We use cookies to enhance the usability of our website. If you continue, we'll assume that you are happy to receive all cookies. More information. Don't show this again.
EPCAM
HPA
RESOURCES
  • TISSUE
  • BRAIN
  • SINGLE CELL
  • SUBCELLULAR
  • CANCER
  • BLOOD
  • CELL LINE
  • STRUCTURE & INTERACTION
ABOUT
  • INTRODUCTION
  • HISTORY
  • ORGANIZATION
  • PUBLICATIONS
  • ANTIBODY SUBMISSION
  • ANTIBODY AVAILABILITY
  • ACKNOWLEDGMENTS
  • CONTACT
NEWS
  • NEWS ARTICLES
  • PRESS ROOM
LEARN
  • DICTIONARY
  • PROTEIN CLASSES
  • PROTEIN EVIDENCE
  • METHODS
  • EDUCATIONAL VIDEOS
DATA
  • DOWNLOADABLE DATA
  • PUBLICATION DATA
  • RELEASE HISTORY
HELP
  • ANTIBODY VALIDATION
  • ASSAYS & ANNOTATION
  • DISCLAIMER
  • HELP & FAQ
  • PRIVACY STATEMENT
  • LICENCE & CITATION
Fields »
Search result

Field
Term
Gene name
Class
Subclass
Class
Keyword
Chromosome
External id
Tissue
Cell type
Expression
Antibody panel
Tissue
Main location
Patient ID
Annotation
Tissue
Category
Tau score
Cluster
Reliability
Brain region
Category
Tau score
Brain region
Category
Tau score
Brain region
Category
Tau score
Cluster
Reliability
Tissue
Cell type
Enrichment
Cell type
Category
Tau score
Cell type
Category
Tau score
Cell type
Category
Tau score
Cell lineage
Category
Tau score
Cluster
Cluster
Location
Searches
Location
Cell line
Class
Type
Phase
Reliability
Cancer
Prognosis
Cancer
Category
Cancer
Category
Tau score
Cluster
Variants
Interacting gene (ensg_id)
Type
Number of interactions
Pathway
Category
Score
Score
Score
Validation
Validation
Validation
Validation
Antibodies
Data type
Column


  • SUMMARY

  • TISSUE

  • BRAIN

  • SINGLE CELL

  • SUBCELL

  • CANCER

  • BLOOD

  • CELL LINE

  • STRUCT & INT

  • EPCAM
TISSUE PRIMARY DATA SKIN Show tissue menu
ADIPOSE TISSUE ADRENAL GLAND AMYGDALA APPENDIX BASAL GANGLIA BONE MARROW BREAST BRONCHUS CEREBELLUM CEREBRAL CORTEX CERVIX CHOROID PLEXUS COLON DUODENUM
ENDOMETRIUM EPIDIDYMIS ESOPHAGUS FALLOPIAN TUBE GALLBLADDER HEART MUSCLE HIPPOCAMPAL FORMATION HYPOTHALAMUS KIDNEY LIVER LUNG LYMPH NODE MIDBRAIN NASOPHARYNX
ORAL MUCOSA OVARY PANCREAS PARATHYROID GLAND PITUITARY GLAND PLACENTA PROSTATE RECTUM RETINA SALIVARY GLAND SEMINAL VESICLE SKELETAL MUSCLE SKIN SMALL INTESTINE
SMOOTH MUSCLE SOFT TISSUE SPINAL CORD SPLEEN STOMACH TESTIS THYMUS THYROID GLAND TONGUE TONSIL URINARY BLADDER VAGINA
ANTIBODIES
AND
VALIDATION
Dictionary
Skin
Tissue proteome
Skin
SKIN - Expression summary
Protein expression
Skini

On the top, protein expression in current human tissue, based on all annotated cell types, is reported with the units not detected (n), low (l), medium (m) and high (h). Underneath, protein expression in each annotated cell type are reported using the same units.

Protein expression data is based on knowledge-based annotation. For genes where more than one antibody has been used, a collective score is set.

If knowledge-based annotation could not be performed for a gene, no data is displayed here. View antibody staining data further down this page.

h
m
l
n
Cells in basal layer: Not detected
Cells in corneal layer: Not detected
Cells in granular layer: Not detected
Cells in spinous layer: Not detected
Endothelial cells: Not detected
Extracellular matrix: Not detected
Fibrohistiocytic cells: Not detected
Hair follicles: High
Langerhans cells: Not detected
Lymphocytes: Not detected
Melanocytes: Not detected
Vascular mural cells: Not detected
RNA expressioni

A summary of mRNA expression data available for current tissue based on several datasets. The mRNA expression levels in human tissues are based on RNA-seq data generated by the Human Protein Atlas (HPA), Genotype-Tissue Expression (GTEx) portal and CAGE data generated by the FANTOM5 consortium. Consensus normalized expression levels for human tissues was created by combining the data from HPA and GTEx datasets.

The mRNA expression levels in pig are based on RNA-seq data generated by the Human Protein Atlas (HPA), and for mouse, HPA data and in situ hybridization generated by the Allen brain atlas are reported.

Scroll down to view mRNA expression data in more detail.
Consensus:8.5 nTPM
HPA:2.6 nTPM
GTEx:8.5 nTPM

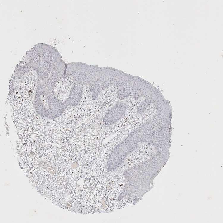
SKIN 1 - Antibody stainingi

Antibody staining in the annotated cell types in the current human tissue is reported as not detected, low, medium, or high, based on conventional immunohistochemistry profiling in selected tissues. This score is based on the combination of the staining intensity and fraction of stained cells.

Each image is clickable and will lead to virtual microscopy that enables deeper exploration of all samples and also displays staining intensity scores, fraction scores and subcellular localization as well as patient and tissue information for each sample.

Antibody HPA026761Antibody CAB003809Antibody CAB030012Antibody CAB055098
Langerhans Not detectedNot detectedNot detected-
Cells in basal layer ---Not detected
Cells in corneal layer ---Not detected
Cells in granular layer ---Not detected
Cells in spinous layer ---Not detected
Endothelial cells ---Not detected
Extracellular matrix ---Not detected
Fibroblasts Not detectedNot detectedNot detected-
Fibrohistiocytic cells ---Not detected
Hair follicles ---High
Keratinocytes LowLowNot detected-
Langerhans cells ---Not detected
Lymphocytes ---Not detected
Melanocytes Not detectedMediumNot detectedNot detected
Vascular mural cells ---Not detected



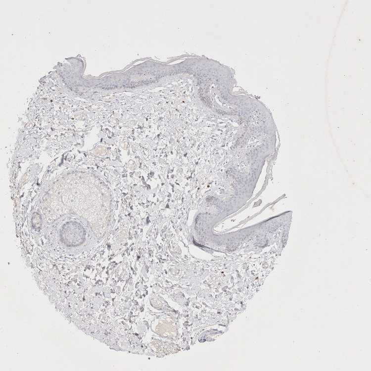
SKIN 2 - Antibody stainingi

Antibody staining in the annotated cell types in the current human tissue is reported as not detected, low, medium, or high, based on conventional immunohistochemistry profiling in selected tissues. This score is based on the combination of the staining intensity and fraction of stained cells.

Each image is clickable and will lead to virtual microscopy that enables deeper exploration of all samples and also displays staining intensity scores, fraction scores and subcellular localization as well as patient and tissue information for each sample.

Antibody HPA026761Antibody CAB003809Antibody CAB030012Antibody CAB055098
Cells in basal layer ---Not detected
Cells in corneal layer ---Not detected
Cells in granular layer ---Not detected
Cells in spinous layer ---Not detected
Endothelial cells ---Not detected
Epidermal cells Not detectedNot detectedLow-
Extracellular matrix ---Not detected
Fibrohistiocytic cells ---Not detected
Langerhans cells ---Not detected
Lymphocytes ---Not detected
Melanocytes ---Not detected
Vascular mural cells ---Not detected
    
    
    





SKIN - HPA RNA-seqi

The RNA-seq details section shows detailed information about the individual samples used for the transcript profiling and results of the RNA-seq analysis.

Information about each individual sample is listed below, including gender, age, a tissue section image and estimated fractions of cell types. nTPM (normalized transcripts per million) values give a quantification of the gene abundance which is comparable between different genes and samples.
Average nTPMi

Max subtype nTPM is the value for the subtype with the largest average nTPM across the subtype samples.

2.6
overview
Female, age 34
Skin sample 225
nTPM: 2.2
Cell types%
Keratinocytes:
60

Other cell types:
40

overview
Female, age 30
Skin sample 226
nTPM: 2.8
Cell types%
Keratinocytes:
55

Other cell types:
45

N/A
Male, age 57
Skin sample 227
nTPM: 2.8

SKIN - GTEx RNA-seqi

RNA-Seq data generated by the Genotype-Tissue Expression (GTEx) project from human tissues is reported as mean nTPM. More information can be found on the GTEx portal.

Distribution across the dataset is visualized with box plots, shown as median and 25th and 75th percentiles. Points are displayed as outliers if they are above or below 1.5 times the interquartile range. nTPM values of the individual samples are presented next to the box plot.
Max subtype nTPMi

Max subtype nTPM is the value for the subtype with the largest average nTPM across the subtype samples.

8.5
GTEx sample id Sample description nTPM
Skin - Not Sun Exposed (Suprapubic)
Average nTPM: 8.2
Samples: 604

Max nTPM: 49.4
Min nTPM: 0.2
Std nTPM: 6.2
Median nTPM: 6.5
GTEX-1L5NE-1126-SM-D3L9P 50-59 years, male 49.4
GTEX-1QP66-1226-SM-DTX7U 50-59 years, male 39.8
GTEX-14E6C-2426-SM-5S2NF 40-49 years, male 38.9
GTEX-11TT1-1826-SM-5EQLV 20-29 years, male 37.2
GTEX-UPK5-0426-SM-3GAEK 40-49 years, male 37.2
GTEX-1RAZA-2226-SM-E9U4X 20-29 years, male 32.8
GTEX-ZAJG-1526-SM-5CVML 50-59 years, female 29.3
GTEX-YF7O-1526-SM-5IFI6 50-59 years, male 28.3
GTEX-139TS-2126-SM-5K7XC 60-69 years, male 27.3
GTEX-13FH7-1126-SM-5K7UG 50-59 years, female 25.9
GTEX-117YX-1926-SM-5GIEC 50-59 years, male 25.4
GTEX-1LGOU-1326-SM-D3L8M 20-29 years, female 25.2
GTEX-ZVE1-0726-SM-51MRN 50-59 years, female 24.9
GTEX-12WSL-2026-SM-5GCML 50-59 years, male 24.8
GTEX-1F75I-2226-SM-7SB8U 40-49 years, male 24.7
GTEX-145MO-2826-SM-5LU96 60-69 years, male 24.4
GTEX-ZT9W-1126-SM-57WDR 50-59 years, male 22.8
GTEX-VJYA-1526-SM-3GIJV 60-69 years, male 22.7
GTEX-18A7B-2726-SM-7LG56 70-79 years, male 22.6
GTEX-1HCU9-0426-SM-9WYSD 20-29 years, male 22.6
GTEX-1IDJC-1526-SM-B2LW4 50-59 years, male 22.5
GTEX-13JUV-2026-SM-5K7UA 40-49 years, female 22.4
GTEX-YB5K-2026-SM-4VDT3 40-49 years, female 22.3
GTEX-1C64O-1326-SM-7MGWR 60-69 years, male 22.2
GTEX-14E1K-2026-SM-7DUEI 50-59 years, male 22.0
GTEX-12696-0126-SM-5EQ4L 60-69 years, male 21.6
GTEX-16GPK-0626-SM-7KFSF 60-69 years, male 21.5
GTEX-1QEPI-2626-SM-DTXF4 60-69 years, female 21.5
GTEX-14DAQ-0626-SM-793DS 60-69 years, female 21.2
GTEX-111FC-2526-SM-5GZXU 60-69 years, male 21.0
GTEX-16NGA-0726-SM-731AO 40-49 years, female 20.9
GTEX-XMD2-2126-SM-4YCF8 60-69 years, female 20.8
GTEX-1KANC-1226-SM-CYPT7 50-59 years, female 20.5
GTEX-XOT4-0626-SM-4B66L 60-69 years, female 20.3
GTEX-11EM3-1226-SM-5N9DD 20-29 years, female 19.9
GTEX-1A32A-0626-SM-731AQ 50-59 years, female 19.9
GTEX-13NZ9-2626-SM-5L3FK 50-59 years, male 19.7
GTEX-1F52S-2926-SM-7MKGA 60-69 years, female 19.5
GTEX-ZYW4-0626-SM-59HJR 60-69 years, male 19.5
GTEX-ZUA1-2626-SM-5NQ92 40-49 years, male 19.3
GTEX-14BMU-1226-SM-5S2OR 20-29 years, female 19.2
GTEX-1H1CY-0126-SM-9YFLY 60-69 years, female 19.0
GTEX-1IDJE-1426-SM-ADEIW 50-59 years, female 18.6
GTEX-1B996-0426-SM-7EWF8 60-69 years, male 18.3
GTEX-WFG8-2126-SM-3GIKQ 20-29 years, male 18.3
GTEX-14PJ2-0626-SM-6LLII 50-59 years, male 18.1
GTEX-1KANA-1326-SM-DIPFA 20-29 years, male 18.1
GTEX-131XH-0126-SM-5LZUY 50-59 years, male 17.8
GTEX-1I19N-0126-SM-CYPSF 70-79 years, male 17.5
GTEX-18A6Q-0626-SM-7KFRP 60-69 years, male 17.3
GTEX-1CAV2-0126-SM-7IGN7 40-49 years, female 17.3
GTEX-13OVL-0126-SM-5L3GJ 50-59 years, male 17.1
GTEX-1H1E6-0426-SM-9WYUS 30-39 years, male 17.1
GTEX-1F75B-0726-SM-7PC3R 50-59 years, male 17.0
GTEX-1H3NZ-2726-SM-9WYTQ 60-69 years, male 16.9
GTEX-12BJ1-0926-SM-5EQ62 60-69 years, male 16.8
GTEX-147GR-2426-SM-5ZZWQ 60-69 years, male 16.8
GTEX-ZVTK-0226-SM-51MRG 20-29 years, male 16.6
GTEX-1F75W-2726-SM-7SB8H 60-69 years, male 16.6
GTEX-1K9T9-1526-SM-DIPFR 50-59 years, female 16.6
GTEX-1KWVE-1026-SM-D3L9O 30-39 years, male 16.5
GTEX-12584-0726-SM-5FQTK 40-49 years, male 15.9
GTEX-11NSD-0626-SM-5A5LU 20-29 years, male 15.7
GTEX-15G1A-1626-SM-7KUKN 30-39 years, male 15.7
GTEX-17JCI-2926-SM-7DUFF 60-69 years, female 15.7
GTEX-ZDXO-3126-SM-5IJDF 60-69 years, male 15.6
GTEX-11EQ9-1626-SM-5PNY8 30-39 years, male 15.3
GTEX-1LG7Z-1626-SM-CXKYR 30-39 years, male 15.2
GTEX-1NSGN-0726-SM-DTXEF 50-59 years, male 15.2
GTEX-183FY-1026-SM-7939A 20-29 years, male 15.1
GTEX-1HR98-2226-SM-ADEI2 60-69 years, male 15.1
GTEX-1192X-2726-SM-5N9DN 50-59 years, male 14.9
GTEX-VUSG-2326-SM-4KL1U 50-59 years, male 14.9
GTEX-1PIGE-1826-SM-E8VOU 20-29 years, male 14.8
GTEX-145MG-1526-SM-5Q5EM 50-59 years, male 14.6
GTEX-1E1VI-0326-SM-793D1 50-59 years, male 14.6
GTEX-ZE9C-2526-SM-5IJDR 60-69 years, male 14.3
GTEX-11ZUS-2626-SM-5FQUR 30-39 years, male 14.2
GTEX-12WSM-1926-SM-5BC65 60-69 years, male 14.0
GTEX-16XZZ-0726-SM-7KUF2 60-69 years, male 14.0
GTEX-1314G-1326-SM-5BC6E 30-39 years, male 13.9
GTEX-1QP9N-1226-SM-E76QN 30-39 years, male 13.7
GTEX-18A66-0626-SM-7LT8Z 60-69 years, male 13.6
GTEX-ZYFG-1526-SM-5GZYM 60-69 years, female 13.6
GTEX-1212Z-0126-SM-59HK4 60-69 years, male 13.5
GTEX-WEY5-2326-SM-3GIKK 40-49 years, female 13.5
GTEX-13NZ8-1226-SM-5KM4A 60-69 years, female 13.4
GTEX-1GZ4I-2626-SM-9KNU3 50-59 years, male 13.4
GTEX-11DXW-0826-SM-5H118 40-49 years, male 13.3
GTEX-XK95-0226-SM-4AT58 40-49 years, male 13.3
GTEX-1HSMP-0926-SM-A9SKX 70-79 years, male 13.3
GTEX-12C56-1526-SM-5FQUQ 20-29 years, male 13.2
GTEX-WH7G-2026-SM-3NMBL 40-49 years, male 13.2
GTEX-WYJK-0526-SM-3NM8Z 50-59 years, male 13.2
GTEX-ZLWG-0826-SM-59888 50-59 years, female 13.2
GTEX-148VJ-0626-SM-5LUAW 70-79 years, male 13.0
GTEX-13OVH-0526-SM-5L3E6 70-79 years, male 12.9
GTEX-146FQ-2126-SM-5RQHU 30-39 years, male 12.9
GTEX-13X6I-1826-SM-5SIAO 60-69 years, male 12.8
GTEX-17F96-0126-SM-7EWDU 70-79 years, male 12.7
GTEX-WK11-2726-SM-3NMAQ 50-59 years, male 12.7
GTEX-1N5O9-0926-SM-E9J3C 60-69 years, male 12.7
GTEX-WHWD-1826-SM-3LK6I 50-59 years, male 12.6
GTEX-WY7C-2126-SM-3NB2R 50-59 years, male 12.6
GTEX-14JFF-0626-SM-5ZZVT 60-69 years, male 12.6
GTEX-13N11-2326-SM-5IJBF 50-59 years, female 12.5
GTEX-1R9K4-2826-SM-DTX8F 60-69 years, male 12.5
GTEX-Y5V6-2326-SM-4VDSA 60-69 years, male 12.4
GTEX-1GF9U-2026-SM-7SB92 40-49 years, female 12.4
GTEX-1JMPZ-0726-SM-CY8HZ 30-39 years, male 12.4
GTEX-12WSD-0626-SM-5GCMW 60-69 years, female 12.2
GTEX-147F4-0726-SM-5TDDD 50-59 years, male 12.2
GTEX-Y5LM-0926-SM-6LLJG 40-49 years, female 12.2
GTEX-Y8E4-2026-SM-5IFJB 40-49 years, male 12.2
GTEX-X4EP-0626-SM-3P621 60-69 years, female 12.0
GTEX-12WSC-2826-SM-5BC5Y 50-59 years, male 11.8
GTEX-131XW-0626-SM-5PNVD 50-59 years, female 11.8
GTEX-139TU-0726-SM-5L3EK 60-69 years, male 11.8
GTEX-1I6K6-1726-SM-CGQFD 30-39 years, male 11.8
GTEX-1IL2V-1926-SM-B2LW8 70-79 years, male 11.8
GTEX-12ZZX-2426-SM-5GCOE 40-49 years, female 11.7
GTEX-15RJE-2826-SM-7KUM9 40-49 years, male 11.7
GTEX-16MT8-2926-SM-7DUFO 60-69 years, female 11.7
GTEX-13FLV-0126-SM-5K7WT 50-59 years, male 11.6
GTEX-1S82P-2126-SM-E6CI5 60-69 years, female 11.5
GTEX-YEC3-1326-SM-DO92X 50-59 years, male 11.5
GTEX-15G19-2426-SM-7KUMR 60-69 years, male 11.4
GTEX-17EVQ-0126-SM-7IGLR 70-79 years, male 11.4
GTEX-1KANB-2826-SM-CY8I6 50-59 years, male 11.4
GTEX-11GSP-2326-SM-5HL63 60-69 years, female 11.3
GTEX-1RAZS-2526-SM-E6CHT 50-59 years, male 11.3
GTEX-12WSF-1626-SM-7KUG5 70-79 years, male 11.2
GTEX-12ZZY-0726-SM-5EQ66 60-69 years, male 11.2
GTEX-15UF6-1926-SM-7KUDV 70-79 years, female 11.2
GTEX-ZVE2-2826-SM-5GU51 50-59 years, male 11.2
GTEX-1HB9E-0126-SM-CM2S5 50-59 years, male 11.2
GTEX-1IDJU-1726-SM-CMKHU 60-69 years, female 11.2
GTEX-11EQ8-0926-SM-5H12V 60-69 years, male 11.1
GTEX-1F6RS-2026-SM-7RHHC 60-69 years, female 11.1
GTEX-13RTJ-0126-SM-5S2NN 60-69 years, male 11.0
GTEX-1O9I2-0226-SM-EYYXD 50-59 years, male 11.0
GTEX-XXEK-1626-SM-4BRUZ 50-59 years, male 10.9
GTEX-1RAZR-2126-SM-E9U6T 40-49 years, male 10.9
GTEX-1B932-2326-SM-79OL5 40-49 years, female 10.8
GTEX-15SHW-0226-SM-7LTAT 60-69 years, male 10.7
GTEX-1QW4Y-1126-SM-DTXE3 30-39 years, male 10.7
GTEX-11P7K-1126-SM-5HL4L 30-39 years, male 10.6
GTEX-145LT-0526-SM-5LUB2 40-49 years, male 10.6
GTEX-WHPG-2626-SM-3NMBR 50-59 years, male 10.5
GTEX-XBED-1926-SM-47JYP 60-69 years, male 10.5
GTEX-18D9A-1426-SM-7LT8M 30-39 years, female 10.5
GTEX-1KD5A-0126-SM-E9U54 50-59 years, male 10.5
GTEX-ZXG5-2126-SM-59HKD 60-69 years, male 10.4
GTEX-1F88E-1626-SM-7SB8Z 60-69 years, female 10.4
GTEX-1JN1M-2726-SM-CY8I4 60-69 years, female 10.4
GTEX-1K2DA-1026-SM-CGQGF 50-59 years, male 10.4
GTEX-11NUK-2726-SM-5A5MC 50-59 years, male 10.3
GTEX-1A3MV-1826-SM-731CD 30-39 years, male 10.3
GTEX-1AX8Z-0726-SM-73KTS 60-69 years, male 10.3
GTEX-WHSE-0126-SM-3NMBT 20-29 years, male 10.3
GTEX-14DAR-1226-SM-73KYV 50-59 years, male 10.2
GTEX-14LLW-2626-SM-62LDZ 70-79 years, female 10.2
GTEX-1J8JJ-0626-SM-ARZMQ 60-69 years, female 10.2
GTEX-132AR-0326-SM-5KM2C 50-59 years, female 10.1
GTEX-12126-0826-SM-5FQTZ 20-29 years, male 10.0
GTEX-18D9B-0926-SM-7LG4U 60-69 years, male 10.0
GTEX-ZWKS-0626-SM-5GIDV 30-39 years, male 10.0
GTEX-145LS-0626-SM-7EPG7 60-69 years, female 9.9
GTEX-1J8Q2-2626-SM-ACKWQ 60-69 years, male 9.9
GTEX-11DXY-0126-SM-5H11Q 60-69 years, male 9.8
GTEX-139TT-2126-SM-5LZWC 60-69 years, male 9.8
GTEX-145MF-0926-SM-5Q5EA 50-59 years, male 9.8
GTEX-1497J-0226-SM-5QGPU 60-69 years, male 9.8
GTEX-ZDYS-2426-SM-4WKGI 50-59 years, male 9.8
GTEX-1GZ2Q-0126-SM-9WG6M 40-49 years, male 9.8
GTEX-1RB15-1326-SM-E76Q9 60-69 years, male 9.8
GTEX-11EI6-2826-SM-5H11D 60-69 years, male 9.7
GTEX-12KS4-2126-SM-5FQUT 30-39 years, male 9.6
GTEX-ZDTT-0426-SM-4WKFL 60-69 years, male 9.6
GTEX-ZVP2-0326-SM-57WBP 50-59 years, male 9.6
GTEX-1LBAC-0826-SM-CY8IJ 20-29 years, male 9.6
GTEX-14PJO-2526-SM-6AJBQ 60-69 years, male 9.5
GTEX-17MFQ-1526-SM-7KFRR 20-29 years, male 9.5
GTEX-1GTWX-2026-SM-9YFLM 60-69 years, male 9.5
GTEX-16YQH-2226-SM-7IGM2 30-39 years, male 9.4
GTEX-17F9E-2326-SM-79OKD 50-59 years, male 9.4
GTEX-17HHY-0426-SM-7DHLC 50-59 years, male 9.4
GTEX-1GMR2-0826-SM-7PC3V 50-59 years, male 9.4
GTEX-14BMV-2826-SM-5TDED 50-59 years, male 9.3
GTEX-1HCU6-2526-SM-ADEHL 60-69 years, female 9.3
GTEX-1HCVE-2726-SM-CL54F 50-59 years, male 9.3
GTEX-1ICG6-1226-SM-A9SLN 70-79 years, female 9.3
GTEX-1JMLX-0626-SM-ARL8T 50-59 years, male 9.3
GTEX-1QCLZ-2426-SM-EVYBW 60-69 years, female 9.3
GTEX-1QMI2-2526-SM-E8VNZ 60-69 years, male 9.3
GTEX-1HSMO-0626-SM-ACKXC 60-69 years, male 9.2
GTEX-1JKYN-0826-SM-ARU8S 30-39 years, male 9.2
GTEX-13112-0126-SM-5P9IU 50-59 years, male 9.1
GTEX-14JG1-1526-SM-5YY9X 40-49 years, male 9.1
GTEX-1QCLY-0226-SM-EWRNH 30-39 years, male 9.1
GTEX-ZTTD-2826-SM-4YCFA 50-59 years, male 9.0
GTEX-1HSGN-0826-SM-ACKW3 40-49 years, female 9.0
GTEX-1IDJF-2026-SM-CL53V 20-29 years, male 8.9
GTEX-1LSNM-0826-SM-DIPG8 50-59 years, male 8.9
GTEX-131YS-2826-SM-5EQ47 60-69 years, female 8.8
GTEX-18D9U-0126-SM-731BM 40-49 years, male 8.8
GTEX-1H1ZS-2726-SM-9WG75 70-79 years, male 8.8
GTEX-1I6K7-1926-SM-B2LXR 40-49 years, male 8.7
GTEX-X8HC-0626-SM-4E3HQ 50-59 years, female 8.6
GTEX-1A3MX-2626-SM-7PC24 60-69 years, male 8.6
GTEX-1CAMQ-1326-SM-7P8RV 40-49 years, male 8.6
GTEX-1CB4I-0126-SM-7RHGG 50-59 years, male 8.6
GTEX-1IDJH-0126-SM-D3L92 70-79 years, male 8.5
GTEX-11DYG-1526-SM-5A5JS 60-69 years, male 8.4
GTEX-13NYS-0626-SM-5L3F1 60-69 years, male 8.4
GTEX-15EU6-2226-SM-6EU2L 50-59 years, male 8.4
GTEX-1JJ6O-2726-SM-CNPOG 60-69 years, male 8.4
GTEX-1PPH7-1126-SM-DTX9A 40-49 years, male 8.4
GTEX-13N2G-0226-SM-5K7VF 60-69 years, male 8.3
GTEX-13OW8-1026-SM-5J1NQ 60-69 years, male 8.3
GTEX-16NPX-0726-SM-7KULC 50-59 years, male 8.3
GTEX-ZU9S-1826-SM-5NQ9E 30-39 years, male 8.3
GTEX-1F5PL-0926-SM-7PC2W 40-49 years, female 8.3
GTEX-1H1DG-2426-SM-9QEHJ 70-79 years, male 8.3
GTEX-1LG7Y-2526-SM-EWRO7 50-59 years, male 8.3
GTEX-1AMEY-0826-SM-72D65 30-39 years, female 8.2
GTEX-1LVAM-0726-SM-E6CIL 50-59 years, female 8.2
GTEX-11DZ1-2426-SM-5GZZX 50-59 years, male 8.1
GTEX-12WSA-0426-SM-5EQ5X 60-69 years, male 8.1
GTEX-ZYFD-0626-SM-5E44E 50-59 years, male 8.1
GTEX-1I1GP-1326-SM-A9G28 50-59 years, male 8.1
GTEX-1IY9M-2826-SM-ARU8H 60-69 years, male 8.1
GTEX-13OVG-1626-SM-5J1NF 60-69 years, male 8.0
GTEX-17MF6-2626-SM-79OKQ 40-49 years, male 8.0
GTEX-18A67-1626-SM-7LT9T 50-59 years, male 8.0
GTEX-1IDFM-0326-SM-ARL7V 60-69 years, male 7.9
GTEX-11O72-0626-SM-5PNYE 40-49 years, male 7.8
GTEX-13YAN-0226-SM-5TDC6 60-69 years, male 7.8
GTEX-1477Z-0326-SM-7IGLA 60-69 years, male 7.8
GTEX-14AS3-1526-SM-5Q5ED 40-49 years, female 7.8
GTEX-15CHC-1126-SM-6LLHQ 60-69 years, female 7.8
GTEX-1B933-2426-SM-7DHMD 50-59 years, female 7.8
GTEX-WRHU-2826-SM-3MJG8 50-59 years, female 7.8
GTEX-YECK-0326-SM-4W1YS 60-69 years, male 7.8
GTEX-14PHX-2226-SM-6EU2P 50-59 years, male 7.7
GTEX-ZE7O-2726-SM-51MT5 50-59 years, female 7.7
GTEX-1A8FM-0626-SM-7PC25 50-59 years, female 7.7
GTEX-1JN6P-2926-SM-CL54D 60-69 years, male 7.7
GTEX-18A7A-0126-SM-731AH 50-59 years, female 7.6
GTEX-13D11-0926-SM-5J2NC 50-59 years, female 7.5
GTEX-13SLX-2226-SM-62LEP 50-59 years, female 7.5
GTEX-YFCO-1226-SM-5LUAT 40-49 years, male 7.5
GTEX-Z93S-1626-SM-5CVMB 50-59 years, male 7.5
GTEX-11P82-1426-SM-DTXFY 20-29 years, male 7.5
GTEX-1C475-1326-SM-7SB73 40-49 years, female 7.5
GTEX-1F75A-0726-SM-7RHHD 50-59 years, male 7.5
GTEX-14A5H-0826-SM-5QGPJ 60-69 years, male 7.4
GTEX-14LZ3-0126-SM-69LPM 60-69 years, female 7.4
GTEX-15CHQ-0326-SM-69LQD 60-69 years, male 7.4
GTEX-ZDTS-0826-SM-4WKHL 60-69 years, male 7.4
GTEX-1F6IF-0926-SM-7SB7M 60-69 years, male 7.4
GTEX-1I1GS-2626-SM-B2LY3 60-69 years, male 7.4
GTEX-1POEN-2326-SM-E9J2L 30-39 years, female 7.4
GTEX-139T8-0626-SM-5KLZX 60-69 years, male 7.3
GTEX-11WQC-1826-SM-5GU59 60-69 years, male 7.2
GTEX-14PHY-1226-SM-5ZZWK 60-69 years, female 7.2
GTEX-1F6I4-2326-SM-7RHGL 60-69 years, male 7.2
GTEX-1IDJD-2326-SM-ACKWX 30-39 years, male 7.2
GTEX-1JKYR-0626-SM-ARL8R 20-29 years, male 7.2
GTEX-1LSVX-2526-SM-DIPEU 60-69 years, male 7.2
GTEX-1E2YA-2126-SM-7MXUO 50-59 years, male 7.1
GTEX-1HBPI-2126-SM-ARL9K 50-59 years, male 7.1
GTEX-1M4P7-0726-SM-E6CJ3 60-69 years, male 7.1
GTEX-13OW7-0426-SM-5K7VK 50-59 years, male 7.0
GTEX-16Z82-2626-SM-7KULU 60-69 years, male 7.0
GTEX-18QFQ-1826-SM-72D52 30-39 years, male 7.0
GTEX-U8XE-0226-SM-4E3J3 30-39 years, male 7.0
GTEX-13PVR-0426-SM-5RQK2 60-69 years, female 6.9
GTEX-13U4I-2226-SM-5LU5H 40-49 years, female 6.9
GTEX-15DDE-2926-SM-6LLJ3 50-59 years, female 6.9
GTEX-1A3MW-0626-SM-731CB 60-69 years, female 6.9
GTEX-ZAK1-0626-SM-5HL8E 50-59 years, female 6.9
GTEX-1F88F-0126-SM-9WYSZ 60-69 years, female 6.9
GTEX-1R9PM-1926-SM-EVR3O 20-29 years, male 6.9
GTEX-Y8LW-1526-SM-5IFHL 50-59 years, female 6.8
GTEX-ZYT6-2326-SM-5GZY3 30-39 years, male 6.8
GTEX-1LVAN-0626-SM-CNPOQ 50-59 years, female 6.8
GTEX-1R9PN-0426-SM-DTXDT 40-49 years, female 6.8
GTEX-1RLM8-2926-SM-E8VON 50-59 years, male 6.8
GTEX-1RMOY-1326-SM-E9TIH 50-59 years, male 6.8
GTEX-11TUW-0626-SM-5LU9M 60-69 years, male 6.7
GTEX-13W3W-0726-SM-5IJDQ 60-69 years, female 6.7
GTEX-15RIE-1926-SM-7KUKJ 60-69 years, male 6.7
GTEX-1AX9J-1326-SM-731BJ 60-69 years, male 6.7
GTEX-Y111-0626-SM-4SOIT 50-59 years, male 6.7
GTEX-1IDJV-0126-SM-COH3Y 60-69 years, male 6.7
GTEX-1211K-1526-SM-5FQU4 60-69 years, female 6.6
GTEX-18465-2826-SM-7LT9J 50-59 years, male 6.6
GTEX-1H4P4-2126-SM-9WYSL 50-59 years, male 6.6
GTEX-1PPGY-1626-SM-EVYBL 60-69 years, male 6.6
GTEX-13N1W-2426-SM-5IJD1 70-79 years, male 6.5
GTEX-14BIN-1126-SM-5RQJZ 50-59 years, female 6.5
GTEX-1GF9W-1426-SM-7PBYM 60-69 years, male 6.5
GTEX-1HFI6-0126-SM-CNPPI 40-49 years, male 6.5
GTEX-1S831-1826-SM-EWROF 20-29 years, male 6.5
GTEX-11DXZ-2026-SM-5987S 50-59 years, male 6.4
GTEX-11OF3-0126-SM-5PNYF 60-69 years, male 6.4
GTEX-11UD2-2526-SM-5CVNU 50-59 years, male 6.4
GTEX-13FTY-2126-SM-5IFFB 40-49 years, female 6.4
GTEX-144GO-2026-SM-5O99P 60-69 years, male 6.4
GTEX-WFON-1926-SM-3LK7L 40-49 years, male 6.4
GTEX-YJ8O-2526-SM-5HL85 40-49 years, female 6.4
GTEX-13OVJ-0826-SM-5J1OK 50-59 years, female 6.3
GTEX-15DYW-2726-SM-6EU2I 60-69 years, female 6.3
GTEX-1B8KE-1126-SM-7EPHI 50-59 years, male 6.3
GTEX-V1D1-2026-SM-3GAF4 50-59 years, male 6.3
GTEX-ZYFC-0426-SM-5GICQ 50-59 years, male 6.3
GTEX-ZZ64-1026-SM-5GZXG 20-29 years, male 6.3
GTEX-14JG6-1426-SM-9WG7C 30-39 years, female 6.3
GTEX-1GMR8-0626-SM-7RHI7 50-59 years, female 6.3
GTEX-1H1DF-1126-SM-9WG7G 40-49 years, female 6.3
GTEX-1HT8W-0626-SM-A9G2H 30-39 years, male 6.3
GTEX-13G51-1826-SM-5KLZH 60-69 years, male 6.2
GTEX-XAJ8-1426-SM-47JYM 40-49 years, male 6.2
GTEX-1GN1W-2426-SM-9KNUU 50-59 years, female 6.2
GTEX-1269C-0126-SM-5EQ5L 60-69 years, female 6.1
GTEX-1399R-1326-SM-5PNYS 30-39 years, male 6.1
GTEX-14ABY-2026-SM-62LDL 50-59 years, male 6.1
GTEX-16AAH-0626-SM-793C9 50-59 years, male 6.1
GTEX-1GF9X-1326-SM-7PC2Y 40-49 years, female 6.1
GTEX-X585-2426-SM-46MW2 50-59 years, male 6.0
GTEX-ZVT4-2426-SM-5GIEI 50-59 years, female 6.0
GTEX-1MJK3-0726-SM-E6CJC 20-29 years, male 6.0
GTEX-1RAZQ-1326-SM-E9TK6 30-39 years, male 6.0
GTEX-1S5ZU-2526-SM-E6CIF 20-29 years, female 6.0
GTEX-13OW6-2726-SM-5J2OE 50-59 years, male 5.9
GTEX-15D1Q-2826-SM-6LLH7 40-49 years, male 5.9
GTEX-ZTSS-1426-SM-5985P 40-49 years, male 5.9
GTEX-1F48J-0726-SM-7RHGS 50-59 years, female 5.9
GTEX-1J1R8-2026-SM-CL53Y 40-49 years, male 5.9
GTEX-1S83E-1326-SM-E6CJM 40-49 years, male 5.9
GTEX-12WSK-2126-SM-5CVNC 40-49 years, female 5.8
GTEX-13NYB-0126-SM-5J1MD 40-49 years, male 5.8
GTEX-14753-0726-SM-5QGQO 60-69 years, male 5.8
GTEX-XYKS-1426-SM-4BRUO 60-69 years, female 5.8
GTEX-1LKK1-2626-SM-DKPQE 50-59 years, female 5.8
GTEX-1LSNL-2726-SM-E9TKJ 50-59 years, male 5.8
GTEX-147F3-1726-SM-5SIAW 50-59 years, female 5.7
GTEX-14PJ6-2626-SM-6EU2T 60-69 years, female 5.7
GTEX-X4EO-2926-SM-4E3JH 60-69 years, female 5.7
GTEX-ZPU1-1126-SM-4YCF3 40-49 years, male 5.7
GTEX-1C64N-2626-SM-7PC2N 50-59 years, male 5.7
GTEX-1H2FU-0926-SM-9WPPT 60-69 years, female 5.7
GTEX-1HSKV-1226-SM-ADEI4 60-69 years, male 5.7
GTEX-1B8KZ-0326-SM-73KY4 50-59 years, male 5.6
GTEX-ZYVF-0926-SM-5E44J 50-59 years, female 5.6
GTEX-1I1CD-0626-SM-CE6SW 60-69 years, female 5.6
GTEX-14PKV-1126-SM-6LLJ1 20-29 years, female 5.5
GTEX-17F97-2626-SM-7IGM5 50-59 years, male 5.5
GTEX-1HC8U-1326-SM-9YFMJ 40-49 years, female 5.5
GTEX-ZF3C-0626-SM-DO92O 50-59 years, female 5.5
GTEX-145MH-2826-SM-5RQJF 50-59 years, male 5.4
GTEX-WYBS-0626-SM-3NMAS 60-69 years, female 5.4
GTEX-139YR-1026-SM-5LZYN 50-59 years, male 5.3
GTEX-13X6J-0626-SM-5LU5F 50-59 years, male 5.3
GTEX-145MN-1526-SM-5SI9T 30-39 years, male 5.3
GTEX-XPVG-2126-SM-4B667 50-59 years, male 5.3
GTEX-144GL-0626-SM-5LU4D 50-59 years, male 5.2
GTEX-1B8SF-0126-SM-7DUG3 60-69 years, male 5.2
GTEX-1GL5R-1326-SM-7RHHF 50-59 years, male 5.2
GTEX-1GMR3-0126-SM-A9SLW 40-49 years, male 5.2
GTEX-1ICLZ-0326-SM-ARL82 60-69 years, male 5.2
GTEX-1JMQI-1726-SM-ARL93 50-59 years, male 5.2
GTEX-1LVA9-2626-SM-EVYD4 50-59 years, male 5.2
GTEX-XBEC-0726-SM-4QARZ 50-59 years, male 5.1
GTEX-1B8L1-2226-SM-7P8PT 60-69 years, male 5.1
GTEX-1GPI7-1826-SM-9KNU1 20-29 years, male 5.1
GTEX-1H23P-0626-SM-9WG6T 60-69 years, male 5.1
GTEX-1HUB1-1426-SM-CGQF5 60-69 years, male 5.1
GTEX-1IOXB-2726-SM-CM2RI 50-59 years, male 5.1
GTEX-1LGRB-0926-SM-COH3K 50-59 years, female 5.1
GTEX-11DXX-2126-SM-5PNYR 60-69 years, female 5.0
GTEX-11WQK-1026-SM-5EQLX 50-59 years, male 5.0
GTEX-13113-1626-SM-5EQ4I 60-69 years, female 5.0
GTEX-145ME-1726-SM-5Q5EU 40-49 years, female 5.0
GTEX-15EO6-2426-SM-6PALZ 50-59 years, male 5.0
GTEX-1C6WA-2626-SM-7MKGM 60-69 years, male 5.0
GTEX-Y3IK-1626-SM-4YCF5 50-59 years, female 5.0
GTEX-13NYC-0126-SM-5L3F4 60-69 years, male 4.9
GTEX-14A6H-2026-SM-5Q5DD 30-39 years, male 4.9
GTEX-14PK6-0226-SM-62LF5 70-79 years, female 4.9
GTEX-1EU9M-1426-SM-793AI 60-69 years, male 4.9
GTEX-1HFI7-2326-SM-CGQFS 50-59 years, female 4.9
GTEX-1JJE9-2626-SM-ARZMT 70-79 years, male 4.9
GTEX-1LVAO-2726-SM-E9TJ8 60-69 years, male 4.9
GTEX-12WSH-1526-SM-5BC5W 50-59 years, male 4.8
GTEX-1399U-1126-SM-5L3DB 50-59 years, female 4.8
GTEX-13O3O-2326-SM-5IJD6 60-69 years, female 4.8
GTEX-13X6H-0926-SM-5SIB2 50-59 years, female 4.8
GTEX-X3Y1-2026-SM-3P5YM 40-49 years, male 4.8
GTEX-1GF9V-0826-SM-9KNUV 60-69 years, male 4.8
GTEX-1GN2E-0226-SM-9WG6K 60-69 years, male 4.8
GTEX-1HCU7-0726-SM-A9SL1 50-59 years, male 4.8
GTEX-1JMQK-1226-SM-D4P2S 60-69 years, male 4.8
GTEX-131XG-0326-SM-5L3DX 50-59 years, female 4.7
GTEX-13OW5-2326-SM-5L3HO 60-69 years, male 4.7
GTEX-13QJC-0126-SM-5ZZWJ 60-69 years, female 4.7
GTEX-17HGU-2326-SM-7DUFE 50-59 years, male 4.7
GTEX-1EWIQ-0326-SM-7DHMQ 70-79 years, female 4.7
GTEX-ZC5H-1526-SM-5HL9Y 40-49 years, female 4.7
GTEX-1HBPN-0126-SM-CGQEF 50-59 years, male 4.7
GTEX-1313W-0626-SM-5EQ4H 50-59 years, female 4.6
GTEX-1AMFI-1326-SM-7939R 50-59 years, female 4.6
GTEX-UPJH-0226-SM-3GADV 50-59 years, male 4.6
GTEX-XUW1-0926-SM-4BONX 50-59 years, female 4.6
GTEX-1HR9M-2226-SM-CNPPY 60-69 years, male 4.6
GTEX-1ICLY-0826-SM-CMKG1 50-59 years, male 4.6
GTEX-1JMQJ-0826-SM-CNPP7 50-59 years, male 4.6
GTEX-1MCC2-1826-SM-DIPEX 30-39 years, female 4.6
GTEX-14ICL-1626-SM-5YYAO 30-39 years, male 4.5
GTEX-14PJ5-1526-SM-6LLIL 60-69 years, female 4.5
GTEX-XQ3S-1426-SM-4BOPR 20-29 years, male 4.5
GTEX-1HGF4-0126-SM-CNPPX 60-69 years, male 4.5
GTEX-1PBJJ-1026-SM-E76OS 30-39 years, male 4.5
GTEX-1R7EU-1626-SM-DTXG3 60-69 years, male 4.5
GTEX-131XF-2626-SM-5EQ6K 60-69 years, male 4.4
GTEX-13FTX-1526-SM-5K7VJ 20-29 years, female 4.4
GTEX-178AV-1726-SM-7KUL8 40-49 years, male 4.4
GTEX-17F9Y-0126-SM-79OKX 70-79 years, female 4.4
GTEX-1BAJH-2426-SM-7IGP8 70-79 years, male 4.4
GTEX-1GN1U-0626-SM-9MQL9 50-59 years, female 4.4
GTEX-1QP28-1126-SM-EVYC4 50-59 years, female 4.4
GTEX-111YS-1526-SM-5GZYW 60-69 years, male 4.3
GTEX-11P81-2226-SM-5PNYI 30-39 years, female 4.3
GTEX-XQ8I-0926-SM-4BOOF 50-59 years, male 4.3
GTEX-ZA64-1026-SM-5HL8R 20-29 years, male 4.3
GTEX-1GN1V-2826-SM-9JGIA 60-69 years, male 4.3
GTEX-133LE-2326-SM-5K7W3 20-29 years, female 4.2
GTEX-1399Q-2326-SM-5KM2X 40-49 years, male 4.2
GTEX-YEC4-1826-SM-4W1YP 40-49 years, male 4.2
GTEX-ZF2S-1626-SM-57WES 50-59 years, female 4.2
GTEX-14PII-0726-SM-6EU2B 60-69 years, male 4.0
GTEX-17HHE-1326-SM-7EWDZ 50-59 years, male 4.0
GTEX-ZP4G-1426-SM-4WWCL 20-29 years, female 4.0
GTEX-1HSMQ-2626-SM-A9SML 50-59 years, male 4.0
GTEX-1MCYP-0526-SM-E9U6Q 20-29 years, female 4.0
GTEX-1N2DV-1526-SM-DTXEP 40-49 years, male 4.0
GTEX-14XAO-1226-SM-6EU1C 60-69 years, female 3.9
GTEX-17KNJ-2126-SM-718AM 50-59 years, male 3.9
GTEX-183WM-0326-SM-72D5V 70-79 years, female 3.9
GTEX-1C2JI-1026-SM-73KY1 50-59 years, male 3.9
GTEX-1CAMR-1326-SM-7PC1F 20-29 years, male 3.9
GTEX-1I1GU-0926-SM-ACKVS 40-49 years, male 3.9
GTEX-1OJC4-2726-SM-E76PJ 50-59 years, female 3.9
GTEX-111VG-1626-SM-5EGIO 60-69 years, male 3.8
GTEX-13X6K-0626-SM-5LU5D 60-69 years, female 3.8
GTEX-1B97I-0626-SM-73KUZ 40-49 years, male 3.8
GTEX-1GMRU-2126-SM-7P8RA 50-59 years, male 3.8
GTEX-1GZHY-0626-SM-9KNVC 50-59 years, female 3.8
GTEX-1PPH8-0126-SM-EWRN8 20-29 years, male 3.8
GTEX-111CU-1126-SM-5EGIM 50-59 years, male 3.7
GTEX-13IVO-0726-SM-5LZYV 70-79 years, male 3.7
GTEX-13PL6-1126-SM-5L3IE 40-49 years, female 3.7
GTEX-13PVQ-0626-SM-5LU47 50-59 years, male 3.7
GTEX-145LU-1926-SM-79OJN 50-59 years, male 3.7
GTEX-1GN73-0726-SM-7P8TJ 60-69 years, male 3.7
GTEX-1H3O1-1326-SM-9MQLD 60-69 years, male 3.7
GTEX-1IKOE-1426-SM-CE6T7 30-39 years, female 3.7
GTEX-1S3DN-2126-SM-E9TIN 50-59 years, male 3.7
GTEX-15RJ7-2126-SM-6PAMD 40-49 years, male 3.6
GTEX-17HG3-2626-SM-7DUF2 30-39 years, female 3.6
GTEX-X5EB-1926-SM-4E3IW 40-49 years, male 3.6
GTEX-1I4MK-0126-SM-CY8G6 50-59 years, female 3.6
GTEX-1JJEA-1826-SM-ARU8P 60-69 years, male 3.6
GTEX-1OJC3-1226-SM-DTXER 20-29 years, male 3.6
GTEX-11VI4-1126-SM-5EQMD 40-49 years, female 3.5
GTEX-1399S-0126-SM-5IJCF 30-39 years, female 3.5
GTEX-16BQI-1326-SM-6M486 30-39 years, female 3.5
GTEX-1CB4F-1026-SM-7DUH1 60-69 years, male 3.5
GTEX-1EH9U-2826-SM-7DUGT 60-69 years, male 3.5
GTEX-Y9LG-1126-SM-4VBQ7 30-39 years, male 3.5
GTEX-1KAFJ-0126-SM-DIPEK 50-59 years, male 3.5
GTEX-1N2EE-0626-SM-E76PW 60-69 years, male 3.5
GTEX-12ZZZ-0726-SM-5GCNZ 60-69 years, male 3.4
GTEX-139UW-0326-SM-5J1ML 60-69 years, male 3.4
GTEX-13JVG-0726-SM-5KM16 60-69 years, male 3.4
GTEX-15RIG-0726-SM-7KUM7 40-49 years, male 3.4
GTEX-15SKB-2826-SM-6PAMH 60-69 years, male 3.4
GTEX-1EN7A-2426-SM-793DB 40-49 years, male 3.4
GTEX-WXYG-2026-SM-4E3IY 50-59 years, female 3.4
GTEX-1I1GV-0626-SM-ARL7M 60-69 years, male 3.4
GTEX-1117F-2926-SM-5GZYI 60-69 years, female 3.3
GTEX-13FHO-0426-SM-5L3F5 60-69 years, male 3.3
GTEX-13O61-1426-SM-5KM3D 60-69 years, male 3.3
GTEX-13SLW-0626-SM-5Q5ER 70-79 years, male 3.3
GTEX-15ER7-0626-SM-6PANF 20-29 years, female 3.3
GTEX-WYVS-1626-SM-3NM9R 40-49 years, female 3.3
GTEX-Y5V5-0126-SM-5S2NW 60-69 years, female 3.3
GTEX-ZYY3-2926-SM-5GIEB 60-69 years, female 3.3
GTEX-ZZPU-0826-SM-5GZX5 50-59 years, female 3.3
GTEX-1J1OQ-0126-SM-D4P2N 40-49 years, female 3.3
GTEX-13O3Q-0126-SM-5KM34 50-59 years, male 3.2
GTEX-1F5PK-2226-SM-7SB6N 50-59 years, male 3.2
GTEX-1IE54-1126-SM-A9G2Z 40-49 years, female 3.2
GTEX-1J8EW-2726-SM-CY8HR 60-69 years, female 3.2
GTEX-1PIIG-2326-SM-DTXFR 30-39 years, male 3.2
GTEX-14C39-1726-SM-5RQIL 40-49 years, male 3.1
GTEX-ZPCL-1126-SM-4WWFE 60-69 years, female 3.1
GTEX-ZTX8-1326-SM-4YCEL 20-29 years, male 3.1
GTEX-1H1DE-1326-SM-9KNUG 20-29 years, male 3.1
GTEX-1IKJJ-2226-SM-CJI4C 60-69 years, male 3.1
GTEX-ZGAY-1826-SM-DO91Q 40-49 years, female 3.1
GTEX-11PRG-0726-SM-5EGL1 50-59 years, male 3.0
GTEX-WI4N-2726-SM-3LK7Y 40-49 years, female 3.0
GTEX-Y114-2126-SM-4TT8B 50-59 years, female 3.0
GTEX-1PDJ9-1226-SM-EXUSX 20-29 years, male 3.0
GTEX-144GM-0526-SM-79OJO 20-29 years, male 2.9
GTEX-145MI-0626-SM-5SI8S 60-69 years, female 2.9
GTEX-1A8G7-1326-SM-73KVM 60-69 years, male 2.9
GTEX-11ZTT-2126-SM-5CVLO 60-69 years, female 2.8
GTEX-13VXU-0626-SM-5L3F9 50-59 years, male 2.8
GTEX-147JS-0226-SM-5S2U9 60-69 years, male 2.8
GTEX-14B4R-1326-SM-5Q5EZ 30-39 years, male 2.8
GTEX-14PJN-1826-SM-6AJ98 30-39 years, male 2.8
GTEX-15CHR-1126-SM-7EWF4 50-59 years, male 2.8
GTEX-1A8G6-2726-SM-731AR 60-69 years, male 2.8
GTEX-ZLFU-1826-SM-4WWBV 40-49 years, male 2.8
GTEX-ZT9X-1526-SM-5DUXD 40-49 years, male 2.8
GTEX-1CB4J-1326-SM-7P8RX 60-69 years, male 2.8
GTEX-1I1GT-1026-SM-ARZLV 60-69 years, female 2.8
GTEX-1LB8K-0726-SM-D5OV2 50-59 years, male 2.8
GTEX-11LCK-2226-SM-5HL4Q 30-39 years, male 2.7
GTEX-139D8-1126-SM-5LU8W 30-39 years, female 2.7
GTEX-ZVZP-1226-SM-5GID7 50-59 years, male 2.7
GTEX-1EMGI-2326-SM-7PBYA 60-69 years, male 2.7
GTEX-1NV5F-0626-SM-DTXEG 60-69 years, female 2.7
GTEX-13FTW-0326-SM-5K7UW 40-49 years, male 2.6
GTEX-1CB4E-0926-SM-7EPHT 60-69 years, male 2.6
GTEX-XV7Q-1826-SM-4BRUV 40-49 years, female 2.6
GTEX-1JN76-0626-SM-CKZOQ 20-29 years, female 2.6
GTEX-1KXAM-1626-SM-D3LAD 60-69 years, male 2.6
GTEX-13OVK-1426-SM-6PAN7 40-49 years, male 2.5
GTEX-14C38-0726-SM-5SI6M 50-59 years, male 2.5
GTEX-14C5O-0326-SM-5ZZUX 60-69 years, male 2.5
GTEX-XBEW-1126-SM-4QARW 40-49 years, male 2.5
GTEX-ZF29-0926-SM-4WKFZ 60-69 years, female 2.5
GTEX-1CAMS-2226-SM-7PBXQ 40-49 years, female 2.5
GTEX-1HBPM-0726-SM-9YFL7 60-69 years, female 2.5
GTEX-1I1HK-2326-SM-CKZOH 60-69 years, male 2.5
GTEX-1JMPY-0226-SM-CKZOK 30-39 years, male 2.5
GTEX-1K2DU-1226-SM-CYPT4 20-29 years, male 2.5
GTEX-1S82U-1026-SM-E6CJK 30-39 years, female 2.5
GTEX-11GS4-0226-SM-5HL77 60-69 years, male 2.4
GTEX-13PDP-0726-SM-5L3HP 60-69 years, male 2.4
GTEX-11ZU8-0126-SM-5EQ58 60-69 years, male 2.3
GTEX-1AX9I-2226-SM-73KUO 60-69 years, male 2.3
GTEX-1EKGG-0626-SM-7DUGJ 60-69 years, male 2.3
GTEX-1H11D-1826-SM-9QEHM 40-49 years, male 2.3
GTEX-1JMQL-2226-SM-CNPP4 50-59 years, female 2.3
GTEX-1QPFJ-1926-SM-EVYBD 30-39 years, female 2.3
GTEX-ZLV1-1526-SM-DO91J 60-69 years, female 2.3
GTEX-14PJ4-0226-SM-5YY92 60-69 years, male 2.2
GTEX-WFG7-2026-SM-5SI7P 20-29 years, male 2.2
GTEX-Y3I4-1726-SM-4TT89 50-59 years, male 2.2
GTEX-1IDJI-0126-SM-CMKHS 50-59 years, female 2.2
GTEX-1QAET-0326-SM-EVR3U 50-59 years, male 2.2
GTEX-16MTA-0926-SM-6M47Z 50-59 years, male 2.1
GTEX-17F98-1326-SM-7DUEP 40-49 years, female 2.1
GTEX-ZY6K-1426-SM-5GZX2 50-59 years, male 2.1
GTEX-1GPI6-1926-SM-9KNV7 60-69 years, male 2.1
GTEX-1H3VE-0726-SM-9YFL5 40-49 years, male 2.1
GTEX-1GZ4H-0526-SM-9KNU9 50-59 years, female 2.0
GTEX-16MT9-0126-SM-7EPI8 60-69 years, female 1.9
GTEX-17EVP-2626-SM-7IGMA 40-49 years, male 1.9
GTEX-1CB4H-1126-SM-7MKGL 60-69 years, female 1.9
GTEX-1R46S-2426-SM-E76QA 60-69 years, female 1.9
GTEX-13QBU-1226-SM-5LU4G 40-49 years, female 1.8
GTEX-14PKU-0126-SM-6LLHV 40-49 years, female 1.8
GTEX-1C6VR-0126-SM-7RHGB 60-69 years, male 1.8
GTEX-1JK1U-0226-SM-ARZMX 60-69 years, male 1.8
GTEX-144FL-0626-SM-5LU43 50-59 years, male 1.7
GTEX-ZAB4-2126-SM-5HL8U 40-49 years, male 1.7
GTEX-1J8Q3-0526-SM-ARL8U 60-69 years, male 1.6
GTEX-1J8QM-2426-SM-A9SLS 60-69 years, female 1.6
GTEX-1QP2A-1726-SM-E76QC 50-59 years, male 1.6
GTEX-1HKZK-0726-SM-ACKW2 40-49 years, male 1.5
GTEX-1C6VQ-1226-SM-73KYD 50-59 years, male 1.4
GTEX-W5X1-2526-SM-3GILC 40-49 years, female 1.4
GTEX-12WSJ-1126-SM-5LZVJ 40-49 years, female 1.3
GTEX-1JMOU-1026-SM-CYPSS 60-69 years, female 1.3
GTEX-1QP29-1826-SM-DTX9S 50-59 years, male 1.3
GTEX-ZPIC-0526-SM-DO91W 40-49 years, female 1.3
GTEX-13VXT-1926-SM-5K7UO 20-29 years, female 1.2
GTEX-14PJ3-1126-SM-5ZZVX 50-59 years, male 1.2
GTEX-1122O-1026-SM-9WYSF 60-69 years, female 1.2
GTEX-1HCU8-2526-SM-CE6RX 60-69 years, female 1.2
GTEX-1AYD5-2626-SM-7PBXY 50-59 years, male 1.1
GTEX-WHSB-1326-SM-3LK6W 50-59 years, male 1.0
GTEX-15FZZ-0526-SM-7KUGD 30-39 years, female 0.9
GTEX-17HII-1426-SM-7EPGG 50-59 years, male 0.9
GTEX-1EX96-1026-SM-7MKG2 50-59 years, male 0.9
GTEX-14E6E-0526-SM-793DN 30-39 years, male 0.8
GTEX-ZVT2-0126-SM-5GIDQ 50-59 years, female 0.7
GTEX-1HCUA-0826-SM-ADEHM 50-59 years, female 0.2
Show allShow less
Skin - Sun Exposed (Lower leg)
Average nTPM: 8.5
Samples: 701

Max nTPM: 46.4
Min nTPM: 0.7
Std nTPM: 5.3
Median nTPM: 7.4
GTEX-1F75I-0326-SM-9YFLU 40-49 years, male 46.4
GTEX-1R9PO-2126-SM-E9J4O 60-69 years, female 41.1
GTEX-1GPI6-0126-SM-9WG69 60-69 years, male 34.3
GTEX-1QW4Y-1526-SM-EAZ3Z 30-39 years, male 31.2
GTEX-1AX8Z-0126-SM-7DHM6 60-69 years, male 30.3
GTEX-11ZUS-0626-SM-59885 30-39 years, male 28.9
GTEX-1PBJI-0526-SM-E8VNK 20-29 years, female 28.7
GTEX-1NHNU-1026-SM-E9J2A 50-59 years, male 27.5
GTEX-131XF-5016-SM-7MGWE 60-69 years, male 26.9
GTEX-X4XY-0226-SM-4E3IZ 60-69 years, male 25.7
GTEX-15SB6-1726-SM-6PAME 50-59 years, female 24.6
GTEX-1F75A-0126-SM-7RHGM 50-59 years, male 24.5
GTEX-17HHE-2026-SM-79OKF 50-59 years, male 24.4
GTEX-1AMEY-1326-SM-73KYK 30-39 years, female 23.6
GTEX-14JIY-0126-SM-6LLH6 60-69 years, male 23.4
GTEX-1QP2A-0126-SM-E9J43 50-59 years, male 23.2
GTEX-12WSD-0126-SM-59HKN 60-69 years, female 22.8
GTEX-1B996-0226-SM-7RHGO 60-69 years, male 22.3
GTEX-1I1GP-2226-SM-CGQFK 50-59 years, male 21.8
GTEX-1IKK5-0626-SM-ARL8A 60-69 years, male 21.7
GTEX-1ICLY-0126-SM-D4P36 50-59 years, male 21.5
GTEX-14ICK-0226-SM-6EU25 40-49 years, male 21.4
GTEX-1H1CY-2826-SM-9MQM3 60-69 years, female 20.9
GTEX-14E6C-0126-SM-5RQIP 40-49 years, male 20.8
GTEX-U4B1-1826-SM-4DXSU 40-49 years, male 19.2
GTEX-ZE9C-2726-SM-57WB5 60-69 years, male 18.9
GTEX-18465-0126-SM-731BN 50-59 years, male 18.8
GTEX-VJWN-0126-SM-3GIK7 50-59 years, female 18.8
GTEX-146FH-0126-SM-5QGPP 50-59 years, female 18.7
GTEX-145LU-0126-SM-5TDCB 50-59 years, male 18.4
GTEX-15EU6-0426-SM-6PAN5 50-59 years, male 17.9
GTEX-OHPM-0126-SM-2YUN9 50-59 years, male 17.9
GTEX-13RTK-1426-SM-5QGQJ 20-29 years, male 17.6
GTEX-1RLM8-2326-SM-EWRN4 50-59 years, male 17.6
GTEX-11ZTT-2426-SM-5EQLS 60-69 years, female 17.5
GTEX-1PPH7-2326-SM-EVYB8 40-49 years, male 17.5
GTEX-139T4-0226-SM-5HL5S 50-59 years, female 17.3
GTEX-1GPI7-0126-SM-9MQL8 20-29 years, male 17.2
GTEX-139T8-0126-SM-5K7XZ 60-69 years, male 16.9
GTEX-12WSN-5019-SM-79OM6 40-49 years, male 16.8
GTEX-15D1Q-0126-SM-7KUG6 40-49 years, male 16.8
GTEX-1I1GU-2226-SM-CGQFA 40-49 years, male 16.8
GTEX-1H23P-0126-SM-ADEJ3 60-69 years, male 16.6
GTEX-11UD1-0126-SM-5PNYG 40-49 years, female 16.5
GTEX-13NYS-0126-SM-5MR3W 60-69 years, male 16.4
GTEX-13W3W-2426-SM-5LU5B 60-69 years, female 16.3
GTEX-1AMFI-2026-SM-731BH 50-59 years, female 16.3
GTEX-183FY-0126-SM-7LT9P 20-29 years, male 16.2
GTEX-1C2JI-1826-SM-73KXC 50-59 years, male 16.1
GTEX-1IDJF-0126-SM-CM2RS 20-29 years, male 15.9
GTEX-1497J-2426-SM-7IGNX 60-69 years, male 15.8
GTEX-1HSMP-0126-SM-E6CJS 70-79 years, male 15.6
GTEX-1AX9K-2326-SM-73KWU 50-59 years, male 15.5
GTEX-1HBPH-0426-SM-B2LW5 40-49 years, female 15.5
GTEX-11WQC-2526-SM-5CVLE 60-69 years, male 15.4
GTEX-14PN3-2426-SM-6LLHS 60-69 years, female 15.4
GTEX-1IGQW-0126-SM-COH42 60-69 years, male 15.4
GTEX-1LG7Y-0526-SM-DKPQC 50-59 years, male 15.4
GTEX-14E7W-0126-SM-6LLJ9 70-79 years, male 15.2
GTEX-1AX9I-0126-SM-7SB74 60-69 years, male 15.2
GTEX-13O3Q-2426-SM-5IJBR 50-59 years, male 15.0
GTEX-QEG4-0226-SM-2S1PY 30-39 years, male 14.9
GTEX-13FH7-2026-SM-E9J4I 50-59 years, female 14.9
GTEX-1F75B-0126-SM-9KNVL 50-59 years, male 14.8
GTEX-1C64O-0126-SM-7SB8P 60-69 years, male 14.7
GTEX-1H3VY-0126-SM-ACKXD 50-59 years, male 14.6
GTEX-131XW-0426-SM-5LZWP 50-59 years, female 14.5
GTEX-13113-5016-SM-7EPIP 60-69 years, female 14.4
GTEX-18D9B-0526-SM-7LTAS 60-69 years, male 14.4
GTEX-1IDFM-0126-SM-COH2V 60-69 years, male 14.4
GTEX-1JKYN-1326-SM-CGQG9 30-39 years, male 14.4
GTEX-1MA7X-2226-SM-E6CIY 60-69 years, male 14.4
GTEX-13O1R-0126-SM-5L3EH 60-69 years, male 14.2
GTEX-14A5I-0126-SM-5TDEA 50-59 years, female 14.2
GTEX-17F96-1626-SM-7DUFL 70-79 years, male 14.2
GTEX-WVJS-0126-SM-4MVOT 50-59 years, male 14.2
GTEX-117YX-2326-SM-5H12W 50-59 years, male 14.1
GTEX-1QP67-1626-SM-EAZ3X 40-49 years, female 14.1
GTEX-1RAZQ-0726-SM-EAZ43 30-39 years, male 14.1
GTEX-1C4CL-0526-SM-73KVK 30-39 years, male 14.0
GTEX-O5YW-0126-SM-3LK6D 50-59 years, male 14.0
GTEX-QDVN-2026-SM-3GAEP 50-59 years, male 14.0
GTEX-XQ8I-0426-SM-4BOPO 50-59 years, male 13.8
GTEX-ZDTS-0126-SM-4WAY5 60-69 years, male 13.8
GTEX-ZQUD-1426-SM-57WER 30-39 years, male 13.8
GTEX-1I19N-0326-SM-ACKVX 70-79 years, male 13.8
GTEX-14BIL-0126-SM-5SI92 50-59 years, male 13.7
GTEX-1H3O1-0426-SM-9YFKY 60-69 years, male 13.6
GTEX-11OF3-2626-SM-5GU7F 60-69 years, male 13.5
GTEX-P4PQ-0126-SM-2S1NM 60-69 years, male 13.5
GTEX-1CAV2-2226-SM-7P8P2 40-49 years, female 13.5
GTEX-1GN1V-0126-SM-9WPOS 60-69 years, male 13.5
GTEX-1HSMO-0126-SM-CL547 60-69 years, male 13.5
GTEX-1HSMQ-1226-SM-CGQFX 50-59 years, male 13.5
GTEX-15EOM-0126-SM-7KUGG 20-29 years, female 13.4
GTEX-UPJH-0326-SM-3GADU 50-59 years, male 13.4
GTEX-WOFL-0126-SM-3MJG2 60-69 years, male 13.4
GTEX-1J8QM-2126-SM-CYPSJ 60-69 years, female 13.3
GTEX-13FHO-0226-SM-5IFGY 60-69 years, male 13.2
GTEX-14BIM-0226-SM-7IGLD 60-69 years, female 13.2
GTEX-1AYCT-2426-SM-7IGQ3 50-59 years, male 13.2
GTEX-PWO3-1526-SM-48TCM 60-69 years, female 13.2
GTEX-QV44-1926-SM-2S1RF 50-59 years, male 13.2
GTEX-1MCYP-1926-SM-E9J2R 20-29 years, female 13.2
GTEX-PWCY-1826-SM-DHXIZ 20-29 years, female 13.2
GTEX-16XZY-2126-SM-79OK1 70-79 years, male 13.1
GTEX-1J8Q3-1626-SM-CMKGC 60-69 years, male 13.1
GTEX-14DAQ-0126-SM-5S2MQ 60-69 years, female 13.0
GTEX-1LSNM-1926-SM-E6CII 50-59 years, male 13.0
GTEX-117YW-2626-SM-5GZZH 50-59 years, male 12.9
GTEX-1CAMR-1926-SM-7EPI2 20-29 years, male 12.9
GTEX-YB5K-2126-SM-4WWDJ 40-49 years, female 12.9
GTEX-1GN1W-0526-SM-9MQJQ 50-59 years, female 12.9
GTEX-OXRK-0226-SM-3NB2G 50-59 years, female 12.8
GTEX-1IL2V-0126-SM-CM2TX 70-79 years, male 12.8
GTEX-OIZG-0726-SM-33HBL 50-59 years, male 12.6
GTEX-WY7C-2326-SM-3NB2U 50-59 years, male 12.6
GTEX-PW2O-1526-SM-7RHHB 20-29 years, male 12.6
GTEX-1128S-2326-SM-5GZZY 60-69 years, female 12.5
GTEX-13U4I-0126-SM-5LU38 40-49 years, female 12.5
GTEX-1CB4J-0626-SM-7DHMP 60-69 years, male 12.5
GTEX-R55E-0126-SM-2TC5Y 20-29 years, male 12.5
GTEX-V1D1-2226-SM-3NMAX 50-59 years, male 12.5
GTEX-146FR-1326-SM-E9J48 60-69 years, female 12.5
GTEX-1B933-0126-SM-7PC29 50-59 years, female 12.5
GTEX-1IE54-0126-SM-CMKHW 40-49 years, female 12.5
GTEX-13G51-2526-SM-5LZYK 60-69 years, male 12.4
GTEX-WRHK-1426-SM-3MJF9 20-29 years, female 12.4
GTEX-11TUW-2726-SM-E9J4M 60-69 years, male 12.4
GTEX-148VI-1626-SM-5SI6E 60-69 years, female 12.3
GTEX-15SHW-0326-SM-6PAML 60-69 years, male 12.3
GTEX-1N2EF-0226-SM-EYYXB 60-69 years, male 12.3
GTEX-14A5H-0426-SM-5QGQF 60-69 years, male 12.2
GTEX-TMZS-0126-SM-3DB9Q 60-69 years, male 12.2
GTEX-1C6WA-0126-SM-7PC2B 60-69 years, male 12.2
GTEX-RN64-0126-SM-2TC68 50-59 years, male 12.1
GTEX-S7PM-0126-SM-4AD6S 60-69 years, male 12.1
GTEX-1H1E6-1726-SM-ACKVK 30-39 years, male 12.1
GTEX-12WSK-2326-SM-5GCOH 40-49 years, female 12.0
GTEX-14A6H-0126-SM-5QGPK 30-39 years, male 12.0
GTEX-WQUQ-0426-SM-3MJFU 60-69 years, male 11.9
GTEX-1F7RK-0126-SM-7PC2S 20-29 years, female 11.9
GTEX-1HSEH-0126-SM-ACKXN 60-69 years, male 11.9
GTEX-1PIGE-0126-SM-EVYBJ 20-29 years, male 11.9
GTEX-OXRP-0126-SM-3NB32 60-69 years, female 11.8
GTEX-1N2DV-0226-SM-E6CJ6 40-49 years, male 11.8
GTEX-11GS4-2726-SM-5A5LE 60-69 years, male 11.7
GTEX-11TTK-0126-SM-5987B 60-69 years, female 11.7
GTEX-12ZZX-0126-SM-5EGK9 40-49 years, female 11.7
GTEX-13OVI-1426-SM-5L3EY 60-69 years, female 11.7
GTEX-OXRO-0126-SM-2YUN4 60-69 years, female 11.7
GTEX-1F6RS-0126-SM-9MQKZ 60-69 years, female 11.7
GTEX-1J8Q2-0526-SM-CM2RW 60-69 years, male 11.7
GTEX-1RB15-2126-SM-E9TIM 60-69 years, male 11.7
GTEX-113JC-2326-SM-5EQ4E 50-59 years, female 11.6
GTEX-12126-0326-SM-5PNW3 20-29 years, male 11.6
GTEX-Q2AH-1626-SM-3GAF8 40-49 years, male 11.6
GTEX-1H1DE-2126-SM-9WG6R 20-29 years, male 11.6
GTEX-1HFI6-0226-SM-ADEHZ 40-49 years, male 11.6
GTEX-1R7EV-2426-SM-EVYBG 40-49 years, male 11.6
GTEX-14ABY-0226-SM-5TDCQ 50-59 years, male 11.5
GTEX-1A3MX-0126-SM-731BR 60-69 years, male 11.5
GTEX-SUCS-1926-SM-32PM3 70-79 years, male 11.5
GTEX-1JMQI-2226-SM-CM2SD 50-59 years, male 11.5
GTEX-11EM3-2426-SM-59861 20-29 years, female 11.4
GTEX-15UKP-0426-SM-7KUFQ 20-29 years, male 11.4
GTEX-16XZZ-0126-SM-793DV 60-69 years, male 11.4
GTEX-W5X1-3026-SM-EAZAX 40-49 years, female 11.4
GTEX-13N2G-2626-SM-5J1OT 60-69 years, male 11.3
GTEX-ZTPG-0326-SM-5O9AX 20-29 years, female 11.3
GTEX-1QP66-1726-SM-E8VO1 50-59 years, male 11.3
GTEX-144GN-2326-SM-5LU4F 50-59 years, male 11.2
GTEX-U3ZM-1526-SM-3DB9D 40-49 years, male 11.2
GTEX-ZAB5-1826-SM-5HL7C 50-59 years, male 11.2
GTEX-11P81-2326-SM-59875 30-39 years, female 11.1
GTEX-147F4-0226-SM-5QGPW 50-59 years, male 11.1
GTEX-QESD-1426-SM-2S1R9 20-29 years, male 11.1
GTEX-1JN6P-0126-SM-D3L98 60-69 years, male 11.1
GTEX-144FL-0126-SM-5TDC8 50-59 years, male 11.0
GTEX-16AAH-1726-SM-7939C 50-59 years, male 11.0
GTEX-XMD2-0126-SM-4YCDU 60-69 years, female 11.0
GTEX-1J1R8-1726-SM-ARL8M 40-49 years, male 11.0
GTEX-1MCQQ-0826-SM-DLHC2 60-69 years, male 10.9
GTEX-1NV5F-0226-SM-E8VNY 60-69 years, female 10.9
GTEX-11ZVC-2526-SM-5FQTE 50-59 years, female 10.8
GTEX-131YS-0126-SM-5KM1M 60-69 years, female 10.8
GTEX-14DAR-2026-SM-5S2O3 50-59 years, male 10.8
GTEX-15G19-0126-SM-6PANQ 60-69 years, male 10.8
GTEX-17F98-0626-SM-79OMX 40-49 years, female 10.8
GTEX-1B8KZ-2026-SM-7DHMB 50-59 years, male 10.8
GTEX-RU72-0926-SM-2TF6B 50-59 years, female 10.8
GTEX-1K2DA-1826-SM-CGQGT 50-59 years, male 10.8
GTEX-11ZU8-2526-SM-5EQKI 60-69 years, male 10.7
GTEX-14PHW-0126-SM-6LLJI 60-69 years, female 10.7
GTEX-TMMY-0226-SM-33HBA 40-49 years, female 10.7
GTEX-RVPV-0126-SM-EAZAW 60-69 years, male 10.7
GTEX-11OC5-0126-SM-5HL6A 60-69 years, male 10.6
GTEX-QDVJ-1726-SM-2I5FX 50-59 years, male 10.6
GTEX-R55G-2526-SM-2TC6D 40-49 years, female 10.6
GTEX-XBED-2226-SM-47JYQ 60-69 years, male 10.6
GTEX-1KD5A-0226-SM-D5OV3 50-59 years, male 10.6
GTEX-T2YK-0526-SM-32QPJ 50-59 years, male 10.5
GTEX-X62O-0126-SM-4E3JN 50-59 years, male 10.5
GTEX-1F6I4-0126-SM-9MQL2 60-69 years, male 10.5
GTEX-13VXT-0126-SM-5LU4I 20-29 years, female 10.4
GTEX-145MI-0526-SM-5O9A8 60-69 years, female 10.4
GTEX-PVOW-0126-SM-2XCFA 40-49 years, male 10.4
GTEX-S7SE-0126-SM-2XCD5 50-59 years, male 10.4
GTEX-11P7K-2126-SM-5GU7G 30-39 years, male 10.3
GTEX-1GZ2Q-0226-SM-7P8TL 40-49 years, male 10.3
GTEX-1MGNQ-0126-SM-EVYCJ 40-49 years, male 10.3
GTEX-13FTX-1826-SM-5J1NX 20-29 years, female 10.2
GTEX-145MO-0326-SM-5Q5B3 60-69 years, male 10.2
GTEX-QLQ7-1626-SM-2S1R8 60-69 years, male 10.2
GTEX-1ICG6-2526-SM-CGQFZ 70-79 years, female 10.2
GTEX-13OW6-0426-SM-5L3HM 50-59 years, male 10.1
GTEX-OXRL-0126-SM-2YUMP 50-59 years, male 10.1
GTEX-SIU8-0126-SM-2XCDT 50-59 years, male 10.1
GTEX-Y5V6-2426-SM-4VDSB 60-69 years, male 10.1
GTEX-1JKYR-0126-SM-CNPOJ 20-29 years, male 10.1
GTEX-13O21-1426-SM-5K7XI 50-59 years, male 10.0
GTEX-1A3MV-1926-SM-718BT 30-39 years, male 10.0
GTEX-1I1GV-0526-SM-A9G29 60-69 years, male 10.0
GTEX-1I6K6-0126-SM-A9SLE 30-39 years, male 10.0
GTEX-1POEN-0126-SM-EYYXJ 30-39 years, female 10.0
GTEX-1QCLY-0326-SM-E8VOG 30-39 years, male 10.0
GTEX-13IVO-0126-SM-5J1NG 70-79 years, male 9.9
GTEX-13RTJ-2426-SM-5S2Q2 60-69 years, male 9.9
GTEX-16MT8-0426-SM-7KUEY 60-69 years, female 9.9
GTEX-16NPX-0226-SM-79OMT 50-59 years, male 9.9
GTEX-17EUY-0426-SM-793BD 20-29 years, male 9.9
GTEX-Y3I4-2126-SM-4TT7C 50-59 years, male 9.9
GTEX-ZE7O-0126-SM-57WC1 50-59 years, female 9.9
GTEX-131XH-2226-SM-5DUXJ 50-59 years, male 9.8
GTEX-13OW7-0126-SM-5MR3B 50-59 years, male 9.8
GTEX-147GR-0526-SM-5S2MY 60-69 years, male 9.8
GTEX-ZVZP-2426-SM-59HKJ 50-59 years, male 9.8
GTEX-1JMOU-1526-SM-CL54I 60-69 years, female 9.8
GTEX-111VG-2426-SM-5GZXD 60-69 years, male 9.7
GTEX-11DXY-2626-SM-5GIE7 60-69 years, male 9.7
GTEX-13QJ3-0326-SM-5S2RA 50-59 years, male 9.7
GTEX-145LV-2126-SM-5LU8N 50-59 years, male 9.7
GTEX-146FQ-0126-SM-5NQA9 30-39 years, male 9.7
GTEX-U8T8-0126-SM-3DB94 60-69 years, male 9.7
GTEX-17MFQ-1726-SM-793C7 20-29 years, male 9.6
GTEX-18A6Q-0126-SM-731BZ 60-69 years, male 9.6
GTEX-S95S-1226-SM-4GICG 60-69 years, male 9.6
GTEX-1LGRB-2526-SM-CNPPQ 50-59 years, female 9.6
GTEX-12WSA-0226-SM-5BC5V 60-69 years, male 9.5
GTEX-13NYC-0326-SM-E9J4S 60-69 years, male 9.5
GTEX-1CB4F-0426-SM-9KNV4 60-69 years, male 9.5
GTEX-11ZTS-0126-SM-5EQ6M 60-69 years, female 9.4
GTEX-1B8SG-0126-SM-73KZ3 50-59 years, male 9.4
GTEX-ZZ64-1726-SM-5GZYB 20-29 years, male 9.4
GTEX-1CB4G-0226-SM-7PC3O 60-69 years, male 9.4
GTEX-13FTW-2626-SM-5K7WL 40-49 years, male 9.3
GTEX-13W46-0226-SM-5SIAG 50-59 years, male 9.3
GTEX-13X6J-0126-SM-5QGOU 50-59 years, male 9.3
GTEX-WZTO-0126-SM-3NM95 40-49 years, male 9.3
GTEX-Y111-0126-SM-4SOIV 50-59 years, male 9.3
GTEX-18A7A-0226-SM-718BH 50-59 years, female 9.2
GTEX-RM2N-1426-SM-2TF4H 50-59 years, male 9.2
GTEX-1LC47-0326-SM-E9TJP 60-69 years, male 9.2
GTEX-11UD2-0226-SM-5EQKY 50-59 years, male 9.1
GTEX-T5JC-0426-SM-32PLO 20-29 years, male 9.1
GTEX-X4XX-0126-SM-3NMC2 60-69 years, male 9.1
GTEX-1I1CD-0126-SM-CM2TK 60-69 years, female 9.1
GTEX-1QP9N-1426-SM-DTXFL 30-39 years, male 9.1
GTEX-18D9U-0226-SM-718BP 40-49 years, male 9.0
GTEX-XXEK-2226-SM-4BRUM 50-59 years, male 9.0
GTEX-13YAN-0326-SM-5O9DF 60-69 years, male 8.9
GTEX-O5YT-0126-SM-48TBW 20-29 years, male 8.9
GTEX-Y8E4-0626-SM-4WWDL 40-49 years, male 8.9
GTEX-1EU9M-0226-SM-7P8SP 60-69 years, male 8.9
GTEX-1RAZA-0126-SM-E6CI3 20-29 years, male 8.9
GTEX-15DDE-0126-SM-6LPKH 50-59 years, female 8.8
GTEX-Z93T-0126-SM-5HL5N 50-59 years, male 8.8
GTEX-ZYFD-0126-SM-5GIDL 50-59 years, male 8.8
GTEX-1HBPI-1526-SM-C1YQ1 50-59 years, male 8.8
GTEX-1PPH8-0226-SM-E8VND 20-29 years, male 8.8
GTEX-ZU9S-0226-SM-5E441 30-39 years, male 8.7
GTEX-1HKZK-0326-SM-9WYUH 40-49 years, male 8.7
GTEX-1211K-2026-SM-5EQ4Z 60-69 years, female 8.6
GTEX-1399R-2726-SM-5IJBA 30-39 years, male 8.6
GTEX-139D8-0226-SM-5KLZO 30-39 years, female 8.6
GTEX-13X6I-0626-SM-5QGP9 60-69 years, male 8.6
GTEX-14PHX-2326-SM-62LEM 50-59 years, male 8.6
GTEX-OHPL-0126-SM-2HMJ7 60-69 years, female 8.6
GTEX-POMQ-2226-SM-2I5FK 20-29 years, female 8.6
GTEX-1RDX4-0126-SM-E9J4P 50-59 years, female 8.6
GTEX-1IY9M-0126-SM-D3L8S 60-69 years, male 8.5
GTEX-X4EO-0326-SM-3P5YO 60-69 years, female 8.4
GTEX-XQ3S-1526-SM-4BOOC 20-29 years, male 8.4
GTEX-1GL5R-1826-SM-9KNUY 50-59 years, male 8.4
GTEX-1GTWX-0126-SM-9YFLK 60-69 years, male 8.4
GTEX-11NUK-0126-SM-5A5L3 50-59 years, male 8.3
GTEX-ZVT2-2526-SM-51MT1 50-59 years, female 8.3
GTEX-14PK6-1926-SM-6ETZU 70-79 years, female 8.2
GTEX-TML8-1926-SM-32QOS 40-49 years, female 8.2
GTEX-XAJ8-0826-SM-47JY6 40-49 years, male 8.2
GTEX-Y5LM-1926-SM-5RQJH 40-49 years, female 8.2
GTEX-11DXX-2426-SM-5GZZW 60-69 years, female 8.1
GTEX-11DZ1-0126-SM-5985Q 50-59 years, male 8.1
GTEX-17HGU-0226-SM-7DHKV 50-59 years, male 8.1
GTEX-1F88F-2726-SM-7PBZZ 60-69 years, female 8.1
GTEX-1I1GT-0626-SM-CGQER 60-69 years, female 8.1
GTEX-1IDJU-2626-SM-CM2RT 60-69 years, female 8.1
GTEX-1IKOH-0226-SM-COH4E 60-69 years, female 8.1
GTEX-1RQEC-0426-SM-E6CHU 60-69 years, male 8.1
GTEX-139TT-0126-SM-5K7Y5 60-69 years, male 8.0
GTEX-13JUV-2726-SM-5LZZ8 40-49 years, female 8.0
GTEX-14PJM-0226-SM-62LF1 50-59 years, female 8.0
GTEX-TSE9-0126-SM-3DB83 60-69 years, female 8.0
GTEX-W5WG-1826-SM-4KL2Y 50-59 years, female 8.0
GTEX-XYKS-2126-SM-4E3IB 60-69 years, female 8.0
GTEX-1A8FM-0226-SM-7SB7Q 50-59 years, female 8.0
GTEX-1I1GR-0126-SM-CL55F 60-69 years, male 8.0
GTEX-1KANA-0726-SM-D3L9I 20-29 years, male 8.0
GTEX-113IC-0126-SM-5HL6T 60-69 years, male 7.9
GTEX-11NSD-2226-SM-5986V 20-29 years, male 7.9
GTEX-132NY-0326-SM-5IJBL 60-69 years, male 7.9
GTEX-13OVK-2026-SM-7KUEO 40-49 years, male 7.9
GTEX-1B8KE-2126-SM-73KYX 50-59 years, male 7.9
GTEX-12WSG-2826-SM-E9J4H 50-59 years, female 7.9
GTEX-1GN2E-0426-SM-9MQKX 60-69 years, male 7.9
GTEX-1QEPI-0126-SM-EWRMQ 60-69 years, female 7.9
GTEX-1HCUA-2426-SM-ADEIS 50-59 years, female 7.8
GTEX-1I1GS-0126-SM-B2LVW 60-69 years, male 7.8
GTEX-1JMQJ-0526-SM-CYPSU 50-59 years, male 7.8
GTEX-1KANB-0526-SM-E6CJH 50-59 years, male 7.8
GTEX-PLZ6-1426-SM-DKPOT 30-39 years, male 7.8
GTEX-QVJO-1626-SM-2S1QW 60-69 years, female 7.7
GTEX-RUSQ-1526-SM-2TF62 50-59 years, male 7.7
GTEX-1GZ4H-1726-SM-7PBZJ 50-59 years, female 7.7
GTEX-1KWVE-1426-SM-E9TJO 30-39 years, male 7.7
GTEX-1OFPY-2426-SM-DTXEJ 60-69 years, male 7.7
GTEX-18A7B-0126-SM-7LG64 70-79 years, male 7.6
GTEX-1A32A-0126-SM-718B1 50-59 years, female 7.6
GTEX-TKQ1-1026-SM-4GICL 30-39 years, male 7.6
GTEX-U412-0426-SM-3DB9O 60-69 years, male 7.6
GTEX-VUSG-2526-SM-4KL1V 50-59 years, male 7.6
GTEX-1JN1M-0326-SM-CYPT3 60-69 years, female 7.6
GTEX-13OVH-0126-SM-5MR4B 70-79 years, male 7.5
GTEX-1J8JJ-0226-SM-CL53I 60-69 years, female 7.5
GTEX-1S5ZA-0126-SM-EVYCV 20-29 years, male 7.5
GTEX-11TT1-2526-SM-5EGIB 20-29 years, male 7.4
GTEX-15DCD-0126-SM-7KUEK 70-79 years, female 7.4
GTEX-1C6VS-0526-SM-7DUEN 60-69 years, male 7.4
GTEX-Y3IK-2426-SM-4WWDU 50-59 years, female 7.4
GTEX-YEC4-2126-SM-5IFJH 40-49 years, male 7.4
GTEX-ZGAY-0526-SM-4WWBB 40-49 years, female 7.4
GTEX-1HCU9-1526-SM-A9SL7 20-29 years, male 7.4
GTEX-OIZF-0126-SM-7SB8I 60-69 years, male 7.4
GTEX-1314G-1526-SM-5EGK2 30-39 years, male 7.3
GTEX-14PJ3-1826-SM-62LEX 50-59 years, male 7.3
GTEX-15F5U-1526-SM-6PANO 40-49 years, male 7.3
GTEX-1CB4I-0226-SM-79OLH 50-59 years, male 7.3
GTEX-PLZ4-0126-SM-5SI8O 50-59 years, female 7.3
GTEX-QLQW-1126-SM-2S1Q8 30-39 years, male 7.3
GTEX-WXYG-2326-SM-4E3I6 50-59 years, female 7.3
GTEX-1EKGG-0226-SM-9WYTH 60-69 years, male 7.3
GTEX-1F48J-0126-SM-7P8TT 50-59 years, female 7.3
GTEX-12584-0126-SM-5EGKQ 40-49 years, male 7.2
GTEX-131XG-2626-SM-5KM17 50-59 years, female 7.2
GTEX-144GL-0126-SM-5TDE2 50-59 years, male 7.2
GTEX-17HG3-2226-SM-7938L 30-39 years, female 7.2
GTEX-1MUQO-0126-SM-EAZ58 60-69 years, male 7.2
GTEX-12WSE-0526-SM-793B2 20-29 years, male 7.1
GTEX-13FHP-0126-SM-5IJBG 50-59 years, male 7.1
GTEX-13NZA-0226-SM-5K7Z7 60-69 years, male 7.1
GTEX-13OVL-0226-SM-5L3E9 50-59 years, male 7.1
GTEX-17EVQ-0226-SM-7LG4P 70-79 years, male 7.1
GTEX-X261-0126-SM-3NMD6 50-59 years, male 7.1
GTEX-1GN1U-0126-SM-7PBZK 50-59 years, female 7.1
GTEX-1H2FU-0126-SM-9WYSI 60-69 years, female 7.1
GTEX-1HT8W-0126-SM-CNPPP 30-39 years, male 7.1
GTEX-14E6D-0126-SM-62LDV 50-59 years, male 7.0
GTEX-14XAO-2326-SM-6EU1B 60-69 years, female 7.0
GTEX-Z93S-0126-SM-5HL7M 50-59 years, male 7.0
GTEX-1GF9X-2026-SM-7PC3A 40-49 years, female 7.0
GTEX-1IOXB-0126-SM-ARL8G 50-59 years, male 7.0
GTEX-1QP29-0626-SM-EWRMX 50-59 years, male 7.0
GTEX-11LCK-1026-SM-5A5KB 30-39 years, male 6.9
GTEX-12C56-1726-SM-5EQ61 20-29 years, male 6.9
GTEX-1313W-0126-SM-5LZUN 50-59 years, female 6.9
GTEX-13NZ8-0826-SM-5MR3I 60-69 years, female 6.9
GTEX-14LZ3-0226-SM-62LET 60-69 years, female 6.9
GTEX-15CHC-2126-SM-6EU21 60-69 years, female 6.9
GTEX-13D11-2426-SM-5KM1V 50-59 years, female 6.8
GTEX-145LT-1726-SM-5QGP3 40-49 years, male 6.8
GTEX-16GPK-0126-SM-7DHLE 60-69 years, male 6.8
GTEX-1AYD5-2426-SM-73KXR 50-59 years, male 6.8
GTEX-1GMRU-0126-SM-9YFLV 50-59 years, male 6.8
GTEX-12ZZY-0226-SM-5LZVE 60-69 years, male 6.7
GTEX-145MF-0626-SM-5LUAI 50-59 years, male 6.7
GTEX-14C5O-0126-SM-5SI6N 60-69 years, male 6.7
GTEX-15UF6-0826-SM-6PALJ 70-79 years, female 6.7
GTEX-1E1VI-0126-SM-7DHMZ 50-59 years, male 6.7
GTEX-X4EP-0126-SM-3P5YV 60-69 years, female 6.7
GTEX-1LNCM-1126-SM-E9U5E 50-59 years, female 6.7
GTEX-1OJC3-0126-SM-E76QX 20-29 years, male 6.7
GTEX-11XUK-2026-SM-5EQLF 40-49 years, female 6.6
GTEX-12KS4-0326-SM-5EQ41 30-39 years, male 6.6
GTEX-13FXS-0226-SM-5IJCK 50-59 years, male 6.6
GTEX-U8XE-0326-SM-3DB8P 30-39 years, male 6.6
GTEX-X8HC-0126-SM-4E3JW 50-59 years, female 6.6
GTEX-169BO-1326-SM-9MQK2 50-59 years, male 6.6
GTEX-1HBPN-0226-SM-9YFM1 50-59 years, male 6.6
GTEX-1JN76-0126-SM-CNPPE 20-29 years, female 6.6
GTEX-13RTL-0126-SM-7LG5S 40-49 years, male 6.5
GTEX-13SLW-0126-SM-5SI6C 70-79 years, male 6.5
GTEX-14BMU-2226-SM-5TDE9 20-29 years, female 6.5
GTEX-ZVT3-0126-SM-5GU6I 60-69 years, female 6.5
GTEX-1I1GQ-0126-SM-COH3H 50-59 years, male 6.5
GTEX-15SHU-0126-SM-7KUEH 40-49 years, female 6.4
GTEX-18QFQ-0126-SM-731BE 30-39 years, male 6.4
GTEX-T2IS-0126-SM-4DM6O 20-29 years, female 6.4
GTEX-T6MO-1626-SM-32QOM 40-49 years, female 6.4
GTEX-WYJK-0126-SM-3NMAB 50-59 years, male 6.4
GTEX-1C6VQ-0126-SM-7P8RI 50-59 years, male 6.4
GTEX-1EWIQ-0126-SM-7RHH2 70-79 years, female 6.4
GTEX-1I4MK-2226-SM-ACKWD 50-59 years, female 6.4
GTEX-1JMQL-0226-SM-CNPP5 50-59 years, female 6.4
GTEX-1S82Z-0826-SM-E6CHY 30-39 years, female 6.4
GTEX-1192X-0226-SM-5H12D 50-59 years, male 6.3
GTEX-13PVR-2326-SM-5QGR1 60-69 years, female 6.3
GTEX-Q2AG-0126-SM-33HBV 40-49 years, female 6.3
GTEX-WI4N-1026-SM-3LK7N 40-49 years, female 6.3
GTEX-ZYW4-0126-SM-5E44A 60-69 years, male 6.3
GTEX-1B8L1-2526-SM-9WYTF 60-69 years, male 6.3
GTEX-1GF9W-0326-SM-9KNUN 60-69 years, male 6.3
GTEX-1HGF4-2426-SM-ACKXM 60-69 years, male 6.3
GTEX-RNOR-0126-SM-E9J4R 50-59 years, female 6.3
GTEX-ZPIC-1726-SM-DHXIU 40-49 years, female 6.3
GTEX-13FTY-0526-SM-5L3EV 40-49 years, female 6.2
GTEX-13PDP-0126-SM-5L3HD 60-69 years, male 6.2
GTEX-13S7M-0126-SM-5SI6A 60-69 years, female 6.2
GTEX-16NGA-1726-SM-731B4 40-49 years, female 6.2
GTEX-RWS6-2026-SM-2XCB5 60-69 years, female 6.2
GTEX-SSA3-0126-SM-32QPU 60-69 years, male 6.2
GTEX-14LLW-0126-SM-6LLIO 70-79 years, female 6.1
GTEX-14PN4-0126-SM-6EU2V 50-59 years, male 6.1
GTEX-SJXC-0126-SM-2XCFF 60-69 years, male 6.1
GTEX-T8EM-1026-SM-3DB7M 40-49 years, male 6.1
GTEX-VJYA-1126-SM-3GIJU 60-69 years, male 6.1
GTEX-YJ8A-0426-SM-5IFID 20-29 years, male 6.1
GTEX-ZAB4-0226-SM-5N9F5 40-49 years, male 6.1
GTEX-ZAK1-0126-SM-5IJD3 50-59 years, female 6.1
GTEX-1399T-2826-SM-5KLYZ 60-69 years, male 6.0
GTEX-139TS-2826-SM-5J1OO 60-69 years, male 6.0
GTEX-ZC5H-0226-SM-4WAY9 40-49 years, female 6.0
GTEX-1F52S-0126-SM-9MQJU 60-69 years, female 6.0
GTEX-11O72-0126-SM-59887 40-49 years, male 5.9
GTEX-18A66-0226-SM-718BD 60-69 years, male 5.9
GTEX-1EMGI-0126-SM-9KNUE 60-69 years, male 5.9
GTEX-1F5PL-0326-SM-7P8PQ 40-49 years, female 5.9
GTEX-1HSGN-0226-SM-CGQFV 40-49 years, female 5.9
GTEX-1K9T9-0126-SM-EVYCF 50-59 years, female 5.9
GTEX-1S82Y-2026-SM-EVYCM 40-49 years, male 5.9
GTEX-14BIN-0626-SM-793DP 50-59 years, female 5.8
GTEX-15ER7-0326-SM-7KUEV 20-29 years, female 5.8
GTEX-17HHY-0126-SM-7LG5D 50-59 years, male 5.8
GTEX-18D9A-1926-SM-7LG6P 30-39 years, female 5.8
GTEX-U3ZH-2026-SM-3DB78 30-39 years, male 5.8
GTEX-1JMPY-1326-SM-ARL8Y 30-39 years, male 5.8
GTEX-1PDJ9-0326-SM-DTX95 20-29 years, male 5.8
GTEX-13CF3-2426-SM-5IFGX 60-69 years, female 5.7
GTEX-148VJ-0126-SM-5TDDN 70-79 years, male 5.7
GTEX-RTLS-0126-SM-447CA 60-69 years, female 5.7
GTEX-RWSA-0126-SM-2XCBB 40-49 years, male 5.7
GTEX-XPVG-2626-SM-4B669 50-59 years, male 5.7
GTEX-YB5E-2026-SM-5IFIS 40-49 years, male 5.7
GTEX-1CAMS-0426-SM-7P8T2 40-49 years, female 5.7
GTEX-1HCU8-0626-SM-A9SM9 60-69 years, female 5.7
GTEX-1HUB1-0426-SM-E9U4U 60-69 years, male 5.7
GTEX-1I1HK-0126-SM-COH49 60-69 years, male 5.7
GTEX-1ICLZ-0126-SM-CKZPO 60-69 years, male 5.7
GTEX-14753-0426-SM-5NQAM 60-69 years, male 5.6
GTEX-1H3NZ-0126-SM-ACKX7 60-69 years, male 5.6
GTEX-1HBPM-0226-SM-ARL9F 60-69 years, female 5.6
GTEX-1K2DU-2326-SM-E9TIV 20-29 years, male 5.6
GTEX-1KD4Q-0226-SM-E9TJ9 40-49 years, male 5.6
GTEX-1PFEY-1526-SM-E76PP 30-39 years, male 5.6
GTEX-1R7EU-0226-SM-EVR4G 60-69 years, male 5.6
GTEX-ZVT4-0126-SM-DTXFN 50-59 years, female 5.6
GTEX-11EQ9-2426-SM-5HL5T 30-39 years, male 5.5
GTEX-12WSL-2526-SM-5GCNJ 50-59 years, male 5.5
GTEX-12ZZZ-0626-SM-5DUXI 60-69 years, male 5.5
GTEX-13VXU-0126-SM-5SI9F 50-59 years, male 5.5
GTEX-17F97-0326-SM-7LG5B 50-59 years, male 5.5
GTEX-1A3MW-0126-SM-73KXX 60-69 years, female 5.5
GTEX-Q734-1926-SM-2I5EV 40-49 years, female 5.5
GTEX-S32W-2126-SM-2XCB1 50-59 years, female 5.5
GTEX-1EN7A-0126-SM-7SB81 40-49 years, male 5.5
GTEX-1IL2U-0226-SM-CE6T8 60-69 years, male 5.5
GTEX-1JJE9-0326-SM-CL53Z 70-79 years, male 5.5
GTEX-S33H-1026-SM-EZ6L6 30-39 years, male 5.5
GTEX-139TU-0126-SM-5K7WH 60-69 years, male 5.4
GTEX-14BMV-0126-SM-5S2PO 50-59 years, male 5.4
GTEX-15ETS-0126-SM-7KUMW 40-49 years, female 5.4
GTEX-P44H-0226-SM-2XCEU 40-49 years, male 5.4
GTEX-PX3G-0126-SM-2I3EN 20-29 years, female 5.4
GTEX-ZDXO-3026-SM-5J1N5 60-69 years, male 5.4
GTEX-1H1DG-0126-SM-9WYU2 70-79 years, male 5.4
GTEX-14E6E-1826-SM-5S2R7 30-39 years, male 5.3
GTEX-17HII-0226-SM-7LG4E 50-59 years, male 5.3
GTEX-NFK9-0226-SM-2HMKQ 40-49 years, male 5.3
GTEX-X5EB-2226-SM-46MW4 40-49 years, male 5.3
GTEX-YFC4-0126-SM-5CVLY 40-49 years, female 5.3
GTEX-1R46S-0626-SM-E9J41 60-69 years, female 5.3
GTEX-13SLX-0526-SM-5S2ON 50-59 years, female 5.2
GTEX-14JG1-0426-SM-6ETZZ 40-49 years, male 5.2
GTEX-17GQL-2026-SM-718BA 60-69 years, male 5.2
GTEX-17KNJ-2326-SM-7DHLQ 50-59 years, male 5.2
GTEX-SN8G-0126-SM-32PLI 50-59 years, female 5.2
GTEX-XUYS-0126-SM-47JWZ 50-59 years, male 5.2
GTEX-1IKJJ-0126-SM-CNPQB 60-69 years, male 5.2
GTEX-145ME-1826-SM-5SI9G 40-49 years, female 5.1
GTEX-R3RS-0126-SM-3GIJL 40-49 years, female 5.1
GTEX-WFG8-2226-SM-3GIL9 20-29 years, male 5.1
GTEX-ZVE2-0226-SM-59HJB 50-59 years, male 5.1
GTEX-PSDG-0226-SM-DKPOZ 50-59 years, male 5.1
GTEX-11GSO-2426-SM-5A5LY 60-69 years, male 5.0
GTEX-145MN-2226-SM-5SIAU 30-39 years, male 5.0
GTEX-16BQI-0226-SM-7KUEX 30-39 years, female 5.0
GTEX-QCQG-1726-SM-3GIJ9 50-59 years, female 5.0
GTEX-13O3O-0126-SM-E9J49 60-69 years, female 5.0
GTEX-1MJK2-0426-SM-DTXE5 50-59 years, male 5.0
GTEX-111FC-0126-SM-5N9DL 60-69 years, male 4.9
GTEX-147F3-0526-SM-5SI98 50-59 years, female 4.9
GTEX-Q2AI-1326-SM-2S1PL 40-49 years, male 4.9
GTEX-X585-0226-SM-4QAS2 50-59 years, male 4.9
GTEX-Y114-2426-SM-4TT8A 50-59 years, female 4.9
GTEX-1GN73-0226-SM-9WG67 60-69 years, male 4.9
GTEX-1BAJH-0526-SM-793CQ 70-79 years, male 4.8
GTEX-UJHI-1526-SM-3DB99 50-59 years, female 4.8
GTEX-X638-0126-SM-47JZ8 70-79 years, female 4.8
GTEX-Y8DK-0126-SM-4TT3L 60-69 years, male 4.8
GTEX-ZDYS-2026-SM-5HL5L 50-59 years, male 4.8
GTEX-1HCU6-0126-SM-CL54K 60-69 years, female 4.8
GTEX-1KXAM-2226-SM-CYPTC 60-69 years, male 4.8
GTEX-1S3DN-2226-SM-EVYCD 50-59 years, male 4.8
GTEX-13N1W-0126-SM-5K7VT 70-79 years, male 4.7
GTEX-1HCVE-0126-SM-CGQEU 50-59 years, male 4.7
GTEX-1LB8K-0226-SM-EWRNW 50-59 years, male 4.7
GTEX-11GSP-2526-SM-5N9BP 60-69 years, female 4.6
GTEX-11WQK-0526-SM-5EQLD 50-59 years, male 4.6
GTEX-13CF2-2526-SM-5LZYX 60-69 years, male 4.6
GTEX-NPJ8-0126-SM-2YUNR 40-49 years, male 4.6
GTEX-17EVP-0326-SM-7DHLG 40-49 years, male 4.5
GTEX-WYVS-2126-SM-3NMA3 40-49 years, female 4.5
GTEX-1HCU7-0226-SM-CL545 50-59 years, male 4.5
GTEX-1IDJH-0326-SM-A9SLQ 70-79 years, male 4.5
GTEX-1JJ6O-0126-SM-E6CI8 60-69 years, male 4.5
GTEX-1S83E-0126-SM-EWRO4 40-49 years, male 4.5
GTEX-12696-2426-SM-5EQ6H 60-69 years, male 4.4
GTEX-17JCI-0126-SM-7LG5G 60-69 years, female 4.4
GTEX-ZF28-0126-SM-4WKGK 60-69 years, male 4.4
GTEX-OOBJ-0126-SM-E6CJW 60-69 years, male 4.4
GTEX-11H98-0126-SM-5EGHG 50-59 years, male 4.3
GTEX-11P82-1626-SM-59879 20-29 years, male 4.3
GTEX-139UW-2826-SM-5L3E7 60-69 years, male 4.3
GTEX-13NYB-2526-SM-5K7Z6 40-49 years, male 4.3
GTEX-13O3P-0126-SM-5KM4S 50-59 years, male 4.3
GTEX-16YQH-0126-SM-7DUFJ 30-39 years, male 4.3
GTEX-OXRN-0126-SM-48TDM 50-59 years, male 4.3
GTEX-ZZPT-0226-SM-5E43X 50-59 years, male 4.3
GTEX-1F5PK-2426-SM-7RHHY 50-59 years, male 4.3
GTEX-1J8EW-0126-SM-CJI4F 60-69 years, female 4.3
GTEX-1212Z-2526-SM-5EGKP 60-69 years, male 4.2
GTEX-133LE-1826-SM-5J1MV 20-29 years, female 4.2
GTEX-15SDE-2226-SM-7IGLO 50-59 years, female 4.2
GTEX-17MF6-0126-SM-7LG4F 40-49 years, male 4.2
GTEX-1H1ZS-0426-SM-9WG6G 70-79 years, male 4.2
GTEX-1JMPZ-0226-SM-CNPP1 30-39 years, male 4.2
GTEX-1269C-2526-SM-5EGJ3 60-69 years, female 4.1
GTEX-OOBK-0126-SM-2YUND 40-49 years, male 4.1
GTEX-T5JW-1626-SM-3GADZ 20-29 years, female 4.1
GTEX-T6MN-0126-SM-32PLP 50-59 years, male 4.1
GTEX-ZV6S-2326-SM-4YCEY 40-49 years, female 4.1
GTEX-1GZHY-0326-SM-9QEHI 50-59 years, female 4.1
GTEX-1KAFJ-2026-SM-CY8ID 50-59 years, male 4.1
GTEX-13112-2826-SM-5DUWH 50-59 years, male 4.0
GTEX-13X6H-2126-SM-7EWD5 50-59 years, female 4.0
GTEX-XV7Q-2526-SM-4BRV9 40-49 years, female 4.0
GTEX-1GF9U-2126-SM-7SB7L 40-49 years, female 4.0
GTEX-OIZH-0126-SM-2HMIS 50-59 years, male 3.9
GTEX-X88G-0126-SM-47JZ3 30-39 years, male 3.9
GTEX-XUW1-0426-SM-4BOOT 50-59 years, female 3.9
GTEX-1LG7Z-1726-SM-D3LA4 30-39 years, male 3.9
GTEX-1R9PM-2026-SM-E76OY 20-29 years, male 3.9
GTEX-ZQG8-1626-SM-DHXIT 60-69 years, female 3.9
GTEX-11VI4-1726-SM-5CVLH 40-49 years, female 3.8
GTEX-18A67-0126-SM-7LG5P 50-59 years, male 3.8
GTEX-WH7G-2326-SM-3NMBC 40-49 years, male 3.8
GTEX-YJ89-0126-SM-4TT3X 60-69 years, male 3.8
GTEX-ZAJG-0126-SM-5HL94 50-59 years, female 3.8
GTEX-ZF2S-2326-SM-4WWCE 50-59 years, female 3.8
GTEX-1GF9V-0326-SM-7RHI5 60-69 years, male 3.8
GTEX-13N11-2526-SM-5K7UE 50-59 years, female 3.7
GTEX-14JG6-2226-SM-6EU2G 30-39 years, female 3.7
GTEX-15DYW-0126-SM-7KULE 60-69 years, female 3.7
GTEX-P4PP-0126-SM-3LK69 30-39 years, female 3.7
GTEX-ZUA1-0126-SM-5GU76 40-49 years, male 3.7
GTEX-ZYY3-0126-SM-5GZY5 60-69 years, female 3.7
GTEX-1MA7W-2026-SM-E9TJ6 20-29 years, female 3.7
GTEX-1QAET-0926-SM-E76QM 50-59 years, male 3.7
GTEX-PLZ5-2026-SM-2S1O4 50-59 years, male 3.6
GTEX-U3ZN-2326-SM-3DB7W 30-39 years, female 3.6
GTEX-1H11D-0226-SM-9WG6Z 40-49 years, male 3.6
GTEX-ZF29-2326-SM-DO92K 60-69 years, female 3.6
GTEX-ZF3C-0126-SM-DO92D 50-59 years, female 3.6
GTEX-13OW8-1326-SM-5J1OW 60-69 years, male 3.5
GTEX-14PII-0226-SM-6EU1T 60-69 years, male 3.5
GTEX-1C64N-0126-SM-793D7 50-59 years, male 3.5
GTEX-1C6VR-2426-SM-79OLD 60-69 years, male 3.5
GTEX-1CB4H-0226-SM-7PBXM 60-69 years, female 3.5
GTEX-1HSKV-0226-SM-A9SKJ 60-69 years, male 3.5
GTEX-1M4P7-0226-SM-DIPEV 60-69 years, male 3.5
GTEX-11EMC-2926-SM-5EQ4F 60-69 years, female 3.4
GTEX-1E2YA-0126-SM-9KNUC 50-59 years, male 3.4
GTEX-1J1OQ-0226-SM-CYPSH 40-49 years, female 3.4
GTEX-1LH75-2426-SM-E9TJE 50-59 years, female 3.4
GTEX-1M5QR-1226-SM-EWROB 40-49 years, male 3.4
GTEX-1192W-2626-SM-5Q5AF 60-69 years, male 3.3
GTEX-1C475-1826-SM-73KWA 40-49 years, female 3.3
GTEX-ZDTT-2726-SM-4WKF8 60-69 years, male 3.3
GTEX-1KANC-1526-SM-D3LAB 50-59 years, female 3.3
GTEX-1O97I-0326-SM-EYYX7 60-69 years, male 3.3
GTEX-1OJC4-0126-SM-E9J2E 50-59 years, female 3.3
GTEX-117XS-2726-SM-5N9BL 60-69 years, male 3.2
GTEX-1399U-2326-SM-5K7WY 50-59 years, female 3.2
GTEX-Y5V5-2326-SM-4V6GA 60-69 years, female 3.2
GTEX-1HFI7-1826-SM-ACKXH 50-59 years, female 3.2
GTEX-1122O-2126-SM-5EGIR 60-69 years, female 3.1
GTEX-13OVJ-0126-SM-5KM36 50-59 years, female 3.1
GTEX-183WM-0126-SM-7LTAB 70-79 years, female 3.1
GTEX-ZEX8-2426-SM-4WKG4 50-59 years, male 3.1
GTEX-1GMR8-0126-SM-9WYTM 50-59 years, female 3.1
GTEX-1JMQK-0226-SM-CL543 60-69 years, male 3.1
GTEX-1LGOU-2026-SM-DIPFF 20-29 years, female 3.1
GTEX-14PJ6-2126-SM-6EU1V 60-69 years, female 3.0
GTEX-QDT8-0126-SM-48TZ1 30-39 years, female 3.0
GTEX-SNMC-1226-SM-2XCFP 20-29 years, male 3.0
GTEX-1LBAC-0126-SM-DIPEZ 20-29 years, male 3.0
GTEX-1QPFJ-0226-SM-E76PB 30-39 years, female 3.0
GTEX-11DXZ-2326-SM-5EGGV 50-59 years, male 2.9
GTEX-13OVG-1926-SM-5L3DK 60-69 years, male 2.9
GTEX-1B8SF-1426-SM-7DUGL 60-69 years, male 2.9
GTEX-1HR98-0126-SM-B2LWI 60-69 years, male 2.9
GTEX-1JJEA-0326-SM-CNPOT 60-69 years, male 2.9
GTEX-1N2DW-0226-SM-E9TK2 50-59 years, male 2.9
GTEX-11DXW-0226-SM-5H122 40-49 years, male 2.8
GTEX-145LS-0126-SM-5QGP1 60-69 years, female 2.8
GTEX-1JK1U-2026-SM-CM2RZ 60-69 years, male 2.8
GTEX-13NZB-2526-SM-5J1OM 30-39 years, male 2.7
GTEX-1AX9J-0226-SM-73KXM 60-69 years, male 2.7
GTEX-ZYT6-0226-SM-5NQ6T 30-39 years, male 2.7
GTEX-13OW5-0126-SM-DTXFS 60-69 years, male 2.7
GTEX-15RIG-0226-SM-7KFTL 40-49 years, male 2.6
GTEX-ZWKS-0126-SM-5SIAA 30-39 years, male 2.6
GTEX-12WSJ-1826-SM-5GCNY 40-49 years, female 2.5
GTEX-ZVTK-0426-SM-51MRS 20-29 years, male 2.5
GTEX-ZYFG-2326-SM-5E44B 60-69 years, female 2.5
GTEX-XBEW-0626-SM-4QASP 40-49 years, male 2.4
GTEX-1EX96-1626-SM-7PBXR 50-59 years, male 2.4
GTEX-1PIIG-0226-SM-EWRN6 30-39 years, male 2.4
GTEX-ZTX8-1426-SM-5DUVO 20-29 years, male 2.3
GTEX-1L5NE-2526-SM-E6CIE 50-59 years, male 2.3
GTEX-P4QT-0126-SM-2I3FL 50-59 years, female 2.2
GTEX-ZTSS-1926-SM-57WEW 40-49 years, male 2.2
GTEX-1H4P4-0726-SM-9YFLR 50-59 years, male 2.2
GTEX-11DYG-0126-SM-59883 60-69 years, male 2.1
GTEX-1F6IF-0726-SM-7P8TW 60-69 years, male 2.1
GTEX-R45C-0126-SM-EAZ2R 60-69 years, female 2.1
GTEX-ZVZO-0126-SM-5A5L9 40-49 years, male 2.0
GTEX-1JMLX-0226-SM-CM2RO 50-59 years, male 1.9
GTEX-11EI6-0126-SM-5985R 60-69 years, male 1.8
GTEX-1CAMQ-0226-SM-7IGPK 40-49 years, male 1.8
GTEX-Z9EW-1626-SM-5CVMN 40-49 years, male 1.8
GTEX-ZV68-0126-SM-59HKS 50-59 years, female 1.8
GTEX-1GMR3-1926-SM-9KNUZ 40-49 years, male 1.8
GTEX-Y8LW-1826-SM-5S2MV 50-59 years, female 1.6
GTEX-ZY6K-1826-SM-5GZXK 50-59 years, male 1.6
GTEX-12WSC-0126-SM-5EQ4P 50-59 years, male 1.5
GTEX-13111-1626-SM-5EGJY 50-59 years, male 1.5
GTEX-ZYFC-0226-SM-5NQ75 50-59 years, male 1.5
GTEX-1QMI2-0226-SM-EVYBX 60-69 years, male 1.5
GTEX-XUZC-1726-SM-4BRWS 30-39 years, female 1.4
GTEX-131XE-2326-SM-5PNZ2 50-59 years, male 1.3
GTEX-ZXES-1826-SM-5E43S 30-39 years, female 1.3
GTEX-1CB4E-2226-SM-793DC 60-69 years, male 1.2
GTEX-ZXG5-0126-SM-5GIEU 60-69 years, male 1.2
GTEX-1LVAN-0226-SM-COH3S 50-59 years, female 1.2
GTEX-1PWST-0226-SM-E76QJ 70-79 years, male 1.2
GTEX-1B97I-1626-SM-73KYO 40-49 years, male 1.1
GTEX-WFON-2126-SM-3LK7O 40-49 years, male 1.1
GTEX-1HB9E-0226-SM-E9U4R 50-59 years, male 1.0
GTEX-1R9K4-0126-SM-DTX9X 60-69 years, male 0.9
GTEX-SE5C-1626-SM-2XCE3 40-49 years, female 0.9
GTEX-1H3VE-0326-SM-9YFLH 40-49 years, male 0.7
Show allShow less

Contact

  • NEWS ARTICLES
  • PRESS ROOM

The Project

  • INTRODUCTION
  • ORGANIZATION
  • PUBLICATIONS

The Human Protein Atlas

  • DOWNLOADABLE DATA
  • LICENCE & CITATION
  • HELP & FAQ
The Human Protein Atlas project is funded
by the Knut & Alice Wallenberg Foundation.


contact@proteinatlas.org