We use cookies to enhance the usability of our website. If you continue, we'll assume that you are happy to receive all cookies. More information. Don't show this again.
RPL5
HPA
RESOURCES
  • TISSUE
  • BRAIN
  • SINGLE CELL
  • SUBCELLULAR
  • CANCER
  • BLOOD
  • CELL LINE
  • STRUCTURE & INTERACTION
ABOUT
  • INTRODUCTION
  • HISTORY
  • ORGANIZATION
  • PUBLICATIONS
  • ANTIBODY SUBMISSION
  • ANTIBODY AVAILABILITY
  • ACKNOWLEDGMENTS
  • CONTACT
NEWS
  • NEWS ARTICLES
  • PRESS ROOM
LEARN
  • DICTIONARY
  • PROTEIN CLASSES
  • PROTEIN EVIDENCE
  • METHODS
  • EDUCATIONAL VIDEOS
DATA
  • DOWNLOADABLE DATA
  • PUBLICATION DATA
  • RELEASE HISTORY
HELP
  • ANTIBODY VALIDATION
  • ASSAYS & ANNOTATION
  • DISCLAIMER
  • HELP & FAQ
  • PRIVACY STATEMENT
  • LICENCE & CITATION
Fields »
Search result

Field
Term
Gene name
Class
Subclass
Class
Keyword
Chromosome
External id
Tissue
Cell type
Expression
Antibody panel
Tissue
Main location
Patient ID
Annotation
Tissue
Category
Tau score
Cluster
Reliability
Brain region
Category
Tau score
Brain region
Category
Tau score
Brain region
Category
Tau score
Cluster
Reliability
Tissue
Cell type
Enrichment
Cell type
Category
Tau score
Cell type
Category
Tau score
Cell type
Category
Tau score
Cell lineage
Category
Tau score
Cluster
Cluster
Location
Searches
Location
Cell line
Class
Type
Phase
Reliability
Cancer
Prognosis
Cancer
Category
Cancer
Category
Tau score
Cluster
Variants
Interacting gene (ensg_id)
Type
Number of interactions
Pathway
Category
Score
Score
Score
Validation
Validation
Validation
Validation
Antibodies
Data type
Column


  • SUMMARY

  • TISSUE

  • BRAIN

  • SINGLE CELL

  • SUBCELL

  • CANCER

  • BLOOD

  • CELL LINE

  • STRUCT & INT

  • RPL5
BRAIN CEREBELLUM Show tissue menu
AMYGDALA BASAL GANGLIA CEREBELLUM CEREBRAL CORTEX CHOROID PLEXUS HIPPOCAMPAL FORMATION HYPOTHALAMUS MEDULLA OBLONGATA
MIDBRAIN OLFACTORY BULB PITUITARY GLAND PONS RETINA SPINAL CORD THALAMUS WHITE MATTER
ANTIBODIES
AND
VALIDATION
Brain proteome
Cerebellum
CEREBELLUM - Expression summary
Protein expression
Cerebellumi

On the top, protein expression in current human tissue, based on all annotated cell types, is reported with the units not detected (n), low (l), medium (m) and high (h). Underneath, protein expression in each annotated cell type are reported using the same units.

Protein expression data is based on knowledge-based annotation. For genes where more than one antibody has been used, a collective score is set.

If knowledge-based annotation could not be performed for a gene, no data is displayed here. View antibody staining data further down this page.

h
m
l
n
Cells in granular layer: Not detected
Cells in molecular layer: High
Purkinje cells: High
RNA expressioni

A summary of mRNA expression data available for current tissue based on several datasets. The mRNA expression levels in human tissues are based on RNA-seq data generated by the Human Protein Atlas (HPA), Genotype-Tissue Expression (GTEx) portal and CAGE data generated by the FANTOM5 consortium. Consensus normalized expression levels for human tissues was created by combining the data from HPA and GTEx datasets.

The mRNA expression levels in pig are based on RNA-seq data generated by the Human Protein Atlas (HPA), and for mouse, HPA data and in situ hybridization generated by the Allen brain atlas are reported.

Scroll down to view mRNA expression data in more detail.
Consensus:514.7 nTPM
HPA Brain:244.4 nTPM
GTEx:514.7 nTPM
FANTOM5:516.2 Scaled Tags Per Million
Pig:0.0 nTPM

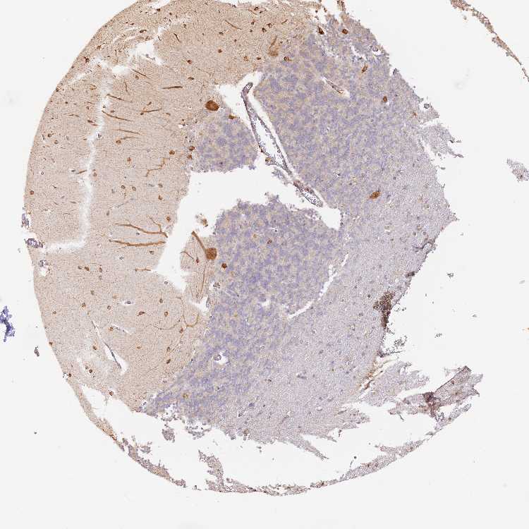
CEREBELLUM - Antibody stainingi

Antibody staining in the annotated cell types in the current human tissue is reported as not detected, low, medium, or high, based on conventional immunohistochemistry profiling in selected tissues. This score is based on the combination of the staining intensity and fraction of stained cells.

Each image is clickable and will lead to virtual microscopy that enables deeper exploration of all samples and also displays staining intensity scores, fraction scores and subcellular localization as well as patient and tissue information for each sample.

Antibody HPA043717
Purkinje cells High
Cells in granular layer Not detected
Cells in molecular layer High



CEREBELLUM - HPA Brain RNA-seq
Max subtype nTPMi

Max subtype nTPM is the value for the subtype with the largest average nTPM across the subtype samples.

244.4
Sample id Sample description nTPM
Cerebellar cortex
nTPM: 244.4
1768 Female, age 72, unknown 355.6
2006 Male, age 61, right hemisphere 298.4
1769 Male, age 76, right hemisphere 260.1
1774 Male, age 80, left hemisphere 231.5
2003 Female, age 85, right hemisphere 220.1
2055 Female, age 91, right hemisphere 220.1
1788 Male, age 55, unknown 195.7
2101 Male, age 74, right hemisphere 173.6
Cerebellar nuclei
nTPM: 232.6
2783 Female, age 72, unknown 303.8
2175 Male, age 61, right hemisphere 270.3
2005 Male, age 80, left hemisphere 248.3
1871 Male, age 74, unknown 235.8
1879 Male, age 55, unknown 226.8
1966 Female, age 91, left hemisphere 223.7
2882 Male, age 76, left hemisphere 215.6
2177 Female, age 85, both hemispheres 190.8
2318 Male, age 74, left hemisphere 178.0
Flocculonodular lobe
nTPM: 215.3
1765 Male, age 55, unknown 261.1
1767 Male, age 76, left hemisphere 255.2
2004 Male, age 61, right hemisphere 237.3
1771 Male, age 80, left hemisphere 232.3
1792 Male, age 74, unknown 183.5
2176 Female, age 91, right hemisphere 176.8
1835 Female, age 85, right hemisphere 161.0
Vermis
nTPM: 194.2
1770 Male, age 76, left hemisphere 267.0
1928 Female, age 72, unknown 228.3
1766 Male, age 55, unknown 219.3
2834 Male, age 80, left hemisphere 208.9
1778 Female, age 91, left hemisphere 204.9
1825 Male, age 74, unknown 197.5
1751 Male, age 74, right hemisphere 148.6
1988 Female, age 85, left hemisphere 145.0
2460 Male, age 61, both hemispheres 128.2

CEREBELLUM - GTEx RNA-seqi

RNA-Seq data generated by the Genotype-Tissue Expression (GTEx) project from human tissues is reported as mean nTPM. More information can be found on the GTEx portal.

Distribution across the dataset is visualized with box plots, shown as median and 25th and 75th percentiles. Points are displayed as outliers if they are above or below 1.5 times the interquartile range. nTPM values of the individual samples are presented next to the box plot.
Max subtype nTPMi

Max subtype nTPM is the value for the subtype with the largest average nTPM across the subtype samples.

514.7
GTEx sample id Sample description nTPM
Brain - Cerebellar Hemisphere
Average nTPM: 514.7
Samples: 215

Max nTPM: 904.4
Min nTPM: 329.7
Std nTPM: 107.5
Median nTPM: 496.1
GTEX-16Z82-0011-R11a-SM-79OKJ 60-69 years, male 904.4
GTEX-1R9K4-0011-R11a-SM-EZ6N9 60-69 years, male 889.1
GTEX-NL4W-0011-R11A-SM-2I3DW 50-59 years, male 852.2
GTEX-132Q8-0011-R11b-SM-5DUW9 60-69 years, male 824.0
GTEX-13FLV-0011-R11a-SM-5LZZ7 50-59 years, male 821.7
GTEX-13X6J-0011-R11a-SM-5P9HE 50-59 years, male 811.4
GTEX-1B933-0011-R11a-SM-7P8PM 50-59 years, female 807.9
GTEX-11ZUS-0011-R11b-SM-5BC7B 30-39 years, male 807.8
GTEX-1F75W-0011-R11b-SM-AHZ34 60-69 years, male 806.6
GTEX-1B8SG-0011-R11a-SM-7P8PF 50-59 years, male 791.3
GTEX-N7MS-0011-R11A-SM-2HMJS 60-69 years, male 760.8
GTEX-NL3H-0011-R11A-SM-2I3E6 60-69 years, male 751.5
GTEX-1313W-0011-R11a-SM-5DUXN 50-59 years, female 713.2
GTEX-1JJ6O-0011-R11b-SM-EXUS2 60-69 years, male 682.5
GTEX-11DZ1-0011-R11b-SM-DO11W 50-59 years, male 675.9
GTEX-145MI-0011-R11a-SM-5P9JZ 60-69 years, female 673.7
GTEX-UTHO-0011-R11A-SM-3GIJE 60-69 years, male 672.6
GTEX-WWYW-0011-R11A-SM-3NB38 50-59 years, female 665.6
GTEX-13JUV-0011-R11a-SM-5LZYH 40-49 years, female 652.6
GTEX-13X6I-0011-R11a-SM-5P9HN 60-69 years, male 652.0
GTEX-12WSC-0011-R11a-SM-5GU5J 50-59 years, male 651.5
GTEX-1F75A-0011-R11a-SM-AHZ35 50-59 years, male 650.7
GTEX-13NYS-0011-R11b-SM-5MR4P 60-69 years, male 650.0
GTEX-12WSI-0011-R11b-SM-5P9EZ 50-59 years, male 642.2
GTEX-WL46-0011-R11A-SM-3MJFT 50-59 years, male 635.5
GTEX-17F97-0011-R11b-SM-7KFRQ 50-59 years, male 633.2
GTEX-1H3VE-0011-R11b-SM-C1YRP 40-49 years, male 618.2
GTEX-11ZTS-0011-R11a-SM-DO113 60-69 years, female 617.1
GTEX-1H4P4-0011-R11b-SM-CE6S8 50-59 years, male 616.4
GTEX-17EVP-0011-R11a-SM-7EWDL 40-49 years, male 615.9
GTEX-1F6I4-0011-R11b-SM-9OSWS 60-69 years, male 610.7
GTEX-16YQH-0011-R11b-SM-7LT98 30-39 years, male 608.7
GTEX-1M4P7-0011-R11b-SM-EXOIK 60-69 years, male 601.1
GTEX-12WSH-0011-R11a-SM-5LZVM 50-59 years, male 600.0
GTEX-XMD1-0011-R11A-SM-4AT5J 60-69 years, male 599.4
GTEX-14ASI-0011-R11b-SM-6AJBJ 60-69 years, male 597.6
GTEX-1JMQJ-0011-R11a-SM-EXOJY 50-59 years, male 597.0
GTEX-1LKK1-0011-R11a-SM-EXOIG 50-59 years, female 595.4
GTEX-YJ89-0011-R11a-SM-4SOKA 60-69 years, male 593.6
GTEX-1JMOU-0011-R11b-SM-EXUTA 60-69 years, female 585.0
GTEX-1CB4G-0011-R11a-SM-9OSWG 60-69 years, male 584.3
GTEX-14E7W-0011-R11a-SM-5ZZVA 70-79 years, male 584.2
GTEX-1I19N-0011-R11b-SM-ARU6Y 70-79 years, male 584.1
GTEX-RU72-0011-R11A-SM-CM2U1 50-59 years, female 582.3
GTEX-1IGQW-0011-R11a-SM-C1YRV 60-69 years, male 577.2
GTEX-1F52S-0011-R11a-SM-CJI23 60-69 years, female 575.7
GTEX-1HBPI-0011-R11b-SM-CE6SH 50-59 years, male 575.1
GTEX-16GPK-0011-R11b-SM-7MKFF 60-69 years, male 573.3
GTEX-17EVQ-0011-R11a-SM-7LT9C 70-79 years, male 569.6
GTEX-1C64N-0011-R11b-SM-7P8Q6 50-59 years, male 566.8
GTEX-11EMC-0011-R11b-SM-DNZZK 60-69 years, female 565.2
GTEX-11EI6-0011-R11a-SM-DO11V 60-69 years, male 559.9
GTEX-139TT-0011-R11b-SM-5LZV1 60-69 years, male 557.8
GTEX-P44H-0011-R11A-SM-2XCER 40-49 years, male 557.4
GTEX-NPJ8-0011-R11A-SM-2YUMS 40-49 years, male 557.3
GTEX-1HGF4-0011-R11a-SM-C1YRR 60-69 years, male 556.2
GTEX-ZUA1-0011-R11b-SM-51MTI 40-49 years, male 555.5
GTEX-1GMR8-0011-R11b-SM-9OSX2 50-59 years, female 554.6
GTEX-ZVT3-0011-R11b-SM-57WBI 60-69 years, female 551.0
GTEX-1LVAO-0011-R11b-SM-EXOI8 60-69 years, male 550.3
GTEX-1N2DW-0011-R11b-SM-EXOIL 50-59 years, male 548.1
GTEX-14E6D-0011-R11b-SM-664NP 50-59 years, male 546.2
GTEX-14ABY-0011-R11a-SM-5SI7C 50-59 years, male 544.3
GTEX-1GF9W-0011-R11b-SM-9OSXG 60-69 years, male 543.9
GTEX-13OVJ-0011-R11a-SM-5P9H8 50-59 years, female 543.1
GTEX-1IKOH-0011-R11a-SM-AHZ38 60-69 years, female 542.3
GTEX-1KD4Q-0011-R11b-SM-EXOIE 40-49 years, male 541.8
GTEX-ZVZQ-0011-R11a-SM-51MS6 60-69 years, female 540.3
GTEX-1IOXB-0011-R11a-SM-A9G1X 50-59 years, male 540.1
GTEX-Z93S-0011-R11a-SM-4RGNN 50-59 years, male 539.3
GTEX-1JJEA-0011-R11a-SM-EXUTE 60-69 years, male 539.0
GTEX-12WSD-0011-R11a-SM-9OSVC 60-69 years, female 538.8
GTEX-18A6Q-0011-R11a-SM-72D6H 60-69 years, male 538.4
GTEX-ZF28-0011-R11a-SM-4WWEI 60-69 years, male 537.6
GTEX-12126-0011-R11a-SM-5BC6X 20-29 years, male 536.4
GTEX-15CHQ-0011-R11b-SM-686ZZ 60-69 years, male 532.8
GTEX-1EKGG-0011-R11a-SM-9QEHZ 60-69 years, male 532.7
GTEX-13G51-0011-R11b-SM-5J2NE 60-69 years, male 532.6
GTEX-1F48J-0011-R11b-SM-9OSWV 50-59 years, female 529.7
GTEX-145MH-0011-R11a-SM-5P9HQ 50-59 years, male 527.9
GTEX-17JCI-0011-R11a-SM-7189Y 60-69 years, female 527.5
GTEX-T2IS-0011-R11A-SM-32QPC 20-29 years, female 527.5
GTEX-13SLW-0011-R11a-SM-5SI8Q 70-79 years, male 527.1
GTEX-13RTJ-0011-R11a-SM-5O9CK 60-69 years, male 525.1
GTEX-1R9PO-0011-R11b-SM-EZ6NB 60-69 years, female 524.4
GTEX-X261-0011-R11A-SM-4E3JY 50-59 years, male 523.8
GTEX-1B8L1-0011-R11b-SM-793DJ 60-69 years, male 523.4
GTEX-17HII-0011-R11b-SM-7KFSX 50-59 years, male 522.1
GTEX-15DCD-0011-R11a-SM-D4P1R 70-79 years, female 522.0
GTEX-15G19-0011-R11b-SM-6LPIH 60-69 years, male 521.6
GTEX-11TTK-0011-R11b-SM-DO112 60-69 years, female 521.5
GTEX-1I1GQ-0011-R11b-SM-CKZPA 50-59 years, male 517.9
GTEX-12WSF-0011-R11a-SM-5LZVT 70-79 years, male 513.1
GTEX-S7SE-0011-R11A-SM-2XCDD 50-59 years, male 511.9
GTEX-1ICLZ-0011-R11a-SM-CJI3N 60-69 years, male 509.9
GTEX-T5JC-0011-R11A-SM-32PMB 20-29 years, male 509.1
GTEX-1I1GR-0011-R11a-SM-CM2T5 60-69 years, male 508.7
GTEX-1GZ4I-0011-R11b-SM-9OSWR 50-59 years, male 508.6
GTEX-ZE7O-0011-R11a-SM-57WBC 50-59 years, female 508.4
GTEX-1HB9E-0011-R11b-SM-ARU79 50-59 years, male 507.6
GTEX-1EMGI-0011-R11b-SM-9OSWX 60-69 years, male 507.4
GTEX-1LSVX-0011-R11b-SM-EXOIA 60-69 years, male 507.3
GTEX-1H1CY-0011-R11a-SM-C1YQR 60-69 years, female 505.6
GTEX-16NPV-0011-R11a-SM-7IGMK 50-59 years, female 505.5
GTEX-1HSKV-0011-R11b-SM-AHZ2E 60-69 years, male 498.6
GTEX-14C5O-0011-R11b-SM-6872H 60-69 years, male 498.0
GTEX-1I1GS-0011-R11a-SM-C1YRU 60-69 years, male 497.1
GTEX-1GZHY-0011-R11a-SM-C1YRQ 50-59 years, female 496.1
GTEX-1H1DG-0011-R11a-SM-C1YQK 70-79 years, male 495.1
GTEX-13X6K-0011-R11a-SM-5P9F5 60-69 years, female 494.9
GTEX-1CAV2-0011-R11a-SM-ARU8D 40-49 years, female 494.6
GTEX-1F7RK-0011-R11b-SM-9QEI2 20-29 years, female 494.5
GTEX-1LG7Y-0011-R11a-SM-EXOIH 50-59 years, male 494.3
GTEX-11OF3-0011-R11a-SM-57WCR 60-69 years, male 493.5
GTEX-1H3NZ-0011-R11b-SM-CE6SF 60-69 years, male 491.2
GTEX-ZE9C-0011-R11a-SM-4WKGG 60-69 years, male 491.0
GTEX-1IDJH-0011-R11b-SM-C1YRT 70-79 years, male 491.0
GTEX-183WM-0011-R11a-SM-718A5 70-79 years, female 489.4
GTEX-11DYG-0011-R11a-SM-DNZZP 60-69 years, male 489.4
GTEX-1E1VI-0011-R11a-SM-9OSWI 50-59 years, male 488.7
GTEX-1I1HK-0011-R11a-SM-B2LVN 60-69 years, male 486.4
GTEX-11DXY-0011-R11a-SM-DNZZN 60-69 years, male 483.8
GTEX-12ZZZ-0011-R11a-SM-5EGLC 60-69 years, male 483.5
GTEX-15EO6-0011-R11b-SM-6M47M 50-59 years, male 483.4
GTEX-1IKK5-0011-R11a-SM-C1YRX 60-69 years, male 483.0
GTEX-13QIC-0011-R11b-SM-5O9BU 60-69 years, female 482.4
GTEX-TSE9-0011-R11A-SM-3DB7N 60-69 years, female 481.4
GTEX-11WQC-0011-R11b-SM-57WD6 60-69 years, male 480.6
GTEX-16XZZ-0011-R11a-SM-7EPI3 60-69 years, male 479.9
GTEX-X585-0011-R11B-SM-46MUZ 50-59 years, male 478.6
GTEX-131XH-0011-R11a-SM-5EGLN 50-59 years, male 477.4
GTEX-144GL-0011-R11b-SM-5P9F6 50-59 years, male 474.6
GTEX-OHPN-0011-R11A-SM-2I5FM 60-69 years, female 473.5
GTEX-WHSE-0011-R11A-SM-3P5YY 20-29 years, male 471.6
GTEX-13OW6-0011-R11a-SM-5L3H2 50-59 years, male 469.8
GTEX-WZTO-0011-R11A-SM-4E3K9 40-49 years, male 468.2
GTEX-P44G-0011-R11A-SM-2I3FD 30-39 years, male 466.9
GTEX-13PLJ-0011-R11b-SM-5O9BS 60-69 years, female 466.1
GTEX-13FHO-0011-R11b-SM-5LZYQ 60-69 years, male 465.5
GTEX-13OW7-0011-R11a-SM-5O9DY 50-59 years, male 464.3
GTEX-131XW-0011-R11a-SM-5DUV9 50-59 years, female 464.1
GTEX-13OVH-0011-R11b-SM-5KM4X 70-79 years, male 463.9
GTEX-1IY9M-0011-R11b-SM-A96TI 60-69 years, male 462.5
GTEX-1N2EE-0011-R11b-SM-EXOIJ 60-69 years, male 460.7
GTEX-13NZA-0011-R11b-SM-5KM4W 60-69 years, male 460.4
GTEX-QMR6-0011-R11A-SM-32PKK 50-59 years, male 460.1
GTEX-1H3O1-0011-R11a-SM-A96RV 60-69 years, male 459.3
GTEX-13FTY-0011-R11a-SM-5IJEA 40-49 years, female 458.1
GTEX-13OW5-0011-R11b-SM-5L3GG 60-69 years, male 456.9
GTEX-13S7M-0011-R11b-SM-5P9HU 60-69 years, female 456.9
GTEX-1HFI6-0011-R11b-SM-A96RU 40-49 years, male 455.8
GTEX-1H1ZS-0011-R11a-SM-C1YQM 70-79 years, male 455.2
GTEX-1J8Q2-0011-R11a-SM-A9SKI 60-69 years, male 454.9
GTEX-YFC4-0011-R11a-SM-4SOK6 40-49 years, female 454.1
GTEX-13O3Q-0011-R11b-SM-5KM2W 50-59 years, male 452.9
GTEX-1HCU6-0011-R11b-SM-AHZ2F 60-69 years, female 452.6
GTEX-ZDXO-0011-R11a-SM-4WWD9 60-69 years, male 451.5
GTEX-17HG3-0011-R11b-SM-7KFT4 30-39 years, female 448.3
GTEX-14BIM-0011-R11b-SM-5S2RN 60-69 years, female 448.0
GTEX-1IL2U-0011-R11a-SM-CE6SO 60-69 years, male 447.3
GTEX-13FXS-0011-R11a-SM-5L3DM 50-59 years, male 445.2
GTEX-11H98-0011-R11b-SM-5NQ6U 50-59 years, male 444.4
GTEX-1BAJH-0011-R11b-SM-7IGLM 70-79 years, male 442.4
GTEX-1J1OQ-0011-R11a-SM-A96S3 40-49 years, female 439.8
GTEX-Y8DK-0011-R11A-SM-4SOK2 60-69 years, male 438.5
GTEX-NPJ7-0011-R11A-SM-2I3E8 60-69 years, female 437.5
GTEX-11GSP-0011-R11b-SM-5NQ7V 60-69 years, female 436.4
GTEX-14PN4-0011-R11a-SM-686ZW 50-59 years, male 436.4
GTEX-13SLX-0011-R11b-SM-5O9C8 50-59 years, female 434.1
GTEX-ZAB4-0011-R11a-SM-4SOKI 40-49 years, male 434.0
GTEX-1GMRU-0011-R11b-SM-C1YQ4 50-59 years, male 430.6
GTEX-11PRG-0011-R11b-SM-DNZZY 50-59 years, male 430.1
GTEX-X4EP-0011-R11B-SM-4QASK 60-69 years, female 430.0
GTEX-13OVL-0011-R11b-SM-5L3G7 50-59 years, male 429.4
GTEX-13N2G-0011-R11a-SM-5MR3F 60-69 years, male 428.7
GTEX-RVPV-0011-R11A-SM-2TF6F 60-69 years, male 427.5
GTEX-12WSM-0011-R11a-SM-5DUX8 60-69 years, male 425.4
GTEX-15DYW-0011-R11a-SM-6LPIT 60-69 years, female 422.6
GTEX-15ER7-0011-R11a-SM-6LPIL 20-29 years, female 418.2
GTEX-139UW-0011-R11a-SM-5IJGN 60-69 years, male 415.3
GTEX-1HUB1-0011-R11b-SM-CE6SC 60-69 years, male 412.7
GTEX-1B8SF-0011-R11a-SM-79OOP 60-69 years, male 412.1
GTEX-13VXU-0011-R11b-SM-5O9DJ 50-59 years, male 411.6
GTEX-13CF2-0011-R11b-SM-5LZXO 60-69 years, male 411.2
GTEX-1I1GV-0011-R11a-SM-CJI3Z 60-69 years, male 410.1
GTEX-QDT8-0011-R11A-SM-32PKD 30-39 years, female 407.8
GTEX-14C39-0011-R11b-SM-5YYAF 40-49 years, male 406.9
GTEX-WVLH-0011-R11A-SM-3MJFO 50-59 years, male 405.3
GTEX-13CZV-0011-R11b-SM-5N9FN 60-69 years, male 405.1
GTEX-14BIN-0011-R11a-SM-5SI79 50-59 years, female 404.3
GTEX-1A3MX-0011-R11b-SM-7DUGP 60-69 years, male 402.2
GTEX-1J8EW-0011-R11a-SM-AHZ37 60-69 years, female 398.6
GTEX-13PVQ-0011-R11a-SM-5O9DU 50-59 years, male 397.5
GTEX-1IL2V-0011-R11a-SM-ARU6T 70-79 years, male 396.7
GTEX-1GN73-0011-R11b-SM-9OSX4 60-69 years, male 395.9
GTEX-1399T-0011-R11a-SM-5J2O1 60-69 years, male 393.1
GTEX-18465-0011-R11a-SM-72D78 50-59 years, male 392.5
GTEX-18464-0011-R11a-SM-72D76 50-59 years, male 392.3
GTEX-13JVG-0011-R11a-SM-5KM53 60-69 years, male 390.5
GTEX-13NYB-0011-R11a-SM-5KM3Q 40-49 years, male 386.9
GTEX-13OW8-0011-R11a-SM-5L3GT 60-69 years, male 382.5
GTEX-1AX9I-0011-R11b-SM-7DHN4 60-69 years, male 380.2
GTEX-T6MN-0011-R11A-SM-32QOX 50-59 years, male 376.3
GTEX-1GTWX-0011-R11b-SM-C1YQJ 60-69 years, male 375.9
GTEX-12ZZX-0011-R11a-SM-5DUVJ 40-49 years, female 372.4
GTEX-13O3O-0011-R11b-SM-5KM4G 60-69 years, female 370.3
GTEX-131YS-0011-R11b-SM-5EGLM 60-69 years, female 369.2
GTEX-R55E-0011-R11A-SM-2TC6I 20-29 years, male 363.6
GTEX-X4XX-0011-R11A-SM-46MWQ 60-69 years, male 355.0
GTEX-N7MT-0011-R11A-SM-2I3DZ 60-69 years, female 347.6
GTEX-14DAQ-0011-R11a-SM-664NO 60-69 years, female 347.5
GTEX-145LU-0011-R11b-SM-5P9JX 50-59 years, male 347.1
GTEX-13FHP-0011-R11b-SM-5LZXP 50-59 years, male 345.8
GTEX-Q2AG-0011-R11A-SM-2HMKZ 40-49 years, female 333.4
GTEX-12WSE-0011-R11b-SM-5P9JW 20-29 years, male 329.7
Show allShow less
Brain - Cerebellum
Average nTPM: 414.6
Samples: 241

Max nTPM: 642.2
Min nTPM: 286.3
Std nTPM: 56.7
Median nTPM: 406.9
GTEX-1GF9W-2726-SM-9JGGW 60-69 years, male 642.2
GTEX-1JN1M-3126-SM-AHZ4E 60-69 years, female 597.9
GTEX-1JMQJ-3126-SM-EV79G 50-59 years, male 592.6
GTEX-1H3VE-2826-SM-9WPOL 40-49 years, male 575.8
GTEX-1RNSC-3126-SM-EVR4V 60-69 years, male 558.8
GTEX-NPJ8-2626-SM-2D7W2 40-49 years, male 555.9
GTEX-1C6WA-3326-SM-7MKGN 60-69 years, male 546.2
GTEX-1H1ZS-2926-SM-9WPP2 70-79 years, male 544.0
GTEX-13OVJ-2726-SM-5IJG6 50-59 years, female 533.8
GTEX-1IKOH-2826-SM-CNNRC 60-69 years, female 533.6
GTEX-1F75W-3126-SM-7P8SJ 60-69 years, male 530.3
GTEX-T5JC-2326-SM-32PMR 20-29 years, male 528.1
GTEX-1F48J-2726-SM-7P8PW 50-59 years, female 526.5
GTEX-11DZ1-2926-SM-5A5KI 50-59 years, male 520.7
GTEX-PWO3-1026-SM-2I5F2 60-69 years, female 513.6
GTEX-1192X-3226-SM-5987D 50-59 years, male 513.4
GTEX-1PWST-3026-SM-EAZ3H 70-79 years, male 512.7
GTEX-183WM-2726-SM-7KFRF 70-79 years, female 511.8
GTEX-1B8SG-1926-SM-73KUB 50-59 years, male 506.7
GTEX-T2IS-2926-SM-32QPO 20-29 years, female 500.7
GTEX-1RDX4-3226-SM-DPS14 50-59 years, female 496.9
GTEX-1MJK2-3026-SM-EV7A5 50-59 years, male 496.5
GTEX-1B933-3026-SM-731DB 50-59 years, female 491.6
GTEX-12WSC-2926-SM-5BC5Z 50-59 years, male 489.8
GTEX-WWYW-3026-SM-3NB36 50-59 years, female 488.7
GTEX-Q2AG-2826-SM-2HMJQ 40-49 years, female 486.8
GTEX-1B8L1-3226-SM-7P8OX 60-69 years, male 483.8
GTEX-XMD1-2826-SM-4AT5F 60-69 years, male 480.9
GTEX-1F75A-2926-SM-7MXVN 50-59 years, male 475.5
GTEX-15EO6-2926-SM-6M48D 50-59 years, male 475.1
GTEX-1H1CY-3026-SM-9OSW7 60-69 years, female 472.6
GTEX-Y111-2826-SM-4TT3O 50-59 years, male 470.9
GTEX-14E6D-2926-SM-664OP 50-59 years, male 468.0
GTEX-N7MT-1226-SM-DKPOK 60-69 years, female 467.1
GTEX-1F52S-3026-SM-7P8PV 60-69 years, female 465.3
GTEX-R55E-2526-SM-2TC6H 20-29 years, male 462.6
GTEX-11O72-2826-SM-5HL6W 40-49 years, male 461.5
GTEX-131XH-2926-SM-5LZU4 50-59 years, male 460.9
GTEX-1JMQK-2926-SM-D4P2T 60-69 years, male 460.2
GTEX-P44G-2526-SM-2I5EK 30-39 years, male 460.0
GTEX-15G19-2826-SM-6M48K 60-69 years, male 459.7
GTEX-14BIM-3126-SM-5Q5C7 60-69 years, female 459.5
GTEX-NPJ7-2826-SM-2I3FU 60-69 years, female 459.5
GTEX-1PIIG-2826-SM-DTX7O 30-39 years, male 458.9
GTEX-ZAK1-2926-SM-5HL9S 50-59 years, female 458.7
GTEX-1BAJH-3126-SM-7MGXY 70-79 years, male 457.8
GTEX-1F6I4-3026-SM-7P8SI 60-69 years, male 457.6
GTEX-18A6Q-2826-SM-7LTAO 60-69 years, male 457.2
GTEX-13OW5-3126-SM-5MR3Y 60-69 years, male 455.8
GTEX-QVJO-1325-SM-2S1QX 60-69 years, female 455.3
GTEX-OHPN-2626-SM-2I5H1 60-69 years, female 455.1
GTEX-PVOW-2626-SM-32PL8 40-49 years, male 454.0
GTEX-QVUS-2926-SM-3GIJB 60-69 years, female 453.7
GTEX-1KD4Q-3026-SM-EV7A7 40-49 years, male 451.0
GTEX-14ABY-3026-SM-664NE 50-59 years, male 450.3
GTEX-1313W-3026-SM-5LZUZ 50-59 years, female 448.3
GTEX-QMR6-1326-SM-32PLB 50-59 years, male 447.4
GTEX-17F97-2926-SM-7DUEQ 50-59 years, male 446.1
GTEX-1LG7Y-3126-SM-EV7AS 50-59 years, male 445.9
GTEX-ZAJG-3026-SM-5HL92 50-59 years, female 445.0
GTEX-X261-3126-SM-4PQZC 50-59 years, male 444.6
GTEX-1QEPI-3026-SM-EXOIW 60-69 years, female 443.7
GTEX-13X6K-2826-SM-5O9DS 60-69 years, female 441.1
GTEX-Z93S-2826-SM-57WBL 50-59 years, male 441.0
GTEX-1H3NZ-2926-SM-9WPQ8 60-69 years, male 440.2
GTEX-UTHO-2926-SM-3P5Z9 60-69 years, male 439.0
GTEX-13X6I-2926-SM-5Q5C3 60-69 years, male 438.3
GTEX-QDT8-3026-SM-32PKB 30-39 years, female 437.4
GTEX-1JJE9-3026-SM-CNNPA 70-79 years, male 436.0
GTEX-N7MS-2526-SM-2D7W3 60-69 years, male 435.1
GTEX-1F6IF-3026-SM-7P8QN 60-69 years, male 434.8
GTEX-1GF9V-3026-SM-7P8R8 60-69 years, male 434.8
GTEX-14BIN-3326-SM-5Q5E6 50-59 years, female 434.4
GTEX-1NV8Z-3026-SM-DTX8Z 60-69 years, male 433.8
GTEX-1GZ2Q-3026-SM-9JGG3 40-49 years, male 433.1
GTEX-1POEN-2726-SM-E9U6B 30-39 years, female 433.0
GTEX-WL46-2826-SM-3LK81 50-59 years, male 432.3
GTEX-131YS-3026-SM-5EGHY 60-69 years, female 431.8
GTEX-1I1CD-2926-SM-A96SJ 60-69 years, female 431.0
GTEX-13SLX-3226-SM-5YYA6 50-59 years, female 430.8
GTEX-ZAB4-2926-SM-57WCV 40-49 years, male 430.0
GTEX-T6MN-2526-SM-32PMN 50-59 years, male 429.4
GTEX-11GSP-3126-SM-5A5LL 60-69 years, female 429.1
GTEX-14A5I-2826-SM-5SIBF 50-59 years, female 429.1
GTEX-15SHU-3026-SM-6LPIB 40-49 years, female 428.2
GTEX-12WSE-2926-SM-5RQJ9 20-29 years, male 428.1
GTEX-RU72-2926-SM-2TF66 50-59 years, female 427.8
GTEX-1GZHY-3026-SM-7MXVA 50-59 years, female 427.8
GTEX-11ZUS-2826-SM-5EQKW 30-39 years, male 427.1
GTEX-1EH9U-3126-SM-7MXU5 60-69 years, male 427.1
GTEX-13N2G-3126-SM-5IJGL 60-69 years, male 426.4
GTEX-12WSH-3126-SM-5LZW8 50-59 years, male 426.0
GTEX-WHSE-2926-SM-3NMBG 20-29 years, male 426.0
GTEX-145LU-2626-SM-5LU9Z 50-59 years, male 425.6
GTEX-1HSMO-2926-SM-C1YR5 60-69 years, male 424.9
GTEX-1H4P4-2726-SM-9JGGB 50-59 years, male 423.8
GTEX-1LSVX-2826-SM-EVR58 60-69 years, male 423.4
GTEX-145MH-2926-SM-5Q5D2 50-59 years, male 423.2
GTEX-ZUA1-2926-SM-59HL3 40-49 years, male 422.7
GTEX-1J1OQ-3126-SM-D4P2O 40-49 years, female 422.6
GTEX-1128S-2826-SM-5N9DI 60-69 years, female 422.4
GTEX-13CF2-3026-SM-5IFFX 60-69 years, male 421.1
GTEX-ZDXO-2926-SM-4WKFM 60-69 years, male 420.8
GTEX-11NV4-2226-SM-5BC4T 60-69 years, male 420.7
GTEX-P44H-2426-SM-2XCEJ 40-49 years, male 419.9
GTEX-14ASI-2926-SM-5Q5DG 60-69 years, male 417.1
GTEX-13RTJ-3126-SM-5S2Q4 60-69 years, male 417.0
GTEX-13VXU-3026-SM-5LU3K 50-59 years, male 416.6
GTEX-13O3Q-3026-SM-5IJGD 50-59 years, male 416.5
GTEX-1HB9E-3126-SM-AHZ4M 50-59 years, male 414.5
GTEX-16XZZ-2926-SM-6LPK4 60-69 years, male 412.3
GTEX-15DYW-3026-SM-7KFRM 60-69 years, female 412.1
GTEX-12ZZY-2926-SM-5DUXO 60-69 years, male 411.2
GTEX-1QP6S-3026-SM-EAZ4N 40-49 years, male 411.0
GTEX-ZYFD-2926-SM-5GID9 50-59 years, male 410.9
GTEX-1HBPH-3026-SM-9WPNY 40-49 years, female 410.4
GTEX-ZF28-2926-SM-4WKG1 60-69 years, male 409.6
GTEX-1JMLX-3026-SM-EV79Q 50-59 years, male 409.1
GTEX-1I1HK-2726-SM-AHZ2M 60-69 years, male 407.8
GTEX-13OW6-2926-SM-5KM29 50-59 years, male 407.1
GTEX-1P4AB-3026-SM-EXOJS 50-59 years, male 406.9
GTEX-145MG-3126-SM-5Q5D3 50-59 years, male 406.8
GTEX-145LS-3026-SM-5O99S 60-69 years, female 406.7
GTEX-13FHO-2926-SM-5L3ES 60-69 years, male 405.9
GTEX-13QIC-3026-SM-5LU58 60-69 years, female 404.6
GTEX-13S7M-3026-SM-5S2QQ 60-69 years, female 404.3
GTEX-12WSM-2126-SM-5GCOC 60-69 years, male 403.9
GTEX-139TS-3126-SM-5LZWX 60-69 years, male 403.7
GTEX-12ZZZ-3126-SM-5LZU6 60-69 years, male 403.2
GTEX-16Z82-2926-SM-6LPJJ 60-69 years, male 402.5
GTEX-1HBPI-2726-SM-9WPPF 50-59 years, male 400.7
GTEX-11EI6-2926-SM-5985U 60-69 years, male 400.1
GTEX-13NYB-3226-SM-5J2ND 40-49 years, male 400.0
GTEX-1RQEC-3026-SM-DPRXM 60-69 years, male 398.9
GTEX-132Q8-2926-SM-5IFFP 60-69 years, male 398.6
GTEX-1399T-3126-SM-5IJFS 60-69 years, male 398.3
GTEX-1B8SF-3026-SM-731DX 60-69 years, male 398.0
GTEX-S7SE-2526-SM-2XCDL 50-59 years, male 397.5
GTEX-1C6VR-3026-SM-7IGLW 60-69 years, male 397.2
GTEX-1EX96-3126-SM-9JGGC 50-59 years, male 395.8
GTEX-1JMOU-2826-SM-EV79R 60-69 years, female 395.8
GTEX-1EKGG-3126-SM-9WPO5 60-69 years, male 395.5
GTEX-11NUK-3026-SM-5986K 50-59 years, male 395.3
GTEX-11ONC-3026-SM-5985W 60-69 years, male 395.3
GTEX-11TTK-2826-SM-5GU5K 60-69 years, female 395.3
GTEX-1R9PO-2826-SM-E6CPV 60-69 years, female 394.6
GTEX-13112-2926-SM-5DUWT 50-59 years, male 394.5
GTEX-16YQH-2926-SM-6LPJE 30-39 years, male 394.3
GTEX-1H3O1-1826-SM-A96TO 60-69 years, male 393.3
GTEX-13OW8-2926-SM-5L3FV 60-69 years, male 392.5
GTEX-1IL2V-3026-SM-CYPSA 70-79 years, male 391.7
GTEX-17EVP-2926-SM-793BU 40-49 years, male 391.6
GTEX-WVLH-2926-SM-3MJG5 50-59 years, male 391.6
GTEX-1E2YA-2926-SM-7MGWX 50-59 years, male 391.6
GTEX-13OW7-2926-SM-5MR3Z 50-59 years, male 391.3
GTEX-11ZVC-3026-SM-59HJM 50-59 years, female 390.7
GTEX-1CB4G-2926-SM-7MKFQ 60-69 years, male 390.7
GTEX-139TT-2626-SM-5LZUB 60-69 years, male 390.5
GTEX-11DXW-1026-SM-5H11K 40-49 years, male 390.0
GTEX-13JUV-3026-SM-5K7WX 40-49 years, female 390.0
GTEX-11GSO-3026-SM-5Q5AL 60-69 years, male 389.7
GTEX-14JIY-2326-SM-6AJAJ 60-69 years, male 389.0
GTEX-1I1GV-3026-SM-CNNR9 60-69 years, male 388.7
GTEX-1IY9M-3126-SM-AHZ3A 60-69 years, male 387.9
GTEX-1EMGI-3126-SM-7MXUR 60-69 years, male 387.0
GTEX-ZYY3-3026-SM-5GIEJ 60-69 years, female 386.3
GTEX-TSE9-2926-SM-3DB77 60-69 years, female 384.0
GTEX-13X6J-2926-SM-7EPGP 50-59 years, male 383.8
GTEX-1JJEA-2926-SM-C1YSK 60-69 years, male 383.6
GTEX-1IDJH-3126-SM-C1YQS 70-79 years, male 382.1
GTEX-11PRG-2826-SM-5BC54 50-59 years, male 382.0
GTEX-13OVH-2926-SM-5IJFH 70-79 years, male 381.9
GTEX-17EVQ-2726-SM-7EWDT 70-79 years, male 381.8
GTEX-YJ89-2926-SM-5P9IT 60-69 years, male 381.3
GTEX-1E1VI-2926-SM-7IGLT 50-59 years, male 379.5
GTEX-1A8G7-3026-SM-73KTT 60-69 years, male 378.5
GTEX-14PJO-2926-SM-686ZI 60-69 years, male 378.3
GTEX-11DXY-3126-SM-5N9BT 60-69 years, male 377.1
GTEX-147F4-3026-SM-5Q5BJ 50-59 years, male 375.1
GTEX-12ZZX-2826-SM-5BC6K 40-49 years, female 375.0
GTEX-14JFF-2826-SM-6871Q 60-69 years, male 373.5
GTEX-13FXS-3026-SM-5LZYO 50-59 years, male 372.4
GTEX-11OC5-0626-SM-5HL6M 60-69 years, male 370.8
GTEX-14PN4-3026-SM-664O4 50-59 years, male 370.8
GTEX-1GTWX-2926-SM-7MXV4 60-69 years, male 370.8
GTEX-13PVQ-2926-SM-5L3HJ 50-59 years, male 370.5
GTEX-14DAQ-3026-SM-5S2QZ 60-69 years, female 369.9
GTEX-17JCI-3026-SM-7EWDR 60-69 years, female 369.4
GTEX-111FC-3326-SM-5GZYV 60-69 years, male 368.1
GTEX-11DYG-2926-SM-5H132 60-69 years, male 367.9
GTEX-1JJ6O-3026-SM-C1YQH 60-69 years, male 366.7
GTEX-12126-0926-SM-5FQTW 20-29 years, male 366.3
GTEX-XLM4-2926-SM-4AT59 60-69 years, male 365.8
GTEX-ZZPT-2926-SM-5EQ5S 50-59 years, male 365.6
GTEX-1HSKV-2926-SM-B2LWJ 60-69 years, male 364.4
GTEX-1R46S-3126-SM-DPRZ9 60-69 years, female 364.4
GTEX-1JMPZ-2826-SM-C1YRA 30-39 years, male 363.2
GTEX-1H1DG-2826-SM-9JGHB 70-79 years, male 362.5
GTEX-RNOR-2226-SM-2TF5O 50-59 years, female 362.4
GTEX-1KANB-3226-SM-D4P3G 50-59 years, male 361.9
GTEX-15ER7-3026-SM-6M47W 20-29 years, female 361.7
GTEX-1GN73-3026-SM-7MXV8 60-69 years, male 360.9
GTEX-1CB4H-3026-SM-79OLX 60-69 years, female 359.7
GTEX-14JG1-2926-SM-686ZK 40-49 years, male 359.4
GTEX-Y8DK-0726-SM-4TT3S 60-69 years, male 355.6
GTEX-14PJM-3026-SM-6LLHM 50-59 years, female 355.5
GTEX-1KWVE-2226-SM-CXZKN 30-39 years, male 355.4
GTEX-1A3MX-2926-SM-718B7 60-69 years, male 355.3
GTEX-13JVG-3226-SM-5IJGJ 60-69 years, male 355.2
GTEX-14BMV-2926-SM-5TDEE 50-59 years, male 355.0
GTEX-WZTO-2826-SM-3NM8P 40-49 years, male 355.0
GTEX-14E7W-2926-SM-5S2R8 70-79 years, male 354.6
GTEX-12WSD-3026-SM-5LZU7 60-69 years, female 354.3
GTEX-1HCVE-2926-SM-9WPPJ 50-59 years, male 353.7
GTEX-17HG3-2826-SM-7EPGO 30-39 years, female 353.6
GTEX-147GR-3126-SM-5S2PM 60-69 years, male 353.4
GTEX-11EMC-3326-SM-5P9JH 60-69 years, female 352.7
GTEX-17HHY-2926-SM-79OJW 50-59 years, male 352.1
GTEX-145MF-2826-SM-7EPGU 50-59 years, male 351.6
GTEX-13OVL-3026-SM-5IJF1 50-59 years, male 347.6
GTEX-1EWIQ-3026-SM-7IGOJ 70-79 years, female 347.2
GTEX-14C5O-2926-SM-5RQI1 60-69 years, male 347.0
GTEX-117XS-3126-SM-5GIDP 60-69 years, male 345.4
GTEX-1269C-3126-SM-5EGI6 60-69 years, female 345.4
GTEX-18465-2926-SM-7KFSE 50-59 years, male 344.7
GTEX-ZVT3-2926-SM-5GU6M 60-69 years, female 342.8
GTEX-YFC4-3026-SM-5IFJK 40-49 years, female 341.1
GTEX-13G51-3126-SM-5IJG7 60-69 years, male 340.8
GTEX-X4XX-2926-SM-3NMB1 60-69 years, male 339.2
GTEX-13O3O-3026-SM-5KM42 60-69 years, female 337.0
GTEX-1GZ4I-2926-SM-9JGGO 50-59 years, male 336.8
GTEX-11ZTS-3226-SM-5EGID 60-69 years, female 333.9
GTEX-13FHP-2926-SM-5IJG9 50-59 years, male 333.9
GTEX-1EU9M-2926-SM-793DF 60-69 years, male 332.6
GTEX-1A8G6-3126-SM-731D8 60-69 years, male 325.0
GTEX-14C39-3026-SM-5S2QE 40-49 years, male 324.0
GTEX-144GL-2926-SM-5O99F 50-59 years, male 321.2
GTEX-X4EP-3026-SM-3P5YP 60-69 years, female 314.3
GTEX-1B996-2926-SM-7MXUH 60-69 years, male 308.4
GTEX-17HII-2926-SM-79OMK 50-59 years, male 295.6
GTEX-1C64N-3126-SM-79OO3 50-59 years, male 286.3
Show allShow less

CEREBELLUM - FANTOM5 CAGEi

RNA expression in human tissues obtained through Cap Analysis of Gene Expression (CAGE) generated by the FANTOM5 project are reported as Scaled Tags Per Million.

Max subtype Scaled Tags Per Millioni

Max subtype Scaled Tags Per Million is the value for the subtype with the largest average Scaled Tags Per Million across the subtype samples.

516.2
FANTOM5 sample id Sample description Scaled Tags Per Million
Cerebellum
Scaled Tags Per Million: 516.2
FF:10083-102B2 22-68 years, mixed 607.6
FF:10166-103B4 76 years, female 424.9

CEREBELLUM - Pig RNA-seqi

RNA-seq data obtained from pig brain is reported as nTPM .

Normal distribution across the dataset is visualized with box plots, shown as median and 25th and 75th percentiles. Points are displayed as outliers if they are above or below 1.5 times the interquartile range. nTPM values of the individual samples are presented next to the box plot.
Max subtype nTPMi

Max subtype nTPM is the value for the subtype with the largest average nTPM across the subtype samples.

0.0
Pig sample Sample description nTPM
Cerebellum
nTPM: 0.0
Samples: 4

Max nTPM: 0.0
Min nTPM: 0.0
Sample A Female 0.0
Sample B Female 0.0
Sample C Male 0.0
Sample D Male 0.0

Contact

  • NEWS ARTICLES
  • PRESS ROOM

The Project

  • INTRODUCTION
  • ORGANIZATION
  • PUBLICATIONS

The Human Protein Atlas

  • DOWNLOADABLE DATA
  • LICENCE & CITATION
  • HELP & FAQ
The Human Protein Atlas project is funded
by the Knut & Alice Wallenberg Foundation.


contact@proteinatlas.org