We use cookies to enhance the usability of our website. If you continue, we'll assume that you are happy to receive all cookies. More information. Don't show this again.
NPC2
HPA
RESOURCES
  • TISSUE
  • BRAIN
  • SINGLE CELL
  • SUBCELLULAR
  • CANCER
  • BLOOD
  • CELL LINE
  • STRUCTURE & INTERACTION
ABOUT
  • INTRODUCTION
  • HISTORY
  • ORGANIZATION
  • PUBLICATIONS
  • ANTIBODY SUBMISSION
  • ANTIBODY AVAILABILITY
  • ACKNOWLEDGMENTS
  • CONTACT
NEWS
  • NEWS ARTICLES
  • PRESS ROOM
LEARN
  • DICTIONARY
  • PROTEIN CLASSES
  • PROTEIN EVIDENCE
  • METHODS
  • EDUCATIONAL VIDEOS
DATA
  • DOWNLOADABLE DATA
  • PUBLICATION DATA
  • RELEASE HISTORY
HELP
  • ANTIBODY VALIDATION
  • ASSAYS & ANNOTATION
  • DISCLAIMER
  • HELP & FAQ
  • PRIVACY STATEMENT
  • LICENCE & CITATION
Fields »
Search result

Field
Term
Gene name
Class
Subclass
Class
Keyword
Chromosome
External id
Tissue
Cell type
Expression
Antibody panel
Tissue
Main location
Patient ID
Annotation
Tissue
Category
Tau score
Cluster
Reliability
Brain region
Category
Tau score
Brain region
Category
Tau score
Brain region
Category
Tau score
Cluster
Reliability
Tissue
Cell type
Enrichment
Cell type
Category
Tau score
Cell type
Category
Tau score
Cell type
Category
Tau score
Cell lineage
Category
Tau score
Cluster
Cluster
Location
Searches
Location
Cell line
Class
Type
Phase
Reliability
Cancer
Prognosis
Cancer
Category
Cancer
Category
Tau score
Cluster
Variants
Interacting gene (ensg_id)
Type
Number of interactions
Pathway
Category
Score
Score
Score
Validation
Validation
Validation
Validation
Antibodies
Data type
Column


  • SUMMARY

  • TISSUE

  • BRAIN

  • SINGLE CELL

  • SUBCELL

  • CANCER

  • BLOOD

  • CELL LINE

  • STRUCT & INT

  • NPC2
TISSUE PRIMARY DATA SKIN Show tissue menu
ADIPOSE TISSUE ADRENAL GLAND AMYGDALA APPENDIX BASAL GANGLIA BONE MARROW BREAST BRONCHUS CEREBELLUM CEREBRAL CORTEX CERVIX CHOROID PLEXUS COLON DUODENUM
ENDOMETRIUM EPIDIDYMIS ESOPHAGUS FALLOPIAN TUBE GALLBLADDER HEART MUSCLE HIPPOCAMPAL FORMATION HYPOTHALAMUS KIDNEY LIVER LUNG LYMPH NODE MIDBRAIN NASOPHARYNX
ORAL MUCOSA OVARY PANCREAS PARATHYROID GLAND PITUITARY GLAND PLACENTA PROSTATE RECTUM RETINA SALIVARY GLAND SEMINAL VESICLE SKELETAL MUSCLE SKIN SMALL INTESTINE
SMOOTH MUSCLE SOFT TISSUE SPINAL CORD SPLEEN STOMACH TESTIS THYMUS THYROID GLAND TONGUE TONSIL URINARY BLADDER VAGINA
ANTIBODIES
AND
VALIDATION
Dictionary
Skin
Tissue proteome
Skin
SKIN - Expression summary
Protein expression
Skini

On the top, protein expression in current human tissue, based on all annotated cell types, is reported with the units not detected (n), low (l), medium (m) and high (h). Underneath, protein expression in each annotated cell type are reported using the same units.

Protein expression data is based on knowledge-based annotation. For genes where more than one antibody has been used, a collective score is set.

If knowledge-based annotation could not be performed for a gene, no data is displayed here. View antibody staining data further down this page.

h
m
l
n
Cells in basal layer: Not detected
Cells in corneal layer: Not detected
Cells in granular layer: Not detected
Cells in spinous layer: Not detected
Endothelial cells: Low
Extracellular matrix: Not detected
Fibrohistiocytic cells: Low
Hair follicles: Not detected
Langerhans cells: Not detected
Lymphocytes: Low
Melanocytes: Not detected
Sebaceous glands: Not detected
Vascular mural cells: Not detected
RNA expressioni

A summary of mRNA expression data available for current tissue based on several datasets. The mRNA expression levels in human tissues are based on RNA-seq data generated by the Human Protein Atlas (HPA), Genotype-Tissue Expression (GTEx) portal and CAGE data generated by the FANTOM5 consortium. Consensus normalized expression levels for human tissues was created by combining the data from HPA and GTEx datasets.

The mRNA expression levels in pig are based on RNA-seq data generated by the Human Protein Atlas (HPA), and for mouse, HPA data and in situ hybridization generated by the Allen brain atlas are reported.

Scroll down to view mRNA expression data in more detail.
Consensus:175.8 nTPM
HPA:152.9 nTPM
GTEx:175.8 nTPM

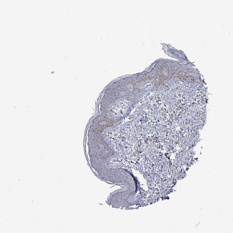
SKIN 1 - Antibody stainingi

Antibody staining in the annotated cell types in the current human tissue is reported as not detected, low, medium, or high, based on conventional immunohistochemistry profiling in selected tissues. This score is based on the combination of the staining intensity and fraction of stained cells.

Each image is clickable and will lead to virtual microscopy that enables deeper exploration of all samples and also displays staining intensity scores, fraction scores and subcellular localization as well as patient and tissue information for each sample.

Antibody HPA000835Antibody CAB032888
Langerhans Not detected-
Cells in basal layer -Not detected
Cells in corneal layer -Not detected
Cells in granular layer -Not detected
Cells in spinous layer -Not detected
Endothelial cells -Low
Extracellular matrix -Not detected
Fibroblasts Not detected-
Fibrohistiocytic cells -Low
Hair follicles -Not detected
Keratinocytes Not detected-
Langerhans cells -Not detected
Lymphocytes -Low
Melanocytes Not detectedNot detected
Sebaceous glands -Not detected
Vascular mural cells -Not detected



SKIN 2 - Antibody stainingi

Antibody staining in the annotated cell types in the current human tissue is reported as not detected, low, medium, or high, based on conventional immunohistochemistry profiling in selected tissues. This score is based on the combination of the staining intensity and fraction of stained cells.

Each image is clickable and will lead to virtual microscopy that enables deeper exploration of all samples and also displays staining intensity scores, fraction scores and subcellular localization as well as patient and tissue information for each sample.

Antibody HPA000835Antibody CAB032888
Cells in basal layer -Not detected
Cells in corneal layer -Not detected
Cells in granular layer -Not detected
Cells in spinous layer -Not detected
Endothelial cells -Low
Epidermal cells Not detected-
Extracellular matrix -Not detected
Fibrohistiocytic cells -Low
Langerhans cells -Not detected
Lymphocytes -Low
Melanocytes -Not detected
Vascular mural cells -Not detected
  
  
  
  


SKIN - HPA RNA-seqi

The RNA-seq details section shows detailed information about the individual samples used for the transcript profiling and results of the RNA-seq analysis.

Information about each individual sample is listed below, including gender, age, a tissue section image and estimated fractions of cell types. nTPM (normalized transcripts per million) values give a quantification of the gene abundance which is comparable between different genes and samples.
Average nTPMi

Max subtype nTPM is the value for the subtype with the largest average nTPM across the subtype samples.

152.9
overview
Female, age 34
Skin sample 225
nTPM: 160.1
Cell types%
Keratinocytes:
60

Other cell types:
40

overview
Female, age 30
Skin sample 226
nTPM: 145.7
Cell types%
Keratinocytes:
55

Other cell types:
45

N/A
Male, age 57
Skin sample 227
nTPM: 152.9

SKIN - GTEx RNA-seqi

RNA-Seq data generated by the Genotype-Tissue Expression (GTEx) project from human tissues is reported as mean nTPM. More information can be found on the GTEx portal.

Distribution across the dataset is visualized with box plots, shown as median and 25th and 75th percentiles. Points are displayed as outliers if they are above or below 1.5 times the interquartile range. nTPM values of the individual samples are presented next to the box plot.
Max subtype nTPMi

Max subtype nTPM is the value for the subtype with the largest average nTPM across the subtype samples.

175.8
GTEx sample id Sample description nTPM
Skin - Not Sun Exposed (Suprapubic)
Average nTPM: 161.0
Samples: 604

Max nTPM: 391.4
Min nTPM: 82.5
Std nTPM: 38.8
Median nTPM: 154.6
GTEX-Y3IK-1626-SM-4YCF5 50-59 years, female 391.4
GTEX-ZYW4-0626-SM-59HJR 60-69 years, male 331.8
GTEX-1H1ZS-2726-SM-9WG75 70-79 years, male 318.5
GTEX-1117F-2926-SM-5GZYI 60-69 years, female 312.4
GTEX-1RLM8-2926-SM-E8VON 50-59 years, male 306.0
GTEX-1399R-1326-SM-5PNYS 30-39 years, male 298.2
GTEX-11DYG-1526-SM-5A5JS 60-69 years, male 295.5
GTEX-13YAN-0226-SM-5TDC6 60-69 years, male 291.5
GTEX-14DAR-1226-SM-73KYV 50-59 years, male 290.1
GTEX-ZTX8-1326-SM-4YCEL 20-29 years, male 287.4
GTEX-1E2YA-2126-SM-7MXUO 50-59 years, male 283.9
GTEX-18D9B-0926-SM-7LG4U 60-69 years, male 283.7
GTEX-1497J-0226-SM-5QGPU 60-69 years, male 282.3
GTEX-1OJC3-1226-SM-DTXER 20-29 years, male 281.9
GTEX-1IDJI-0126-SM-CMKHS 50-59 years, female 275.7
GTEX-1S82P-2126-SM-E6CI5 60-69 years, female 264.2
GTEX-WH7G-2026-SM-3NMBL 40-49 years, male 253.4
GTEX-YEC4-1826-SM-4W1YP 40-49 years, male 253.2
GTEX-W5X1-2526-SM-3GILC 40-49 years, female 251.9
GTEX-X585-2426-SM-46MW2 50-59 years, male 251.6
GTEX-Y5V6-2326-SM-4VDSA 60-69 years, male 249.7
GTEX-13X6H-0926-SM-5SIB2 50-59 years, female 245.8
GTEX-WXYG-2026-SM-4E3IY 50-59 years, female 244.2
GTEX-139YR-1026-SM-5LZYN 50-59 years, male 244.0
GTEX-15SHW-0226-SM-7LTAT 60-69 years, male 243.8
GTEX-1MJK3-0726-SM-E6CJC 20-29 years, male 242.4
GTEX-13113-1626-SM-5EQ4I 60-69 years, female 241.7
GTEX-1H3VE-0726-SM-9YFL5 40-49 years, male 240.3
GTEX-1QP9N-1226-SM-E76QN 30-39 years, male 239.6
GTEX-1ICLZ-0326-SM-ARL82 60-69 years, male 236.5
GTEX-WI4N-2726-SM-3LK7Y 40-49 years, female 236.3
GTEX-12WSJ-1126-SM-5LZVJ 40-49 years, female 231.5
GTEX-ZF3C-0626-SM-DO92O 50-59 years, female 230.1
GTEX-148VJ-0626-SM-5LUAW 70-79 years, male 229.9
GTEX-XV7Q-1826-SM-4BRUV 40-49 years, female 229.7
GTEX-1AYD5-2626-SM-7PBXY 50-59 years, male 228.6
GTEX-14A5H-0826-SM-5QGPJ 60-69 years, male 228.2
GTEX-15RJ7-2126-SM-6PAMD 40-49 years, male 227.7
GTEX-ZE7O-2726-SM-51MT5 50-59 years, female 226.9
GTEX-15UF6-1926-SM-7KUDV 70-79 years, female 224.2
GTEX-17EVQ-0126-SM-7IGLR 70-79 years, male 222.3
GTEX-WFG7-2026-SM-5SI7P 20-29 years, male 221.6
GTEX-1QP29-1826-SM-DTX9S 50-59 years, male 219.5
GTEX-1HCU6-2526-SM-ADEHL 60-69 years, female 218.9
GTEX-1JMOU-1026-SM-CYPSS 60-69 years, female 218.6
GTEX-ZLFU-1826-SM-4WWBV 40-49 years, male 217.6
GTEX-Y114-2126-SM-4TT8B 50-59 years, female 216.7
GTEX-12WSL-2026-SM-5GCML 50-59 years, male 215.2
GTEX-1I1GP-1326-SM-A9G28 50-59 years, male 215.0
GTEX-16YQH-2226-SM-7IGM2 30-39 years, male 214.8
GTEX-1RAZS-2526-SM-E6CHT 50-59 years, male 214.7
GTEX-1JMLX-0626-SM-ARL8T 50-59 years, male 214.2
GTEX-13N11-2326-SM-5IJBF 50-59 years, female 213.3
GTEX-16BQI-1326-SM-6M486 30-39 years, female 211.9
GTEX-1HSMQ-2626-SM-A9SML 50-59 years, male 211.2
GTEX-17F97-2626-SM-7IGM5 50-59 years, male 210.1
GTEX-X3Y1-2026-SM-3P5YM 40-49 years, male 210.0
GTEX-139T8-0626-SM-5KLZX 60-69 years, male 209.4
GTEX-145MG-1526-SM-5Q5EM 50-59 years, male 207.4
GTEX-13OVJ-0826-SM-5J1OK 50-59 years, female 207.1
GTEX-1GMR2-0826-SM-7PC3V 50-59 years, male 207.1
GTEX-1HFI6-0126-SM-CNPPI 40-49 years, male 207.1
GTEX-1S831-1826-SM-EWROF 20-29 years, male 206.6
GTEX-14ICL-1626-SM-5YYAO 30-39 years, male 206.1
GTEX-11NSD-0626-SM-5A5LU 20-29 years, male 206.0
GTEX-1PIGE-1826-SM-E8VOU 20-29 years, male 205.8
GTEX-147F3-1726-SM-5SIAW 50-59 years, female 203.9
GTEX-X5EB-1926-SM-4E3IW 40-49 years, male 203.7
GTEX-18A66-0626-SM-7LT8Z 60-69 years, male 203.6
GTEX-1H1CY-0126-SM-9YFLY 60-69 years, female 202.9
GTEX-1F48J-0726-SM-7RHGS 50-59 years, female 202.7
GTEX-1HFI7-2326-SM-CGQFS 50-59 years, female 202.4
GTEX-1HGF4-0126-SM-CNPPX 60-69 years, male 202.1
GTEX-13IVO-0726-SM-5LZYV 70-79 years, male 199.7
GTEX-144FL-0626-SM-5LU43 50-59 years, male 199.7
GTEX-ZPU1-1126-SM-4YCF3 40-49 years, male 199.7
GTEX-11P7K-1126-SM-5HL4L 30-39 years, male 199.4
GTEX-1IKOE-1426-SM-CE6T7 30-39 years, female 199.2
GTEX-1EX96-1026-SM-7MKG2 50-59 years, male 198.2
GTEX-14JG6-1426-SM-9WG7C 30-39 years, female 198.1
GTEX-12WSH-1526-SM-5BC5W 50-59 years, male 197.2
GTEX-X8HC-0626-SM-4E3HQ 50-59 years, female 196.4
GTEX-11O72-0626-SM-5PNYE 40-49 years, male 196.0
GTEX-1RAZR-2126-SM-E9U6T 40-49 years, male 195.8
GTEX-Y3I4-1726-SM-4TT89 50-59 years, male 195.7
GTEX-1HCUA-0826-SM-ADEHM 50-59 years, female 195.5
GTEX-1N2DV-1526-SM-DTXEP 40-49 years, male 194.4
GTEX-18D9A-1426-SM-7LT8M 30-39 years, female 194.3
GTEX-1M4P7-0726-SM-E6CJ3 60-69 years, male 194.3
GTEX-1HUB1-1426-SM-CGQF5 60-69 years, male 194.1
GTEX-14PJ5-1526-SM-6LLIL 60-69 years, female 194.0
GTEX-1LBAC-0826-SM-CY8IJ 20-29 years, male 193.6
GTEX-15RIG-0726-SM-7KUM7 40-49 years, male 193.5
GTEX-12WSK-2126-SM-5CVNC 40-49 years, female 192.3
GTEX-XK95-0226-SM-4AT58 40-49 years, male 191.6
GTEX-YECK-0326-SM-4W1YS 60-69 years, male 191.3
GTEX-1F6I4-2326-SM-7RHGL 60-69 years, male 191.1
GTEX-1HC8U-1326-SM-9YFMJ 40-49 years, female 190.9
GTEX-17F9E-2326-SM-79OKD 50-59 years, male 190.3
GTEX-145ME-1726-SM-5Q5EU 40-49 years, female 190.1
GTEX-15RIE-1926-SM-7KUKJ 60-69 years, male 190.1
GTEX-13NYB-0126-SM-5J1MD 40-49 years, male 189.9
GTEX-ZA64-1026-SM-5HL8R 20-29 years, male 189.7
GTEX-14PHX-2226-SM-6EU2P 50-59 years, male 189.6
GTEX-ZDYS-2426-SM-4WKGI 50-59 years, male 189.2
GTEX-YB5K-2026-SM-4VDT3 40-49 years, female 188.9
GTEX-11WQC-1826-SM-5GU59 60-69 years, male 188.7
GTEX-11ZTT-2126-SM-5CVLO 60-69 years, female 188.5
GTEX-ZT9X-1526-SM-5DUXD 40-49 years, male 188.4
GTEX-117YX-1926-SM-5GIEC 50-59 years, male 188.3
GTEX-1IDFM-0326-SM-ARL7V 60-69 years, male 188.2
GTEX-18A6Q-0626-SM-7KFRP 60-69 years, male 188.1
GTEX-17MFQ-1526-SM-7KFRR 20-29 years, male 187.9
GTEX-1HKZK-0726-SM-ACKW2 40-49 years, male 187.9
GTEX-11PRG-0726-SM-5EGL1 50-59 years, male 187.5
GTEX-11DZ1-2426-SM-5GZZX 50-59 years, male 187.4
GTEX-131XG-0326-SM-5L3DX 50-59 years, female 186.9
GTEX-146FQ-2126-SM-5RQHU 30-39 years, male 186.9
GTEX-1R9K4-2826-SM-DTX8F 60-69 years, male 186.3
GTEX-12BJ1-0926-SM-5EQ62 60-69 years, male 186.1
GTEX-ZT9W-1126-SM-57WDR 50-59 years, male 186.0
GTEX-1RB15-1326-SM-E76Q9 60-69 years, male 185.9
GTEX-15DYW-2726-SM-6EU2I 60-69 years, female 185.3
GTEX-13O61-1426-SM-5KM3D 60-69 years, male 184.6
GTEX-18A7B-2726-SM-7LG56 70-79 years, male 184.3
GTEX-1GMRU-2126-SM-7P8RA 50-59 years, male 184.3
GTEX-1399Q-2326-SM-5KM2X 40-49 years, male 184.0
GTEX-14C39-1726-SM-5RQIL 40-49 years, male 183.9
GTEX-139UW-0326-SM-5J1ML 60-69 years, male 183.7
GTEX-1C64N-2626-SM-7PC2N 50-59 years, male 183.0
GTEX-1F75A-0726-SM-7RHHD 50-59 years, male 182.7
GTEX-12126-0826-SM-5FQTZ 20-29 years, male 182.5
GTEX-14PJO-2526-SM-6AJBQ 60-69 years, male 182.2
GTEX-1HBPI-2126-SM-ARL9K 50-59 years, male 182.2
GTEX-14E1K-2026-SM-7DUEI 50-59 years, male 181.9
GTEX-14JG1-1526-SM-5YY9X 40-49 years, male 180.2
GTEX-1F75B-0726-SM-7PC3R 50-59 years, male 180.2
GTEX-1NSGN-0726-SM-DTXEF 50-59 years, male 180.1
GTEX-15G1A-1626-SM-7KUKN 30-39 years, male 179.5
GTEX-1F75I-2226-SM-7SB8U 40-49 years, male 179.4
GTEX-1HSMO-0626-SM-ACKXC 60-69 years, male 179.1
GTEX-1I1GS-2626-SM-B2LY3 60-69 years, male 178.8
GTEX-ZYVF-0926-SM-5E44J 50-59 years, female 178.5
GTEX-1JJEA-1826-SM-ARU8P 60-69 years, male 178.2
GTEX-ZAK1-0626-SM-5HL8E 50-59 years, female 178.0
GTEX-15CHQ-0326-SM-69LQD 60-69 years, male 177.7
GTEX-1JMQL-2226-SM-CNPP4 50-59 years, female 177.2
GTEX-13NYS-0626-SM-5L3F1 60-69 years, male 177.1
GTEX-11EM3-1226-SM-5N9DD 20-29 years, female 177.0
GTEX-13OW5-2326-SM-5L3HO 60-69 years, male 177.0
GTEX-13PL6-1126-SM-5L3IE 40-49 years, female 176.9
GTEX-16MTA-0926-SM-6M47Z 50-59 years, male 176.9
GTEX-1CAMS-2226-SM-7PBXQ 40-49 years, female 176.9
GTEX-131XF-2626-SM-5EQ6K 60-69 years, male 176.8
GTEX-1PPH8-0126-SM-EWRN8 20-29 years, male 176.5
GTEX-18QFQ-1826-SM-72D52 30-39 years, male 176.4
GTEX-147F4-0726-SM-5TDDD 50-59 years, male 176.3
GTEX-ZAJG-1526-SM-5CVML 50-59 years, female 176.2
GTEX-ZYFG-1526-SM-5GZYM 60-69 years, female 175.8
GTEX-ZZPU-0826-SM-5GZX5 50-59 years, female 175.8
GTEX-1H3O1-1326-SM-9MQLD 60-69 years, male 175.7
GTEX-1QCLY-0226-SM-EWRNH 30-39 years, male 175.6
GTEX-ZZ64-1026-SM-5GZXG 20-29 years, male 174.7
GTEX-YF7O-1526-SM-5IFI6 50-59 years, male 174.1
GTEX-1LVAM-0726-SM-E6CIL 50-59 years, female 174.0
GTEX-1A3MW-0626-SM-731CB 60-69 years, female 173.5
GTEX-15DDE-2926-SM-6LLJ3 50-59 years, female 173.3
GTEX-1AX8Z-0726-SM-73KTS 60-69 years, male 173.1
GTEX-1S82U-1026-SM-E6CJK 30-39 years, female 172.9
GTEX-ZPCL-1126-SM-4WWFE 60-69 years, female 172.7
GTEX-131XH-0126-SM-5LZUY 50-59 years, male 172.6
GTEX-14E6C-2426-SM-5S2NF 40-49 years, male 172.5
GTEX-1LKK1-2626-SM-DKPQE 50-59 years, female 172.4
GTEX-ZPIC-0526-SM-DO91W 40-49 years, female 172.1
GTEX-144GO-2026-SM-5O99P 60-69 years, male 171.8
GTEX-Y8LW-1526-SM-5IFHL 50-59 years, female 171.8
GTEX-14PKV-1126-SM-6LLJ1 20-29 years, female 171.7
GTEX-139TS-2126-SM-5K7XC 60-69 years, male 171.6
GTEX-1JN1M-2726-SM-CY8I4 60-69 years, female 171.5
GTEX-1192X-2726-SM-5N9DN 50-59 years, male 171.3
GTEX-1A32A-0626-SM-731AQ 50-59 years, female 171.3
GTEX-1313W-0626-SM-5EQ4H 50-59 years, female 171.2
GTEX-13OVG-1626-SM-5J1NF 60-69 years, male 171.2
GTEX-1F6IF-0926-SM-7SB7M 60-69 years, male 171.1
GTEX-1NV5F-0626-SM-DTXEG 60-69 years, female 170.8
GTEX-13QBU-1226-SM-5LU4G 40-49 years, female 170.6
GTEX-1H2FU-0926-SM-9WPPT 60-69 years, female 170.4
GTEX-1B97I-0626-SM-73KUZ 40-49 years, male 170.2
GTEX-11P81-2226-SM-5PNYI 30-39 years, female 170.0
GTEX-13FTY-2126-SM-5IFFB 40-49 years, female 170.0
GTEX-ZF2S-1626-SM-57WES 50-59 years, female 170.0
GTEX-13N2G-0226-SM-5K7VF 60-69 years, male 169.9
GTEX-1H23P-0626-SM-9WG6T 60-69 years, male 169.9
GTEX-12WSF-1626-SM-7KUG5 70-79 years, male 169.6
GTEX-1QP28-1126-SM-EVYC4 50-59 years, female 169.6
GTEX-1A8FM-0626-SM-7PC25 50-59 years, female 169.5
GTEX-1GTWX-2026-SM-9YFLM 60-69 years, male 169.4
GTEX-ZDTS-0826-SM-4WKHL 60-69 years, male 169.1
GTEX-13FHO-0426-SM-5L3F5 60-69 years, male 169.0
GTEX-ZAB4-2126-SM-5HL8U 40-49 years, male 169.0
GTEX-14BMU-1226-SM-5S2OR 20-29 years, female 168.9
GTEX-1S5ZU-2526-SM-E6CIF 20-29 years, female 168.8
GTEX-11P82-1426-SM-DTXFY 20-29 years, male 168.5
GTEX-ZGAY-1826-SM-DO91Q 40-49 years, female 168.1
GTEX-1AX9J-1326-SM-731BJ 60-69 years, male 167.9
GTEX-1211K-1526-SM-5FQU4 60-69 years, female 167.8
GTEX-XBEW-1126-SM-4QARW 40-49 years, male 167.7
GTEX-XYKS-1426-SM-4BRUO 60-69 years, female 167.4
GTEX-1F75W-2726-SM-7SB8H 60-69 years, male 167.4
GTEX-WHSB-1326-SM-3LK6W 50-59 years, male 167.3
GTEX-1LSVX-2526-SM-DIPEU 60-69 years, male 167.3
GTEX-1QP66-1226-SM-DTX7U 50-59 years, male 167.2
GTEX-1GZ4H-0526-SM-9KNU9 50-59 years, female 166.7
GTEX-ZYY3-2926-SM-5GIEB 60-69 years, female 166.5
GTEX-1C475-1326-SM-7SB73 40-49 years, female 166.1
GTEX-183WM-0326-SM-72D5V 70-79 years, female 166.0
GTEX-1CB4H-1126-SM-7MKGL 60-69 years, female 165.8
GTEX-Y5LM-0926-SM-6LLJG 40-49 years, female 165.8
GTEX-1GN1V-2826-SM-9JGIA 60-69 years, male 165.7
GTEX-1CAMQ-1326-SM-7P8RV 40-49 years, male 165.4
GTEX-1PIIG-2326-SM-DTXFR 30-39 years, male 165.1
GTEX-1LVAO-2726-SM-E9TJ8 60-69 years, male 165.0
GTEX-1BAJH-2426-SM-7IGP8 70-79 years, male 164.9
GTEX-1J1OQ-0126-SM-D4P2N 40-49 years, female 164.9
GTEX-18D9U-0126-SM-731BM 40-49 years, male 164.7
GTEX-1EMGI-2326-SM-7PBYA 60-69 years, male 164.7
GTEX-11LCK-2226-SM-5HL4Q 30-39 years, male 164.6
GTEX-1J8Q3-0526-SM-ARL8U 60-69 years, male 164.6
GTEX-16MT8-2926-SM-7DUFO 60-69 years, female 164.5
GTEX-ZTTD-2826-SM-4YCFA 50-59 years, male 164.4
GTEX-U8XE-0226-SM-4E3J3 30-39 years, male 164.0
GTEX-1314G-1326-SM-5BC6E 30-39 years, male 163.7
GTEX-1A3MV-1826-SM-731CD 30-39 years, male 163.7
GTEX-1IDJC-1526-SM-B2LW4 50-59 years, male 163.6
GTEX-1IKJJ-2226-SM-CJI4C 60-69 years, male 163.6
GTEX-1JK1U-0226-SM-ARZMX 60-69 years, male 163.6
GTEX-ZLWG-0826-SM-59888 50-59 years, female 163.4
GTEX-13OVK-1426-SM-6PAN7 40-49 years, male 163.3
GTEX-11DXZ-2026-SM-5987S 50-59 years, male 163.2
GTEX-1JMPY-0226-SM-CKZOK 30-39 years, male 163.1
GTEX-1I19N-0126-SM-CYPSF 70-79 years, male 162.7
GTEX-1S83E-1326-SM-E6CJM 40-49 years, male 162.7
GTEX-12C56-1526-SM-5FQUQ 20-29 years, male 162.6
GTEX-14C38-0726-SM-5SI6M 50-59 years, male 162.6
GTEX-12ZZZ-0726-SM-5GCNZ 60-69 years, male 162.3
GTEX-15FZZ-0526-SM-7KUGD 30-39 years, female 162.3
GTEX-1S3DN-2126-SM-E9TIN 50-59 years, male 162.3
GTEX-13N1W-2426-SM-5IJD1 70-79 years, male 162.1
GTEX-12WSD-0626-SM-5GCMW 60-69 years, female 162.0
GTEX-14PHY-1226-SM-5ZZWK 60-69 years, female 162.0
GTEX-1IY9M-2826-SM-ARU8H 60-69 years, male 162.0
GTEX-1JJE9-2626-SM-ARZMT 70-79 years, male 161.9
GTEX-13PVR-0426-SM-5RQK2 60-69 years, female 161.5
GTEX-1L5NE-1126-SM-D3L9P 50-59 years, male 161.4
GTEX-UPK5-0426-SM-3GAEK 40-49 years, male 161.3
GTEX-1B996-0426-SM-7EWF8 60-69 years, male 161.2
GTEX-1IL2V-1926-SM-B2LW8 70-79 years, male 161.2
GTEX-18465-2826-SM-7LT9J 50-59 years, male 161.0
GTEX-1R9PM-1926-SM-EVR3O 20-29 years, male 161.0
GTEX-11DXY-0126-SM-5H11Q 60-69 years, male 160.8
GTEX-1GF9W-1426-SM-7PBYM 60-69 years, male 160.8
GTEX-17MF6-2626-SM-79OKQ 40-49 years, male 160.5
GTEX-11TT1-1826-SM-5EQLV 20-29 years, male 160.3
GTEX-13SLX-2226-SM-62LEP 50-59 years, female 160.3
GTEX-1JMQI-1726-SM-ARL93 50-59 years, male 160.3
GTEX-11OF3-0126-SM-5PNYF 60-69 years, male 160.2
GTEX-13JVG-0726-SM-5KM16 60-69 years, male 160.1
GTEX-1JN76-0626-SM-CKZOQ 20-29 years, female 160.0
GTEX-1QAET-0326-SM-EVR3U 50-59 years, male 159.9
GTEX-1I6K7-1926-SM-B2LXR 40-49 years, male 159.8
GTEX-VJYA-1526-SM-3GIJV 60-69 years, male 159.4
GTEX-ZVE2-2826-SM-5GU51 50-59 years, male 159.4
GTEX-12584-0726-SM-5FQTK 40-49 years, male 159.3
GTEX-11EQ9-1626-SM-5PNY8 30-39 years, male 159.1
GTEX-15SKB-2826-SM-6PAMH 60-69 years, male 159.0
GTEX-111YS-1526-SM-5GZYW 60-69 years, male 158.7
GTEX-11WQK-1026-SM-5EQLX 50-59 years, male 158.7
GTEX-ZYFC-0426-SM-5GICQ 50-59 years, male 158.7
GTEX-1JJ6O-2726-SM-CNPOG 60-69 years, male 158.5
GTEX-1LVA9-2626-SM-EVYD4 50-59 years, male 158.4
GTEX-1IDJE-1426-SM-ADEIW 50-59 years, female 158.2
GTEX-1122O-1026-SM-9WYSF 60-69 years, female 158.0
GTEX-15RJE-2826-SM-7KUM9 40-49 years, male 157.9
GTEX-1KAFJ-0126-SM-DIPEK 50-59 years, male 157.9
GTEX-ZVE1-0726-SM-51MRN 50-59 years, female 157.8
GTEX-1HSMP-0926-SM-A9SKX 70-79 years, male 157.5
GTEX-1JMPZ-0726-SM-CY8HZ 30-39 years, male 157.4
GTEX-1IDJD-2326-SM-ACKWX 30-39 years, male 157.2
GTEX-1F52S-2926-SM-7MKGA 60-69 years, female 157.1
GTEX-ZXG5-2126-SM-59HKD 60-69 years, male 157.1
GTEX-1HR98-2226-SM-ADEI2 60-69 years, male 157.0
GTEX-1477Z-0326-SM-7IGLA 60-69 years, male 156.9
GTEX-Z93S-1626-SM-5CVMB 50-59 years, male 156.7
GTEX-1PPH7-1126-SM-DTX9A 40-49 years, male 156.5
GTEX-139TT-2126-SM-5LZWC 60-69 years, male 156.0
GTEX-17HII-1426-SM-7EPGG 50-59 years, male 156.0
GTEX-1B8KE-1126-SM-7EPHI 50-59 years, male 155.7
GTEX-13VXT-1926-SM-5K7UO 20-29 years, female 155.4
GTEX-139TU-0726-SM-5L3EK 60-69 years, male 155.3
GTEX-12KS4-2126-SM-5FQUT 30-39 years, male 155.0
GTEX-145LT-0526-SM-5LUB2 40-49 years, male 155.0
GTEX-14PJN-1826-SM-6AJ98 30-39 years, male 154.8
GTEX-1LGOU-1326-SM-D3L8M 20-29 years, female 154.5
GTEX-11ZU8-0126-SM-5EQ58 60-69 years, male 154.4
GTEX-139D8-1126-SM-5LU8W 30-39 years, female 154.3
GTEX-ZF29-0926-SM-4WKFZ 60-69 years, female 154.3
GTEX-ZUA1-2626-SM-5NQ92 40-49 years, male 154.1
GTEX-1HBPM-0726-SM-9YFL7 60-69 years, female 154.1
GTEX-1I6K6-1726-SM-CGQFD 30-39 years, male 154.1
GTEX-11DXW-0826-SM-5H118 40-49 years, male 153.7
GTEX-1C6WA-2626-SM-7MKGM 60-69 years, male 153.5
GTEX-WYBS-0626-SM-3NMAS 60-69 years, female 153.5
GTEX-1GMR8-0626-SM-7RHI7 50-59 years, female 153.4
GTEX-11VI4-1126-SM-5EQMD 40-49 years, female 153.3
GTEX-YFCO-1226-SM-5LUAT 40-49 years, male 153.3
GTEX-13QJC-0126-SM-5ZZWJ 60-69 years, female 153.0
GTEX-1JMQJ-0826-SM-CNPP7 50-59 years, male 152.2
GTEX-1I1GT-1026-SM-ARZLV 60-69 years, female 152.1
GTEX-ZU9S-1826-SM-5NQ9E 30-39 years, male 151.6
GTEX-XMD2-2126-SM-4YCF8 60-69 years, female 151.5
GTEX-16NPX-0726-SM-7KULC 50-59 years, male 151.3
GTEX-ZYT6-2326-SM-5GZY3 30-39 years, male 151.0
GTEX-1CB4I-0126-SM-7RHGG 50-59 years, male 150.9
GTEX-14753-0726-SM-5QGQO 60-69 years, male 150.8
GTEX-13FTW-0326-SM-5K7UW 40-49 years, male 150.5
GTEX-1O9I2-0226-SM-EYYXD 50-59 years, male 150.4
GTEX-145MN-1526-SM-5SI9T 30-39 years, male 150.3
GTEX-13RTJ-0126-SM-5S2NN 60-69 years, male 150.2
GTEX-1R46S-2426-SM-E76QA 60-69 years, female 150.2
GTEX-111VG-1626-SM-5EGIO 60-69 years, male 150.1
GTEX-13FTX-1526-SM-5K7VJ 20-29 years, female 150.1
GTEX-1GL5R-1326-SM-7RHHF 50-59 years, male 150.0
GTEX-ZC5H-1526-SM-5HL9Y 40-49 years, female 149.8
GTEX-1GN73-0726-SM-7P8TJ 60-69 years, male 149.7
GTEX-133LE-2326-SM-5K7W3 20-29 years, female 149.5
GTEX-13W3W-0726-SM-5IJDQ 60-69 years, female 149.5
GTEX-ZDTT-0426-SM-4WKFL 60-69 years, male 149.5
GTEX-1J8EW-2726-SM-CY8HR 60-69 years, female 149.4
GTEX-Y111-0626-SM-4SOIT 50-59 years, male 149.3
GTEX-13D11-0926-SM-5J2NC 50-59 years, female 149.2
GTEX-14PJ3-1126-SM-5ZZVX 50-59 years, male 149.1
GTEX-WHWD-1826-SM-3LK6I 50-59 years, male 148.9
GTEX-1399U-1126-SM-5L3DB 50-59 years, female 148.7
GTEX-13NZ9-2626-SM-5L3FK 50-59 years, male 148.4
GTEX-ZVP2-0326-SM-57WBP 50-59 years, male 148.4
GTEX-14LLW-2626-SM-62LDZ 70-79 years, female 148.3
GTEX-16GPK-0626-SM-7KFSF 60-69 years, male 148.3
GTEX-1JKYN-0826-SM-ARU8S 30-39 years, male 148.3
GTEX-YEC3-1326-SM-DO92X 50-59 years, male 148.3
GTEX-14LZ3-0126-SM-69LPM 60-69 years, female 148.1
GTEX-18A67-1626-SM-7LT9T 50-59 years, male 148.1
GTEX-ZY6K-1426-SM-5GZX2 50-59 years, male 147.8
GTEX-XBED-1926-SM-47JYP 60-69 years, male 147.6
GTEX-XQ3S-1426-SM-4BOPR 20-29 years, male 147.5
GTEX-1RAZQ-1326-SM-E9TK6 30-39 years, male 147.5
GTEX-1R7EU-1626-SM-DTXG3 60-69 years, male 147.4
GTEX-13SLW-0626-SM-5Q5ER 70-79 years, male 147.3
GTEX-1HSGN-0826-SM-ACKW3 40-49 years, female 147.2
GTEX-17HG3-2626-SM-7DUF2 30-39 years, female 147.1
GTEX-WFON-1926-SM-3LK7L 40-49 years, male 146.7
GTEX-UPJH-0226-SM-3GADV 50-59 years, male 146.5
GTEX-WHSE-0126-SM-3NMBT 20-29 years, male 146.4
GTEX-1F5PL-0926-SM-7PC2W 40-49 years, female 146.4
GTEX-132AR-0326-SM-5KM2C 50-59 years, female 146.1
GTEX-Y8E4-2026-SM-5IFJB 40-49 years, male 145.9
GTEX-145MF-0926-SM-5Q5EA 50-59 years, male 145.7
GTEX-1HCU7-0726-SM-A9SL1 50-59 years, male 145.5
GTEX-ZVZP-1226-SM-5GID7 50-59 years, male 145.3
GTEX-13U4I-2226-SM-5LU5H 40-49 years, female 145.2
GTEX-14E6E-0526-SM-793DN 30-39 years, male 145.0
GTEX-X4EO-2926-SM-4E3JH 60-69 years, female 145.0
GTEX-145MH-2826-SM-5RQJF 50-59 years, male 144.7
GTEX-15EO6-2426-SM-6PALZ 50-59 years, male 144.7
GTEX-YJ8O-2526-SM-5HL85 40-49 years, female 144.6
GTEX-14PK6-0226-SM-62LF5 70-79 years, female 144.3
GTEX-1J8Q2-2626-SM-ACKWQ 60-69 years, male 144.3
GTEX-13X6I-1826-SM-5SIAO 60-69 years, male 144.1
GTEX-145LS-0626-SM-7EPG7 60-69 years, female 144.1
GTEX-145MO-2826-SM-5LU96 60-69 years, male 144.0
GTEX-WFG8-2126-SM-3GIKQ 20-29 years, male 144.0
GTEX-1CAMR-1326-SM-7PC1F 20-29 years, male 143.9
GTEX-1IDJF-2026-SM-CL53V 20-29 years, male 143.9
GTEX-13PDP-0726-SM-5L3HP 60-69 years, male 143.8
GTEX-1GPI7-1826-SM-9KNU1 20-29 years, male 143.8
GTEX-1PBJJ-1026-SM-E76OS 30-39 years, male 143.4
GTEX-1AX9I-2226-SM-73KUO 60-69 years, male 143.1
GTEX-1HCU8-2526-SM-CE6RX 60-69 years, female 143.1
GTEX-1QW4Y-1126-SM-DTXE3 30-39 years, male 143.1
GTEX-14JFF-0626-SM-5ZZVT 60-69 years, male 142.9
GTEX-15G19-2426-SM-7KUMR 60-69 years, male 142.6
GTEX-ZE9C-2526-SM-5IJDR 60-69 years, male 142.6
GTEX-WYJK-0526-SM-3NM8Z 50-59 years, male 142.5
GTEX-ZWKS-0626-SM-5GIDV 30-39 years, male 142.1
GTEX-1H1DF-1126-SM-9WG7G 40-49 years, female 142.0
GTEX-1CB4F-1026-SM-7DUH1 60-69 years, male 141.9
GTEX-1LG7Z-1626-SM-CXKYR 30-39 years, male 141.9
GTEX-16MT9-0126-SM-7EPI8 60-69 years, female 141.8
GTEX-ZVT4-2426-SM-5GIEI 50-59 years, female 141.7
GTEX-1H1DE-1326-SM-9KNUG 20-29 years, male 141.7
GTEX-1HBPN-0126-SM-CGQEF 50-59 years, male 141.7
GTEX-14ABY-2026-SM-62LDL 50-59 years, male 141.6
GTEX-ZYFD-0626-SM-5E44E 50-59 years, male 141.6
GTEX-12696-0126-SM-5EQ4L 60-69 years, male 141.5
GTEX-1I1GV-0626-SM-ARL7M 60-69 years, male 141.5
GTEX-WEY5-2326-SM-3GIKK 40-49 years, female 141.3
GTEX-1399S-0126-SM-5IJCF 30-39 years, female 141.2
GTEX-15ER7-0626-SM-6PANF 20-29 years, female 141.2
GTEX-17F96-0126-SM-7EWDU 70-79 years, male 141.0
GTEX-1GZHY-0626-SM-9KNVC 50-59 years, female 140.8
GTEX-1PDJ9-1226-SM-EXUSX 20-29 years, male 140.7
GTEX-17HGU-2326-SM-7DUFE 50-59 years, male 140.6
GTEX-1EWIQ-0326-SM-7DHMQ 70-79 years, female 140.6
GTEX-11NUK-2726-SM-5A5MC 50-59 years, male 140.2
GTEX-111CU-1126-SM-5EGIM 50-59 years, male 140.1
GTEX-11EQ8-0926-SM-5H12V 60-69 years, male 140.0
GTEX-1N5O9-0926-SM-E9J3C 60-69 years, male 139.8
GTEX-1H1DG-2426-SM-9QEHJ 70-79 years, male 139.7
GTEX-1H3NZ-2726-SM-9WYTQ 60-69 years, male 139.6
GTEX-1POEN-2326-SM-E9J2L 30-39 years, female 139.6
GTEX-1QPFJ-1926-SM-EVYBD 30-39 years, female 139.6
GTEX-1E1VI-0326-SM-793D1 50-59 years, male 139.5
GTEX-1RAZA-2226-SM-E9U4X 20-29 years, male 139.5
GTEX-ZLV1-1526-SM-DO91J 60-69 years, female 139.4
GTEX-XOT4-0626-SM-4B66L 60-69 years, female 139.3
GTEX-ZP4G-1426-SM-4WWCL 20-29 years, female 139.2
GTEX-1LVAN-0626-SM-CNPOQ 50-59 years, female 139.2
GTEX-12WSM-1926-SM-5BC65 60-69 years, male 138.8
GTEX-1N2EE-0626-SM-E76PW 60-69 years, male 138.4
GTEX-131XW-0626-SM-5PNVD 50-59 years, female 138.2
GTEX-1KANC-1226-SM-CYPT7 50-59 years, female 138.2
GTEX-16NGA-0726-SM-731AO 40-49 years, female 138.1
GTEX-1K2DA-1026-SM-CGQGF 50-59 years, male 137.8
GTEX-1A8G6-2726-SM-731AR 60-69 years, male 137.7
GTEX-WHPG-2626-SM-3NMBR 50-59 years, male 137.6
GTEX-1JMQK-1226-SM-D4P2S 60-69 years, male 137.6
GTEX-11GS4-0226-SM-5HL77 60-69 years, male 137.1
GTEX-13PVQ-0626-SM-5LU47 50-59 years, male 136.9
GTEX-17HHE-1326-SM-7EWDZ 50-59 years, male 136.9
GTEX-1GF9U-2026-SM-7SB92 40-49 years, female 136.9
GTEX-1CB4E-0926-SM-7EPHT 60-69 years, male 136.7
GTEX-ZVTK-0226-SM-51MRG 20-29 years, male 136.6
GTEX-1QP2A-1726-SM-E76QC 50-59 years, male 136.6
GTEX-13112-0126-SM-5P9IU 50-59 years, male 136.5
GTEX-13X6K-0626-SM-5LU5D 60-69 years, female 136.5
GTEX-XAJ8-1426-SM-47JYM 40-49 years, male 135.9
GTEX-ZVT2-0126-SM-5GIDQ 50-59 years, female 135.8
GTEX-1GF9V-0826-SM-9KNUV 60-69 years, male 135.8
GTEX-X4EP-0626-SM-3P621 60-69 years, female 135.6
GTEX-14AS3-1526-SM-5Q5ED 40-49 years, female 135.5
GTEX-14PJ2-0626-SM-6LLII 50-59 years, male 135.5
GTEX-ZDXO-3126-SM-5IJDF 60-69 years, male 135.4
GTEX-144GM-0526-SM-79OJO 20-29 years, male 135.3
GTEX-1I1CD-0626-SM-CE6SW 60-69 years, female 135.2
GTEX-1R9PN-0426-SM-DTXDT 40-49 years, female 134.9
GTEX-178AV-1726-SM-7KUL8 40-49 years, male 134.7
GTEX-14BMV-2826-SM-5TDED 50-59 years, male 134.6
GTEX-WY7C-2126-SM-3NB2R 50-59 years, male 134.6
GTEX-1C6VQ-1226-SM-73KYD 50-59 years, male 134.5
GTEX-17EVP-2626-SM-7IGMA 40-49 years, male 134.4
GTEX-16XZZ-0726-SM-7KUF2 60-69 years, male 134.3
GTEX-1CAV2-0126-SM-7IGN7 40-49 years, female 134.1
GTEX-111FC-2526-SM-5GZXU 60-69 years, male 133.8
GTEX-11EI6-2826-SM-5H11D 60-69 years, male 133.8
GTEX-18A7A-0126-SM-731AH 50-59 years, female 133.8
GTEX-1269C-0126-SM-5EQ5L 60-69 years, female 133.5
GTEX-1LSNM-0826-SM-DIPG8 50-59 years, male 133.3
GTEX-17HHY-0426-SM-7DHLC 50-59 years, male 133.2
GTEX-1K2DU-1226-SM-CYPT4 20-29 years, male 133.0
GTEX-1LSNL-2726-SM-E9TKJ 50-59 years, male 132.9
GTEX-13G51-1826-SM-5KLZH 60-69 years, male 132.8
GTEX-13OVL-0126-SM-5L3GJ 50-59 years, male 132.4
GTEX-1B8KZ-0326-SM-73KY4 50-59 years, male 132.3
GTEX-Y9LG-1126-SM-4VBQ7 30-39 years, male 132.3
GTEX-1H4P4-2126-SM-9WYSL 50-59 years, male 132.2
GTEX-1OJC4-2726-SM-E76PJ 50-59 years, female 132.1
GTEX-XXEK-1626-SM-4BRUZ 50-59 years, male 132.0
GTEX-11DXX-2126-SM-5PNYR 60-69 years, female 131.9
GTEX-13FLV-0126-SM-5K7WT 50-59 years, male 131.8
GTEX-12ZZY-0726-SM-5EQ66 60-69 years, male 131.4
GTEX-1C64O-1326-SM-7MGWR 60-69 years, male 131.1
GTEX-13JUV-2026-SM-5K7UA 40-49 years, female 131.0
GTEX-1GN1W-2426-SM-9KNUU 50-59 years, female 130.9
GTEX-1JKYR-0626-SM-ARL8R 20-29 years, male 130.9
GTEX-13NYC-0126-SM-5L3F4 60-69 years, male 130.6
GTEX-1RMOY-1326-SM-E9TIH 50-59 years, male 130.4
GTEX-1HB9E-0126-SM-CM2S5 50-59 years, male 130.1
GTEX-1IE54-1126-SM-A9G2Z 40-49 years, female 130.1
GTEX-1CB4J-1326-SM-7P8RX 60-69 years, male 129.9
GTEX-XQ8I-0926-SM-4BOOF 50-59 years, male 129.8
GTEX-12WSA-0426-SM-5EQ5X 60-69 years, male 129.6
GTEX-XUW1-0926-SM-4BONX 50-59 years, female 129.5
GTEX-183FY-1026-SM-7939A 20-29 years, male 129.4
GTEX-V1D1-2026-SM-3GAF4 50-59 years, male 129.2
GTEX-1KD5A-0126-SM-E9U54 50-59 years, male 129.2
GTEX-147GR-2426-SM-5ZZWQ 60-69 years, male 128.9
GTEX-WRHU-2826-SM-3MJG8 50-59 years, female 128.9
GTEX-1QCLZ-2426-SM-EVYBW 60-69 years, female 128.9
GTEX-13FH7-1126-SM-5K7UG 50-59 years, female 128.8
GTEX-1PPGY-1626-SM-EVYBL 60-69 years, male 128.8
GTEX-17F98-1326-SM-7DUEP 40-49 years, female 128.7
GTEX-1J1R8-2026-SM-CL53Y 40-49 years, male 128.7
GTEX-145LU-1926-SM-79OJN 50-59 years, male 128.3
GTEX-1GZ2Q-0126-SM-9WG6M 40-49 years, male 128.3
GTEX-11ZUS-2626-SM-5FQUR 30-39 years, male 127.9
GTEX-1EN7A-2426-SM-793DB 40-49 years, male 127.9
GTEX-XPVG-2126-SM-4B667 50-59 years, male 127.9
GTEX-Y5V5-0126-SM-5S2NW 60-69 years, female 127.9
GTEX-1QMI2-2526-SM-E8VNZ 60-69 years, male 127.7
GTEX-14BIN-1126-SM-5RQJZ 50-59 years, female 127.5
GTEX-1F5PK-2226-SM-7SB6N 50-59 years, male 127.5
GTEX-14B4R-1326-SM-5Q5EZ 30-39 years, male 127.4
GTEX-14PJ6-2626-SM-6EU2T 60-69 years, female 127.3
GTEX-11UD2-2526-SM-5CVNU 50-59 years, male 127.1
GTEX-1F88E-1626-SM-7SB8Z 60-69 years, female 126.2
GTEX-1JN6P-2926-SM-CL54D 60-69 years, male 126.1
GTEX-17F9Y-0126-SM-79OKX 70-79 years, female 125.7
GTEX-17KNJ-2126-SM-718AM 50-59 years, male 125.7
GTEX-11GSP-2326-SM-5HL63 60-69 years, female 125.5
GTEX-1KXAM-1626-SM-D3LAD 60-69 years, male 125.5
GTEX-1H1E6-0426-SM-9WYUS 30-39 years, male 125.4
GTEX-1IDJH-0126-SM-D3L92 70-79 years, male 125.4
GTEX-1J8JJ-0626-SM-ARZMQ 60-69 years, female 125.4
GTEX-1LG7Y-2526-SM-EWRO7 50-59 years, male 125.4
GTEX-1MCC2-1826-SM-DIPEX 30-39 years, female 125.3
GTEX-1HT8W-0626-SM-A9G2H 30-39 years, male 125.2
GTEX-14PKU-0126-SM-6LLHV 40-49 years, female 125.1
GTEX-1GZ4I-2626-SM-9KNU3 50-59 years, male 125.0
GTEX-1MCYP-0526-SM-E9U6Q 20-29 years, female 125.0
GTEX-WK11-2726-SM-3NMAQ 50-59 years, male 124.8
GTEX-1GPI6-1926-SM-9KNV7 60-69 years, male 124.8
GTEX-XBEC-0726-SM-4QARZ 50-59 years, male 124.7
GTEX-15EU6-2226-SM-6EU2L 50-59 years, male 124.6
GTEX-13O3O-2326-SM-5IJD6 60-69 years, female 124.3
GTEX-1B933-2426-SM-7DHMD 50-59 years, female 124.3
GTEX-1EU9M-1426-SM-793AI 60-69 years, male 124.3
GTEX-1LGRB-0926-SM-COH3K 50-59 years, female 124.1
GTEX-1GMR3-0126-SM-A9SLW 40-49 years, male 123.8
GTEX-1F6RS-2026-SM-7RHHC 60-69 years, female 123.5
GTEX-145MI-0626-SM-5SI8S 60-69 years, female 122.7
GTEX-1KANA-1326-SM-DIPFA 20-29 years, male 122.5
GTEX-14C5O-0326-SM-5ZZUX 60-69 years, male 122.4
GTEX-WYVS-1626-SM-3NM9R 40-49 years, female 122.0
GTEX-1HCU9-0426-SM-9WYSD 20-29 years, male 122.0
GTEX-1J8QM-2426-SM-A9SLS 60-69 years, female 121.7
GTEX-1I4MK-0126-SM-CY8G6 50-59 years, female 121.6
GTEX-1IDJU-1726-SM-CMKHU 60-69 years, female 121.6
GTEX-1GN1U-0626-SM-9MQL9 50-59 years, female 121.4
GTEX-15D1Q-2826-SM-6LLH7 40-49 years, male 121.3
GTEX-1I1GU-0926-SM-ACKVS 40-49 years, male 120.8
GTEX-1IOXB-2726-SM-CM2RI 50-59 years, male 120.8
GTEX-1C2JI-1026-SM-73KY1 50-59 years, male 120.5
GTEX-1H11D-1826-SM-9QEHM 40-49 years, male 120.5
GTEX-13X6J-0626-SM-5LU5F 50-59 years, male 120.0
GTEX-1KWVE-1026-SM-D3L9O 30-39 years, male 118.1
GTEX-1HSKV-1226-SM-ADEI4 60-69 years, male 117.6
GTEX-1ICG6-1226-SM-A9SLN 70-79 years, female 117.5
GTEX-12ZZX-2426-SM-5GCOE 40-49 years, female 117.4
GTEX-144GL-0626-SM-5LU4D 50-59 years, male 117.3
GTEX-1HR9M-2226-SM-CNPPY 60-69 years, male 117.2
GTEX-1I1HK-2326-SM-CKZOH 60-69 years, male 116.6
GTEX-1GN2E-0226-SM-9WG6K 60-69 years, male 116.5
GTEX-14PII-0726-SM-6EU2B 60-69 years, male 116.4
GTEX-1B8SF-0126-SM-7DUG3 60-69 years, male 115.5
GTEX-1EH9U-2826-SM-7DUGT 60-69 years, male 115.5
GTEX-13VXU-0626-SM-5L3F9 50-59 years, male 115.2
GTEX-1LB8K-0726-SM-D5OV2 50-59 years, male 115.2
GTEX-1EKGG-0626-SM-7DUGJ 60-69 years, male 115.1
GTEX-1A8G7-1326-SM-73KVM 60-69 years, male 114.6
GTEX-1QEPI-2626-SM-DTXF4 60-69 years, female 114.6
GTEX-12WSC-2826-SM-5BC5Y 50-59 years, male 114.4
GTEX-1K9T9-1526-SM-DIPFR 50-59 years, female 113.9
GTEX-11TUW-0626-SM-5LU9M 60-69 years, male 113.6
GTEX-14PJ4-0226-SM-5YY92 60-69 years, male 113.1
GTEX-1AMFI-1326-SM-7939R 50-59 years, female 112.9
GTEX-13O3Q-0126-SM-5KM34 50-59 years, male 111.8
GTEX-1212Z-0126-SM-59HK4 60-69 years, male 111.2
GTEX-17JCI-2926-SM-7DUFF 60-69 years, female 110.5
GTEX-13OVH-0526-SM-5L3E6 70-79 years, male 110.4
GTEX-16Z82-2626-SM-7KULU 60-69 years, male 110.4
GTEX-14XAO-1226-SM-6EU1C 60-69 years, female 110.1
GTEX-15CHC-1126-SM-6LLHQ 60-69 years, female 109.7
GTEX-1KANB-2826-SM-CY8I6 50-59 years, male 109.7
GTEX-13NZ8-1226-SM-5KM4A 60-69 years, female 109.5
GTEX-147JS-0226-SM-5S2U9 60-69 years, male 108.2
GTEX-1B8L1-2226-SM-7P8PT 60-69 years, male 108.2
GTEX-1ICLY-0826-SM-CMKG1 50-59 years, male 108.1
GTEX-13OW6-2726-SM-5J2OE 50-59 years, male 108.0
GTEX-1C6VR-0126-SM-7RHGB 60-69 years, male 107.6
GTEX-1HCVE-2726-SM-CL54F 50-59 years, male 107.3
GTEX-13OW7-0426-SM-5K7VK 50-59 years, male 107.0
GTEX-14DAQ-0626-SM-793DS 60-69 years, female 107.0
GTEX-131YS-2826-SM-5EQ47 60-69 years, female 106.1
GTEX-14A6H-2026-SM-5Q5DD 30-39 years, male 106.0
GTEX-VUSG-2326-SM-4KL1U 50-59 years, male 105.5
GTEX-16AAH-0626-SM-793C9 50-59 years, male 104.7
GTEX-13OW8-1026-SM-5J1NQ 60-69 years, male 104.1
GTEX-1B932-2326-SM-79OL5 40-49 years, female 104.1
GTEX-15CHR-1126-SM-7EWF4 50-59 years, male 104.0
GTEX-ZTSS-1426-SM-5985P 40-49 years, male 101.4
GTEX-1GF9X-1326-SM-7PC2Y 40-49 years, female 98.5
GTEX-1AMEY-0826-SM-72D65 30-39 years, female 96.5
GTEX-1F88F-0126-SM-9WYSZ 60-69 years, female 94.6
GTEX-1IDJV-0126-SM-COH3Y 60-69 years, male 88.7
GTEX-1A3MX-2626-SM-7PC24 60-69 years, male 82.5
Show allShow less
Skin - Sun Exposed (Lower leg)
Average nTPM: 175.8
Samples: 701

Max nTPM: 385.7
Min nTPM: 59.7
Std nTPM: 42.6
Median nTPM: 169.3
GTEX-14E6C-0126-SM-5RQIP 40-49 years, male 385.7
GTEX-1399U-2326-SM-5K7WY 50-59 years, female 372.6
GTEX-1PWST-0226-SM-E76QJ 70-79 years, male 350.8
GTEX-15SB6-1726-SM-6PAME 50-59 years, female 339.3
GTEX-Y3IK-2426-SM-4WWDU 50-59 years, female 335.8
GTEX-1HSMO-0126-SM-CL547 60-69 years, male 333.9
GTEX-15UF6-0826-SM-6PALJ 70-79 years, female 319.6
GTEX-QDT8-0126-SM-48TZ1 30-39 years, female 315.9
GTEX-WI4N-1026-SM-3LK7N 40-49 years, female 311.2
GTEX-P4PQ-0126-SM-2S1NM 60-69 years, male 307.7
GTEX-1HBPM-0226-SM-ARL9F 60-69 years, female 290.6
GTEX-1H2FU-0126-SM-9WYSI 60-69 years, female 289.3
GTEX-11TTK-0126-SM-5987B 60-69 years, female 284.8
GTEX-145MO-0326-SM-5Q5B3 60-69 years, male 283.6
GTEX-PLZ4-0126-SM-5SI8O 50-59 years, female 283.0
GTEX-1C6VQ-0126-SM-7P8RI 50-59 years, male 278.4
GTEX-1ICLZ-0126-SM-CKZPO 60-69 years, male 276.3
GTEX-148VJ-0126-SM-5TDDN 70-79 years, male 273.0
GTEX-17EVQ-0226-SM-7LG4P 70-79 years, male 272.1
GTEX-ZVT2-2526-SM-51MT1 50-59 years, female 271.1
GTEX-ZAB4-0226-SM-5N9F5 40-49 years, male 267.4
GTEX-SN8G-0126-SM-32PLI 50-59 years, female 267.2
GTEX-11UD1-0126-SM-5PNYG 40-49 years, female 266.1
GTEX-13X6H-2126-SM-7EWD5 50-59 years, female 265.3
GTEX-ZF28-0126-SM-4WKGK 60-69 years, male 265.1
GTEX-145LT-1726-SM-5QGP3 40-49 years, male 263.3
GTEX-14753-0426-SM-5NQAM 60-69 years, male 263.3
GTEX-1H3VE-0326-SM-9YFLH 40-49 years, male 261.1
GTEX-Q734-1926-SM-2I5EV 40-49 years, female 260.3
GTEX-QDVN-2026-SM-3GAEP 50-59 years, male 260.1
GTEX-13OVJ-0126-SM-5KM36 50-59 years, female 259.1
GTEX-1192X-0226-SM-5H12D 50-59 years, male 258.2
GTEX-17HII-0226-SM-7LG4E 50-59 years, male 256.6
GTEX-13CF2-2526-SM-5LZYX 60-69 years, male 256.3
GTEX-X5EB-2226-SM-46MW4 40-49 years, male 256.1
GTEX-1R46S-0626-SM-E9J41 60-69 years, female 255.7
GTEX-RTLS-0126-SM-447CA 60-69 years, female 255.6
GTEX-11H98-0126-SM-5EGHG 50-59 years, male 254.8
GTEX-XV7Q-2526-SM-4BRV9 40-49 years, female 253.2
GTEX-1497J-2426-SM-7IGNX 60-69 years, male 252.7
GTEX-X4EP-0126-SM-3P5YV 60-69 years, female 251.9
GTEX-R45C-0126-SM-EAZ2R 60-69 years, female 250.8
GTEX-1LC47-0326-SM-E9TJP 60-69 years, male 250.4
GTEX-POMQ-2226-SM-2I5FK 20-29 years, female 249.1
GTEX-1JMPZ-0226-SM-CNPP1 30-39 years, male 249.0
GTEX-1HGF4-2426-SM-ACKXM 60-69 years, male 248.4
GTEX-183WM-0126-SM-7LTAB 70-79 years, female 246.8
GTEX-1I1CD-0126-SM-CM2TK 60-69 years, female 245.7
GTEX-OIZG-0726-SM-33HBL 50-59 years, male 245.6
GTEX-X8HC-0126-SM-4E3JW 50-59 years, female 245.3
GTEX-S33H-1026-SM-EZ6L6 30-39 years, male 244.3
GTEX-1211K-2026-SM-5EQ4Z 60-69 years, female 243.8
GTEX-ZTPG-0326-SM-5O9AX 20-29 years, female 242.8
GTEX-ZAJG-0126-SM-5HL94 50-59 years, female 242.7
GTEX-14PN4-0126-SM-6EU2V 50-59 years, male 241.2
GTEX-ZF3C-0126-SM-DO92D 50-59 years, female 241.1
GTEX-OOBJ-0126-SM-E6CJW 60-69 years, male 240.3
GTEX-W5X1-3026-SM-EAZAX 40-49 years, female 239.5
GTEX-13OVI-1426-SM-5L3EY 60-69 years, female 239.1
GTEX-16MT8-0426-SM-7KUEY 60-69 years, female 238.6
GTEX-Z93T-0126-SM-5HL5N 50-59 years, male 235.1
GTEX-Y3I4-2126-SM-4TT7C 50-59 years, male 235.0
GTEX-14PHX-2326-SM-62LEM 50-59 years, male 234.9
GTEX-QCQG-1726-SM-3GIJ9 50-59 years, female 233.9
GTEX-Y114-2426-SM-4TT8A 50-59 years, female 233.8
GTEX-13OVG-1926-SM-5L3DK 60-69 years, male 233.6
GTEX-1AX8Z-0126-SM-7DHM6 60-69 years, male 232.8
GTEX-1QP67-1626-SM-EAZ3X 40-49 years, female 232.6
GTEX-1MA7X-2226-SM-E6CIY 60-69 years, male 232.4
GTEX-13O21-1426-SM-5K7XI 50-59 years, male 231.8
GTEX-ZQG8-1626-SM-DHXIT 60-69 years, female 231.4
GTEX-144FL-0126-SM-5TDC8 50-59 years, male 230.1
GTEX-ZVZO-0126-SM-5A5L9 40-49 years, male 230.0
GTEX-113IC-0126-SM-5HL6T 60-69 years, male 229.2
GTEX-14BIL-0126-SM-5SI92 50-59 years, male 229.0
GTEX-P4PP-0126-SM-3LK69 30-39 years, female 228.7
GTEX-1I1GS-0126-SM-B2LVW 60-69 years, male 228.3
GTEX-O5YW-0126-SM-3LK6D 50-59 years, male 228.0
GTEX-ZYY3-0126-SM-5GZY5 60-69 years, female 228.0
GTEX-1F48J-0126-SM-7P8TT 50-59 years, female 227.6
GTEX-1RLM8-2326-SM-EWRN4 50-59 years, male 227.3
GTEX-11DYG-0126-SM-59883 60-69 years, male 227.2
GTEX-1HCU6-0126-SM-CL54K 60-69 years, female 226.3
GTEX-1AYD5-2426-SM-73KXR 50-59 years, male 225.7
GTEX-1A3MW-0126-SM-73KXX 60-69 years, female 225.6
GTEX-111VG-2426-SM-5GZXD 60-69 years, male 225.0
GTEX-TMZS-0126-SM-3DB9Q 60-69 years, male 224.9
GTEX-1N2DV-0226-SM-E6CJ6 40-49 years, male 224.6
GTEX-UJHI-1526-SM-3DB99 50-59 years, female 223.0
GTEX-14PK6-1926-SM-6ETZU 70-79 years, female 222.9
GTEX-13YAN-0326-SM-5O9DF 60-69 years, male 222.2
GTEX-ZVTK-0426-SM-51MRS 20-29 years, male 222.1
GTEX-ZDYS-2026-SM-5HL5L 50-59 years, male 221.9
GTEX-ZY6K-1826-SM-5GZXK 50-59 years, male 221.9
GTEX-1NV5F-0226-SM-E8VNY 60-69 years, female 221.7
GTEX-139T8-0126-SM-5K7XZ 60-69 years, male 220.6
GTEX-1QP9N-1426-SM-DTXFL 30-39 years, male 220.2
GTEX-117YW-2626-SM-5GZZH 50-59 years, male 219.9
GTEX-13NYS-0126-SM-5MR3W 60-69 years, male 219.9
GTEX-1JN1M-0326-SM-CYPT3 60-69 years, female 217.5
GTEX-117YX-2326-SM-5H12W 50-59 years, male 217.1
GTEX-16XZZ-0126-SM-793DV 60-69 years, male 215.9
GTEX-NPJ8-0126-SM-2YUNR 40-49 years, male 214.8
GTEX-TML8-1926-SM-32QOS 40-49 years, female 214.5
GTEX-O5YT-0126-SM-48TBW 20-29 years, male 214.4
GTEX-139TS-2826-SM-5J1OO 60-69 years, male 214.1
GTEX-X4XX-0126-SM-3NMC2 60-69 years, male 214.0
GTEX-17MF6-0126-SM-7LG4F 40-49 years, male 213.6
GTEX-1R9K4-0126-SM-DTX9X 60-69 years, male 213.6
GTEX-YEC4-2126-SM-5IFJH 40-49 years, male 213.4
GTEX-1S82Z-0826-SM-E6CHY 30-39 years, female 212.5
GTEX-Y5LM-1926-SM-5RQJH 40-49 years, female 212.4
GTEX-1HFI6-0226-SM-ADEHZ 40-49 years, male 212.3
GTEX-1269C-2526-SM-5EGJ3 60-69 years, female 212.0
GTEX-ZVE2-0226-SM-59HJB 50-59 years, male 211.8
GTEX-12WSJ-1826-SM-5GCNY 40-49 years, female 211.5
GTEX-P4QT-0126-SM-2I3FL 50-59 years, female 211.3
GTEX-11ZVC-2526-SM-5FQTE 50-59 years, female 210.9
GTEX-13OW7-0126-SM-5MR3B 50-59 years, male 210.9
GTEX-1GZ4H-1726-SM-7PBZJ 50-59 years, female 210.8
GTEX-1F6IF-0726-SM-7P8TW 60-69 years, male 210.7
GTEX-X638-0126-SM-47JZ8 70-79 years, female 210.1
GTEX-1RAZA-0126-SM-E6CI3 20-29 years, male 209.7
GTEX-1CAMS-0426-SM-7P8T2 40-49 years, female 209.3
GTEX-1JMLX-0226-SM-CM2RO 50-59 years, male 209.1
GTEX-1R7EV-2426-SM-EVYBG 40-49 years, male 208.9
GTEX-OIZH-0126-SM-2HMIS 50-59 years, male 208.7
GTEX-1GMR8-0126-SM-9WYTM 50-59 years, female 208.6
GTEX-OXRL-0126-SM-2YUMP 50-59 years, male 208.1
GTEX-13NZ8-0826-SM-5MR3I 60-69 years, female 208.0
GTEX-13RTL-0126-SM-7LG5S 40-49 years, male 208.0
GTEX-U412-0426-SM-3DB9O 60-69 years, male 208.0
GTEX-1JMQK-0226-SM-CL543 60-69 years, male 207.6
GTEX-1PPH7-2326-SM-EVYB8 40-49 years, male 207.6
GTEX-X88G-0126-SM-47JZ3 30-39 years, male 207.4
GTEX-1OJC3-0126-SM-E76QX 20-29 years, male 207.4
GTEX-1PDJ9-0326-SM-DTX95 20-29 years, male 207.3
GTEX-RUSQ-1526-SM-2TF62 50-59 years, male 207.2
GTEX-PSDG-0226-SM-DKPOZ 50-59 years, male 207.2
GTEX-13FHO-0226-SM-5IFGY 60-69 years, male 206.6
GTEX-1ICG6-2526-SM-CGQFZ 70-79 years, female 205.5
GTEX-PLZ6-1426-SM-DKPOT 30-39 years, male 205.2
GTEX-1J8EW-0126-SM-CJI4F 60-69 years, female 204.5
GTEX-11EMC-2926-SM-5EQ4F 60-69 years, female 204.3
GTEX-RVPV-0126-SM-EAZAW 60-69 years, male 203.6
GTEX-1H1DG-0126-SM-9WYU2 70-79 years, male 203.3
GTEX-1H3NZ-0126-SM-ACKX7 60-69 years, male 203.3
GTEX-Q2AH-1626-SM-3GAF8 40-49 years, male 203.1
GTEX-14DAR-2026-SM-5S2O3 50-59 years, male 202.9
GTEX-ZPIC-1726-SM-DHXIU 40-49 years, female 202.8
GTEX-13PVR-2326-SM-5QGR1 60-69 years, female 202.6
GTEX-15ETS-0126-SM-7KUMW 40-49 years, female 202.5
GTEX-1N2DW-0226-SM-E9TK2 50-59 years, male 202.5
GTEX-14LLW-0126-SM-6LLIO 70-79 years, female 202.3
GTEX-1CAV2-2226-SM-7P8P2 40-49 years, female 202.3
GTEX-1JJ6O-0126-SM-E6CI8 60-69 years, male 201.7
GTEX-11DZ1-0126-SM-5985Q 50-59 years, male 201.6
GTEX-11GSP-2526-SM-5N9BP 60-69 years, female 201.0
GTEX-1HFI7-1826-SM-ACKXH 50-59 years, female 200.9
GTEX-P44H-0226-SM-2XCEU 40-49 years, male 200.6
GTEX-1JMOU-1526-SM-CL54I 60-69 years, female 200.6
GTEX-1KANC-1526-SM-D3LAB 50-59 years, female 200.2
GTEX-18D9B-0526-SM-7LTAS 60-69 years, male 199.6
GTEX-1H1CY-2826-SM-9MQM3 60-69 years, female 199.5
GTEX-1R7EU-0226-SM-EVR4G 60-69 years, male 199.2
GTEX-12WSK-2326-SM-5GCOH 40-49 years, female 199.0
GTEX-1JMPY-1326-SM-ARL8Y 30-39 years, male 198.8
GTEX-WH7G-2326-SM-3NMBC 40-49 years, male 198.7
GTEX-1PFEY-1526-SM-E76PP 30-39 years, male 198.7
GTEX-1H1ZS-0426-SM-9WG6G 70-79 years, male 198.6
GTEX-ZVT3-0126-SM-5GU6I 60-69 years, female 198.5
GTEX-14PII-0226-SM-6EU1T 60-69 years, male 198.3
GTEX-T2YK-0526-SM-32QPJ 50-59 years, male 197.7
GTEX-1HSMP-0126-SM-E6CJS 70-79 years, male 197.6
GTEX-1M4P7-0226-SM-DIPEV 60-69 years, male 197.6
GTEX-13O1R-0126-SM-5L3EH 60-69 years, male 197.2
GTEX-11P82-1626-SM-59879 20-29 years, male 196.5
GTEX-13SLW-0126-SM-5SI6C 70-79 years, male 196.5
GTEX-13N11-2526-SM-5K7UE 50-59 years, female 196.4
GTEX-ZYFG-2326-SM-5E44B 60-69 years, female 196.4
GTEX-X585-0226-SM-4QAS2 50-59 years, male 196.0
GTEX-ZTX8-1426-SM-5DUVO 20-29 years, male 195.5
GTEX-146FQ-0126-SM-5NQA9 30-39 years, male 195.4
GTEX-1LGOU-2026-SM-DIPFF 20-29 years, female 195.0
GTEX-145LV-2126-SM-5LU8N 50-59 years, male 194.8
GTEX-15SHW-0326-SM-6PAML 60-69 years, male 194.8
GTEX-13IVO-0126-SM-5J1NG 70-79 years, male 194.6
GTEX-1JN76-0126-SM-CNPPE 20-29 years, female 194.6
GTEX-147F3-0526-SM-5SI98 50-59 years, female 194.2
GTEX-11DXZ-2326-SM-5EGGV 50-59 years, male 194.1
GTEX-1LSNM-1926-SM-E6CII 50-59 years, male 193.9
GTEX-12584-0126-SM-5EGKQ 40-49 years, male 193.8
GTEX-139T4-0226-SM-5HL5S 50-59 years, female 193.7
GTEX-13VXT-0126-SM-5LU4I 20-29 years, female 193.5
GTEX-13113-5016-SM-7EPIP 60-69 years, female 193.4
GTEX-145MN-2226-SM-5SIAU 30-39 years, male 193.4
GTEX-17HHY-0126-SM-7LG5D 50-59 years, male 193.3
GTEX-13FXS-0226-SM-5IJCK 50-59 years, male 192.9
GTEX-14BMU-2226-SM-5TDE9 20-29 years, female 192.8
GTEX-15SHU-0126-SM-7KUEH 40-49 years, female 192.6
GTEX-1GN73-0226-SM-9WG67 60-69 years, male 192.4
GTEX-U8T8-0126-SM-3DB94 60-69 years, male 192.2
GTEX-1KANB-0526-SM-E6CJH 50-59 years, male 192.2
GTEX-131XE-2326-SM-5PNZ2 50-59 years, male 192.0
GTEX-15D1Q-0126-SM-7KUG6 40-49 years, male 191.8
GTEX-139D8-0226-SM-5KLZO 30-39 years, female 191.7
GTEX-1H3O1-0426-SM-9YFKY 60-69 years, male 191.0
GTEX-S95S-1226-SM-4GICG 60-69 years, male 190.8
GTEX-1J1OQ-0226-SM-CYPSH 40-49 years, female 190.8
GTEX-1RB15-2126-SM-E9TIM 60-69 years, male 190.7
GTEX-YFC4-0126-SM-5CVLY 40-49 years, female 189.9
GTEX-1S82Y-2026-SM-EVYCM 40-49 years, male 189.7
GTEX-Q2AG-0126-SM-33HBV 40-49 years, female 189.1
GTEX-T8EM-1026-SM-3DB7M 40-49 years, male 189.1
GTEX-S32W-2126-SM-2XCB1 50-59 years, female 189.0
GTEX-1I4MK-2226-SM-ACKWD 50-59 years, female 189.0
GTEX-131XG-2626-SM-5KM17 50-59 years, female 188.9
GTEX-ZV68-0126-SM-59HKS 50-59 years, female 188.9
GTEX-132NY-0326-SM-5IJBL 60-69 years, male 188.4
GTEX-WXYG-2326-SM-4E3I6 50-59 years, female 188.3
GTEX-1B8SF-1426-SM-7DUGL 60-69 years, male 188.2
GTEX-QVJO-1626-SM-2S1QW 60-69 years, female 188.1
GTEX-17F97-0326-SM-7LG5B 50-59 years, male 187.9
GTEX-1B8KE-2126-SM-73KYX 50-59 years, male 187.8
GTEX-XYKS-2126-SM-4E3IB 60-69 years, female 187.7
GTEX-14JIY-0126-SM-6LLH6 60-69 years, male 187.4
GTEX-1GF9U-2126-SM-7SB7L 40-49 years, female 187.0
GTEX-ZE9C-2726-SM-57WB5 60-69 years, male 186.9
GTEX-SSA3-0126-SM-32QPU 60-69 years, male 186.7
GTEX-1F75A-0126-SM-7RHGM 50-59 years, male 186.4
GTEX-1MUQO-0126-SM-EAZ58 60-69 years, male 186.4
GTEX-ZE7O-0126-SM-57WC1 50-59 years, female 186.0
GTEX-1A32A-0126-SM-718B1 50-59 years, female 185.8
GTEX-U8XE-0326-SM-3DB8P 30-39 years, male 185.8
GTEX-1CB4G-0226-SM-7PC3O 60-69 years, male 185.7
GTEX-1JK1U-2026-SM-CM2RZ 60-69 years, male 185.7
GTEX-12WSG-2826-SM-E9J4H 50-59 years, female 185.6
GTEX-13NZA-0226-SM-5K7Z7 60-69 years, male 185.4
GTEX-X4EO-0326-SM-3P5YO 60-69 years, female 185.4
GTEX-SIU8-0126-SM-2XCDT 50-59 years, male 184.5
GTEX-1GF9W-0326-SM-9KNUN 60-69 years, male 184.5
GTEX-1JMQI-2226-SM-CM2SD 50-59 years, male 184.3
GTEX-Y8LW-1826-SM-5S2MV 50-59 years, female 184.2
GTEX-WVJS-0126-SM-4MVOT 50-59 years, male 184.1
GTEX-Q2AI-1326-SM-2S1PL 40-49 years, male 183.8
GTEX-WYJK-0126-SM-3NMAB 50-59 years, male 183.8
GTEX-1I1GV-0526-SM-A9G29 60-69 years, male 183.6
GTEX-ZYW4-0126-SM-5E44A 60-69 years, male 183.5
GTEX-18D9A-1926-SM-7LG6P 30-39 years, female 183.4
GTEX-1GTWX-0126-SM-9YFLK 60-69 years, male 183.4
GTEX-1F6RS-0126-SM-9MQKZ 60-69 years, female 183.3
GTEX-18A7B-0126-SM-7LG64 70-79 years, male 183.1
GTEX-U4B1-1826-SM-4DXSU 40-49 years, male 183.1
GTEX-QLQW-1126-SM-2S1Q8 30-39 years, male 182.9
GTEX-131XF-5016-SM-7MGWE 60-69 years, male 182.6
GTEX-1K2DA-1826-SM-CGQGT 50-59 years, male 182.3
GTEX-13D11-2426-SM-5KM1V 50-59 years, female 182.0
GTEX-ZYFD-0126-SM-5GIDL 50-59 years, male 182.0
GTEX-1HSGN-0226-SM-CGQFV 40-49 years, female 182.0
GTEX-1QAET-0926-SM-E76QM 50-59 years, male 181.9
GTEX-SJXC-0126-SM-2XCFF 60-69 years, male 181.7
GTEX-1I6K6-0126-SM-A9SLE 30-39 years, male 181.7
GTEX-XUW1-0426-SM-4BOOT 50-59 years, female 181.6
GTEX-13O3O-0126-SM-E9J49 60-69 years, female 181.5
GTEX-17GQL-2026-SM-718BA 60-69 years, male 181.3
GTEX-ZZPT-0226-SM-5E43X 50-59 years, male 181.3
GTEX-1EMGI-0126-SM-9KNUE 60-69 years, male 181.3
GTEX-11GSO-2426-SM-5A5LY 60-69 years, male 181.1
GTEX-13FTW-2626-SM-5K7WL 40-49 years, male 181.1
GTEX-12696-2426-SM-5EQ6H 60-69 years, male 181.0
GTEX-PLZ5-2026-SM-2S1O4 50-59 years, male 181.0
GTEX-111FC-0126-SM-5N9DL 60-69 years, male 180.9
GTEX-OXRK-0226-SM-3NB2G 50-59 years, female 180.8
GTEX-Y8DK-0126-SM-4TT3L 60-69 years, male 180.7
GTEX-1RQEC-0426-SM-E6CHU 60-69 years, male 180.7
GTEX-U3ZM-1526-SM-3DB9D 40-49 years, male 180.6
GTEX-1KD5A-0226-SM-D5OV3 50-59 years, male 180.0
GTEX-117XS-2726-SM-5N9BL 60-69 years, male 179.9
GTEX-1HB9E-0226-SM-E9U4R 50-59 years, male 179.9
GTEX-1H23P-0126-SM-ADEJ3 60-69 years, male 179.6
GTEX-1QP66-1726-SM-E8VO1 50-59 years, male 179.6
GTEX-ZDXO-3026-SM-5J1N5 60-69 years, male 179.4
GTEX-XAJ8-0826-SM-47JY6 40-49 years, male 179.1
GTEX-1EWIQ-0126-SM-7RHH2 70-79 years, female 179.0
GTEX-1OFPY-2426-SM-DTXEJ 60-69 years, male 179.0
GTEX-13G51-2526-SM-5LZYK 60-69 years, male 178.8
GTEX-13OW5-0126-SM-DTXFS 60-69 years, male 178.5
GTEX-ZVT4-0126-SM-DTXFN 50-59 years, female 178.5
GTEX-PWCY-1826-SM-DHXIZ 20-29 years, female 178.4
GTEX-1122O-2126-SM-5EGIR 60-69 years, female 178.3
GTEX-11ZTS-0126-SM-5EQ6M 60-69 years, female 178.2
GTEX-148VI-1626-SM-5SI6E 60-69 years, female 178.2
GTEX-144GN-2326-SM-5LU4F 50-59 years, male 178.1
GTEX-1PIIG-0226-SM-EWRN6 30-39 years, male 177.8
GTEX-1GF9V-0326-SM-7RHI5 60-69 years, male 177.5
GTEX-139UW-2826-SM-5L3E7 60-69 years, male 177.3
GTEX-1N2EF-0226-SM-EYYXB 60-69 years, male 177.1
GTEX-R55G-2526-SM-2TC6D 40-49 years, female 176.9
GTEX-11DXW-0226-SM-5H122 40-49 years, male 176.7
GTEX-S7PM-0126-SM-4AD6S 60-69 years, male 176.7
GTEX-1M5QR-1226-SM-EWROB 40-49 years, male 176.2
GTEX-1LNCM-1126-SM-E9U5E 50-59 years, female 176.0
GTEX-17F98-0626-SM-79OMX 40-49 years, female 175.9
GTEX-WOFL-0126-SM-3MJG2 60-69 years, male 175.7
GTEX-1QW4Y-1526-SM-EAZ3Z 30-39 years, male 175.7
GTEX-12WSD-0126-SM-59HKN 60-69 years, female 175.6
GTEX-ZDTT-2726-SM-4WKF8 60-69 years, male 175.2
GTEX-1KD4Q-0226-SM-E9TJ9 40-49 years, male 175.1
GTEX-13U4I-0126-SM-5LU38 40-49 years, female 174.9
GTEX-13VXU-0126-SM-5SI9F 50-59 years, male 174.9
GTEX-T6MO-1626-SM-32QOM 40-49 years, female 174.9
GTEX-1GN1U-0126-SM-7PBZK 50-59 years, female 174.6
GTEX-15EOM-0126-SM-7KUGG 20-29 years, female 174.5
GTEX-1IY9M-0126-SM-D3L8S 60-69 years, male 174.3
GTEX-T6MN-0126-SM-32PLP 50-59 years, male 174.2
GTEX-1JKYR-0126-SM-CNPOJ 20-29 years, male 173.8
GTEX-1MCQQ-0826-SM-DLHC2 60-69 years, male 173.1
GTEX-1S5ZA-0126-SM-EVYCV 20-29 years, male 172.8
GTEX-YB5K-2126-SM-4WWDJ 40-49 years, female 172.2
GTEX-1MJK2-0426-SM-DTXE5 50-59 years, male 172.0
GTEX-1HSMQ-1226-SM-CGQFX 50-59 years, male 171.9
GTEX-VJYA-1126-SM-3GIJU 60-69 years, male 171.8
GTEX-11GS4-2726-SM-5A5LE 60-69 years, male 171.7
GTEX-14PJ3-1826-SM-62LEX 50-59 years, male 171.5
GTEX-11DXX-2426-SM-5GZZW 60-69 years, female 171.4
GTEX-1F88F-2726-SM-7PBZZ 60-69 years, female 171.4
GTEX-1GN2E-0426-SM-9MQKX 60-69 years, male 171.4
GTEX-12WSN-5019-SM-79OM6 40-49 years, male 171.3
GTEX-VJWN-0126-SM-3GIK7 50-59 years, female 171.3
GTEX-SUCS-1926-SM-32PM3 70-79 years, male 171.2
GTEX-PWO3-1526-SM-48TCM 60-69 years, female 171.0
GTEX-1HSEH-0126-SM-ACKXN 60-69 years, male 171.0
GTEX-1192W-2626-SM-5Q5AF 60-69 years, male 170.8
GTEX-XBEW-0626-SM-4QASP 40-49 years, male 170.8
GTEX-PX3G-0126-SM-2I3EN 20-29 years, female 170.7
GTEX-Y5V6-2426-SM-4VDSB 60-69 years, male 170.7
GTEX-1GZ2Q-0226-SM-7P8TL 40-49 years, male 170.6
GTEX-1HCUA-2426-SM-ADEIS 50-59 years, female 170.4
GTEX-OXRP-0126-SM-3NB32 60-69 years, female 170.3
GTEX-14ICK-0226-SM-6EU25 40-49 years, male 170.2
GTEX-1EX96-1626-SM-7PBXR 50-59 years, male 170.2
GTEX-1J8JJ-0226-SM-CL53I 60-69 years, female 170.1
GTEX-1JN6P-0126-SM-D3L98 60-69 years, male 170.1
GTEX-1L5NE-2526-SM-E6CIE 50-59 years, male 170.0
GTEX-11EM3-2426-SM-59861 20-29 years, female 169.8
GTEX-WQUQ-0426-SM-3MJFU 60-69 years, male 169.8
GTEX-1H3VY-0126-SM-ACKXD 50-59 years, male 169.8
GTEX-13FHP-0126-SM-5IJBG 50-59 years, male 169.6
GTEX-X261-0126-SM-3NMD6 50-59 years, male 169.6
GTEX-13111-1626-SM-5EGJY 50-59 years, male 169.5
GTEX-11TUW-2726-SM-E9J4M 60-69 years, male 169.3
GTEX-11OF3-2626-SM-5GU7F 60-69 years, male 169.2
GTEX-1IKK5-0626-SM-ARL8A 60-69 years, male 169.1
GTEX-1RAZQ-0726-SM-EAZ43 30-39 years, male 168.6
GTEX-1IDFM-0126-SM-COH2V 60-69 years, male 168.2
GTEX-ZC5H-0226-SM-4WAY9 40-49 years, female 168.0
GTEX-U3ZH-2026-SM-3DB78 30-39 years, male 167.7
GTEX-TKQ1-1026-SM-4GICL 30-39 years, male 167.6
GTEX-13FTX-1826-SM-5J1NX 20-29 years, female 167.5
GTEX-18QFQ-0126-SM-731BE 30-39 years, male 167.4
GTEX-YB5E-2026-SM-5IFIS 40-49 years, male 167.4
GTEX-1R9PM-2026-SM-E76OY 20-29 years, male 167.4
GTEX-12126-0326-SM-5PNW3 20-29 years, male 167.3
GTEX-1NHNU-1026-SM-E9J2A 50-59 years, male 167.3
GTEX-1313W-0126-SM-5LZUN 50-59 years, female 167.1
GTEX-RNOR-0126-SM-E9J4R 50-59 years, female 167.1
GTEX-1HR98-0126-SM-B2LWI 60-69 years, male 166.9
GTEX-ZVZP-2426-SM-59HKJ 50-59 years, male 166.8
GTEX-OIZF-0126-SM-7SB8I 60-69 years, male 166.8
GTEX-15ER7-0326-SM-7KUEV 20-29 years, female 166.3
GTEX-11VI4-1726-SM-5CVLH 40-49 years, female 166.0
GTEX-1CB4E-2226-SM-793DC 60-69 years, male 166.0
GTEX-RWS6-2026-SM-2XCB5 60-69 years, female 166.0
GTEX-14PJM-0226-SM-62LF1 50-59 years, female 165.9
GTEX-1IDJH-0326-SM-A9SLQ 70-79 years, male 165.9
GTEX-14A5I-0126-SM-5TDEA 50-59 years, female 165.7
GTEX-Y111-0126-SM-4SOIV 50-59 years, male 165.7
GTEX-Z9EW-1626-SM-5CVMN 40-49 years, male 165.7
GTEX-1GMRU-0126-SM-9YFLV 50-59 years, male 165.4
GTEX-13O3P-0126-SM-5KM4S 50-59 years, male 165.3
GTEX-11OC5-0126-SM-5HL6A 60-69 years, male 165.2
GTEX-1HUB1-0426-SM-E9U4U 60-69 years, male 165.0
GTEX-1K2DU-2326-SM-E9TIV 20-29 years, male 164.9
GTEX-QDVJ-1726-SM-2I5FX 50-59 years, male 164.6
GTEX-X62O-0126-SM-4E3JN 50-59 years, male 164.6
GTEX-1MA7W-2026-SM-E9TJ6 20-29 years, female 164.4
GTEX-1R9PO-2126-SM-E9J4O 60-69 years, female 164.4
GTEX-W5WG-1826-SM-4KL2Y 50-59 years, female 164.3
GTEX-14PHW-0126-SM-6LLJI 60-69 years, female 164.2
GTEX-18A66-0226-SM-718BD 60-69 years, male 164.1
GTEX-T2IS-0126-SM-4DM6O 20-29 years, female 164.0
GTEX-1F52S-0126-SM-9MQJU 60-69 years, female 164.0
GTEX-QV44-1926-SM-2S1RF 50-59 years, male 163.9
GTEX-1C6WA-0126-SM-7PC2B 60-69 years, male 163.9
GTEX-183FY-0126-SM-7LT9P 20-29 years, male 163.7
GTEX-11WQC-2526-SM-5CVLE 60-69 years, male 163.5
GTEX-ZF29-2326-SM-DO92K 60-69 years, female 163.3
GTEX-13X6J-0126-SM-5QGOU 50-59 years, male 163.2
GTEX-WY7C-2326-SM-3NB2U 50-59 years, male 163.1
GTEX-1F6I4-0126-SM-9MQL2 60-69 years, male 162.9
GTEX-1J8QM-2126-SM-CYPSJ 60-69 years, female 162.6
GTEX-SNMC-1226-SM-2XCFP 20-29 years, male 162.4
GTEX-XQ3S-1526-SM-4BOOC 20-29 years, male 162.4
GTEX-1B933-0126-SM-7PC29 50-59 years, female 162.1
GTEX-15DYW-0126-SM-7KULE 60-69 years, female 162.0
GTEX-13N1W-0126-SM-5K7VT 70-79 years, male 161.9
GTEX-1AYCT-2426-SM-7IGQ3 50-59 years, male 161.9
GTEX-1314G-1526-SM-5EGK2 30-39 years, male 161.7
GTEX-1OJC4-0126-SM-E9J2E 50-59 years, female 161.5
GTEX-QESD-1426-SM-2S1R9 20-29 years, male 161.2
GTEX-18D9U-0226-SM-718BP 40-49 years, male 161.0
GTEX-ZDTS-0126-SM-4WAY5 60-69 years, male 160.9
GTEX-1HCU8-0626-SM-A9SM9 60-69 years, female 160.9
GTEX-1LBAC-0126-SM-DIPEZ 20-29 years, male 160.7
GTEX-1B8SG-0126-SM-73KZ3 50-59 years, male 160.5
GTEX-1B8L1-2526-SM-9WYTF 60-69 years, male 160.3
GTEX-15RIG-0226-SM-7KFTL 40-49 years, male 160.1
GTEX-18A6Q-0126-SM-731BZ 60-69 years, male 159.9
GTEX-UPJH-0326-SM-3GADU 50-59 years, male 159.8
GTEX-ZUA1-0126-SM-5GU76 40-49 years, male 159.7
GTEX-1C64O-0126-SM-7SB8P 60-69 years, male 159.6
GTEX-1IOXB-0126-SM-ARL8G 50-59 years, male 159.6
GTEX-1I1GT-0626-SM-CGQER 60-69 years, female 159.5
GTEX-1JMQL-0226-SM-CNPP5 50-59 years, female 159.5
GTEX-13SLX-0526-SM-5S2ON 50-59 years, female 159.3
GTEX-15DDE-0126-SM-6LPKH 50-59 years, female 159.2
GTEX-WFG8-2226-SM-3GIL9 20-29 years, male 159.2
GTEX-1F5PK-2426-SM-7RHHY 50-59 years, male 159.0
GTEX-11TT1-2526-SM-5EGIB 20-29 years, male 158.9
GTEX-146FH-0126-SM-5QGPP 50-59 years, female 158.9
GTEX-12ZZZ-0626-SM-5DUXI 60-69 years, male 158.8
GTEX-1HBPH-0426-SM-B2LW5 40-49 years, female 158.8
GTEX-13QJ3-0326-SM-5S2RA 50-59 years, male 158.6
GTEX-146FR-1326-SM-E9J48 60-69 years, female 158.5
GTEX-13NZB-2526-SM-5J1OM 30-39 years, male 158.1
GTEX-1JMQJ-0526-SM-CYPSU 50-59 years, male 158.1
GTEX-1POEN-0126-SM-EYYXJ 30-39 years, female 158.1
GTEX-OXRN-0126-SM-48TDM 50-59 years, male 157.8
GTEX-11O72-0126-SM-59887 40-49 years, male 157.6
GTEX-XBED-2226-SM-47JYQ 60-69 years, male 157.6
GTEX-1JKYN-1326-SM-CGQG9 30-39 years, male 157.6
GTEX-1F75B-0126-SM-9KNVL 50-59 years, male 157.4
GTEX-1LB8K-0226-SM-EWRNW 50-59 years, male 157.3
GTEX-11LCK-1026-SM-5A5KB 30-39 years, male 157.2
GTEX-WRHK-1426-SM-3MJF9 20-29 years, female 157.2
GTEX-145LS-0126-SM-5QGP1 60-69 years, female 156.8
GTEX-Y8E4-0626-SM-4WWDL 40-49 years, male 156.8
GTEX-ZV6S-2326-SM-4YCEY 40-49 years, female 156.8
GTEX-12WSA-0226-SM-5BC5V 60-69 years, male 156.6
GTEX-RU72-0926-SM-2TF6B 50-59 years, female 156.5
GTEX-XQ8I-0426-SM-4BOPO 50-59 years, male 156.3
GTEX-11ZTT-2426-SM-5EQLS 60-69 years, female 156.2
GTEX-14JG1-0426-SM-6ETZZ 40-49 years, male 155.9
GTEX-14JG6-2226-SM-6EU2G 30-39 years, female 155.9
GTEX-XMD2-0126-SM-4YCDU 60-69 years, female 155.6
GTEX-1F5PL-0326-SM-7P8PQ 40-49 years, female 155.6
GTEX-1IDJF-0126-SM-CM2RS 20-29 years, male 155.6
GTEX-1QMI2-0226-SM-EVYBX 60-69 years, male 155.6
GTEX-1MGNQ-0126-SM-EVYCJ 40-49 years, male 155.5
GTEX-113JC-2326-SM-5EQ4E 50-59 years, female 155.2
GTEX-12KS4-0326-SM-5EQ41 30-39 years, male 155.1
GTEX-RWSA-0126-SM-2XCBB 40-49 years, male 154.4
GTEX-13W46-0226-SM-5SIAG 50-59 years, male 154.3
GTEX-13X6I-0626-SM-5QGP9 60-69 years, male 154.3
GTEX-14ABY-0226-SM-5TDCQ 50-59 years, male 154.1
GTEX-1RDX4-0126-SM-E9J4P 50-59 years, female 154.0
GTEX-1H1DE-2126-SM-9WG6R 20-29 years, male 153.8
GTEX-16BQI-0226-SM-7KUEX 30-39 years, female 153.7
GTEX-PVOW-0126-SM-2XCFA 40-49 years, male 153.6
GTEX-13PDP-0126-SM-5L3HD 60-69 years, male 153.5
GTEX-1IL2U-0226-SM-CE6T8 60-69 years, male 153.5
GTEX-11P81-2326-SM-59875 30-39 years, female 153.4
GTEX-R55E-0126-SM-2TC5Y 20-29 years, male 153.4
GTEX-13NYB-2526-SM-5K7Z6 40-49 years, male 153.1
GTEX-145MF-0626-SM-5LUAI 50-59 years, male 153.0
GTEX-1KAFJ-2026-SM-CY8ID 50-59 years, male 153.0
GTEX-1KXAM-2226-SM-CYPTC 60-69 years, male 153.0
GTEX-11XUK-2026-SM-5EQLF 40-49 years, female 152.9
GTEX-OOBK-0126-SM-2YUND 40-49 years, male 152.7
GTEX-131XH-2226-SM-5DUXJ 50-59 years, male 152.6
GTEX-18A67-0126-SM-7LG5P 50-59 years, male 152.6
GTEX-QEG4-0226-SM-2S1PY 30-39 years, male 152.6
GTEX-ZYFC-0226-SM-5NQ75 50-59 years, male 152.6
GTEX-1JJEA-0326-SM-CNPOT 60-69 years, male 152.6
GTEX-13RTK-1426-SM-5QGQJ 20-29 years, male 152.5
GTEX-ZWKS-0126-SM-5SIAA 30-39 years, male 152.5
GTEX-14E6D-0126-SM-62LDV 50-59 years, male 152.4
GTEX-ZQUD-1426-SM-57WER 30-39 years, male 152.4
GTEX-ZGAY-0526-SM-4WWBB 40-49 years, female 152.1
GTEX-12C56-1726-SM-5EQ61 20-29 years, male 151.9
GTEX-15SDE-2226-SM-7IGLO 50-59 years, female 151.8
GTEX-17HGU-0226-SM-7DHKV 50-59 years, male 151.8
GTEX-YJ89-0126-SM-4TT3X 60-69 years, male 151.6
GTEX-1LVAN-0226-SM-COH3S 50-59 years, female 151.6
GTEX-14XAO-2326-SM-6EU1B 60-69 years, female 151.5
GTEX-1EU9M-0226-SM-7P8SP 60-69 years, male 151.4
GTEX-OXRO-0126-SM-2YUN4 60-69 years, female 151.3
GTEX-1F7RK-0126-SM-7PC2S 20-29 years, female 151.3
GTEX-1HKZK-0326-SM-9WYUH 40-49 years, male 151.3
GTEX-11NSD-2226-SM-5986V 20-29 years, male 151.2
GTEX-18A7A-0226-SM-718BH 50-59 years, female 151.1
GTEX-ZEX8-2426-SM-4WKG4 50-59 years, male 151.1
GTEX-1C64N-0126-SM-793D7 50-59 years, male 151.0
GTEX-ZAK1-0126-SM-5IJD3 50-59 years, female 151.0
GTEX-1GZHY-0326-SM-9QEHI 50-59 years, female 151.0
GTEX-1J1R8-1726-SM-ARL8M 40-49 years, male 150.8
GTEX-13CF3-2426-SM-5IFGX 60-69 years, female 150.7
GTEX-13OVL-0226-SM-5L3E9 50-59 years, male 150.7
GTEX-13FH7-2026-SM-E9J4I 50-59 years, female 150.7
GTEX-13112-2826-SM-5DUWH 50-59 years, male 150.3
GTEX-1CB4H-0226-SM-7PBXM 60-69 years, female 150.3
GTEX-14BIM-0226-SM-7IGLD 60-69 years, female 150.0
GTEX-1B97I-1626-SM-73KYO 40-49 years, male 149.8
GTEX-133LE-1826-SM-5J1MV 20-29 years, female 148.9
GTEX-RM2N-1426-SM-2TF4H 50-59 years, male 148.9
GTEX-1AX9J-0226-SM-73KXM 60-69 years, male 148.4
GTEX-1PPH8-0226-SM-E8VND 20-29 years, male 148.4
GTEX-11NUK-0126-SM-5A5L3 50-59 years, male 148.3
GTEX-TSE9-0126-SM-3DB83 60-69 years, female 148.2
GTEX-1J8Q3-1626-SM-CMKGC 60-69 years, male 148.2
GTEX-11UD2-0226-SM-5EQKY 50-59 years, male 147.8
GTEX-13OVK-2026-SM-7KUEO 40-49 years, male 147.7
GTEX-15G19-0126-SM-6PANQ 60-69 years, male 147.7
GTEX-U3ZN-2326-SM-3DB7W 30-39 years, female 147.5
GTEX-Y5V5-2326-SM-4V6GA 60-69 years, female 147.5
GTEX-169BO-1326-SM-9MQK2 50-59 years, male 146.9
GTEX-1A3MV-1926-SM-718BT 30-39 years, male 146.7
GTEX-NFK9-0226-SM-2HMKQ 40-49 years, male 146.6
GTEX-1C4CL-0526-SM-73KVK 30-39 years, male 146.3
GTEX-ZU9S-0226-SM-5E441 30-39 years, male 146.2
GTEX-QLQ7-1626-SM-2S1R8 60-69 years, male 146.1
GTEX-1HBPI-1526-SM-C1YQ1 50-59 years, male 146.0
GTEX-131XW-0426-SM-5LZWP 50-59 years, female 145.9
GTEX-1B996-0226-SM-7RHGO 60-69 years, male 145.3
GTEX-1GN1W-0526-SM-9MQJQ 50-59 years, female 145.0
GTEX-16YQH-0126-SM-7DUFJ 30-39 years, male 144.9
GTEX-ZZ64-1726-SM-5GZYB 20-29 years, male 144.8
GTEX-1H11D-0226-SM-9WG6Z 40-49 years, male 144.5
GTEX-1IKOH-0226-SM-COH4E 60-69 years, female 144.5
GTEX-13JUV-2726-SM-5LZZ8 40-49 years, female 144.2
GTEX-1399R-2726-SM-5IJBA 30-39 years, male 143.8
GTEX-11ZU8-2526-SM-5EQKI 60-69 years, male 143.7
GTEX-WYVS-2126-SM-3NMA3 40-49 years, female 143.7
GTEX-1HT8W-0126-SM-CNPPP 30-39 years, male 143.7
GTEX-1LG7Z-1726-SM-D3LA4 30-39 years, male 143.7
GTEX-139TT-0126-SM-5K7Y5 60-69 years, male 143.6
GTEX-1C6VS-0526-SM-7DUEN 60-69 years, male 143.6
GTEX-16GPK-0126-SM-7DHLE 60-69 years, male 143.4
GTEX-17JCI-0126-SM-7LG5G 60-69 years, female 143.3
GTEX-14BIN-0626-SM-793DP 50-59 years, female 143.1
GTEX-13S7M-0126-SM-5SI6A 60-69 years, female 142.9
GTEX-1QP29-0626-SM-EWRMX 50-59 years, male 142.9
GTEX-18465-0126-SM-731BN 50-59 years, male 142.7
GTEX-1IDJU-2626-SM-CM2RT 60-69 years, female 142.7
GTEX-1MCYP-1926-SM-E9J2R 20-29 years, female 142.6
GTEX-1I1GR-0126-SM-CL55F 60-69 years, male 142.4
GTEX-1GN1V-0126-SM-9WPOS 60-69 years, male 142.3
GTEX-1EKGG-0226-SM-9WYTH 60-69 years, male 142.2
GTEX-1CB4J-0626-SM-7DHMP 60-69 years, male 142.1
GTEX-13W3W-2426-SM-5LU5B 60-69 years, female 142.0
GTEX-1H4P4-0726-SM-9YFLR 50-59 years, male 141.8
GTEX-15DCD-0126-SM-7KUEK 70-79 years, female 141.6
GTEX-17HG3-2226-SM-7938L 30-39 years, female 141.5
GTEX-ZXES-1826-SM-5E43S 30-39 years, female 141.5
GTEX-11DXY-2626-SM-5GIE7 60-69 years, male 141.4
GTEX-16NGA-1726-SM-731B4 40-49 years, female 141.4
GTEX-1LGRB-2526-SM-CNPPQ 50-59 years, female 141.4
GTEX-1QPFJ-0226-SM-E76PB 30-39 years, female 141.1
GTEX-1CB4F-0426-SM-9KNV4 60-69 years, male 141.0
GTEX-11P7K-2126-SM-5GU7G 30-39 years, male 140.8
GTEX-1AX9I-0126-SM-7SB74 60-69 years, male 140.8
GTEX-VUSG-2526-SM-4KL1V 50-59 years, male 140.6
GTEX-XUYS-0126-SM-47JWZ 50-59 years, male 140.4
GTEX-1QEPI-0126-SM-EWRMQ 60-69 years, female 140.4
GTEX-1HBPN-0226-SM-9YFM1 50-59 years, male 140.3
GTEX-13RTJ-2426-SM-5S2Q2 60-69 years, male 140.1
GTEX-11EI6-0126-SM-5985R 60-69 years, male 139.9
GTEX-S7SE-0126-SM-2XCD5 50-59 years, male 139.9
GTEX-131YS-0126-SM-5KM1M 60-69 years, female 139.8
GTEX-12WSE-0526-SM-793B2 20-29 years, male 139.7
GTEX-1GMR3-1926-SM-9KNUZ 40-49 years, male 139.5
GTEX-14PN3-2426-SM-6LLHS 60-69 years, female 139.3
GTEX-1GPI7-0126-SM-9MQL8 20-29 years, male 139.2
GTEX-1IGQW-0126-SM-COH42 60-69 years, male 139.1
GTEX-1LG7Y-0526-SM-DKPQC 50-59 years, male 138.8
GTEX-OHPM-0126-SM-2YUN9 50-59 years, male 138.7
GTEX-11EQ9-2426-SM-5HL5T 30-39 years, male 138.1
GTEX-1GPI6-0126-SM-9WG69 60-69 years, male 138.1
GTEX-17EVP-0326-SM-7DHLG 40-49 years, male 137.8
GTEX-1S3DN-2226-SM-EVYCD 50-59 years, male 137.4
GTEX-1B8KZ-2026-SM-7DHMB 50-59 years, male 137.3
GTEX-1A8FM-0226-SM-7SB7Q 50-59 years, female 137.3
GTEX-17EUY-0426-SM-793BD 20-29 years, male 137.1
GTEX-YJ8A-0426-SM-5IFID 20-29 years, male 136.7
GTEX-ZAB5-1826-SM-5HL7C 50-59 years, male 136.5
GTEX-17HHE-2026-SM-79OKF 50-59 years, male 136.3
GTEX-WFON-2126-SM-3LK7O 40-49 years, male 136.3
GTEX-12WSL-2526-SM-5GCNJ 50-59 years, male 136.2
GTEX-1212Z-2526-SM-5EGKP 60-69 years, male 135.8
GTEX-1GL5R-1826-SM-9KNUY 50-59 years, male 135.7
GTEX-11ZUS-0626-SM-59885 30-39 years, male 135.5
GTEX-1AX9K-2326-SM-73KWU 50-59 years, male 135.5
GTEX-OHPL-0126-SM-2HMJ7 60-69 years, female 135.5
GTEX-1E2YA-0126-SM-9KNUC 50-59 years, male 135.4
GTEX-1HCU7-0226-SM-CL545 50-59 years, male 135.3
GTEX-1HCVE-0126-SM-CGQEU 50-59 years, male 135.3
GTEX-R3RS-0126-SM-3GIJL 40-49 years, female 135.2
GTEX-12ZZY-0226-SM-5LZVE 60-69 years, male 134.6
GTEX-12ZZX-0126-SM-5EGK9 40-49 years, female 134.5
GTEX-17MFQ-1726-SM-793C7 20-29 years, male 134.1
GTEX-Z93S-0126-SM-5HL7M 50-59 years, male 134.1
GTEX-15F5U-1526-SM-6PANO 40-49 years, male 134.0
GTEX-13FTY-0526-SM-5L3EV 40-49 years, female 133.8
GTEX-ZYT6-0226-SM-5NQ6T 30-39 years, male 133.7
GTEX-T5JW-1626-SM-3GADZ 20-29 years, female 133.2
GTEX-14A6H-0126-SM-5QGPK 30-39 years, male 132.4
GTEX-RN64-0126-SM-2TC68 50-59 years, male 132.0
GTEX-145ME-1826-SM-5SI9G 40-49 years, female 131.8
GTEX-1128S-2326-SM-5GZZY 60-69 years, female 131.7
GTEX-147F4-0226-SM-5QGPW 50-59 years, male 131.4
GTEX-PW2O-1526-SM-7RHHB 20-29 years, male 131.3
GTEX-1CAMQ-0226-SM-7IGPK 40-49 years, male 131.0
GTEX-1QCLY-0326-SM-E8VOG 30-39 years, male 131.0
GTEX-1I19N-0326-SM-ACKVX 70-79 years, male 130.7
GTEX-1F75I-0326-SM-9YFLU 40-49 years, male 130.5
GTEX-16XZY-2126-SM-79OK1 70-79 years, male 130.4
GTEX-X4XY-0226-SM-4E3IZ 60-69 years, male 130.4
GTEX-1BAJH-0526-SM-793CQ 70-79 years, male 130.3
GTEX-ZTSS-1926-SM-57WEW 40-49 years, male 130.3
GTEX-1PIGE-0126-SM-EVYBJ 20-29 years, male 130.2
GTEX-1C2JI-1826-SM-73KXC 50-59 years, male 130.1
GTEX-15EU6-0426-SM-6PAN5 50-59 years, male 129.4
GTEX-145MI-0526-SM-5O9A8 60-69 years, female 129.1
GTEX-1I1HK-0126-SM-COH49 60-69 years, male 129.1
GTEX-11WQK-0526-SM-5EQLD 50-59 years, male 128.9
GTEX-1H1E6-1726-SM-ACKVK 30-39 years, male 128.4
GTEX-WZTO-0126-SM-3NM95 40-49 years, male 128.0
GTEX-XXEK-2226-SM-4BRUM 50-59 years, male 127.9
GTEX-1IE54-0126-SM-CMKHW 40-49 years, female 127.7
GTEX-147GR-0526-SM-5S2MY 60-69 years, male 126.7
GTEX-TMMY-0226-SM-33HBA 40-49 years, female 126.5
GTEX-XUZC-1726-SM-4BRWS 30-39 years, female 126.5
GTEX-13O3Q-2426-SM-5IJBR 50-59 years, male 125.6
GTEX-1HSKV-0226-SM-A9SKJ 60-69 years, male 125.3
GTEX-1IKJJ-0126-SM-CNPQB 60-69 years, male 125.3
GTEX-1CAMR-1926-SM-7EPI2 20-29 years, male 124.9
GTEX-1HCU9-1526-SM-A9SL7 20-29 years, male 124.8
GTEX-1K9T9-0126-SM-EVYCF 50-59 years, female 124.6
GTEX-145LU-0126-SM-5TDCB 50-59 years, male 124.5
GTEX-1ICLY-0126-SM-D4P36 50-59 years, male 124.3
GTEX-1I1GP-2226-SM-CGQFK 50-59 years, male 124.1
GTEX-14C5O-0126-SM-5SI6N 60-69 years, male 123.9
GTEX-1S83E-0126-SM-EWRO4 40-49 years, male 123.8
GTEX-16NPX-0226-SM-79OMT 50-59 years, male 123.6
GTEX-1CB4I-0226-SM-79OLH 50-59 years, male 123.6
GTEX-17F96-1626-SM-7DUFL 70-79 years, male 123.5
GTEX-15CHC-2126-SM-6EU21 60-69 years, female 122.8
GTEX-1EN7A-0126-SM-7SB81 40-49 years, male 122.8
GTEX-139TU-0126-SM-5K7WH 60-69 years, male 122.7
GTEX-1O97I-0326-SM-EYYX7 60-69 years, male 122.7
GTEX-1I1GU-2226-SM-CGQFA 40-49 years, male 122.5
GTEX-1IL2V-0126-SM-CM2TX 70-79 years, male 122.5
GTEX-13OW6-0426-SM-5L3HM 50-59 years, male 122.4
GTEX-1JJE9-0326-SM-CL53Z 70-79 years, male 122.4
GTEX-1J8Q2-0526-SM-CM2RW 60-69 years, male 122.1
GTEX-1KWVE-1426-SM-E9TJO 30-39 years, male 121.8
GTEX-14A5H-0426-SM-5QGQF 60-69 years, male 121.0
GTEX-1AMEY-1326-SM-73KYK 30-39 years, female 120.5
GTEX-1399T-2826-SM-5KLYZ 60-69 years, male 119.7
GTEX-14DAQ-0126-SM-5S2MQ 60-69 years, female 117.8
GTEX-ZXG5-0126-SM-5GIEU 60-69 years, male 117.8
GTEX-14LZ3-0226-SM-62LET 60-69 years, female 117.7
GTEX-XPVG-2626-SM-4B669 50-59 years, male 117.0
GTEX-12WSC-0126-SM-5EQ4P 50-59 years, male 116.7
GTEX-14BMV-0126-SM-5S2PO 50-59 years, male 115.4
GTEX-T5JC-0426-SM-32PLO 20-29 years, male 115.0
GTEX-14E6E-1826-SM-5S2R7 30-39 years, male 114.7
GTEX-15UKP-0426-SM-7KUFQ 20-29 years, male 114.4
GTEX-1E1VI-0126-SM-7DHMZ 50-59 years, male 113.4
GTEX-1I1GQ-0126-SM-COH3H 50-59 years, male 113.4
GTEX-14PJ6-2126-SM-6EU1V 60-69 years, female 112.9
GTEX-144GL-0126-SM-5TDE2 50-59 years, male 111.1
GTEX-1LH75-2426-SM-E9TJE 50-59 years, female 111.1
GTEX-1C475-1826-SM-73KWA 40-49 years, female 111.0
GTEX-1GF9X-2026-SM-7PC3A 40-49 years, female 109.6
GTEX-1C6VR-2426-SM-79OLD 60-69 years, male 109.4
GTEX-1AMFI-2026-SM-731BH 50-59 years, female 109.1
GTEX-1KANA-0726-SM-D3L9I 20-29 years, male 108.5
GTEX-13N2G-2626-SM-5J1OT 60-69 years, male 108.1
GTEX-1QP2A-0126-SM-E9J43 50-59 years, male 105.0
GTEX-17KNJ-2326-SM-7DHLQ 50-59 years, male 104.9
GTEX-1PBJI-0526-SM-E8VNK 20-29 years, female 104.7
GTEX-V1D1-2226-SM-3NMAX 50-59 years, male 104.5
GTEX-1A3MX-0126-SM-731BR 60-69 years, male 102.5
GTEX-13NYC-0326-SM-E9J4S 60-69 years, male 101.1
GTEX-13OW8-1326-SM-5J1OW 60-69 years, male 99.8
GTEX-ZF2S-2326-SM-4WWCE 50-59 years, female 96.3
GTEX-14E7W-0126-SM-6LLJ9 70-79 years, male 94.9
GTEX-13OVH-0126-SM-5MR4B 70-79 years, male 93.2
GTEX-16AAH-1726-SM-7939C 50-59 years, male 82.3
GTEX-SE5C-1626-SM-2XCE3 40-49 years, female 59.7
Show allShow less

Contact

  • NEWS ARTICLES
  • PRESS ROOM

The Project

  • INTRODUCTION
  • ORGANIZATION
  • PUBLICATIONS

The Human Protein Atlas

  • DOWNLOADABLE DATA
  • LICENCE & CITATION
  • HELP & FAQ
The Human Protein Atlas project is funded
by the Knut & Alice Wallenberg Foundation.


contact@proteinatlas.org