We use cookies to enhance the usability of our website. If you continue, we'll assume that you are happy to receive all cookies. More information. Don't show this again.
KRT18
HPA
RESOURCES
  • TISSUE
  • BRAIN
  • SINGLE CELL
  • SUBCELLULAR
  • CANCER
  • BLOOD
  • CELL LINE
  • STRUCTURE & INTERACTION
ABOUT
  • INTRODUCTION
  • HISTORY
  • ORGANIZATION
  • PUBLICATIONS
  • ANTIBODY SUBMISSION
  • ANTIBODY AVAILABILITY
  • ACKNOWLEDGMENTS
  • CONTACT
NEWS
  • NEWS ARTICLES
  • PRESS ROOM
LEARN
  • DICTIONARY
  • PROTEIN CLASSES
  • PROTEIN EVIDENCE
  • METHODS
  • EDUCATIONAL VIDEOS
DATA
  • DOWNLOADABLE DATA
  • PUBLICATION DATA
  • RELEASE HISTORY
HELP
  • ANTIBODY VALIDATION
  • ASSAYS & ANNOTATION
  • DISCLAIMER
  • HELP & FAQ
  • PRIVACY STATEMENT
  • LICENCE & CITATION
Fields »
Search result

Field
Term
Gene name
Class
Subclass
Class
Keyword
Chromosome
External id
Tissue
Cell type
Expression
Antibody panel
Tissue
Main location
Patient ID
Annotation
Tissue
Category
Tau score
Cluster
Reliability
Brain region
Category
Tau score
Brain region
Category
Tau score
Brain region
Category
Tau score
Cluster
Reliability
Tissue
Cell type
Enrichment
Cell type
Category
Tau score
Cell type
Category
Tau score
Cell type
Category
Tau score
Cell lineage
Category
Tau score
Cluster
Cluster
Location
Searches
Location
Cell line
Class
Type
Phase
Reliability
Cancer
Prognosis
Cancer
Category
Cancer
Category
Tau score
Cluster
Variants
Interacting gene (ensg_id)
Type
Number of interactions
Pathway
Category
Score
Score
Score
Validation
Validation
Validation
Validation
Antibodies
Data type
Column


  • SUMMARY

  • TISSUE

  • BRAIN

  • SINGLE CELL

  • SUBCELL

  • CANCER

  • BLOOD

  • CELL LINE

  • STRUCT & INT

  • KRT18
TISSUE PRIMARY DATA BREAST Show tissue menu
ADIPOSE TISSUE ADRENAL GLAND AMYGDALA APPENDIX BASAL GANGLIA BONE MARROW BREAST BRONCHUS CEREBELLUM CEREBRAL CORTEX CERVIX CHOROID PLEXUS COLON DUODENUM
ENDOMETRIUM EPIDIDYMIS ESOPHAGUS FALLOPIAN TUBE GALLBLADDER HEART MUSCLE HIPPOCAMPAL FORMATION HYPOTHALAMUS KIDNEY LIVER LUNG LYMPH NODE MIDBRAIN NASOPHARYNX
ORAL MUCOSA OVARY PANCREAS PARATHYROID GLAND PITUITARY GLAND PLACENTA PROSTATE RECTUM RETINA SALIVARY GLAND SEMINAL VESICLE SKELETAL MUSCLE SKIN SMALL INTESTINE
SMOOTH MUSCLE SOFT TISSUE SPINAL CORD SPLEEN STOMACH TESTIS THYMUS THYROID GLAND TONGUE TONSIL URINARY BLADDER VAGINA
ANTIBODIES
AND
VALIDATION
Dictionary
Breast
Tissue proteome
Breast
BREAST - Expression summary
Protein expression
Breasti

On the top, protein expression in current human tissue, based on all annotated cell types, is reported with the units not detected (n), low (l), medium (m) and high (h). Underneath, protein expression in each annotated cell type are reported using the same units.

Protein expression data is based on knowledge-based annotation. For genes where more than one antibody has been used, a collective score is set.

If knowledge-based annotation could not be performed for a gene, no data is displayed here. View antibody staining data further down this page.

h
m
l
n
Adipocytes: Not detected
Glandular cells: High
Myoepithelial cells: Not detected
RNA expressioni

A summary of mRNA expression data available for current tissue based on several datasets. The mRNA expression levels in human tissues are based on RNA-seq data generated by the Human Protein Atlas (HPA), Genotype-Tissue Expression (GTEx) portal and CAGE data generated by the FANTOM5 consortium. Consensus normalized expression levels for human tissues was created by combining the data from HPA and GTEx datasets.

The mRNA expression levels in pig are based on RNA-seq data generated by the Human Protein Atlas (HPA), and for mouse, HPA data and in situ hybridization generated by the Allen brain atlas are reported.

Scroll down to view mRNA expression data in more detail.
Consensus:203.5 nTPM
HPA:203.5 nTPM
GTEx:93.9 nTPM
FANTOM5:42.2 Scaled Tags Per Million

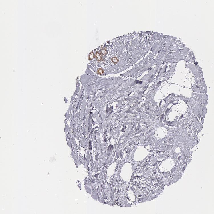
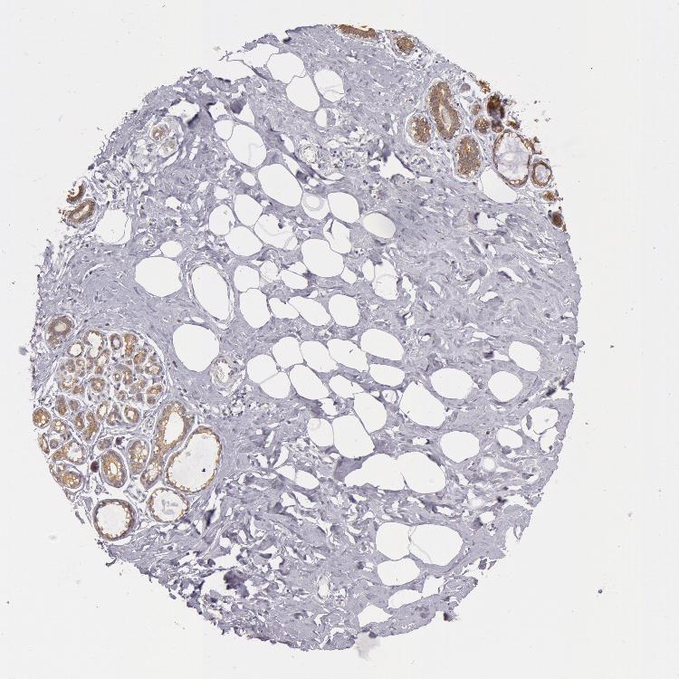
BREAST - Antibody stainingi

Antibody staining in the annotated cell types in the current human tissue is reported as not detected, low, medium, or high, based on conventional immunohistochemistry profiling in selected tissues. This score is based on the combination of the staining intensity and fraction of stained cells.

Each image is clickable and will lead to virtual microscopy that enables deeper exploration of all samples and also displays staining intensity scores, fraction scores and subcellular localization as well as patient and tissue information for each sample.

Antibody HPA001605Antibody CAB000008Antibody CAB000030
Adipocytes Not detectedNot detectedNot detected
Glandular cells MediumHighHigh
Myoepithelial cells Not detectedNot detectedNot detected




BREAST - HPA RNA-seqi

The RNA-seq details section shows detailed information about the individual samples used for the transcript profiling and results of the RNA-seq analysis.

Information about each individual sample is listed below, including gender, age, a tissue section image and estimated fractions of cell types. nTPM (normalized transcripts per million) values give a quantification of the gene abundance which is comparable between different genes and samples.
Average nTPMi

Max subtype nTPM is the value for the subtype with the largest average nTPM across the subtype samples.

203.5
overview
Female, age 52
Breast sample 373
nTPM: 155.9
Cell types%
Glandular cells:
15

Adipocytes:
5

Other cell types:
80

overview
Female, age 80
Breast sample 390
nTPM: 124
Cell types%
Glandular cells:
5

Adipocytes:
15

Other cell types:
80

overview
Female, age 47
Breast sample 405
nTPM: 352.1
Cell types%
Glandular cells:
5

Adipocytes:
5

Other cell types:
90

overview
Female, age 38
Breast sample 410
nTPM: 181.8
Cell types%
Glandular cells:
40

Adipocytes:
5

Other cell types:
55


BREAST - GTEx RNA-seqi

RNA-Seq data generated by the Genotype-Tissue Expression (GTEx) project from human tissues is reported as mean nTPM. More information can be found on the GTEx portal.

Distribution across the dataset is visualized with box plots, shown as median and 25th and 75th percentiles. Points are displayed as outliers if they are above or below 1.5 times the interquartile range. nTPM values of the individual samples are presented next to the box plot.
Max subtype nTPMi

Max subtype nTPM is the value for the subtype with the largest average nTPM across the subtype samples.

93.9
GTEx sample id Sample description nTPM
Breast - Mammary Tissue
Average nTPM: 93.9
Samples: 459

Max nTPM: 733.5
Min nTPM: 1.5
Std nTPM: 103.7
Median nTPM: 70.5
GTEX-14ABY-2126-SM-5QGQZ 50-59 years, male 733.5
GTEX-13SLX-2326-SM-5ZZWE 50-59 years, female 596.8
GTEX-1NUQO-2226-SM-E9U68 20-29 years, female 564.3
GTEX-14H4A-2526-SM-5YYAY 40-49 years, female 500.7
GTEX-1RQEC-2026-SM-DTXDM 60-69 years, male 445.0
GTEX-14PN4-0626-SM-62LFP 50-59 years, male 428.8
GTEX-131XW-0726-SM-5EGK3 50-59 years, female 411.1
GTEX-1BAJH-0826-SM-7EWEF 70-79 years, male 400.2
GTEX-1QP29-1726-SM-E8VMQ 50-59 years, male 375.2
GTEX-1B8SG-1226-SM-7IGPF 50-59 years, male 362.6
GTEX-T2IS-1526-SM-32QPR 20-29 years, female 337.0
GTEX-ZTPG-2826-SM-57WGA 20-29 years, female 331.4
GTEX-145LT-0726-SM-5S2VM 40-49 years, male 329.3
GTEX-1JJEA-2726-SM-ARL8V 60-69 years, male 325.3
GTEX-ZU9S-1926-SM-5NQBP 30-39 years, male 324.7
GTEX-1QCLY-1626-SM-DTXDW 30-39 years, male 315.9
GTEX-1IKJJ-2326-SM-COH3U 60-69 years, male 304.2
GTEX-1F6I4-2526-SM-7SB8F 60-69 years, male 301.3
GTEX-1R7EU-1226-SM-E8VMR 60-69 years, male 289.0
GTEX-1CB4E-0226-SM-79OLW 60-69 years, male 288.8
GTEX-1KANA-2026-SM-DIPFB 20-29 years, male 271.4
GTEX-T5JC-2126-SM-32PMO 20-29 years, male 270.8
GTEX-XOT4-0726-SM-4GIAW 60-69 years, female 266.9
GTEX-13CF2-2026-SM-5K7VI 60-69 years, male 264.4
GTEX-13NZB-2126-SM-5MR4Y 30-39 years, male 260.9
GTEX-T6MN-0726-SM-32PML 50-59 years, male 259.0
GTEX-14ICK-2426-SM-6EU27 40-49 years, male 258.1
GTEX-14LLW-0626-SM-62LFC 70-79 years, female 258.1
GTEX-11TT1-2126-SM-5GU5Y 20-29 years, male 258.0
GTEX-1F75I-2026-SM-7SB7N 40-49 years, male 257.8
GTEX-ZVTK-0326-SM-51MRR 20-29 years, male 257.0
GTEX-1GN2E-2226-SM-9WG6J 60-69 years, male 255.4
GTEX-1N5O9-1126-SM-DTXEQ 60-69 years, male 254.7
GTEX-1RAZQ-1226-SM-EWRNL 30-39 years, male 254.4
GTEX-16NGA-0826-SM-718AF 40-49 years, female 253.8
GTEX-1HUB1-1626-SM-CM2SL 60-69 years, male 251.0
GTEX-1N2EE-2126-SM-E8VNN 60-69 years, male 248.3
GTEX-1A8G7-2426-SM-731AK 60-69 years, male 246.5
GTEX-1MJK2-2226-SM-EVYCR 50-59 years, male 245.0
GTEX-1RAZS-1226-SM-E8VMT 50-59 years, male 241.3
GTEX-1C6VS-0726-SM-7EPHF 60-69 years, male 241.0
GTEX-ZVT2-1826-SM-5NQ8W 50-59 years, female 236.5
GTEX-14AS3-1626-SM-5S2OY 40-49 years, female 235.8
GTEX-1HSKV-2026-SM-CMKGX 60-69 years, male 234.9
GTEX-ZXES-0826-SM-5E43C 30-39 years, female 232.3
GTEX-1GMR8-0726-SM-9KNVI 50-59 years, female 232.3
GTEX-13FTY-2226-SM-5J1ND 40-49 years, female 229.5
GTEX-1CB4J-1826-SM-7EWF9 60-69 years, male 226.9
GTEX-11GS4-2126-SM-5A5KR 60-69 years, male 225.8
GTEX-11EM3-1326-SM-5N9C6 20-29 years, female 224.6
GTEX-11P7K-0726-SM-5EGKX 30-39 years, male 224.3
GTEX-1JMPY-0526-SM-CL54O 30-39 years, male 219.2
GTEX-Y111-2026-SM-4SOJA 50-59 years, male 217.1
GTEX-1J8Q2-2726-SM-A9G2X 60-69 years, male 214.4
GTEX-1LVAM-0926-SM-E9TJ2 50-59 years, female 212.5
GTEX-147F4-2826-SM-5NQBN 50-59 years, male 211.5
GTEX-1POEN-0926-SM-DTX88 30-39 years, female 210.1
GTEX-VJWN-0726-SM-3GIJ8 50-59 years, female 209.9
GTEX-11PRG-0826-SM-5EQ6A 50-59 years, male 209.0
GTEX-ZVE2-1226-SM-5NQ8R 50-59 years, male 204.2
GTEX-1LSNM-1326-SM-E9TJ1 50-59 years, male 203.9
GTEX-1CB4G-2326-SM-79OOI 60-69 years, male 203.6
GTEX-1HKZK-1826-SM-ADEJ2 40-49 years, male 203.3
GTEX-1GMR3-2626-SM-7RHHG 40-49 years, male 201.0
GTEX-14A5I-0726-SM-5TDEB 50-59 years, female 200.4
GTEX-1CAMS-1426-SM-7IGPM 40-49 years, female 199.8
GTEX-17EVP-0226-SM-79OND 40-49 years, male 199.0
GTEX-131YS-0626-SM-5EGKL 60-69 years, female 198.2
GTEX-U412-1826-SM-4DXTJ 60-69 years, male 195.4
GTEX-1I6K7-1026-SM-A9SLK 40-49 years, male 194.2
GTEX-1JJE9-2326-SM-ARL8Q 70-79 years, male 193.9
GTEX-1EU9M-2826-SM-7EWFH 60-69 years, male 192.3
GTEX-1H1E6-0926-SM-9YFLT 30-39 years, male 187.0
GTEX-132Q8-1426-SM-5EGK7 60-69 years, male 186.1
GTEX-RU1J-0626-SM-4WAWY 20-29 years, female 185.9
GTEX-WYBS-0926-SM-3NM94 60-69 years, female 185.7
GTEX-1HBPN-2326-SM-9WPPU 50-59 years, male 185.3
GTEX-1GZ4I-2826-SM-9MQK5 50-59 years, male 184.2
GTEX-1IKOH-2326-SM-CM2TW 60-69 years, female 183.6
GTEX-1GPI6-0626-SM-7RHHJ 60-69 years, male 183.0
GTEX-1IDJE-0826-SM-CKZNZ 50-59 years, female 181.0
GTEX-13O3O-0826-SM-5K7WE 60-69 years, female 179.6
GTEX-1IE54-0626-SM-ARL8D 40-49 years, female 179.6
GTEX-WFG8-2026-SM-EXOHO 20-29 years, male 176.3
GTEX-RU72-0626-SM-46MUI 50-59 years, female 175.9
GTEX-1HCVE-2626-SM-ADEJ8 50-59 years, male 175.5
GTEX-ZC5H-2626-SM-5J2MG 40-49 years, female 174.3
GTEX-QEG5-0726-SM-D4P1T 20-29 years, male 173.3
GTEX-WYVS-1726-SM-3NMAY 40-49 years, female 172.3
GTEX-XUZC-1626-SM-4BRVP 30-39 years, female 171.3
GTEX-14PJO-0726-SM-69LO8 60-69 years, male 170.0
GTEX-139T8-0826-SM-5L3DE 60-69 years, male 169.7
GTEX-17EUY-1926-SM-7DUF6 20-29 years, male 168.5
GTEX-1IY9M-2726-SM-CMKG5 60-69 years, male 168.4
GTEX-Q2AG-0326-SM-48U1O 40-49 years, female 167.3
GTEX-1GN1U-0526-SM-9KNTT 50-59 years, female 165.9
GTEX-T6MO-0326-SM-32QOK 40-49 years, female 165.5
GTEX-ZTX8-1226-SM-4YCE9 20-29 years, male 164.4
GTEX-1A3MV-1626-SM-731C1 30-39 years, male 161.4
GTEX-R3RS-0626-SM-48FE1 40-49 years, female 160.9
GTEX-1399U-1826-SM-5PNZ1 50-59 years, female 159.4
GTEX-11EMC-2026-SM-5A5JV 60-69 years, female 158.5
GTEX-1HSGN-1526-SM-A9SMO 40-49 years, female 158.2
GTEX-111YS-1926-SM-5GICC 60-69 years, male 157.4
GTEX-VUSG-2226-SM-4KKZO 50-59 years, male 157.0
GTEX-15G19-2126-SM-6M48J 60-69 years, male 156.5
GTEX-1JMQK-2626-SM-COH2W 60-69 years, male 153.2
GTEX-1LNCM-0226-SM-DIPF4 50-59 years, female 153.1
GTEX-1C64O-0726-SM-7DUFU 60-69 years, male 153.0
GTEX-1M5QR-2526-SM-E9U5P 40-49 years, male 151.9
GTEX-ZLV1-1426-SM-DO92Z 60-69 years, female 151.8
GTEX-QEL4-2126-SM-447AE 50-59 years, male 151.6
GTEX-ZGAY-1726-SM-DO91P 40-49 years, female 151.3
GTEX-QDT8-0626-SM-48TYW 30-39 years, female 150.3
GTEX-12ZZX-1126-SM-5EGKB 40-49 years, female 147.5
GTEX-11WQC-1726-SM-5GU4W 60-69 years, male 146.9
GTEX-13N11-1726-SM-5J1OJ 50-59 years, female 146.0
GTEX-ZV7C-1826-SM-5NQ83 50-59 years, male 145.3
GTEX-1H1CY-2226-SM-9WG7E 60-69 years, female 145.1
GTEX-1H1DG-0526-SM-9YFLN 70-79 years, male 144.4
GTEX-1MCC2-2126-SM-EWRON 30-39 years, female 143.7
GTEX-1B97I-0426-SM-79OL7 40-49 years, male 143.0
GTEX-18A7A-0726-SM-7LTAI 50-59 years, female 141.1
GTEX-XMD2-0926-SM-4WWEF 60-69 years, female 140.9
GTEX-13QIC-2326-SM-5LU5N 60-69 years, female 139.9
GTEX-WYJK-1326-SM-3NB2T 50-59 years, male 139.9
GTEX-1B933-2526-SM-7IGO5 50-59 years, female 139.1
GTEX-1GMRU-0826-SM-9WYT7 50-59 years, male 137.5
GTEX-15FZZ-0726-SM-7KUFZ 30-39 years, female 137.0
GTEX-1K2DA-1726-SM-CGQGS 50-59 years, male 136.7
GTEX-1I1HK-2426-SM-ADEHX 60-69 years, male 136.0
GTEX-17HHY-0926-SM-793C1 50-59 years, male 135.3
GTEX-1MA7W-1026-SM-DKPQK 20-29 years, female 135.2
GTEX-15ETS-0626-SM-7KUMX 40-49 years, female 134.4
GTEX-17HG3-0126-SM-7IGNH 30-39 years, female 134.3
GTEX-17JCI-0726-SM-7EPH1 60-69 years, female 133.4
GTEX-ZAJG-0626-SM-5HL8X 50-59 years, female 132.8
GTEX-13PL6-2926-SM-5L3I2 40-49 years, female 132.7
GTEX-18QFQ-0826-SM-718AX 30-39 years, male 131.6
GTEX-YFC4-1426-SM-5IFJG 40-49 years, female 130.4
GTEX-WRHU-0326-SM-3MJFY 50-59 years, female 128.0
GTEX-ZY6K-1626-SM-5GZWV 50-59 years, male 127.9
GTEX-ZF29-1926-SM-5S2P1 60-69 years, female 127.5
GTEX-T5JW-2026-SM-4DM63 20-29 years, female 127.0
GTEX-13OW5-2226-SM-5L3HC 60-69 years, male 126.5
GTEX-11DXW-0626-SM-5N9ER 40-49 years, male 125.3
GTEX-15ER7-1626-SM-6PAMZ 20-29 years, female 124.2
GTEX-ZTTD-1026-SM-51MRD 50-59 years, male 123.7
GTEX-1LVAN-1326-SM-CNPQE 50-59 years, female 123.5
GTEX-14BMU-1626-SM-5TDE7 20-29 years, female 123.3
GTEX-1GN1W-1926-SM-7P8TH 50-59 years, female 123.2
GTEX-S4P3-1326-SM-4AD6V 50-59 years, female 122.7
GTEX-1AX8Z-0926-SM-731AW 60-69 years, male 122.4
GTEX-ZF3C-2326-SM-5S2NC 50-59 years, female 121.7
GTEX-133LE-1726-SM-5K7VQ 20-29 years, female 121.6
GTEX-U3ZH-1426-SM-4DXSR 30-39 years, male 121.2
GTEX-15UF6-0126-SM-6PAMB 70-79 years, female 120.7
GTEX-1HCUA-0726-SM-ACKVU 50-59 years, female 120.6
GTEX-1I1GT-1126-SM-ARL7J 60-69 years, female 120.6
GTEX-Y5LM-1726-SM-4VDSX 40-49 years, female 119.4
GTEX-Y3IK-2326-SM-4WWDT 50-59 years, female 118.7
GTEX-14PHY-1926-SM-5YY95 60-69 years, female 117.9
GTEX-11EI6-0626-SM-5985T 60-69 years, male 117.3
GTEX-X15G-1626-SM-3NMB3 50-59 years, female 116.8
GTEX-139TU-0626-SM-5KM3X 60-69 years, male 116.5
GTEX-1F5PL-1026-SM-7RHI1 40-49 years, female 116.5
GTEX-13D11-1026-SM-5IJFB 50-59 years, female 115.6
GTEX-XBED-1626-SM-47JYN 60-69 years, male 114.8
GTEX-Y5V5-2126-SM-4WWFO 60-69 years, female 113.5
GTEX-1GZHY-0726-SM-9WG6B 50-59 years, female 113.4
GTEX-13SLW-2526-SM-62LDQ 70-79 years, male 112.0
GTEX-ZF2S-2026-SM-5E461 50-59 years, female 111.5
GTEX-1269C-2426-SM-5FQSN 60-69 years, female 111.0
GTEX-1KAFJ-0226-SM-DIPEL 50-59 years, male 109.6
GTEX-1J8QM-2026-SM-ARZMW 60-69 years, female 109.2
GTEX-1JK1U-1826-SM-ARL8W 60-69 years, male 108.3
GTEX-1PDJ9-1126-SM-EXUSW 20-29 years, male 108.2
GTEX-17HHE-1426-SM-7EPH4 50-59 years, male 106.9
GTEX-T2YK-2226-SM-32QPT 50-59 years, male 106.4
GTEX-1J8EW-2626-SM-CL53E 60-69 years, female 104.3
GTEX-1GZ2Q-2626-SM-7MXV9 40-49 years, male 104.0
GTEX-13PVR-2226-SM-7DHKP 60-69 years, female 103.3
GTEX-11P81-1926-SM-5BC53 30-39 years, female 103.1
GTEX-1GZ4H-0326-SM-7P8QX 50-59 years, female 102.9
GTEX-SE5C-2126-SM-4BRUJ 40-49 years, female 102.2
GTEX-S4UY-0726-SM-4AD6X 40-49 years, female 101.6
GTEX-13NZ8-0126-SM-5IJCT 60-69 years, female 99.9
GTEX-1IKOE-1326-SM-CE6T6 30-39 years, female 98.7
GTEX-1P4AB-1826-SM-E76PU 50-59 years, male 98.6
GTEX-UPK5-2326-SM-3P5Z8 40-49 years, male 96.4
GTEX-145MO-0826-SM-5NQBL 60-69 years, male 95.9
GTEX-1I4MK-1626-SM-CM2TJ 50-59 years, female 95.6
GTEX-ZVZQ-0826-SM-51MRF 60-69 years, female 95.4
GTEX-1B8KZ-1526-SM-7DUG7 50-59 years, male 94.8
GTEX-S341-1526-SM-4AD6K 40-49 years, female 94.7
GTEX-X4EP-2926-SM-3P5YQ 60-69 years, female 93.3
GTEX-13O3P-0826-SM-5L3DH 50-59 years, male 93.1
GTEX-WXYG-2226-SM-4E3IM 50-59 years, female 93.0
GTEX-ZAK1-1326-SM-EVYAS 50-59 years, female 93.0
GTEX-1B932-0826-SM-73KXG 40-49 years, female 92.8
GTEX-1QEPI-0926-SM-DTXF3 60-69 years, female 90.4
GTEX-1R46S-2526-SM-E8VN2 60-69 years, female 89.9
GTEX-13113-5013-SM-7SB7G 60-69 years, female 89.8
GTEX-1R9PN-0326-SM-DTX85 40-49 years, female 89.7
GTEX-1GMR2-1926-SM-9MQLZ 50-59 years, male 89.0
GTEX-1B8KE-1226-SM-73KWK 50-59 years, male 87.0
GTEX-TMMY-0726-SM-33HBE 40-49 years, female 86.5
GTEX-XUW1-2326-SM-4BOO5 50-59 years, female 85.0
GTEX-13W3W-1226-SM-5LU4H 60-69 years, female 84.8
GTEX-1S82U-1126-SM-E9U6I 30-39 years, female 84.1
GTEX-14PKU-0426-SM-6EU1P 40-49 years, female 83.7
GTEX-1KXAM-1026-SM-CY8IA 60-69 years, male 81.9
GTEX-1192X-2326-SM-5987X 50-59 years, male 81.0
GTEX-1JMPZ-1626-SM-COH31 30-39 years, male 80.0
GTEX-1HCU8-0126-SM-ADEHH 60-69 years, female 79.9
GTEX-13NZ9-1026-SM-5MR5K 50-59 years, male 79.8
GTEX-1F75A-1826-SM-7SB8G 50-59 years, male 78.1
GTEX-RWS6-1926-SM-47JXY 60-69 years, female 77.9
GTEX-ZZPU-0626-SM-5E43T 50-59 years, female 77.1
GTEX-17KNJ-2026-SM-7LG53 50-59 years, male 77.0
GTEX-1QPFJ-2026-SM-EVYBE 30-39 years, female 77.0
GTEX-1313W-0826-SM-5EQ4T 50-59 years, female 75.1
GTEX-1QCLZ-2326-SM-DTXDO 60-69 years, female 75.1
GTEX-1GF9X-1026-SM-ACKX2 40-49 years, female 73.4
GTEX-15SHW-1326-SM-6PAL8 60-69 years, male 73.3
GTEX-13FHO-0826-SM-5L3E8 60-69 years, male 73.2
GTEX-1HCU9-0326-SM-9WYSC 20-29 years, male 72.8
GTEX-UJHI-1426-SM-3DB9C 50-59 years, female 72.4
GTEX-XMD1-0826-SM-4AT52 60-69 years, male 70.9
GTEX-1B97J-0426-SM-79OLQ 50-59 years, female 70.5
GTEX-1K9T9-1426-SM-DIPFQ 50-59 years, female 69.5
GTEX-1MCYP-0126-SM-E6CIS 20-29 years, female 67.2
GTEX-11NSD-0926-SM-5N9DR 20-29 years, male 64.5
GTEX-XYKS-1326-SM-4BRUN 60-69 years, female 64.2
GTEX-ZEX8-2226-SM-57WC6 50-59 years, male 62.5
GTEX-ZVT4-1026-SM-57WC4 50-59 years, female 62.4
GTEX-X261-0626-SM-3NMD9 50-59 years, male 62.2
GTEX-11LCK-2426-SM-5HL5F 30-39 years, male 61.9
GTEX-11GSP-0926-SM-9WYSG 60-69 years, female 61.6
GTEX-Y114-2026-SM-4TT7L 50-59 years, female 60.5
GTEX-1122O-1226-SM-5H113 60-69 years, female 57.2
GTEX-1LGRB-1826-SM-CNPQL 50-59 years, female 57.2
GTEX-U3ZN-1926-SM-4DXSG 30-39 years, female 57.0
GTEX-YB5K-1626-SM-5IFIN 40-49 years, female 56.9
GTEX-1HR9M-2426-SM-ACKXI 60-69 years, male 56.6
GTEX-1211K-1926-SM-5EQLB 60-69 years, female 54.6
GTEX-Y8LW-1626-SM-5IFHX 50-59 years, female 53.8
GTEX-TML8-1226-SM-32QON 40-49 years, female 53.7
GTEX-QVJO-1826-SM-447C9 60-69 years, female 52.4
GTEX-1E2YA-2726-SM-7IGPW 50-59 years, male 50.4
GTEX-1117F-2826-SM-5GZXL 60-69 years, female 50.2
GTEX-16BQI-1026-SM-7KUEA 30-39 years, female 49.6
GTEX-1B8L1-2426-SM-9WYTE 60-69 years, male 48.7
GTEX-17F98-0526-SM-79OK5 40-49 years, female 47.2
GTEX-1J8Q3-1326-SM-CMKI1 60-69 years, male 45.9
GTEX-WOFL-0826-SM-3MJG1 60-69 years, male 45.8
GTEX-1I1GU-1026-SM-ADEHJ 40-49 years, male 44.8
GTEX-WI4N-1426-SM-3LK7H 40-49 years, female 44.4
GTEX-1314G-1226-SM-5BC6D 30-39 years, male 44.0
GTEX-1HC8U-0826-SM-ADEIL 40-49 years, female 43.5
GTEX-1I19N-2826-SM-CL55D 70-79 years, male 43.1
GTEX-11I78-2226-SM-5PNYA 50-59 years, female 42.7
GTEX-12WSK-2226-SM-5GCO5 40-49 years, female 41.6
GTEX-ZPIC-1126-SM-5BC7F 40-49 years, female 41.6
GTEX-15EOM-5019-SM-793DK 20-29 years, female 40.0
GTEX-W5X1-2326-SM-3GIL6 40-49 years, female 33.6
GTEX-146FH-0826-SM-5SI8T 50-59 years, female 31.7
GTEX-1QP28-1226-SM-E9J2M 50-59 years, female 30.8
GTEX-R53T-1526-SM-48FEK 50-59 years, female 29.0
GTEX-1JMOU-2026-SM-CMKGU 60-69 years, female 26.3
GTEX-1JN1M-3026-SM-CMKGK 60-69 years, female 26.2
GTEX-12WSN-1326-SM-5GCNT 40-49 years, male 25.3
GTEX-1EWIQ-1726-SM-7SB7T 70-79 years, female 24.6
GTEX-13OW8-0226-SM-5K7UP 60-69 years, male 24.2
GTEX-1HBPM-0126-SM-ARL9E 60-69 years, female 24.1
GTEX-11EQ9-1826-SM-5Q5AJ 30-39 years, male 24.0
GTEX-Y3I4-1526-SM-4TT7K 50-59 years, male 23.8
GTEX-S33H-0326-SM-4AD6N 30-39 years, male 22.9
GTEX-1C475-1226-SM-7SB72 40-49 years, female 21.3
GTEX-1F75B-0626-SM-7SB8A 50-59 years, male 21.0
GTEX-Z9EW-1526-SM-EZ6LU 40-49 years, male 20.0
GTEX-11WQK-2426-SM-5GU5C 50-59 years, male 19.8
GTEX-1IDJU-1826-SM-CMKHV 60-69 years, female 19.5
GTEX-1IDJH-2226-SM-E6CJV 70-79 years, male 19.1
GTEX-1KANC-1426-SM-CYPT9 50-59 years, female 18.7
GTEX-1R9JW-0326-SM-EAZ45 30-39 years, female 18.5
GTEX-ZYW4-0826-SM-5GIDG 60-69 years, male 17.0
GTEX-1PPH7-0826-SM-E8VNX 40-49 years, male 17.0
GTEX-1R9PM-1826-SM-EVYBH 20-29 years, male 15.5
GTEX-14E6C-1326-SM-62LEQ 40-49 years, male 15.1
GTEX-1ICG6-1326-SM-ACKWR 70-79 years, female 14.4
GTEX-1QW4Y-1026-SM-DTXE2 30-39 years, male 13.8
GTEX-1PPGY-1526-SM-EVYBK 60-69 years, male 13.6
GTEX-XQ3S-1326-SM-4BOPQ 20-29 years, male 13.5
GTEX-ZLWG-1926-SM-DO92J 50-59 years, female 13.2
GTEX-ZYFC-0826-SM-5E44K 50-59 years, male 13.1
GTEX-ZV6S-1826-SM-5NQ8D 40-49 years, female 12.8
GTEX-1HFI7-0126-SM-CGQFQ 50-59 years, female 12.7
GTEX-18D9A-1526-SM-7LG4J 30-39 years, female 11.1
GTEX-1IDFM-0426-SM-B2LVV 60-69 years, male 11.1
GTEX-1LC47-1226-SM-D4P44 60-69 years, male 10.8
GTEX-Y8E4-1626-SM-5S2MW 40-49 years, male 10.7
GTEX-1GPI7-0926-SM-7PC3J 20-29 years, male 10.4
GTEX-1A3MX-2726-SM-718B6 60-69 years, male 10.2
GTEX-1ICLZ-0426-SM-B2LW2 60-69 years, male 10.2
GTEX-132NY-0826-SM-5K7Y7 60-69 years, male 10.1
GTEX-1N2EF-2226-SM-E9J33 60-69 years, male 10.1
GTEX-1QMI2-0726-SM-E9J4F 60-69 years, male 10.1
GTEX-17MF6-0326-SM-7EPH5 40-49 years, male 10.0
GTEX-13VXU-2826-SM-664MA 50-59 years, male 9.7
GTEX-ZWKS-2826-SM-5NQ74 30-39 years, male 9.3
GTEX-145ME-1526-SM-5Q5F2 40-49 years, female 9.0
GTEX-145MN-1926-SM-5SIAI 30-39 years, male 9.0
GTEX-12BJ1-1826-SM-5HL9N 60-69 years, male 8.9
GTEX-ZAB4-2526-SM-5HL8M 40-49 years, male 8.9
GTEX-1NV8Z-2826-SM-E8VME 60-69 years, male 8.9
GTEX-1KD4Q-2326-SM-D4P3M 40-49 years, male 8.7
GTEX-13S86-1226-SM-5S2OA 40-49 years, male 8.6
GTEX-17F96-2426-SM-7IGLN 70-79 years, male 8.4
GTEX-1IDJF-2326-SM-ARL86 20-29 years, male 8.2
GTEX-17F97-2526-SM-7EWDV 50-59 years, male 8.1
GTEX-1GF9U-1726-SM-7MGY5 40-49 years, female 8.1
GTEX-1JKYR-0926-SM-CMKGJ 20-29 years, male 8.1
GTEX-13FTX-1126-SM-5N9EN 20-29 years, female 8.0
GTEX-13W46-0826-SM-5LU3H 50-59 years, male 7.8
GTEX-144GL-2026-SM-5LU3O 50-59 years, male 7.8
GTEX-15RJE-2626-SM-7KFT1 40-49 years, male 7.8
GTEX-R55D-0826-SM-48FEA 50-59 years, male 7.8
GTEX-1F5PK-2126-SM-7PC28 50-59 years, male 7.8
GTEX-1I6K6-0826-SM-ARL7Z 30-39 years, male 7.8
GTEX-1HSMO-0826-SM-ADEIV 60-69 years, male 7.7
GTEX-1OKEX-0826-SM-E9J2B 60-69 years, male 7.7
GTEX-YJ8O-2226-SM-5IFHW 40-49 years, female 7.6
GTEX-11DZ1-0326-SM-5N9BN 50-59 years, male 7.4
GTEX-14753-2426-SM-5LU8U 60-69 years, male 7.3
GTEX-Y5V6-2126-SM-4WWFX 60-69 years, male 7.3
GTEX-12WSM-1726-SM-5BC6J 60-69 years, male 7.2
GTEX-1AX9J-1126-SM-731B7 60-69 years, male 7.2
GTEX-ZUA1-1526-SM-59HLS 40-49 years, male 7.2
GTEX-1IGQW-0926-SM-ADEH6 60-69 years, male 7.2
GTEX-13O3Q-2226-SM-5KM4O 50-59 years, male 7.1
GTEX-169BO-1126-SM-7MGWN 50-59 years, male 7.0
GTEX-1H23P-0726-SM-9WG7K 60-69 years, male 6.9
GTEX-15UF7-0726-SM-6M46D 40-49 years, male 6.8
GTEX-1AMEY-1026-SM-718AA 30-39 years, female 6.8
GTEX-183FY-1126-SM-7DHLJ 20-29 years, male 6.6
GTEX-XV7Q-2326-SM-4BRVZ 40-49 years, female 6.6
GTEX-1HT8W-2226-SM-CGQEC 30-39 years, male 6.6
GTEX-1HCU7-1026-SM-ADEIP 50-59 years, male 6.3
GTEX-1L5NE-2126-SM-CY8IH 50-59 years, male 6.3
GTEX-YECK-0726-SM-EZ6LV 60-69 years, male 6.3
GTEX-ZDTT-2126-SM-DKPOM 60-69 years, male 6.3
GTEX-1ICLY-1726-SM-B2LVT 50-59 years, male 6.2
GTEX-1JN6P-2426-SM-ARL99 60-69 years, male 6.2
GTEX-144GM-0926-SM-5O994 20-29 years, male 6.1
GTEX-S7SE-0826-SM-4AT4D 50-59 years, male 6.1
GTEX-1H3VY-0926-SM-ACKXE 50-59 years, male 6.0
GTEX-PSDG-1626-SM-48TCQ 50-59 years, male 5.9
GTEX-XQ8I-2426-SM-4WAXY 50-59 years, male 5.9
GTEX-1GF9V-2526-SM-7SB8K 60-69 years, male 5.9
GTEX-S32W-2026-SM-4AD6E 50-59 years, female 5.8
GTEX-145MF-2226-SM-7EPIR 50-59 years, male 5.7
GTEX-Y9LG-1426-SM-5IFJZ 30-39 years, male 5.7
GTEX-1RLM8-2226-SM-EVYD1 50-59 years, male 5.6
GTEX-X4XY-0926-SM-4E3JD 60-69 years, male 5.5
GTEX-YB5E-1726-SM-5IFJ3 40-49 years, male 5.5
GTEX-1M4P7-2626-SM-E9U5F 60-69 years, male 5.4
GTEX-11OF3-1926-SM-59889 60-69 years, male 5.3
GTEX-1EKGG-2626-SM-7IGPY 60-69 years, male 5.3
GTEX-TKQ1-0226-SM-33HB5 30-39 years, male 5.3
GTEX-ZDXO-0126-SM-5S2ND 60-69 years, male 5.3
GTEX-117XS-1926-SM-5GICO 60-69 years, male 5.2
GTEX-1LG7Z-0726-SM-CXKYD 30-39 years, male 5.2
GTEX-14B4R-1226-SM-5TDDT 30-39 years, male 5.1
GTEX-17F9E-2526-SM-7MGW2 50-59 years, male 5.1
GTEX-1H4P4-2226-SM-9MQKQ 50-59 years, male 5.1
GTEX-1QP9N-1826-SM-E8VMP 30-39 years, male 5.1
GTEX-S4Q7-1126-SM-4AD6R 20-29 years, male 5.0
GTEX-11DXY-2326-SM-5GICW 60-69 years, male 4.9
GTEX-11NV4-2026-SM-5N9DG 60-69 years, male 4.9
GTEX-17EVQ-0426-SM-7LG57 70-79 years, male 4.9
GTEX-13O61-1826-SM-5KM4I 60-69 years, male 4.8
GTEX-ZZ64-1226-SM-5E43R 20-29 years, male 4.8
GTEX-117YX-1426-SM-5H12H 50-59 years, male 4.7
GTEX-183WM-0726-SM-7LTAA 70-79 years, female 4.7
GTEX-UTHO-1026-SM-3GAF7 60-69 years, male 4.7
GTEX-ZA64-1526-SM-5CVMD 20-29 years, male 4.7
GTEX-1HSEH-2026-SM-ADEHN 60-69 years, male 4.6
GTEX-13FTW-1426-SM-5LZWZ 40-49 years, male 4.5
GTEX-XGQ4-0926-SM-4AT4U 50-59 years, male 4.5
GTEX-YFCO-1826-SM-4W1YH 40-49 years, male 4.5
GTEX-ZYT6-0126-SM-5E45J 30-39 years, male 4.5
GTEX-18A66-1726-SM-7LG5N 60-69 years, male 4.5
GTEX-18A6Q-0926-SM-7LG4N 60-69 years, male 4.4
GTEX-1LSNL-2826-SM-E9U5L 50-59 years, male 4.4
GTEX-X62O-0526-SM-EWRMA 50-59 years, male 4.4
GTEX-11GSO-1926-SM-5A5K3 60-69 years, male 4.3
GTEX-13CF3-2126-SM-5IFJP 60-69 years, female 4.3
GTEX-RUSQ-2026-SM-4GIAK 50-59 years, male 4.3
GTEX-1C6WA-2426-SM-7SB86 60-69 years, male 4.3
GTEX-1HR98-0426-SM-COH36 60-69 years, male 4.3
GTEX-1LSVX-2426-SM-E6CJX 60-69 years, male 4.3
GTEX-WHSB-1926-SM-EXOHH 50-59 years, male 4.3
GTEX-1KD5A-1926-SM-DKPQA 50-59 years, male 4.2
GTEX-ZLFU-2126-SM-DO931 40-49 years, male 4.2
GTEX-11P82-1326-SM-5HL62 20-29 years, male 4.1
GTEX-YEC3-1026-SM-5IFI5 50-59 years, male 4.1
GTEX-1EN7A-1426-SM-7PBY4 40-49 years, male 4.1
GTEX-1H1ZS-0126-SM-9YFKQ 70-79 years, male 4.1
GTEX-WY7C-2726-SM-3NB3P 50-59 years, male 4.0
GTEX-11ONC-2126-SM-5HL6E 60-69 years, male 3.9
GTEX-1MJK3-1126-SM-E9J3F 20-29 years, male 3.9
GTEX-18A7B-2626-SM-7LG55 70-79 years, male 3.8
GTEX-1I1GP-0426-SM-COH3N 50-59 years, male 3.8
GTEX-1IOXB-1926-SM-ARL8E 50-59 years, male 3.8
GTEX-13QJ3-0826-SM-7DHKK 50-59 years, male 3.7
GTEX-1AX9I-0726-SM-73KWV 60-69 years, male 3.7
GTEX-1JMLX-2026-SM-CMKGN 50-59 years, male 3.7
GTEX-1MA7X-1626-SM-E9U5B 60-69 years, male 3.7
GTEX-17MFQ-0926-SM-7LG4S 20-29 years, male 3.6
GTEX-REY6-2426-SM-48FF5 60-69 years, male 3.6
GTEX-TKQ2-1826-SM-33HB2 50-59 years, male 3.6
GTEX-1R7EV-1526-SM-E8VOD 40-49 years, male 3.6
GTEX-11O72-2126-SM-5N9FO 40-49 years, male 3.5
GTEX-16YQH-2826-SM-6PAMY 30-39 years, male 3.5
GTEX-17GQL-0326-SM-7LG5U 60-69 years, male 3.5
GTEX-1S82Z-0726-SM-E6CHX 30-39 years, female 3.5
GTEX-11DXZ-1926-SM-5GZZL 50-59 years, male 3.4
GTEX-139T6-1626-SM-5PNYZ 50-59 years, male 3.3
GTEX-14BMV-0626-SM-793AU 50-59 years, male 3.3
GTEX-ZT9W-2026-SM-51MRA 50-59 years, male 3.3
GTEX-11ZTT-2326-SM-5EQLG 60-69 years, female 3.2
GTEX-132AR-0826-SM-5EGK6 50-59 years, female 3.2
GTEX-14DAR-1326-SM-7DUEG 50-59 years, male 3.2
GTEX-V955-2026-SM-3GAFA 60-69 years, male 3.2
GTEX-WFON-1826-SM-3GILG 40-49 years, male 3.2
GTEX-12KS4-0126-SM-5Q5A5 30-39 years, male 3.1
GTEX-13N1W-0626-SM-5MR4U 70-79 years, male 3.1
GTEX-14E7W-0826-SM-62LEJ 70-79 years, male 3.1
GTEX-18465-2026-SM-718AP 50-59 years, male 3.1
GTEX-ZQUD-1926-SM-51MSA 30-39 years, male 3.1
GTEX-ZQG8-0726-SM-5P9H9 60-69 years, female 3.0
GTEX-11ZUS-0826-SM-5FQUY 30-39 years, male 2.8
GTEX-11TUW-1826-SM-5BC5D 60-69 years, male 2.7
GTEX-13PVQ-1026-SM-5KM3M 50-59 years, male 2.7
GTEX-14PJ4-2126-SM-6ETZJ 60-69 years, male 2.7
GTEX-1C6VQ-0426-SM-79OOX 50-59 years, male 2.7
GTEX-XMK1-1126-SM-4IHJ8 40-49 years, male 2.7
GTEX-1I1GV-2426-SM-CGQFM 60-69 years, male 2.7
GTEX-ZDYS-1126-SM-5K7UB 50-59 years, male 2.5
GTEX-1CAMR-1426-SM-793BO 20-29 years, male 2.4
GTEX-17HGU-1326-SM-79OKB 50-59 years, male 2.3
GTEX-14E6E-1326-SM-5S2NR 30-39 years, male 2.2
GTEX-1H11D-1526-SM-9MQJY 40-49 years, male 2.2
GTEX-QMRM-1626-SM-D4P1U 50-59 years, male 2.2
GTEX-1LBAC-0926-SM-CXKY9 20-29 years, male 2.1
GTEX-1NHNU-0926-SM-E9J2T 50-59 years, male 2.1
GTEX-1JKYN-0726-SM-ARZMY 30-39 years, male 1.9
GTEX-U8XE-0826-SM-4E3J1 30-39 years, male 1.5
Show allShow less

BREAST - FANTOM5 CAGEi

RNA expression in human tissues obtained through Cap Analysis of Gene Expression (CAGE) generated by the FANTOM5 project are reported as Scaled Tags Per Million.

Max subtype Scaled Tags Per Millioni

Max subtype Scaled Tags Per Million is the value for the subtype with the largest average Scaled Tags Per Million across the subtype samples.

42.2
FANTOM5 sample id Sample description Scaled Tags Per Million
Breast
Scaled Tags Per Million: 42.2
FF:10080-102A8 77 years, female 42.2

Contact

  • NEWS ARTICLES
  • PRESS ROOM

The Project

  • INTRODUCTION
  • ORGANIZATION
  • PUBLICATIONS

The Human Protein Atlas

  • DOWNLOADABLE DATA
  • LICENCE & CITATION
  • HELP & FAQ
The Human Protein Atlas project is funded
by the Knut & Alice Wallenberg Foundation.


contact@proteinatlas.org