We use cookies to enhance the usability of our website. If you continue, we'll assume that you are happy to receive all cookies. More information. Don't show this again.
HDLBP
HPA
RESOURCES
  • TISSUE
  • BRAIN
  • SINGLE CELL
  • SUBCELLULAR
  • CANCER
  • BLOOD
  • CELL LINE
  • STRUCTURE & INTERACTION
ABOUT
  • INTRODUCTION
  • HISTORY
  • ORGANIZATION
  • PUBLICATIONS
  • ANTIBODY SUBMISSION
  • ANTIBODY AVAILABILITY
  • ACKNOWLEDGMENTS
  • CONTACT
NEWS
  • NEWS ARTICLES
  • PRESS ROOM
LEARN
  • DICTIONARY
  • PROTEIN CLASSES
  • PROTEIN EVIDENCE
  • METHODS
  • EDUCATIONAL VIDEOS
DATA
  • DOWNLOADABLE DATA
  • PUBLICATION DATA
  • RELEASE HISTORY
HELP
  • ANTIBODY VALIDATION
  • ASSAYS & ANNOTATION
  • DISCLAIMER
  • HELP & FAQ
  • PRIVACY STATEMENT
  • LICENCE & CITATION
Fields »
Search result

Field
Term
Gene name
Class
Subclass
Class
Keyword
Chromosome
External id
Tissue
Cell type
Expression
Antibody panel
Tissue
Main location
Patient ID
Annotation
Tissue
Category
Tau score
Cluster
Reliability
Brain region
Category
Tau score
Brain region
Category
Tau score
Brain region
Category
Tau score
Cluster
Reliability
Tissue
Cell type
Enrichment
Cell type
Category
Tau score
Cell type
Category
Tau score
Cell type
Category
Tau score
Cell lineage
Category
Tau score
Cluster
Cluster
Location
Searches
Location
Cell line
Class
Type
Phase
Reliability
Cancer
Prognosis
Cancer
Category
Cancer
Category
Tau score
Cluster
Variants
Interacting gene (ensg_id)
Type
Number of interactions
Pathway
Category
Score
Score
Score
Validation
Validation
Validation
Validation
Antibodies
Data type
Column


  • SUMMARY

  • TISSUE

  • BRAIN

  • SINGLE CELL

  • SUBCELL

  • CANCER

  • BLOOD

  • CELL LINE

  • STRUCT & INT

  • HDLBP
TISSUE PRIMARY DATA SKIN Show tissue menu
ADIPOSE TISSUE ADRENAL GLAND AMYGDALA APPENDIX BASAL GANGLIA BONE MARROW BREAST BRONCHUS CEREBELLUM CEREBRAL CORTEX CERVIX CHOROID PLEXUS COLON DUODENUM
ENDOMETRIUM EPIDIDYMIS ESOPHAGUS FALLOPIAN TUBE GALLBLADDER HEART MUSCLE HIPPOCAMPAL FORMATION HYPOTHALAMUS KIDNEY LIVER LUNG LYMPH NODE MIDBRAIN NASOPHARYNX
ORAL MUCOSA OVARY PANCREAS PARATHYROID GLAND PITUITARY GLAND PLACENTA PROSTATE RECTUM RETINA SALIVARY GLAND SEMINAL VESICLE SKELETAL MUSCLE SKIN SMALL INTESTINE
SMOOTH MUSCLE SOFT TISSUE SPINAL CORD SPLEEN STOMACH TESTIS THYMUS THYROID GLAND TONGUE TONSIL URINARY BLADDER VAGINA
ANTIBODIES
AND
VALIDATION
Dictionary
Skin
Tissue proteome
Skin
SKIN - Expression summary
Protein expression
Skini

On the top, protein expression in current human tissue, based on all annotated cell types, is reported with the units not detected (n), low (l), medium (m) and high (h). Underneath, protein expression in each annotated cell type are reported using the same units.

Protein expression data is based on knowledge-based annotation. For genes where more than one antibody has been used, a collective score is set.

If knowledge-based annotation could not be performed for a gene, no data is displayed here. View antibody staining data further down this page.

h
m
l
n
Cells in basal layer: Low
Cells in corneal layer: Not detected
Cells in granular layer: Not detected
Cells in spinous layer: Low
Endothelial cells: Low
Extracellular matrix: Not detected
Fibrohistiocytic cells: Medium
Hair follicles: Not detected
Langerhans cells: Not detected
Lymphocytes: Not detected
Melanocytes: Not detected
Sebaceous glands: Low
Vascular mural cells: Not detected
RNA expressioni

A summary of mRNA expression data available for current tissue based on several datasets. The mRNA expression levels in human tissues are based on RNA-seq data generated by the Human Protein Atlas (HPA), Genotype-Tissue Expression (GTEx) portal and CAGE data generated by the FANTOM5 consortium. Consensus normalized expression levels for human tissues was created by combining the data from HPA and GTEx datasets.

The mRNA expression levels in pig are based on RNA-seq data generated by the Human Protein Atlas (HPA), and for mouse, HPA data and in situ hybridization generated by the Allen brain atlas are reported.

Scroll down to view mRNA expression data in more detail.
Consensus:115.3 nTPM
HPA:115.3 nTPM
GTEx:102.3 nTPM

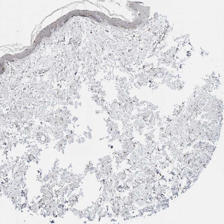
SKIN 1 - Antibody stainingi

Antibody staining in the annotated cell types in the current human tissue is reported as not detected, low, medium, or high, based on conventional immunohistochemistry profiling in selected tissues. This score is based on the combination of the staining intensity and fraction of stained cells.

Each image is clickable and will lead to virtual microscopy that enables deeper exploration of all samples and also displays staining intensity scores, fraction scores and subcellular localization as well as patient and tissue information for each sample.

Antibody HPA004189Antibody CAB026457
Langerhans Not detected-
Cells in basal layer -Not detected
Cells in corneal layer -Not detected
Cells in granular layer -Not detected
Cells in spinous layer -Not detected
Endothelial cells -Not detected
Extracellular matrix -Not detected
Fibroblasts Medium-
Fibrohistiocytic cells -Medium
Keratinocytes Not detected-
Langerhans cells -Not detected
Lymphocytes -Not detected
Melanocytes Not detectedNot detected
Vascular mural cells -Not detected


SKIN 2 - Antibody stainingi

Antibody staining in the annotated cell types in the current human tissue is reported as not detected, low, medium, or high, based on conventional immunohistochemistry profiling in selected tissues. This score is based on the combination of the staining intensity and fraction of stained cells.

Each image is clickable and will lead to virtual microscopy that enables deeper exploration of all samples and also displays staining intensity scores, fraction scores and subcellular localization as well as patient and tissue information for each sample.

Antibody HPA004189Antibody CAB026457
Cells in basal layer -Low
Cells in corneal layer -Not detected
Cells in granular layer -Not detected
Cells in spinous layer -Low
Endothelial cells -Low
Epidermal cells Not detected-
Extracellular matrix -Not detected
Fibrohistiocytic cells -Medium
Hair follicles -Not detected
Langerhans cells -Not detected
Lymphocytes -Not detected
Melanocytes -Not detected
Sebaceous glands -Low
Vascular mural cells -Not detected




SKIN - HPA RNA-seqi

The RNA-seq details section shows detailed information about the individual samples used for the transcript profiling and results of the RNA-seq analysis.

Information about each individual sample is listed below, including gender, age, a tissue section image and estimated fractions of cell types. nTPM (normalized transcripts per million) values give a quantification of the gene abundance which is comparable between different genes and samples.
Average nTPMi

Max subtype nTPM is the value for the subtype with the largest average nTPM across the subtype samples.

115.3
overview
Female, age 34
Skin sample 225
nTPM: 132.4
Cell types%
Keratinocytes:
60

Other cell types:
40

overview
Female, age 30
Skin sample 226
nTPM: 127.6
Cell types%
Keratinocytes:
55

Other cell types:
45

N/A
Male, age 57
Skin sample 227
nTPM: 85.9

SKIN - GTEx RNA-seqi

RNA-Seq data generated by the Genotype-Tissue Expression (GTEx) project from human tissues is reported as mean nTPM. More information can be found on the GTEx portal.

Distribution across the dataset is visualized with box plots, shown as median and 25th and 75th percentiles. Points are displayed as outliers if they are above or below 1.5 times the interquartile range. nTPM values of the individual samples are presented next to the box plot.
Max subtype nTPMi

Max subtype nTPM is the value for the subtype with the largest average nTPM across the subtype samples.

102.3
GTEx sample id Sample description nTPM
Skin - Not Sun Exposed (Suprapubic)
Average nTPM: 96.7
Samples: 604

Max nTPM: 183.9
Min nTPM: 64.5
Std nTPM: 15.6
Median nTPM: 94.8
GTEX-1OJC3-1226-SM-DTXER 20-29 years, male 183.9
GTEX-ZTX8-1326-SM-4YCEL 20-29 years, male 159.5
GTEX-WHSE-0126-SM-3NMBT 20-29 years, male 155.0
GTEX-1N2DV-1526-SM-DTXEP 40-49 years, male 154.5
GTEX-X585-2426-SM-46MW2 50-59 years, male 153.5
GTEX-11DYG-1526-SM-5A5JS 60-69 years, male 153.2
GTEX-15RJ7-2126-SM-6PAMD 40-49 years, male 146.7
GTEX-14PJ3-1126-SM-5ZZVX 50-59 years, male 141.7
GTEX-1HSMQ-2626-SM-A9SML 50-59 years, male 138.6
GTEX-Y114-2126-SM-4TT8B 50-59 years, female 138.2
GTEX-1IKOE-1426-SM-CE6T7 30-39 years, female 136.2
GTEX-1JMPY-0226-SM-CKZOK 30-39 years, male 135.3
GTEX-1H2FU-0926-SM-9WPPT 60-69 years, female 134.2
GTEX-1MJK3-0726-SM-E6CJC 20-29 years, male 133.9
GTEX-1HCUA-0826-SM-ADEHM 50-59 years, female 133.5
GTEX-1F6I4-2326-SM-7RHGL 60-69 years, male 132.2
GTEX-1QP29-1826-SM-DTX9S 50-59 years, male 132.1
GTEX-Y3IK-1626-SM-4YCF5 50-59 years, female 131.7
GTEX-11P7K-1126-SM-5HL4L 30-39 years, male 130.6
GTEX-1PPH8-0126-SM-EWRN8 20-29 years, male 129.8
GTEX-1QP2A-1726-SM-E76QC 50-59 years, male 129.7
GTEX-1F75I-2226-SM-7SB8U 40-49 years, male 129.5
GTEX-WHWD-1826-SM-3LK6I 50-59 years, male 126.4
GTEX-1RAZS-2526-SM-E6CHT 50-59 years, male 125.8
GTEX-14PK6-0226-SM-62LF5 70-79 years, female 125.3
GTEX-WFG7-2026-SM-5SI7P 20-29 years, male 124.7
GTEX-1AX9J-1326-SM-731BJ 60-69 years, male 124.6
GTEX-11O72-0626-SM-5PNYE 40-49 years, male 124.4
GTEX-13OVK-1426-SM-6PAN7 40-49 years, male 124.1
GTEX-1HSMP-0926-SM-A9SKX 70-79 years, male 124.1
GTEX-17HHE-1326-SM-7EWDZ 50-59 years, male 122.6
GTEX-1R9PN-0426-SM-DTXDT 40-49 years, female 122.2
GTEX-1S5ZU-2526-SM-E6CIF 20-29 years, female 122.2
GTEX-1HCU7-0726-SM-A9SL1 50-59 years, male 121.7
GTEX-XYKS-1426-SM-4BRUO 60-69 years, female 121.5
GTEX-17F98-1326-SM-7DUEP 40-49 years, female 120.8
GTEX-11DXZ-2026-SM-5987S 50-59 years, male 120.4
GTEX-1PIIG-2326-SM-DTXFR 30-39 years, male 120.4
GTEX-11DXX-2126-SM-5PNYR 60-69 years, female 120.3
GTEX-1IE54-1126-SM-A9G2Z 40-49 years, female 120.2
GTEX-131XG-0326-SM-5L3DX 50-59 years, female 120.0
GTEX-ZLV1-1526-SM-DO91J 60-69 years, female 119.9
GTEX-13O61-1426-SM-5KM3D 60-69 years, male 119.8
GTEX-1JK1U-0226-SM-ARZMX 60-69 years, male 119.5
GTEX-11WQC-1826-SM-5GU59 60-69 years, male 119.3
GTEX-1JMLX-0626-SM-ARL8T 50-59 years, male 119.2
GTEX-1F75A-0726-SM-7RHHD 50-59 years, male 119.0
GTEX-1GN1W-2426-SM-9KNUU 50-59 years, female 118.9
GTEX-XBED-1926-SM-47JYP 60-69 years, male 118.7
GTEX-1F6RS-2026-SM-7RHHC 60-69 years, female 118.5
GTEX-1S82P-2126-SM-E6CI5 60-69 years, female 118.1
GTEX-1S82U-1026-SM-E6CJK 30-39 years, female 118.0
GTEX-13PDP-0726-SM-5L3HP 60-69 years, male 117.0
GTEX-14PJ5-1526-SM-6LLIL 60-69 years, female 116.7
GTEX-1IY9M-2826-SM-ARU8H 60-69 years, male 116.5
GTEX-UPJH-0226-SM-3GADV 50-59 years, male 116.4
GTEX-1HBPI-2126-SM-ARL9K 50-59 years, male 116.2
GTEX-1LBAC-0826-SM-CY8IJ 20-29 years, male 116.2
GTEX-1F52S-2926-SM-7MKGA 60-69 years, female 116.0
GTEX-18A66-0626-SM-7LT8Z 60-69 years, male 115.9
GTEX-1KANA-1326-SM-DIPFA 20-29 years, male 115.9
GTEX-YF7O-1526-SM-5IFI6 50-59 years, male 115.8
GTEX-1H1DF-1126-SM-9WG7G 40-49 years, female 115.7
GTEX-1R9PM-1926-SM-EVR3O 20-29 years, male 115.7
GTEX-15SKB-2826-SM-6PAMH 60-69 years, male 115.3
GTEX-1GF9U-2026-SM-7SB92 40-49 years, female 115.2
GTEX-1JN1M-2726-SM-CY8I4 60-69 years, female 115.2
GTEX-13PL6-1126-SM-5L3IE 40-49 years, female 115.1
GTEX-1GZ4H-0526-SM-9KNU9 50-59 years, female 115.0
GTEX-WXYG-2026-SM-4E3IY 50-59 years, female 114.5
GTEX-1H1CY-0126-SM-9YFLY 60-69 years, female 114.5
GTEX-139YR-1026-SM-5LZYN 50-59 years, male 114.4
GTEX-15RIG-0726-SM-7KUM7 40-49 years, male 114.4
GTEX-16AAH-0626-SM-793C9 50-59 years, male 114.4
GTEX-17F9Y-0126-SM-79OKX 70-79 years, female 114.1
GTEX-W5X1-2526-SM-3GILC 40-49 years, female 113.9
GTEX-18QFQ-1826-SM-72D52 30-39 years, male 113.3
GTEX-Y8LW-1526-SM-5IFHL 50-59 years, female 113.3
GTEX-1GF9V-0826-SM-9KNUV 60-69 years, male 113.3
GTEX-1JN76-0626-SM-CKZOQ 20-29 years, female 113.1
GTEX-1S83E-1326-SM-E6CJM 40-49 years, male 113.1
GTEX-15ER7-0626-SM-6PANF 20-29 years, female 113.0
GTEX-18D9B-0926-SM-7LG4U 60-69 years, male 113.0
GTEX-11ZTT-2126-SM-5CVLO 60-69 years, female 112.1
GTEX-12WSJ-1126-SM-5LZVJ 40-49 years, female 112.0
GTEX-145ME-1726-SM-5Q5EU 40-49 years, female 111.9
GTEX-WYBS-0626-SM-3NMAS 60-69 years, female 111.9
GTEX-ZVP2-0326-SM-57WBP 50-59 years, male 111.9
GTEX-YEC3-1326-SM-DO92X 50-59 years, male 111.8
GTEX-13YAN-0226-SM-5TDC6 60-69 years, male 111.5
GTEX-ZZ64-1026-SM-5GZXG 20-29 years, male 111.4
GTEX-1A32A-0626-SM-731AQ 50-59 years, female 111.3
GTEX-16NGA-0726-SM-731AO 40-49 years, female 111.2
GTEX-1LVAN-0626-SM-CNPOQ 50-59 years, female 111.2
GTEX-1NV5F-0626-SM-DTXEG 60-69 years, female 111.1
GTEX-X3Y1-2026-SM-3P5YM 40-49 years, male 111.0
GTEX-1AX9I-2226-SM-73KUO 60-69 years, male 110.9
GTEX-148VJ-0626-SM-5LUAW 70-79 years, male 110.5
GTEX-14ICL-1626-SM-5YYAO 30-39 years, male 110.4
GTEX-1EWIQ-0326-SM-7DHMQ 70-79 years, female 110.4
GTEX-WHPG-2626-SM-3NMBR 50-59 years, male 110.4
GTEX-X5EB-1926-SM-4E3IW 40-49 years, male 110.3
GTEX-ZGAY-1826-SM-DO91Q 40-49 years, female 110.3
GTEX-1PBJJ-1026-SM-E76OS 30-39 years, male 110.2
GTEX-17F97-2626-SM-7IGM5 50-59 years, male 110.1
GTEX-13FTX-1526-SM-5K7VJ 20-29 years, female 109.9
GTEX-1IDJC-1526-SM-B2LW4 50-59 years, male 109.9
GTEX-14PHY-1226-SM-5ZZWK 60-69 years, female 109.7
GTEX-15DDE-2926-SM-6LLJ3 50-59 years, female 109.7
GTEX-13NYB-0126-SM-5J1MD 40-49 years, male 109.5
GTEX-1GMRU-2126-SM-7P8RA 50-59 years, male 109.4
GTEX-ZYFD-0626-SM-5E44E 50-59 years, male 109.3
GTEX-15UF6-1926-SM-7KUDV 70-79 years, female 109.2
GTEX-1LVAM-0726-SM-E6CIL 50-59 years, female 109.1
GTEX-XK95-0226-SM-4AT58 40-49 years, male 109.0
GTEX-1PIGE-1826-SM-E8VOU 20-29 years, male 108.9
GTEX-14PKU-0126-SM-6LLHV 40-49 years, female 108.8
GTEX-ZC5H-1526-SM-5HL9Y 40-49 years, female 108.8
GTEX-ZP4G-1426-SM-4WWCL 20-29 years, female 108.8
GTEX-1CAMR-1326-SM-7PC1F 20-29 years, male 108.7
GTEX-1HT8W-0626-SM-A9G2H 30-39 years, male 108.7
GTEX-1HCU6-2526-SM-ADEHL 60-69 years, female 108.5
GTEX-1MCYP-0526-SM-E9U6Q 20-29 years, female 108.4
GTEX-XXEK-1626-SM-4BRUZ 50-59 years, male 108.3
GTEX-1JJEA-1826-SM-ARU8P 60-69 years, male 108.3
GTEX-1B933-2426-SM-7DHMD 50-59 years, female 108.2
GTEX-1S831-1826-SM-EWROF 20-29 years, male 108.2
GTEX-1QP28-1126-SM-EVYC4 50-59 years, female 108.1
GTEX-17F9E-2326-SM-79OKD 50-59 years, male 108.0
GTEX-1GZHY-0626-SM-9KNVC 50-59 years, female 108.0
GTEX-Y8E4-2026-SM-5IFJB 40-49 years, male 107.7
GTEX-16MTA-0926-SM-6M47Z 50-59 years, male 107.6
GTEX-1JKYN-0826-SM-ARU8S 30-39 years, male 107.5
GTEX-1N5O9-0926-SM-E9J3C 60-69 years, male 107.4
GTEX-12WSK-2126-SM-5CVNC 40-49 years, female 107.3
GTEX-1HGF4-0126-SM-CNPPX 60-69 years, male 107.3
GTEX-ZDTT-0426-SM-4WKFL 60-69 years, male 107.2
GTEX-1C64N-2626-SM-7PC2N 50-59 years, male 107.2
GTEX-Y111-0626-SM-4SOIT 50-59 years, male 107.1
GTEX-13OW5-2326-SM-5L3HO 60-69 years, male 107.0
GTEX-1399U-1126-SM-5L3DB 50-59 years, female 106.9
GTEX-17KNJ-2126-SM-718AM 50-59 years, male 106.6
GTEX-12C56-1526-SM-5FQUQ 20-29 years, male 106.4
GTEX-14C5O-0326-SM-5ZZUX 60-69 years, male 106.4
GTEX-13IVO-0726-SM-5LZYV 70-79 years, male 106.3
GTEX-131XF-2626-SM-5EQ6K 60-69 years, male 106.2
GTEX-14PJ4-0226-SM-5YY92 60-69 years, male 106.2
GTEX-ZDTS-0826-SM-4WKHL 60-69 years, male 106.2
GTEX-1R7EU-1626-SM-DTXG3 60-69 years, male 106.1
GTEX-XBEW-1126-SM-4QARW 40-49 years, male 106.0
GTEX-1GPI7-1826-SM-9KNU1 20-29 years, male 106.0
GTEX-1POEN-2326-SM-E9J2L 30-39 years, female 105.8
GTEX-1399S-0126-SM-5IJCF 30-39 years, female 105.5
GTEX-14BMU-1226-SM-5S2OR 20-29 years, female 105.5
GTEX-ZYFC-0426-SM-5GICQ 50-59 years, male 105.4
GTEX-12WSD-0626-SM-5GCMW 60-69 years, female 105.3
GTEX-17HII-1426-SM-7EPGG 50-59 years, male 105.1
GTEX-139TS-2126-SM-5K7XC 60-69 years, male 104.9
GTEX-15G1A-1626-SM-7KUKN 30-39 years, male 104.9
GTEX-1GN1U-0626-SM-9MQL9 50-59 years, female 104.9
GTEX-WY7C-2126-SM-3NB2R 50-59 years, male 104.8
GTEX-15CHR-1126-SM-7EWF4 50-59 years, male 104.6
GTEX-X8HC-0626-SM-4E3HQ 50-59 years, female 104.6
GTEX-1B8KE-1126-SM-7EPHI 50-59 years, male 104.5
GTEX-1IDJE-1426-SM-ADEIW 50-59 years, female 104.5
GTEX-14C39-1726-SM-5RQIL 40-49 years, male 104.2
GTEX-1I6K7-1926-SM-B2LXR 40-49 years, male 104.1
GTEX-WHSB-1326-SM-3LK6W 50-59 years, male 104.0
GTEX-1F75B-0726-SM-7PC3R 50-59 years, male 103.9
GTEX-131XH-0126-SM-5LZUY 50-59 years, male 103.8
GTEX-WEY5-2326-SM-3GIKK 40-49 years, female 103.8
GTEX-1IDJD-2326-SM-ACKWX 30-39 years, male 103.6
GTEX-1RAZR-2126-SM-E9U6T 40-49 years, male 103.6
GTEX-1497J-0226-SM-5QGPU 60-69 years, male 103.5
GTEX-1HC8U-1326-SM-9YFMJ 40-49 years, female 103.5
GTEX-1QP9N-1226-SM-E76QN 30-39 years, male 103.5
GTEX-ZAJG-1526-SM-5CVML 50-59 years, female 103.4
GTEX-ZF29-0926-SM-4WKFZ 60-69 years, female 103.4
GTEX-11P81-2226-SM-5PNYI 30-39 years, female 103.3
GTEX-U8XE-0226-SM-4E3J3 30-39 years, male 103.3
GTEX-14JG6-1426-SM-9WG7C 30-39 years, female 103.3
GTEX-1E2YA-2126-SM-7MXUO 50-59 years, male 103.3
GTEX-1J8EW-2726-SM-CY8HR 60-69 years, female 103.3
GTEX-13113-1626-SM-5EQ4I 60-69 years, female 103.1
GTEX-1NSGN-0726-SM-DTXEF 50-59 years, male 103.1
GTEX-WI4N-2726-SM-3LK7Y 40-49 years, female 103.0
GTEX-XUW1-0926-SM-4BONX 50-59 years, female 103.0
GTEX-ZAK1-0626-SM-5HL8E 50-59 years, female 103.0
GTEX-1GN73-0726-SM-7P8TJ 60-69 years, male 103.0
GTEX-ZE7O-2726-SM-51MT5 50-59 years, female 102.9
GTEX-11DXY-0126-SM-5H11Q 60-69 years, male 102.8
GTEX-14PJ6-2626-SM-6EU2T 60-69 years, female 102.8
GTEX-ZVT4-2426-SM-5GIEI 50-59 years, female 102.7
GTEX-ZLWG-0826-SM-59888 50-59 years, female 102.5
GTEX-1HSGN-0826-SM-ACKW3 40-49 years, female 102.4
GTEX-12KS4-2126-SM-5FQUT 30-39 years, male 102.3
GTEX-1CB4F-1026-SM-7DUH1 60-69 years, male 102.3
GTEX-ZF2S-1626-SM-57WES 50-59 years, female 102.3
GTEX-1PPH7-1126-SM-DTX9A 40-49 years, male 102.3
GTEX-1B97I-0626-SM-73KUZ 40-49 years, male 102.2
GTEX-12ZZX-2426-SM-5GCOE 40-49 years, female 102.1
GTEX-15RJE-2826-SM-7KUM9 40-49 years, male 102.1
GTEX-11EQ9-1626-SM-5PNY8 30-39 years, male 101.9
GTEX-1J8Q2-2626-SM-ACKWQ 60-69 years, male 101.8
GTEX-17EVQ-0126-SM-7IGLR 70-79 years, male 101.6
GTEX-YB5K-2026-SM-4VDT3 40-49 years, female 101.6
GTEX-145MO-2826-SM-5LU96 60-69 years, male 101.5
GTEX-ZPU1-1126-SM-4YCF3 40-49 years, male 101.5
GTEX-1H11D-1826-SM-9QEHM 40-49 years, male 101.5
GTEX-13NYS-0626-SM-5L3F1 60-69 years, male 101.4
GTEX-13PVR-0426-SM-5RQK2 60-69 years, female 101.4
GTEX-ZLFU-1826-SM-4WWBV 40-49 years, male 101.4
GTEX-ZY6K-1426-SM-5GZX2 50-59 years, male 101.4
GTEX-1HSKV-1226-SM-ADEI4 60-69 years, male 101.3
GTEX-1PPGY-1626-SM-EVYBL 60-69 years, male 101.3
GTEX-11WQK-1026-SM-5EQLX 50-59 years, male 101.2
GTEX-ZYW4-0626-SM-59HJR 60-69 years, male 101.0
GTEX-14B4R-1326-SM-5Q5EZ 30-39 years, male 100.9
GTEX-WFON-1926-SM-3LK7L 40-49 years, male 100.9
GTEX-ZA64-1026-SM-5HL8R 20-29 years, male 100.9
GTEX-1IKJJ-2226-SM-CJI4C 60-69 years, male 100.9
GTEX-1EX96-1026-SM-7MKG2 50-59 years, male 100.7
GTEX-1J8Q3-0526-SM-ARL8U 60-69 years, male 100.5
GTEX-11DZ1-2426-SM-5GZZX 50-59 years, male 100.4
GTEX-13X6K-0626-SM-5LU5D 60-69 years, female 100.4
GTEX-YFCO-1226-SM-5LUAT 40-49 years, male 100.4
GTEX-1IDJI-0126-SM-CMKHS 50-59 years, female 100.3
GTEX-1QCLY-0226-SM-EWRNH 30-39 years, male 100.3
GTEX-14A5H-0826-SM-5QGPJ 60-69 years, male 100.2
GTEX-1I1GU-0926-SM-ACKVS 40-49 years, male 100.2
GTEX-18A6Q-0626-SM-7KFRP 60-69 years, male 100.1
GTEX-139TU-0726-SM-5L3EK 60-69 years, male 100.0
GTEX-1HR98-2226-SM-ADEI2 60-69 years, male 100.0
GTEX-111VG-1626-SM-5EGIO 60-69 years, male 99.8
GTEX-X4EP-0626-SM-3P621 60-69 years, female 99.7
GTEX-1IDFM-0326-SM-ARL7V 60-69 years, male 99.7
GTEX-WH7G-2026-SM-3NMBL 40-49 years, male 99.6
GTEX-11OF3-0126-SM-5PNYF 60-69 years, male 99.3
GTEX-1ICLZ-0326-SM-ARL82 60-69 years, male 99.3
GTEX-13NZ8-1226-SM-5KM4A 60-69 years, female 99.2
GTEX-14E1K-2026-SM-7DUEI 50-59 years, male 99.2
GTEX-1F5PL-0926-SM-7PC2W 40-49 years, female 99.2
GTEX-139D8-1126-SM-5LU8W 30-39 years, female 99.1
GTEX-13VXT-1926-SM-5K7UO 20-29 years, female 98.9
GTEX-1GMR2-0826-SM-7PC3V 50-59 years, male 98.9
GTEX-18A7A-0126-SM-731AH 50-59 years, female 98.8
GTEX-1117F-2926-SM-5GZYI 60-69 years, female 98.7
GTEX-139UW-0326-SM-5J1ML 60-69 years, male 98.7
GTEX-1CAMQ-1326-SM-7P8RV 40-49 years, male 98.6
GTEX-13G51-1826-SM-5KLZH 60-69 years, male 98.3
GTEX-18A67-1626-SM-7LT9T 50-59 years, male 98.3
GTEX-1CB4E-0926-SM-7EPHT 60-69 years, male 98.3
GTEX-18D9U-0126-SM-731BM 40-49 years, male 98.1
GTEX-ZPIC-0526-SM-DO91W 40-49 years, female 98.1
GTEX-1KANB-2826-SM-CY8I6 50-59 years, male 98.0
GTEX-1L5NE-1126-SM-D3L9P 50-59 years, male 98.0
GTEX-15SHW-0226-SM-7LTAT 60-69 years, male 97.9
GTEX-1HBPN-0126-SM-CGQEF 50-59 years, male 97.9
GTEX-11EQ8-0926-SM-5H12V 60-69 years, male 97.8
GTEX-1I1GT-1026-SM-ARZLV 60-69 years, female 97.7
GTEX-147F3-1726-SM-5SIAW 50-59 years, female 97.6
GTEX-1ICG6-1226-SM-A9SLN 70-79 years, female 97.6
GTEX-1S3DN-2126-SM-E9TIN 50-59 years, male 97.6
GTEX-17HHY-0426-SM-7DHLC 50-59 years, male 97.5
GTEX-1H1E6-0426-SM-9WYUS 30-39 years, male 97.5
GTEX-1GZ4I-2626-SM-9KNU3 50-59 years, male 97.3
GTEX-1H23P-0626-SM-9WG6T 60-69 years, male 97.3
GTEX-1LVA9-2626-SM-EVYD4 50-59 years, male 97.3
GTEX-11P82-1426-SM-DTXFY 20-29 years, male 97.2
GTEX-1GF9X-1326-SM-7PC2Y 40-49 years, female 97.2
GTEX-1E1VI-0326-SM-793D1 50-59 years, male 97.0
GTEX-1IDJF-2026-SM-CL53V 20-29 years, male 97.0
GTEX-11DXW-0826-SM-5H118 40-49 years, male 96.9
GTEX-1K2DU-1226-SM-CYPT4 20-29 years, male 96.9
GTEX-1IL2V-1926-SM-B2LW8 70-79 years, male 96.8
GTEX-145MN-1526-SM-5SI9T 30-39 years, male 96.7
GTEX-16GPK-0626-SM-7KFSF 60-69 years, male 96.6
GTEX-1EU9M-1426-SM-793AI 60-69 years, male 96.6
GTEX-1C64O-1326-SM-7MGWR 60-69 years, male 96.6
GTEX-1HCU9-0426-SM-9WYSD 20-29 years, male 96.6
GTEX-1JKYR-0626-SM-ARL8R 20-29 years, male 96.6
GTEX-15CHQ-0326-SM-69LQD 60-69 years, male 96.4
GTEX-1QPFJ-1926-SM-EVYBD 30-39 years, female 96.2
GTEX-11VI4-1126-SM-5EQMD 40-49 years, female 96.1
GTEX-1211K-1526-SM-5FQU4 60-69 years, female 96.1
GTEX-12ZZY-0726-SM-5EQ66 60-69 years, male 96.0
GTEX-1R9K4-2826-SM-DTX8F 60-69 years, male 96.0
GTEX-11EM3-1226-SM-5N9DD 20-29 years, female 95.9
GTEX-13W3W-0726-SM-5IJDQ 60-69 years, female 95.9
GTEX-1RB15-1326-SM-E76Q9 60-69 years, male 95.9
GTEX-145MH-2826-SM-5RQJF 50-59 years, male 95.7
GTEX-1GMR3-0126-SM-A9SLW 40-49 years, male 95.5
GTEX-1HSMO-0626-SM-ACKXC 60-69 years, male 95.4
GTEX-1I1CD-0626-SM-CE6SW 60-69 years, female 95.4
GTEX-1KANC-1226-SM-CYPT7 50-59 years, female 95.4
GTEX-1PDJ9-1226-SM-EXUSX 20-29 years, male 95.4
GTEX-1LSNM-0826-SM-DIPG8 50-59 years, male 95.1
GTEX-12WSL-2026-SM-5GCML 50-59 years, male 95.0
GTEX-WK11-2726-SM-3NMAQ 50-59 years, male 95.0
GTEX-ZVTK-0226-SM-51MRG 20-29 years, male 95.0
GTEX-1A3MV-1826-SM-731CD 30-39 years, male 94.9
GTEX-12126-0826-SM-5FQTZ 20-29 years, male 94.8
GTEX-ZUA1-2626-SM-5NQ92 40-49 years, male 94.8
GTEX-1122O-1026-SM-9WYSF 60-69 years, female 94.7
GTEX-1BAJH-2426-SM-7IGP8 70-79 years, male 94.6
GTEX-ZT9W-1126-SM-57WDR 50-59 years, male 94.6
GTEX-1K2DA-1026-SM-CGQGF 50-59 years, male 94.6
GTEX-14DAR-1226-SM-73KYV 50-59 years, male 94.5
GTEX-14PJN-1826-SM-6AJ98 30-39 years, male 94.5
GTEX-1H1DE-1326-SM-9KNUG 20-29 years, male 94.5
GTEX-1HKZK-0726-SM-ACKW2 40-49 years, male 94.5
GTEX-Y3I4-1726-SM-4TT89 50-59 years, male 94.3
GTEX-13SLX-2226-SM-62LEP 50-59 years, female 94.1
GTEX-14PKV-1126-SM-6LLJ1 20-29 years, female 94.0
GTEX-1F48J-0726-SM-7RHGS 50-59 years, female 94.0
GTEX-1GPI6-1926-SM-9KNV7 60-69 years, male 94.0
GTEX-1A8G6-2726-SM-731AR 60-69 years, male 93.9
GTEX-WYVS-1626-SM-3NM9R 40-49 years, female 93.9
GTEX-ZE9C-2526-SM-5IJDR 60-69 years, male 93.9
GTEX-15FZZ-0526-SM-7KUGD 30-39 years, female 93.8
GTEX-15RIE-1926-SM-7KUKJ 60-69 years, male 93.8
GTEX-111CU-1126-SM-5EGIM 50-59 years, male 93.7
GTEX-YJ8O-2526-SM-5HL85 40-49 years, female 93.7
GTEX-111YS-1526-SM-5GZYW 60-69 years, male 93.6
GTEX-1313W-0626-SM-5EQ4H 50-59 years, female 93.6
GTEX-13RTJ-0126-SM-5S2NN 60-69 years, male 93.6
GTEX-1192X-2726-SM-5N9DN 50-59 years, male 93.5
GTEX-XAJ8-1426-SM-47JYM 40-49 years, male 93.5
GTEX-117YX-1926-SM-5GIEC 50-59 years, male 93.4
GTEX-1EMGI-2326-SM-7PBYA 60-69 years, male 93.4
GTEX-1MCC2-1826-SM-DIPEX 30-39 years, female 93.4
GTEX-1H3O1-1326-SM-9MQLD 60-69 years, male 93.3
GTEX-13QJC-0126-SM-5ZZWJ 60-69 years, female 93.2
GTEX-1QW4Y-1126-SM-DTXE3 30-39 years, male 93.2
GTEX-ZPCL-1126-SM-4WWFE 60-69 years, female 93.1
GTEX-1KXAM-1626-SM-D3LAD 60-69 years, male 93.1
GTEX-11NSD-0626-SM-5A5LU 20-29 years, male 92.9
GTEX-14PJO-2526-SM-6AJBQ 60-69 years, male 92.9
GTEX-1F88E-1626-SM-7SB8Z 60-69 years, female 92.9
GTEX-1I6K6-1726-SM-CGQFD 30-39 years, male 92.9
GTEX-1QAET-0326-SM-EVR3U 50-59 years, male 92.9
GTEX-11LCK-2226-SM-5HL4Q 30-39 years, male 92.7
GTEX-1QP66-1226-SM-DTX7U 50-59 years, male 92.7
GTEX-14JFF-0626-SM-5ZZVT 60-69 years, male 92.6
GTEX-12BJ1-0926-SM-5EQ62 60-69 years, male 92.5
GTEX-ZVZP-1226-SM-5GID7 50-59 years, male 92.5
GTEX-1QCLZ-2426-SM-EVYBW 60-69 years, female 92.5
GTEX-145MI-0626-SM-5SI8S 60-69 years, female 92.1
GTEX-1EKGG-0626-SM-7DUGJ 60-69 years, male 92.1
GTEX-12WSF-1626-SM-7KUG5 70-79 years, male 92.0
GTEX-145LT-0526-SM-5LUB2 40-49 years, male 92.0
GTEX-1I1GP-1326-SM-A9G28 50-59 years, male 92.0
GTEX-183FY-1026-SM-7939A 20-29 years, male 91.8
GTEX-1GN2E-0226-SM-9WG6K 60-69 years, male 91.7
GTEX-1GZ2Q-0126-SM-9WG6M 40-49 years, male 91.6
GTEX-1J8JJ-0626-SM-ARZMQ 60-69 years, female 91.6
GTEX-ZXG5-2126-SM-59HKD 60-69 years, male 91.5
GTEX-13FLV-0126-SM-5K7WT 50-59 years, male 91.4
GTEX-1GL5R-1326-SM-7RHHF 50-59 years, male 91.4
GTEX-1KAFJ-0126-SM-DIPEK 50-59 years, male 91.4
GTEX-1GMR8-0626-SM-7RHI7 50-59 years, female 91.3
GTEX-WYJK-0526-SM-3NM8Z 50-59 years, male 91.1
GTEX-1H4P4-2126-SM-9WYSL 50-59 years, male 91.1
GTEX-16YQH-2226-SM-7IGM2 30-39 years, male 91.0
GTEX-1399R-1326-SM-5PNYS 30-39 years, male 90.9
GTEX-17HGU-2326-SM-7DUFE 50-59 years, male 90.9
GTEX-1J1R8-2026-SM-CL53Y 40-49 years, male 90.8
GTEX-1LG7Z-1626-SM-CXKYR 30-39 years, male 90.8
GTEX-133LE-2326-SM-5K7W3 20-29 years, female 90.7
GTEX-WRHU-2826-SM-3MJG8 50-59 years, female 90.7
GTEX-1JMOU-1026-SM-CYPSS 60-69 years, female 90.7
GTEX-13D11-0926-SM-5J2NC 50-59 years, female 90.6
GTEX-13OVJ-0826-SM-5J1OK 50-59 years, female 90.6
GTEX-ZT9X-1526-SM-5DUXD 40-49 years, male 90.6
GTEX-139TT-2126-SM-5LZWC 60-69 years, male 90.5
GTEX-146FQ-2126-SM-5RQHU 30-39 years, male 90.4
GTEX-1AYD5-2626-SM-7PBXY 50-59 years, male 90.4
GTEX-1LGOU-1326-SM-D3L8M 20-29 years, female 90.4
GTEX-1JMQK-1226-SM-D4P2S 60-69 years, male 90.3
GTEX-15CHC-1126-SM-6LLHQ 60-69 years, female 90.2
GTEX-1A3MW-0626-SM-731CB 60-69 years, female 90.2
GTEX-YECK-0326-SM-4W1YS 60-69 years, male 90.0
GTEX-1LKK1-2626-SM-DKPQE 50-59 years, female 90.0
GTEX-1LSVX-2526-SM-DIPEU 60-69 years, male 90.0
GTEX-13X6H-0926-SM-5SIB2 50-59 years, female 89.9
GTEX-1CB4J-1326-SM-7P8RX 60-69 years, male 89.9
GTEX-1HCVE-2726-SM-CL54F 50-59 years, male 89.9
GTEX-ZDYS-2426-SM-4WKGI 50-59 years, male 89.8
GTEX-V1D1-2026-SM-3GAF4 50-59 years, male 89.7
GTEX-12WSH-1526-SM-5BC5W 50-59 years, male 89.5
GTEX-14LLW-2626-SM-62LDZ 70-79 years, female 89.4
GTEX-15EU6-2226-SM-6EU2L 50-59 years, male 89.4
GTEX-12ZZZ-0726-SM-5GCNZ 60-69 years, male 89.3
GTEX-17F96-0126-SM-7EWDU 70-79 years, male 89.2
GTEX-144FL-0626-SM-5LU43 50-59 years, male 89.1
GTEX-1314G-1326-SM-5BC6E 30-39 years, male 89.0
GTEX-ZTSS-1426-SM-5985P 40-49 years, male 89.0
GTEX-1LB8K-0726-SM-D5OV2 50-59 years, male 88.9
GTEX-13O3O-2326-SM-5IJD6 60-69 years, female 88.8
GTEX-ZVT2-0126-SM-5GIDQ 50-59 years, female 88.8
GTEX-1I19N-0126-SM-CYPSF 70-79 years, male 88.8
GTEX-14E6C-2426-SM-5S2NF 40-49 years, male 88.6
GTEX-1F5PK-2226-SM-7SB6N 50-59 years, male 88.6
GTEX-1H3VE-0726-SM-9YFL5 40-49 years, male 88.6
GTEX-14PHX-2226-SM-6EU2P 50-59 years, male 88.5
GTEX-Y9LG-1126-SM-4VBQ7 30-39 years, male 88.5
GTEX-147F4-0726-SM-5TDDD 50-59 years, male 88.4
GTEX-17HG3-2626-SM-7DUF2 30-39 years, female 88.4
GTEX-1I1GV-0626-SM-ARL7M 60-69 years, male 88.1
GTEX-13NZ9-2626-SM-5L3FK 50-59 years, male 87.9
GTEX-144GO-2026-SM-5O99P 60-69 years, male 87.9
GTEX-1AX8Z-0726-SM-73KTS 60-69 years, male 87.9
GTEX-1C2JI-1026-SM-73KY1 50-59 years, male 87.9
GTEX-XQ8I-0926-SM-4BOOF 50-59 years, male 87.9
GTEX-Y5V6-2326-SM-4VDSA 60-69 years, male 87.9
GTEX-ZU9S-1826-SM-5NQ9E 30-39 years, male 87.8
GTEX-11NUK-2726-SM-5A5MC 50-59 years, male 87.7
GTEX-144GL-0626-SM-5LU4D 50-59 years, male 87.7
GTEX-14LZ3-0126-SM-69LPM 60-69 years, female 87.7
GTEX-ZYVF-0926-SM-5E44J 50-59 years, female 87.7
GTEX-1B8KZ-0326-SM-73KY4 50-59 years, male 87.6
GTEX-1CAV2-0126-SM-7IGN7 40-49 years, female 87.5
GTEX-XBEC-0726-SM-4QARZ 50-59 years, male 87.4
GTEX-13OVG-1626-SM-5J1NF 60-69 years, male 87.3
GTEX-178AV-1726-SM-7KUL8 40-49 years, male 87.3
GTEX-111FC-2526-SM-5GZXU 60-69 years, male 87.2
GTEX-14ABY-2026-SM-62LDL 50-59 years, male 87.2
GTEX-14BMV-2826-SM-5TDED 50-59 years, male 87.1
GTEX-1C475-1326-SM-7SB73 40-49 years, female 87.1
GTEX-13NYC-0126-SM-5L3F4 60-69 years, male 86.9
GTEX-145LU-1926-SM-79OJN 50-59 years, male 86.9
GTEX-VJYA-1526-SM-3GIJV 60-69 years, male 86.9
GTEX-14E6E-0526-SM-793DN 30-39 years, male 86.8
GTEX-1B932-2326-SM-79OL5 40-49 years, female 86.7
GTEX-14C38-0726-SM-5SI6M 50-59 years, male 86.6
GTEX-15DYW-2726-SM-6EU2I 60-69 years, female 86.6
GTEX-1A8FM-0626-SM-7PC25 50-59 years, female 86.6
GTEX-1H3NZ-2726-SM-9WYTQ 60-69 years, male 86.6
GTEX-1HR9M-2226-SM-CNPPY 60-69 years, male 86.5
GTEX-12696-0126-SM-5EQ4L 60-69 years, male 86.4
GTEX-17MFQ-1526-SM-7KFRR 20-29 years, male 86.4
GTEX-13OVL-0126-SM-5L3GJ 50-59 years, male 86.3
GTEX-1RAZQ-1326-SM-E9TK6 30-39 years, male 86.3
GTEX-1QMI2-2526-SM-E8VNZ 60-69 years, male 86.2
GTEX-11PRG-0726-SM-5EGL1 50-59 years, male 86.1
GTEX-11GSP-2326-SM-5HL63 60-69 years, female 86.0
GTEX-11ZU8-0126-SM-5EQ58 60-69 years, male 86.0
GTEX-147JS-0226-SM-5S2U9 60-69 years, male 86.0
GTEX-14BIN-1126-SM-5RQJZ 50-59 years, female 86.0
GTEX-X4EO-2926-SM-4E3JH 60-69 years, female 86.0
GTEX-1GTWX-2026-SM-9YFLM 60-69 years, male 85.9
GTEX-13PVQ-0626-SM-5LU47 50-59 years, male 85.6
GTEX-13N11-2326-SM-5IJBF 50-59 years, female 85.5
GTEX-1H1DG-2426-SM-9QEHJ 70-79 years, male 85.5
GTEX-1RAZA-2226-SM-E9U4X 20-29 years, male 85.5
GTEX-12584-0726-SM-5FQTK 40-49 years, male 85.4
GTEX-145MG-1526-SM-5Q5EM 50-59 years, male 85.4
GTEX-1KD5A-0126-SM-E9U54 50-59 years, male 85.4
GTEX-16MT9-0126-SM-7EPI8 60-69 years, female 85.3
GTEX-XOT4-0626-SM-4B66L 60-69 years, female 85.3
GTEX-14PII-0726-SM-6EU2B 60-69 years, male 85.2
GTEX-1B8SF-0126-SM-7DUG3 60-69 years, male 85.2
GTEX-13FH7-1126-SM-5K7UG 50-59 years, female 85.0
GTEX-13FTW-0326-SM-5K7UW 40-49 years, male 85.0
GTEX-13OW6-2726-SM-5J2OE 50-59 years, male 84.9
GTEX-14AS3-1526-SM-5Q5ED 40-49 years, female 84.9
GTEX-1I4MK-0126-SM-CY8G6 50-59 years, female 84.8
GTEX-145MF-0926-SM-5Q5EA 50-59 years, male 84.7
GTEX-1C6VQ-1226-SM-73KYD 50-59 years, male 84.7
GTEX-147GR-2426-SM-5ZZWQ 60-69 years, male 84.6
GTEX-XQ3S-1426-SM-4BOPR 20-29 years, male 84.6
GTEX-16MT8-2926-SM-7DUFO 60-69 years, female 84.5
GTEX-1AMFI-1326-SM-7939R 50-59 years, female 84.4
GTEX-ZDXO-3126-SM-5IJDF 60-69 years, male 84.4
GTEX-ZZPU-0826-SM-5GZX5 50-59 years, female 84.4
GTEX-1JMQI-1726-SM-ARL93 50-59 years, male 84.4
GTEX-1C6WA-2626-SM-7MKGM 60-69 years, male 84.2
GTEX-1CAMS-2226-SM-7PBXQ 40-49 years, female 84.2
GTEX-131YS-2826-SM-5EQ47 60-69 years, female 84.1
GTEX-144GM-0526-SM-79OJO 20-29 years, male 84.1
GTEX-1JJE9-2626-SM-ARZMT 70-79 years, male 84.1
GTEX-11TT1-1826-SM-5EQLV 20-29 years, male 84.0
GTEX-18A7B-2726-SM-7LG56 70-79 years, male 83.9
GTEX-1N2EE-0626-SM-E76PW 60-69 years, male 83.9
GTEX-1IOXB-2726-SM-CM2RI 50-59 years, male 83.8
GTEX-13FTY-2126-SM-5IFFB 40-49 years, female 83.7
GTEX-13JVG-0726-SM-5KM16 60-69 years, male 83.7
GTEX-13O3Q-0126-SM-5KM34 50-59 years, male 83.7
GTEX-12WSM-1926-SM-5BC65 60-69 years, male 83.6
GTEX-ZYFG-1526-SM-5GZYM 60-69 years, female 83.6
GTEX-1A8G7-1326-SM-73KVM 60-69 years, male 83.3
GTEX-1HBPM-0726-SM-9YFL7 60-69 years, female 83.3
GTEX-1KWVE-1026-SM-D3L9O 30-39 years, male 83.2
GTEX-1CB4I-0126-SM-7RHGG 50-59 years, male 83.1
GTEX-1OJC4-2726-SM-E76PJ 50-59 years, female 83.1
GTEX-13QBU-1226-SM-5LU4G 40-49 years, female 83.0
GTEX-17EVP-2626-SM-7IGMA 40-49 years, male 83.0
GTEX-1C6VR-0126-SM-7RHGB 60-69 years, male 83.0
GTEX-1LGRB-0926-SM-COH3K 50-59 years, female 83.0
GTEX-1AMEY-0826-SM-72D65 30-39 years, female 82.8
GTEX-ZAB4-2126-SM-5HL8U 40-49 years, male 82.5
GTEX-1HFI6-0126-SM-CNPPI 40-49 years, male 82.5
GTEX-1HFI7-2326-SM-CGQFS 50-59 years, female 82.4
GTEX-11EI6-2826-SM-5H11D 60-69 years, male 82.3
GTEX-11GS4-0226-SM-5HL77 60-69 years, male 82.2
GTEX-13VXU-0626-SM-5L3F9 50-59 years, male 82.2
GTEX-1JMQJ-0826-SM-CNPP7 50-59 years, male 82.2
GTEX-1RMOY-1326-SM-E9TIH 50-59 years, male 82.2
GTEX-14753-0726-SM-5QGQO 60-69 years, male 82.1
GTEX-1RLM8-2926-SM-E8VON 50-59 years, male 82.1
GTEX-1IDJU-1726-SM-CMKHU 60-69 years, female 82.0
GTEX-1J8QM-2426-SM-A9SLS 60-69 years, female 82.0
GTEX-1JJ6O-2726-SM-CNPOG 60-69 years, male 82.0
GTEX-17JCI-2926-SM-7DUFF 60-69 years, female 81.9
GTEX-132AR-0326-SM-5KM2C 50-59 years, female 81.6
GTEX-145LS-0626-SM-7EPG7 60-69 years, female 81.5
GTEX-1JMQL-2226-SM-CNPP4 50-59 years, female 81.5
GTEX-13X6J-0626-SM-5LU5F 50-59 years, male 81.4
GTEX-1ICLY-0826-SM-CMKG1 50-59 years, male 81.4
GTEX-1K9T9-1526-SM-DIPFR 50-59 years, female 81.3
GTEX-13SLW-0626-SM-5Q5ER 70-79 years, male 81.2
GTEX-13112-0126-SM-5P9IU 50-59 years, male 81.1
GTEX-131XW-0626-SM-5PNVD 50-59 years, female 81.1
GTEX-ZVE1-0726-SM-51MRN 50-59 years, female 81.0
GTEX-16BQI-1326-SM-6M486 30-39 years, female 80.9
GTEX-1I1HK-2326-SM-CKZOH 60-69 years, male 80.9
GTEX-1399Q-2326-SM-5KM2X 40-49 years, male 80.8
GTEX-13OW8-1026-SM-5J1NQ 60-69 years, male 80.8
GTEX-Z93S-1626-SM-5CVMB 50-59 years, male 80.7
GTEX-1F6IF-0926-SM-7SB7M 60-69 years, male 80.7
GTEX-13N2G-0226-SM-5K7VF 60-69 years, male 80.6
GTEX-11TUW-0626-SM-5LU9M 60-69 years, male 80.4
GTEX-1I1GS-2626-SM-B2LY3 60-69 years, male 80.4
GTEX-14XAO-1226-SM-6EU1C 60-69 years, female 80.2
GTEX-13FHO-0426-SM-5L3F5 60-69 years, male 80.0
GTEX-1CB4H-1126-SM-7MKGL 60-69 years, female 79.9
GTEX-UPK5-0426-SM-3GAEK 40-49 years, male 79.9
GTEX-XMD2-2126-SM-4YCF8 60-69 years, female 79.9
GTEX-139T8-0626-SM-5KLZX 60-69 years, male 79.7
GTEX-ZTTD-2826-SM-4YCFA 50-59 years, male 79.7
GTEX-16NPX-0726-SM-7KULC 50-59 years, male 79.4
GTEX-18465-2826-SM-7LT9J 50-59 years, male 79.4
GTEX-1M4P7-0726-SM-E6CJ3 60-69 years, male 79.1
GTEX-11ZUS-2626-SM-5FQUR 30-39 years, male 79.0
GTEX-XPVG-2126-SM-4B667 50-59 years, male 78.6
GTEX-15G19-2426-SM-7KUMR 60-69 years, male 78.5
GTEX-183WM-0326-SM-72D5V 70-79 years, female 78.5
GTEX-ZVE2-2826-SM-5GU51 50-59 years, male 78.5
GTEX-1EN7A-2426-SM-793DB 40-49 years, male 78.4
GTEX-13N1W-2426-SM-5IJD1 70-79 years, male 78.0
GTEX-1HB9E-0126-SM-CM2S5 50-59 years, male 77.8
GTEX-14JG1-1526-SM-5YY9X 40-49 years, male 77.7
GTEX-VUSG-2326-SM-4KL1U 50-59 years, male 77.7
GTEX-15D1Q-2826-SM-6LLH7 40-49 years, male 77.6
GTEX-1F88F-0126-SM-9WYSZ 60-69 years, female 77.6
GTEX-1O9I2-0226-SM-EYYXD 50-59 years, male 77.4
GTEX-13OVH-0526-SM-5L3E6 70-79 years, male 77.3
GTEX-1B996-0426-SM-7EWF8 60-69 years, male 77.3
GTEX-1LG7Y-2526-SM-EWRO7 50-59 years, male 77.3
GTEX-1J1OQ-0126-SM-D4P2N 40-49 years, female 77.1
GTEX-YEC4-1826-SM-4W1YP 40-49 years, male 76.9
GTEX-1R46S-2426-SM-E76QA 60-69 years, female 76.8
GTEX-13JUV-2026-SM-5K7UA 40-49 years, female 76.7
GTEX-18D9A-1426-SM-7LT8M 30-39 years, female 76.6
GTEX-1F75W-2726-SM-7SB8H 60-69 years, male 76.6
GTEX-ZYT6-2326-SM-5GZY3 30-39 years, male 76.4
GTEX-1LSNL-2726-SM-E9TKJ 50-59 years, male 76.2
GTEX-1JMPZ-0726-SM-CY8HZ 30-39 years, male 75.9
GTEX-1EH9U-2826-SM-7DUGT 60-69 years, male 75.8
GTEX-15EO6-2426-SM-6PALZ 50-59 years, male 75.3
GTEX-16XZZ-0726-SM-7KUF2 60-69 years, male 75.3
GTEX-1IDJV-0126-SM-COH3Y 60-69 years, male 75.2
GTEX-1JN6P-2926-SM-CL54D 60-69 years, male 74.6
GTEX-1LVAO-2726-SM-E9TJ8 60-69 years, male 74.6
GTEX-1GF9W-1426-SM-7PBYM 60-69 years, male 74.5
GTEX-Y5LM-0926-SM-6LLJG 40-49 years, female 74.4
GTEX-ZWKS-0626-SM-5GIDV 30-39 years, male 74.0
GTEX-17MF6-2626-SM-79OKQ 40-49 years, male 73.8
GTEX-XV7Q-1826-SM-4BRUV 40-49 years, female 73.1
GTEX-1A3MX-2626-SM-7PC24 60-69 years, male 73.1
GTEX-ZYY3-2926-SM-5GIEB 60-69 years, female 72.9
GTEX-13U4I-2226-SM-5LU5H 40-49 years, female 72.8
GTEX-1212Z-0126-SM-59HK4 60-69 years, male 72.4
GTEX-1HCU8-2526-SM-CE6RX 60-69 years, female 72.3
GTEX-1GN1V-2826-SM-9JGIA 60-69 years, male 71.2
GTEX-1H1ZS-2726-SM-9WG75 70-79 years, male 71.2
GTEX-16Z82-2626-SM-7KULU 60-69 years, male 70.9
GTEX-1IDJH-0126-SM-D3L92 70-79 years, male 70.8
GTEX-1QEPI-2626-SM-DTXF4 60-69 years, female 70.8
GTEX-1269C-0126-SM-5EQ5L 60-69 years, female 70.5
GTEX-14DAQ-0626-SM-793DS 60-69 years, female 70.1
GTEX-1HUB1-1426-SM-CGQF5 60-69 years, male 70.0
GTEX-ZF3C-0626-SM-DO92O 50-59 years, female 70.0
GTEX-WFG8-2126-SM-3GIKQ 20-29 years, male 69.8
GTEX-11UD2-2526-SM-5CVNU 50-59 years, male 69.7
GTEX-13X6I-1826-SM-5SIAO 60-69 years, male 69.4
GTEX-14A6H-2026-SM-5Q5DD 30-39 years, male 69.2
GTEX-12WSC-2826-SM-5BC5Y 50-59 years, male 68.4
GTEX-1B8L1-2226-SM-7P8PT 60-69 years, male 67.2
GTEX-13OW7-0426-SM-5K7VK 50-59 years, male 67.1
GTEX-Y5V5-0126-SM-5S2NW 60-69 years, female 67.1
GTEX-12WSA-0426-SM-5EQ5X 60-69 years, male 67.0
GTEX-14PJ2-0626-SM-6LLII 50-59 years, male 66.4
GTEX-1477Z-0326-SM-7IGLA 60-69 years, male 64.5
Show allShow less
Skin - Sun Exposed (Lower leg)
Average nTPM: 102.3
Samples: 701

Max nTPM: 243.9
Min nTPM: 63.9
Std nTPM: 19.0
Median nTPM: 100.3
GTEX-SE5C-1626-SM-2XCE3 40-49 years, female 243.9
GTEX-13FXS-0226-SM-5IJCK 50-59 years, male 170.0
GTEX-1EMGI-0126-SM-9KNUE 60-69 years, male 166.2
GTEX-NFK9-0226-SM-2HMKQ 40-49 years, male 165.4
GTEX-XYKS-2126-SM-4E3IB 60-69 years, female 162.9
GTEX-Y3IK-2426-SM-4WWDU 50-59 years, female 161.6
GTEX-11DXZ-2326-SM-5EGGV 50-59 years, male 157.1
GTEX-T2YK-0526-SM-32QPJ 50-59 years, male 157.0
GTEX-1CAV2-2226-SM-7P8P2 40-49 years, female 154.7
GTEX-1OJC3-0126-SM-E76QX 20-29 years, male 154.5
GTEX-P4QT-0126-SM-2I3FL 50-59 years, female 153.8
GTEX-ZTX8-1426-SM-5DUVO 20-29 years, male 153.4
GTEX-1HFI6-0226-SM-ADEHZ 40-49 years, male 151.9
GTEX-T6MN-0126-SM-32PLP 50-59 years, male 149.9
GTEX-PX3G-0126-SM-2I3EN 20-29 years, female 149.8
GTEX-13111-1626-SM-5EGJY 50-59 years, male 148.5
GTEX-1KANC-1526-SM-D3LAB 50-59 years, female 147.9
GTEX-13CF2-2526-SM-5LZYX 60-69 years, male 146.6
GTEX-1R9PM-2026-SM-E76OY 20-29 years, male 146.3
GTEX-11DYG-0126-SM-59883 60-69 years, male 144.3
GTEX-1K2DA-1826-SM-CGQGT 50-59 years, male 142.3
GTEX-1LSNM-1926-SM-E6CII 50-59 years, male 142.0
GTEX-1MA7W-2026-SM-E9TJ6 20-29 years, female 141.5
GTEX-1QP9N-1426-SM-DTXFL 30-39 years, male 140.1
GTEX-1LBAC-0126-SM-DIPEZ 20-29 years, male 139.8
GTEX-YB5K-2126-SM-4WWDJ 40-49 years, female 139.5
GTEX-1H2FU-0126-SM-9WYSI 60-69 years, female 138.9
GTEX-1PIGE-0126-SM-EVYBJ 20-29 years, male 138.3
GTEX-15EOM-0126-SM-7KUGG 20-29 years, female 138.0
GTEX-14E6C-0126-SM-5RQIP 40-49 years, male 137.7
GTEX-ZF3C-0126-SM-DO92D 50-59 years, female 137.2
GTEX-QESD-1426-SM-2S1R9 20-29 years, male 137.0
GTEX-WRHK-1426-SM-3MJF9 20-29 years, female 136.5
GTEX-1PIIG-0226-SM-EWRN6 30-39 years, male 135.8
GTEX-ZGAY-0526-SM-4WWBB 40-49 years, female 135.7
GTEX-1JMLX-0226-SM-CM2RO 50-59 years, male 135.3
GTEX-POMQ-2226-SM-2I5FK 20-29 years, female 134.9
GTEX-14PJM-0226-SM-62LF1 50-59 years, female 134.5
GTEX-ZYFD-0126-SM-5GIDL 50-59 years, male 133.4
GTEX-12WSK-2326-SM-5GCOH 40-49 years, female 133.3
GTEX-XUZC-1726-SM-4BRWS 30-39 years, female 132.9
GTEX-UJHI-1526-SM-3DB99 50-59 years, female 132.8
GTEX-ZTPG-0326-SM-5O9AX 20-29 years, female 132.4
GTEX-12WSJ-1826-SM-5GCNY 40-49 years, female 132.1
GTEX-ZVTK-0426-SM-51MRS 20-29 years, male 132.0
GTEX-ZYT6-0226-SM-5NQ6T 30-39 years, male 132.0
GTEX-TKQ1-1026-SM-4GICL 30-39 years, male 130.9
GTEX-WI4N-1026-SM-3LK7N 40-49 years, female 130.8
GTEX-Y114-2426-SM-4TT8A 50-59 years, female 130.7
GTEX-1I4MK-2226-SM-ACKWD 50-59 years, female 129.8
GTEX-PSDG-0226-SM-DKPOZ 50-59 years, male 129.8
GTEX-15F5U-1526-SM-6PANO 40-49 years, male 129.4
GTEX-1C475-1826-SM-73KWA 40-49 years, female 129.3
GTEX-13NYS-0126-SM-5MR3W 60-69 years, male 128.9
GTEX-13PVR-2326-SM-5QGR1 60-69 years, female 128.9
GTEX-1GN1U-0126-SM-7PBZK 50-59 years, female 128.8
GTEX-1R7EU-0226-SM-EVR4G 60-69 years, male 128.5
GTEX-T5JC-0426-SM-32PLO 20-29 years, male 128.4
GTEX-1EWIQ-0126-SM-7RHH2 70-79 years, female 128.3
GTEX-145ME-1826-SM-5SI9G 40-49 years, female 127.5
GTEX-17JCI-0126-SM-7LG5G 60-69 years, female 127.2
GTEX-XBEW-0626-SM-4QASP 40-49 years, male 127.0
GTEX-13FHP-0126-SM-5IJBG 50-59 years, male 126.9
GTEX-T8EM-1026-SM-3DB7M 40-49 years, male 126.9
GTEX-QLQW-1126-SM-2S1Q8 30-39 years, male 126.8
GTEX-X88G-0126-SM-47JZ3 30-39 years, male 126.7
GTEX-YB5E-2026-SM-5IFIS 40-49 years, male 126.7
GTEX-1GMR3-1926-SM-9KNUZ 40-49 years, male 126.5
GTEX-ZXES-1826-SM-5E43S 30-39 years, female 126.4
GTEX-OIZH-0126-SM-2HMIS 50-59 years, male 126.2
GTEX-13YAN-0326-SM-5O9DF 60-69 years, male 126.0
GTEX-18A7A-0226-SM-718BH 50-59 years, female 126.0
GTEX-1B97I-1626-SM-73KYO 40-49 years, male 125.9
GTEX-139UW-2826-SM-5L3E7 60-69 years, male 125.8
GTEX-Q2AI-1326-SM-2S1PL 40-49 years, male 125.6
GTEX-S7PM-0126-SM-4AD6S 60-69 years, male 124.9
GTEX-13NZ8-0826-SM-5MR3I 60-69 years, female 124.6
GTEX-15ER7-0326-SM-7KUEV 20-29 years, female 123.7
GTEX-1B8L1-2526-SM-9WYTF 60-69 years, male 123.7
GTEX-ZVT2-2526-SM-51MT1 50-59 years, female 123.2
GTEX-1PDJ9-0326-SM-DTX95 20-29 years, male 123.0
GTEX-1ICG6-2526-SM-CGQFZ 70-79 years, female 122.9
GTEX-16YQH-0126-SM-7DUFJ 30-39 years, male 122.8
GTEX-YJ8A-0426-SM-5IFID 20-29 years, male 122.8
GTEX-1PPH8-0226-SM-E8VND 20-29 years, male 122.8
GTEX-T5JW-1626-SM-3GADZ 20-29 years, female 122.2
GTEX-1S5ZA-0126-SM-EVYCV 20-29 years, male 122.2
GTEX-1GZ4H-1726-SM-7PBZJ 50-59 years, female 122.1
GTEX-1B8KE-2126-SM-73KYX 50-59 years, male 122.0
GTEX-13FTW-2626-SM-5K7WL 40-49 years, male 121.9
GTEX-1J8EW-0126-SM-CJI4F 60-69 years, female 121.9
GTEX-1QMI2-0226-SM-EVYBX 60-69 years, male 121.9
GTEX-17HII-0226-SM-7LG4E 50-59 years, male 121.8
GTEX-1IL2U-0226-SM-CE6T8 60-69 years, male 121.7
GTEX-S33H-1026-SM-EZ6L6 30-39 years, male 121.6
GTEX-12WSN-5019-SM-79OM6 40-49 years, male 121.4
GTEX-Y111-0126-SM-4SOIV 50-59 years, male 121.4
GTEX-1POEN-0126-SM-EYYXJ 30-39 years, female 121.2
GTEX-14PII-0226-SM-6EU1T 60-69 years, male 120.9
GTEX-RUSQ-1526-SM-2TF62 50-59 years, male 120.8
GTEX-1HCUA-2426-SM-ADEIS 50-59 years, female 120.7
GTEX-16GPK-0126-SM-7DHLE 60-69 years, male 120.5
GTEX-111FC-0126-SM-5N9DL 60-69 years, male 120.3
GTEX-145MI-0526-SM-5O9A8 60-69 years, female 120.2
GTEX-17HHY-0126-SM-7LG5D 50-59 years, male 120.2
GTEX-Q734-1926-SM-2I5EV 40-49 years, female 120.2
GTEX-1JJ6O-0126-SM-E6CI8 60-69 years, male 120.1
GTEX-OOBJ-0126-SM-E6CJW 60-69 years, male 119.9
GTEX-139D8-0226-SM-5KLZO 30-39 years, female 119.8
GTEX-1GF9V-0326-SM-7RHI5 60-69 years, male 119.6
GTEX-QEG4-0226-SM-2S1PY 30-39 years, male 119.5
GTEX-U412-0426-SM-3DB9O 60-69 years, male 119.4
GTEX-1F6I4-0126-SM-9MQL2 60-69 years, male 119.4
GTEX-1J8JJ-0226-SM-CL53I 60-69 years, female 119.3
GTEX-139TS-2826-SM-5J1OO 60-69 years, male 119.1
GTEX-ZV68-0126-SM-59HKS 50-59 years, female 119.0
GTEX-1JN6P-0126-SM-D3L98 60-69 years, male 118.9
GTEX-WYJK-0126-SM-3NMAB 50-59 years, male 118.7
GTEX-Y8DK-0126-SM-4TT3L 60-69 years, male 118.6
GTEX-14ICK-0226-SM-6EU25 40-49 years, male 118.5
GTEX-144GN-2326-SM-5LU4F 50-59 years, male 118.4
GTEX-ZAJG-0126-SM-5HL94 50-59 years, female 118.4
GTEX-1LGOU-2026-SM-DIPFF 20-29 years, female 118.4
GTEX-1MJK2-0426-SM-DTXE5 50-59 years, male 117.8
GTEX-11TUW-2726-SM-E9J4M 60-69 years, male 117.7
GTEX-1F52S-0126-SM-9MQJU 60-69 years, female 117.7
GTEX-1I1GV-0526-SM-A9G29 60-69 years, male 117.7
GTEX-1LG7Z-1726-SM-D3LA4 30-39 years, male 117.7
GTEX-1HSGN-0226-SM-CGQFV 40-49 years, female 117.6
GTEX-XUYS-0126-SM-47JWZ 50-59 years, male 117.5
GTEX-1GZHY-0326-SM-9QEHI 50-59 years, female 117.3
GTEX-1GF9X-2026-SM-7PC3A 40-49 years, female 117.2
GTEX-XUW1-0426-SM-4BOOT 50-59 years, female 117.1
GTEX-14LLW-0126-SM-6LLIO 70-79 years, female 117.0
GTEX-1JMPY-1326-SM-ARL8Y 30-39 years, male 117.0
GTEX-WQUQ-0426-SM-3MJFU 60-69 years, male 116.8
GTEX-13VXU-0126-SM-5SI9F 50-59 years, male 116.7
GTEX-1GN73-0226-SM-9WG67 60-69 years, male 116.7
GTEX-11ZTS-0126-SM-5EQ6M 60-69 years, female 116.6
GTEX-13G51-2526-SM-5LZYK 60-69 years, male 116.6
GTEX-1JMQL-0226-SM-CNPP5 50-59 years, female 116.6
GTEX-1CB4E-2226-SM-793DC 60-69 years, male 116.5
GTEX-13OW6-0426-SM-5L3HM 50-59 years, male 116.4
GTEX-1KD4Q-0226-SM-E9TJ9 40-49 years, male 116.1
GTEX-17HG3-2226-SM-7938L 30-39 years, female 115.9
GTEX-18D9A-1926-SM-7LG6P 30-39 years, female 115.9
GTEX-12WSE-0526-SM-793B2 20-29 years, male 115.8
GTEX-17GQL-2026-SM-718BA 60-69 years, male 115.8
GTEX-17F98-0626-SM-79OMX 40-49 years, female 115.6
GTEX-1PFEY-1526-SM-E76PP 30-39 years, male 115.6
GTEX-QDVJ-1726-SM-2I5FX 50-59 years, male 115.5
GTEX-1313W-0126-SM-5LZUN 50-59 years, female 115.3
GTEX-11TT1-2526-SM-5EGIB 20-29 years, male 115.0
GTEX-RWSA-0126-SM-2XCBB 40-49 years, male 115.0
GTEX-12584-0126-SM-5EGKQ 40-49 years, male 114.8
GTEX-13OVI-1426-SM-5L3EY 60-69 years, female 114.8
GTEX-15DDE-0126-SM-6LPKH 50-59 years, female 114.8
GTEX-17EUY-0426-SM-793BD 20-29 years, male 114.8
GTEX-1GMR8-0126-SM-9WYTM 50-59 years, female 114.7
GTEX-1LB8K-0226-SM-EWRNW 50-59 years, male 114.6
GTEX-18A6Q-0126-SM-731BZ 60-69 years, male 114.5
GTEX-14C5O-0126-SM-5SI6N 60-69 years, male 114.4
GTEX-W5WG-1826-SM-4KL2Y 50-59 years, female 114.3
GTEX-1LVAN-0226-SM-COH3S 50-59 years, female 114.3
GTEX-131XH-2226-SM-5DUXJ 50-59 years, male 114.2
GTEX-WXYG-2326-SM-4E3I6 50-59 years, female 114.2
GTEX-1F75A-0126-SM-7RHGM 50-59 years, male 114.2
GTEX-SNMC-1226-SM-2XCFP 20-29 years, male 114.1
GTEX-1F6RS-0126-SM-9MQKZ 60-69 years, female 114.1
GTEX-1B996-0226-SM-7RHGO 60-69 years, male 114.0
GTEX-ZVZO-0126-SM-5A5L9 40-49 years, male 113.8
GTEX-13RTK-1426-SM-5QGQJ 20-29 years, male 113.7
GTEX-W5X1-3026-SM-EAZAX 40-49 years, female 113.7
GTEX-WY7C-2326-SM-3NB2U 50-59 years, male 113.5
GTEX-1MA7X-2226-SM-E6CIY 60-69 years, male 113.5
GTEX-18D9U-0226-SM-718BP 40-49 years, male 113.3
GTEX-1HCU6-0126-SM-CL54K 60-69 years, female 113.1
GTEX-1RAZA-0126-SM-E6CI3 20-29 years, male 113.0
GTEX-Q2AH-1626-SM-3GAF8 40-49 years, male 112.9
GTEX-X638-0126-SM-47JZ8 70-79 years, female 112.9
GTEX-ZF29-2326-SM-DO92K 60-69 years, female 112.9
GTEX-131XE-2326-SM-5PNZ2 50-59 years, male 112.8
GTEX-1H4P4-0726-SM-9YFLR 50-59 years, male 112.7
GTEX-1AX9J-0226-SM-73KXM 60-69 years, male 112.6
GTEX-1H1CY-2826-SM-9MQM3 60-69 years, female 112.5
GTEX-1I6K6-0126-SM-A9SLE 30-39 years, male 112.5
GTEX-15SHW-0326-SM-6PAML 60-69 years, male 112.4
GTEX-1HGF4-2426-SM-ACKXM 60-69 years, male 112.4
GTEX-OHPM-0126-SM-2YUN9 50-59 years, male 112.1
GTEX-1H3VE-0326-SM-9YFLH 40-49 years, male 112.0
GTEX-Z93T-0126-SM-5HL5N 50-59 years, male 111.8
GTEX-11TTK-0126-SM-5987B 60-69 years, female 111.6
GTEX-1JN76-0126-SM-CNPPE 20-29 years, female 111.6
GTEX-132NY-0326-SM-5IJBL 60-69 years, male 111.5
GTEX-15EU6-0426-SM-6PAN5 50-59 years, male 111.5
GTEX-TML8-1926-SM-32QOS 40-49 years, female 111.5
GTEX-1CB4I-0226-SM-79OLH 50-59 years, male 111.2
GTEX-SJXC-0126-SM-2XCFF 60-69 years, male 111.1
GTEX-1399U-2326-SM-5K7WY 50-59 years, female 111.0
GTEX-14PN4-0126-SM-6EU2V 50-59 years, male 111.0
GTEX-OXRP-0126-SM-3NB32 60-69 years, female 111.0
GTEX-1HCU7-0226-SM-CL545 50-59 years, male 111.0
GTEX-12WSD-0126-SM-59HKN 60-69 years, female 110.9
GTEX-13W46-0226-SM-5SIAG 50-59 years, male 110.9
GTEX-16AAH-1726-SM-7939C 50-59 years, male 110.8
GTEX-1K2DU-2326-SM-E9TIV 20-29 years, male 110.8
GTEX-1C64N-0126-SM-793D7 50-59 years, male 110.7
GTEX-QCQG-1726-SM-3GIJ9 50-59 years, female 110.7
GTEX-1S3DN-2226-SM-EVYCD 50-59 years, male 110.5
GTEX-1JMQI-2226-SM-CM2SD 50-59 years, male 110.4
GTEX-13O3P-0126-SM-5KM4S 50-59 years, male 110.2
GTEX-1JJEA-0326-SM-CNPOT 60-69 years, male 110.2
GTEX-UPJH-0326-SM-3GADU 50-59 years, male 110.1
GTEX-ZQUD-1426-SM-57WER 30-39 years, male 110.1
GTEX-1IKK5-0626-SM-ARL8A 60-69 years, male 110.1
GTEX-13OVL-0226-SM-5L3E9 50-59 years, male 110.0
GTEX-13VXT-0126-SM-5LU4I 20-29 years, female 110.0
GTEX-1KANB-0526-SM-E6CJH 50-59 years, male 109.8
GTEX-11P81-2326-SM-59875 30-39 years, female 109.6
GTEX-1IY9M-0126-SM-D3L8S 60-69 years, male 109.5
GTEX-131YS-0126-SM-5KM1M 60-69 years, female 109.4
GTEX-Y8E4-0626-SM-4WWDL 40-49 years, male 109.4
GTEX-SUCS-1926-SM-32PM3 70-79 years, male 109.3
GTEX-XAJ8-0826-SM-47JY6 40-49 years, male 109.3
GTEX-X4XX-0126-SM-3NMC2 60-69 years, male 109.2
GTEX-1KAFJ-2026-SM-CY8ID 50-59 years, male 109.2
GTEX-12KS4-0326-SM-5EQ41 30-39 years, male 109.0
GTEX-X8HC-0126-SM-4E3JW 50-59 years, female 109.0
GTEX-1J8QM-2126-SM-CYPSJ 60-69 years, female 109.0
GTEX-WFON-2126-SM-3LK7O 40-49 years, male 108.9
GTEX-1N2EF-0226-SM-EYYXB 60-69 years, male 108.8
GTEX-1IOXB-0126-SM-ARL8G 50-59 years, male 108.6
GTEX-1399R-2726-SM-5IJBA 30-39 years, male 108.5
GTEX-1HR98-0126-SM-B2LWI 60-69 years, male 108.5
GTEX-PLZ4-0126-SM-5SI8O 50-59 years, female 108.4
GTEX-1S82Z-0826-SM-E6CHY 30-39 years, female 108.4
GTEX-12ZZX-0126-SM-5EGK9 40-49 years, female 108.2
GTEX-1L5NE-2526-SM-E6CIE 50-59 years, male 108.2
GTEX-1MUQO-0126-SM-EAZ58 60-69 years, male 108.2
GTEX-15ETS-0126-SM-7KUMW 40-49 years, female 108.1
GTEX-17EVP-0326-SM-7DHLG 40-49 years, male 108.1
GTEX-14E6D-0126-SM-62LDV 50-59 years, male 107.9
GTEX-13JUV-2726-SM-5LZZ8 40-49 years, female 107.7
GTEX-13NYB-2526-SM-5K7Z6 40-49 years, male 107.5
GTEX-1BAJH-0526-SM-793CQ 70-79 years, male 107.3
GTEX-R55E-0126-SM-2TC5Y 20-29 years, male 107.3
GTEX-1HSEH-0126-SM-ACKXN 60-69 years, male 107.3
GTEX-1211K-2026-SM-5EQ4Z 60-69 years, female 107.2
GTEX-WH7G-2326-SM-3NMBC 40-49 years, male 107.2
GTEX-Z9EW-1626-SM-5CVMN 40-49 years, male 107.0
GTEX-ZVZP-2426-SM-59HKJ 50-59 years, male 106.9
GTEX-13OW5-0126-SM-DTXFS 60-69 years, male 106.9
GTEX-X261-0126-SM-3NMD6 50-59 years, male 106.8
GTEX-13113-5016-SM-7EPIP 60-69 years, female 106.6
GTEX-OXRK-0226-SM-3NB2G 50-59 years, female 106.6
GTEX-18A67-0126-SM-7LG5P 50-59 years, male 106.4
GTEX-ZF2S-2326-SM-4WWCE 50-59 years, female 106.4
GTEX-1F6IF-0726-SM-7P8TW 60-69 years, male 106.4
GTEX-145MN-2226-SM-5SIAU 30-39 years, male 106.3
GTEX-T6MO-1626-SM-32QOM 40-49 years, female 106.3
GTEX-TMMY-0226-SM-33HBA 40-49 years, female 106.3
GTEX-PWCY-1826-SM-DHXIZ 20-29 years, female 106.2
GTEX-11WQC-2526-SM-5CVLE 60-69 years, male 106.1
GTEX-15UF6-0826-SM-6PALJ 70-79 years, female 106.0
GTEX-XBED-2226-SM-47JYQ 60-69 years, male 105.9
GTEX-1MGNQ-0126-SM-EVYCJ 40-49 years, male 105.9
GTEX-U3ZH-2026-SM-3DB78 30-39 years, male 105.8
GTEX-1HSMQ-1226-SM-CGQFX 50-59 years, male 105.8
GTEX-1EKGG-0226-SM-9WYTH 60-69 years, male 105.7
GTEX-ZDTT-2726-SM-4WKF8 60-69 years, male 105.5
GTEX-1IDJF-0126-SM-CM2RS 20-29 years, male 105.5
GTEX-13O1R-0126-SM-5L3EH 60-69 years, male 105.4
GTEX-1HBPM-0226-SM-ARL9F 60-69 years, female 105.4
GTEX-1HFI7-1826-SM-ACKXH 50-59 years, female 105.3
GTEX-1N2DV-0226-SM-E6CJ6 40-49 years, male 105.3
GTEX-RWS6-2026-SM-2XCB5 60-69 years, female 105.2
GTEX-145MO-0326-SM-5Q5B3 60-69 years, male 105.1
GTEX-16NGA-1726-SM-731B4 40-49 years, female 105.1
GTEX-1H1DG-0126-SM-9WYU2 70-79 years, male 105.1
GTEX-1KANA-0726-SM-D3L9I 20-29 years, male 105.1
GTEX-13X6H-2126-SM-7EWD5 50-59 years, female 105.0
GTEX-15DYW-0126-SM-7KULE 60-69 years, female 104.9
GTEX-1GN2E-0426-SM-9MQKX 60-69 years, male 104.8
GTEX-RNOR-0126-SM-E9J4R 50-59 years, female 104.8
GTEX-11XUK-2026-SM-5EQLF 40-49 years, female 104.7
GTEX-OOBK-0126-SM-2YUND 40-49 years, male 104.7
GTEX-1CB4G-0226-SM-7PC3O 60-69 years, male 104.7
GTEX-11EM3-2426-SM-59861 20-29 years, female 104.6
GTEX-1CB4F-0426-SM-9KNV4 60-69 years, male 104.6
GTEX-1F48J-0126-SM-7P8TT 50-59 years, female 104.3
GTEX-1HSMP-0126-SM-E6CJS 70-79 years, male 104.3
GTEX-1PWST-0226-SM-E76QJ 70-79 years, male 104.3
GTEX-14XAO-2326-SM-6EU1B 60-69 years, female 104.2
GTEX-S7SE-0126-SM-2XCD5 50-59 years, male 104.2
GTEX-13SLX-0526-SM-5S2ON 50-59 years, female 104.1
GTEX-ZY6K-1826-SM-5GZXK 50-59 years, male 104.0
GTEX-1JMPZ-0226-SM-CNPP1 30-39 years, male 104.0
GTEX-ZDXO-3026-SM-5J1N5 60-69 years, male 103.9
GTEX-1H11D-0226-SM-9WG6Z 40-49 years, male 103.8
GTEX-1IL2V-0126-SM-CM2TX 70-79 years, male 103.8
GTEX-OXRN-0126-SM-48TDM 50-59 years, male 103.7
GTEX-O5YW-0126-SM-3LK6D 50-59 years, male 103.6
GTEX-OHPL-0126-SM-2HMJ7 60-69 years, female 103.4
GTEX-X4EO-0326-SM-3P5YO 60-69 years, female 103.4
GTEX-1I1CD-0126-SM-CM2TK 60-69 years, female 103.4
GTEX-13112-2826-SM-5DUWH 50-59 years, male 103.3
GTEX-RM2N-1426-SM-2TF4H 50-59 years, male 103.3
GTEX-1S83E-0126-SM-EWRO4 40-49 years, male 103.3
GTEX-11P7K-2126-SM-5GU7G 30-39 years, male 103.0
GTEX-11OF3-2626-SM-5GU7F 60-69 years, male 102.9
GTEX-TMZS-0126-SM-3DB9Q 60-69 years, male 102.9
GTEX-YEC4-2126-SM-5IFJH 40-49 years, male 102.7
GTEX-ZYW4-0126-SM-5E44A 60-69 years, male 102.7
GTEX-18QFQ-0126-SM-731BE 30-39 years, male 102.5
GTEX-1J1R8-1726-SM-ARL8M 40-49 years, male 102.5
GTEX-12C56-1726-SM-5EQ61 20-29 years, male 102.4
GTEX-1C6WA-0126-SM-7PC2B 60-69 years, male 102.4
GTEX-1GMRU-0126-SM-9YFLV 50-59 years, male 102.3
GTEX-1QP67-1626-SM-EAZ3X 40-49 years, female 102.3
GTEX-13SLW-0126-SM-5SI6C 70-79 years, male 102.2
GTEX-18465-0126-SM-731BN 50-59 years, male 102.2
GTEX-PLZ5-2026-SM-2S1O4 50-59 years, male 102.2
GTEX-1HBPI-1526-SM-C1YQ1 50-59 years, male 102.2
GTEX-11WQK-0526-SM-5EQLD 50-59 years, male 102.1
GTEX-Y5V5-2326-SM-4V6GA 60-69 years, female 102.1
GTEX-14BMU-2226-SM-5TDE9 20-29 years, female 101.9
GTEX-PLZ6-1426-SM-DKPOT 30-39 years, male 101.9
GTEX-SSA3-0126-SM-32QPU 60-69 years, male 101.8
GTEX-14JIY-0126-SM-6LLH6 60-69 years, male 101.7
GTEX-PVOW-0126-SM-2XCFA 40-49 years, male 101.6
GTEX-QVJO-1626-SM-2S1QW 60-69 years, female 101.6
GTEX-RTLS-0126-SM-447CA 60-69 years, female 101.6
GTEX-ZE7O-0126-SM-57WC1 50-59 years, female 101.6
GTEX-113JC-2326-SM-5EQ4E 50-59 years, female 101.4
GTEX-13OVJ-0126-SM-5KM36 50-59 years, female 101.4
GTEX-1HSKV-0226-SM-A9SKJ 60-69 years, male 101.4
GTEX-145LU-0126-SM-5TDCB 50-59 years, male 101.3
GTEX-1PPH7-2326-SM-EVYB8 40-49 years, male 101.3
GTEX-P4PQ-0126-SM-2S1NM 60-69 years, male 101.2
GTEX-1NV5F-0226-SM-E8VNY 60-69 years, female 101.2
GTEX-1K9T9-0126-SM-EVYCF 50-59 years, female 100.9
GTEX-11DXX-2426-SM-5GZZW 60-69 years, female 100.8
GTEX-1AX9I-0126-SM-7SB74 60-69 years, male 100.8
GTEX-ZAK1-0126-SM-5IJD3 50-59 years, female 100.7
GTEX-1F5PL-0326-SM-7P8PQ 40-49 years, female 100.7
GTEX-ZV6S-2326-SM-4YCEY 40-49 years, female 100.6
GTEX-1OFPY-2426-SM-DTXEJ 60-69 years, male 100.5
GTEX-12126-0326-SM-5PNW3 20-29 years, male 100.4
GTEX-15SHU-0126-SM-7KUEH 40-49 years, female 100.4
GTEX-ZQG8-1626-SM-DHXIT 60-69 years, female 100.4
GTEX-145LV-2126-SM-5LU8N 50-59 years, male 100.3
GTEX-U8T8-0126-SM-3DB94 60-69 years, male 100.3
GTEX-1I1GR-0126-SM-CL55F 60-69 years, male 100.3
GTEX-139TT-0126-SM-5K7Y5 60-69 years, male 100.2
GTEX-13O21-1426-SM-5K7XI 50-59 years, male 100.2
GTEX-18A66-0226-SM-718BD 60-69 years, male 100.0
GTEX-1CAMR-1926-SM-7EPI2 20-29 years, male 99.8
GTEX-1192X-0226-SM-5H12D 50-59 years, male 99.6
GTEX-17EVQ-0226-SM-7LG4P 70-79 years, male 99.5
GTEX-SN8G-0126-SM-32PLI 50-59 years, female 99.5
GTEX-1314G-1526-SM-5EGK2 30-39 years, male 99.4
GTEX-14BIN-0626-SM-793DP 50-59 years, female 99.4
GTEX-11NUK-0126-SM-5A5L3 50-59 years, male 99.2
GTEX-13D11-2426-SM-5KM1V 50-59 years, female 99.2
GTEX-1497J-2426-SM-7IGNX 60-69 years, male 99.2
GTEX-X4EP-0126-SM-3P5YV 60-69 years, female 99.2
GTEX-XXEK-2226-SM-4BRUM 50-59 years, male 99.2
GTEX-146FR-1326-SM-E9J48 60-69 years, female 99.2
GTEX-1F75B-0126-SM-9KNVL 50-59 years, male 99.2
GTEX-12696-2426-SM-5EQ6H 60-69 years, male 99.1
GTEX-13FTX-1826-SM-5J1NX 20-29 years, female 99.1
GTEX-1GL5R-1826-SM-9KNUY 50-59 years, male 99.1
GTEX-1JN1M-0326-SM-CYPT3 60-69 years, female 99.1
GTEX-1122O-2126-SM-5EGIR 60-69 years, female 99.0
GTEX-17F97-0326-SM-7LG5B 50-59 years, male 99.0
GTEX-1KWVE-1426-SM-E9TJO 30-39 years, male 98.8
GTEX-13OVK-2026-SM-7KUEO 40-49 years, male 98.7
GTEX-1J1OQ-0226-SM-CYPSH 40-49 years, female 98.7
GTEX-1E2YA-0126-SM-9KNUC 50-59 years, male 98.6
GTEX-1R9K4-0126-SM-DTX9X 60-69 years, male 98.6
GTEX-1HT8W-0126-SM-CNPPP 30-39 years, male 98.5
GTEX-YJ89-0126-SM-4TT3X 60-69 years, male 98.4
GTEX-ZC5H-0226-SM-4WAY9 40-49 years, female 98.4
GTEX-RN64-0126-SM-2TC68 50-59 years, male 98.3
GTEX-VJYA-1126-SM-3GIJU 60-69 years, male 98.3
GTEX-1EU9M-0226-SM-7P8SP 60-69 years, male 98.3
GTEX-1H3O1-0426-SM-9YFKY 60-69 years, male 98.3
GTEX-1IKJJ-0126-SM-CNPQB 60-69 years, male 98.3
GTEX-1QCLY-0326-SM-E8VOG 30-39 years, male 98.3
GTEX-113IC-0126-SM-5HL6T 60-69 years, male 98.2
GTEX-ZF28-0126-SM-4WKGK 60-69 years, male 98.2
GTEX-ZYFC-0226-SM-5NQ75 50-59 years, male 98.2
GTEX-1GF9W-0326-SM-9KNUN 60-69 years, male 98.2
GTEX-13PDP-0126-SM-5L3HD 60-69 years, male 97.9
GTEX-14A5I-0126-SM-5TDEA 50-59 years, female 97.9
GTEX-1F88F-2726-SM-7PBZZ 60-69 years, female 97.9
GTEX-11O72-0126-SM-59887 40-49 years, male 97.8
GTEX-1399T-2826-SM-5KLYZ 60-69 years, male 97.8
GTEX-13X6J-0126-SM-5QGOU 50-59 years, male 97.8
GTEX-1B8KZ-2026-SM-7DHMB 50-59 years, male 97.8
GTEX-X585-0226-SM-4QAS2 50-59 years, male 97.8
GTEX-X5EB-2226-SM-46MW4 40-49 years, male 97.8
GTEX-ZVT4-0126-SM-DTXFN 50-59 years, female 97.8
GTEX-1A3MV-1926-SM-718BT 30-39 years, male 97.7
GTEX-S95S-1226-SM-4GICG 60-69 years, male 97.7
GTEX-U8XE-0326-SM-3DB8P 30-39 years, male 97.6
GTEX-1H23P-0126-SM-ADEJ3 60-69 years, male 97.5
GTEX-1JK1U-2026-SM-CM2RZ 60-69 years, male 97.5
GTEX-15G19-0126-SM-6PANQ 60-69 years, male 97.4
GTEX-14PHX-2326-SM-62LEM 50-59 years, male 97.2
GTEX-Y3I4-2126-SM-4TT7C 50-59 years, male 97.2
GTEX-11DXW-0226-SM-5H122 40-49 years, male 97.1
GTEX-ZE9C-2726-SM-57WB5 60-69 years, male 97.1
GTEX-1HCU9-1526-SM-A9SL7 20-29 years, male 97.0
GTEX-11ZTT-2426-SM-5EQLS 60-69 years, female 96.9
GTEX-139TU-0126-SM-5K7WH 60-69 years, male 96.8
GTEX-14ABY-0226-SM-5TDCQ 50-59 years, male 96.8
GTEX-14PK6-1926-SM-6ETZU 70-79 years, female 96.8
GTEX-183FY-0126-SM-7LT9P 20-29 years, male 96.8
GTEX-1B8SG-0126-SM-73KZ3 50-59 years, male 96.8
GTEX-1KXAM-2226-SM-CYPTC 60-69 years, male 96.8
GTEX-14DAR-2026-SM-5S2O3 50-59 years, male 96.6
GTEX-ZAB4-0226-SM-5N9F5 40-49 years, male 96.6
GTEX-1GZ2Q-0226-SM-7P8TL 40-49 years, male 96.6
GTEX-1IE54-0126-SM-CMKHW 40-49 years, female 96.5
GTEX-183WM-0126-SM-7LTAB 70-79 years, female 96.3
GTEX-1H3VY-0126-SM-ACKXD 50-59 years, male 96.2
GTEX-1HBPN-0226-SM-9YFM1 50-59 years, male 96.1
GTEX-1KD5A-0226-SM-D5OV3 50-59 years, male 96.1
GTEX-14PJ3-1826-SM-62LEX 50-59 years, male 96.0
GTEX-1QAET-0926-SM-E76QM 50-59 years, male 96.0
GTEX-131XG-2626-SM-5KM17 50-59 years, female 95.9
GTEX-146FH-0126-SM-5QGPP 50-59 years, female 95.9
GTEX-11OC5-0126-SM-5HL6A 60-69 years, male 95.6
GTEX-ZYFG-2326-SM-5E44B 60-69 years, female 95.6
GTEX-14JG1-0426-SM-6ETZZ 40-49 years, male 95.2
GTEX-12WSG-2826-SM-E9J4H 50-59 years, female 95.2
GTEX-1GPI7-0126-SM-9MQL8 20-29 years, male 95.2
GTEX-17F96-1626-SM-7DUFL 70-79 years, male 95.1
GTEX-SIU8-0126-SM-2XCDT 50-59 years, male 95.1
GTEX-ZWKS-0126-SM-5SIAA 30-39 years, male 95.0
GTEX-12ZZY-0226-SM-5LZVE 60-69 years, male 94.9
GTEX-1QP66-1726-SM-E8VO1 50-59 years, male 94.8
GTEX-1GN1W-0526-SM-9MQJQ 50-59 years, female 94.6
GTEX-16XZZ-0126-SM-793DV 60-69 years, male 94.5
GTEX-111VG-2426-SM-5GZXD 60-69 years, male 94.4
GTEX-P4PP-0126-SM-3LK69 30-39 years, female 94.4
GTEX-OIZG-0726-SM-33HBL 50-59 years, male 94.2
GTEX-1F5PK-2426-SM-7RHHY 50-59 years, male 94.2
GTEX-1JMQJ-0526-SM-CYPSU 50-59 years, male 94.2
GTEX-1IKOH-0226-SM-COH4E 60-69 years, female 94.1
GTEX-1JKYN-1326-SM-CGQG9 30-39 years, male 94.1
GTEX-1S82Y-2026-SM-EVYCM 40-49 years, male 94.1
GTEX-13OW7-0126-SM-5MR3B 50-59 years, male 93.9
GTEX-ZVT3-0126-SM-5GU6I 60-69 years, female 93.9
GTEX-1RB15-2126-SM-E9TIM 60-69 years, male 93.9
GTEX-1A32A-0126-SM-718B1 50-59 years, female 93.8
GTEX-QLQ7-1626-SM-2S1R8 60-69 years, male 93.8
GTEX-XQ8I-0426-SM-4BOPO 50-59 years, male 93.7
GTEX-11LCK-1026-SM-5A5KB 30-39 years, male 93.6
GTEX-1CAMQ-0226-SM-7IGPK 40-49 years, male 93.5
GTEX-1AYD5-2426-SM-73KXR 50-59 years, male 93.4
GTEX-XQ3S-1526-SM-4BOOC 20-29 years, male 93.4
GTEX-1F7RK-0126-SM-7PC2S 20-29 years, female 93.4
GTEX-1QPFJ-0226-SM-E76PB 30-39 years, female 93.4
GTEX-11VI4-1726-SM-5CVLH 40-49 years, female 93.3
GTEX-133LE-1826-SM-5J1MV 20-29 years, female 93.2
GTEX-ZZ64-1726-SM-5GZYB 20-29 years, male 93.1
GTEX-YFC4-0126-SM-5CVLY 40-49 years, female 93.0
GTEX-13O3O-0126-SM-E9J49 60-69 years, female 92.9
GTEX-1R7EV-2426-SM-EVYBG 40-49 years, male 92.7
GTEX-148VI-1626-SM-5SI6E 60-69 years, female 92.5
GTEX-17MFQ-1726-SM-793C7 20-29 years, male 92.4
GTEX-NPJ8-0126-SM-2YUNR 40-49 years, male 92.4
GTEX-1E1VI-0126-SM-7DHMZ 50-59 years, male 92.3
GTEX-13NZB-2526-SM-5J1OM 30-39 years, male 92.2
GTEX-15RIG-0226-SM-7KFTL 40-49 years, male 92.2
GTEX-ZU9S-0226-SM-5E441 30-39 years, male 92.1
GTEX-11EI6-0126-SM-5985R 60-69 years, male 91.9
GTEX-11GS4-2726-SM-5A5LE 60-69 years, male 91.6
GTEX-15SB6-1726-SM-6PAME 50-59 years, female 91.6
GTEX-1AX9K-2326-SM-73KWU 50-59 years, male 91.4
GTEX-1C6VR-2426-SM-79OLD 60-69 years, male 91.4
GTEX-131XW-0426-SM-5LZWP 50-59 years, female 91.3
GTEX-148VJ-0126-SM-5TDDN 70-79 years, male 91.3
GTEX-15UKP-0426-SM-7KUFQ 20-29 years, male 91.2
GTEX-ZUA1-0126-SM-5GU76 40-49 years, male 91.2
GTEX-11GSP-2526-SM-5N9BP 60-69 years, female 91.1
GTEX-14BMV-0126-SM-5S2PO 50-59 years, male 91.1
GTEX-1B8SF-1426-SM-7DUGL 60-69 years, male 91.1
GTEX-1HBPH-0426-SM-B2LW5 40-49 years, female 91.1
GTEX-1A3MX-0126-SM-731BR 60-69 years, male 91.0
GTEX-XV7Q-2526-SM-4BRV9 40-49 years, female 91.0
GTEX-1HCU8-0626-SM-A9SM9 60-69 years, female 91.0
GTEX-1A3MW-0126-SM-73KXX 60-69 years, female 90.8
GTEX-WFG8-2226-SM-3GIL9 20-29 years, male 90.8
GTEX-12ZZZ-0626-SM-5DUXI 60-69 years, male 90.7
GTEX-1C6VS-0526-SM-7DUEN 60-69 years, male 90.6
GTEX-11UD2-0226-SM-5EQKY 50-59 years, male 90.4
GTEX-1LH75-2426-SM-E9TJE 50-59 years, female 90.4
GTEX-1LGRB-2526-SM-CNPPQ 50-59 years, female 90.3
GTEX-ZDYS-2026-SM-5HL5L 50-59 years, male 90.1
GTEX-1H3NZ-0126-SM-ACKX7 60-69 years, male 90.1
GTEX-Y5V6-2426-SM-4VDSB 60-69 years, male 90.0
GTEX-X4XY-0226-SM-4E3IZ 60-69 years, male 89.9
GTEX-147F3-0526-SM-5SI98 50-59 years, female 89.8
GTEX-1N2DW-0226-SM-E9TK2 50-59 years, male 89.7
GTEX-117YX-2326-SM-5H12W 50-59 years, male 89.5
GTEX-T2IS-0126-SM-4DM6O 20-29 years, female 89.5
GTEX-R55G-2526-SM-2TC6D 40-49 years, female 89.4
GTEX-1RQEC-0426-SM-E6CHU 60-69 years, male 89.4
GTEX-1I19N-0326-SM-ACKVX 70-79 years, male 89.3
GTEX-Q2AG-0126-SM-33HBV 40-49 years, female 89.2
GTEX-ZVE2-0226-SM-59HJB 50-59 years, male 89.2
GTEX-13W3W-2426-SM-5LU5B 60-69 years, female 89.1
GTEX-117YW-2626-SM-5GZZH 50-59 years, male 89.0
GTEX-11DZ1-0126-SM-5985Q 50-59 years, male 89.0
GTEX-13S7M-0126-SM-5SI6A 60-69 years, female 89.0
GTEX-1B933-0126-SM-7PC29 50-59 years, female 88.9
GTEX-147F4-0226-SM-5QGPW 50-59 years, male 88.8
GTEX-1JMQK-0226-SM-CL543 60-69 years, male 88.8
GTEX-11P82-1626-SM-59879 20-29 years, male 88.7
GTEX-18D9B-0526-SM-7LTAS 60-69 years, male 88.7
GTEX-QV44-1926-SM-2S1RF 50-59 years, male 88.7
GTEX-11ZVC-2526-SM-5FQTE 50-59 years, female 88.6
GTEX-12WSL-2526-SM-5GCNJ 50-59 years, male 88.6
GTEX-1MCQQ-0826-SM-DLHC2 60-69 years, male 88.6
GTEX-14BIL-0126-SM-5SI92 50-59 years, male 88.5
GTEX-16XZY-2126-SM-79OK1 70-79 years, male 88.4
GTEX-1I1GU-2226-SM-CGQFA 40-49 years, male 88.4
GTEX-145MF-0626-SM-5LUAI 50-59 years, male 88.3
GTEX-1ICLZ-0126-SM-CKZPO 60-69 years, male 88.3
GTEX-14PN3-2426-SM-6LLHS 60-69 years, female 88.1
GTEX-1HSMO-0126-SM-CL547 60-69 years, male 88.0
GTEX-1NHNU-1026-SM-E9J2A 50-59 years, male 88.0
GTEX-R45C-0126-SM-EAZ2R 60-69 years, female 87.9
GTEX-O5YT-0126-SM-48TBW 20-29 years, male 87.8
GTEX-WYVS-2126-SM-3NMA3 40-49 years, female 87.8
GTEX-TSE9-0126-SM-3DB83 60-69 years, female 87.7
GTEX-131XF-5016-SM-7MGWE 60-69 years, male 87.7
GTEX-RVPV-0126-SM-EAZAW 60-69 years, male 87.6
GTEX-ZDTS-0126-SM-4WAY5 60-69 years, male 87.5
GTEX-13N1W-0126-SM-5K7VT 70-79 years, male 87.4
GTEX-1AYCT-2426-SM-7IGQ3 50-59 years, male 87.2
GTEX-13QJ3-0326-SM-5S2RA 50-59 years, male 87.1
GTEX-1R46S-0626-SM-E9J41 60-69 years, female 87.1
GTEX-13OVG-1926-SM-5L3DK 60-69 years, male 86.9
GTEX-17KNJ-2326-SM-7DHLQ 50-59 years, male 86.9
GTEX-1QP2A-0126-SM-E9J43 50-59 years, male 86.9
GTEX-OXRL-0126-SM-2YUMP 50-59 years, male 86.7
GTEX-14A5H-0426-SM-5QGQF 60-69 years, male 86.5
GTEX-PWO3-1526-SM-48TCM 60-69 years, female 86.3
GTEX-16BQI-0226-SM-7KUEX 30-39 years, female 86.2
GTEX-1GTWX-0126-SM-9YFLK 60-69 years, male 86.1
GTEX-1RDX4-0126-SM-E9J4P 50-59 years, female 85.9
GTEX-13OVH-0126-SM-5MR4B 70-79 years, male 85.8
GTEX-ZTSS-1926-SM-57WEW 40-49 years, male 85.8
GTEX-1J8Q3-1626-SM-CMKGC 60-69 years, male 85.8
GTEX-11H98-0126-SM-5EGHG 50-59 years, male 85.7
GTEX-139T8-0126-SM-5K7XZ 60-69 years, male 85.7
GTEX-1H1E6-1726-SM-ACKVK 30-39 years, male 85.7
GTEX-11EQ9-2426-SM-5HL5T 30-39 years, male 85.6
GTEX-13U4I-0126-SM-5LU38 40-49 years, female 85.6
GTEX-1QW4Y-1526-SM-EAZ3Z 30-39 years, male 85.6
GTEX-S32W-2126-SM-2XCB1 50-59 years, female 85.5
GTEX-1A8FM-0226-SM-7SB7Q 50-59 years, female 85.5
GTEX-1CAMS-0426-SM-7P8T2 40-49 years, female 85.5
GTEX-1212Z-2526-SM-5EGKP 60-69 years, male 85.4
GTEX-14PJ6-2126-SM-6EU1V 60-69 years, female 85.4
GTEX-13NYC-0326-SM-E9J4S 60-69 years, male 85.4
GTEX-1M5QR-1226-SM-EWROB 40-49 years, male 85.4
GTEX-13N2G-2626-SM-5J1OT 60-69 years, male 85.3
GTEX-146FQ-0126-SM-5NQA9 30-39 years, male 85.3
GTEX-U3ZM-1526-SM-3DB9D 40-49 years, male 85.3
GTEX-1C64O-0126-SM-7SB8P 60-69 years, male 85.2
GTEX-1IGQW-0126-SM-COH42 60-69 years, male 85.1
GTEX-1MCYP-1926-SM-E9J2R 20-29 years, female 85.0
GTEX-117XS-2726-SM-5N9BL 60-69 years, male 84.9
GTEX-XPVG-2626-SM-4B669 50-59 years, male 84.9
GTEX-1ICLY-0126-SM-D4P36 50-59 years, male 84.9
GTEX-1IDJU-2626-SM-CM2RT 60-69 years, female 84.9
GTEX-145LT-1726-SM-5QGP3 40-49 years, male 84.8
GTEX-Z93S-0126-SM-5HL7M 50-59 years, male 84.7
GTEX-ZEX8-2426-SM-4WKG4 50-59 years, male 84.7
GTEX-1CB4H-0226-SM-7PBXM 60-69 years, female 84.7
GTEX-1GF9U-2126-SM-7SB7L 40-49 years, female 84.7
GTEX-OIZF-0126-SM-7SB8I 60-69 years, male 84.7
GTEX-17HHE-2026-SM-79OKF 50-59 years, male 84.6
GTEX-1C2JI-1826-SM-73KXC 50-59 years, male 84.6
GTEX-13FTY-0526-SM-5L3EV 40-49 years, female 84.1
GTEX-1RAZQ-0726-SM-EAZ43 30-39 years, male 84.1
GTEX-144FL-0126-SM-5TDC8 50-59 years, male 83.9
GTEX-ZZPT-0226-SM-5E43X 50-59 years, male 83.9
GTEX-13CF3-2426-SM-5IFGX 60-69 years, female 83.6
GTEX-1EX96-1626-SM-7PBXR 50-59 years, male 83.5
GTEX-1I1GQ-0126-SM-COH3H 50-59 years, male 83.5
GTEX-14BIM-0226-SM-7IGLD 60-69 years, female 83.1
GTEX-14E6E-1826-SM-5S2R7 30-39 years, male 83.1
GTEX-U4B1-1826-SM-4DXSU 40-49 years, male 83.1
GTEX-PW2O-1526-SM-7RHHB 20-29 years, male 83.1
GTEX-13FH7-2026-SM-E9J4I 50-59 years, female 82.9
GTEX-ZPIC-1726-SM-DHXIU 40-49 years, female 82.9
GTEX-145LS-0126-SM-5QGP1 60-69 years, female 82.7
GTEX-1LNCM-1126-SM-E9U5E 50-59 years, female 82.7
GTEX-11NSD-2226-SM-5986V 20-29 years, male 82.5
GTEX-13N11-2526-SM-5K7UE 50-59 years, female 82.4
GTEX-1128S-2326-SM-5GZZY 60-69 years, female 82.3
GTEX-13OW8-1326-SM-5J1OW 60-69 years, male 82.3
GTEX-WZTO-0126-SM-3NM95 40-49 years, male 82.3
GTEX-1LG7Y-0526-SM-DKPQC 50-59 years, male 82.3
GTEX-1M4P7-0226-SM-DIPEV 60-69 years, male 82.3
GTEX-11ZUS-0626-SM-59885 30-39 years, male 82.0
GTEX-Y5LM-1926-SM-5RQJH 40-49 years, female 82.0
GTEX-1I1GT-0626-SM-CGQER 60-69 years, female 82.0
GTEX-1H1ZS-0426-SM-9WG6G 70-79 years, male 81.9
GTEX-1LC47-0326-SM-E9TJP 60-69 years, male 81.9
GTEX-15CHC-2126-SM-6EU21 60-69 years, female 81.7
GTEX-1C4CL-0526-SM-73KVK 30-39 years, male 81.7
GTEX-Y8LW-1826-SM-5S2MV 50-59 years, female 81.5
GTEX-16MT8-0426-SM-7KUEY 60-69 years, female 81.4
GTEX-VUSG-2526-SM-4KL1V 50-59 years, male 81.3
GTEX-14DAQ-0126-SM-5S2MQ 60-69 years, female 81.2
GTEX-XMD2-0126-SM-4YCDU 60-69 years, female 81.2
GTEX-1I1HK-0126-SM-COH49 60-69 years, male 81.2
GTEX-15DCD-0126-SM-7KUEK 70-79 years, female 81.1
GTEX-11GSO-2426-SM-5A5LY 60-69 years, male 81.0
GTEX-1HB9E-0226-SM-E9U4R 50-59 years, male 80.7
GTEX-1JKYR-0126-SM-CNPOJ 20-29 years, male 80.7
GTEX-13X6I-0626-SM-5QGP9 60-69 years, male 80.6
GTEX-1CB4J-0626-SM-7DHMP 60-69 years, male 80.6
GTEX-WVJS-0126-SM-4MVOT 50-59 years, male 80.6
GTEX-144GL-0126-SM-5TDE2 50-59 years, male 80.5
GTEX-14LZ3-0226-SM-62LET 60-69 years, female 80.5
GTEX-17HGU-0226-SM-7DHKV 50-59 years, male 80.1
GTEX-ZAB5-1826-SM-5HL7C 50-59 years, male 80.1
GTEX-169BO-1326-SM-9MQK2 50-59 years, male 79.9
GTEX-1EN7A-0126-SM-7SB81 40-49 years, male 79.9
GTEX-1F75I-0326-SM-9YFLU 40-49 years, male 79.9
GTEX-17MF6-0126-SM-7LG4F 40-49 years, male 79.7
GTEX-14753-0426-SM-5NQAM 60-69 years, male 79.5
GTEX-V1D1-2226-SM-3NMAX 50-59 years, male 79.5
GTEX-13NZA-0226-SM-5K7Z7 60-69 years, male 79.3
GTEX-1IDJH-0326-SM-A9SLQ 70-79 years, male 79.2
GTEX-1H1DE-2126-SM-9WG6R 20-29 years, male 78.7
GTEX-15SDE-2226-SM-7IGLO 50-59 years, female 78.6
GTEX-14JG6-2226-SM-6EU2G 30-39 years, female 78.5
GTEX-1I1GS-0126-SM-B2LVW 60-69 years, male 78.4
GTEX-ZXG5-0126-SM-5GIEU 60-69 years, male 78.3
GTEX-1AMEY-1326-SM-73KYK 30-39 years, female 78.1
GTEX-OXRO-0126-SM-2YUN4 60-69 years, female 77.9
GTEX-1PBJI-0526-SM-E8VNK 20-29 years, female 77.9
GTEX-11UD1-0126-SM-5PNYG 40-49 years, female 77.8
GTEX-1AMFI-2026-SM-731BH 50-59 years, female 77.8
GTEX-1AX8Z-0126-SM-7DHM6 60-69 years, male 77.8
GTEX-16NPX-0226-SM-79OMT 50-59 years, male 77.7
GTEX-1269C-2526-SM-5EGJ3 60-69 years, female 77.6
GTEX-1JJE9-0326-SM-CL53Z 70-79 years, male 77.5
GTEX-P44H-0226-SM-2XCEU 40-49 years, male 77.4
GTEX-1JMOU-1526-SM-CL54I 60-69 years, female 77.4
GTEX-1QEPI-0126-SM-EWRMQ 60-69 years, female 77.0
GTEX-1HKZK-0326-SM-9WYUH 40-49 years, male 76.9
GTEX-1HUB1-0426-SM-E9U4U 60-69 years, male 76.7
GTEX-1GPI6-0126-SM-9WG69 60-69 years, male 76.5
GTEX-13RTL-0126-SM-7LG5S 40-49 years, male 76.4
GTEX-1HCVE-0126-SM-CGQEU 50-59 years, male 76.4
GTEX-11ZU8-2526-SM-5EQKI 60-69 years, male 76.2
GTEX-R3RS-0126-SM-3GIJL 40-49 years, female 75.9
GTEX-1RLM8-2326-SM-EWRN4 50-59 years, male 75.9
GTEX-X62O-0126-SM-4E3JN 50-59 years, male 75.4
GTEX-14E7W-0126-SM-6LLJ9 70-79 years, male 75.2
GTEX-1J8Q2-0526-SM-CM2RW 60-69 years, male 75.1
GTEX-1O97I-0326-SM-EYYX7 60-69 years, male 75.1
GTEX-15D1Q-0126-SM-7KUG6 40-49 years, male 74.6
GTEX-U3ZN-2326-SM-3DB7W 30-39 years, female 74.6
GTEX-1R9PO-2126-SM-E9J4O 60-69 years, female 74.6
GTEX-QDT8-0126-SM-48TZ1 30-39 years, female 74.4
GTEX-13RTJ-2426-SM-5S2Q2 60-69 years, male 74.1
GTEX-147GR-0526-SM-5S2MY 60-69 years, male 74.0
GTEX-VJWN-0126-SM-3GIK7 50-59 years, female 73.8
GTEX-12WSC-0126-SM-5EQ4P 50-59 years, male 73.3
GTEX-1IDFM-0126-SM-COH2V 60-69 years, male 73.2
GTEX-13IVO-0126-SM-5J1NG 70-79 years, male 72.6
GTEX-11DXY-2626-SM-5GIE7 60-69 years, male 72.5
GTEX-13O3Q-2426-SM-5IJBR 50-59 years, male 71.9
GTEX-12WSA-0226-SM-5BC5V 60-69 years, male 71.6
GTEX-13FHO-0226-SM-5IFGY 60-69 years, male 71.5
GTEX-1OJC4-0126-SM-E9J2E 50-59 years, female 71.3
GTEX-QDVN-2026-SM-3GAEP 50-59 years, male 70.5
GTEX-14A6H-0126-SM-5QGPK 30-39 years, male 69.9
GTEX-RU72-0926-SM-2TF6B 50-59 years, female 69.7
GTEX-WOFL-0126-SM-3MJG2 60-69 years, male 68.7
GTEX-1192W-2626-SM-5Q5AF 60-69 years, male 68.4
GTEX-139T4-0226-SM-5HL5S 50-59 years, female 68.4
GTEX-11EMC-2926-SM-5EQ4F 60-69 years, female 68.3
GTEX-18A7B-0126-SM-7LG64 70-79 years, male 68.3
GTEX-14PHW-0126-SM-6LLJI 60-69 years, female 66.6
GTEX-1GN1V-0126-SM-9WPOS 60-69 years, male 66.0
GTEX-1C6VQ-0126-SM-7P8RI 50-59 years, male 65.4
GTEX-1QP29-0626-SM-EWRMX 50-59 years, male 65.4
GTEX-1I1GP-2226-SM-CGQFK 50-59 years, male 64.7
GTEX-ZYY3-0126-SM-5GZY5 60-69 years, female 63.9
Show allShow less

Contact

  • NEWS ARTICLES
  • PRESS ROOM

The Project

  • INTRODUCTION
  • ORGANIZATION
  • PUBLICATIONS

The Human Protein Atlas

  • DOWNLOADABLE DATA
  • LICENCE & CITATION
  • HELP & FAQ
The Human Protein Atlas project is funded
by the Knut & Alice Wallenberg Foundation.


contact@proteinatlas.org