We use cookies to enhance the usability of our website. If you continue, we'll assume that you are happy to receive all cookies. More information. Don't show this again.
KRT18
HPA
RESOURCES
  • TISSUE
  • BRAIN
  • SINGLE CELL
  • SUBCELLULAR
  • CANCER
  • BLOOD
  • CELL LINE
  • STRUCTURE & INTERACTION
ABOUT
  • INTRODUCTION
  • HISTORY
  • ORGANIZATION
  • PUBLICATIONS
  • ANTIBODY SUBMISSION
  • ANTIBODY AVAILABILITY
  • ACKNOWLEDGMENTS
  • CONTACT
NEWS
  • NEWS ARTICLES
  • PRESS ROOM
LEARN
  • DICTIONARY
  • PROTEIN CLASSES
  • PROTEIN EVIDENCE
  • METHODS
  • EDUCATIONAL VIDEOS
DATA
  • DOWNLOADABLE DATA
  • PUBLICATION DATA
  • RELEASE HISTORY
HELP
  • ANTIBODY VALIDATION
  • ASSAYS & ANNOTATION
  • DISCLAIMER
  • HELP & FAQ
  • PRIVACY STATEMENT
  • LICENCE & CITATION
Fields »
Search result

Field
Term
Gene name
Class
Subclass
Class
Keyword
Chromosome
External id
Tissue
Cell type
Expression
Antibody panel
Tissue
Main location
Patient ID
Annotation
Tissue
Category
Tau score
Cluster
Reliability
Brain region
Category
Tau score
Brain region
Category
Tau score
Brain region
Category
Tau score
Cluster
Reliability
Tissue
Cell type
Enrichment
Cell type
Category
Tau score
Cell type
Category
Tau score
Cell type
Category
Tau score
Cell lineage
Category
Tau score
Cluster
Cluster
Location
Searches
Location
Cell line
Class
Type
Phase
Reliability
Cancer
Prognosis
Cancer
Category
Cancer
Category
Tau score
Cluster
Variants
Interacting gene (ensg_id)
Type
Number of interactions
Pathway
Category
Score
Score
Score
Validation
Validation
Validation
Validation
Antibodies
Data type
Column


  • SUMMARY

  • TISSUE

  • BRAIN

  • SINGLE CELL

  • SUBCELL

  • CANCER

  • BLOOD

  • CELL LINE

  • STRUCT & INT

  • KRT18
TISSUE PRIMARY DATA SKIN Show tissue menu
ADIPOSE TISSUE ADRENAL GLAND AMYGDALA APPENDIX BASAL GANGLIA BONE MARROW BREAST BRONCHUS CEREBELLUM CEREBRAL CORTEX CERVIX CHOROID PLEXUS COLON DUODENUM
ENDOMETRIUM EPIDIDYMIS ESOPHAGUS FALLOPIAN TUBE GALLBLADDER HEART MUSCLE HIPPOCAMPAL FORMATION HYPOTHALAMUS KIDNEY LIVER LUNG LYMPH NODE MIDBRAIN NASOPHARYNX
ORAL MUCOSA OVARY PANCREAS PARATHYROID GLAND PITUITARY GLAND PLACENTA PROSTATE RECTUM RETINA SALIVARY GLAND SEMINAL VESICLE SKELETAL MUSCLE SKIN SMALL INTESTINE
SMOOTH MUSCLE SOFT TISSUE SPINAL CORD SPLEEN STOMACH TESTIS THYMUS THYROID GLAND TONGUE TONSIL URINARY BLADDER VAGINA
ANTIBODIES
AND
VALIDATION
Dictionary
Skin
Tissue proteome
Skin
SKIN - Expression summary
Protein expression
Skini

On the top, protein expression in current human tissue, based on all annotated cell types, is reported with the units not detected (n), low (l), medium (m) and high (h). Underneath, protein expression in each annotated cell type are reported using the same units.

Protein expression data is based on knowledge-based annotation. For genes where more than one antibody has been used, a collective score is set.

If knowledge-based annotation could not be performed for a gene, no data is displayed here. View antibody staining data further down this page.

h
m
l
n
Cells in basal layer: Medium
Cells in corneal layer: Not detected
Cells in granular layer: Not detected
Cells in spinous layer: Not detected
Endothelial cells: Not detected
Extracellular matrix: Not detected
Fibrohistiocytic cells: Not detected
Hair follicles: Medium
Langerhans cells: Not detected
Lymphocytes: Not detected
Melanocytes: Not detected
Sebaceous glands: Not detected
Vascular mural cells: Not detected
RNA expressioni

A summary of mRNA expression data available for current tissue based on several datasets. The mRNA expression levels in human tissues are based on RNA-seq data generated by the Human Protein Atlas (HPA), Genotype-Tissue Expression (GTEx) portal and CAGE data generated by the FANTOM5 consortium. Consensus normalized expression levels for human tissues was created by combining the data from HPA and GTEx datasets.

The mRNA expression levels in pig are based on RNA-seq data generated by the Human Protein Atlas (HPA), and for mouse, HPA data and in situ hybridization generated by the Allen brain atlas are reported.

Scroll down to view mRNA expression data in more detail.
Consensus:43.1 nTPM
HPA:3.4 nTPM
GTEx:43.1 nTPM

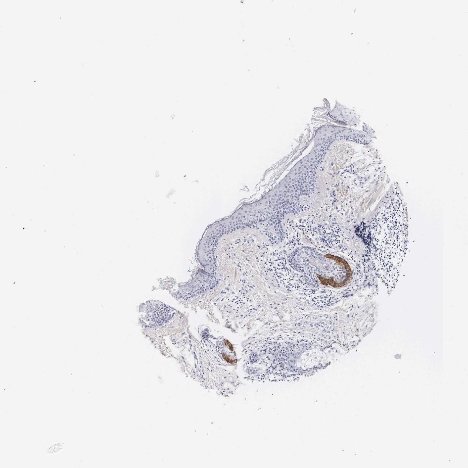
SKIN 1 - Antibody stainingi

Antibody staining in the annotated cell types in the current human tissue is reported as not detected, low, medium, or high, based on conventional immunohistochemistry profiling in selected tissues. This score is based on the combination of the staining intensity and fraction of stained cells.

Each image is clickable and will lead to virtual microscopy that enables deeper exploration of all samples and also displays staining intensity scores, fraction scores and subcellular localization as well as patient and tissue information for each sample.

Antibody HPA001605Antibody CAB000008Antibody CAB000030
Langerhans MediumNot detected-
Cells in basal layer --Not detected
Cells in corneal layer --Not detected
Cells in granular layer --Not detected
Cells in spinous layer --Not detected
Endothelial cells --Not detected
Extracellular matrix --Not detected
Fibroblasts Not detectedNot detected-
Fibrohistiocytic cells --Not detected
Hair follicles --Medium
Keratinocytes MediumNot detected-
Langerhans cells --Not detected
Lymphocytes --Not detected
Melanocytes MediumNot detectedNot detected
Sebaceous glands --Not detected
Vascular mural cells --Not detected




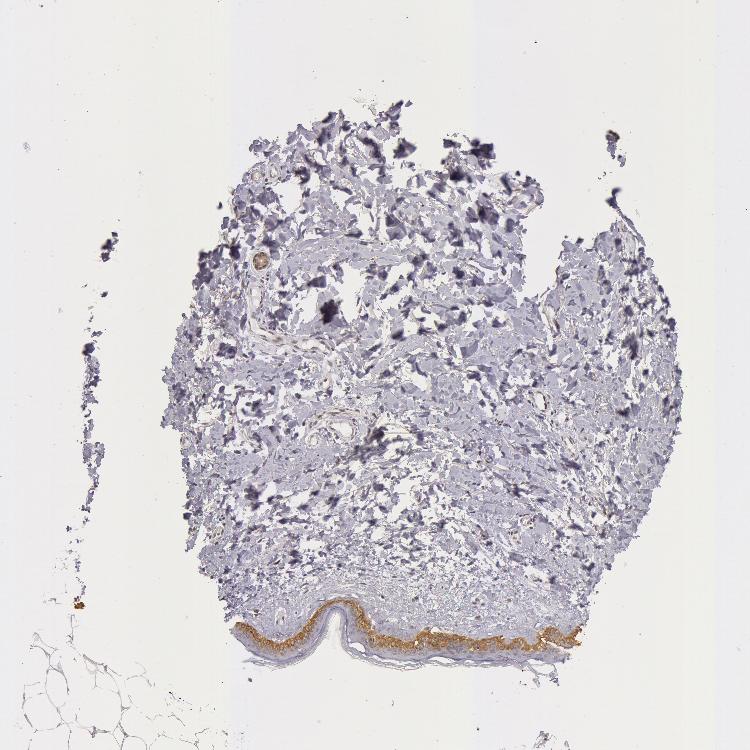
SKIN 2 - Antibody stainingi

Antibody staining in the annotated cell types in the current human tissue is reported as not detected, low, medium, or high, based on conventional immunohistochemistry profiling in selected tissues. This score is based on the combination of the staining intensity and fraction of stained cells.

Each image is clickable and will lead to virtual microscopy that enables deeper exploration of all samples and also displays staining intensity scores, fraction scores and subcellular localization as well as patient and tissue information for each sample.

Antibody HPA001605Antibody CAB000008Antibody CAB000030
Cells in basal layer --Medium
Cells in corneal layer --Not detected
Cells in granular layer --Not detected
Cells in spinous layer --Not detected
Endothelial cells --Not detected
Epidermal cells MediumNot detected-
Extracellular matrix --Not detected
Fibrohistiocytic cells --Not detected
Hair follicles --Not detected
Langerhans cells --Not detected
Lymphocytes --Not detected
Melanocytes --Not detected
Sebaceous glands --Not detected
Vascular mural cells --Not detected
   
   







SKIN - HPA RNA-seqi

The RNA-seq details section shows detailed information about the individual samples used for the transcript profiling and results of the RNA-seq analysis.

Information about each individual sample is listed below, including gender, age, a tissue section image and estimated fractions of cell types. nTPM (normalized transcripts per million) values give a quantification of the gene abundance which is comparable between different genes and samples.
Average nTPMi

Max subtype nTPM is the value for the subtype with the largest average nTPM across the subtype samples.

3.4
overview
Female, age 34
Skin sample 225
nTPM: 2.9
Cell types%
Keratinocytes:
60

Other cell types:
40

overview
Female, age 30
Skin sample 226
nTPM: 5.4
Cell types%
Keratinocytes:
55

Other cell types:
45

N/A
Male, age 57
Skin sample 227
nTPM: 1.8

SKIN - GTEx RNA-seqi

RNA-Seq data generated by the Genotype-Tissue Expression (GTEx) project from human tissues is reported as mean nTPM. More information can be found on the GTEx portal.

Distribution across the dataset is visualized with box plots, shown as median and 25th and 75th percentiles. Points are displayed as outliers if they are above or below 1.5 times the interquartile range. nTPM values of the individual samples are presented next to the box plot.
Max subtype nTPMi

Max subtype nTPM is the value for the subtype with the largest average nTPM across the subtype samples.

43.1
GTEx sample id Sample description nTPM
Skin - Not Sun Exposed (Suprapubic)
Average nTPM: 34.9
Samples: 604

Max nTPM: 172.9
Min nTPM: 1.0
Std nTPM: 31.5
Median nTPM: 25.7
GTEX-WH7G-2026-SM-3NMBL 40-49 years, male 172.9
GTEX-14E6C-2426-SM-5S2NF 40-49 years, male 167.3
GTEX-1QP66-1226-SM-DTX7U 50-59 years, male 165.1
GTEX-13RTJ-0126-SM-5S2NN 60-69 years, male 161.6
GTEX-1CAV2-0126-SM-7IGN7 40-49 years, female 160.3
GTEX-1C64O-1326-SM-7MGWR 60-69 years, male 151.2
GTEX-1L5NE-1126-SM-D3L9P 50-59 years, male 149.0
GTEX-11TT1-1826-SM-5EQLV 20-29 years, male 144.0
GTEX-YF7O-1526-SM-5IFI6 50-59 years, male 142.3
GTEX-1LGOU-1326-SM-D3L8M 20-29 years, female 138.0
GTEX-1F75I-2226-SM-7SB8U 40-49 years, male 136.3
GTEX-117YX-1926-SM-5GIEC 50-59 years, male 129.3
GTEX-ZYW4-0626-SM-59HJR 60-69 years, male 128.4
GTEX-145MO-2826-SM-5LU96 60-69 years, male 127.4
GTEX-ZAJG-1526-SM-5CVML 50-59 years, female 118.8
GTEX-1A32A-0626-SM-731AQ 50-59 years, female 118.4
GTEX-1RAZA-2226-SM-E9U4X 20-29 years, male 117.8
GTEX-1IDJC-1526-SM-B2LW4 50-59 years, male 116.9
GTEX-12WSL-2026-SM-5GCML 50-59 years, male 115.1
GTEX-1H1E6-0426-SM-9WYUS 30-39 years, male 111.5
GTEX-14DAQ-0626-SM-793DS 60-69 years, female 108.6
GTEX-1192X-2726-SM-5N9DN 50-59 years, male 107.1
GTEX-1R9K4-2826-SM-DTX8F 60-69 years, male 105.4
GTEX-12BJ1-0926-SM-5EQ62 60-69 years, male 104.3
GTEX-16NGA-0726-SM-731AO 40-49 years, female 103.6
GTEX-UPK5-0426-SM-3GAEK 40-49 years, male 103.0
GTEX-18A7B-2726-SM-7LG56 70-79 years, male 101.7
GTEX-11EM3-1226-SM-5N9DD 20-29 years, female 101.6
GTEX-XOT4-0626-SM-4B66L 60-69 years, female 101.4
GTEX-XMD2-2126-SM-4YCF8 60-69 years, female 101.1
GTEX-1B996-0426-SM-7EWF8 60-69 years, male 101.0
GTEX-ZT9W-1126-SM-57WDR 50-59 years, male 100.0
GTEX-ZDXO-3126-SM-5IJDF 60-69 years, male 99.9
GTEX-13FH7-1126-SM-5K7UG 50-59 years, female 99.3
GTEX-131XH-0126-SM-5LZUY 50-59 years, male 98.6
GTEX-1I19N-0126-SM-CYPSF 70-79 years, male 94.8
GTEX-1AX9J-1326-SM-731BJ 60-69 years, male 92.7
GTEX-1O9I2-0226-SM-EYYXD 50-59 years, male 91.0
GTEX-13JUV-2026-SM-5K7UA 40-49 years, female 90.4
GTEX-12696-0126-SM-5EQ4L 60-69 years, male 90.2
GTEX-1QEPI-2626-SM-DTXF4 60-69 years, female 90.2
GTEX-17EVQ-0126-SM-7IGLR 70-79 years, male 89.1
GTEX-14PJO-2526-SM-6AJBQ 60-69 years, male 88.8
GTEX-WY7C-2126-SM-3NB2R 50-59 years, male 86.3
GTEX-1KANC-1226-SM-CYPT7 50-59 years, female 85.7
GTEX-1N5O9-0926-SM-E9J3C 60-69 years, male 85.5
GTEX-111FC-2526-SM-5GZXU 60-69 years, male 85.2
GTEX-1HCU9-0426-SM-9WYSD 20-29 years, male 85.0
GTEX-139TS-2126-SM-5K7XC 60-69 years, male 84.0
GTEX-14BMU-1226-SM-5S2OR 20-29 years, female 83.9
GTEX-1QP9N-1226-SM-E76QN 30-39 years, male 83.7
GTEX-1LSNM-0826-SM-DIPG8 50-59 years, male 83.6
GTEX-1HSMP-0926-SM-A9SKX 70-79 years, male 83.1
GTEX-14E1K-2026-SM-7DUEI 50-59 years, male 83.0
GTEX-1H1CY-0126-SM-9YFLY 60-69 years, female 82.2
GTEX-ZVE1-0726-SM-51MRN 50-59 years, female 81.2
GTEX-1F88E-1626-SM-7SB8Z 60-69 years, female 80.6
GTEX-1KANA-1326-SM-DIPFA 20-29 years, male 80.4
GTEX-WFG8-2126-SM-3GIKQ 20-29 years, male 79.9
GTEX-12WSF-1626-SM-7KUG5 70-79 years, male 79.1
GTEX-ZUA1-2626-SM-5NQ92 40-49 years, male 78.9
GTEX-1F75B-0726-SM-7PC3R 50-59 years, male 78.2
GTEX-13OVH-0526-SM-5L3E6 70-79 years, male 78.1
GTEX-1IDJE-1426-SM-ADEIW 50-59 years, female 77.7
GTEX-16MT8-2926-SM-7DUFO 60-69 years, female 77.3
GTEX-1F75W-2726-SM-7SB8H 60-69 years, male 77.2
GTEX-1IL2V-1926-SM-B2LW8 70-79 years, male 75.7
GTEX-14DAR-1226-SM-73KYV 50-59 years, male 75.5
GTEX-XK95-0226-SM-4AT58 40-49 years, male 75.4
GTEX-YB5K-2026-SM-4VDT3 40-49 years, female 75.3
GTEX-17JCI-2926-SM-7DUFF 60-69 years, female 75.0
GTEX-1ICG6-1226-SM-A9SLN 70-79 years, female 74.9
GTEX-1F52S-2926-SM-7MKGA 60-69 years, female 73.0
GTEX-145LS-0626-SM-7EPG7 60-69 years, female 72.6
GTEX-17F96-0126-SM-7EWDU 70-79 years, male 72.0
GTEX-145MG-1526-SM-5Q5EM 50-59 years, male 71.8
GTEX-1GMR2-0826-SM-7PC3V 50-59 years, male 71.0
GTEX-1212Z-0126-SM-59HK4 60-69 years, male 70.9
GTEX-1J8Q2-2626-SM-ACKWQ 60-69 years, male 70.0
GTEX-ZYFG-1526-SM-5GZYM 60-69 years, female 68.7
GTEX-14PJ2-0626-SM-6LLII 50-59 years, male 68.6
GTEX-13OVL-0126-SM-5L3GJ 50-59 years, male 67.4
GTEX-148VJ-0626-SM-5LUAW 70-79 years, male 67.3
GTEX-ZLWG-0826-SM-59888 50-59 years, female 67.1
GTEX-18A6Q-0626-SM-7KFRP 60-69 years, male 66.8
GTEX-WHSE-0126-SM-3NMBT 20-29 years, male 66.2
GTEX-1H1ZS-2726-SM-9WG75 70-79 years, male 65.9
GTEX-ZVP2-0326-SM-57WBP 50-59 years, male 65.7
GTEX-16XZZ-0726-SM-7KUF2 60-69 years, male 65.6
GTEX-ZU9S-1826-SM-5NQ9E 30-39 years, male 64.8
GTEX-147GR-2426-SM-5ZZWQ 60-69 years, male 64.5
GTEX-WEY5-2326-SM-3GIKK 40-49 years, female 64.3
GTEX-1GTWX-2026-SM-9YFLM 60-69 years, male 62.6
GTEX-1PIGE-1826-SM-E8VOU 20-29 years, male 62.3
GTEX-11EQ9-1626-SM-5PNY8 30-39 years, male 62.1
GTEX-13N11-2326-SM-5IJBF 50-59 years, female 61.7
GTEX-139TT-2126-SM-5LZWC 60-69 years, male 61.4
GTEX-1HR98-2226-SM-ADEI2 60-69 years, male 61.4
GTEX-Y5V6-2326-SM-4VDSA 60-69 years, male 61.0
GTEX-1JMLX-0626-SM-ARL8T 50-59 years, male 60.4
GTEX-1LG7Z-1626-SM-CXKYR 30-39 years, male 60.3
GTEX-11P82-1426-SM-DTXFY 20-29 years, male 60.2
GTEX-12C56-1526-SM-5FQUQ 20-29 years, male 59.9
GTEX-1S82P-2126-SM-E6CI5 60-69 years, female 59.6
GTEX-1S831-1826-SM-EWROF 20-29 years, male 59.6
GTEX-12584-0726-SM-5FQTK 40-49 years, male 59.2
GTEX-1GF9U-2026-SM-7SB92 40-49 years, female 59.1
GTEX-1H3NZ-2726-SM-9WYTQ 60-69 years, male 58.7
GTEX-1KWVE-1026-SM-D3L9O 30-39 years, male 58.3
GTEX-11NSD-0626-SM-5A5LU 20-29 years, male 58.0
GTEX-1JMPZ-0726-SM-CY8HZ 30-39 years, male 56.3
GTEX-18D9A-1426-SM-7LT8M 30-39 years, female 56.2
GTEX-1497J-0226-SM-5QGPU 60-69 years, male 56.0
GTEX-16GPK-0626-SM-7KFSF 60-69 years, male 55.4
GTEX-Y5LM-0926-SM-6LLJG 40-49 years, female 55.0
GTEX-YEC3-1326-SM-DO92X 50-59 years, male 54.3
GTEX-13NZ9-2626-SM-5L3FK 50-59 years, male 54.2
GTEX-14JFF-0626-SM-5ZZVT 60-69 years, male 53.8
GTEX-VJYA-1526-SM-3GIJV 60-69 years, male 53.3
GTEX-11ZUS-2626-SM-5FQUR 30-39 years, male 52.9
GTEX-15SHW-0226-SM-7LTAT 60-69 years, male 52.9
GTEX-1K2DA-1026-SM-CGQGF 50-59 years, male 52.6
GTEX-Y8E4-2026-SM-5IFJB 40-49 years, male 52.4
GTEX-14JG6-1426-SM-9WG7C 30-39 years, female 52.4
GTEX-183FY-1026-SM-7939A 20-29 years, male 52.2
GTEX-ZWKS-0626-SM-5GIDV 30-39 years, male 52.0
GTEX-146FQ-2126-SM-5RQHU 30-39 years, male 51.8
GTEX-15UF6-1926-SM-7KUDV 70-79 years, female 51.5
GTEX-ZYFD-0626-SM-5E44E 50-59 years, male 51.5
GTEX-13X6I-1826-SM-5SIAO 60-69 years, male 50.9
GTEX-139TU-0726-SM-5L3EK 60-69 years, male 50.8
GTEX-1GZ2Q-0126-SM-9WG6M 40-49 years, male 50.6
GTEX-1JN1M-2726-SM-CY8I4 60-69 years, female 50.4
GTEX-15G1A-1626-SM-7KUKN 30-39 years, male 50.3
GTEX-1NSGN-0726-SM-DTXEF 50-59 years, male 50.1
GTEX-18D9U-0126-SM-731BM 40-49 years, male 50.0
GTEX-WHPG-2626-SM-3NMBR 50-59 years, male 50.0
GTEX-11DXY-0126-SM-5H11Q 60-69 years, male 49.9
GTEX-18D9B-0926-SM-7LG4U 60-69 years, male 49.8
GTEX-11P7K-1126-SM-5HL4L 30-39 years, male 49.6
GTEX-1JJ6O-2726-SM-CNPOG 60-69 years, male 49.1
GTEX-1RAZS-2526-SM-E6CHT 50-59 years, male 49.1
GTEX-ZDTS-0826-SM-4WKHL 60-69 years, male 49.0
GTEX-14LLW-2626-SM-62LDZ 70-79 years, female 48.8
GTEX-131XW-0626-SM-5PNVD 50-59 years, female 48.6
GTEX-15RJE-2826-SM-7KUM9 40-49 years, male 48.6
GTEX-1HB9E-0126-SM-CM2S5 50-59 years, male 48.2
GTEX-XBED-1926-SM-47JYP 60-69 years, male 48.1
GTEX-15EU6-2226-SM-6EU2L 50-59 years, male 47.7
GTEX-1LBAC-0826-SM-CY8IJ 20-29 years, male 47.7
GTEX-WYJK-0526-SM-3NM8Z 50-59 years, male 47.6
GTEX-X585-2426-SM-46MW2 50-59 years, male 47.4
GTEX-132AR-0326-SM-5KM2C 50-59 years, female 47.0
GTEX-145LT-0526-SM-5LUB2 40-49 years, male 47.0
GTEX-1IY9M-2826-SM-ARU8H 60-69 years, male 46.5
GTEX-1A3MX-2626-SM-7PC24 60-69 years, male 46.4
GTEX-1QCLZ-2426-SM-EVYBW 60-69 years, female 46.2
GTEX-15CHQ-0326-SM-69LQD 60-69 years, male 46.1
GTEX-1F6I4-2326-SM-7RHGL 60-69 years, male 45.8
GTEX-1AX8Z-0726-SM-73KTS 60-69 years, male 45.7
GTEX-XXEK-1626-SM-4BRUZ 50-59 years, male 45.7
GTEX-1QCLY-0226-SM-EWRNH 30-39 years, male 45.7
GTEX-147F4-0726-SM-5TDDD 50-59 years, male 45.6
GTEX-17F9E-2326-SM-79OKD 50-59 years, male 45.5
GTEX-18A66-0626-SM-7LT8Z 60-69 years, male 45.5
GTEX-12WSD-0626-SM-5GCMW 60-69 years, female 45.4
GTEX-WHWD-1826-SM-3LK6I 50-59 years, male 45.3
GTEX-1CB4I-0126-SM-7RHGG 50-59 years, male 45.3
GTEX-14PHY-1226-SM-5ZZWK 60-69 years, female 45.1
GTEX-1M4P7-0726-SM-E6CJ3 60-69 years, male 45.0
GTEX-1A3MV-1826-SM-731CD 30-39 years, male 44.8
GTEX-1C475-1326-SM-7SB73 40-49 years, female 44.5
GTEX-1GZ4I-2626-SM-9KNU3 50-59 years, male 44.2
GTEX-1KANB-2826-SM-CY8I6 50-59 years, male 43.8
GTEX-12KS4-2126-SM-5FQUT 30-39 years, male 43.7
GTEX-1LVAO-2726-SM-E9TJ8 60-69 years, male 43.5
GTEX-1RB15-1326-SM-E76Q9 60-69 years, male 43.5
GTEX-XYKS-1426-SM-4BRUO 60-69 years, female 43.2
GTEX-1H2FU-0926-SM-9WPPT 60-69 years, female 43.1
GTEX-13SLX-2226-SM-62LEP 50-59 years, female 42.6
GTEX-Y8LW-1526-SM-5IFHL 50-59 years, female 42.3
GTEX-12ZZY-0726-SM-5EQ66 60-69 years, male 42.0
GTEX-1IDJF-2026-SM-CL53V 20-29 years, male 41.8
GTEX-11NUK-2726-SM-5A5MC 50-59 years, male 41.7
GTEX-13OVG-1626-SM-5J1NF 60-69 years, male 41.6
GTEX-15D1Q-2826-SM-6LLH7 40-49 years, male 41.4
GTEX-12WSC-2826-SM-5BC5Y 50-59 years, male 41.3
GTEX-1E1VI-0326-SM-793D1 50-59 years, male 41.2
GTEX-145MF-0926-SM-5Q5EA 50-59 years, male 41.1
GTEX-X8HC-0626-SM-4E3HQ 50-59 years, female 41.1
GTEX-1J8JJ-0626-SM-ARZMQ 60-69 years, female 41.1
GTEX-1JKYN-0826-SM-ARU8S 30-39 years, male 41.0
GTEX-1KD5A-0126-SM-E9U54 50-59 years, male 41.0
GTEX-13W3W-0726-SM-5IJDQ 60-69 years, female 40.8
GTEX-17MF6-2626-SM-79OKQ 40-49 years, male 40.7
GTEX-1K9T9-1526-SM-DIPFR 50-59 years, female 40.6
GTEX-12126-0826-SM-5FQTZ 20-29 years, male 40.5
GTEX-ZVE2-2826-SM-5GU51 50-59 years, male 40.4
GTEX-1PIIG-2326-SM-DTXFR 30-39 years, male 40.4
GTEX-1GF9W-1426-SM-7PBYM 60-69 years, male 40.3
GTEX-1211K-1526-SM-5FQU4 60-69 years, female 40.2
GTEX-1477Z-0326-SM-7IGLA 60-69 years, male 40.1
GTEX-ZVTK-0226-SM-51MRG 20-29 years, male 39.9
GTEX-12WSA-0426-SM-5EQ5X 60-69 years, male 39.7
GTEX-17F97-2626-SM-7IGM5 50-59 years, male 39.6
GTEX-X4EO-2926-SM-4E3JH 60-69 years, female 39.6
GTEX-X4EP-0626-SM-3P621 60-69 years, female 39.6
GTEX-13112-0126-SM-5P9IU 50-59 years, male 39.3
GTEX-1HFI7-2326-SM-CGQFS 50-59 years, female 39.2
GTEX-11EI6-2826-SM-5H11D 60-69 years, male 39.1
GTEX-1E2YA-2126-SM-7MXUO 50-59 years, male 39.0
GTEX-11WQC-1826-SM-5GU59 60-69 years, male 38.8
GTEX-1HCU6-2526-SM-ADEHL 60-69 years, female 38.7
GTEX-1QMI2-2526-SM-E8VNZ 60-69 years, male 38.6
GTEX-11DXW-0826-SM-5H118 40-49 years, male 38.2
GTEX-1RAZR-2126-SM-E9U6T 40-49 years, male 38.2
GTEX-1I6K6-1726-SM-CGQFD 30-39 years, male 37.9
GTEX-14PKV-1126-SM-6LLJ1 20-29 years, female 37.8
GTEX-11OF3-0126-SM-5PNYF 60-69 years, male 37.7
GTEX-13NZ8-1226-SM-5KM4A 60-69 years, female 37.5
GTEX-VUSG-2326-SM-4KL1U 50-59 years, male 37.3
GTEX-14753-0726-SM-5QGQO 60-69 years, male 37.0
GTEX-13N2G-0226-SM-5K7VF 60-69 years, male 36.9
GTEX-1R9PM-1926-SM-EVR3O 20-29 years, male 36.9
GTEX-12WSM-1926-SM-5BC65 60-69 years, male 36.8
GTEX-1F5PL-0926-SM-7PC2W 40-49 years, female 36.7
GTEX-1A3MW-0626-SM-731CB 60-69 years, female 36.5
GTEX-YFCO-1226-SM-5LUAT 40-49 years, male 36.5
GTEX-14PHX-2226-SM-6EU2P 50-59 years, male 36.4
GTEX-15DDE-2926-SM-6LLJ3 50-59 years, female 36.3
GTEX-WK11-2726-SM-3NMAQ 50-59 years, male 36.2
GTEX-1I6K7-1926-SM-B2LXR 40-49 years, male 36.1
GTEX-1LVAN-0626-SM-CNPOQ 50-59 years, female 36.1
GTEX-ZDYS-2426-SM-4WKGI 50-59 years, male 35.9
GTEX-1RMOY-1326-SM-E9TIH 50-59 years, male 35.9
GTEX-13FLV-0126-SM-5K7WT 50-59 years, male 35.5
GTEX-1LG7Y-2526-SM-EWRO7 50-59 years, male 35.4
GTEX-1HCVE-2726-SM-CL54F 50-59 years, male 35.3
GTEX-1MJK3-0726-SM-E6CJC 20-29 years, male 35.2
GTEX-1HSMO-0626-SM-ACKXC 60-69 years, male 35.1
GTEX-1314G-1326-SM-5BC6E 30-39 years, male 34.9
GTEX-13OVJ-0826-SM-5J1OK 50-59 years, female 34.9
GTEX-ZDTT-0426-SM-4WKFL 60-69 years, male 34.4
GTEX-11DYG-1526-SM-5A5JS 60-69 years, male 34.3
GTEX-1RLM8-2926-SM-E8VON 50-59 years, male 34.1
GTEX-12ZZX-2426-SM-5GCOE 40-49 years, female 33.9
GTEX-1GMR8-0626-SM-7RHI7 50-59 years, female 33.8
GTEX-13D11-0926-SM-5J2NC 50-59 years, female 33.7
GTEX-1GN1W-2426-SM-9KNUU 50-59 years, female 33.7
GTEX-1IDJU-1726-SM-CMKHU 60-69 years, female 33.4
GTEX-139YR-1026-SM-5LZYN 50-59 years, male 32.9
GTEX-1CAMR-1326-SM-7PC1F 20-29 years, male 32.9
GTEX-1N2DV-1526-SM-DTXEP 40-49 years, male 32.7
GTEX-16Z82-2626-SM-7KULU 60-69 years, male 32.6
GTEX-1LSVX-2526-SM-DIPEU 60-69 years, male 32.6
GTEX-18465-2826-SM-7LT9J 50-59 years, male 32.5
GTEX-1GL5R-1326-SM-7RHHF 50-59 years, male 32.4
GTEX-1RAZQ-1326-SM-E9TK6 30-39 years, male 32.2
GTEX-14BMV-2826-SM-5TDED 50-59 years, male 31.7
GTEX-14JG1-1526-SM-5YY9X 40-49 years, male 31.4
GTEX-WYBS-0626-SM-3NMAS 60-69 years, female 31.4
GTEX-1LVAM-0726-SM-E6CIL 50-59 years, female 31.4
GTEX-1H1DF-1126-SM-9WG7G 40-49 years, female 31.3
GTEX-14AS3-1526-SM-5Q5ED 40-49 years, female 31.0
GTEX-1I1GP-1326-SM-A9G28 50-59 years, male 30.9
GTEX-11GSP-2326-SM-5HL63 60-69 years, female 30.6
GTEX-ZZPU-0826-SM-5GZX5 50-59 years, female 30.5
GTEX-1HUB1-1426-SM-CGQF5 60-69 years, male 30.5
GTEX-1CAMQ-1326-SM-7P8RV 40-49 years, male 30.3
GTEX-WI4N-2726-SM-3LK7Y 40-49 years, female 30.1
GTEX-18A7A-0126-SM-731AH 50-59 years, female 30.0
GTEX-131YS-2826-SM-5EQ47 60-69 years, female 29.9
GTEX-1HGF4-0126-SM-CNPPX 60-69 years, male 29.7
GTEX-WRHU-2826-SM-3MJG8 50-59 years, female 29.6
GTEX-ZF3C-0626-SM-DO92O 50-59 years, female 29.4
GTEX-1LKK1-2626-SM-DKPQE 50-59 years, female 29.2
GTEX-13PVR-0426-SM-5RQK2 60-69 years, female 29.1
GTEX-1IDFM-0326-SM-ARL7V 60-69 years, male 28.9
GTEX-11WQK-1026-SM-5EQLX 50-59 years, male 28.8
GTEX-139T8-0626-SM-5KLZX 60-69 years, male 28.7
GTEX-15G19-2426-SM-7KUMR 60-69 years, male 28.6
GTEX-ZZ64-1026-SM-5GZXG 20-29 years, male 28.6
GTEX-1IDJV-0126-SM-COH3Y 60-69 years, male 28.6
GTEX-1PPGY-1626-SM-EVYBL 60-69 years, male 28.6
GTEX-1JMQI-1726-SM-ARL93 50-59 years, male 28.5
GTEX-ZTTD-2826-SM-4YCFA 50-59 years, male 28.2
GTEX-1IDJH-0126-SM-D3L92 70-79 years, male 28.1
GTEX-1399R-1326-SM-5PNYS 30-39 years, male 27.8
GTEX-1IDJD-2326-SM-ACKWX 30-39 years, male 27.8
GTEX-11DZ1-2426-SM-5GZZX 50-59 years, male 27.5
GTEX-11TUW-0626-SM-5LU9M 60-69 years, male 27.5
GTEX-1QW4Y-1126-SM-DTXE3 30-39 years, male 27.5
GTEX-1PPH7-1126-SM-DTX9A 40-49 years, male 27.2
GTEX-ZPU1-1126-SM-4YCF3 40-49 years, male 27.1
GTEX-XPVG-2126-SM-4B667 50-59 years, male 27.0
GTEX-ZXG5-2126-SM-59HKD 60-69 years, male 26.9
GTEX-144GO-2026-SM-5O99P 60-69 years, male 26.3
GTEX-16YQH-2226-SM-7IGM2 30-39 years, male 26.1
GTEX-18QFQ-1826-SM-72D52 30-39 years, male 26.1
GTEX-WFON-1926-SM-3LK7L 40-49 years, male 25.8
GTEX-1H23P-0626-SM-9WG6T 60-69 years, male 25.8
GTEX-1H1DG-2426-SM-9QEHJ 70-79 years, male 25.7
GTEX-14PII-0726-SM-6EU2B 60-69 years, male 25.6
GTEX-15CHC-1126-SM-6LLHQ 60-69 years, female 25.6
GTEX-ZYVF-0926-SM-5E44J 50-59 years, female 25.6
GTEX-17MFQ-1526-SM-7KFRR 20-29 years, male 25.5
GTEX-1JKYR-0626-SM-ARL8R 20-29 years, male 25.5
GTEX-13OW8-1026-SM-5J1NQ 60-69 years, male 25.3
GTEX-145ME-1726-SM-5Q5EU 40-49 years, female 25.2
GTEX-YJ8O-2526-SM-5HL85 40-49 years, female 25.1
GTEX-13N1W-2426-SM-5IJD1 70-79 years, male 24.5
GTEX-1POEN-2326-SM-E9J2L 30-39 years, female 24.5
GTEX-13U4I-2226-SM-5LU5H 40-49 years, female 24.3
GTEX-145MN-1526-SM-5SI9T 30-39 years, male 24.2
GTEX-16NPX-0726-SM-7KULC 50-59 years, male 23.8
GTEX-ZTSS-1426-SM-5985P 40-49 years, male 23.8
GTEX-1C6WA-2626-SM-7MKGM 60-69 years, male 23.7
GTEX-1HBPN-0126-SM-CGQEF 50-59 years, male 23.7
GTEX-1I1GS-2626-SM-B2LY3 60-69 years, male 23.7
GTEX-Y3IK-1626-SM-4YCF5 50-59 years, female 23.6
GTEX-ZP4G-1426-SM-4WWCL 20-29 years, female 23.6
GTEX-13NYS-0626-SM-5L3F1 60-69 years, male 23.3
GTEX-11DXZ-2026-SM-5987S 50-59 years, male 23.1
GTEX-131XF-2626-SM-5EQ6K 60-69 years, male 23.1
GTEX-1A8FM-0626-SM-7PC25 50-59 years, female 23.1
GTEX-XQ8I-0926-SM-4BOOF 50-59 years, male 23.0
GTEX-1EH9U-2826-SM-7DUGT 60-69 years, male 22.9
GTEX-1HSGN-0826-SM-ACKW3 40-49 years, female 22.8
GTEX-14BIN-1126-SM-5RQJZ 50-59 years, female 22.7
GTEX-V1D1-2026-SM-3GAF4 50-59 years, male 22.7
GTEX-1MCC2-1826-SM-DIPEX 30-39 years, female 22.7
GTEX-YECK-0326-SM-4W1YS 60-69 years, male 22.6
GTEX-13X6H-0926-SM-5SIB2 50-59 years, female 22.5
GTEX-1B933-2426-SM-7DHMD 50-59 years, female 22.5
GTEX-1S3DN-2126-SM-E9TIN 50-59 years, male 22.5
GTEX-1F48J-0726-SM-7RHGS 50-59 years, female 22.4
GTEX-1F6RS-2026-SM-7RHHC 60-69 years, female 22.4
GTEX-1I4MK-0126-SM-CY8G6 50-59 years, female 22.4
GTEX-1LGRB-0926-SM-COH3K 50-59 years, female 22.3
GTEX-13FTY-2126-SM-5IFFB 40-49 years, female 22.2
GTEX-ZA64-1026-SM-5HL8R 20-29 years, male 22.2
GTEX-1LSNL-2726-SM-E9TKJ 50-59 years, male 22.1
GTEX-ZC5H-1526-SM-5HL9Y 40-49 years, female 21.9
GTEX-1F6IF-0926-SM-7SB7M 60-69 years, male 21.9
GTEX-1JMQK-1226-SM-D4P2S 60-69 years, male 21.8
GTEX-13OW5-2326-SM-5L3HO 60-69 years, male 21.7
GTEX-ZYT6-2326-SM-5GZY3 30-39 years, male 21.7
GTEX-ZE9C-2526-SM-5IJDR 60-69 years, male 21.6
GTEX-11O72-0626-SM-5PNYE 40-49 years, male 21.3
GTEX-15RIE-1926-SM-7KUKJ 60-69 years, male 21.3
GTEX-183WM-0326-SM-72D5V 70-79 years, female 21.3
GTEX-UPJH-0226-SM-3GADV 50-59 years, male 21.3
GTEX-11UD2-2526-SM-5CVNU 50-59 years, male 21.2
GTEX-XQ3S-1426-SM-4BOPR 20-29 years, male 21.1
GTEX-ZAK1-0626-SM-5HL8E 50-59 years, female 21.1
GTEX-147F3-1726-SM-5SIAW 50-59 years, female 20.9
GTEX-13G51-1826-SM-5KLZH 60-69 years, male 20.8
GTEX-ZYFC-0426-SM-5GICQ 50-59 years, male 20.8
GTEX-Z93S-1626-SM-5CVMB 50-59 years, male 20.5
GTEX-1OJC3-1226-SM-DTXER 20-29 years, male 20.5
GTEX-13NYC-0126-SM-5L3F4 60-69 years, male 20.4
GTEX-1HC8U-1326-SM-9YFMJ 40-49 years, female 20.3
GTEX-1PPH8-0126-SM-EWRN8 20-29 years, male 20.3
GTEX-14A5H-0826-SM-5QGPJ 60-69 years, male 20.2
GTEX-16AAH-0626-SM-793C9 50-59 years, male 20.2
GTEX-12WSK-2126-SM-5CVNC 40-49 years, female 20.1
GTEX-17HHY-0426-SM-7DHLC 50-59 years, male 20.0
GTEX-1B8KE-1126-SM-7EPHI 50-59 years, male 19.9
GTEX-1IKOE-1426-SM-CE6T7 30-39 years, female 19.9
GTEX-1GPI7-1826-SM-9KNU1 20-29 years, male 19.6
GTEX-13OW6-2726-SM-5J2OE 50-59 years, male 19.5
GTEX-1JN6P-2926-SM-CL54D 60-69 years, male 19.5
GTEX-1I1CD-0626-SM-CE6SW 60-69 years, female 19.4
GTEX-U8XE-0226-SM-4E3J3 30-39 years, male 19.3
GTEX-1JMQJ-0826-SM-CNPP7 50-59 years, male 19.3
GTEX-X3Y1-2026-SM-3P5YM 40-49 years, male 19.0
GTEX-1F88F-0126-SM-9WYSZ 60-69 years, female 18.9
GTEX-13NYB-0126-SM-5J1MD 40-49 years, male 18.8
GTEX-15EO6-2426-SM-6PALZ 50-59 years, male 18.8
GTEX-13FTX-1526-SM-5K7VJ 20-29 years, female 18.5
GTEX-1EWIQ-0326-SM-7DHMQ 70-79 years, female 18.5
GTEX-WXYG-2026-SM-4E3IY 50-59 years, female 18.4
GTEX-14PK6-0226-SM-62LF5 70-79 years, female 18.3
GTEX-XBEC-0726-SM-4QARZ 50-59 years, male 18.3
GTEX-1GMR3-0126-SM-A9SLW 40-49 years, male 18.3
GTEX-1S5ZU-2526-SM-E6CIF 20-29 years, female 18.3
GTEX-1JJE9-2626-SM-ARZMT 70-79 years, male 18.2
GTEX-1C64N-2626-SM-7PC2N 50-59 years, male 17.9
GTEX-11DXX-2126-SM-5PNYR 60-69 years, female 17.8
GTEX-1GN1U-0626-SM-9MQL9 50-59 years, female 17.8
GTEX-1J1R8-2026-SM-CL53Y 40-49 years, male 17.8
GTEX-11EQ8-0926-SM-5H12V 60-69 years, male 17.4
GTEX-17HG3-2626-SM-7DUF2 30-39 years, female 17.3
GTEX-13113-1626-SM-5EQ4I 60-69 years, female 17.2
GTEX-1B97I-0626-SM-73KUZ 40-49 years, male 17.0
GTEX-13PVQ-0626-SM-5LU47 50-59 years, male 16.8
GTEX-ZLFU-1826-SM-4WWBV 40-49 years, male 16.8
GTEX-1PBJJ-1026-SM-E76OS 30-39 years, male 16.8
GTEX-1S83E-1326-SM-E6CJM 40-49 years, male 16.7
GTEX-1117F-2926-SM-5GZYI 60-69 years, female 16.6
GTEX-1F75A-0726-SM-7RHHD 50-59 years, male 16.6
GTEX-111CU-1126-SM-5EGIM 50-59 years, male 16.5
GTEX-15RIG-0726-SM-7KUM7 40-49 years, male 16.5
GTEX-1GF9X-1326-SM-7PC2Y 40-49 years, female 16.2
GTEX-14ABY-2026-SM-62LDL 50-59 years, male 16.1
GTEX-1AMFI-1326-SM-7939R 50-59 years, female 16.1
GTEX-1B932-2326-SM-79OL5 40-49 years, female 16.1
GTEX-13YAN-0226-SM-5TDC6 60-69 years, male 15.7
GTEX-1AMEY-0826-SM-72D65 30-39 years, female 15.6
GTEX-17HGU-2326-SM-7DUFE 50-59 years, male 15.5
GTEX-1B8KZ-0326-SM-73KY4 50-59 years, male 15.5
GTEX-XUW1-0926-SM-4BONX 50-59 years, female 15.5
GTEX-18A67-1626-SM-7LT9T 50-59 years, male 15.4
GTEX-1H1DE-1326-SM-9KNUG 20-29 years, male 15.2
GTEX-ZGAY-1826-SM-DO91Q 40-49 years, female 15.1
GTEX-ZF2S-1626-SM-57WES 50-59 years, female 15.0
GTEX-Y111-0626-SM-4SOIT 50-59 years, male 14.8
GTEX-1PDJ9-1226-SM-EXUSX 20-29 years, male 14.7
GTEX-1R9PN-0426-SM-DTXDT 40-49 years, female 14.5
GTEX-14ICL-1626-SM-5YYAO 30-39 years, male 14.4
GTEX-14XAO-1226-SM-6EU1C 60-69 years, female 14.4
GTEX-Y114-2126-SM-4TT8B 50-59 years, female 14.4
GTEX-1HCU7-0726-SM-A9SL1 50-59 years, male 14.4
GTEX-13X6K-0626-SM-5LU5D 60-69 years, female 14.2
GTEX-14LZ3-0126-SM-69LPM 60-69 years, female 14.1
GTEX-Y5V5-0126-SM-5S2NW 60-69 years, female 14.1
GTEX-1J1OQ-0126-SM-D4P2N 40-49 years, female 14.1
GTEX-1H4P4-2126-SM-9WYSL 50-59 years, male 14.0
GTEX-111YS-1526-SM-5GZYW 60-69 years, male 13.8
GTEX-1B8SF-0126-SM-7DUG3 60-69 years, male 13.7
GTEX-13O3O-2326-SM-5IJD6 60-69 years, female 13.6
GTEX-13FTW-0326-SM-5K7UW 40-49 years, male 13.4
GTEX-14PJ5-1526-SM-6LLIL 60-69 years, female 13.4
GTEX-1BAJH-2426-SM-7IGP8 70-79 years, male 13.4
GTEX-1HBPI-2126-SM-ARL9K 50-59 years, male 13.4
GTEX-1CB4F-1026-SM-7DUH1 60-69 years, male 13.3
GTEX-1HFI6-0126-SM-CNPPI 40-49 years, male 13.3
GTEX-133LE-2326-SM-5K7W3 20-29 years, female 12.9
GTEX-1A8G6-2726-SM-731AR 60-69 years, male 12.9
GTEX-1CAMS-2226-SM-7PBXQ 40-49 years, female 12.9
GTEX-1R7EU-1626-SM-DTXG3 60-69 years, male 12.9
GTEX-1399U-1126-SM-5L3DB 50-59 years, female 12.8
GTEX-14PJ6-2626-SM-6EU2T 60-69 years, female 12.4
GTEX-1HKZK-0726-SM-ACKW2 40-49 years, male 12.4
GTEX-17HHE-1326-SM-7EWDZ 50-59 years, male 12.3
GTEX-1CB4J-1326-SM-7P8RX 60-69 years, male 11.9
GTEX-1K2DU-1226-SM-CYPT4 20-29 years, male 11.9
GTEX-178AV-1726-SM-7KUL8 40-49 years, male 11.5
GTEX-ZYY3-2926-SM-5GIEB 60-69 years, female 11.5
GTEX-17F9Y-0126-SM-79OKX 70-79 years, female 11.4
GTEX-XAJ8-1426-SM-47JYM 40-49 years, male 11.4
GTEX-1I1GV-0626-SM-ARL7M 60-69 years, male 11.4
GTEX-1CB4E-0926-SM-7EPHT 60-69 years, male 11.3
GTEX-1S82U-1026-SM-E6CJK 30-39 years, female 11.3
GTEX-15DYW-2726-SM-6EU2I 60-69 years, female 11.2
GTEX-1HSMQ-2626-SM-A9SML 50-59 years, male 11.2
GTEX-1N2EE-0626-SM-E76PW 60-69 years, male 11.2
GTEX-131XG-0326-SM-5L3DX 50-59 years, female 10.9
GTEX-1LVA9-2626-SM-EVYD4 50-59 years, male 10.7
GTEX-ZVZP-1226-SM-5GID7 50-59 years, male 10.4
GTEX-13O61-1426-SM-5KM3D 60-69 years, male 10.3
GTEX-13OVK-1426-SM-6PAN7 40-49 years, male 10.3
GTEX-1HR9M-2226-SM-CNPPY 60-69 years, male 10.3
GTEX-13OW7-0426-SM-5K7VK 50-59 years, male 10.2
GTEX-YEC4-1826-SM-4W1YP 40-49 years, male 10.2
GTEX-WYVS-1626-SM-3NM9R 40-49 years, female 10.1
GTEX-1JMOU-1026-SM-CYPSS 60-69 years, female 10.0
GTEX-144FL-0626-SM-5LU43 50-59 years, male 9.9
GTEX-11VI4-1126-SM-5EQMD 40-49 years, female 9.8
GTEX-17KNJ-2126-SM-718AM 50-59 years, male 9.7
GTEX-15SKB-2826-SM-6PAMH 60-69 years, male 9.6
GTEX-11LCK-2226-SM-5HL4Q 30-39 years, male 9.5
GTEX-11P81-2226-SM-5PNYI 30-39 years, female 9.5
GTEX-1AX9I-2226-SM-73KUO 60-69 years, male 9.5
GTEX-1HSKV-1226-SM-ADEI4 60-69 years, male 9.5
GTEX-11ZTT-2126-SM-5CVLO 60-69 years, female 9.4
GTEX-1C2JI-1026-SM-73KY1 50-59 years, male 9.4
GTEX-ZF29-0926-SM-4WKFZ 60-69 years, female 9.4
GTEX-12WSH-1526-SM-5BC5W 50-59 years, male 9.3
GTEX-1A8G7-1326-SM-73KVM 60-69 years, male 9.0
GTEX-144GM-0526-SM-79OJO 20-29 years, male 8.4
GTEX-ZE7O-2726-SM-51MT5 50-59 years, female 8.4
GTEX-1KAFJ-0126-SM-DIPEK 50-59 years, male 8.3
GTEX-14PJ3-1126-SM-5ZZVX 50-59 years, male 8.2
GTEX-16BQI-1326-SM-6M486 30-39 years, female 8.2
GTEX-X5EB-1926-SM-4E3IW 40-49 years, male 8.2
GTEX-1EN7A-2426-SM-793DB 40-49 years, male 8.1
GTEX-145MI-0626-SM-5SI8S 60-69 years, female 8.0
GTEX-15CHR-1126-SM-7EWF4 50-59 years, male 7.8
GTEX-1F5PK-2226-SM-7SB6N 50-59 years, male 7.8
GTEX-1QP29-1826-SM-DTX9S 50-59 years, male 7.8
GTEX-13IVO-0726-SM-5LZYV 70-79 years, male 7.7
GTEX-1HCU8-2526-SM-CE6RX 60-69 years, female 7.7
GTEX-1QP28-1126-SM-EVYC4 50-59 years, female 7.7
GTEX-139D8-1126-SM-5LU8W 30-39 years, female 7.6
GTEX-13PL6-1126-SM-5L3IE 40-49 years, female 7.6
GTEX-1I1HK-2326-SM-CKZOH 60-69 years, male 7.6
GTEX-1ICLY-0826-SM-CMKG1 50-59 years, male 7.6
GTEX-1399Q-2326-SM-5KM2X 40-49 years, male 7.3
GTEX-1IE54-1126-SM-A9G2Z 40-49 years, female 7.3
GTEX-13QJC-0126-SM-5ZZWJ 60-69 years, female 7.0
GTEX-14E6E-0526-SM-793DN 30-39 years, male 7.0
GTEX-1HT8W-0626-SM-A9G2H 30-39 years, male 7.0
GTEX-14A6H-2026-SM-5Q5DD 30-39 years, male 6.9
GTEX-139UW-0326-SM-5J1ML 60-69 years, male 6.8
GTEX-1CB4H-1126-SM-7MKGL 60-69 years, female 6.8
GTEX-13O3Q-0126-SM-5KM34 50-59 years, male 6.7
GTEX-13QBU-1226-SM-5LU4G 40-49 years, female 6.7
GTEX-12WSJ-1126-SM-5LZVJ 40-49 years, female 6.4
GTEX-1IOXB-2726-SM-CM2RI 50-59 years, male 6.4
GTEX-1EU9M-1426-SM-793AI 60-69 years, male 6.3
GTEX-ZAB4-2126-SM-5HL8U 40-49 years, male 6.3
GTEX-15RJ7-2126-SM-6PAMD 40-49 years, male 6.2
GTEX-17EVP-2626-SM-7IGMA 40-49 years, male 6.2
GTEX-1JN76-0626-SM-CKZOQ 20-29 years, female 6.2
GTEX-145LU-1926-SM-79OJN 50-59 years, male 6.1
GTEX-17F98-1326-SM-7DUEP 40-49 years, female 6.1
GTEX-1I1GU-0926-SM-ACKVS 40-49 years, male 6.1
GTEX-1B8L1-2226-SM-7P8PT 60-69 years, male 5.7
GTEX-14B4R-1326-SM-5Q5EZ 30-39 years, male 5.6
GTEX-1JMQL-2226-SM-CNPP4 50-59 years, female 5.6
GTEX-13VXU-0626-SM-5L3F9 50-59 years, male 5.4
GTEX-147JS-0226-SM-5S2U9 60-69 years, male 5.4
GTEX-1269C-0126-SM-5EQ5L 60-69 years, female 5.3
GTEX-ZPCL-1126-SM-4WWFE 60-69 years, female 5.2
GTEX-1JK1U-0226-SM-ARZMX 60-69 years, male 5.2
GTEX-WFG7-2026-SM-5SI7P 20-29 years, male 5.1
GTEX-XBEW-1126-SM-4QARW 40-49 years, male 5.1
GTEX-1HCUA-0826-SM-ADEHM 50-59 years, female 5.1
GTEX-16MTA-0926-SM-6M47Z 50-59 years, male 4.8
GTEX-1GF9V-0826-SM-9KNUV 60-69 years, male 4.8
GTEX-1ICLZ-0326-SM-ARL82 60-69 years, male 4.8
GTEX-1KXAM-1626-SM-D3LAD 60-69 years, male 4.8
GTEX-ZVT4-2426-SM-5GIEI 50-59 years, female 4.7
GTEX-1GPI6-1926-SM-9KNV7 60-69 years, male 4.7
GTEX-1GZ4H-0526-SM-9KNU9 50-59 years, female 4.7
GTEX-15ER7-0626-SM-6PANF 20-29 years, female 4.6
GTEX-ZPIC-0526-SM-DO91W 40-49 years, female 4.6
GTEX-13X6J-0626-SM-5LU5F 50-59 years, male 4.5
GTEX-1H11D-1826-SM-9QEHM 40-49 years, male 4.5
GTEX-1HBPM-0726-SM-9YFL7 60-69 years, female 4.5
GTEX-1GN2E-0226-SM-9WG6K 60-69 years, male 4.2
GTEX-1OJC4-2726-SM-E76PJ 50-59 years, female 4.2
GTEX-ZTX8-1326-SM-4YCEL 20-29 years, male 4.1
GTEX-1GN73-0726-SM-7P8TJ 60-69 years, male 4.1
GTEX-1GZHY-0626-SM-9KNVC 50-59 years, female 4.1
GTEX-1J8EW-2726-SM-CY8HR 60-69 years, female 4.1
GTEX-1MCYP-0526-SM-E9U6Q 20-29 years, female 4.1
GTEX-ZLV1-1526-SM-DO91J 60-69 years, female 4.1
GTEX-1EKGG-0626-SM-7DUGJ 60-69 years, male 4.0
GTEX-1EX96-1026-SM-7MKG2 50-59 years, male 4.0
GTEX-W5X1-2526-SM-3GILC 40-49 years, female 4.0
GTEX-1H3VE-0726-SM-9YFL5 40-49 years, male 4.0
GTEX-13VXT-1926-SM-5K7UO 20-29 years, female 3.9
GTEX-1IDJI-0126-SM-CMKHS 50-59 years, female 3.9
GTEX-1JMPY-0226-SM-CKZOK 30-39 years, male 3.9
GTEX-1QAET-0326-SM-EVR3U 50-59 years, male 3.8
GTEX-15FZZ-0526-SM-7KUGD 30-39 years, female 3.7
GTEX-13PDP-0726-SM-5L3HP 60-69 years, male 3.6
GTEX-13SLW-0626-SM-5Q5ER 70-79 years, male 3.6
GTEX-14C5O-0326-SM-5ZZUX 60-69 years, male 3.6
GTEX-Y3I4-1726-SM-4TT89 50-59 years, male 3.6
GTEX-12ZZZ-0726-SM-5GCNZ 60-69 years, male 3.5
GTEX-XV7Q-1826-SM-4BRUV 40-49 years, female 3.5
GTEX-111VG-1626-SM-5EGIO 60-69 years, male 3.4
GTEX-1399S-0126-SM-5IJCF 30-39 years, female 3.4
GTEX-17HII-1426-SM-7EPGG 50-59 years, male 3.3
GTEX-ZT9X-1526-SM-5DUXD 40-49 years, male 3.3
GTEX-145MH-2826-SM-5RQJF 50-59 years, male 3.2
GTEX-Y9LG-1126-SM-4VBQ7 30-39 years, male 3.2
GTEX-1J8QM-2426-SM-A9SLS 60-69 years, female 3.2
GTEX-14C39-1726-SM-5RQIL 40-49 years, male 3.1
GTEX-ZY6K-1426-SM-5GZX2 50-59 years, male 3.1
GTEX-1I1GT-1026-SM-ARZLV 60-69 years, female 3.0
GTEX-1R46S-2426-SM-E76QA 60-69 years, female 3.0
GTEX-14PJN-1826-SM-6AJ98 30-39 years, male 2.9
GTEX-1AYD5-2626-SM-7PBXY 50-59 years, male 2.8
GTEX-1GMRU-2126-SM-7P8RA 50-59 years, male 2.8
GTEX-1J8Q3-0526-SM-ARL8U 60-69 years, male 2.8
GTEX-13FHO-0426-SM-5L3F5 60-69 years, male 2.7
GTEX-14C38-0726-SM-5SI6M 50-59 years, male 2.7
GTEX-1122O-1026-SM-9WYSF 60-69 years, female 2.7
GTEX-1IKJJ-2226-SM-CJI4C 60-69 years, male 2.7
GTEX-1JJEA-1826-SM-ARU8P 60-69 years, male 2.7
GTEX-1LB8K-0726-SM-D5OV2 50-59 years, male 2.7
GTEX-1C6VR-0126-SM-7RHGB 60-69 years, male 2.6
GTEX-1EMGI-2326-SM-7PBYA 60-69 years, male 2.6
GTEX-1H3O1-1326-SM-9MQLD 60-69 years, male 2.6
GTEX-11ZU8-0126-SM-5EQ58 60-69 years, male 2.4
GTEX-13JVG-0726-SM-5KM16 60-69 years, male 2.4
GTEX-16MT9-0126-SM-7EPI8 60-69 years, female 2.4
GTEX-1313W-0626-SM-5EQ4H 50-59 years, female 2.3
GTEX-14PKU-0126-SM-6LLHV 40-49 years, female 2.3
GTEX-11PRG-0726-SM-5EGL1 50-59 years, male 2.2
GTEX-1C6VQ-1226-SM-73KYD 50-59 years, male 2.2
GTEX-WHSB-1326-SM-3LK6W 50-59 years, male 2.1
GTEX-ZVT2-0126-SM-5GIDQ 50-59 years, female 2.1
GTEX-1NV5F-0626-SM-DTXEG 60-69 years, female 2.0
GTEX-11GS4-0226-SM-5HL77 60-69 years, male 1.8
GTEX-144GL-0626-SM-5LU4D 50-59 years, male 1.8
GTEX-1QPFJ-1926-SM-EVYBD 30-39 years, female 1.8
GTEX-14PJ4-0226-SM-5YY92 60-69 years, male 1.7
GTEX-1QP2A-1726-SM-E76QC 50-59 years, male 1.7
GTEX-1GN1V-2826-SM-9JGIA 60-69 years, male 1.0
Show allShow less
Skin - Sun Exposed (Lower leg)
Average nTPM: 43.1
Samples: 701

Max nTPM: 323.6
Min nTPM: 1.6
Std nTPM: 31.7
Median nTPM: 35.2
GTEX-14ICK-0226-SM-6EU25 40-49 years, male 323.6
GTEX-1F75I-0326-SM-9YFLU 40-49 years, male 222.3
GTEX-S7PM-0126-SM-4AD6S 60-69 years, male 194.5
GTEX-1R9PO-2126-SM-E9J4O 60-69 years, female 173.5
GTEX-13RTJ-2426-SM-5S2Q2 60-69 years, male 159.7
GTEX-15SB6-1726-SM-6PAME 50-59 years, female 159.2
GTEX-1NHNU-1026-SM-E9J2A 50-59 years, male 149.2
GTEX-1IKK5-0626-SM-ARL8A 60-69 years, male 143.3
GTEX-1RLM8-2326-SM-EWRN4 50-59 years, male 137.4
GTEX-1B996-0226-SM-7RHGO 60-69 years, male 137.0
GTEX-1HSMO-0126-SM-CL547 60-69 years, male 128.4
GTEX-11UD1-0126-SM-5PNYG 40-49 years, female 128.0
GTEX-OHPM-0126-SM-2YUN9 50-59 years, male 125.4
GTEX-1HSMP-0126-SM-E6CJS 70-79 years, male 120.5
GTEX-O5YW-0126-SM-3LK6D 50-59 years, male 118.7
GTEX-131XF-5016-SM-7MGWE 60-69 years, male 116.1
GTEX-14JIY-0126-SM-6LLH6 60-69 years, male 115.8
GTEX-P4PQ-0126-SM-2S1NM 60-69 years, male 114.7
GTEX-1GPI6-0126-SM-9WG69 60-69 years, male 114.5
GTEX-XQ8I-0426-SM-4BOPO 50-59 years, male 112.9
GTEX-139T8-0126-SM-5K7XZ 60-69 years, male 112.6
GTEX-WRHK-1426-SM-3MJF9 20-29 years, female 111.6
GTEX-W5X1-3026-SM-EAZAX 40-49 years, female 111.3
GTEX-1AMEY-1326-SM-73KYK 30-39 years, female 110.2
GTEX-OXRO-0126-SM-2YUN4 60-69 years, female 109.3
GTEX-1F75B-0126-SM-9KNVL 50-59 years, male 109.3
GTEX-1N2DV-0226-SM-E6CJ6 40-49 years, male 108.5
GTEX-11P7K-2126-SM-5GU7G 30-39 years, male 107.7
GTEX-15D1Q-0126-SM-7KUG6 40-49 years, male 104.9
GTEX-1PPH7-2326-SM-EVYB8 40-49 years, male 101.4
GTEX-13FHO-0226-SM-5IFGY 60-69 years, male 101.1
GTEX-1NV5F-0226-SM-E8VNY 60-69 years, female 98.6
GTEX-1QP2A-0126-SM-E9J43 50-59 years, male 98.2
GTEX-11ZUS-0626-SM-59885 30-39 years, male 98.1
GTEX-1LSNM-1926-SM-E6CII 50-59 years, male 97.9
GTEX-12126-0326-SM-5PNW3 20-29 years, male 97.4
GTEX-T5JC-0426-SM-32PLO 20-29 years, male 97.0
GTEX-1F75A-0126-SM-7RHGM 50-59 years, male 97.0
GTEX-16XZZ-0126-SM-793DV 60-69 years, male 96.7
GTEX-12WSD-0126-SM-59HKN 60-69 years, female 95.7
GTEX-139T4-0226-SM-5HL5S 50-59 years, female 95.7
GTEX-146FR-1326-SM-E9J48 60-69 years, female 95.7
GTEX-1ICG6-2526-SM-CGQFZ 70-79 years, female 95.7
GTEX-1AX8Z-0126-SM-7DHM6 60-69 years, male 95.3
GTEX-17HHE-2026-SM-79OKF 50-59 years, male 95.0
GTEX-1QW4Y-1526-SM-EAZ3Z 30-39 years, male 94.1
GTEX-1H1DE-2126-SM-9WG6R 20-29 years, male 92.6
GTEX-14BIM-0226-SM-7IGLD 60-69 years, female 92.2
GTEX-1AYCT-2426-SM-7IGQ3 50-59 years, male 91.7
GTEX-1N2EF-0226-SM-EYYXB 60-69 years, male 91.4
GTEX-RVPV-0126-SM-EAZAW 60-69 years, male 91.2
GTEX-U4B1-1826-SM-4DXSU 40-49 years, male 91.0
GTEX-1C6WA-0126-SM-7PC2B 60-69 years, male 90.9
GTEX-1I1GP-2226-SM-CGQFK 50-59 years, male 89.7
GTEX-1GN1W-0526-SM-9MQJQ 50-59 years, female 89.3
GTEX-1PBJI-0526-SM-E8VNK 20-29 years, female 89.2
GTEX-1RAZQ-0726-SM-EAZ43 30-39 years, male 88.7
GTEX-1H23P-0126-SM-ADEJ3 60-69 years, male 88.3
GTEX-1F6I4-0126-SM-9MQL2 60-69 years, male 88.1
GTEX-15EU6-0426-SM-6PAN5 50-59 years, male 86.9
GTEX-1ICLY-0126-SM-D4P36 50-59 years, male 86.5
GTEX-ZQUD-1426-SM-57WER 30-39 years, male 85.8
GTEX-1CAV2-2226-SM-7P8P2 40-49 years, female 85.8
GTEX-U3ZM-1526-SM-3DB9D 40-49 years, male 84.6
GTEX-X62O-0126-SM-4E3JN 50-59 years, male 84.1
GTEX-1AX9I-0126-SM-7SB74 60-69 years, male 83.7
GTEX-V1D1-2226-SM-3NMAX 50-59 years, male 83.6
GTEX-ZE9C-2726-SM-57WB5 60-69 years, male 83.6
GTEX-13FH7-2026-SM-E9J4I 50-59 years, female 83.6
GTEX-1H1CY-2826-SM-9MQM3 60-69 years, female 83.3
GTEX-11ZTT-2426-SM-5EQLS 60-69 years, female 82.9
GTEX-1J8Q2-0526-SM-CM2RW 60-69 years, male 82.1
GTEX-OXRL-0126-SM-2YUMP 50-59 years, male 81.9
GTEX-R55G-2526-SM-2TC6D 40-49 years, female 81.8
GTEX-WOFL-0126-SM-3MJG2 60-69 years, male 80.1
GTEX-1211K-2026-SM-5EQ4Z 60-69 years, female 80.0
GTEX-QEG4-0226-SM-2S1PY 30-39 years, male 79.9
GTEX-1AX9K-2326-SM-73KWU 50-59 years, male 79.5
GTEX-1497J-2426-SM-7IGNX 60-69 years, male 79.4
GTEX-18465-0126-SM-731BN 50-59 years, male 79.4
GTEX-1I19N-0326-SM-ACKVX 70-79 years, male 79.4
GTEX-1QCLY-0326-SM-E8VOG 30-39 years, male 79.1
GTEX-18D9B-0526-SM-7LTAS 60-69 years, male 78.9
GTEX-1IDJF-0126-SM-CM2RS 20-29 years, male 78.8
GTEX-1GTWX-0126-SM-9YFLK 60-69 years, male 78.3
GTEX-14BIL-0126-SM-5SI92 50-59 years, male 77.0
GTEX-131XW-0426-SM-5LZWP 50-59 years, female 76.7
GTEX-1CB4J-0626-SM-7DHMP 60-69 years, male 76.7
GTEX-WH7G-2326-SM-3NMBC 40-49 years, male 76.6
GTEX-14E6C-0126-SM-5RQIP 40-49 years, male 75.8
GTEX-1A3MX-0126-SM-731BR 60-69 years, male 75.7
GTEX-TMZS-0126-SM-3DB9Q 60-69 years, male 75.6
GTEX-12WSN-5019-SM-79OM6 40-49 years, male 75.3
GTEX-ZDTS-0126-SM-4WAY5 60-69 years, male 75.3
GTEX-PWO3-1526-SM-48TCM 60-69 years, female 75.2
GTEX-13W3W-2426-SM-5LU5B 60-69 years, female 74.6
GTEX-13O21-1426-SM-5K7XI 50-59 years, male 73.8
GTEX-117YX-2326-SM-5H12W 50-59 years, male 73.7
GTEX-UPJH-0326-SM-3GADU 50-59 years, male 73.6
GTEX-T2YK-0526-SM-32QPJ 50-59 years, male 73.3
GTEX-12WSK-2326-SM-5GCOH 40-49 years, female 73.1
GTEX-1J8QM-2126-SM-CYPSJ 60-69 years, female 72.6
GTEX-13O1R-0126-SM-5L3EH 60-69 years, male 72.4
GTEX-15SHW-0326-SM-6PAML 60-69 years, male 71.7
GTEX-11GS4-2726-SM-5A5LE 60-69 years, male 71.6
GTEX-1JMQI-2226-SM-CM2SD 50-59 years, male 71.6
GTEX-117YW-2626-SM-5GZZH 50-59 years, male 71.4
GTEX-SUCS-1926-SM-32PM3 70-79 years, male 71.3
GTEX-14PN3-2426-SM-6LLHS 60-69 years, female 71.2
GTEX-VJWN-0126-SM-3GIK7 50-59 years, female 71.2
GTEX-OXRP-0126-SM-3NB32 60-69 years, female 71.0
GTEX-YB5K-2126-SM-4WWDJ 40-49 years, female 70.5
GTEX-OHPL-0126-SM-2HMJ7 60-69 years, female 70.4
GTEX-1C64O-0126-SM-7SB8P 60-69 years, male 70.2
GTEX-11WQC-2526-SM-5CVLE 60-69 years, male 70.1
GTEX-147F4-0226-SM-5QGPW 50-59 years, male 70.1
GTEX-1HKZK-0326-SM-9WYUH 40-49 years, male 70.1
GTEX-1J8Q3-1626-SM-CMKGC 60-69 years, male 69.3
GTEX-PWCY-1826-SM-DHXIZ 20-29 years, female 69.0
GTEX-13IVO-0126-SM-5J1NG 70-79 years, male 68.7
GTEX-1R7EV-2426-SM-EVYBG 40-49 years, male 68.7
GTEX-1GN1V-0126-SM-9WPOS 60-69 years, male 68.0
GTEX-131XH-2226-SM-5DUXJ 50-59 years, male 67.8
GTEX-Y3I4-2126-SM-4TT7C 50-59 years, male 67.7
GTEX-11ZU8-2526-SM-5EQKI 60-69 years, male 67.6
GTEX-X4XY-0226-SM-4E3IZ 60-69 years, male 67.5
GTEX-1PPH8-0226-SM-E8VND 20-29 years, male 67.1
GTEX-XMD2-0126-SM-4YCDU 60-69 years, female 67.0
GTEX-1B933-0126-SM-7PC29 50-59 years, female 66.8
GTEX-1H3VY-0126-SM-ACKXD 50-59 years, male 66.8
GTEX-14DAR-2026-SM-5S2O3 50-59 years, male 66.6
GTEX-1QP9N-1426-SM-DTXFL 30-39 years, male 66.3
GTEX-1I1GU-2226-SM-CGQFA 40-49 years, male 66.1
GTEX-146FQ-0126-SM-5NQA9 30-39 years, male 65.9
GTEX-144GN-2326-SM-5LU4F 50-59 years, male 65.7
GTEX-1HSEH-0126-SM-ACKXN 60-69 years, male 65.6
GTEX-13OVI-1426-SM-5L3EY 60-69 years, female 65.2
GTEX-1QP67-1626-SM-EAZ3X 40-49 years, female 65.2
GTEX-S95S-1226-SM-4GICG 60-69 years, male 64.8
GTEX-1H3O1-0426-SM-9YFKY 60-69 years, male 64.1
GTEX-14DAQ-0126-SM-5S2MQ 60-69 years, female 63.8
GTEX-1H1E6-1726-SM-ACKVK 30-39 years, male 63.4
GTEX-1IDFM-0126-SM-COH2V 60-69 years, male 63.4
GTEX-1KD5A-0226-SM-D5OV3 50-59 years, male 63.4
GTEX-1GPI7-0126-SM-9MQL8 20-29 years, male 63.3
GTEX-1LG7Y-0526-SM-DKPQC 50-59 years, male 63.2
GTEX-1H2FU-0126-SM-9WYSI 60-69 years, female 62.9
GTEX-113JC-2326-SM-5EQ4E 50-59 years, female 62.7
GTEX-13NYS-0126-SM-5MR3W 60-69 years, male 62.6
GTEX-1AMFI-2026-SM-731BH 50-59 years, female 62.6
GTEX-1HSMQ-1226-SM-CGQFX 50-59 years, male 62.6
GTEX-1JN1M-0326-SM-CYPT3 60-69 years, female 61.7
GTEX-RN64-0126-SM-2TC68 50-59 years, male 61.4
GTEX-PW2O-1526-SM-7RHHB 20-29 years, male 61.4
GTEX-13113-5016-SM-7EPIP 60-69 years, female 61.2
GTEX-SIU8-0126-SM-2XCDT 50-59 years, male 61.2
GTEX-T6MO-1626-SM-32QOM 40-49 years, female 61.0
GTEX-16MT8-0426-SM-7KUEY 60-69 years, female 60.8
GTEX-XBED-2226-SM-47JYQ 60-69 years, male 60.4
GTEX-1CAMR-1926-SM-7EPI2 20-29 years, male 59.8
GTEX-X4XX-0126-SM-3NMC2 60-69 years, male 59.6
GTEX-183FY-0126-SM-7LT9P 20-29 years, male 59.4
GTEX-17EUY-0426-SM-793BD 20-29 years, male 59.3
GTEX-1C2JI-1826-SM-73KXC 50-59 years, male 59.3
GTEX-ZYFD-0126-SM-5GIDL 50-59 years, male 59.2
GTEX-1IGQW-0126-SM-COH42 60-69 years, male 59.2
GTEX-13VXT-0126-SM-5LU4I 20-29 years, female 58.6
GTEX-1QP29-0626-SM-EWRMX 50-59 years, male 58.6
GTEX-ZVZP-2426-SM-59HKJ 50-59 years, male 58.5
GTEX-1RDX4-0126-SM-E9J4P 50-59 years, female 58.5
GTEX-146FH-0126-SM-5QGPP 50-59 years, female 58.4
GTEX-ZTPG-0326-SM-5O9AX 20-29 years, female 58.4
GTEX-1F6RS-0126-SM-9MQKZ 60-69 years, female 58.4
GTEX-1MGNQ-0126-SM-EVYCJ 40-49 years, male 58.4
GTEX-YEC4-2126-SM-5IFJH 40-49 years, male 58.3
GTEX-11OF3-2626-SM-5GU7F 60-69 years, male 58.0
GTEX-13OW7-0126-SM-5MR3B 50-59 years, male 58.0
GTEX-1GZ2Q-0226-SM-7P8TL 40-49 years, male 57.6
GTEX-18D9U-0226-SM-718BP 40-49 years, male 57.5
GTEX-RU72-0926-SM-2TF6B 50-59 years, female 57.4
GTEX-1MCYP-1926-SM-E9J2R 20-29 years, female 57.3
GTEX-Q2AH-1626-SM-3GAF8 40-49 years, male 56.9
GTEX-1IKOH-0226-SM-COH4E 60-69 years, female 56.9
GTEX-13FTX-1826-SM-5J1NX 20-29 years, female 56.8
GTEX-NPJ8-0126-SM-2YUNR 40-49 years, male 56.3
GTEX-U8T8-0126-SM-3DB94 60-69 years, male 56.3
GTEX-OXRK-0226-SM-3NB2G 50-59 years, female 56.2
GTEX-13RTK-1426-SM-5QGQJ 20-29 years, male 56.1
GTEX-14PJ3-1826-SM-62LEX 50-59 years, male 56.1
GTEX-XYKS-2126-SM-4E3IB 60-69 years, female 56.1
GTEX-11TT1-2526-SM-5EGIB 20-29 years, male 55.8
GTEX-1A3MV-1926-SM-718BT 30-39 years, male 55.8
GTEX-1K2DA-1826-SM-CGQGT 50-59 years, male 55.7
GTEX-1RB15-2126-SM-E9TIM 60-69 years, male 55.7
GTEX-1MCQQ-0826-SM-DLHC2 60-69 years, male 55.5
GTEX-WY7C-2326-SM-3NB2U 50-59 years, male 55.4
GTEX-14A6H-0126-SM-5QGPK 30-39 years, male 55.3
GTEX-ZE7O-0126-SM-57WC1 50-59 years, female 55.1
GTEX-11EM3-2426-SM-59861 20-29 years, female 54.8
GTEX-1C4CL-0526-SM-73KVK 30-39 years, male 54.7
GTEX-QESD-1426-SM-2S1R9 20-29 years, male 54.6
GTEX-1QP66-1726-SM-E8VO1 50-59 years, male 54.6
GTEX-1J1R8-1726-SM-ARL8M 40-49 years, male 54.5
GTEX-RM2N-1426-SM-2TF4H 50-59 years, male 54.3
GTEX-RTLS-0126-SM-447CA 60-69 years, female 54.3
GTEX-1PIGE-0126-SM-EVYBJ 20-29 years, male 54.2
GTEX-XQ3S-1526-SM-4BOOC 20-29 years, male 54.0
GTEX-14E7W-0126-SM-6LLJ9 70-79 years, male 53.8
GTEX-QV44-1926-SM-2S1RF 50-59 years, male 53.6
GTEX-16NGA-1726-SM-731B4 40-49 years, female 53.4
GTEX-1HBPH-0426-SM-B2LW5 40-49 years, female 53.3
GTEX-QDVN-2026-SM-3GAEP 50-59 years, male 53.2
GTEX-RUSQ-1526-SM-2TF62 50-59 years, male 53.2
GTEX-148VI-1626-SM-5SI6E 60-69 years, female 52.7
GTEX-13G51-2526-SM-5LZYK 60-69 years, male 52.6
GTEX-1IL2V-0126-SM-CM2TX 70-79 years, male 52.5
GTEX-11TUW-2726-SM-E9J4M 60-69 years, male 52.1
GTEX-1HGF4-2426-SM-ACKXM 60-69 years, male 51.9
GTEX-17F96-1626-SM-7DUFL 70-79 years, male 51.7
GTEX-16AAH-1726-SM-7939C 50-59 years, male 51.6
GTEX-WVJS-0126-SM-4MVOT 50-59 years, male 51.6
GTEX-QVJO-1626-SM-2S1QW 60-69 years, female 51.5
GTEX-13FTW-2626-SM-5K7WL 40-49 years, male 51.1
GTEX-14PHW-0126-SM-6LLJI 60-69 years, female 51.1
GTEX-1128S-2326-SM-5GZZY 60-69 years, female 51.0
GTEX-1LC47-0326-SM-E9TJP 60-69 years, male 50.8
GTEX-13PVR-2326-SM-5QGR1 60-69 years, female 50.6
GTEX-1JKYN-1326-SM-CGQG9 30-39 years, male 50.6
GTEX-X8HC-0126-SM-4E3JW 50-59 years, female 50.3
GTEX-17F98-0626-SM-79OMX 40-49 years, female 50.2
GTEX-13O3Q-2426-SM-5IJBR 50-59 years, male 50.1
GTEX-14A5I-0126-SM-5TDEA 50-59 years, female 50.0
GTEX-1H1ZS-0426-SM-9WG6G 70-79 years, male 49.7
GTEX-1I1GS-0126-SM-B2LVW 60-69 years, male 49.7
GTEX-ZVT2-2526-SM-51MT1 50-59 years, female 49.4
GTEX-1I6K6-0126-SM-A9SLE 30-39 years, male 49.4
GTEX-QLQ7-1626-SM-2S1R8 60-69 years, male 49.3
GTEX-13YAN-0326-SM-5O9DF 60-69 years, male 49.2
GTEX-13U4I-0126-SM-5LU38 40-49 years, female 48.9
GTEX-WYJK-0126-SM-3NMAB 50-59 years, male 48.8
GTEX-O5YT-0126-SM-48TBW 20-29 years, male 48.4
GTEX-16XZY-2126-SM-79OK1 70-79 years, male 48.3
GTEX-1HFI6-0226-SM-ADEHZ 40-49 years, male 48.3
GTEX-PLZ6-1426-SM-DKPOT 30-39 years, male 48.3
GTEX-WQUQ-0426-SM-3MJFU 60-69 years, male 48.2
GTEX-18A7A-0226-SM-718BH 50-59 years, female 47.9
GTEX-1MA7X-2226-SM-E6CIY 60-69 years, male 47.8
GTEX-1JKYR-0126-SM-CNPOJ 20-29 years, male 47.7
GTEX-Y111-0126-SM-4SOIV 50-59 years, male 47.5
GTEX-Y5LM-1926-SM-5RQJH 40-49 years, female 47.3
GTEX-1B8KZ-2026-SM-7DHMB 50-59 years, male 46.8
GTEX-OIZG-0726-SM-33HBL 50-59 years, male 46.5
GTEX-R55E-0126-SM-2TC5Y 20-29 years, male 46.2
GTEX-1PFEY-1526-SM-E76PP 30-39 years, male 46.1
GTEX-145MI-0526-SM-5O9A8 60-69 years, female 45.7
GTEX-1AYD5-2426-SM-73KXR 50-59 years, male 45.6
GTEX-Z93T-0126-SM-5HL5N 50-59 years, male 45.6
GTEX-13W46-0226-SM-5SIAG 50-59 years, male 45.5
GTEX-QDVJ-1726-SM-2I5FX 50-59 years, male 45.5
GTEX-ZGAY-0526-SM-4WWBB 40-49 years, female 45.5
GTEX-1KANB-0526-SM-E6CJH 50-59 years, male 45.4
GTEX-145LV-2126-SM-5LU8N 50-59 years, male 45.3
GTEX-145MO-0326-SM-5Q5B3 60-69 years, male 45.3
GTEX-Y5V6-2426-SM-4VDSB 60-69 years, male 45.2
GTEX-ZAB4-0226-SM-5N9F5 40-49 years, male 45.2
GTEX-14753-0426-SM-5NQAM 60-69 years, male 45.1
GTEX-1GL5R-1826-SM-9KNUY 50-59 years, male 45.1
GTEX-169BO-1326-SM-9MQK2 50-59 years, male 44.9
GTEX-13QJ3-0326-SM-5S2RA 50-59 years, male 44.8
GTEX-1IY9M-0126-SM-D3L8S 60-69 years, male 44.8
GTEX-15UF6-0826-SM-6PALJ 70-79 years, female 44.6
GTEX-ZDXO-3026-SM-5J1N5 60-69 years, male 44.6
GTEX-ZYW4-0126-SM-5E44A 60-69 years, male 44.5
GTEX-1JJE9-0326-SM-CL53Z 70-79 years, male 44.4
GTEX-1A32A-0126-SM-718B1 50-59 years, female 44.3
GTEX-X585-0226-SM-4QAS2 50-59 years, male 44.3
GTEX-1MUQO-0126-SM-EAZ58 60-69 years, male 44.3
GTEX-13NZ8-0826-SM-5MR3I 60-69 years, female 44.2
GTEX-1JMOU-1526-SM-CL54I 60-69 years, female 44.1
GTEX-12WSA-0226-SM-5BC5V 60-69 years, male 43.8
GTEX-PLZ4-0126-SM-5SI8O 50-59 years, female 43.8
GTEX-11TTK-0126-SM-5987B 60-69 years, female 43.2
GTEX-W5WG-1826-SM-4KL2Y 50-59 years, female 42.7
GTEX-XXEK-2226-SM-4BRUM 50-59 years, male 42.6
GTEX-1I1GV-0526-SM-A9G29 60-69 years, male 42.6
GTEX-15DDE-0126-SM-6LPKH 50-59 years, female 42.5
GTEX-18A6Q-0126-SM-731BZ 60-69 years, male 42.5
GTEX-X261-0126-SM-3NMD6 50-59 years, male 42.5
GTEX-YJ8A-0426-SM-5IFID 20-29 years, male 42.1
GTEX-148VJ-0126-SM-5TDDN 70-79 years, male 41.9
GTEX-14ABY-0226-SM-5TDCQ 50-59 years, male 41.9
GTEX-14PHX-2326-SM-62LEM 50-59 years, male 41.8
GTEX-1192X-0226-SM-5H12D 50-59 years, male 41.5
GTEX-1JMQJ-0526-SM-CYPSU 50-59 years, male 41.5
GTEX-WZTO-0126-SM-3NM95 40-49 years, male 41.3
GTEX-1JN6P-0126-SM-D3L98 60-69 years, male 41.3
GTEX-RNOR-0126-SM-E9J4R 50-59 years, female 41.3
GTEX-X4EO-0326-SM-3P5YO 60-69 years, female 41.2
GTEX-U412-0426-SM-3DB9O 60-69 years, male 40.8
GTEX-1LNCM-1126-SM-E9U5E 50-59 years, female 40.8
GTEX-1C6VQ-0126-SM-7P8RI 50-59 years, male 40.6
GTEX-131YS-0126-SM-5KM1M 60-69 years, female 40.5
GTEX-1S5ZA-0126-SM-EVYCV 20-29 years, male 40.4
GTEX-111VG-2426-SM-5GZXD 60-69 years, male 40.1
GTEX-113IC-0126-SM-5HL6T 60-69 years, male 39.8
GTEX-1OFPY-2426-SM-DTXEJ 60-69 years, male 39.8
GTEX-1RAZA-0126-SM-E6CI3 20-29 years, male 39.8
GTEX-144FL-0126-SM-5TDC8 50-59 years, male 39.7
GTEX-1B8SG-0126-SM-73KZ3 50-59 years, male 39.6
GTEX-1CB4I-0226-SM-79OLH 50-59 years, male 39.6
GTEX-17F97-0326-SM-7LG5B 50-59 years, male 39.5
GTEX-13NZA-0226-SM-5K7Z7 60-69 years, male 39.1
GTEX-18A7B-0126-SM-7LG64 70-79 years, male 39.0
GTEX-WXYG-2326-SM-4E3I6 50-59 years, female 38.9
GTEX-QLQW-1126-SM-2S1Q8 30-39 years, male 38.7
GTEX-1I1CD-0126-SM-CM2TK 60-69 years, female 38.7
GTEX-11ZTS-0126-SM-5EQ6M 60-69 years, female 38.6
GTEX-XAJ8-0826-SM-47JY6 40-49 years, male 38.6
GTEX-13PDP-0126-SM-5L3HD 60-69 years, male 38.5
GTEX-UJHI-1526-SM-3DB99 50-59 years, female 38.5
GTEX-OOBJ-0126-SM-E6CJW 60-69 years, male 38.5
GTEX-1IE54-0126-SM-CMKHW 40-49 years, female 38.4
GTEX-11NSD-2226-SM-5986V 20-29 years, male 38.3
GTEX-12ZZX-0126-SM-5EGK9 40-49 years, female 38.3
GTEX-1I1HK-0126-SM-COH49 60-69 years, male 38.3
GTEX-1RQEC-0426-SM-E6CHU 60-69 years, male 38.3
GTEX-ZZPT-0226-SM-5E43X 50-59 years, male 38.1
GTEX-11DZ1-0126-SM-5985Q 50-59 years, male 38.0
GTEX-14A5H-0426-SM-5QGQF 60-69 years, male 37.8
GTEX-11UD2-0226-SM-5EQKY 50-59 years, male 37.4
GTEX-16NPX-0226-SM-79OMT 50-59 years, male 37.4
GTEX-1B8KE-2126-SM-73KYX 50-59 years, male 37.3
GTEX-ZAB5-1826-SM-5HL7C 50-59 years, male 37.3
GTEX-TKQ1-1026-SM-4GICL 30-39 years, male 37.0
GTEX-1GF9W-0326-SM-9KNUN 60-69 years, male 37.0
GTEX-1S82Y-2026-SM-EVYCM 40-49 years, male 37.0
GTEX-131XG-2626-SM-5KM17 50-59 years, female 36.9
GTEX-145LT-1726-SM-5QGP3 40-49 years, male 36.9
GTEX-13O3O-0126-SM-E9J49 60-69 years, female 36.4
GTEX-S7SE-0126-SM-2XCD5 50-59 years, male 36.0
GTEX-1F48J-0126-SM-7P8TT 50-59 years, female 35.9
GTEX-1F7RK-0126-SM-7PC2S 20-29 years, female 35.9
GTEX-Q734-1926-SM-2I5EV 40-49 years, female 35.8
GTEX-X4EP-0126-SM-3P5YV 60-69 years, female 35.6
GTEX-1GZ4H-1726-SM-7PBZJ 50-59 years, female 35.6
GTEX-13S7M-0126-SM-5SI6A 60-69 years, female 35.5
GTEX-1313W-0126-SM-5LZUN 50-59 years, female 35.4
GTEX-11NUK-0126-SM-5A5L3 50-59 years, male 35.3
GTEX-1OJC4-0126-SM-E9J2E 50-59 years, female 35.3
GTEX-1S82Z-0826-SM-E6CHY 30-39 years, female 35.3
GTEX-11OC5-0126-SM-5HL6A 60-69 years, male 35.2
GTEX-Q2AI-1326-SM-2S1PL 40-49 years, male 35.2
GTEX-1HUB1-0426-SM-E9U4U 60-69 years, male 35.2
GTEX-Y3IK-2426-SM-4WWDU 50-59 years, female 35.1
GTEX-1KANA-0726-SM-D3L9I 20-29 years, male 35.1
GTEX-14PK6-1926-SM-6ETZU 70-79 years, female 35.0
GTEX-18QFQ-0126-SM-731BE 30-39 years, male 35.0
GTEX-132NY-0326-SM-5IJBL 60-69 years, male 34.8
GTEX-X5EB-2226-SM-46MW4 40-49 years, male 34.8
GTEX-15DCD-0126-SM-7KUEK 70-79 years, female 34.7
GTEX-1J8JJ-0226-SM-CL53I 60-69 years, female 34.7
GTEX-11ZVC-2526-SM-5FQTE 50-59 years, female 34.6
GTEX-11DXY-2626-SM-5GIE7 60-69 years, male 34.5
GTEX-1314G-1526-SM-5EGK2 30-39 years, male 34.5
GTEX-14BMU-2226-SM-5TDE9 20-29 years, female 34.5
GTEX-YB5E-2026-SM-5IFIS 40-49 years, male 34.5
GTEX-1LGRB-2526-SM-CNPPQ 50-59 years, female 34.5
GTEX-12C56-1726-SM-5EQ61 20-29 years, male 34.4
GTEX-13OVK-2026-SM-7KUEO 40-49 years, male 34.2
GTEX-17HGU-0226-SM-7DHKV 50-59 years, male 34.1
GTEX-1HBPI-1526-SM-C1YQ1 50-59 years, male 34.1
GTEX-NFK9-0226-SM-2HMKQ 40-49 years, male 33.9
GTEX-1PDJ9-0326-SM-DTX95 20-29 years, male 33.9
GTEX-11GSO-2426-SM-5A5LY 60-69 years, male 33.8
GTEX-ZPIC-1726-SM-DHXIU 40-49 years, female 33.7
GTEX-15F5U-1526-SM-6PANO 40-49 years, male 33.6
GTEX-TMMY-0226-SM-33HBA 40-49 years, female 33.5
GTEX-147GR-0526-SM-5S2MY 60-69 years, male 33.4
GTEX-13X6I-0626-SM-5QGP9 60-69 years, male 33.1
GTEX-1H3NZ-0126-SM-ACKX7 60-69 years, male 33.1
GTEX-1HBPN-0226-SM-9YFM1 50-59 years, male 33.1
GTEX-1399R-2726-SM-5IJBA 30-39 years, male 32.9
GTEX-17HG3-2226-SM-7938L 30-39 years, female 32.9
GTEX-Y8E4-0626-SM-4WWDL 40-49 years, male 32.9
GTEX-OIZF-0126-SM-7SB8I 60-69 years, male 32.8
GTEX-11DXX-2426-SM-5GZZW 60-69 years, female 32.7
GTEX-14PJM-0226-SM-62LF1 50-59 years, female 32.7
GTEX-1HBPM-0226-SM-ARL9F 60-69 years, female 32.7
GTEX-13JUV-2726-SM-5LZZ8 40-49 years, female 32.6
GTEX-13X6J-0126-SM-5QGOU 50-59 years, male 32.6
GTEX-1F5PL-0326-SM-7P8PQ 40-49 years, female 32.6
GTEX-1JJ6O-0126-SM-E6CI8 60-69 years, male 32.5
GTEX-ZVT3-0126-SM-5GU6I 60-69 years, female 32.4
GTEX-WI4N-1026-SM-3LK7N 40-49 years, female 32.3
GTEX-1IDJU-2626-SM-CM2RT 60-69 years, female 32.3
GTEX-13VXU-0126-SM-5SI9F 50-59 years, male 32.2
GTEX-17EVQ-0226-SM-7LG4P 70-79 years, male 32.1
GTEX-13OW6-0426-SM-5L3HM 50-59 years, male 32.0
GTEX-1399U-2326-SM-5K7WY 50-59 years, female 31.9
GTEX-15G19-0126-SM-6PANQ 60-69 years, male 31.6
GTEX-13NYC-0326-SM-E9J4S 60-69 years, male 31.6
GTEX-SN8G-0126-SM-32PLI 50-59 years, female 31.3
GTEX-15SHU-0126-SM-7KUEH 40-49 years, female 30.9
GTEX-SJXC-0126-SM-2XCFF 60-69 years, male 30.9
GTEX-139TU-0126-SM-5K7WH 60-69 years, male 30.8
GTEX-TML8-1926-SM-32QOS 40-49 years, female 30.7
GTEX-1HCU9-1526-SM-A9SL7 20-29 years, male 30.7
GTEX-13O3P-0126-SM-5KM4S 50-59 years, male 30.5
GTEX-1EU9M-0226-SM-7P8SP 60-69 years, male 30.5
GTEX-145MF-0626-SM-5LUAI 50-59 years, male 30.4
GTEX-145MN-2226-SM-5SIAU 30-39 years, male 30.3
GTEX-1IL2U-0226-SM-CE6T8 60-69 years, male 30.2
GTEX-XUW1-0426-SM-4BOOT 50-59 years, female 30.1
GTEX-1S3DN-2226-SM-EVYCD 50-59 years, male 30.1
GTEX-12WSG-2826-SM-E9J4H 50-59 years, female 30.0
GTEX-13RTL-0126-SM-7LG5S 40-49 years, male 29.9
GTEX-PVOW-0126-SM-2XCFA 40-49 years, male 29.9
GTEX-ZZ64-1726-SM-5GZYB 20-29 years, male 29.9
GTEX-13CF2-2526-SM-5LZYX 60-69 years, male 29.8
GTEX-14C5O-0126-SM-5SI6N 60-69 years, male 29.8
GTEX-18A66-0226-SM-718BD 60-69 years, male 29.7
GTEX-1GF9X-2026-SM-7PC3A 40-49 years, female 29.7
GTEX-TSE9-0126-SM-3DB83 60-69 years, female 29.6
GTEX-1LBAC-0126-SM-DIPEZ 20-29 years, male 29.6
GTEX-13OVH-0126-SM-5MR4B 70-79 years, male 29.5
GTEX-1B8L1-2526-SM-9WYTF 60-69 years, male 29.5
GTEX-1CB4F-0426-SM-9KNV4 60-69 years, male 29.0
GTEX-15UKP-0426-SM-7KUFQ 20-29 years, male 28.9
GTEX-1CAMS-0426-SM-7P8T2 40-49 years, female 28.9
GTEX-1EKGG-0226-SM-9WYTH 60-69 years, male 28.9
GTEX-1HCU6-0126-SM-CL54K 60-69 years, female 28.8
GTEX-14E6D-0126-SM-62LDV 50-59 years, male 28.6
GTEX-RWSA-0126-SM-2XCBB 40-49 years, male 28.6
GTEX-T2IS-0126-SM-4DM6O 20-29 years, female 28.5
GTEX-1JMPZ-0226-SM-CNPP1 30-39 years, male 28.5
GTEX-U8XE-0326-SM-3DB8P 30-39 years, male 28.4
GTEX-1HCVE-0126-SM-CGQEU 50-59 years, male 28.2
GTEX-1I4MK-2226-SM-ACKWD 50-59 years, female 28.2
GTEX-11P82-1626-SM-59879 20-29 years, male 28.0
GTEX-1HCUA-2426-SM-ADEIS 50-59 years, female 28.0
GTEX-U3ZH-2026-SM-3DB78 30-39 years, male 27.9
GTEX-1OJC3-0126-SM-E76QX 20-29 years, male 27.9
GTEX-17HII-0226-SM-7LG4E 50-59 years, male 27.8
GTEX-ZVT4-0126-SM-DTXFN 50-59 years, female 27.8
GTEX-11XUK-2026-SM-5EQLF 40-49 years, female 27.6
GTEX-13FHP-0126-SM-5IJBG 50-59 years, male 27.6
GTEX-13FTY-0526-SM-5L3EV 40-49 years, female 27.6
GTEX-11P81-2326-SM-59875 30-39 years, female 27.4
GTEX-12WSE-0526-SM-793B2 20-29 years, male 27.4
GTEX-1CB4G-0226-SM-7PC3O 60-69 years, male 27.3
GTEX-17GQL-2026-SM-718BA 60-69 years, male 27.1
GTEX-1EWIQ-0126-SM-7RHH2 70-79 years, female 27.1
GTEX-ZU9S-0226-SM-5E441 30-39 years, male 27.0
GTEX-1POEN-0126-SM-EYYXJ 30-39 years, female 27.0
GTEX-1EMGI-0126-SM-9KNUE 60-69 years, male 26.9
GTEX-1F88F-2726-SM-7PBZZ 60-69 years, female 26.7
GTEX-1JN76-0126-SM-CNPPE 20-29 years, female 26.6
GTEX-P4PP-0126-SM-3LK69 30-39 years, female 26.5
GTEX-145LU-0126-SM-5TDCB 50-59 years, male 26.4
GTEX-1A8FM-0226-SM-7SB7Q 50-59 years, female 26.4
GTEX-13OVL-0226-SM-5L3E9 50-59 years, male 26.2
GTEX-ZF28-0126-SM-4WKGK 60-69 years, male 26.2
GTEX-15CHC-2126-SM-6EU21 60-69 years, female 26.1
GTEX-P44H-0226-SM-2XCEU 40-49 years, male 26.1
GTEX-17MFQ-1726-SM-793C7 20-29 years, male 26.0
GTEX-1LGOU-2026-SM-DIPFF 20-29 years, female 26.0
GTEX-1R46S-0626-SM-E9J41 60-69 years, female 26.0
GTEX-14PN4-0126-SM-6EU2V 50-59 years, male 25.9
GTEX-15ETS-0126-SM-7KUMW 40-49 years, female 25.9
GTEX-15SDE-2226-SM-7IGLO 50-59 years, female 25.9
GTEX-17MF6-0126-SM-7LG4F 40-49 years, male 25.9
GTEX-SSA3-0126-SM-32QPU 60-69 years, male 25.9
GTEX-139UW-2826-SM-5L3E7 60-69 years, male 25.8
GTEX-15EOM-0126-SM-7KUGG 20-29 years, female 25.7
GTEX-RWS6-2026-SM-2XCB5 60-69 years, female 25.7
GTEX-PSDG-0226-SM-DKPOZ 50-59 years, male 25.7
GTEX-12584-0126-SM-5EGKQ 40-49 years, male 25.6
GTEX-12KS4-0326-SM-5EQ41 30-39 years, male 25.6
GTEX-1K2DU-2326-SM-E9TIV 20-29 years, male 25.6
GTEX-1KWVE-1426-SM-E9TJO 30-39 years, male 25.5
GTEX-14LLW-0126-SM-6LLIO 70-79 years, female 25.3
GTEX-1A3MW-0126-SM-73KXX 60-69 years, female 25.3
GTEX-1I1GT-0626-SM-CGQER 60-69 years, female 25.3
GTEX-1JMPY-1326-SM-ARL8Y 30-39 years, male 25.3
GTEX-QDT8-0126-SM-48TZ1 30-39 years, female 25.2
GTEX-139TS-2826-SM-5J1OO 60-69 years, male 25.0
GTEX-13X6H-2126-SM-7EWD5 50-59 years, female 25.0
GTEX-144GL-0126-SM-5TDE2 50-59 years, male 25.0
GTEX-1I1GR-0126-SM-CL55F 60-69 years, male 24.8
GTEX-Y8DK-0126-SM-4TT3L 60-69 years, male 24.7
GTEX-1GN2E-0426-SM-9MQKX 60-69 years, male 24.6
GTEX-13D11-2426-SM-5KM1V 50-59 years, female 24.5
GTEX-1GN1U-0126-SM-7PBZK 50-59 years, female 24.5
GTEX-1I1GQ-0126-SM-COH3H 50-59 years, male 24.5
GTEX-S33H-1026-SM-EZ6L6 30-39 years, male 24.4
GTEX-1HFI7-1826-SM-ACKXH 50-59 years, female 24.3
GTEX-13N1W-0126-SM-5K7VT 70-79 years, male 24.2
GTEX-14XAO-2326-SM-6EU1B 60-69 years, female 24.2
GTEX-1F52S-0126-SM-9MQJU 60-69 years, female 24.1
GTEX-ZF3C-0126-SM-DO92D 50-59 years, female 24.1
GTEX-1KD4Q-0226-SM-E9TJ9 40-49 years, male 23.8
GTEX-1IOXB-0126-SM-ARL8G 50-59 years, male 23.7
GTEX-14LZ3-0226-SM-62LET 60-69 years, female 23.5
GTEX-1J8EW-0126-SM-CJI4F 60-69 years, female 23.5
GTEX-Q2AG-0126-SM-33HBV 40-49 years, female 23.3
GTEX-QCQG-1726-SM-3GIJ9 50-59 years, female 23.3
GTEX-17HHY-0126-SM-7LG5D 50-59 years, male 23.2
GTEX-147F3-0526-SM-5SI98 50-59 years, female 23.1
GTEX-1HSGN-0226-SM-CGQFV 40-49 years, female 22.8
GTEX-12ZZZ-0626-SM-5DUXI 60-69 years, male 22.7
GTEX-XUYS-0126-SM-47JWZ 50-59 years, male 22.7
GTEX-1KXAM-2226-SM-CYPTC 60-69 years, male 22.3
GTEX-13FXS-0226-SM-5IJCK 50-59 years, male 22.2
GTEX-1GN73-0226-SM-9WG67 60-69 years, male 22.2
GTEX-1R7EU-0226-SM-EVR4G 60-69 years, male 21.8
GTEX-11LCK-1026-SM-5A5KB 30-39 years, male 21.7
GTEX-1F5PK-2426-SM-7RHHY 50-59 years, male 21.6
GTEX-1HCU8-0626-SM-A9SM9 60-69 years, female 21.6
GTEX-139D8-0226-SM-5KLZO 30-39 years, female 21.5
GTEX-13NZB-2526-SM-5J1OM 30-39 years, male 21.5
GTEX-1E1VI-0126-SM-7DHMZ 50-59 years, male 21.4
GTEX-T8EM-1026-SM-3DB7M 40-49 years, male 21.4
GTEX-Y114-2426-SM-4TT8A 50-59 years, female 21.4
GTEX-YFC4-0126-SM-5CVLY 40-49 years, female 21.4
GTEX-1QAET-0926-SM-E76QM 50-59 years, male 21.4
GTEX-11EQ9-2426-SM-5HL5T 30-39 years, male 21.3
GTEX-ZF29-2326-SM-DO92K 60-69 years, female 21.3
GTEX-139TT-0126-SM-5K7Y5 60-69 years, male 21.2
GTEX-12WSJ-1826-SM-5GCNY 40-49 years, female 21.1
GTEX-111FC-0126-SM-5N9DL 60-69 years, male 21.0
GTEX-18D9A-1926-SM-7LG6P 30-39 years, female 21.0
GTEX-Z93S-0126-SM-5HL7M 50-59 years, male 20.9
GTEX-ZQG8-1626-SM-DHXIT 60-69 years, female 20.9
GTEX-1C6VS-0526-SM-7DUEN 60-69 years, male 20.8
GTEX-1GMRU-0126-SM-9YFLV 50-59 years, male 20.8
GTEX-R45C-0126-SM-EAZ2R 60-69 years, female 20.8
GTEX-11GSP-2526-SM-5N9BP 60-69 years, female 20.7
GTEX-16GPK-0126-SM-7DHLE 60-69 years, male 20.7
GTEX-1N2DW-0226-SM-E9TK2 50-59 years, male 20.7
GTEX-13OVJ-0126-SM-5KM36 50-59 years, female 20.6
GTEX-PX3G-0126-SM-2I3EN 20-29 years, female 20.6
GTEX-ZV6S-2326-SM-4YCEY 40-49 years, female 20.6
GTEX-OOBK-0126-SM-2YUND 40-49 years, male 20.5
GTEX-11EMC-2926-SM-5EQ4F 60-69 years, female 20.4
GTEX-1H1DG-0126-SM-9WYU2 70-79 years, male 20.4
GTEX-13SLW-0126-SM-5SI6C 70-79 years, male 20.3
GTEX-1BAJH-0526-SM-793CQ 70-79 years, male 20.3
GTEX-ZAJG-0126-SM-5HL94 50-59 years, female 20.3
GTEX-1LB8K-0226-SM-EWRNW 50-59 years, male 20.2
GTEX-S32W-2126-SM-2XCB1 50-59 years, female 20.1
GTEX-VUSG-2526-SM-4KL1V 50-59 years, male 20.1
GTEX-XPVG-2626-SM-4B669 50-59 years, male 20.1
GTEX-13N11-2526-SM-5K7UE 50-59 years, female 20.0
GTEX-1GZHY-0326-SM-9QEHI 50-59 years, female 20.0
GTEX-1GF9U-2126-SM-7SB7L 40-49 years, female 19.7
GTEX-1QEPI-0126-SM-EWRMQ 60-69 years, female 19.5
GTEX-12ZZY-0226-SM-5LZVE 60-69 years, male 19.3
GTEX-1LH75-2426-SM-E9TJE 50-59 years, female 19.3
GTEX-1S83E-0126-SM-EWRO4 40-49 years, male 19.3
GTEX-OIZH-0126-SM-2HMIS 50-59 years, male 19.2
GTEX-X88G-0126-SM-47JZ3 30-39 years, male 19.0
GTEX-ZAK1-0126-SM-5IJD3 50-59 years, female 18.9
GTEX-145ME-1826-SM-5SI9G 40-49 years, female 18.8
GTEX-1ICLZ-0126-SM-CKZPO 60-69 years, male 18.8
GTEX-1JMQK-0226-SM-CL543 60-69 years, male 18.8
GTEX-VJYA-1126-SM-3GIJU 60-69 years, male 18.7
GTEX-14JG6-2226-SM-6EU2G 30-39 years, female 18.6
GTEX-16BQI-0226-SM-7KUEX 30-39 years, female 18.6
GTEX-17KNJ-2326-SM-7DHLQ 50-59 years, male 18.5
GTEX-14E6E-1826-SM-5S2R7 30-39 years, male 18.3
GTEX-WFG8-2226-SM-3GIL9 20-29 years, male 18.3
GTEX-1IDJH-0326-SM-A9SLQ 70-79 years, male 18.3
GTEX-1K9T9-0126-SM-EVYCF 50-59 years, female 18.3
GTEX-16YQH-0126-SM-7DUFJ 30-39 years, male 17.9
GTEX-ZC5H-0226-SM-4WAY9 40-49 years, female 17.7
GTEX-13SLX-0526-SM-5S2ON 50-59 years, female 17.6
GTEX-X638-0126-SM-47JZ8 70-79 years, female 17.2
GTEX-Y5V5-2326-SM-4V6GA 60-69 years, female 17.2
GTEX-ZEX8-2426-SM-4WKG4 50-59 years, male 17.2
GTEX-133LE-1826-SM-5J1MV 20-29 years, female 17.1
GTEX-14PII-0226-SM-6EU1T 60-69 years, male 17.0
GTEX-1122O-2126-SM-5EGIR 60-69 years, female 16.9
GTEX-ZUA1-0126-SM-5GU76 40-49 years, male 16.9
GTEX-14BIN-0626-SM-793DP 50-59 years, female 16.8
GTEX-WYVS-2126-SM-3NMA3 40-49 years, female 16.8
GTEX-ZDYS-2026-SM-5HL5L 50-59 years, male 16.8
GTEX-15RIG-0226-SM-7KFTL 40-49 years, male 16.7
GTEX-1JMQL-0226-SM-CNPP5 50-59 years, female 16.6
GTEX-1269C-2526-SM-5EGJ3 60-69 years, female 16.5
GTEX-13NYB-2526-SM-5K7Z6 40-49 years, male 16.5
GTEX-1C6VR-2426-SM-79OLD 60-69 years, male 16.5
GTEX-1EN7A-0126-SM-7SB81 40-49 years, male 16.5
GTEX-R3RS-0126-SM-3GIJL 40-49 years, female 16.3
GTEX-13N2G-2626-SM-5J1OT 60-69 years, male 16.2
GTEX-ZDTT-2726-SM-4WKF8 60-69 years, male 16.1
GTEX-XV7Q-2526-SM-4BRV9 40-49 years, female 16.0
GTEX-YJ89-0126-SM-4TT3X 60-69 years, male 15.9
GTEX-11VI4-1726-SM-5CVLH 40-49 years, female 15.8
GTEX-11O72-0126-SM-59887 40-49 years, male 15.7
GTEX-13OVG-1926-SM-5L3DK 60-69 years, male 15.7
GTEX-13OW8-1326-SM-5J1OW 60-69 years, male 15.7
GTEX-OXRN-0126-SM-48TDM 50-59 years, male 15.4
GTEX-U3ZN-2326-SM-3DB7W 30-39 years, female 15.3
GTEX-ZVE2-0226-SM-59HJB 50-59 years, male 14.9
GTEX-1MA7W-2026-SM-E9TJ6 20-29 years, female 14.4
GTEX-15DYW-0126-SM-7KULE 60-69 years, female 14.3
GTEX-14BMV-0126-SM-5S2PO 50-59 years, male 14.2
GTEX-12WSL-2526-SM-5GCNJ 50-59 years, male 14.1
GTEX-18A67-0126-SM-7LG5P 50-59 years, male 14.1
GTEX-1R9PM-2026-SM-E76OY 20-29 years, male 14.1
GTEX-1KAFJ-2026-SM-CY8ID 50-59 years, male 14.0
GTEX-1M4P7-0226-SM-DIPEV 60-69 years, male 13.8
GTEX-14JG1-0426-SM-6ETZZ 40-49 years, male 13.7
GTEX-1R9K4-0126-SM-DTX9X 60-69 years, male 13.7
GTEX-13CF3-2426-SM-5IFGX 60-69 years, female 13.6
GTEX-ZYY3-0126-SM-5GZY5 60-69 years, female 13.6
GTEX-11WQK-0526-SM-5EQLD 50-59 years, male 13.4
GTEX-1192W-2626-SM-5Q5AF 60-69 years, male 13.3
GTEX-1GMR8-0126-SM-9WYTM 50-59 years, female 13.1
GTEX-1399T-2826-SM-5KLYZ 60-69 years, male 13.0
GTEX-1HR98-0126-SM-B2LWI 60-69 years, male 13.0
GTEX-1IKJJ-0126-SM-CNPQB 60-69 years, male 12.9
GTEX-11H98-0126-SM-5EGHG 50-59 years, male 12.8
GTEX-T5JW-1626-SM-3GADZ 20-29 years, female 12.7
GTEX-1AX9J-0226-SM-73KXM 60-69 years, male 12.4
GTEX-POMQ-2226-SM-2I5FK 20-29 years, female 12.4
GTEX-Y8LW-1826-SM-5S2MV 50-59 years, female 12.4
GTEX-12696-2426-SM-5EQ6H 60-69 years, male 12.3
GTEX-PLZ5-2026-SM-2S1O4 50-59 years, male 12.3
GTEX-1O97I-0326-SM-EYYX7 60-69 years, male 12.0
GTEX-1PWST-0226-SM-E76QJ 70-79 years, male 11.4
GTEX-1HT8W-0126-SM-CNPPP 30-39 years, male 11.3
GTEX-17EVP-0326-SM-7DHLG 40-49 years, male 11.2
GTEX-15ER7-0326-SM-7KUEV 20-29 years, female 11.1
GTEX-13OW5-0126-SM-DTXFS 60-69 years, male 11.1
GTEX-1CB4H-0226-SM-7PBXM 60-69 years, female 11.0
GTEX-1J1OQ-0226-SM-CYPSH 40-49 years, female 10.9
GTEX-1JK1U-2026-SM-CM2RZ 60-69 years, male 10.9
GTEX-1KANC-1526-SM-D3LAB 50-59 years, female 10.8
GTEX-17JCI-0126-SM-7LG5G 60-69 years, female 10.5
GTEX-SNMC-1226-SM-2XCFP 20-29 years, male 10.4
GTEX-T6MN-0126-SM-32PLP 50-59 years, male 10.1
GTEX-13112-2826-SM-5DUWH 50-59 years, male 10.0
GTEX-145LS-0126-SM-5QGP1 60-69 years, female 9.7
GTEX-1EX96-1626-SM-7PBXR 50-59 years, male 9.7
GTEX-1MJK2-0426-SM-DTXE5 50-59 years, male 9.6
GTEX-1CAMQ-0226-SM-7IGPK 40-49 years, male 9.4
GTEX-1HCU7-0226-SM-CL545 50-59 years, male 9.1
GTEX-1QPFJ-0226-SM-E76PB 30-39 years, female 8.5
GTEX-1E2YA-0126-SM-9KNUC 50-59 years, male 8.2
GTEX-11DXW-0226-SM-5H122 40-49 years, male 8.1
GTEX-1M5QR-1226-SM-EWROB 40-49 years, male 8.1
GTEX-SE5C-1626-SM-2XCE3 40-49 years, female 8.1
GTEX-183WM-0126-SM-7LTAB 70-79 years, female 7.9
GTEX-1LG7Z-1726-SM-D3LA4 30-39 years, male 7.9
GTEX-1C64N-0126-SM-793D7 50-59 years, male 7.7
GTEX-14PJ6-2126-SM-6EU1V 60-69 years, female 6.9
GTEX-P4QT-0126-SM-2I3FL 50-59 years, female 6.7
GTEX-1H3VE-0326-SM-9YFLH 40-49 years, male 6.6
GTEX-ZVZO-0126-SM-5A5L9 40-49 years, male 6.5
GTEX-1F6IF-0726-SM-7P8TW 60-69 years, male 6.3
GTEX-1C475-1826-SM-73KWA 40-49 years, female 6.1
GTEX-11EI6-0126-SM-5985R 60-69 years, male 6.0
GTEX-ZWKS-0126-SM-5SIAA 30-39 years, male 6.0
GTEX-1CB4E-2226-SM-793DC 60-69 years, male 5.8
GTEX-1PIIG-0226-SM-EWRN6 30-39 years, male 5.8
GTEX-ZYFG-2326-SM-5E44B 60-69 years, female 5.3
GTEX-ZYT6-0226-SM-5NQ6T 30-39 years, male 5.2
GTEX-11DXZ-2326-SM-5EGGV 50-59 years, male 5.1
GTEX-1JMLX-0226-SM-CM2RO 50-59 years, male 5.1
GTEX-Z9EW-1626-SM-5CVMN 40-49 years, male 4.7
GTEX-ZY6K-1826-SM-5GZXK 50-59 years, male 4.5
GTEX-1HSKV-0226-SM-A9SKJ 60-69 years, male 4.2
GTEX-ZTSS-1926-SM-57WEW 40-49 years, male 4.0
GTEX-1H11D-0226-SM-9WG6Z 40-49 years, male 3.7
GTEX-XBEW-0626-SM-4QASP 40-49 years, male 3.6
GTEX-ZYFC-0226-SM-5NQ75 50-59 years, male 3.6
GTEX-12WSC-0126-SM-5EQ4P 50-59 years, male 3.5
GTEX-ZXG5-0126-SM-5GIEU 60-69 years, male 3.4
GTEX-13111-1626-SM-5EGJY 50-59 years, male 3.2
GTEX-131XE-2326-SM-5PNZ2 50-59 years, male 3.1
GTEX-XUZC-1726-SM-4BRWS 30-39 years, female 3.1
GTEX-1QMI2-0226-SM-EVYBX 60-69 years, male 3.1
GTEX-1H4P4-0726-SM-9YFLR 50-59 years, male 2.9
GTEX-1GF9V-0326-SM-7RHI5 60-69 years, male 2.8
GTEX-1LVAN-0226-SM-COH3S 50-59 years, female 2.8
GTEX-1212Z-2526-SM-5EGKP 60-69 years, male 2.7
GTEX-1B8SF-1426-SM-7DUGL 60-69 years, male 2.6
GTEX-1HB9E-0226-SM-E9U4R 50-59 years, male 2.6
GTEX-11DYG-0126-SM-59883 60-69 years, male 2.3
GTEX-ZTX8-1426-SM-5DUVO 20-29 years, male 2.3
GTEX-1JJEA-0326-SM-CNPOT 60-69 years, male 2.3
GTEX-ZXES-1826-SM-5E43S 30-39 years, female 2.2
GTEX-117XS-2726-SM-5N9BL 60-69 years, male 2.1
GTEX-1B97I-1626-SM-73KYO 40-49 years, male 2.1
GTEX-ZVTK-0426-SM-51MRS 20-29 years, male 2.1
GTEX-1L5NE-2526-SM-E6CIE 50-59 years, male 2.0
GTEX-ZF2S-2326-SM-4WWCE 50-59 years, female 1.8
GTEX-WFON-2126-SM-3LK7O 40-49 years, male 1.7
GTEX-1GMR3-1926-SM-9KNUZ 40-49 years, male 1.7
GTEX-ZV68-0126-SM-59HKS 50-59 years, female 1.6
Show allShow less

Contact

  • NEWS ARTICLES
  • PRESS ROOM

The Project

  • INTRODUCTION
  • ORGANIZATION
  • PUBLICATIONS

The Human Protein Atlas

  • DOWNLOADABLE DATA
  • LICENCE & CITATION
  • HELP & FAQ
The Human Protein Atlas project is funded
by the Knut & Alice Wallenberg Foundation.


contact@proteinatlas.org