We use cookies to enhance the usability of our website. If you continue, we'll assume that you are happy to receive all cookies. More information. Don't show this again.
SOD3
HPA
RESOURCES
  • TISSUE
  • BRAIN
  • SINGLE CELL
  • SUBCELLULAR
  • CANCER
  • BLOOD
  • CELL LINE
  • STRUCTURE & INTERACTION
ABOUT
  • INTRODUCTION
  • HISTORY
  • ORGANIZATION
  • PUBLICATIONS
  • ANTIBODY SUBMISSION
  • ANTIBODY AVAILABILITY
  • ACKNOWLEDGMENTS
  • CONTACT
NEWS
  • NEWS ARTICLES
  • PRESS ROOM
LEARN
  • DICTIONARY
  • PROTEIN CLASSES
  • PROTEIN EVIDENCE
  • METHODS
  • EDUCATIONAL VIDEOS
DATA
  • DOWNLOADABLE DATA
  • PUBLICATION DATA
  • RELEASE HISTORY
HELP
  • ANTIBODY VALIDATION
  • ASSAYS & ANNOTATION
  • DISCLAIMER
  • HELP & FAQ
  • PRIVACY STATEMENT
  • LICENCE & CITATION
Fields »
Search result

Field
Term
Gene name
Class
Subclass
Class
Keyword
Chromosome
External id
Tissue
Cell type
Expression
Antibody panel
Tissue
Main location
Patient ID
Annotation
Tissue
Category
Tau score
Cluster
Reliability
Brain region
Category
Tau score
Brain region
Category
Tau score
Brain region
Category
Tau score
Cluster
Reliability
Tissue
Cell type
Enrichment
Cell type
Category
Tau score
Cell type
Category
Tau score
Cell type
Category
Tau score
Cell lineage
Category
Tau score
Cluster
Cluster
Location
Searches
Location
Cell line
Class
Type
Phase
Reliability
Cancer
Prognosis
Cancer
Category
Cancer
Category
Tau score
Cluster
Variants
Interacting gene (ensg_id)
Type
Number of interactions
Pathway
Category
Score
Score
Score
Validation
Validation
Validation
Validation
Antibodies
Data type
Column


  • SUMMARY

  • TISSUE

  • BRAIN

  • SINGLE CELL

  • SUBCELL

  • CANCER

  • BLOOD

  • CELL LINE

  • STRUCT & INT

  • SOD3
TISSUE PRIMARY DATA SKIN Show tissue menu
ADIPOSE TISSUE ADRENAL GLAND AMYGDALA APPENDIX BASAL GANGLIA BONE MARROW BREAST BRONCHUS CEREBELLUM CEREBRAL CORTEX CERVIX CHOROID PLEXUS COLON DUODENUM
ENDOMETRIUM EPIDIDYMIS ESOPHAGUS FALLOPIAN TUBE GALLBLADDER HEART MUSCLE HIPPOCAMPAL FORMATION HYPOTHALAMUS KIDNEY LIVER LUNG LYMPH NODE MIDBRAIN NASOPHARYNX
ORAL MUCOSA OVARY PANCREAS PARATHYROID GLAND PITUITARY GLAND PLACENTA PROSTATE RECTUM RETINA SALIVARY GLAND SEMINAL VESICLE SKELETAL MUSCLE SKIN SMALL INTESTINE
SMOOTH MUSCLE SOFT TISSUE SPINAL CORD SPLEEN STOMACH TESTIS THYMUS THYROID GLAND TONGUE TONSIL URINARY BLADDER VAGINA
ANTIBODIES
AND
VALIDATION
Dictionary
Skin
Tissue proteome
Skin
SKIN - Expression summary
Protein expression
Skini

On the top, protein expression in current human tissue, based on all annotated cell types, is reported with the units not detected (n), low (l), medium (m) and high (h). Underneath, protein expression in each annotated cell type are reported using the same units.

Protein expression data is based on knowledge-based annotation. For genes where more than one antibody has been used, a collective score is set.

If knowledge-based annotation could not be performed for a gene, no data is displayed here. View antibody staining data further down this page.

h
m
l
n
Cells in basal layer: Medium
Cells in corneal layer: Not detected
Cells in granular layer: Not detected
Cells in spinous layer: Medium
Eccrine glands: Medium
Endothelial cells: Medium
Extracellular matrix: Medium
Fibrohistiocytic cells: Medium
Hair follicles: Medium
Langerhans cells: Medium
Lymphocytes: Medium
Melanocytes: Not detected
Sebaceous glands: Not detected
Vascular mural cells: Not detected
RNA expressioni

A summary of mRNA expression data available for current tissue based on several datasets. The mRNA expression levels in human tissues are based on RNA-seq data generated by the Human Protein Atlas (HPA), Genotype-Tissue Expression (GTEx) portal and CAGE data generated by the FANTOM5 consortium. Consensus normalized expression levels for human tissues was created by combining the data from HPA and GTEx datasets.

The mRNA expression levels in pig are based on RNA-seq data generated by the Human Protein Atlas (HPA), and for mouse, HPA data and in situ hybridization generated by the Allen brain atlas are reported.

Scroll down to view mRNA expression data in more detail.
Consensus:88.9 nTPM
HPA:21.9 nTPM
GTEx:88.9 nTPM

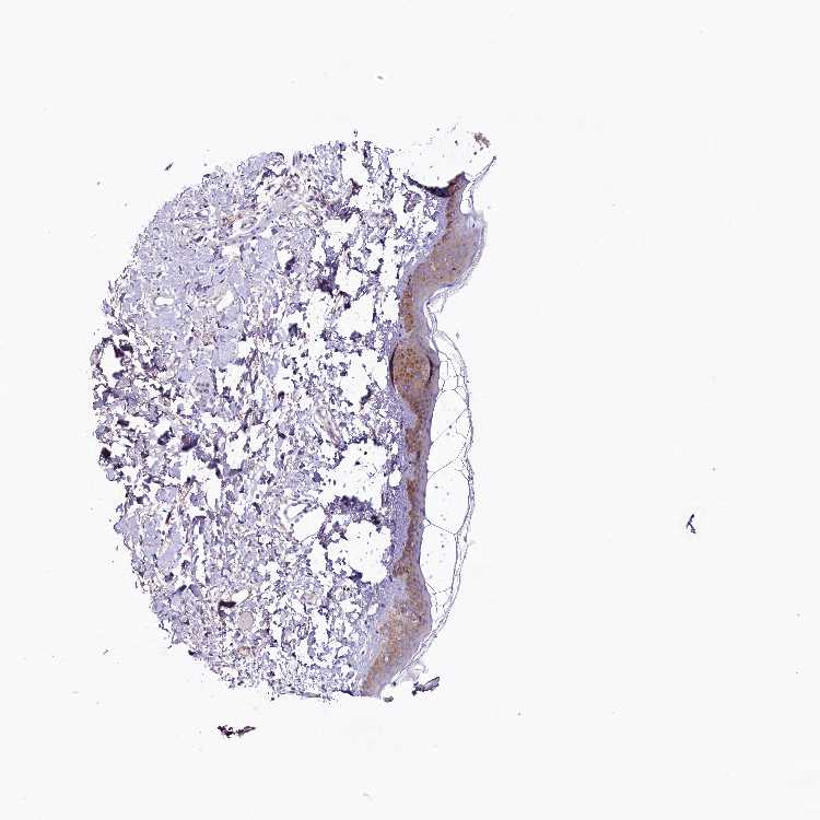
SKIN 1 - Antibody stainingi

Antibody staining in the annotated cell types in the current human tissue is reported as not detected, low, medium, or high, based on conventional immunohistochemistry profiling in selected tissues. This score is based on the combination of the staining intensity and fraction of stained cells.

Each image is clickable and will lead to virtual microscopy that enables deeper exploration of all samples and also displays staining intensity scores, fraction scores and subcellular localization as well as patient and tissue information for each sample.

Antibody HPA042110
Cells in basal layer Medium
Cells in corneal layer Not detected
Cells in granular layer Not detected
Cells in spinous layer Medium
Eccrine glands Medium
Endothelial cells Low
Extracellular matrix Medium
Fibrohistiocytic cells Medium
Hair follicles Medium
Langerhans cells Medium
Lymphocytes Medium
Melanocytes Not detected
Vascular mural cells Not detected


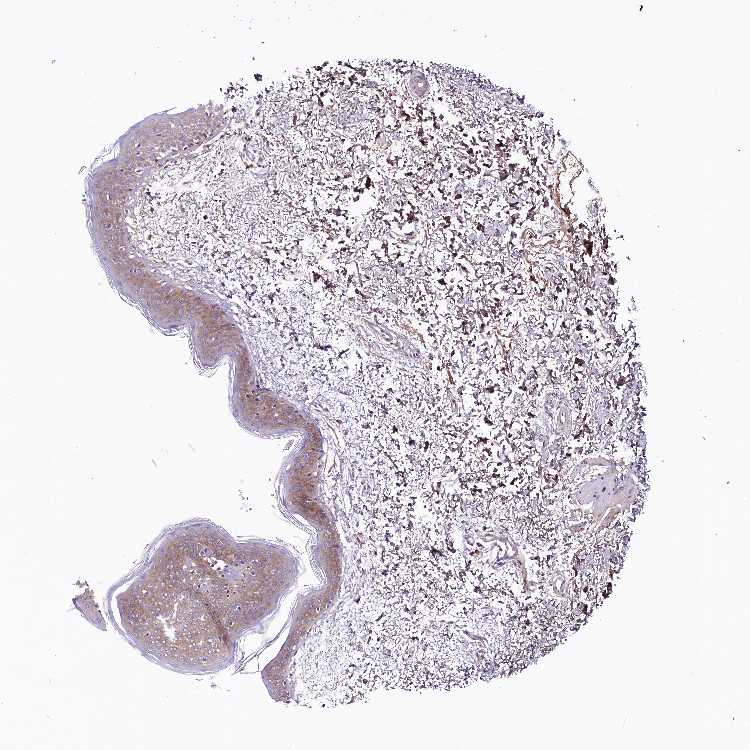
SKIN 2 - Antibody stainingi

Antibody staining in the annotated cell types in the current human tissue is reported as not detected, low, medium, or high, based on conventional immunohistochemistry profiling in selected tissues. This score is based on the combination of the staining intensity and fraction of stained cells.

Each image is clickable and will lead to virtual microscopy that enables deeper exploration of all samples and also displays staining intensity scores, fraction scores and subcellular localization as well as patient and tissue information for each sample.

Antibody HPA042110
Cells in basal layer Medium
Cells in corneal layer Not detected
Cells in granular layer Not detected
Cells in spinous layer Medium
Endothelial cells Medium
Extracellular matrix Medium
Fibrohistiocytic cells Medium
Hair follicles Low
Langerhans cells Medium
Lymphocytes Medium
Melanocytes Not detected
Sebaceous glands Not detected
Vascular mural cells Not detected


SKIN - HPA RNA-seqi

The RNA-seq details section shows detailed information about the individual samples used for the transcript profiling and results of the RNA-seq analysis.

Information about each individual sample is listed below, including gender, age, a tissue section image and estimated fractions of cell types. nTPM (normalized transcripts per million) values give a quantification of the gene abundance which is comparable between different genes and samples.
Average nTPMi

Max subtype nTPM is the value for the subtype with the largest average nTPM across the subtype samples.

21.9
overview
Female, age 34
Skin sample 225
nTPM: 16.4
Cell types%
Keratinocytes:
60

Other cell types:
40

overview
Female, age 30
Skin sample 226
nTPM: 7.2
Cell types%
Keratinocytes:
55

Other cell types:
45

N/A
Male, age 57
Skin sample 227
nTPM: 42.2

SKIN - GTEx RNA-seqi

RNA-Seq data generated by the Genotype-Tissue Expression (GTEx) project from human tissues is reported as mean nTPM. More information can be found on the GTEx portal.

Distribution across the dataset is visualized with box plots, shown as median and 25th and 75th percentiles. Points are displayed as outliers if they are above or below 1.5 times the interquartile range. nTPM values of the individual samples are presented next to the box plot.
Max subtype nTPMi

Max subtype nTPM is the value for the subtype with the largest average nTPM across the subtype samples.

88.9
GTEx sample id Sample description nTPM
Skin - Not Sun Exposed (Suprapubic)
Average nTPM: 68.2
Samples: 604

Max nTPM: 190.2
Min nTPM: 9.7
Std nTPM: 32.0
Median nTPM: 61.4
GTEX-1HUB1-1426-SM-CGQF5 60-69 years, male 190.2
GTEX-1497J-0226-SM-5QGPU 60-69 years, male 174.1
GTEX-14PK6-0226-SM-62LF5 70-79 years, female 167.2
GTEX-1HCU6-2526-SM-ADEHL 60-69 years, female 163.6
GTEX-Y8LW-1526-SM-5IFHL 50-59 years, female 163.2
GTEX-145ME-1726-SM-5Q5EU 40-49 years, female 162.6
GTEX-ZYW4-0626-SM-59HJR 60-69 years, male 158.5
GTEX-1399R-1326-SM-5PNYS 30-39 years, male 158.2
GTEX-1117F-2926-SM-5GZYI 60-69 years, female 157.4
GTEX-YB5K-2026-SM-4VDT3 40-49 years, female 157.2
GTEX-11DYG-1526-SM-5A5JS 60-69 years, male 153.0
GTEX-1CAV2-0126-SM-7IGN7 40-49 years, female 150.6
GTEX-16MT8-2926-SM-7DUFO 60-69 years, female 146.8
GTEX-1B996-0426-SM-7EWF8 60-69 years, male 146.5
GTEX-WYBS-0626-SM-3NMAS 60-69 years, female 146.0
GTEX-17F96-0126-SM-7EWDU 70-79 years, male 140.8
GTEX-X3Y1-2026-SM-3P5YM 40-49 years, male 140.3
GTEX-ZAK1-0626-SM-5HL8E 50-59 years, female 138.4
GTEX-ZLFU-1826-SM-4WWBV 40-49 years, male 136.8
GTEX-U8XE-0226-SM-4E3J3 30-39 years, male 136.1
GTEX-X4EO-2926-SM-4E3JH 60-69 years, female 135.9
GTEX-WI4N-2726-SM-3LK7Y 40-49 years, female 135.2
GTEX-1211K-1526-SM-5FQU4 60-69 years, female 134.5
GTEX-ZYFD-0626-SM-5E44E 50-59 years, male 134.5
GTEX-Y114-2126-SM-4TT8B 50-59 years, female 133.7
GTEX-11EI6-2826-SM-5H11D 60-69 years, male 133.2
GTEX-145MN-1526-SM-5SI9T 30-39 years, male 132.5
GTEX-11EM3-1226-SM-5N9DD 20-29 years, female 132.1
GTEX-18A7B-2726-SM-7LG56 70-79 years, male 131.7
GTEX-1H3NZ-2726-SM-9WYTQ 60-69 years, male 131.7
GTEX-XOT4-0626-SM-4B66L 60-69 years, female 131.6
GTEX-ZYFG-1526-SM-5GZYM 60-69 years, female 130.7
GTEX-1GF9W-1426-SM-7PBYM 60-69 years, male 130.0
GTEX-13FH7-1126-SM-5K7UG 50-59 years, female 129.4
GTEX-145MG-1526-SM-5Q5EM 50-59 years, male 129.0
GTEX-1H1CY-0126-SM-9YFLY 60-69 years, female 128.9
GTEX-17F97-2626-SM-7IGM5 50-59 years, male 128.4
GTEX-1A8FM-0626-SM-7PC25 50-59 years, female 128.4
GTEX-X5EB-1926-SM-4E3IW 40-49 years, male 126.7
GTEX-14A5H-0826-SM-5QGPJ 60-69 years, male 125.2
GTEX-Y8E4-2026-SM-5IFJB 40-49 years, male 123.3
GTEX-131XH-0126-SM-5LZUY 50-59 years, male 123.1
GTEX-12WSH-1526-SM-5BC5W 50-59 years, male 123.0
GTEX-1F6I4-2326-SM-7RHGL 60-69 years, male 122.4
GTEX-11DXW-0826-SM-5H118 40-49 years, male 122.2
GTEX-13113-1626-SM-5EQ4I 60-69 years, female 121.9
GTEX-XK95-0226-SM-4AT58 40-49 years, male 121.5
GTEX-1F75W-2726-SM-7SB8H 60-69 years, male 121.2
GTEX-WYVS-1626-SM-3NM9R 40-49 years, female 121.0
GTEX-1MJK3-0726-SM-E6CJC 20-29 years, male 119.9
GTEX-ZF2S-1626-SM-57WES 50-59 years, female 119.8
GTEX-XBEW-1126-SM-4QARW 40-49 years, male 119.2
GTEX-Y5V5-0126-SM-5S2NW 60-69 years, female 118.8
GTEX-1GZ2Q-0126-SM-9WG6M 40-49 years, male 118.7
GTEX-17JCI-2926-SM-7DUFF 60-69 years, female 118.4
GTEX-1EWIQ-0326-SM-7DHMQ 70-79 years, female 117.4
GTEX-1JMLX-0626-SM-ARL8T 50-59 years, male 116.9
GTEX-14DAR-1226-SM-73KYV 50-59 years, male 116.3
GTEX-15DYW-2726-SM-6EU2I 60-69 years, female 116.2
GTEX-15RJ7-2126-SM-6PAMD 40-49 years, male 115.9
GTEX-1F6IF-0926-SM-7SB7M 60-69 years, male 114.9
GTEX-1HCUA-0826-SM-ADEHM 50-59 years, female 114.0
GTEX-11O72-0626-SM-5PNYE 40-49 years, male 113.7
GTEX-ZF3C-0626-SM-DO92O 50-59 years, female 113.6
GTEX-X8HC-0626-SM-4E3HQ 50-59 years, female 112.7
GTEX-ZVP2-0326-SM-57WBP 50-59 years, male 111.9
GTEX-YJ8O-2526-SM-5HL85 40-49 years, female 111.0
GTEX-X585-2426-SM-46MW2 50-59 years, male 110.1
GTEX-ZDTS-0826-SM-4WKHL 60-69 years, male 110.0
GTEX-XBEC-0726-SM-4QARZ 50-59 years, male 109.9
GTEX-13OVJ-0826-SM-5J1OK 50-59 years, female 109.1
GTEX-12ZZZ-0726-SM-5GCNZ 60-69 years, male 108.2
GTEX-13OVG-1626-SM-5J1NF 60-69 years, male 106.7
GTEX-1EX96-1026-SM-7MKG2 50-59 years, male 106.7
GTEX-13O3O-2326-SM-5IJD6 60-69 years, female 105.8
GTEX-1JMQL-2226-SM-CNPP4 50-59 years, female 105.7
GTEX-WXYG-2026-SM-4E3IY 50-59 years, female 104.7
GTEX-1GZHY-0626-SM-9KNVC 50-59 years, female 104.5
GTEX-11DXY-0126-SM-5H11Q 60-69 years, male 103.9
GTEX-16YQH-2226-SM-7IGM2 30-39 years, male 103.9
GTEX-1I19N-0126-SM-CYPSF 70-79 years, male 102.8
GTEX-ZA64-1026-SM-5HL8R 20-29 years, male 102.5
GTEX-17EVQ-0126-SM-7IGLR 70-79 years, male 102.4
GTEX-18A66-0626-SM-7LT8Z 60-69 years, male 102.3
GTEX-14PJO-2526-SM-6AJBQ 60-69 years, male 102.0
GTEX-YF7O-1526-SM-5IFI6 50-59 years, male 101.8
GTEX-15D1Q-2826-SM-6LLH7 40-49 years, male 101.7
GTEX-11ZTT-2126-SM-5CVLO 60-69 years, female 101.6
GTEX-1H1ZS-2726-SM-9WG75 70-79 years, male 101.6
GTEX-13N2G-0226-SM-5K7VF 60-69 years, male 101.5
GTEX-13JUV-2026-SM-5K7UA 40-49 years, female 101.3
GTEX-139TU-0726-SM-5L3EK 60-69 years, male 101.2
GTEX-11NSD-0626-SM-5A5LU 20-29 years, male 101.0
GTEX-1IDJD-2326-SM-ACKWX 30-39 years, male 100.9
GTEX-16NPX-0726-SM-7KULC 50-59 years, male 100.7
GTEX-18D9B-0926-SM-7LG4U 60-69 years, male 100.1
GTEX-1JMQI-1726-SM-ARL93 50-59 years, male 99.5
GTEX-111FC-2526-SM-5GZXU 60-69 years, male 99.4
GTEX-12WSL-2026-SM-5GCML 50-59 years, male 99.0
GTEX-1GTWX-2026-SM-9YFLM 60-69 years, male 98.9
GTEX-147F3-1726-SM-5SIAW 50-59 years, female 98.7
GTEX-1HCU8-2526-SM-CE6RX 60-69 years, female 98.7
GTEX-ZE7O-2726-SM-51MT5 50-59 years, female 98.6
GTEX-1LVAO-2726-SM-E9TJ8 60-69 years, male 98.5
GTEX-Y3IK-1626-SM-4YCF5 50-59 years, female 98.4
GTEX-ZLWG-0826-SM-59888 50-59 years, female 98.4
GTEX-1QCLZ-2426-SM-EVYBW 60-69 years, female 98.3
GTEX-1F48J-0726-SM-7RHGS 50-59 years, female 98.2
GTEX-1M4P7-0726-SM-E6CJ3 60-69 years, male 98.1
GTEX-Y5V6-2326-SM-4VDSA 60-69 years, male 97.7
GTEX-139TS-2126-SM-5K7XC 60-69 years, male 97.6
GTEX-1J8Q3-0526-SM-ARL8U 60-69 years, male 97.6
GTEX-XBED-1926-SM-47JYP 60-69 years, male 97.5
GTEX-12WSF-1626-SM-7KUG5 70-79 years, male 97.3
GTEX-15SHW-0226-SM-7LTAT 60-69 years, male 96.8
GTEX-1314G-1326-SM-5BC6E 30-39 years, male 96.4
GTEX-ZAJG-1526-SM-5CVML 50-59 years, female 95.4
GTEX-1ICLZ-0326-SM-ARL82 60-69 years, male 95.0
GTEX-1HSMO-0626-SM-ACKXC 60-69 years, male 94.9
GTEX-1I4MK-0126-SM-CY8G6 50-59 years, female 94.8
GTEX-17F9E-2326-SM-79OKD 50-59 years, male 94.5
GTEX-ZAB4-2126-SM-5HL8U 40-49 years, male 94.5
GTEX-WHPG-2626-SM-3NMBR 50-59 years, male 93.5
GTEX-1HFI6-0126-SM-CNPPI 40-49 years, male 93.2
GTEX-ZTSS-1426-SM-5985P 40-49 years, male 92.9
GTEX-13RTJ-0126-SM-5S2NN 60-69 years, male 92.8
GTEX-15EO6-2426-SM-6PALZ 50-59 years, male 92.8
GTEX-13N11-2326-SM-5IJBF 50-59 years, female 91.5
GTEX-146FQ-2126-SM-5RQHU 30-39 years, male 91.3
GTEX-131XW-0626-SM-5PNVD 50-59 years, female 91.2
GTEX-16MTA-0926-SM-6M47Z 50-59 years, male 91.0
GTEX-WFG8-2126-SM-3GIKQ 20-29 years, male 90.4
GTEX-13JVG-0726-SM-5KM16 60-69 years, male 90.2
GTEX-145MO-2826-SM-5LU96 60-69 years, male 90.2
GTEX-14E6C-2426-SM-5S2NF 40-49 years, male 89.8
GTEX-16XZZ-0726-SM-7KUF2 60-69 years, male 89.8
GTEX-12126-0826-SM-5FQTZ 20-29 years, male 89.7
GTEX-1J8JJ-0626-SM-ARZMQ 60-69 years, female 89.6
GTEX-1A32A-0626-SM-731AQ 50-59 years, female 89.4
GTEX-139D8-1126-SM-5LU8W 30-39 years, female 89.3
GTEX-15CHR-1126-SM-7EWF4 50-59 years, male 89.1
GTEX-13U4I-2226-SM-5LU5H 40-49 years, female 88.9
GTEX-11DXZ-2026-SM-5987S 50-59 years, male 88.8
GTEX-183FY-1026-SM-7939A 20-29 years, male 88.7
GTEX-14JG6-1426-SM-9WG7C 30-39 years, female 88.6
GTEX-13FTW-0326-SM-5K7UW 40-49 years, male 88.3
GTEX-W5X1-2526-SM-3GILC 40-49 years, female 88.3
GTEX-1R9K4-2826-SM-DTX8F 60-69 years, male 88.0
GTEX-ZGAY-1826-SM-DO91Q 40-49 years, female 88.0
GTEX-147JS-0226-SM-5S2U9 60-69 years, male 87.9
GTEX-ZT9W-1126-SM-57WDR 50-59 years, male 87.9
GTEX-11GSP-2326-SM-5HL63 60-69 years, female 87.5
GTEX-11OF3-0126-SM-5PNYF 60-69 years, male 87.5
GTEX-17HHY-0426-SM-7DHLC 50-59 years, male 87.3
GTEX-1C475-1326-SM-7SB73 40-49 years, female 87.3
GTEX-1H23P-0626-SM-9WG6T 60-69 years, male 87.2
GTEX-1LGOU-1326-SM-D3L8M 20-29 years, female 87.2
GTEX-1HFI7-2326-SM-CGQFS 50-59 years, female 87.1
GTEX-139T8-0626-SM-5KLZX 60-69 years, male 86.9
GTEX-ZXG5-2126-SM-59HKD 60-69 years, male 86.7
GTEX-ZVE2-2826-SM-5GU51 50-59 years, male 86.4
GTEX-1F75A-0726-SM-7RHHD 50-59 years, male 86.1
GTEX-16GPK-0626-SM-7KFSF 60-69 years, male 86.0
GTEX-1MCC2-1826-SM-DIPEX 30-39 years, female 85.9
GTEX-12WSD-0626-SM-5GCMW 60-69 years, female 85.8
GTEX-ZDXO-3126-SM-5IJDF 60-69 years, male 85.8
GTEX-147F4-0726-SM-5TDDD 50-59 years, male 85.7
GTEX-17HGU-2326-SM-7DUFE 50-59 years, male 85.5
GTEX-ZZ64-1026-SM-5GZXG 20-29 years, male 85.4
GTEX-1IDJE-1426-SM-ADEIW 50-59 years, female 85.4
GTEX-1E2YA-2126-SM-7MXUO 50-59 years, male 85.0
GTEX-1AX9I-2226-SM-73KUO 60-69 years, male 84.7
GTEX-1I1GP-1326-SM-A9G28 50-59 years, male 84.5
GTEX-ZPU1-1126-SM-4YCF3 40-49 years, male 83.9
GTEX-15FZZ-0526-SM-7KUGD 30-39 years, female 83.8
GTEX-WHSE-0126-SM-3NMBT 20-29 years, male 83.7
GTEX-1IDJF-2026-SM-CL53V 20-29 years, male 83.1
GTEX-ZT9X-1526-SM-5DUXD 40-49 years, male 82.9
GTEX-18D9A-1426-SM-7LT8M 30-39 years, female 82.6
GTEX-14BMU-1226-SM-5S2OR 20-29 years, female 81.7
GTEX-1QEPI-2626-SM-DTXF4 60-69 years, female 81.4
GTEX-1B933-2426-SM-7DHMD 50-59 years, female 81.3
GTEX-1IDJC-1526-SM-B2LW4 50-59 years, male 81.2
GTEX-12584-0726-SM-5FQTK 40-49 years, male 81.1
GTEX-16Z82-2626-SM-7KULU 60-69 years, male 80.8
GTEX-1R9PN-0426-SM-DTXDT 40-49 years, female 80.8
GTEX-13OVL-0126-SM-5L3GJ 50-59 years, male 80.7
GTEX-13PVQ-0626-SM-5LU47 50-59 years, male 80.6
GTEX-Z93S-1626-SM-5CVMB 50-59 years, male 80.4
GTEX-13O61-1426-SM-5KM3D 60-69 years, male 80.0
GTEX-ZTX8-1326-SM-4YCEL 20-29 years, male 79.7
GTEX-1HKZK-0726-SM-ACKW2 40-49 years, male 79.6
GTEX-1HC8U-1326-SM-9YFMJ 40-49 years, female 79.5
GTEX-131YS-2826-SM-5EQ47 60-69 years, female 79.4
GTEX-13VXT-1926-SM-5K7UO 20-29 years, female 79.4
GTEX-13X6H-0926-SM-5SIB2 50-59 years, female 78.9
GTEX-12WSJ-1126-SM-5LZVJ 40-49 years, female 78.7
GTEX-ZDYS-2426-SM-4WKGI 50-59 years, male 78.6
GTEX-1S82U-1026-SM-E6CJK 30-39 years, female 78.6
GTEX-ZVTK-0226-SM-51MRG 20-29 years, male 78.5
GTEX-1LVAN-0626-SM-CNPOQ 50-59 years, female 78.5
GTEX-1IY9M-2826-SM-ARU8H 60-69 years, male 78.4
GTEX-WRHU-2826-SM-3MJG8 50-59 years, female 78.3
GTEX-1JMPZ-0726-SM-CY8HZ 30-39 years, male 78.1
GTEX-1KD5A-0126-SM-E9U54 50-59 years, male 78.0
GTEX-11P7K-1126-SM-5HL4L 30-39 years, male 77.8
GTEX-1JMOU-1026-SM-CYPSS 60-69 years, female 77.7
GTEX-1RB15-1326-SM-E76Q9 60-69 years, male 77.7
GTEX-13YAN-0226-SM-5TDC6 60-69 years, male 77.3
GTEX-14LZ3-0126-SM-69LPM 60-69 years, female 76.7
GTEX-1JN6P-2926-SM-CL54D 60-69 years, male 76.7
GTEX-ZYFC-0426-SM-5GICQ 50-59 years, male 76.5
GTEX-13112-0126-SM-5P9IU 50-59 years, male 76.4
GTEX-14PKV-1126-SM-6LLJ1 20-29 years, female 75.9
GTEX-1S82P-2126-SM-E6CI5 60-69 years, female 75.9
GTEX-16AAH-0626-SM-793C9 50-59 years, male 75.8
GTEX-YEC4-1826-SM-4W1YP 40-49 years, male 75.8
GTEX-1N2EE-0626-SM-E76PW 60-69 years, male 75.8
GTEX-1EKGG-0626-SM-7DUGJ 60-69 years, male 75.6
GTEX-12C56-1526-SM-5FQUQ 20-29 years, male 75.5
GTEX-1A3MW-0626-SM-731CB 60-69 years, female 75.3
GTEX-132AR-0326-SM-5KM2C 50-59 years, female 75.1
GTEX-14753-0726-SM-5QGQO 60-69 years, male 75.0
GTEX-1GMR2-0826-SM-7PC3V 50-59 years, male 75.0
GTEX-145LS-0626-SM-7EPG7 60-69 years, female 74.8
GTEX-1PIGE-1826-SM-E8VOU 20-29 years, male 74.6
GTEX-1O9I2-0226-SM-EYYXD 50-59 years, male 74.5
GTEX-ZU9S-1826-SM-5NQ9E 30-39 years, male 74.2
GTEX-1H1DG-2426-SM-9QEHJ 70-79 years, male 73.8
GTEX-1IDJH-0126-SM-D3L92 70-79 years, male 73.7
GTEX-WHWD-1826-SM-3LK6I 50-59 years, male 73.5
GTEX-XXEK-1626-SM-4BRUZ 50-59 years, male 73.4
GTEX-13OW5-2326-SM-5L3HO 60-69 years, male 73.3
GTEX-13OW8-1026-SM-5J1NQ 60-69 years, male 73.1
GTEX-13N1W-2426-SM-5IJD1 70-79 years, male 72.6
GTEX-1PDJ9-1226-SM-EXUSX 20-29 years, male 72.5
GTEX-14PHX-2226-SM-6EU2P 50-59 years, male 72.1
GTEX-133LE-2326-SM-5K7W3 20-29 years, female 72.0
GTEX-1192X-2726-SM-5N9DN 50-59 years, male 71.5
GTEX-1KAFJ-0126-SM-DIPEK 50-59 years, male 71.4
GTEX-1JN1M-2726-SM-CY8I4 60-69 years, female 70.9
GTEX-14ABY-2026-SM-62LDL 50-59 years, male 70.6
GTEX-11VI4-1126-SM-5EQMD 40-49 years, female 70.2
GTEX-ZC5H-1526-SM-5HL9Y 40-49 years, female 70.2
GTEX-178AV-1726-SM-7KUL8 40-49 years, male 70.1
GTEX-13SLX-2226-SM-62LEP 50-59 years, female 70.0
GTEX-1JKYR-0626-SM-ARL8R 20-29 years, male 69.8
GTEX-13OW7-0426-SM-5K7VK 50-59 years, male 69.4
GTEX-1CB4E-0926-SM-7EPHT 60-69 years, male 69.4
GTEX-1I6K6-1726-SM-CGQFD 30-39 years, male 69.4
GTEX-1KWVE-1026-SM-D3L9O 30-39 years, male 68.6
GTEX-1S831-1826-SM-EWROF 20-29 years, male 68.6
GTEX-XQ3S-1426-SM-4BOPR 20-29 years, male 68.2
GTEX-18A7A-0126-SM-731AH 50-59 years, female 68.0
GTEX-139YR-1026-SM-5LZYN 50-59 years, male 67.9
GTEX-13OVK-1426-SM-6PAN7 40-49 years, male 67.9
GTEX-139UW-0326-SM-5J1ML 60-69 years, male 67.5
GTEX-17F9Y-0126-SM-79OKX 70-79 years, female 67.5
GTEX-1JMQJ-0826-SM-CNPP7 50-59 years, male 67.5
GTEX-144FL-0626-SM-5LU43 50-59 years, male 67.3
GTEX-1ICG6-1226-SM-A9SLN 70-79 years, female 67.3
GTEX-WK11-2726-SM-3NMAQ 50-59 years, male 67.0
GTEX-14AS3-1526-SM-5Q5ED 40-49 years, female 66.7
GTEX-11P81-2226-SM-5PNYI 30-39 years, female 66.4
GTEX-12BJ1-0926-SM-5EQ62 60-69 years, male 66.3
GTEX-1212Z-0126-SM-59HK4 60-69 years, male 66.1
GTEX-1E1VI-0326-SM-793D1 50-59 years, male 66.1
GTEX-1C64O-1326-SM-7MGWR 60-69 years, male 65.7
GTEX-11WQC-1826-SM-5GU59 60-69 years, male 65.5
GTEX-1QP9N-1226-SM-E76QN 30-39 years, male 65.5
GTEX-12ZZX-2426-SM-5GCOE 40-49 years, female 65.4
GTEX-11EQ9-1626-SM-5PNY8 30-39 years, male 65.3
GTEX-18465-2826-SM-7LT9J 50-59 years, male 65.2
GTEX-17HG3-2626-SM-7DUF2 30-39 years, female 65.1
GTEX-1I6K7-1926-SM-B2LXR 40-49 years, male 64.9
GTEX-1RAZS-2526-SM-E6CHT 50-59 years, male 64.9
GTEX-1KANA-1326-SM-DIPFA 20-29 years, male 64.4
GTEX-1EMGI-2326-SM-7PBYA 60-69 years, male 64.1
GTEX-1LSNM-0826-SM-DIPG8 50-59 years, male 64.1
GTEX-1S3DN-2126-SM-E9TIN 50-59 years, male 63.8
GTEX-13PVR-0426-SM-5RQK2 60-69 years, female 63.7
GTEX-1HR98-2226-SM-ADEI2 60-69 years, male 63.6
GTEX-1I1GS-2626-SM-B2LY3 60-69 years, male 63.6
GTEX-1N5O9-0926-SM-E9J3C 60-69 years, male 63.4
GTEX-11UD2-2526-SM-5CVNU 50-59 years, male 63.3
GTEX-Y3I4-1726-SM-4TT89 50-59 years, male 63.3
GTEX-111YS-1526-SM-5GZYW 60-69 years, male 63.0
GTEX-XUW1-0926-SM-4BONX 50-59 years, female 63.0
GTEX-1LSVX-2526-SM-DIPEU 60-69 years, male 63.0
GTEX-12KS4-2126-SM-5FQUT 30-39 years, male 62.8
GTEX-WFG7-2026-SM-5SI7P 20-29 years, male 62.7
GTEX-ZVE1-0726-SM-51MRN 50-59 years, female 62.7
GTEX-1BAJH-2426-SM-7IGP8 70-79 years, male 62.6
GTEX-ZP4G-1426-SM-4WWCL 20-29 years, female 62.5
GTEX-15EU6-2226-SM-6EU2L 50-59 years, male 62.3
GTEX-14JG1-1526-SM-5YY9X 40-49 years, male 62.2
GTEX-15RIE-1926-SM-7KUKJ 60-69 years, male 62.2
GTEX-11EQ8-0926-SM-5H12V 60-69 years, male 62.0
GTEX-1EN7A-2426-SM-793DB 40-49 years, male 62.0
GTEX-13O3Q-0126-SM-5KM34 50-59 years, male 61.6
GTEX-1AX9J-1326-SM-731BJ 60-69 years, male 61.5
GTEX-YEC3-1326-SM-DO92X 50-59 years, male 61.5
GTEX-15CHQ-0326-SM-69LQD 60-69 years, male 61.4
GTEX-11NUK-2726-SM-5A5MC 50-59 years, male 61.3
GTEX-1L5NE-1126-SM-D3L9P 50-59 years, male 61.3
GTEX-11DZ1-2426-SM-5GZZX 50-59 years, male 60.8
GTEX-14ICL-1626-SM-5YYAO 30-39 years, male 60.5
GTEX-1GMR3-0126-SM-A9SLW 40-49 years, male 60.4
GTEX-1QW4Y-1126-SM-DTXE3 30-39 years, male 60.3
GTEX-ZUA1-2626-SM-5NQ92 40-49 years, male 60.2
GTEX-WH7G-2026-SM-3NMBL 40-49 years, male 60.1
GTEX-1KANC-1226-SM-CYPT7 50-59 years, female 60.1
GTEX-1N2DV-1526-SM-DTXEP 40-49 years, male 60.0
GTEX-Y111-0626-SM-4SOIT 50-59 years, male 59.8
GTEX-1HCU9-0426-SM-9WYSD 20-29 years, male 59.7
GTEX-13QBU-1226-SM-5LU4G 40-49 years, female 59.6
GTEX-ZVT4-2426-SM-5GIEI 50-59 years, female 59.5
GTEX-1GN1U-0626-SM-9MQL9 50-59 years, female 59.5
GTEX-1C64N-2626-SM-7PC2N 50-59 years, male 59.4
GTEX-16BQI-1326-SM-6M486 30-39 years, female 59.2
GTEX-1CB4H-1126-SM-7MKGL 60-69 years, female 58.9
GTEX-1RLM8-2926-SM-E8VON 50-59 years, male 58.9
GTEX-14PJ5-1526-SM-6LLIL 60-69 years, female 58.8
GTEX-13FTX-1526-SM-5K7VJ 20-29 years, female 58.7
GTEX-1A8G7-1326-SM-73KVM 60-69 years, male 58.6
GTEX-1JJEA-1826-SM-ARU8P 60-69 years, male 58.4
GTEX-12WSA-0426-SM-5EQ5X 60-69 years, male 58.0
GTEX-WFON-1926-SM-3LK7L 40-49 years, male 57.9
GTEX-139TT-2126-SM-5LZWC 60-69 years, male 57.7
GTEX-13NYB-0126-SM-5J1MD 40-49 years, male 57.4
GTEX-18D9U-0126-SM-731BM 40-49 years, male 57.2
GTEX-1GMR8-0626-SM-7RHI7 50-59 years, female 57.2
GTEX-ZPIC-0526-SM-DO91W 40-49 years, female 57.2
GTEX-11GS4-0226-SM-5HL77 60-69 years, male 57.1
GTEX-1CB4I-0126-SM-7RHGG 50-59 years, male 57.1
GTEX-1AX8Z-0726-SM-73KTS 60-69 years, male 57.0
GTEX-1IDFM-0326-SM-ARL7V 60-69 years, male 56.9
GTEX-ZPCL-1126-SM-4WWFE 60-69 years, female 56.8
GTEX-1GZ4H-0526-SM-9KNU9 50-59 years, female 56.8
GTEX-1J8QM-2426-SM-A9SLS 60-69 years, female 56.8
GTEX-1OJC3-1226-SM-DTXER 20-29 years, male 56.8
GTEX-18A6Q-0626-SM-7KFRP 60-69 years, male 56.6
GTEX-17MF6-2626-SM-79OKQ 40-49 years, male 56.4
GTEX-1K9T9-1526-SM-DIPFR 50-59 years, female 56.4
GTEX-1CB4F-1026-SM-7DUH1 60-69 years, male 56.1
GTEX-11TT1-1826-SM-5EQLV 20-29 years, male 56.0
GTEX-13OW6-2726-SM-5J2OE 50-59 years, male 55.9
GTEX-14E1K-2026-SM-7DUEI 50-59 years, male 55.9
GTEX-1LBAC-0826-SM-CY8IJ 20-29 years, male 55.9
GTEX-XPVG-2126-SM-4B667 50-59 years, male 55.8
GTEX-145MH-2826-SM-5RQJF 50-59 years, male 55.7
GTEX-1QP28-1126-SM-EVYC4 50-59 years, female 55.7
GTEX-1B8SF-0126-SM-7DUG3 60-69 years, male 55.5
GTEX-1F75I-2226-SM-7SB8U 40-49 years, male 55.4
GTEX-145LT-0526-SM-5LUB2 40-49 years, male 55.2
GTEX-1477Z-0326-SM-7IGLA 60-69 years, male 55.1
GTEX-14BIN-1126-SM-5RQJZ 50-59 years, female 54.8
GTEX-14PJ2-0626-SM-6LLII 50-59 years, male 54.8
GTEX-1F5PL-0926-SM-7PC2W 40-49 years, female 54.8
GTEX-1B8KE-1126-SM-7EPHI 50-59 years, male 54.6
GTEX-1HSMQ-2626-SM-A9SML 50-59 years, male 54.6
GTEX-1HSMP-0926-SM-A9SKX 70-79 years, male 54.5
GTEX-XYKS-1426-SM-4BRUO 60-69 years, female 54.0
GTEX-1JKYN-0826-SM-ARU8S 30-39 years, male 54.0
GTEX-1RAZA-2226-SM-E9U4X 20-29 years, male 54.0
GTEX-17HII-1426-SM-7EPGG 50-59 years, male 53.9
GTEX-1GL5R-1326-SM-7RHHF 50-59 years, male 53.9
GTEX-1GPI6-1926-SM-9KNV7 60-69 years, male 53.9
GTEX-13G51-1826-SM-5KLZH 60-69 years, male 53.7
GTEX-18QFQ-1826-SM-72D52 30-39 years, male 53.6
GTEX-1B8KZ-0326-SM-73KY4 50-59 years, male 53.6
GTEX-WYJK-0526-SM-3NM8Z 50-59 years, male 53.6
GTEX-17EVP-2626-SM-7IGMA 40-49 years, male 53.5
GTEX-1K2DA-1026-SM-CGQGF 50-59 years, male 53.5
GTEX-1GMRU-2126-SM-7P8RA 50-59 years, male 53.4
GTEX-1JJ6O-2726-SM-CNPOG 60-69 years, male 53.4
GTEX-1CAMQ-1326-SM-7P8RV 40-49 years, male 53.2
GTEX-1NSGN-0726-SM-DTXEF 50-59 years, male 53.2
GTEX-11ZU8-0126-SM-5EQ58 60-69 years, male 53.1
GTEX-1S5ZU-2526-SM-E6CIF 20-29 years, female 53.0
GTEX-14PJ6-2626-SM-6EU2T 60-69 years, female 52.8
GTEX-1H3O1-1326-SM-9MQLD 60-69 years, male 52.6
GTEX-1KXAM-1626-SM-D3LAD 60-69 years, male 52.5
GTEX-ZF29-0926-SM-4WKFZ 60-69 years, female 52.3
GTEX-1GN73-0726-SM-7P8TJ 60-69 years, male 52.2
GTEX-1QP66-1226-SM-DTX7U 50-59 years, male 52.2
GTEX-11WQK-1026-SM-5EQLX 50-59 years, male 52.1
GTEX-1F52S-2926-SM-7MKGA 60-69 years, female 52.0
GTEX-148VJ-0626-SM-5LUAW 70-79 years, male 51.3
GTEX-144GO-2026-SM-5O99P 60-69 years, male 51.1
GTEX-1CAMR-1326-SM-7PC1F 20-29 years, male 51.1
GTEX-1QP29-1826-SM-DTX9S 50-59 years, male 51.1
GTEX-12696-0126-SM-5EQ4L 60-69 years, male 51.0
GTEX-14JFF-0626-SM-5ZZVT 60-69 years, male 51.0
GTEX-1AYD5-2626-SM-7PBXY 50-59 years, male 51.0
GTEX-1J1R8-2026-SM-CL53Y 40-49 years, male 51.0
GTEX-13D11-0926-SM-5J2NC 50-59 years, female 50.8
GTEX-1JMQK-1226-SM-D4P2S 60-69 years, male 50.8
GTEX-XQ8I-0926-SM-4BOOF 50-59 years, male 50.7
GTEX-1C6WA-2626-SM-7MKGM 60-69 years, male 50.3
GTEX-1GPI7-1826-SM-9KNU1 20-29 years, male 50.3
GTEX-X4EP-0626-SM-3P621 60-69 years, female 50.0
GTEX-13X6J-0626-SM-5LU5F 50-59 years, male 49.9
GTEX-15G19-2426-SM-7KUMR 60-69 years, male 49.9
GTEX-16NGA-0726-SM-731AO 40-49 years, female 49.8
GTEX-117YX-1926-SM-5GIEC 50-59 years, male 49.7
GTEX-ZZPU-0826-SM-5GZX5 50-59 years, female 49.7
GTEX-14PKU-0126-SM-6LLHV 40-49 years, female 49.6
GTEX-1C6VQ-1226-SM-73KYD 50-59 years, male 49.6
GTEX-WY7C-2126-SM-3NB2R 50-59 years, male 49.5
GTEX-13FLV-0126-SM-5K7WT 50-59 years, male 49.4
GTEX-1LB8K-0726-SM-D5OV2 50-59 years, male 49.3
GTEX-1PPGY-1626-SM-EVYBL 60-69 years, male 49.0
GTEX-1B8L1-2226-SM-7P8PT 60-69 years, male 48.6
GTEX-1HSKV-1226-SM-ADEI4 60-69 years, male 48.5
GTEX-1RAZR-2126-SM-E9U6T 40-49 years, male 48.5
GTEX-131XF-2626-SM-5EQ6K 60-69 years, male 48.4
GTEX-17KNJ-2126-SM-718AM 50-59 years, male 48.4
GTEX-1IDJI-0126-SM-CMKHS 50-59 years, female 48.4
GTEX-131XG-0326-SM-5L3DX 50-59 years, female 48.3
GTEX-VJYA-1526-SM-3GIJV 60-69 years, male 47.8
GTEX-1H4P4-2126-SM-9WYSL 50-59 years, male 47.7
GTEX-1A3MX-2626-SM-7PC24 60-69 years, male 47.6
GTEX-1LG7Z-1626-SM-CXKYR 30-39 years, male 47.6
GTEX-1F75B-0726-SM-7PC3R 50-59 years, male 47.5
GTEX-1H1DF-1126-SM-9WG7G 40-49 years, female 47.3
GTEX-13NZ9-2626-SM-5L3FK 50-59 years, male 47.1
GTEX-1CAMS-2226-SM-7PBXQ 40-49 years, female 47.1
GTEX-1LVA9-2626-SM-EVYD4 50-59 years, male 47.1
GTEX-1GZ4I-2626-SM-9KNU3 50-59 years, male 47.0
GTEX-1QMI2-2526-SM-E8VNZ 60-69 years, male 46.9
GTEX-1IE54-1126-SM-A9G2Z 40-49 years, female 46.7
GTEX-1I1GV-0626-SM-ARL7M 60-69 years, male 46.6
GTEX-1QAET-0326-SM-EVR3U 50-59 years, male 46.6
GTEX-14LLW-2626-SM-62LDZ 70-79 years, female 46.4
GTEX-11LCK-2226-SM-5HL4Q 30-39 years, male 46.3
GTEX-VUSG-2326-SM-4KL1U 50-59 years, male 46.3
GTEX-12WSM-1926-SM-5BC65 60-69 years, male 46.1
GTEX-1PPH8-0126-SM-EWRN8 20-29 years, male 46.1
GTEX-1B97I-0626-SM-73KUZ 40-49 years, male 45.9
GTEX-1C2JI-1026-SM-73KY1 50-59 years, male 45.8
GTEX-ZTTD-2826-SM-4YCFA 50-59 years, male 45.8
GTEX-ZYVF-0926-SM-5E44J 50-59 years, female 45.6
GTEX-1H11D-1826-SM-9QEHM 40-49 years, male 45.6
GTEX-1JK1U-0226-SM-ARZMX 60-69 years, male 45.6
GTEX-13X6I-1826-SM-5SIAO 60-69 years, male 45.4
GTEX-YFCO-1226-SM-5LUAT 40-49 years, male 45.4
GTEX-1H3VE-0726-SM-9YFL5 40-49 years, male 45.4
GTEX-1QCLY-0226-SM-EWRNH 30-39 years, male 45.3
GTEX-1HB9E-0126-SM-CM2S5 50-59 years, male 45.2
GTEX-1J8EW-2726-SM-CY8HR 60-69 years, female 45.1
GTEX-1JMPY-0226-SM-CKZOK 30-39 years, male 44.9
GTEX-15UF6-1926-SM-7KUDV 70-79 years, female 44.6
GTEX-12ZZY-0726-SM-5EQ66 60-69 years, male 44.5
GTEX-1I1GT-1026-SM-ARZLV 60-69 years, female 44.5
GTEX-1A8G6-2726-SM-731AR 60-69 years, male 44.4
GTEX-1IKOE-1426-SM-CE6T7 30-39 years, female 44.4
GTEX-1HGF4-0126-SM-CNPPX 60-69 years, male 44.2
GTEX-183WM-0326-SM-72D5V 70-79 years, female 44.1
GTEX-1LG7Y-2526-SM-EWRO7 50-59 years, male 44.1
GTEX-1J8Q2-2626-SM-ACKWQ 60-69 years, male 44.0
GTEX-1I1HK-2326-SM-CKZOH 60-69 years, male 43.9
GTEX-14PJ3-1126-SM-5ZZVX 50-59 years, male 43.7
GTEX-WEY5-2326-SM-3GIKK 40-49 years, female 43.7
GTEX-111CU-1126-SM-5EGIM 50-59 years, male 43.4
GTEX-ZYT6-2326-SM-5GZY3 30-39 years, male 43.4
GTEX-14A6H-2026-SM-5Q5DD 30-39 years, male 42.9
GTEX-15SKB-2826-SM-6PAMH 60-69 years, male 42.9
GTEX-13FTY-2126-SM-5IFFB 40-49 years, female 42.8
GTEX-1EU9M-1426-SM-793AI 60-69 years, male 42.8
GTEX-14DAQ-0626-SM-793DS 60-69 years, female 42.6
GTEX-12WSC-2826-SM-5BC5Y 50-59 years, male 42.1
GTEX-12WSK-2126-SM-5CVNC 40-49 years, female 42.1
GTEX-14C38-0726-SM-5SI6M 50-59 years, male 42.1
GTEX-11TUW-0626-SM-5LU9M 60-69 years, male 42.0
GTEX-16MT9-0126-SM-7EPI8 60-69 years, female 42.0
GTEX-1GF9U-2026-SM-7SB92 40-49 years, female 42.0
GTEX-13X6K-0626-SM-5LU5D 60-69 years, female 41.9
GTEX-1GN2E-0226-SM-9WG6K 60-69 years, male 41.9
GTEX-1S83E-1326-SM-E6CJM 40-49 years, male 41.7
GTEX-17HHE-1326-SM-7EWDZ 50-59 years, male 41.6
GTEX-1269C-0126-SM-5EQ5L 60-69 years, female 41.5
GTEX-1GN1W-2426-SM-9KNUU 50-59 years, female 41.5
GTEX-1KANB-2826-SM-CY8I6 50-59 years, male 41.3
GTEX-1399U-1126-SM-5L3DB 50-59 years, female 41.2
GTEX-1B932-2326-SM-79OL5 40-49 years, female 41.0
GTEX-13VXU-0626-SM-5L3F9 50-59 years, male 40.8
GTEX-1JJE9-2626-SM-ARZMT 70-79 years, male 40.4
GTEX-XAJ8-1426-SM-47JYM 40-49 years, male 39.8
GTEX-1HCVE-2726-SM-CL54F 50-59 years, male 39.8
GTEX-14PHY-1226-SM-5ZZWK 60-69 years, female 39.7
GTEX-1GF9V-0826-SM-9KNUV 60-69 years, male 39.7
GTEX-1IL2V-1926-SM-B2LW8 70-79 years, male 39.3
GTEX-1PIIG-2326-SM-DTXFR 30-39 years, male 39.3
GTEX-1PPH7-1126-SM-DTX9A 40-49 years, male 39.1
GTEX-1A3MV-1826-SM-731CD 30-39 years, male 39.0
GTEX-1I1CD-0626-SM-CE6SW 60-69 years, female 39.0
GTEX-UPK5-0426-SM-3GAEK 40-49 years, male 38.9
GTEX-ZVT2-0126-SM-5GIDQ 50-59 years, female 38.7
GTEX-14C39-1726-SM-5RQIL 40-49 years, male 38.6
GTEX-14E6E-0526-SM-793DN 30-39 years, male 38.6
GTEX-XMD2-2126-SM-4YCF8 60-69 years, female 38.6
GTEX-11P82-1426-SM-DTXFY 20-29 years, male 38.6
GTEX-17F98-1326-SM-7DUEP 40-49 years, female 38.2
GTEX-15RIG-0726-SM-7KUM7 40-49 years, male 38.1
GTEX-YECK-0326-SM-4W1YS 60-69 years, male 38.0
GTEX-144GM-0526-SM-79OJO 20-29 years, male 37.6
GTEX-145MI-0626-SM-5SI8S 60-69 years, female 37.4
GTEX-14C5O-0326-SM-5ZZUX 60-69 years, male 37.0
GTEX-15DDE-2926-SM-6LLJ3 50-59 years, female 36.9
GTEX-144GL-0626-SM-5LU4D 50-59 years, male 36.8
GTEX-1QPFJ-1926-SM-EVYBD 30-39 years, female 36.6
GTEX-ZLV1-1526-SM-DO91J 60-69 years, female 36.5
GTEX-1IKJJ-2226-SM-CJI4C 60-69 years, male 36.2
GTEX-1IOXB-2726-SM-CM2RI 50-59 years, male 36.2
GTEX-1H1DE-1326-SM-9KNUG 20-29 years, male 36.1
GTEX-15CHC-1126-SM-6LLHQ 60-69 years, female 36.0
GTEX-1F88F-0126-SM-9WYSZ 60-69 years, female 35.6
GTEX-1K2DU-1226-SM-CYPT4 20-29 years, male 35.5
GTEX-11DXX-2126-SM-5PNYR 60-69 years, female 35.4
GTEX-1EH9U-2826-SM-7DUGT 60-69 years, male 35.3
GTEX-13FHO-0426-SM-5L3F5 60-69 years, male 35.2
GTEX-15RJE-2826-SM-7KUM9 40-49 years, male 35.2
GTEX-13OVH-0526-SM-5L3E6 70-79 years, male 34.7
GTEX-13IVO-0726-SM-5LZYV 70-79 years, male 34.5
GTEX-14BMV-2826-SM-5TDED 50-59 years, male 34.4
GTEX-17MFQ-1526-SM-7KFRR 20-29 years, male 34.4
GTEX-145LU-1926-SM-79OJN 50-59 years, male 34.3
GTEX-1122O-1026-SM-9WYSF 60-69 years, female 34.1
GTEX-13NYC-0126-SM-5L3F4 60-69 years, male 34.0
GTEX-1CB4J-1326-SM-7P8RX 60-69 years, male 34.0
GTEX-1LSNL-2726-SM-E9TKJ 50-59 years, male 34.0
GTEX-1HSGN-0826-SM-ACKW3 40-49 years, female 33.8
GTEX-1IDJV-0126-SM-COH3Y 60-69 years, male 33.5
GTEX-1LGRB-0926-SM-COH3K 50-59 years, female 33.1
GTEX-14PJN-1826-SM-6AJ98 30-39 years, male 32.9
GTEX-1LVAM-0726-SM-E6CIL 50-59 years, female 32.9
GTEX-ZDTT-0426-SM-4WKFL 60-69 years, male 32.8
GTEX-14PII-0726-SM-6EU2B 60-69 years, male 32.7
GTEX-ZWKS-0626-SM-5GIDV 30-39 years, male 32.6
GTEX-1OJC4-2726-SM-E76PJ 50-59 years, female 32.6
GTEX-147GR-2426-SM-5ZZWQ 60-69 years, male 32.1
GTEX-XV7Q-1826-SM-4BRUV 40-49 years, female 32.1
GTEX-1PBJJ-1026-SM-E76OS 30-39 years, male 31.8
GTEX-11ZUS-2626-SM-5FQUR 30-39 years, male 31.7
GTEX-Y5LM-0926-SM-6LLJG 40-49 years, female 31.5
GTEX-1HR9M-2226-SM-CNPPY 60-69 years, male 31.2
GTEX-1HBPI-2126-SM-ARL9K 50-59 years, male 31.1
GTEX-13PL6-1126-SM-5L3IE 40-49 years, female 30.9
GTEX-WHSB-1326-SM-3LK6W 50-59 years, male 30.9
GTEX-1HBPM-0726-SM-9YFL7 60-69 years, female 30.8
GTEX-1RMOY-1326-SM-E9TIH 50-59 years, male 30.8
GTEX-1ICLY-0826-SM-CMKG1 50-59 years, male 30.5
GTEX-1313W-0626-SM-5EQ4H 50-59 years, female 30.3
GTEX-13W3W-0726-SM-5IJDQ 60-69 years, female 30.2
GTEX-UPJH-0226-SM-3GADV 50-59 years, male 30.2
GTEX-13QJC-0126-SM-5ZZWJ 60-69 years, female 29.9
GTEX-15ER7-0626-SM-6PANF 20-29 years, female 29.9
GTEX-1F88E-1626-SM-7SB8Z 60-69 years, female 29.9
GTEX-1POEN-2326-SM-E9J2L 30-39 years, female 29.9
GTEX-145MF-0926-SM-5Q5EA 50-59 years, male 29.7
GTEX-ZY6K-1426-SM-5GZX2 50-59 years, male 29.5
GTEX-15G1A-1626-SM-7KUKN 30-39 years, male 29.0
GTEX-1AMFI-1326-SM-7939R 50-59 years, female 28.5
GTEX-ZYY3-2926-SM-5GIEB 60-69 years, female 28.5
GTEX-1HT8W-0626-SM-A9G2H 30-39 years, male 28.0
GTEX-13NYS-0626-SM-5L3F1 60-69 years, male 27.7
GTEX-1AMEY-0826-SM-72D65 30-39 years, female 27.7
GTEX-1C6VR-0126-SM-7RHGB 60-69 years, male 27.4
GTEX-13NZ8-1226-SM-5KM4A 60-69 years, female 27.3
GTEX-1I1GU-0926-SM-ACKVS 40-49 years, male 27.1
GTEX-1R9PM-1926-SM-EVR3O 20-29 years, male 27.1
GTEX-ZE9C-2526-SM-5IJDR 60-69 years, male 27.0
GTEX-1HBPN-0126-SM-CGQEF 50-59 years, male 26.7
GTEX-111VG-1626-SM-5EGIO 60-69 years, male 26.6
GTEX-1R7EU-1626-SM-DTXG3 60-69 years, male 26.0
GTEX-14PJ4-0226-SM-5YY92 60-69 years, male 25.9
GTEX-1LKK1-2626-SM-DKPQE 50-59 years, female 25.8
GTEX-1IDJU-1726-SM-CMKHU 60-69 years, female 25.5
GTEX-1HCU7-0726-SM-A9SL1 50-59 years, male 25.0
GTEX-14XAO-1226-SM-6EU1C 60-69 years, female 24.7
GTEX-18A67-1626-SM-7LT9T 50-59 years, male 23.8
GTEX-V1D1-2026-SM-3GAF4 50-59 years, male 23.8
GTEX-1JN76-0626-SM-CKZOQ 20-29 years, female 23.7
GTEX-1J1OQ-0126-SM-D4P2N 40-49 years, female 23.6
GTEX-11PRG-0726-SM-5EGL1 50-59 years, male 23.5
GTEX-14B4R-1326-SM-5Q5EZ 30-39 years, male 22.6
GTEX-1QP2A-1726-SM-E76QC 50-59 years, male 22.5
GTEX-1RAZQ-1326-SM-E9TK6 30-39 years, male 22.1
GTEX-1H1E6-0426-SM-9WYUS 30-39 years, male 21.2
GTEX-ZVZP-1226-SM-5GID7 50-59 years, male 21.0
GTEX-1R46S-2426-SM-E76QA 60-69 years, female 20.9
GTEX-13PDP-0726-SM-5L3HP 60-69 years, male 20.4
GTEX-13SLW-0626-SM-5Q5ER 70-79 years, male 20.4
GTEX-1399Q-2326-SM-5KM2X 40-49 years, male 20.0
GTEX-1GF9X-1326-SM-7PC2Y 40-49 years, female 19.9
GTEX-1F6RS-2026-SM-7RHHC 60-69 years, female 19.3
GTEX-1F5PK-2226-SM-7SB6N 50-59 years, male 17.9
GTEX-Y9LG-1126-SM-4VBQ7 30-39 years, male 17.5
GTEX-1H2FU-0926-SM-9WPPT 60-69 years, female 15.8
GTEX-1399S-0126-SM-5IJCF 30-39 years, female 15.5
GTEX-1MCYP-0526-SM-E9U6Q 20-29 years, female 15.0
GTEX-1GN1V-2826-SM-9JGIA 60-69 years, male 13.0
GTEX-1NV5F-0626-SM-DTXEG 60-69 years, female 9.7
Show allShow less
Skin - Sun Exposed (Lower leg)
Average nTPM: 88.9
Samples: 701

Max nTPM: 303.1
Min nTPM: 9.4
Std nTPM: 47.4
Median nTPM: 79.0
GTEX-12WSD-0126-SM-59HKN 60-69 years, female 303.1
GTEX-1HBPH-0426-SM-B2LW5 40-49 years, female 286.4
GTEX-11GSP-2526-SM-5N9BP 60-69 years, female 256.2
GTEX-1N2DV-0226-SM-E6CJ6 40-49 years, male 254.7
GTEX-113IC-0126-SM-5HL6T 60-69 years, male 253.6
GTEX-1HCU6-0126-SM-CL54K 60-69 years, female 246.6
GTEX-OXRP-0126-SM-3NB32 60-69 years, female 244.4
GTEX-1CAV2-2226-SM-7P8P2 40-49 years, female 244.4
GTEX-RTLS-0126-SM-447CA 60-69 years, female 244.3
GTEX-14JIY-0126-SM-6LLH6 60-69 years, male 234.3
GTEX-RUSQ-1526-SM-2TF62 50-59 years, male 224.1
GTEX-1QP67-1626-SM-EAZ3X 40-49 years, female 221.4
GTEX-ZVT3-0126-SM-5GU6I 60-69 years, female 218.3
GTEX-11ZTT-2426-SM-5EQLS 60-69 years, female 217.2
GTEX-ZYW4-0126-SM-5E44A 60-69 years, male 213.8
GTEX-146FR-1326-SM-E9J48 60-69 years, female 210.4
GTEX-ZDXO-3026-SM-5J1N5 60-69 years, male 205.2
GTEX-13O1R-0126-SM-5L3EH 60-69 years, male 202.8
GTEX-1399U-2326-SM-5K7WY 50-59 years, female 202.0
GTEX-1B933-0126-SM-7PC29 50-59 years, female 201.7
GTEX-QDT8-0126-SM-48TZ1 30-39 years, female 200.0
GTEX-11ZVC-2526-SM-5FQTE 50-59 years, female 195.8
GTEX-146FH-0126-SM-5QGPP 50-59 years, female 195.6
GTEX-1HUB1-0426-SM-E9U4U 60-69 years, male 193.5
GTEX-1MA7X-2226-SM-E6CIY 60-69 years, male 193.5
GTEX-X8HC-0126-SM-4E3JW 50-59 years, female 193.0
GTEX-ZE7O-0126-SM-57WC1 50-59 years, female 192.0
GTEX-14PK6-1926-SM-6ETZU 70-79 years, female 189.5
GTEX-ZAJG-0126-SM-5HL94 50-59 years, female 188.4
GTEX-14E6C-0126-SM-5RQIP 40-49 years, male 186.5
GTEX-Y114-2426-SM-4TT8A 50-59 years, female 186.0
GTEX-131XG-2626-SM-5KM17 50-59 years, female 185.9
GTEX-11P82-1626-SM-59879 20-29 years, male 184.7
GTEX-15EOM-0126-SM-7KUGG 20-29 years, female 183.4
GTEX-1LNCM-1126-SM-E9U5E 50-59 years, female 183.0
GTEX-144GN-2326-SM-5LU4F 50-59 years, male 182.9
GTEX-XUW1-0426-SM-4BOOT 50-59 years, female 180.7
GTEX-13G51-2526-SM-5LZYK 60-69 years, male 179.7
GTEX-Y8LW-1826-SM-5S2MV 50-59 years, female 179.4
GTEX-17HII-0226-SM-7LG4E 50-59 years, male 179.3
GTEX-O5YW-0126-SM-3LK6D 50-59 years, male 178.4
GTEX-147F4-0226-SM-5QGPW 50-59 years, male 176.2
GTEX-Y111-0126-SM-4SOIV 50-59 years, male 176.0
GTEX-ZDTS-0126-SM-4WAY5 60-69 years, male 171.3
GTEX-X4EO-0326-SM-3P5YO 60-69 years, female 171.0
GTEX-14LLW-0126-SM-6LLIO 70-79 years, female 170.1
GTEX-15SHW-0326-SM-6PAML 60-69 years, male 168.6
GTEX-YFC4-0126-SM-5CVLY 40-49 years, female 167.8
GTEX-Z93T-0126-SM-5HL5N 50-59 years, male 167.0
GTEX-1C6WA-0126-SM-7PC2B 60-69 years, male 165.8
GTEX-1OJC4-0126-SM-E9J2E 50-59 years, female 165.4
GTEX-OXRO-0126-SM-2YUN4 60-69 years, female 165.3
GTEX-14PJM-0226-SM-62LF1 50-59 years, female 165.0
GTEX-11GS4-2726-SM-5A5LE 60-69 years, male 164.3
GTEX-S33H-1026-SM-EZ6L6 30-39 years, male 164.2
GTEX-OOBJ-0126-SM-E6CJW 60-69 years, male 161.9
GTEX-132NY-0326-SM-5IJBL 60-69 years, male 161.6
GTEX-13N11-2526-SM-5K7UE 50-59 years, female 160.1
GTEX-R55E-0126-SM-2TC5Y 20-29 years, male 159.8
GTEX-T2IS-0126-SM-4DM6O 20-29 years, female 159.1
GTEX-1F6I4-0126-SM-9MQL2 60-69 years, male 158.3
GTEX-11EMC-2926-SM-5EQ4F 60-69 years, female 157.7
GTEX-RU72-0926-SM-2TF6B 50-59 years, female 156.2
GTEX-13OW7-0126-SM-5MR3B 50-59 years, male 155.7
GTEX-1RLM8-2326-SM-EWRN4 50-59 years, male 155.3
GTEX-ZF28-0126-SM-4WKGK 60-69 years, male 154.8
GTEX-11EM3-2426-SM-59861 20-29 years, female 154.2
GTEX-11TTK-0126-SM-5987B 60-69 years, female 153.9
GTEX-1C6VQ-0126-SM-7P8RI 50-59 years, male 153.8
GTEX-13N1W-0126-SM-5K7VT 70-79 years, male 153.4
GTEX-13OVJ-0126-SM-5KM36 50-59 years, female 153.4
GTEX-1QW4Y-1526-SM-EAZ3Z 30-39 years, male 152.8
GTEX-OXRL-0126-SM-2YUMP 50-59 years, male 151.8
GTEX-X5EB-2226-SM-46MW4 40-49 years, male 150.1
GTEX-1AYD5-2426-SM-73KXR 50-59 years, male 149.9
GTEX-1313W-0126-SM-5LZUN 50-59 years, female 149.5
GTEX-ZVTK-0426-SM-51MRS 20-29 years, male 149.5
GTEX-1211K-2026-SM-5EQ4Z 60-69 years, female 148.9
GTEX-13OVL-0226-SM-5L3E9 50-59 years, male 148.2
GTEX-145MO-0326-SM-5Q5B3 60-69 years, male 147.7
GTEX-17HHY-0126-SM-7LG5D 50-59 years, male 147.6
GTEX-1GPI6-0126-SM-9WG69 60-69 years, male 147.4
GTEX-1QEPI-0126-SM-EWRMQ 60-69 years, female 147.4
GTEX-1AYCT-2426-SM-7IGQ3 50-59 years, male 145.4
GTEX-1HSMO-0126-SM-CL547 60-69 years, male 144.9
GTEX-1GN1V-0126-SM-9WPOS 60-69 years, male 144.3
GTEX-X638-0126-SM-47JZ8 70-79 years, female 144.2
GTEX-1KANB-0526-SM-E6CJH 50-59 years, male 144.2
GTEX-117YW-2626-SM-5GZZH 50-59 years, male 143.9
GTEX-1EKGG-0226-SM-9WYTH 60-69 years, male 143.9
GTEX-14753-0426-SM-5NQAM 60-69 years, male 143.7
GTEX-WI4N-1026-SM-3LK7N 40-49 years, female 142.6
GTEX-11UD1-0126-SM-5PNYG 40-49 years, female 142.0
GTEX-12C56-1726-SM-5EQ61 20-29 years, male 141.3
GTEX-139TS-2826-SM-5J1OO 60-69 years, male 141.0
GTEX-11H98-0126-SM-5EGHG 50-59 years, male 140.7
GTEX-139TT-0126-SM-5K7Y5 60-69 years, male 140.3
GTEX-U8T8-0126-SM-3DB94 60-69 years, male 138.1
GTEX-17EVQ-0226-SM-7LG4P 70-79 years, male 136.8
GTEX-13CF2-2526-SM-5LZYX 60-69 years, male 136.7
GTEX-15DYW-0126-SM-7KULE 60-69 years, female 136.7
GTEX-1PPH7-2326-SM-EVYB8 40-49 years, male 136.5
GTEX-148VJ-0126-SM-5TDDN 70-79 years, male 136.0
GTEX-1GN73-0226-SM-9WG67 60-69 years, male 135.9
GTEX-ZEX8-2426-SM-4WKG4 50-59 years, male 135.0
GTEX-13OVI-1426-SM-5L3EY 60-69 years, female 134.7
GTEX-XXEK-2226-SM-4BRUM 50-59 years, male 134.7
GTEX-ZYFD-0126-SM-5GIDL 50-59 years, male 134.4
GTEX-WY7C-2326-SM-3NB2U 50-59 years, male 134.0
GTEX-1RB15-2126-SM-E9TIM 60-69 years, male 133.5
GTEX-PLZ4-0126-SM-5SI8O 50-59 years, female 132.7
GTEX-13OVG-1926-SM-5L3DK 60-69 years, male 132.3
GTEX-13O21-1426-SM-5K7XI 50-59 years, male 131.5
GTEX-1IY9M-0126-SM-D3L8S 60-69 years, male 131.1
GTEX-13O3O-0126-SM-E9J49 60-69 years, female 130.9
GTEX-ZAK1-0126-SM-5IJD3 50-59 years, female 130.6
GTEX-1A32A-0126-SM-718B1 50-59 years, female 130.3
GTEX-Q734-1926-SM-2I5EV 40-49 years, female 130.3
GTEX-WH7G-2326-SM-3NMBC 40-49 years, male 130.0
GTEX-13RTL-0126-SM-7LG5S 40-49 years, male 129.9
GTEX-1RQEC-0426-SM-E6CHU 60-69 years, male 128.5
GTEX-1GTWX-0126-SM-9YFLK 60-69 years, male 127.8
GTEX-1J8JJ-0226-SM-CL53I 60-69 years, female 127.5
GTEX-145MN-2226-SM-5SIAU 30-39 years, male 127.4
GTEX-146FQ-0126-SM-5NQA9 30-39 years, male 127.4
GTEX-13VXU-0126-SM-5SI9F 50-59 years, male 127.0
GTEX-1PBJI-0526-SM-E8VNK 20-29 years, female 126.6
GTEX-Y3IK-2426-SM-4WWDU 50-59 years, female 126.4
GTEX-148VI-1626-SM-5SI6E 60-69 years, female 126.2
GTEX-1JMOU-1526-SM-CL54I 60-69 years, female 125.6
GTEX-1GZHY-0326-SM-9QEHI 50-59 years, female 125.1
GTEX-OXRK-0226-SM-3NB2G 50-59 years, female 125.0
GTEX-1HSMP-0126-SM-E6CJS 70-79 years, male 124.9
GTEX-12KS4-0326-SM-5EQ41 30-39 years, male 124.8
GTEX-13D11-2426-SM-5KM1V 50-59 years, female 124.5
GTEX-131YS-0126-SM-5KM1M 60-69 years, female 124.0
GTEX-Q2AI-1326-SM-2S1PL 40-49 years, male 124.0
GTEX-1M4P7-0226-SM-DIPEV 60-69 years, male 124.0
GTEX-ZC5H-0226-SM-4WAY9 40-49 years, female 123.9
GTEX-RN64-0126-SM-2TC68 50-59 years, male 122.7
GTEX-111VG-2426-SM-5GZXD 60-69 years, male 122.5
GTEX-11DXX-2426-SM-5GZZW 60-69 years, female 122.2
GTEX-13X6H-2126-SM-7EWD5 50-59 years, female 121.8
GTEX-14PN4-0126-SM-6EU2V 50-59 years, male 121.8
GTEX-XUYS-0126-SM-47JWZ 50-59 years, male 121.8
GTEX-ZF29-2326-SM-DO92K 60-69 years, female 121.7
GTEX-1RAZA-0126-SM-E6CI3 20-29 years, male 121.5
GTEX-QEG4-0226-SM-2S1PY 30-39 years, male 121.3
GTEX-11NUK-0126-SM-5A5L3 50-59 years, male 121.2
GTEX-YJ8A-0426-SM-5IFID 20-29 years, male 121.2
GTEX-Y3I4-2126-SM-4TT7C 50-59 years, male 120.8
GTEX-1IDFM-0126-SM-COH2V 60-69 years, male 120.4
GTEX-ZQG8-1626-SM-DHXIT 60-69 years, female 120.4
GTEX-ZDYS-2026-SM-5HL5L 50-59 years, male 120.3
GTEX-15SDE-2226-SM-7IGLO 50-59 years, female 119.9
GTEX-1C6VS-0526-SM-7DUEN 60-69 years, male 119.9
GTEX-1AX9I-0126-SM-7SB74 60-69 years, male 119.5
GTEX-ZUA1-0126-SM-5GU76 40-49 years, male 119.4
GTEX-S7PM-0126-SM-4AD6S 60-69 years, male 119.0
GTEX-1F48J-0126-SM-7P8TT 50-59 years, female 119.0
GTEX-13SLX-0526-SM-5S2ON 50-59 years, female 118.9
GTEX-14BIL-0126-SM-5SI92 50-59 years, male 118.7
GTEX-QDVN-2026-SM-3GAEP 50-59 years, male 118.7
GTEX-11ZUS-0626-SM-59885 30-39 years, male 118.4
GTEX-WYVS-2126-SM-3NMA3 40-49 years, female 117.9
GTEX-13U4I-0126-SM-5LU38 40-49 years, female 117.8
GTEX-1IE54-0126-SM-CMKHW 40-49 years, female 117.8
GTEX-113JC-2326-SM-5EQ4E 50-59 years, female 117.7
GTEX-1192X-0226-SM-5H12D 50-59 years, male 117.7
GTEX-18A7A-0226-SM-718BH 50-59 years, female 117.7
GTEX-13PVR-2326-SM-5QGR1 60-69 years, female 117.3
GTEX-1H1DG-0126-SM-9WYU2 70-79 years, male 117.1
GTEX-ZZPT-0226-SM-5E43X 50-59 years, male 117.0
GTEX-NPJ8-0126-SM-2YUNR 40-49 years, male 116.9
GTEX-1AX8Z-0126-SM-7DHM6 60-69 years, male 116.8
GTEX-18A6Q-0126-SM-731BZ 60-69 years, male 116.6
GTEX-1MGNQ-0126-SM-EVYCJ 40-49 years, male 116.6
GTEX-15DCD-0126-SM-7KUEK 70-79 years, female 116.2
GTEX-15SB6-1726-SM-6PAME 50-59 years, female 116.1
GTEX-1IKK5-0626-SM-ARL8A 60-69 years, male 115.6
GTEX-YB5K-2126-SM-4WWDJ 40-49 years, female 115.5
GTEX-U4B1-1826-SM-4DXSU 40-49 years, male 115.3
GTEX-13112-2826-SM-5DUWH 50-59 years, male 115.2
GTEX-1EU9M-0226-SM-7P8SP 60-69 years, male 115.2
GTEX-16YQH-0126-SM-7DUFJ 30-39 years, male 114.8
GTEX-ZGAY-0526-SM-4WWBB 40-49 years, female 114.4
GTEX-ZF3C-0126-SM-DO92D 50-59 years, female 114.3
GTEX-ZAB4-0226-SM-5N9F5 40-49 years, male 113.6
GTEX-XBED-2226-SM-47JYQ 60-69 years, male 113.4
GTEX-12WSJ-1826-SM-5GCNY 40-49 years, female 113.2
GTEX-X4XY-0226-SM-4E3IZ 60-69 years, male 113.2
GTEX-1269C-2526-SM-5EGJ3 60-69 years, female 112.9
GTEX-1314G-1526-SM-5EGK2 30-39 years, male 112.8
GTEX-U412-0426-SM-3DB9O 60-69 years, male 112.5
GTEX-13NZ8-0826-SM-5MR3I 60-69 years, female 112.3
GTEX-R45C-0126-SM-EAZ2R 60-69 years, female 111.9
GTEX-1K9T9-0126-SM-EVYCF 50-59 years, female 111.4
GTEX-VUSG-2526-SM-4KL1V 50-59 years, male 110.4
GTEX-1LBAC-0126-SM-DIPEZ 20-29 years, male 110.0
GTEX-11OC5-0126-SM-5HL6A 60-69 years, male 109.7
GTEX-11DXY-2626-SM-5GIE7 60-69 years, male 109.5
GTEX-1B8L1-2526-SM-9WYTF 60-69 years, male 108.7
GTEX-14DAR-2026-SM-5S2O3 50-59 years, male 108.1
GTEX-PWCY-1826-SM-DHXIZ 20-29 years, female 108.1
GTEX-1CAMS-0426-SM-7P8T2 40-49 years, female 107.9
GTEX-139T4-0226-SM-5HL5S 50-59 years, female 107.1
GTEX-1I4MK-2226-SM-ACKWD 50-59 years, female 107.1
GTEX-11XUK-2026-SM-5EQLF 40-49 years, female 106.9
GTEX-XYKS-2126-SM-4E3IB 60-69 years, female 106.4
GTEX-1I19N-0326-SM-ACKVX 70-79 years, male 106.3
GTEX-X62O-0126-SM-4E3JN 50-59 years, male 106.1
GTEX-183FY-0126-SM-7LT9P 20-29 years, male 105.8
GTEX-ZY6K-1826-SM-5GZXK 50-59 years, male 105.5
GTEX-1ICG6-2526-SM-CGQFZ 70-79 years, female 105.2
GTEX-11GSO-2426-SM-5A5LY 60-69 years, male 105.0
GTEX-XMD2-0126-SM-4YCDU 60-69 years, female 105.0
GTEX-1J1R8-1726-SM-ARL8M 40-49 years, male 104.6
GTEX-11DYG-0126-SM-59883 60-69 years, male 104.2
GTEX-11P7K-2126-SM-5GU7G 30-39 years, male 103.7
GTEX-1B8KZ-2026-SM-7DHMB 50-59 years, male 103.4
GTEX-P4PQ-0126-SM-2S1NM 60-69 years, male 103.4
GTEX-1EMGI-0126-SM-9KNUE 60-69 years, male 103.2
GTEX-17F97-0326-SM-7LG5B 50-59 years, male 102.6
GTEX-13RTJ-2426-SM-5S2Q2 60-69 years, male 102.5
GTEX-1GF9W-0326-SM-9KNUN 60-69 years, male 102.3
GTEX-1PWST-0226-SM-E76QJ 70-79 years, male 101.9
GTEX-1HFI6-0226-SM-ADEHZ 40-49 years, male 101.5
GTEX-ZVT2-2526-SM-51MT1 50-59 years, female 101.4
GTEX-P4PP-0126-SM-3LK69 30-39 years, female 100.3
GTEX-1GN1W-0526-SM-9MQJQ 50-59 years, female 99.4
GTEX-1QP29-0626-SM-EWRMX 50-59 years, male 99.4
GTEX-12WSL-2526-SM-5GCNJ 50-59 years, male 99.0
GTEX-11P81-2326-SM-59875 30-39 years, female 98.8
GTEX-1HGF4-2426-SM-ACKXM 60-69 years, male 98.6
GTEX-12ZZX-0126-SM-5EGK9 40-49 years, female 98.4
GTEX-1A8FM-0226-SM-7SB7Q 50-59 years, female 98.3
GTEX-13VXT-0126-SM-5LU4I 20-29 years, female 98.2
GTEX-13FTX-1826-SM-5J1NX 20-29 years, female 97.9
GTEX-1I1GS-0126-SM-B2LVW 60-69 years, male 97.9
GTEX-WZTO-0126-SM-3NM95 40-49 years, male 97.8
GTEX-X585-0226-SM-4QAS2 50-59 years, male 97.7
GTEX-1EWIQ-0126-SM-7RHH2 70-79 years, female 97.7
GTEX-1A3MW-0126-SM-73KXX 60-69 years, female 97.4
GTEX-1LG7Y-0526-SM-DKPQC 50-59 years, male 96.9
GTEX-WVJS-0126-SM-4MVOT 50-59 years, male 96.8
GTEX-1F88F-2726-SM-7PBZZ 60-69 years, female 96.6
GTEX-Y5V5-2326-SM-4V6GA 60-69 years, female 96.3
GTEX-1H1ZS-0426-SM-9WG6G 70-79 years, male 95.9
GTEX-R55G-2526-SM-2TC6D 40-49 years, female 95.7
GTEX-1PFEY-1526-SM-E76PP 30-39 years, male 95.5
GTEX-TMZS-0126-SM-3DB9Q 60-69 years, male 95.1
GTEX-13O3P-0126-SM-5KM4S 50-59 years, male 94.9
GTEX-YEC4-2126-SM-5IFJH 40-49 years, male 94.7
GTEX-14BIM-0226-SM-7IGLD 60-69 years, female 94.4
GTEX-1I1GP-2226-SM-CGQFK 50-59 years, male 94.1
GTEX-OOBK-0126-SM-2YUND 40-49 years, male 93.9
GTEX-WXYG-2326-SM-4E3I6 50-59 years, female 93.9
GTEX-1I1HK-0126-SM-COH49 60-69 years, male 93.6
GTEX-XV7Q-2526-SM-4BRV9 40-49 years, female 93.4
GTEX-1HKZK-0326-SM-9WYUH 40-49 years, male 93.4
GTEX-1GF9X-2026-SM-7PC3A 40-49 years, female 93.3
GTEX-147GR-0526-SM-5S2MY 60-69 years, male 93.0
GTEX-PW2O-1526-SM-7RHHB 20-29 years, male 93.0
GTEX-18A67-0126-SM-7LG5P 50-59 years, male 92.8
GTEX-ZTPG-0326-SM-5O9AX 20-29 years, female 92.8
GTEX-131XE-2326-SM-5PNZ2 50-59 years, male 92.6
GTEX-11WQC-2526-SM-5CVLE 60-69 years, male 92.4
GTEX-SN8G-0126-SM-32PLI 50-59 years, female 92.2
GTEX-139T8-0126-SM-5K7XZ 60-69 years, male 91.9
GTEX-11DXZ-2326-SM-5EGGV 50-59 years, male 91.7
GTEX-13NZA-0226-SM-5K7Z7 60-69 years, male 91.6
GTEX-1JMPY-1326-SM-ARL8Y 30-39 years, male 91.3
GTEX-15D1Q-0126-SM-7KUG6 40-49 years, male 91.1
GTEX-1H3VE-0326-SM-9YFLH 40-49 years, male 91.0
GTEX-1JMQI-2226-SM-CM2SD 50-59 years, male 90.3
GTEX-16XZY-2126-SM-79OK1 70-79 years, male 90.0
GTEX-16BQI-0226-SM-7KUEX 30-39 years, female 89.6
GTEX-1HSMQ-1226-SM-CGQFX 50-59 years, male 89.6
GTEX-1J8EW-0126-SM-CJI4F 60-69 years, female 89.6
GTEX-14PJ3-1826-SM-62LEX 50-59 years, male 89.4
GTEX-1H2FU-0126-SM-9WYSI 60-69 years, female 89.4
GTEX-1KD5A-0226-SM-D5OV3 50-59 years, male 89.3
GTEX-1C2JI-1826-SM-73KXC 50-59 years, male 89.1
GTEX-1GZ2Q-0226-SM-7P8TL 40-49 years, male 89.1
GTEX-QLQ7-1626-SM-2S1R8 60-69 years, male 88.9
GTEX-ZQUD-1426-SM-57WER 30-39 years, male 88.9
GTEX-U8XE-0326-SM-3DB8P 30-39 years, male 88.8
GTEX-11DXW-0226-SM-5H122 40-49 years, male 88.5
GTEX-13QJ3-0326-SM-5S2RA 50-59 years, male 88.4
GTEX-12584-0126-SM-5EGKQ 40-49 years, male 88.3
GTEX-16GPK-0126-SM-7DHLE 60-69 years, male 88.2
GTEX-ZPIC-1726-SM-DHXIU 40-49 years, female 88.1
GTEX-18A7B-0126-SM-7LG64 70-79 years, male 87.9
GTEX-XQ8I-0426-SM-4BOPO 50-59 years, male 87.8
GTEX-1HCUA-2426-SM-ADEIS 50-59 years, female 87.8
GTEX-OXRN-0126-SM-48TDM 50-59 years, male 87.7
GTEX-145LT-1726-SM-5QGP3 40-49 years, male 87.6
GTEX-12WSC-0126-SM-5EQ4P 50-59 years, male 87.5
GTEX-1R9PO-2126-SM-E9J4O 60-69 years, female 87.5
GTEX-13YAN-0326-SM-5O9DF 60-69 years, male 87.1
GTEX-1CB4J-0626-SM-7DHMP 60-69 years, male 87.1
GTEX-12ZZZ-0626-SM-5DUXI 60-69 years, male 87.0
GTEX-11O72-0126-SM-59887 40-49 years, male 86.8
GTEX-14A6H-0126-SM-5QGPK 30-39 years, male 86.7
GTEX-1128S-2326-SM-5GZZY 60-69 years, female 86.6
GTEX-ZVE2-0226-SM-59HJB 50-59 years, male 86.6
GTEX-SIU8-0126-SM-2XCDT 50-59 years, male 86.3
GTEX-1H3NZ-0126-SM-ACKX7 60-69 years, male 86.3
GTEX-1JKYR-0126-SM-CNPOJ 20-29 years, male 86.3
GTEX-XAJ8-0826-SM-47JY6 40-49 years, male 86.1
GTEX-1CB4G-0226-SM-7PC3O 60-69 years, male 86.1
GTEX-V1D1-2226-SM-3NMAX 50-59 years, male 86.0
GTEX-1192W-2626-SM-5Q5AF 60-69 years, male 85.8
GTEX-NFK9-0226-SM-2HMKQ 40-49 years, male 85.6
GTEX-12126-0326-SM-5PNW3 20-29 years, male 85.4
GTEX-14JG6-2226-SM-6EU2G 30-39 years, female 85.1
GTEX-17MF6-0126-SM-7LG4F 40-49 years, male 85.0
GTEX-13W46-0226-SM-5SIAG 50-59 years, male 84.5
GTEX-13S7M-0126-SM-5SI6A 60-69 years, female 84.4
GTEX-1F75A-0126-SM-7RHGM 50-59 years, male 84.3
GTEX-1A3MX-0126-SM-731BR 60-69 years, male 84.1
GTEX-144FL-0126-SM-5TDC8 50-59 years, male 84.0
GTEX-1GMR8-0126-SM-9WYTM 50-59 years, female 84.0
GTEX-17HGU-0226-SM-7DHKV 50-59 years, male 83.8
GTEX-ZAB5-1826-SM-5HL7C 50-59 years, male 83.7
GTEX-14ABY-0226-SM-5TDCQ 50-59 years, male 83.5
GTEX-Y5LM-1926-SM-5RQJH 40-49 years, female 83.4
GTEX-1EX96-1626-SM-7PBXR 50-59 years, male 83.4
GTEX-1GN2E-0426-SM-9MQKX 60-69 years, male 83.4
GTEX-1NHNU-1026-SM-E9J2A 50-59 years, male 83.3
GTEX-WOFL-0126-SM-3MJG2 60-69 years, male 83.2
GTEX-13FTY-0526-SM-5L3EV 40-49 years, female 82.9
GTEX-W5X1-3026-SM-EAZAX 40-49 years, female 82.8
GTEX-1S82Y-2026-SM-EVYCM 40-49 years, male 82.4
GTEX-1JN6P-0126-SM-D3L98 60-69 years, male 82.2
GTEX-1PIGE-0126-SM-EVYBJ 20-29 years, male 82.0
GTEX-1J8Q3-1626-SM-CMKGC 60-69 years, male 81.7
GTEX-Q2AG-0126-SM-33HBV 40-49 years, female 81.6
GTEX-1QP66-1726-SM-E8VO1 50-59 years, male 80.6
GTEX-ZE9C-2726-SM-57WB5 60-69 years, male 80.5
GTEX-1HR98-0126-SM-B2LWI 60-69 years, male 80.2
GTEX-S95S-1226-SM-4GICG 60-69 years, male 80.0
GTEX-OIZF-0126-SM-7SB8I 60-69 years, male 80.0
GTEX-YB5E-2026-SM-5IFIS 40-49 years, male 79.9
GTEX-1B996-0226-SM-7RHGO 60-69 years, male 79.9
GTEX-131XH-2226-SM-5DUXJ 50-59 years, male 79.8
GTEX-145ME-1826-SM-5SI9G 40-49 years, female 79.5
GTEX-1IKOH-0226-SM-COH4E 60-69 years, female 79.3
GTEX-1ICLY-0126-SM-D4P36 50-59 years, male 79.1
GTEX-1IOXB-0126-SM-ARL8G 50-59 years, male 79.1
GTEX-WQUQ-0426-SM-3MJFU 60-69 years, male 79.0
GTEX-UJHI-1526-SM-3DB99 50-59 years, female 78.9
GTEX-1I6K6-0126-SM-A9SLE 30-39 years, male 78.9
GTEX-1R7EV-2426-SM-EVYBG 40-49 years, male 78.9
GTEX-PWO3-1526-SM-48TCM 60-69 years, female 78.6
GTEX-15UF6-0826-SM-6PALJ 70-79 years, female 78.1
GTEX-1KD4Q-0226-SM-E9TJ9 40-49 years, male 78.1
GTEX-11NSD-2226-SM-5986V 20-29 years, male 78.0
GTEX-147F3-0526-SM-5SI98 50-59 years, female 77.9
GTEX-1LC47-0326-SM-E9TJP 60-69 years, male 77.6
GTEX-PLZ5-2026-SM-2S1O4 50-59 years, male 77.4
GTEX-1H1E6-1726-SM-ACKVK 30-39 years, male 77.4
GTEX-Y8DK-0126-SM-4TT3L 60-69 years, male 77.3
GTEX-13FHO-0226-SM-5IFGY 60-69 years, male 76.7
GTEX-1QP2A-0126-SM-E9J43 50-59 years, male 76.6
GTEX-117XS-2726-SM-5N9BL 60-69 years, male 76.5
GTEX-12696-2426-SM-5EQ6H 60-69 years, male 76.4
GTEX-1NV5F-0226-SM-E8VNY 60-69 years, female 76.4
GTEX-15SHU-0126-SM-7KUEH 40-49 years, female 76.3
GTEX-X88G-0126-SM-47JZ3 30-39 years, male 76.3
GTEX-1LSNM-1926-SM-E6CII 50-59 years, male 76.0
GTEX-14ICK-0226-SM-6EU25 40-49 years, male 75.9
GTEX-1JMQJ-0526-SM-CYPSU 50-59 years, male 75.9
GTEX-11WQK-0526-SM-5EQLD 50-59 years, male 75.8
GTEX-1LGOU-2026-SM-DIPFF 20-29 years, female 75.8
GTEX-14PN3-2426-SM-6LLHS 60-69 years, female 75.7
GTEX-U3ZH-2026-SM-3DB78 30-39 years, male 75.7
GTEX-139D8-0226-SM-5KLZO 30-39 years, female 75.4
GTEX-1C64O-0126-SM-7SB8P 60-69 years, male 75.2
GTEX-ZTSS-1926-SM-57WEW 40-49 years, male 75.1
GTEX-SUCS-1926-SM-32PM3 70-79 years, male 74.7
GTEX-1R46S-0626-SM-E9J41 60-69 years, female 74.7
GTEX-14LZ3-0226-SM-62LET 60-69 years, female 74.4
GTEX-16MT8-0426-SM-7KUEY 60-69 years, female 74.4
GTEX-1F6IF-0726-SM-7P8TW 60-69 years, male 74.2
GTEX-W5WG-1826-SM-4KL2Y 50-59 years, female 74.0
GTEX-13OVK-2026-SM-7KUEO 40-49 years, male 73.9
GTEX-13RTK-1426-SM-5QGQJ 20-29 years, male 73.4
GTEX-11TT1-2526-SM-5EGIB 20-29 years, male 73.3
GTEX-U3ZM-1526-SM-3DB9D 40-49 years, male 73.1
GTEX-ZU9S-0226-SM-5E441 30-39 years, male 73.1
GTEX-1E1VI-0126-SM-7DHMZ 50-59 years, male 72.9
GTEX-1GZ4H-1726-SM-7PBZJ 50-59 years, female 72.8
GTEX-11VI4-1726-SM-5CVLH 40-49 years, female 72.7
GTEX-1AX9K-2326-SM-73KWU 50-59 years, male 72.7
GTEX-1RAZQ-0726-SM-EAZ43 30-39 years, male 72.4
GTEX-QVJO-1626-SM-2S1QW 60-69 years, female 72.2
GTEX-1IL2U-0226-SM-CE6T8 60-69 years, male 72.2
GTEX-11ZTS-0126-SM-5EQ6M 60-69 years, female 72.1
GTEX-14PHX-2326-SM-62LEM 50-59 years, male 72.0
GTEX-1H1CY-2826-SM-9MQM3 60-69 years, female 71.9
GTEX-1LB8K-0226-SM-EWRNW 50-59 years, male 71.6
GTEX-QLQW-1126-SM-2S1Q8 30-39 years, male 71.5
GTEX-13FH7-2026-SM-E9J4I 50-59 years, female 71.4
GTEX-13NZB-2526-SM-5J1OM 30-39 years, male 71.1
GTEX-1I1CD-0126-SM-CM2TK 60-69 years, female 71.0
GTEX-11LCK-1026-SM-5A5KB 30-39 years, male 70.9
GTEX-14BMU-2226-SM-5TDE9 20-29 years, female 70.9
GTEX-1GPI7-0126-SM-9MQL8 20-29 years, male 70.9
GTEX-1JJE9-0326-SM-CL53Z 70-79 years, male 70.9
GTEX-14E6D-0126-SM-62LDV 50-59 years, male 70.8
GTEX-T5JC-0426-SM-32PLO 20-29 years, male 70.8
GTEX-1QCLY-0326-SM-E8VOG 30-39 years, male 70.8
GTEX-1I1GV-0526-SM-A9G29 60-69 years, male 70.5
GTEX-1AX9J-0226-SM-73KXM 60-69 years, male 70.4
GTEX-XQ3S-1526-SM-4BOOC 20-29 years, male 70.3
GTEX-ZYFC-0226-SM-5NQ75 50-59 years, male 70.3
GTEX-WYJK-0126-SM-3NMAB 50-59 years, male 70.2
GTEX-16XZZ-0126-SM-793DV 60-69 years, male 70.1
GTEX-SSA3-0126-SM-32QPU 60-69 years, male 70.1
GTEX-1JN1M-0326-SM-CYPT3 60-69 years, female 70.0
GTEX-1C4CL-0526-SM-73KVK 30-39 years, male 69.7
GTEX-Z9EW-1626-SM-5CVMN 40-49 years, male 69.5
GTEX-1IDJF-0126-SM-CM2RS 20-29 years, male 69.5
GTEX-13W3W-2426-SM-5LU5B 60-69 years, female 69.4
GTEX-15DDE-0126-SM-6LPKH 50-59 years, female 69.2
GTEX-14E7W-0126-SM-6LLJ9 70-79 years, male 69.1
GTEX-RM2N-1426-SM-2TF4H 50-59 years, male 69.0
GTEX-1BAJH-0526-SM-793CQ 70-79 years, male 68.8
GTEX-1H11D-0226-SM-9WG6Z 40-49 years, male 68.8
GTEX-1H3O1-0426-SM-9YFKY 60-69 years, male 68.8
GTEX-1K2DU-2326-SM-E9TIV 20-29 years, male 68.8
GTEX-1GMRU-0126-SM-9YFLV 50-59 years, male 68.6
GTEX-ZZ64-1726-SM-5GZYB 20-29 years, male 68.4
GTEX-1I1GR-0126-SM-CL55F 60-69 years, male 68.3
GTEX-1I1GU-2226-SM-CGQFA 40-49 years, male 68.1
GTEX-1IGQW-0126-SM-COH42 60-69 years, male 68.0
GTEX-169BO-1326-SM-9MQK2 50-59 years, male 67.9
GTEX-1S3DN-2226-SM-EVYCD 50-59 years, male 67.8
GTEX-UPJH-0326-SM-3GADU 50-59 years, male 67.6
GTEX-1GN1U-0126-SM-7PBZK 50-59 years, female 67.4
GTEX-11DZ1-0126-SM-5985Q 50-59 years, male 67.2
GTEX-11OF3-2626-SM-5GU7F 60-69 years, male 67.1
GTEX-1HSEH-0126-SM-ACKXN 60-69 years, male 67.0
GTEX-RNOR-0126-SM-E9J4R 50-59 years, female 66.9
GTEX-1F75I-0326-SM-9YFLU 40-49 years, male 66.8
GTEX-1MCYP-1926-SM-E9J2R 20-29 years, female 66.7
GTEX-11EI6-0126-SM-5985R 60-69 years, male 66.4
GTEX-1HCU8-0626-SM-A9SM9 60-69 years, female 66.4
GTEX-1JKYN-1326-SM-CGQG9 30-39 years, male 66.3
GTEX-139TU-0126-SM-5K7WH 60-69 years, male 66.1
GTEX-18QFQ-0126-SM-731BE 30-39 years, male 66.0
GTEX-OHPM-0126-SM-2YUN9 50-59 years, male 65.9
GTEX-1497J-2426-SM-7IGNX 60-69 years, male 65.7
GTEX-VJYA-1126-SM-3GIJU 60-69 years, male 65.7
GTEX-QDVJ-1726-SM-2I5FX 50-59 years, male 65.6
GTEX-183WM-0126-SM-7LTAB 70-79 years, female 65.2
GTEX-Z93S-0126-SM-5HL7M 50-59 years, male 64.9
GTEX-ZVT4-0126-SM-DTXFN 50-59 years, female 64.9
GTEX-OHPL-0126-SM-2HMJ7 60-69 years, female 64.6
GTEX-X4EP-0126-SM-3P5YV 60-69 years, female 64.6
GTEX-16NPX-0226-SM-79OMT 50-59 years, male 64.4
GTEX-1JMQK-0226-SM-CL543 60-69 years, male 64.2
GTEX-1MCQQ-0826-SM-DLHC2 60-69 years, male 64.2
GTEX-ZYFG-2326-SM-5E44B 60-69 years, female 64.1
GTEX-X4XX-0126-SM-3NMC2 60-69 years, male 63.9
GTEX-ZYY3-0126-SM-5GZY5 60-69 years, female 63.7
GTEX-1JK1U-2026-SM-CM2RZ 60-69 years, male 63.6
GTEX-1H3VY-0126-SM-ACKXD 50-59 years, male 63.3
GTEX-U3ZN-2326-SM-3DB7W 30-39 years, female 63.2
GTEX-1HSKV-0226-SM-A9SKJ 60-69 years, male 63.1
GTEX-15ER7-0326-SM-7KUEV 20-29 years, female 62.8
GTEX-RVPV-0126-SM-EAZAW 60-69 years, male 62.8
GTEX-131XW-0426-SM-5LZWP 50-59 years, female 62.7
GTEX-13NYS-0126-SM-5MR3W 60-69 years, male 62.6
GTEX-RWSA-0126-SM-2XCBB 40-49 years, male 62.6
GTEX-WRHK-1426-SM-3MJF9 20-29 years, female 62.5
GTEX-13CF3-2426-SM-5IFGX 60-69 years, female 62.1
GTEX-TML8-1926-SM-32QOS 40-49 years, female 61.8
GTEX-1JN76-0126-SM-CNPPE 20-29 years, female 61.8
GTEX-18465-0126-SM-731BN 50-59 years, male 61.6
GTEX-1F7RK-0126-SM-7PC2S 20-29 years, female 61.6
GTEX-12WSG-2826-SM-E9J4H 50-59 years, female 61.5
GTEX-1HSGN-0226-SM-CGQFV 40-49 years, female 61.5
GTEX-1JMPZ-0226-SM-CNPP1 30-39 years, male 61.5
GTEX-1N2EF-0226-SM-EYYXB 60-69 years, male 61.5
GTEX-13X6J-0126-SM-5QGOU 50-59 years, male 61.4
GTEX-13OW5-0126-SM-DTXFS 60-69 years, male 61.4
GTEX-14PHW-0126-SM-6LLJI 60-69 years, female 61.3
GTEX-17HHE-2026-SM-79OKF 50-59 years, male 61.3
GTEX-Y5V6-2426-SM-4VDSB 60-69 years, male 61.3
GTEX-139UW-2826-SM-5L3E7 60-69 years, male 60.7
GTEX-1HFI7-1826-SM-ACKXH 50-59 years, female 60.7
GTEX-12ZZY-0226-SM-5LZVE 60-69 years, male 60.2
GTEX-TMMY-0226-SM-33HBA 40-49 years, female 59.8
GTEX-11UD2-0226-SM-5EQKY 50-59 years, male 59.7
GTEX-1S82Z-0826-SM-E6CHY 30-39 years, female 59.7
GTEX-1HBPN-0226-SM-9YFM1 50-59 years, male 59.6
GTEX-QV44-1926-SM-2S1RF 50-59 years, male 59.5
GTEX-ZVZP-2426-SM-59HKJ 50-59 years, male 59.5
GTEX-PLZ6-1426-SM-DKPOT 30-39 years, male 59.4
GTEX-TKQ1-1026-SM-4GICL 30-39 years, male 59.3
GTEX-13FTW-2626-SM-5K7WL 40-49 years, male 59.1
GTEX-14C5O-0126-SM-5SI6N 60-69 years, male 59.1
GTEX-14PII-0226-SM-6EU1T 60-69 years, male 59.1
GTEX-14A5H-0426-SM-5QGQF 60-69 years, male 59.0
GTEX-13O3Q-2426-SM-5IJBR 50-59 years, male 58.8
GTEX-1H1DE-2126-SM-9WG6R 20-29 years, male 58.8
GTEX-14JG1-0426-SM-6ETZZ 40-49 years, male 58.7
GTEX-13X6I-0626-SM-5QGP9 60-69 years, male 58.5
GTEX-18D9B-0526-SM-7LTAS 60-69 years, male 58.5
GTEX-Y8E4-0626-SM-4WWDL 40-49 years, male 58.5
GTEX-1J8Q2-0526-SM-CM2RW 60-69 years, male 58.4
GTEX-1ICLZ-0126-SM-CKZPO 60-69 years, male 57.7
GTEX-14XAO-2326-SM-6EU1B 60-69 years, female 57.4
GTEX-1HB9E-0226-SM-E9U4R 50-59 years, male 57.3
GTEX-1HBPM-0226-SM-ARL9F 60-69 years, female 57.2
GTEX-13FHP-0126-SM-5IJBG 50-59 years, male 57.0
GTEX-145MI-0526-SM-5O9A8 60-69 years, female 56.7
GTEX-1QP9N-1426-SM-DTXFL 30-39 years, male 56.6
GTEX-RWS6-2026-SM-2XCB5 60-69 years, female 56.4
GTEX-14A5I-0126-SM-5TDEA 50-59 years, female 56.3
GTEX-13OW6-0426-SM-5L3HM 50-59 years, male 56.2
GTEX-133LE-1826-SM-5J1MV 20-29 years, female 55.7
GTEX-15CHC-2126-SM-6EU21 60-69 years, female 55.4
GTEX-R3RS-0126-SM-3GIJL 40-49 years, female 55.2
GTEX-XBEW-0626-SM-4QASP 40-49 years, male 55.2
GTEX-1F5PK-2426-SM-7RHHY 50-59 years, male 55.2
GTEX-1QPFJ-0226-SM-E76PB 30-39 years, female 55.1
GTEX-1212Z-2526-SM-5EGKP 60-69 years, male 54.8
GTEX-18A66-0226-SM-718BD 60-69 years, male 54.6
GTEX-ZV68-0126-SM-59HKS 50-59 years, female 54.6
GTEX-11ZU8-2526-SM-5EQKI 60-69 years, male 53.7
GTEX-1HCVE-0126-SM-CGQEU 50-59 years, male 53.7
GTEX-1PDJ9-0326-SM-DTX95 20-29 years, male 53.4
GTEX-1GF9U-2126-SM-7SB7L 40-49 years, female 53.0
GTEX-1B8KE-2126-SM-73KYX 50-59 years, male 52.6
GTEX-X261-0126-SM-3NMD6 50-59 years, male 52.6
GTEX-16AAH-1726-SM-7939C 50-59 years, male 52.4
GTEX-131XF-5016-SM-7MGWE 60-69 years, male 52.4
GTEX-1CB4E-2226-SM-793DC 60-69 years, male 51.6
GTEX-15UKP-0426-SM-7KUFQ 20-29 years, male 51.5
GTEX-16NGA-1726-SM-731B4 40-49 years, female 51.5
GTEX-17F98-0626-SM-79OMX 40-49 years, female 51.5
GTEX-1F5PL-0326-SM-7P8PQ 40-49 years, female 51.5
GTEX-1CAMR-1926-SM-7EPI2 20-29 years, male 51.4
GTEX-11TUW-2726-SM-E9J4M 60-69 years, male 51.4
GTEX-1E2YA-0126-SM-9KNUC 50-59 years, male 51.3
GTEX-ZXG5-0126-SM-5GIEU 60-69 years, male 51.2
GTEX-1LH75-2426-SM-E9TJE 50-59 years, female 51.2
GTEX-1I1GT-0626-SM-CGQER 60-69 years, female 51.0
GTEX-1JMLX-0226-SM-CM2RO 50-59 years, male 51.0
GTEX-ZDTT-2726-SM-4WKF8 60-69 years, male 50.9
GTEX-1QAET-0926-SM-E76QM 50-59 years, male 50.5
GTEX-1PPH8-0226-SM-E8VND 20-29 years, male 50.4
GTEX-13PDP-0126-SM-5L3HD 60-69 years, male 49.9
GTEX-14DAQ-0126-SM-5S2MQ 60-69 years, female 49.7
GTEX-TSE9-0126-SM-3DB83 60-69 years, female 49.6
GTEX-1POEN-0126-SM-EYYXJ 30-39 years, female 49.6
GTEX-14BMV-0126-SM-5S2PO 50-59 years, male 49.3
GTEX-17KNJ-2326-SM-7DHLQ 50-59 years, male 49.3
GTEX-13FXS-0226-SM-5IJCK 50-59 years, male 49.2
GTEX-1AMEY-1326-SM-73KYK 30-39 years, female 49.1
GTEX-1122O-2126-SM-5EGIR 60-69 years, female 49.0
GTEX-13IVO-0126-SM-5J1NG 70-79 years, male 49.0
GTEX-12WSN-5019-SM-79OM6 40-49 years, male 48.7
GTEX-14PJ6-2126-SM-6EU1V 60-69 years, female 48.7
GTEX-17EUY-0426-SM-793BD 20-29 years, male 48.6
GTEX-1A3MV-1926-SM-718BT 30-39 years, male 48.6
GTEX-ZVZO-0126-SM-5A5L9 40-49 years, male 48.5
GTEX-1LVAN-0226-SM-COH3S 50-59 years, female 48.3
GTEX-T2YK-0526-SM-32QPJ 50-59 years, male 48.2
GTEX-1S5ZA-0126-SM-EVYCV 20-29 years, male 48.0
GTEX-1F75B-0126-SM-9KNVL 50-59 years, male 47.9
GTEX-1AMFI-2026-SM-731BH 50-59 years, female 47.6
GTEX-1N2DW-0226-SM-E9TK2 50-59 years, male 47.5
GTEX-14BIN-0626-SM-793DP 50-59 years, female 47.3
GTEX-1H23P-0126-SM-ADEJ3 60-69 years, male 47.2
GTEX-O5YT-0126-SM-48TBW 20-29 years, male 47.0
GTEX-1IL2V-0126-SM-CM2TX 70-79 years, male 46.6
GTEX-117YX-2326-SM-5H12W 50-59 years, male 46.5
GTEX-13OW8-1326-SM-5J1OW 60-69 years, male 46.5
GTEX-1IDJH-0326-SM-A9SLQ 70-79 years, male 46.5
GTEX-1F6RS-0126-SM-9MQKZ 60-69 years, female 46.4
GTEX-1HBPI-1526-SM-C1YQ1 50-59 years, male 46.2
GTEX-1MUQO-0126-SM-EAZ58 60-69 years, male 46.2
GTEX-11EQ9-2426-SM-5HL5T 30-39 years, male 46.0
GTEX-1KAFJ-2026-SM-CY8ID 50-59 years, male 45.6
GTEX-17F96-1626-SM-7DUFL 70-79 years, male 45.5
GTEX-1OFPY-2426-SM-DTXEJ 60-69 years, male 45.5
GTEX-1LGRB-2526-SM-CNPPQ 50-59 years, female 45.3
GTEX-1QMI2-0226-SM-EVYBX 60-69 years, male 45.2
GTEX-1F52S-0126-SM-9MQJU 60-69 years, female 45.1
GTEX-ZF2S-2326-SM-4WWCE 50-59 years, female 44.9
GTEX-111FC-0126-SM-5N9DL 60-69 years, male 44.6
GTEX-17EVP-0326-SM-7DHLG 40-49 years, male 44.4
GTEX-QESD-1426-SM-2S1R9 20-29 years, male 44.4
GTEX-PSDG-0226-SM-DKPOZ 50-59 years, male 44.4
GTEX-17GQL-2026-SM-718BA 60-69 years, male 44.2
GTEX-13N2G-2626-SM-5J1OT 60-69 years, male 43.9
GTEX-QCQG-1726-SM-3GIJ9 50-59 years, female 43.8
GTEX-1R7EU-0226-SM-EVR4G 60-69 years, male 43.8
GTEX-18D9U-0226-SM-718BP 40-49 years, male 43.3
GTEX-P4QT-0126-SM-2I3FL 50-59 years, female 43.2
GTEX-1I1GQ-0126-SM-COH3H 50-59 years, male 43.1
GTEX-1IDJU-2626-SM-CM2RT 60-69 years, female 42.4
GTEX-1B8SF-1426-SM-7DUGL 60-69 years, male 42.3
GTEX-1C6VR-2426-SM-79OLD 60-69 years, male 42.3
GTEX-ZXES-1826-SM-5E43S 30-39 years, female 41.6
GTEX-1JJ6O-0126-SM-E6CI8 60-69 years, male 41.4
GTEX-1CB4F-0426-SM-9KNV4 60-69 years, male 41.2
GTEX-13JUV-2726-SM-5LZZ8 40-49 years, female 40.7
GTEX-1CB4H-0226-SM-7PBXM 60-69 years, female 40.6
GTEX-1J1OQ-0226-SM-CYPSH 40-49 years, female 40.6
GTEX-ZV6S-2326-SM-4YCEY 40-49 years, female 39.9
GTEX-1399R-2726-SM-5IJBA 30-39 years, male 39.7
GTEX-1O97I-0326-SM-EYYX7 60-69 years, male 39.7
GTEX-145LV-2126-SM-5LU8N 50-59 years, male 39.5
GTEX-1B8SG-0126-SM-73KZ3 50-59 years, male 39.5
GTEX-VJWN-0126-SM-3GIK7 50-59 years, female 39.5
GTEX-1J8QM-2126-SM-CYPSJ 60-69 years, female 39.4
GTEX-1KWVE-1426-SM-E9TJO 30-39 years, male 39.2
GTEX-1HCU9-1526-SM-A9SL7 20-29 years, male 39.1
GTEX-OIZG-0726-SM-33HBL 50-59 years, male 38.5
GTEX-1H4P4-0726-SM-9YFLR 50-59 years, male 38.5
GTEX-12WSK-2326-SM-5GCOH 40-49 years, female 38.3
GTEX-17JCI-0126-SM-7LG5G 60-69 years, female 38.1
GTEX-1HT8W-0126-SM-CNPPP 30-39 years, male 38.0
GTEX-13113-5016-SM-7EPIP 60-69 years, female 37.8
GTEX-17HG3-2226-SM-7938L 30-39 years, female 37.4
GTEX-T6MN-0126-SM-32PLP 50-59 years, male 37.3
GTEX-1GF9V-0326-SM-7RHI5 60-69 years, male 37.2
GTEX-1K2DA-1826-SM-CGQGT 50-59 years, male 36.9
GTEX-1RDX4-0126-SM-E9J4P 50-59 years, female 36.8
GTEX-XPVG-2626-SM-4B669 50-59 years, male 36.0
GTEX-1GL5R-1826-SM-9KNUY 50-59 years, male 36.0
GTEX-YJ89-0126-SM-4TT3X 60-69 years, male 35.7
GTEX-XUZC-1726-SM-4BRWS 30-39 years, female 35.6
GTEX-12WSA-0226-SM-5BC5V 60-69 years, male 35.2
GTEX-1CB4I-0226-SM-79OLH 50-59 years, male 35.2
GTEX-15RIG-0226-SM-7KFTL 40-49 years, male 35.1
GTEX-PX3G-0126-SM-2I3EN 20-29 years, female 35.0
GTEX-1EN7A-0126-SM-7SB81 40-49 years, male 34.4
GTEX-S7SE-0126-SM-2XCD5 50-59 years, male 34.0
GTEX-T6MO-1626-SM-32QOM 40-49 years, female 33.4
GTEX-13SLW-0126-SM-5SI6C 70-79 years, male 33.3
GTEX-15G19-0126-SM-6PANQ 60-69 years, male 33.1
GTEX-145LU-0126-SM-5TDCB 50-59 years, male 33.0
GTEX-13111-1626-SM-5EGJY 50-59 years, male 32.7
GTEX-1GMR3-1926-SM-9KNUZ 40-49 years, male 32.5
GTEX-1HCU7-0226-SM-CL545 50-59 years, male 31.9
GTEX-145MF-0626-SM-5LUAI 50-59 years, male 30.8
GTEX-ZYT6-0226-SM-5NQ6T 30-39 years, male 30.5
GTEX-Q2AH-1626-SM-3GAF8 40-49 years, male 30.4
GTEX-1399T-2826-SM-5KLYZ 60-69 years, male 30.3
GTEX-1CAMQ-0226-SM-7IGPK 40-49 years, male 30.0
GTEX-ZTX8-1426-SM-5DUVO 20-29 years, male 29.9
GTEX-1M5QR-1226-SM-EWROB 40-49 years, male 29.9
GTEX-PVOW-0126-SM-2XCFA 40-49 years, male 29.6
GTEX-1KXAM-2226-SM-CYPTC 60-69 years, male 29.5
GTEX-P44H-0226-SM-2XCEU 40-49 years, male 28.9
GTEX-1JJEA-0326-SM-CNPOT 60-69 years, male 28.7
GTEX-13OVH-0126-SM-5MR4B 70-79 years, male 28.4
GTEX-145LS-0126-SM-5QGP1 60-69 years, female 28.3
GTEX-WFON-2126-SM-3LK7O 40-49 years, male 28.2
GTEX-1MA7W-2026-SM-E9TJ6 20-29 years, female 27.5
GTEX-17MFQ-1726-SM-793C7 20-29 years, male 27.4
GTEX-ZWKS-0126-SM-5SIAA 30-39 years, male 27.4
GTEX-1MJK2-0426-SM-DTXE5 50-59 years, male 27.3
GTEX-1S83E-0126-SM-EWRO4 40-49 years, male 27.3
GTEX-15ETS-0126-SM-7KUMW 40-49 years, female 27.1
GTEX-T8EM-1026-SM-3DB7M 40-49 years, male 27.1
GTEX-1R9K4-0126-SM-DTX9X 60-69 years, male 26.8
GTEX-144GL-0126-SM-5TDE2 50-59 years, male 26.0
GTEX-SJXC-0126-SM-2XCFF 60-69 years, male 26.0
GTEX-S32W-2126-SM-2XCB1 50-59 years, female 25.5
GTEX-OIZH-0126-SM-2HMIS 50-59 years, male 25.3
GTEX-1OJC3-0126-SM-E76QX 20-29 years, male 25.1
GTEX-SNMC-1226-SM-2XCFP 20-29 years, male 24.2
GTEX-15F5U-1526-SM-6PANO 40-49 years, male 23.6
GTEX-1KANC-1526-SM-D3LAB 50-59 years, female 23.6
GTEX-13NYC-0326-SM-E9J4S 60-69 years, male 22.2
GTEX-1KANA-0726-SM-D3L9I 20-29 years, male 21.6
GTEX-18D9A-1926-SM-7LG6P 30-39 years, female 20.4
GTEX-13NYB-2526-SM-5K7Z6 40-49 years, male 19.9
GTEX-1B97I-1626-SM-73KYO 40-49 years, male 19.9
GTEX-1R9PM-2026-SM-E76OY 20-29 years, male 19.8
GTEX-1PIIG-0226-SM-EWRN6 30-39 years, male 19.5
GTEX-1IKJJ-0126-SM-CNPQB 60-69 years, male 19.1
GTEX-WFG8-2226-SM-3GIL9 20-29 years, male 18.7
GTEX-1LG7Z-1726-SM-D3LA4 30-39 years, male 18.7
GTEX-1C64N-0126-SM-793D7 50-59 years, male 18.6
GTEX-1JMQL-0226-SM-CNPP5 50-59 years, female 18.4
GTEX-POMQ-2226-SM-2I5FK 20-29 years, female 17.3
GTEX-15EU6-0426-SM-6PAN5 50-59 years, male 16.9
GTEX-14E6E-1826-SM-5S2R7 30-39 years, male 15.0
GTEX-12WSE-0526-SM-793B2 20-29 years, male 14.3
GTEX-1C475-1826-SM-73KWA 40-49 years, female 12.1
GTEX-1L5NE-2526-SM-E6CIE 50-59 years, male 12.0
GTEX-T5JW-1626-SM-3GADZ 20-29 years, female 11.9
GTEX-SE5C-1626-SM-2XCE3 40-49 years, female 9.4
Show allShow less

Contact

  • NEWS ARTICLES
  • PRESS ROOM

The Project

  • INTRODUCTION
  • ORGANIZATION
  • PUBLICATIONS

The Human Protein Atlas

  • DOWNLOADABLE DATA
  • LICENCE & CITATION
  • HELP & FAQ
The Human Protein Atlas project is funded
by the Knut & Alice Wallenberg Foundation.


contact@proteinatlas.org