826-SM-3GILG 40-49 years, male 92.6
GTEX-1K9T9-1426-SM-DIPFQ 50-59 years, female 92.3
GTEX-1C475-1226-SM-7SB72 40-49 years, female 91.2
GTEX-ZF3C-2326-SM-5S2NC 50-59 years, female 90.4
GTEX-1CAMR-1426-SM-793BO 20-29 years, male 90.0
GTEX-X4EP-2926-SM-3P5YQ 60-69 years, female 90.0
GTEX-15FZZ-0726-SM-7KUFZ 30-39 years, female 89.2
GTEX-18QFQ-0826-SM-718AX 30-39 years, male 88.9
GTEX-1HSKV-2026-SM-CMKGX 60-69 years, male 88.8
GTEX-145LT-0726-SM-5S2VM 40-49 years, male 88.4
GTEX-17EVP-0226-SM-79OND 40-49 years, male 88.0
GTEX-WYBS-0926-SM-3NM94 60-69 years, female 88.0
GTEX-1JMOU-2026-SM-CMKGU 60-69 years, female 88.0
GTEX-PSDG-1626-SM-48TCQ 50-59 years, male 87.8
GTEX-ZTPG-2826-SM-57WGA 20-29 years, female 87.0
GTEX-1JMPY-0526-SM-CL54O 30-39 years, male 86.4
GTEX-ZTTD-1026-SM-51MRD 50-59 years, male 85.3
GTEX-X261-0626-SM-3NMD9 50-59 years, male 85.1
GTEX-ZF29-1926-SM-5S2P1 60-69 years, female 85.1
GTEX-1QP28-1226-SM-E9J2M 50-59 years, female 84.9
GTEX-1CB4E-0226-SM-79OLW 60-69 years, male 84.5
GTEX-1269C-2426-SM-5FQSN 60-69 years, female 83.6
GTEX-11EM3-1326-SM-5N9C6 20-29 years, female 82.7
GTEX-1399U-1826-SM-5PNZ1 50-59 years, female 82.4
GTEX-1J8Q3-1326-SM-CMKI1 60-69 years, male 81.9
GTEX-1RAZS-1226-SM-E8VMT 50-59 years, male 81.8
GTEX-1GF9X-1026-SM-ACKX2 40-49 years, female 81.3
GTEX-13QJ3-0826-SM-7DHKK 50-59 years, male 81.1
GTEX-13PL6-2926-SM-5L3I2 40-49 years, female 81.0
GTEX-17EUY-1926-SM-7DUF6 20-29 years, male 81.0
GTEX-W5X1-2326-SM-3GIL6 40-49 years, female 80.8
GTEX-14PHY-1926-SM-5YY95 60-69 years, female 80.3
GTEX-VUSG-2226-SM-4KKZO 50-59 years, male 79.5
GTEX-RU72-0626-SM-46MUI 50-59 years, female 79.3
GTEX-ZY6K-1626-SM-5GZWV 50-59 years, male 79.2
GTEX-WFG8-2026-SM-EXOHO 20-29 years, male 79.1
GTEX-1R7EV-1526-SM-E8VOD 40-49 years, male 79.0
GTEX-1IKJJ-2326-SM-COH3U 60-69 years, male 77.9
GTEX-X15G-1626-SM-3NMB3 50-59 years, female 76.8
GTEX-1QCLY-1626-SM-DTXDW 30-39 years, male 76.6
GTEX-1EU9M-2826-SM-7EWFH 60-69 years, male 76.4
GTEX-Y3IK-2326-SM-4WWDT 50-59 years, female 76.3
GTEX-1F5PL-1026-SM-7RHI1 40-49 years, female 76.3
GTEX-1F6I4-2526-SM-7SB8F 60-69 years, male 76.2
GTEX-1L5NE-2126-SM-CY8IH 50-59 years, male 76.2
GTEX-1QP29-1726-SM-E8VMQ 50-59 years, male 76.2
GTEX-16NGA-0826-SM-718AF 40-49 years, female 76.0
GTEX-UPK5-2326-SM-3P5Z8 40-49 years, male 75.4
GTEX-1IY9M-2726-SM-CMKG5 60-69 years, male 75.4
GTEX-ZGAY-1726-SM-DO91P 40-49 years, female 74.1
GTEX-13OW5-2226-SM-5L3HC 60-69 years, male 73.8
GTEX-14PJO-0726-SM-69LO8 60-69 years, male 73.8
GTEX-1GN1W-1926-SM-7P8TH 50-59 years, female 73.8
GTEX-15SHW-1326-SM-6PAL8 60-69 years, male 73.7
GTEX-1HR9M-2426-SM-ACKXI 60-69 years, male 73.4
GTEX-1GMR2-1926-SM-9MQLZ 50-59 years, male 72.4
GTEX-V955-2026-SM-3GAFA 60-69 years, male 71.2
GTEX-1I1GT-1126-SM-ARL7J 60-69 years, female 70.2
GTEX-1I4MK-1626-SM-CM2TJ 50-59 years, female 70.0
GTEX-1KANA-2026-SM-DIPFB 20-29 years, male 69.9
GTEX-11EMC-2026-SM-5A5JV 60-69 years, female 69.6
GTEX-1RQEC-2026-SM-DTXDM 60-69 years, male 69.4
GTEX-183WM-0726-SM-7LTAA 70-79 years, female 69.3
GTEX-17HG3-0126-SM-7IGNH 30-39 years, female 69.2
GTEX-18A66-1726-SM-7LG5N 60-69 years, male 68.8
GTEX-15G19-2126-SM-6M48J 60-69 years, male 68.6
GTEX-11DZ1-0326-SM-5N9BN 50-59 years, male 67.8
GTEX-15RJE-2626-SM-7KFT1 40-49 years, male 67.8
GTEX-SE5C-2126-SM-4BRUJ 40-49 years, female 67.8
GTEX-1B932-0826-SM-73KXG 40-49 years, female 67.7
GTEX-1IDJE-0826-SM-CKZNZ 50-59 years, female 67.6
GTEX-ZAK1-1326-SM-EVYAS 50-59 years, female 67.1
GTEX-ZVT2-1826-SM-5NQ8W 50-59 years, female 66.0
GTEX-1B8KE-1226-SM-73KWK 50-59 years, male 65.6
GTEX-UJHI-1426-SM-3DB9C 50-59 years, female 65.1
GTEX-14AS3-1626-SM-5S2OY 40-49 years, female 64.2
GTEX-14LLW-0626-SM-62LFC 70-79 years, female 63.7
GTEX-T6MN-0726-SM-32PML 50-59 years, male 63.7
GTEX-1K2DA-1726-SM-CGQGS 50-59 years, male 63.2
GTEX-XOT4-0726-SM-4GIAW 60-69 years, female 62.6
GTEX-14H4A-2526-SM-5YYAY 40-49 years, female 62.5
GTEX-U3ZN-1926-SM-4DXSG 30-39 years, female 62.3
GTEX-1GZ4H-0326-SM-7P8QX 50-59 years, female 61.4
GTEX-1HKZK-1826-SM-ADEJ2 40-49 years, male 60.5
GTEX-T2YK-2226-SM-32QPT 50-59 years, male 60.0
GTEX-15EOM-5019-SM-793DK 20-29 years, female 59.5
GTEX-1192X-2326-SM-5987X 50-59 years, male 58.8
GTEX-TML8-1226-SM-32QON 40-49 years, female 58.8
GTEX-14A5I-0726-SM-5TDEB 50-59 years, female 58.6
GTEX-1JK1U-1826-SM-ARL8W 60-69 years, male 58.5
GTEX-13FTY-2226-SM-5J1ND 40-49 years, female 58.4
GTEX-1RAZQ-1226-SM-EWRNL 30-39 years, male 58.0
GTEX-11P81-1926-SM-5BC53 30-39 years, female 57.7
GTEX-1F75I-2026-SM-7SB7N 40-49 years, male 55.6
GTEX-1M5QR-2526-SM-E9U5P 40-49 years, male 54.8
GTEX-ZVE2-1226-SM-5NQ8R 50-59 years, male 53.5
GTEX-1IKOH-2326-SM-CM2TW 60-69 years, female 53.0
GTEX-S341-1526-SM-4AD6K 40-49 years, female 52.9
GTEX-WY7C-2726-SM-3NB3P 50-59 years, male 52.6
GTEX-13O3P-0826-SM-5L3DH 50-59 years, male 52.2
GTEX-WYVS-1726-SM-3NMAY 40-49 years, female 51.9
GTEX-1GN1U-0526-SM-9KNTT 50-59 years, female 50.8
GTEX-TMMY-0726-SM-33HBE 40-49 years, female 50.5
GTEX-1R7EU-1226-SM-E8VMR 60-69 years, male 50.0
GTEX-1GMR8-0726-SM-9KNVI 50-59 years, female 49.9
GTEX-1J8EW-2626-SM-CL53E 60-69 years, female 49.4
GTEX-14BMU-1626-SM-5TDE7 20-29 years, female 49.3
GTEX-15ER7-1626-SM-6PAMZ 20-29 years, female 49.3
GTEX-S4UY-0726-SM-4AD6X 40-49 years, female 49.3
GTEX-ZC5H-2626-SM-5J2MG 40-49 years, female 49.3
GTEX-ZF2S-2026-SM-5E461 50-59 years, female 49.3
GTEX-1HBPN-2326-SM-9WPPU 50-59 years, male 49.1
GTEX-1CAMS-1426-SM-7IGPM 40-49 years, female 48.5
GTEX-1P4AB-1826-SM-E76PU 50-59 years, male 47.8
GTEX-QEG5-0726-SM-D4P1T 20-29 years, male 46.8
GTEX-1H1E6-0926-SM-9YFLT 30-39 years, male 46.6
GTEX-ZXES-0826-SM-5E43C 30-39 years, female 45.3
GTEX-1IKOE-1326-SM-CE6T6 30-39 years, female 45.2
GTEX-15ETS-0626-SM-7KUMX 40-49 years, female 44.1
GTEX-T2IS-1526-SM-32QPR 20-29 years, female 44.0
GTEX-QEL4-2126-SM-447AE 50-59 years, male 43.1
GTEX-T5JC-2126-SM-32PMO 20-29 years, male 42.8
GTEX-TKQ1-0226-SM-33HB5 30-39 years, male 42.6
GTEX-132Q8-1426-SM-5EGK7 60-69 years, male 41.3
GTEX-13QIC-2326-SM-5LU5N 60-69 years, female 41.1
GTEX-111YS-1926-SM-5GICC 60-69 years, male 40.3
GTEX-13SLX-2326-SM-5ZZWE 50-59 years, female 39.3
GTEX-1HSGN-1526-SM-A9SMO 40-49 years, female 37.4
GTEX-T5JW-2026-SM-4DM63 20-29 years, female 37.3
GTEX-YFC4-1426-SM-5IFJG 40-49 years, female 37.3
GTEX-1LC47-1226-SM-D4P44 60-69 years, male 36.7
GTEX-T6MO-0326-SM-32QOK 40-49 years, female 36.2
GTEX-1LVAM-0926-SM-E9TJ2 50-59 years, female 34.7
GTEX-1LGRB-1826-SM-CNPQL 50-59 years, female 34.6
GTEX-UTHO-1026-SM-3GAF7 60-69 years, male 31.0
GTEX-RU1J-0626-SM-4WAWY 20-29 years, female 30.5
GTEX-VJWN-0726-SM-3GIJ8 50-59 years, female 29.9
GTEX-139T8-0826-SM-5L3DE 60-69 years, male 29.7
GTEX-1POEN-0926-SM-DTX88 30-39 years, female 21.8
GTEX-1LVAN-1326-SM-CNPQE 50-59 years, female 21.1
GTEX-1NUQO-2226-SM-E9U68 20-29 years, female 17.3
GTEX-XUZC-1626-SM-4BRVP 30-39 years, female 14.9
GTEX-1GZ2Q-2626-SM-7MXV9 40-49 years, male 9.0
Show allShow less

BREAST - FANTOM5 CAGEi

RNA expression in human tissues obtained through Cap Analysis of Gene Expression (CAGE) generated by the FANTOM5 project are reported as Scaled Tags Per Million.

Max subtype Scaled Tags Per Millioni

Max subtype Scaled Tags Per Million is the value for the subtype with the largest average Scaled Tags Per Million across the subtype samples.

315.6
FANTOM5 sample id Sample description Scaled Tags Per Million
Breast
Scaled Tags Per Million: 315.6
FF:10080-102A8 77 years, female 315.6

Contact

  • NEWS ARTICLES
  • PRESS ROOM

The Project

  • INTRODUCTION
  • ORGANIZATION
  • PUBLICATIONS

The Human Protein Atlas

  • DOWNLOADABLE DATA
  • LICENCE & CITATION
  • HELP & FAQ
The Human Protein Atlas project is funded
by the Knut & Alice Wallenberg Foundation.


contact@proteinatlas.org