We use cookies to enhance the usability of our website. If you continue, we'll assume that you are happy to receive all cookies. More information. Don't show this again.
EPCAM
HPA
RESOURCES
  • TISSUE
  • BRAIN
  • SINGLE CELL
  • SUBCELLULAR
  • CANCER
  • BLOOD
  • CELL LINE
  • STRUCTURE & INTERACTION
ABOUT
  • INTRODUCTION
  • HISTORY
  • ORGANIZATION
  • PUBLICATIONS
  • ANTIBODY SUBMISSION
  • ANTIBODY AVAILABILITY
  • ACKNOWLEDGMENTS
  • CONTACT
NEWS
  • NEWS ARTICLES
  • PRESS ROOM
LEARN
  • DICTIONARY
  • PROTEIN CLASSES
  • PROTEIN EVIDENCE
  • METHODS
  • EDUCATIONAL VIDEOS
DATA
  • DOWNLOADABLE DATA
  • PUBLICATION DATA
  • RELEASE HISTORY
HELP
  • ANTIBODY VALIDATION
  • ASSAYS & ANNOTATION
  • DISCLAIMER
  • HELP & FAQ
  • PRIVACY STATEMENT
  • LICENCE & CITATION
Fields »
Search result

Field
Term
Gene name
Class
Subclass
Class
Keyword
Chromosome
External id
Tissue
Cell type
Expression
Antibody panel
Tissue
Main location
Patient ID
Annotation
Tissue
Category
Tau score
Cluster
Reliability
Brain region
Category
Tau score
Brain region
Category
Tau score
Brain region
Category
Tau score
Cluster
Reliability
Tissue
Cell type
Enrichment
Cell type
Category
Tau score
Cell type
Category
Tau score
Cell type
Category
Tau score
Cell lineage
Category
Tau score
Cluster
Cluster
Location
Searches
Location
Cell line
Class
Type
Phase
Reliability
Cancer
Prognosis
Cancer
Category
Cancer
Category
Tau score
Cluster
Variants
Interacting gene (ensg_id)
Type
Number of interactions
Pathway
Category
Score
Score
Score
Validation
Validation
Validation
Validation
Antibodies
Data type
Column


  • SUMMARY

  • TISSUE

  • BRAIN

  • SINGLE CELL

  • SUBCELL

  • CANCER

  • BLOOD

  • CELL LINE

  • STRUCT & INT

  • EPCAM
TISSUE PRIMARY DATA STOMACH Show tissue menu
ADIPOSE TISSUE ADRENAL GLAND AMYGDALA APPENDIX BASAL GANGLIA BONE MARROW BREAST BRONCHUS CEREBELLUM CEREBRAL CORTEX CERVIX CHOROID PLEXUS COLON DUODENUM
ENDOMETRIUM EPIDIDYMIS ESOPHAGUS FALLOPIAN TUBE GALLBLADDER HEART MUSCLE HIPPOCAMPAL FORMATION HYPOTHALAMUS KIDNEY LIVER LUNG LYMPH NODE MIDBRAIN NASOPHARYNX
ORAL MUCOSA OVARY PANCREAS PARATHYROID GLAND PITUITARY GLAND PLACENTA PROSTATE RECTUM RETINA SALIVARY GLAND SEMINAL VESICLE SKELETAL MUSCLE SKIN SMALL INTESTINE
SMOOTH MUSCLE SOFT TISSUE SPINAL CORD SPLEEN STOMACH TESTIS THYMUS THYROID GLAND TONGUE TONSIL URINARY BLADDER VAGINA
ANTIBODIES
AND
VALIDATION
Dictionary
Tissue proteome
Stomach
STOMACH - Expression summary
Protein expression
Stomachi

On the top, protein expression in current human tissue, based on all annotated cell types, is reported with the units not detected (n), low (l), medium (m) and high (h). Underneath, protein expression in each annotated cell type are reported using the same units.

Protein expression data is based on knowledge-based annotation. For genes where more than one antibody has been used, a collective score is set.

If knowledge-based annotation could not be performed for a gene, no data is displayed here. View antibody staining data further down this page.

h
m
l
n
Glandular cells: Not detected
RNA expressioni

A summary of mRNA expression data available for current tissue based on several datasets. The mRNA expression levels in human tissues are based on RNA-seq data generated by the Human Protein Atlas (HPA), Genotype-Tissue Expression (GTEx) portal and CAGE data generated by the FANTOM5 consortium. Consensus normalized expression levels for human tissues was created by combining the data from HPA and GTEx datasets.

The mRNA expression levels in pig are based on RNA-seq data generated by the Human Protein Atlas (HPA), and for mouse, HPA data and in situ hybridization generated by the Allen brain atlas are reported.

Scroll down to view mRNA expression data in more detail.
Consensus:168.0 nTPM
HPA:168.0 nTPM
GTEx:62.1 nTPM

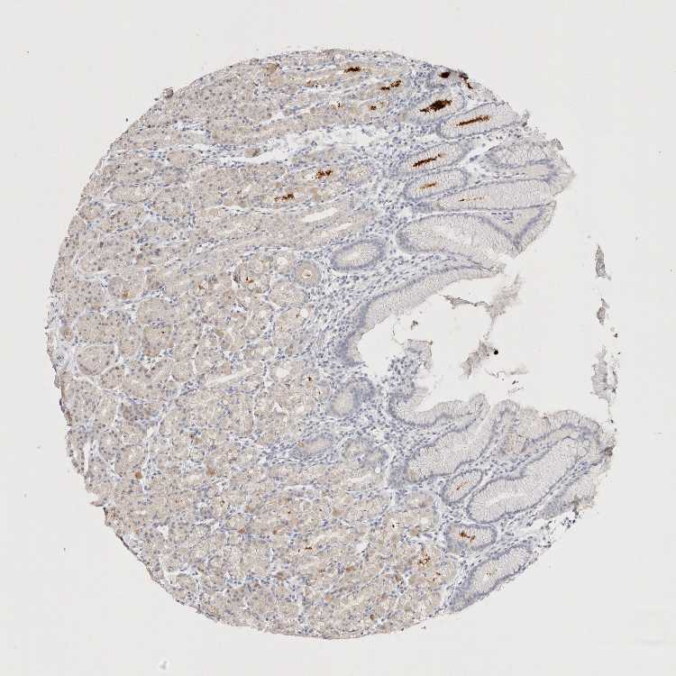
STOMACH 1 - Antibody stainingi

Antibody staining in the annotated cell types in the current human tissue is reported as not detected, low, medium, or high, based on conventional immunohistochemistry profiling in selected tissues. This score is based on the combination of the staining intensity and fraction of stained cells.

Each image is clickable and will lead to virtual microscopy that enables deeper exploration of all samples and also displays staining intensity scores, fraction scores and subcellular localization as well as patient and tissue information for each sample.

Antibody HPA026761Antibody CAB003809Antibody CAB030012Antibody CAB055098
Glandular cells MediumMediumLowNot detected








STOMACH 2 - Antibody stainingi

Antibody staining in the annotated cell types in the current human tissue is reported as not detected, low, medium, or high, based on conventional immunohistochemistry profiling in selected tissues. This score is based on the combination of the staining intensity and fraction of stained cells.

Each image is clickable and will lead to virtual microscopy that enables deeper exploration of all samples and also displays staining intensity scores, fraction scores and subcellular localization as well as patient and tissue information for each sample.

Antibody HPA026761Antibody CAB003809Antibody CAB030012Antibody CAB055098
Glandular cells MediumMediumLowNot detected









STOMACH - HPA RNA-seqi

The RNA-seq details section shows detailed information about the individual samples used for the transcript profiling and results of the RNA-seq analysis.

Information about each individual sample is listed below, including gender, age, a tissue section image and estimated fractions of cell types. nTPM (normalized transcripts per million) values give a quantification of the gene abundance which is comparable between different genes and samples.
Average nTPMi

Max subtype nTPM is the value for the subtype with the largest average nTPM across the subtype samples.

168.0
overview
Female, age 33
Stomach sample 61
nTPM: 114
Cell types%
Glandular cells:
60

Smooth muscle cells:
5

Other cell types:
35

N/A
Male, age 82
Stomach sample 240
nTPM: 174.9
Cell types%
Glandular cells:
65

Smooth muscle cells:
5

Other cell types:
30

overview
Male, age 71
Stomach sample 241
nTPM: 215.2
Cell types%
Glandular cells:
50

Smooth muscle cells:
5

Other cell types:
45

overview
Female, age 66
Stomach sample 369
nTPM: 167.9
Cell types%
Glandular cells:
50

Smooth muscle cells:
10

Other cell types:
40


STOMACH - GTEx RNA-seqi

RNA-Seq data generated by the Genotype-Tissue Expression (GTEx) project from human tissues is reported as mean nTPM. More information can be found on the GTEx portal.

Distribution across the dataset is visualized with box plots, shown as median and 25th and 75th percentiles. Points are displayed as outliers if they are above or below 1.5 times the interquartile range. nTPM values of the individual samples are presented next to the box plot.
Max subtype nTPMi

Max subtype nTPM is the value for the subtype with the largest average nTPM across the subtype samples.

62.1
GTEx sample id Sample description nTPM
Stomach
Average nTPM: 62.1
Samples: 359

Max nTPM: 163.0
Min nTPM: 0.0
Std nTPM: 42.0
Median nTPM: 73.2
GTEX-11NUK-2426-SM-5BC4U 50-59 years, male 163.0
GTEX-ZYY3-1726-SM-5EGH3 60-69 years, female 155.8
GTEX-TMMY-1626-SM-4DXTY 40-49 years, female 144.4
GTEX-WHPG-0426-SM-4M1XW 50-59 years, male 137.0
GTEX-15G19-1526-SM-6LPKP 60-69 years, male 135.1
GTEX-1B97J-1826-SM-7IGPP 50-59 years, female 134.4
GTEX-14PJ4-1626-SM-664OB 60-69 years, male 134.1
GTEX-1KANA-1126-SM-D3L9M 20-29 years, male 132.9
GTEX-11TT1-0726-SM-5GU5A 20-29 years, male 132.1
GTEX-13FTX-0726-SM-5N9BI 20-29 years, female 131.5
GTEX-13OW6-2526-SM-5IJEC 50-59 years, male 130.4
GTEX-PWN1-1526-SM-48TDA 40-49 years, female 127.1
GTEX-145ME-1026-SM-5O9B4 40-49 years, female 126.8
GTEX-131XF-1226-SM-5HL8V 60-69 years, male 126.4
GTEX-1399S-1626-SM-5P9GI 30-39 years, female 126.4
GTEX-11GSP-2126-SM-5HL5E 60-69 years, female 125.3
GTEX-Y5LM-1326-SM-5RQIS 40-49 years, female 123.3
GTEX-18A67-2626-SM-718AD 50-59 years, male 121.8
GTEX-WRHK-0626-SM-4MVOE 20-29 years, female 119.8
GTEX-Y3IK-1426-SM-4YCES 50-59 years, female 118.7
GTEX-14BMU-1126-SM-5RQJ8 20-29 years, female 118.2
GTEX-1C475-1026-SM-7MKFJ 40-49 years, female 117.6
GTEX-1JMLX-2426-SM-CXZJQ 50-59 years, male 117.5
GTEX-ZLFU-1326-SM-DO11R 40-49 years, male 117.5
GTEX-1HBPI-0726-SM-9WG7Z 50-59 years, male 117.4
GTEX-12WSK-1426-SM-5CVNN 40-49 years, female 116.6
GTEX-S4Q7-0726-SM-4AD5F 20-29 years, male 116.6
GTEX-13CF3-1926-SM-5K7WF 60-69 years, female 115.5
GTEX-S3XE-1026-SM-4AD4O 50-59 years, male 115.0
GTEX-117YW-2226-SM-5N9DB 50-59 years, male 114.5
GTEX-OOBJ-1526-SM-3NB1Q 60-69 years, male 114.1
GTEX-11I78-1726-SM-5A5M3 50-59 years, female 113.4
GTEX-14PHX-1026-SM-664OL 50-59 years, male 113.2
GTEX-T5JW-0926-SM-4DM5K 20-29 years, female 112.4
GTEX-WFG7-1326-SM-4LMK1 20-29 years, male 112.3
GTEX-117YX-1026-SM-5H11V 50-59 years, male 111.5
GTEX-ZDYS-1926-SM-5HL59 50-59 years, male 111.1
GTEX-1B8KZ-1226-SM-793CP 50-59 years, male 111.0
GTEX-XMK1-1526-SM-EYYVO 40-49 years, male 110.7
GTEX-14E6E-0926-SM-664N8 30-39 years, male 109.4
GTEX-OHPM-1526-SM-EV796 50-59 years, male 109.4
GTEX-18D9A-0626-SM-7KFTY 30-39 years, female 107.6
GTEX-SNMC-0626-SM-4DM6H 20-29 years, male 107.6
GTEX-17F98-1526-SM-7EWD8 40-49 years, female 105.4
GTEX-131XG-1226-SM-5EGH9 50-59 years, female 105.3
GTEX-14B4R-0726-SM-5TDDR 30-39 years, male 105.3
GTEX-ZY6K-0726-SM-5A5L8 50-59 years, male 104.8
GTEX-13113-0726-SM-5LZUF 60-69 years, female 104.6
GTEX-12BJ1-1726-SM-5HL9B 60-69 years, male 103.4
GTEX-Q2AI-0826-SM-48TZO 40-49 years, male 102.7
GTEX-132QS-1826-SM-5IFFN 60-69 years, male 102.3
GTEX-P4PP-1526-SM-3P61M 30-39 years, female 102.3
GTEX-Q2AH-1126-SM-48TZM 40-49 years, male 102.1
GTEX-RM2N-0826-SM-48FD3 50-59 years, male 101.8
GTEX-13O21-0926-SM-5IFGT 50-59 years, male 101.4
GTEX-15RIE-1026-SM-6LPJQ 60-69 years, male 100.9
GTEX-ZGAY-1626-SM-DNZZ3 40-49 years, female 100.6
GTEX-16AAH-1226-SM-79OO9 50-59 years, male 100.1
GTEX-YFCO-0826-SM-5LUAG 40-49 years, male 100.1
GTEX-111CU-0926-SM-5EGIK 50-59 years, male 100.0
GTEX-QDVJ-1426-SM-48U1Y 50-59 years, male 99.9
GTEX-1KXAM-0926-SM-CXZKA 60-69 years, male 99.8
GTEX-13OVK-0926-SM-7KUFX 40-49 years, male 99.6
GTEX-1399R-1126-SM-5IFIO 30-39 years, male 99.5
GTEX-1RAZR-1526-SM-EAZ4U 40-49 years, male 99.1
GTEX-ZZ64-0426-SM-5E43F 20-29 years, male 98.6
GTEX-12WSG-2026-SM-5FQUU 50-59 years, female 98.5
GTEX-ZLWG-1526-SM-DO12F 50-59 years, female 98.2
GTEX-14PJ3-1426-SM-664O8 50-59 years, male 97.7
GTEX-1F5PL-1426-SM-7MKFH 40-49 years, female 97.3
GTEX-QV44-1226-SM-CJI1S 50-59 years, male 97.0
GTEX-QLQ7-0826-SM-447B3 60-69 years, male 96.4
GTEX-1RB15-1026-SM-E9U6V 60-69 years, male 96.0
GTEX-11EM3-1026-SM-5A5KL 20-29 years, female 95.9
GTEX-ZVT3-2126-SM-59HL2 60-69 years, female 95.8
GTEX-1HFI7-1526-SM-9WG7W 50-59 years, female 95.8
GTEX-U4B1-1026-SM-4DXT1 40-49 years, male 95.5
GTEX-1CAMR-0726-SM-7EPIE 20-29 years, male 95.2
GTEX-144GM-1726-SM-5O9AS 20-29 years, male 95.0
GTEX-13D11-2126-SM-5IFH2 50-59 years, female 94.3
GTEX-1H3VY-2326-SM-9WG81 50-59 years, male 94.1
GTEX-U3ZN-2026-SM-4DXUC 30-39 years, female 94.0
GTEX-1GL5R-1926-SM-9WG7U 50-59 years, male 94.0
GTEX-VJYA-1026-SM-4KL21 60-69 years, male 93.8
GTEX-1LGOU-1526-SM-D3LAJ 20-29 years, female 93.8
GTEX-1JKYN-1726-SM-AHZ48 30-39 years, male 93.7
GTEX-PX3G-1526-SM-48U11 20-29 years, female 93.6
GTEX-T6MO-0726-SM-4DM58 40-49 years, female 93.6
GTEX-18A66-2226-SM-7189E 60-69 years, male 93.4
GTEX-1JK1U-1326-SM-AHZ45 60-69 years, male 93.1
GTEX-13PVQ-2126-SM-5L3FW 50-59 years, male 92.2
GTEX-ZP4G-1226-SM-4WWCJ 20-29 years, female 92.1
GTEX-1RMOY-1126-SM-EV79E 50-59 years, male 92.1
GTEX-1R9K5-1026-SM-EAZ4F 50-59 years, male 91.9
GTEX-14PKV-1826-SM-69LO9 20-29 years, female 91.8
GTEX-PWCY-0926-SM-48TD7 20-29 years, female 91.7
GTEX-133LE-1326-SM-5IFGO 20-29 years, female 91.5
GTEX-ZLV1-0826-SM-DO11P 60-69 years, female 91.3
GTEX-1IDJD-2426-SM-C1YS6 30-39 years, male 91.0
GTEX-15UF7-1226-SM-6M46G 40-49 years, male 90.8
GTEX-ZQUD-0826-SM-57WDQ 30-39 years, male 90.7
GTEX-W5WG-1726-SM-4LMI5 50-59 years, female 90.6
GTEX-1QPFJ-1526-SM-DPRXT 30-39 years, female 90.5
GTEX-14PJ6-0826-SM-686Z9 60-69 years, female 90.2
GTEX-14ICL-0826-SM-5YY9W 30-39 years, male 89.9
GTEX-1F75I-1826-SM-7MKGX 40-49 years, male 89.5
GTEX-WY7C-1726-SM-4ONCC 50-59 years, male 88.7
GTEX-ZYFG-1326-SM-5GICJ 60-69 years, female 88.7
GTEX-ZXES-1426-SM-5NQ8S 30-39 years, female 88.4
GTEX-12696-1726-SM-5EQLH 60-69 years, male 88.0
GTEX-ZT9W-1526-SM-4YCDE 50-59 years, male 88.0
GTEX-POMQ-0826-SM-3P61H 20-29 years, female 87.9
GTEX-1A3MV-1226-SM-718BW 30-39 years, male 87.5
GTEX-QCQG-0526-SM-48U2A 50-59 years, female 87.1
GTEX-17F9E-2226-SM-7IGNC 50-59 years, male 87.0
GTEX-QMRM-1126-SM-447BN 50-59 years, male 87.0
GTEX-1ICG6-1826-SM-AHZ2O 70-79 years, female 86.8
GTEX-1IDJU-1526-SM-CNNR3 60-69 years, female 86.6
GTEX-QV31-0626-SM-447C5 30-39 years, male 86.4
GTEX-11DXX-1326-SM-5GIDZ 60-69 years, female 86.3
GTEX-V1D1-1726-SM-4JBHB 50-59 years, male 86.1
GTEX-13S7M-1826-SM-5RQK6 60-69 years, female 86.0
GTEX-1MGNQ-1826-SM-DPRYI 40-49 years, male 85.5
GTEX-WFON-1126-SM-4LVMA 40-49 years, male 84.8
GTEX-1122O-1926-SM-5EGIQ 60-69 years, female 84.5
GTEX-ZPU1-1626-SM-4WWB2 40-49 years, male 84.5
GTEX-1GMRU-2526-SM-9WG7T 50-59 years, male 84.5
GTEX-1QMI2-2126-SM-DPRXQ 60-69 years, male 84.3
GTEX-145MN-1326-SM-5NQ9S 30-39 years, male 84.0
GTEX-1QCLY-1126-SM-EAZ4J 30-39 years, male 84.0
GTEX-QLQW-0726-SM-447AA 30-39 years, male 83.9
GTEX-ZF29-1526-SM-4WKF7 60-69 years, female 83.9
GTEX-14DAR-0926-SM-73KUQ 50-59 years, male 83.8
GTEX-12WSD-2326-SM-59HKQ 60-69 years, female 83.7
GTEX-ZF2S-1426-SM-57WET 50-59 years, female 83.7
GTEX-QDVN-1226-SM-48TZ5 50-59 years, male 83.4
GTEX-ZAB4-1526-SM-5CVN7 40-49 years, male 83.4
GTEX-XBED-1226-SM-4AT5V 60-69 years, male 83.3
GTEX-17HGU-2126-SM-7IGOV 50-59 years, male 83.2
GTEX-15DZA-1126-SM-6LPK8 30-39 years, female 83.0
GTEX-13FTW-1726-SM-5KM2B 40-49 years, male 82.8
GTEX-17HHE-1026-SM-79ON6 50-59 years, male 82.6
GTEX-1MJIX-1126-SM-EV7AO 40-49 years, male 82.6
GTEX-1J8Q3-1926-SM-C1YSJ 60-69 years, male 82.2
GTEX-Q734-1026-SM-48U16 40-49 years, female 82.1
GTEX-WHSB-1226-SM-4M1XR 50-59 years, male 82.0
GTEX-1I1HK-2026-SM-CNNRB 60-69 years, male 82.0
GTEX-144GN-1226-SM-5O991 50-59 years, male 81.7
GTEX-RWS6-0926-SM-47JXE 60-69 years, female 81.7
GTEX-WXYG-1626-SM-4ONCR 50-59 years, female 81.6
GTEX-ZVT2-1626-SM-51MRC 50-59 years, female 81.4
GTEX-1I6K7-1726-SM-B2LXQ 40-49 years, male 81.0
GTEX-OHPK-1526-SM-3MJGM 50-59 years, female 80.8
GTEX-S4UY-1626-SM-4AD55 40-49 years, female 80.7
GTEX-14JG6-1226-SM-664O6 30-39 years, female 80.6
GTEX-XUZC-0726-SM-4BOPH 30-39 years, female 80.4
GTEX-1H1DG-2126-SM-9WPPB 70-79 years, male 80.3
GTEX-15DCE-1626-SM-6LPJM 20-29 years, male 80.0
GTEX-15CHR-1326-SM-79OLT 50-59 years, male 79.8
GTEX-13U4I-2526-SM-5SI8Z 40-49 years, female 79.7
GTEX-V955-1326-SM-4JBHR 60-69 years, male 79.4
GTEX-18QFQ-1226-SM-718AE 30-39 years, male 78.6
GTEX-14PJ5-0826-SM-6AJAR 60-69 years, female 78.1
GTEX-R53T-1226-SM-48FCT 50-59 years, female 77.8
GTEX-Y8LW-0826-SM-4WWDO 50-59 years, female 77.8
GTEX-Y9LG-1026-SM-5IFJN 30-39 years, male 77.3
GTEX-ZVZP-1726-SM-5GZWY 50-59 years, male 77.3
GTEX-111YS-1126-SM-5GZYQ 60-69 years, male 77.2
GTEX-ZV7C-1626-SM-5NQ7E 50-59 years, male 76.8
GTEX-XXEK-0826-SM-4BRWG 50-59 years, male 76.5
GTEX-13PVR-2126-SM-73KVR 60-69 years, female 76.0
GTEX-17GQL-1226-SM-7KFTS 60-69 years, male 76.0
GTEX-1LG7Z-1226-SM-DHXK4 30-39 years, male 76.0
GTEX-SUCS-0926-SM-4DM4Z 70-79 years, male 75.4
GTEX-S341-0626-SM-4AD5T 40-49 years, female 75.2
GTEX-S95S-0826-SM-4B64N 60-69 years, male 75.2
GTEX-1AMFI-1226-SM-731CZ 50-59 years, female 75.0
GTEX-132AR-2426-SM-5IFFD 50-59 years, female 73.9
GTEX-1J8QM-1126-SM-C1YQB 60-69 years, female 73.4
GTEX-1MUQO-1926-SM-EAZ59 60-69 years, male 73.2
GTEX-OXRK-1626-SM-3NB17 50-59 years, female 73.1
GTEX-XV7Q-1326-SM-4BRWM 40-49 years, female 72.7
GTEX-1R7EU-1126-SM-EAZ4M 60-69 years, male 72.6
GTEX-1AMEY-1226-SM-731DU 30-39 years, female 72.0
GTEX-1HBPN-1626-SM-9WPNP 50-59 years, male 72.0
GTEX-1A8G6-1426-SM-731EZ 60-69 years, male 71.9
GTEX-1B8KE-1326-SM-73KVI 50-59 years, male 71.5
GTEX-1GZ4H-1026-SM-9OSXL 50-59 years, female 71.5
GTEX-11NSD-1426-SM-5HL67 20-29 years, male 71.3
GTEX-1JMPZ-1826-SM-CXZJT 30-39 years, male 71.3
GTEX-1J8JJ-1726-SM-C1YQG 60-69 years, female 71.0
GTEX-1LGRB-1726-SM-CNNRA 50-59 years, female 70.7
GTEX-ZVP2-1626-SM-5GU5D 50-59 years, male 70.5
GTEX-SNOS-0826-SM-4DM5N 40-49 years, male 70.0
GTEX-WEY5-1226-SM-4LMIQ 40-49 years, female 69.6
GTEX-YEC4-1426-SM-5IFHS 40-49 years, male 69.5
GTEX-WFG8-1326-SM-4LVN3 20-29 years, male 69.0
GTEX-ZA64-0826-SM-5HL9U 20-29 years, male 68.7
GTEX-P78B-1826-SM-3P5YX 40-49 years, female 68.6
GTEX-1H23P-2726-SM-9JGHN 60-69 years, male 68.4
GTEX-YJ8A-1526-SM-5P9FT 20-29 years, male 68.3
GTEX-1AYCT-1326-SM-7MKHB 50-59 years, male 68.0
GTEX-1LBAC-1426-SM-CXZKT 20-29 years, male 67.9
GTEX-18A7A-2726-SM-7LG6U 50-59 years, female 67.8
GTEX-WYJK-2526-SM-4ONDF 50-59 years, male 67.7
GTEX-XQ8I-2026-SM-4BOOL 50-59 years, male 67.6
GTEX-UJMC-1226-SM-4IHLI 50-59 years, male 67.5
GTEX-YB5E-1126-SM-664NU 40-49 years, male 66.0
GTEX-1RQEC-2126-SM-DPS15 60-69 years, male 66.0
GTEX-RTLS-2626-SM-46MUJ 60-69 years, female 65.6
GTEX-X15G-1126-SM-4PQZG 50-59 years, female 65.3
GTEX-1H1E6-1626-SM-9OSWC 30-39 years, male 65.3
GTEX-17MF6-2126-SM-7KFS7 40-49 years, male 64.3
GTEX-OXRL-1526-SM-E6CHQ 50-59 years, male 63.7
GTEX-ZEX8-1626-SM-4WKG7 50-59 years, male 63.2
GTEX-1GF9U-1126-SM-AHZ4H 40-49 years, female 63.2
GTEX-13QBU-1126-SM-5LU44 40-49 years, female 62.7
GTEX-Y5V6-1326-SM-4VDTF 60-69 years, male 62.3
GTEX-1QP2A-2126-SM-DPRZ7 50-59 years, male 62.1
GTEX-1HKZK-1526-SM-B2LWG 40-49 years, male 61.8
GTEX-O5YW-1526-SM-3MJGL 50-59 years, male 61.3
GTEX-PW2O-1226-SM-48TCH 20-29 years, male 61.2
GTEX-T8EM-1226-SM-4DM5J 40-49 years, male 60.9
GTEX-17HII-2426-SM-7KFTT 50-59 years, male 60.6
GTEX-OIZF-1526-SM-2I5GR 60-69 years, male 60.0
GTEX-14BIL-1926-SM-73KYI 50-59 years, male 59.1
GTEX-1B97I-1226-SM-7MGWQ 40-49 years, male 57.6
GTEX-13FH7-1026-SM-5IJGF 50-59 years, female 57.3
GTEX-13X6J-2126-SM-5TDCV 50-59 years, male 56.8
GTEX-1QCLZ-1826-SM-DPRXP 60-69 years, female 56.8
GTEX-145LT-1426-SM-5O9B3 40-49 years, male 56.3
GTEX-1LVAN-2426-SM-CNNPZ 50-59 years, female 56.0
GTEX-139YR-1926-SM-5LZXM 50-59 years, male 55.9
GTEX-1GN1W-2126-SM-9JGI7 50-59 years, female 55.9
GTEX-1HCU8-1326-SM-C1YQQ 60-69 years, female 52.7
GTEX-WHWD-1426-SM-4OORU 50-59 years, male 51.9
GTEX-1I1GT-1726-SM-C1YS3 60-69 years, female 51.7
GTEX-1JN1M-2926-SM-CNNPJ 60-69 years, female 50.7
GTEX-XBEW-1826-SM-4RTWX 40-49 years, male 49.7
GTEX-1I4MK-0926-SM-A9SLD 50-59 years, female 49.1
GTEX-ZZPU-1426-SM-5GZZ6 50-59 years, female 47.7
GTEX-WYVS-1326-SM-4ONCQ 40-49 years, female 47.1
GTEX-QXCU-1926-SM-48FE4 50-59 years, male 46.9
GTEX-1JMQJ-1326-SM-D4P3B 50-59 years, male 46.6
GTEX-14BMV-2226-SM-5RQHX 50-59 years, male 46.1
GTEX-13RTK-0226-SM-5RQHR 20-29 years, male 44.4
GTEX-PLZ5-1226-SM-EXOHA 50-59 years, male 42.6
GTEX-14DAQ-2826-SM-664MU 60-69 years, female 41.6
GTEX-145MO-2226-SM-5Q5BN 60-69 years, male 38.4
GTEX-NFK9-1526-SM-3LK7B 40-49 years, male 37.8
GTEX-16NGA-1526-SM-72D56 40-49 years, female 36.5
GTEX-1J8EW-2226-SM-AHZ3T 60-69 years, female 36.5
GTEX-1QP29-2326-SM-EXOJO 50-59 years, male 34.8
GTEX-1F5PK-1826-SM-7RHHX 50-59 years, male 34.6
GTEX-1AX9J-2626-SM-731EK 60-69 years, male 34.4
GTEX-139D8-2326-SM-5IFGE 30-39 years, female 34.3
GTEX-Y3I4-1626-SM-4TT7W 50-59 years, male 34.2
GTEX-1HSEH-1526-SM-B2LXG 60-69 years, male 33.5
GTEX-1H11D-2226-SM-9OSXN 40-49 years, male 31.6
GTEX-S7SF-0626-SM-4AD4V 20-29 years, female 30.5
GTEX-1LSNM-1026-SM-DHXL2 50-59 years, male 27.9
GTEX-O5YV-1926-SM-EV797 60-69 years, female 26.3
GTEX-Y8E4-1526-SM-4WWDI 40-49 years, male 25.1
GTEX-1A3MX-1926-SM-72D7F 60-69 years, male 23.4
GTEX-1E1VI-2826-SM-7MGWU 50-59 years, male 22.1
GTEX-1HSMQ-2426-SM-CE6RY 50-59 years, male 15.7
GTEX-17JCI-2226-SM-7LTA1 60-69 years, female 12.1
GTEX-1MCYP-1126-SM-E9J2P 20-29 years, female 11.8
GTEX-QDT8-2026-SM-EZ6LS 30-39 years, female 10.4
GTEX-1JMPY-0926-SM-ARL92 30-39 years, male 7.6
GTEX-WZTO-2126-SM-4PQYW 40-49 years, male 7.3
GTEX-1PPH8-1326-SM-DTXFO 20-29 years, male 6.1
GTEX-13OVI-2426-SM-5KM4J 60-69 years, female 4.5
GTEX-15G1A-1226-SM-7KUF3 30-39 years, male 4.3
GTEX-1KD5A-1426-SM-D4P3V 50-59 years, male 3.4
GTEX-Y114-1226-SM-4TT88 50-59 years, female 3.2
GTEX-T5JC-1926-SM-4DM6Q 20-29 years, male 3.1
GTEX-18D9B-2226-SM-718BM 60-69 years, male 2.5
GTEX-12C56-0526-SM-5FQST 20-29 years, male 2.4
GTEX-1HR9M-2326-SM-CNPPZ 60-69 years, male 2.1
GTEX-1IL2V-2026-SM-ARZMA 70-79 years, male 2.1
GTEX-1QP28-2126-SM-DTX8B 50-59 years, female 2.1
GTEX-11EI6-2426-SM-5PNVS 60-69 years, male 2.0
GTEX-14E1K-1526-SM-664MN 50-59 years, male 1.9
GTEX-11EQ9-1226-SM-5987E 30-39 years, male 1.8
GTEX-13O3Q-2126-SM-5KM4C 50-59 years, male 1.7
GTEX-P4PQ-1526-SM-3NMCK 60-69 years, male 1.6
GTEX-14PKU-1126-SM-69LOU 40-49 years, female 1.5
GTEX-ZE7O-3026-SM-51MS4 50-59 years, female 1.5
GTEX-1211K-1426-SM-5FQTF 60-69 years, female 1.2
GTEX-146FH-2126-SM-5SI9U 50-59 years, female 1.2
GTEX-1C64O-2226-SM-73KTV 60-69 years, male 1.2
GTEX-TKQ1-0526-SM-4DXTG 30-39 years, male 1.2
GTEX-1HCUA-1626-SM-A9SMG 50-59 years, female 1.2
GTEX-13111-1226-SM-5GCNC 50-59 years, male 1.1
GTEX-1EH9U-2226-SM-7PBXX 60-69 years, male 1.1
GTEX-15EU6-2526-SM-7KUGB 50-59 years, male 1.0
GTEX-15SHW-2126-SM-6M46Y 60-69 years, male 0.9
GTEX-1E2YA-2426-SM-7EPIG 50-59 years, male 0.9
GTEX-ZYVF-2726-SM-5GID4 50-59 years, female 0.8
GTEX-1NSGN-1926-SM-E9J36 50-59 years, male 0.8
GTEX-1QW4Y-0726-SM-DTX8E 30-39 years, male 0.8
GTEX-14PHY-0926-SM-5ZZWL 60-69 years, female 0.7
GTEX-ZPIC-2026-SM-57WG3 40-49 years, female 0.7
GTEX-1CB4H-2426-SM-7PBYR 60-69 years, female 0.7
GTEX-11P82-0726-SM-5PNYL 20-29 years, male 0.6
GTEX-P4QT-1526-SM-3NMCT 50-59 years, female 0.5
GTEX-R55D-1526-SM-48FEJ 50-59 years, male 0.5
GTEX-WH7G-1526-SM-4LVMX 40-49 years, male 0.5
GTEX-1K2DA-0826-SM-CGQGD 50-59 years, male 0.5
GTEX-14PN3-1326-SM-6AJ9U 60-69 years, female 0.4
GTEX-1B8L1-1526-SM-79OLK 60-69 years, male 0.4
GTEX-PLZ6-0826-SM-3P61K 30-39 years, male 0.4
GTEX-XPVG-1526-SM-4B66C 50-59 years, male 0.4
GTEX-1S831-1126-SM-EWROI 20-29 years, male 0.4
GTEX-RUSQ-1126-SM-EAZAU 50-59 years, male 0.4
GTEX-11VI4-0326-SM-5EQ6L 40-49 years, female 0.3
GTEX-12WSJ-0926-SM-5P9JD 40-49 years, female 0.3
GTEX-13O61-1126-SM-5L3FI 60-69 years, male 0.3
GTEX-13QJ3-2726-SM-5SI6L 50-59 years, male 0.3
GTEX-R55C-1026-SM-48FCM 40-49 years, male 0.3
GTEX-S4Z8-1226-SM-4AD6W 60-69 years, male 0.3
GTEX-TKQ2-0926-SM-4DXU5 50-59 years, male 0.3
GTEX-WFJO-1126-SM-4LVLZ 30-39 years, male 0.3
GTEX-1IDJF-1426-SM-ACKWK 20-29 years, male 0.3
GTEX-1L5NE-1526-SM-DIPFW 50-59 years, male 0.3
GTEX-11P7K-1726-SM-5GU6F 30-39 years, male 0.2
GTEX-1399U-1626-SM-5P9J3 50-59 years, female 0.2
GTEX-13N1W-2026-SM-5K7YU 70-79 years, male 0.2
GTEX-1CB4E-1326-SM-7DUGD 60-69 years, male 0.2
GTEX-UPK5-2126-SM-4JBJK 40-49 years, male 0.2
GTEX-ZTX8-0426-SM-59HLG 20-29 years, male 0.2
GTEX-ZV6S-0926-SM-57WGB 40-49 years, female 0.2
GTEX-1GPI7-1326-SM-9KNVA 20-29 years, male 0.2
GTEX-1HT8W-2326-SM-A9SLA 30-39 years, male 0.2
GTEX-1S3DN-1526-SM-EVYCB 50-59 years, male 0.2
GTEX-YEC3-1426-SM-D4P1S 50-59 years, male 0.2
GTEX-11WQK-2626-SM-5EQ4K 50-59 years, male 0.1
GTEX-131XE-2226-SM-5PNYX 50-59 years, male 0.1
GTEX-13X6H-1626-SM-5Q5CT 50-59 years, female 0.1
GTEX-15RIF-1126-SM-7KUG2 20-29 years, male 0.1
GTEX-17EUY-1526-SM-793CA 20-29 years, male 0.1
GTEX-17KNJ-1526-SM-7LTA9 50-59 years, male 0.1
GTEX-OIZH-1526-SM-3NB1J 50-59 years, male 0.1
GTEX-RU1J-0526-SM-46MUT 20-29 years, female 0.1
GTEX-S4P3-0726-SM-4AD57 50-59 years, female 0.1
GTEX-UJHI-1026-SM-4IHJP 50-59 years, female 0.1
GTEX-1H1DE-1226-SM-9JGHH 20-29 years, male 0.1
GTEX-1PIGE-1126-SM-EWRMV 20-29 years, male 0.1
GTEX-1QP67-1026-SM-EVR47 40-49 years, female 0.1
GTEX-1339X-1426-SM-5K7YO 40-49 years, male 0.0
GTEX-146FR-2026-SM-5NQAI 60-69 years, female 0.0
GTEX-R55G-1126-SM-48FDG 40-49 years, female 0.0
GTEX-XAJ8-0326-SM-47JYI 40-49 years, male 0.0
GTEX-1H3NZ-2226-SM-9WYUT 60-69 years, male 0.0
GTEX-1JN76-0926-SM-ARZNH 20-29 years, female 0.0
GTEX-1LVAM-1426-SM-E9TJ4 50-59 years, female 0.0
GTEX-1N2DV-0926-SM-E9TJT 40-49 years, male 0.0
GTEX-1S82Z-1726-SM-E6CHZ 30-39 years, female 0.0
Show allShow less

Contact

  • NEWS ARTICLES
  • PRESS ROOM

The Project

  • INTRODUCTION
  • ORGANIZATION
  • PUBLICATIONS

The Human Protein Atlas

  • DOWNLOADABLE DATA
  • LICENCE & CITATION
  • HELP & FAQ
The Human Protein Atlas project is funded
by the Knut & Alice Wallenberg Foundation.


contact@proteinatlas.org