We use cookies to enhance the usability of our website. If you continue, we'll assume that you are happy to receive all cookies. More information. Don't show this again.
SDC1
HPA
RESOURCES
  • TISSUE
  • BRAIN
  • SINGLE CELL
  • SUBCELLULAR
  • CANCER
  • BLOOD
  • CELL LINE
  • STRUCTURE & INTERACTION
ABOUT
  • INTRODUCTION
  • HISTORY
  • ORGANIZATION
  • PUBLICATIONS
  • ANTIBODY SUBMISSION
  • ANTIBODY AVAILABILITY
  • ACKNOWLEDGMENTS
  • CONTACT
NEWS
  • NEWS ARTICLES
  • PRESS ROOM
LEARN
  • DICTIONARY
  • PROTEIN CLASSES
  • PROTEIN EVIDENCE
  • METHODS
  • EDUCATIONAL VIDEOS
DATA
  • DOWNLOADABLE DATA
  • PUBLICATION DATA
  • RELEASE HISTORY
HELP
  • ANTIBODY VALIDATION
  • ASSAYS & ANNOTATION
  • DISCLAIMER
  • HELP & FAQ
  • PRIVACY STATEMENT
  • LICENCE & CITATION
Fields »
Search result

Field
Term
Gene name
Class
Subclass
Class
Keyword
Chromosome
External id
Tissue
Cell type
Expression
Antibody panel
Tissue
Main location
Patient ID
Annotation
Tissue
Category
Tau score
Cluster
Reliability
Brain region
Category
Tau score
Brain region
Category
Tau score
Brain region
Category
Tau score
Cluster
Reliability
Tissue
Cell type
Enrichment
Cell type
Category
Tau score
Cell type
Category
Tau score
Cell type
Category
Tau score
Cell lineage
Category
Tau score
Cluster
Cluster
Location
Searches
Location
Cell line
Class
Type
Phase
Reliability
Cancer
Prognosis
Cancer
Category
Cancer
Category
Tau score
Cluster
Variants
Interacting gene (ensg_id)
Type
Number of interactions
Pathway
Category
Score
Score
Score
Validation
Validation
Validation
Validation
Antibodies
Data type
Column


  • SUMMARY

  • TISSUE

  • BRAIN

  • SINGLE CELL

  • SUBCELL

  • CANCER

  • BLOOD

  • CELL LINE

  • STRUCT & INT

  • SDC1
TISSUE PRIMARY DATA SKIN Show tissue menu
ADIPOSE TISSUE ADRENAL GLAND AMYGDALA APPENDIX BASAL GANGLIA BONE MARROW BREAST BRONCHUS CEREBELLUM CEREBRAL CORTEX CERVIX CHOROID PLEXUS COLON DUODENUM
ENDOMETRIUM EPIDIDYMIS ESOPHAGUS FALLOPIAN TUBE GALLBLADDER HEART MUSCLE HIPPOCAMPAL FORMATION HYPOTHALAMUS KIDNEY LIVER LUNG LYMPH NODE MIDBRAIN NASOPHARYNX
ORAL MUCOSA OVARY PANCREAS PARATHYROID GLAND PITUITARY GLAND PLACENTA PROSTATE RECTUM RETINA SALIVARY GLAND SEMINAL VESICLE SKELETAL MUSCLE SKIN SMALL INTESTINE
SMOOTH MUSCLE SOFT TISSUE SPINAL CORD SPLEEN STOMACH TESTIS THYMUS THYROID GLAND TONGUE TONSIL URINARY BLADDER VAGINA
ANTIBODIES
AND
VALIDATION
Dictionary
Skin
Tissue proteome
Skin
SKIN - Expression summary
Protein expression
Skini

On the top, protein expression in current human tissue, based on all annotated cell types, is reported with the units not detected (n), low (l), medium (m) and high (h). Underneath, protein expression in each annotated cell type are reported using the same units.

Protein expression data is based on knowledge-based annotation. For genes where more than one antibody has been used, a collective score is set.

If knowledge-based annotation could not be performed for a gene, no data is displayed here. View antibody staining data further down this page.

h
m
l
n
Arrector pili muscle cells: Not detected
Cells in basal layer: Not detected
Cells in corneal layer: Not detected
Cells in granular layer: High
Cells in spinous layer: Medium
Endothelial cells: Medium
Extracellular matrix: Not detected
Fibrohistiocytic cells: Low
Langerhans cells: Not detected
Lymphocytes: Not detected
Melanocytes: Not detected
Vascular mural cells: Not detected
RNA expressioni

A summary of mRNA expression data available for current tissue based on several datasets. The mRNA expression levels in human tissues are based on RNA-seq data generated by the Human Protein Atlas (HPA), Genotype-Tissue Expression (GTEx) portal and CAGE data generated by the FANTOM5 consortium. Consensus normalized expression levels for human tissues was created by combining the data from HPA and GTEx datasets.

The mRNA expression levels in pig are based on RNA-seq data generated by the Human Protein Atlas (HPA), and for mouse, HPA data and in situ hybridization generated by the Allen brain atlas are reported.

Scroll down to view mRNA expression data in more detail.
Consensus:433.6 nTPM
HPA:235.9 nTPM
GTEx:433.6 nTPM

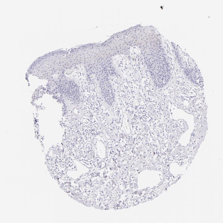
SKIN 1 - Antibody stainingi

Antibody staining in the annotated cell types in the current human tissue is reported as not detected, low, medium, or high, based on conventional immunohistochemistry profiling in selected tissues. This score is based on the combination of the staining intensity and fraction of stained cells.

Each image is clickable and will lead to virtual microscopy that enables deeper exploration of all samples and also displays staining intensity scores, fraction scores and subcellular localization as well as patient and tissue information for each sample.

Antibody HPA006185Antibody HPA067477Antibody CAB002424
Langerhans -HighNot detected
Cells in basal layer Not detected--
Cells in corneal layer Not detected--
Cells in granular layer High--
Cells in spinous layer Medium--
Endothelial cells Not detected--
Extracellular matrix Not detected--
Fibroblasts -Not detectedNot detected
Fibrohistiocytic cells Not detected--
Keratinocytes -HighNot detected
Langerhans cells Not detected--
Lymphocytes Not detected--
Melanocytes Not detectedHighLow
Vascular mural cells Not detected--




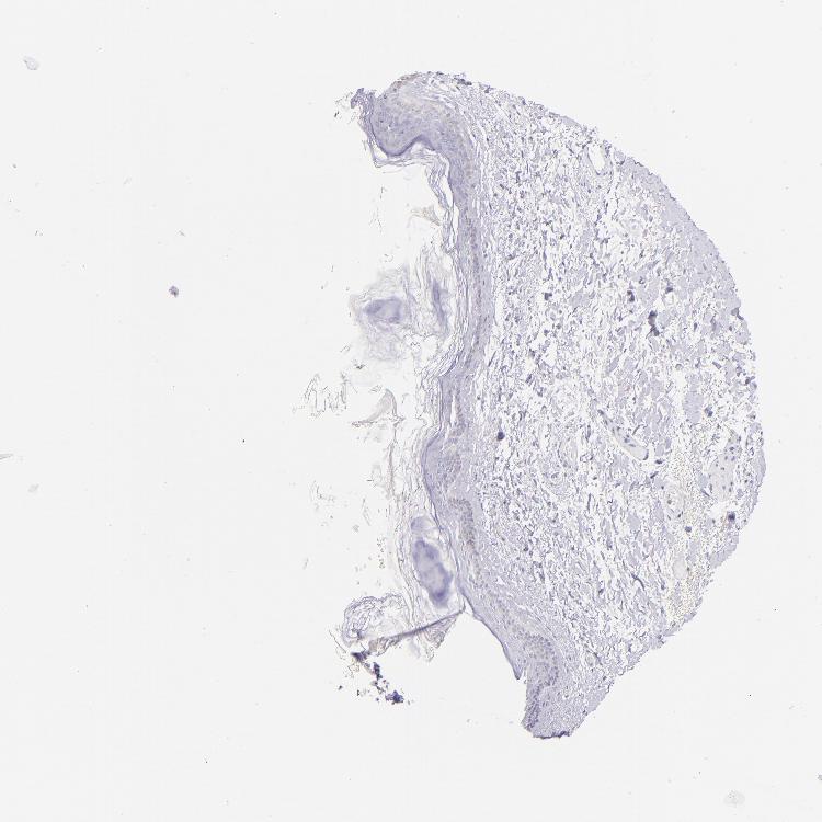
SKIN 2 - Antibody stainingi

Antibody staining in the annotated cell types in the current human tissue is reported as not detected, low, medium, or high, based on conventional immunohistochemistry profiling in selected tissues. This score is based on the combination of the staining intensity and fraction of stained cells.

Each image is clickable and will lead to virtual microscopy that enables deeper exploration of all samples and also displays staining intensity scores, fraction scores and subcellular localization as well as patient and tissue information for each sample.

Antibody HPA006185Antibody HPA067477Antibody CAB002424
Arrector pili muscle cells Not detected--
Cells in basal layer Not detected--
Cells in corneal layer Not detected--
Cells in granular layer Not detected--
Cells in spinous layer Low--
Endothelial cells Medium--
Epidermal cells -HighNot detected
Extracellular matrix Not detected--
Fibrohistiocytic cells Low--
Langerhans cells Not detected--
Lymphocytes Not detected--
Melanocytes Not detected--
Vascular mural cells Not detected--
   





SKIN - HPA RNA-seqi

The RNA-seq details section shows detailed information about the individual samples used for the transcript profiling and results of the RNA-seq analysis.

Information about each individual sample is listed below, including gender, age, a tissue section image and estimated fractions of cell types. nTPM (normalized transcripts per million) values give a quantification of the gene abundance which is comparable between different genes and samples.
Average nTPMi

Max subtype nTPM is the value for the subtype with the largest average nTPM across the subtype samples.

235.9
overview
Female, age 34
Skin sample 225
nTPM: 259.7
Cell types%
Keratinocytes:
60

Other cell types:
40

overview
Female, age 30
Skin sample 226
nTPM: 190.3
Cell types%
Keratinocytes:
55

Other cell types:
45

N/A
Male, age 57
Skin sample 227
nTPM: 257.8

SKIN - GTEx RNA-seqi

RNA-Seq data generated by the Genotype-Tissue Expression (GTEx) project from human tissues is reported as mean nTPM. More information can be found on the GTEx portal.

Distribution across the dataset is visualized with box plots, shown as median and 25th and 75th percentiles. Points are displayed as outliers if they are above or below 1.5 times the interquartile range. nTPM values of the individual samples are presented next to the box plot.
Max subtype nTPMi

Max subtype nTPM is the value for the subtype with the largest average nTPM across the subtype samples.

433.6
GTEx sample id Sample description nTPM
Skin - Not Sun Exposed (Suprapubic)
Average nTPM: 433.6
Samples: 604

Max nTPM: 1217.1
Min nTPM: 102.2
Std nTPM: 159.2
Median nTPM: 413.2
GTEX-1PPH8-0126-SM-EWRN8 20-29 years, male 1217.1
GTEX-1ICLZ-0326-SM-ARL82 60-69 years, male 1101.1
GTEX-Y114-2126-SM-4TT8B 50-59 years, female 988.1
GTEX-1MCYP-0526-SM-E9U6Q 20-29 years, female 957.9
GTEX-1OJC3-1226-SM-DTXER 20-29 years, male 951.8
GTEX-14ICL-1626-SM-5YYAO 30-39 years, male 907.7
GTEX-1E2YA-2126-SM-7MXUO 50-59 years, male 901.6
GTEX-17F9E-2326-SM-79OKD 50-59 years, male 883.3
GTEX-ZTX8-1326-SM-4YCEL 20-29 years, male 879.6
GTEX-1N2DV-1526-SM-DTXEP 40-49 years, male 877.8
GTEX-12WSH-1526-SM-5BC5W 50-59 years, male 853.0
GTEX-13OVK-1426-SM-6PAN7 40-49 years, male 852.4
GTEX-XBEW-1126-SM-4QARW 40-49 years, male 844.9
GTEX-WFG7-2026-SM-5SI7P 20-29 years, male 843.2
GTEX-1NSGN-0726-SM-DTXEF 50-59 years, male 837.6
GTEX-15RIG-0726-SM-7KUM7 40-49 years, male 828.8
GTEX-11DYG-1526-SM-5A5JS 60-69 years, male 828.2
GTEX-1IKOE-1426-SM-CE6T7 30-39 years, female 819.3
GTEX-1JMPY-0226-SM-CKZOK 30-39 years, male 812.5
GTEX-1H2FU-0926-SM-9WPPT 60-69 years, female 804.4
GTEX-1MJK3-0726-SM-E6CJC 20-29 years, male 801.9
GTEX-13JVG-0726-SM-5KM16 60-69 years, male 793.7
GTEX-1F6RS-2026-SM-7RHHC 60-69 years, female 790.0
GTEX-WH7G-2026-SM-3NMBL 40-49 years, male 789.4
GTEX-Y9LG-1126-SM-4VBQ7 30-39 years, male 785.2
GTEX-1399S-0126-SM-5IJCF 30-39 years, female 778.7
GTEX-1GPI7-1826-SM-9KNU1 20-29 years, male 770.9
GTEX-YFCO-1226-SM-5LUAT 40-49 years, male 770.6
GTEX-1NV5F-0626-SM-DTXEG 60-69 years, female 759.5
GTEX-14PJ3-1126-SM-5ZZVX 50-59 years, male 746.2
GTEX-1PIIG-2326-SM-DTXFR 30-39 years, male 744.7
GTEX-1PBJJ-1026-SM-E76OS 30-39 years, male 733.9
GTEX-ZY6K-1426-SM-5GZX2 50-59 years, male 729.6
GTEX-1HGF4-0126-SM-CNPPX 60-69 years, male 729.3
GTEX-18QFQ-1826-SM-72D52 30-39 years, male 719.2
GTEX-1192X-2726-SM-5N9DN 50-59 years, male 718.5
GTEX-14PII-0726-SM-6EU2B 60-69 years, male 698.4
GTEX-1GZ4H-0526-SM-9KNU9 50-59 years, female 687.5
GTEX-1QP2A-1726-SM-E76QC 50-59 years, male 685.2
GTEX-17HHE-1326-SM-7EWDZ 50-59 years, male 682.9
GTEX-1R9PN-0426-SM-DTXDT 40-49 years, female 680.3
GTEX-12WSJ-1126-SM-5LZVJ 40-49 years, female 676.8
GTEX-ZLV1-1526-SM-DO91J 60-69 years, female 673.8
GTEX-1HSMQ-2626-SM-A9SML 50-59 years, male 667.2
GTEX-1HBPN-0126-SM-CGQEF 50-59 years, male 666.6
GTEX-1A8G6-2726-SM-731AR 60-69 years, male 665.8
GTEX-1CAMS-2226-SM-7PBXQ 40-49 years, female 665.6
GTEX-14LZ3-0126-SM-69LPM 60-69 years, female 663.6
GTEX-1I1GP-1326-SM-A9G28 50-59 years, male 662.8
GTEX-1R9PM-1926-SM-EVR3O 20-29 years, male 658.6
GTEX-1RAZQ-1326-SM-E9TK6 30-39 years, male 657.6
GTEX-147F4-0726-SM-5TDDD 50-59 years, male 657.3
GTEX-UPJH-0226-SM-3GADV 50-59 years, male 647.3
GTEX-1S82U-1026-SM-E6CJK 30-39 years, female 644.2
GTEX-ZVZP-1226-SM-5GID7 50-59 years, male 643.9
GTEX-ZWKS-0626-SM-5GIDV 30-39 years, male 638.6
GTEX-17F9Y-0126-SM-79OKX 70-79 years, female 635.6
GTEX-1HSMP-0926-SM-A9SKX 70-79 years, male 631.0
GTEX-1F5PK-2226-SM-7SB6N 50-59 years, male 630.8
GTEX-1QP28-1126-SM-EVYC4 50-59 years, female 630.7
GTEX-11DZ1-2426-SM-5GZZX 50-59 years, male 629.7
GTEX-1QP9N-1226-SM-E76QN 30-39 years, male 626.4
GTEX-WHSB-1326-SM-3LK6W 50-59 years, male 625.9
GTEX-1HCU7-0726-SM-A9SL1 50-59 years, male 625.0
GTEX-17HII-1426-SM-7EPGG 50-59 years, male 623.0
GTEX-13O61-1426-SM-5KM3D 60-69 years, male 622.3
GTEX-1F6I4-2326-SM-7RHGL 60-69 years, male 622.3
GTEX-1LVAN-0626-SM-CNPOQ 50-59 years, female 621.5
GTEX-1H11D-1826-SM-9QEHM 40-49 years, male 621.1
GTEX-X585-2426-SM-46MW2 50-59 years, male 620.3
GTEX-ZYVF-0926-SM-5E44J 50-59 years, female 619.6
GTEX-12WSK-2126-SM-5CVNC 40-49 years, female 618.6
GTEX-1JMQJ-0826-SM-CNPP7 50-59 years, male 617.4
GTEX-1A3MV-1826-SM-731CD 30-39 years, male 617.1
GTEX-WHSE-0126-SM-3NMBT 20-29 years, male 615.0
GTEX-11ZU8-0126-SM-5EQ58 60-69 years, male 614.2
GTEX-ZUA1-2626-SM-5NQ92 40-49 years, male 613.6
GTEX-1QCLY-0226-SM-EWRNH 30-39 years, male 612.7
GTEX-17F98-1326-SM-7DUEP 40-49 years, female 609.3
GTEX-11EQ8-0926-SM-5H12V 60-69 years, male 609.1
GTEX-17F97-2626-SM-7IGM5 50-59 years, male 607.1
GTEX-1IE54-1126-SM-A9G2Z 40-49 years, female 600.9
GTEX-1J8EW-2726-SM-CY8HR 60-69 years, female 599.8
GTEX-11O72-0626-SM-5PNYE 40-49 years, male 599.7
GTEX-13PDP-0726-SM-5L3HP 60-69 years, male 599.4
GTEX-Y3I4-1726-SM-4TT89 50-59 years, male 598.9
GTEX-ZYT6-2326-SM-5GZY3 30-39 years, male 597.1
GTEX-14BIN-1126-SM-5RQJZ 50-59 years, female 590.3
GTEX-11OF3-0126-SM-5PNYF 60-69 years, male 588.9
GTEX-11DXZ-2026-SM-5987S 50-59 years, male 587.6
GTEX-111VG-1626-SM-5EGIO 60-69 years, male 587.5
GTEX-131XF-2626-SM-5EQ6K 60-69 years, male 586.6
GTEX-1CB4E-0926-SM-7EPHT 60-69 years, male 586.0
GTEX-1JN1M-2726-SM-CY8I4 60-69 years, female 585.8
GTEX-13IVO-0726-SM-5LZYV 70-79 years, male 585.3
GTEX-13PL6-1126-SM-5L3IE 40-49 years, female 584.2
GTEX-12ZZX-2426-SM-5GCOE 40-49 years, female 582.5
GTEX-111CU-1126-SM-5EGIM 50-59 years, male 579.9
GTEX-145MF-0926-SM-5Q5EA 50-59 years, male 579.1
GTEX-YECK-0326-SM-4W1YS 60-69 years, male 579.1
GTEX-1GN1V-2826-SM-9JGIA 60-69 years, male 576.5
GTEX-1CAMQ-1326-SM-7P8RV 40-49 years, male 576.1
GTEX-11PRG-0726-SM-5EGL1 50-59 years, male 575.5
GTEX-1H1CY-0126-SM-9YFLY 60-69 years, female 575.2
GTEX-15CHR-1126-SM-7EWF4 50-59 years, male 575.0
GTEX-1S82P-2126-SM-E6CI5 60-69 years, female 572.7
GTEX-1RMOY-1326-SM-E9TIH 50-59 years, male 571.9
GTEX-1399Q-2326-SM-5KM2X 40-49 years, male 571.2
GTEX-139UW-0326-SM-5J1ML 60-69 years, male 570.3
GTEX-12WSF-1626-SM-7KUG5 70-79 years, male 569.2
GTEX-16AAH-0626-SM-793C9 50-59 years, male 565.9
GTEX-1CAMR-1326-SM-7PC1F 20-29 years, male 564.9
GTEX-1B8KE-1126-SM-7EPHI 50-59 years, male 563.8
GTEX-ZPCL-1126-SM-4WWFE 60-69 years, female 562.1
GTEX-13G51-1826-SM-5KLZH 60-69 years, male 561.7
GTEX-18D9A-1426-SM-7LT8M 30-39 years, female 561.3
GTEX-1C64O-1326-SM-7MGWR 60-69 years, male 558.4
GTEX-1GN1W-2426-SM-9KNUU 50-59 years, female 557.8
GTEX-1EMGI-2326-SM-7PBYA 60-69 years, male 557.7
GTEX-139TU-0726-SM-5L3EK 60-69 years, male 556.3
GTEX-131XG-0326-SM-5L3DX 50-59 years, female 552.3
GTEX-14PJ6-2626-SM-6EU2T 60-69 years, female 552.1
GTEX-11DXX-2126-SM-5PNYR 60-69 years, female 551.9
GTEX-XQ8I-0926-SM-4BOOF 50-59 years, male 546.8
GTEX-14B4R-1326-SM-5Q5EZ 30-39 years, male 545.9
GTEX-ZF29-0926-SM-4WKFZ 60-69 years, female 544.7
GTEX-13OW6-2726-SM-5J2OE 50-59 years, male 541.4
GTEX-11P7K-1126-SM-5HL4L 30-39 years, male 539.6
GTEX-14PHX-2226-SM-6EU2P 50-59 years, male 536.6
GTEX-15G1A-1626-SM-7KUKN 30-39 years, male 536.3
GTEX-1H3O1-1326-SM-9MQLD 60-69 years, male 536.1
GTEX-1N5O9-0926-SM-E9J3C 60-69 years, male 536.1
GTEX-1HCU6-2526-SM-ADEHL 60-69 years, female 534.9
GTEX-XQ3S-1426-SM-4BOPR 20-29 years, male 534.7
GTEX-14E1K-2026-SM-7DUEI 50-59 years, male 533.1
GTEX-1JMLX-0626-SM-ARL8T 50-59 years, male 532.4
GTEX-1GF9V-0826-SM-9KNUV 60-69 years, male 531.5
GTEX-17MFQ-1526-SM-7KFRR 20-29 years, male 530.7
GTEX-15RIE-1926-SM-7KUKJ 60-69 years, male 528.9
GTEX-14PJO-2526-SM-6AJBQ 60-69 years, male 527.9
GTEX-1CB4F-1026-SM-7DUH1 60-69 years, male 527.6
GTEX-1B933-2426-SM-7DHMD 50-59 years, female 524.5
GTEX-1F75I-2226-SM-7SB8U 40-49 years, male 523.7
GTEX-11TT1-1826-SM-5EQLV 20-29 years, male 523.5
GTEX-13W3W-0726-SM-5IJDQ 60-69 years, female 523.1
GTEX-1I1GT-1026-SM-ARZLV 60-69 years, female 520.5
GTEX-1313W-0626-SM-5EQ4H 50-59 years, female 518.7
GTEX-139TT-2126-SM-5LZWC 60-69 years, male 515.0
GTEX-1B97I-0626-SM-73KUZ 40-49 years, male 512.8
GTEX-ZT9X-1526-SM-5DUXD 40-49 years, male 512.3
GTEX-1KAFJ-0126-SM-DIPEK 50-59 years, male 510.7
GTEX-Z93S-1626-SM-5CVMB 50-59 years, male 508.9
GTEX-1HKZK-0726-SM-ACKW2 40-49 years, male 508.2
GTEX-YEC3-1326-SM-DO92X 50-59 years, male 508.0
GTEX-1GZ4I-2626-SM-9KNU3 50-59 years, male 507.6
GTEX-14PHY-1226-SM-5ZZWK 60-69 years, female 505.9
GTEX-1H1DE-1326-SM-9KNUG 20-29 years, male 503.0
GTEX-14C39-1726-SM-5RQIL 40-49 years, male 502.6
GTEX-1JJEA-1826-SM-ARU8P 60-69 years, male 502.5
GTEX-1PDJ9-1226-SM-EXUSX 20-29 years, male 502.5
GTEX-17KNJ-2126-SM-718AM 50-59 years, male 501.9
GTEX-18A66-0626-SM-7LT8Z 60-69 years, male 501.4
GTEX-17F96-0126-SM-7EWDU 70-79 years, male 501.0
GTEX-15DDE-2926-SM-6LLJ3 50-59 years, female 499.2
GTEX-1RB15-1326-SM-E76Q9 60-69 years, male 499.0
GTEX-15ER7-0626-SM-6PANF 20-29 years, female 497.7
GTEX-WI4N-2726-SM-3LK7Y 40-49 years, female 496.3
GTEX-13QJC-0126-SM-5ZZWJ 60-69 years, female 495.6
GTEX-14PJ4-0226-SM-5YY92 60-69 years, male 494.6
GTEX-1CB4I-0126-SM-7RHGG 50-59 years, male 492.3
GTEX-1LBAC-0826-SM-CY8IJ 20-29 years, male 490.5
GTEX-WHWD-1826-SM-3LK6I 50-59 years, male 489.7
GTEX-1BAJH-2426-SM-7IGP8 70-79 years, male 489.6
GTEX-1LKK1-2626-SM-DKPQE 50-59 years, female 488.9
GTEX-Y111-0626-SM-4SOIT 50-59 years, male 487.5
GTEX-12ZZZ-0726-SM-5GCNZ 60-69 years, male 487.1
GTEX-12KS4-2126-SM-5FQUT 30-39 years, male 486.0
GTEX-1QW4Y-1126-SM-DTXE3 30-39 years, male 485.3
GTEX-ZVT4-2426-SM-5GIEI 50-59 years, female 484.7
GTEX-15D1Q-2826-SM-6LLH7 40-49 years, male 484.3
GTEX-ZE7O-2726-SM-51MT5 50-59 years, female 484.2
GTEX-1GMRU-2126-SM-7P8RA 50-59 years, male 484.2
GTEX-18A6Q-0626-SM-7KFRP 60-69 years, male 483.4
GTEX-1S3DN-2126-SM-E9TIN 50-59 years, male 483.3
GTEX-145LU-1926-SM-79OJN 50-59 years, male 482.7
GTEX-ZDTT-0426-SM-4WKFL 60-69 years, male 481.8
GTEX-11WQK-1026-SM-5EQLX 50-59 years, male 481.5
GTEX-18A7B-2726-SM-7LG56 70-79 years, male 481.5
GTEX-XUW1-0926-SM-4BONX 50-59 years, female 480.2
GTEX-WFON-1926-SM-3LK7L 40-49 years, male 479.4
GTEX-1S831-1826-SM-EWROF 20-29 years, male 478.7
GTEX-15RJE-2826-SM-7KUM9 40-49 years, male 478.2
GTEX-1S83E-1326-SM-E6CJM 40-49 years, male 477.6
GTEX-14PJN-1826-SM-6AJ98 30-39 years, male 477.5
GTEX-13NYS-0626-SM-5L3F1 60-69 years, male 476.3
GTEX-1HR9M-2226-SM-CNPPY 60-69 years, male 475.9
GTEX-16MTA-0926-SM-6M47Z 50-59 years, male 475.4
GTEX-13NYB-0126-SM-5J1MD 40-49 years, male 475.3
GTEX-13FTX-1526-SM-5K7VJ 20-29 years, female 475.2
GTEX-18A67-1626-SM-7LT9T 50-59 years, male 474.0
GTEX-ZC5H-1526-SM-5HL9Y 40-49 years, female 473.1
GTEX-1GN73-0726-SM-7P8TJ 60-69 years, male 473.0
GTEX-1QPFJ-1926-SM-EVYBD 30-39 years, female 473.0
GTEX-11P81-2226-SM-5PNYI 30-39 years, female 471.8
GTEX-15G19-2426-SM-7KUMR 60-69 years, male 471.5
GTEX-1PIGE-1826-SM-E8VOU 20-29 years, male 471.1
GTEX-13NZ8-1226-SM-5KM4A 60-69 years, female 471.0
GTEX-1I1GV-0626-SM-ARL7M 60-69 years, male 469.9
GTEX-1IKJJ-2226-SM-CJI4C 60-69 years, male 469.2
GTEX-1HSKV-1226-SM-ADEI4 60-69 years, male 468.6
GTEX-1LGRB-0926-SM-COH3K 50-59 years, female 467.7
GTEX-14753-0726-SM-5QGQO 60-69 years, male 467.3
GTEX-1EX96-1026-SM-7MKG2 50-59 years, male 467.0
GTEX-131XW-0626-SM-5PNVD 50-59 years, female 465.7
GTEX-1F52S-2926-SM-7MKGA 60-69 years, female 465.2
GTEX-1CB4J-1326-SM-7P8RX 60-69 years, male 464.2
GTEX-1122O-1026-SM-9WYSF 60-69 years, female 464.0
GTEX-ZP4G-1426-SM-4WWCL 20-29 years, female 463.8
GTEX-X5EB-1926-SM-4E3IW 40-49 years, male 462.9
GTEX-YEC4-1826-SM-4W1YP 40-49 years, male 462.1
GTEX-1A8G7-1326-SM-73KVM 60-69 years, male 462.0
GTEX-1399U-1126-SM-5L3DB 50-59 years, female 460.5
GTEX-11P82-1426-SM-DTXFY 20-29 years, male 459.9
GTEX-13NYC-0126-SM-5L3F4 60-69 years, male 459.8
GTEX-X4EO-2926-SM-4E3JH 60-69 years, female 459.7
GTEX-1I1GU-0926-SM-ACKVS 40-49 years, male 458.8
GTEX-ZVP2-0326-SM-57WBP 50-59 years, male 458.5
GTEX-145ME-1726-SM-5Q5EU 40-49 years, female 458.3
GTEX-1IDFM-0326-SM-ARL7V 60-69 years, male 458.1
GTEX-ZDYS-2426-SM-4WKGI 50-59 years, male 457.7
GTEX-14XAO-1226-SM-6EU1C 60-69 years, female 456.4
GTEX-1N2EE-0626-SM-E76PW 60-69 years, male 456.2
GTEX-1C6WA-2626-SM-7MKGM 60-69 years, male 455.8
GTEX-15CHQ-0326-SM-69LQD 60-69 years, male 455.5
GTEX-ZF2S-1626-SM-57WES 50-59 years, female 455.3
GTEX-ZXG5-2126-SM-59HKD 60-69 years, male 453.8
GTEX-14PJ5-1526-SM-6LLIL 60-69 years, female 453.7
GTEX-1J1OQ-0126-SM-D4P2N 40-49 years, female 453.6
GTEX-ZDTS-0826-SM-4WKHL 60-69 years, male 453.0
GTEX-ZTSS-1426-SM-5985P 40-49 years, male 451.8
GTEX-ZYW4-0626-SM-59HJR 60-69 years, male 451.4
GTEX-1POEN-2326-SM-E9J2L 30-39 years, female 451.4
GTEX-WHPG-2626-SM-3NMBR 50-59 years, male 451.1
GTEX-1IY9M-2826-SM-ARU8H 60-69 years, male 450.7
GTEX-13OVL-0126-SM-5L3GJ 50-59 years, male 449.5
GTEX-14JG1-1526-SM-5YY9X 40-49 years, male 448.9
GTEX-1HT8W-0626-SM-A9G2H 30-39 years, male 448.4
GTEX-11DXY-0126-SM-5H11Q 60-69 years, male 447.9
GTEX-16GPK-0626-SM-7KFSF 60-69 years, male 447.5
GTEX-14JG6-1426-SM-9WG7C 30-39 years, female 447.1
GTEX-Y5V6-2326-SM-4VDSA 60-69 years, male 446.6
GTEX-11WQC-1826-SM-5GU59 60-69 years, male 446.5
GTEX-145MH-2826-SM-5RQJF 50-59 years, male 445.2
GTEX-17HHY-0426-SM-7DHLC 50-59 years, male 444.9
GTEX-131XH-0126-SM-5LZUY 50-59 years, male 442.1
GTEX-15RJ7-2126-SM-6PAMD 40-49 years, male 441.5
GTEX-14PKV-1126-SM-6LLJ1 20-29 years, female 440.0
GTEX-1JK1U-0226-SM-ARZMX 60-69 years, male 440.0
GTEX-133LE-2326-SM-5K7W3 20-29 years, female 439.1
GTEX-1LSVX-2526-SM-DIPEU 60-69 years, male 438.7
GTEX-1F88F-0126-SM-9WYSZ 60-69 years, female 437.9
GTEX-148VJ-0626-SM-5LUAW 70-79 years, male 436.9
GTEX-1HFI6-0126-SM-CNPPI 40-49 years, male 435.8
GTEX-15SKB-2826-SM-6PAMH 60-69 years, male 435.6
GTEX-ZLFU-1826-SM-4WWBV 40-49 years, male 435.4
GTEX-1B8SF-0126-SM-7DUG3 60-69 years, male 434.6
GTEX-13SLW-0626-SM-5Q5ER 70-79 years, male 434.1
GTEX-1PPGY-1626-SM-EVYBL 60-69 years, male 433.1
GTEX-183FY-1026-SM-7939A 20-29 years, male 432.8
GTEX-12126-0826-SM-5FQTZ 20-29 years, male 432.4
GTEX-1AX9I-2226-SM-73KUO 60-69 years, male 432.2
GTEX-146FQ-2126-SM-5RQHU 30-39 years, male 431.9
GTEX-1C2JI-1026-SM-73KY1 50-59 years, male 431.9
GTEX-XAJ8-1426-SM-47JYM 40-49 years, male 431.5
GTEX-1HCUA-0826-SM-ADEHM 50-59 years, female 430.7
GTEX-1IL2V-1926-SM-B2LW8 70-79 years, male 429.8
GTEX-1C64N-2626-SM-7PC2N 50-59 years, male 428.6
GTEX-1GN1U-0626-SM-9MQL9 50-59 years, female 427.7
GTEX-1LVAM-0726-SM-E6CIL 50-59 years, female 426.1
GTEX-1KANB-2826-SM-CY8I6 50-59 years, male 425.9
GTEX-12WSM-1926-SM-5BC65 60-69 years, male 423.9
GTEX-15DYW-2726-SM-6EU2I 60-69 years, female 423.2
GTEX-11NUK-2726-SM-5A5MC 50-59 years, male 423.1
GTEX-1C6VR-0126-SM-7RHGB 60-69 years, male 422.1
GTEX-13OW5-2326-SM-5L3HO 60-69 years, male 422.0
GTEX-1GF9X-1326-SM-7PC2Y 40-49 years, female 421.9
GTEX-13N1W-2426-SM-5IJD1 70-79 years, male 421.8
GTEX-1JMQK-1226-SM-D4P2S 60-69 years, male 421.6
GTEX-1LSNM-0826-SM-DIPG8 50-59 years, male 421.5
GTEX-145MO-2826-SM-5LU96 60-69 years, male 420.9
GTEX-V1D1-2026-SM-3GAF4 50-59 years, male 420.7
GTEX-1H4P4-2126-SM-9WYSL 50-59 years, male 420.2
GTEX-1GPI6-1926-SM-9KNV7 60-69 years, male 420.0
GTEX-18465-2826-SM-7LT9J 50-59 years, male 418.8
GTEX-13O3O-2326-SM-5IJD6 60-69 years, female 415.9
GTEX-144GL-0626-SM-5LU4D 50-59 years, male 415.6
GTEX-13FLV-0126-SM-5K7WT 50-59 years, male 415.4
GTEX-1F75A-0726-SM-7RHHD 50-59 years, male 414.8
GTEX-1JJ6O-2726-SM-CNPOG 60-69 years, male 414.7
GTEX-144GM-0526-SM-79OJO 20-29 years, male 414.0
GTEX-13X6K-0626-SM-5LU5D 60-69 years, female 413.7
GTEX-14JFF-0626-SM-5ZZVT 60-69 years, male 413.2
GTEX-13RTJ-0126-SM-5S2NN 60-69 years, male 413.1
GTEX-14PK6-0226-SM-62LF5 70-79 years, female 412.8
GTEX-1AX8Z-0726-SM-73KTS 60-69 years, male 412.6
GTEX-1HB9E-0126-SM-CM2S5 50-59 years, male 412.4
GTEX-13FTY-2126-SM-5IFFB 40-49 years, female 412.2
GTEX-139D8-1126-SM-5LU8W 30-39 years, female 411.1
GTEX-147GR-2426-SM-5ZZWQ 60-69 years, male 409.2
GTEX-1HCVE-2726-SM-CL54F 50-59 years, male 409.2
GTEX-145MN-1526-SM-5SI9T 30-39 years, male 409.0
GTEX-11VI4-1126-SM-5EQMD 40-49 years, female 408.5
GTEX-1JN76-0626-SM-CKZOQ 20-29 years, female 408.3
GTEX-16BQI-1326-SM-6M486 30-39 years, female 408.0
GTEX-WXYG-2026-SM-4E3IY 50-59 years, female 407.2
GTEX-1C6VQ-1226-SM-73KYD 50-59 years, male 407.1
GTEX-1LVA9-2626-SM-EVYD4 50-59 years, male 406.9
GTEX-1AMEY-0826-SM-72D65 30-39 years, female 405.8
GTEX-ZZPU-0826-SM-5GZX5 50-59 years, female 405.2
GTEX-ZDXO-3126-SM-5IJDF 60-69 years, male 404.2
GTEX-ZF3C-0626-SM-DO92O 50-59 years, female 403.5
GTEX-1JMQI-1726-SM-ARL93 50-59 years, male 403.1
GTEX-14C5O-0326-SM-5ZZUX 60-69 years, male 401.5
GTEX-WRHU-2826-SM-3MJG8 50-59 years, female 400.2
GTEX-1K2DU-1226-SM-CYPT4 20-29 years, male 399.0
GTEX-11ZTT-2126-SM-5CVLO 60-69 years, female 398.9
GTEX-18D9U-0126-SM-731BM 40-49 years, male 398.4
GTEX-17EVP-2626-SM-7IGMA 40-49 years, male 397.7
GTEX-1PPH7-1126-SM-DTX9A 40-49 years, male 396.3
GTEX-11GS4-0226-SM-5HL77 60-69 years, male 394.9
GTEX-1R7EU-1626-SM-DTXG3 60-69 years, male 394.8
GTEX-1OJC4-2726-SM-E76PJ 50-59 years, female 394.3
GTEX-XXEK-1626-SM-4BRUZ 50-59 years, male 393.6
GTEX-15UF6-1926-SM-7KUDV 70-79 years, female 393.3
GTEX-1I1HK-2326-SM-CKZOH 60-69 years, male 393.3
GTEX-1212Z-0126-SM-59HK4 60-69 years, male 390.2
GTEX-1IOXB-2726-SM-CM2RI 50-59 years, male 389.8
GTEX-1KXAM-1626-SM-D3LAD 60-69 years, male 389.8
GTEX-144GO-2026-SM-5O99P 60-69 years, male 389.1
GTEX-WEY5-2326-SM-3GIKK 40-49 years, female 388.8
GTEX-ZYFD-0626-SM-5E44E 50-59 years, male 388.4
GTEX-ZVE1-0726-SM-51MRN 50-59 years, female 387.9
GTEX-XPVG-2126-SM-4B667 50-59 years, male 387.8
GTEX-WY7C-2126-SM-3NB2R 50-59 years, male 387.7
GTEX-13PVQ-0626-SM-5LU47 50-59 years, male 387.1
GTEX-Y8E4-2026-SM-5IFJB 40-49 years, male 386.9
GTEX-14BMV-2826-SM-5TDED 50-59 years, male 386.2
GTEX-16YQH-2226-SM-7IGM2 30-39 years, male 386.1
GTEX-12WSD-0626-SM-5GCMW 60-69 years, female 385.9
GTEX-1HBPI-2126-SM-ARL9K 50-59 years, male 385.8
GTEX-ZE9C-2526-SM-5IJDR 60-69 years, male 385.5
GTEX-147F3-1726-SM-5SIAW 50-59 years, female 384.5
GTEX-1ICLY-0826-SM-CMKG1 50-59 years, male 384.4
GTEX-1MCC2-1826-SM-DIPEX 30-39 years, female 383.6
GTEX-1H23P-0626-SM-9WG6T 60-69 years, male 383.5
GTEX-1AYD5-2626-SM-7PBXY 50-59 years, male 382.9
GTEX-17HGU-2326-SM-7DUFE 50-59 years, male 382.7
GTEX-14LLW-2626-SM-62LDZ 70-79 years, female 381.8
GTEX-1H1E6-0426-SM-9WYUS 30-39 years, male 381.1
GTEX-1HR98-2226-SM-ADEI2 60-69 years, male 380.3
GTEX-13VXU-0626-SM-5L3F9 50-59 years, male 380.2
GTEX-1QMI2-2526-SM-E8VNZ 60-69 years, male 378.2
GTEX-11EQ9-1626-SM-5PNY8 30-39 years, male 377.2
GTEX-1EKGG-0626-SM-7DUGJ 60-69 years, male 375.7
GTEX-11UD2-2526-SM-5CVNU 50-59 years, male 374.8
GTEX-1EH9U-2826-SM-7DUGT 60-69 years, male 374.4
GTEX-13U4I-2226-SM-5LU5H 40-49 years, female 374.3
GTEX-1KANA-1326-SM-DIPFA 20-29 years, male 373.2
GTEX-15EO6-2426-SM-6PALZ 50-59 years, male 372.7
GTEX-1K2DA-1026-SM-CGQGF 50-59 years, male 371.7
GTEX-1LB8K-0726-SM-D5OV2 50-59 years, male 370.8
GTEX-145MG-1526-SM-5Q5EM 50-59 years, male 370.4
GTEX-1R9K4-2826-SM-DTX8F 60-69 years, male 370.1
GTEX-13VXT-1926-SM-5K7UO 20-29 years, female 369.6
GTEX-1269C-0126-SM-5EQ5L 60-69 years, female 368.7
GTEX-1JKYN-0826-SM-ARU8S 30-39 years, male 368.5
GTEX-13OW7-0426-SM-5K7VK 50-59 years, male 368.3
GTEX-ZTTD-2826-SM-4YCFA 50-59 years, male 368.3
GTEX-12ZZY-0726-SM-5EQ66 60-69 years, male 367.5
GTEX-144FL-0626-SM-5LU43 50-59 years, male 366.4
GTEX-1R46S-2426-SM-E76QA 60-69 years, female 365.7
GTEX-14ABY-2026-SM-62LDL 50-59 years, male 364.8
GTEX-Y5LM-0926-SM-6LLJG 40-49 years, female 364.7
GTEX-1J1R8-2026-SM-CL53Y 40-49 years, male 364.5
GTEX-13NZ9-2626-SM-5L3FK 50-59 years, male 364.3
GTEX-ZA64-1026-SM-5HL8R 20-29 years, male 364.3
GTEX-ZU9S-1826-SM-5NQ9E 30-39 years, male 362.8
GTEX-1GN2E-0226-SM-9WG6K 60-69 years, male 361.0
GTEX-1JMQL-2226-SM-CNPP4 50-59 years, female 360.6
GTEX-13O3Q-0126-SM-5KM34 50-59 years, male 360.2
GTEX-ZZ64-1026-SM-5GZXG 20-29 years, male 358.3
GTEX-11LCK-2226-SM-5HL4Q 30-39 years, male 357.9
GTEX-XBED-1926-SM-47JYP 60-69 years, male 357.6
GTEX-11GSP-2326-SM-5HL63 60-69 years, female 357.5
GTEX-12C56-1526-SM-5FQUQ 20-29 years, male 357.4
GTEX-139YR-1026-SM-5LZYN 50-59 years, male 356.2
GTEX-XK95-0226-SM-4AT58 40-49 years, male 355.7
GTEX-ZPIC-0526-SM-DO91W 40-49 years, female 355.2
GTEX-15SHW-0226-SM-7LTAT 60-69 years, male 354.2
GTEX-13SLX-2226-SM-62LEP 50-59 years, female 353.3
GTEX-12696-0126-SM-5EQ4L 60-69 years, male 352.7
GTEX-1HSGN-0826-SM-ACKW3 40-49 years, female 352.2
GTEX-13PVR-0426-SM-5RQK2 60-69 years, female 352.1
GTEX-1J8Q2-2626-SM-ACKWQ 60-69 years, male 351.9
GTEX-1J8QM-2426-SM-A9SLS 60-69 years, female 351.4
GTEX-1A8FM-0626-SM-7PC25 50-59 years, female 350.7
GTEX-1I6K7-1926-SM-B2LXR 40-49 years, male 350.5
GTEX-12WSC-2826-SM-5BC5Y 50-59 years, male 350.1
GTEX-15FZZ-0526-SM-7KUGD 30-39 years, female 350.0
GTEX-13D11-0926-SM-5J2NC 50-59 years, female 349.9
GTEX-1B8KZ-0326-SM-73KY4 50-59 years, male 349.3
GTEX-11TUW-0626-SM-5LU9M 60-69 years, male 349.2
GTEX-139T8-0626-SM-5KLZX 60-69 years, male 349.1
GTEX-1HFI7-2326-SM-CGQFS 50-59 years, female 348.9
GTEX-XYKS-1426-SM-4BRUO 60-69 years, female 348.2
GTEX-11DXW-0826-SM-5H118 40-49 years, male 347.9
GTEX-13112-0126-SM-5P9IU 50-59 years, male 347.3
GTEX-1F75B-0726-SM-7PC3R 50-59 years, male 347.1
GTEX-1B932-2326-SM-79OL5 40-49 years, female 346.8
GTEX-1IDJC-1526-SM-B2LW4 50-59 years, male 345.1
GTEX-1B996-0426-SM-7EWF8 60-69 years, male 344.8
GTEX-111YS-1526-SM-5GZYW 60-69 years, male 344.3
GTEX-1M4P7-0726-SM-E6CJ3 60-69 years, male 343.9
GTEX-1211K-1526-SM-5FQU4 60-69 years, female 343.6
GTEX-14PKU-0126-SM-6LLHV 40-49 years, female 343.6
GTEX-1RAZS-2526-SM-E6CHT 50-59 years, male 342.1
GTEX-WYJK-0526-SM-3NM8Z 50-59 years, male 339.2
GTEX-W5X1-2526-SM-3GILC 40-49 years, female 339.1
GTEX-178AV-1726-SM-7KUL8 40-49 years, male 338.7
GTEX-11ZUS-2626-SM-5FQUR 30-39 years, male 336.9
GTEX-ZPU1-1126-SM-4YCF3 40-49 years, male 336.4
GTEX-16MT8-2926-SM-7DUFO 60-69 years, female 334.3
GTEX-14AS3-1526-SM-5Q5ED 40-49 years, female 333.4
GTEX-145LS-0626-SM-7EPG7 60-69 years, female 333.2
GTEX-145LT-0526-SM-5LUB2 40-49 years, male 332.9
GTEX-1GTWX-2026-SM-9YFLM 60-69 years, male 332.9
GTEX-14A6H-2026-SM-5Q5DD 30-39 years, male 332.1
GTEX-15CHC-1126-SM-6LLHQ 60-69 years, female 331.6
GTEX-11NSD-0626-SM-5A5LU 20-29 years, male 331.5
GTEX-ZYFC-0426-SM-5GICQ 50-59 years, male 331.2
GTEX-13OVH-0526-SM-5L3E6 70-79 years, male 331.0
GTEX-1AX9J-1326-SM-731BJ 60-69 years, male 330.4
GTEX-1H1DG-2426-SM-9QEHJ 70-79 years, male 330.1
GTEX-YJ8O-2526-SM-5HL85 40-49 years, female 329.5
GTEX-1HBPM-0726-SM-9YFL7 60-69 years, female 328.8
GTEX-1IDJF-2026-SM-CL53V 20-29 years, male 328.8
GTEX-139TS-2126-SM-5K7XC 60-69 years, male 327.5
GTEX-13X6H-0926-SM-5SIB2 50-59 years, female 326.8
GTEX-1I4MK-0126-SM-CY8G6 50-59 years, female 325.1
GTEX-1RLM8-2926-SM-E8VON 50-59 years, male 324.8
GTEX-1IDJU-1726-SM-CMKHU 60-69 years, female 324.6
GTEX-1QAET-0326-SM-EVR3U 50-59 years, male 324.2
GTEX-145MI-0626-SM-5SI8S 60-69 years, female 323.6
GTEX-13FTW-0326-SM-5K7UW 40-49 years, male 321.9
GTEX-1I1GS-2626-SM-B2LY3 60-69 years, male 321.9
GTEX-ZAK1-0626-SM-5HL8E 50-59 years, female 321.2
GTEX-13JUV-2026-SM-5K7UA 40-49 years, female 321.0
GTEX-Y3IK-1626-SM-4YCF5 50-59 years, female 320.2
GTEX-1GMR3-0126-SM-A9SLW 40-49 years, male 319.1
GTEX-13YAN-0226-SM-5TDC6 60-69 years, male 318.1
GTEX-131YS-2826-SM-5EQ47 60-69 years, female 317.9
GTEX-16Z82-2626-SM-7KULU 60-69 years, male 317.3
GTEX-1LG7Y-2526-SM-EWRO7 50-59 years, male 316.9
GTEX-1GMR2-0826-SM-7PC3V 50-59 years, male 316.1
GTEX-1GL5R-1326-SM-7RHHF 50-59 years, male 315.8
GTEX-1B8L1-2226-SM-7P8PT 60-69 years, male 314.5
GTEX-ZYY3-2926-SM-5GIEB 60-69 years, female 314.4
GTEX-ZGAY-1826-SM-DO91Q 40-49 years, female 314.3
GTEX-13OVJ-0826-SM-5J1OK 50-59 years, female 314.1
GTEX-1497J-0226-SM-5QGPU 60-69 years, male 314.1
GTEX-WK11-2726-SM-3NMAQ 50-59 years, male 313.8
GTEX-14DAR-1226-SM-73KYV 50-59 years, male 313.7
GTEX-15EU6-2226-SM-6EU2L 50-59 years, male 312.3
GTEX-ZAB4-2126-SM-5HL8U 40-49 years, male 311.7
GTEX-VUSG-2326-SM-4KL1U 50-59 years, male 309.2
GTEX-183WM-0326-SM-72D5V 70-79 years, female 308.9
GTEX-1EU9M-1426-SM-793AI 60-69 years, male 308.6
GTEX-1JN6P-2926-SM-CL54D 60-69 years, male 308.0
GTEX-1S5ZU-2526-SM-E6CIF 20-29 years, female 308.0
GTEX-13OW8-1026-SM-5J1NQ 60-69 years, male 307.9
GTEX-13X6J-0626-SM-5LU5F 50-59 years, male 307.8
GTEX-1HCU9-0426-SM-9WYSD 20-29 years, male 307.2
GTEX-14C38-0726-SM-5SI6M 50-59 years, male 305.7
GTEX-XOT4-0626-SM-4B66L 60-69 years, female 305.0
GTEX-13OVG-1626-SM-5J1NF 60-69 years, male 303.6
GTEX-1HCU8-2526-SM-CE6RX 60-69 years, female 302.6
GTEX-XMD2-2126-SM-4YCF8 60-69 years, female 302.5
GTEX-1AMFI-1326-SM-7939R 50-59 years, female 301.2
GTEX-XV7Q-1826-SM-4BRUV 40-49 years, female 301.0
GTEX-132AR-0326-SM-5KM2C 50-59 years, female 300.3
GTEX-WYVS-1626-SM-3NM9R 40-49 years, female 300.0
GTEX-1H3VE-0726-SM-9YFL5 40-49 years, male 299.8
GTEX-1GZ2Q-0126-SM-9WG6M 40-49 years, male 299.5
GTEX-1H1ZS-2726-SM-9WG75 70-79 years, male 298.6
GTEX-1JKYR-0626-SM-ARL8R 20-29 years, male 298.4
GTEX-14A5H-0826-SM-5QGPJ 60-69 years, male 297.5
GTEX-18A7A-0126-SM-731AH 50-59 years, female 296.1
GTEX-XBEC-0726-SM-4QARZ 50-59 years, male 294.7
GTEX-Y8LW-1526-SM-5IFHL 50-59 years, female 294.3
GTEX-147JS-0226-SM-5S2U9 60-69 years, male 293.6
GTEX-1LSNL-2726-SM-E9TKJ 50-59 years, male 293.2
GTEX-16NGA-0726-SM-731AO 40-49 years, female 292.5
GTEX-1EN7A-2426-SM-793DB 40-49 years, male 291.3
GTEX-1GZHY-0626-SM-9KNVC 50-59 years, female 290.7
GTEX-1CB4H-1126-SM-7MKGL 60-69 years, female 290.2
GTEX-11EI6-2826-SM-5H11D 60-69 years, male 290.0
GTEX-1KD5A-0126-SM-E9U54 50-59 years, male 289.6
GTEX-111FC-2526-SM-5GZXU 60-69 years, male 289.0
GTEX-12BJ1-0926-SM-5EQ62 60-69 years, male 286.1
GTEX-1A3MW-0626-SM-731CB 60-69 years, female 284.7
GTEX-1ICG6-1226-SM-A9SLN 70-79 years, female 284.3
GTEX-1LG7Z-1626-SM-CXKYR 30-39 years, male 283.6
GTEX-16MT9-0126-SM-7EPI8 60-69 years, female 282.9
GTEX-1IDJV-0126-SM-COH3Y 60-69 years, male 282.8
GTEX-ZVT2-0126-SM-5GIDQ 50-59 years, female 280.3
GTEX-1IDJI-0126-SM-CMKHS 50-59 years, female 280.0
GTEX-1GMR8-0626-SM-7RHI7 50-59 years, female 279.3
GTEX-14BMU-1226-SM-5S2OR 20-29 years, female 278.1
GTEX-1J8JJ-0626-SM-ARZMQ 60-69 years, female 277.4
GTEX-16NPX-0726-SM-7KULC 50-59 years, male 277.1
GTEX-1K9T9-1526-SM-DIPFR 50-59 years, female 276.7
GTEX-1E1VI-0326-SM-793D1 50-59 years, male 276.4
GTEX-14E6E-0526-SM-793DN 30-39 years, male 276.2
GTEX-X3Y1-2026-SM-3P5YM 40-49 years, male 275.0
GTEX-1JJE9-2626-SM-ARZMT 70-79 years, male 272.5
GTEX-1EWIQ-0326-SM-7DHMQ 70-79 years, female 272.1
GTEX-13FHO-0426-SM-5L3F5 60-69 years, male 271.9
GTEX-11EM3-1226-SM-5N9DD 20-29 years, female 270.7
GTEX-1RAZR-2126-SM-E9U6T 40-49 years, male 270.3
GTEX-1IDJH-0126-SM-D3L92 70-79 years, male 270.0
GTEX-1C475-1326-SM-7SB73 40-49 years, female 269.6
GTEX-1H1DF-1126-SM-9WG7G 40-49 years, female 269.3
GTEX-1117F-2926-SM-5GZYI 60-69 years, female 268.4
GTEX-ZYFG-1526-SM-5GZYM 60-69 years, female 267.6
GTEX-WYBS-0626-SM-3NMAS 60-69 years, female 266.1
GTEX-X8HC-0626-SM-4E3HQ 50-59 years, female 266.0
GTEX-13N11-2326-SM-5IJBF 50-59 years, female 264.7
GTEX-16XZZ-0726-SM-7KUF2 60-69 years, male 261.2
GTEX-1477Z-0326-SM-7IGLA 60-69 years, male 260.4
GTEX-1KANC-1226-SM-CYPT7 50-59 years, female 260.1
GTEX-12WSA-0426-SM-5EQ5X 60-69 years, male 258.7
GTEX-U8XE-0226-SM-4E3J3 30-39 years, male 258.4
GTEX-1I1CD-0626-SM-CE6SW 60-69 years, female 254.5
GTEX-17MF6-2626-SM-79OKQ 40-49 years, male 254.3
GTEX-1GF9W-1426-SM-7PBYM 60-69 years, male 250.8
GTEX-1IDJD-2326-SM-ACKWX 30-39 years, male 250.3
GTEX-13FH7-1126-SM-5K7UG 50-59 years, female 249.7
GTEX-ZAJG-1526-SM-5CVML 50-59 years, female 248.9
GTEX-ZT9W-1126-SM-57WDR 50-59 years, male 248.5
GTEX-17EVQ-0126-SM-7IGLR 70-79 years, male 245.7
GTEX-18D9B-0926-SM-7LG4U 60-69 years, male 243.1
GTEX-13113-1626-SM-5EQ4I 60-69 years, female 242.5
GTEX-1JMPZ-0726-SM-CY8HZ 30-39 years, male 242.3
GTEX-1JMOU-1026-SM-CYPSS 60-69 years, female 240.9
GTEX-1F48J-0726-SM-7RHGS 50-59 years, female 240.6
GTEX-13X6I-1826-SM-5SIAO 60-69 years, male 238.8
GTEX-117YX-1926-SM-5GIEC 50-59 years, male 237.2
GTEX-1F5PL-0926-SM-7PC2W 40-49 years, female 237.2
GTEX-1QP66-1226-SM-DTX7U 50-59 years, male 236.9
GTEX-1QCLZ-2426-SM-EVYBW 60-69 years, female 234.9
GTEX-1A32A-0626-SM-731AQ 50-59 years, female 234.3
GTEX-1HSMO-0626-SM-ACKXC 60-69 years, male 233.8
GTEX-1QEPI-2626-SM-DTXF4 60-69 years, female 233.8
GTEX-ZVE2-2826-SM-5GU51 50-59 years, male 230.6
GTEX-1F88E-1626-SM-7SB8Z 60-69 years, female 229.9
GTEX-1I6K6-1726-SM-CGQFD 30-39 years, male 227.4
GTEX-12584-0726-SM-5FQTK 40-49 years, male 224.0
GTEX-WFG8-2126-SM-3GIKQ 20-29 years, male 221.5
GTEX-1QP29-1826-SM-DTX9S 50-59 years, male 221.3
GTEX-1A3MX-2626-SM-7PC24 60-69 years, male 218.4
GTEX-ZLWG-0826-SM-59888 50-59 years, female 218.1
GTEX-12WSL-2026-SM-5GCML 50-59 years, male 216.1
GTEX-X4EP-0626-SM-3P621 60-69 years, female 214.2
GTEX-1LVAO-2726-SM-E9TJ8 60-69 years, male 213.9
GTEX-YF7O-1526-SM-5IFI6 50-59 years, male 212.0
GTEX-ZVTK-0226-SM-51MRG 20-29 years, male 211.4
GTEX-1J8Q3-0526-SM-ARL8U 60-69 years, male 210.8
GTEX-1RAZA-2226-SM-E9U4X 20-29 years, male 206.5
GTEX-14E6C-2426-SM-5S2NF 40-49 years, male 205.8
GTEX-1HC8U-1326-SM-9YFMJ 40-49 years, female 203.0
GTEX-1GF9U-2026-SM-7SB92 40-49 years, female 200.8
GTEX-UPK5-0426-SM-3GAEK 40-49 years, male 199.3
GTEX-14DAQ-0626-SM-793DS 60-69 years, female 198.0
GTEX-17JCI-2926-SM-7DUFF 60-69 years, female 194.9
GTEX-1314G-1326-SM-5BC6E 30-39 years, male 192.9
GTEX-1O9I2-0226-SM-EYYXD 50-59 years, male 192.6
GTEX-1LGOU-1326-SM-D3L8M 20-29 years, female 191.5
GTEX-13QBU-1226-SM-5LU4G 40-49 years, female 189.5
GTEX-13N2G-0226-SM-5K7VF 60-69 years, male 188.7
GTEX-17HG3-2626-SM-7DUF2 30-39 years, female 187.1
GTEX-1F6IF-0926-SM-7SB7M 60-69 years, male 186.3
GTEX-1KWVE-1026-SM-D3L9O 30-39 years, male 186.2
GTEX-1CAV2-0126-SM-7IGN7 40-49 years, female 175.0
GTEX-Y5V5-0126-SM-5S2NW 60-69 years, female 174.5
GTEX-1H3NZ-2726-SM-9WYTQ 60-69 years, male 172.1
GTEX-VJYA-1526-SM-3GIJV 60-69 years, male 169.3
GTEX-14PJ2-0626-SM-6LLII 50-59 years, male 168.5
GTEX-1IDJE-1426-SM-ADEIW 50-59 years, female 166.7
GTEX-1399R-1326-SM-5PNYS 30-39 years, male 156.1
GTEX-1I19N-0126-SM-CYPSF 70-79 years, male 141.5
GTEX-1HUB1-1426-SM-CGQF5 60-69 years, male 140.1
GTEX-YB5K-2026-SM-4VDT3 40-49 years, female 138.9
GTEX-1L5NE-1126-SM-D3L9P 50-59 years, male 102.3
GTEX-1F75W-2726-SM-7SB8H 60-69 years, male 102.2
Show allShow less
Skin - Sun Exposed (Lower leg)
Average nTPM: 365.2
Samples: 701

Max nTPM: 1183.6
Min nTPM: 10.5
Std nTPM: 146.8
Median nTPM: 346.0
GTEX-P4QT-0126-SM-2I3FL 50-59 years, female 1183.6
GTEX-Y3IK-2426-SM-4WWDU 50-59 years, female 941.5
GTEX-11DXZ-2326-SM-5EGGV 50-59 years, male 835.6
GTEX-1JMLX-0226-SM-CM2RO 50-59 years, male 830.0
GTEX-XUZC-1726-SM-4BRWS 30-39 years, female 825.8
GTEX-1CAV2-2226-SM-7P8P2 40-49 years, female 825.6
GTEX-15ETS-0126-SM-7KUMW 40-49 years, female 811.9
GTEX-PX3G-0126-SM-2I3EN 20-29 years, female 773.2
GTEX-T2YK-0526-SM-32QPJ 50-59 years, male 769.5
GTEX-T6MN-0126-SM-32PLP 50-59 years, male 765.1
GTEX-1I1GV-0526-SM-A9G29 60-69 years, male 757.6
GTEX-1LG7Z-1726-SM-D3LA4 30-39 years, male 740.0
GTEX-18D9A-1926-SM-7LG6P 30-39 years, female 737.0
GTEX-139UW-2826-SM-5L3E7 60-69 years, male 725.4
GTEX-1KANC-1526-SM-D3LAB 50-59 years, female 717.0
GTEX-T5JW-1626-SM-3GADZ 20-29 years, female 691.3
GTEX-11DYG-0126-SM-59883 60-69 years, male 689.1
GTEX-ZV68-0126-SM-59HKS 50-59 years, female 683.4
GTEX-17JCI-0126-SM-7LG5G 60-69 years, female 679.4
GTEX-TKQ1-1026-SM-4GICL 30-39 years, male 677.0
GTEX-ZTX8-1426-SM-5DUVO 20-29 years, male 673.2
GTEX-13111-1626-SM-5EGJY 50-59 years, male 664.4
GTEX-14PII-0226-SM-6EU1T 60-69 years, male 661.2
GTEX-1QP9N-1426-SM-DTXFL 30-39 years, male 660.3
GTEX-1LVAN-0226-SM-COH3S 50-59 years, female 659.1
GTEX-1PFEY-1526-SM-E76PP 30-39 years, male 659.1
GTEX-WYJK-0126-SM-3NMAB 50-59 years, male 657.2
GTEX-1LBAC-0126-SM-DIPEZ 20-29 years, male 651.8
GTEX-ZGAY-0526-SM-4WWBB 40-49 years, female 651.3
GTEX-1OJC3-0126-SM-E76QX 20-29 years, male 645.8
GTEX-OIZH-0126-SM-2HMIS 50-59 years, male 644.5
GTEX-1399R-2726-SM-5IJBA 30-39 years, male 643.8
GTEX-1K2DA-1826-SM-CGQGT 50-59 years, male 641.2
GTEX-PSDG-0226-SM-DKPOZ 50-59 years, male 639.3
GTEX-P4PP-0126-SM-3LK69 30-39 years, female 638.4
GTEX-Y8DK-0126-SM-4TT3L 60-69 years, male 637.9
GTEX-145MN-2226-SM-5SIAU 30-39 years, male 637.2
GTEX-1EMGI-0126-SM-9KNUE 60-69 years, male 635.2
GTEX-1R9PM-2026-SM-E76OY 20-29 years, male 630.7
GTEX-1399U-2326-SM-5K7WY 50-59 years, female 623.7
GTEX-13FXS-0226-SM-5IJCK 50-59 years, male 623.7
GTEX-ZYFG-2326-SM-5E44B 60-69 years, female 622.6
GTEX-Y114-2426-SM-4TT8A 50-59 years, female 621.8
GTEX-YB5E-2026-SM-5IFIS 40-49 years, male 616.6
GTEX-ZVTK-0426-SM-51MRS 20-29 years, male 609.1
GTEX-13CF2-2526-SM-5LZYX 60-69 years, male 608.8
GTEX-1122O-2126-SM-5EGIR 60-69 years, female 606.0
GTEX-15F5U-1526-SM-6PANO 40-49 years, male 603.7
GTEX-POMQ-2226-SM-2I5FK 20-29 years, female 592.9
GTEX-ZWKS-0126-SM-5SIAA 30-39 years, male 591.1
GTEX-1IDJH-0326-SM-A9SLQ 70-79 years, male 589.3
GTEX-OIZG-0726-SM-33HBL 50-59 years, male 589.2
GTEX-1PPH8-0226-SM-E8VND 20-29 years, male 586.3
GTEX-1B8KE-2126-SM-73KYX 50-59 years, male 584.7
GTEX-1JMPY-1326-SM-ARL8Y 30-39 years, male 583.1
GTEX-13FTW-2626-SM-5K7WL 40-49 years, male 578.9
GTEX-15ER7-0326-SM-7KUEV 20-29 years, female 568.6
GTEX-1GZHY-0326-SM-9QEHI 50-59 years, female 566.9
GTEX-13OVH-0126-SM-5MR4B 70-79 years, male 564.2
GTEX-1F6RS-0126-SM-9MQKZ 60-69 years, female 563.9
GTEX-S33H-1026-SM-EZ6L6 30-39 years, male 563.5
GTEX-1H4P4-0726-SM-9YFLR 50-59 years, male 562.7
GTEX-17GQL-2026-SM-718BA 60-69 years, male 562.3
GTEX-1KAFJ-2026-SM-CY8ID 50-59 years, male 561.6
GTEX-1S5ZA-0126-SM-EVYCV 20-29 years, male 560.7
GTEX-1PIIG-0226-SM-EWRN6 30-39 years, male 559.4
GTEX-1LSNM-1926-SM-E6CII 50-59 years, male 557.1
GTEX-1KANA-0726-SM-D3L9I 20-29 years, male 553.2
GTEX-U8T8-0126-SM-3DB94 60-69 years, male 550.7
GTEX-1C475-1826-SM-73KWA 40-49 years, female 550.6
GTEX-X88G-0126-SM-47JZ3 30-39 years, male 550.6
GTEX-131XE-2326-SM-5PNZ2 50-59 years, male 549.0
GTEX-YB5K-2126-SM-4WWDJ 40-49 years, female 548.8
GTEX-1HCU6-0126-SM-CL54K 60-69 years, female 548.3
GTEX-1I4MK-2226-SM-ACKWD 50-59 years, female 547.2
GTEX-OOBJ-0126-SM-E6CJW 60-69 years, male 547.1
GTEX-1MA7W-2026-SM-E9TJ6 20-29 years, female 546.7
GTEX-ZTSS-1926-SM-57WEW 40-49 years, male 546.4
GTEX-145MF-0626-SM-5LUAI 50-59 years, male 545.9
GTEX-1KXAM-2226-SM-CYPTC 60-69 years, male 540.9
GTEX-1M5QR-1226-SM-EWROB 40-49 years, male 539.9
GTEX-1JMQL-0226-SM-CNPP5 50-59 years, female 539.4
GTEX-1EWIQ-0126-SM-7RHH2 70-79 years, female 539.3
GTEX-1L5NE-2526-SM-E6CIE 50-59 years, male 538.3
GTEX-U412-0426-SM-3DB9O 60-69 years, male 537.9
GTEX-16GPK-0126-SM-7DHLE 60-69 years, male 532.4
GTEX-17F98-0626-SM-79OMX 40-49 years, female 531.4
GTEX-1CB4E-2226-SM-793DC 60-69 years, male 527.7
GTEX-ZYT6-0226-SM-5NQ6T 30-39 years, male 527.6
GTEX-1CB4I-0226-SM-79OLH 50-59 years, male 526.6
GTEX-1GF9V-0326-SM-7RHI5 60-69 years, male 523.3
GTEX-SUCS-1926-SM-32PM3 70-79 years, male 522.9
GTEX-1HCU8-0626-SM-A9SM9 60-69 years, female 522.6
GTEX-1B8SF-1426-SM-7DUGL 60-69 years, male 520.2
GTEX-14XAO-2326-SM-6EU1B 60-69 years, female 517.2
GTEX-1KD4Q-0226-SM-E9TJ9 40-49 years, male 515.5
GTEX-111FC-0126-SM-5N9DL 60-69 years, male 515.3
GTEX-1HSKV-0226-SM-A9SKJ 60-69 years, male 515.1
GTEX-14LZ3-0226-SM-62LET 60-69 years, female 514.0
GTEX-1CB4F-0426-SM-9KNV4 60-69 years, male 514.0
GTEX-XBEW-0626-SM-4QASP 40-49 years, male 513.4
GTEX-1QP66-1726-SM-E8VO1 50-59 years, male 512.3
GTEX-1CAMQ-0226-SM-7IGPK 40-49 years, male 511.5
GTEX-1S3DN-2226-SM-EVYCD 50-59 years, male 510.9
GTEX-1J1OQ-0226-SM-CYPSH 40-49 years, female 510.0
GTEX-14PHX-2326-SM-62LEM 50-59 years, male 509.9
GTEX-12696-2426-SM-5EQ6H 60-69 years, male 509.1
GTEX-117XS-2726-SM-5N9BL 60-69 years, male 507.2
GTEX-12WSK-2326-SM-5GCOH 40-49 years, female 506.2
GTEX-18A6Q-0126-SM-731BZ 60-69 years, male 505.9
GTEX-OHPL-0126-SM-2HMJ7 60-69 years, female 504.7
GTEX-1LGRB-2526-SM-CNPPQ 50-59 years, female 503.2
GTEX-139TS-2826-SM-5J1OO 60-69 years, male 502.4
GTEX-1JMQI-2226-SM-CM2SD 50-59 years, male 501.5
GTEX-1HCU7-0226-SM-CL545 50-59 years, male 500.7
GTEX-ZF2S-2326-SM-4WWCE 50-59 years, female 500.5
GTEX-1JJ6O-0126-SM-E6CI8 60-69 years, male 500.5
GTEX-UJHI-1526-SM-3DB99 50-59 years, female 499.8
GTEX-11EM3-2426-SM-59861 20-29 years, female 499.7
GTEX-14E6D-0126-SM-62LDV 50-59 years, male 498.1
GTEX-W5X1-3026-SM-EAZAX 40-49 years, female 497.3
GTEX-13NZ8-0826-SM-5MR3I 60-69 years, female 496.9
GTEX-13OVK-2026-SM-7KUEO 40-49 years, male 496.6
GTEX-QESD-1426-SM-2S1R9 20-29 years, male 494.8
GTEX-1S83E-0126-SM-EWRO4 40-49 years, male 494.1
GTEX-1I1GT-0626-SM-CGQER 60-69 years, female 492.7
GTEX-NFK9-0226-SM-2HMKQ 40-49 years, male 491.2
GTEX-ZVZP-2426-SM-59HKJ 50-59 years, male 490.7
GTEX-1F5PL-0326-SM-7P8PQ 40-49 years, female 490.1
GTEX-13SLW-0126-SM-5SI6C 70-79 years, male 489.3
GTEX-15RIG-0226-SM-7KFTL 40-49 years, male 488.5
GTEX-1RDX4-0126-SM-E9J4P 50-59 years, female 487.7
GTEX-145ME-1826-SM-5SI9G 40-49 years, female 486.2
GTEX-13FHP-0126-SM-5IJBG 50-59 years, male 484.1
GTEX-13NYB-2526-SM-5K7Z6 40-49 years, male 483.6
GTEX-1AX9J-0226-SM-73KXM 60-69 years, male 480.9
GTEX-1JJEA-0326-SM-CNPOT 60-69 years, male 480.7
GTEX-1QMI2-0226-SM-EVYBX 60-69 years, male 480.0
GTEX-145LV-2126-SM-5LU8N 50-59 years, male 479.7
GTEX-1BAJH-0526-SM-793CQ 70-79 years, male 476.4
GTEX-1NV5F-0226-SM-E8VNY 60-69 years, female 475.5
GTEX-O5YW-0126-SM-3LK6D 50-59 years, male 473.2
GTEX-1GF9X-2026-SM-7PC3A 40-49 years, female 471.6
GTEX-1R7EU-0226-SM-EVR4G 60-69 years, male 471.6
GTEX-1B97I-1626-SM-73KYO 40-49 years, male 470.3
GTEX-13S7M-0126-SM-5SI6A 60-69 years, female 468.7
GTEX-1J8QM-2126-SM-CYPSJ 60-69 years, female 467.9
GTEX-1MJK2-0426-SM-DTXE5 50-59 years, male 467.9
GTEX-1GN1U-0126-SM-7PBZK 50-59 years, female 466.5
GTEX-14PJM-0226-SM-62LF1 50-59 years, female 465.5
GTEX-YJ89-0126-SM-4TT3X 60-69 years, male 465.2
GTEX-131XH-2226-SM-5DUXJ 50-59 years, male 465.1
GTEX-W5WG-1826-SM-4KL2Y 50-59 years, female 464.9
GTEX-1JMPZ-0226-SM-CNPP1 30-39 years, male 464.2
GTEX-1E2YA-0126-SM-9KNUC 50-59 years, male 463.4
GTEX-1JN1M-0326-SM-CYPT3 60-69 years, female 463.4
GTEX-1GMR3-1926-SM-9KNUZ 40-49 years, male 461.6
GTEX-11EQ9-2426-SM-5HL5T 30-39 years, male 461.3
GTEX-1HGF4-2426-SM-ACKXM 60-69 years, male 460.3
GTEX-T8EM-1026-SM-3DB7M 40-49 years, male 460.2
GTEX-1OFPY-2426-SM-DTXEJ 60-69 years, male 458.0
GTEX-WFON-2126-SM-3LK7O 40-49 years, male 457.6
GTEX-17KNJ-2326-SM-7DHLQ 50-59 years, male 456.2
GTEX-11ZTS-0126-SM-5EQ6M 60-69 years, female 456.1
GTEX-1313W-0126-SM-5LZUN 50-59 years, female 454.5
GTEX-RVPV-0126-SM-EAZAW 60-69 years, male 454.1
GTEX-14PN4-0126-SM-6EU2V 50-59 years, male 453.6
GTEX-18QFQ-0126-SM-731BE 30-39 years, male 453.2
GTEX-13PVR-2326-SM-5QGR1 60-69 years, female 452.1
GTEX-1JN76-0126-SM-CNPPE 20-29 years, female 451.3
GTEX-1CAMR-1926-SM-7EPI2 20-29 years, male 450.3
GTEX-15SB6-1726-SM-6PAME 50-59 years, female 450.1
GTEX-13RTK-1426-SM-5QGQJ 20-29 years, male 449.0
GTEX-1JKYR-0126-SM-CNPOJ 20-29 years, male 449.0
GTEX-11XUK-2026-SM-5EQLF 40-49 years, female 448.8
GTEX-ZXES-1826-SM-5E43S 30-39 years, female 448.6
GTEX-XYKS-2126-SM-4E3IB 60-69 years, female 448.4
GTEX-146FQ-0126-SM-5NQA9 30-39 years, male 448.2
GTEX-17F96-1626-SM-7DUFL 70-79 years, male 447.8
GTEX-132NY-0326-SM-5IJBL 60-69 years, male 447.3
GTEX-Y5V6-2426-SM-4VDSB 60-69 years, male 447.3
GTEX-1497J-2426-SM-7IGNX 60-69 years, male 445.4
GTEX-11TT1-2526-SM-5EGIB 20-29 years, male 445.3
GTEX-1GPI7-0126-SM-9MQL8 20-29 years, male 444.0
GTEX-1IL2U-0226-SM-CE6T8 60-69 years, male 443.9
GTEX-145MO-0326-SM-5Q5B3 60-69 years, male 443.8
GTEX-131YS-0126-SM-5KM1M 60-69 years, female 443.4
GTEX-RNOR-0126-SM-E9J4R 50-59 years, female 441.0
GTEX-1C64N-0126-SM-793D7 50-59 years, male 438.0
GTEX-1GN2E-0426-SM-9MQKX 60-69 years, male 437.5
GTEX-1IOXB-0126-SM-ARL8G 50-59 years, male 436.5
GTEX-1JMQJ-0526-SM-CYPSU 50-59 years, male 436.1
GTEX-14BMU-2226-SM-5TDE9 20-29 years, female 435.6
GTEX-1PIGE-0126-SM-EVYBJ 20-29 years, male 434.3
GTEX-1JN6P-0126-SM-D3L98 60-69 years, male 433.9
GTEX-1HCU9-1526-SM-A9SL7 20-29 years, male 433.8
GTEX-14BIN-0626-SM-793DP 50-59 years, female 433.6
GTEX-UPJH-0326-SM-3GADU 50-59 years, male 433.6
GTEX-1QPFJ-0226-SM-E76PB 30-39 years, female 433.4
GTEX-Y111-0126-SM-4SOIV 50-59 years, male 432.3
GTEX-12126-0326-SM-5PNW3 20-29 years, male 431.4
GTEX-17MFQ-1726-SM-793C7 20-29 years, male 431.0
GTEX-X4EO-0326-SM-3P5YO 60-69 years, female 430.4
GTEX-WQUQ-0426-SM-3MJFU 60-69 years, male 430.0
GTEX-13OW5-0126-SM-DTXFS 60-69 years, male 429.9
GTEX-1HSGN-0226-SM-CGQFV 40-49 years, female 429.7
GTEX-13OW6-0426-SM-5L3HM 50-59 years, male 429.4
GTEX-1QCLY-0326-SM-E8VOG 30-39 years, male 429.2
GTEX-1K2DU-2326-SM-E9TIV 20-29 years, male 427.4
GTEX-WH7G-2326-SM-3NMBC 40-49 years, male 425.9
GTEX-1LB8K-0226-SM-EWRNW 50-59 years, male 425.6
GTEX-1HSEH-0126-SM-ACKXN 60-69 years, male 423.9
GTEX-ZVZO-0126-SM-5A5L9 40-49 years, male 423.8
GTEX-ZV6S-2326-SM-4YCEY 40-49 years, female 423.4
GTEX-ZU9S-0226-SM-5E441 30-39 years, male 421.9
GTEX-1GZ4H-1726-SM-7PBZJ 50-59 years, female 421.7
GTEX-ZDYS-2026-SM-5HL5L 50-59 years, male 421.6
GTEX-1399T-2826-SM-5KLYZ 60-69 years, male 419.8
GTEX-12WSJ-1826-SM-5GCNY 40-49 years, female 419.4
GTEX-S7PM-0126-SM-4AD6S 60-69 years, male 417.4
GTEX-1A3MV-1926-SM-718BT 30-39 years, male 416.3
GTEX-1B8L1-2526-SM-9WYTF 60-69 years, male 416.1
GTEX-131XF-5016-SM-7MGWE 60-69 years, male 415.9
GTEX-14JG1-0426-SM-6ETZZ 40-49 years, male 415.0
GTEX-1KWVE-1426-SM-E9TJO 30-39 years, male 414.9
GTEX-ZPIC-1726-SM-DHXIU 40-49 years, female 414.7
GTEX-SIU8-0126-SM-2XCDT 50-59 years, male 413.7
GTEX-1HFI6-0226-SM-ADEHZ 40-49 years, male 412.9
GTEX-13113-5016-SM-7EPIP 60-69 years, female 411.3
GTEX-Z93T-0126-SM-5HL5N 50-59 years, male 409.5
GTEX-1I6K6-0126-SM-A9SLE 30-39 years, male 409.4
GTEX-ZYFD-0126-SM-5GIDL 50-59 years, male 408.4
GTEX-1I1GR-0126-SM-CL55F 60-69 years, male 408.1
GTEX-RU72-0926-SM-2TF6B 50-59 years, female 407.6
GTEX-12ZZZ-0626-SM-5DUXI 60-69 years, male 407.4
GTEX-18D9U-0226-SM-718BP 40-49 years, male 404.6
GTEX-ZAK1-0126-SM-5IJD3 50-59 years, female 404.2
GTEX-PWCY-1826-SM-DHXIZ 20-29 years, female 403.4
GTEX-1EX96-1626-SM-7PBXR 50-59 years, male 402.4
GTEX-QEG4-0226-SM-2S1PY 30-39 years, male 402.2
GTEX-1IKJJ-0126-SM-CNPQB 60-69 years, male 402.1
GTEX-133LE-1826-SM-5J1MV 20-29 years, female 401.3
GTEX-17EVP-0326-SM-7DHLG 40-49 years, male 400.9
GTEX-TMZS-0126-SM-3DB9Q 60-69 years, male 400.7
GTEX-14ICK-0226-SM-6EU25 40-49 years, male 400.4
GTEX-QV44-1926-SM-2S1RF 50-59 years, male 399.3
GTEX-ZF3C-0126-SM-DO92D 50-59 years, female 396.8
GTEX-145MI-0526-SM-5O9A8 60-69 years, female 396.6
GTEX-12WSE-0526-SM-793B2 20-29 years, male 396.3
GTEX-PLZ6-1426-SM-DKPOT 30-39 years, male 396.1
GTEX-1B8SG-0126-SM-73KZ3 50-59 years, male 395.6
GTEX-X261-0126-SM-3NMD6 50-59 years, male 395.0
GTEX-S7SE-0126-SM-2XCD5 50-59 years, male 394.9
GTEX-1C4CL-0526-SM-73KVK 30-39 years, male 394.4
GTEX-12C56-1726-SM-5EQ61 20-29 years, male 393.0
GTEX-WYVS-2126-SM-3NMA3 40-49 years, female 393.0
GTEX-1HCUA-2426-SM-ADEIS 50-59 years, female 392.9
GTEX-1RAZA-0126-SM-E6CI3 20-29 years, male 392.4
GTEX-XPVG-2626-SM-4B669 50-59 years, male 392.0
GTEX-O5YT-0126-SM-48TBW 20-29 years, male 391.2
GTEX-13RTJ-2426-SM-5S2Q2 60-69 years, male 391.1
GTEX-1QAET-0926-SM-E76QM 50-59 years, male 390.6
GTEX-13CF3-2426-SM-5IFGX 60-69 years, female 390.2
GTEX-14PN3-2426-SM-6LLHS 60-69 years, female 390.1
GTEX-QDVJ-1726-SM-2I5FX 50-59 years, male 389.7
GTEX-13VXU-0126-SM-5SI9F 50-59 years, male 389.1
GTEX-WRHK-1426-SM-3MJF9 20-29 years, female 388.5
GTEX-TML8-1926-SM-32QOS 40-49 years, female 388.0
GTEX-15CHC-2126-SM-6EU21 60-69 years, female 385.8
GTEX-ZDTS-0126-SM-4WAY5 60-69 years, male 385.4
GTEX-WFG8-2226-SM-3GIL9 20-29 years, male 385.3
GTEX-1GN73-0226-SM-9WG67 60-69 years, male 384.5
GTEX-1HBPN-0226-SM-9YFM1 50-59 years, male 383.6
GTEX-169BO-1326-SM-9MQK2 50-59 years, male 383.5
GTEX-145LS-0126-SM-5QGP1 60-69 years, female 383.0
GTEX-X8HC-0126-SM-4E3JW 50-59 years, female 382.9
GTEX-1J8EW-0126-SM-CJI4F 60-69 years, female 382.5
GTEX-14DAR-2026-SM-5S2O3 50-59 years, male 382.4
GTEX-14PJ6-2126-SM-6EU1V 60-69 years, female 382.3
GTEX-13O21-1426-SM-5K7XI 50-59 years, male 381.4
GTEX-1IKK5-0626-SM-ARL8A 60-69 years, male 379.7
GTEX-1211K-2026-SM-5EQ4Z 60-69 years, female 378.8
GTEX-1MUQO-0126-SM-EAZ58 60-69 years, male 377.8
GTEX-1HR98-0126-SM-B2LWI 60-69 years, male 377.3
GTEX-1GZ2Q-0226-SM-7P8TL 40-49 years, male 377.0
GTEX-XQ8I-0426-SM-4BOPO 50-59 years, male 376.6
GTEX-16NGA-1726-SM-731B4 40-49 years, female 375.8
GTEX-ZZ64-1726-SM-5GZYB 20-29 years, male 375.3
GTEX-1O97I-0326-SM-EYYX7 60-69 years, male 375.0
GTEX-Z93S-0126-SM-5HL7M 50-59 years, male 374.5
GTEX-13YAN-0326-SM-5O9DF 60-69 years, male 374.3
GTEX-14BMV-0126-SM-5S2PO 50-59 years, male 374.0
GTEX-14C5O-0126-SM-5SI6N 60-69 years, male 373.9
GTEX-14753-0426-SM-5NQAM 60-69 years, male 372.9
GTEX-13PDP-0126-SM-5L3HD 60-69 years, male 372.8
GTEX-ZVT2-2526-SM-51MT1 50-59 years, female 372.8
GTEX-11P81-2326-SM-59875 30-39 years, female 372.6
GTEX-XXEK-2226-SM-4BRUM 50-59 years, male 372.2
GTEX-YEC4-2126-SM-5IFJH 40-49 years, male 372.2
GTEX-SJXC-0126-SM-2XCFF 60-69 years, male 371.9
GTEX-11UD1-0126-SM-5PNYG 40-49 years, female 371.1
GTEX-1F75B-0126-SM-9KNVL 50-59 years, male 370.6
GTEX-1MGNQ-0126-SM-EVYCJ 40-49 years, male 370.4
GTEX-1JMQK-0226-SM-CL543 60-69 years, male 369.7
GTEX-ZVT4-0126-SM-DTXFN 50-59 years, female 369.7
GTEX-XAJ8-0826-SM-47JY6 40-49 years, male 369.3
GTEX-X5EB-2226-SM-46MW4 40-49 years, male 369.2
GTEX-X4XX-0126-SM-3NMC2 60-69 years, male 368.9
GTEX-1HCVE-0126-SM-CGQEU 50-59 years, male 368.9
GTEX-XQ3S-1526-SM-4BOOC 20-29 years, male 368.8
GTEX-T5JC-0426-SM-32PLO 20-29 years, male 368.7
GTEX-139D8-0226-SM-5KLZO 30-39 years, female 367.5
GTEX-Q2AH-1626-SM-3GAF8 40-49 years, male 366.2
GTEX-1H3O1-0426-SM-9YFKY 60-69 years, male 366.1
GTEX-ZDTT-2726-SM-4WKF8 60-69 years, male 365.9
GTEX-1212Z-2526-SM-5EGKP 60-69 years, male 365.2
GTEX-14E6E-1826-SM-5S2R7 30-39 years, male 364.9
GTEX-1H3VE-0326-SM-9YFLH 40-49 years, male 364.9
GTEX-183FY-0126-SM-7LT9P 20-29 years, male 363.9
GTEX-YFC4-0126-SM-5CVLY 40-49 years, female 362.5
GTEX-13X6J-0126-SM-5QGOU 50-59 years, male 361.4
GTEX-1RB15-2126-SM-E9TIM 60-69 years, male 360.2
GTEX-18A7A-0226-SM-718BH 50-59 years, female 359.6
GTEX-1J1R8-1726-SM-ARL8M 40-49 years, male 359.6
GTEX-OOBK-0126-SM-2YUND 40-49 years, male 359.2
GTEX-ZYFC-0226-SM-5NQ75 50-59 years, male 358.1
GTEX-1GMRU-0126-SM-9YFLV 50-59 years, male 357.6
GTEX-13OVL-0226-SM-5L3E9 50-59 years, male 357.5
GTEX-OXRN-0126-SM-48TDM 50-59 years, male 357.2
GTEX-RTLS-0126-SM-447CA 60-69 years, female 356.8
GTEX-NPJ8-0126-SM-2YUNR 40-49 years, male 356.7
GTEX-ZXG5-0126-SM-5GIEU 60-69 years, male 356.5
GTEX-13O3O-0126-SM-E9J49 60-69 years, female 356.1
GTEX-1PDJ9-0326-SM-DTX95 20-29 years, male 356.1
GTEX-13D11-2426-SM-5KM1V 50-59 years, female 355.6
GTEX-16MT8-0426-SM-7KUEY 60-69 years, female 354.6
GTEX-QVJO-1626-SM-2S1QW 60-69 years, female 354.5
GTEX-18A67-0126-SM-7LG5P 50-59 years, male 354.0
GTEX-13G51-2526-SM-5LZYK 60-69 years, male 353.5
GTEX-1IDJF-0126-SM-CM2RS 20-29 years, male 353.5
GTEX-13JUV-2726-SM-5LZZ8 40-49 years, female 352.9
GTEX-U8XE-0326-SM-3DB8P 30-39 years, male 351.8
GTEX-11OF3-2626-SM-5GU7F 60-69 years, male 351.2
GTEX-1GL5R-1826-SM-9KNUY 50-59 years, male 351.2
GTEX-12WSA-0226-SM-5BC5V 60-69 years, male 350.3
GTEX-QLQW-1126-SM-2S1Q8 30-39 years, male 350.2
GTEX-1GMR8-0126-SM-9WYTM 50-59 years, female 349.8
GTEX-1H1CY-2826-SM-9MQM3 60-69 years, female 349.3
GTEX-1H11D-0226-SM-9WG6Z 40-49 years, male 347.8
GTEX-11GSO-2426-SM-5A5LY 60-69 years, male 347.7
GTEX-1LH75-2426-SM-E9TJE 50-59 years, female 346.0
GTEX-12ZZX-0126-SM-5EGK9 40-49 years, female 345.7
GTEX-14PJ3-1826-SM-62LEX 50-59 years, male 345.7
GTEX-Q2AI-1326-SM-2S1PL 40-49 years, male 345.7
GTEX-1EKGG-0226-SM-9WYTH 60-69 years, male 344.6
GTEX-13O3Q-2426-SM-5IJBR 50-59 years, male 344.0
GTEX-13O3P-0126-SM-5KM4S 50-59 years, male 343.7
GTEX-15UKP-0426-SM-7KUFQ 20-29 years, male 343.5
GTEX-WY7C-2326-SM-3NB2U 50-59 years, male 343.3
GTEX-RM2N-1426-SM-2TF4H 50-59 years, male 343.2
GTEX-16BQI-0226-SM-7KUEX 30-39 years, female 343.1
GTEX-13FTY-0526-SM-5L3EV 40-49 years, female 343.0
GTEX-1B996-0226-SM-7RHGO 60-69 years, male 343.0
GTEX-1IDJU-2626-SM-CM2RT 60-69 years, female 343.0
GTEX-ZF29-2326-SM-DO92K 60-69 years, female 341.8
GTEX-145LT-1726-SM-5QGP3 40-49 years, male 341.2
GTEX-14A5I-0126-SM-5TDEA 50-59 years, female 340.8
GTEX-XUW1-0426-SM-4BOOT 50-59 years, female 340.2
GTEX-14E6C-0126-SM-5RQIP 40-49 years, male 339.9
GTEX-1E1VI-0126-SM-7DHMZ 50-59 years, male 338.6
GTEX-1H1DG-0126-SM-9WYU2 70-79 years, male 338.2
GTEX-13FH7-2026-SM-E9J4I 50-59 years, female 338.1
GTEX-1F52S-0126-SM-9MQJU 60-69 years, female 338.1
GTEX-1IL2V-0126-SM-CM2TX 70-79 years, male 337.8
GTEX-1N2EF-0226-SM-EYYXB 60-69 years, male 337.7
GTEX-SNMC-1226-SM-2XCFP 20-29 years, male 337.6
GTEX-14JG6-2226-SM-6EU2G 30-39 years, female 337.0
GTEX-1HSMP-0126-SM-E6CJS 70-79 years, male 336.3
GTEX-1J8JJ-0226-SM-CL53I 60-69 years, female 336.1
GTEX-ZE9C-2726-SM-57WB5 60-69 years, male 335.2
GTEX-17HII-0226-SM-7LG4E 50-59 years, male 335.1
GTEX-15G19-0126-SM-6PANQ 60-69 years, male 334.8
GTEX-16AAH-1726-SM-7939C 50-59 years, male 334.6
GTEX-1HFI7-1826-SM-ACKXH 50-59 years, female 334.3
GTEX-PWO3-1526-SM-48TCM 60-69 years, female 334.2
GTEX-S32W-2126-SM-2XCB1 50-59 years, female 333.9
GTEX-12ZZY-0226-SM-5LZVE 60-69 years, male 333.8
GTEX-11TUW-2726-SM-E9J4M 60-69 years, male 333.7
GTEX-1AMFI-2026-SM-731BH 50-59 years, female 333.2
GTEX-13NZB-2526-SM-5J1OM 30-39 years, male 333.0
GTEX-15SHU-0126-SM-7KUEH 40-49 years, female 333.0
GTEX-1B8KZ-2026-SM-7DHMB 50-59 years, male 332.8
GTEX-1F6IF-0726-SM-7P8TW 60-69 years, male 332.4
GTEX-X4XY-0226-SM-4E3IZ 60-69 years, male 331.6
GTEX-139TU-0126-SM-5K7WH 60-69 years, male 331.1
GTEX-Y8E4-0626-SM-4WWDL 40-49 years, male 331.1
GTEX-S95S-1226-SM-4GICG 60-69 years, male 331.0
GTEX-1269C-2526-SM-5EGJ3 60-69 years, female 328.5
GTEX-18A66-0226-SM-718BD 60-69 years, male 327.7
GTEX-RN64-0126-SM-2TC68 50-59 years, male 327.7
GTEX-WXYG-2326-SM-4E3I6 50-59 years, female 327.4
GTEX-12KS4-0326-SM-5EQ41 30-39 years, male 327.3
GTEX-15EU6-0426-SM-6PAN5 50-59 years, male 326.7
GTEX-11DXW-0226-SM-5H122 40-49 years, male 326.2
GTEX-13NYS-0126-SM-5MR3W 60-69 years, male 324.8
GTEX-WI4N-1026-SM-3LK7N 40-49 years, female 324.1
GTEX-14PK6-1926-SM-6ETZU 70-79 years, female 323.7
GTEX-14A5H-0426-SM-5QGQF 60-69 years, male 323.5
GTEX-1HBPI-1526-SM-C1YQ1 50-59 years, male 323.5
GTEX-145LU-0126-SM-5TDCB 50-59 years, male 323.2
GTEX-1MCYP-1926-SM-E9J2R 20-29 years, female 323.2
GTEX-117YW-2626-SM-5GZZH 50-59 years, male 323.1
GTEX-RWS6-2026-SM-2XCB5 60-69 years, female 323.1
GTEX-13N2G-2626-SM-5J1OT 60-69 years, male 322.8
GTEX-1C6VR-2426-SM-79OLD 60-69 years, male 321.8
GTEX-1IKOH-0226-SM-COH4E 60-69 years, female 321.8
GTEX-11UD2-0226-SM-5EQKY 50-59 years, male 321.5
GTEX-RWSA-0126-SM-2XCBB 40-49 years, male 321.4
GTEX-117YX-2326-SM-5H12W 50-59 years, male 320.3
GTEX-17EUY-0426-SM-793BD 20-29 years, male 319.8
GTEX-OHPM-0126-SM-2YUN9 50-59 years, male 319.5
GTEX-1MCQQ-0826-SM-DLHC2 60-69 years, male 319.2
GTEX-144FL-0126-SM-5TDC8 50-59 years, male 318.8
GTEX-111VG-2426-SM-5GZXD 60-69 years, male 317.9
GTEX-11LCK-1026-SM-5A5KB 30-39 years, male 317.6
GTEX-1A32A-0126-SM-718B1 50-59 years, female 317.5
GTEX-1F75A-0126-SM-7RHGM 50-59 years, male 317.3
GTEX-1C64O-0126-SM-7SB8P 60-69 years, male 316.7
GTEX-131XG-2626-SM-5KM17 50-59 years, female 316.2
GTEX-12WSL-2526-SM-5GCNJ 50-59 years, male 316.1
GTEX-1S82Y-2026-SM-EVYCM 40-49 years, male 315.5
GTEX-1HT8W-0126-SM-CNPPP 30-39 years, male 315.4
GTEX-1LGOU-2026-SM-DIPFF 20-29 years, female 315.2
GTEX-T2IS-0126-SM-4DM6O 20-29 years, female 313.9
GTEX-Y5LM-1926-SM-5RQJH 40-49 years, female 313.9
GTEX-11NSD-2226-SM-5986V 20-29 years, male 312.3
GTEX-1HBPM-0226-SM-ARL9F 60-69 years, female 311.8
GTEX-VUSG-2526-SM-4KL1V 50-59 years, male 311.7
GTEX-1A3MX-0126-SM-731BR 60-69 years, male 310.5
GTEX-13X6H-2126-SM-7EWD5 50-59 years, female 309.4
GTEX-ZAB4-0226-SM-5N9F5 40-49 years, male 308.9
GTEX-1AX9I-0126-SM-7SB74 60-69 years, male 308.1
GTEX-12584-0126-SM-5EGKQ 40-49 years, male 307.9
GTEX-17HG3-2226-SM-7938L 30-39 years, female 307.9
GTEX-X4EP-0126-SM-3P5YV 60-69 years, female 306.4
GTEX-1H3VY-0126-SM-ACKXD 50-59 years, male 306.4
GTEX-11GS4-2726-SM-5A5LE 60-69 years, male 306.3
GTEX-131XW-0426-SM-5LZWP 50-59 years, female 306.1
GTEX-11EI6-0126-SM-5985R 60-69 years, male 305.6
GTEX-1LG7Y-0526-SM-DKPQC 50-59 years, male 304.6
GTEX-1H1DE-2126-SM-9WG6R 20-29 years, male 304.0
GTEX-1CB4H-0226-SM-7PBXM 60-69 years, female 303.8
GTEX-148VI-1626-SM-5SI6E 60-69 years, female 303.2
GTEX-15DDE-0126-SM-6LPKH 50-59 years, female 303.2
GTEX-144GL-0126-SM-5TDE2 50-59 years, male 302.9
GTEX-WVJS-0126-SM-4MVOT 50-59 years, male 302.2
GTEX-QCQG-1726-SM-3GIJ9 50-59 years, female 302.0
GTEX-12WSC-0126-SM-5EQ4P 50-59 years, male 301.2
GTEX-ZE7O-0126-SM-57WC1 50-59 years, female 300.4
GTEX-XBED-2226-SM-47JYQ 60-69 years, male 300.1
GTEX-1192X-0226-SM-5H12D 50-59 years, male 299.8
GTEX-1C6VQ-0126-SM-7P8RI 50-59 years, male 299.7
GTEX-OXRP-0126-SM-3NB32 60-69 years, female 298.4
GTEX-14LLW-0126-SM-6LLIO 70-79 years, female 298.3
GTEX-13N11-2526-SM-5K7UE 50-59 years, female 296.5
GTEX-15UF6-0826-SM-6PALJ 70-79 years, female 296.3
GTEX-183WM-0126-SM-7LTAB 70-79 years, female 296.2
GTEX-TMMY-0226-SM-33HBA 40-49 years, female 295.8
GTEX-13112-2826-SM-5DUWH 50-59 years, male 295.6
GTEX-1H23P-0126-SM-ADEJ3 60-69 years, male 295.3
GTEX-12WSD-0126-SM-59HKN 60-69 years, female 294.9
GTEX-17MF6-0126-SM-7LG4F 40-49 years, male 294.9
GTEX-WZTO-0126-SM-3NM95 40-49 years, male 294.7
GTEX-13NZA-0226-SM-5K7Z7 60-69 years, male 294.5
GTEX-R3RS-0126-SM-3GIJL 40-49 years, female 294.3
GTEX-ZQUD-1426-SM-57WER 30-39 years, male 294.1
GTEX-1ICG6-2526-SM-CGQFZ 70-79 years, female 293.5
GTEX-1F6I4-0126-SM-9MQL2 60-69 years, male 293.2
GTEX-17HHE-2026-SM-79OKF 50-59 years, male 292.6
GTEX-U3ZH-2026-SM-3DB78 30-39 years, male 292.5
GTEX-147GR-0526-SM-5S2MY 60-69 years, male 292.4
GTEX-Y5V5-2326-SM-4V6GA 60-69 years, female 292.4
GTEX-13NYC-0326-SM-E9J4S 60-69 years, male 292.3
GTEX-1S82Z-0826-SM-E6CHY 30-39 years, female 292.2
GTEX-1128S-2326-SM-5GZZY 60-69 years, female 291.3
GTEX-1I1GQ-0126-SM-COH3H 50-59 years, male 290.8
GTEX-1R9K4-0126-SM-DTX9X 60-69 years, male 290.6
GTEX-1HSMQ-1226-SM-CGQFX 50-59 years, male 289.3
GTEX-11OC5-0126-SM-5HL6A 60-69 years, male 289.2
GTEX-18465-0126-SM-731BN 50-59 years, male 289.2
GTEX-1N2DW-0226-SM-E9TK2 50-59 years, male 288.9
GTEX-ZQG8-1626-SM-DHXIT 60-69 years, female 288.4
GTEX-11P7K-2126-SM-5GU7G 30-39 years, male 288.1
GTEX-17F97-0326-SM-7LG5B 50-59 years, male 287.3
GTEX-XUYS-0126-SM-47JWZ 50-59 years, male 286.3
GTEX-PVOW-0126-SM-2XCFA 40-49 years, male 286.1
GTEX-11WQK-0526-SM-5EQLD 50-59 years, male 285.6
GTEX-TSE9-0126-SM-3DB83 60-69 years, female 285.4
GTEX-OXRK-0226-SM-3NB2G 50-59 years, female 284.9
GTEX-1H2FU-0126-SM-9WYSI 60-69 years, female 284.7
GTEX-13QJ3-0326-SM-5S2RA 50-59 years, male 284.5
GTEX-Y3I4-2126-SM-4TT7C 50-59 years, male 284.4
GTEX-11GSP-2526-SM-5N9BP 60-69 years, female 283.8
GTEX-13OVJ-0126-SM-5KM36 50-59 years, female 283.7
GTEX-SN8G-0126-SM-32PLI 50-59 years, female 283.7
GTEX-1ICLZ-0126-SM-CKZPO 60-69 years, male 282.9
GTEX-11DZ1-0126-SM-5985Q 50-59 years, male 282.6
GTEX-1R46S-0626-SM-E9J41 60-69 years, female 281.7
GTEX-1GF9W-0326-SM-9KNUN 60-69 years, male 281.2
GTEX-1CB4G-0226-SM-7PC3O 60-69 years, male 280.6
GTEX-ZVE2-0226-SM-59HJB 50-59 years, male 280.5
GTEX-T6MO-1626-SM-32QOM 40-49 years, female 280.3
GTEX-18A7B-0126-SM-7LG64 70-79 years, male 279.2
GTEX-Z9EW-1626-SM-5CVMN 40-49 years, male 279.2
GTEX-11DXY-2626-SM-5GIE7 60-69 years, male 279.1
GTEX-15DYW-0126-SM-7KULE 60-69 years, female 278.9
GTEX-1POEN-0126-SM-EYYXJ 30-39 years, female 277.8
GTEX-Q2AG-0126-SM-33HBV 40-49 years, female 276.7
GTEX-1HB9E-0226-SM-E9U4R 50-59 years, male 276.1
GTEX-11VI4-1726-SM-5CVLH 40-49 years, female 274.9
GTEX-13U4I-0126-SM-5LU38 40-49 years, female 274.6
GTEX-1IGQW-0126-SM-COH42 60-69 years, male 274.5
GTEX-1ICLY-0126-SM-D4P36 50-59 years, male 273.9
GTEX-ZEX8-2426-SM-4WKG4 50-59 years, male 273.3
GTEX-15SDE-2226-SM-7IGLO 50-59 years, female 271.7
GTEX-1F5PK-2426-SM-7RHHY 50-59 years, male 271.0
GTEX-11NUK-0126-SM-5A5L3 50-59 years, male 267.4
GTEX-11H98-0126-SM-5EGHG 50-59 years, male 267.3
GTEX-13O1R-0126-SM-5L3EH 60-69 years, male 267.1
GTEX-1CAMS-0426-SM-7P8T2 40-49 years, female 266.7
GTEX-1314G-1526-SM-5EGK2 30-39 years, male 266.3
GTEX-VJYA-1126-SM-3GIJU 60-69 years, male 266.3
GTEX-139T8-0126-SM-5K7XZ 60-69 years, male 266.1
GTEX-QLQ7-1626-SM-2S1R8 60-69 years, male 265.4
GTEX-X585-0226-SM-4QAS2 50-59 years, male 262.8
GTEX-1EN7A-0126-SM-7SB81 40-49 years, male 261.9
GTEX-16YQH-0126-SM-7DUFJ 30-39 years, male 260.8
GTEX-11O72-0126-SM-59887 40-49 years, male 260.3
GTEX-1I1CD-0126-SM-CM2TK 60-69 years, female 260.1
GTEX-1J8Q2-0526-SM-CM2RW 60-69 years, male 259.9
GTEX-11ZVC-2526-SM-5FQTE 50-59 years, female 259.8
GTEX-1A8FM-0226-SM-7SB7Q 50-59 years, female 258.9
GTEX-13FTX-1826-SM-5J1NX 20-29 years, female 258.4
GTEX-18D9B-0526-SM-7LTAS 60-69 years, male 257.9
GTEX-13IVO-0126-SM-5J1NG 70-79 years, male 257.8
GTEX-PW2O-1526-SM-7RHHB 20-29 years, male 256.8
GTEX-1KD5A-0226-SM-D5OV3 50-59 years, male 256.3
GTEX-13OW8-1326-SM-5J1OW 60-69 years, male 254.1
GTEX-P44H-0226-SM-2XCEU 40-49 years, male 253.8
GTEX-17EVQ-0226-SM-7LG4P 70-79 years, male 251.7
GTEX-14E7W-0126-SM-6LLJ9 70-79 years, male 251.4
GTEX-PLZ4-0126-SM-5SI8O 50-59 years, female 251.4
GTEX-1RQEC-0426-SM-E6CHU 60-69 years, male 250.1
GTEX-PLZ5-2026-SM-2S1O4 50-59 years, male 249.6
GTEX-OXRO-0126-SM-2YUN4 60-69 years, female 249.4
GTEX-11DXX-2426-SM-5GZZW 60-69 years, female 247.7
GTEX-13SLX-0526-SM-5S2ON 50-59 years, female 246.6
GTEX-1HKZK-0326-SM-9WYUH 40-49 years, male 246.6
GTEX-16NPX-0226-SM-79OMT 50-59 years, male 246.0
GTEX-1B933-0126-SM-7PC29 50-59 years, female 246.0
GTEX-P4PQ-0126-SM-2S1NM 60-69 years, male 245.8
GTEX-139TT-0126-SM-5K7Y5 60-69 years, male 244.9
GTEX-ZVT3-0126-SM-5GU6I 60-69 years, female 243.3
GTEX-OIZF-0126-SM-7SB8I 60-69 years, male 242.3
GTEX-1F88F-2726-SM-7PBZZ 60-69 years, female 241.8
GTEX-17HHY-0126-SM-7LG5D 50-59 years, male 240.7
GTEX-1EU9M-0226-SM-7P8SP 60-69 years, male 240.1
GTEX-12WSG-2826-SM-E9J4H 50-59 years, female 239.8
GTEX-ZAB5-1826-SM-5HL7C 50-59 years, male 238.9
GTEX-1GTWX-0126-SM-9YFLK 60-69 years, male 238.8
GTEX-1PWST-0226-SM-E76QJ 70-79 years, male 237.4
GTEX-14DAQ-0126-SM-5S2MQ 60-69 years, female 237.2
GTEX-R45C-0126-SM-EAZ2R 60-69 years, female 237.1
GTEX-U3ZM-1526-SM-3DB9D 40-49 years, male 236.5
GTEX-R55E-0126-SM-2TC5Y 20-29 years, male 235.9
GTEX-1H3NZ-0126-SM-ACKX7 60-69 years, male 235.8
GTEX-1F7RK-0126-SM-7PC2S 20-29 years, female 235.3
GTEX-147F3-0526-SM-5SI98 50-59 years, female 234.8
GTEX-1AX8Z-0126-SM-7DHM6 60-69 years, male 234.3
GTEX-XV7Q-2526-SM-4BRV9 40-49 years, female 232.8
GTEX-1C2JI-1826-SM-73KXC 50-59 years, male 232.0
GTEX-ZC5H-0226-SM-4WAY9 40-49 years, female 230.6
GTEX-148VJ-0126-SM-5TDDN 70-79 years, male 230.5
GTEX-R55G-2526-SM-2TC6D 40-49 years, female 230.3
GTEX-1I19N-0326-SM-ACKVX 70-79 years, male 230.2
GTEX-1CB4J-0626-SM-7DHMP 60-69 years, male 230.0
GTEX-1J8Q3-1626-SM-CMKGC 60-69 years, male 228.9
GTEX-15DCD-0126-SM-7KUEK 70-79 years, female 228.3
GTEX-YJ8A-0426-SM-5IFID 20-29 years, male 227.2
GTEX-11ZU8-2526-SM-5EQKI 60-69 years, male 226.9
GTEX-1QP2A-0126-SM-E9J43 50-59 years, male 226.9
GTEX-1JJE9-0326-SM-CL53Z 70-79 years, male 226.3
GTEX-1GF9U-2126-SM-7SB7L 40-49 years, female 226.0
GTEX-XMD2-0126-SM-4YCDU 60-69 years, female 225.4
GTEX-11P82-1626-SM-59879 20-29 years, male 224.3
GTEX-13VXT-0126-SM-5LU4I 20-29 years, female 224.2
GTEX-U3ZN-2326-SM-3DB7W 30-39 years, female 224.0
GTEX-1AMEY-1326-SM-73KYK 30-39 years, female 222.2
GTEX-1PPH7-2326-SM-EVYB8 40-49 years, male 221.7
GTEX-1I1GP-2226-SM-CGQFK 50-59 years, male 221.3
GTEX-1I1GS-0126-SM-B2LVW 60-69 years, male 221.0
GTEX-11WQC-2526-SM-5CVLE 60-69 years, male 220.7
GTEX-1NHNU-1026-SM-E9J2A 50-59 years, male 219.2
GTEX-1JK1U-2026-SM-CM2RZ 60-69 years, male 218.5
GTEX-1KANB-0526-SM-E6CJH 50-59 years, male 218.4
GTEX-1H1E6-1726-SM-ACKVK 30-39 years, male 217.8
GTEX-ZAJG-0126-SM-5HL94 50-59 years, female 216.1
GTEX-113JC-2326-SM-5EQ4E 50-59 years, female 215.0
GTEX-1QP29-0626-SM-EWRMX 50-59 years, male 214.6
GTEX-ZTPG-0326-SM-5O9AX 20-29 years, female 214.3
GTEX-1N2DV-0226-SM-E6CJ6 40-49 years, male 214.0
GTEX-16XZZ-0126-SM-793DV 60-69 years, male 212.3
GTEX-13W46-0226-SM-5SIAG 50-59 years, male 212.2
GTEX-146FH-0126-SM-5QGPP 50-59 years, female 211.9
GTEX-1R7EV-2426-SM-EVYBG 40-49 years, male 211.1
GTEX-1MA7X-2226-SM-E6CIY 60-69 years, male 210.2
GTEX-ZYY3-0126-SM-5GZY5 60-69 years, female 210.0
GTEX-Y8LW-1826-SM-5S2MV 50-59 years, female 209.9
GTEX-13N1W-0126-SM-5K7VT 70-79 years, male 209.0
GTEX-1AYCT-2426-SM-7IGQ3 50-59 years, male 208.9
GTEX-1IE54-0126-SM-CMKHW 40-49 years, female 207.6
GTEX-144GN-2326-SM-5LU4F 50-59 years, male 207.1
GTEX-VJWN-0126-SM-3GIK7 50-59 years, female 206.6
GTEX-1GN1V-0126-SM-9WPOS 60-69 years, male 206.6
GTEX-13X6I-0626-SM-5QGP9 60-69 years, male 206.3
GTEX-147F4-0226-SM-5QGPW 50-59 years, male 206.0
GTEX-13W3W-2426-SM-5LU5B 60-69 years, female 205.9
GTEX-1192W-2626-SM-5Q5AF 60-69 years, male 205.6
GTEX-1QEPI-0126-SM-EWRMQ 60-69 years, female 205.6
GTEX-1H1ZS-0426-SM-9WG6G 70-79 years, male 205.0
GTEX-1IDFM-0126-SM-COH2V 60-69 years, male 203.0
GTEX-ZY6K-1826-SM-5GZXK 50-59 years, male 202.5
GTEX-13FHO-0226-SM-5IFGY 60-69 years, male 202.3
GTEX-1GPI6-0126-SM-9WG69 60-69 years, male 202.1
GTEX-1M4P7-0226-SM-DIPEV 60-69 years, male 200.2
GTEX-1C6WA-0126-SM-7PC2B 60-69 years, male 200.1
GTEX-14ABY-0226-SM-5TDCQ 50-59 years, male 199.5
GTEX-1IY9M-0126-SM-D3L8S 60-69 years, male 198.5
GTEX-15D1Q-0126-SM-7KUG6 40-49 years, male 195.9
GTEX-17HGU-0226-SM-7DHKV 50-59 years, male 195.8
GTEX-1LC47-0326-SM-E9TJP 60-69 years, male 195.6
GTEX-ZDXO-3026-SM-5J1N5 60-69 years, male 194.3
GTEX-13OW7-0126-SM-5MR3B 50-59 years, male 193.2
GTEX-1K9T9-0126-SM-EVYCF 50-59 years, female 190.6
GTEX-1GN1W-0526-SM-9MQJQ 50-59 years, female 190.4
GTEX-11ZTT-2426-SM-5EQLS 60-69 years, female 189.7
GTEX-14BIM-0226-SM-7IGLD 60-69 years, female 183.4
GTEX-1C6VS-0526-SM-7DUEN 60-69 years, male 181.8
GTEX-V1D1-2226-SM-3NMAX 50-59 years, male 180.4
GTEX-13RTL-0126-SM-7LG5S 40-49 years, male 176.8
GTEX-1I1GU-2226-SM-CGQFA 40-49 years, male 176.0
GTEX-RUSQ-1526-SM-2TF62 50-59 years, male 175.9
GTEX-13OVI-1426-SM-5L3EY 60-69 years, female 175.3
GTEX-ZYW4-0126-SM-5E44A 60-69 years, male 175.0
GTEX-1AX9K-2326-SM-73KWU 50-59 years, male 172.6
GTEX-12WSN-5019-SM-79OM6 40-49 years, male 172.2
GTEX-11EMC-2926-SM-5EQ4F 60-69 years, female 172.1
GTEX-1JKYN-1326-SM-CGQG9 30-39 years, male 166.6
GTEX-QDVN-2026-SM-3GAEP 50-59 years, male 164.9
GTEX-SSA3-0126-SM-32QPU 60-69 years, male 160.7
GTEX-1PBJI-0526-SM-E8VNK 20-29 years, female 160.3
GTEX-X638-0126-SM-47JZ8 70-79 years, female 158.6
GTEX-ZF28-0126-SM-4WKGK 60-69 years, male 157.9
GTEX-QDT8-0126-SM-48TZ1 30-39 years, female 152.9
GTEX-1I1HK-0126-SM-COH49 60-69 years, male 151.0
GTEX-1F48J-0126-SM-7P8TT 50-59 years, female 150.7
GTEX-X62O-0126-SM-4E3JN 50-59 years, male 150.6
GTEX-13OVG-1926-SM-5L3DK 60-69 years, male 148.2
GTEX-WOFL-0126-SM-3MJG2 60-69 years, male 147.9
GTEX-Q734-1926-SM-2I5EV 40-49 years, female 147.6
GTEX-14BIL-0126-SM-5SI92 50-59 years, male 145.1
GTEX-11TTK-0126-SM-5987B 60-69 years, female 143.3
GTEX-1RLM8-2326-SM-EWRN4 50-59 years, male 142.0
GTEX-14A6H-0126-SM-5QGPK 30-39 years, male 141.8
GTEX-1HSMO-0126-SM-CL547 60-69 years, male 141.2
GTEX-14PHW-0126-SM-6LLJI 60-69 years, female 140.0
GTEX-1A3MW-0126-SM-73KXX 60-69 years, female 139.2
GTEX-15SHW-0326-SM-6PAML 60-69 years, male 136.9
GTEX-16XZY-2126-SM-79OK1 70-79 years, male 135.2
GTEX-OXRL-0126-SM-2YUMP 50-59 years, male 132.0
GTEX-1JMOU-1526-SM-CL54I 60-69 years, female 124.8
GTEX-ZZPT-0226-SM-5E43X 50-59 years, male 123.7
GTEX-1AYD5-2426-SM-73KXR 50-59 years, male 118.3
GTEX-ZUA1-0126-SM-5GU76 40-49 years, male 114.6
GTEX-15EOM-0126-SM-7KUGG 20-29 years, female 114.3
GTEX-1LNCM-1126-SM-E9U5E 50-59 years, female 105.6
GTEX-1HUB1-0426-SM-E9U4U 60-69 years, male 99.0
GTEX-1OJC4-0126-SM-E9J2E 50-59 years, female 94.2
GTEX-139T4-0226-SM-5HL5S 50-59 years, female 89.1
GTEX-113IC-0126-SM-5HL6T 60-69 years, male 82.6
GTEX-1F75I-0326-SM-9YFLU 40-49 years, male 77.4
GTEX-SE5C-1626-SM-2XCE3 40-49 years, female 75.3
GTEX-1R9PO-2126-SM-E9J4O 60-69 years, female 68.7
GTEX-11ZUS-0626-SM-59885 30-39 years, male 57.5
GTEX-14JIY-0126-SM-6LLH6 60-69 years, male 34.1
GTEX-1QW4Y-1526-SM-EAZ3Z 30-39 years, male 33.6
GTEX-U4B1-1826-SM-4DXSU 40-49 years, male 22.6
GTEX-1QP67-1626-SM-EAZ3X 40-49 years, female 19.6
GTEX-1HBPH-0426-SM-B2LW5 40-49 years, female 17.5
GTEX-1RAZQ-0726-SM-EAZ43 30-39 years, male 13.8
GTEX-146FR-1326-SM-E9J48 60-69 years, female 10.5
Show allShow less

Contact

  • NEWS ARTICLES
  • PRESS ROOM

The Project

  • INTRODUCTION
  • ORGANIZATION
  • PUBLICATIONS

The Human Protein Atlas

  • DOWNLOADABLE DATA
  • LICENCE & CITATION
  • HELP & FAQ
The Human Protein Atlas project is funded
by the Knut & Alice Wallenberg Foundation.


contact@proteinatlas.org