We use cookies to enhance the usability of our website. If you continue, we'll assume that you are happy to receive all cookies. More information. Don't show this again.
RPS15
HPA
RESOURCES
  • TISSUE
  • BRAIN
  • SINGLE CELL
  • SUBCELLULAR
  • CANCER
  • BLOOD
  • CELL LINE
  • STRUCTURE & INTERACTION
ABOUT
  • INTRODUCTION
  • HISTORY
  • ORGANIZATION
  • PUBLICATIONS
  • ANTIBODY SUBMISSION
  • ANTIBODY AVAILABILITY
  • ACKNOWLEDGMENTS
  • CONTACT
NEWS
  • NEWS ARTICLES
  • PRESS ROOM
LEARN
  • DICTIONARY
  • PROTEIN CLASSES
  • PROTEIN EVIDENCE
  • METHODS
  • EDUCATIONAL VIDEOS
DATA
  • DOWNLOADABLE DATA
  • PUBLICATION DATA
  • RELEASE HISTORY
HELP
  • ANTIBODY VALIDATION
  • ASSAYS & ANNOTATION
  • DISCLAIMER
  • HELP & FAQ
  • PRIVACY STATEMENT
  • LICENCE & CITATION
Fields »
Search result

Field
Term
Gene name
Class
Subclass
Class
Keyword
Chromosome
External id
Tissue
Cell type
Expression
Antibody panel
Tissue
Main location
Patient ID
Annotation
Tissue
Category
Tau score
Cluster
Reliability
Brain region
Category
Tau score
Brain region
Category
Tau score
Brain region
Category
Tau score
Cluster
Reliability
Tissue
Cell type
Enrichment
Cell type
Category
Tau score
Cell type
Category
Tau score
Cell type
Category
Tau score
Cell lineage
Category
Tau score
Cluster
Cluster
Location
Searches
Location
Cell line
Class
Type
Phase
Reliability
Cancer
Prognosis
Cancer
Category
Cancer
Category
Tau score
Cluster
Variants
Interacting gene (ensg_id)
Type
Number of interactions
Pathway
Category
Score
Score
Score
Validation
Validation
Validation
Validation
Antibodies
Data type
Column


  • SUMMARY

  • TISSUE

  • BRAIN

  • SINGLE CELL

  • SUBCELL

  • CANCER

  • BLOOD

  • CELL LINE

  • STRUCT & INT

  • RPS15
BRAIN CEREBELLUM Show tissue menu
AMYGDALA BASAL GANGLIA CEREBELLUM CEREBRAL CORTEX CHOROID PLEXUS HIPPOCAMPAL FORMATION HYPOTHALAMUS MEDULLA OBLONGATA
MIDBRAIN OLFACTORY BULB PITUITARY GLAND PONS RETINA SPINAL CORD THALAMUS WHITE MATTER
ANTIBODIES
AND
VALIDATION
Brain proteome
Cerebellum
CEREBELLUM - Expression summary
Protein expression
Cerebellumi

On the top, protein expression in current human tissue, based on all annotated cell types, is reported with the units not detected (n), low (l), medium (m) and high (h). Underneath, protein expression in each annotated cell type are reported using the same units.

Protein expression data is based on knowledge-based annotation. For genes where more than one antibody has been used, a collective score is set.

If knowledge-based annotation could not be performed for a gene, no data is displayed here. View antibody staining data further down this page.

h
m
l
n
Bergmann glia - cytoplasm/membrane: Not detected
Bergmann glia - nucleus: Not detected
GLUC cells - cytoplasm/membrane: High
GLUC cells - nucleus: Not detected
Granular cells - cytoplasm/membrane: Medium
Granular cells - nucleus: Not detected
Molecular layer - neuropil: Not detected
Molecular layer cells - cytoplasm/membrane: Medium
Molecular layer cells - nucleus: Not detected
Processes in granular layer: Not detected
Processes in molecular layer: Not detected
Processes in white matter: Not detected
Purkinje cells - cytoplasm/membrane: High
Purkinje cells - dendrites: Not detected
Purkinje cells - nucleus: Not detected
Synaptic glomeruli - capsule: Not detected
Synaptic glomeruli - core: Not detected
White matter cells - cytoplasm/membrane: High
White matter cells - nucleus: Not detected
RNA expressioni

A summary of mRNA expression data available for current tissue based on several datasets. The mRNA expression levels in human tissues are based on RNA-seq data generated by the Human Protein Atlas (HPA), Genotype-Tissue Expression (GTEx) portal and CAGE data generated by the FANTOM5 consortium. Consensus normalized expression levels for human tissues was created by combining the data from HPA and GTEx datasets.

The mRNA expression levels in pig are based on RNA-seq data generated by the Human Protein Atlas (HPA), and for mouse, HPA data and in situ hybridization generated by the Allen brain atlas are reported.

Scroll down to view mRNA expression data in more detail.
Consensus:1024.7 nTPM
HPA Brain:561.2 nTPM
GTEx:1024.7 nTPM
FANTOM5:87.6 Scaled Tags Per Million
Mouse:2018.7 nTPM
Allen mouse:1.4 Expression energy

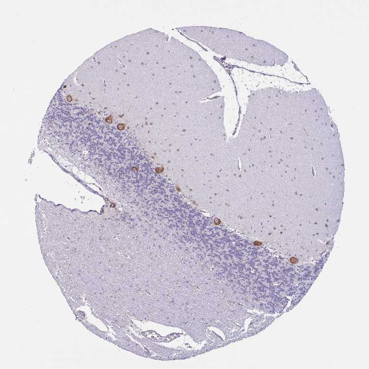
CEREBELLUM - Antibody stainingi

Antibody staining in the annotated cell types in the current human tissue is reported as not detected, low, medium, or high, based on conventional immunohistochemistry profiling in selected tissues. This score is based on the combination of the staining intensity and fraction of stained cells.

Each image is clickable and will lead to virtual microscopy that enables deeper exploration of all samples and also displays staining intensity scores, fraction scores and subcellular localization as well as patient and tissue information for each sample.

Antibody HPA054510Antibody HPA057793
Bergmann glia - cytoplasm/membrane Not detectedNot detected
Bergmann glia - nucleus Not detectedNot detected
GLUC cells - cytoplasm/membrane HighHigh
GLUC cells - nucleus Not detectedNot detected
Purkinje cells - cytoplasm/membrane HighHigh
Purkinje cells - dendrites Not detectedNot detected
Purkinje cells - nucleus Not detectedNot detected
Granular cells - cytoplasm/membrane MediumLow
Granular cells - nucleus Not detectedNot detected
Molecular layer - neuropil Not detectedNot detected
Molecular layer cells - cytoplasm/membrane MediumMedium
Molecular layer cells - nucleus Not detectedNot detected
Processes in granular layer Not detectedNot detected
Processes in molecular layer Not detectedNot detected
Processes in white matter Not detectedNot detected
Synaptic glomeruli - capsule Not detectedNot detected
Synaptic glomeruli - core Not detectedNot detected
White matter cells - cytoplasm/membrane HighLow
White matter cells - nucleus Not detectedNot detected





CEREBELLUM - HPA Brain RNA-seq
Max subtype nTPMi

Max subtype nTPM is the value for the subtype with the largest average nTPM across the subtype samples.

561.2
Sample id Sample description nTPM
Cerebellar cortex
nTPM: 541.3
1768 Female, age 72, unknown 695.7
2006 Male, age 61, right hemisphere 575.4
1788 Male, age 55, unknown 556.5
1769 Male, age 76, right hemisphere 549.7
2003 Female, age 85, right hemisphere 518.5
2055 Female, age 91, right hemisphere 490.9
2101 Male, age 74, right hemisphere 483.3
1774 Male, age 80, left hemisphere 460.6
Cerebellar nuclei
nTPM: 561.2
2783 Female, age 72, unknown 735.1
2175 Male, age 61, right hemisphere 657.4
2005 Male, age 80, left hemisphere 599.1
2882 Male, age 76, left hemisphere 577.2
1966 Female, age 91, left hemisphere 538.2
1879 Male, age 55, unknown 512.8
1871 Male, age 74, unknown 509.1
2318 Male, age 74, left hemisphere 461.8
2177 Female, age 85, both hemispheres 460.3
Flocculonodular lobe
nTPM: 496.5
1765 Male, age 55, unknown 613.6
1792 Male, age 74, unknown 570.2
1767 Male, age 76, left hemisphere 502.5
1771 Male, age 80, left hemisphere 496.8
2176 Female, age 91, right hemisphere 489.1
2004 Male, age 61, right hemisphere 443.7
1835 Female, age 85, right hemisphere 359.6
Vermis
nTPM: 456.8
1928 Female, age 72, unknown 541.3
1825 Male, age 74, unknown 523.9
1770 Male, age 76, left hemisphere 523.6
1766 Male, age 55, unknown 510.5
1778 Female, age 91, left hemisphere 475.0
1751 Male, age 74, right hemisphere 436.3
1988 Female, age 85, left hemisphere 404.6
2834 Male, age 80, left hemisphere 397.7
2460 Male, age 61, both hemispheres 298.7

CEREBELLUM - GTEx RNA-seqi

RNA-Seq data generated by the Genotype-Tissue Expression (GTEx) project from human tissues is reported as mean nTPM. More information can be found on the GTEx portal.

Distribution across the dataset is visualized with box plots, shown as median and 25th and 75th percentiles. Points are displayed as outliers if they are above or below 1.5 times the interquartile range. nTPM values of the individual samples are presented next to the box plot.
Max subtype nTPMi

Max subtype nTPM is the value for the subtype with the largest average nTPM across the subtype samples.

1024.7
GTEx sample id Sample description nTPM
Brain - Cerebellar Hemisphere
Average nTPM: 1024.7
Samples: 215

Max nTPM: 2377.7
Min nTPM: 468.3
Std nTPM: 304.6
Median nTPM: 968.3
GTEX-132Q8-0011-R11b-SM-5DUW9 60-69 years, male 2377.7
GTEX-1LKK1-0011-R11a-SM-EXOIG 50-59 years, female 2259.2
GTEX-16Z82-0011-R11a-SM-79OKJ 60-69 years, male 2026.1
GTEX-1F75W-0011-R11b-SM-AHZ34 60-69 years, male 1901.6
GTEX-13FLV-0011-R11a-SM-5LZZ7 50-59 years, male 1899.9
GTEX-1R9K4-0011-R11a-SM-EZ6N9 60-69 years, male 1818.5
GTEX-ZF28-0011-R11a-SM-4WWEI 60-69 years, male 1781.9
GTEX-NL4W-0011-R11A-SM-2I3DW 50-59 years, male 1707.6
GTEX-1B933-0011-R11a-SM-7P8PM 50-59 years, female 1663.8
GTEX-16XZZ-0011-R11a-SM-7EPI3 60-69 years, male 1580.7
GTEX-1J8Q2-0011-R11a-SM-A9SKI 60-69 years, male 1559.1
GTEX-13X6J-0011-R11a-SM-5P9HE 50-59 years, male 1554.3
GTEX-1B8SG-0011-R11a-SM-7P8PF 50-59 years, male 1546.5
GTEX-1CAV2-0011-R11a-SM-ARU8D 40-49 years, female 1537.7
GTEX-16NPV-0011-R11a-SM-7IGMK 50-59 years, female 1500.4
GTEX-XMD1-0011-R11A-SM-4AT5J 60-69 years, male 1493.9
GTEX-1H3VE-0011-R11b-SM-C1YRP 40-49 years, male 1493.2
GTEX-1GZHY-0011-R11a-SM-C1YRQ 50-59 years, female 1461.6
GTEX-12WSD-0011-R11a-SM-9OSVC 60-69 years, female 1455.5
GTEX-13JUV-0011-R11a-SM-5LZYH 40-49 years, female 1445.6
GTEX-131XW-0011-R11a-SM-5DUV9 50-59 years, female 1426.9
GTEX-1313W-0011-R11a-SM-5DUXN 50-59 years, female 1423.9
GTEX-1IOXB-0011-R11a-SM-A9G1X 50-59 years, male 1422.2
GTEX-1I19N-0011-R11b-SM-ARU6Y 70-79 years, male 1416.5
GTEX-1JJ6O-0011-R11b-SM-EXUS2 60-69 years, male 1410.8
GTEX-139UW-0011-R11a-SM-5IJGN 60-69 years, male 1407.6
GTEX-17EVQ-0011-R11a-SM-7LT9C 70-79 years, male 1397.6
GTEX-17EVP-0011-R11a-SM-7EWDL 40-49 years, male 1395.1
GTEX-11EI6-0011-R11a-SM-DO11V 60-69 years, male 1386.2
GTEX-N7MS-0011-R11A-SM-2HMJS 60-69 years, male 1377.9
GTEX-11EMC-0011-R11b-SM-DNZZK 60-69 years, female 1375.7
GTEX-1I1GS-0011-R11a-SM-C1YRU 60-69 years, male 1374.4
GTEX-13NYS-0011-R11b-SM-5MR4P 60-69 years, male 1366.9
GTEX-11DZ1-0011-R11b-SM-DO11W 50-59 years, male 1331.5
GTEX-1IGQW-0011-R11a-SM-C1YRV 60-69 years, male 1329.8
GTEX-1H4P4-0011-R11b-SM-CE6S8 50-59 years, male 1324.5
GTEX-17JCI-0011-R11a-SM-7189Y 60-69 years, female 1295.2
GTEX-13X6I-0011-R11a-SM-5P9HN 60-69 years, male 1287.4
GTEX-1GF9W-0011-R11b-SM-9OSXG 60-69 years, male 1272.7
GTEX-ZE9C-0011-R11a-SM-4WKGG 60-69 years, male 1260.5
GTEX-14C39-0011-R11b-SM-5YYAF 40-49 years, male 1232.4
GTEX-11ZTS-0011-R11a-SM-DO113 60-69 years, female 1215.4
GTEX-13G51-0011-R11b-SM-5J2NE 60-69 years, male 1207.5
GTEX-YJ89-0011-R11a-SM-4SOKA 60-69 years, male 1200.7
GTEX-WWYW-0011-R11A-SM-3NB38 50-59 years, female 1195.5
GTEX-1GMRU-0011-R11b-SM-C1YQ4 50-59 years, male 1194.4
GTEX-12WSH-0011-R11a-SM-5LZVM 50-59 years, male 1189.2
GTEX-1GMR8-0011-R11b-SM-9OSX2 50-59 years, female 1168.0
GTEX-14ASI-0011-R11b-SM-6AJBJ 60-69 years, male 1164.3
GTEX-1M4P7-0011-R11b-SM-EXOIK 60-69 years, male 1159.0
GTEX-1HGF4-0011-R11a-SM-C1YRR 60-69 years, male 1151.4
GTEX-X261-0011-R11A-SM-4E3JY 50-59 years, male 1150.9
GTEX-ZE7O-0011-R11a-SM-57WBC 50-59 years, female 1142.1
GTEX-ZVT3-0011-R11b-SM-57WBI 60-69 years, female 1140.1
GTEX-17HII-0011-R11b-SM-7KFSX 50-59 years, male 1130.2
GTEX-12WSI-0011-R11b-SM-5P9EZ 50-59 years, male 1124.6
GTEX-11ZUS-0011-R11b-SM-5BC7B 30-39 years, male 1120.9
GTEX-WL46-0011-R11A-SM-3MJFT 50-59 years, male 1120.9
GTEX-11WQC-0011-R11b-SM-57WD6 60-69 years, male 1117.2
GTEX-11TTK-0011-R11b-SM-DO112 60-69 years, female 1111.0
GTEX-1F52S-0011-R11a-SM-CJI23 60-69 years, female 1109.9
GTEX-NPJ8-0011-R11A-SM-2YUMS 40-49 years, male 1103.6
GTEX-145MI-0011-R11a-SM-5P9JZ 60-69 years, female 1101.2
GTEX-1F75A-0011-R11a-SM-AHZ35 50-59 years, male 1099.1
GTEX-1F6I4-0011-R11b-SM-9OSWS 60-69 years, male 1098.4
GTEX-16GPK-0011-R11b-SM-7MKFF 60-69 years, male 1093.6
GTEX-12WSF-0011-R11a-SM-5LZVT 70-79 years, male 1093.3
GTEX-WHSE-0011-R11A-SM-3P5YY 20-29 years, male 1093.3
GTEX-1JMOU-0011-R11b-SM-EXUTA 60-69 years, female 1088.0
GTEX-1HBPI-0011-R11b-SM-CE6SH 50-59 years, male 1080.7
GTEX-139TT-0011-R11b-SM-5LZV1 60-69 years, male 1075.7
GTEX-14E6D-0011-R11b-SM-664NP 50-59 years, male 1074.9
GTEX-13CZV-0011-R11b-SM-5N9FN 60-69 years, male 1074.6
GTEX-1C64N-0011-R11b-SM-7P8Q6 50-59 years, male 1071.5
GTEX-1ICLZ-0011-R11a-SM-CJI3N 60-69 years, male 1068.1
GTEX-13PLJ-0011-R11b-SM-5O9BS 60-69 years, female 1058.7
GTEX-13SLW-0011-R11a-SM-5SI8Q 70-79 years, male 1058.4
GTEX-18A6Q-0011-R11a-SM-72D6H 60-69 years, male 1057.2
GTEX-12WSC-0011-R11a-SM-5GU5J 50-59 years, male 1056.5
GTEX-ZDXO-0011-R11a-SM-4WWD9 60-69 years, male 1054.3
GTEX-1HUB1-0011-R11b-SM-CE6SC 60-69 years, male 1047.8
GTEX-1H1CY-0011-R11a-SM-C1YQR 60-69 years, female 1029.6
GTEX-1IY9M-0011-R11b-SM-A96TI 60-69 years, male 1027.6
GTEX-13QIC-0011-R11b-SM-5O9BU 60-69 years, female 1025.6
GTEX-1CB4G-0011-R11a-SM-9OSWG 60-69 years, male 1022.5
GTEX-16YQH-0011-R11b-SM-7LT98 30-39 years, male 1021.4
GTEX-1H1DG-0011-R11a-SM-C1YQK 70-79 years, male 1019.1
GTEX-13FHO-0011-R11b-SM-5LZYQ 60-69 years, male 1009.7
GTEX-13NZA-0011-R11b-SM-5KM4W 60-69 years, male 1009.2
GTEX-1EKGG-0011-R11a-SM-9QEHZ 60-69 years, male 1008.2
GTEX-1H1ZS-0011-R11a-SM-C1YQM 70-79 years, male 1007.9
GTEX-1LVAO-0011-R11b-SM-EXOI8 60-69 years, male 1004.7
GTEX-13FTY-0011-R11a-SM-5IJEA 40-49 years, female 1003.9
GTEX-1KD4Q-0011-R11b-SM-EXOIE 40-49 years, male 1002.1
GTEX-11DYG-0011-R11a-SM-DNZZP 60-69 years, male 1000.1
GTEX-1H3O1-0011-R11a-SM-A96RV 60-69 years, male 999.7
GTEX-Z93S-0011-R11a-SM-4RGNN 50-59 years, male 996.7
GTEX-145MH-0011-R11a-SM-5P9HQ 50-59 years, male 995.8
GTEX-X4EP-0011-R11B-SM-4QASK 60-69 years, female 994.9
GTEX-15CHQ-0011-R11b-SM-686ZZ 60-69 years, male 991.1
GTEX-14E7W-0011-R11a-SM-5ZZVA 70-79 years, male 989.9
GTEX-13OVJ-0011-R11a-SM-5P9H8 50-59 years, female 985.8
GTEX-1JJEA-0011-R11a-SM-EXUTE 60-69 years, male 985.6
GTEX-183WM-0011-R11a-SM-718A5 70-79 years, female 983.5
GTEX-NL3H-0011-R11A-SM-2I3E6 60-69 years, male 983.2
GTEX-13JVG-0011-R11a-SM-5KM53 60-69 years, male 981.5
GTEX-14C5O-0011-R11b-SM-6872H 60-69 years, male 976.9
GTEX-1IDJH-0011-R11b-SM-C1YRT 70-79 years, male 968.3
GTEX-S7SE-0011-R11A-SM-2XCDD 50-59 years, male 965.2
GTEX-1GZ4I-0011-R11b-SM-9OSWR 50-59 years, male 964.8
GTEX-ZUA1-0011-R11b-SM-51MTI 40-49 years, male 959.6
GTEX-T5JC-0011-R11A-SM-32PMB 20-29 years, male 944.1
GTEX-1F48J-0011-R11b-SM-9OSWV 50-59 years, female 940.2
GTEX-13PVQ-0011-R11a-SM-5O9DU 50-59 years, male 938.9
GTEX-1J1OQ-0011-R11a-SM-A96S3 40-49 years, female 938.0
GTEX-13RTJ-0011-R11a-SM-5O9CK 60-69 years, male 934.6
GTEX-OHPN-0011-R11A-SM-2I5FM 60-69 years, female 933.6
GTEX-144GL-0011-R11b-SM-5P9F6 50-59 years, male 932.8
GTEX-17F97-0011-R11b-SM-7KFRQ 50-59 years, male 929.8
GTEX-1HSKV-0011-R11b-SM-AHZ2E 60-69 years, male 926.8
GTEX-ZAB4-0011-R11a-SM-4SOKI 40-49 years, male 921.7
GTEX-15G19-0011-R11b-SM-6LPIH 60-69 years, male 921.4
GTEX-1JMQJ-0011-R11a-SM-EXOJY 50-59 years, male 917.2
GTEX-1I1GV-0011-R11a-SM-CJI3Z 60-69 years, male 915.9
GTEX-RU72-0011-R11A-SM-CM2U1 50-59 years, female 913.3
GTEX-1BAJH-0011-R11b-SM-7IGLM 70-79 years, male 912.8
GTEX-12ZZZ-0011-R11a-SM-5EGLC 60-69 years, male 910.4
GTEX-14BIM-0011-R11b-SM-5S2RN 60-69 years, female 910.2
GTEX-1I1GQ-0011-R11b-SM-CKZPA 50-59 years, male 905.6
GTEX-1E1VI-0011-R11a-SM-9OSWI 50-59 years, male 903.9
GTEX-11PRG-0011-R11b-SM-DNZZY 50-59 years, male 900.6
GTEX-1IKOH-0011-R11a-SM-AHZ38 60-69 years, female 900.2
GTEX-14PN4-0011-R11a-SM-686ZW 50-59 years, male 897.7
GTEX-ZVZQ-0011-R11a-SM-51MS6 60-69 years, female 894.5
GTEX-1GTWX-0011-R11b-SM-C1YQJ 60-69 years, male 892.7
GTEX-1I1HK-0011-R11a-SM-B2LVN 60-69 years, male 891.1
GTEX-13OVH-0011-R11b-SM-5KM4X 70-79 years, male 890.6
GTEX-T2IS-0011-R11A-SM-32QPC 20-29 years, female 888.7
GTEX-1N2DW-0011-R11b-SM-EXOIL 50-59 years, male 886.6
GTEX-1I1GR-0011-R11a-SM-CM2T5 60-69 years, male 885.9
GTEX-1IL2U-0011-R11a-SM-CE6SO 60-69 years, male 885.7
GTEX-11DXY-0011-R11a-SM-DNZZN 60-69 years, male 882.4
GTEX-1F7RK-0011-R11b-SM-9QEI2 20-29 years, female 878.7
GTEX-NPJ7-0011-R11A-SM-2I3E8 60-69 years, female 872.2
GTEX-131XH-0011-R11a-SM-5EGLN 50-59 years, male 869.8
GTEX-11OF3-0011-R11a-SM-57WCR 60-69 years, male 866.0
GTEX-14ABY-0011-R11a-SM-5SI7C 50-59 years, male 865.2
GTEX-1LSVX-0011-R11b-SM-EXOIA 60-69 years, male 863.4
GTEX-1LG7Y-0011-R11a-SM-EXOIH 50-59 years, male 860.0
GTEX-1HCU6-0011-R11b-SM-AHZ2F 60-69 years, female 858.3
GTEX-13O3Q-0011-R11b-SM-5KM2W 50-59 years, male 857.0
GTEX-13S7M-0011-R11b-SM-5P9HU 60-69 years, female 855.9
GTEX-13X6K-0011-R11a-SM-5P9F5 60-69 years, female 846.9
GTEX-1B8L1-0011-R11b-SM-793DJ 60-69 years, male 843.2
GTEX-13OW7-0011-R11a-SM-5O9DY 50-59 years, male 841.3
GTEX-1HFI6-0011-R11b-SM-A96RU 40-49 years, male 834.2
GTEX-15DCD-0011-R11a-SM-D4P1R 70-79 years, female 828.2
GTEX-1H3NZ-0011-R11b-SM-CE6SF 60-69 years, male 825.4
GTEX-1IKK5-0011-R11a-SM-C1YRX 60-69 years, male 823.3
GTEX-14BIN-0011-R11a-SM-5SI79 50-59 years, female 819.1
GTEX-1A3MX-0011-R11b-SM-7DUGP 60-69 years, male 813.8
GTEX-12126-0011-R11a-SM-5BC6X 20-29 years, male 810.3
GTEX-RVPV-0011-R11A-SM-2TF6F 60-69 years, male 808.9
GTEX-13OW8-0011-R11a-SM-5L3GT 60-69 years, male 807.8
GTEX-1EMGI-0011-R11b-SM-9OSWX 60-69 years, male 807.8
GTEX-12WSM-0011-R11a-SM-5DUX8 60-69 years, male 807.5
GTEX-1399T-0011-R11a-SM-5J2O1 60-69 years, male 807.5
GTEX-17HG3-0011-R11b-SM-7KFT4 30-39 years, female 805.3
GTEX-15EO6-0011-R11b-SM-6M47M 50-59 years, male 803.7
GTEX-11H98-0011-R11b-SM-5NQ6U 50-59 years, male 797.1
GTEX-WZTO-0011-R11A-SM-4E3K9 40-49 years, male 797.1
GTEX-YFC4-0011-R11a-SM-4SOK6 40-49 years, female 792.7
GTEX-1J8EW-0011-R11a-SM-AHZ37 60-69 years, female 789.4
GTEX-13CF2-0011-R11b-SM-5LZXO 60-69 years, male 788.2
GTEX-1R9PO-0011-R11b-SM-EZ6NB 60-69 years, female 786.4
GTEX-18464-0011-R11a-SM-72D76 50-59 years, male 785.6
GTEX-1HB9E-0011-R11b-SM-ARU79 50-59 years, male 782.2
GTEX-Y8DK-0011-R11A-SM-4SOK2 60-69 years, male 780.1
GTEX-13OVL-0011-R11b-SM-5L3G7 50-59 years, male 775.4
GTEX-1IL2V-0011-R11a-SM-ARU6T 70-79 years, male 768.1
GTEX-15DYW-0011-R11a-SM-6LPIT 60-69 years, female 759.9
GTEX-13VXU-0011-R11b-SM-5O9DJ 50-59 years, male 758.8
GTEX-UTHO-0011-R11A-SM-3GIJE 60-69 years, male 754.7
GTEX-13NYB-0011-R11a-SM-5KM3Q 40-49 years, male 754.6
GTEX-13N2G-0011-R11a-SM-5MR3F 60-69 years, male 749.9
GTEX-13SLX-0011-R11b-SM-5O9C8 50-59 years, female 746.8
GTEX-N7MT-0011-R11A-SM-2I3DZ 60-69 years, female 745.6
GTEX-1GN73-0011-R11b-SM-9OSX4 60-69 years, male 745.1
GTEX-13FXS-0011-R11a-SM-5L3DM 50-59 years, male 742.4
GTEX-13OW5-0011-R11b-SM-5L3GG 60-69 years, male 737.4
GTEX-P44G-0011-R11A-SM-2I3FD 30-39 years, male 735.6
GTEX-13O3O-0011-R11b-SM-5KM4G 60-69 years, female 729.7
GTEX-13OW6-0011-R11a-SM-5L3H2 50-59 years, male 726.5
GTEX-1N2EE-0011-R11b-SM-EXOIJ 60-69 years, male 724.6
GTEX-X585-0011-R11B-SM-46MUZ 50-59 years, male 722.1
GTEX-11GSP-0011-R11b-SM-5NQ7V 60-69 years, female 717.3
GTEX-1AX9I-0011-R11b-SM-7DHN4 60-69 years, male 716.2
GTEX-12ZZX-0011-R11a-SM-5DUVJ 40-49 years, female 710.5
GTEX-1B8SF-0011-R11a-SM-79OOP 60-69 years, male 697.4
GTEX-P44H-0011-R11A-SM-2XCER 40-49 years, male 683.4
GTEX-145LU-0011-R11b-SM-5P9JX 50-59 years, male 680.4
GTEX-18465-0011-R11a-SM-72D78 50-59 years, male 679.6
GTEX-13FHP-0011-R11b-SM-5LZXP 50-59 years, male 677.9
GTEX-12WSE-0011-R11b-SM-5P9JW 20-29 years, male 668.7
GTEX-15ER7-0011-R11a-SM-6LPIL 20-29 years, female 660.6
GTEX-X4XX-0011-R11A-SM-46MWQ 60-69 years, male 659.7
GTEX-131YS-0011-R11b-SM-5EGLM 60-69 years, female 648.6
GTEX-WVLH-0011-R11A-SM-3MJFO 50-59 years, male 627.9
GTEX-TSE9-0011-R11A-SM-3DB7N 60-69 years, female 599.3
GTEX-QMR6-0011-R11A-SM-32PKK 50-59 years, male 590.5
GTEX-14DAQ-0011-R11a-SM-664NO 60-69 years, female 569.0
GTEX-T6MN-0011-R11A-SM-32QOX 50-59 years, male 533.6
GTEX-R55E-0011-R11A-SM-2TC6I 20-29 years, male 490.7
GTEX-Q2AG-0011-R11A-SM-2HMKZ 40-49 years, female 473.5
GTEX-QDT8-0011-R11A-SM-32PKD 30-39 years, female 468.3
Show allShow less
Brain - Cerebellum
Average nTPM: 892.3
Samples: 241

Max nTPM: 1552.7
Min nTPM: 391.3
Std nTPM: 178.7
Median nTPM: 869.9
GTEX-Y111-2826-SM-4TT3O 50-59 years, male 1552.7
GTEX-1EH9U-3126-SM-7MXU5 60-69 years, male 1509.3
GTEX-XMD1-2826-SM-4AT5F 60-69 years, male 1442.3
GTEX-1B8SG-1926-SM-73KUB 50-59 years, male 1393.6
GTEX-1RNSC-3126-SM-EVR4V 60-69 years, male 1346.2
GTEX-1F75W-3126-SM-7P8SJ 60-69 years, male 1305.2
GTEX-WWYW-3026-SM-3NB36 50-59 years, female 1272.2
GTEX-1F48J-2726-SM-7P8PW 50-59 years, female 1270.9
GTEX-16XZZ-2926-SM-6LPK4 60-69 years, male 1269.2
GTEX-ZF28-2926-SM-4WKG1 60-69 years, male 1260.1
GTEX-1IKOH-2826-SM-CNNRC 60-69 years, female 1251.4
GTEX-13OVJ-2726-SM-5IJG6 50-59 years, female 1235.8
GTEX-1E2YA-2926-SM-7MGWX 50-59 years, male 1211.6
GTEX-1BAJH-3126-SM-7MGXY 70-79 years, male 1182.4
GTEX-1GF9W-2726-SM-9JGGW 60-69 years, male 1170.4
GTEX-1H1ZS-2926-SM-9WPP2 70-79 years, male 1164.8
GTEX-1JMQJ-3126-SM-EV79G 50-59 years, male 1164.2
GTEX-ZZPT-2926-SM-5EQ5S 50-59 years, male 1161.7
GTEX-1JJE9-3026-SM-CNNPA 70-79 years, male 1159.5
GTEX-1RDX4-3226-SM-DPS14 50-59 years, female 1156.5
GTEX-16Z82-2926-SM-6LPJJ 60-69 years, male 1149.1
GTEX-1192X-3226-SM-5987D 50-59 years, male 1138.1
GTEX-11EI6-2926-SM-5985U 60-69 years, male 1137.1
GTEX-X261-3126-SM-4PQZC 50-59 years, male 1135.5
GTEX-14E6D-2926-SM-664OP 50-59 years, male 1134.6
GTEX-1C6WA-3326-SM-7MKGN 60-69 years, male 1134.4
GTEX-1F6I4-3026-SM-7P8SI 60-69 years, male 1131.0
GTEX-1HB9E-3126-SM-AHZ4M 50-59 years, male 1129.2
GTEX-1JN1M-3126-SM-AHZ4E 60-69 years, female 1128.9
GTEX-1B8L1-3226-SM-7P8OX 60-69 years, male 1108.1
GTEX-1H3VE-2826-SM-9WPOL 40-49 years, male 1104.0
GTEX-13RTJ-3126-SM-5S2Q4 60-69 years, male 1088.4
GTEX-1HSMO-2926-SM-C1YR5 60-69 years, male 1082.3
GTEX-13NYB-3226-SM-5J2ND 40-49 years, male 1079.2
GTEX-WL46-2826-SM-3LK81 50-59 years, male 1067.1
GTEX-1128S-2826-SM-5N9DI 60-69 years, female 1049.7
GTEX-1GF9V-3026-SM-7P8R8 60-69 years, male 1049.5
GTEX-ZAK1-2926-SM-5HL9S 50-59 years, female 1044.6
GTEX-WHSE-2926-SM-3NMBG 20-29 years, male 1042.4
GTEX-UTHO-2926-SM-3P5Z9 60-69 years, male 1041.3
GTEX-ZVT3-2926-SM-5GU6M 60-69 years, female 1040.9
GTEX-1JMQK-2926-SM-D4P2T 60-69 years, male 1040.8
GTEX-1C6VR-3026-SM-7IGLW 60-69 years, male 1038.5
GTEX-1GZHY-3026-SM-7MXVA 50-59 years, female 1035.3
GTEX-1I1CD-2926-SM-A96SJ 60-69 years, female 1034.5
GTEX-1H3O1-1826-SM-A96TO 60-69 years, male 1032.2
GTEX-1JMPZ-2826-SM-C1YRA 30-39 years, male 1031.2
GTEX-1E1VI-2926-SM-7IGLT 50-59 years, male 1028.7
GTEX-1KANB-3226-SM-D4P3G 50-59 years, male 1028.0
GTEX-14A5I-2826-SM-5SIBF 50-59 years, female 1024.8
GTEX-1GTWX-2926-SM-7MXV4 60-69 years, male 1016.4
GTEX-1JJ6O-3026-SM-C1YQH 60-69 years, male 1015.9
GTEX-13PVQ-2926-SM-5L3HJ 50-59 years, male 1010.5
GTEX-N7MT-1226-SM-DKPOK 60-69 years, female 1010.1
GTEX-183WM-2726-SM-7KFRF 70-79 years, female 1009.0
GTEX-1KD4Q-3026-SM-EV7A7 40-49 years, male 1008.1
GTEX-11DZ1-2926-SM-5A5KI 50-59 years, male 1006.3
GTEX-1PWST-3026-SM-EAZ3H 70-79 years, male 1005.7
GTEX-13OW7-2926-SM-5MR3Z 50-59 years, male 1001.4
GTEX-1MJK2-3026-SM-EV7A5 50-59 years, male 996.9
GTEX-11O72-2826-SM-5HL6W 40-49 years, male 989.2
GTEX-1QEPI-3026-SM-EXOIW 60-69 years, female 987.3
GTEX-12ZZY-2926-SM-5DUXO 60-69 years, male 967.8
GTEX-1F75A-2926-SM-7MXVN 50-59 years, male 967.3
GTEX-XLM4-2926-SM-4AT59 60-69 years, male 967.2
GTEX-ZYFD-2926-SM-5GID9 50-59 years, male 963.0
GTEX-NPJ8-2626-SM-2D7W2 40-49 years, male 962.0
GTEX-13O3Q-3026-SM-5IJGD 50-59 years, male 961.8
GTEX-13FHO-2926-SM-5L3ES 60-69 years, male 961.7
GTEX-131YS-3026-SM-5EGHY 60-69 years, female 952.1
GTEX-11ONC-3026-SM-5985W 60-69 years, male 951.6
GTEX-11TTK-2826-SM-5GU5K 60-69 years, female 951.0
GTEX-1399T-3126-SM-5IJFS 60-69 years, male 950.2
GTEX-14BIM-3126-SM-5Q5C7 60-69 years, female 950.1
GTEX-ZDXO-2926-SM-4WKFM 60-69 years, male 948.1
GTEX-145MG-3126-SM-5Q5D3 50-59 years, male 948.0
GTEX-13G51-3126-SM-5IJG7 60-69 years, male 947.4
GTEX-13112-2926-SM-5DUWT 50-59 years, male 946.1
GTEX-ZAB4-2926-SM-57WCV 40-49 years, male 943.8
GTEX-11EMC-3326-SM-5P9JH 60-69 years, female 943.7
GTEX-1H1CY-3026-SM-9OSW7 60-69 years, female 942.8
GTEX-1NV8Z-3026-SM-DTX8Z 60-69 years, male 937.1
GTEX-13OW5-3126-SM-5MR3Y 60-69 years, male 936.6
GTEX-X4EP-3026-SM-3P5YP 60-69 years, female 936.1
GTEX-11GSP-3126-SM-5A5LL 60-69 years, female 935.7
GTEX-11ZVC-3026-SM-59HJM 50-59 years, female 933.8
GTEX-WVLH-2926-SM-3MJG5 50-59 years, male 932.5
GTEX-ZAJG-3026-SM-5HL92 50-59 years, female 932.4
GTEX-12ZZZ-3126-SM-5LZU6 60-69 years, male 926.4
GTEX-1A8G7-3026-SM-73KTT 60-69 years, male 926.4
GTEX-12WSM-2126-SM-5GCOC 60-69 years, male 925.2
GTEX-13N2G-3126-SM-5IJGL 60-69 years, male 921.7
GTEX-T6MN-2526-SM-32PMN 50-59 years, male 920.6
GTEX-T5JC-2326-SM-32PMR 20-29 years, male 918.8
GTEX-1LSVX-2826-SM-EVR58 60-69 years, male 918.4
GTEX-16YQH-2926-SM-6LPJE 30-39 years, male 916.7
GTEX-11ZTS-3226-SM-5EGID 60-69 years, female 916.0
GTEX-R55E-2526-SM-2TC6H 20-29 years, male 914.6
GTEX-1F6IF-3026-SM-7P8QN 60-69 years, male 912.7
GTEX-YFC4-3026-SM-5IFJK 40-49 years, female 911.3
GTEX-11OC5-0626-SM-5HL6M 60-69 years, male 910.3
GTEX-131XH-2926-SM-5LZU4 50-59 years, male 905.9
GTEX-1EWIQ-3026-SM-7IGOJ 70-79 years, female 902.7
GTEX-1PIIG-2826-SM-DTX7O 30-39 years, male 902.0
GTEX-1HSKV-2926-SM-B2LWJ 60-69 years, male 897.4
GTEX-13CF2-3026-SM-5IFFX 60-69 years, male 893.8
GTEX-14PJO-2926-SM-686ZI 60-69 years, male 892.0
GTEX-145LU-2626-SM-5LU9Z 50-59 years, male 890.0
GTEX-12WSE-2926-SM-5RQJ9 20-29 years, male 889.9
GTEX-1R46S-3126-SM-DPRZ9 60-69 years, female 888.8
GTEX-1J1OQ-3126-SM-D4P2O 40-49 years, female 886.2
GTEX-17HG3-2826-SM-7EPGO 30-39 years, female 885.7
GTEX-1313W-3026-SM-5LZUZ 50-59 years, female 884.8
GTEX-Z93S-2826-SM-57WBL 50-59 years, male 883.3
GTEX-13QIC-3026-SM-5LU58 60-69 years, female 879.1
GTEX-13OVL-3026-SM-5IJF1 50-59 years, male 875.7
GTEX-1269C-3126-SM-5EGI6 60-69 years, female 872.9
GTEX-147GR-3126-SM-5S2PM 60-69 years, male 871.6
GTEX-132Q8-2926-SM-5IFFP 60-69 years, male 871.5
GTEX-11DXY-3126-SM-5N9BT 60-69 years, male 870.2
GTEX-YJ89-2926-SM-5P9IT 60-69 years, male 869.9
GTEX-17JCI-3026-SM-7EWDR 60-69 years, female 867.5
GTEX-1A3MX-2926-SM-718B7 60-69 years, male 867.3
GTEX-11ZUS-2826-SM-5EQKW 30-39 years, male 866.9
GTEX-15DYW-3026-SM-7KFRM 60-69 years, female 861.9
GTEX-1LG7Y-3126-SM-EV7AS 50-59 years, male 861.8
GTEX-13FHP-2926-SM-5IJG9 50-59 years, male 861.7
GTEX-N7MS-2526-SM-2D7W3 60-69 years, male 860.5
GTEX-13X6K-2826-SM-5O9DS 60-69 years, female 859.8
GTEX-14JFF-2826-SM-6871Q 60-69 years, male 857.4
GTEX-11DXW-1026-SM-5H11K 40-49 years, male 857.3
GTEX-1HBPI-2726-SM-9WPPF 50-59 years, male 854.3
GTEX-11NUK-3026-SM-5986K 50-59 years, male 849.5
GTEX-1IDJH-3126-SM-C1YQS 70-79 years, male 849.2
GTEX-14ABY-3026-SM-664NE 50-59 years, male 847.6
GTEX-13JVG-3226-SM-5IJGJ 60-69 years, male 846.9
GTEX-1JMOU-2826-SM-EV79R 60-69 years, female 846.6
GTEX-1CB4G-2926-SM-7MKFQ 60-69 years, male 844.1
GTEX-13OW6-2926-SM-5KM29 50-59 years, male 843.6
GTEX-1EMGI-3126-SM-7MXUR 60-69 years, male 842.9
GTEX-13JUV-3026-SM-5K7WX 40-49 years, female 840.4
GTEX-1GN73-3026-SM-7MXV8 60-69 years, male 838.7
GTEX-13OVH-2926-SM-5IJFH 70-79 years, male 837.8
GTEX-11GSO-3026-SM-5Q5AL 60-69 years, male 837.5
GTEX-Y8DK-0726-SM-4TT3S 60-69 years, male 836.4
GTEX-18A6Q-2826-SM-7LTAO 60-69 years, male 832.0
GTEX-13O3O-3026-SM-5KM42 60-69 years, female 831.5
GTEX-1H4P4-2726-SM-9JGGB 50-59 years, male 831.5
GTEX-1HBPH-3026-SM-9WPNY 40-49 years, female 828.7
GTEX-147F4-3026-SM-5Q5BJ 50-59 years, male 826.8
GTEX-13X6I-2926-SM-5Q5C3 60-69 years, male 826.6
GTEX-13SLX-3226-SM-5YYA6 50-59 years, female 826.5
GTEX-15G19-2826-SM-6M48K 60-69 years, male 822.3
GTEX-1H1DG-2826-SM-9JGHB 70-79 years, male 822.0
GTEX-1IL2V-3026-SM-CYPSA 70-79 years, male 821.7
GTEX-18465-2926-SM-7KFSE 50-59 years, male 819.0
GTEX-14PN4-3026-SM-664O4 50-59 years, male 818.4
GTEX-14BIN-3326-SM-5Q5E6 50-59 years, female 816.7
GTEX-14JIY-2326-SM-6AJAJ 60-69 years, male 816.7
GTEX-S7SE-2526-SM-2XCDL 50-59 years, male 815.5
GTEX-111FC-3326-SM-5GZYV 60-69 years, male 814.6
GTEX-1RQEC-3026-SM-DPRXM 60-69 years, male 811.7
GTEX-15EO6-2926-SM-6M48D 50-59 years, male 809.7
GTEX-17F97-2926-SM-7DUEQ 50-59 years, male 809.0
GTEX-1F52S-3026-SM-7P8PV 60-69 years, female 807.7
GTEX-1EX96-3126-SM-9JGGC 50-59 years, male 807.3
GTEX-12WSC-2926-SM-5BC5Z 50-59 years, male 805.4
GTEX-1B996-2926-SM-7MXUH 60-69 years, male 804.0
GTEX-15ER7-3026-SM-6M47W 20-29 years, female 801.6
GTEX-ZYY3-3026-SM-5GIEJ 60-69 years, female 801.3
GTEX-12WSD-3026-SM-5LZU7 60-69 years, female 800.0
GTEX-1JMLX-3026-SM-EV79Q 50-59 years, male 796.5
GTEX-14C5O-2926-SM-5RQI1 60-69 years, male 796.0
GTEX-139TS-3126-SM-5LZWX 60-69 years, male 791.2
GTEX-PWO3-1026-SM-2I5F2 60-69 years, female 786.2
GTEX-ZUA1-2926-SM-59HL3 40-49 years, male 785.4
GTEX-12WSH-3126-SM-5LZW8 50-59 years, male 785.2
GTEX-13FXS-3026-SM-5LZYO 50-59 years, male 781.8
GTEX-13S7M-3026-SM-5S2QQ 60-69 years, female 779.2
GTEX-1C64N-3126-SM-79OO3 50-59 years, male 777.0
GTEX-1QP6S-3026-SM-EAZ4N 40-49 years, male 776.9
GTEX-1EKGG-3126-SM-9WPO5 60-69 years, male 775.3
GTEX-1POEN-2726-SM-E9U6B 30-39 years, female 775.1
GTEX-1JJEA-2926-SM-C1YSK 60-69 years, male 770.2
GTEX-T2IS-2926-SM-32QPO 20-29 years, female 769.8
GTEX-1B933-3026-SM-731DB 50-59 years, female 769.4
GTEX-1GZ2Q-3026-SM-9JGG3 40-49 years, male 766.9
GTEX-139TT-2626-SM-5LZUB 60-69 years, male 766.3
GTEX-145MH-2926-SM-5Q5D2 50-59 years, male 765.7
GTEX-14C39-3026-SM-5S2QE 40-49 years, male 762.8
GTEX-13VXU-3026-SM-5LU3K 50-59 years, male 761.2
GTEX-13OW8-2926-SM-5L3FV 60-69 years, male 757.2
GTEX-RU72-2926-SM-2TF66 50-59 years, female 754.2
GTEX-17HII-2926-SM-79OMK 50-59 years, male 752.9
GTEX-17EVQ-2726-SM-7EWDT 70-79 years, male 751.6
GTEX-WZTO-2826-SM-3NM8P 40-49 years, male 751.6
GTEX-12126-0926-SM-5FQTW 20-29 years, male 750.7
GTEX-14E7W-2926-SM-5S2R8 70-79 years, male 747.9
GTEX-117XS-3126-SM-5GIDP 60-69 years, male 745.3
GTEX-1R9PO-2826-SM-E6CPV 60-69 years, female 744.5
GTEX-145MF-2826-SM-7EPGU 50-59 years, male 741.7
GTEX-QVJO-1325-SM-2S1QX 60-69 years, female 740.1
GTEX-14PJM-3026-SM-6LLHM 50-59 years, female 739.1
GTEX-11NV4-2226-SM-5BC4T 60-69 years, male 734.5
GTEX-144GL-2926-SM-5O99F 50-59 years, male 731.1
GTEX-1I1GV-3026-SM-CNNR9 60-69 years, male 727.4
GTEX-1IY9M-3126-SM-AHZ3A 60-69 years, male 724.9
GTEX-145LS-3026-SM-5O99S 60-69 years, female 724.8
GTEX-14ASI-2926-SM-5Q5DG 60-69 years, male 723.8
GTEX-14JG1-2926-SM-686ZK 40-49 years, male 720.7
GTEX-15SHU-3026-SM-6LPIB 40-49 years, female 719.5
GTEX-OHPN-2626-SM-2I5H1 60-69 years, female 708.1
GTEX-1I1HK-2726-SM-AHZ2M 60-69 years, male 707.5
GTEX-X4XX-2926-SM-3NMB1 60-69 years, male 707.3
GTEX-17EVP-2926-SM-793BU 40-49 years, male 700.4
GTEX-1CB4H-3026-SM-79OLX 60-69 years, female 693.9
GTEX-1GZ4I-2926-SM-9JGGO 50-59 years, male 686.0
GTEX-14DAQ-3026-SM-5S2QZ 60-69 years, female 684.6
GTEX-1KWVE-2226-SM-CXZKN 30-39 years, male 682.8
GTEX-1B8SF-3026-SM-731DX 60-69 years, male 679.0
GTEX-11DYG-2926-SM-5H132 60-69 years, male 678.1
GTEX-14BMV-2926-SM-5TDEE 50-59 years, male 678.1
GTEX-17HHY-2926-SM-79OJW 50-59 years, male 675.0
GTEX-QVUS-2926-SM-3GIJB 60-69 years, female 668.5
GTEX-Q2AG-2826-SM-2HMJQ 40-49 years, female 662.6
GTEX-11PRG-2826-SM-5BC54 50-59 years, male 660.5
GTEX-1HCVE-2926-SM-9WPPJ 50-59 years, male 656.6
GTEX-1H3NZ-2926-SM-9WPQ8 60-69 years, male 647.2
GTEX-12ZZX-2826-SM-5BC6K 40-49 years, female 644.5
GTEX-1EU9M-2926-SM-793DF 60-69 years, male 638.8
GTEX-1P4AB-3026-SM-EXOJS 50-59 years, male 631.8
GTEX-QDT8-3026-SM-32PKB 30-39 years, female 631.3
GTEX-1A8G6-3126-SM-731D8 60-69 years, male 593.6
GTEX-TSE9-2926-SM-3DB77 60-69 years, female 571.8
GTEX-QMR6-1326-SM-32PLB 50-59 years, male 558.8
GTEX-P44G-2526-SM-2I5EK 30-39 years, male 557.0
GTEX-NPJ7-2826-SM-2I3FU 60-69 years, female 550.2
GTEX-RNOR-2226-SM-2TF5O 50-59 years, female 546.4
GTEX-P44H-2426-SM-2XCEJ 40-49 years, male 540.6
GTEX-PVOW-2626-SM-32PL8 40-49 years, male 449.0
GTEX-13X6J-2926-SM-7EPGP 50-59 years, male 391.3
Show allShow less

CEREBELLUM - FANTOM5 CAGEi

RNA expression in human tissues obtained through Cap Analysis of Gene Expression (CAGE) generated by the FANTOM5 project are reported as Scaled Tags Per Million.

Max subtype Scaled Tags Per Millioni

Max subtype Scaled Tags Per Million is the value for the subtype with the largest average Scaled Tags Per Million across the subtype samples.

87.6
FANTOM5 sample id Sample description Scaled Tags Per Million
Cerebellum
Scaled Tags Per Million: 87.6
FF:10083-102B2 22-68 years, mixed 138.0
FF:10166-103B4 76 years, female 37.3

CEREBELLUM - Mouse RNA-seqi

RNA-seq data obtained from mouse brain is reported as nTPM .

Normal distribution across the dataset is visualized with box plots, shown as median and 25th and 75th percentiles. Points are displayed as outliers if they are above or below 1.5 times the interquartile range. nTPM values of the individual samples are presented next to the box plot.
Max subtype nTPMi

Max subtype nTPM is the value for the subtype with the largest average nTPM across the subtype samples.

2018.7
Mouse sample Sample description nTPM
Cerebellum
nTPM: 2018.7
Samples: 4

Max nTPM: 2201.6
Min nTPM: 1840.9
Sample A Male 1840.9
Sample B Male 2201.6
Sample C Female 1969.8
Sample D Female 2062.6

CEREBELLUM - Allen Mouse ISHi

In situ hybridization (ISH) data generated by the Allen brain atlas from mouse brain is reported as expression energy. For more details about a particular experiment, click on the corresponding Allen experiment ID.

Max subtype Expression energyi

Max subtype Expression energy is the value for the subtype with the largest average Expression energy across the subtype samples.

1.4
Allen experiment id Experiment description Expression energy
Cerebellum
Expression energy: 1.4
75774687 Antisense, RP_060530_01_D12, Mouse strain C57BL/6J (56 days, male) 2.0
68321982 Antisense, RP_041207_01_B08, Mouse strain C57BL/6J (56 days, male) 0.9

Contact

  • NEWS ARTICLES
  • PRESS ROOM

The Project

  • INTRODUCTION
  • ORGANIZATION
  • PUBLICATIONS

The Human Protein Atlas

  • DOWNLOADABLE DATA
  • LICENCE & CITATION
  • HELP & FAQ
The Human Protein Atlas project is funded
by the Knut & Alice Wallenberg Foundation.


contact@proteinatlas.org