We use cookies to enhance the usability of our website. If you continue, we'll assume that you are happy to receive all cookies. More information. Don't show this again.
SDC1
HPA
RESOURCES
  • TISSUE
  • BRAIN
  • SINGLE CELL
  • SUBCELLULAR
  • CANCER
  • BLOOD
  • CELL LINE
  • STRUCTURE & INTERACTION
ABOUT
  • INTRODUCTION
  • HISTORY
  • ORGANIZATION
  • PUBLICATIONS
  • ANTIBODY SUBMISSION
  • ANTIBODY AVAILABILITY
  • ACKNOWLEDGMENTS
  • CONTACT
NEWS
  • NEWS ARTICLES
  • PRESS ROOM
LEARN
  • DICTIONARY
  • PROTEIN CLASSES
  • PROTEIN EVIDENCE
  • METHODS
  • EDUCATIONAL VIDEOS
DATA
  • DOWNLOADABLE DATA
  • PUBLICATION DATA
  • RELEASE HISTORY
HELP
  • ANTIBODY VALIDATION
  • ASSAYS & ANNOTATION
  • DISCLAIMER
  • HELP & FAQ
  • PRIVACY STATEMENT
  • LICENCE & CITATION
Fields »
Search result

Field
Term
Gene name
Class
Subclass
Class
Keyword
Chromosome
External id
Tissue
Cell type
Expression
Antibody panel
Tissue
Main location
Patient ID
Annotation
Tissue
Category
Tau score
Cluster
Reliability
Brain region
Category
Tau score
Brain region
Category
Tau score
Brain region
Category
Tau score
Cluster
Reliability
Tissue
Cell type
Enrichment
Cell type
Category
Tau score
Cell type
Category
Tau score
Cell type
Category
Tau score
Cell lineage
Category
Tau score
Cluster
Cluster
Location
Searches
Location
Cell line
Class
Type
Phase
Reliability
Cancer
Prognosis
Cancer
Category
Cancer
Category
Tau score
Cluster
Variants
Interacting gene (ensg_id)
Type
Number of interactions
Pathway
Category
Score
Score
Score
Validation
Validation
Validation
Validation
Antibodies
Data type
Column


  • SUMMARY

  • TISSUE

  • BRAIN

  • SINGLE CELL

  • SUBCELL

  • CANCER

  • BLOOD

  • CELL LINE

  • STRUCT & INT

  • SDC1
TISSUE PRIMARY DATA COLON Show tissue menu
ADIPOSE TISSUE ADRENAL GLAND AMYGDALA APPENDIX BASAL GANGLIA BONE MARROW BREAST BRONCHUS CEREBELLUM CEREBRAL CORTEX CERVIX CHOROID PLEXUS COLON DUODENUM
ENDOMETRIUM EPIDIDYMIS ESOPHAGUS FALLOPIAN TUBE GALLBLADDER HEART MUSCLE HIPPOCAMPAL FORMATION HYPOTHALAMUS KIDNEY LIVER LUNG LYMPH NODE MIDBRAIN NASOPHARYNX
ORAL MUCOSA OVARY PANCREAS PARATHYROID GLAND PITUITARY GLAND PLACENTA PROSTATE RECTUM RETINA SALIVARY GLAND SEMINAL VESICLE SKELETAL MUSCLE SKIN SMALL INTESTINE
SMOOTH MUSCLE SOFT TISSUE SPINAL CORD SPLEEN STOMACH TESTIS THYMUS THYROID GLAND TONGUE TONSIL URINARY BLADDER VAGINA
ANTIBODIES
AND
VALIDATION
Dictionary
Colon
Tissue proteome
Intestine
COLON - Expression summary
Protein expression
Coloni

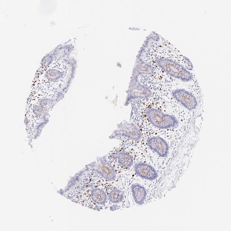
On the top, protein expression in current human tissue, based on all annotated cell types, is reported with the units not detected (n), low (l), medium (m) and high (h). Underneath, protein expression in each annotated cell type are reported using the same units.

Protein expression data is based on knowledge-based annotation. For genes where more than one antibody has been used, a collective score is set.

If knowledge-based annotation could not be performed for a gene, no data is displayed here. View antibody staining data further down this page.

h
m
l
n
Endothelial cells: Not detected
Glandular cells: High
Peripheral nerve/ganglion: Not detected
RNA expressioni

A summary of mRNA expression data available for current tissue based on several datasets. The mRNA expression levels in human tissues are based on RNA-seq data generated by the Human Protein Atlas (HPA), Genotype-Tissue Expression (GTEx) portal and CAGE data generated by the FANTOM5 consortium. Consensus normalized expression levels for human tissues was created by combining the data from HPA and GTEx datasets.

The mRNA expression levels in pig are based on RNA-seq data generated by the Human Protein Atlas (HPA), and for mouse, HPA data and in situ hybridization generated by the Allen brain atlas are reported.

Scroll down to view mRNA expression data in more detail.
Consensus:59.7 nTPM
HPA:59.7 nTPM
GTEx:44.3 nTPM
FANTOM5:118.4 Scaled Tags Per Million

COLON - Antibody stainingi

Antibody staining in the annotated cell types in the current human tissue is reported as not detected, low, medium, or high, based on conventional immunohistochemistry profiling in selected tissues. This score is based on the combination of the staining intensity and fraction of stained cells.

Each image is clickable and will lead to virtual microscopy that enables deeper exploration of all samples and also displays staining intensity scores, fraction scores and subcellular localization as well as patient and tissue information for each sample.

Antibody HPA006185Antibody HPA067477Antibody CAB002424
Endothelial cells Not detectedNot detectedNot detected
Glandular cells HighHighMedium
Peripheral nerve/ganglion Not detected-Not detected







COLON - HPA RNA-seqi

The RNA-seq details section shows detailed information about the individual samples used for the transcript profiling and results of the RNA-seq analysis.

Information about each individual sample is listed below, including gender, age, a tissue section image and estimated fractions of cell types. nTPM (normalized transcripts per million) values give a quantification of the gene abundance which is comparable between different genes and samples.
Average nTPMi

Max subtype nTPM is the value for the subtype with the largest average nTPM across the subtype samples.

59.7
overview
Male, age 54
Colon sample 67
nTPM: 94.6
Cell types%
Glandular cells:
65

Smooth muscle cells:
10

Other cell types:
25

overview
Female, age 57
Colon sample 68
nTPM: 66.6
Cell types%
Glandular cells:
40

Smooth muscle cells:
5

Other cell types:
55

overview
Male, age 80
Colon sample 69
nTPM: 97
Cell types%
Glandular cells:
55

Smooth muscle cells:
5

Other cell types:
40

overview
Male, age 68
Colon sample 70
nTPM: 70.1
Cell types%
Glandular cells:
35

Smooth muscle cells:
10

Other cell types:
55

overview
Female, age 68
Colon sample 76
nTPM: 93.9
Cell types%
Glandular cells:
25

Smooth muscle cells:
5

Other cell types:
70

overview
Female, age 61
Colon sample 299
nTPM: 25
Cell types%
Glandular cells:
5

Smooth muscle cells:
65

Other cell types:
30

overview
Male, age 80
Colon sample 300
nTPM: 31.3
Cell types%
Glandular cells:
15

Smooth muscle cells:
20

Other cell types:
65

overview
Female, age 78
Colon sample 368
nTPM: 47.8
Cell types%
Glandular cells:
45

Smooth muscle cells:
5

Other cell types:
50

overview
Male, age 84
Colon sample 381
nTPM: 33.2
Cell types%
Glandular cells:
50

Smooth muscle cells:
15

Other cell types:
35

overview
Male, age 80
Colon sample 384
nTPM: 71.8
Cell types%
Glandular cells:
20

Smooth muscle cells:
35

Other cell types:
45

overview
Female, age 78
Colon sample 389
nTPM: 42.7
Cell types%
Glandular cells:
35

Smooth muscle cells:
10

Other cell types:
55

overview
Female, age 69
Colon sample 391
nTPM: 46.2
Cell types%
Glandular cells:
10

Smooth muscle cells:
45

Other cell types:
45

overview
Female, age 72
Colon sample 403
nTPM: 56.3
Cell types%
Glandular cells:
20

Smooth muscle cells:
15

Other cell types:
65


COLON - GTEx RNA-seqi

RNA-Seq data generated by the Genotype-Tissue Expression (GTEx) project from human tissues is reported as mean nTPM. More information can be found on the GTEx portal.

Distribution across the dataset is visualized with box plots, shown as median and 25th and 75th percentiles. Points are displayed as outliers if they are above or below 1.5 times the interquartile range. nTPM values of the individual samples are presented next to the box plot.
Max subtype nTPMi

Max subtype nTPM is the value for the subtype with the largest average nTPM across the subtype samples.

44.3
GTEx sample id Sample description nTPM
Colon - Sigmoid
Average nTPM: 4.2
Samples: 373

Max nTPM: 89.0
Min nTPM: 0.0
Std nTPM: 13.6
Median nTPM: 0.5
GTEX-VJYA-2126-SM-4KL1O 60-69 years, male 89.0
GTEX-Y5V6-1626-SM-4VDT2 60-69 years, male 83.6
GTEX-WOFM-1926-SM-4OOSP 20-29 years, male 81.9
GTEX-ZQUD-1026-SM-4YCEZ 30-39 years, male 81.1
GTEX-X5EB-1126-SM-46MVV 40-49 years, male 80.7
GTEX-1AMEY-1826-SM-72D5L 30-39 years, female 73.1
GTEX-W5WG-2026-SM-4LMIB 50-59 years, female 72.6
GTEX-WH7G-1426-SM-4LVMU 40-49 years, male 72.4
GTEX-13W3W-2226-SM-5LU4M 60-69 years, female 60.4
GTEX-1OJC3-1826-SM-DTX93 20-29 years, male 57.2
GTEX-WYJK-2326-SM-4ONDN 50-59 years, male 55.3
GTEX-13113-1426-SM-5EGHU 60-69 years, female 53.1
GTEX-15FZZ-1826-SM-6LLJP 30-39 years, female 50.7
GTEX-1PFEY-1726-SM-DPRZ4 30-39 years, male 42.6
GTEX-Y8E4-2326-SM-EAZAZ 40-49 years, male 41.0
GTEX-1C64O-2426-SM-7P8R3 60-69 years, male 36.3
GTEX-11VI4-1426-SM-5GU6O 40-49 years, female 34.5
GTEX-WQUQ-2626-SM-4MVNP 60-69 years, male 26.1
GTEX-Y8LW-1126-SM-4VDS4 50-59 years, female 25.6
GTEX-WRHK-1126-SM-4MVOJ 20-29 years, female 18.8
GTEX-1PPH8-2226-SM-EWRN7 20-29 years, male 16.9
GTEX-ZF29-1826-SM-4WKG8 60-69 years, female 15.8
GTEX-14A5H-1626-SM-5SIAN 60-69 years, male 14.3
GTEX-Y5LM-1426-SM-5RQJL 40-49 years, female 13.6
GTEX-XBED-1726-SM-47JYO 60-69 years, male 13.5
GTEX-YJ8A-1726-SM-5P9IQ 20-29 years, male 12.4
GTEX-ZYFD-2226-SM-5E43P 50-59 years, male 12.4
GTEX-V955-1726-SM-4JBHF 60-69 years, male 10.9
GTEX-1C475-1526-SM-7DHM3 40-49 years, female 7.9
GTEX-1I6K6-1926-SM-A96SN 30-39 years, male 7.7
GTEX-14PKV-1926-SM-686YU 20-29 years, female 7.3
GTEX-11EQ9-1526-SM-5PNY7 30-39 years, male 7.1
GTEX-1H23P-2626-SM-9KNVN 60-69 years, male 6.4
GTEX-14BIN-2426-SM-5TDCF 50-59 years, female 6.3
GTEX-1HB9E-2526-SM-D4P35 50-59 years, male 6.0
GTEX-YEC3-2026-SM-DKPOL 50-59 years, male 5.9
GTEX-1A3MV-1026-SM-72D5U 30-39 years, male 5.5
GTEX-1HBPI-2226-SM-9WYTY 50-59 years, male 5.4
GTEX-17GQL-1626-SM-7LG69 60-69 years, male 5.3
GTEX-15ER7-2826-SM-6PAN2 20-29 years, female 5.2
GTEX-1HBPN-2026-SM-B2LWA 50-59 years, male 5.1
GTEX-1PIEJ-1826-SM-EWRMN 20-29 years, female 4.7
GTEX-15F5U-1426-SM-7KUN2 40-49 years, male 3.7
GTEX-146FH-2426-SM-5Q5EW 50-59 years, female 3.6
GTEX-XAJ8-0726-SM-47JY5 40-49 years, male 3.5
GTEX-11ONC-1926-SM-5GU75 60-69 years, male 3.3
GTEX-ZDTS-2726-SM-5L3E2 60-69 years, male 3.3
GTEX-ZF2S-1826-SM-4WKFF 50-59 years, female 3.2
GTEX-1I1GP-2826-SM-A9SKZ 50-59 years, male 3.1
GTEX-1H1DE-1626-SM-9KNU5 20-29 years, male 3.0
GTEX-1N2EF-1726-SM-EXUSI 60-69 years, male 2.7
GTEX-ZE9C-2126-SM-4WKGY 60-69 years, male 2.5
GTEX-15DZA-1026-SM-6PAND 30-39 years, female 2.4
GTEX-1PBJJ-2026-SM-DTX8U 30-39 years, male 2.4
GTEX-1R7EU-1826-SM-DTX9L 60-69 years, male 2.4
GTEX-WHSE-2726-SM-EZ6ML 20-29 years, male 2.4
GTEX-1S82P-2026-SM-E9TIQ 60-69 years, female 2.3
GTEX-16BQI-2026-SM-7KULQ 30-39 years, female 2.2
GTEX-WFG8-1726-SM-4LVM6 20-29 years, male 2.2
GTEX-ZY6K-1326-SM-5GZWP 50-59 years, male 2.1
GTEX-11P7K-1826-SM-5HL5A 30-39 years, male 2.0
GTEX-ZPCL-1626-SM-57WGC 60-69 years, female 2.0
GTEX-1GF9X-1426-SM-7RHGX 40-49 years, female 2.0
GTEX-139UW-2326-SM-5KM1Y 60-69 years, male 1.9
GTEX-ZG7Y-1826-SM-4WWD3 50-59 years, male 1.9
GTEX-1QP29-2526-SM-E6CQ3 50-59 years, male 1.9
GTEX-11TUW-2326-SM-5EQMO 60-69 years, male 1.8
GTEX-1CAMR-1026-SM-7P8QI 20-29 years, male 1.8
GTEX-12WSJ-1426-SM-5GCON 40-49 years, female 1.7
GTEX-1LB8K-2526-SM-DIPEQ 50-59 years, male 1.7
GTEX-14E6C-2226-SM-5QGQG 40-49 years, male 1.6
GTEX-ZAB4-2426-SM-5HL8A 40-49 years, male 1.6
GTEX-144GM-1126-SM-79OJK 20-29 years, male 1.5
GTEX-14PJ4-1826-SM-5YY97 60-69 years, male 1.5
GTEX-ZC5H-2426-SM-4WAZ6 40-49 years, female 1.5
GTEX-ZTTD-2626-SM-57WEX 50-59 years, male 1.5
GTEX-ZYY3-2226-SM-5E45A 60-69 years, female 1.5
GTEX-13N2G-2226-SM-5IJCU 60-69 years, male 1.4
GTEX-1AYCT-1926-SM-793AE 50-59 years, male 1.4
GTEX-1HBPH-2526-SM-ACKXK 40-49 years, female 1.4
GTEX-1JMQK-2326-SM-ARZN4 60-69 years, male 1.4
GTEX-1212Z-1826-SM-5FQSH 60-69 years, male 1.3
GTEX-12WSM-1426-SM-5GCPA 60-69 years, male 1.3
GTEX-ZQG8-2426-SM-57WEE 60-69 years, female 1.3
GTEX-ZVZQ-2626-SM-59HLB 60-69 years, female 1.3
GTEX-1RDX4-1926-SM-E6CJJ 50-59 years, female 1.3
GTEX-132AR-2826-SM-5IJFV 50-59 years, female 1.2
GTEX-13CF2-1826-SM-5N9GK 60-69 years, male 1.2
GTEX-1H3VY-2526-SM-9KNW1 50-59 years, male 1.2
GTEX-1J1R8-1426-SM-CL55O 40-49 years, male 1.2
GTEX-13PVQ-2726-SM-5L3H7 50-59 years, male 1.1
GTEX-14PN3-1926-SM-6EU1Y 60-69 years, female 1.1
GTEX-183WM-2526-SM-731BP 70-79 years, female 1.1
GTEX-WFON-1326-SM-4LVMN 40-49 years, male 1.1
GTEX-1JN6P-2126-SM-ARL98 60-69 years, male 1.1
GTEX-1QCLY-2026-SM-EVR4C 30-39 years, male 1.1
GTEX-1QPFJ-2426-SM-EVR3L 30-39 years, female 1.1
GTEX-1R9JW-2126-SM-E76QT 30-39 years, female 1.1
GTEX-1RLM8-1726-SM-E9TKF 50-59 years, male 1.1
GTEX-13O61-1526-SM-5KM3P 60-69 years, male 1.0
GTEX-148VJ-2426-SM-5NQ9Y 70-79 years, male 1.0
GTEX-14PJ3-1226-SM-5ZZVY 50-59 years, male 1.0
GTEX-15RIE-2026-SM-7KFRW 60-69 years, male 1.0
GTEX-15RIF-1426-SM-7KUKQ 20-29 years, male 1.0
GTEX-17EUY-1726-SM-79OK4 20-29 years, male 1.0
GTEX-18A6Q-2226-SM-7LG61 60-69 years, male 1.0
GTEX-1EMGI-2626-SM-7IGNR 60-69 years, male 1.0
GTEX-1LG7Z-1326-SM-DIPF3 30-39 years, male 1.0
GTEX-1LSVX-2026-SM-E9TJD 60-69 years, male 1.0
GTEX-11PRG-2026-SM-5GU5F 50-59 years, male 0.9
GTEX-11ZTS-1526-SM-5N9G7 60-69 years, female 0.9
GTEX-11ZU8-1126-SM-5EQ5K 60-69 years, male 0.9
GTEX-12WSL-1826-SM-5LZW9 50-59 years, male 0.9
GTEX-14C39-1626-SM-5S2P4 40-49 years, male 0.9
GTEX-15RJ7-1726-SM-6PAL3 40-49 years, male 0.9
GTEX-XUW1-1826-SM-4BOQD 50-59 years, female 0.9
GTEX-ZA64-1426-SM-5CVMC 20-29 years, male 0.9
GTEX-ZZ64-0826-SM-5E449 20-29 years, male 0.9
GTEX-1EU9M-2726-SM-7P8QD 60-69 years, male 0.9
GTEX-1LVAN-2626-SM-CNPQF 50-59 years, female 0.9
GTEX-1PBJI-2526-SM-E6CP4 20-29 years, female 0.9
GTEX-11EM3-1626-SM-5N9CO 20-29 years, female 0.8
GTEX-11GS4-1826-SM-5HL4T 60-69 years, male 0.8
GTEX-1399U-2226-SM-5KLZI 50-59 years, female 0.8
GTEX-13D11-0626-SM-5LZYY 50-59 years, female 0.8
GTEX-13O1R-2426-SM-5KLZZ 60-69 years, male 0.8
GTEX-13OVJ-1826-SM-5KM2D 50-59 years, female 0.8
GTEX-13OW8-2726-SM-5L3FZ 60-69 years, male 0.8
GTEX-13X6J-2826-SM-7EPGA 50-59 years, male 0.8
GTEX-145LS-2926-SM-5O99G 60-69 years, female 0.8
GTEX-18A66-2626-SM-72D67 60-69 years, male 0.8
GTEX-1B97I-1526-SM-73KUK 40-49 years, male 0.8
GTEX-1CB4F-1926-SM-7MKFN 60-69 years, male 0.8
GTEX-1CB4G-2726-SM-79OO4 60-69 years, male 0.8
GTEX-WHPG-1626-SM-4M1ZL 50-59 years, male 0.8
GTEX-WI4N-2226-SM-4OOS9 40-49 years, female 0.8
GTEX-YF7O-1626-SM-5IFII 50-59 years, male 0.8
GTEX-1CAMS-2626-SM-7PBY3 40-49 years, female 0.8
GTEX-1H1ZS-2626-SM-9QEIX 70-79 years, male 0.8
GTEX-1LSNL-1626-SM-E9TJY 50-59 years, male 0.8
GTEX-1LVAO-2826-SM-E9TJH 60-69 years, male 0.8
GTEX-1MGNQ-2126-SM-EV7AC 40-49 years, male 0.8
GTEX-1PIIG-2126-SM-EXUSD 30-39 years, male 0.8
GTEX-1S5ZA-1426-SM-E6CJQ 20-29 years, male 0.8
GTEX-1122O-1426-SM-5H11R 60-69 years, female 0.7
GTEX-117XS-2226-SM-5GIE1 60-69 years, male 0.7
GTEX-117YX-0526-SM-5EGJH 50-59 years, male 0.7
GTEX-11DXY-2026-SM-5N9CZ 60-69 years, male 0.7
GTEX-1399R-2126-SM-5K7WZ 30-39 years, male 0.7
GTEX-13FTW-2126-SM-5K7YG 40-49 years, male 0.7
GTEX-14BMU-1326-SM-5RQIH 20-29 years, female 0.7
GTEX-17HHE-1626-SM-7DHLN 50-59 years, male 0.7
GTEX-17KNJ-1826-SM-7LT9N 50-59 years, male 0.7
GTEX-1B8KE-1526-SM-7DUG2 50-59 years, male 0.7
GTEX-YFCO-1526-SM-5YYB8 40-49 years, male 0.7
GTEX-ZF28-2526-SM-57WFH 60-69 years, male 0.7
GTEX-ZPIC-2626-SM-57WE2 40-49 years, female 0.7
GTEX-1C64N-2226-SM-7SB7C 50-59 years, male 0.7
GTEX-1F5PK-1726-SM-7RHHW 50-59 years, male 0.7
GTEX-1F5PL-1926-SM-7MXTP 40-49 years, female 0.7
GTEX-1GPI7-1926-SM-9KNUH 20-29 years, male 0.7
GTEX-1HSMO-2526-SM-A9SKP 60-69 years, male 0.7
GTEX-1HSMQ-2526-SM-A9SMK 50-59 years, male 0.7
GTEX-1I1CD-2826-SM-A9SL4 60-69 years, female 0.7
GTEX-1JKYR-2026-SM-CNPON 20-29 years, male 0.7
GTEX-1N2DV-1826-SM-E6CJ5 40-49 years, male 0.7
GTEX-111CU-1226-SM-5EGIN 50-59 years, male 0.6
GTEX-12KS4-2326-SM-5EGJB 30-39 years, male 0.6
GTEX-12WSG-2426-SM-5EQLZ 50-59 years, female 0.6
GTEX-12ZZW-2426-SM-5DUWE 50-59 years, male 0.6
GTEX-13111-1926-SM-5GCOL 50-59 years, male 0.6
GTEX-1477Z-2126-SM-5Q5CM 60-69 years, male 0.6
GTEX-14A5I-2426-SM-5Q5CP 50-59 years, female 0.6
GTEX-14AS3-1026-SM-5TDD7 40-49 years, female 0.6
GTEX-16Z82-2426-SM-7KUMS 60-69 years, male 0.6
GTEX-17MFQ-1226-SM-7KFSA 20-29 years, male 0.6
GTEX-1B8L1-1926-SM-7IGND 60-69 years, male 0.6
GTEX-1B996-2726-SM-7DUGG 60-69 years, male 0.6
GTEX-Z93S-2626-SM-57WBX 50-59 years, male 0.6
GTEX-ZT9W-1726-SM-51MS3 50-59 years, male 0.6
GTEX-ZYFG-1826-SM-5GZWX 60-69 years, female 0.6
GTEX-1IL2U-2526-SM-C1YQV 60-69 years, male 0.6
GTEX-1K9T9-2926-SM-E9TKD 50-59 years, female 0.6
GTEX-1PIGE-1526-SM-DTXFC 20-29 years, male 0.6
GTEX-1QP2A-2226-SM-DTXF6 50-59 years, male 0.6
GTEX-11EI6-2626-SM-5PNVT 60-69 years, male 0.5
GTEX-1211K-1826-SM-5EGJ2 60-69 years, female 0.5
GTEX-12WSD-2626-SM-5EGJE 60-69 years, female 0.5
GTEX-13G51-2126-SM-5IJD9 60-69 years, male 0.5
GTEX-13OW6-2226-SM-5N9FL 50-59 years, male 0.5
GTEX-13U4I-2626-SM-5SI9C 40-49 years, female 0.5
GTEX-13X6I-2726-SM-5Q5ET 60-69 years, male 0.5
GTEX-147JS-2626-SM-5S2UX 60-69 years, male 0.5
GTEX-14PK6-1826-SM-69LOM 70-79 years, female 0.5
GTEX-15UF7-1326-SM-7KUKV 40-49 years, male 0.5
GTEX-16MTA-1626-SM-6M47N 50-59 years, male 0.5
GTEX-1B932-2126-SM-7IGMU 40-49 years, female 0.5
GTEX-1C2JI-1726-SM-73KUW 50-59 years, male 0.5
GTEX-1C6VQ-2626-SM-7IGMQ 50-59 years, male 0.5
GTEX-WHWD-1526-SM-4OORV 50-59 years, male 0.5
GTEX-WXYG-1726-SM-4ONCU 50-59 years, female 0.5
GTEX-X4EO-2726-SM-4E3HS 60-69 years, female 0.5
GTEX-1GMRU-2626-SM-9WPPM 50-59 years, male 0.5
GTEX-1H1E6-1826-SM-A9G21 30-39 years, male 0.5
GTEX-1HCU6-2926-SM-B2LWV 60-69 years, female 0.5
GTEX-1HCVE-2326-SM-9WYUD 50-59 years, male 0.5
GTEX-1HSKV-2326-SM-A9SL9 60-69 years, male 0.5
GTEX-1ICG6-2226-SM-B2LY7 70-79 years, female 0.5
GTEX-1IDJH-2826-SM-CJI49 70-79 years, male 0.5
GTEX-1J1OQ-2826-SM-D3L88 40-49 years, female 0.5
GTEX-1JMQJ-2626-SM-CY8HQ 50-59 years, male 0.5
GTEX-1LKK1-2426-SM-DIPES 50-59 years, female 0.5
GTEX-111YS-1826-SM-5GIEP 60-69 years, male 0.4
GTEX-11EMC-1426-SM-5N9E4 60-69 years, female 0.4
GTEX-11EQ8-2626-SM-5N9BO 60-69 years, male 0.4
GTEX-11TT1-0926-SM-5GU5M 20-29 years, male 0.4
GTEX-11ZTT-1626-SM-5EQKR 60-69 years, female 0.4
GTEX-12696-1926-SM-5EGJT 60-69 years, male 0.4
GTEX-12ZZY-2726-SM-5EQ45 60-69 years, male 0.4
GTEX-131YS-2926-SM-5EGKI 60-69 years, female 0.4
GTEX-139T6-1426-SM-5P9J7 50-59 years, male 0.4
GTEX-139TS-2226-SM-5J2N1 60-69 years, male 0.4
GTEX-13CF3-1326-SM-5LZXZ 60-69 years, female 0.4
GTEX-13FH7-1626-SM-5J2O9 50-59 years, female 0.4
GTEX-13FHO-2726-SM-5K7VG 60-69 years, male 0.4
GTEX-13OVK-1026-SM-7KFTC 40-49 years, male 0.4
GTEX-13SLW-2826-SM-5Q5ES 70-79 years, male 0.4
GTEX-145ME-1126-SM-5SIAT 40-49 years, female 0.4
GTEX-145MO-2626-SM-5QGPD 60-69 years, male 0.4
GTEX-14DAQ-2926-SM-664MV 60-69 years, female 0.4
GTEX-15DYW-2426-SM-7KUG8 60-69 years, female 0.4
GTEX-15ETS-2326-SM-7KUGC 40-49 years, female 0.4
GTEX-15UF6-2726-SM-7KULY 70-79 years, female 0.4
GTEX-17HG3-1126-SM-7DUFC 30-39 years, female 0.4
GTEX-17HGU-2626-SM-79OKN 50-59 years, male 0.4
GTEX-1E2YA-2526-SM-7IGOU 50-59 years, male 0.4
GTEX-XQ8I-2326-SM-4BOQC 50-59 years, male 0.4
GTEX-XXEK-1826-SM-4BRVC 50-59 years, male 0.4
GTEX-Y114-1626-SM-4TT7I 50-59 years, female 0.4
GTEX-YECK-2826-SM-5IFHF 60-69 years, male 0.4
GTEX-ZPU1-1726-SM-4WWFV 40-49 years, male 0.4
GTEX-ZV6S-1126-SM-57WE9 40-49 years, female 0.4
GTEX-ZVT2-1726-SM-51MRO 50-59 years, female 0.4
GTEX-ZVT3-2826-SM-5GU6A 60-69 years, female 0.4
GTEX-ZVT4-2626-SM-5N9GJ 50-59 years, female 0.4
GTEX-1F75W-2126-SM-7RHIA 60-69 years, male 0.4
GTEX-1JMLX-2526-SM-CY8HX 50-59 years, male 0.4
GTEX-1KXAM-1926-SM-D3LAG 60-69 years, male 0.4
GTEX-1LG7Y-2226-SM-E9U5K 50-59 years, male 0.4
GTEX-1QP9N-0826-SM-DTX9O 30-39 years, male 0.4
GTEX-1RAZR-2026-SM-E9TKE 40-49 years, male 0.4
GTEX-11DXZ-1626-SM-5GIDI 50-59 years, male 0.3
GTEX-12BJ1-2026-SM-5FQUH 60-69 years, male 0.3
GTEX-12ZZX-2726-SM-5N9FT 40-49 years, female 0.3
GTEX-131XE-1026-SM-5EGKE 50-59 years, male 0.3
GTEX-131XG-1526-SM-5GCNQ 50-59 years, female 0.3
GTEX-13X6K-2726-SM-5O9DG 60-69 years, female 0.3
GTEX-145LT-0826-SM-5S2QL 40-49 years, male 0.3
GTEX-147GR-2826-SM-5RQK8 60-69 years, male 0.3
GTEX-14C5O-2626-SM-5RQI5 60-69 years, male 0.3
GTEX-15CHQ-2626-SM-686YZ 60-69 years, male 0.3
GTEX-16NGA-0926-SM-718AG 40-49 years, female 0.3
GTEX-16XZZ-2726-SM-7EWDO 60-69 years, male 0.3
GTEX-183FY-1426-SM-7DHLM 20-29 years, male 0.3
GTEX-18465-2726-SM-7LT9I 50-59 years, male 0.3
GTEX-18D9A-1326-SM-7LT8P 30-39 years, female 0.3
GTEX-18QFQ-1726-SM-731C9 30-39 years, male 0.3
GTEX-1BAJH-2726-SM-7IGNJ 70-79 years, male 0.3
GTEX-1C4CL-1626-SM-7DUF3 30-39 years, male 0.3
GTEX-WYVS-1126-SM-4SOJX 40-49 years, female 0.3
GTEX-X15G-1526-SM-4PQZM 50-59 years, female 0.3
GTEX-XUZC-1526-SM-4BRV4 30-39 years, female 0.3
GTEX-Y3I4-1126-SM-4TT7Y 50-59 years, male 0.3
GTEX-Y9LG-1326-SM-4VBQB 30-39 years, male 0.3
GTEX-ZAJG-2626-SM-5S2NU 50-59 years, female 0.3
GTEX-ZE7O-2626-SM-51MSS 50-59 years, female 0.3
GTEX-ZLFU-1426-SM-4WWEU 40-49 years, male 0.3
GTEX-ZTSS-1226-SM-51MSZ 40-49 years, male 0.3
GTEX-ZXES-1726-SM-5E43G 30-39 years, female 0.3
GTEX-ZYT6-2826-SM-5GICX 30-39 years, male 0.3
GTEX-15G1A-1926-SM-7KUFF 30-39 years, male 0.3
GTEX-1GL5R-1726-SM-9KNUX 50-59 years, male 0.3
GTEX-1GMR3-2526-SM-7P8QS 40-49 years, male 0.3
GTEX-1GMR8-2926-SM-9KNW5 50-59 years, female 0.3
GTEX-1GTWX-2626-SM-9WPOT 60-69 years, male 0.3
GTEX-1H3NZ-2526-SM-9KNVO 60-69 years, male 0.3
GTEX-1H3VE-2326-SM-9KNVU 40-49 years, male 0.3
GTEX-1HCUA-1926-SM-B2LWE 50-59 years, female 0.3
GTEX-1IDJI-2226-SM-CKZPM 50-59 years, female 0.3
GTEX-1J8QM-1226-SM-CY8HI 60-69 years, female 0.3
GTEX-1JN76-1326-SM-ARU94 20-29 years, female 0.3
GTEX-1L5NE-1926-SM-D3L9R 50-59 years, male 0.3
GTEX-1LSNM-1426-SM-E6CIH 50-59 years, male 0.3
GTEX-1LVAM-1726-SM-DHXKQ 50-59 years, female 0.3
GTEX-1OFPY-1226-SM-E76OM 60-69 years, male 0.3
GTEX-1QW4Y-1426-SM-E76P3 30-39 years, male 0.3
GTEX-1RQEC-2626-SM-EVR3Z 60-69 years, male 0.3
GTEX-11I78-1326-SM-5PNY9 50-59 years, female 0.2
GTEX-132NY-2726-SM-5PNY2 60-69 years, male 0.2
GTEX-1339X-1726-SM-5P9J9 40-49 years, male 0.2
GTEX-139D8-2926-SM-5IJBM 30-39 years, female 0.2
GTEX-13OVI-2126-SM-5KM3U 60-69 years, female 0.2
GTEX-13PL7-2426-SM-5J2N3 60-69 years, female 0.2
GTEX-13PVR-1726-SM-5Q5EC 60-69 years, female 0.2
GTEX-13QBU-2026-SM-5KLZB 40-49 years, female 0.2
GTEX-13RTJ-1926-SM-5YYA2 60-69 years, male 0.2
GTEX-13VXT-2026-SM-5L3EW 20-29 years, female 0.2
GTEX-145MH-2726-SM-5QGQ6 50-59 years, male 0.2
GTEX-14JG6-1626-SM-5YYBC 30-39 years, female 0.2
GTEX-14PHX-1126-SM-5YYA5 50-59 years, male 0.2
GTEX-15EO6-2326-SM-6LPKK 50-59 years, male 0.2
GTEX-15G19-2726-SM-6LPKG 60-69 years, male 0.2
GTEX-15RJE-2226-SM-6M46A 40-49 years, male 0.2
GTEX-17F96-2126-SM-7KFSM 70-79 years, male 0.2
GTEX-17JCI-2826-SM-7IGNA 60-69 years, female 0.2
GTEX-18A67-2226-SM-7LT9Z 50-59 years, male 0.2
GTEX-1A32A-2626-SM-73KX9 50-59 years, female 0.2
GTEX-1A3MX-2326-SM-718B4 60-69 years, male 0.2
GTEX-1AX9K-1626-SM-73KUS 50-59 years, male 0.2
GTEX-WFG7-1626-SM-4LVMF 20-29 years, male 0.2
GTEX-WY7C-1926-SM-4ONCI 50-59 years, male 0.2
GTEX-XV7Q-2226-SM-4BRVY 40-49 years, female 0.2
GTEX-YJ8O-1426-SM-5PNV9 40-49 years, female 0.2
GTEX-ZAB5-1426-SM-5HL9D 50-59 years, male 0.2
GTEX-ZP4G-1526-SM-57WE5 20-29 years, female 0.2
GTEX-1EH9U-1926-SM-7P8QM 60-69 years, male 0.2
GTEX-1GMR2-1826-SM-9KNUP 50-59 years, male 0.2
GTEX-1GZ4H-1326-SM-7P8TE 50-59 years, female 0.2
GTEX-1HCU7-2726-SM-A9G3D 50-59 years, male 0.2
GTEX-1HSGN-2226-SM-A9SL6 40-49 years, female 0.2
GTEX-1I1GR-2226-SM-ARL7F 60-69 years, male 0.2
GTEX-1I1GT-2026-SM-CKZPK 60-69 years, female 0.2
GTEX-1IDJU-1926-SM-CL53W 60-69 years, female 0.2
GTEX-1IKOE-2126-SM-A96T5 30-39 years, female 0.2
GTEX-1J8EW-2426-SM-CE6T5 60-69 years, female 0.2
GTEX-1J8Q3-2426-SM-CL53S 60-69 years, male 0.2
GTEX-1JJE9-2526-SM-ARU8K 70-79 years, male 0.2
GTEX-1JJEA-2526-SM-CY8HJ 60-69 years, male 0.2
GTEX-1JK1U-1426-SM-CNPOW 60-69 years, male 0.2
GTEX-1JKYN-2226-SM-ARZNE 30-39 years, male 0.2
GTEX-1KANA-1726-SM-CY8IG 20-29 years, male 0.2
GTEX-1PDJ9-2026-SM-E76PT 20-29 years, male 0.2
GTEX-1QCLZ-2026-SM-EAZ4A 60-69 years, female 0.2
GTEX-1R9K5-2226-SM-DTX9G 50-59 years, male 0.2
GTEX-1R9PO-2026-SM-E9J4N 60-69 years, female 0.2
GTEX-1RAZQ-2026-SM-E76P7 30-39 years, male 0.2
GTEX-1S831-1726-SM-EWROJ 20-29 years, male 0.2
GTEX-ZLWG-1826-SM-DO11I 50-59 years, female 0.2
GTEX-11DXX-1926-SM-5EGJK 60-69 years, female 0.1
GTEX-11P81-1426-SM-5P9JN 30-39 years, female 0.1
GTEX-13OW5-2826-SM-5KM1G 60-69 years, male 0.1
GTEX-14E1K-1626-SM-664MO 50-59 years, male 0.1
GTEX-14E6E-1726-SM-5S2R6 30-39 years, male 0.1
GTEX-17F9Y-2626-SM-7IGN9 70-79 years, female 0.1
GTEX-1AMFI-1826-SM-73KWB 50-59 years, female 0.1
GTEX-1AX9J-2526-SM-73KUY 60-69 years, male 0.1
GTEX-1GN73-2726-SM-9WYUB 60-69 years, male 0.1
GTEX-1HBPM-2626-SM-9WYU5 60-69 years, female 0.1
GTEX-1HFI7-1626-SM-9WYTR 50-59 years, female 0.1
GTEX-1HKZK-2026-SM-9WYUF 40-49 years, male 0.1
GTEX-1HSEH-1926-SM-A96SB 60-69 years, male 0.1
GTEX-1J8JJ-2426-SM-D4P4A 60-69 years, female 0.1
GTEX-1JMPY-1026-SM-ARZN1 30-39 years, male 0.1
GTEX-1JMPZ-2626-SM-ARU8Z 30-39 years, male 0.1
GTEX-1K2DA-1626-SM-CGQGB 50-59 years, male 0.1
GTEX-1LBAC-1726-SM-D3L9W 20-29 years, male 0.1
GTEX-1LGOU-1726-SM-D3L8P 20-29 years, female 0.1
GTEX-1P4AB-2626-SM-DTXEU 50-59 years, male 0.1
GTEX-1QP28-2226-SM-DTX8C 50-59 years, female 0.1
GTEX-1QP67-1426-SM-E8VOO 40-49 years, female 0.1
GTEX-1RMOY-1726-SM-EVYC9 50-59 years, male 0.1
GTEX-ZLV1-1326-SM-DO11Q 60-69 years, female 0.1
GTEX-1LGRB-2026-SM-COH47 50-59 years, female 0.0
Show allShow less
Colon - Transverse
Average nTPM: 44.3
Samples: 406

Max nTPM: 218.1
Min nTPM: 0.1
Std nTPM: 39.0
Median nTPM: 39.4
GTEX-117YW-1826-SM-5PNY5 50-59 years, male 218.1
GTEX-T5JW-1126-SM-4DM5V 20-29 years, female 139.2
GTEX-ZLWG-1726-SM-DNZZ2 50-59 years, female 131.5
GTEX-14PK6-1726-SM-6871J 70-79 years, female 127.1
GTEX-ZPIC-2226-SM-57WDX 40-49 years, female 125.5
GTEX-1399R-2226-SM-5P9JB 30-39 years, male 124.2
GTEX-131XG-1826-SM-5LZV4 50-59 years, female 123.0
GTEX-13111-0726-SM-5DUVE 50-59 years, male 120.9
GTEX-14PJ4-1926-SM-6LLHG 60-69 years, male 120.9
GTEX-14E6E-1526-SM-5RQIG 30-39 years, male 120.3
GTEX-11DXX-1826-SM-5H126 60-69 years, female 119.3
GTEX-1J1R8-1126-SM-CNPQ3 40-49 years, male 118.1
GTEX-13FTW-1826-SM-5IJEN 40-49 years, male 115.7
GTEX-14XAO-2026-SM-69LOI 60-69 years, female 115.6
GTEX-UJHI-1126-SM-4IHLN 50-59 years, female 114.0
GTEX-ZDTT-1926-SM-5HL5W 60-69 years, male 111.8
GTEX-13D11-0826-SM-5KLZJ 50-59 years, female 110.9
GTEX-14JIY-3326-SM-6871E 60-69 years, male 110.8
GTEX-ZVT2-1926-SM-5GU5T 50-59 years, female 109.3
GTEX-1CAMR-0926-SM-7MXTD 20-29 years, male 107.1
GTEX-1PFEY-1426-SM-E9U6U 30-39 years, male 106.0
GTEX-1C475-1626-SM-731FP 40-49 years, female 104.4
GTEX-111CU-1426-SM-5GZYP 50-59 years, male 104.2
GTEX-U3ZN-2126-SM-4DXU1 30-39 years, female 102.6
GTEX-QV31-0826-SM-CKZNC 30-39 years, male 101.5
GTEX-ZT9W-1826-SM-51MQX 50-59 years, male 100.9
GTEX-Y5LM-1526-SM-4VDTA 40-49 years, female 100.5
GTEX-1I4MK-1126-SM-B2LWS 50-59 years, female 100.1
GTEX-TML8-1326-SM-4DXTO 40-49 years, female 98.4
GTEX-15RIF-1326-SM-6LPKO 20-29 years, male 98.3
GTEX-1LGRB-1426-SM-CNNPT 50-59 years, female 98.2
GTEX-15CHR-1426-SM-7DUGV 50-59 years, male 97.3
GTEX-1LVAM-1626-SM-EV79Y 50-59 years, female 97.2
GTEX-XPVG-1826-SM-4B64X 50-59 years, male 97.1
GTEX-1QP67-1326-SM-EAZ4D 40-49 years, female 96.8
GTEX-145MN-1726-SM-5SIA6 30-39 years, male 96.7
GTEX-WOFM-2026-SM-4OOSQ 20-29 years, male 96.0
GTEX-1F5PK-1926-SM-7MXT7 50-59 years, male 95.4
GTEX-U4B1-1126-SM-4DXV3 40-49 years, male 95.3
GTEX-R55D-1826-SM-48FEF 50-59 years, male 95.2
GTEX-132AR-2726-SM-5PNVN 50-59 years, female 95.1
GTEX-R55G-1226-SM-48FDC 40-49 years, female 94.7
GTEX-13PL7-2526-SM-5IFGR 60-69 years, female 94.3
GTEX-ZVP2-1526-SM-5NQ82 50-59 years, male 94.3
GTEX-11P82-1026-SM-5BC5J 20-29 years, male 94.2
GTEX-S4Q7-0826-SM-4AD5E 20-29 years, male 94.1
GTEX-XUZC-1326-SM-4BRV2 30-39 years, female 94.0
GTEX-1399U-1926-SM-5IFH7 50-59 years, female 93.8
GTEX-WFON-1426-SM-4LVMT 40-49 years, male 93.7
GTEX-XV7Q-2126-SM-4BRVX 40-49 years, female 93.6
GTEX-YF7O-1726-SM-5IFJ9 50-59 years, male 93.2
GTEX-PLZ5-1126-SM-3P613 50-59 years, male 92.7
GTEX-1JKYN-2326-SM-CGQG7 30-39 years, male 92.4
GTEX-W5WG-2426-SM-4LMI6 50-59 years, female 92.0
GTEX-OOBJ-1426-SM-E6CHH 60-69 years, male 91.8
GTEX-ZDYS-2326-SM-4WKG6 50-59 years, male 91.7
GTEX-1LG7Z-1426-SM-CXKYV 30-39 years, male 91.4
GTEX-1H1E6-1926-SM-9OSWD 30-39 years, male 91.1
GTEX-145LT-0926-SM-5LU9C 40-49 years, male 90.8
GTEX-14PHX-1526-SM-68717 50-59 years, male 90.0
GTEX-1H11D-2626-SM-9JGH4 40-49 years, male 89.4
GTEX-1PIEJ-2026-SM-E6CPA 20-29 years, female 89.3
GTEX-11LCK-2026-SM-5A5MA 30-39 years, male 89.2
GTEX-1211K-1726-SM-5FQUJ 60-69 years, female 89.0
GTEX-YB5E-1626-SM-5IFIQ 40-49 years, male 89.0
GTEX-ZV7C-1526-SM-5NQ72 50-59 years, male 89.0
GTEX-Q2AI-0926-SM-48U1F 40-49 years, male 88.5
GTEX-1JN76-1226-SM-C1YRM 20-29 years, female 88.5
GTEX-1B8KZ-1326-SM-7DUG6 50-59 years, male 88.4
GTEX-133LE-1526-SM-5IFEN 20-29 years, female 88.3
GTEX-WFG7-1526-SM-4LVMG 20-29 years, male 87.5
GTEX-WHSB-0926-SM-4M1XJ 50-59 years, male 87.3
GTEX-OIZF-1426-SM-2HML2 60-69 years, male 87.3
GTEX-Y9LG-1526-SM-4WWDR 30-39 years, male 87.2
GTEX-XMK1-1726-SM-4B64Z 40-49 years, male 86.5
GTEX-1B8KE-1926-SM-731EE 50-59 years, male 86.4
GTEX-1QCLZ-1926-SM-E6CR3 60-69 years, female 85.8
GTEX-ZEX8-1926-SM-4WKFR 50-59 years, male 85.6
GTEX-QLQW-0426-SM-447A7 30-39 years, male 85.4
GTEX-WHWD-1226-SM-4OOS1 50-59 years, male 85.3
GTEX-1122O-1526-SM-5N9CL 60-69 years, female 85.1
GTEX-1K2DA-2026-SM-CGQGK 50-59 years, male 84.6
GTEX-UJMC-1326-SM-4IHLS 50-59 years, male 84.5
GTEX-1AMFI-1726-SM-7189L 50-59 years, female 84.4
GTEX-1KANC-0926-SM-D3LA9 50-59 years, female 84.2
GTEX-14PKV-2126-SM-664O3 20-29 years, female 83.4
GTEX-1S83E-1626-SM-EV7B9 40-49 years, male 82.9
GTEX-15SB6-1226-SM-7KUMP 50-59 years, female 82.3
GTEX-1QP9N-1026-SM-E6CPX 30-39 years, male 81.8
GTEX-1C4CL-2126-SM-7IGQC 30-39 years, male 81.7
GTEX-11I78-1226-SM-5A5K6 50-59 years, female 81.3
GTEX-12BJ1-2126-SM-5BC5O 60-69 years, male 81.3
GTEX-OXRK-1726-SM-3NB16 50-59 years, female 81.2
GTEX-Y3IK-1826-SM-4WWDS 50-59 years, female 81.2
GTEX-12C56-0626-SM-5EGGC 20-29 years, male 79.5
GTEX-14BMU-1526-SM-5TDE6 20-29 years, female 79.3
GTEX-13QBU-1826-SM-5IJG3 40-49 years, female 79.0
GTEX-1399S-1926-SM-5J2M5 30-39 years, female 78.7
GTEX-ZLV1-1226-SM-4WWBX 60-69 years, female 78.0
GTEX-139TS-1926-SM-5IJFO 60-69 years, male 77.1
GTEX-RM2N-0926-SM-48FD1 50-59 years, male 76.8
GTEX-11EM3-1526-SM-5A5KN 20-29 years, female 76.7
GTEX-17HHE-1826-SM-79OKE 50-59 years, male 76.7
GTEX-1N2DV-1426-SM-DPRYQ 40-49 years, male 76.5
GTEX-11P7K-1526-SM-5EGI7 30-39 years, male 76.3
GTEX-PWCY-1026-SM-48TD4 20-29 years, female 76.3
GTEX-Q2AH-1226-SM-48TZL 40-49 years, male 76.3
GTEX-P4QT-1426-SM-3NMCX 50-59 years, female 75.8
GTEX-1MA7W-0626-SM-EV79Z 20-29 years, female 75.8
GTEX-PLZ6-0926-SM-3P5ZQ 30-39 years, male 75.7
GTEX-XBED-1526-SM-4AT5W 60-69 years, male 75.6
GTEX-1HSEH-1726-SM-B2LXH 60-69 years, male 75.3
GTEX-14DAR-1526-SM-5RQIX 50-59 years, male 75.1
GTEX-1RAZR-1926-SM-E6CRF 40-49 years, male 74.3
GTEX-147F3-1926-SM-5SIB9 50-59 years, female 73.3
GTEX-13X6H-1926-SM-7EWD3 50-59 years, female 72.6
GTEX-ZF2S-1926-SM-4WWAN 50-59 years, female 72.2
GTEX-ZPU1-1926-SM-57WDT 40-49 years, male 71.9
GTEX-1R7EU-1926-SM-E9U62 60-69 years, male 71.9
GTEX-1CAMS-2526-SM-7EPH7 40-49 years, female 71.5
GTEX-1HCU9-1326-SM-B2LXT 20-29 years, male 71.5
GTEX-1E2YA-2626-SM-7MGWW 50-59 years, male 70.9
GTEX-1IKOE-2026-SM-AHZ31 30-39 years, female 70.9
GTEX-QDVN-1326-SM-48TZ3 50-59 years, male 70.1
GTEX-SNOS-1226-SM-4DM5H 40-49 years, male 69.3
GTEX-TKQ2-1326-SM-4DXT9 50-59 years, male 69.1
GTEX-13O21-2426-SM-5MR4A 50-59 years, male 68.8
GTEX-146FQ-1926-SM-5NQBY 30-39 years, male 68.6
GTEX-11DXZ-1726-SM-5H12M 50-59 years, male 68.4
GTEX-139YR-2126-SM-5KM11 50-59 years, male 68.1
GTEX-Q734-1126-SM-48TZY 40-49 years, female 68.0
GTEX-X15G-1326-SM-4PQZJ 50-59 years, female 68.0
GTEX-131XE-0826-SM-5HL9W 50-59 years, male 67.8
GTEX-16AAH-1326-SM-7KFRG 50-59 years, male 67.7
GTEX-QCQG-1626-SM-48U26 50-59 years, female 67.6
GTEX-1H3VY-2426-SM-9WPPD 50-59 years, male 67.3
GTEX-17HGU-2426-SM-7EWDP 50-59 years, male 66.6
GTEX-S4UY-0826-SM-4AD4Z 40-49 years, female 66.4
GTEX-1RAZA-1726-SM-DPS13 20-29 years, male 65.5
GTEX-13PVR-1626-SM-73KVF 60-69 years, female 64.7
GTEX-1F5PL-2126-SM-7PC2O 40-49 years, female 64.7
GTEX-11TT1-1026-SM-5PNW7 20-29 years, male 64.6
GTEX-R53T-1326-SM-48FCQ 50-59 years, female 64.4
GTEX-YEC3-2426-SM-DO11A 50-59 years, male 64.4
GTEX-139T6-1326-SM-5IFFO 50-59 years, male 64.1
GTEX-144GM-1226-SM-5LU52 20-29 years, male 64.0
GTEX-18D9A-1126-SM-7KFRJ 30-39 years, female 64.0
GTEX-PWN1-1426-SM-48TDF 40-49 years, female 63.9
GTEX-13S86-1626-SM-5Q5C5 40-49 years, male 63.6
GTEX-P4PP-1426-SM-3NM9L 30-39 years, female 63.5
GTEX-14JG6-1726-SM-69LPL 30-39 years, female 63.4
GTEX-178AV-1326-SM-6LPJX 40-49 years, male 63.4
GTEX-1QCLY-1726-SM-DPRXY 30-39 years, male 63.3
GTEX-1NSGN-2326-SM-E9U5X 50-59 years, male 62.8
GTEX-S7SF-1926-SM-4AT5B 20-29 years, female 61.9
GTEX-11VI4-1526-SM-5EQKC 40-49 years, female 61.5
GTEX-1KANA-1926-SM-DHXKF 20-29 years, male 60.9
GTEX-OIZH-1426-SM-3NB1O 50-59 years, male 60.7
GTEX-S4P3-1226-SM-4AD4Y 50-59 years, female 60.5
GTEX-R55C-1126-SM-48FCJ 40-49 years, male 60.0
GTEX-1IOXB-2626-SM-CJI2N 50-59 years, male 58.8
GTEX-XBEW-1926-SM-4SOJO 40-49 years, male 58.2
GTEX-1JMPY-0426-SM-C1YQ3 30-39 years, male 57.7
GTEX-ZG7Y-2126-SM-DO117 50-59 years, male 57.3
GTEX-1F75I-2426-SM-9WPOY 40-49 years, male 57.1
GTEX-144GN-1126-SM-5LU33 50-59 years, male 56.1
GTEX-ZP4G-1726-SM-4WWCM 20-29 years, female 54.6
GTEX-1JK1U-1526-SM-AHZ46 60-69 years, male 54.5
GTEX-1L5NE-2026-SM-CXZKR 50-59 years, male 54.3
GTEX-1B932-2826-SM-73KUD 40-49 years, female 54.2
GTEX-QMRM-1226-SM-447C6 50-59 years, male 54.0
GTEX-1HFI7-1726-SM-A9G22 50-59 years, female 53.9
GTEX-OHPM-1426-SM-3TW8Y 50-59 years, male 53.6
GTEX-ZY6K-1226-SM-5GZYL 50-59 years, male 53.6
GTEX-1MGNQ-2026-SM-EAZ51 40-49 years, male 53.5
GTEX-1S3DN-1826-SM-EV79K 50-59 years, male 52.7
GTEX-1PIGE-1426-SM-E9U61 20-29 years, male 52.3
GTEX-15RIE-1826-SM-6M48P 60-69 years, male 51.5
GTEX-1IDJU-2026-SM-A9SLM 60-69 years, female 51.4
GTEX-18A66-2426-SM-7KFSQ 60-69 years, male 51.3
GTEX-147GR-2726-SM-664OO 60-69 years, male 51.0
GTEX-VJYA-2026-SM-4KL1K 60-69 years, male 49.8
GTEX-XQ8I-2126-SM-4BOOM 50-59 years, male 49.8
GTEX-18D9U-1926-SM-7KFTM 40-49 years, male 48.2
GTEX-17EUY-1826-SM-7DUEZ 20-29 years, male 47.7
GTEX-WH7G-1326-SM-4LVMS 40-49 years, male 47.6
GTEX-PX3G-1426-SM-48U1J 20-29 years, female 47.1
GTEX-1PPH8-2026-SM-DTX7P 20-29 years, male 47.0
GTEX-1JKYR-1926-SM-C1YR7 20-29 years, male 45.8
GTEX-1AYCT-1826-SM-731EG 50-59 years, male 45.7
GTEX-1GF9U-1526-SM-7MXUW 40-49 years, female 45.4
GTEX-13OW6-2126-SM-5N9GL 50-59 years, male 45.2
GTEX-U3ZM-1126-SM-4DXUB 40-49 years, male 45.2
GTEX-17F98-1026-SM-7IGO8 40-49 years, female 44.4
GTEX-ZPCL-1826-SM-57WF1 60-69 years, female 44.0
GTEX-1K9T9-2826-SM-D4P3F 50-59 years, female 44.0
GTEX-QEL4-1926-SM-D3L8D 50-59 years, male 44.0
GTEX-1GPI7-1726-SM-7P8R1 20-29 years, male 43.1
GTEX-14PJM-2626-SM-686ZD 50-59 years, female 42.4
GTEX-ZTSS-1126-SM-5985O 40-49 years, male 40.8
GTEX-QDVJ-1326-SM-48U1X 50-59 years, male 40.3
GTEX-O5YT-1426-SM-3MJHC 20-29 years, male 39.7
GTEX-144GL-2526-SM-5TDDL 50-59 years, male 39.4
GTEX-XYKS-2226-SM-4E3IU 60-69 years, female 39.3
GTEX-SE5C-1526-SM-4BRWU 40-49 years, female 38.9
GTEX-WYVS-1826-SM-4OND6 40-49 years, female 38.7
GTEX-ZGAY-2126-SM-4YCFB 40-49 years, female 38.6
GTEX-Y8E4-2426-SM-4WWDN 40-49 years, male 38.0
GTEX-1QPFJ-2326-SM-E6CR7 30-39 years, female 38.0
GTEX-XGQ4-1226-SM-4AT67 50-59 years, male 37.6
GTEX-OHPN-2026-SM-E9TIA 60-69 years, female 37.5
GTEX-1128S-1626-SM-5H12O 60-69 years, female 36.8
GTEX-1HSMQ-2726-SM-C1YRE 50-59 years, male 36.7
GTEX-17KNJ-1726-SM-7LG6A 50-59 years, male 36.6
GTEX-1I1GR-2526-SM-CNNQF 60-69 years, male 36.5
GTEX-1MJK3-0926-SM-EV7AY 20-29 years, male 36.4
GTEX-11NSD-1626-SM-5986U 20-29 years, male 35.3
GTEX-14ICK-1026-SM-6AJA4 40-49 years, male 34.2
GTEX-15DYW-2326-SM-6PAMU 60-69 years, female 33.7
GTEX-X3Y1-1726-SM-4PQZL 40-49 years, male 33.2
GTEX-XUW1-1926-SM-4BOP1 50-59 years, female 33.0
GTEX-1R9PM-1526-SM-DPRY8 20-29 years, male 32.6
GTEX-1RDX4-1826-SM-EVR54 50-59 years, female 32.6
GTEX-1GF9X-1526-SM-7P8QP 40-49 years, female 32.2
GTEX-ZZ64-0726-SM-5GZX4 20-29 years, male 32.0
GTEX-15DCE-2026-SM-7KUFE 20-29 years, male 31.8
GTEX-1I1GT-1926-SM-ARU7D 60-69 years, female 31.8
GTEX-1HSGN-2626-SM-CE6S1 40-49 years, female 31.7
GTEX-1KXAM-2126-SM-CY8I9 60-69 years, male 31.1
GTEX-1NHNU-2326-SM-E6CQE 50-59 years, male 30.4
GTEX-13OVJ-1726-SM-5IJDZ 50-59 years, female 29.3
GTEX-1I6K6-1826-SM-B2LX5 30-39 years, male 28.0
GTEX-WYJK-2226-SM-4ONDJ 50-59 years, male 27.1
GTEX-16MT8-2726-SM-7IGLJ 60-69 years, female 25.9
GTEX-O5YW-1426-SM-3MJHF 50-59 years, male 25.6
GTEX-147JS-2526-SM-5S2Q8 60-69 years, male 24.9
GTEX-1AX9I-2626-SM-73KU5 60-69 years, male 24.8
GTEX-P78B-1726-SM-3P5ZV 40-49 years, female 24.5
GTEX-17GQL-1526-SM-7LTAC 60-69 years, male 24.2
GTEX-1LSVX-1726-SM-DHXJP 60-69 years, male 24.2
GTEX-13OVK-0826-SM-7KULZ 40-49 years, male 23.8
GTEX-1GMR3-2826-SM-9WPOG 40-49 years, male 23.8
GTEX-13QJ3-2626-SM-9OSXQ 50-59 years, male 23.7
GTEX-OXRO-0726-SM-E9U4C 60-69 years, female 23.7
GTEX-15ER7-2926-SM-7KUFK 20-29 years, female 23.3
GTEX-S3XE-1126-SM-4AD4N 50-59 years, male 22.2
GTEX-SNMC-1126-SM-4DM5M 20-29 years, male 22.0
GTEX-1KANB-1526-SM-CXZK4 50-59 years, male 22.0
GTEX-NFK9-2026-SM-3LK5K 40-49 years, male 21.6
GTEX-14C39-1926-SM-5ZZW5 40-49 years, male 20.3
GTEX-RU1J-1326-SM-46MUL 20-29 years, female 20.1
GTEX-16Z82-2226-SM-6LPJ7 60-69 years, male 19.7
GTEX-1R9JW-2026-SM-EAZ4O 30-39 years, female 19.6
GTEX-1C6VQ-2726-SM-73KUL 50-59 years, male 19.1
GTEX-1H1DG-2226-SM-9WPPC 70-79 years, male 18.5
GTEX-1B996-2626-SM-73KZ1 60-69 years, male 16.8
GTEX-1HKZK-2126-SM-A9SL3 40-49 years, male 16.8
GTEX-16NGA-1026-SM-7KFS3 40-49 years, female 16.7
GTEX-12KS4-2426-SM-5LU8P 30-39 years, male 16.3
GTEX-14BIN-3026-SM-5ZZUS 50-59 years, female 16.2
GTEX-13VXT-2426-SM-5LU46 20-29 years, female 15.8
GTEX-1N5O9-2726-SM-E76QH 60-69 years, male 15.3
GTEX-WQUQ-2526-SM-4MVNO 60-69 years, male 13.7
GTEX-17F9E-1826-SM-7IGMC 50-59 years, male 12.9
GTEX-1LGOU-1626-SM-D3LAK 20-29 years, female 12.7
GTEX-1BAJH-2326-SM-7IGMO 70-79 years, male 12.4
GTEX-1AMEY-1926-SM-73KVT 30-39 years, female 11.2
GTEX-1H1DE-1526-SM-ARL9B 20-29 years, male 11.2
GTEX-ZAB4-2226-SM-5HL97 40-49 years, male 10.9
GTEX-17JCI-2626-SM-7EWE6 60-69 years, female 10.7
GTEX-16XZZ-2626-SM-6M47S 60-69 years, male 10.3
GTEX-1J1OQ-2726-SM-AHZ3R 40-49 years, female 9.9
GTEX-17MF6-2426-SM-7LTAM 40-49 years, male 9.3
GTEX-PSDG-1826-SM-EAZ2S 50-59 years, male 8.7
GTEX-1JJ6O-2426-SM-ARU8J 60-69 years, male 8.5
GTEX-1LVAN-2526-SM-CNPPC 50-59 years, female 7.9
GTEX-1F75B-2726-SM-7P8QO 50-59 years, male 7.7
GTEX-SJXC-2226-SM-EVYAK 60-69 years, male 7.2
GTEX-13O3O-2526-SM-5L3DR 60-69 years, female 6.7
GTEX-1HCVE-2526-SM-A9G2G 50-59 years, male 6.3
GTEX-1GZ4I-2426-SM-9WPPP 50-59 years, male 6.2
GTEX-1IGQW-2326-SM-CE6RV 60-69 years, male 6.2
GTEX-17EVQ-1826-SM-7IGPH 70-79 years, male 6.0
GTEX-17HII-2726-SM-7MGVM 50-59 years, male 6.0
GTEX-11ZVC-2126-SM-5EGJ1 50-59 years, female 5.3
GTEX-18A7A-2226-SM-7LT8K 50-59 years, female 5.2
GTEX-V955-1626-SM-4JBHJ 60-69 years, male 5.1
GTEX-1IKK5-2726-SM-CNPQ6 60-69 years, male 5.1
GTEX-1S5VW-2926-SM-E9U6H 60-69 years, male 5.1
GTEX-145MO-2426-SM-5NQ9W 60-69 years, male 5.0
GTEX-1MCC2-1626-SM-DIPEW 30-39 years, female 5.0
GTEX-1JMPZ-2426-SM-C1YQP 30-39 years, male 4.9
GTEX-14BMV-2426-SM-5S2PP 50-59 years, male 4.7
GTEX-15SHU-2526-SM-6M47D 40-49 years, female 4.7
GTEX-1C64O-2326-SM-73KU8 60-69 years, male 4.7
GTEX-13OW5-2626-SM-5MR3M 60-69 years, male 4.4
GTEX-18A7B-2026-SM-72D71 70-79 years, male 4.3
GTEX-1IDJC-1326-SM-CL53H 50-59 years, male 4.1
GTEX-1LH75-2126-SM-EVR5F 50-59 years, female 4.0
GTEX-OXRN-2026-SM-E6CHK 50-59 years, male 4.0
GTEX-13OVG-1426-SM-5K7VP 60-69 years, male 3.9
GTEX-Y8LW-1226-SM-4WWDP 50-59 years, female 3.7
GTEX-1QMI2-2626-SM-E6CR4 60-69 years, male 3.7
GTEX-1NV5F-2226-SM-DTX8O 60-69 years, female 3.6
GTEX-13FHP-2426-SM-5KLZ5 50-59 years, male 3.5
GTEX-1PPGY-2826-SM-DTX9H 60-69 years, male 3.4
GTEX-ZYVF-2826-SM-5GIDK 50-59 years, female 3.2
GTEX-1RMOY-1626-SM-EVYC8 50-59 years, male 3.1
GTEX-1C2JI-1626-SM-7EPHC 50-59 years, male 2.9
GTEX-11O72-2226-SM-5PNW2 40-49 years, male 2.8
GTEX-OXRL-1426-SM-3NM9E 50-59 years, male 2.8
GTEX-111VG-2226-SM-5N9DU 60-69 years, male 2.6
GTEX-R45C-2126-SM-EZ6KZ 60-69 years, female 2.6
GTEX-13O3P-2326-SM-5KM55 50-59 years, male 2.5
GTEX-1PWST-2426-SM-EWRMP 70-79 years, male 2.5
GTEX-15UF6-2626-SM-6M466 70-79 years, female 2.4
GTEX-1IDJD-2226-SM-A96TD 30-39 years, male 2.4
GTEX-12WSJ-1526-SM-5GCNI 40-49 years, female 2.3
GTEX-1ICLZ-2426-SM-CKZOD 60-69 years, male 2.3
GTEX-16NPV-2626-SM-6M484 50-59 years, female 2.1
GTEX-ZYFC-2626-SM-5NQ6S 50-59 years, male 2.0
GTEX-18D9B-2526-SM-718BN 60-69 years, male 1.8
GTEX-13CF3-1426-SM-5K7YY 60-69 years, female 1.7
GTEX-1A3MV-1126-SM-718BS 30-39 years, male 1.6
GTEX-13OVI-2026-SM-5J1MU 60-69 years, female 1.5
GTEX-X4EO-2526-SM-EWRM8 60-69 years, female 1.5
GTEX-11TUW-2026-SM-5EQL8 60-69 years, male 1.4
GTEX-12WSL-1626-SM-5GCMU 50-59 years, male 1.4
GTEX-14DAQ-2726-SM-5S2QY 60-69 years, female 1.4
GTEX-1QW4Y-1326-SM-EWRMZ 30-39 years, male 1.4
GTEX-1R9K5-2126-SM-E8VN1 50-59 years, male 1.3
GTEX-13FH7-1526-SM-5J2N6 50-59 years, female 1.2
GTEX-T6MO-0826-SM-4DM51 40-49 years, female 1.2
GTEX-U3ZH-1326-SM-4DXSF 30-39 years, male 1.2
GTEX-1AYD5-1726-SM-7RHFW 50-59 years, male 1.2
GTEX-1CB4I-2226-SM-7P8SL 50-59 years, male 1.2
GTEX-1MUQO-2626-SM-EWRO3 60-69 years, male 1.2
GTEX-Y3I4-1426-SM-4TT9C 50-59 years, male 1.1
GTEX-1JN1M-2626-SM-CY8I3 60-69 years, female 1.1
GTEX-11GSP-1626-SM-5986N 60-69 years, female 1.0
GTEX-11ONC-2026-SM-5HL61 60-69 years, male 1.0
GTEX-12ZZZ-2426-SM-5GCNN 60-69 years, male 1.0
GTEX-13W3W-2126-SM-5K7UX 60-69 years, female 1.0
GTEX-148VJ-2626-SM-5QGPI 70-79 years, male 1.0
GTEX-17F96-2026-SM-79ON4 70-79 years, male 1.0
GTEX-WEY5-1426-SM-4LMJ3 40-49 years, female 1.0
GTEX-XAJ8-0426-SM-47JYJ 40-49 years, male 1.0
GTEX-Y114-1526-SM-4TT79 50-59 years, female 1.0
GTEX-ZV6S-1226-SM-59HLH 40-49 years, female 1.0
GTEX-1JMLX-2726-SM-CM2SB 50-59 years, male 1.0
GTEX-13O61-1626-SM-5KM3T 60-69 years, male 0.9
GTEX-1CB4F-2026-SM-79OLU 60-69 years, male 0.9
GTEX-1HCU7-2626-SM-C1YQO 50-59 years, male 0.9
GTEX-14C5O-2526-SM-73KU2 60-69 years, male 0.8
GTEX-1HCU6-2726-SM-A9SKV 60-69 years, female 0.8
GTEX-1JJE9-2426-SM-D3L8T 70-79 years, male 0.8
GTEX-13U4I-2426-SM-5LU34 40-49 years, female 0.7
GTEX-14H4A-1926-SM-5ZZWN 40-49 years, female 0.7
GTEX-15G1A-1826-SM-7KUKO 30-39 years, male 0.7
GTEX-ZXES-1626-SM-5NQ7L 30-39 years, female 0.7
GTEX-1RAZQ-2126-SM-DTX9V 30-39 years, male 0.7
GTEX-145LS-2726-SM-5Q5D8 60-69 years, female 0.6
GTEX-15CHC-1626-SM-5ZZWS 60-69 years, female 0.6
GTEX-Z93S-2426-SM-5HL8N 50-59 years, male 0.6
GTEX-1HSMP-2326-SM-D3L8R 70-79 years, male 0.6
GTEX-1IDJF-1826-SM-CKZOE 20-29 years, male 0.6
GTEX-1POEN-2026-SM-E6CRL 30-39 years, female 0.6
GTEX-117YX-0826-SM-5H11J 50-59 years, male 0.5
GTEX-1339X-1626-SM-5IJDN 40-49 years, male 0.5
GTEX-145ME-0826-SM-5O9AF 40-49 years, female 0.5
GTEX-14AS3-1126-SM-5Q5CR 40-49 years, female 0.5
GTEX-14ICL-1226-SM-5S2RD 30-39 years, male 0.5
GTEX-15CHQ-2526-SM-6EU24 60-69 years, male 0.5
GTEX-18QFQ-1526-SM-72D57 30-39 years, male 0.5
GTEX-1AX8Z-2726-SM-73KUC 60-69 years, male 0.5
GTEX-YEC4-1926-SM-5IFHJ 40-49 years, male 0.5
GTEX-ZYFG-1926-SM-5GID5 60-69 years, female 0.5
GTEX-1N2EF-1926-SM-DTX8M 60-69 years, male 0.5
GTEX-QLQ7-1126-SM-CYPRB 60-69 years, male 0.5
GTEX-11P81-1126-SM-5GU5G 30-39 years, female 0.4
GTEX-11TTK-2426-SM-5PNYO 60-69 years, female 0.4
GTEX-14PJ3-0926-SM-69LQG 50-59 years, male 0.4
GTEX-14PJ5-0926-SM-6LLIK 60-69 years, female 0.4
GTEX-RWS6-1826-SM-47JXX 60-69 years, female 0.4
GTEX-TKQ1-0626-SM-4DXTS 30-39 years, male 0.4
GTEX-1EMGI-2726-SM-7P8S4 60-69 years, male 0.4
GTEX-1OKEX-1226-SM-DTXEC 60-69 years, male 0.4
GTEX-1S82U-0726-SM-E9TKI 30-39 years, female 0.4
GTEX-11EQ9-1426-SM-5987G 30-39 years, male 0.3
GTEX-14E1K-1826-SM-793DT 50-59 years, male 0.3
GTEX-S341-1426-SM-4AD6U 40-49 years, female 0.3
GTEX-WY7C-1626-SM-4ONC8 50-59 years, male 0.3
GTEX-X5EB-0926-SM-46MVT 40-49 years, male 0.3
GTEX-XXEK-1926-SM-4BRVD 50-59 years, male 0.3
GTEX-1GL5R-2426-SM-7MXV1 50-59 years, male 0.3
GTEX-1GN73-2626-SM-9KNUQ 60-69 years, male 0.3
GTEX-U412-1726-SM-EZ6KX 60-69 years, male 0.3
GTEX-111YS-1626-SM-5GZZ9 60-69 years, male 0.2
GTEX-ZF29-1726-SM-4WKFV 60-69 years, female 0.2
GTEX-1GMR2-1726-SM-9JGI2 50-59 years, male 0.2
GTEX-1LBAC-1626-SM-CXZKV 20-29 years, male 0.2
GTEX-1LG7Y-2126-SM-DIPER 50-59 years, male 0.2
GTEX-15DZA-0926-SM-69LQ3 30-39 years, female 0.1
GTEX-1EH9U-2026-SM-7PBYS 60-69 years, male 0.1
GTEX-1GZ4H-1226-SM-9KNUA 50-59 years, female 0.1
GTEX-WVJS-2426-SM-EZ6LI 50-59 years, male 0.1
Show allShow less

COLON - FANTOM5 CAGEi

RNA expression in human tissues obtained through Cap Analysis of Gene Expression (CAGE) generated by the FANTOM5 project are reported as Scaled Tags Per Million.

Max subtype Scaled Tags Per Millioni

Max subtype Scaled Tags Per Million is the value for the subtype with the largest average Scaled Tags Per Million across the subtype samples.

118.4
FANTOM5 sample id Sample description Scaled Tags Per Million
Colon
Scaled Tags Per Million: 118.4
FF:10014-101C5 62,83,84 years, mixed 118.4

Contact

  • NEWS ARTICLES
  • PRESS ROOM

The Project

  • INTRODUCTION
  • ORGANIZATION
  • PUBLICATIONS

The Human Protein Atlas

  • DOWNLOADABLE DATA
  • LICENCE & CITATION
  • HELP & FAQ
The Human Protein Atlas project is funded
by the Knut & Alice Wallenberg Foundation.


contact@proteinatlas.org